Evaluation of Biocompatibility of New Osteoplastic Xenomaterials Containing Zoledronic Acid and Strontium Ranelate
- Authors: Stogov M.V.1, Dyuryagina O.V.1, Silant'eva T.A.1, Shipitsyna I.V.1, Kireeva E.A.1, Stepanov M.A.1
-
Affiliations:
- National Ilizarov Medical Research Centre for Traumatology and Orthopedics
- Issue: Vol 29, No 2 (2023)
- Pages: 57-73
- Section: Theoretical and experimental studies
- Submitted: 20.12.2022
- Accepted: 09.03.2023
- Published: 21.06.2023
- URL: https://journal.rniito.org/jour/article/view/2035
- DOI: https://doi.org/10.17816/2311-2905-2035
- ID: 2035
Cite item
Abstract
Background. The problem of improving the functional characteristics of implanted devices and materials used in traumatology and orthopedics is a topical issue.
Aim of the study — to study biocompatibility of bovine bone matrix xenomaterials modified by zoledronic acid and strontium ranelate when implanted into the bone defect cavity.
Methods. The study was performed on 24 male rabbits of the Soviet Chinchilla breed. Test blocks of bone matrix were implanted into the cavity of bone defects of the femur. Group 1 animals (n = 8, control group) were implanted with bone xenogenic material (Bio-Ost osteoplastic matrix). Group 2 animals (n = 8) were implanted with bone xenogenic material impregnated with zoledronic acid. Group 3 animals (n = 8) were implanted with bone xenogeneic material impregnated with strontium ranelate. Supercritical fluid extraction technology was used to purify the material and impregnate it with zoledronic acid and strontium ranelate. Radiological, pathomorphological, histological and laboratory (hematology and blood biochemistry) diagnostic methods were used to assess biocompatibility. Follow-up period was 182 days after implantation.
Results. It was found out that on the 182nd day after implantation the median area of the newly-formed bone tissue in the defect modeling area in Group 1 was 79%, in Group 2 — 0%, in Group 3 — 67%. In Group 2 the maximum area by this period was filled with connective tissue — 77%. Median relative area of implanted material fragments in Group 1 was 4%, in Group 2 — 23%, in Group 3 — 15%. No infection or material rejection was observed in animals of all groups. There were no signs of intoxication or prolonged systemic inflammatory reaction. Laboratory parameters did not change significantly over time. One animal in each group experienced one-time increase in C-reactive protein level against the background of leukocytosis. Two animals in Group 1 had a slight migration of implanted material under the skin, one animal developed arthritis of the knee joint.
Conclusion. Osteoplastic materials based on bovine bone xenomatrix and filled with zoledronic acid and strontium ranelate have acceptable values of biocompatibility including their safety profile.
Full Text
BACKGROUND
Nowadays, the problem of improving biological and functional characteristics of implanted devices and materials used in traumatology and orthopedics is rather relevant [1, 2, 3, 4]. The main direction of studies on this topic is the use of material/device not only as a matrix for bone tissue formation, but also as a system of delivery of additional biologically active substances to implantation area [5, 6, 7]. It is demonstrated that the most acceptable carrier is the bone tissue itself, both of allogenic and xenogenic nature [8, 9, 10]. In this context, the main directions of bone material modification are focused on enhancing osteoinductive and osteogenic effects. Thus, the bone matrix is impregnated with: cells [11, 12], including platelet-rich plasma [13]; growth factors and cytokines [14, 15, 16]; noncollagen proteins [17]; messenger RNA (mRNA) [18, 19]; drug substances, including antibacterial drugs [20, 21, 22, 23]. To improve the biological features of bone material, technologies of its physical treatment are modified [24]. Recently, it has become obligatory to preserve the mechanical features of bioresorbable implants to provide structural support to the bone until a complete regenerate is formed. This can be achieved by impregnating implants with substances that modulate resorptive effect, including zoledronates and strontium ranelate [25, 26, 27]. In our opinion, impregnation of these substances into xenogenic bone has certain prospects as it is the most accessible in terms of raw material and possibilities of its modification [28, 29, 30].
Aim of the study — to study biocompatibility of bovine bone matrix xenomaterials modified by zoledronic acid and strontium ranelate when implanted into the bone defect cavity.
METHODS
STUDY DESIGN
The study was performed on 24 male rabbits of the Soviet Chinchilla breed (PAO Sintez farm), aged from 8 to 16 months with body weight from 3.0 to 4.5 kg. Bone tissue defects of 4×4×6 mm were simulated in the animals. Xenomaterial (XM) test blocks of the same size were implanted into the cavities of the defects.
Group 1 animals (n = 8, control group) were implanted with bone (unmodified) xenogenic material ("Bio-Ost" Osteoplastic Matrix, (Roszdravnadzor 2015/3086) (raw material — bovine cancellous bone). Group 2 animals (n = 8) were implanted with bone xenogenic material impregnated with zoledronic acid. Group 3 animals (n = 8) were implanted with bone xenogenic material impregnated with strontium ranelate. Bone blocks of 20×15×5 mm (Bio-Ost), polylactide (Poly[D,L-lactide] IV dl/g, acid-terminated, molecular mass 30 kDa), zoledronic acid monohydrate (Sigma-Aldrich, USA) and strontium ranelate (Sigma-Aldrich, USA) were used to obtain the modified bone marrow (BM).
IMPREGNATION PROCEDURE
Crushed polylactide weighing 1 g (for zoledronate) and 0.5 g (for ranelate) were dissolved in 20 ml of ethyl alcohol and incubated for 3 hours at 60°C. Next, 50 mg of zoledronic acid were dissolved in 10 ml of 0.1N NaOH solution. Strontium ranelate was dissolved in 10 ml of distilled water. These solutions (zoledronic acid and strontium ranelate) were mixed with the polylactide solution. Then, the blocks (10 pieces) were immersed in the obtained solution. Next, the solution with immersed blocks was placed in Waters supercritical fluid extraction reactor, carbon dioxide was injected and medium parameters were adjusted to P = 250 atm, T = 32°С [31]. After setting up the static mode in the reactor, the blocks were incubated for 30 min, then the carbon dioxide supply was turned off and the pressure was being reduced during 30 min. Extracted blocks were lyophilized and subjected to gas sterilization in ethanol oxide medium, followed by vacuuming and aeration for 2 days. Materials were obtained at the premises of OOO MedInzhBio (Penza, Russia).
SIMULATION OF BONE TISSUE DEFECTS OF THE DISTAL FEMORAL METAPHYSIS AND PROXIMAL TIBIAL METAPHYSIS
The surgery was performed under general anesthesia (premedication: dimedrol 1% solution (0.02 mg/kg), atropine sulfate 0.1% solution (0.02 mg/kg), meditin 1% (0.35 mg/kg); for anesthesia: sodium thiopental 5% (10 mg/kg). Initially, surgical approach to the lateral surface of the distal femoral metaphysis was carried out. Then, the metaphyseal bone tissue was sampled with a dental bur, forming a part-through defect 4 mm wide, 4 mm long and 6 mm deep. After that an implant was inserted into the defect cavity by light hammering. Next the surgical wound was sutured layer-by-layer with Vicril 4/0 suture material (Ethicon, USA). Surgical approach to the proximal metaphysis of the tibia was performed on the medial surface of the lower leg. Defect formation, implant installation and surgical wound suturing were performed as described above. To prevent septic postoperative complications, a single injection of cephalosporin antibacterial drugs (cefazolin 200 mg) and nonsteroidal anti-inflammatory drugs (ketoprofen 0.05% 0.5 ml) was administered on the day of the surgery. Surgical suture dressing was not performed.
