Radiometric Parameters of the Forearm in Traumatic Instability of the Distal Radioulnar Joint in Children
- Authors: Semenov S.Y.1, Proshchenko Y.N.1, Baindurashvili A.G.1, Braylov S.A.1, Semenova E.S.2,3, Trufanov G.E.2
-
Affiliations:
- H. Turner National Medical Research Center for Children’s Orthopedics and Trauma Surgery
- Almazov National Medical Research Centre
- St. Petersburg Childrens Municipal Multi-Specialty Clinical Center of High Medical Technology named after K.A. Rauhfus
- Issue: Vol 28, No 2 (2022)
- Pages: 67-78
- Section: METHODS OF EXAMINATIONS
- Submitted: 12.03.2022
- Accepted: 20.04.2022
- Published: 28.06.2022
- URL: https://journal.rniito.org/jour/article/view/1753
- DOI: https://doi.org/10.17816/2311-2905-1753
- ID: 1753
Cite item
Abstract
Background. At present, the literature describes in sufficient detail the use of various methods of X-ray examination of the bones of the forearm in the diagnosis of distal radioulnar joint instability (DRUJI), but there are no data on radiometric parameters for DRUJI of traumatic origin in children. Quantitative diagnostics becomes mandatory for determining the tactics of treating DRUJI of traumatic origin in children.
The purpose of study — to analyze the radiometric parameters of the distal forearm in case of DRUJI of traumatic origin in children to plan the method of surgical treatment.
Мethods. The paper presents an analysis of the results of X-ray examination of 23 children with instability of the distal radioulnar joint of traumatic origin aged 9 to 17 years (mean age — 14.21±2.5 years) — the main group. For comparison, radiographs of the contralateral forearms of the same patients were analyzed — the comparison group (23 children), and radiographs of the forearm of 69 pediatric patients without signs of DRUJI (control group). On radiographs in the anteroposterior and lateral projections, the following radiometric parameters were evaluated: radioulnar and volar angles, radioulnar index, radioulnar distance, and the difference between the radioulnar distances of both forearms.
Results. In 19 patients of the main group, a «positive variant» of the radioulnar index with dislocation of the head of the ulna was revealed, while the indicators of the radioulnar and volar angle were characterized by variability in values. The average values of radiometric parameters of DRUJI in children without bone-traumatic changes of the forearm are comparable to normal values in adults.
Conclusions. In children with DRUJI of traumatic origin, various changes were revealed radiometric indicators of the distal parts of the bones of the forearm, which depend on the type of forearm fracture. In a particular pediatric patient with DRUJI of traumatic origin, these indicators reflect the biomechanical features of the wrist joint, which must be taken into account when planning surgical intervention and predicting the recovery of the anatomy and function of the forearm.
Keywords
Full Text
BACKGROUND
Fractures of the distal forearm bones is one of the most common causes of post-traumatic instability of the distal radioulnar joint (DRUJ) [1, 2, 3, 4]. Before the completion of the ossification process in traumatic injury, the distal epiphysis of the radius and/or ulna is displaced along the growth zone relative to the metaphysis, which is associated with greater elasticity and strength of the capsular–ligamentous apparatus compared with that of the growth cartilage [5].
The greatest potential for the remodeling of the residual deformity was noted in younger children with fractures of the forearm bones in the distal third. This determines the values of the allowable displacement depending on the patient’s age and fracture location [6]. The values of these parameters are controversial and vary widely in the literature [7]. The critical age at which only a small corrective potential can be expected ranges from 9 to 12 years. With the inaccurate prediction of this potential, partial remodeling can lead to incorrect fracture consolidation with deformity formation [8]. An improperly consolidated fracture of one or both forearm bones causes a disorder of the ratio of bone structures in the DRUJ, resulting in the restriction of the forearm rotation [1, 3, 4]. Nevertheless, the soft tissue stabilizers of the DRUJ have a certain elasticity that can compensate for the residual displacement of the radius in the distal third. However, after repeated minor trauma, the function of the stabilizers becomes insufficient, resulting in the subluxation or dislocation of the ulnar head in the DRUJ.
With the same mechanism of damage in adolescents who have reached bone maturity and in adult patients, a distal radius fracture occurs in combination with a traumatic dislocation of the ulnar head in the DRUJ following damage to the soft tissue stabilizers of the joint (Galeazzi fracture dislocation). An accurate assessment of the damage is necessary to detect such injuries and minimize any dysplasia of the radius and ulna [9].
