Histological Features of Fascial Fibromatosis in Patients with Rapidly Progressive Dupuytren’s Contracture
- Authors: Shchudlo N.A.1, Stupina T.A.1, Varsegova T.N.1, Ostanina D.A.1
-
Affiliations:
- National Ilizarov Medical Research Centre for Traumatology and Orthopedics
- Issue: Vol 31, No 3 (2025)
- Pages: 111-120
- Section: СLINICAL STUDIES
- Submitted: 23.01.2025
- Accepted: 06.05.2025
- Published: 15.09.2025
- URL: https://journal.rniito.org/jour/article/view/17664
- DOI: https://doi.org/10.17816/2311-2905-17664
- ID: 17664
Cite item
Full Text
Abstract
Background. Research into the etiology and pathogenesis of palmar fascial fibromatosis remains relevant to this day. However, the data on the histogenetic nature of its rapid progression and histological predictors of its recurrence are absent in the literature.
The aim of the study — to perform a comparative analysis of the tissue composition and perforating arteries of the palmar aponeurosis in patients with rapid and typical progression of Dupuytren’s contracture.
Methods. A total of 222 medical records of patients operated on in the period from 2014 to 2019 were analyzed. The development period of Dupuytren’s contracture (DC) in the largest group (n = 88) — from 3 to 8 years — was defined as typical; the development of DC in two years or less (n = 41) was interpreted as rapid. Histomorphometry of the surgical material was performed in cases of rapid (n = 20, Group 1) and typical (n = 25, Group 2) progression of DC. We used the fragments of palmar aponeurosis from conditionally healthy people (n = 5) as control samples. These were excised during surgical treatment of the hand wounds.
Results. The median content of hyperplastic connective tissue was statistically significantly higher in Group 1 (p < 0.05), though the indicator varied widely in both groups. Group 1 showed a statistically significantly higher proportion of microvasculature vessels, including pathologically altered and newly formed ones (CD34+). Histomorphometry of the perforating arteries of the palmar aponeurosis showed that, compared with the control samples, the outer diameter in medium-sized arteries in patients of Groups 1 and 2 is larger by 4% (p < 0.05) and 12.5% (p < 0.01), respectively. The lumen diameter is 30% smaller in Group 1 (p < 0.01) and 31% larger in Group 2 (p > 0.05). In large-caliber arteries in Groups 1 and 2, the outer diameter is smaller by 18% (p < 0.01) and 17% (p > 0.05) compared to the control, and the lumen diameter is smaller by 52% (p = 0.00) and 18% (p > 0.05), respectively.
Conclusion. Despite the shorter duration of the disease, patients with rapidly progressive Dupuytren’s contracture showed an increase in the number of pathologically altered microcirculatory vessels, as well as more pronounced stenotic remodeling of the perforating arteries of the palmar aponeurosis, which verifies early vascular aging. Histologic predictors of postoperative recurrence should be assessed individually.
Full Text
ВВЕДЕНИЕ
Контрактура Дюпюитрена развивается вследствие фибропролиферативного заболевания ладонной и пальцевой фасций — ладонного фасциального фиброматоза (ЛФФ). История и эпидемиология ЛФФ хорошо изучена, однако вплоть до настоящего времени остаются актуальными исследования его этиологии и патогенеза, разработка и обоснование методов лечения [1, 2]. Клинически заболевание проявляется формированием узлов, а затем и волокнистых тяжей, ограничивающих разгибание пальцев и вызывающих стойкие контрактуры, которые могут существенно влиять на повседневную активность и качество жизни [3]. Заболевание часто встречается у мужчин старше 40 лет с североевропейским происхождением, склонных к употреблению алкоголя, курению и диабету [4, 5, 6], занимающихся тяжелым ручным трудом либо подвергающихся локальной вибрации, передаваемой через кисти рук [7, 8, 9].
Несмотря на обширные исследования молекулярной биологии ЛФФ [10], консервативные методы лечения его ранних проявлений в настоящее время не имеют доказательной базы [11]. Хирургическое лечение, направленное на иссечение или рассечение патологических хорд и коррекцию деформации кисти, улучшает качество жизни пациентов, но требует длительной послеоперационной реабилитации, нередко приводит к осложнениям и не избавляет пациентов от рецидивов, прогрессирования и распространения ЛФФ [12].
У большинства пациентов ЛФФ развивается медленно. По данным исследования, проведенного R.M. Reilly с соавторами, в среднем от появления узлов до развития контрактуры пястно-фалангового сустава более 30° проходит 8,7 года, а у 12% больных заболевание регрессирует [13]. В некоторых случаях контрактура может сформироваться за несколько лет или даже месяцев [14], причем более быстрое развитие характерно для пациентов моложе 50 лет [15]. Прогрессирование контрактуры — одно из основных показаний к оперативному лечению [16]. Однако, по мнению других авторов, оперировать необходимо в такой период времени, когда контрактура перестает прогрессировать, чтобы не спровоцировать рецидив [17, 18]. В доступной литературе мы не обнаружили исследований гистогенетической природы быстрого прогрессирования контрактуры Дюпюитрена и гистологических предикторов рецидивирования у таких пациентов.