Four implantations were performed in each animal: distal femoral metaphysis and proximal tibial metaphysis on both limbs.
To prevent complications of postoperative hypothermia of anaesthetic sleep, after the surgery the rabbits were heated under an infrared lamp for 1-3 hours at 25-28°C on the body surface until the they were completely awakened. The period of planned euthanasia was day 84 and day 182 after implantation (when choosing the period of observation of animals after implantation, we were guided by GOST ISO 10993-6-2011. Medical devices. Biological evaluation of medical devices. Part 6. Tests for local effects after implantation).
ANIMAL MANAGEMENT
Animals were kept in individual 0.5 m² cages, one-by-one with permanent access to food and water, in the vivarium of the research center. Hay was used as bedding. Feeding was carried out according to standard nutrient-balanced diet including mixed rabbit feed (PZK 90, Bogdanovichskii Feed Mill), oat grain, fresh carrot and hay. Clean drinking water was provided without restrictions.
Before enrolling in the experiment, the animals were quarantined for 15 days. While they were in the quarantine unit, their general condition was monitored daily by examining in the cage. Animals with unsatisfactory general condition were excluded from the process of group formation. Animals were randomized into groups.
Each animal in the group was identified by an individual three-digit number. Marking method was tattooing the individual three-digit number on the inner surface of the auricle and putting a tag with the same number on the cage.
In order to assess biocompatibility, including the safety of the tested materials, methods of intravital observation, radiological, pathological, histological and laboratory methods of examination were used.
INTRAVITAL OBSERVATIONS
Deviations in the general condition of rabbits, their behavior in the cage, and the presence of lameness were monitored every day. Food and water intake, coat color, and visible mucous membranes were evaluated. When examining the implantation area, attention was paid to the surgical wound condition, appearance of oedema, exudate effusion, painfulness.
X-RAY EXAMINATIONS
X-ray examination was performed on the day of the surgery, on the 14th, 28th, 56th, 84th, 112th, 140th, and 182nd days of observation. X-rays of implantation zones were taken in the AP, axial and latero-medial projections on TOSHIBA (Rotanode) Model E7239. N: 10G749 X-ray machine (Japan). Current strength — 2.5-3.2 mA, voltage — 43-44 kV, focal distance 90 cm, automatic exposure.
POST-MORTEM STUDIES
Planned euthanasia of animals was performed under premedication (dimedrol 1% (0.02 mg/kg), rometar 2% (5 mg/kg) by barbiturate overdosing. At autopsy, examination of internal organs and implantation sites was performed. Relative weight of parenchymatous organs was determined. Macroscopic examination of implantation areas was carried out.
HISTOLOGICAL STUDIES
Tubular bone metaepiphyses, including the surgical site, were fixed for 3 days in 10% formalin for histology (Labiko, Russia) at pH 6.8-7.4. After acid decalcification in solution containing 10% concentrated hydrochloric acid and 8% concentrated formic acid, the bone blocks were degreased in acetone and dehydrated in ethanol with ascending concentration of 70% to 100%. Decalcified samples were embedded in celloidin-paraffin and sectioned on the HM-450 sledge microtome (Thermo Fisher, United Kingdom). Obtained sections up to 7 µm thick were stained with hematoxylin and eosin and Masson's trichrome. Histological samples were scanned in the Pannoramic Midi II microscope (3DHISTECH Ltd., Hungary) with 40× Corr/NA 0.95 plan-apochromat objective. Morphological examination of digital histological samples, histomorphometry of cellular and tissue components was performed using Pannoramic Viewer software (3DHISTECH Ltd., Hungary).
Histomorphometric study was performed on digital samples obtained using the hardware and software complex for digital technologies mentioned above. Cellular composition and vascularization of the bone organ in the implantation area were evaluated on digital images of histological sections stained with hematoxylin and eosin. The number of cells and vessels was counted in the field of vision of 0.01 mm2 with 100× digital objective. Percentage of areas of newly-formed cancellous bone substance, connective tissue and osteoplastic material were determined on digital images of Masson's trichrome stained histological specimens using 20× digital objective. Lamellar and woven bone tissue as well as xenogeneic bone matrix were identified on the basis of fibroarchitectonic features, morphology of bone cells (osteoblasts and osteocytes) and signs of osteonecrosis. Percentage of trabecular bone area was determined in the cancellous bone substance of the implant bed. At least 30 fields of vision were analyzed for each material at each stage of experiment. Basing on obtained quantitative data, the degree of irritating effect of biodegradable materials was determined according to GOST ISO 10993-6-2011.
According to a four-point scale, the absence of any type of cells in the field of vision was scored as 0 points, the presence of 1-5 cells (1-2 for multinucleated phagocytes) as 1 point, 5-10 (3-5 for multinucleated phagocytes) as 2 points, abundant infiltrate as 3 points, dense arrangement as 4 points. The sample was considered: non-irritant (≤0.0 to 2.9 points), mild irritant (3.0 to 8.9 points), moderate irritant (9.0 to 15.0 points), severe irritant (>15).
Tissue reaction to implanted materials was also assessed using a four-point scale. Neovascularization degree was determined by the number of capillaries in the field of vision: 1-3, 4-7, wide and abundant band with fibroblast structures. Intensity of fibrosis was assessed by the width of connective tissue layer. Intensity of fatty infiltration was determined in a similar way, differentiating fat interlayers in connective tissue with red and yellow bone marrow. Sum of all parameters in points was also used to calculate the irritating effect of implantation materials.
The final value was the total score of interim assessment of cellular and tissue reactions to intraosseous implantation of samples. Degree of irritation was determined according to the total score (irritating effect (IR) = cellular reaction (CR) + tissue reaction (TR)) and the difference between the values of the control and experimental groups for the corresponding term of experiment (RD Gr1 - RD GrN1,2,3). The negative value corresponded to zero points. The sample was considered: non-irritant (≤0.0 to 2.9 points); mild irritant (3.0 to 8.9 points); moderate irritant (9.0 to 15.0 points); severe irritant (>15).
LABORATORY TESTS
Laboratory tests (hematology and blood biochemistry) were performed before the surgery, on the 14th, 30th, 84th and 182nd days after implantation. Hematological blood test included determination of white blood cell count on ProCyte Dx automated blood cell counter (IDEXX Lab, USA). Biochemical blood test showed the concentrations of total protein, urea, C-reactive protein (CRP), creatinine, glucose, total calcium, and inorganic phosphate. Activity of alkaline (ALP) and tartrate-resistant (bone) acid phosphatase (TRACP), aspartate aminotransferase (AST), alanine aminotransferase (ALT) was determined. Enzyme activity and substrate concentration in blood serum were determined on Hitachi/BM 902 automated biochemical analyzer (Japan) using reagent kits from Vital Diagnostic (St. Petersburg, Russia) and Vector-Best (Novosibirsk, Russia).
STATISTICAL ANALYSIS
Results of quantitative signs are presented in tables as median, 1-3 quartiles (Me; Q1-Q3). Normality of samples was determined using Shapiro-Wilk test. Statistical evaluation of significance of differences between parameters within the studied groups (before/after implantation) was performed using Wilcoxon W-criterion. Mann-Whitney T-test was used to assess statistical significance (of differences?) of values between the groups. The minimum level of significance (p) was taken as 0.05. AtteStat 12.0.5 data analysis program was used for calculations.
