Properties of Calcium Phosphate/Hydrogel Bone Grafting Composite on the Model of Diaphyseal Rat Femur’s Defect: Experimental Study
- Authors: Shcherbakov I.M.1, Klimashina E.S.1, Evdokimov P.V.1, Tikhonov A.A.1, Putlayev V.I.1, Shipunov G.A.1, Zatsepin V.A.1, Dubrov V.E.1, Danilova N.V.1, Malkov P.G.1
-
Affiliations:
- Lomonosov Moscow State University
- Issue: Vol 29, No 1 (2023)
- Pages: 25-35
- Section: Theoretical and experimental studies
- Submitted: 21.12.2022
- Accepted: 03.03.2023
- Published: 11.04.2023
- URL: https://journal.rniito.org/jour/article/view/2039
- DOI: https://doi.org/10.17816/2311-2905-2039
- ID: 2039
Cite item
Abstract
Background. The problem of bone defects replacement is relevant nowadays, that is why many scientists create new synthetic bone substitutes, but the «ideal» material has not been found so far.
The aims of the study: 1) to determine the suitability of the monocortical defect model in the rat femur diaphysis with additional prophylactic reinforcement with a bone plate for assessing the biological properties of implanted materials using the commercially available ChronOS® material as an example; 2) to assess of the osteoconductive properties of composite materials based on poly(ethylene glycol)diacrylate and octacalcium phosphate with architecture Kelvin and gyroid types on the developed model.
Methods. A prospective study, level of evidence II. A monocortical defect of the rat femoral diaphysis (length 7 mm) was produced under anaesthesia in aseptic conditions and fixed with a polyetheretherketone plate and six titanium screws. In the control group, the defect was left empty. In other groups, blocks of one of three materials were implanted — сhronOS and composites of poly(ethylene glycol)diacrylate and octacalcium phosphate with 3D-printed Kelvin and gyroid architectures. After 3 and 6 weeks, the rats were sacrificed, and histological examination of the defect zone was performed. The amount of newly formed bone tissue was histometricly assessed, followed by statistical processing of the results.
Results. All rats have reached the planned endpoint, and there were no infectious complications or loss of fixation. Histological examination of the defect zone revealed minimal bone growth in the Control group, rather slow bone formation in the Gyroid group, and statistically significantly more pronounced bone formation in the pores of the materials in the Kelvin and Chronos groups.
Conclusions. Bone defect in this model was not spontaneously filled with bone tissue and allowed us to study the biological properties of bone substitutes (the ability to biodegrade and osteoconductive properties). The osteoconductive properties of a composite material based on poly(ethylene glycol)diacrylate and octacalcium phosphate with a Kelvin architecture are higher than with a gyroid architecture and are comparable to that of the сhronOS.
Keywords
Full Text
BACKGROUND
Development of new artificial bone substitute materials is rather relevant due to the high need for them, but so far, no universal material meeting all clinical requirements, nor a set of medications with clear indications for application in various situations have been created [1, 2, 3, 4]. Advances in materials sciences allow to develop a large number of compounds and composites with probable clinical properties (biodegradability with a given rate, osteoconductivity, osteoinductivity and osteogenecity). However, it is impossible to confirm or refute the presence of such properties only theoretically, without performing studies on animal models [5, 6, 7].
One of the promising directions in materials science is the development of bone substitute implants with three-dimensional pore architecture, which allows to improve the osteoconductive properties while maintaining the strength characteristics [8, 9, 10]. One of the possible materials for filling bone defects can be hydrogel-based composites with addition of calcium phosphates with the Ca/P<1.5 weight ratio (e.g., octacalcium phosphate (OCP) with the chemical formula Ca8(HPO4)2(PO4)4·5H2O)), which have a higher resorption rate compared to hydroxyapatite and tricalcium phosphate [11, 12]. An increase of osteoconductive properties is typical for structures with a cohesive-porous architecture and a fraction of voids more than 75% of the volume [13]. But such parameters pose the problem of determining their optimal spatial arrangement without losing the mechanical strength of the whole system. One of the possible ways to solve this problem can be the application of modern methods of topological optimization [14, 15, 16]. Good combination of mechanical properties and physical permeability in calculations are shown by the Kelvin and gyroid-type architectures, but the actual advantages of each of them require experimental verification [17, 18].
