Results of Revision Knee Arthroplasty With Individual Implants
- Authors: Zykin A.A.1, Gerasimov S.A.1, Gorbatov R.O.1, Illarionova T.V.1
-
Affiliations:
- Privolzhsky Research Medical University
- Issue: Vol 28, No 4 (2022)
- Pages: 21-30
- Section: СLINICAL STUDIES
- Submitted: 08.09.2022
- Accepted: 05.12.2022
- Published: 26.12.2022
- URL: https://journal.rniito.org/jour/article/view/1995
- DOI: https://doi.org/10.17816/2311-2905-1995
- ID: 1995
Cite item
Abstract
Background. The presence of extensive bone defects significantly complicates the possibility of stable fixation and correct spatial positioning of the revision endoprosthesis components. The primary task of revision surgery is to restore the lost bone. The use of modern implants makes it possible to replace large metaphyseal defects of the tibia and femur, including AORI type 2B и 3 bone defects.
The aim of the study was to evaluate the long-term results of surgical treatment of patients with extensive bone defects (2B and 3 according to AORI) of the proximal tibia and/or distal femur using custom-made implants for revision knee arthroplasty.
Methods. A retrospective clinical study was performed in 24 patients who underwent revision arthroplasty using individual implants (9 femoral and 18 tibial) made on a 3D printer in the period from 2017 to 2021. T3 defect according to AORI classification was diagnosed in 12 patients (50%), F3 defect — in 1 (4.17%), F2B — in 8 (33.3%), T2B — in 6 (25%). All patients before surgery and 3, 6, 12 months after surgery were surveyed according to the international scales VAS, KSS, WOMAC and SF-36.
Results. At the follow-up examination 12 months after the surgery, 9 out of 24 patients (37.5±10%) walked without additional means of support, 10 out of 24 (41.7±10%) with a cane, 4 out of 24 (16,7±8%), walkers — 1 out of 24 (4.2±10%). There were no periprosthetic fractures during surgery and in the postoperative period. When evaluating the functional state of the knee joint, an excellent result was registered in 45.8±10% and 33.3±10%; good — in 37.5±10% and 54.2±10%; satisfactory — in 16.67±8% and 12.5±7% according to the KSS and WOMAC scales, respectively. When assessed on the VAS scale, there was a positive trend in the form of statistically significant decrease in pain in all patients (p<0.01).
Conclusion. The use of individual implants made using additive 3D printing technologies in revision knee arthroplasty in the presence of extensive bone defects (2B and 3 according to AORI) allows to perform an organ-preserving surgery without loss of the statodynamic function of the lower limb. This study has limitations due to the small sample size. We believe that it is promising to study the long-term results of surgical treatment of patients with extensive bone defects (2B and 3 AORI) of the proximal tibia and /or distal femur using individually manufactured implants for revision knee replacement and a comparative analysis of these results with those using conventional implants.
Full Text
BACKGROUND
Total knee arthroplasty (TKA) is an effective method of treatment of grade 3 knee osteoarthritis (according to the Kellgren-Lawrence classification) [1]. More than 400.000 TKAs are performed in the USA annually [2]. The number of revision arthroplasties increase along with the rise in primary knee arthroplasties. The main reasons of this fact are periprosthetic joint infection (PJI), aseptic loosening of prosthetic components and prosthesis instability, periprosthetic fractures and joint contracture [3]. PJI takes places in 0.5-2.0% of cases after the primary TKA and in 15-20% after the revision knee arthroplasty [4].
Two-stage revision arthroplasty is a gold standard for chronic PJI treatment [5]. The first stage includes the removal of infected prosthetic components with further vast debridement of devitalized tissues and the radical necrectomy. As a result of these procedures, the defects form in the area of the distal part of the femur and proximal part of the tibia [6]. Infectious process having been stopped, the revision knee arthroplasty is performed at the second stage in combination with the implantation of prosthetic components which enable to replace existing defects of the bone tissue.
