Perifocal Soft Tissue Reactions in Response to Contaminated Implants With a Composite Antibacterial Coating: Experimental Study
- Authors: Savchuk O.P.1, Tapalski D.V.1, Zinovkin D.A.1, Nikolaev V.I.1, Yarmolenko M.A.2, Rogachev A.A.3
-
Affiliations:
- Gomel State Medical University
- Francisk Skorina Gomel State University
- Institute of Chemistry of New Materials of the National Academy of Sciences of Belarus
- Issue: Vol 29, No 1 (2023)
- Pages: 36-45
- Section: Theoretical and experimental studies
- Submitted: 03.10.2022
- Accepted: 01.02.2023
- Published: 11.04.2023
- URL: https://journal.rniito.org/jour/article/view/2000
- DOI: https://doi.org/10.17816/2311-2905-2000
- ID: 2000
Cite item
Abstract
Background. Protection against microbial colonization of surface fixators for metal osteosynthesis can reduce the number of infectious complications.
The aim of the study was to experimentally assess early perifocal tissue reactions to metal implants with a composite antibacterial coating under microbial load.
Methods. Fragments of steel pins for osteosynthesis (diameter 1 mm) with a four-component antibacterial coating based on polylactide, polyurethane, ciprofloxacin and silver nanoparticles were contaminated by methicillin-resistant S. aureus (MRSA) 43431. They were implanted in rats within the quadriceps femoris. Contaminated uncoated pins were used as a control. The animals were withdrawn from the experiment on the 2nd, 4th, 7th day after implantation. Histopathological specimens from tissue around implants were prepared. A semiquantitative assessment of reactions was performed.
Results. The microbial load before implantation was (1.12±0.26)×106 S. aureus cells for the control implants and (0.86±0.31)×106 cells for implants with antibacterial coating. Tissue inflammatory reactions on the second day of implantation were equally evident in the control and investigated groups. There was a significant reduction in the number of immune cells and necrotic detritus, as well as increased growth of connective tissue and neoangiogenesis in the experimental group by the 4th day. The appearance of a less pronounced well-vascularized fibrous capsule around the experimental implants was noted by the 7th day. It indicates a more favorable healing of soft tissues in comparison with the control.
Conclusion. Weak morphological manifestations of tissue reactions in response to the fitting of contaminated implants with an antibacterial coating can be associated with both the direct antimicrobial effect of the coating components and the anti-inflammatory activity of silver nanoparticles and ciprofloxacin included in its composition.
Full Text
BACKGROUND
The incidence of early wound infection of the surgical site after internal osteosynthesis of closed fractures ranges from 0.5% to 10.0% and is up to 50% in case of open fractures [1]. Staphylococcus aureus and coagulase-negative staphylococci prevail in the etiological structure of implant-associated infections [2, 3].
Active protection against microbial colonization of the surfaces of implanted hardware for osteosynthesis represent rather promising strategy that will significantly reduce postoperative wound infection complications [4, 5]. Numerous types of coatings have been developed to provide local antimicrobial activity or to deliver antimicrobial agents to the surgical site. The main disadvantages of the majority of them are the nonoptimal kinetics of antibacterial release, which is often too rapid and does not provide surface protection throughout the implantation period, the possibility of induction of microbial resistance to antibiotics, as well as high susceptibility to mechanical impact [6, 7].
Implant surfaces can be chemically modified or physically coated with various antibacterial substances, such as metal nanoparticles, polymers, hydrogels and antibiotics [8, 9].
Basing on the results of physical-chemical and medical-biological studies, we developed and optimized the compositions of multicomponent coatings with polymer matrixes consisting of polyurethane and biocompatible and biodegradable polylactide, and biocidal components including ciprofloxacin and silver nanoparticles. The coatings are applied to metal base (titanium, stainless steel) by electron-beam deposition from the active gas phase [10, 11].
