Scapholunate advanced collapse of the wrist: a review
- Authors: Shchudlo N.A.1, Kuttygul S.K.1, Mironov A.R.2
-
Affiliations:
- National Ilizarov Medical Research Centre for Traumatology and Orthopedics
- Vreden National Medical Research Center of Traumatology and Orthopedics
- Issue: Vol 30, No 4 (2024)
- Pages: 168-179
- Section: Reviews
- Submitted: 23.04.2024
- Accepted: 01.10.2024
- Published: 18.12.2024
- URL: https://journal.rniito.org/jour/article/view/17530
- DOI: https://doi.org/10.17816/2311-2905-17530
- ID: 17530
Cite item
Full Text
Abstract
Background. Scapholunate advanced collapse (SLAC) is a common type of the wrist osteoarthritis. It is characterized by progressive deformity, instability and arthritis due to chronic dissociation of the scaphoid and lunate bones with chronic scapholunate interosseous ligament (SLIL) injuries. Quite often, in this pathology, it is difficult to alleviate the pain syndrome and preserve the range of motion.
The aim of the review — based on the modern literature data, to analyse the concept and pathogenesis of scapholunate advanced collapse, current methods of radiological diagnosis and treatment modalities of the pathology.
Methods. The search was performed in eLIBRARY and PubMed databases using the following keywords: scapholunate advanced collapse, SLAC, scapholunate instability, proximal row carpectomy. We selected 86 original articles and reviews out of 110 papers found. The selected ones reveal the issues of pathogenesis, radiological diagnosis and treatment of the pathology.
Results. Scapholunate carpal collapse is secondary arthritis of the carpal bones resulting from rupture of the SLIL, which can be traumatic or non-traumatic. Conservative methods of the SLAC treatment can be used in the early stage of arthritis, but there is no data on their effectiveness in the world literature. Surgical treatment methods are varied, the choice depends on the clinical stage of the disease.
Conclusions. The efficiency of conservative treatment modalities of the SLAC syndrome has not been proved yet. There is a plenty of surgical treatment methods and their modifications developed to alleviate the pain syndrome and preserve the motion and strength of the wrist grip as far as it is possible. However, the choice of the treatment method depending on the clinical stage of the disease is still problematic. For young active patients especially important is the development of adjuvant techniques aimed to increase the treatment efficiency. To date, there is accumulating evidence of successful use of pyrocarbon implants and arthroscopy techniques in the wrist surgery.
Full Text
ВВЕДЕНИЕ
Ладьевидно-полулунный коллапс (SLAC) — часто встречающаяся форма остеоартроза запястья, которая поражает лучезапястный и межзапястный суставы и характеризуется прогрессирующей деформацией, нестабильностью и артрозом вследствие хронической диссоциации ладьевидной и полулунной костей при застарелых повреждениях ладьевидно-полулунной межкостной связки (SLIL — scapholunate interosseous ligament) [1, 2]. SLIL относится к внутренним связкам запястья и считается первичным стабилизатором этих костей [3], в то время как ладьевидно-трапециевидную и луче-ладьевидно-головчатую связки относят к вторичным стабилизаторам ладьевидно-полулунного сустава [4]. SLIL состоит из трех частей — тыльной, мембранной и ладонной [5]. Тыльные и ладонные части являются истинными связками капсулы. Мембранная часть состоит из волокнистого хряща с разнонаправленными пучками коллагеновых волокон. Наибольшей механической прочностью обладает тыльная часть, представленная поперечно ориентированными коллагеновыми фасцикулами, окруженными соединительной тканью, содержащей нейро-сосудистые пучки [6].
Несмотря на значительный мировой опыт лечения SLAC, повышение качества жизни пациентов с данной патологией остается трудной задачей даже для опытных хирургов.
Цель обзора — определение патогенеза ладьевидно-полулунного коллапса, оценка эффективности методов лучевой диагностики и лечения данной патологии по данным современной литературы.
МАТЕРИАЛ И МЕТОДЫ
Поиск публикаций проводили в электронных базах данных eLIBRARY и Pubmed по следующим ключевым словам: ладьевидно-полулунный коллапс, ладьевидно-полулунная нестабильность, резекция проксимального ряда костей запястья, scapholunate advanced collapse, SLAC, scapholunate instability, proximal row carpectomy. Всего было найдено 110 статей, отобрано из них 86 публикаций, в которых раскрываются вопросы патогенеза, лучевой диагностики и лечения рассматриваемой патологии, полнотекстовые статьи и рефераты, язык английский и русский, хронологические рамки с 1977 до марта 2024 г.
Этиология и патогенез
Хронические повреждения SLIL, как правило, являются результатом травмы, причем во многих случаях степень повреждения запястья недооценивается и ставится диагноз: растяжение связок запястья. Подтвержденное результатами артроскопии повреждение SLIL встречается в 21,6% случаев внутрисуставных переломов лучевой кости и в 6,7% случаев внесуставных переломов [7].
По мнению одних авторов, повреждения SLIL неизбежно приводят к хронической нестабильности и артрозу кистевого сустава, что актуализирует проблему их своевременной диагностики и лечения [8]. Другие считают, что в настоящее время не существует доказательств того, что реконструкция SLIL при острых и хронических повреждениях может замедлить или предотвратить развитие артроза [9]. Вследствие хронических повреждений SLIL ладьевидная кость меняет форму и расположение. Это вызывает механические повреждения головчатой кости, которая со временем мигрирует между полулунной и ладьевидной костями.
SLAC чаще диагностируется у мужчин (80,3%) молодого и среднего возраста (53,1±10,4 года); 49% пациентов занято ручным трудом, у 69,5% в анамнезе травма, длительность симптомов составляет 10,3±13,3 года [10]. SLAC может быть также проявлением кристаллической артропатии с отложениями пирофосфат дегидрата [11].
Клиническая диагностика SLAC
Если в анамнезе пациента есть падение на вытянутую руку, следует заподозрить повреждение SLIL. Оно может быть изолированным или сопутствовать переломам дистального отдела лучевой или ладьевидной кости. Иногда повреждения SLIL развиваются вторично при воспалительных артритах, например при псевдоподагре, в этом случае повреждение нередко бывает двусторонним [9]. Описан случай ятрогенного SLAC при широком иссечении ганглионарной кисты на тыльной стороне кисти [12].
SLAC на протяжении многих лет может протекать бессимптомно, однако обычно присутствует боль, которая усиливается при тяжелой работе, а иногда сопровождается ощущением «лязганья» при движениях [13]. Болевой синдром сопровождается снижением объема движений в суставах и ослаблением кистевого схвата.