Цель исследования — сравнительный количественный анализ тканевого состава и перфорантных артерий ладонного апоневроза у пациентов с быстрым и типичным развитием контрактуры Дюпюитрена.
МАТЕРИАЛЫ И МЕТОДЫ
Дизайн исследования
Тип исследования — одноцентровое когортное нерандомизированное одномоментное.
Проведен ретроспективный анализ историй болезни 222 пациентов, прооперированных в период с 2014 по 2019 г. по поводу контрактуры Дюпюитрена.
Критерии включения: гистологически подтвержденный ЛФФ, наличие точных анамнестических данных о характере и сроках появления первых симптомов заболевания.
Критерий исключения — травмы кисти в анамнезе.
Характеристика пациентов
По давности ЛФФ пациенты были распределены на пять групп: менее 2 лет — 41 пациент; от 3 до 8 лет — 88; от 9 до 14 лет — 60; от 15 до 20 — 28; и более 20 — 5 пациентов. Срок формирования контрактуры Дюпюитрена в наиболее многочисленной группе (от 3 до 8 лет) был определен как типичный, а срок развития контрактуры за ≤ 2 года интерпретирован как быстрый. Группы пациентов с быстрым (группа 1, n = 41) и типичным (группа 2, n = 88) развитием контрактуры оказались сопоставимыми по возрасту (58,39±9,73 и 57,98±1,73 соответственно) и степени контрактуры (2,41±0,60 и 2,54±0,55 соответственно).
Гистоморфометрические исследования операционного материала, иссеченного при открытой фасциэктомии, были выполнены у 20 пациентов группы 1 и у 25 пациентов группы 2. Сравниваемые выборки были стратифицированы по возрасту и степени контрактуры. В качестве сравнения с нормой использованы иссеченные при хирургической обработке ран кисти фрагменты ладонного апоневроза условно здоровых людей (n = 5).
Техника исследования
Операционный материал фиксировали в 4% растворе формалина. Через 1–3 дня проводили вырезку тканевых образцов и заливку по стандартной методике в парафин. На микротоме Reichert (Австрия) получали продольные и поперечные срезы апоневроза, которые затем окрашивали гематоксилином и эозином и трихромным методом по Массону.
Для иммуногистохимического анализа ангиогенеза использовали моноклональные антитела кролика к CD34 (CD34 [EP373Y] подходит для образцов человека) (Abcam, Великобритания). Для визуализации реакции применяли пероксидазную систему детекции с диаминобензидином с микрополимером (ab236469 — Rabbit specific HRP/DAB Detection IHC Detection Kit-Micropolymer, Abcam, Великобритания). Все этапы иммуногистохимической реакции проводились по протоколу, рекомендованному фирмой-производителем антител. Срезы докрашивали гематоксилином.
Для гистоморфометрического анализа тканевого состава и перфорантных артерий патологически измененного ладонного апоневроза были взяты репрезентативные микропрепараты операционного материала.
Изображения гистологических срезов оцифровывали с помощью микроскопа AxioScope A1 (Carl Zeiss MicroImaging GmbH, Германия), оснащенного цифровой камерой AxioCam.
Для определения количественного соотношения гистоструктурных компонентов ладонного апоневроза с целью дифференцировки компонентов соединительной ткани применяли окраску трихромным методом по Массону. От каждого пациента анализировали не менее 30 полей зрения при инструментальном увеличении ×100 (ок. 10; об. 10). Морфометрию проводили с использованием программы PhotoFiltre, методом точко-счетной планиметрии с помощью тестовой решетки равноудаленных точек с прозрачными центрами определяли процентную долю гистоструктурных компонентов ладонного апоневроза в тестовой площади: кровеносных сосудов, жировой соединительной ткани, рыхлой соединительной ткани, плотной соединительной ткани и гиперпластической соединительной ткани по критериям R.F. Warren [19]. В жировой ткани определяли процентную долю сосудов с признаками лимфоцитарно-гистиоцитарной инфильтрации и фиброза адвентиции.
В поперечных сечениях перфорантных артерий ладонного апоневроза диаметром 150–300 мкм (артерии среднего калибра) и более 300 мкм (артерии крупного калибра) в компьютерной программе «ВидеоТесТ-Мастер-Морфология 4.0» (ВидеоТесТ, Россия) измеряли наружный диаметр, диаметр просвета, толщину сосудистой стенки и рассчитывали индекс Керногана как отношение толщины сосудистой стенки к диаметру просвета.
Статистический анализ
Для статистической обработки количественных данных использовали приложение к программе Excel AtteStat версии 9.3.1. Нормальность распределения показателей проверяли по критерию Шапиро – Уилка. Учитывая отклонения распределений некоторых выборок от нормального закона, мера центральной тенденции морфометрических параметров представлена в виде медианы и квартилей, минимальных и максимальных значений Me [Q1; Q3] (min-max). С учетом малой численности выборок (n < 30) гипотезы о различиях переменных в группах проверяли с помощью непараметрического критерия Манна – Уитни. Для проверки равенства медиан трех сравниваемых групп использовали критерий Краскела – Уоллиса. Для оценки значимости отличий частотных показателей применяли критерий Барнарда.
