Revision Reconstruction of the Cervical Spine in a Patient With Early Deep Surgical Site Infection Complicated by Angular Kyphosis: Case Report and Review
- Authors: Naumov D.G.1,2, Tkach S.G.1, Ladygin A.A.3, Shchelkunov M.M.1, Karpushin A.A.1
-
Affiliations:
- St. Petersburg State Research Institute of Phthisiopulmonology
- St. Petersburg State University
- Federal Network of Medical Centers “MRI Expert”
- Issue: Vol 29, No 1 (2023)
- Pages: 95-103
- Section: Case Reports
- Submitted: 25.01.2023
- Accepted: 09.02.2023
- Published: 11.04.2023
- URL: https://journal.rniito.org/jour/article/view/2373
- DOI: https://doi.org/10.17816/2311-2905-2373
- ID: 2373
Cite item
Abstract
Background. Deep surgical site infection (DSSI) is one of the most severe complications in spinal surgery. The timing and nature of DSSI are the determining criteria in the choice of treatment tactics. The uniqueness of the clinical observation is the combination of early DSSI, epidural abscess and angular kyphotic deformity formed after a course of conservative antibacterial therapy in a patient who underwent surgery for degenerative-dystrophic disease of the cervical spine. Correction of angular kyphosis, removal of fractured vertebrae, interbody implants and three-column cervical reconstruction were performed in one surgical session.
Case presentation. A 57-year-old patient was admitted to the clinic after staged surgical interventions on the cervical spine for multilevel degenerative stenosis of the spinal canal. The primary surgical interventions were complicated by DSSI in the early period after the second surgery with formation of angular kyphosis of the cervical spine. The patient underwent revision one-stage reconstructive intervention to correct the deformity, decompress the spinal canal, and three-column reconstruction of C3-7 segments. Long-term follow-up showed persistent reduction of pain syndrome, improved quality of life and absence of recurrence of DSSI.
Conclusion. The presented case illustrates the possibilities of one-stage revision three-column cervical spine reconstruction for correction of sagittal profile, decompression of intracanal neural structures and ensuring stability of operated segments. Use of DSSI treatment algorithms based on Prinz V. and Vajkoczy P. classification contributes to the selection of the optimal tactics of patient management.
Full Text
BACKGROUND
Angular kyphotic deformity is one of the most severe cervical spine pathologies leading to the development of vertebrogenic pain syndrome, myelo- and radiculopathy, impaired global sagittal balance and decreased quality of life of patients [1, 2, 3]. The etiology of angular kyphosis of the cervical spine is multipotent [4, 5, 6]. Among the leading factors are postlaminectomy syndrome, rheumatologic diseases (ankylosing spondyloarthritis, Bechterew's disease) and infectious processes (spondylitis, surgical site infection (SSI)) [7, 8, 9].
The incidence of cervical kyphosis after multilevel laminectomy without posterior hardware fixation reaches 15-24% in adults and 37-100% in children [10, 11, 12, 13]. Performing fixation, laminoplasty, minimally invasive ventral (Jho's surgery) and dorsal (foraminotomy) decompression interventions reduces the risks of kyphosis development in the postoperative period [14, 15, 16].
Ankylosing spondyloarthritis manifested by thoracic hyperkyphosis and lumbar hypolordosis leads to chin-on-chest deformity and changes in the gaze angle requiring SRS-Schwab (2014) type 3 out-of-apical vertebrotomies to correct the sagittal balance [17, 18, 19, 20].
Despite the existing array of data reflecting the features of clinical characteristics, diagnostics and surgical treatment of cervical kyphotic deformity associated with postlaminectomy syndrome and Bechterew's disease, the information on angular kyphoses with infectious processes is extremely limited and represented by rare publications [21, 22, 23].
Aim of the study. To present the results of simultaneous revision three-column cervical spine reconstruction in a patient with deep early surgical site infection complicated by the development of angular kyphotic deformity.
Clinical case
A 57 year old patient was admitted to the Department of Spine Surgery No. 6 of Saint Petersburg Research Institute of Phthisiopulmonology of the Ministry of Healthcare of Russia in January 2022. On admission he complained of chronic vertebrogenic pain syndrome in the cervical spine with intensity of up to 7 points according to the visual analogue scale (VAS), numbness of the fingers IV-V of the left hand and muscle weakness in the hands.