RESULTS
INTRAVITAL OBSERVATION
Postoperative period in animals of all experimental groups was similar. General condition of the animals after the surgery was satisfactory. Animals had subfebrile body temperature between 39.5-39.7°C from day 1 to day 3, appetite was slightly reduced, water was accepted. The mucous membranes of the conjunctivae and oral cavity were pink. In the following days, body temperature returned to mean values, appetite restored. During the first 5-7 days, hyperemia of the skin and slight swelling of subcutaneous fatty tissue were noted in the area of implantation, pain on palpation was moderate. There were no signs of soft tissue inflammation later on. Surgical incisions healed by primary intention. The animals used their limbs during the whole experiment, motor and support functions were fully preserved.
X-RAY EXAMINATIONS
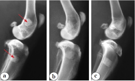
The implantation zones in animals of all groups were well visualized on X-rays on the day of the surgery (Fig. 1).
Fig. 1. X-rays of the implantation area on the day of the surgery: a — Group 1 (arrows indicate the implantation area); b — Group 2; c — Group 3
On day 84 of the experiment in Group 1, the interface between the implanted material and the host bone was diffuse in 50% of cases. Xenomaterial was only visible in the proximal metaphysis of the tibia. In Group 2, the implant was well visualized in 90% of cases and the contour of the host bone defect was well defined by that date. In Group 3, the material was completely resorbed in 33% of cases and the borderline of the host bone defect was not visible by that date.
At day 182 of the experiment, traces of implanted material were visible in Group 1. In Group 2, the first X-ray signs of BM remodeling appeared only by that time. We noted the reduction of implanted material volume, blurring of the borderline of the bone defect. However, high density of the implant was preserved. In Group 3, the borderlines of the bone defect were not visible by that time (Fig. 2).
Fig. 2. X-rays of the implantation area on the 182nd day after implantation: a — Group 1; b — Group 2; c — Group 3
Thus, it can be noted that X-ray signs of material replacement in Groups 1 and 3 were comparable and appeared by day 182 after implantation. There was no complete material replacement by the last day of the follow-up in Group 2.
RESULTS OF POST-MORTEM STUDIES
All animals were subjected to elective euthanasia (on the 84th and 182nd days after implantation). There were no unplanned animal deaths. At the time of euthanasia, no injuries of the skin and internal organs were noted in the animals of all groups during external examination. The relative weight of the organs in the animals of Groups 2 and 3 did not differ statistically significantly from the animals of Group 1.
In Group 1, the implantation site was poorly visible at day 182 of the experiment. The border with the host bone was smoothed. Implant surface was covered with transparent, shining thick tissue, through which an irregular (cancellous) implant structure was visible. There were no fistulas in the implant-bone contact zone.
In Group 2 at day 182, the border with the host bone was clearly visible in the majority of animals (80%), the implant surface was slightly tuberous. The implant was tightly bound to the host bone along the entire perimeter. Focal space-occupying chondral beddings were observed on the lateral surface of the femoral metaphysis.
In Group 3 at day 182, all animals had a tight junction of the host bone and the implant, its border was defined, the implant surface was rough, partially covered by cartilage tissue. The lateral surface of the femoral metaphysis was covered with diffused thin chondral beddings.
In all groups of animals, the implantation site in the tibial metaphysis was covered by a thick white layer of superficial fascia. There were no fistulas or instability in the area of contact with the host bone.
HISTOLOGICAL STUDIES
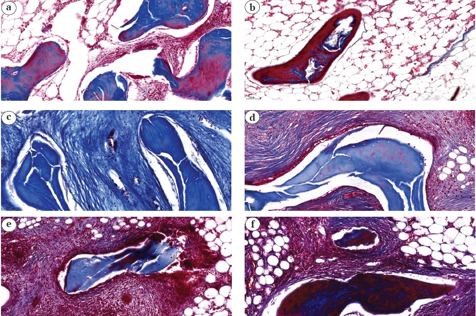
Eighty-four days after implantation in animals of Group 1, active osteogenesis in the area of defect simulation was observed both in the spaces between the BM trabeculae and on the border with the cancellous bone substance of maternal bed (Fig. 3).
Fig. 3. Histostructure of the area of xenomaterial implantation on the border with the bone bed.
Xenogenic implantation material showed osteoconductive properties, being a basis for osteogenic cells adhesion and formation of bone matrix. In some fields of vision 1-2 attached or detached osteoclasts were detected on the surface of bone structures. Both newly-formed bone matrix and BM trabeculae were resorbed. The areas between xenomatrix fragments and bone trabeculae were filled with well vascularized loose areolar connective tissue. Its cellular composition included fibroblast-like cells, monocytes, macrophages. Elements of cellular inflammation were represented by eosinophilic granulocytes. Lymphocytes were found in single fields of vision. Plasma cells, neutrophil granulocytes, and necrotized cells were almost absent. Cancellous bone substance of the implant bed was represented by a sparse net of lamellar bone trabeculae with fatty bone marrow in the intertrabecular spaces. The surface of trabeculae was covered by resting cells; there was no resorption by osteoclasts.
In Group 2, the fibrous layer separated the implant from the border of the bone defect. Trabeculae of the BM were found surrounded by vast areas of poorly vascularized loose areolar connective tissue. Its cellular composition included fibroblast-like cells, monocytes, a large number of eosinophilic granulocytes. Lymphocytes, plasma cells, neutrophil granulocytes, and necrotized cellular elements were singular. Osteogenesis was observed only appositively on the surface of the host bone bed trabeculae. Resorption of osteoplastic material, as well as cancellous bone substance trabeculae, was not registered.
In Group 3, active osteogenesis was noted along the periphery of the bone defect and in the cancellous bone substance of the graft bed. Red bone marrow with inclusion of adipocytes was found in the intertrabecular spaces of the newly-formed bone substance. BM trabeculae were surrounded by interlayers of vascularized loose areolar connective tissue with high cell density. Fibroblast-like cells and elements of monocyte-macrophage lineage prevailed in connective tissue composition. Lymphocytes, plasma cells, polymorphonuclear leukocytes including eosinophils, necrotized cellular elements were present in insignificant amount. In the central part of the implant separate newly-formed woven bone trabeculae, partially contacting with the implant trabecular net were found. Implant material was resorbed by osteoclasts. Up to 3-5 attached, but more often detached multinucleated phagocytes were observed in some fields of vision.
One hundred eighty-two days after implantation, Group 1 showed organotypic restoration of cancellous bone substance in the defect simulation area with preservation of microfoci of fibrosis and neoosteogenesis. Increased concentration of eosinophils was noted in the foci of fibrosis. Implantation material biodegraded, being replaced by cancellous bone substance with a sparse net of lamellar bone trabeculae and red or yellow bone marrow in the intertrabecular spaces. The newly-formed bone trabeculae included BM microfragments. Implantation area was surrounded by yellow bone marrow with rare hypoplastic bone trabeculae without signs of remodeling.
In Group 2, the implantation area was filled with poorly vascularized fibrous tissue, completely surrounding the BM structural elements, with no signs of osteogenic activity. There was no resorption of BM by multinucleated phagocytes. Intensive eosinophilic infiltration of the defect area was still present. Trabecular net of the bone bed was compacted on the border with the implantation site. There was yellow bone marrow with numerous foci of hematopoiesis in the intertrabecular spaces. No osteoclast-osteoblastic remodeling of lamellar bone trabeculae was noted.
In Group 3, the area of bone defect simulation was filled with cancellous bone substance and tracts of well vascularized connective tissue encapsulating BM fragments. Fibroblast-like cells, monocytes, macrophages dominated in the cellular composition of connective tissue. Cells of leukocytic and lymphoid lineage, necrotized cells were almost absent. Tight junctions of BM fragments and individual bone trabeculae were observed without integration of implantation material into the bone matrix. Numerous resorption lacunae were preserved on the surface of BM fragments, but attached osteoclasts were rare. Massive newly-formed bone trabeculae at the border with the cancellous substance of the bone bed were lined by active osteoblasts. Few resorption lacunae and attached osteoclasts were found on their surface.