РЕЗУЛЬТАТЫ
В группе 1 было выявлено статистически значимо большее содержание гиперпластической соединительной ткани и кровеносных сосудов в ладонном апоневрозе (табл. 1).
Таблица 1
Процентная доля тканевых составляющих ладонного апоневроза в группах сравнения, Me [Q1; Q3] (min-max)
Структурные компоненты | Группа 1 | Группа 2 | р |
Жировая соединительная | 0,0563 | ||
Гиперпластическая | 0,0152 | ||
Рыхлая соединительная | 0,4219 | ||
Плотная соединительная | 0,4103 | ||
Сосуды | 0,0177 |
р — уровень значимости отличий при сравнении групп 1 и 2 по критерию Манна – Уитни при р < 0,05.
Обнаружены выраженные отличия в строении гиперпластической соединительной ткани и васкуляризации жировой ткани у пациентов сравниваемых групп (рис. 1 и 2).
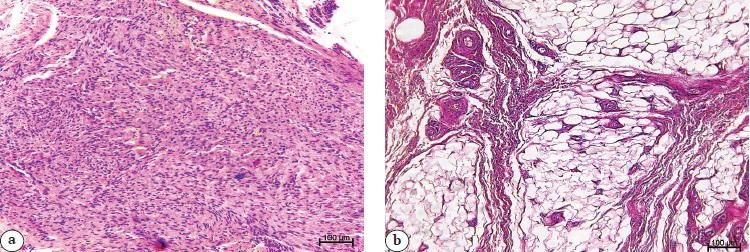
Рисунок 1. Парафиновые срезы операционного материала пациента из группы 1: a — гиперпластическая соединительная ткань с повышенным содержанием сосудов микроциркуляторного русла, высокой клеточной плотностью, вихреобразным (или палисадообразным) расположением клеток; b — в гиперваскуляризованной жировой дольке гиподермы выражены периваскулярная клеточная инфильтрация и экстравазация форменных элементов крови. Окраска гематоксилином и эозином. Увеличение ×100
Figure 1. Paraffin sections of the surgical material from a Group 1 patient: a — hyperplastic connective tissue with an increased content of microcirculatory vessels, high cell density, vortex-like (or palisade-like) arrangement of cells; b — in the hypervascularized fat lobule of the hypodermis, perivascular cellular infiltration and extravasation of blood cells are expressed. Hematoxylin and eosin staining. Magnification ×100
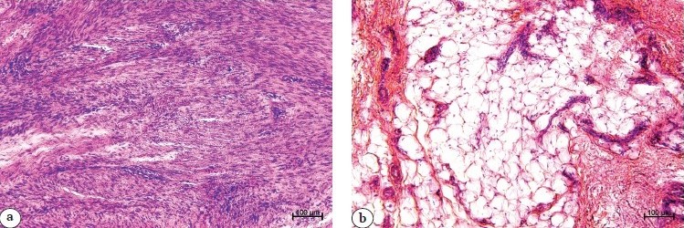
Рисунок 2. Парафиновые срезы операционного материала пациента из группы 2: a — гиперпластическая соединительная ткань с редко встречающимися сосудами и высокой клеточной плотностью; b — в жировой ткани преобладают сосуды с фиброзноизмененными утолщенными стенками. Окраска гематоксилином и эозином. Увеличение ×100
Figure 2. Paraffin sections of the surgical material from a Group 2 patient: a — hyperplastic connective tissue with sparse vessels and high cellular density; b — vessels with fibrously changed thickened walls predominate in adipose tissue. Hematoxylin and eosin staining. Magnification ×100
В группе 1 выявлена бо́льшая процентная доля патологически измененных сосудов преимущественно за счет сосудов с инфильтрированными стенками (р = 0,0001), в то время как в группе 2 больше доля кровеносных сосудов с фиброзно-измененными стенками (табл. 2).
Таблица 2
Процентная доля патологически измененных сосудов от всех сосудов микроциркуляторного русла в поле зрения в группах сравнения, Me [Q1; Q3] (min-max)
Патоморфологический признак | Группа 1 | Группа 2 | p |
Периваскулярная | 23,27 | 14,55 | 0,0001 |
Периваскулярный фиброз | 3,04 | 6,77 | 0,0001 |
р — уровень значимости отличий при сравнении групп 1 и 2 по критерию Барнарда при р < 0,05.
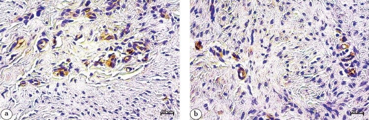
Экспрессия CD34 в эндотелии сосудов микроциркуляторного русла в гиперпластической соединительной ткани была более выражена в группе 1 (рис. 3).