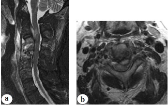
The patient was known to have a history of vertebrogenic cervical pain syndrome with irradiation to the left shoulder joint area since September 2020. He underwent staged courses of conservative analgetic (NSAIDs) and neurotropic therapy without any stable therapeutic effect. ENMG of the upper extremities (March 2021) showed the presence of preganglionic lesions of the C6-C8 spinal cord roots. MRI of the cervical spine in March 2021 revealed polysegmental degenerative-dystrophic changes in the C3-C7 spinal motion segments, stenosis of the spinal canal with the development of discoradicular conflict (Fig. 1).
Fig. 1. MRI (a — T2 images; b — STIR images): C3–С7 polysegmental degenerative changes, spinal canal stenosis, C6–С7 end plates oedema type I Modic, polysegmental myelopathy C4–С7
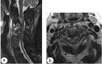
Considering the clinical picture and radiological findings, the patient underwent surgery in May 2021: anterior cervical discectomy, decompression of the spinal canal and interbody fusion at the C5-C6, C6-C7 levels (Fig. 2). Postoperative period was uneventful, and the radicular pain syndrome was partially resolved (intensity was up to 5 points according to VAS).
Fig. 2. MRI (a — T2 images; b — STIR images) and CT (c) after the first operation: two interbody implants (PEEK cages) are identified at the C5–С6, C6–С7, C4–С6 ossification of the posterior longitudinal ligament (segmental type according to the Committee on the Ossification of the Spinal Ligaments)
Six months after the initial surgery, the patient returned due to the persistence of clinical complaints. Clinical and instrumental examination was performed. The decision was made to perform a staged surgery consisting of anterior cervical discectomy, decompression of the spinal canal and spondylodesis of the C4-C5 segment.
Early postoperative period was complicated by the development of deep SSI, for which empiric antibacterial treatment (parenteral injection of vancomycin 1.0 twice a day for 3 weeks) was administered. Revision surgeries (necrectomy, abscessotomy, removal of interbody cages) were not performed. Cervical spine MRI in the setting of deep SSI (16 days after anterior cervical discectomy and C4-C5 spondylodesis) showed the presence of an epidural abscess and focal myelopathy at the C2-C3 level, a prevertebral abscess at the C2-C6 level and spondylitis at the C3-C5 level (Fig. 3).
Fig. 3. MRI after the second operation: a — STIR images; b — T2 images: prevertebral, epidural abscesses, C3–С5 spondylitis, focal myelopathy at C2–С3
Over time, the antibacterial treatment resulted in stabilization of the general condition and laboratory parameters. However, the intensity of vertebrogenic and radicular pain syndrome increased up to 8 points.
At the time of admission to the St. Petersburg Research Institute of Phthisiopulmonology, the patient complained of cervical spine pain with irradiation to the upper extremities with an intensity of up to 7 points according to VAS. The decrease in quality of life assessed by the Oswestry Disability Index (ODI) and Neck Disability Index (NDI) was 47% and 62%, respectively (severe). Neurological status corresponded to Frankel type D (spinal cord lesions in C5-T1 segments with sensory disorders).
Radiological examination revealed an angular kyphotic deformity of the cervical spine of 48° according to Cobb, cSVA 12 mm, T1S 30° (Fig. 4).
Fig. 4. X–ray (a), CT (b) and MRI (c) at the time of hospital admission: angular kyphosis 48° Cobb, destruction of C3–С5, myelopathy at C2–С3, no signs of active inflammatory process (abscesses)
The patient's general medical condition was moderately severe. Given the presence of chronic vertebrogenic pain syndrome, neurological deficits and angular kyphotic deformity of the cervical spine, the indications for surgical intervention were determined.