Внешние проявления ладьевидно-полулунной нестабильности неочевидны. Даже в острой фазе отечность запястья может быть умеренной. Когда имеется прогрессирующее течение SLAC, выражена боль при движениях. Тест Ватсона позволяет выявить нестабильность ладьевидно-полулунного сустава [14]. Для его выполнения надавливают на бугристость ладьевидной кости, в то время как врач отклоняет запястье из крайней точки локтевой девиации в крайнюю точку локтевой девиации. В норме ладьевидная кость не смещается, так как зафиксирована большим пальцем врача. Положительный тест отмечается у пациентов с разрывом ладьевидно-полулунной связки или слабостью запястья. Когда давление на ладьевидную кость устраняется, она возвращается в прежнее положение с типичным щелчком [15]. Чувствительность и специфичность теста невелики [16], поэтому отрицательный результат не является основанием для отказа от дополнительных методов диагностики.
Терминология и рентгенодиагностика
Для характеристики прогрессирования SLAC используют четыре термина: ладьевидно-полулунная диссоциация, ладьевидно-полулунный диастаз, ротационный подвывих ладьевидной кости и DISI (dorsal intercalated segment instability) [17]. Эти признаки повреждения выявляются при специальных измерениях изображений ладьевидной и полулунной костей на рентгенограммах. При ладьевидно-полулунном диастазе на рентгенограмме в прямой проекции расстояние между ладьевидной и полулунной костями составляет более 4 мм, при диастазе 2–4 мм возникает подозрение на ладьевидно-полулунную диссоциацию. Ротационный подвывих ладьевидной кости выявляют, если на рентгенограмме в боковой проекции ладьевидно-полулунный угол составляет более 60–80° (ладьевидная кость наклонена в ладонную сторону), а луче-ладьевидный угол — более 60°. Рентгенологический признак «кольца с печаткой» или кортикального кольца расценивается как признак ротации ладьевидной кости вследствие ладьевидно-полулунного диастаза [18].
DISI также выявляется на рентгенограммах в боковой проекции, если величина ладьевидно-полулунного угла более 80° (при величине угла 60–80° подозревают DISI, если полулунная кость наклонена дорзально), луче-полулунный угол — более 10°, головчато-полулунный угол — более 30°. Расширение ладьевидно-полулунного промежутка названо также признаком Terry Thomas в память о знаменитом актере с диастемой между передними зубами [19].
Из дополнительных методов диагностики может быть полезна МРТ, которая непосредственно показывает разрыв SLIL. При прогрессирующем течении SLAC рентгенограмм обычно достаточно, МРТ может прояснить диагноз при начальных стадиях заболевания, так как выявляет истончение суставных поверхностей ладьевидной кости, синовит ладьевидной фасетки дистального отдела лучевой кости, головчато-полулунного сустава, а также лучезапястного и межзапястного суставов [20].
Бюджетная альтернатива МРТ — ультразвуковое исследование, которое также может выявить разрыв SLIL и особенно полезно у пациентов с предшествующими переломами костей запястья, фиксированными металлоконструкциями [21]. Перспективны исследования возможностей томосинтеза при сомнительной визуализации повреждений запястья [22].
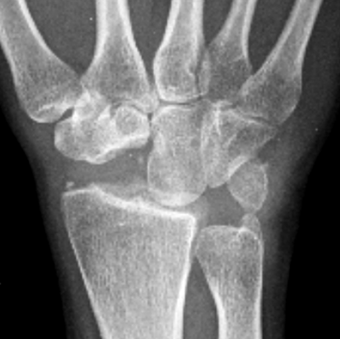
Стадии SLAC
В течении SLAC выделяют три рентгенологические стадии [4, 23], по данным других авторов — четыре [24] (рис. 1).
Рис. 1. Фрагменты рентгенограмм кисти пациентов с разными стадиями SLAC в прямой проекции
Figure 1. X-ray fragments of patients´ wrists with various SLAC stages in the AP view
I стадия — поражены проксимальная часть ладьевидной кости и шиловидный отросток лучевой. На рентгенограммах в прямой проекции и на КТ на лучевой стороне ладьевидной кости и шиловидном отростке лучевой кости выявляются «острые подпорки» («клювы»), утрачивается нормальная округлая кривизна шиловидного отростка, развивается локальный артроз ладьевидной фасетки.
II стадия — поражение луче-ладьевидного сустава, прогрессивное сужение щели луче-ладьевидного сустава, склероз всей ладьевидной фасетки дистального луча.
III стадия — поражение головчато-полулунного сустава со склерозом и сужением суставной щели. При этом происходит проксимальная миграция головчатой кости со смещением полулунной кости в локтевую сторону.
IV стадия — дегенеративный артроз полулунно-лучевого сустава.
SLAC вследствие застарелого повреждения ладьевидно-полулунной связки
Тщательный анализ рентгенограмм с выявлением таких признаков, как лучевой «клюв», уменьшение щели луче-ладьевидного сустава, ладьевидно-полулунный диастаз и DISI, очень важен, так как нередко исключает необходимость дорогостоящих методов визуализации [25]. Вместе с тем рентгенография — это первая линия диагностики, КТ и МРТ могут дать дополнительную информацию, которая важна при планировании лечения и оценке его результативности [26]. Однако изучение опыта 337 кистевых хирургов показало, что 44,2% из них считают бесполезной МРТ, а 38,4% считают бесполезной КТ для принятия решения о выборе метода оперативного лечения при прогрессирующем артрозе запястья [27].
Тщательное выявление зон поражения критично для правильного выбора тактики хирургического лечения [28]. Рентгенологический метод исследования часто недооценивает изменения проксимальной поверхности полулунной кости, поэтому при выборе метода оперативного лечения нужно учитывать интраоперационные находки [29].
SLAC может развиваться без острой травмы или хронической травматизации у 26% пациентов с кристаллической артропатией [30]. Отложения в межкостную ладьевидно-полулунную связку кристаллов пирофосфата дегидрата являются триггерами воспаления [31], приводят к ее вялости и разрыву с последующей ротацией ладьевидной кости. Заподозрить кристаллическую артропатию следует при двустороннем поражении, кальцификации треугольного волокнистого хряща, периартикулярной кальцификации мягких тканей, при субхондральных кистах и остеоартритических изменениях пястно-фаланговых суставов, а также крючковидных и свисающих остеофитах на лучевых сторонах головок пястных костей [32].
Методы лечения SLAC
При слабо выраженных симптомах терапией первой линии является консервативное лечение — НПВС, шинирование, инъекции кортикостероидов, однако исследований эффективности консервативного лечения SLAC в мировой литературе нет [9]. Некоторые авторы указывают на то, что фармакологический контроль боли и шинирование эффективны у пожилых пациентов и при кристаллических артропатиях [24]. Описан случай успешного лечения последствий разрыва SLIL и некроза полулунной кости внутрисуставными инъекциями частиц амниона и клеток пупочного канатика после безуспешной консервативной терапии болевого синдрома [33].