DRUJ instability of traumatic origin is clinically determined in the presence of a history of trauma, including fractures of the forearm bones, wrist joint pain, subluxation or dislocation of the ulnar head, and limited forearm rotational function [10]. Examinations of patients with DRUJ instability of traumatic origin include diagnostic tests such as a stress test and a press test [4, 11, 12].
The main method of radiodiagnostics for traumatic DRUJ instability in pediatric patients is standard radiography of the forearm bones with the capture of the elbow joints and hands in two views [2, 13]. In adult patients, the radioulnar angle, volar inclination of the radius, radioulnar index (RUI), and radioulnar distance are assessed on radiographs to objectify the radiological data obtained in case of instability of traumatic DRUJ [14].
Currently, no information is available in the literature about the radiometric parameters of the distal structures of the forearm bones in pediatric patients with DRUJ instability of traumatic origin and the anatomical and physiological aspects of the forearm bones during the growth period.
This study aimed to evaluate radiometric parameters of the forearm bones in traumatic DRUJ instability in pediatric patients to plan surgical treatment.
METHODS
Study design
This prospective and retrospective cohort study was performed based on the X-ray examination data of 23 pediatric patients (11 boys and 12 girls) with traumatic DRUJ instability, who were examined and treated at the H.I. Turner National Medical Research Center for Сhildren’s Orthopedics and Trauma Surgery in the period from 2009 to 2021. These patients constituted the main study group.
In the main group, patients aged 18 years with DRUJ instability after fractures of the forearm bones were included. Pediatric patients with DRUJ instability of non-traumatic origin (congenital, infectious, or tumor) were excluded.
Patients aged 9–17 (mean age 14.2±2.5) years were examined. All patients had a history of traumatic injuries in the distal forearm. Patients complained of wrist joint pain during movement and/or physical activity. The clinical examination revealed signs of subluxation/dislocation of the ulnar head and limited forearm rotational function.
To compare the radiological parameters, we analyzed similar radiometric parameters of the contralateral forearms of the same 23 patients included in the comparison group.
In the control group, frontal (anteroposterior) and lateral radiographs were analyzed in 69 patients who were examined in 2021 for various reasons, including suspected traumatic injuries of the forearm bones. The patients were 9–17 years old (mean 13.7±2.5 years) at the time of examination.
By the age of 12 years, the ossification process of the ulnar head is completed, and the development of the carpal articular surface of the radius terminates, which enables the assessment of all radiometric parameters of the anatomical structure of this section of the osteoarticular system [15, 16]. Considering account the age characteristics of the wrist joint structure, all study groups were distributed into subgroups (Fig. 1).
Fig. 1. Study flowchart
Research technique
X-ray examination was performed using Philips X-ray diagnostic devices at the H.I. Turner National Medical Research Center for Сhildren’s Orthopedics and Trauma Surgery of the Ministry of Health of Russia and on a Samsung device at the K.A. Rauhfus Children’s City Multidisciplinary Clinical Center for High Medical Technologies. Images in the anteroposterior and lateral views were obtained. In the main group, a functional radiographic examination of the wrist joint with instability at the site of the ulnar head dislocation was also performed.
Digital and analog X-ray images were analyzed, and linear indicators were determined using measuring tools in Sectra version 16.2.4.2112, Radiant DICOM Viewer version 2021.1, stationary ruler, and angle protractor.
Frontal images were obtained with the patient sitting or standing facing a table. The forearm was bent at the elbow joint up to 90°, the hand and forearm were adjacent to the table with the palmar surface, and the axes of the fingers II–V were a continuation of the forearm axis. The X-ray tube was centered at the ulnar head (projection of the wrist joint), with a focal distance to the joint of 100 cm perpendicular to the long axis of the forearm.
On a lateral radiograph, the child was positioned sideways to the table in a sitting position or facing the table in a standing position. The forearm and hand were adjacent to the table with the ulnar surface. The X-ray beam centering and focal length were set in the same way as when performing radiography in the anteroposterior projection [17].
The functional X-ray examination at the site of the ulna dislocation was performed with the child’s limbs at the same position as for the lateral projection. The difference was that the forearm was placed in pronation or supination, depending on the dislocation direction.
In the analysis of radiographs, the following parameters were calculated to characterize the spatial position of the distal parts of the forearm bones:
- The radioulnar angle (inclination of the radius in the frontal plane) is formed by two intersecting lines, namely, a line perpendicular to the long axis of the radius and a line drawn from the top of the radial styloid process to the ulnar edge of the articular surface of the radius, which were measured on images in frontal view (Fig. 2). According to the literature, the value varies from 13° to 30° and averages 22–24° [17]. The spread of values is largely due to the choice for measuring the surfaces of the radius (dorsal or palmar).