At the first stage, bone structures at the level of C3-C7 were exposed using the right-sided anterior cervical approach according to R.B. Cloward [24]. Significant scarring-adhesive changes of the glossopharyngeal space, intimate contact of the posterior wall of the esophagus with scar tissues at the level of C6-C7 were observed. At the stage of mobilization of the anterior column of the spine, a nasogastric tube was inserted in order to prevent esophageal perforation. Corpectomy of the C4-C6 bodies and decompression of the spinal canal at the corresponding le-vel were performed using a high-speed bone drill, Kerrison rongeurs and microsurgical dissectors.
Correction of kyphotic deformity after corpectomy was not performed due to the inability to install the Caspar pin distractor (the length of the C3-C7 postresection diastasis was 6 cm) and due to the bilateral synostosis of the C3-C4 facet joints. The anterior cervical approach was closed with retention sutures.
The second stage included type 1 bilateral facetectomy C3-C4 according to SRS-Schwab (2014), posterior transpedicular fixation of C2-C3, T1-T2 using the free-hands technique and posterior spondylodesis at the C2-T2 level with autograft fragments.
At the third stage, instrumental distraction of the anterior column of the spine and installation of a titanium mesh cage filled with autologous bone, taken from the anterior iliac spine, were performed. The wounds were drained and sutured. Surgery duration was 10 hours; the volume of surgical blood loss was 850 ml (13.5% of the total blood volume).
X-rays of the cervical spine at the time of discharge from the hospital and CT scans 10 months after the surgery are presented in Figure 5.
Fig. 5 (a, b, c, d). Sagittal (a) and frontal (b) X–rays, sagittal CT (c) 10 months after surgery: posterior transpedicular screw fixation correct position, solid anterior fusion C3–C7 formation detected. (d) - Axial (d) CT: posterior transpedicular screw fication correct position, solid anterior fusion C3–C7 formation detected
Postoperative period was uneventful, wounds healed by primary intention. Drains were removed on the 2nd day, patient was verticalized in a cervical brace on the 3rd day after the surgery. The intensity of vertebrogenic pain syndrome 10 months later was 2 points according to VAS, radicular pain syndrome in the upper extremities subsided, ODI – 15%, NDI – 14%. The value of correction of kyphotic deformity of the cervical spine was 46° according to Cobb.
Bacteriological examination of the surgical material showed no microbial growth. The results of histological examination indicated the presence of dystrophic changes in the bone tissue with irregularly pronounced lymphoplasmacytic infiltration. The diagnosis was a moderate chronic nonspecific inflammation. In the postoperative period the patient underwent a course of oral antibacterial therapy: amoxicillin + clavulanic acid for 6 weeks.
DISCUSSION
The incidence of SSI in vertebrology ranges from 2.1% to 16.3%, whereas the deep periimplant infection as an independent nosological entity of infectious complications is registered with the incidence of up to 20% in the general structure of SSI [8, 25]. According to V. Prinz and P. Vajkoczy temporal periodization, SSI is commonly distinguished in early (up to 6 weeks after the surgery), delayed (>6 weeks) and late (>12 months) [26].
It is the duration of SSI development that is one of the key criteria for the choice of further treatment tactics. In case of early SSI, it is possible to retain implants, while delayed and late SSI require either one-stage replacement of fixation elements in combination with antibacterial therapy for at least 6 weeks, or staged tactics with primary implant removal, antibacterial therapy and subsequent restabilization [27].
The Russian-language version of the modified V. Prinz and P. Vajkoczy classification is presented in Table 1.
Table 1. Russian-language version of V. Prinz and P. Vajkoczy classification
Parameter | Early SSI | Delayed and late SSI |
Term | ≤ 6 weeks | Delayed: > 6 weeks Late: > 12 months |
Clinical symptoms | "Acute" local and systemic manifestations (fistula formation, local pain, fever) | "Chronic" manifestations (periimplant development of resorption, instability of implant) |
Microbiological spectrum of pathogens | Highly pathogenic microorganisms (Staphylococcus aureus, streptococcus spp., Gram-negative: E. coli, Klebsiella, Pseudomonas aeruginosa) | Low pathogenic and resistant microorganisms (coagulase-negative staphylococci: MRSE, MRSA, anaerobic bacteria: Propionibacterium acnes) |
Biofilms | Immature | Mature |
Surgical tactics | Necrectomy (debridement), retention of hardware | Removal/replacement of hardware (in the absence of spondylodesis), sonication of the removed implants with subsequent bacteriological tests, including for low pathogenic flora (culture medium – blood agar) |
Antibacterial therapy | Parenteral administration — 2 weeks, then per os 4–10 weeks | Parenteral administration — 2 weeks, then per os 4–10 weeks |
Systematic literature review published by a multicenter team of authors demonstrates a number of significant trends in the studied field: 1) shift in the microbiological spectrum of SSI pathogens towards resistant forms (MRSA cultivation rate — 35-71%, MRSE - 43%); 2) possibility of hardware retention in case of superficial SSI development both in the delayed and late postoperative periods; 3) necessity of hardware removal or one-stage replacement in the overwhelming majority of cases of deep SSI regardless of development terms [27].
