Двусторонний аваскулярный некроз головок плечевых и бедренных костей как проявление постковидного синдрома: клинический случай
- Авторы: Бакыр М.1, Румели Ш.1
-
Учреждения:
- Mersin University, Faculty of Medicine, Division of Algology
- Выпуск: Том 30, № 4 (2024)
- Страницы: 140-145
- Раздел: Случаи из практики
- Дата подачи: 23.08.2024
- Дата принятия к публикации: 14.10.2024
- Дата публикации: 18.12.2024
- URL: https://journal.rniito.org/jour/article/view/17601
- DOI: https://doi.org/10.17816/2311-2905-17601
- ID: 17601
Цитировать
Полный текст
Аннотация
Актуальность. Пандемия COVID-19, вызванная распространением коронавируса тяжелого острого респираторного синдрома 2 (SARS-CoV-2), привела к широкому применению кортикостероидов, особенно в случаях тяжелой пневмонии и гиперцитокинемии. Хотя эта терапия спасла бесчисленное множество жизней, уже накоплены сведения о ее побочных эффектах, включая развитие аваскулярного некроза костей.
Описание случая. Представлен редкий случай двустороннего аваскулярного некроза головок плечевых и бедренных костей у мужчины 49 лет, перенесшего тяжелую форму COVID-19. В качестве лечения пациенту назначались высокие дозы кортикостероидных препаратов — 1250 мг преднизолона в течение 5 дней во время госпитализации по поводу COVID-19-ассоциированной пневмонии. Спустя 6 мес. после выписки у пациента появились постоянные боли в области тазобедренного сустава, позднее диагностированные как аваскулярный некроз обеих головок бедренных костей. В ходе гипербарооксигенотерапии пациент также сообщил о возникшей боли в плече. Магнитно-резонансная томография подтвердила III стадию аваскулярного некроза обеих головок плечевых костей. Боль была устранена при помощи радиочастотной абляции надлопаточного нерва и блокады группы перикапсулярных нервов с обеих сторон, что значительно улучшило состояние пациента.
Заключение. Представленный случай подтверждает возможность развития аваскулярного некроза вследствие лечения кортикостероидами даже спустя месяцы после завершения терапии. В связи с этим необходимо уделять особое внимание долгосрочному наблюдению пациентов, принимавших кортикостероидные препараты в качестве лечения при COVID-19. Поражение четырех крупных суставов свидетельствует о потенциальных тяжелых последствиях данного осложнения для опорно-двигательного аппарата и подчеркивает важность ранней диагностики и своевременного вмешательства для купирования боли.
Полный текст
INTRODUCTION
The COVID-19 pandemic, caused by the severe acute respiratory syndrome coronavirus 2 (SARS-CoV-2), has prompted the widespread use of corticosteroids as a treatment strategy, particularly in cases of severe pneumonia and cytokine storm [1]. The RECOVERY trial and subsequent studies have demonstrated that high-dose corticosteroid therapy, especially dexamethasone, reduces mortality in critically ill COVID-19 patients [2]. While this therapy has saved countless lives, its side effects have also been well-documented, including the development of avascular necrosis (AVN), also known as osteonecrosis, a debilitating condition caused by reduced blood flow to bone tissue, leading to bone death and joint collapse [3]. Corticosteroid-induced AVN has long been recognized as a complication in a variety of conditions, particularly after prolonged high-dose use [4].
Avascular necrosis most commonly affects weight-bearing joints such as the femoral heads, but in rare instances, it can involve other joints like the humerus, as well as multiple joints simultaneously [5]. Post-COVID-19 corticosteroid therapy has been associated with an increase in the incidence of AVN [6]. The association between corticosteroid therapy and AVN had been previously documented, most notably during the severe acute respiratory syndrome (SARS) pandemic in 2003. F.C. Zhao et al. followed patients with SARS for seven years and reported that corticosteroid use resulted in a significant number of cases of AVN, primarily in the femoral heads [7].
This case report describes a rare and severe manifestation of AVN involving four joints — the humeral heads and femoral heads — following high-dose corticosteroid therapy in a patient recovering from COVID-19. We also discuss the patient’s pain management strategies, emphasizing the importance of early detection and intervention in preventing the progression of AVN.