Aims of the study:
1) determination of applicability of the rat monocortical femoral diaphyseal defect model with additional prophylactic reinforcement by plate to assess the biological properties of implantable materials with the use of commercially available ChronOS® material as an example;
2) evaluation of osteoconductive properties of composite materials based on polyethylene glycol diacrylate and OCP with Kelvin and gyroid-type architecture on the designed model.
METHODS
Materials
The new-generation bioresorbable macroporous 3D constructs under study represent a hydrogel composite filled with calcium phosphate particles. A polyethylene glycol diacrylate (PEG DA) hydrogel was used as the matrix of the composite. OCP was used as the second phase of the composite — Ca8(HPO4)2(PO4)4·5H2O.
Photopolymerizable suspensions based on PEG DA, OCP, water and photoinitiator were used for the synthesis of hydrogel composites according to the procedure described in our previous article [19]. Stereolithographic 3D printing using an Ember DLP printer (Autodesk, USA) was chosen to form the above-mentioned constructs. Three-dimensional models of the structures were created using Monolith (Autodesk, USA) and Fusion 360 (Autodesk, USA) computer programs.
Total porosity of the created materials was about 70% of the volume, the main channels are 1250 μm in size and the transitions between them are 750 μm, which provides the maximum permeability of these architectures. During the process of computer-aided design, 3D models with Kelvin and gyroid-type structures were selected to achieve the aim of the study (Fig. 1) [17, 19].
Fig. 1. Isometric projection of computer models of three-dimensional structures with different architectures: a — an elementary cell of a Kelvin type structure; b — an elementary cell of a Gyroid type structure; c — a cylindrical structure with a Kelvin type architecture; d — a cylindrical structure with a Gyroid type architecture
The Kelvin structure is a close packing of truncated octahedrons with pass-through channels perpendicular to each face. The gyroid-type structure is a minimal periodic surface [20].
A widely used fully synthetic ceramic material based on Ca3(PO4)2 (tricalcium phosphate) СhronOS® (DePuy Synthes, Johnson & Johnson, Switzerland), which chaotic porosity is formed by uncontrolled foaming and solidification of the initial material in industrial conditions, was used as a comparison material. The total porosity of this material is approximately 55% of volume, the size of the main pores is 300 µm and the transitions between them are 50 µm.
Animals
The study was performed on 53 male Rattus norvegicus Wistar rats aged 25-30 weeks from the Research Equipment Sharing Center "SPF-vivarium" of the Institute of Cytology and Genetics of the Siberian Branch of the Russian Academy of Sciences. Animals were kept in the vivarium in cages, 3 animals in each. Access to water and food was ad libitum.
Experiment design, surgical procedure, laboratory tests
Type of the study – prospective, evidence level II.
To induce anesthesia in animals, 6.25/6.25 mg/kg of Zoletil 50 (Zoletil, Virbac Sante Animale, France) and 4 mg/kg of Xyla (Xyla, Interchemie werken "De Adelaar B.V.", Netherlands) were injected intraperitoneally.
In aseptic conditions of the operating room, after reaching the surgical stage of anesthesia, the rat was positioned on the right side on the surgery table. Surgical area was cleared of hair and a 6.0-cm skin incision was made in the projection of the femur. Then, using sharp and blunt tissue dissection, we made an approach to the femur along the lateral intermuscular septum. After performing the approach in the middle third of the diaphysis of the femur, a semicylindrical defect of 7 mm length and 4 mm radius was created along the dorsal surface with a diamond-coated conical burr 2.3 mm in diameter using a Marathon-N2 machine (Saeyang Microtech, Republic of Korea) (Fig. 2 a).
Rats were randomly allocated into four groups of 12 animals in each. In the "Control" group of animals the bone defect was not filled. In the "Chronos" group the defect was filled with the prepared СhronOS® material in the form of a semi-cylindrical block, in the "Kelvin" group - with the studied material with Kelvin architecture, in the "Gyroid" group – with the studied material with gyroid-type architecture.
The bone was reinforced with a 30.0×4.0×4.5 mm polyetheretherketone plate. It was placed on the posterolateral surface of the femur and fixed with 6 titanium screws 1.2 mm in diameter and 10 mm long (Konmet, Russia), 3 screws on each side of the defect (Fig. 2 b). After fixation, the wound was sutured layer-by-layer, no dressings were applied, and no immobilization was used. The average duration of surgery was 39±8 min (23 to 54 min). Blood loss did not exceed 1.0 ml.