Considering the presented clinical case, it should be noted that the development of deep SSI in the early postoperative period required the removal of interbody implants with one-stage posterior hardware fixation to provide cervical spine stability. In turns, the optimal volume of bacteriological examination to verify the SSI pathogen includes inoculation of the wound exudate for nonspecific flora and sonication of the implant surfaces with an ultrasound destructor with the following cultivation of material for anaerobic low pathogenic flora (culture medium — blood agar). Duration of etiotropic antibacterial therapy is at least 6 weeks, 2 weeks of them are with parenteral administration.
It is also necessary to study the tactics of primary surgical intervention when the surgeons preferred the ACDF (anterior cervical discectomy and fusion) technique. One of the algorithmic tools for selecting surgical approach in case of degenerative pathology of the cervical spine is the K-line parameter originally suggested by T. Fujiyoshi et al. for patients with posterior longitudinal ligament ossification [28].
In our opinion, one of the obligatory components of preoperative radiological examination of patients with degenerative pathology of the cervical spine, along with MRI, are functional X-rays in the sagittal plane and CT scans. Thus, the results of CT scans after the primary surgery indicated the presence of a segmental type of longitudinal ligament ossification in the patient (see Fig. 2). At the same time, the functional X-rays in the sagittal plane at the preoperative stage could indicate the K-line (+) sagittal profile of the patient and shift the surgical tactics towards dorsal decompression (laminoplasty or laminectomy with hardware fixation of C4-C7).
CONCLUSION
Presented clinical case illustrates the potential of one-stage revision three-column cervical spine reconstruction for correction of the sagittal profile, decompression of intracanal neural structures and providing stability of the operated segments. Development of early deep SSI as the main cause of angular kyphotic deformity in this patient required revision surgery with interbody implants removal as soon as possible after the onset. At the same time, the use of tactical algorithms for the SSI treatment promotes the selection of optimal patient management tactics both at the stage of revision surgery and at the stage of subsequent antibiotic therapy.
DISCLAIMERS
Author contribution
All authors made equal contributions to the study and the publication.
All authors have read and approved the final version of the manuscript of the article. All authors agree to bear responsibility for all aspects of the study to ensure proper consideration and resolution of all possible issues related to the correctness and reliability of any part of the work.
Funding source. This study was not supported by any external sources of funding.
Competing interests. The authors declare that they have no competing interests.
Ethics approval. Not applicable.
Consent for publication. Written consent was obtained from the patient for publication of relevant medical information and all of accompanying images within the manuscript.
About the authors
Denis G. Naumov
St. Petersburg State Research Institute of Phthisiopulmonology; St. Petersburg State University
Author for correspondence.
Email: dgnaumov1@gmail.com
ORCID iD: 0000-0002-9892-6260
Cand. Sci. (Med.)
Russian Federation, St. Petersburg; St. PetersburgSergey G. Tkach
St. Petersburg State Research Institute of Phthisiopulmonology
Email: tkach2324sergei@yandex.ru
ORCID iD: 0000-0001-7135-7312
Russian Federation, St. Petersburg
Anton A. Ladygin
Federal Network of Medical Centers “MRI Expert”
Email: ladygin-antony1982@inbox.ru
ORCID iD: 0000-0002-2003-9987
Russian Federation, Apatity
Mikhail M. Shchelkunov
St. Petersburg State Research Institute of Phthisiopulmonology
Email: mm.shelkunov1881@yandex.ru
ORCID iD: 0000-0002-6305-6023
Russian Federation, St. Petersburg
Andrey A. Karpushin
St. Petersburg State Research Institute of Phthisiopulmonology
Email: karpushin@lyag.ru
ORCID iD: 0000-0002-7178-3861
Russian Federation, St. Petersburg
References
- Buell T.J., Buchholz A.L., Quinn J.C., Shaffrey C.I., Smith J.S. Importance of Sagittal Alignment of the Cervical Spine in the Management of Degenerative Cervical Myelopathy. Neurosurg Clin N Am. 2018;29(1): 69-82. doi: 10.1016/j.nec.2017.09.004.
