Reconstruction of Traumatic Medial Malleolus Loss With a Free Iliac Crest Autograft: Case Report
- Authors: Mursalov A.K.1, Kositsyn G.M.1, Dzyuba A.M.1
-
Affiliations:
- National Medical Research Center for Traumatology and Orthopedics named after N.N. Priorov
- Issue: Vol 29, No 1 (2023)
- Pages: 104-110
- Section: Case Reports
- Submitted: 29.11.2022
- Accepted: 20.02.2023
- Published: 11.04.2023
- URL: https://journal.rniito.org/jour/article/view/2030
- DOI: https://doi.org/10.17816/2311-2905-2030
- ID: 2030
Cite item
Abstract
Background. In the world literature only a few cases of medial ankle reconstruction after its traumatic loss were described. The authors have not found similar cases in the Russian-language literature.
The aim of the study is to show a rare clinical case of a patient with a traumatic defect of the medial ankle and to describe the method of its reconstruction.
Case presentation. A 52-year-old patient suffered a motorcycle injury resulting in an open fracture of the medial ankle with bone fragment loss. The patient was taken to a medical facility where he underwent primary surgical treatment with wound suturing. Three months later, the reconstruction of the medial ankle with a free iliac crest autograft, medial ankle osteosynthesis and deltoid ligament plasty were carried out at N.N. Priorov National Medical Research Center of Traumatology and Orthopedics. In the postoperative period, immobilization of the ankle joint was performed for 4 weeks followed by the active development of motions and partial weight bearing 8 weeks after the surgery. The AOFAS score 12 months after the reconstruction was 93 points. According to CT scans, complete autograft integration was achieved and no signs of instability of the ankle joint were observed. The patient was satisfied with the performed surgical treatment.
Conclusion. The most optimal method of treatment in case of traumatic defect of the medial ankle is its reconstruction with a free iliac crest autograft. This allows us to form a graft of required parameters and shape, minimizing the risk of postoperative complications.
Full Text
BACKGROUND
Open fractures of the medial malleolus which cannot be managed with osteosynthesis because of the bone fragment loss or massive fragmentation are uncommon in clinical practice. Stability of the ankle joint is provided by the medial malleolus, so its reconstruction is important to ensure the functional recovery.
The world literature describes several reconstruction techniques, which can be divided into two groups:
1) reconstruction with free bone autografts (from the iliac crest and fibula) [1, 2, 3, 4];
2) reconstruction with local tissues (sliding osteotomy of the tibia) [5].
Taking into account the uncommon character of such injury, the optimal tactics of correction have not yet been determined. In our case, we used free bone autograft from the iliac crest because of the possibility to provide the required shape of the graft and its size.
The aim of the study — was to show a rare clinical case of a patient with a traumatic defect of the medial ankle and to describe the method of its reconstruction.
Clinical case
A 52-year-old patient suffered an isolated injury of the right ankle joint as a result of a motorcycle accident - an open avulsion fracture of the medial malleolus. He was admitted to the hospital, where he underwent primary surgical debridement (Fig. 1). The wound was classified as Gustilo-Anderson II, and no attempt was made to reconstruct the medial malleolus. Antibiotic prophylaxis was administered in the perioperative period. Deltoid ligament bundles attached to the medial malleolus were damaged, vascular and nerve structures were preserved. The patient was referred for consultation to the National Medical Research Center for Traumatology and Orthopedics named after N.N. Priorov, where it was decided to perform a delayed reconstruction, taking into account the condition of the soft tissues. The patient underwent ankle immobilization with a posterior plaster cast from the toes to the middle third of the tibia to prevent equinus deformity of the foot and provide rest for the soft tissues. Anticoagulant therapy was prescribed for the period of immobilization — Rivaroxaban 10 mg once a day. Two weeks after the injury, the patient attended physical therapy classes to improve motions in the ankle joint. Axial load on the injured limb was prohibited, taking into account the high risk of medial subluxation of the foot due to the absence of the medial malleolus.
Fig. 1. Right foot after primary surgical debridement
The patient underwent a CT study of the ankle joints with subsequent 3D reconstruction to mo-del the shape of the medial malleolus (Fig. 2, 3).
Fig. 2. CT scans of both ankle joints after primary surgical debridement
Fig. 3. Results of 3D reconstruction of both ankle joints
Three months later, when the wound healed by secondary intension and the range of active motions in the ankle joint was restored, the patient underwent surgical treatment under spinal anesthesia with prolongation of the analgesic effect by the regional anesthesia (Fig. 4).