Fig. 2. The view of surgical wound: а — bone defect with implanted material; b — bone augmentation by plate and screws
Three and six weeks after the surgery, the animals were withdrawn from the experiment according to the standard procedure using a CO2 chamber with subsequent material sampling (femur segment with a defect) for histological examination.
The samples were fixed in 10% neutral buffered formalin for 24-48 h. After this time, the materials were decalcified in 25% neutral Trilon B solution at room temperature on an Orbital Shaker OS20 machine (Biosan, Latvia). After decalcification according to the standard procedure, the materials were washed in distilled water. Then histological processing and embedding were performed. Next, we made 3-4 µm thick cross sections of paraffin blocks and stained them with hematoxylin and eosin.
Histometric analysis
Blind histometric analysis was performed to evaluate the results. Images of histological specimens were obtained using a Leica DM LB2 light microscope (Carl Zeiss, Germany) and an AxioCam ICc3 digital camera (Carl Zeiss, Germany). Digitized images were converted to JPEG format. Histometric evaluation was performed using Fiji program [21] at 20x magnification with measurement of the area of newly-formed bone tissue in the material lacunae in mm2. Newly-formed bone tissue was identified by its specific structure and staining. We took into account the areas that were not connected with the endosteum or cortical bone in order to avoid the inclusion of overgrowths. For each sample, a calculation was performed on three specimens, giving a total of 18 values for each group (only for "Chronos 3 weeks" and "Control 6 weeks" groups – 15 values).
Statistical analysis
The results of each group were presented as mean, maximum and minimum values. Nonparametric Kruskal-Wallis test was used to determine the statistical significance of differences. It was calculated separately for the groups with withdrawal periods of 3 and 6 weeks using StatSoft Statistica 10.0 software (2011).
RESULTS
During the experiment, 2 animals died from anesthesia-related complications. Four animals underwent iatrogenic femoral fracture in the area of the defect during the surgery, and therefore euthanasia was performed using a СО2 chamber. One animal from the "Chronos" group (No. 12) had a postoperative wound dehiscence with a large soft tissue defect the next day after the surgery due to aggression of its cage neighbors. As a result, euthanasia was performed for ethical reasons. The rest of the animals underwent surgical intervention, survived and were withdrawn from the experiment without any peculiarities.
Animals' body weight increased during observation. The average weight of the rats at the time of enrollment in the experiment was 347 g, at the time of withdrawal 3 weeks later was 398 g, 6 weeks later – 445 g. No significant difference between the groups concerning the weight and the weight gain was observed.
No changes in animals' behavior during the experiment were observed. In the postoperative period, all animals moved on four legs without restrictions. Postoperative wounds healed with primary intention in all animals. No external signs of infectious complications were recorded. There were also no signs of purulence, damage or migration of fixators, or bone fractures during the sampling and examination of the implantation area.
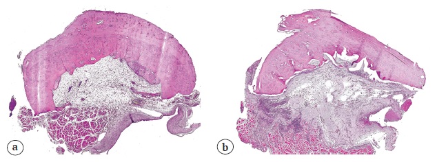
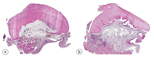
The defect area in the "Control" group was filled on the histological sections with granulation connective tissue. No formation of bone tissue trabeculae not associated with the endosteum was observed neither 3 nor 6 weeks later, that allows us to consider this defect as critical (Fig. 3).
Fig. 3. The cross sections of femur at the defect level (Control group): a — after 3 weeks; b — after 6 weeks. Staining with hematoxylin and eosin. Mag. ×20
In the "Chronos" group, all the specimens showed a transverse section of rectangular-shaped material, the external linear dimensions of which did not change 3 and 6 weeks later. Inorganic base of the block was identified as fields of cellular pale gray structure containing no cellular or fibrous elements. Almost all blocks were surrounded outside by a thin layer of granulation connective tissue, and no marked inflammatory reaction (large number of polymorphonuclear neutrophils, macrophages or giant cells of foreign bodies) was noted 3 and 6 weeks later.
Connective tissue ingrowth with cellular elements and vessels into the pores throughout the entire thickness of the material with bone trabecular formation in the periphery of the block (25-35 trabeculae per section on average) was observed in 3 weeks. In 6 weeks, bone trabecular formation in the pores throughout the entire material was observed (Fig. 4).