CASE PRESENTATION
The patient, a 49-year-old male, was admitted to the hospital in March 2022 for COVID-19 pneumonia. Due to the severity of his illness, he required intensive care unit (ICU) monitoring for five days, during which he received a cumulative dose of 1250 mg of prednisolone (250 mg per day). This high-dose corticosteroid therapy was administered to manage the severe inflammatory response associated with COVID-19 pneumonia.
Six months after being discharged, the patient began experiencing significant pain in his hip joints, particularly on the right side, as well as right-sided radicular pain. He was evaluated in both neurosurgery and orthopedic outpatient clinics. Initial diagnostic investigations included a lumbar spinal MRI, which revealed L4-L5 disc bulging, and a pelvic X-ray, which indicated osteoarthritis in the right hip joint. Despite these findings, electromyography of the lower extremities showed no abnormalities. The patient was prescribed Diclofenac, a non-steroidal anti-inflammatory drug (NSAID), to manage the symptoms, but the pain persisted.
Five months after the onset of the symptoms, a hip MRI was performed due to the persistent nature of the hip pain. The MRI revealed multiple areas of AVN in both femoral heads, with lesions measuring up to 3.5 cm in diameter (Figure 1). The patient was diagnosed with stage III AVN of the femoral heads according to the ARCO classification [8], indicating a late-stage presentation with femoral head collapse. In addition to hyperbaric oxygen therapy aimed at preserving joint function and delaying the need for surgical intervention, the patient was prescribed NSAIDs and physiotherapy. The physiotherapy included range-of-motion exercises to maintain joint mobility and reduce stiffness. Despite these interventions, the patient’s pain persisted, necessitating further treatment options.
Figure 1. MRI revealing multiple areas of femoral head avascular necrosis (marked with white arrows)
During the course of hyperbaric oxygen therapy, the patient developed new shoulder pain, raising concerns about the possible progression of AVN to other joints. MRI of both shoulders confirmed the diagnosis of bilateral stage III AVN in the humeral heads (Figure 2). At this point, the patient was referred to our clinic for further evaluation and pain management.
Figure 2. MRI revealing multiple areas of humeral head avascular necrosis (marked with white arrows)
Upon admission to our clinic, the patient underwent bilateral suprascapular nerve radiofrequency ablation to manage shoulder pain. Following the procedure, he was monitored for a period of 6 months. During this follow-up period, the patient experienced sustained pain relief, with an 80% reduction in shoulder pain based on the Visual Analog Scale (VAS). Additionally, the patient’s shoulder function improved significantly, with an increase in range of motion and the ability to perform daily activities without discomfort. These clinical outcomes demonstrate the effectiveness of the procedure in providing long-term pain relief and functional improvement (Figure 3). For the persistent hip pain, bilateral Pericapsular Nerve Group (PENG) block was administered, providing an approximately 50% reduction in hip pain (Figure 4).
Figure 3. Ultrasound-guided suprascapular nerve radiofrequency ablation procedure. The white arrow indicates the targeted suprascapular nerve
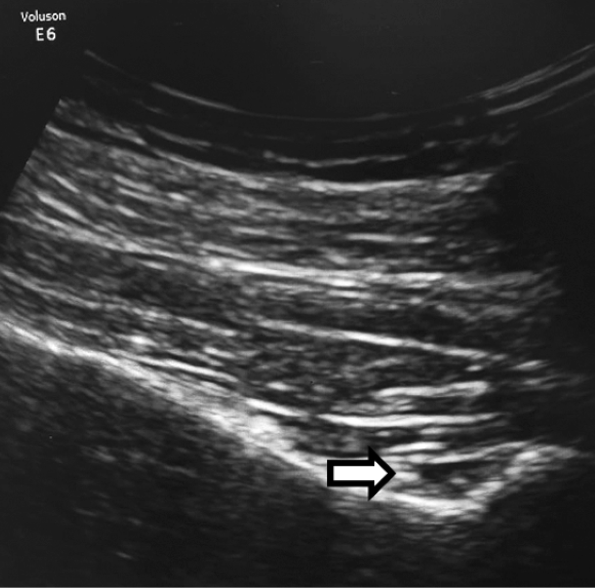
Figure 4. Ultrasound-guided pericapsular nerve group block procedure. The white arrow highlights the pericapsular space being targeted to deliver local anesthetic for pain management in hip AVN
DISCUSSION
The pathogenesis of corticosteroid-induced AVN is multifactorial, involving such mechanisms as fat embolism, increased intraosseous pressure, and direct cytotoxic effects on bone cells [9]. High-dose corticosteroid therapy leads to alterations in fat metabolism, resulting in fat emboli that obstruct blood vessels supplying bone tissue [10]. Reduced blood flow causes ischemia, leading to the necrosis of bone tissue and, eventually, joint collapse [11].