Extensive bone defects significantly complicate the possibility of stable fixation and correct spatial positioning of revisional prosthetic components. The primary goal of revision arthroplasty is to restore the volume of lost bone tissue [7]. It is considered necessary to fix the prosthesis at least in two anatomic zones of the femur and the tibia in order to achieve its stable fixation and to increase its lifetime. This concept is described by R. Morgan-Jones [8, 9].
Scientific search for the variants of replacement of lost bone tissues still continue. Tantalum cones, bone cement, modular metal augments, auto- and allotransplants are used to replace bone defects nowadays [10]. Modern implants allow to substitute large metaphyseal tibial and femoral defects including bone tissue damages of types 2B and 3 according to the AORI (Anderson Orthopaedic Research Institute) classification [8, 11, 12].
However, officinal implants have significant limitations in case of vast bone tissue defects. In that cases, mega-arthroplasty with replacement of the proximal part of the tibia or distal part of the femur, arthrodesis or amputation are the most frequent. With advances in additive technologies, it has become possible to create implants using computed tomography (CT) data that can be applied for bone defect replacement of almost any complexity, form and size [10]. 3D printing enables to produce implants taking into account individual characteristics of patients that improves postoperative treatment results [13].
Thus, basing on foreign publications, we suppose that individual implants enable to replace severe bone tissue deficit in case of revision arthroplasty. Thereby, we performed an analysis of treatment results of patients with vast bone defects (AORI types 2B and 3) of the proximal part of the tibia and/or distal part of the femur with custom-made implants.
Aim of the study. To present clinical and radiological results of surgical treatment of patients with vast bone defects (AORI types 2B and 3) of the proximal part of the tibia and/or distal part of the femur which underwent revision knee arthroplasty with custom-made implants.
METHODS
Study design
A single-center retrospective study was performed basing on the treatment results of patients of the Research Medical University Hospital that enrolled 24 patients which had undergone surgical treatment concerning the loosening of knee joint spacer from 2017 to 2021.
Inclusion criteria: AORI types 2B and 3 bone defects, antibacterial spacer loosening.
Exclusion criteria: signs of decompensation of severe concomitant diseases (hematologic, immunologic, urogenital, endocrine, psychiatric, cardiovascular, dermatovenerologic, neurologic etc.).
All patients underwent revision knee arthroplasty with custom-made implants (9 femoral and 18 tibial), produced on 3D printing device. Among them were 20 (83%) women and 4 (17%) men aged from 35 to 79 years (68.5 [62; 73.5]). Ten (42%) patients had surgeries on the right knee, 14 (58%) patients on the left one.
Twenty-three (96%) patients had revision arthroplasty with custom-made implants concerning antibacterial spacer loosening, 1 (4%) patient – concerning aseptic spacer loosening associated with periimplant fracture. All patients had vast bone defects that were measured in X-rays and CT scans at the stage of preoperative planning. Bone defects were classified according to AORI [14]. Defects of the proximal part of the tibia were diagnosed in 15 (62.5%) out of 24 patients, of the distal part of the femur – in 6 (25%) patients, of the distal part of the femur and the proximal part of the tibia – in 3 (12.5%) patients. AORI type T3 defect was identified in 12 (50%) patients, F3 defect – in 1 (4.17%) patient, F2B defect – in 8 (33.3%) patients.
All patients had 1 to 6 (2 [2; 3.5]) prior knee surgeries in their medical history (Tab. 1).