- Shamji M.F., Mohanty C., Massicotte E.M., Fehlings M.G. The Association of Cervical Spine Alignment with Neurologic Recovery in a Prospective Cohort of Patients with Surgical Myelopathy: Analysis of a Series of 124 Cases. World Neurosurg. 2016;86:112-119. doi: 10.1016/j.wneu.2015.09.044.
- Li X.Y., Wang Y., Zhu W.G., Kong C., Lu S.B. Impact of cervical and global spine sagittal alignment on cervical curvature changes after posterior cervical laminoplasty. J Orthop Surg Res. 2022;17(1):521. doi: 10.1186/s13018-022-03421-w.
- Naumov D.G., Vishnevskiy A.A., Tkach S.G., Avetisyan A.O. [Spinal Hydatid Disease of Cervico-Thoracic in Pregnant Women: A Case Report and Review]. Travmatologiya i ortopediya Rossii [Traumatology and Orthopedics of Russia]. 2021;27(4):102-110. (In Russian). doi: 10.21823/2311-2905-1668.
- Han K., Lu C., Li J., Xiong G.Z., Wang B., Lv G.H. et al. Surgical treatment of cervical kyphosis. Eur Spine J. 2011;20(4):523-536. doi: 10.1007/s00586-010-1602-8.
- Naumov D.G., Tkach S.G., Mushkin A.Yu., Makogonova M.E. [Chronic infectious lesions of the cervical spine in adults: monocentric cohort analysis and literature review]. Khirurgiya pozvonochnika [Spine Surgery]. 2021;18(3):68-76. (In Russian). doi: 10.14531/ss2021.3.68-76.
- Ogura Y., Dimar J.R., Djurasovic M., Carreon L.Y. Etiology and treatment of cervical kyphosis: state of the art review-a narrative review. J Spine Surg. 2021;7(3): 422-433. doi: 10.21037/jss-21-54.
- Barnes M., Liew S. The Incidence of Infection after Posterior Cervical Spine Surgery: A 10 Year Review. Global Spine J. 2012;2(1):3-6. doi: 10.1055/s-0032-13072.
- Mushkin A.Y., Schelkunov M.M., Snischuk V.P., Evseev V.A. [The peculiarities of the structure on the pediatric cervical spine surgical pathology (analysis of the monocenter cohort and literature data)]. Meditsinskii al’yans [Medical Alliance]. 2018;(1):60-67. (In Russian).
- Kaptain G.J., Simmons N.E., Replogle R.E., Pobereskin L. Incidence and outcome of kyphotic deformity following laminectomy for cervical spondylotic myelopathy. J Neurosurg. 2000;93(2 Suppl):199-204. doi: 10.3171/spi.2000.93.2.0199.
- McGirt M.J., Chaichana K.L., Atiba A., Bydon A., Witham T.F., Yao K.C. et al. Incidence of spinal deformity after resection of intramedullary spinal cord tumors in children who underwent laminectomy compared with laminoplasty. J Neurosurg Pediatr. 2008;1(1):57-62. doi: 10.3171/PED-08/01/057.
- Bell D.F., Walker J.L., O’connor G., Tibshirani R. Spinal deformity after multiple-level cervical laminectomy in children. Spine (Phila Pa 1976). 1994;19(4):406-411. doi: 10.1097/00007632-199402001-00005.
- McLaughlin M.R., Wahlig J.B., Pollack I.F. Incidence of postlaminectomy kyphosis after Chiari decompression. Spine (Phila Pa 1976). 1997;22(6):613-617.