Рисунок 3. Парафиновые срезы операционного материала пациента из группы 1 (a) и пациента из группы 2 (b). Экспрессия маркера CD34 в эндотелии сосудов микроциркуляторного русла в гиперпластической соединительной ткани. Иммуногистохимическая реакция с антителами к CD34, докраска гематоксилином. Увеличение ×400
Figure 3. Рaraffin sections of the surgical material from a Group 1 patient (a) and from a Group 2 patient (b). Expression of CD34 in the endothelium of microcirculatory vessels in hyperplastic connective tissue is observed. Immunohistochemical reaction with antibodies to CD34, сounterstaining with hematoxylin. Magnification ×400
Гистоморфометрия перфорантных артерий ладонного апоневроза показала, что в артериях среднего калибра в группах 1 и 2 наружный диаметр больше по сравнению с нормой медианы на 4% (p < 0,05) и 12,5% (p < 0,01) соответственно (рис. 4), при этом отличия показателей в группах 1 и 2 были статистически незначимы. Толщина стенки в группах 1 и 2 по сравнению с нормой больше на 55% (p = 0,00) и 9% (p > 0,05) соответственно, при этом отличия показателей в группах 1 и 2 были статистически значимы. Диаметр просвета артерий по сравнению с нормой в группе 1 меньше на 30% (p < 0,01), а в группе 2 больше на 31% (p > 0,05), отличия показателей групп 1 и 2 были статистически значимы (табл. 3).
Таблица 3
Количественные характеристики артерий среднего и крупного калибров, Me [Q1; Q3]
Группа | Диаметр сосуда | Диаметр просвета | Толщина стенки | Индекс Керногана |
Артерии диаметром 150–300 мкм | ||||
Норма (н) | 183,30 рн-1 = 0,035* рн-2 = 0,005* рн-1-2 = 0,012* | 96,61 рн-1 = 0,005* рн-2 = 0,205 рн-1-2 = 0,0005* | 42,09 рн-1 = 1,3∙10-8* рн-2 = 0,4470 рн-1-2 = 0,00001* | 0,41 рн-1 = 1,65∙10-6* рн-2 = 0,0715 рн-1-2 = 0,000001* |
Группа 1 | 190,76 р1-2 = 0,145 | 67,75 р1-2 = 0,0003* | 64,71 р1-2 = 0,00017* | 0,89 р1-2 = 1,6∙10-10* |
Группа 2 | 205,83 | 126,65 | 45,75 | 0,30 |
Артерии диаметром более 300 мкм | ||||
Норма (н) | 412,80 рн-1 = 0,005* рн-2 = 0,109 рн-1-2 = 0,008* | 243,15 рн-1 = 7,6∙10-5* рн-2 = 0,175 рн-1-2 = 0,0007* | 89,03 рн-1 = 0,008* рн-2 = 0,902 рн-1-2 = 0,091 | 0,30 рн-1 = 7,6∙10-5* рн-2 = 0,1757 рн-1-2 = 0,224 |
Группа 1 | 337,71 р1-2 = 0,035* | 117,13 р1-2 = 0,041* | 113,36 р1-2 = 0,2598 | 1,12 р1-2 = 0,0137* |
Группа 2 | 343,90 | 200,66 | 84,84 | 0,34 |
pн-1, рн-2 — уровни значимости отличий при сравнении нормы с группой 1 и группой 2 по критерию Манна – Уитни; р1-2 — уровни значимости отличий при сравнении групп с быстрым и типичным течением заболевания; рн-1-2 — уровни значимости отличий при сравнении трех исследуемых групп критерием Краскела – Уоллиса; * — различия значимы при р < 0,05.
В артериях крупного калибра в группах 1 и 2 наружный диаметр по сравнению с нормой меньше на 18% (p < 0,01) и 17% (p > 0,05) соответственно (рис. 4), межгрупповая разница статистически значима. Толщина стенки у крупных артерий по сравнению с нормой больше на 27% в группе 1 (p < 0,01), но меньше на 5% в группе 2 (p > 0,05). Диаметр просвета крупных артерий в группах 1 и 2 в сравнении с нормой меньше на 52% (p = 0,00) и 18% (p > 0,07) соответственно.
Рисунок 4. Условное масштабирование соотношений морфометрических параметров перфорантных артерий ладонного апоневроза у пациентов с контрактурой Дюпюитрена с контролем: C — контроль (норма); Gr1 — группа с быстрым развитием контрактуры; Gr2 — группа с типичным развитием контрактуры; MSL — артерии среднего калибра; LSL — артерии большого калибра
Figure 4. Conditional scaling of the morphometric parameter ratios of the perforating arteries of the palmar aponeurosis in patients with Dupuytren’s contracture compared to controls: C — controls (norm); Gr1 — a group with rapidly progressive contracture; Gr2 — a group with typically progressive contracture; MSL — medium caliber arteries; LSL — large caliber arteries
Индекс Керногана в артериях среднего и крупного калибра в группе 1 больше в 2 и в 4 раза соответственно, а в группе 2 его изменения статистически незначимы, что отражает снижение пропускной способности перфорантных артерий у пациентов группы 1.