Table 1
Clinical characteristics of patients
ID | Age, y.o. | VAS before surgery | Defect type | Number of prior surgeries | Cause of surgery |
1 | 71 | 8 | F3 | 3 | 2 |
2 | 35 | 6 | T2B | 3 | 1 |
3 | 69 | 4 | T3 | 3 | 1 |
4 | 69 | 10 | T3 | 2 | 1 |
5 | 65 | 7 | F2B; T2B | 3 | 1 |
6 | 72 | 5 | T3 | 4 | 1 |
7 | 61 | 8 | T2B | 2 | 1 |
8 | 67 | 4 | F2B | 3 | 1 |
9 | 58 | 6 | F2B | 4 | 1 |
10 | 68 | 6 | T3 | 5 | 1 |
11 | 79 | 5 | T3 | 5 | 1 |
12 | 67 | 7 | T2B | 2 | 1 |
13 | 67 | 6 | T3 | 2 | 1 |
14 | 76 | 8 | T3 | 4 | 1 |
15 | 71 | 7 | T2B | 2 | 1 |
16 | 77 | 7 | F2B | 1 | 1 |
17 | 47 | 6 | T3 | 6 | 1 |
18 | 75 | 5 | T3 | 2 | 1 |
19 | 79 | 6 | T3; F2B | 2 | 1 |
20 | 70 | 8 | T2B | 2 | 1 |
21 | 76 | 7 | T3; F2B | 2 | 1 |
22 | 53 | 6 | T3 | 2 | 1 |
23 | 63 | 8 | F2B | 2 | 1 |
24 | 51 | 7 | F2B | 2 | 1 |
Mean value | 66.1 | 6.2 | – | 2.8 | – |
Patients’ follow-up period after the surgery was 5 months to 4.3 years (28 [8; 38] mths.). Surgery duration was 110 [92.5; 143] minutes, blood loss – 250 [225; 300] ml, post-operative bed-days – 7 [5; 10] days.
All patients had knee X-rays in the anteroposterior and lateral views before the surgery, immediately after the surgery and in 1, 5, 6 and 12 months in the postoperative period. Evaluation of range of motions was performed at the preoperative stage as well as 3, 6 and 12 months after the surgical intervention.
At the stage of preoperative planning all patients underwent knee punction with the following bacterial culture test of the punctate taken 3 times at 1-month intervals.
Preoperative planning and implant production
Multislice spiral computed tomography (CT) with 1 mm-thick slices and full-length X-rays of lower extremities (Full Leg Full Spine — FLFS) were taken at the first stage in order to produce custom-made implants. Then a three-dimensional computer model of the knee joint was created. It was followed by the simulation of the bone defect surface with the use of cut and crop tools that allowed to remove artifacts and hypertrophic scars visualized as bone structures. Afterwards the 3D model of the proximal part of the tibia and/or distal part of the femur of the intact (contralateral) joint was mirrored with its following precision positioning to the place of the bone defect in order to replace the latter. Then the Boolean substruction operation was carried out to produce 3D model of the custom-made implant. Pores were made on the implant surface for better osteointegration. The following topologic 3D implant refinement was performed using the SIMP method (Fig. 1). Finally, the implant was 3D printed using Titanium-Aluminium-Vanadium (Ti6Al4V) alloy and sterilized.
Fig. 1. The stage of computer modeling of an individual implant for the replacement of the distal femur (а) and proximal tibia (b) bone defect
Surgical technique
Surgical intervention was performed under spinal anesthesia in supine position of a patient. Knee arthrotomy was carried out over the old postoperative scar, spacer components were removed, marginal modeling resection and patella denervation, if necessary, were performed (Fig. 2). Then the synovial fluid was aspirated and soft tissue fragments were recovered from 5 different parts for the following bacteriological study.
Fig. 2. Defects of the distal femur and proximal tibia
Implant bed modeling for the components of semiconstrained and fully constrained prostheses was carried out using standard instruments. The sizes of femoral and tibial components were chosen according to CT scans. Bone defects were replaced by custom-made 3D implant depending on their localization (proximal part of the tibia or distal part of the femur) (Fig. 3).
Fig. 3. An individual implant made on a 3D printer
Finally, prosthetic components were implanted using the bone cement (Fig.4). Two doses of bone cement in combination with thermoresistant antibiotics were applied to prevent infectious complications. Then the range of motions was checked, the joint stability was evaluated, the wound was sutured layer-by-layer and knee X-rays in two views were taken (Fig. 5).