The association between corticosteroid therapy and AVN has been previously documented in viral outbreaks, most notably during the SARS pandemic in 2003 [12]. F.C. Zhao et al. followed 117 patients who received corticosteroid therapy for SARS and observed a 23% incidence of AVN in the femoral head, with 50 hips collapsing during a seven-year follow-up period [7]. Similar trends have emerged in the COVID-19 pandemic. S. Kamani et al. reported a case of bilateral AVN of the femoral heads following corticosteroid therapy for COVID-19, while M.A. Panin et al. described three cases of AVN in patients treated with steroids for COVID-19, with symptoms developing between 75 and 120 days after the treatment. These studies suggest that AVN may develop months after corticosteroid administration, even in patients who receive relatively short courses of therapy [6, 13].
In the present case, the patient developed AVN in both femoral and humeral heads, with symptoms appearing approximately six months after corticosteroid therapy. This extended time frame is consistent with the findings of S.R. Agarwala et al., who reported that the average duration of AVN development following corticosteroid therapy ranges from 6 to 33 months [14]. Early detection of AVN is crucial, as once joint collapse occurs, the only definitive treatment is surgical intervention, such as total joint replacement [15]. The patient was diagnosed with stage III AVN in both femoral heads, indicating collapse of the femoral heads as confirmed by MRI. Given the severity of the AVN, total joint replacement was considered; however, the decision was made to delay the surgical intervention. This choice was influenced by the patient’s relatively young age and the desire to preserve the native joints for as long as possible. The patient’s symptoms were managed with hyperbaric oxygen therapy, NSAIDs, physiotherapy, and nerve blocks, which provided significant pain relief. The patient continues to be closely monitored, and total joint replacement will be reconsidered should conservative management fail or symptoms worsen.
The occurrence of AVN in multiple joints simultaneously, as seen in this case, is unusual and highlights the importance of long-term monitoring of patients who receive high-dose corticosteroids for COVID-19. Although the femoral heads are the most commonly affected sites, AVN can occur in any joint, including the shoulders, knees, and ankles [16]. In our patient, the simultaneous involvement of the femoral and humeral heads underscores the widespread impact that corticosteroids can have on bone tissue.
Given the increasing reports of AVN in COVID-19 patients, it is essential to develop strategies for minimizing the risk of corticosteroid-induced AVN [3]. W. Li et al. demonstrated that even low doses of corticosteroids can induce AVN in up to 32% of patients treated for COVID-19 pneumonia [17]. This finding suggests that corticosteroids should be used with caution, and their dosage and duration of use should be carefully optimized to minimize the risk of complications. V. Velchov et al. proposed the development of a risk stratification system for AVN in COVID-19 patients, which could help to identify individuals with a high risk of AVN and guide decisions regarding corticosteroid use [18].
In our case, the patient developed AVN in both the femoral and humeral heads, with symptoms appearing approximately six months after corticosteroid therapy. However, the diagnosis of AVN in the femoral heads was confirmed 11 months after the onset of hip pain symptoms, making this a late-stage diagnosis rather than an early one. Although early detection of AVN is crucial to prevent joint collapse, in this case, the delay in diagnosis resulted in advanced-stage AVN requiring more aggressive intervention. This aligns with findings reported by A. Lohiya et al., who observed that delayed imaging in corticosteroid-induced AVN cases often leads to advanced disease stages and worsened outcomes [19]. Despite the late diagnosis, interventions such as hyperbaric oxygen therapy and nerve blocks were successful in providing pain relief and potentially delaying the need for surgical intervention, similar to the approach described in previous case studies by M. Wilson et al. [20]. This highlights the importance of timely imaging and diagnosis to improve outcomes in patients receiving corticosteroid therapy for COVID-19.