ОБСУЖДЕНИЕ
В ранних гистологических исследованиях ЛФФ прогрессирующее фиброзное замещение жировой ткани, покрывающей ладонный апоневроз и располагающейся между его слоями, рассматривалось в качестве основного патогенетического фактора заболевания. В литературе отмечалось, что фиброзное замещение адипоцитов происходило преимущественно вокруг сосудов [20]. Было также сформировано понятие «гиперпластическая соединительная ткань», замещающая жировую ткань и характеризующаяся повышенной клеточностью и пролиферативной активностью [19]. Эти критерии были положены в основу гистологической классификации болезни Дюпюитрена, которая, по мнению авторов, позволяла оценить вероятность послеоперационного рецидива контрактуры [21], однако эта классификация не предусматривает использования количественных показателей.
В выполненном нами гистоморфометрическом исследовании содержание гиперпластической соединительной ткани в операционном материале пациентов с быстрым развитием контрактуры оказалось статистически значимо больше, чем у пациентов с типичным развитием контрактуры, однако в обеих сравниваемых группах показатель широко варьировал. Поэтому для уточнения вопроса о вероятности рецидивов при быстром развитии контрактуры необходимы дополнительные клинико-статистические исследования.
Комплексное иммуногистохимическое исследование ЛФФ, проведенное ранее другими авторами, документирует повышение клеточности фиброзных тяжей патологически измененного апоневроза с увеличением количества миофибробластов, изменением соотношений типов коллагена, увеличением содержания ретикулярных волокон и снижением количества эластических волокон [22]. Причина ЛФФ до настоящего времени неизвестна, однако общепризнанно, что активация трансформирующего фактора роста β1 и пролиферация миофибробластов происходит под влиянием микрососудистой ангиопатии и тканевой ишемии [23], причем на ранних стадиях ЛФФ характеризуется фокальным повышением васкуляризации, экстравазацией форменных элементов крови и лимфоцитарной околососудистой инфильтрацией [24].
В выполненном нами исследовании впервые проведено сравнение операционного материала пациентов с быстрым и типичным развитием контрактуры Дюпюитрена. У пациентов с быстрым развитием контрактуры увеличено содержание сосудов микроциркуляторного русла — как патологически измененных (с признаками периваскулярной лимфоцитарно-гистиоцитарной инфильтрации либо периваскулярного фиброза), так и новообразующихся. Новообразующиеся сосуды микроциркуляторного русла выявлены иммуногистохимически реакцией с CD34 и, вероятно, отражают компенсаторно-приспособительные изменения в ответ на ишемию, обусловленную констрикцией ладонной дуги и пальцевых артерий локтевой стороны кисти, которая была выявлена нами ранее [25]. Вазоконстрикция ладонной дуги и пальцевых артерий приводила к структурной перестройке (ремоделированию) артерий, перфорирующих ладонный апоневроз [26]. Его выраженность не зависела от возраста пациентов, а направленность различалась в зависимости от калибра артерий [26]: в артериях среднего калибра преобладало экспансивное ремоделирование (увеличение диаметра артерии и просвета), а в артериях крупного калибра — констриктивное ремоделирование с уменьшением диаметра и просвета артерий.
В данном исследовании получены аналогичные данные в группе пациентов с типичным развитием контрактуры Дюпюитрена и впервые установлено, что при быстром развитии контрактуры ремоделирование артерий среднего и крупного калибров носит однонаправленный стенотический характер и более выражено, чем в группе пациентов с типичным развитием контрактуры.
Поскольку сравниваемые группы сопоставимы по возрасту, более выраженное стенотическое ремоделирование перфорантных артерий ладонного апоневроза у пациентов с быстрым развитием контрактуры может свидетельствовать о синдроме раннего (или ускоренного) старения сосудистого русла. Этот феномен проявляется нарушениями эндотелиального барьера, утолщением интимо-медиального комплекса, сужением артерий и их просветов, увеличением скорости распространения пульсовой волны и повышением жесткости артерий эластического типа [27]. Среди факторов риска известны не только генетические и эпигенетические факторы, включая метаболический синдром, артериальную гипертензию, курение и дисплазию соединительной ткани [28], но и вредные условия труда [29]. До шестой декады жизни эндотелиальная дисфункция и жесткость артерий более выражена у мужчин, чем у женщин [30]. В аналогичный период жизни риск развития болезни Дюпюитрена также выше у мужчин, хотя с возрастом разница в частоте заболеваемости мужчин и женщин снижается [31]. Эти данные независимых исследований подтверждают гипотезу о взаимосвязи болезни Дюпюитрена с сосудистым старением, которое неизбежно для всех людей, но при наличии факторов риска развивается ускоренно.
У большинства пациентов с болезнью Дюпюитрена низкий индекс массы тела, сравнимые с условно здоровым контролем артериальное давление, уровень общего холестерина и липидный профиль [32], однако дислипидемия ассоциирована с агрессивным фиброматозом [7]. Поскольку распространенность болезни Дюпюитрена увеличивается [33, 34], необходимы дальнейшие исследования коморбидного статуса и факторов риска сердечно-сосудистых заболеваний у различных групп пациентов с контрактурой Дюпюитрена и, прежде всего, с быстро прогрессирующей.