The described phenomena were statistically confirmed by the results of the histomorphometric study (Table 1). There was a significant predominance of osteoblasts/osteocytes and capillaries in the implantation area in the animals of Group 1 on day 84 and Group 3 on day 182 of the experiment. Osteoclasts prevailed in Group 3 on day 84 of the experiment. Fibroblasts/fibrocytes and monocytes/macrophages were present in a significant amount in the implantation area in Group 3 animals. Elements of cellular inflammation were represented exclusively by eosinophilic granulocytes and were consistently present in the tissues of the implantation area of Group 2 animals. In Group 3, tissue eosinophilia was completely suppressed.
Table 1. Number of cells and vessels in the implantation area (field of vision area 0.01 mm2), Me (Q1-Q3)
Assessment parameter | 84th day after implantation | 182nd day after implantation | ||||
Group 1 | Group 2 | Group 3 | Group 1 | Group 2 | Group 3 | |
Osteoblasts/osteocytes | 6 (4–8) | 0 (0–0) | 0 (0–1) | 1 (0–1)* | 0 (0–0) | 2 (1–3)* |
Fibroblasts/fibrocytes | 23 (19–31) | 23 (19–26) | 41 (34–52) | 15 (14–16)* | 20 (18–22)* | 29 (27–31)* |
Osteoclasts | 0 (0–1) | 0 (0–0) | 1 (0–1) | 0 (0–0)* | 0 (0–0) | 0 (0–0)* |
Monocytes/macrophages | 12 (9–14) | 8 (7–9) | 21 (17–24) | 5 (4–6)* | 5 (4–6)* | 13 (12–14)* |
Eosinophils | 7 (6–10) | 11 (9–12) | 0 (0–0) | 7 (5–9) | 11 (9–13) | 0 (0–0) |
Capillaries | 2 (2,0–2,5) | 1 (0–1) | 1 (1–2) | 2 (1–2)* | 2 (1–2) | 5 (4–6)* |
* — statistically significant differences in comparison with the day 84 at р<0.05.
Statistically significant differences in comparison with Group 1 are shown in bold at р<0.05.
Analysis of the quantitative ratio of the area of tissue components and BM structural elements in the implantation area also revealed statistically significant differences between the groups (Table 2). The area of newly-formed bone tissue in the defect simulation area in the animals of Group 1 and Group 3 significantly increased by day 182 after implantation (up to 70%), whereas in Group 2 the maximum area by this time was occupied by connective tissue (significantly exceeding that of Groups 1 and 3). Relative area of BM fragments on histological samples at day 182 after implantation was maximal in the animals of Group 2 and minimal in the animals of Group 1.
Table 2. Percentage of area of tissue components and xenomaterial in the defect simulation area, Me (Q1-Q3), %
Component | 84th day after implantation | 182nd day after implantation | ||||
Group 1 | Group 2 | Group 3 | Group 1 | Group 2 | Group 3 | |
Cancellous bone tissue | 14 (14–14) | 0 (0–0) | 27 (25–31) | 79 (56–73)* | 0 (0–0) | 67 (57–65)* |
Connective tissue | 73 (72–74) | 73 (71–75) | 53 (48–63) | 17 (15–19)* | 77 (75–78)* | 23 (19–28)* |
BM | 13 (12–14) | 27 (24–29) | 15 (12–20) | 4 (2–5)* | 23 (22–25)* | 15 (12–17) |
* — statistically significant differences in comparison with the day 84 at р<0.05.
Statistically significant differences in comparison with Group 1 are shown in bold at р<0.05.
Density assessment of the cancellous bone substance of the implant bed by calculating the total share of trabecular bone tissue showed that the impregnation of both zoledronic acid and strontium ranelate increased the value of this parameter many times. Appearance of this effect was statistically significant both on day 84 and day 182 of the experiment and more pronounced in the group where zoledronic acid was used (Table 3).
Table 3. Percentage of trabecular bone area in the cancellous bone tissue of the implant bed, Me (Q1-Q3), %
84th day after implantation | 182nd day after implantation | ||||
Group 1 | Group 2 | Group 3 | Group 1 | Group 2 | Group 3 |
5 (3–14) | 36 (38–44) | 17 (8–25) | 3 (0–14) | 26 (14–33)* | 15 (7–28) |
* — statistically significant differences in comparison with the day 84 at р<0.05.
Statistically significant differences in comparison with Group 1 are shown in bold at р<0.05.
Table 4. Assessment of irritating effect of implant material, Me (Q1-Q3), points according to GOST ISO 10993-6-2011
Parameter | 84th day after implantation | 84th day after implantation | ||||
Group 1 | Group 2 | Group 3 | Group 1 | Group 2 | Group 3 | |
Cellular response | ||||||
Eosinophils | 2 (2–2) | 3 (2–3) | 0 (0–0) | 2 (2–2) | 3 (2–3) | 0 (0–0) |
Lymphocytes | 1 (0–1) | 1 (0–1) | 1 (0–1) | 1 (0–1) | 1 (0–1) | 1 (0–1) |
Other leukocytes (polymorphonuclear granulocytes, plasma cells) | 0 (0–1) | 0 (0–1) | 0 (0–1) | 0 (0–1) | 0 (0–1) | 0 (0–1) |
Monocytes/macrophages | 3 (2–3) | 2 (2–2) | 3 (2–3) | 1 (1–2) | 2 (2–2) | 3 (2–3) |
Multinucleated phagocytes | 0 (0–1) | 0 (0–0) | 0 (0–1) | 0 (0–0) | 0 (0–0) | 0 (1–0) |
Necrosis | 0 (0–0) | 0 (0–0) | 0 (0–0) | 0 (0–0) | 0 (0–0) | 0 (0–0) |
Tissue response | ||||||
Neovascularization | 1 (1–1) | 1 (0–1) | 1 (1–1) | 1 (1–1) | 1 (1–1) | 1 (1–1) |
Fibrosis | 2 (2–2) | 4 (4–4) | 1 (1–1) | 1 (0–1) | 3 (3–3) | 0 (1–0) |
Fatty infiltrate | 0 (1–0) | 0 (0–0) | 0 (1–0) | 0 (1–0) | 0 (0–0) | 0 (1–0) |
Indicators of irritant action (IA) | ||||||
Cell reaction (∑×2) | 12 (12–14) | 12 (10–12) | 8 (6–8) | 8 (8–8)* | 12 (10–12) | 8 (6–8)* |
Tissue reaction | 3 (2–3) | 5 (5–5) | 2 (2–3) | 2 (1–2)* | 4 (4–4) | 1 (1–1)* |
Irritant action (cell reaction + tissue reaction) | 15 (15–17) | 17 (15–17) | 10 (9–10) | 10 (9–10)* | 16 (14–16) | 9 (7–9)* |
IA Gr1–IA Gr1,2,3 | 0 | 2 | -5 | 0 | 6 | -1 |
* — statistically significant differences in comparison with the day 84 at р<0.05.
Statistically significant differences in comparison with Group 1 are shown in bold at р<0.05.
Cell reaction index in Group 2 on day 182 after implantation was significantly higher than in Groups 1 and 3 (Table 4). Tissue reaction index was the highest in Group 2 throughout the experiment. Analysis of the total score of irritant effect of studied materials showed that on the 84th day after implantation BM exhibited the properties of a moderate irritant, but its effect weakened by the 182nd day of the experiment for all groups. At the same time, impregnation with zoledronic acid significantly increased the irritant effect of BM throughout the experiment. In contrast, the combination with strontium ranelate significantly reduced the irritant effect of BM, putting it in the category of light irritants by day 182 of the experiment.