- The volar angle (inclination of the radius in the sagittal plane) is measured on lateral radiographs. This angle is formed by two lines, namely, a line perpendicular to the long axis of the radius and a line drawn between the two edges (dorsal and palmar) of the articular surface of the radius (Fig. 3 a). According to the literature, this indicator is normally 10–12° [3, 18].
- The radioulnar distance is the distance between the dorsal contours of the epiphyzes of the radius and ulna on radiographs in the lateral view. It is measured in millimeters; according to the literature, it averages −2 to +17 mm in the adult population [19]. A negative radioulnar distance value indicates that the ulna is located dorsal to the radius (Fig. 3 b).
- The RUI enables the correlation to the length of the ulna and radius bones on radiographs in the frontal view. It is measured as the distance between two lines drawn in parallel, with one of them along the articular surface of the ulna, and the other at the level of the proximal surface of the sigmoid notch of the radius in the images in the frontal view (Fig. 4). On average, this indicator ranges from −2.5 mm to +3.1 mm [14].
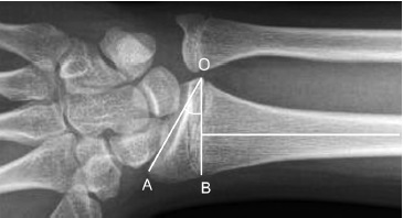
Fig. 2. X-ray of the wrist joint in direct projection. The radioulnar angle (∠AOB) is formed by line BO, perpendicular to the long axis of the radius, and line AO, drawn from the apex of the styloid process of the radius to the ulnar edge of the articular surface of the radius
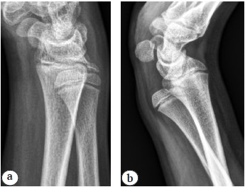
Fig. 3. X-ray of the wrist joint in lateral projection: a — volar angle (∠BOC) formed by line CO, perpendicular to the long axis of the radius, and line BO, connecting the two edges (dorsal and volar) of the articular surface of the radius; b — radioulnar distance between the dorsal contours of the epiphyses of the radius and ulna
Fig. 4. X-ray of the wrist joint in direct projection. Radioulnar index — the ratio of the lengths of the ulna and radius: a — the negative version of the index (normal version); b — neutral variant of the index (norm variant); c — positive version of the index
Zero variant, or neutral variant (the levels of the distal articular surfaces of the radius and ulna coincide); positive variant, or “ulna-plus’ (the articular surface of the ulna is located distal to the radius); negative variant, or “ulna-minus” (the articular surface of the ulna is located proximal to the radius), were used.
In pediatric patients aged 9–11 years, we measured the Hafner RUI [20], and in pediatric patients aged 12–17 years, the measurement was performed as in the adult population (Fig. 5).
Fig. 5. X-ray of the wrist joint in direct projection. Radial-ulnar index (measurement according to Hafner): a — distance from the most proximal point of the metaphysis of the ulna to the most proximal point of the metaphysis of the radius; b — distance from the most distal point of the metaphysis of the ulna to the most distal point of the metaphysis of the radius
Statistical analysis
Statistical processes were performed in Microsoft Office Excel 2019 and IBM SPSS Statistics for Windows, version 23 (IBM Corp., Armonk, NY, USA). Using descriptive statistics, arithmetic means (M), standard deviations (σ), and median (Me) with the 25th and 75th percentiles (Q1; Q3) were calculated. Differences were assessed using the nonparametric Mann–Whitney test.
RESULTS
All patients with traumatic DRUJ instability had a history of various injuries to the forearm distal structures; as a result, the radiometric parameters were characterized by pronounced variability in values owing to the types of post-traumatic deformity of the distal epimetaphyzes of the radial and ulnar bones.
Table 1 presents the radiometric parameters of the structures of the DRUJ in pediatric patients of the control group, comparison group, and average values of these parameters in the adult group according to the literature.
