Pathomorphological Changes in Vater-Pacinian Corpuscles in Palmar Fascial Fibromatosis Depending on the Dupuytren’s Contracture Degree
- Authors: Shchudlo N.A.1, Varsegova T.N.1, Stupina T.A.1
-
Affiliations:
- National Ilizarov Medical Research Centre for Traumatology and Orthopedics
- Issue: Vol 28, No 2 (2022)
- Pages: 58-66
- Section: METHODS OF EXAMINATIONS
- Submitted: 07.04.2022
- Accepted: 17.05.2022
- Published: 28.06.2022
- URL: https://journal.rniito.org/jour/article/view/1763
- DOI: https://doi.org/10.17816/2311-2905-1763
- ID: 1763
Cite item
Abstract
Background. World literature data indicate the involvement of Vater-Pacinian corpuscles in the pathogenesis of palmar fascial fibromatosis, but the information about their pathomorphological changes and histomorphometric characteristics is contradictory.
Purpose — a comparative analysis of qualitative and quantitative changes in Vater-Pacinian corpuscles in patients with Dupuytren’s contracture of varying degrees.
Methods. The analysis of case histories and material resected during operations from 100 patients with Dupuytren’s contracture, was made. The patients were divided into two groups: group 1 — those with degree I-II contracture (n = 31), group 2 — those with degree III-IV (n = 69). Histomorphometry of 122 Vater-Pacinian corpuscles, in which the cut plane passed through the central nucleus, was performed in paraffin and semi-thin sections of the patients’ surgical material.
Results. At the time of the disease onset, the difference in age medians in the groups was not statistically significant. The age median at the time of surgery (group 1 — 56.0 years; group 2 — 61.0 years, p = 0.001) and the median of the disease duration (group 1 — 5.0 years; group 2 — 9.0 years, р = 0.006) were higher in group 2, the variability in the disease duration was comparable. As it has been established, Vater-Pacinian corpuscles undergo successive reactive-destructive changes in the form of death of the central axon, stratification of the capsule, inflammation, fibrosis, deformation and destruction. The number of corpuscles is greater (р = 0.040) in group 1 — 1 (0; 3) than in group 2 — 0 (0; 6). In group 2, the corpuscles have larger diameters (group 1 — 0.85 mm; group 2 — 0.96 mm, p = 0.072), more layers of the outer capsule (group 1 –17; group 2 — 20, p = 0.032).
Conclusions. In patients with Dupuytren’s contracture, along with compensatory and adaptive changes in Vater-Pacinian corpuscles (hyperplasia and hypertrophy), their irreversible destructive changes develop, which, when the disease progresses to grade 3-4, lead to a loss in the number of bodies.
Full Text
BACKGROUND
Palmar fascial fibromatosis is a connective tissue disease [1, 2]. It is characterized by a predominant lesion of the palmar aponeurosis in the projection of rays IV-V of the hand, starting with the emergence of nodules and strands [3, 4], which eventually cause limited extension of the fingers and subsequent flexion deformity of the hand [5, 6, 7].
Mikusev recognized the polyetiological nature of the disease due to the interaction of exogenous and endogenous factors [8, 9, 10] and suggested that microcirculation disorders in Vater-Pacinian corpuscles are the primary link in its pathogenesis [11]. Vater-Pacinian corpuscles are sensitive receptors for vibration and deep pressure, important for proprioception, and located in all parts of the human body, but are most numerous on the hand [12, 13, 14]. The ulnar edge of the hand of healthy people contains the largest counts of Vater-Pacinian corpuscles, which are characterized by a major variability in size; the largest corpuscles (up to 5 mm in diameter) are localized in the superficial layers of the aponeurosis, where the capillaries form a denser network. Already at the initial stages of Dupuytren’s contracture, deformity and degenerative-dystrophic changes in Vater-Pacinian corpuscles can be detected, and in the most severe cases, contractures of the Vater-Pacinian corpuscles are absent [11].