LABORATORY TESTS
Statistically significant increase of leukocyte counts relative to preoperative values was observed on the 14th day of the experiment in the animals of Group 3 (Table 5).
Table 5. Post-implantation laboratory parameters of rabbits. Me (Q1-Q3)
Parameter | Group | Before surgery | 14th day | 30th day | 84th day | 182th day |
Leukocytes. 109/l | 1 | 7.7 (7.1–8.0) | 7.8 (7.4–7.9) | 7.4 (6.8–7.8) | 7.6 (6.9–9.3) | 7.1 (6.6–7.4) |
2 | 7.6 (7.2–9.3) | 8.2 (7.9–8.3) | 7.0 (6.6–7.4) | 8.2 (8.1–9.5) | 7.0 (5.8–8.1) | |
3 | 7.6 (6.6–8.4) | 10.6* (9.9–12.9) | 8.9 (8.2–11.6) | 8.8 (8.0–10.4) | 7.0 (6.9–8.0) | |
Erythrocytes. 1012/l | 1 | 6.4 (6.1–6.9) | 5.7* (5.3–6.0) | 6.6 (6.1–6.7) | 6.6 (6.3–7.0) | 6.8 (6.4–6.9) |
2 | 6.4 (5.6–6.8) | 5.6* (4.7–6.0) | 6.0 (5.9–6.3) | 6.5 (5.4–6.9) | 6.4 (6.1–7.1) | |
3 | 6.1 (4.8–6.9) | 5.4* (5.9–6.3) | 6.9 (6.1–7.0) | 6.3 (6.0–6.9) | 6.7 (6.3–7.0) | |
Thrombocytes. 109/l | 1 | 379 (303–465) | 509 (476–542) | 446 (425–497) | 438 (392–461) | 387(370–448) |
2 | 397 (326–466) | 464 (388–490) | 464 (388–490) | 308 (290–410) | 369 (346–471) | |
3 | 343 (330–393) | 410 (389–435) | 464 (408–490) | 390 (360–470) | 359 (316–400) | |
CRP. mg/l | 1 | 0.0 (0.0–0.9) | 0.0 (0.0–2.4) | 0.4 (0.0–2.5) | 0.0 (0.0–1.9) | 0.0 (0.0–1.0) |
2 | 0.0 (0.0–0.2) | 0.9 (0.0–5.8) | 3.6 (2.1–4.6)* | 0.0 (0.0–0.2) | 0.0 (0.0–0.0) | |
3 | 0.0 (0.0–0.8) | 0.0 (0.0–0.3) | 0.0 (0.0–0.8) | 0.0 (0.0–1.0) | 0.0 (0.0–0.0) | |
ALP. u/l | 1 | 55 (43–67) | 55 (50–57) | 40 (37–49) | 41 (33–48) | 53 (50–57) |
2 | 57 (49–68) | 36 (22–48)* | 24 (20–34)* | 31 (23–39)* | 65 (55–71) | |
3 | 62 (50–68) | 67 (55–75) | 57 (41–68) | 50 (39–58) | 59 (53–62) | |
TRACP. u/l | 1 | 26 (23–27) | 23 (22–25) | 23 (21–25) | 20 (17–25) | 18 (16–19)* |
2 | 26 (22–28) | 14 (11–18)* | 12 (9–14)* | 13 (11–19)* | 14 (11–17)* | |
3 | 27 (24–30) | 27 (24–29) | 27 (22–29) | 25.8±3.6 | 21 (20–21)* |
* — statistically significant differences in comparison with the day 84 at р<0.05.
Statistically significant differences in comparison with Group 1 are shown in bold at р<0.05.
Decrease of erythrocyte counts relative to preoperative values on day 14 of the experiment was observed in animals of all groups. Group 2 animals showed a significant increase in CRP level by day 30 of the experiment. There was a significant decrease in the activity of ALP at certain periods of experiment in the animals of Group 2 relative to preoperative values and values of Group 1. Activity of TRACP at certain times of experiment was lower than in the control group of rabbits of Group 2. Statistically significant changes in concentrations of total calcium, inorganic phosphate, total protein, creatinine and urea, as well as transaminase activity in blood serum of animals of all groups were not observed during the experiment.
Thus, there were no significant shifts in the laboratory blood tests values of rabbits during the study, the nature of which would indicate a long-term adverse effect of the drugs used to saturate the bone blocks.
Table 6. Adverse events observed in experimental groups, number of observations
Adverse event | Group 1 (n = 8) | Group 2 (n = 8) | Group 3 (n = 8) |
Implant migration under the skin | 2/32* | 0 | 0 |
Knee arthritis | 1 | 0 | 0 |
Increased CRP and leukocytosis | 1 | 1 | 1 |
Total | 4 (50%) | 1 (13%) | 1 (13%) |
* — calculated relative to the number of implantations.
In parentheses is the percentage of total number of animals or of number of implantations.
Summary data on adverse events observed during the experiment are presented in Table 6. There was a minor migration of one sample of implanted material under the skin in the area of implantation in the femoral metaphysis in two animals of Group 1. Migration occurred because prepared implant was smaller than the formed defect, which did not allow the implant to be firmly fixed in the bone. One rabbit developed knee arthritis. One animal in each group showed an increase in CRP levels accompanied by leukocytosis on the 14th-30th days after implantation.
DISCUSSION
During our studies on assessment of biocompatibility of osteoplastic BMs containing pharmacological substances in their composition, including radiological, pathological, histological, and laboratory studies it was found that the biocompatibility of all tested materials can be evaluated as acceptable: no immunological rejection of xenogenic material involving lymphocytes as well as cytotoxic effects were observed. At the same time, materials containing zoledronic acid and strontium ranelate showed better fixation in the defect, and no implant migration was recorded, in contrast to the control group. Similar peculiarity was noted earlier for allomaterials containing zoledronic acid [32].
Tissue and cellular composition of the area of implantation of xenogeneic bone matrix impregnated with antiresorptive agents was different and differed significantly from the control group. Bone tissue implant was not completely immunologically neutral, producing local moderately irritating effect expressed by weak eosinophilia and monocytic-macrophage infiltration of connective tissue in intertrabecular spaces of osteoplastic material. This reaction is due to the typical immunological response to xenotransplantation and is the key to both the development of nonresponsiveness and successful survival of foreign material [33].
Impregnation with zoledronic acid had a prolonged antiresorptive effect both on the xenogeneic bone matrix itself and on the cancellous bone tissue of the graft bed, which resulted in an increase in their trabecular density comparing to the control group. The same effect was found earlier when impregnating bone allografts and titanium implants with zoledronic acid. At the same time, ability of zoledronic acid to affect the osteogenic potential in the implant area appears to be dose-dependent and is currently up for discussion [34, 35].
Zoledronic acid also increased local irritant effect of xenogenic matrix, expressed in increased eosinophilia and fibrosis of transplantation area. According to the data obtained earlier, this effect could be due to the M1 phenotype acquired by macrophages under the influence of zoledronic acid [36], which led to imbalance of macrophage polarization between proinflammatory (M1) and anti-inflammatory (M2) phenotypes, and as a result — to activation of eosinophil regulatory function and local fibrosis.