Ограничения исследования
Для уточнения вопроса о вероятности рецидивов при быстром развитии контрактуры необходимо увеличение объема выборок и проведение расширенного статистического анализа.
ЗАКЛЮЧЕНИЕ
Несмотря на меньшую давность заболевания, у пациентов с быстрым прогрессированием контрактуры Дюпюитрена выявлено увеличение численности патологически измененных сосудов микроциркуляторного русла и более выраженное стенотическое ремоделирование перфорантных артерий ладонного апоневроза, что верифицирует раннее сосудистое старение. Гистологические предикторы послеоперационного рецидивирования необходимо оценивать индивидуально.
ДОПОЛНИТЕЛЬНАЯ ИНФОРМАЦИЯ
Заявленный вклад авторов
Щудло Н.А. — концепция и дизайн исследования, написание текста рукописи.
Ступина Т.А. — обработка материала, статистическая обработка данных, написание текста рукописи.
Варсегова Т.Н. — сбор и обработка материала, статистическая обработка данных, написание текста рукописи.
Останина Д.А. — обработка материала, написание текста рукописи.
Все авторы прочли и одобрили финальную версию рукописи статьи. Все авторы согласны нести ответственность за все аспекты работы, чтобы обеспечить надлежащее рассмотрение и решение всех возможных вопросов, связанных с корректностью и надежностью любой части работы.
Источник финансирования. Авторы заявляют об отсутствии внешнего финансирования при проведении исследования.
Возможный конфликт интересов. Авторы декларируют отсутствие явных и потенциальных конфликтов интересов, связанных с публикацией настоящей статьи.
Этическая экспертиза. Не применима.
Информированное согласие на публикацию. Авторы получили письменное согласие пациентов на публикацию медицинских данных и изображений.
DISCLAIMERS
Author contribution
Shchudlo N.A. — study concept and design, drafting the manuscript.
Stupina T.A. — processing of the material, statistical data processing, drafting the manuscript.
Varsegova T.N. — collection and processing of material, statistical data processing, drafting the manuscript.
Ostanina D.A. — processing of the material, drafting the manuscript.
All authors have read and approved the final version of the manuscript of the article. All authors agree to bear responsibility for all aspects of the study to ensure proper consideration and resolution of all possible issues related to the correctness and reliability of any part of the work.
Funding source. This study was not supported by any external sources of funding.
Disclosure competing interests. The authors declare that they have no competing interests.
Ethics approval. Not applicable.
Consent for publication. Written consent was obtained from the patients for publication of relevant medical information and all of accompanying images within the manuscript.
About the authors
Nathalia A. Shchudlo
National Ilizarov Medical Research Centre for Traumatology and Orthopedics
Email: nshchudlo@mail.ru
ORCID iD: 0000-0001-9914-8563
Dr. Sci. (Med.)
Russian Federation, KurganTatyana A. Stupina
National Ilizarov Medical Research Centre for Traumatology and Orthopedics
Email: stupinasta@mail.ru
ORCID iD: 0000-0003-3434-0372
Dr. Sci. (Biol.)
Russian Federation, KurganTatyana N. Varsegova
National Ilizarov Medical Research Centre for Traumatology and Orthopedics
Author for correspondence.
Email: varstn@mail.ru
ORCID iD: 0000-0001-5430-2045
Cand. Sci. (Biol.)
Russian Federation, KurganDaria A. Ostanina
National Ilizarov Medical Research Centre for Traumatology and Orthopedics
Email: ostaninadar@yandex.ru
ORCID iD: 0000-0002-4399-2973
Russian Federation, Kurgan
References
- Phan R., Hunter-Smith D.J., Rozen W.M. Recent Australian contributions to the management of Dupuytren’s disease. Australas J Plast Surg. 2020;3(1): 39-46. https://doi.org/10.34239/ajops.v3n1.151.
- Идрисов Х.К., Родоманова Л.А. Восполнение дефицита кожного покрова после субтотальной апоневрэктомии при контрактуре Дюпюитрена тяжелой степени: обзор литературы. Травматология и ортопедия России. 2022;28(2):114-123. https:// doi.org/10.17816/2311-2905-1767. Idrisov Kh.K., Rodomanova L.A. Skin Closure After Subtotal Aponeurectomy in Severe Dupuytren’s Contracture: Review. Traumatology and Orthopedics of Russia. 2022;28(2):114-123. (In Russian). https:// doi.org/10.17816/2311-2905-1767.
- Wilburn J., McKenna S.P., Perry-Hinsley D., Bayat A. The impact of Dupuytren disease on patient activity and quality of life. J Hand Surg Am. 2013;38(6):1209-1214. https://doi.org/10.1016/j.jhsa.2013.03.036.
- Trojian T.H., Chu S.M. Dupuytren’s disease: diagnosis and treatment. Am Fam Physician. 2007;76(1):86-89.