- Ma L., Liu F.Y., Huo L.S., Zhao Z.Q., Sun X.Z., Li F. et al. Comparison of laminoplasty versus laminectomy and fusion in the treatment of multilevel cervical ossification of the posterior longitudinal ligament: A systematic review and meta-analysis. Medicine. 2018;97(29):e11542. doi: 10.1097/00007632-199703150-00007.
- Fager C.A. Laminectomy and kyphotic deformity. J Neurosurg. 2001;95(1 Suppl):157-158. doi: 10.3171/spi.2001.95.1.0157.
- Suk K.S., Kim K.T., Lee J.H., Lee S.H., Lim Y.J., Kim J.S. Sagittal alignment of the cervical spine after the laminoplasty. Spine (Phila Pa 1976). 2007;32(23).E656-E660. doi: 10.1097/BRS.0b013e318158c573.
- Drain J.P., Virk S.S., Jain N., Yu E. Dropped Head Syndrome: A Systematic Review. Clin Spine Surg. 2019;32(10): 423-429. doi: 10.1097/BSD.0000000000000811.
- Khandelwal A., Sokhal S., Dube S., Goyal K., Singh A., Tandon V. et al. Perioperative Management of a Patient with Chin-On-Chest Deformity Presenting for Reconstructive Spine Surgery. Neurol India. 2021;69(6):1756-1758. doi: 10.4103/0028-3886.333489.
- Sharan A.D., Kaye D., Charles Malveaux W.M., Riew K.D. Dropped head syndrome: etiology and management. J Am Acad Orthop Surg. 2012;20(12):766-774. doi: 10.5435/JAAOS-20-12-766.
- Schwab F., Ungar B., Blondel B., Buchowski J., Coe J., Deinlein D. et al. Scoliosis Research Society-Schwab adult spinal deformity classification: a validation study. Spine (Phila Pa 1976). 2012;37(12):1077-1082. doi: 10.1097/BRS.0b013e31823e15e2
- Miyazaki M., Abe T., Ishihara T., Kanezaki S., Notani N., Kataoka M. et al. Cervical alignment after single-level anterior cervical corpectomy and fusion using autologous bone graft without spinal instrumentation for cervical pyogenic spondylitis. Eur J Orthop Surg Traumatol. 2020;30(3):479-484. doi: 10.1007/s00590-019-02594-1.
- Mutoh M., Fukuoka T., Suzuki O., Hattori S. Three-Staged Surgical Strategy as a Combined Approach for Multilevel Cervical Pyogenic Spondylodiscitis. Cureus. 2021;13(9):e17747. doi: 10.7759/cureus.17747.
- Shousha M., Mosafer A., Boehm H. Infection rate after transoral approach for the upper cervical spine. Spine (Phila Pa 1976). 2014;39(19):1578-1583. doi: 10.1097/BRS.0000000000000475.
- Cloward R.B. Treatment of hyperhidrosis palmaris (sweaty hands); a familial disease in Japanese. Hawaii Med J. 1957;16(4):381-387.
- Wang M., Xu L., Yang B., Du C., Zhu Z., Wang B. et al. Incidence, management and outcome of delayed deep surgical site infection following spinal deformity surgery: 20-year experience at a single institution. Global Spine J. 2022;12(6):1141-1150. doi: 10.1177/2192568220978225.
- Prinz V., Vajkoczy P. Surgical revision strategies for postoperative spinal implant infections (PSII). J Spine Surg. 2020;6(4):777-784. doi: 10.21037/jss-20-514.
- Agarwal A., Kelkar A., Agarwal A.G., Jayaswal D., Schultz C., Jayaswal A. et al. Implant retention or removal for management of surgical site infection after spinal surgery. Global Spine J. 2020;10(5):640-646. doi: 10.1177/2192568219869330.
- Fujiyoshi T., Yamazaki M., Kawabe J., Endo T., Furuya T., Koda M. et al. A new concept for making decisions regarding the surgical approach for cervical ossification of the posterior longitudinal ligament: the K-line. Spine (Phila Pa 1976). 2008;33(26).E990-E993. doi: 10.1097/BRS.0b013e318188b300.
Supplementary files