Pronounced bactericidal effect of the synthesized coatings was established and its universal character against the microorganisms of different taxonomic groups, regardless of the concomitant resistance to antibacterial drugs, was shown. The ability of complete prevention of microbial biofilm formation was revealed. Using HEp-2, HaCaT cell cultures and primary fibroblast culture, we concluded that the four-component polyurethane-polylactide-ciprofloxacin-silver chloride antibacterial coating was biocompatible and had no cytotoxicity. The study of local effect after implantation to nonlinear rats showed that titanium implants with composite antibacterial coating had better biocompatibility and better bio-integration into the surrounding connective tissue comparing to uncoated implants [12, 13].
The study of antibacterial activity and biocompatibility of implants with a four-component composite coating in case of contamination with clinically significant antibiotic-resistant microorganisms appears to be relevant nowadays.
Aim of the study is to experimentally evaluate early perifocal tissue reactions to metal implants with composite antibacterial coating under conditions of microbial load.
METHODS
Implants
We used fragments of wires for osteosynthesis of 1 mm in diameter and 20 mm in length made of corrosion-resistant austenitic steel (Scientific and Technological Park BNTU Polytechnik, Belarus, TU RB 14576608.002-2000). Four-component composite antibacterial coating based on polyurethane, polylactide, ciprofoxacin and silver nanoparticles was applied using vacuum-plasma method from the active gas phase [10, 12]. Control implants had no coating on their surface.
Sterilization of the implants was performed using steam method at steam pressure of 0.11±0.02 MPa at 121°C, exposure time was 45 min.
Microbial culture
A strain of methicillin-resistant S. aureus (MRSA) 43431 from the collection of the Research Institute of Antimicrobial Chemotherapy of Smolensk State Medical University was used as a test culture. The strain was isolated from a patient with posttraumatic osteomyelitis and was characterized by a pronounced ability to form a microbial biofilm. It was resistant to oxacillin (minimum suppressive concentration 256 mg/L), gentamicin (64 mg/L), tetracycline (32 mg/L), rifampicin (256 mg/L), ciprofloxacin (256 mg/L), levofloxacin (32 mg/L).
Implant contamination
A suspension with an optical density of 1 McFarland (2×108 cells/ml) was prepared from a daily culture of S. aureus 43431 in sterile isotonic sodium chloride solution. The implants were dipped into the bacterial suspension using sterile forceps and then transferred into sterile 1.5 ml Eppendorf tubes (a separate tube for each implant). The tubes were kept open in a laminar flow box for 2 hours. The implants having been dried, the tubes were closed and stored at +8°C for no more than one day before implantation. Some samples from the experimental and control groups were inoculated on the surface of blood agar using D. Maki et al. semi-quantitative method to confirm the presence of viable microbial cells on the implant surface and to determine their number [14]. We also resuspended microbial cells in 1 ml of sterile isotonic solution with subsequent quantitative analysis. The experiment was performed in six repetitions.
General characteristics of animals
Thirty Wistar rats of both sexes aged 9-10 weeks and weighing 272.0±16.6 g were included in the experimental study. The animals were randomized into groups using a random number generator. Surgery, subsequent implantation of the hardware, nursing and housing of the animals, withdrawing them from the experiment and sampling the material were performed in a separate box, which met all the standards and regulations for working with pathogenic microorganisms.
Implantation
General inhalation anesthesia was performed with Sevoflurane (Farmland, Belarus). Animal was positioned on its back. Hind limbs were fixed in the abduction position. The skin of the femorogluteal area was cleaned twice with antiseptic Septocid R (BelAseptika, Belarus). The longitudinal 2 cm incision was made with a scalpel along the anterior surface of the thigh. The skin, subcutaneous fat, fascia and muscles up to the thigh bone were dissected layer-by-layer. The edges of the wound were spread with retractors. One wire fragment was implanted longitudinally into the quadriceps muscle. After that the operative wound was sutured layer-by-layer with interrupted capron sutures without drainage. Henceforth, the rats were kept in individual cages to prevent them from gnawing through the ligatures and causing additional trauma to each other. The weight bearing on the limb was not artificially restricted after the implantation of the wires. There were no animal deaths during the whole observation period up to the withdrawal from the experiment.