Денервация запястья. По результатам изучения отдаленных результатов нейрэктомии переднего и заднего межкостных нервов, эта операция предпочтительна для пациентов с сохранившимся объемом движений: она уменьшает или полностью купирует болевой синдром, улучшает силу схвата и практически не влияет на объем движений [34]. Однако, по данным американского общества кистевых хирургов, она применялась при любой стадии SLAC [35].
Операции по денервации лучезапястного сустава выполнялись уже в XIX в., но наибольшую популярность приобрели с 1959 г., когда инвазивная техника перерезки суставных ветвей нервов через множественные хирургические доступы перестала применяться, и был предложен один ограниченный доступ [36]. Известна техника денервации запястья через два хирургических доступа, которая обеспечивает удовлетворительное купирование болевого синдрома с сохранением объема движений и силы кистевого схвата [37].
По данным метаанализа A. Fidanza с соавторами, частичная денервация запястья при нейрэктомии заднего межкостного нерва позволила успешно купировать болевой синдром у 78,4% пациентов; при ее дополнении нейрэктомией переднего межкостного нерва преимуществ не выявлено [38]. По данным других авторов, нейрэктомия заднего межкостного нерва не дает пациентам никаких преимуществ при ее комбинации с резекцией проксимального ряда костей запястья [39]. Анализ 10 исследований исходов операций денервации запястья, которые вошли в метаанализ S.L. Zhu с соавторами, выявил 18,8% осложнений, включая нейропатическую боль и нарушения чувствительности; авторы сделали вывод о необходимости дальнейших исследований исходов операций денервации запястья [40].
Резекция шиловидного отростка предложена для купирования болей, связанных с луче-ладьевидным импинджментом, который развивается при разной этиологии артроза запястья — SLAC, а также несращениях ладьевидной кости или последствиях переломов лучевой кости, повреждающих шиловидный отросток. Исторически эта операция производилась открытым способом через разрез, центрированный на шиловидном отростке [41]. По данным M. Maklad, эта операция противопоказана при SLAC, так как в отдаленном периоде усиливает нестабильность ладьевидной кости [24].
Различные варианты артроскопической техники стилоидэктомии, которые разрабатываются в последние десятилетия, позволяют уменьшить морбидность операции не только за счет малоинвазивных доступов, но и возможностей точной визуализации удаляемого количества кости.
В частности, для лечения SLAC II и III стадий предлагается использовать артроскопический дебридмент, синовэктомию и нейрэктомию. Этот малоинвазивный комбинированный подход, по мнению P.C. Noback с соавторами, сохраняет функцию, силу схватов и объем движений [42].
Резекция дистального полюса ладьевидной кости. По данным американского общества кистевых хирургов, эта операция чаще применялась при артрозе и коллапсе запястья, вызванном несращением ладьевидной кости (scaphoid nonunion advanced collapse) — так называемом SNAC-синдроме (главным образом при SNAC 1), однако было также прооперировано 68 пациентов со SLAC-синдромом [35]. Показания к этой операции лимитированы локальным артрозом, окружающим ладьевидную кость [43]. Хирургический доступ осуществляется через прямой разрез дорсальнее первого канала разгибателей. Предусматривается защита лучевой артерии и поверхностной ветви лучевого нерва. Через разрез суставной капсулы дистальную пятую часть ладьевидной кости резецируют с помощью остеотома; пространство резецированного участка кости может быть заполнено свернутым сухожильным трансплантатом [44].
Резекция проксимального ряда костей запястья (proximal row carpectomy — PRC) может быть рекомендована при I, II и III стадиях SLAC с минимальным поражением хряща головчатой кости [45] (рис. 2). Следует иметь в виду, что вновь сформированный сустав между головчатой и лучевой костями не конгруэнтен, с течением времени первоначально хорошие результаты операции могут ухудшаться, поэтому PRC не рекомендуется выполнять пациентам моложе 35 лет [46].
Рис. 2. Фрагмент рентгенограммы кисти пациента c II стадией SLAC в первые сутки после резекции проксимального ряда костей запястья
Figure 2. X-ray fragment of a patient with SLAC stage II wrist on the 1st day after proximal row carpectomy
Модификации PRC. M.H. Ali с соавторами проанализировали отдаленные результаты PRC (минимальный срок наблюдения составил 15 лет, средний срок — 19,8 года). Оказалось, что к прежней тяжелой физической работе вернулась меньшая часть пациентов, несмотря на сохранение движений, большинство пациентов продолжал беспокоить болевой синдром. Авторы пришли к выводу, что полученные результаты обосновывают необходимость модификации этой операции [47]. Основные направления модификации PRC — капсулярные интерпозиционные аллотрансплантаты [48], восстановление поверхности головчатой кости пирокарбоновыми имплантами [49, 50, 51], остеохондральные трансплантаты [52, 53].
По мнению Y. Zhang с соавторами, интерпозиционные капсулярные трансплантаты практически не влияют на функциональные параметры и выраженность болевого синдрома, однако остеохондральный трансплантат позволяет восстановить суставной хрящ головчатой кости [54]. A.С. Perry с соавторами считают, что применение капсулярных интерпозиционных аллотрансплантатов, восстановление поверхности головчатой кости пирокарбоновыми имплантами, а также остеохондральные трансплантаты требуют дальнейших исследований отдаленных результатов [55]. Было проведено сравнительное исследование PRC в сочетании с пирокарбоновыми имплантами и PRC в сочетании с интерпозицией капсулярного лоскута Eaton: в группе с пирокарбоновыми имплантатами лучше сохранялась высота запястья, и был достоверно меньше процент пациентов, которым потребовался артродез [56].
C.A. Purnell и R.Wollstein применяли у молодых и активных пациентов с SLAC I–II степени дорзальный капсулодез в комбинации с восстановлением выстилки луче-ладьевидного сустава двумя видами биодеградируемых имплантов. Биодеградируемые импланты должны были обеспечить восстановление хряща. Однако, по данным самих авторов, сила схвата после комбинированной операции оставалась слабой, а объем движений ограниченным [57].
Дорсальный капсулодез направлен на укрепление тыльных межзапястных связок с учетом их роли в динамической и статической ладьевидно-полулунной нестабильности [58]. Ранее было показано, что дорсальный капсулодез хотя и уменьшал болевой синдром, но в большинстве случаев не купировал его полностью; по данным рентгенологического исследования, при хронической ладьевидно-полулунной диссоциации выравнивание положения костей запястья не обеспечивается [59]. Однако поиск оптимальных адъювантных операций и эффективных способов восстановления суставного хряща важен для молодых пациентов с начальными проявлениями артроза запястья [58].
M. Artuso с соавторами провели анатомическое исследование результатов артроскопического замещения проксимального ряда костей запястья сухожильными трансплантатами, что позволяет сохранить высоту запястья [60]. Артроскопическая техника исключает проблему выраженного отечного синдрома, неизбежного при открытом тыльном доступе к запястью, а также обеспечивает стабильность трансплантата за счет сохранения связочного аппарата сустава [60]. Тыльный артроскопический портал по сравнению с ладонным является технически более простым и менее рискованным [61].