Fig. 4. The implanted individual endoprosthesis components
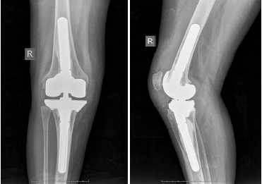
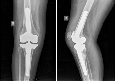
Fig. 5. Postoperative X-rays of the right knee in direct and lateral projections
Evaluation of results
All patients completed questionnaire survey before the surgery and 3, 6 and 12 months after the surgery. Their results were evaluated according to VAS, KSS, WOMAC and SF-36 international scales. In KSS questionnaire the points from 80 to 100 corresponded to excellent results, from 70 to 79 – to good results, from 60 to 69 - to satisfactory results and under 60 – to unsatisfactory ones. In case of WOMAC questionnaire 0-14 points meant excellent results, 15-28 points – good results, 29-38 points – satisfactory results and more than 38 points – unsatisfactory results. SF-36 questionnaire evaluated physical and mental health. The higher was the score, the better was the quality of life.
Postoperative patient management
All patients had antibiotic prophylaxis (before the surgery, during the surgery and 8 hours after the end of the surgery) and thromboprophylaxis (anticoagulants) in the postoperative period. Since the 2nd day after the surgery the patients were allowed to walk with partial weight bearing on the operated knee using crutches. They were discharged from the hospital within 4-14 days (7.7±3.5). In case of pain syndrome, analgesics were administered. Sutures were removed 18-21 days after the surgery. Walking with full-weight bearing was allowed 6 weeks after the surgery according to examination results and X-rays.
Statistical analysis
Statistical analysis of study results was performed using Statistica 10.0 software (StatSoft, USA). Descriptive statistics were presented as Me [25р;75р] (where Me stands for median [25р;75р] – 25th and 75th percentiles) and/or relative value (%). Wilcoxon test was applied to compare the variables in the dependent groups. The differences were statistically significant in case of р<0.05.
RESULTS
There were no signs of individual implant loosening in 23 out of 24 (96%) patients in the postoperative period. One patient had deep periprosthetic infection that required revision surgery. In all cases, precision positioning of prosthetic components was achieved in accordance with the parameters of preoperative planning.
Follow-up examination 12 months after the surgery showed that 9 out of 24 patients (37.5%) was able to walk without additional support, 10 out of 24 patients (41.7%) – with cane, 4 out of 24 (16.7%) – with crutches, 1 out of 24 (4.2%) – with walkers. No periprosthetic fractures occurred intra- and postoperatively.
Eleven out of 24 (45.8%) patients had excellent results according to KSS, 9 (37.5%) patients – good results, 4 (16.67%) patients – satisfactory results. Evaluation of the results according to WOMAC scale showed that 8 out of 24 (33.3%) patients had excellent results, 13 (54.2%) patients – good and 3 (12.5%) patients – satisfactory. Statistically significant pain syndrome decrease was observed in all patients (р<0.01) that was evident by positive dynamics according to VAS.
All patients also showed positive dynamics in both physical and mental health according to the SF-36 questionnaire (р<0.01) (Tab. 2).
Table 2
Patient survey results in 12 months, Me [25р; 75р]
Scale | Before surgery | After surgery | p | |
VAS | 6.0 [5.5; 70] | 1.0 [0; 2] | 0.01 | |
KSS | 40 [34; 42] | 84 [79; 88] | 0.01 | |
WOMAC | 50.5 [46.5; 56.5] | 17.5 [13; 25] | 0.01 | |
SF-36 | Physical health | 31 [19; 43] | 77 [67; 82] | 0.01 |
Mental health | 43 [34; 50] | 91 [87; 93] | 0.01 | |
Range of motions in the operated joint increased in all patients in comparison with preoperative values (р<0.05) (Tab. 3).