Preparation of pathohistological samples
On the 2nd, 4th and 7th days each, 10 animals were withdrawn from the experiment in both control and study groups by decapitation under inhalation anesthesia. The implants were removed, and the tissue fragments adjacent to the implantation site were fixed in a 10% solution of neutral buffered formalin for 48 hours. Fixed muscles were cut transverse to the course of the wound canal into slices no more than 3 mm thick and placed in histology cassettes. Biopsy samples were placed in a Thermo Microm STP-120 histological processor (Thermo Scientific, USA). Histological processing in increasing concentrations of isopropyl alcohol, isopropyl alcohol and vaseline oil, as well as tissue infiltration with paraffin in vaseline oil and paraffin and in paraffin were performed. Tissue fragments were embedded in paraffin blocks, which were used to prepare 5-7 μm thick histological sections using a Thermo Fisher Scientific HM 450 sliding microtome (Thermo Scientific, USA). The obtained sections were transferred to glass slides, stained with hematoxylin and eosin according to the standard technique, and placed under coverslips.
Morphometric assessment
Evaluation of periimplant tissue reactions was performed using a semi-quantitative scale based on GOST R ISO 10993-6-2009 "Medical Devices. Biological evaluation of medical devices". Part 6 "Tests for local effects after implantation". Microscopy was performed using Nikon Eclipse 50i microscope (Nikon, Japan) at ×400 magnification power in 10 non-overlapping fields of vision.
Statistical analysis
The Shapiro-Wilk test revealed that the distribution of variables differed from normal (p<0.05); therefore, the results were presented as median (25- and 75-percentiles). Group comparisons were performed using the Mann-Whitney test. Scores were compared using the Kruskal-Wallis test with the Dunn criterion. Differences were considered statistically significant at p<0.05. Statistical analysis was performed using GraphPad Prism v 9.01 software package (GraphPad Software, USA).
RESULTS
Preliminary microbiological study confirmed the presence of viable bacterial cells on the surface of the contaminated control and experimental samples. The calculated microbial load was 106 mic-robial cells of S. aureus 43431 per sample. When inoculating the contaminated control and experimental implants on blood agar using D. Maki semi-quantitative method, abundant microbial growth was observed. The actual microbial load determined by resuspending the microbial cells from the surface of the contaminated implants followed by the quantitative inoculation was (1.12±0.26)×106 cells for the control implants and (0.86±0.31)×106 cells for the experimental implants with antibacterial coating.
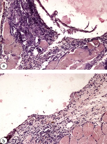
Histological examination on the 2nd day revealed vast areas of necrosis with dense neutrophilic infiltrates in the places of direct contact with the implant surface at the site of implantation of both control and experimental wires (Fig. 1).
Fig. 1. Pathohistological picture at the site of implantation on the 2nd day: a — in the control group; b — in the experimental group. Stained with hematoxylin and eosin. Mag. ×200
Small groups of lymphocytes, plasmacytes and macrophages were located around the necrotic tissues. Single proliferating fibroblasts were observed only in the group of animals with the contaminated implant. Comparison of the tissue reaction parameters is presented in Table 1.
