Reccurence of Heterotopic Ossification as the Result of Total Hip Endoprosthesis Dislocation: A Case Report
- Authors: Efimov G.A.1, Cherkasov M.A.1, Goncharov M.Y.1, Efimov N.N.1
-
Affiliations:
- Vreden National Medical Research Center of Traumatology and Orthopedics
- Issue: Vol 28, No 2 (2022)
- Pages: 97-104
- Section: Case Reports
- Submitted: 22.10.2021
- Accepted: 04.04.2022
- Published: 28.06.2022
- URL: https://journal.rniito.org/jour/article/view/1691
- DOI: https://doi.org/10.17816/2311-2905-1691
- ID: 1691
Cite item
Abstract
Background. Heterotopic ossification (HO) is the formation of mature bone in soft tissues. HO in the hip area can be a consequence of both injury to the nervous system and local trauma. After total hip arthroplasty HO develops in 30% of cases.
The aim of the study is to demonstrate a rare clinical case of a recurrence of HO in patient after a primary total hip arthroplasty, accompanied by ankylosing.
Case presentation. A 32-year-old patient was admitted to the clinic for revision hip arthroplasty with a diagnosis «long-standing dislocation of the right hip joint endoprosthesis head, heterotopic ossification» 3 years after dislocation. During the surgery, there were difficulties with the sciatic nerve dissection, as well as the structures of the endoprosthesis. We removed all the ossifications that obstructed the dislocation of the endoprosthesis. The patient had sciatic nerve neuropathy on the right lower limb with lesions of the fibular and tibial nerves on the background of edema. The patient was discharged on the 21st day. The presented clinical case is interesting because the patient’s relapse could be caused by a combination of various risk factors. Taking into account the fact that the injury was received as a result of an accident and the patient had a fracture of the bones of the contralateral shin, it could be the effect of a local hip injury that aggravated the process.
Conclusions. This clinical observation highlights the importance of preventing possible complications after surgery and maintaining feedback with patients, especially those belonging to the high-risk group. It is likely that with adequate prevention of the HO formation and timely reduction of dislocation, the problems described in the article after primary total hip arthroplasty could have been avoided.
Full Text
BACKGROUND
Heterotopic ossification (HO) is defined as the formation of mature lamellar bone in soft tissues, usually between the muscles and the joint capsule [1]. Neurogenic HO occurs following trauma to the brain and/or spinal cord. Specifically, after a craniocerebral injury, the appearance of foci of ectopic bone formation in areas around large joints is recorded in 10–23% of cases and in 40–50% of cases after spinal cord injury. This pathological condition is detected in men 2.5 times more often than in women [2]. HO in the area of the hip joint can result from damage to the nervous system and local trauma [3, 4].
From 1980 to 1990, the incidence of HO reached 80%. Studies have reported the need for prophylactic treatment in the postoperative period with nonsteroidal anti-inflammatory drugs (NSAIDs) [5, 6].
The anatomical and morphological classification of HO, proposed by Brooker et al. [7], is the most popular in the world:
Class 1 implies islets of bone in the soft tissues around the thigh.
Class 2 implies bone spurs originating from the pelvis or proximal femur, with at least 1 cm between opposite surfaces of the bones.
Class 3 implies bone spurs originating from the pelvis or proximal femur, reducing the distance between opposite surfaces of the bone to less than 1 cm.
Class 4 implies obvious ankylosis of the hip bones.
The case described herein belongs to class 4 according to this classification.
This study aimed to demonstrate a rare clinical case of a patient with recurrent HO following complex primary hip arthroplasty, accompanied by ankylosis.
Case report
A 32-year-old man (weight, 76 kg; height, 176 cm; BMI, 24) was admitted to the clinic in March 2021 for a scheduled surgical treatment and complaints of recurrent pain in the right hip joint, lameness, and severely limited joint range of motion.
