Сhanges in the donor site following bone-patellar tendon-bone graft harvesting with open or closed defects
- Authors: Trachuk P.A.1, Trachuk A.P.1, Bogopolskiy O.E.1
-
Affiliations:
- Vreden National Medical Research Center of Traumatology and Orthopedics
- Issue: Vol 30, No 4 (2024)
- Pages: 60-71
- Section: СLINICAL STUDIES
- Submitted: 02.09.2024
- Accepted: 18.10.2024
- Published: 18.12.2024
- URL: https://journal.rniito.org/jour/article/view/17606
- DOI: https://doi.org/10.17816/2311-2905-17606
- ID: 17606
Cite item
Abstract
Background. The patellar tendon is frequently used as a graft source for anterior cruciate ligament reconstruction. The search of the factors that enhance the healing process of the donor site may contribute to improved anatomical and functional outcomes.
The aim of the study — to determine the features of the harvesting techniques for better donor site healing by examining postoperative changes in the patellar tendon following two different graft harvesting methods.
Methods. This study examined the condition of the patellar tendon after two methods of graft harvesting under the same early mobilization protocols. Group 1 (retrospective) enrolled 30 patients who underwent follow-up MRI at different times after surgery, during which ligamentous and bony defects were not closed. Group 2 (prospective) included 30 patients who received full-layer suturing of the patellar tendon and patellar and tibial bone defects plasty. Postoperatively, all patients underwent radiography and the Insall-Salvati ratio of their patellar position was evaluated. In Group 2, MRI was performed preoperatively and 12 months post-surgery, while CT scans were taken 1 day and 6 months post-surgery. MRI was utilized to measure the size and qualitatively assess the condition of the tendon, whereas bone defects were evaluated on CT scans.
Results. The Insall-Salvati ratio of patellar position was within the physiological norm and did not differ between the groups (M1 = 1.11; SD1 = 0.13 and M2 = 1.12; SD2 = 0.15; p = 0.955). In Group 2, after 12 months, the length of the tendon was 3.1% shorter (M = -1.4 mm; SD = 2.4 mm; p = 0.003). The width of the tendon in the upper third and middle third was slightly increased (M = 0.3 mm; SD = 2.4 mm; p = 0.502 and M = 0.5 mm; SD = 2.1 mm; p = 0.205), while in the lower third it was 2.7% larger (M = 0.7 mm; SD = 1.7 mm; p = 0.034). The thickness of the tendon increased by 55% (M = 2.4 mm; SD = 1.6 mm; p = 0.001). All patients in Group 1 exhibited persistent bony and ligamentous defects. In Group 2, six months after surgery, cancellous bone filled the defects and integrated with the bone bed; 12 months later, the tendon was healed, and its shape and size approximated preoperative parameters.
Conclusion. Full-layer suturing of the patellar tendon, reconstruction of defects using cancellous bone autograft, and early mobilization promote the healing of bone defects and restore the integrity, shape, and size of the tendon.
Full Text
INTRODUCTION
The problem of the improvement of the surgical reconstruction of the damaged anterior cruciate ligament (ACL) remains relevant, as ongoing discussions persist regarding the advantages and disadvantages of various grafts [1, 2, 3, 4]. Reports continue to emerge about the novel techniques for graft harvesting [5, 6, 7], optimal placement [8, 9, 10, 11], and minimizing postoperative donor site complications [12, 13, 14, 15]. Most surgeons agree that effective operation requires adherence to the anatomical concept of reconstruction [16, 17, 18, 19], which focuses on restoring the function of the damaged ligament by using an appropriate biological graft, placing it correctly, and securely integrating it at the original ACL attachment sites [20, 21, 22].
The patellar tendon graft, harvested from its middle third, remains the material closest in structure, form, and properties to the native ligament [23]. Many surgeons prefer this graft, particularly for young patients actively engaged in contact, team, and jumping sports [24, 25, 26, 27]. According to international surveys, in 2020, 45.5% of respondents from North America identified the patellar tendon graft as their first-choice option, compared to an average of 16.1% from other regions [28]. Data from nearly all national registries indicate that this graft has the lowest revision rates (ranging from 1.5% to 3.2%), which is particularly crucial since it is often used for physically active patients at high risk of repeated injury [4, 29, 30]. Moreover, the functional status of the operated knee joint exhibited superior rotational stability compared to soft tissue tendon grafts [31].
However, the use of the patellar tendon graft can be associated with significant donor site changes. Postoperative findings have included thickened fixed scars [32, 33, 34], painful palpable defects at the donor site [35, 36], shortening of the tendon [37], patellar fractures, persistent degenerative changes in the tendon, and even ruptures [38, 39]. Various methods have been proposed to mitigate donor site complications, but their effectiveness remains under debate. There is no consensus on how best to close the tendon defect—whether to leave it open, suture only the peritenon, loosely approximate the superficial layers, or perform full-layer suturing of the tendon and peritenon. The necessity and potential outcomes of bone grafting for donor site defects also remain unclear.
It is reasonable to assume that if clinical issues stem from changes at the patellar tendon donor site, a more complete tendon restoration may lead to improved results. Thus, this study focuses on the condition of the patellar tendon following graft harvesting for ACL reconstruction.
The aim of the study was to determine the features of the harvesting techniques for better donor site healing by examining postoperative changes in the patellar tendon following two different graft harvesting methods.
METHODS
A retrospective-prospective study was conducted to evaluate the condition of the patellar tendon in 60 patients who had underwent ACL reconstruction with graft harvesting and defect closure using two different techniques.