Subsequent studies have increased the uncertainty of ideas about the morphological characteristics of the Vater-Pacinian corpuscles in healthy people and in patients with Dupuytren’s contracture. Data on the size of the Vater-Pacinian corpuscles in the fingers of healthy people are contradictory. Thus, according some authors, they had a length of 1.5 mm and widths of 0.78 mm [15], 1.0-2.5 mm, and 0.2-0.5 mm [16], and the sizes varied from 2×1 to 5×5 mm [17]. According to other authors, the diameters of the corpuscles varied from 1.0 to 5.0 mm [14] and from 0.8 to 2.2 mm (average transverse diameter of 1.40±0.23 mm) [18]. Józsa et al. described hypertrophy of Vater–Pacinian corpuscles and an increase in collagen deposits around them in Dupuytren’s contracture [19]. Akyurek et al. and Yenidunya et al., in isolated clinical cases of Dupuytren’s contracture, revealed hyperplasia of corpuscles, i.e., the formation of corpuscle clusters with size that did not differ from normal ones [20, 21]. Campe et al. examined the histological correlates of the pain form of Dupuytren’s contracture in samples from 10 patients and revealed enlarged Vater-Pacinian corpuscles in only one patient [22]. Ehrmantant et al. compared the counts of the Vater-Pacinian corpuscles in five patients with Dupuytren’s contracture and in 17 healthy individuals and revealed that in Dupuytren’s contracture, Vater-Pacinian corpuscles are more numerous than normal, have larger sizes due to an increase in the number of layers, and have more intense reaction with nerve growth factor [15].
Qualitative and quantitative immunohistochemical studies of the topography and density of nerve structures (using antibodies to the S100 protein and tubulin) of normal palmar aponeurosis and in patients with Dupuytren’s contracture also demonstrated a higher density of free nerve endings in pathological samples, which indicates the involvement of nerve structures in enhanced fibrosis in this pathology [23].
Contradictory data on the histomorphometric characteristics of Vater-Pacinian corpuscles under normal conditions, direction of their changes in Dupuytren’s contracture, and opinions of the authors concerning the key role of Vater-Pacinian corpuscles in the pathogenesis of fascial fibromatosis indicate the need for further relevant studies of these structures using more clinical materials.
The study aimed to perform a comparative analysis of qualitative and quantitative changes in the Vater-Pacinian corpuscles in patients with Dupuytren’s contracture of various grades.
METHODS
An analysis was made of case histories and material resected during surgeries from 100 patients with Dupuytren’s contracture, operated on in the period from 2015 to 2020. The age of patients varied from 22 to 70 years.
The inclusion criteria were Dupuytren’s contracture, histologically confirmed palmar fascial fibromatosis. The exclusion criteria were concomitant injuries and a history of hand injuries in patients with Dupuytren’s contracture.
Two comparison groups were distinguished, namely, patients with disease grades I-II (n=31) and disease grades III-IV (n=69).
The criteria for comparison were the recentness of palmar fascial fibromatosis (from the moment of the emergence of areas of the palm skin compaction), age at disease onset, age at the time of surgery, grade of Dupuytren’s contracture according to the Tubiana classification [24], counts of the Vater-Pacinian corpuscles in the surgical material, and their histomorphometric characteristics.
Fragments of the pathologically altered palmar aponeurosis with adjacent areas of subcutaneous adipose tissue and superficial fascia, resected during partial fasciectomy surgeries, were fixed in 4% formalin and embedded in paraffin blocks according to the standard method. Longitudinal and transverse sections (5-7 μm) were obtained on a microtome (Reichert Technologies, Buffalo, NY, USA) and stained with hematoxylin and eosin and Masson’s three-color method. A part of the material was fixed in a mixture of solutions of glutaric aldehyde and paraformaldehyde and then in a solution of osmium (VIII) oxide, poured into araldite. Semi-thin sections were obtained on a Nova ultramicrotome (LKB, Sweden), and stained with methylene blue and basic fuchsin. Images of micropreparations for morphometric studies were obtained using an AxioScope.A1 microscope and an AxioCam digital camera (Carl Zeiss MicroImaging GmbH, Germany). In the program “VideoTesT Master-Morphology, 4.0” (Russia), a histomorphometric study of 122 Vater-Pacinian corpuscles was performed, in which the cut plane passed through the central nucleus. Their average diameter, average number of layers of the outer capsule, and shape factor were determined.
Statistical analysis
Quantitative data were processed in Microsoft Excel using the Attestat program (version 9.3.1). The nonparametric Wilcoxon test (significance level p<0.05) was used to calculate significant differences, since the distribution of data in some samples differed from normal. Tabular data were presented as medians (Me) and quartiles (Q1; Q3).