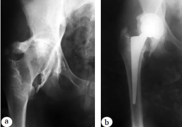
The anamnesis revealed that in 2008, the patient sustained multiple injuries during a traffic accident, namely, an open fracture of both bones of the left lower leg and an open craniocerebral injury. At the primary healthcare facility, cranial trepanation, primary surgical treatment of the left leg wound, plaster casting of the fracture were performed. The patient was in a coma for 1 month. After regaining consciousness, the patient demonstrated limited mobility in the right hip joint and a general decrease in sensitivity according to the hemitype in the right half of the body. Within 10 years, the pain syndrome and limited range of motion in the right hip joint progressed. Figure 1a presents a radiograph of the right hip joint, performed in 2018, in a state of ankylosis in presence of HO.
Fig. 1. X-rays of the right hip joint: a — before the first total hip arthroplasty; b — after surgery
In August 2018, the patient underwent total right hip arthroplasty (Zimmer Trilogy IT/CLS-Spotorno), with a sliding pairing of metal-crosslink polyethylene, head 36/−3 mm) (Fig. 1b).
The patient was discharged from the clinic without complications, but within 10 days after the intervention, when sitting down on a bench, he noted a painful displacement in the joint area, which led to the impaired support ability of the extremity. The patient did not seek medical help and continued to walk with elbow crutches. Later, in a scheduled follow-up, he visited a traumatologist-orthopedist at the primary healthcare facility where a long-standing dislocation of the endoprosthesis head was detected, and revision arthroplasty was recommended.
In March 2021, the patient was admitted to the clinic of the Vreden Center of Traumatology and Orthopedics. Upon admission, the patient walked using a one-elbow crutch and had severe lameness on the right lower limb. Movements in the right hip joint were minimal (reciprocating) and painless; the right hip was in a fixed external rotation of approximately 35°. The relative shortening of the right lower limb was 2.5 cm, and the axial load was not painful. The right hip function scored 27 of 48 points according to the Oxford Hip Score (OHS). The patient also noted a gradual decrease in the sensitivity of the skin of the right lower limb in comparison with the opposite side during the last 6 months. Before the surgery, a neurologist in the hospital diagnosed the patient with post-traumatic encephalopathy, which was a consequence of a polytrauma from 2008, craniotomy without convulsive readiness, right-sided moderate hemiparesis, and more severe states of the lower limb. The patient’s expectations from surgical treatment corresponded to 43 points according to the hip replacement expectation survey.
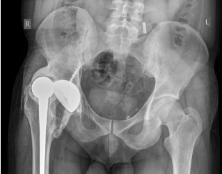
Additional clinical examination based on radiographs revealed dislocation of the endoprosthesis head with the formation of a bone bed of heterotopic ossificates at the anterosuperior edge of the acetabular component, and no signs of loosening of the components were noted (Fig. 2).
Fig. 2. X-ray of the pelvis at admission: dislocation of the endoprosthesis head the with the formation of a bone bed of heterotopic ossifications at the anterosuperior edge of the acetabulum component, no signs of loosening of the endoprosthesis components
According to computed tomography (CT), the acetabular component orientation was 47° of the frontal inclination and 20° of anteversion, the femoral component anteversion was 54°, and the combined version of the components was 101°.
After ruling out the infectious process, the patient underwent re-endoprosthetics. During the access, the femoral abduction apparatus was moderately thinned, with signs of partial cicatricial degeneration of the musculus gluteus medius, but without significant defects. A combination of transgluteal and posterior approaches was used to resect the heterotopic ossificates. When performing a transgluteal approach, a bone bed was exposed around the endoprosthesis head located at the anterior–superior edge of the acetabulum. The bone bed was opened to mobilize the endoprosthesis head (Fig. 3 a,b). Then, through the posterior approach, the ossificates protruding above the posterior edge of the acetabulum and in the area of the sciatic nerve were visualized (Fig. 3c).
Fig. 3. Stages of the surgery: a — dissection of ossifications around the head of the endoprosthesis; b — removal of ossifications around the dislocated head of the endoprosthesis; c — visualization of ossifications
The sciatic nerve was also ossified. Resection of the ossificates around the nerve, extended release of the proximal femur, and resection of heterotopic ossificates capable of causing bone-to-bone or component-to-bone impingement were performed.