CONCLUSIONS
This case report highlights such a severe musculoskeletal complication as avascular necrosis that can arise from high-dose corticosteroid therapy in the treatment of COVID-19. The simultaneous involvement of four major joints — the humeral and femoral heads — demonstrates the widespread impact that corticosteroids can have on bone tissue, even months after treatment. Early diagnosis and intervention are essential to prevent the progression of avascular necrosis and improve patient outcomes.
Clinicians should remain cautious for the development of avascular necrosis in patients recovering from COVID-19 who received corticosteroid therapy. Advanced pain management techniques, such as suprascapular nerve radiofrequency ablation and pericapsular nerve group blocks, can provide significant pain relief and improve quality of life in these patients.
DISCLAIMERS
Author contribution
All authors made equal contributions to the study and the publication.
All authors have read and approved the final version of the manuscript of the article. All authors agree to bear responsibility for all aspects of the study to ensure proper consideration and resolution of all possible issues related to the correctness and reliability of any part of the work.
Funding source. This study was not supported by any external sources of funding.
Disclosure competing interests. The authors declare that they have no competing interests.
Ethics approval. Not applicable.
Consent for publication. Written consent was obtained from the patient for publication of relevant medical information and all of accompanying images within the manuscript.
ДОПОЛНИТЕЛЬНАЯ ИНФОРМАЦИЯ
Заявленный вклад авторов
Все авторы сделали эквивалентный вклад в подготовку публикации.
Все авторы прочли и одобрили финальную версию рукописи статьи. Все авторы согласны нести ответственность за все аспекты работы, чтобы обеспечить надлежащее рассмотрение и решение всех возможных вопросов, связанных с корректностью и надежностью любой части работы.
Источник финансирования. Авторы заявляют об отсутствии внешнего финансирования при проведении исследования.
Возможный конфликт интересов. Авторы декларируют отсутствие явных и потенциальных конфликтов интересов, связанных с публикацией настоящей статьи.
Этическая экспертиза. Не применима.
Информированное согласие на публикацию. Авторы получили письменное согласие пациента на публикацию медицинских данных и изображений.
Об авторах
Месут Бакыр
Mersin University, Faculty of Medicine, Division of Algology
Автор, ответственный за переписку.
Email: mesutbakir@gmail.com
ORCID iD: 0000-0002-3627-3882
доцент
Турция, МерсинШебнем Румели
Mersin University, Faculty of Medicine, Division of Algology
Email: sebnemrumeli66@gmail.com
ORCID iD: 0000-0002-7042-6934
профессор
Турция, МерсинСписок литературы
- Bahsoun A., Fakih Y., Zareef R., Bitar F., Arabi M. Corticosteroids in COVID-19: pros and cons. Front Med (Lausanne). 2023;10:1202504. doi: 10.3389/fmed.2023.1202504.
- Horby P., Lim W.S., Emberson J.R., Mafham M., Bell J.L., Linsell L. et al. Dexamethasone in Hospitalized Patients with Covid-19. N Engl J Med. 2021;384(8):693-704. doi: 10.1056/NEJMoa2021436.
- Sakellariou E., Argyropoulou E., Karampinas P., Galanis A., Varsamos I., Giannatos V. et al. Comprehensive Review of COVID-19-Infection- and Steroid-Treatment-Associated Bone Avascular Necrosis: A Multi-Study Analysis. Diagnostics (Basel). 2024;14(3):247. doi: 10.3390/diagnostics14030247.
- Powell C., Chang C., Naguwa S.M., Cheema G., Gershwin M.E. Steroid induced osteonecrosis: An analysis of steroid dosing risk. Autoimmun Rev. 2010;9(11): 721-743. doi: 10.1016/j.autrev.2010.06.007.
- Koshi E.J., Young K., Mostales J.C., Vo K.B., Burgess L.P. Complications of Corticosteroid Therapy: A Comprehensive Literature Review. J Pharm Technol. 2022;38(6):360-367. doi: 10.1177/87551225221116266.