Fig. 4. The cross sections of femur at the defect level (Chronos group): а — after 3 weeks; b — after 6 weeks. Staining with hematoxylin and eosin. Mag. ×20
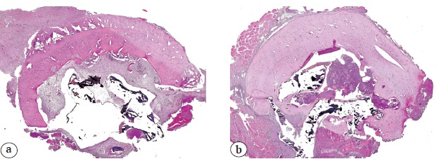
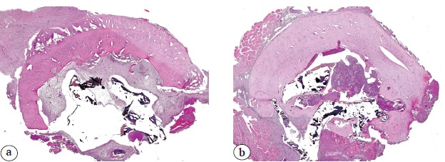
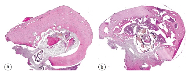
In the "Gyroid" group, the continuous presence of rounded cavities repeating the outlines of the implanted material blocks, which contained brown-red colored structures without cellular elements and fibers of various irregular shapes with the presence of permanent ribbon structure elements (Fig. 5) was noticed on the histological sections. These ribbon structures were considered to be residues of the hydrogel used to produce the blocks of material. Histological specimens showed complete filling of the material pores with granulation connective tissue and bone trabeculae formation 3 weeks after implantation. However, 6 weeks after implantation, the area of the newly-formed bone was smaller than that in the "Chronos" and "Kelvin" groups. At the same time, the material itself and its structure could be seen on the specimens of that time with great difficulty.
Fig. 5. The cross sections of femur at the defect level (Gyroid group): а — after 3 weeks; b — 6 after weeks. Staining with hematoxylin and eosin. Mag. ×20
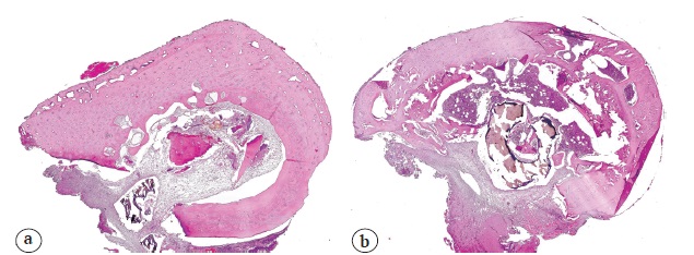
In the "Kelvin" group, the histological specimens also revealed the zones of rounded voids following the contours of the implanted material blocks and containing smaller brown-red colored structures without cellular elements and fibers (Fig. 6). The shape of these voids differs from those in the specimens with implanted material with gyroid-type architecture. Osteoconductive properties of material with the Kelvin architecture were better expressed, as evidenced by the greater mass of bone tissue around the material and in its pores. Compared to the histological specimens of the "Chronos" group, the areas of bone tissue were larger and followed the pore architecture of material.
Fig. 6. The cross sections of femur at the defect level (Kelvin group): а — after 3 weeks; b — after 6 weeks. Staining with hematoxylin and eosin. Mag. ×20
The results of calculating the area of the newly-formed bone tissue in all groups are presented in Table 1.
Table 1. Results of calculating the area of the newly-formed bone tissue in all groups
Group | Observation period, weeks | The area of the newly-formed bone tissue, mm 2 | ||
Average value | Min. value | Max. value | ||
«Control» | 3 | 0.0515 | 0 | 0.7070 |
6 | 0.1462 | 0 | 0.8350 | |
«Chronos» | 3 | 0.3694 | 0.0920 | 0.7760 |
6 | 1.1686 | 0.1570 | 3.1230 | |
«Kelvin» | 3 | 0.9107 | 0 | 1.8270 |
6 | 1.2650 | 0.0870 | 2.9780 | |
«Gyroid» | 3 | 0.0497 | 0 | 0.6060 |
6 | 0.0853 | 0 | 0.6710 | |
The differences between the groups in the area of the newly-formed bone tissue were statistically significant in both cases — 3 weeks (Kruskal-Wallis H-criterion is 57.4399, which corresponds to p<0.01) and 6 weeks after implantation (Kruskal-Wallis H-criterion is 38.4702, which corresponds to p<0.01).
DISCUSSION
Various models are used to study the biological properties of materials in vivo, both in terms of the animal choice (mice [22], rats [23, 24, 25, 26, 27], rabbits [28], dogs [29]), and in terms of the implantation technique. It is obvious that the defect must be critical to study the properties of materials, i.e., it must not have the possibility of spontaneous replacement. Otherwise, the presence of material will even decelerate the replacement by bone tissue and reflect only the rate of its biodegradation.