Table 1. Tissue reaction parameters in response on contaminated implants wit and without antibacterial coating, scores
Parameter | 2nd day | 4nd day | 7nd day | |||
experiment | control | experiment | control | experiment | control | |
Polymorphonuclear leukocytes | 4.0(4.0;4.0) | 4.0(4.0;4.0) | 2.2(2.0;2.5) | 2.7 (2.2;3.1) | 0.1(0.0;0.5) | 0,4 (0,3;0.5) |
p = 1.00 | p = 0.106 | р = 0.008 | ||||
Lymphocytes | 3.4 (3.2;3.6) | 3.4 (3.2;3.6) | 3.2(3.0;3.3) | 3.6(3.6;3.9) | 1.3(1.0;1.4) | 1.0(1.0;1.3) |
p = 1.00 | р = 0.0022 | p = 0.372 | ||||
Plasmacytes | 2.0(2.0;2.0) | 2.0(2.0;2.0) | 1.0(0.8;1.3) | 1.6(1.5;1.9) | 0.8(0.8;0.8) | 1.4(1.2;1.4) |
p = 1.00 | р = 0.0043 | р = 0.0022 | ||||
Macrophages | 1.8 (1.6;2.8) | 1.9 (1.6;2.8) | 1.3(1.0;1.8) | 2.5(2.1;3.0) | 0.5(0.4;0.7) | 0.8(0.6;1.1) |
p = 1.00 | р = 0.0022 | p = 0.132 | ||||
Giant cells | - | - | 2.0(2.0;2.3) | 2.7(2.2;2.8) | 0.2(0.1;0.4) | 1.0(1.0;1.0) |
- | р = 0.047 | р = 0.0022 | ||||
Necrosis | 4 (3.8;4.0) | 3.9 (3.8;4.0) | 0.4(0.4;0.9) | 1.2(1.2;1.4) | 0.0(0.0;0.2) | 0.0(0.0;0.0) |
p = 1.00 | р = 0.0022 | p = 0.45 | ||||
Neovascularization | - | - | 0.4(0.4;0.5) | 1.5(1.4;1.7) | 1.4(1.2;1.7) | 0.3(0.4;0.5) |
- | р = 0.0020 | р = 0.0020 | ||||
Fibrosis | 0.2 (0.0;0.4) | 0.0 (0.0;0.0) | 2.1(1.7;2.3) | 2.8 (2.6;2.8) | 1.0(1.1;1.3) | 2.8 (2.8;3.0) |
p = 1.00 | р = 0.0022 | р = 0.0022 | ||||
No statistically significant differences were observed when comparing the total scores (р = 0.786) (Fig. 2). The final value of the difference in total scores (mean value) of the samples on the 2nd day was 0.2.
Fig. 2. Statistical characteristics of the scores in the groups on the 2nd day. Note: The vertical bold dotted line the median line on the graph, the normal dotted line indicates the 25th and 75th percentiles. The curves of the outer lines which form shapes at the graph, show the distribution of cases in the group
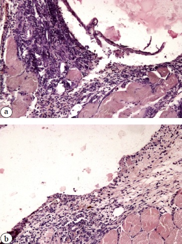
On the 4th day, the control group showed a thick line of immature connective tissue with separate groups of proliferating newly-formed vessels and mild necrotic changes in the areas of direct contact with the implanted wire (Fig. 3 a). Polymorphocellular leukocytes were presented as small dense infiltrates. Lymphocytes infiltrated immature connective tissue forming diffuse abundant clusters. Plasma cells, macrophages and multinucleated giant cells formed single marked infiltrates of newly-formed stroma, predominantly locating along the newly-formed connective tissue.
There was a moderately pronounced line of immature connective tissue in the experimental group with small (4 to 7 in the field of vision) groups of proliferating newly-formed capillaries and areas of minimal necrosis in the place of contact with the implant. Polymorphocellular lymphocytes infiltrated the newly-formed stroma in small groups of cells from 5 to 12 in the field of vision. Lymphocytes were presented as a diffuse abundant infiltrate. Plasma cells, macrophages and multinucleated giant cells were represented by weakly pronounced focal infiltrates similar to those in the control group, predominantly located along the newly-formed connective tissue (Fig. 3 b). The comparison of total scores revealed statistically significant differences (р = 0.0022) (Fig. 4).
Fig. 3. Pathohistological picture at the site of implantation on the 4th day: a — in the control group; b — in the experimental group. Stained with hematoxylin and eosin. Mag. ×200
Fig. 4. Statistical characteristics of the scores in the groups at the day 4 Note: See Figure 2
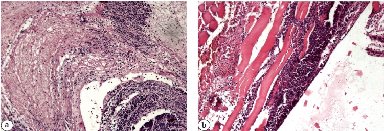
On the 7th day, the control group revealed an extensive weakly vascularized connective tissue capsule around the implant with single necrotized cells (Fig. 5 a). Single polymorphocellular leukocytes and multinucleated giant cells, weakly expressed lymphoid, macrophage and plasmacyte infiltration were detected.
On the 7th day, moderately pronounced well vascularized connective tissue capsule infiltrated by single polymorphocellular leukocytes, lymphocytes, macrophages, plasmacytes and multinucleated giant cells was detected in the experimental group (Fig. 5 b).