It is known that the distinctive feature of strontium ranelate in case of systemic and local application is not only inhibition of bone resorption but also stimulation of osteogenesis [37]. Therefore, impregnation of xenogenic bone matrix with strontium ranelate expectedly increased the share of newly-formed bone tissue in the area of transplantation and the density of trabecular net of the bone bed. Decrease in values of irritant effect index of implanted material in this group of experiments can be related to previously studied influence of strontium ranelate on macrophages’ polarization in the direction of anti-inflammatory M2 phenotype. However, presence of strontium ranelate in the area of transplantation also led to imbalance of M1 and M2 macrophage phenotypes, which could induce moderate fibrosis in the area of implantation [38].
Due to the reasons mentioned above, the recovery of organotypic structure of the bone defect with degradation and remodeling of the implanted material with complete defect replacement occurred in different groups with different rate. Both zoledronic acid and strontium ranelate showed the ability to increase the density of the cancellous bone substance of maternal graft bed, more pronounced when using zoledronic acid. However, bone matrix impregnated with strontium ranelate at the end of experiment showed no statistically significant change in resorption rate in relation to the control material (pure matrix), and the material with zoledronic acid demonstrated delayed graft resorption and its replacement with bone tissue.
The latter observation should be evaluated in the context of described experience in the clinical application of osteoplastic materials. Thus, in the publication of Y. Fillingham, J. Jacobs it is pointed out that the direct contact of the graft with the host bone as well as the presence of mechanical load on it are necessary conditions for successful bone graft functioning [39]. Therefore, the requirement for the bone implant to preserve the biomechanical properties in order to support the bone structure is an important feature, but is the opposite of the requirement for its bioresorbability rate. In this regard, some studies show, for example, that failures in clinical practice when using allomaterials are caused by rapid and complete material degradation [40]. In this regard, there is a whole range of studies in which zoledronates are used as modifiers preventing excessive resorption of osteoplastic material containing promoters of osteogenesis (growth factors, as a rule) [41, 42].
In general, experimental studies show that the anti-osteoresorptive features of zoledronates can be used to improve the osseointegration of implanted devices and materials (both metal and natural) [43, 44]. Areas of clinical application of osteoplastic materials containing zoledronate are indicated in the early study of M. Sørensen et al. who noted that such material could be useful in providing early stability of prostheses in case of revision arthroplasty without any adverse effect on bone formation [34]. Moreover, increased resistance of osteoplastic materials to resorption can be applied to replace large defects when preservation of biomechanical characteristics of implanted graft matrix is required for a longer period of time [45].
Additional point when analyzing the resorption time of materials can be the fact that, as the experience of clinical use of allomaterials shows, the allografts can persist and not be completely resorbed many years after implantation [46].
According to our data, safety and acceptability of studied materials can also be assessed as acceptable. In particular, it was observed that implantation of all the materials did not cause any signs of rejection, intoxication (both local and systemic), or long-term systemic inflammatory reactions in the animals during the entire follow-up period, although single irritating local effect was observed up to 182 days after implantation of material impregnated with zoledronic acid. There were also no material infections or other serious adverse reactions to the tested materials. This observation is a positive point, because in other studies the applicability of BM is limited by the increased immune response to its implantation [47].
All in all, our study and available literature show that there are prospects for the use of zoledronate-modified xenogenic osteoplastic material. Such enhancement of properties of osteoplastic materials can be quite legitimate, as it increases the opportunities for a surgeon to choose the material [48].
Impregnation of strontium ranelate into the material did not cause significant differences comparing to the control group, that can be attributed to its low bioavailability from xenomatrix. In this regard, we might have found the effects of using strontium ranelate in case of a longer follow-up period after implantation. However, available literature data demonstrate that acceptable bioavailability of strontium ranelate is achieved when it is implanted into the matrix of artificial materials [25, 49].
In general, strontium ranelate- and zoledronic acid-impregnated BM can be recommended for restoration of bone defects located outside the joint cavity. Due to their longer period of remodeling, they can also be used to restore bone defects in segments with high bearing load.
LIMITATIONS
The limitation of this study is the sample size of experimental animals, but obtained results can be used to develop indications for the use of osteoplastic materials impregnated with studied substances.
CONCLUSION
Osteoplastic materials based on xenomatrix from bovine bones saturated with zoledronic acid and strontium ranelate have acceptable biocompatibility values, including safety profile. Taking into account the discovered biological properties of developed materials, their further application in cases of restoration of large bone defects and revision arthroplasty seems possible.
DISCLAIMERS
Author contribution
Stogov M.V. — concept or design of the study, collection and processing of a material, the interpretation of the data, the drafting of the manuscript.
Dyuryagina O.V. — concept or design of the study, collection and processing of a material, the interpretation of the data.
Silant’eva T.A. — concept or design of the study, collection and processing of a material, the interpretation of the data, the drafting of the manuscript.
Shipitsyna I.V. — concept or design of the study, collection and processing of a material, the interpretation of the data, critical revision of the manuscript.
Kireeva E.A. — concept or design of the study, collection and processing of a material, the interpretation of the data, critical revision of the manuscript.
Stepanov M.A. — concept or design of the study, collection and processing of a material, the interpretation of the data, critical revision of the manuscript.
All authors have read and approved the final version of the manuscript of the article. All authors agree to bear responsibility for all aspects of the study to ensure proper consideration and resolution of all possible issues related to the correctness and reliability of any part of the work.
Funding source. State budgetary funding.
Disclosure competing interests. The authors declare that they have no competing interests.
Ethics approval. The study was conducted in compliance with the principles of humane treatment of laboratory animals in accordance with the requirements of the European Convention for the Protection of Vertebrate Animals used for Experiments and other Scientific Purposes and Directive 2010/63/EU of the European Parliament and the Council of the European Union of September 22, 2010 on the protection of animals used for scientific purposes. The study was approved by the local ethics committee of National Ilizarov Medical Research Centre for Traumatology and Ortopaedic, protocol No 2 (57), 17.05.2018.
Consent for publication. Not required.
About the authors
Maksim V. Stogov
National Ilizarov Medical Research Centre for Traumatology and Orthopedics
Author for correspondence.
Email: stogo_off@list.ru
ORCID iD: 0000-0001-8516-8571
SPIN-code: 9345-8300
Scopus Author ID: 26024482600
ResearcherId: N-5847-2018
Dr. Sci. (Biol.), Associate Professor
Russian Federation, 6, M. Ulyanova st., Kurgan, 640014Olga V. Dyuryagina
National Ilizarov Medical Research Centre for Traumatology and Orthopedics
Email: diuriagina@mail.ru
ORCID iD: 0000-0001-9974-2204
SPIN-code: 8301-1475
Scopus Author ID: 56105040400
ResearcherId: AAB-3838-2021
Cand. Sci. (Vet.), head of laboratory
Russian Federation, 6, M. Ulyanova st., Kurgan, 640014Tamara A. Silant'eva
National Ilizarov Medical Research Centre for Traumatology and Orthopedics
Email: tsyl@mail.ru
ORCID iD: 0000-0001-6405-8365
SPIN-code: 9942-7011
Scopus Author ID: 55543818800
ResearcherId: O-8458-2018
Cand. Sci. (Biol.), head of laboratory
Russian Federation, 6, M. Ulyanova st., Kurgan, 640014Irina V. Shipitsyna
National Ilizarov Medical Research Centre for Traumatology and Orthopedics
Email: ivschimik@mail.ru
ORCID iD: 0000-0003-2012-3115
SPIN-code: 3039-5202
Scopus Author ID: 55891336600
ResearcherId: AAH-1004-2020
Cand. Sci. (Biol.), researcher
Russian Federation, 6, M. Ulyanova st., Kurgan, 640014Elena A. Kireeva
National Ilizarov Medical Research Centre for Traumatology and Orthopedics
Email: ea_tkachuk@mail.ru
ORCID iD: 0000-0002-1006-5217
SPIN-code: 9598-0838
Scopus Author ID: 56716612200
ResearcherId: G-9986-2018
Cand. Sci. (Biol.), senior researcher
Russian Federation, 6, M. Ulyanova st., Kurgan, 640014Mikhail A. Stepanov
National Ilizarov Medical Research Centre for Traumatology and Orthopedics
Email: m-stepanov@mail.ru
ORCID iD: 0000-0003-1331-8897
SPIN-code: 3325-8710
Scopus Author ID: 55302983500
ResearcherId: GZM-6775-2022
Cand. Sci. (Vet.), leading researcher
Russian Federation, 6, M. Ulyanova st., Kurgan, 640014References
- Khlusov I.A., Porokhova E.D., Komarova E.G., Kazantseva E.A., Sharkeev Yu.P., Yurova K.A. et al. Scaffolds as carriers of drugs and biomolecules for bone tissue bioengineering. Tsitologiya. 2022;64(3):183-207. (In Russian). doi: 10.31857/S0041377122030051.