Critical defects described in the literature can be conventionally divided into two types. The first type includes the defects that due to their stability do not require additional augmentation preventing pathological fractures of the operated bone (rounded burr cranial defects [25, 30, 31], rounded burr defects of the femoral and tibial epiphyses [28]). The second type includes the defects requiring stabilization due to the high risk of bone fractures under normal loading — complete segmental defects of the femur, fixed with a nail [22], plate [32] or external fixator [33].
It is technically easier to perform studies on the defects without augmentation, however, such defects are less relevant to real clinical cases in terms of their biological properties. The study of segmental diaphyseal defects is dictated by the clinical request to restore the length of a limb shortened for various reasons without the use of long-term distraction osteogenesis techniques or extremely difficult transfers of vascularized bone grafts. But these models are technically difficult to be implemented and may not be suitable as screening models. In the present study, we used a model of a monocortical defect of the femoral diaphysis with plate and screw fixation. This choice was determined by the necessity of combining a critical diaphyseal bone defect with reliable fixation of the material in the defect and ensuring the possibility of adequate locomotion of the animal during the observation period without increasing the risk of fixator and bone fracture.
The suggested model of defect creation showed its capabilities as indicated by the absence of infectious and mechanical complications during the observation period of up to 6 weeks under the conditions of preserved locomotor function in rats. Among the advantages of this model over other fixation methods are fixator placement in the tissues and the absence of external fixator elements that can potentially injure the animal itself or its cage neighbors [33]. The proposed model differs from the intramedullary fixator in the fact that the medullary canal is free of fixator and there is no need to place the material near the bone, which brings our model closer to the clinical case [22]. Simplicity of surgical technique and possibility of reliable material fixation in the defect area due to the congruence of shapes and plate pressing distinguish our model from the complete defect [32].
The present study showed that the monocortical defect, like the complete one, was critical, as indicated by the absence of spontaneous bone tissue replacement of the resected area within 6 weeks. In addition, the proposed biological model is suitable for the study of potential bone substitute materials, as evidenced by the marked infiltration of the ChronOS® material with proven osteoconductive properties by the bone tissue.
The second objective of our study was to determine the effect of two types of three-dimensional material architecture on the osteoconductive properties of OCP-loaded hydrogels based on polyethylene glycol diacrylate. The impact of the porous material structure on bone ingrowth has been described in the literature [18]. The results of the study suggest that in terms of osteoconductive properties, Kelvin architecture is superior to gyroid-type architecture in PEG DA-based composites. One of the reasons for this may be the biological interaction of tissues with three-dimensional pores, resulting in triggering of certain mechanotransductive signals and the orientation of precursor cell differentiation along the osteoblast pathway, which is better expressed in the Kelvin structure. Additional causes may be more rapid degradation and loss of strength of the mechanical structure, which made it difficult to form a new bone at a later period. In terms of properties, this was probably comparable to the conditions in the defect of the "Control" group.
CONCLUSION
The developed bone defect model is critical and enables to study biological properties of osteoplastic materials (biodegradability and osteoconductive properties). Osteoconductive properties of the composite material based on polyethylene glycol diacrylate and octacalcium phosphate with Kelvin architecture are higher than those of the gyroid type.
DISCLAIMERS
Author contribution
Shcherbakov I.M. — concept and design of the study, collection and processing of material, writing the draft, statistical analysis.
Klimashina E.S. — concept and design of the study, collection and processing of material, text editing.
Evdokimov P.V. — concept and design of the study, collection and processing of material, writing the draft.
Tikhonov A.A. — collection and processing of material, text editing.
Putlayev V.I. — concept and design of the study, collection and processing of material, text editing.
Shipunov G.A. — collection and processing of material.
Zatsepin V.A. — collection and processing of material.
Dubrov V.E. — concept and design of the study, text editing.
Danilova N.V. — collection and processing of material, writing the draft.
Malkov P.G. — collection and processing of material, text editing.
All authors have read and approved the final version of the manuscript of the article. All authors agree to bear responsibility for all aspects of the study to ensure proper consideration and resolution of all possible issues related to the correctness and reliability of any part of the work.
Funding source. The study was supported by the Russian Science Foundation (Grant No 17-79-20427).
Competing interests. The authors declare that they have no competing interests.
Ethics approval. The study was approved by the local Ethics Committee of the Lomonosov Moscow State University (protocol No 82-zh, 25.10.2018). The study was conducted in compliance with the principles of humane treatment of laboratory animals in accordance with the requirements of the European Convention for the Protection of Vertebrate Animals used for Experiments and other Scientific Purposes and Directive 2010/63/EU of the European Parliament and the Council of the European Union of September 22, 2010 on the protection of animals used for scientific purposes.