After the detection of the cavity edges, the anti-luxation visor of the liner was oriented posteriorly, despite the excessive combined anteversion of the components. The initial plan of the surgery included the implantation of a dual-mobility component in a well-fixed cup using bone cement; however, this approach was discarded due to the excessive tension on the soft tissues, which caused difficulties in repositioning the 36-mm provisional heads. After the implantation of a new Zimmer Continuum Longevity liner into the cup-locking mechanism with anti-luxation visor orientation anterosuperiorly and implantation of the Zimmer VerSys 36/+0 mm head (next size compared with the removed head), a sufficient joint range of motion was obtained before impingement. Hip joint flexion was achieved at 60°, and the patient retained the soft tissue component of the contracture. Dislocation of the endoprosthesis after reduction was not observed (Fig. 4). The intervention duration was 4 h and 5 min, and the intraoperative blood loss was 700 ml.
Fig. 4. X-ray of the pelvis after revision surgery
After the surgery, the patient noted the absence of the active dorsiflexion of the right foot and impaired sensation along the anterolateral surface of the thigh. According to the neurologist, there was neuropathy of the sciatic nerve on the right foot and damage to the peroneal nerve and tibial nerve associated with edema. The patient received drug therapy and physiotherapy (myorhythm stimulation and magnetotherapy). During the hospitalization, an improvement was achieved in the form of paresthesias in the right foot. The patient was verticalized on day 2 after surgery.
The postoperative wound healed by primary intention. The patient was discharged for outpatient treatment on day 21 with recommendations to measure the load on the operated limb and to use crutches for 6 weeks and then for up to 6 months with the help of a cane. Antibiotic prophylaxis and thromboprophylaxis were performed according to local protocols. As a medical prevention of HO, the patient received celecoxib 200 mg orally two times a day from the day of surgery for 4 weeks.
After 5 months, the patient was interviewed remotely. The OHS functional status of the joint was assessed as 39 of 48 points. Over the past period, the patient had an unexpressed improvement in the state of the sciatic nerve, and active dorsiflexion of the foot is possible to a limited extent. The patient is generally satisfied with the treatment; at the time of the survey, he walked without additional support and did not experience significant difficulties in walking and taking care of himself.
DISCUSSION
In patients with a history of spinal cord injury, HO usually develops distal to the injury level, most commonly around the hip joint. HO in small joints is rare [8]. Patients with cognitive impairment, tracheostomy, pneumonia, and/or urinary tract infections are at higher risk of HO [9].
The clinical presentation of HO in the initial stages is nonspecific. Many HO cases are asymptomatic, and patients may complain of inflammation, including pain, edema, erythema, and fever, and limited joint range of motion, which appears at any time, for a period of 3–12 weeks, after the triggering event; and in the future, ankylosis of the joint may form [10, 11].
Radiation studies, mainly radiography and CT, are the gold standard for diagnosing HO [12]. However, their disadvantage is the inability to detect calcifications earlier than 6 weeks after a triggering injury [8]. Clinicians often perform standard radiography followed by a tree-phase bone scan to confirm the diagnosis of HO and establish the extent and metabolic activity of this ossifying lesion. A three-phase bone scintigraphy is the most sensitive method for detecting HO, and diagnostics is already possible 2.5 weeks after the injury [8, 13]. The method is also effective for monitoring the progression of HO and determining the appropriate time for surgical intervention. Bone activity during scanning usually reaches its maximum several months after the triggering event and returns to baseline after 12 months. Differential diagnostics of HO implies ruling out of conditions such as tumor calcification, osteosarcoma, or dystrophic calcification [10].
Two main approaches are recommended to the treatment of HO in the hip area: isolated resection of ossifications and resection in combination with arthroplasty. The choice of a method depends on the location and size of the ossifications and extent of joint damage. Most often, the treatment approach is determined intraoperatively. If possible, resection of ossificates is performed. If the main sources of blood supply to the femoral head are affected, total hip arthroplasty is performed [14].
When choosing resection, the technique differs from oncological one, as only ossificates that cause limitation of mobility and compression of blood vessels or nerves should be removed. Exhaustive resection may increase the risk of recurrence and injury rate of the surgery. Arthroplasty is highly effective; however, even for experienced surgeons, these patients require experience, knowledge of the pathology characteristics, possibilities of additional diagnostics and technical support for surgeries, and an individualized program of rehabilitation and relapse prevention.