- Ghimire A., Song J. Anti-periprosthetic infection strategies: from implant surface topographical engineering to smart drug-releasing coatings. ACS Appl Mater Interfaces. 2021;13(18):20921-20937. doi: 10.1021/acsami.1c01389.
- He M., Huang Y., Xu H., Feng G., Liu L., Li Y. et al. Modification of polyetheretherketone implants: From enhancing bone integration to enabling multi-modal therapeutics. Acta Biomater. 2021;129:18-32. doi: 10.1016/j.actbio.2021.05.009.
- Lohberger B., Eck N., Glaenzer D., Kaltenegger H., Leithner A. Surface modifications of titanium aluminium vanadium improve biocompatibility and osteogenic differentiation potential. Materials (Basel). 2021;14(6):1574. doi: 10.3390/ma14061574.
- Borcherding K., Schmidmaier G., Hofmann G.O., Wildemann B. The rationale behind implant coatings to promote osteointegration, bone healing or regeneration. Injury. 2021;52 Suppl 2:S106-S111. doi: 10.1016/j.injury.2020.11.050.
- Hasan A., Byambaa B., Morshed M., Cheikh M.I., Shakoor R.A., Mustafy T. et al. Advances in osteobiologic materials for bone substitutes. J Tissue Eng Regen Med. 2018;12(6):1448-1468. doi: 10.1002/term.2677.
- Martin V., Bettencourt A. Bone regeneration: Biomaterials as local delivery systems with improved osteoinductive properties. Mater Sci Eng C Mater Biol Appl. 2018;82:363-371. doi: 10.1016/j.msec.2017.04.038.
- Stogov M.V., Smolentsev D.V., Kireeva E.A. Xenografts in Trauma and Orthopaedics (Analytical Review). Traumatology and Orthopedics of Russia. 2020;26(1):181-189. (In Russian). doi: 10.21823/2311-2905-2020-26-1-181-189.
- Amirazad H., Dadashpour M., Zarghami N. Application of decellularized bone matrix as a bioscaffold in bone tissue engineering. J Biol Eng. 2022;16(1):1. doi: 10.1186/s13036-021-00282-5.
- Zhang H., Yang L., Yang X.G., Wang F., Feng J.T., Hua K.C. et al. Demineralized bone matrix carriers and their clinical applications: an overview. Orthop Surg. 2019;11(5):725-737. doi: 10.1111/os.12509.
- Liu K.F., Chen R.F., Li Y.T., Lin Y.N., Hsieh D.J., Periasamy S. et al. Supercritical carbon dioxide decellularized bone matrix seeded with adipose-derived mesenchymal stem cells accelerated bone regeneration. Biomedicines. 2021;9(12):1825. doi: 10.3390/biomedicines9121825.
- Mattioli-Belmonte M., Montemurro F., Licini C., Iezzi I., Dicarlo M., Cerqueni G. et al. Cell-Free demineralized bone matrix for mesenchymal stem cells survival and colonization. Materials (Basel). 2019;12(9):1360. doi: 10.3390/ma12091360.
- Nie W., Wang Z., Cao J., Wang W., Guo Y., Zhang C. et al. Preliminary outcomes of the combination of demineralized bone matrix and platelet Rich plasma in the treatment of long bone non-unions. BMC Musculoskelet Disord. 2021;22(1):951. doi: 10.1186/s12891-021-04840-2.
- Jin Y.Z., Zheng G.B., Lee J.H., Han S.H. Comparison of demineralized bone matrix and hydroxyapatite as carriers of Escherichia coli recombinant human BMP-2. Biomater Res. 2021;25(1):25. doi: 10.1186/s40824-021-00225-7.
- He L.H., Zhang Z.Y., Zhang X., Xiao E., Liu M., Zhang Y. Osteoclasts may contribute bone substitute materials remodeling and bone formation in bone augmentation. Med Hypotheses. 2020;135:109438. doi: 10.1016/j.mehy.2019.109438.
- Zhu H., Blahnová V.H., Perale G., Xiao J., Betge F., Boniolo F. et al. Xeno-Hybrid bone graft releasing biomimetic proteins promotes osteogenic differentiation of hMSCs. Front Cell Dev Biol. 2020;8:619111. doi: 10.3389/fcell.2020.619111.
- Carvalho M.S., Cabral J.M.S., da Silva C.L., Vashishth D. Bone matrix non-collagenous proteins in tissue engineering: creating new bone by mimicking the extracellular matrix. Polymers (Basel). 2021;13(7):1095. doi: 10.3390/polym13071095.
- Leng Q., Liang Z., Lv Y. Demineralized bone matrix scaffold modified with mRNA derived from osteogenically pre-differentiated MSCs improves bone repair. Mater Sci Eng C Mater Biol Appl. 2021;119:111601. doi: 10.1016/j.msec.2020.111601.
- Rajendran A.K., Amirthalingam S., Hwang N.S. A brief review of mRNA therapeutics and delivery for bone tissue engineering. RSC Adv. 2022;12(15):8889-8900. doi: 10.1039/d2ra00713d.
- Stogov M.V., Dyuryagina O.V., Silanteva T.A. Kireeva E.A., Shipitsina I.V., Stepanov M.A. Preclinical evaluation of the efficacy and safety of a new osteoplastic material of xenogenic origin containing vancomycin or meropenem. Orthopaedic Genius. 2022;28(4):565-573. (In Russian). doi: 10.18019/1028-4427-2022-28-4-565-573.
- Cho H., Bucciarelli A., Kim W., Jeong Y., Kim N., Jung J. et al. Natural sources and applications of demineralized bone matrix in the field of bone and cartilage tissue engineering. Adv Exp Med Biol. 2020;1249:3-14. doi: 10.1007/978-981-15-3258-0_1.
- Govoni M., Lamparelli E.P., Ciardulli M.C., Santoro A., Oliviero A., Palazzo I. et al. Demineralized bone matrix paste formulated with biomimetic PLGA microcarriers for the vancomycin hydrochloride controlled delivery: Release profile, citotoxicity and efficacy against S. aureus. Int J Pharm. 2020;582:119322. doi: 10.1016/j.ijpharm.2020.119322.
- Zwolak P., Farei-Campagna J., Jentzsch T., von Rechenberg B., Werner C.M. Local effect of zoledronic acid on new bone formation in posterolateral spinal fusion with demineralized bone matrix in a murine model. Arch Orthop Trauma Surg. 2018;138(1):13-18. doi: 10.1007/s00402-017-2818-4.
- Parmaksiz M., Lalegül-Ülker Ö., Vurat M.T., Elçin A.E., Elçin Y.M. Magneto-sensitive decellularized bone matrix with or without low frequency-pulsed electromagnetic field exposure for the healing of a critical-size bone defect. Mater Sci Eng C Mater Biol Appl. 2021;124:112065. doi: 10.1016/j.msec.2021.112065.