- Panin M.A., Petrosyan A.S., Hadjicharalambous K.K., Boiko A.V. Avascular necrosis of the femoral head after COVID-19: A case series. Traumatology and Orthopedics of Russia. 2022;28(1):110-117. (In Russian). doi: 10.17816/2311-2905-1687.
- Zhao F.C., Guo K.J., Li Z.R. Osteonecrosis of the femoral head in SARS patients: seven years later. Eur J Orthop Surg Traumatol. 2013;23(6):671-677. doi: 10.1007/s00590-012-1054-4.
- Koo K.H., Mont M.A., Cui Q., Hines J.T., Yoon B.H., Novicoff W.M. et al. The 2021 Association Research Circulation Osseous Classification for Early-Stage Osteonecrosis of the Femoral Head to Computed Tomography-Based Study. J Arthroplasty. 2022;37(6):1074-1082. doi: 10.1016/j.arth.2022.02.009.
- Birla V., Vaish A., Vaishya R. Risk factors and pathogenesis of steroid-induced osteonecrosis of femoral head - A scoping review. J Clin Orthop Trauma. 2021;23:101643. doi: 10.1016/j.jcot.2021.101643.
- Xie X.H., Wang X.L., Yang H.L., Zhao D.W., Qin L. Steroid-associated osteonecrosis: Epidemiology, pathophysiology, animal model, prevention, and potential treatments (an overview). J Orthop Translat. 2015;3(2):58-70. doi: 10.1016/j.jot.2014.12.002.
- Parvizi J., Kim G.K. Chapter 22 - Avascular Necrosis. In: Parvizi J., Kim G.K., editors. High Yield Orthopaedics. Philadelphia: W.B. Saunders; 2010. p. 45-66.
- Lv H., de Vlas S.J., Liu W., Wang T.B., Cao Z.Y., Li C.P. et al. Avascular osteonecrosis after treatment of SARS: a 3-year longitudinal study. Trop Med Int Health. 2009;14 Suppl 1 (Suppl 1):79-84. doi: 10.1111/j.1365-3156.2008.02187.x.
- Kamani S., Lakhwani M.G., Phansopkar P. Undiagnosed Bilateral Avascular Necrosis of the Femur in a Young Male Caused by COVID-19 Steroid Injections. Cureus. 2022;14(10):e29982. doi: 10.7759/cureus.29982.
- Agarwala S.R., Vijayvargiya M., Pandey P. Avascular necrosis as a part of ‘long COVID-19’. BMJ Case Rep. 2021;14(7):e242101. doi: 10.1136/bcr-2021-242101.
- Moya-Angeler J., Gianakos A.L., Villa J.C., Ni A., Lane J.M. Current concepts on osteonecrosis of the femoral head. World J Orthop. 2015;6(8):590-601. doi: 10.5312/wjo.v6.i8.590.
- Chan K.L., Mok C.C. Glucocorticoid-induced avascular bone necrosis: diagnosis and management. Open Orthop J. 2012;6:449-457. doi: 10.2174/1874325001206010449.
- Li W., Huang Z., Tan B., Chen G., Li X., Xiong K. et al. General recommendation for assessment and management on the risk of glucocorticoid-induced osteonecrosis in patients with COVID-19. J Orthop Translat. 2021;31:1-9. doi: 10.1016/j.jot.2021.09.005.
- Velchov V., Georgiev P., Tserovski S., Tsenkov T., Alexiev V. Corticosteroid-Associated Avascular Necrosis of the Femoral Head in Patients with Severe COVID-19: A Single-Center Study. Med Sci Monit. 2023;29:e940965. doi: 10.12659/MSM.940965.
- Lohiya A. Jr., Dhaniwala N., Dudhekar U., Goyal S., Patel S.K. A Comprehensive Review of Treatment Strategies for Early Avascular Necrosis. Cureus. 2023;15(12):e50510. doi: 10.7759/cureus.50510.
- Wilson M., Bindler R.J., Stanek K., Layton M.E., Quock R.M. Hyperbaric Oxygen Therapy for Pain, Opioid Withdrawal, and Related Symptoms: A Pilot Randomized Controlled Trial. Pain Manag Nurs. 2022;23(5):616-624. doi: 10.1016/j.pmn.2022.03.001.
Дополнительные файлы