Четырехугольный артродез — это резекция ладьевидной кости в сочетании со сращением полулунной, головчатой, крючковатой и треугольной костей, этот способ лечения показан пациентам с III стадией артроза [4] (рис. 3).
Рис. 3. Фрагмент рентгенограммы кисти пациента с III стадией SLAC в первые сутки после четырехугольного артродеза с иссечением ладьевидной кости
Figure 3. X-ray fragment of a patient with SLAC stage III wrist on the 1st day after trapeziometacarpal arthrodesis with the scaphoid bone excision
После операции уменьшается болевой синдром, сохраняется 50% объема движений и 75% силы кистевого схвата по сравнению с контралатеральной кистью [62, 63, 64].
По данным систематического обзора, в который вошли 57 работ, сравнивающих методы остеосинтеза при четырехугольном артродезе, при использовании спиц Киршнера, скобок, неблокированных пластин, металлических блокированных пластин, рентгенопрозрачных блокированных пластин частота сращения была сопоставима. Метод фиксации влиял на сгибательную функцию, но попарное сравнение не выявило значимых межгрупповых отличий. Сила схвата при использовании металлических блокированных пластин была статистически значимо меньше, чем в группах с использованием спиц Киршнера (63,2% против 82,6%) [65].
Есть исследования, в которых доказывается важность использования взаимоперекрещенных под углом 90° винтов и их ретроградного введения с целью сохранения хряща полулунной кости [64]. Y. Zenke с соавторами получили обнадеживающие результаты применения биодеградируемых пластин для четырехугольного артродеза у 10 пациентов [67]. Сравнительный анализ результатов открытого и артроскопического артродеза показал сопоставимый уровень по болевым и клиническим шкалам, костное сращение, достигнутое у всех 13 пациентов в группе открытого артродеза и у 13 из 14 в группе артроскопического артродеза, но больший объем движений при артроскопии [68]. При десятилетнем сроке наблюдения за пациентами, перенесшими четырехугольный артродез, выявлены незначительный функциональный дефицит и высокая удовлетворенность пациентов [69].
Другой систематический обзор отдаленных результатов четырехугольного артродеза 436 запястий по данным 11 исследований показал, что конверсия его в тотальный артродез выполнена в 6% случаев, но не было ни одного случая конверсии в тотальную артропластику запястья [70].
Поскольку удаление ладьевидной кости в сочетании с четырехугольным артродезом либо резекцией проксимального ряда костей запястья рассматриваются как спасительные операции при SLAC II и III, актуален вопрос: какой из методов дает лучшие результаты. По мнению K. Kruse и J.R. Fowler, при выборе операций следует учитывать проблемы костного сращения, поэтому резекция проксимального ряда костей запястья предпочтительна у курильщиков, а четырехугольный артродез — у пациентов моложе 35 лет [71]. Систематический обзор и метаанализ 8 исследований, включавших 311 пациентов, выявил достоверное, хотя и незначительное преимущество резекции проксимального ряда костей запястья в плане восстановления объема движений, силы схвата и уровня боли [72]. Однако последующий метаанализ 15 исследований не выявил разницы между методами PRC и четырехугольного артродеза в плане отдаленных результатов [73].
Луче-ладьевидно-полулунный (трехугольный) артродез является методом выбора при IV стадии артроза. Сохранение мобильности межзапястного сустава обеспечивает «движение метания дротика» (dart thrower’s motion — DTM) [74, 75].
Операция выполняется из срединного тыльного доступа, retinaculum extensorum рассекают через 3 и 4-й сухожильные каналы. После вскрытия суставной капсулы необходимо убедиться, что среднезапястный сустав не поврежден, затем удалить хрящевую ткань лучезапястного сустава, сустав временно зафиксировать спицей Киршнера. Для восстановления конгруэнтности артродезируемых суставных поверхностей могут быть использованы костные трансплантаты. Фиксация достигается с помощью Т-образной пластины, винтов, скрепок с эффектом памяти или спиц Киршнера [76]. По мнению M. Colman с соавторами, трехугольный артродез может рассматриваться как альтернатива четырехугольному у пациентов с II и II степенями SLAC [77].
Двухугольный артродез. У пациентов со SLAC II–III было проведено сравнительное исследование результатов двухугольного и четырехугольного артродеза. Головчато-полулунный артродез обеспечивал лучшее восстановление функции сгибания. Частота осложнений и повторных операций в сравниваемых группах были сопоставимы [78].
Тотальный артродез запястья может использоваться не только как ревизионная операция, но и как первичная операция при IV стадии артроза и у лиц, занимающихся тяжелым физическим трудом [79]. Наиболее часто техника тотального артродеза включает применение пластин либо интрамедуллярную фиксацию. В большинстве случаев пластины обеспечивают сращение, однако частота осложнений, связанных с их применением, а также ирритация мягких тканей, требующая их удаления, составляют 11% и 16% соответственно [80, 81]. Наиболее частое осложнение интрамедуллярной фиксации при тотальном артродезе запястья — миграция дистального винта [80].
E.C. Rodriguez-Merchan с соавторами в обзоре анализируют публикации последних лет и приходят к выводу, что функционально выгодное положение кисти при тотальном артродезе остается дискуссионным; по-прежнему актуальна разработка новых имплантатов и артроскопической техники этой операции [83].
Тотальная артропластика запястья приводит к более частым осложнениям, чем тотальный артродез. Поэтому, по мнению D. Yeoh и L. Tourret, артропластика не может быть рекомендована для рутинного применения, необходим тщательный отбор пациентов [84]. Исторически лучезапястный сустав был одним из первых объектов протезирования. Очевидное преимущество артропластики перед артродезом — сохранение движений, однако вплоть до настоящего времени не решены проблемы пациент-специфичных эндопротезов и осложнений, связанных с мальпозицией, дислокацией и расшатыванием имплантатов [85]. Однако при двухлетнем наблюдении за 18 пациентами, перенесшими тотальную артропластику, и 29 пациентами после тотального артродеза, тотальный артродез не показал преимуществ, поэтому авторы сделали вывод о необходимости более широкого внедрения тотальной артропластики запястья [86].