Fig. 5. Pathohistological picture at the site of implantation on the 7th day: a — in the control group; b — in the experimental group. Stained with hematoxylin and eosin. Mag. ×200
The comparison of total scores showed statistically significant differences (p = 0.0022) (Fig. 6).
Fig. 6. Statistical characteristics of the scores in the groups at the day 7 Note: See Figure 2
DISCUSSION
Postoperative wound healing is a dynamic process affected by both exogenous and endogenous factors [15, 16]. Bacterial infections are a significant cause of implant failure. The growth of microbial biofilms on the surface of steel or titanium implants can lead to the development of periimplantitis. Microbial contamination of the implant and the associated inflammatory response interfere with the adhesion of osteoblasts. Bacterial infections of the periimplant area can cause osteomyelitis [17].
Perifocal reactions of soft tissues were studied under conditions as close to real ones as possible, when contamination with microorganisms occurs right at the moment of open fracture. The microbial load is usually low, but the presence of an implant in the wound contributes to the development of infectious complications. Early infection is most often localized in the soft tissues, and with its extended duration the bone is also involved.
Marked infiltration with polymorphocellular leukocytes, the presence of necrosis and a weak lymphomacrophagal reaction in both groups on the 2nd day were related to the activation of damage-associated molecular patterns (DAMP) and pathogen-associated molecular patterns (PAMP) signaling pathways involved in nonspecific patterns of innate immune response [18].
By the 4th day the statistically significant decrease of the number of immune cells and necrotic detritus in the experimental group, as well as increased connective tissue overgrowth and neoangiogenesis could be related both to the direct antibacterial effect of ciprofloxacin and silver nanoparticles and to the anti-inflammatory effect of ciprofloxacin revealed by F. Sasche et al. [19]. These effects of antibacterial coatings by the 7th day of implantation led to the development of less pronounced, well vascularized fibrous capsule around the experimental implants with less noticeable infiltration by immune cells. The above-mentioned morphological changes around the experimental implant indicate more favorable soft tissue healing [20].
The antibacterial effect of silver-containing coatings against MRSA strains has already been demonstrated many times in vitro [21, 22]. It is known that, in addition to direct antimicrobial effect, silver nanoparticles can control the release of anti-inflammatory cytokines, thereby contributing to faster wound healing without scar formation [23]. By stimulating the differentiation of myofibroblasts from normal fibroblasts, they allow to control the infection process and accelerate the healing process. Silver nanoparticles also enhance reepithelization of the epidermis by stimulating the proliferation and migration of keratinocytes, and in combination with tetracycline significantly reduce the bacterial load in the superficial and deep tissue layers in the mouse model, which leads to accelerated wound healing [24, 25].
CONCLUSION
The obtained results allowed us to establish subtle pathological morphological manifestations of tissue reactions in response to the use of experimental implants with a four-component composite antibacterial coating in case of bacterial contamination of the surgical wound. On the 7th day, the morphological signs of inflammation at the implantation sites of MRSA-contaminated experimental wires into the soft tissues of the laboratory animals were minimal, which can be attributed both to the direct antimicrobial effect of the coating components on the microorganisms and to the anti-inflammatory activity of silver nanoparticles and ciprofloxacin in the early postoperative period.
DISCLAIMERS
Author contribution
All authors made equal contributions to the study and the publication.
All authors have read and approved the final version of the manuscript of the article. All authors agree to bear responsibility for all aspects of the study to ensure proper consideration and resolution of all possible issues related to the correctness and reliability of any part of the work.
Funding source. State budgetary funding.
Competing interests. The authors declare that they have no competing interests.
Ethics approval. Approval from the local ethics committee was obtained before the start of the study. The study was conducted in compliance with the principles of humane treatment of laboratory animals in accordance with the requirements of the European Convention for the Protection of Vertebrate Animals used for Experiments and other Scientific Purposes and Directive 2010/63/EU of the European Parliament and the Council of the European Union of 22.09.2010 on the protection of animals used for scientific purposes.
Consent for publication. Not required.
About the authors
Oleg P. Savchuk
Gomel State Medical University
Email: osa78@tut.by
ORCID iD: 0000-0003-4360-7091
Белоруссия, Gomel
Dmitry V. Tapalski
Gomel State Medical University
Author for correspondence.