Table 1. Average values of the radiometric parameters of the distal forearm bones in healthy pediatric patients (control group), contralateral forearms of patients with DRUJ instability (comparison group), and adult population
Indicator | Adult patients (according to the literature) [18, 24] M | Comparison group (n = 23) | Control group (n = 69) | ||
9–11 years old (n = 4) M ± σ/Ме* | 12–17 years old (n = 19) M ± σ/Ме (Q1; Q3) | 9–11 years old (n = 27) M ± σ/Ме (Q1; Q3) | 12–17 years old (n = 42) M ± σ/Ме (Q1; Q3) | ||
Radioulnar angle, degrees | 22–24 | 20.73±2.89/19.50 | 21.63±2.79/ 21.00 (20.00; 23.00) | 18.69±3.30/ 19.3 (16.0; 20.6) | 21.41±2.29/ 21.45(19.80; 23.10) |
Volar angle, degrees | 10–12 | 9.25±1.03/9.25 | 9.79±1.79/ 10.00 (9.00; 11.00) | 10.30±3.09/ 11.00 (7.30; 11.70) | 11.21±1.52/ 11.00 (7.30; 11.70) |
Radioulnar distance, mm | -2...+17 | -1.32±2.19/-1.30 | -2.23±3.57/ -2.40 (-5.20; 2.00) | -2.45±3.40/ -2.90 (-4.70; 0.90) | -2.65±3.86/-2.95 (-5.40; 0) |
Radioulnar index, mm | -2.5...+3.1 | 1.08±1.99/1.95 | 1.25±1.86/ 1.5 (0; 2.5) | -0.19±1.09/ 0 (-0.82; 0) | -0.13±1.25/0 (0; 0) |
Difference between radioulnar distances in both limbs, mm | 2.0±1.7 | – | – | 2.09±1.67/1.75** | 1.42±0.53/1.25** |
* The quartile interval in this column is not indicated because of the small sample of this age group.
** Calculated in four patients from the control subgroup aged 9–11 years and in four patients from the subgroup aged 12–17 years.
Intergroup differences in the radioulnar angle, volar angle, RUI, and radioulnar distance were determined using the Mann–Whitney U-test in the comparison and control groups.
The radioulnar angle in the control group increased significantly with age (p < 0.001 for 9–11 years old vs. 12–17 years old). A tendency of an age-related increase in this indicator was noted in the comparison group (p > 0.05). However, no significant differences were found between the comparison group and the control group within the age groups (Fig. 6).
Fig. 6. Box plot: radioulnar angle. Data are presented as min-max. * — p<0.001
Regarding the volar angle, an insignificant increase was found with age in the control and comparison groups, which did not reach significance. In patients aged 12–17 years, a significant decrease in the volar angle was observed in the comparison group compared with the control group (p < 0.01) (Fig. 7).
Fig. 7. Box plot: volary angle. Data are presented as min-max. * — p<0.01
In our study, standard values of the radioulnar distance were determined in all 69 patients of the control group. The difference between the radioulnar distances in both limbs was determined only in eight patients of the control group owing to the lack of clinical material (absence of lateral radiographs of both limbs in 61 patients).
No significant differences were noted between the control and comparison groups in terms of the RUI and radioulnar distance (Fig. 8).
Fig. 8. Box plots: a — radioulnar index, mm; b — radioulnar distance. Data are presented as min-max
In this study, when measuring the radioulnar angle and volar angle in patients aged 9–11 years, difficulties arose due to the incompletely formed bone model of the radial epiphysis. The indices of the difference between radioulnar distances in both limbs in four pediatric patients from the control group corresponded to those in adults.
In this study, most patients with DRUJ instability had an altered radioulnar angle, that is, it decreased in five patients and increased in 15 patients. In three patients, the radioulnar angle was within the range of the values obtained in the analysis of the contralateral forearm (comparison groups) and healthy limbs in the control group (Table 2).
Table 2. Radioulnar angle in patients with traumatic instability of the distal radioulnar joint
Number of patients | Radioulnar angle value, deg. |
2 | 8–12 |
3 | 13–17 |
3 | 18–22 |
4 | 23–24 |
8 | 25–29 |
3 | 30–45 |
A decrease in the volar angle was noted in the majority of patients (18% or 78.3%), including the presence of negative values, which indicates a dorsal inclination of the distal articular surface of the radius because of post-traumatic deformity. In 2 (8.7%) patients, no change was found in the volar angle, and in 3 (13%) pediatric patients, the value of this radiometric indicator was higher than the average values of patients from the control and comparison groups (an increase in the palmar inclination of the articular surface of the radius) (Table 3).
Table 3. Volar angle in patients with traumatic instability of the distal radioulnar joint
Number of patients | Volar angle value, deg. |
7 | −18.7–0 |
6 | 1.0–5.0 |
5 | 6.0–9.0 |
2 | 10.0–12.0 |
3 | 13.0–18.5 |
The measurement of the RUI helped establish that the positive variant prevailed over the neutral and negative ones. The positive RUI in the comparison and control groups was within the reference values, whereas in the DRUJ traumatic instability group, this indicator was beyond the normal range (>3.1 mm).