- van Straalen R.J.M., de Boer M.R., Vos F., Werker P.M.N., Broekstra D.C. The incidence and prevalence of Dupuytren’s disease in primary care: results from a text mining approach on registration data. Scand J Prim Health Care. 2025;43(1):173-180. https://doi.org/10.1080/02813432.2024.2416678.
- Salari N., Heydari M., Hassanabadi M., Kazeminia M., Farshchian N., Niaparast M. et al. The worldwide prevalence of the Dupuytren disease: a comprehensive systematic review and meta-analysis. J Orthop Surg Res. 2020;15(1):495. https:// doi.org/10.1186/s13018-020-01999-7.
- Morelli I., Fraschini G., Banfi A.E. Dupuytren’s Disease: Predicting Factors and Associated Conditions. A Single Center Questionnaire-Based Case-Control Study. Arch Bone Jt Surg. 2017;5(6):384-393.
- Nilsson T., Wahlström J., Reierth E., Burström L. Dupuytren’s Disease in Relation to the Exposure to Hand-Transmitted Vibration: A Systematic Review and Meta-Analysis. Proceedings. 2023;86(1):30. https:// doi.org/10.3390/proceedings2023086030.
- Ruettermann M., Hermann R.M., Khatib-Chahidi K., Werker P.M.N. Dupuytren’s Disease-Etiology and Treatment. Dtsch Arztebl Int. 2021;118(46):781-788. https://doi.org/10.3238/arztebl.m2021.0325.
- O’Gorman D.B., Vi L., Gan B.S. Molecular mechanisms and treatment strategies for Dupuytren’s disease. Ther Clin Risk Manag. 2010;6:383-390. https:// doi.org/10.2147/tcrm.s9165.
- Ball C., Izadi D., Verjee L.S., Chan J., Nanchahal J. Systematic review of non-surgical treatments for early dupuytren’s disease. BMC Musculoskelet Disord. 2016;17(1):345. https:// doi.org/10.1186/s12891-016-1200-y.
- Rijssen A.L., Ter Linden H., Werker P.M.N. Five-year results of a randomized clinical trial on treatment in Dupuytren’s disease: percutaneous needle fasciotomy versus limited fasciectomy. Plast Reconstr Surg. 2012;129(2):469-477. https:// doi.org/10.1097/PRS.0b013e31823aea95.
- Reilly R.M., Stern P.J., Goldfarb C.A. A retrospective review of the management of Dupuytren’s nodules. J Hand Surg Am. 2005;30(5):1014-1018. https:// doi.org/10.1016/j.jhsa.2005.03.005.
- Townley W.A., Baker R., Sheppard N., Grobbelaar A.O. Dupuytren’s contracture unfolded. BMJ. 2006;332(7538):397-400. https:// doi.org/10.1136/bmj.332.7538.397.
- Gudmundsson K.G., Arngrimsson R., Jónsson T. Eighteen years follow-up study of the clinical manifestations and progression of Dupuytren’s disease. Scand J Rheumatol. 2001;30(1):31-34. https:// doi.org/10.1080/030097401750065292.
- Bayat A., McGrouther D.A. Management of Dupuytren’s disease-clear advice for an elusive condition. Ann R Coll Surg Engl. 2006;88(1):3-8. https:// doi.org/10.1308/003588406X8310.
- Dumitrescu-Ionescu D. A New Therapeutic Approach to Dupuytren’s Contracture / Disease (DD). Adv Plast Reconstr Surg. 2017;1(5):129-136.
- Dutta A., Jayasinghe G., Deore S., Wahed K., Bhan K., Bakti N. et al. Dupuytren’s Contracture – Current Concepts. J Clin Orthop Trauma. 2020;11(4):590-596. https://doi.org/10.1016/j.jcot.2020.03.026.
- Warren R.F. The pathology of Dupuytren’s contracture. Br J Plast Surg. 1953;6(3):224-230.
- MacCallum S.P., Hueston J.T. The pathology of Dupuytren’s contracture. ANZ J Surg. 1962;31(4):241-253. https://doi.org/10.1111/j.1445-2197.1962.tb03271.x.
- Balaguer T., David S., Ihrai T., Cardot N., Daideri G., Lebreton E. Histological staging and Dupuytren’s disease recurrence or extension after surgical treatment: a retrospective study of 124 patients. J Hand Surg Eur Vol. 2009;34(4):493-496. https:// doi.org/10.1177/1753193409103729.
- Alfonso-Rodríguez C.A., Garzón I., Garrido-Gómez J., Oliveira A.C., Martín-Piedra M.Á., Scionti G. et al. Identification of histological patterns in clinically affected and unaffected palm regions in dupuytren’s disease. PLoS One. 2014;9(11):e112457. https:// doi.org/10.1371/journal.pone.0112457.
- Zhang A.Y., Kargel J.S. The Basic Science of Dupuytren Disease. Hand Clin. 2018;34(3):301-305. https:// doi.org/10.1016/j.hcl.2018.03.001.
- Shum D.T. Histopathology. In: McFarlane P.M., McGrouther D.A., Flint M.H. (eds). Dupuytren’s disease. New York: Churchill Livingstone; 1990. p. 25-30.