RESULTS
An analysis of the main clinical and demographic characteristics of the comparison groups presented that at disease onset, the groups were comparable in age, and the difference in median age was not significant (Table 1). The median age at the time of surgery and the median disease duration were greater in group 2 than in group 1 by 5 (p=0.001) and 4 (p=0.006) years, respectively, but the variability in the disease duration was comparable.
Table 1. Main clinical and demographic characteristics of the studied groups of patients, Me (Q1; Q3)
Parameter | Group 1 (grade I-II contracture) n = 31 | Group 2 (grade III-IV contracture) n = 69 | р Wilcoxon’s test |
Age at disease onset, years | 32–68 49.0 (45.5; 54.0) | 22–70 53.5 (47.0; 59.0) | 0.079 |
Age at the time of surgery, years | 39–71 56.0 (51.0; 58.0) | 37–77 61.0 (56.0; 67.0) | 0.001* |
Disease duration, years | 1–30 5.0 (2.0; 9.5) | 0.5–30 9.0 (5.0; 15.0) | 0.006* |
* Intergroup differences are significant.
A morphological study of the fragments of the palmar aponeurosis resected during a partial fasciectomy revealed the presence of encapsulated nerve endings of complex structure (Vater-Pacinian corpuscles) in many samples.
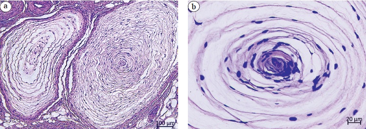
Patients with Dupuytren’s contracture rarely have Vater-Pacinian corpuscles of normal structure. In group 1, there are clusters of corpuscles surrounded by a common perineurium, which include corpuscles with varying degrees of severity of perineuritis (Fig. 1).
Fig. 1. Vater-Pacinian corpuscles in paraffin sections of the palmar aponeurosis of patients with grade II Dupuytren’s contracture. Сluster of two corpuscles with uneven corrugation of layers of perineural cells and with uneven distances between layers. Stained with hematoxylin and eosin. Mag.: а — ×50; b — ×400
Pronounced reactive-destructive changes are detected not only in the corpuscles but also in the nerves and arteries located in their immediate vicinity. In nerve stems, perineuritis naturally accompanies axonal and Wallerian degeneration of myelinated nerve fibers (Fig. 2 a). In most blood vessels (arterioles and capillaries), obliteration of the lumen, wall thickening, and necrobiotic changes in the cellular elements of the vascular walls are noted (Fig. 2 b).
Fig. 2. Nerves (a), blood vessels (b) and Vater-Pacinian corpuscles (c, d) in semi-thin sections of the palmar aponeurosis of patients with grade III Dupuytren’s contracture. Stained with methylene blue and basic fuchsin. Mag.: a, c — ×400; b, d — ×1000
Moreover, a cascade of successive reactive-destructive changes can be detected in Vater-Pacinian corpuscles. Thus, at first the corpuscle, the central part becomes empty because of the destruction of the nerve terminal (Fig. 2 c, d). The circular regularity of the lamellar layers of the inner nucleus and outer capsule begins to deteriorate, pronounced waviness appears, and corpuscle contours start to deform (Fig. 2 c, d).
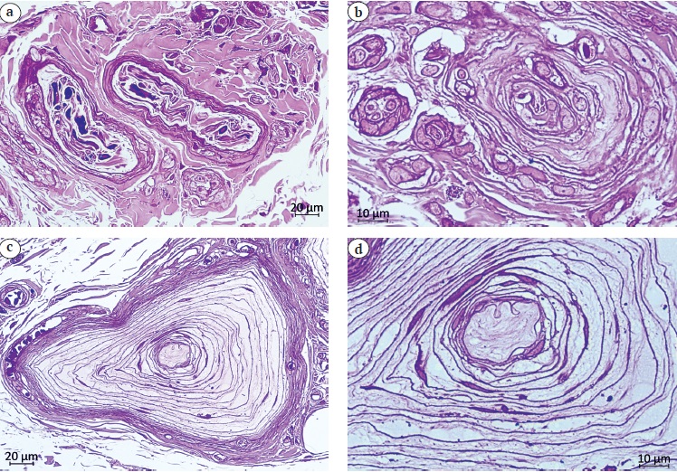
Further, local discontinuities in the individual layers of the outer capsule are noted, but the lamellar structure of the outer capsule and inner nucleus remains intact, and the nuclei of the cells forming lamellae are clearly visible. In sites with impaired integrity of the layers of the outer capsule in the interlamellar spaces, macrophages migrating into the corpuscles and penetrating to the inner nucleus are detected (Fig. 3 a). They have a very dark, often vacuolated cytoplasm, and some become racket-shaped. The outer capsule is delaminated, and the layers become looser.