A null variant was detected in 2 (8.7%) pediatric patients, and a negative variant without a decrease in the RUI in comparison with healthy children was noted in another 2 (8.7%) patients.
In the analysis of standard indicators of the radioulnar distance in the affected limbs in pediatric patients with DRUJ instability, negative values of this parameter were detected in 18 (78.3%) pediatric patients, which ranged from −4.2 mm to −12.8 mm, whereas 5 (21.7%) pediatric patients had positive values, which ranged from 2 mm to 12 mm.
When assessing the difference between the radioulnar distances in both limbs, the value in 15 (65.2%) patients increased from 4.7 mm to 12.7 mm, and in 8 (34.8%) pediatric patients, this indicator was within the normal range.
Considering the predominance of the negative values of the standard indicator of the radioulnar distance in most pediatric patients with DRUJ instability, the results indicate the prevalence of the dorsal dislocation of the ulnar head, which is comparable to findings of the clinical examination.
An X-ray functional study (radiography in the site of the ulnar head dislocation) enabled analysis of the change in the position of the ulna in the case of a clinically detectable subluxation/dislocation of the ulnar head, whereas on standard radiographs in the lateral projection, we did not reveal significant changes in the radioulnar distance in the affected limb (Fig. 9).
Fig. 9. X-ray of the wrist joint of a 13-year-old patient with a diagnosis of posttraumatic dislocation of the ulnar head. Instability of the distal radioulnar joint: a — lateral projection; b — X-ray functional examination in the position of dislocation of the head of the ulna (volar type)
DISCUSSION
Clinical examination is of paramount importance for the functional evaluation of DRUJ and its stability. Moreover, X-ray examination with the determination of radiometric indicators is the most objective method for determining the relationship between the bone structures of the DRUJ. According to many authors, a change in any radiometric indicator can lead to a change in the functional state of the wrist joint and hand [18, 21, 22].
According to the literature, a decrease in the radioulnar angle is observed in patients with fractures of the distal metaepiphysis of the radius, whereas radial deviation of the hand may occur with limitations in the range of motion in the wrist joint [18, 23].
Changes in the volar angle in patients with DRUJ instability of traumatic origin were caused by the deformity of the distal epimetaphysis of the radius. According to Medoff and Koehler, a change in the volar angle in adult patients leads to an impairment in the congruence of the distal articular surfaces of the forearm bones and, consequently, DRUJ instability with a decrease in the amplitude of rotational movements, mainly supination of the forearm, and limited dorsal and palmar flexion of the hand [18].
Normally, 80% of the axial load in the wrist joint accounts for the radial bone and 20% for the ulnar bone. The load distribution varies depending on the relative position of the distal sections of the radius and ulna [24]. However, as the positive version of the RUI increases, the load on the distal ulna increases, which leads to impingement syndrome of the ulna with carpal bones (semilunar and triquetral) and infringement, thinning, and degeneration of the triangular fibrocartilaginous complex [25, 26, 27]. The opposite option, when the RUI decreases, leads to a decrease in the ulnar load, increasing it to the “radial” side. In such patients, ulnar deviation of the hand develops, and pain occurs following the discongruence of the ulnar head with the radial bone proximal to the level of its sigmoid notch, followed by a decrease in the fist-grip strength [28]. Both options for changing the RUI ultimately lead to a limitation of the pronation–supination function of the forearm and early formation of the wrist joint arthrosis [2].
Hafner et al. proposed a method for determining the RUI in pediatric patients aged 1.5–15 years by measuring the distance between the most proximal and most distal points of the growth zones of the distal forearm bones. This measurement method is ideal for children without epiphyseal ossification, but has limitations in older pediatric patients [20].
Goldfarb et al. stated that the method of measuring the RUI in adolescents aged >12 years using the standard adult technique is accurate and reliable, and the mean readings are close to those in adult patients [29].
Clinical examination to determine ulnar head dislocation is of paramount importance in the evaluation of DRUJ in patients with traumatic instability. The measurement of the radioulnar distance in patients with DRUJ instability enables confirmation of the severity of the pathological changes in DRUJ. However, Nakamura et al. showed that a more accurate estimate of the radioulnar distance is obtained through a comparison of this indicator of both limbs in one patient than using one standard value. On average, the difference between radioulnar distances on both limbs is 2.0±1.7 mm. The authors indicate the need for the most accurate position of the forearm in the lateral projection, for which they recommend using special retaining devices that fix the hand [19].