Email: tapalskiy@gmail.com
ORCID iD: 0000-0002-9484-7848
Dr. Sci. (Med.)
Белоруссия, GomelDmitry A. Zinovkin
Gomel State Medical University
Email: zinovkin2012@gmail.com
ORCID iD: 0000-0002-3808-8832
Cand. Sci. (Biol.)
Белоруссия, GomelVladimir I. Nikolaev
Gomel State Medical University
Email: nikolaev.52.52@mail.ru
ORCID iD: 0000-0001-9886-7216
Cand. Sci. (Med.)
Белоруссия, GomelMaksim A. Yarmolenko
Francisk Skorina Gomel State University
Email: simmak79@mail.ru
ORCID iD: 0000-0002-1283-8762
Dr. Sci. (Tech.)
Белоруссия, GomelAleksandr A. Rogachev
Institute of Chemistry of New Materials of the National Academy of Sciences of Belarus
Email: rogachev78@mail.ru
ORCID iD: 0000-0003-4993-0519
Dr. Sci. (Tech.)
Белоруссия, MinskReferences
- Romanò C.L., Bozhkova S.A., Artyukh V., Romanò D., Tsuchiya H., Drago L. Local antibacterial implant protection in orthopedics and trauma: what’s new? Travmatologiya i ortopediya Rossii [Traumatology and Orthopedics of Russia]. 2019;25(4):64-74. doi: 10.21823/2311-2905-2019-25-4-64-74.
- Harris L.G., Richards R.G. Staphylococci and implant surfaces: a review. Injury. 2006;37 Suppl 2:S3-14. doi: 10.1016/j.injury.2006.04.003.
- Tande A.J., Patel R. Prosthetic joint infection. Clin Microbiol Rev. 2014;27(2):302-45. doi: 10.1128/CMR.00111-13.
- Bohara S., Suthakorn J. Surface coating of orthopedic implant to enhance the osseointegration and reduction of bacterial colonization: a review. Biomater Res. 2022;26(1):26. doi: 10.1186/s40824-022-00269-3.
- Zilberman M., Elsner J.J. Antibiotic-eluting medical devices for various applications. J Control Release. 2008;130(3):202-215. doi: 10.1016/j.jconrel.2008.05.020.
- Tobin E.J. Recent coating developments for combination devices in orthopedic and dental applications: A literature review. Adv Drug Deliv Rev. 2017;112:88-100. doi: 10.1016/j.addr.2017.01.007.
- Nie B., Huo S., Qu X., Guo J., Liu X., Hong Q. et al. Bone infection site targeting nanoparticle-antibiotics delivery vehicle to enhance treatment efficacy of orthopedic implant related infection. Bioact Mater. 2022;16:134-148. doi: 10.1016/j.bioactmat.2022.02.003.
- Chouirfa H., Bouloussa H., Migonney V., Falentin-Daudré C. Review of titanium surface modification techniques and coatings for antibacterial applications. Acta Biomater. 2019;83:37-54. doi: 10.1016/j.actbio.2018.10.036.
- Hasan J., Crawford R.J., Ivanova E.P. Antibacterial surfaces: the quest for a new generation of biomaterials. Trends Biotechnol. 2013;31(5):295-304. doi: 10.1016/j.tibtech.2013.01.017.
- Tapalski D.V., Boytsova N. Yu., Osipov V.A., Rogachev A.A., Yarmolenko M.A., Rogachev A.V. et al. [New antibacterial coating based on the mixture of polyurethane and poly-l-lactide]. Doklady Nacionalʹnoj akademii nauk Belarusi [Doclady of the National Academy of Sciences of Belarus]. 2013;57(4):89-95. (In Russian).
- Rogachev A.A., Yarmolenko M.A., Rogachou A.V., Tapalski D.V., Liu X., Gorbachev D.L. Morphology and structure of antibacterial nanocomposite organic–polymer and metal-polymer coatings deposited from active gas phase. RSC Adv. 2013;3(28):11226-11233. doi: 10.1039/C3RA23284K.