Consent for publication. Not required.
About the authors
Ivan M. Shcherbakov
Lomonosov Moscow State University
Author for correspondence.
Email: imscherbackov@yandex.ru
ORCID iD: 0000-0001-5487-9039
Russian Federation, Moscow
Elena S. Klimashina
Lomonosov Moscow State University
Email: alenakovaleva@gmail.com
ORCID iD: 0000-0002-7441-7381
Cand. Sci. (Chem.)
Russian Federation, MoscowPavel V. Evdokimov
Lomonosov Moscow State University
Email: pavel.evdokimov@gmail.com
ORCID iD: 0000-0003-4398-054X
Cand. Sci. (Chem.)
Russian Federation, MoscowAndrei A. Tikhonov
Lomonosov Moscow State University
Email: andytikhon94@gmail.com
ORCID iD: 0000-0003-3372-5393
Russian Federation, Moscow
Valerii I. Putlayev
Lomonosov Moscow State University
Email: valery.putlayev@gmail.com
ORCID iD: 0000-0001-7601-6787
Cand. Sci. (Chem.)
Russian Federation, MoscowGeorgii A. Shipunov
Lomonosov Moscow State University
Email: shipunovgeorge@gmail.com
ORCID iD: 0000-0003-4495-7050
Russian Federation, Moscow
Vladislav A. Zatsepin
Lomonosov Moscow State University
Email: gyglvladislav@gmail.com
ORCID iD: 0000-0001-8233-2989
Russian Federation, Moscow
Vadim E. Dubrov
Lomonosov Moscow State University
Email: vduort@gmail.com
ORCID iD: 0000-0001-5407-0432
Dr. Sci. (Med.), Professor
Russian Federation, MoscowNatal’ia V. Danilova
Lomonosov Moscow State University
Email: natalyadanilova@gmail.com
ORCID iD: 0000-0001-7848-6707
Cand. Sci. (Med.)
Russian Federation, MoscowPavel G. Malkov
Lomonosov Moscow State University
Email: malkovp@fbm.msu.ru
ORCID iD: 0000-0001-5074-3513
Cand. Sci. (Med.)
Russian Federation, MoscowReferences
- Karyakin N.N., Gorbatov R.O., Novikov A.E., Niftullaev R.M. [Surgical treatment of patients with tumors of long bones of upper limbs using tailored 3D printed bone substitute implants]. Genij Ortopedii [Orthopaedic Genius]. 2017;23(3):323-330. (In Russian). doi: 10.18019/1028-4427-2017-23-3-323-330.
- Kasyanova E.S., Kopelev P.V., Alexandrova S.A. [Analysis of the viability of bone marrow mesenchymal stromal cells cultivated on osteoreplacement material BIOSIT-SR ELCOR after surface modification bycollagen type I]. Byulleten’ innovatsionnykh tekhnologii [Bulletin of Innovative Technologies]. 2018;2(3(7)):32-37. (In Russian).
- Kryukov E.V., Brizhan’ L.K., Khominets V.V., Davydov D.V., Chirva Yu.V., Sevastianov V.I. et al. [Clinical use of scaffold-technology to manage extensive bone defects]. Genij Ortopedii [Orthopaedic Genius]. 2019;25(1):49-57. (In Russian). doi: 10.18019/1028-4427-2019-25-1-49-57.
- Khominets V.V., Vorobev K.A., Sokolova M.O., Ivanova A.K., Komarov A.V. [Allogeneic osteoplastic materials for reconstructive surgery of combat injuries]. Izvestiya Rossiiskoi Voenno-meditsinskoi akademii [Russian Military Medical Academy Reports]. 2022;41(3):309- 314. (In Russian). doi: 10.17816/rmmar109090.
- Bai X., Gao M., Syed S., Zhuang J., Xu X., Zhang X.Q. Bioactive hydrogels for bone regeneration. Bioact Mater. 2018;3(4):401-417. doi: 10.1016/j.bioactmat.2018.05.006.
- van der Heide D., Cidonio G., Stoddart M.J., D’Este M. 3D printing of inorganic-biopolymer composites for bone regeneration. Biofabrication. 2022;14(4). doi: 10.1088/1758-5090/ac8cb2.