ЗАКЛЮЧЕНИЕ
Основной фактор патогенеза SLAC-синдрома — нарушения биомеханики запястья при острых и хронических повреждениях ладьевидно-полулунной связки вследствие травмы или кристаллической артропатии. Эффективность консервативных методов лечения SLAC-синдрома не доказана. Комплексная лучевая диагностика (рентгенография, КТ, МРТ) не всегда достаточна для уточнения стадии заболевания, при выборе тактики хирургического лечения критичны интраоперационные находки. Разработано множество методов хирургического лечения и их модификаций, направленных на купирование болевого синдрома, максимально возможное сохранение движений и силы кистевого схвата, однако проблема выбора метода в зависимости от клинической стадии заболевания не имеет общепринятых решений. Традиционно при SLAC I рекомендуется денервация запястья, при SLAC II — резекция проксимального ряда костей запястья или четырехугольный артродез, при SLAC III — четырехугольный артродез. Кроме стадии заболевания необходимо учитывать возраст, функциональные потребности и коморбидный статус пациента. Накапливаются доказательства эффективности применения пирокарбоновых имплантов и артроскопических технологий в хирургии запястья. Необходимы дальнейшие сравнительные исследования для определения эффективности методов хирургического лечения SLAC и их модификаций.
ДОПОЛНИТЕЛЬНАЯ ИНФОРМАЦИЯ
Заявленный вклад авторов
Щудло Н.А. — концепция исследования, поиск и анализ публикаций, написание и редактирование текста рукописи.
Куттыгул Ш.К. — поиск и анализ публикаций, написание и редактирование текста рукописи.
Миронов А.Р. — концепция и дизайн исследования, редактирование текста рукописи.
Все авторы прочли и одобрили финальную версию рукописи статьи. Все авторы согласны нести ответственность за все аспекты работы, чтобы обеспечить надлежащее рассмотрение и решение всех возможных вопросов, связанных с корректностью и надежностью любой части работы.
Источник финансирования. Авторы заявляют об отсутствии внешнего финансирования при проведении исследования.
Возможный конфликт интересов. Авторы декларируют отсутствие явных и потенциальных конфликтов интересов, связанных с публикацией настоящей статьи.
Этическая экспертиза. Не применима.
Информированное согласие на публикацию. Не требуется.
DISCLAIMERS
Author contribution
Shchudlo N.A. — study concept, literature search and review, drafting and editing the manuscript.
Kuttygul Sh.K. — literature search and review, drafting and editing the manuscript.
Mironov A.R. — study concept and design, editing the manuscript.
All authors have read and approved the final version of the manuscript of the article. All authors agree to bear responsibility for all aspects of the study to ensure proper consideration and resolution of all possible issues related to the correctness and reliability of any part of the work.
Funding source. This study was not supported by any external sources of funding.
Disclosure competing interests. The authors declare that they have no competing interests.
Ethics approval. Not applicable.
Consent for publication. Not required.
About the authors
Nathalia A. Shchudlo
National Ilizarov Medical Research Centre for Traumatology and Orthopedics
Email: nshchudlo@mail.ru
ORCID iD: 0000-0001-9914-8563
Dr. Sci. (Med.)
Russian Federation, KurganShyngys K. Kuttygul
National Ilizarov Medical Research Centre for Traumatology and Orthopedics
Author for correspondence.
Email: artana.kaz@gmail.com
ORCID iD: 0009-0009-1072-468X
Russian Federation, Kurgan
Artem R. Mironov
Vreden National Medical Research Center of Traumatology and Orthopedics
Email: ortopedix@yandex.ru
ORCID iD: 0009-0001-9273-8680
SPIN-code: 9915-1012
Russian Federation, St. Petersburg
References
- Kitay A., Wolfe S.W. Scapholunate instability: current concepts in diagnosis and management. J Hand Surg Am. 2012;37(10):2175-2196. doi: 10.1016/j.jhsa.2012.07.035.
- Shah C.M., Stern P.J. Scapholunate advanced collapse (SLAC) and scaphoid nonunion advanced collapse (SNAC) wrist arthritis. Curr Rev Musculoskelet Med. 2013;6(1):9-17. doi: 10.1007/s12178-012-9149-4.
- Shahabpour M., Abid W., Van Overstraeten L., Van Royen K., De Maeseneer M. Extrinsic and Intrinsic Ligaments of the Wrist. Semin Musculoskelet Radiol. 2021;25(2):311-328. doi: 10.1055/s-0041-1731653.
- Watson H.K., Ballet F.L. The SLAC wrist: scapholunate advanced collapse pattern of degenerative arthritis. J Hand Surg Am. 1984;9(3):358-365. doi: 10.1016/s0363-5023(84)80223-3.
- Berger R.A. The gross and histologic anatomy of the scapholunate interosseous ligament. J Hand Surg Am. 1996;21(2):170-178. doi: 10.1016/S0363-5023(96)80096-7.
- Berger R.A., Imeada T., Berglund L., An K.N. Constraint and material properties of the subregions of the scapholunate interosseous ligament. J Hand Surg Am. 1999;24(5):953-962. doi: 10.1053/jhsu.1999.0953.
- Richards R.S., Bennett J.D., Roth J.H., Milne K. Jr. Arthroscopic diagnosis of intra-articular soft tissue injuries associated with distal radial fractures. J Hand Surg Am. 1997;22(5):772-776. doi: 10.1016/S0363-5023(97)80068-8.
- Шершнева О.Г., Кирпичев И.В. Современные подходы к лечению повреждений ладьевидно-полулунной связки кистевого сустава (обзор литературы). Гений ортопедии. 2020;26(4):593-599. doi: 10.18019/1028-4427-2020-26-4-593-599. Shershneva O.G., Kirpichev I.V. Modern approaches to the treatment of scapholunate interosseous ligament injuries (literature review). Genij Ortopedii. 2020;26(4):593-599. (In Russian). doi: 10.18019/1028-4427-2020-26-4-593-599.
- Strauch R.J. Scapholunate advanced collapse and scaphoid nonunion advanced collapse arthritis-update on evaluation and treatment. J Hand Surg Am. 2011;36(4):729-7735. doi: 10.1016/j.jhsa.2011.01.018.
- Murphy B.D., Nagarajan M., Novak C.B., Roy M., McCabe S.J. The Epidemiology of Scapholunate Advanced Collapse. Hand (N Y). 2020;15(1):23-26. doi: 10.1177/1558944718788672.
- Chen C., Chandnani V.P., Kang H.S., Resnick D., Sartoris D.J., Haller J. Scapholunate advanced collapse: a common wrist abnormality in calcium pyrophosphate dihydrate crystal deposition disease. Radiology. 1990;177(2):459-461. doi: 10.1148/radiology.177.2.2217785.
- Mehdian H., McKee M.D. Scapholunate instability following dorsal wrist ganglion excision: a case report. Iowa Orthop J. 2005;25:203-206.
- Konopka G., Chim H. Optimal management of scapholunate ligament injuries. Orthop Res Rev. 2018;10:41-54. doi: 10.2147/ORR.S129620.
- Watson H.K., Ashmead D. 4th, Makhlouf M.V. Examination of the scaphoid. J Hand Surg Am. 1988;13(5):657-660. doi: 10.1016/S0363-5023(88)80118-7.
- LaStayo P., Howell J. Clinical provocative tests used in evaluating wrist pain: a descriptive study. J Hand Ther. 1995;8(1):10-17. doi: 10.1016/S0894-1130(12)80150-5.