Table 3
Change of knee joint function values after revision arthroplasty with individual implants, Me [25р; 75р]
Parameter | Follow-up period, months | |||
0 | 3 | 6 | 12 | |
Range of motions in the knee joint, deg | 15 [13; 20] | 75 [70; 80]* | 85 [70; 95]* | 90 [85; 95]* |
Flexion angle, deg | 20 [15; 25] | 75 [70; 80]* | 85 [70; 95]* | 90 [85; 95]* |
Extension angle, deg | 5 [3; 5]** | 0 [0; 0]* | 0 [0; 0]* | 0 [0; 0]* |
* — statistical significance of differences comparing to preoperative values (р<0.05);
** — extension deficit in the knee joint
DISCUSSION
Custom-made implants for treating patients with vast bone defects are used more and more often in surgical practice nowadays [15]. However, as a rule, the choice of method is determined by surgeon’s preferences and availability of each of technologies at a certain health care facility [16]. Lower extremity amputation is one of the treatment options if there is no possibility to replace the bone defect using standard implants [17].
G. Burastero et al. reported clinical and biomechanical results of treating patients with bone defects of the femur and the tibia using custom-made porous metaphyseal cones. Good and excellent results according to KSS were obtained in all patients, that corresponds to our findings. Authors also showed that custom-made implants provided more even load distribution upon the bone in comparison with standard cement or cementless prosthesis stems [4].
M.W. Tetreault et al. presented the data on survivability of 202 (134 tibial, 68 femoral) porous custom-made titanium metaphyseal cones in 139 patients. All patients had AORI types 2B and 3 metaphyseal defects of the femur and the tibia. Authors reported good clinical and radiological outcomes. Patients’ mean score according to KSS significantly increased from 50 (range 0-94) to 87 (range 72-94) points (р<0.001), and that corresponds to our study findings [18]. Evaluating postoperative results, PJI was noticed in 3 patients, one patient had periprosthetic fracture, and one – aseptic loosening of the tibial prosthetic component. Only one patient in our study developed complication (PJI). In our opinion, possible causes of that were three surgeries in his previous medical history (two of them – antibacterial spacer implantation concerning PJI), comorbidities (type II diabetes mellitus, rheumatoid arthritis, postphlebitic syndrome), muscular hypo- and atrophy, multiple hypertrophic scars at the surgical site.
A.A. Chernyi et al. present results of surgical treatment of 26 patients with 30 custom-made implants (12 femoral and 18 tibial) used during revision knee arthroplasty. Similar to our study, the authors reported no technical difficulties in positioning and implantation of custom-made titanium cones [17].
E.A. Remily et al. reported that 51 (98.1%) out of 52 implants had no radiological signs of prosthetic component loosening. Mean KSS scores were statistically significantly (р<0.001) higher comparing to preoperative ones (52.0 before the surgery; 80.4 after the surgery) [19]. Our study also revealed positive dynamics and increase of KSS scores in the postoperative period in comparison with preoperative values.
G. Piovan et al. presented in their study the results of using custom-made metaphyseal tibial cone with holes on its anterior surface that had allowed the surgeon to achieve precision fixation of the tibial tuberosity with screws when performing osteotomy during TKA [20]. However, patients in our study had no indications for such surgery. We suppose that this way of using custom-made implants can become further tendency towards 3D modelling of prosthetic components of the knee.
Limitations
This study has limitations due to a small sample. We consider it promising to study long-term results of surgical treatment of patients with vast bone defects (AORI types 2B and 3) of the proximal part of the tibia and/or distal part of the femur with the use of custom-made implants for revision knee arthroplasty and to perform the comparative analysis of these results in comparison with officinal implants.
CONCLUSION
All patients had significant improvement in SF-36, KSS, WOMAC and VAS scores in the postoperative period. X-rays of 23 out of 24 patients showed no prosthetic components’ loosening. The implants precisely matched the bone defects in all patients. Using custom-made implants produced by the means of additive technologies enables to preserve the lower extremity and its static and dynamic function in case of revision knee arthroplasty concerning vast bone tissue defects.
DISCLAIMERS
Author contribution
Zykin A.A. — study design, data collection and analysis, literature review, manuscript writing and editing.