Fig. 3. Vater-Pacinian corpuscles in paraffin sections of the palmar aponeurosis of patients with grade II Dupuytren’s contracture (a, b), grade III (c) and grade III–IV (d): a — macrophages in the interlamellar spaces of the outer capsule; b, c — fibrosis and deformation of the contours; d — destruction of the corpuscles. Stained with hematoxylin and eosin (a, c, d), Masson’s trichromic method (b). Mag.: a — ×400; b, d — ×40; c — ×100
Subsequently, the signs of the inflammatory reaction intensify; capillaries grow into Vater-Pacinian corpuscles up to the inner bulb. Fibroblast-like cells of the outer capsule start active production of collagen in the interlamellar spaces (Fig. 3 b), the corpuscles become fibrotic (Fig. 3 b, c), their contours begin to deform and wrinkled (Fig. 3 c), some of them acquire a tortuous shape, and finally, they are destroyed (Fig. 3 d).
Histomorphometric studies of the Vater-Pacinian corpuscles of the palmar aponeurosis of patients with Dupuytren’s contracture revealed that the counts of corpuscles in the group with disease grades I-II were higher (p=0.040) than that of patients with grades III-IV (Table 2). The shift in the dimensional characteristics toward larger diameters in group 2 is expressed at the tendency level (p=0.072). In group 2, the corpuscles have numerous outer capsule layers (p=0.032) and lower values of the shape factor (0.016), which indicates greater fibrosis and deformation.
Table 2. Histomorphometric characteristics of the Vater-Pacinian corpuscles of the palmar aponeurosis in patients with Dupuytren’s contracture, Me (Q1; Q3)
Parameter | Group 1 (grade I-II contracture) n = 53 | Group 2 (grade III-IV contracture) n = 69 | р Wilcoxon’s test |
Number of corpuscles | 0–5 1 (0; 3) | 0–6 0 (0; 6) | 0.040* |
Corpuscle diameter, mm | 0.05–2.29 0.85 (0.54; 0.97) | 0.32–1.76 0.96 (0.63; 1.29) | 0.072 |
Number of outer capsule layers | 9–29 17 (14; 21) | 10–38 20 (16; 26) | 0.032* |
Corpuscle shape factor | 0.590–0.980 0.820 (0.770; 0.920) | 0.370–0.990 0.800 (0.680; 0.870) | 0.016* |
* Intergroup differences are significant.
DISCUSSION
In patients with Dupuytren’s contracture, the Vater-Pacinian corpuscles in palmar aponeurosis undergo successive reactive and destructive changes in the form of central axon death, capsular delamination, inflammation, fibrosis, deformation, wrinkling and, ultimately, necrobiosis, which confirms the results of Mikusev who revealed their degenerative and dystrophic changes and subsequent disappearance in this pathology [11]. The reactive and destructive changes in Vater-Pacinian corpuscles are apparently caused by not only microcirculatory disorders [11, 25] but also denervation due to pathomorphological changes in nerves [26, 27]. Similar changes in Vater-Pacinian corpuscles were registered in an experimental model of rat sciatic nerve transaction, where within a week after the nerve transection, axon terminals are destroyed, and after 8 weeks, the lamellae of perineural cells became wavy, their circularity was disturbed, and over time, the production of collagen fibrils increased [28].
The discovery of a clustered arrangement of corpuscles in the analyzed materials is consistent with literature data on Vater-Pacinian corpuscle hyperplasia, which can occur in various diseases, including Dupuytren’s contracture. The pathogenesis of hyperplasia has not been elucidated, but hand trauma is thought to be a potential underlying cause [29]. Apparently, the hyperplasia of Vater-Pacinian corpuscles compensates to some extent for their dysfunctions, destruction, and decrease in counts. In our study of the surgical material of patients with Dupuytren’s contracture, clusters of corpuscles were detected already at the initial disease stages; however, in patients with grade III-IV contracture, the counts of corpuscles was significantly less than in grades I-II.