Fig. 4. Appearance of the foot after wound healing
Longitudinal approach to the medial malleolus was performed in supine position under pneumatic tourniquet on the thigh. The medial malleolus bed on the tibia was exposed, the proximal deltoid ligament was isolated and mobilized. It is interesting that the integrity of the canal of the tendon of the posterior tibialis muscle was preserved and there was no dislocation of the latter. After preparing the medial malleolus bed, we performed an approach to the iliac crest and took a graft sized 2.5×2×1.8 cm. The graft was modeled according to the shape of the medial malleolus with artificial formation of the anterior and posterior tubercles as well as the medial malleolus sulcus. The graft with the medially faced cortex was fixed with a partially threaded lag cancellous screw to ensure absolute stability and a 2.4 mm antiglide LCP plate to prevent shear forces and rotational load on the graft (Fig. 5). Next, the transosseous fixation of both portions of the deltoid ligament, fused by scar tissue into a single conglomerate, to the distal part of the graft was performed in a neutral foot position. It was not possible to separate the individual ligament components due to scar tissue changes. Duration of the surgery was 55 minutes.
Fig. 5. Surgery stages: a — medial surface of the talar bone in the wound; b — autograft implantation in the medial ankle bed; c — autograft fixation with plate and screws
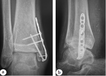
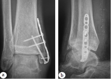
Two weeks after the surgery, the sutures were removed and the wounds healed with primary intension. Continuous immobilization of the ankle joint was performed for 4 weeks to provide adequate integration of the deltoid ligament. Control X-rays were performed, position of the implants was correct and stable (Fig. 6).
Fig. 6. Control X-rays after bone autoplasty and fixation with cancellous screw and plate: a — AP view; b — lateral view
During the next 2 weeks, active development of motions in the ankle joint (flexion and extension) was performed, joint immobilization was continued during the resting period. Six weeks after the surgery, movements aimed at developing inversion and eversion of the foot were allowed, and joint immobilization was discontinued. X-rays of the ankle joint in two views were also carried out at that time: signs of satisfactory consolidation of the graft and absence of signs of its lysis were noted. Eight weeks after the surgery, the patient was allowed to load the limb gradually increasing the weight. Ten weeks after the surgery, the patient switched to full weight-bearing without using additional walking aids.
Twelve months after the surgery, the patient underwent CT of the ankle joint to assess the status of the graft and the condition of the ankle joint. CT scans showed complete consolidation of the graft and no signs of implant migration. There were also no signs of progression of degenerative changes in the ankle joint, which may attest to adequate biomechanics of the joint. Donor site was asymptomatic. AOFAS score was 93 points, range of motions in the ankle joint was 10-0-45°.
There were no clinical signs of medial instability of the ankle joint, and the deltoid ligament had no disruptions. The patient was satisfied with the surgical treatment results.
DISCUSSION
In 1965, J.G. Bonnin published an article on the treatment of a patient with a similar injury [6]. The author did not perform any reconstruction because he believed that the scar tissue at the site of the injury would prosthetize the function of the deltoid ligament. One year after the injury, the patient complained of pain in the ankle joint and sense of instability only during prolonged physical activity. However, the extent of bone loss and the presence of subluxation of the foot are not specified in the article, so this publication is mostly of historic importance.
An article by M.I. Boyer et al. was published in 1994, describing the results of surgical treatment of an open avulsion fracture of the medial malleolus in an 18-year-old patient. The extent of bone damage was significantly less than in the case we presented. Clinically, the patient had medial ankle instability due to complete rupture of the deltoid ligament and a soft tissue defect 6×8 cm above the medial malleolus. Deltoid ligament reconstruction with the tendon of the plantaris muscle of the contralateral limb, tenodesis of the tendon of the posterior tibialis muscle to the medial surface of the talus and coverage of the soft tissue defect with a free flap of the gracilis muscle of the femur were performed. Thirty months after the surgery, the function of the ankle joint was restored [7].
In 2009, S.P. Wu et al. presented a series of 6 cases concerning the treatment of patients with open avulsion fractures of the medial malleolus and significant soft tissue damage using microsurgical techniques. In all cases, the head of the fibula with a section of the tendon of biceps femoris muscle was used as a bone autograft (for deltoid ligament reconstruction). Soft tissue defects were covered with a thoracodorsal flap and an anterolateral femoral flap. In all patients the grafts survived: in 5 cases the wounds healed with primary intension, and only in one case there was an infectious complication, which was treated with debridement and antibiotic therapy. The average follow-up period was 3.5 years (1-5 years). In 5 cases (patients with primary healing), the AOFAS score was 95.2 (93-96) points on average, and only the patient with postoperative infection had 86 points. This is the largest study group described in the literature with excellent postoperative results, which demonstrates the reliability of the technique. However, injuries in the described series of patients were accompanied by a significant soft tissue defect, which required microsurgical techniques to cover defects. This fact significantly increases the requirements to the surgical team and operating room equipment [8].