- Wu Y., Zeng W., Xu J., Sun Y., Huang Y., Xiang D. et al. Preparation, physicochemical characterization, and in vitro and in vivo osteogenic evaluation of a bioresorbable, moldable, hydroxyapatite/poly(caprolactone-co-lactide) bone substitute. J Biomed Mater Res A. 2023;111(3):367-377. doi: 10.1002/jbm.a.37463.
- Kitamura M., Ohtsuki C., Iwasaki H., Ogata S., Tanihara M., Miyazaki T. The controlled resorption of porous alpha-tricalcium phosphate using a hydroxypropylcellulose coating. J Mater Sci Mater Med. 2004;15(10): 1153-1158. doi: 10.1023/B:JMSM.0000046399.40310.47.
- Bohner M. Resorbable biomaterials as bone graft substitutes. 2010;13(1-2):24-30. Available from: https://linkinghub.elsevier.com/retrieve/pii/S1369702110700146. doi: 10.1016/S1369-7021(10)70014-6.
- Hing K.A. Bioceramic bone graft substitutes: influence of porosity and chemistry. Int J Appl Ceram Technol. 2005;2(3):184-199. doi: 10.1111/j.1744-7402.2005.02020.x.
- Komlev V.S., Bozo I.I., Deev R.V., Gurin A.N. Bioactivity and effect of bone formation for octacalcium phosphate ceramics. In: Octacalcium Phosphate Biomaterials. 2020. p. 85-119. doi: 10.1016/B978-0-08-102511-6.00005-4. Available from: https://linkinghub.elsevier.com/retrieve/pii/B9780081025116000054.
- Suzuki O. Octacalcium phosphate: osteoconductivity and crystal chemistry. Acta Biomater. 2010;6(9):3379-3387. doi: 10.1016/j.actbio.2010.04.002.
- Miño-Fariña N., Muñoz-Guzón F., López-Peña M., Ginebra M.P., Del Valle-Fresno S., Ayala D. et al. Quantitative analysis of the resorption and osteoconduction of a macroporous calcium phosphate bone cement for the repair of a critical size defect in the femoral condyle. Vet J. 2009;179(2):264-272. doi: 10.1016/j.tvjl.2007.09.011.
- Sutradhar A., Paulino G.H., Miller M.J., Nguyen T.H. Topological optimization for designing patient-specific large craniofacial segmental bone replacements. Proc Natl Acad Sci USA. 2010;107(30):13222-13227. doi: 10.1073/pnas.1001208107.
- Al-Tamimi A.A., Peach C., Fernandes P.R., Cseke A., Bartolo P.J.D.S. Topology Optimization to Reduce the Stress Shielding Effect for Orthopedic Applications. Procedia CIRP. 2017;65:202-206. Available from: https://linkinghub.elsevier.com/retrieve/pii/S2212827117305425.
- Querin O.M., Victoria M., Alonso C., Ansola R., Martí P. Topology Optimization as a Digital Design Tool. In: Topology Design Methods for Structural Optimization. Elsevier; 2017. p. 93-111. doi: 10.1016/B978-0-08-100916-1.00006-4. Available from: https://linkinghub.elsevier.com/retrieve/pii/B9780081009161000064.
- Tikhonov A.A., Yevdokimov P.V., Putlyayev V.I., Safronova T.V., Filippov Ya.Yu. [On architecture of osteoconductive bioceramic implants]. Materialovedenie [Materials Science]. 2018;(8):43-48. (In Russian). doi: 10.31044/1684-579Х-2018-0-8-43-48.
- Kapfer S.C., Hyde S.T., Mecke K., Arns C.H., Schröder-Turk G.E. Minimal surface scaffold designs for tissue engineering. Biomaterials. 2011;32(29):6875-6882. doi: 10.1016/j.biomaterials.2011.06.012.
- Tikhonov A.A., Kukueva E.V., Evdokimov P.V., Klimashina E.S., Putlyaev V.I., Shcherbakov I.M. et al. [Synthesis of substituted octacalcium phosphate for filling composite implants based on polymer hydrogels produced by stereolithographic 3d printing] Neorganicheskie materialy [Inorganic Materials]. 2018;54(10):1123-1132. (In Russian). doi: 10.1134/s0002337x18100172.
- Schindelin J., Arganda-Carreras I., Frise E., Kaynig V., Longair M., Pietzsch T. et al. Fiji: an open-source platform for biological-image analysis. Nat Methods. 2012;9(7):676-682. doi: 10.1038/nmeth.2019.