Gerasimov S.A. — study design, manuscript editing.
Gorbatov R.O. — study concept, data collection and analysis, manuscript editing.
Illarionova T.V. — literature review, manuscript writing and editing, data statistical processing.
All authors have read and approved the final version of the manuscript of the article. All authors agree to bear responsibility for all aspects of the study to ensure proper consideration and resolution of all possible issues related to the correctness and reliability of any part of the work.
Funding source. State budgetary funding.
Competing interests. The authors declare that they have no competing interests.
Ethics approval. The study was approved by the local ethics committee of Privolzhsky Research Medical University, protocol No 6, 26.03.2021.
Consent for publication. Not required.
About the authors
Andrey A. Zykin
Privolzhsky Research Medical University
Email: dr.zykin@mail.ru
ORCID iD: 0000-0002-6321-3631
Cand. Sci. (Med.)
Russian Federation, Nizhny NovgorodSergei A. Gerasimov
Privolzhsky Research Medical University
Email: gerasimoff@list.ru
ORCID iD: 0000-0002-3179-9770
Cand. Sci. (Med.)
Russian Federation, Nizhny NovgorodRoman O. Gorbatov
Privolzhsky Research Medical University
Email: gorbatov.ro@yandex.ru
ORCID iD: 0000-0001-6964-1015
Cand. Sci. (Med.)
Russian Federation, Nizhny NovgorodTat’yana V. Illarionova
Privolzhsky Research Medical University
Author for correspondence.
Email: tatianaillarionov4@yandex.ru
ORCID iD: 0000-0001-7746-4987
Russian Federation, Nizhny Novgorod
References
- Price A.J., Alvand A., Troelsen A., Katz J.N., Hooper G., Gray A. et al. Knee replacement. Lancet. 2018;392(10158): 1672-1682. doi: 10.1016/S0140-6736(18)32344-4.
- Guo E.W., Sayeed Z., Padela M.T., Qazi M., Zekaj M., Schaefer P. et al. Improving Total Joint Replacement with Continuous Quality Improvement Methods and Tools. Orthop Clin North Am. 2018;49(4):397-403. doi: 10.1016/j.ocl.2018.05.002.
- van den Kieboom J., Tirumala V., Xiong L., Klemt C., Kwon Y.M. Periprosthetic joint infection is the main reason for failure in patients following periprosthetic fracture treated with revision arthroplasty. Arch Orthop Trauma Surg. 2022;142(12):3565-3574. doi: 10.1007/s00402-021-03948-3.
- Burastero G., Pianigiani S., Zanvettor C., Cavagnaro L., Chiarlone F., Innocenti B. Use of porous custom-made cones for meta-diaphyseal bone defects reconstruction in knee revision surgery: a clinical and biomechanical analysis. Arch Orthop Trauma Surg. 2020;140(12):2041-2055. doi: 10.1007/s00402-020-03670-6.
- Cochran A.R., Ong K.L., Lau E., Mont M.A., Malkani A.L. Risk of Reinfection After Treatment of Infected Total Knee Arthroplasty. J Arthroplasty. 2016;31 (9 Suppl):156-161. doi: 10.1016/j.arth.2016.03.028.
- Lu J., Han J., Zhang C., Yang Y., Yao Z. Infection after total knee arthroplasty and its gold standard surgical treatment: Spacers used in two-stage revision arthroplasty. Intractable Rare Dis Res. 2017;6(4):256-261. doi: 10.5582/irdr.2017.01049.
- Lee Y.S., Chen A.F. Two-Stage Reimplantation in Infected Total Knee Arthroplasty. Knee Surg Relat Res. 2018;30(2):107-114. doi: 10.5792/ksrr.17.095.
- Divano S., Cavagnaro L., Zanirato A., Basso M., Felli L., Formica M. Porous metal cones: gold standard for massive bone loss in complex revision knee arthroplasty? A systematic review of current literature. Arch Orthop Trauma Surg. 2018;138(6):851-863. doi: 10.1007/s00402-018-2936-7.