The tendency identified toward an increase in the diameter of the corpuscles and a significant increase in the number of outer capsule layers in patients with Dupuytren’s contracture grades III-IV compared with those with grades I-II is consistent with the findings of Ehrmantant et al. who revealed an increase in similar parameters in patients with Dupuytren’s contracture compared with healthy individuals [15]. These changes can also be classified as compensatory-adaptive, as an increase in the number of layers of perineural cells increases the barrier properties of the perineurium [30]. On the contrary, according to Ehrmantant et al., excess cell growth of the fibrous capsules of Vater-Pacinian corpuscles generates cells that develop into fibromatous nodules [15]. This concept is indirectly confirmed by the fact that clusters of Vater-Pacinian corpuscles are localized at the level of the metacarpophalangeal joints in the same place where fibromatous nodules are most often formed [14]. However, in our study, the registered increase in the number of outer capsule layers of Vater-Pacinian corpuscles can be considered moderate, since the number of layers is normally 13-15, and with their hypertrophy in an elderly patient who has worked as a mechanic for many years, it is 35-60 [31].
Our study also established that the progression of Dupuytren’s contracture to grades III-IV accompanied by a significant decrease in the shape factor of Vater-Pacinian corpuscles and complete destruction. These data are consistent with the results of sensitivity studies in patients. According to Engstrand et al., in patients with Dupuytren’s contracture with extension deficiency of 60, the normal level of sensitivity before surgery was registered only in 28% of cases, tactile sensitivity disorders were noted in 66%, and those of protective sensitivity were revealed in 6% [32].
CONCLUSIONS
For the first time, a study of qualitative and quantitative changes in Vater-Pacinian corpuscles in patients with Dupuytren’s contracture was performed on a large clinical material, depending on the disease grade. Along with compensatory-adaptive changes (hyperplasia and hypertrophy of corpuscles), their reactive and destructive changes occur, which, with the disease progression to grades III-IV, lead to the irreversible loss of corpuscle counts. The new data obtained eradicate the contradictions in the global literature about the direction of changes in lamellated corpuscles and represent the actual confirmation of the role of these changes in the pathogenesis of palmar fascial fibromatosis.
DISCLAIMERS
Author contribution
Shchudlo N.A. — research conception and design, writing the draft.
Varsegova T.N. — the collection and processing of material, writing the draft.
Stupina T.A. — the collection and processing of material, writing the draft.
All authors have read and approved the final version of the manuscript of the article. All authors agree to bear responsibility for all aspects of the study to ensure proper consideration and resolution of all possible issues related to the correctness and reliability of any part of the work.
Funding source. This study was not supported by any external sources of funding.
Competing interests. The authors declare that they have no competing interests.
Ethics approval. The study was approved by the local Ethics Committee of the National Ilizarov Medical Research Centre for Traumatology and Orthopedics (protocol No 4 (68), 11.11.2020).
Consent for publication. Written consent was obtained from the patients for publication of relevant medical information and all of accompanying images within the manuscript.
About the authors
Nathalia A. Shchudlo
National Ilizarov Medical Research Centre for Traumatology and Orthopedics
Email: nshchudlo@mail.ru
ORCID iD: 0000-0001-9914-8563
SPIN-code: 3795-4250
ResearcherId: H-5588-2018
Dr. Sci. (Med.)
Russian Federation, 6, M. Ulyanova str., Kurgan, 640014Tatyana N. Varsegova
National Ilizarov Medical Research Centre for Traumatology and Orthopedics
Author for correspondence.
Email: varstn@mail.ru
ORCID iD: 0000-0001-5430-2045
SPIN-code: 1974-8274
ResearcherId: O-6886-2018
Cand. Sci. (Biol.)
Russian Federation, 6, M. Ulyanova str., Kurgan, 640014Tatyana A. Stupina
National Ilizarov Medical Research Centre for Traumatology and Orthopedics
Email: stupinasta@mail.ru
ORCID iD: 0000-0003-3434-0372
SPIN-code: 7598-4540
Dr. Sci. (Biol.)
Russian Federation, 6, M. Ulyanova str., Kurgan, 640014References
- Kelenjian S., Mattjie R.A., Franz R., Biedermann T., Brockow K. Clinical features and management of superficial fibromatoses. J Dtsch Dermatol Ges. 2019;17(4):393-397. doi: 10.1111/ddg.13808.
- Rydberg M., Zimmerman M., Löfgren J.P., Gottsäter A., Nilsson P.M., Melander O. et al. Metabolic factors and the risk of Dupuytren’s disease: data from 30,000 individuals followed for over 20 years. Sci Rep. 2021;19;11(1):14669. doi: 10.1038/s41598-021-94025-7.