A clinical case of a 48-year-old patient with an open avulsion fracture was published in 2022. A sliding tibial osteotomy technique was used to reconstruct the medial malleolus. No need for additional injury to the distant donor site is considered by the authors as a special feature of this technique. This significantly reduces the risks of postoperative complications and the development of chronic pain syndrome. Results of treatment were evaluated 2 years after the surgery: 86 points according to the AOFAS scale, the range of motions in the ankle joint was 0-0-30° [5]. In our opinion, one-stage reconstruction is associated with high risk of infectious complications, since a large area of the tibia is exposed in the contaminated wound, also, there may be difficulties with the modeling of the medial malleolus. But we agree with the authors that the need for additional injury to any donor sites decreases. This has a positive effect on patients' postoperative recovery.
The most feasible technique is the reconstruction by sliding osteotomy. However, it increases the risk of infectious complications due to additional injury to the bone tissue in the contamination zone, and also has limited possibilities for modeling the medial malleolus. The use of microsurgical technique significantly increases the potential for reconstructions of any complexity, but significantly extends the time of surgical intervention and the requirements for the surgical team. This technique is indicated for soft tissue defects requiring grafting.
The problem of application of additive technologies for reconstruction of the medial malleolus remains unsolved. Currently, there is no experience in the application of such technologies.
CONCLUSION
Infrequency of the injury makes it impossible to perform large studies to determine the optimal correction technique, but the literature is gradually updated with new data, which expand the experience in managing such traumas. In our opinion, the optimal method of treatment in case of traumatic defect of the medial malleolus is the reconstruction with a free autograft from the iliac crest. This allows us to form a graft of the required size and shape thus minimizing the risk of postoperative complications.
DISCLAIMERS
Author contribution
All authors made equal contributions to the study and the publication.
All authors have read and approved the final version of the manuscript of the article. All authors agree to bear responsibility for all aspects of the study to ensure proper consideration and resolution of all possible issues related to the correctness and reliability of any part of the work.
Funding source. This study was not supported by any external sources of funding.
Competing interests. The authors declare that they have no competing interests.
Ethics approval. Not applicable.
Consent for publication. Written consent was obtained from the patient for publication of relevant medical information and all of accompanying images within the manuscript.
About the authors
Anatolii K. Mursalov
National Medical Research Center for Traumatology and Orthopedics named after N.N. Priorov
Email: tamerlanmursalov@gmail.com
ORCID iD: 0000-0002-3829-5524
Russian Federation, Moscow
Georgii M. Kositsyn
National Medical Research Center for Traumatology and Orthopedics named after N.N. Priorov
Author for correspondence.
Email: og-o@mail.ru
ORCID iD: 0000-0002-3772-7946
Russian Federation, Moscow
Aleksei M. Dzyuba
National Medical Research Center for Traumatology and Orthopedics named after N.N. Priorov
Email: minzdrav2008@mail.ru
ORCID iD: 0000-0001-7718-1872
Russian Federation, Moscow
References
- Anderson T.B., Bae A.S., Kelly J., Antekeier D.P. Treatment of Open Traumatic Medial Malleolus Bone Loss With Osteochondral Allograft: A Case Report. Cureus. 2022;14(11):e31755. doi: 10.7759/cureus.31755.
- Wu S.P. Clinical study of reconstructing the medial malleolus with free grafting of fibular head composite tendon bone flap. Chin J Traumatol. 2008;11(1):34-36.
- Nithyananth M., Cherian V.M., Jepegnanam T.S. Reconstruction of traumatic medial malleolus loss: A case report. Foot Ankle Surg. 2010;16(2):e37-39. doi: 10.1016/j.fas.2009.07.004.
- Liu X., Zhang C., Wang C., Liu G., Liu Y. [Repair and reconstruction of traumatic defect of medial malleolus in children]. Zhongguo Xiu Fu Chong Jian Wai Ke Za Zhi. 2009;23(4):444-447. (In Chinese).
- Huang D., Wang J., Ye Z., Liu H., Huang J. Reconstruction of traumatic medial malleolus loss using the bone sliding technique: A case report. Int J Surg Case Rep. 2022;90:106677. doi: 10.1016/j.ijscr.2021.106677.
- Bonnin J.G. Injury to the ligaments of the ankle. J Bone Joint Surg Br. 1965;47(4):609-611.
- Boyer M.I., Bowen V., Weiler P. Reconstruction of a severe grinding injury to the medial malleolus and the deltoid ligament of the ankle using a free plantaris tendon graft and vascularized gracilis free muscle transfer: case report. J Trauma. 1994;36(3):454-457. doi: 10.1097/00005373-199403000-00042.
- Wu S.P., Zhang F.H., Yu F.B., Zhou R. Medial malleolus and deltoid ligament reconstruction in open ankle fractures with combination of vascularized fibular head osteo-tendinous flap and free flap transfers. Microsurgery. 2009;29(8):630-635. doi: 10.1002/micr.20689.
Supplementary files