- Morgan-Jones R., Oussedik S.I., Graichen H., Haddad F.S. Zonal fixation in revision total knee arthroplasty. Bone Joint J. 2015;97-B(2):147-149. doi: 10.1302/0301-620X.97B2.34144.
- Lei P.F., Hu R.Y., Hu Y.H. Bone Defects in Revision Total Knee Arthroplasty and Management. Orthop Surg. 2019;11(1):15-24. doi: 10.1111/os.12425.
- Barnett S.L., Mayer R.R., Gondusky J.S., Choi L., Patel J.J., Gorab R.S. Use of stepped porous titanium metaphyseal sleeves for tibial defects in revision total knee arthroplasty: short term results. J Arthroplasty. 2014;29(6):1219-1224. doi: 10.1016/j.arth.2013.12.026.
- Kim H.J., Lee O.S., Lee S.H., Lee Y.S. Comparative Analysis between Cone and Sleeve in Managing Severe Bone Defect during Revision Total Knee Arthroplasty: A Systematic Review and Meta-Analysis. J Knee Surg. 2018;31(7):677-685. doi: 10.1055/s-0037-1606564.
- McNamara C.A., Gösthe R.G., Patel P.D., Sanders K.C., Huaman G., Suarez J.C. Revision total knee arthroplasty using a custom tantalum implant in a patient following multiple failed revisions. Arthroplast Today. 2016;3(1):13-17. doi: 10.1016/j.artd.2016.08.003.
- Engh G.A., Parks N.L. The management of bone defects in revision total knee arthroplasty. Instr Course Lect. 1997;46:227-236.
- Savov P., Tuecking L.R., Windhagen H., Ettinger M. Individual Revision Knee Arthroplasty Is a Safe Limb Salvage Procedure. J Pers Med. 2021;11(6):572. doi: 10.3390/jpm11060572.
- Girerd D., Parratte S., Lunebourg A., Boureau F., Ollivier M., Pasquier G. et al. Total knee arthroplasty revision with trabecular tantalum cones: Preliminary retrospective study of 51 patients from two centres with a minimal 2-year follow-up. Orthop Traumatol Surg Res. 2016;102(4):429-433. doi: 10.1016/j.otsr.2016.02.010.
- Cherny A.A., Kovalenko A.N., Bilyk S.S., Denisov A.O., Kazemirskiy A.V., Kulyaba T.A. et al. [Early Outcomes of Patient-Specific Modular Cones for Substitution of Methaphysial and Diaphysial Bone Defects in Revision Knee Arthroplasty]. Travmatologiya i ortopediya Rossii [Traumatology and Orthopedics of Russia]. 2019;25(2):9-18. (In Russian). doi: 10.21823/2311-2905-2019-25-2-9-18.
- Tetreault M.W., Perry K.I., Pagnano M.W., Hanssen A.D., Abdel M.P. Excellent two-year survivorship of 3D-printed metaphyseal cones in revision total knee arthroplasty. Bone Joint J. 2020;102-B(6_Supple_A):107-115. doi: 10.1302/0301-620X.102B6.BJJ-2019-1544.R1.
- Remily E.A., Dávila Castrodad I.M., Mohamed N.S., Wilkie W.A., Kelemen M.N., Delanois R.E. Short-term Outcomes of 3D-Printed Titanium Metaphyseal Cones in Revision Total Knee Arthroplasty. Orthopedics. 2021;44(1):43-47. doi: 10.3928/01477447-20201202-04.
- Piovan G., Farinelli L., Screpis D., Povegliano L., Gigante A.P., Zorzi C. Tibial Tubercle Screw Fixation on Custom Metaphyseal Cone: Surgical Tip in Severe Metaphyseal Tibia Bone Loss. Arthroplast Today. 2022;15:93-97. doi: 10.1016/j.artd.2022.03.019.
Supplementary files