Back in 1983, Mino et al. first reported the importance of radiography of the wrist joint in the lateral view to detect dislocation or subluxation of the ulnar head, emphasizing the need for accurate positioning of the forearm to perform this projection. However, the authors emphasized that the correct position of the limb for obtaining images in the lateral view is not always possible, including that caused by pain syndrome [30]. These reasons may have led to the very variable range of the radioulnar distance index in different authors. Thus, the measurement of the radioulnar distance in patients with DRUJ instability only in the affected limb is not appropriate for assessing the severity of changes. It is worth agreeing with the recommendations of Schachinger et al., who indicated the need to calculate precisely the difference between radioulnar distances in two limbs [31].
To objectify a clinically detected dislocation in the DRUJ, X-ray functional examination of the forearm bones at the site of the ulnar head dislocation should be performed in pediatric patients.
CONCLUSIONS
The analysis of the radiometric parameters of the distal structures of the forearm bones without traumatic changes in pediatric patients allowed us to confirm the comparability of values with the adult population, except for the radioulnar angle indicators in pediatric patients aged 9–11 years, which is due to the anatomical aspects of the epiphysis shape in patients of this age group. X-ray diagnostics of DRUJ instability of traumatic origin allows for an objective assessment of structural changes, taking into account the disease etiopathogenesis. The radiometric parameters described should be used when planning surgical treatment. Knowledge of the anatomical, physiological, clinical, and radiological aspects of the distal structures of the forearm bones in case of DRUJ instability of traumatic origin in pediatric patients is the basis for correct X-ray diagnostics. The interaction between the radiologist and the orthopedic traumatologist plays a decisive role in the correct interpretation of radiographic findings, which must be evaluated in conjunction with clinical results.
DISCLAIMERS
Author contribution
Semenov S.Yu. — collection, analysis and interpretation of data, description of the article.
Proshchenko Ya.N. — research concept and design, article editing.
Baindurashvili A.G. — text editing.
Braylov S.A. — data selection and processing.
Semenova E.S. — data processing, preparation and writing of the text of the article.
Trufanov G.E. — text editing.
All authors have read and approved the final version of the manuscript of the article. All authors agree to bear responsibility for all aspects of the study to ensure proper consideration and resolution of all possible issues related to the correctness and reliability of any part of the work.
Funding source. This study was not supported by any external sources of funding.
Competing interests. The authors declare that they have no competing interests.
Ethics approval. Not applicable.
Consent for publication. Written consent was obtained from legal representatives of children for publication of relevant medical information and all accompanying images within the manuscript.
About the authors
Sergey Yu. Semenov
H. Turner National Medical Research Center for Children’s Orthopedics and Trauma Surgery
Author for correspondence.
Email: sergey2810@yandex.ru
ORCID iD: 0000-0002-7743-2050
аспирант, врач травматолог-ортопед отделения хирургии кисти и реконструктивной микрохирургии
Russian Federation, 64-68, Parkovaya str., St. Petersburg, 196603Yaroslav N. Proshchenko
H. Turner National Medical Research Center for Children’s Orthopedics and Trauma Surgery
Email: yar2011@list.ru
ORCID iD: 0000-0002-3328-2070
Cand. Sci. (Med.)
Russian Federation, 64-68, Parkovaya str., St. Petersburg, 196603Aleksey G. Baindurashvili
H. Turner National Medical Research Center for Children’s Orthopedics and Trauma Surgery
Email: turner01@mail.ru
ORCID iD: 0000-0001-8123-6944
Dr. Sci. (Med.), Professor
Russian Federation, 64-68, Parkovaya str., St. Petersburg, 196603Sergey A. Braylov
H. Turner National Medical Research Center for Children’s Orthopedics and Trauma Surgery
Email: sergeybraylov@mail.ru
ORCID iD: 0000-0003-2372-9817
Russian Federation, 64-68, Parkovaya str., St. Petersburg, 196603
Elena S. Semenova
Almazov National Medical Research Centre; St. Petersburg Childrens Municipal Multi-Specialty Clinical Center of High Medical Technology named after K.A. Rauhfus
Email: forteia@yandex.ru
ORCID iD: 0000-0002-0302-4724
Gennady E. Trufanov
Almazov National Medical Research Centre
Email: trufanovge@mail.ru
ORCID iD: 0000-0002-1611-5000
Dr. Sci. (Med.), Professor
Russian Federation, St. PetersburgReferences
- Прощенко Я.Н. Причины развития нестабильности в дистальном лучелоктевом суставе у детей. Детская хирургия. 2015;19(1):28-30. Proshchenko Ya.N. [Causes of instability in the distal radioulnar joint in children]. Detskaya khirurgiya. [Russian Journal of Pediatric Surgery]. 2015;19(1):28-30. (In Russian).