The presented clinical case is interesting in that the HO recurrence could be due to a combination of various risk factors. Moreover, considering the injury was sustained following a road traffic incident and the patient had a fracture of the contralateral tibia, the effect of a local injury of the hip joint, which aggravated the process, cannot be excluded. Total hip arthroplasty performed on the patient in 2018 was also associated with a high risk of HO recurrence. The incidence of HO after hip arthroplasty according to the literature is 30% [3]. However, circumstances such as joint ankylosis and history of HO are considered high risk factors for the formation of ossificates [18]. In addition, in the early postoperative period, the patient had a dislocation of the endoprosthesis head, which in itself is a significant injury and is accompanied by hematoma formation. Finally, according to the patient, no HO prophylaxis was performed at that moment, despite the high risk of its formation. On the contrary, the formation of a supporting bone bed around the endoprosthesis head allowed the patient to walk with a load on the operated limb in the presence of dislocation. As for the development of the endoprosthesis head dislocation, the patient also belonged to the high risk group because of nervous system pathology.
Notably, primary arthroplasty was performed for the hip joint ankylosis that existed for 10 years. In this situation, the risk of joint instability increases due to inadequate tension of the soft tissues and dysfunction of the abductor apparatus of the thigh, which is the main soft tissue stabilizer [15].
To prevent dislocations during primary arthroplasty, two of the available options for mechanical stabilization were used, namely, a large-diameter sliding pair (36 mm) and an insert with an anti-luxation roller. However, the posterior orientation of the anti-luxation ridge, despite the achieved excessive combined anteversion of the components (i.e., in the zone of potential impingement of the neck-liner), indicates technical difficulties in arthroplasty, specifically a disorientation of the acetabular component in presence of HO along the acetabulum perimeter. At the time of re-endoprosthetics, the priority tasks were the prevention of HO recurrence and relapse of instability. Initially, we did not aim to remove all ossificates; however, to achieve joint mobility, almost everything had to be excised.
For HO prevention, localized radiation therapy is generally used [11], as well as drug therapy using corticosteroids (prednisone and dexamethasone) and NSAIDs (aspirin, indomethacin, a specific COX-2 inhibitor, and celecoxib). Bisphosphonates are often the drug of choice in the later stages of HO, when dense bone formation has already started [16]. In this case, celecoxib was prescribed to the patient, as it has similar efficacy to indomethacin with less side effects during the long-term intake [17]. Further, in the hospital stage, joint punctures were repeatedly performed to evacuate the hematoma.
Regarding joint stability, re-arthroplasty for dislocations is associated with a high risk of recurrence if the components, particularly the acetabular component, are preserved [18]. In the presented case, an attempt to revise the acetabular or femoral component would be associated with a greater injury rate of the intervention, which would aggravate the risk of HO recurrence and introduce additional risks of loosening the newly installed components. The installation of a dual-mobility cup using the cement technique in a well-fixed acetabular component is described as an effective technique that not only prevents dislocation due to the diameter of the sliding pair but also changes partially the mutual arrangement of the components [19, 20]. However, in the present case, tissue tension after bringing the hip down did not allow the reduction of a large-diameter system, and additional releases would be associated with the risk of detachment of key structures and the formation of an even larger cavity filled with hematoma. On the contrary, the limitation of the joint range of motion due to the soft tissue component of the contracture prevented the patient from performing dangerous movements until the formation of a dense pseudocapsule, which could lead to dislocation.
CONCLUSIONS
This clinical case emphasizes the importance of preventing possible complications of surgery and maintaining feedback with patients, especially those in the high risk group. Adequate prevention of HO formation and timely reduction of the dislocation could avoid the aforementioned problems after primary arthroplasty.
DISCLAIMERS
Author contribution
All authors made equal contributions to the study and the publication.
All authors have read and approved the final version of the manuscript of the article. All authors agree to bear responsibility for all aspects of the study to ensure proper consideration and resolution of all possible issues related to the correctness and reliability of any part of the work.
Funding source. This study was not supported by any external sources of funding.
Competing interests. The authors declare that they have no competing interests.
Ethics approval. Not applicable.
Consent for publication. Written consent was obtained from the patient for publication of relevant medical information and all of accompanying images within the manuscript.
About the authors
Gleb A. Efimov
Vreden National Medical Research Center of Traumatology and Orthopedics
Author for correspondence.