- Schmauss D., Pöhlmann S., Weinzierl A., Schmauss V., Moog P., Germann G. et al. Relevance of the Scaphoid Shift Test for the Investigation of Scapholunate Ligament Injuries. J Clin Med. 2022;11(21):6322. doi: 10.3390/jcm11216322.
- Tischler B.T., Diaz L.E., Murakami A.M., Roemer F.W., Goud A.R., Arndt W.F. 3rd et al. Scapholunate advanced collapse: a pictorial review. Insights Imaging. 2014;5(4):407-417. doi: 10.1007/s13244-014-0337-1.
- Abe Y., Doi K., Hattori Y. The Clinical Significance of the Scaphoid Cortical Ring Sign: A Study of Normal Wrist X-Rays. J Hand Surg Eur Vol. 2008;33(2):126-129. doi: 10.1177/1753193407087572.
- Frankel V.H. The Terry-Thomas sign. Clin Orthop Relat Res. 1977;(129):321-322. doi: 10.1097/00003086-197711000-00048.
- Stevenson M., Levis J.T. Image Diagnosis: Scapholunate Dissociation. Perm J. 2019;23:18-237. doi: 10.7812/TPP/18-237.
- Taljanovic M.S., Goldberg M.R., Sheppard J.E., Rogers L.F. US of the intrinsic and extrinsic wrist ligaments and triangular fibrocartilage complex--normal anatomy and imaging technique. Radiographics. 2011;31(1):e44. doi: 10.1148/rg.e44.
- Морозов С.П., Владзимирский А.В., Басарболиев А.В., Барышов В.И., Агафонова О.А. Систематический обзор применения томосинтеза для диагностики травм и заболеваний опорно-двигательной системы. Гений ортопедии. 2020;26(3):432-441. doi: 10.18019/1028-4427-2020-26-3-432-441. Morozov S.P., Vladzimirsky A.V., Basarboliev A.V., Baryshov V.I., Agafonova O.A. Tomosynthesisfor diagnosis of musculoskeletal injuries and diseases: a systematic review. Genij Ortopedii. 2020;26(3):432-441. (In Russian). doi: 10.18019/1028-4427-2020-26-3-432-441.
- Mayfield J.K., Johnson R.P., Kilcoyne R.K. Carpal dislocations: pathomechanics and progressive perilunar instability. J Hand Surg Am. 1980;5(3):226-241. doi: 10.1016/s0363-5023(80)80007-4.
- Maklad M. Wrist Arthritis and Carpal Advanced Collapse- Systematic Review. Int J Orthop. 2020;7(6):1374-1378. doi: 10.17554/j.issn.2311-5106.2020.07.400.
- Pai S.N., Jeyaraman N., Jayakumar T., Jeyaraman M. Scapholunate Advanced Collapse Wrist – Keeping it Simple – A Case Report. J Orthop Case Rep. 2023;13(12): 137-140. doi: 10.13107/jocr.2023.v13.i12.4110.
- Kompoliti E., Prodromou M., Karantanas A.H. SLAC and SNAC Wrist: The Top Five Things That General Radiologists Need to Know. Tomography. 2021;7(4):488-503. doi: 10.3390/tomography7040042.
- Bayne C.O., Moontasri N.J., Boutin R.D., Szabo R.M. Advanced Arthritis of the Carpus: Preoperative Planning Practices of 337 Hand Surgeons. J Wrist Surg. 2023;12(6):517-521. doi: 10.1055/s-0043-1764302.
- Deglmann C.J. Osteoarthritis of the wrist. Orthopadie (Heidelb). 2024;53(6):463-476. (In German). doi: 10.1007/s00132-024-04502-w.
- Zinberg E.M., Chi Y. Proximal row carpectomy versus scaphoid excision and intercarpal arthrodesis: intraoperative assessment and procedure selection. J Hand Surg Am. 2014;39(6):1055-1062. doi: 10.1016/j.jhsa.2014.03.032.
- Chen C., Chandnani V.P., Kang H.S., Resnick D., Sartoris D.J., Haller J. Scapholunate advanced collapse: a common wrist abnormality in calcium pyrophosphate dihydrate crystal deposition disease. Radiology. 1990;177(2):459-461. doi: 10.1148/radiology.177.2.2217785.
- Ulas S.T., Pochandke L., Ohrndorf S., Diekhoff T., Ziegeler K. Four-dimensional computed tomography detects dynamic three-dimensional pathologies of the wrist in patients with calcium pyrophosphate deposition disease. Front Med (Lausanne). 2023;10:1231667. doi: 10.3389/fmed.2023.1231667.
- Jacobson J.A., Girish G., Jiang Y., Sabb B.J. Radiographic evaluation of arthritis: degenerative joint disease and variations. Radiology. 2008;248(3):737-747. doi: 10.1148/radiol.2483062112.
- Kim S.R. Successful treatment of scapholunate advanced collapse: A case report. Clin Case Rep. 2019;7(6):1230-1232. doi: 10.1002/ccr3.220.
- Rothe M., Rudolf K.D., Partecke B.D. Long-term results following denervation of the wrist in patients with stages II and III SLAC-/SNAC-wrist. Handchir Mikrochir Plast Chir. 2006;38(4):261-266. (In German). doi: 10.1055/s-2006-924408.
- Kale N.N., Foote J., Medvedev G. Use of Wrist Denervation in the Treatment of SLAC and SNAC Wrist by ASSH Members. J Wrist Surg. 2022;12(3):280-286. doi: 10.1055/s-0042-1756498.
- Kadiyala R.K., Lombardi J.M. Denervation of the Wrist Joint for the Management of Chronic Pain. J Am Acad Orthop Surg. 2017;25(6):439-447. doi: 10.5435/JAAOS-D-14-00243.
- Delclaux S., Elia F., Bouvet C., Aprédoaei C., Rongières M., Mansat P. Denervation of the wrist with two surgical incisions. Is it effective? A review of 33 patients with an average of 41 months’ follow-up. Hand Surg Rehabil. 2017;36(4):281-285. doi: 10.1016/j.handsur.2017.04.003.
- Fidanza A., Necozione S., Garagnani L. Does anterior plus posterior interosseus neurectomy lead to better outcomes than isolated posterior interosseus denervation in the treatment of chronic wrist pain? A systematic review of the literature and meta-analysis. EFORT Open Rev. 2023;8(3):110-116. doi: 10.1530/EOR-22-0089.
- Tahta M., Aydin Y., Erpala F., Yildiz M., Gunal I., Sener M. No Benefits of Combining Proximal Row Carpectomy With PIN Neurectomy for Wrist Disorders – A Comparative Study With Systematic Review of the Literature. Plast Surg (Oakv). 2019;27(2):130-134. doi: 10.1177/2292550319826099.