- Russell M.C. An Overview of Dupuytren’s Disease for Perioperative Nurses. AORN J. 2022;115(1):65-78. doi: 10.1002/aorn.13574.
- Knobloch K., Hellweg M., Sorg H., Nedelka T. Focused electromagnetic high-energetic extracorporeal shockwave (ESWT) reduces pain levels in the nodular state of Dupuytren’s disease-a randomized controlled trial (DupuyShock). Lasers Med Sci. 2022;37(1):323-333. doi: 10.1007/s10103-021-03254-9.
- Hindocha S. Risk Factors, Disease Associations, and Dupuytren Diathesis. Hand Clin. 2018;34(3):307-314. doi: 10.1016/j.hcl.2018.03.002.
- Ferreira R.M., Fidalgo I., Pimenta S., Costa L. Non-surgical treatment of Dupuytren’s disease by using percutaneous needle aponeurotomy: A 10-year experience. Rehabilitacion (Madr). 2020;54(4):249-253. doi: 10.1016/j.rh.2020.02.007.
- Turesson C., Kvist J., Krevers B. Experiences of men living with Dupuytren’s disease Consequences of the disease for hand function and daily activities. J Hand Ther. 2020;33(3):386-393. doi: 10.1016/j.jht.2019.04.004.
- Alser O.H., Kuo R.Y.L., Furniss D. Nongenetic Factors Associated with Dupuytren’s Disease: A Systematic Review. Plast Reconstr Surg. 2020;146(4):799-807. doi: 10.1097/PRS.0000000000007146.
- Park T.H., Kim D., Lee Y.S., Kim S.Y. A meta-analysis to identify novel diagnostic and therapeutic targets for Dupuytren’s disease. Wound Repair Regen. 2020;28(2):202-210. doi: 10.1111/wrr.12774.
- Gelbard M.K., Rosenbloom J. Fibroproliferative disorders and diabetes: Understanding the pathophysiologic relationship between Peyronie’s disease, Dupuytren disease and diabetes. Endocrinol Diabetes Metab. 2020;4(2):e00195. doi: 10.1002/edm2.195.
- Mikusev I.E. New facts about the pathogenesis of Dupuytren’s contracture. Acta Chir Plast. 1989;31(1):1-14.
- Cobo R., García-Piqueras J., Cobo J., Vega J.A. The Human Cutaneous Sensory Corpuscles: An Update. J Clin Med. 2021;10(2):227. doi: 10.3390/jcm10020227.
- Zimmerman A., Bai L., Ginty D.D. The gentle touch receptors of mammalian skin. Science. 2014;346(6212):950-954. doi: 10.1126/science.1254229.
- Germann C., Sutter R., Nanz D. Novel observations of Pacinian corpuscle distribution in the hands and feet based on high-resolution 7-T MRI in healthy volunteers. Skeletal Radiol. 2021;50(6):1249-1255. doi: 10.1007/s00256-020-03667-7.
- Ehrmantant W.R., Graham W.P., Towfighi J., Mackay D.R., Ehrlich H.P. A histological and anatomical profile of pacinian corpuscles from Dupuytren’s contracture and the expression of nerve growth factor receptor. Plast Reconstr Surg. 2004;114(3):721-727. doi: 10.1097/01.prs.0000131017.15574.a9.
- Kobayashi K., Cho K.H., Yamamoto M., Mitomo K., Murakami G., Abe H. et al. Tree of Vater-Pacinian corpuscles in the human finger and thumb: a comparison between the late fetal stage and old age. Surg Radiol Anat. 2018;40(3):243-257. doi: 10.1007/s00276-017-1894-z.
- Rhodes N.G., Murthy N.S., Lachman N., Rubin D.A. Normal Pacinian corpuscles in the hand: radiology-pathology correlation in a cadaver study. Skeletal Radiol. 2019;48(10):1591-1597. doi: 10.1007/s00256-019-03223-y.
- Riegler G., Brugger P.C., Gruber G.M., Pivec C., Jengojan S., Bodner G. High-Resolution Ultrasound Visualization of Pacinian Corpuscles. Ultrasound Med Biol. 2018;44(12):2596-2601. doi: 10.1016/j.ultrasmedbio.2018.08.001.
- Józsa L., Salamon A., Réffy A., Renner A., Demel S., Donhöffer A. et al. Fine structural alterations of the palmar aponeurosis in Dupuytren’s contracture. A combined scanning and transmission electronmicroscopic. Zentralbl Allg Pathol. 1988;134(1):15-25.