Email: glebefimovv@gmail.com
ORCID iD: 0000-0003-3310-0799
SPIN-code: 1689-2611
clinical resident
Russian Federation, 8, Akademika Baykova str., St. Petersburg, 195427Magomed A. Cherkasov
Vreden National Medical Research Center of Traumatology and Orthopedics
Email: medik@gmail.com
ORCID iD: 0000-0003-2799-532X
Cand. Sci. (Med.)
Russian Federation, 8, Akademika Baykova str., St. Petersburg, 195427Maksim Yu. Goncharov
Vreden National Medical Research Center of Traumatology and Orthopedics
Email: goncharov71@list.ru
ORCID iD: 0000-0001-6435-7939
Cand. Sci. (Med.)
Russian Federation, 8, Akademika Baykova str., St. Petersburg, 195427Nicolay N. Efimov
Vreden National Medical Research Center of Traumatology and Orthopedics
Email: efimov-n-n@mail.ru
ORCID iD: 0000-0002-1813-3421
Cand. Sci. (Med.)
Russian Federation, 8, Akademika Baykova str., St. Petersburg, 195427References
- Ranganathan K., Loder S., Agarwal S., Wong V.С., Forsberg J., Davis T.A. et al. Heterotopic Ossification: Basic-Science Principles and Clinical Correlates. J Bone Joint Surg Am. 2015;97(13):1101-1111. doi: 10.2106/JBJS.N.01056.
- Yolcu Y.U., Wahood W., Goyal A., Alvi M.A., Reeves R.K., Qu W. et al. Factors Associated with Higher Rates of Heterotopic Ossification after Spinal Cord Injury: A Systematic Review and Meta-Analysis. Clin Neurol Neurosurg. 2020;195:105821. doi: 10.1016/j.clineuro.2020.105821.
- Zhu Y., Zhang F., Chen W., Zhang Q., Liu S., Zhang Y. Incidence and risk factors for heterotopic ossification after total hip arthroplasty: a meta-analysis. Arch Orthop Trauma Surg. 2015;135(9):1307-1314. doi: 10.1007/s00402-015-2277-8.
- Kan S.L., Yang B., Ning G.Z., Chen L.X., Li Y.L., Gao S.J., Chen X.C. et al. Nonsteroidal anti-inflammatory drugs as prophylaxis for heterotopic ossification after total hip arthroplasty. Medicine (Baltimore). 2015;94(18):e828. doi: 10.1097/MD.0000000000000828.
- Kjaersgaard-Andersen P.K., Nafei A., Teichert G., Kristensen O., Schmidt S.A., Keller J. et al. Indomethacin for prevention of heterotopic ossification. A randomized controlled study in 41 hip arthroplasties. Acta Orthop Scand. 1993;64(6):639-642. doi: 10.3109/17453679308994587.
- Mier P.D., van den Hurk J.J. Lysosomal hydrolases of the epidermis. I. Glycosidases. Br J Dermatol. 1975;93(1): 1-10. doi: 10.1111/j.1365-2133.1975.tb06468.x.
- Brooker A.F., Bowerman J.W., Robinson R.A., Riley L.H. Jr. Ectopic ossification following total hip replacement. Incidence and a method of classification. J Bone Joint Surg Am. 1973;55(8):1629-1632.
- Shehab D., Elgazzar A.H., Collier D.B. Heterotopic ossification. J Nucl Med. 2002;43(3):346-353.
- Sullivan M.P., Torres S.J., Mehta S., Ahn J. Heterotopic ossification after central nervous system trauma: a current review. Bone Joint Res. 2013;2(3):51-57. doi: 10.1302/2046-3758.23.2000152.
- Łęgosz P., Otworowski M., Sibilska A., Starszak K., Kotrych D., Kwapisz A. et al. Heterotopic Ossification: A Challenging Complication of Total Hip Arthroplasty: Risk Factors, Diagnosis, Prophylaxis, and Treatment. Biomed Res Int. 2019;2019:3860142. doi: 10.1155/2019/3860142.