- Mohiuddin O.A., Campbell B., Poche J.N., Ma M., Rogers E., Gaupp D. et al. Decellularized Adipose Tissue Hydrogel Promotes Bone Regeneration in Critical-Sized Mouse Femoral Defect Model. Front Bioeng Biotechnol. 2019;7:211. doi: 10.3389/fbioe.2019.00211.
- Dau M., Ganz C., Zaage F., Frerich B., Gerber T. Hydrogel-embedded nanocrystalline hydroxyapatite granules (Elastic blocks) based on a cross-linked polyvinylpyrrolidone as bone grafting substitute in a rat tibia model. Int J Nanomedicine. 2017;12:7393-7404.
- Frasca S., Norol F., Le Visage C., Collombet J.M., Letourneur D., Holy X. et al. Calcium-phosphate ceramics and polysaccharide-based hydrogel scaffolds combined with mesenchymal stem cell differently support bone repair in rats. J Mater Sci Mater Med. 2017;28(2):35. doi: 10.1007/s10856-016-5839-6.
- Lohmann P., Willuweit A., Neffe A.T., Geisler S., Gebauer T.P., Beer S. et al. Bone regeneration induced by a 3D architectured hydrogel in a rat critical-size calvarial defect. Biomaterials. 2017;113:158-169. doi: 10.1016/j.biomaterials.2016.10.039.
- Karalkin P.A., Sergeeva N.S., Komlev V.S., Sviridova I.K., Kirsanova V.A., Akhmedova S.A. et al. [Biocompatibility and osteoplastic properties of mineral polymer composite materials based on sodium alginate, gelatin, and calcium phosphates intended for 3d-printing of the constructions for bone replacement]. Geny i kletki [Genes and Cells]. 2016;11(3):94-101. (In Russian).
- Muraev A.A., Bonartsev A.P., Gazhva Yu.V., Riabova V.M., Volkov A.V., Zharkova I.I., et al. [Development and Preclinical Studies of Orthotopic Bone Implants Based on a Hybrid Construction from Poly(3-Hydroxybutyrate) and Sodium Alginate]. Sovremennye tehnologii v medicine [Modern Technologies in Medicine]. 2016;8(4):42. (In Russian). doi: 10.17691/stm2016.8.4.06.
- Bi S., Wang P., Hu S., Li S., Pang J., Zhou Z. et al. Construction of physical-crosslink chitosan/PVA double-network hydrogel with surface mineralization for bone repair. Carbohydr Polym. 2019;224:115176. doi: 10.1016/j.carbpol.2019.115176.
- Luneva S.N., Talashova I.A., Osipova E.V., Nakoskin A.N., Emanov A.A. [Influence of the Composition of Biocomposite Materials Implanted in Perforated Metaphyseal Defects on Reparative Regeneration and Mineralization of Bone Tissue] Byulleten’ eksperimental’noi biologii i meditsiny [Bulletin of Experimental Biology and Medicine]. 2013;156(8): 255-259. (In Russian).
- Susin C., Lee J., Fiorini T., Koo K.T., Schüpbach P., Finger Stadler A. et al. Screening of Hydroxyapatite Biomaterials for Alveolar Augmentation Using a Rat Calvaria Critical-Size Defect Model: Bone Formation/Maturation and Biomaterials Resolution. Biomolecules. 2022;12(11):1677. doi: 10.3390/biom12111677.
- Wang M., Gu Z., Li B., Zhang J., Yang L., Zheng X. et al. Bioactive Nanocomposite Microsponges for Effective Reconstruction of Critical-Sized Calvarial Defects in Rat Model. Int J Nanomedicine. 2022;17:6593-6606. doi: 10.2147/IJN.S389194.
- van der Stok J., Koolen M.K., de Maat M.P., Yavari S.A., Alblas J., Patka P. et al. Full regeneration of segmental bone defects using porous titanium implants loaded with BMP-2 containing fibrin gels. Eur Cell Mater. 2015;29:141-153; discussion 153-154. doi: 10.22203/ecm.v029a11.
- Ando K., Imagama S., Kobayashi K., Ito K., Tsushima M., Morozumi M. et al. Effects of a self-assembling peptide as a scaffold on bone formation in a defect. PLoS One. 2018;13(1):e0190833. doi: 10.1371/journal.pone.0190833.
Supplementary files