- Akyurek N., Ataoglu O., Cenetoglu S., Ozmen S., Cavusoglu T., Yavuzer R. Pacinian corpuscle hyperplasia coexisting with Dupuytren’s contracture. Ann Plast Surg. 2000;45(2):220-222.
- Yenidunya M.O., Yenidunya S., Seven E. Pacinian hypertrophy in a type 2A hand burn contracture and Pacinian hypertrophy and hyperplasia in a Dupuytren’s contracture. Burns. 2009;35(3):446-450. doi: 10.1016/j.burns.2008.01.019.
- von Campe A., Mende K., Omaren H., Meuli-Simmen C. Painful nodules and cords in Dupuytren disease. J Hand Surg Am. 2012;37(7):1313-1318. doi: 10.1016/j.jhsa.2012.03.014.
- Stecco C., Macchi V., Barbieri A., Tiengo C., Porzionato A., De Caro R. Hand fasciae innervation: The palmar aponeurosis. Clin Anat. 2018;31(5):677-683. doi: 10.1002/ca.23076.
- Tubiana R. Dupuytren’s disease of the radial side of the hand. Hand Clin. 1999;15(1):149-159.
- Долганова Т.И., Щудло Н.А., Шабалин Д.А., Костин В.В. Оценка гемодинамики артерий кисти и микроциркуляции кожи при контрактуре Дюпюитрена 3–4 стадий до и после оперативного лечения с применением чрескостной фиксации по Г.А. Илизарову. Гений ортопедии. 2019;25(1): 86-92. doi: 10.18019/1028-4427-2019-25-1-86-92. Dolganova T.I., Shchudlo N.A., Shabalin D.A., Kostin V.V. [Assessment of hemodynamics of the hand arteries and skin microcirculation in Dupuytren’s contracture stages 3 to 4 of before and after surgical treatment with the use of Ilizarov transosseous fixation]. Genij Ortopedii. 2019;25(1):86-92. (In Russian). doi: 10.18019/1028-4427-2019-25-1-86-92.
- Щудло Н.А., Костин В.В. Патогенез нейропатии при контрактуре Дюпюитрена. Гений ортопедии. 2019;25(1):58-64. doi: 10.18019/1028-4427-2019-25-1-58-64. Shchudlo N.A., Kostin V.V. [Pathogenesis of neuropathy in Dupuytren’s contracture]. Genij Ortopedii. 2019;25(1):58-64. (In Russian). doi: 10.18019/1028-4427-2019-25-1-58-64.
- García-Martínez I., García-Mesa Y., García-Piqueras J., Martínez-Pubil A., Cobo J.L., Feito J. et al. Sensory innervation of the human palmar aponeurosis in healthy individuals and patients with palmar fibromatosis. J Anat. 2022;240(5):972-984. doi: 10.1111/joa.13609.
- Koshima I., Moriguchi T. Denervation of Pacinian corpuscles: electron microscopic observations in the rat following nerve transection. J Reconstr Microsurg. 1999;15(4):273-279. doi: 10.1055/s-2007-1000101.
- Stoj V.J., Adalsteinsson J.A., Lu J., Berke A., Lipner S.R. Pacinian corpuscle hyperplasia: A review of the literature. Int J Womens Dermatol. 2020;7(3):335-341. doi: 10.1016/j.ijwd.2020.10.005.
- Щудло М.М., Щудло Н.А., Варсегова Т.Н., Борисова И.В. Реакция нервов на растяжение и их структурная адаптация к удлинению конечности. Гений ортопедии. 2009;(4):48-55. Schudlo М.М., Schudlo N.А., Varsegova T.N., Borisova I.V. [Reaction of nerves to stretching and their structural adaptation to limb lengthening]. Genij Ortopedii. 2009;(4):48-55. (In Russian).
- Fraitag S., Gherardi R., Wechsler J. Hyperplastic pacinian corpuscles: an uncommonly encountered lesion of the hand. J Cutan Pathol. 1994;21:457-460. doi: 10.1111/j.1600-0560.1994.tb00289.x.
- Engstrand C., Krevers B., Nylander G., Kvist J. Hand function and quality of life before and after fasciectomy for Dupuytren contracture. J Hand Surg Am. 2014;39(7):1333-1343.e2. doi: 10.1016/j.jhsa.2014.04.029.
Supplementary files