- Popovic M., Agarwal A., Zhang L., Yip C., Kreder H.J., Nousiainen M.T. et al. Radiotherapy for the prophylaxis of heterotopic ossification: a systematic review and meta-analysis of published data. Radiother Oncol. 2014;113:10-17. doi: 10.1016/j.radonc.2014.08.025.
- Cholok D., Chung M.T., Ranganathan K., Ucer S., Day D., Davis T.A. et al. Heterotopic ossification and the elucidation of pathologic differentiation. Bone. 2018;109:12-21. doi: 10.1016/j.bone.2017.09.019.
- Svircev J.N., Wallbom A.S. False-negative triple-phase bone scans in spinal cord injury to detect clinically suspect heterotopic ossification: a case series. J Spinal Cord Med. 2008;31:194-196. doi: 10.1080/10790268.2008.11760711.
- Егиазарян К.А., Коробушкин Г.В., Сиротин И.В., Абилемец А.С., Юусибов Р.Р., Субботин Н.А. Клинический случай оперативного лечения приобретенной гетеротопической оссификации у пациента с тяжелой сочетанной травмой. Политравма. 2018;(2):75-81. Egiazaryan K.A., Korobushkin G.V., Sirotin I.V., Abilemets A.S., Yuusibov R.R., Subbotin N.A. [A clinical case of surgical treatment of acquired heterotopic ossification in a patient with polytrauma]. Polytravma [Polytrauma]. 2018; (2): 75-81. (In Russian).
- Молодов М.А., Даниляк В.В., Ключевский В.В., Гильфанов С.И., Ключевский В.В., Вергай А.А. Факторы риска вывихов тотальных эндопротезов тазобедренного сустава. Травматология и ортопедия России. 2013;(2):23-30. doi: 10.21823/2311-2905-2013-0-2-65-71. Molodov M.A., Danilyak V.V., Kluchevsky V.V., Gilfanov S.I., Kluchevsky V.V., Vergay A.A. [Risk factors for total hip arthroplasty dislocations]. Travmatologiya i ortopediya Rossii [Traumatology and Orthopedics of Russia]. 2013;19(2):23-30. (In Russian). doi: 10.21823/2311-2905-2013-0-2-65-71.
- Vanden Bossche L.C., Van Maele G., Wojtowicz I., Bru I., Decorte T., De Muynck M. et al. Free radical scavengers versus methylprednisolone in the prevention of experimentally induced heterotopic ossification. J Orthop Res. 2009;27(6):748-751. doi: 10.1002/jor.20817.
- Romanò C.L., Duci D., Romanò D., Mazza M., Meani E. Celecoxib versus indomethacin in the prevention of heterotopic ossification after total hip arthroplasty. J Arthroplasty. 2004;19(1):14-18. doi: 10.1016/s0883-5403(03)00279-1.
- Jo S., J.H. Jimenez Almonte J.H., Sierra R.J. The Cumulative Risk of Re-dislocation After Revision THA Performed for Instability Increases Close to 35% at 15 years. J Arthroplasty. 2015;30(7):1177-1182. doi: 10.1016/j.arth.2015.02.001.
- Chalmers B.P., Ledford C.K., Taunton M.J., Sierra R.J., Lewallen D.G., Trousdale R.T. Cementation of a Dual Mobility Construct in Recurrently Dislocating and High Risk Patients Undergoing Revision Total Arthroplasty. J Arthroplasty. 2018;33(5):1501-1506. doi: 10.1016/j.arth.2017.11.055.
- Загородний Н.В., Бухтин К.М., Чрагян Г.А., Каграманов С.В., Галаев Х.И. Метод ревизии вертлужного компонента эндопротеза тазобедренного сустава без удаления ранее установленной чашки. Вестник травматологии и ортопедии им. Н.Н. Приорова. 2014;(4):73-74. doi: 10.17816/vto20140473-74. Zagorodniy N.V., Bukhtin K.M., Chragyan G.A., Kagramanov S.V., Galaev Kh.I. [Revision of hip endoprosthesis acetabular component without removal of reviously implanted cup]. Vestnik travmatologii i ortopedii im. N.N. Priorova [N.N. Priorov Journal of Traumatology and Orthopedics]. 2014;(4):73-74. (In Russian). doi: 10.17816/vto20140473-74.
Supplementary files