- Andersson J.K., Lindau T., Karlsson J., Friden J. Distal radioulnar joint instability in children and adolescents after wrist trauma. J Hand Surg Eur Vol. 2014;39(6):653-661. doi: 10.1177/1753193413518707.
- Zyluk A., Piotuch B. Distal radioulnar joint instability: a review of literature. Pol Orthop Traumatol. 2013;78:77-84.
- Zimmerman R.M., Jupiter J.B. Instability of the distal radioulnar joint. J Hand Surg Eur Vol. 2014;39(7):727-738. doi: 10.1177/1753193414527052.
- Little J.T., Klionsky N.B., Chaturvedi A., Soral A., Chaturvedi A. Pediatric Distal Forearm and Wrist Injury: An Imaging Review. Radiographics. 2014;34(2):472-490. doi: 10.1148/rg.342135073.
- Fitoussi F. [Hand injuries in children]. Chir Main. 2013;32 Suppl 1:2-6. doi: 10.1016/j.main.2013.02.017. (In French).
- Widnall J., Bruce C. Paediatric forearm fractures. Orthopaedics and Trauma. 2018;32(5):372-377. doi: 10.1016/j.mporth.2018.07.016.
- Miller A., Lightdale-Miric N., Eismann E., Eismann E., Carr P., Little J.K. Outcomes of Isolated Radial Osteotomy for Volar Distal Radioulnar Joint Instability Following Radial Malunion in Children. J Hand Surg Am. 2018;43(1):81.e1-81.e8. doi: 10.1016/j.jhsa.2017.07.012.
- Cha S.M., Shin H.D., Jeon J.H. Long-term results of Galeazzi-equivalent injuries in adolescents–open reduction and internal fixation of the ulna. J Pediatr Orthop B. 2016;25(2):174-182. doi: 10.1097/BPB.0000000000000259.
- Wijffels M., Brink P., Schipper I. Clinical and non-clinical aspects of distal radioulnar joint instability. Open Orthop J. 2012;6:204-210. doi: 10.2174/1874325001206010204.
- Lester B., Halbrecht J., Levy I.M., Gaudinez R. “Press test” for office diagnosis of triangular fibrocartilage complex tears of the wrist. Ann Plast Surg. 1995;35(1):41-45. doi: 10.1097/00000637-199507000-00009.
- Moriya T., Aoki M., Iba K., Ozasa Y., Wada T., Yamashiya T. Effect of triangular ligament tears on distal radioulnar joint instability and evaluation of three clinical tests: a biomechanical study. J Hand Surg Eur Vol. 2009;34(2):219-223. doi: 10.1177/1753193408098482.
- Кадубовская Е.А. Современные возможности лучевой диагностики повреждений связок области лучезапястного сустава (обзор литературы). Травматология и ортопедия России. 2010;16(4): 93-101. doi: 10.21823/2311-2905-2010-0-4-93-101. Kadubovskaya EA. [The modern capabilities of X-ray diagnostics of wrist ligament injuries (review)]. Travmatologiya i ortopediya Rossii [Traumatology and Orthopedics of Russia]. 2010;16(4):93-101. doi: 10.21823/2311-2905-2010-0-4-93-101. (In Russian).
- Комаровский В.М., Кезля О.П. Количественная оценка рентгенологических показателей степени повреждений при переломах дистального метаэпифиза лучевой кости. Экстренная медицина. 2014;2(10):65-74. Komarovsky V., Keslya O. [Quantitative radiographic evaluation of injiury severity for distal radius fractures]. Ekstrennaya meditsina [Emergency Medicine]. 2014; 2(10):65-74. (In Russian).
- Садофьева В.И. Нормальная рентгеноанатомия костно-суставной системы у детей. Ленинград: Медицина; 1990. с. 53-58. Sadof’eva V.I. Normal’naya rentgenoanatomiya kostno-sustavnoi sistemy u detei. Leningrad: Meditsina; 1990. р. 53-58.