- Долганова Т.И., Щудло Н.А., Шабалин Д.А., Костин В.В. Оценка гемодинамики артерий кисти и микроциркуляции кожи при контрактуре Дюпюитрена 3–4 стадий до и после оперативного лечения с применением чрескостной фиксации по Г.А. Илизарову. Гений ортопедии. 2019;25(1):86-92. https://doi.org/10.18019/1029-4427-2019-25-1-86-92. Dolganova T.I., Shchudlo N.A., Shabalin D.A., Kostin V.V. Assessment of hemodynamics of the hand arteries and skin microcirculation in Dupuytren’s contracture stages 3 to 4 of before and after surgical treatment with the use of Ilizarov transosseous fixation. Genij Ortopedii. 2019;25(1):86-92. (In Russian). https://doi.org/10.18019/1029-4427-2019-25-1-86-92.
- Щудло Н.А., Варсегова Т.Н., Ступина Т.Н., Щудло М.М. Типы и стадии сосудистого ремоделирования при контрактуре Дюпюитрена (анализ 506 артерий в операционном материале 111 пациентов). Гений ортопедии. 2020;26(2):179-184. https:// doi.org/10.18019/1028-4427-2020-26-2-179-184. Shchudlo N.A., Varsegova T.N., Stupina T.A., Shchudlo M.M. Types and stages of vascular remodeling in Dupuytren’s contracture (analysis of 506 arteries in the surgical material of 111 patients). Genij Ortopedii. 2020;26(2):179-184. (In Russian). https:// doi.org/10.18019/1028-4427-2020-26-2-179-184.
- Nilsson P.M. Early vascular aging (EVA): consequences and prevention. Vasc Health Risk Manag. 2008;4(3):547-552. https://doi.org/10.2147/vhrm.s1094.
- Евсевьева М.Е., Ерёмин М.В., Ростовцева М.В., Сергеева О.В., Фурсова Е.Н., Русиди А.В. и др. Фенотипы преждевременного и благоприятного сосудистого старения у лиц молодого возраста с учетом профиля факторов риска и признаков дисплазии соединительной ткани. Кардиоваскулярная терапия и профилактика. 2020;19(6):2524. https:// doi.org/10.15829/1728-8800-2020-2524. Evseveva M.E., Eremin M.V., Rostovtseva M.V., Sergeeva O.V., Fursova E.N., Rusidi V.A. et al. Phenotypes of early and favorable vascular aging in young people depending on the risk factors and presence of connective tissue dysplasia. Cardiovascular Therapy and Prevention. 2020;19(6):2524. (In Russian). https:// doi.org/10.15829/1728-8800-2020-2524.
- Рудой М.Д. Распространенность синдрома раннего сосудистого старения у мужчин, работающих в условиях воздействия шума. Архивъ внутренней медицины. 2024;14(1):72-80. https:// doi.org/10.20514/2226-6704-2024-14-1-72-80. Rudoi M.D. Prevalence of Early Vascular Aging Syndrome in Men Working Under Noise Exposure. The Russian Archives of Internal Medicine. 2024;14(1):72-80. (In Russian). https://doi.org/10.20514/2226-6704-2024-14-1-72-80.
- Merz A.A., Cheng S. Sex differences in cardiovascular ageing. Heart. 2016;102(11):825-831. https:// doi.org/10.1136/heartjnl-2015-308769.
- Calandruccio J.H. Dupuytren’s contracture. In: Azar F.M., Beaty J.H., Canale S.T. (eds). Campbell’s Operative Orthopaedics. St. Louis, MO: Elsevier; 2017. p. 3734-3749.
- Mathieu S., Pereira B., Dutheil F., Tournadre A., Soubrier M. Cardiovascular Risk Profile in Dupuytren’s Disease: A Systematic Review and Meta-Analysis. Cardiol Cardiovasc Med. 2024;8(5):440-454. https:// doi.org/10.26502/fccm.92920405.
- Broekstra D.C., Kuo R.Y.L., Burn E., Prieto-Alhambra D., Furniss D. Dupuytren Disease: Prevalence, Incidence, and Lifetime Risk of Surgical Intervention. A Population-Based Cohort Analysis. Plast Reconstr Surg. 2023;151(3):581-591. https:// doi.org/10.1097/PRS.0000000000009919.
- Жигало А.В., Почтенко В.В., Морозов В.В., Березин П.А., Баранов В.В., Наконечный Д.Г. и др. Особенности хирургической тактики лечения больных с контрактурой Дюпюитрена (наш опыт). Вопросы реконструктивной и пластической хирургии. 2024;27(1):70-81. https:// doi.org/10.52581/1814-1471/88/07. Zhigalo А.V., Pochtenko V.V., Morozov V.V., Berezin Р.А., Baranov V.V., Nakonechny D.G. et al. Pecial features of surgical approach for patients with Dupuytren’s contracture (our experience). Issues of Reconstructive and Plastic Surgery. 2024;27(1):70-81. (In Russian). https://doi.org/10.52581/1814-1471/88/07.
Supplementary files