- Ferrández-Montero A., Eguiluz A., Vazquez E., Guerrero J.D., Gonzalez Z., Sanchez-Herencia A.J. et al. Controlled SrR Delivery by the Incorporation of Mg Particles on Biodegradable PLA-Based Composites. Polymers (Basel). 2021;13(7):1061. doi: 10.3390/polym13071061.
- Küçüktürkmen B., Öz U.C., Toptaş M., Devrim B., Saka O.M., Bilgili H. et al. Development of zoledronic acid containing biomaterials for enhanced guided bone regeneration. J Pharm Sci. 2021;110(9):3200-3207. doi: 10.1016/j.xphs.2021.05.002.
- Raina D.B., Qayoom I., Larsson D., Zheng M.H., Kumar A., Isaksson H. et al. Guided tissue engineering for healing of cancellous and cortical bone using a combination of biomaterial based scaffolding and local bone active molecule delivery. Biomaterials. 2019;188:38-49. doi: 10.1016/j.biomaterials.2018.10.004.
- Patshina M.V., Voroshilin R.A., Osintsev A.M. Global biomaterials market: potential opportunities for raw materials of animal origin. Food processing: techniques and technology. 2021;51(2):270-289. (In Russian). doi: 10.21603/2074-9414-2021-2-270-289.
- Bracey D.N., Jinnah A.H., Willey J.S., Seyler T.M., Hutchinson I.D., Whitlock P.W. et al. Investigating the osteoinductive potential of a decellularized xenograft bone substitute. Cells Tissues Organs. 2019;207(2): 97-113. doi: 10.1159/000503280.
- Jinnah A.H., Whitlock P., Willey J.S., Danelson K., Kerr B.A., Hassan O.A. et al. Improved osseointegration using porcine xenograft compared to demineralized bone matrix for the treatment of critical defects in a small animal model. Xenotransplantation. 2021;28(2):e12662. doi: 10.1111/xen.12662.
- Erkhova L.V., Panov Yu.M., Gavryushenko N.S., Zaitsev V.V., Lukina Yu.S., Smolentsev D.V. et al. Supercritical Treatment of Xenogenic Bone Matrix in the Process of Manufacture of Implants for Osteosynthesis. Supercritical Fluids: Theory and Practice. 2019;14(4): 42-48. (In Russian). doi: 10.34984/SCFTP.2019.14.4.006.
- Baas J., Vestermark M., Jensen T., Bechtold J., Soballe K., Jakobsen T. Topical bisphosphonate augments fixation of bone-grafted hydroxyapatite coated implants, BMP-2 causes resorption-based decrease in bone. Bone. 2017;97:76-82. doi: 10.1016/j.bone.2017.01.007.
- Onyema O.O., Guo Y., Hata A., Kreisel D., Gelman A.E, Jacobsen E.A. et al. Deciphering the role of eosinophils in solid organ transplantation. Am J Transplant. 2020;20(4):924-930. doi: 10.1111/ajt.15660.
- Sørensen M., Barckman J., Bechtold J.E., Søballe K., Baas J. Preclinical evaluation of zoledronate to maintain bone allograft and improve implant fixation in revision joint replacement. J Bone Joint Surg Am. 2013;95(20):1862-1868. doi: 10.2106/JBJS.L.00641.
- Quarterman J.C., Phruttiwanichakun P., Fredericks D.C., Salem A.K. Zoledronic Acid Implant Coating Results in Local Medullary Bone Growth. Mol Pharm. 2022;19(12):4654-4664. doi: 10.1021/acs.molpharmaceut.2c00644.
- Weber M., Homm A., Müller S., Frey S., Amann K., Ries J. et al. Zoledronate causes a systemic shift of macrophage polarization towards M1 in vivo. Int J Mol Sci. 2021;22(3):1323. doi: 10.3390/ijms22031323.
- Borciani G., Ciapetti G., Vitale-Brovarone C., Baldini N. Strontium functionalization of biomaterials for bone tissue engineering purposes: a biological point of view. Materials (Basel). 2022;15(5):1724. doi: 10.3390/ma15051724.
- You J., Zhang Y., Zhou Y. Strontium functionalized in biomaterials for bone tissue engineering: a prominent role in osteoimmunomodulation. Front Bioeng Biotechnol. 2022;10:928799. doi: 10.3389/fbioe.2022.928799.
- Fillingham Y., Jacobs J. Bone grafts and their substitutes. Bone Joint J. 2016;98-B(1 Suppl A):6-9. doi: 10.1302/0301-620X.98B.36350.
- Rolvien T., Barbeck M., Wenisch S., Amling M., Krause M. Cellular mechanisms responsible for success and failure of bone substitute materials. Int J Mol Sci. 2018;19(10):2893. doi: 10.3390/ijms19102893.
- Cleemann R., Sorensen M., Bechtold J.E., Soballe K., Baas J. Healing in peri-implant gap with BMP-2 and systemic bisphosphonate is dependent on BMP-2 dose-A canine study. J Orthop Res. 2018;36(5):1406-1414. doi: 10.1002/jor.23766.
- Cleemann R., Sorensen M., West A., Soballe K., Bechtold J.E., Baas J. Augmentation of implant surfaces with BMP-2 in a revision setting: effects of local and systemic bisphosphonate. Bone Joint Res. 2021;10(8): 488-497. doi: 10.1302/2046-3758.108.BJR-2020-0280.R1.
- AbuMoussa S., Ruppert D.S., Lindsay C., Dahners L., Weinhold P. Local delivery of a zoledronate solution improves osseointegration of titanium implants in a rat distal femur model. J Orthop Res. 2018;36(12):3294-3298. doi: 10.1002/jor.24125.
- Kellesarian S.V., Subhi A.L., Harthi S., Saleh Binshabaib M., Javed F. Effect of local zoledronate delivery on osseointegration: a systematic review of preclinical studies. Acta Odontol Scand. 2017;75(7): 530-541. doi: 10.1080/00016357.2017.1350994.
- Butscheidt S., Moritz M., Gehrke T., Puschel K., Amling M., Hahn M. et al. Incorporation and remodeling of structural allografts in acetabular reconstruction: Multiscale, micro-morphological analysis of 13 pelvic explants. J Bone Joint Surg Am. 2018;100(16):1406-1415. doi: 10.2106/JBJS.17.01636.
- Wang W., Yeung K.W.K. Bone grafts and biomaterials substitutes for bone defect repair: A review. Bioact Mater. 2017;2(4):224-247. doi: 10.1016/j.bioactmat.2017.05.007.
- Sun J., Wang X., Fu C., Wang D., Bi Z. A crucial role of IL-17 in bone resorption during rejection of fresh bone xenotransplantation in rats. Cell Biochem Biophys. 2015;71(2):1043-1049. doi: 10.1007/s12013-014-0307-8.
- Marmor M.T., Matz J., McClellan R.T., Medam R., Miclau T. Use of osteobiologics for fracture management: the when, what, and how. Injury. 2021;52 Suppl 2: S35-S43. doi: 10.1016/j.injury.2021.01.030.
- Chiang C.W., Chen C.H., Manga Y.B., Huang S.C., Chao K.M., Jheng P.R. et al. Facilitated and controlled strontium ranelate delivery using GCS-HA nanocarriers embedded into PEGDA coupled with decortication driven spinal regeneration. Int J Nanomedicine. 2021;16:4209-4224. doi: 10.2147/IJN.S274461.
Supplementary files