- Хисамутдинова А.Р., Карелина Н.Р. Остеогенез костей предплечья и кисти как надежный критерий определения биологического возраста. Russian Biomedical Research. Российские биомедицинские исследования. 2017;2(4):42-47. Hisamutdinova A.R., Karelina N.R. [Osteogenesis of forearm and hand – a valid criterion for determining biological age]. Russian Biomedical Research. Rossiiskie biomeditsinskie issledovaniya. 2017;2(4):42-47. (In Russian).
- Кишковский А.Н., Тютин Л.А., Есиновская Г.Н. Атлас укладок при рентгенологических исследованиях. Leningrad; 1987. с. 336-345. Kishkovskij A.N., Tjutin L.A., Esinovskaja G.N. Atlas ukladok pri rentgenologicheskih issledovanijah. Leningrad; 1987. р. 336-345. (In Russian).
- Medoff R.J., Koehler S.M. Radiographic Parameters of Distal Radius Fractures. In: Distal radius fractures. Evidence-based management. Elsevier; 2021. р. 43-50. doi: 10.1016/C2019-0-00481-5.
- Nakamura R., Horii E., Imaeda T., Tsunoda K., Nakao E. Distal radioulnar joint subluxation and dislocation diagnosed by standard roentgenography. Skeletal Radiol. 1995;24(2):91-94. doi: 10.1007/BF00198067.
- Hafner R., Poznanski A.K., Donovan J.M. Ulnar variance in children–standard measurements for evaluation of ulnar shortening in juvenile rheumatoid arthritis, hereditary multiple exostosis and other bone or joint disorders in childhood. Skeletal Radiol. 1989;18(7):513-516. doi: 10.1007/BF00351750.
- Bronstein A.J., Trumble T.E., Tencer A.F. The effects of distal radius fracture malalignment on forearm rotation: a cadaveric study. J Hand Surg Am. 1997;22(2):258-262. doi: 10.1016/S0363-5023(97)80160-8.
- Schneiders W., Biewener A., Rammelt S., Rein S., Zwipp H., Amlang M. [Distal radius fracture. Correlation between radiological and functional results]. Unfallchirurg. 2006;109(10):837-844. (In German). doi: 10.1007/s00113-006-1156-8.
- Köebke J., Fehrmann P., Mockenhaupt J. [Stress on the normal and pathologic wrist joint]. Handchir Mikrochir Plast Chir.1989;21(3):127-133. (In German).
- Baumann U., Schulz R., Reisinger W., Heinecke A., Schmeling A., Schmidt S. Reference study on the time frame for ossification of the distal radius and ulnar epiphyses on the hand radiograph. Forensic Sci Int. 2009;191(1-3):15-18. doi: 10.1016/j.forsciint.2009.05.023.
- Cerezal L., del Pinal F., Abascak F., Garcia-Valtuille R., Pereda T., Canga A. Imaging findings in ulnar-sided wrist impaction syndromes. Radiographics. 2002;22(1): 105-121. doi: 10.1148/radiographics.22.1.g02ja01105.
- Imaeda T., Nakamura R., Shionoya K., Makino N. Ulnar impaction syndrome MR imaging findings. Radiology. 1996;201(2):495-500. doi: 10.1148/radiology.201.28888248.
- Abzug J.M., Little K., Kozin S.H. Physeal arrest of the distal radius. J Am Acad Orthop Surg. 2014;22(6):381-389. doi: 10.5435/JAAOS-22-06-381.
- Palmer A.K., Werner F.W. Biomechanics of the distal radioulnar joint. Clin Orthop Relat Res. 1984;(187):26-35.
- Goldfarb C.A., Strauss N.L., Wall L.B., Calfee R.P. Defining ulnar variance in the adolescent wrist: measurement technique and interobserver reliability. J Hand Surg Am. 2011;36(2):272-277. doi: 10.1016/j.jhsa.2010.11.008.
- Mino D.E., Palmer A.K., Levinsohn E.M. The role of radiography and computerized tomography in the diagnosis of subluxation and dislocation of the distal radioulnar joint. J Hand Surg Am. 1983;8(1):23-31. doi: 10.1016/s0363-5023(83)80046-x.
- Schachinger F., Wiener S., Carvalho M.F., Weber M., Ganger R., Farr S. Evaluation of radiological instability signs in the distal radioulnar joint in children and adolescents with arthroscopically-verified TFCC tears. Arch Orthop Trauma Surg. 2020;140(7):993-999. doi: 10.1007/s00402-020-03470-y.
Supplementary files
