- Qi C., Rogachev A.V., Tapalski D.V., Yarmolenko M.A., Rogachev A.A., Jiang X. et al. Nanocomposite coatings for implants protection from microbial colonization: Formation features, structure, and properties. Surf Coatings Technol. 2017;315:350-358. doi: 10.1016/j.surfcoat.2017.02.066.
- Tapalski D.V., Osipov V.A., Sukhaya G.N., Yarmolenko M.A., Rogachiov A.A., Rogachiov A.V. [Biocompatible composite antibacterial coatings for protection of implants against microbial biofilms]. Problemy zdorov’ya i ekologii [Health and Ecology Issues]. 2013;(2):129-134. (In Russian). doi: 10.51523/2708-6011.2013-10-2-24.
- Maki D.G., Weise C.E., Sarafin H.W. A semiquantitative culture method for identifying intravenous-catheter-related infection. N Engl J Med. 1977;296(23):1305-1309. doi: 10.1056/NEJM197706092962301.
- Velnar T., Bailey T., Smrkolj V. The wound healing process: an overview of the cellular and molecular mechanisms. J Int Med Res. 2009;37(5):1528-1542. doi: 10.1177/147323000903700531.
- Takeo M., Lee W., Ito M. Wound healing and skin regeneration. Cold Spring Harb Perspect Med. 2015;5(1):a023267. doi: 10.1101/cshperspect.a023267.
- Sharma S., Bano S., Ghosh A.S., Mandal M., Kim H.W., Dey T. et al. Silk fibroin nanoparticles support in vitro sustained antibiotic release and osteogenesis on titanium surface. Nanomedicine. 2016;12(5):1193-1204. doi: 10.1016/j.nano.2015.12.385.
- Wilkinson H.N., Hardman M.J. Wound healing: cellular mechanisms and pathological outcomes. Open Biol. 2020;10(9):e200223. doi: 10.1098/rsob.200223.
- Sachse F., von Eiff C., Becker K., Rudack C. Anti-inflammatory effects of ciprofloxacin in S. aureus Newman induced nasal inflammation in vitro. J Inflamm. 2008;5(1):e11. doi: 10.1186/1476-9255-5-11.
- Pastar I., Wong L.L., Egger A.N., Tomic-Canic M. Descriptive vs mechanistic scientific approach to study wound healing and its inhibition: Is there a value of translational research involving human subjects? Exp Dermatol. 2018;27(5):551-562. doi: 10.1111/exd.13663.
- Gordina E.M., Bozhkova S.A., Erusin A.A. [Highly effective silver oxides: influence of oxygen concentration on antibacterial activity against clinical strains of Staphylococcus aureus]. Sibirskoe meditsinskoe obozrenie [Siberian Medical Review]. 2021;(131):54-60. (In Russian). doi: 10.20333/25000136-2021-5-54-60.
- Necula B.S., Fratila-Apachitei L.E., Zaat S.A., Apachitei I., Duszczyk J. In vitro antibacterial activity of porous TiO2-Ag composite layers against methicillin-resistant Staphylococcus aureus. Acta Biomater. 2009;5(9):3573-3580. doi: 10.1016/j.actbio.2009.05.010.
- Hamdan S., Pastar I., Drakulich S., Dikici E., Tomic-Canic M., Deo S. et al. Nanotechnology-Driven Therapeutic Interventions in Wound Healing: Potential Uses and Applications. ACS Cent Sci. 2017;3(3):163-175. doi: 10.1021/acscentsci.6b00371.
- Vijayakumar V., Samal S.K., Mohanty S., Nayak S.K. Recent advancements in biopolymer and metal nanoparticle-based materials in diabetic wound healing management. Int J Biol Macromol. 2019;122:137-148. doi: 10.1016/j.ijbiomac.2018.10.120.
- Szmyd R., Goralczyk A.G., Skalniak L., Cierniak A., Lipert B., Filon F.L. et al. Effect of silver nanoparticles on human primary keratinocytes. Biol Chem. 2013;394(1):113-123. doi: 10.1515/hsz-2012-0202.
Supplementary files