- Zhu S.L., Chin B., Sarraj M., Wang E., Dunn E.E., McRae M.C. Denervation as a Treatment for Arthritis of the Hands: A Systematic Review of the Current Literature. Hand (NY). 2023;18(2):183-191. doi: 10.1177/1558944721994251.
- Herzberg G., Burnier M. Isolated Arthroscopic Radial Styloidectomy: The Three-Portal Approach. J Wrist Surg. 2020;9(4):353-356. doi: 10.1055/s-0040-1712979.
- Noback P.C., Seetharaman M., Danoff J.R., Birman M., Rosenwasser M.P. Arthroscopic Wrist Debridement and Radial Styloidectomy for Advanced Scapholunate Advanced Collapse Wrist: Long-term Follow-up. Hand (NY). 2018;13(6):659-665. doi: 10.1177/1558944717725383.
- Kadhim M., Donohue J. K., Fowler R. Distal Scaphoid Excision for Chronic and Nonchronic Scaphoid Fracture Nonunion. J Hand Surg Global Online. 2024;6(4):519-523. doi: 10.1016/j.jhsg.2024.03.013.
- Berkhout M.J., Bachour Y., Wessing D., Ritt M.J.P.F. Distal Pole Resection of the Scaphoid for the Treatment of Scaphotrapeziotrapezoid Osteoarthritis. Hand (NY). 2019;14(2):230-235. doi: 10.1177/1558944717735939.
- Cohen M.S., Kozin S.H. Degenerative arthritis of the wrist: proximal row carpectomy versus scaphoid excision and four-corner arthrodesis. J Hand Surg Am. 2001;26(1):94-104. doi: 10.1053/jhsu.2001.20160.
- DiDonna M.L., Kiefhaber T.R., Stern P.J. Proximal row carpectomy: study with a minimum of ten years of follow-up. J Bone Joint Surg Am. 2004; 86(11): 2359-2365.
- Ali M.H., Rizzo M., Shin A.Y., Moran S.L. Long-term outcomes of proximal row carpectomy: a minimum of 15-year follow-up. Hand (NY). 2012;7:72-78.
- Gaspar M.P., Pham P.P., Pankiw C.D., Jacoby S.M., Shin E.K., Osterman A.L. et al. Mid-term outcomes of routine proximal row carpectomy compared with proximal row carpectomy with dorsal capsular interposition arthroplasty for the treatment of late-stage arthropathy of the wrist. Bone Joint J. 2018;100-B(2): 197-204. doi: 10.1302/0301-620X.100B2.BJJ-2017-0816.R2.
- Bellemère P., Maes-Clavier C., Loubersac T., Gaisne E., Kerjean Y., Collon S. Pyrocarbon interposition wrist arthroplasty in the treatment of failed wrist procedures. J Wrist Surg. 2012;1(1):31-38. doi: 10.1055/s-0032-1323641.
- Giacalone F., di Summa P.G., Fenoglio A., Sard A., Dutto E., Ferrero M. et al. Resurfacing Capitate Pyrocarbon Implant versus Proximal Row Carpectomy Alone: A Comparative Study to Evaluate the Role of Capitate Prosthetic Resurfacing in Advanced Carpal Collapse. Plast Reconstr Surg. 2017;140(5):962-970. doi: 10.1097/PRS.0000000000003759.
- Goubier J.N., Vogels J., Teboul F. Capitate pyrocarbon prosthesis in radiocarpal osteoarthritis. Tech Hand Up Extrem Surg. 2011;15(1):28-31. doi: 10.1097/BTH.0b013e3181ebe3c3.
- Tang P., Imbriglia J.E. Osteochondral resurfacing (OCRPRC) for capitate chondrosis in proximal row carpectomy. J Hand Surg Am. 2007;32(9):1334-1342. doi: 10.1016/j.jhsa.2007.07.013.
- Tang P., Imbriglia J.E. Technique: Osteochondral Grafting of Capitate Chondrosis in PRC. J Wrist Surg. 2013;2(3):206-211. doi: 10.1055/s-0033-1350084.
- Zhang Y., Gillis J.A., Moran S.L. Management of scapholunate advanced collapse and scaphoid nonunion advanced collapse without proximal row carpectomy or four corner fusion. J Hand Surg Eur Vol. 2021;46(1):50-57. doi: 10.1177/1753193420973322.
- Perry A.C., Wilkes C., Curran M.W.T., Ball B.J., Morhart M.J. Proximal Row Carpectomy Modifications for Capitate Arthritis: A Systematic Review. J Wrist Surg. 2022;12(1):86-94. doi: 10.1055/s-0042-1751013.
- Rieussec C., Caillard G., Helfter L., Girard P., Forli A., Corcella D. Comparison of proximal row carpectomy with RCPI® versus proximal row carpectomy with Eaton’s capsular interposition in the management of advanced wrist osteoarthritis. Orthop Traumatol Surg Res. 2024;110(2):103783. doi: 10.1016/j.otsr.2023.103783.
- Purnell C.A., Wollstein R. Treatment of Stage I and II Scapholunate Advanced Collapse (SLAC). Curr Rheumatol Rev. 2012;8:258-260. doi: 10.2174/157339712805077050.
- Mitsuyasu H., Patterson R.M., Shah M.A., Buford W.L., Iwamoto Y., Viegas S.F. The role of the dorsal intercarpal ligament in dynamic and static scapholunate instability. J Hand Surg Am. 2004;29(2):279-288. doi: 10.1016/j.jhsa.2003.11.004.
- Moran S.L., Cooney W.P., Berger R.A., Strickland J. Capsulodesis for the treatment of chronic scapholunate instability. J Hand Surg Am. 2005;30(1):16-23. doi: 10.1016/j.jhsa.2004.07.021.
- Artuso M., Protais M., Soubeyrand M. Arthroscopic proximal carpal row replacement by semitendinosus and gracilis graft (CArpus Row Plasty Using the Semitendinosus: CARPUS procedure). An anatomical study of 16 cases. Orthop Traumatol Surg Res. 2022;108(7):103124. doi: 10.1016/j.otsr.2021.103124.
- DE Villeneuve Bargemon J.B., Merlini L., Mathoulin C., Levadoux M. Arthroscopic Radiocarpal Tendinous Inter-Position for Grade 2 Scapholunate Advanced Collapse – Surgical Technique. J Hand Surg Asian Pac Vol. 2022;27(5):889-894. doi: 10.1142/S2424835522710035.
- Shin A.Y. Four-corner arthrodesis. J Am Soc Surg Hand. 2001;1(2):93-111. doi: 10.1053/jssh.2001.23905.
- Vance M.C., Hernandez J.D., Didonna M.L., Stern P.J. Complications and outcome of four-corner arthrodesis: circular plate fixation versus traditional techniques. J Hand Surg Am. 2005;30(6):1122-1127. doi: 10.1016/j.jhsa.2005.08.007.
- Wyrick J.D., Stern P.J., Kiefhaber T.R. Motion-preserving procedures in the treatment of scapholunate advanced collapse wrist: proximal row carpectomy versus four-corner arthrodesis. J Hand Surg Am. 1995;20(6):965-970. doi: 10.1016/S0363-5023(05)80144-3.
- Hayes E., Cheng Y., Sauder D., Sims L. Four-Corner Arthrodesis With Differing Methods of Osteosynthesis: A Systematic Review. J Hand Surg Am. 2022;47(5):477.e1-477.e9. doi: 10.1016/j.jhsa.2021.06.002.
- Mamede J., Castro Adeodato S., Aquino Leal R. Four-Corner Arthrodesis: Description of Surgical Technique Using Headless Retrograde Crossed Screws. Hand (NY). 2018;13(2):156-163. doi: 10.1177/1558944717702468.
- Zenke Y., Oshige T., Menuki K., Hirasawa H., Yamanaka Y., Tajima T. et al. Four-corner fusion method using a bioabsorbable plate for scapholunate advanced collapse and scaphoid nonunion advanced collapse wrists: a case series study. BMC Musculoskelet Disord. 2020;21(1):683. doi: 10.1186/s12891-020-03709-0.
- Shim J.W., Kim J.W., Park M.J. Comparative study between open and arthroscopic techniques for scaphoid excision and four-corner arthrodesis. J Hand Surg Eur Vol. 2020;45(9):952-958. doi: 10.1177/1753193420908820.
- Traverso P., Wong A., Wollstein R., Carlson L., Ashmead D., Watson H.K. Ten-Year Minimum Follow-Up of 4-Corner Fusion for SLAC and SNAC Wrist. Hand (NY). 2017;12(6):568-572. doi: 10.1177/1558944716681949.
- Andronic O., Nagy L., Burkhard M.D., Casari F.A., Karczewski D., Kriechling P. et al. Long-term outcomes of the four-corner fusion of the wrist: A systematic review. World J Orthop. 2022;13(1):112-121. doi: 10.5312/wjo.v13.i1.112.
- Kruse K., Fowler J.R. Scapholunate Advanced Collapse: Motion-Sparing Reconstructive Options. Orthop Clin North Am. 2016;47(1):227-233. doi: 10.1016/j.ocl.2015.08.002
- Amer K.M., Thomson J.E., Vosbikian M.M., Ahmed I. Four-Corner Arthrodesis Versus Proximal Row Carpectomy for Scapholunate Advanced Collapse: A Systematic Literature Review and Meta-analysis. Ann Plast Surg. 2020;85(6):699-703. doi: 10.1097/SAP.0000000000002398.
- Ahmadi A.R., Duraku L.S., van der Oest M.J.W., Hundepool C.A., Selles R.W., Zuidam J.M. The never-ending battle between proximal row carpectomy and four corner arthrodesis: A systematic review and meta-analysis for the final verdict. J Plast Reconstr Aesthet Surg. 2022;75(2):711-721. doi: 10.1016/j.bjps.2021.09.076.
- Crisco J.J., Coburn J.C., Moore D.C., Akelman E., Weiss A.P., Wolfe S.W. In vivo radiocarpal kinematics and the dart thrower’s motion. J Bone Joint Surg Am. 2005;87(12):2729-2740. doi: 10.2106/JBJS.D.03058.
- Moritomo H., Murase T., Goto A., Oka K., Sugamoto K., Yoshikawa H. In vivo three-dimensional kinematics of the midcarpal joint of the wrist. J Bone Joint Surg Am. 2006;88(3):611-621. doi: 10.2106/JBJS.D.02885.
- Degeorge B., Dagneaux L., Montoya-Faivre D., Dautel G., Dap F., Coulet B. et al. Radioscapholunate fusion for posttraumatic osteoarthritis with consecutive excision of the distal scaphoid and the triquetrum: A comparative study. Hand Surg Rehabil. 2020; 39(5):375-382. doi: 10.1016/j.hansur.2020.05.002.
- Colman M., El Kazzi W., Salvia P., Feipel V., Schuind F. Three-Corner Arthrodesis (lunate - hamate - capitate): clinical and kinematical evaluation. Acta Orthop Belg. 2020;86(4):717-723.
- Duraku L.S., Hundepool C.A., Hoogendam L., Selles R.W., van der Heijden B.E.P.A., Colaris J.W. et al. Two-Corner Fusion or Four-Corner Fusion of the Wrist for Midcarpal Osteoarthritis? A Multicenter Prospective Comparative Cohort Study. Plast Reconstr Surg. 2022;149(6):1130e-1139e. doi: 10.1097/PRS.0000000000009116.
- Laulan J., Marteau E., Bacle G. Wrist osteoarthritis. Orthop Traumatol Surg Res. 2015;101(1 Suppl):1-9. doi: 10.1016/j.otsr.2014.06.025.
- Berber O., Garagnani L., Gidwani S. Systematic Review of Total Wrist Arthroplasty and Arthrodesis in Wrist Arthritis. J Wrist Surg. 2018;7(5):424-440. doi: 10.1055/s-0038-1646956.
- Berling S.E., Kiefhaber T.R., Stern P.J. Hardware-related complications following radiocarpal arthrodesis using a dorsal plate. J Wrist Surg. 2015;4(1):56-60. doi: 10.1055/s-0034-1400069.
- Kachooei A.R., Jones C.M., Beredjiklian P. Locked Intramedullary Total Wrist Arthrodesis: A Report of Three Patients With Distal Screw Migration. Cureus. 2022;14(7):e27420. doi: 10.7759/cureus.27420.
- Rodriguez-Merchan E.C., Tabeayo-Alvarez E.D., Shojaie B., Kachooei A.R. Total Wrist Arthrodesis: An Update on Indications, Technique and Outcomes. Arch Bone Joint Surg. 2023;11(3):144-153. doi: 10.22038/ABJS.2022.65875.3154.
- Yeoh D., Tourret L. Total wrist arthroplasty: a systematic review of the evidence from the last 5 years. J Hand Surg Eur Vol. 2015;40(5):458-468. doi: 10.1177/1753193414539796.
- Eschweiler J., Li J., Quack V., Rath B., Baroncini A., Hildebrand F. et al. Total Wrist Arthroplasty-A Systematic Review of the Outcome, and an Introduction of FreeMove-An Approach to Improve TWA. Life (Basel). 2022;12(3):411. doi: 10.3390/life12030411.
- Clementson M., Larsson S., Abramo A., Brogren E. Clinical and Patient-Reported Outcomes After Total Wrist Arthroplasty and Total Wrist Fusion: A Prospective Cohort Study with 2-Year Follow-up. JBJS Open Access. 2024;9(1):e23.00081. doi: 10.2106/JBJS.OA.23.00081.
Supplementary files