Inclusion criteria: (1) age 18-45 years; (2) no signs of osteoarthritis; (3) postoperative X-rays and MRI data available for analysis; (4) consistent rehabilitation program aimed at restoring the weight-bearing capacity of the lower limb, full knee extension and mobility, and activation of thigh muscles from postoperative days 1-3.
Exclusion criteria: pathological conditions at the graft harvesting site (tendinitis, osteochondropathy, previous extensor apparatus injuries and their sequelae).
Group 1 (retrospective) included 30 randomly selected patients who underwent MRI after ACL reconstruction for various reasons (follow-up, new complaints, recurrences). This group comprised 21 men and 9 women, with a mean age of 28 years (M = 28.2; SD = 7.0). The follow-up period ranged from 1 to 20 years, with a median follow-up of 4.7 years (Q1 = 3.8; Q3 = 6.4).
In this group, graft harvesting was performed via two horizontal incisions (Figure 1). Incisions up to 3 cm in length were made away from bony prominences. The upper incision was below the apex of the patella and the lower incision was above the tibial tuberosity. The peritenon was incised only at the skin incisions, mobilized between them with a clamp, and the graft was taken while preserving the integrity of the fascial sheath. After graft harvesting, the peritenon edges and tendon bundles were sutured at the skin incisions over the tendon ends using one or two absorbable sutures. Bone defects were not repaired. The tendon bundles within the preserved sheath were not sutured, assuming that the guiding sutures at the tendon ends would suffice for approximation and subsequent healing. All patients in Group 1 underwent arthroscopic transtibial ACL reconstruction.
Figure 1. Stage of graft harvesting from the patellar tendon through horizontal incisions in a patient from Group 1
Group 2 (prospective) consisted of 30 patients who, in 2022, underwent anatomical double-incision ACL reconstruction using a patellar tendon autograft from its middle third. This group included 22 men and 8 women, with a mean age of 30 years (M = 30.1; SD = 6.9), and a follow-up period of 12 months (M = 11.9; SD = 0.2).
Graft harvesting involved a longitudinal incision of the skin and subcutaneous tissue over the patellar tendon, 5-7 cm in length; the peritenon was incised longitudinally and mobilized, exposing the patellar tendon edges. A graft measuring 10-12 mm in width with bone blocks from the patella and tibial tuberosity, 20 mm and 30 mm in length respectively and up to 8 mm deep, was prepared. Two columns of cancellous bone (diameter 4.5 mm each) were harvested from the tibial tuberosity. An absorbable No. 2 interrupted suture was placed at the edge of the patella apex, capturing peritenon layers, tendon edges for the entire thickness, and underlying fat pad. This isolated the bone defect in the patella from the tendon defect to prevent migration of bone fragments and marrow cells. The previously prepared cancellous bone columns were tightly packed into the patellar defect, over which the peritenon layers and prepatellar bursa were sutured. The peritenon and tendon bundles were then sutured with absorbable No. 2 sutures with stitches of 0.5-1.0 cm length up to the tibial tuberosity defect (Figure 2). During ACL reconstruction, bone chips were collected during graft bone edge preparation and tunnel formation, and these chips were placed into the tibial defect, with the tendon and peritenon edges sutured over it. Finally, the subcutaneous tissue and skin were closed with intradermal sutures.
Figure 2. Stages of graft harvesting through a longitudinal incision in patients from Group 2: a — mobilization of the longitudinally incised peritenon and exposure of the anterior surface of the patellar tendon; b — appearance of the sutured donor site defect
To assess potential shortening of the patellar tendon following different graft harvesting methods, postoperative X-rays were analyzed, and the Insall-Salvati ratio of patellar position was calculated. Lateral views were used to measure the ratio of the distance between the patellar tendon attachment points to the maximum vertical patellar size [40], and values were compared between groups. MRI was used to evaluate the presence or absence of defects at the donor site.
All patients in Group 2 underwent MRI preoperatively, X-ray and CT the day after operation, CT at 6 months postop, and MRI at 12 months postop. MRI assessments included the measurements (length, width, and thickness) of the patellar tendon preoperatively and at 12 months. Length was measured along the poste-rior contour of the tendon between attachment points on sagittal slices where tendon length was minimal. Width was measured on axial slices in the upper, middle, and lower thirds: the first measurement was taken 6-8 mm from the patellar edge, the second at the mid-tendon, and the third 6-8 mm from the tibial attachment. Thickness was measured on an axial slice at the mid-tendon, recording the maximum dimension. CT scans evaluated the healing dynamics of patellar and tibial tuberosity defects replaced with cancellous bone autograft. Imaging was performed at Vreden National Medical Research Center for Traumatology and Orthopedics using a Siemens Somatom Definition AS CT scanner (Germany) and a Siemens Magneton Verio 3.0 T MRI scanner (Germany). Measurements were performed using RadiAntDICOMViewer 4.2.1 (Medixant, Poland).
Statistical analysis
Statistical processing was performed using SPSS 17.0 (Microsoft®, USA). For describing quanti-tative values of the Insall-Salvati ratio in both groups and patellar tendon dimensions before and after surgery in Group 2, the normality was tested with the Shapiro-Wilk test. Mean (M) and standard deviation (SD) were used to describe quantitative variables. Comparisons of the Insall-Salvati ratio between groups were conducted using a two-sample Student’s t-test. Paired Student’s t-test was used to compare quantitative variables in Group 2 over time. Differences were considered statistically significant at p<0.05.
RESULTS
The performed Shapiro-Wilk test showed that all the examined data were normally distributed (p>0.05). The radiological Insall-Salvati ratio of patellar position after surgery was within the physiological norm, with no significant differences between the groups: M1 = 1.11 (SD1 = 0.13) in Group 1 and M2 = 1.12 (SD2 = 0.15) in Group 2, p = 0.955, t(58) = 0.06.
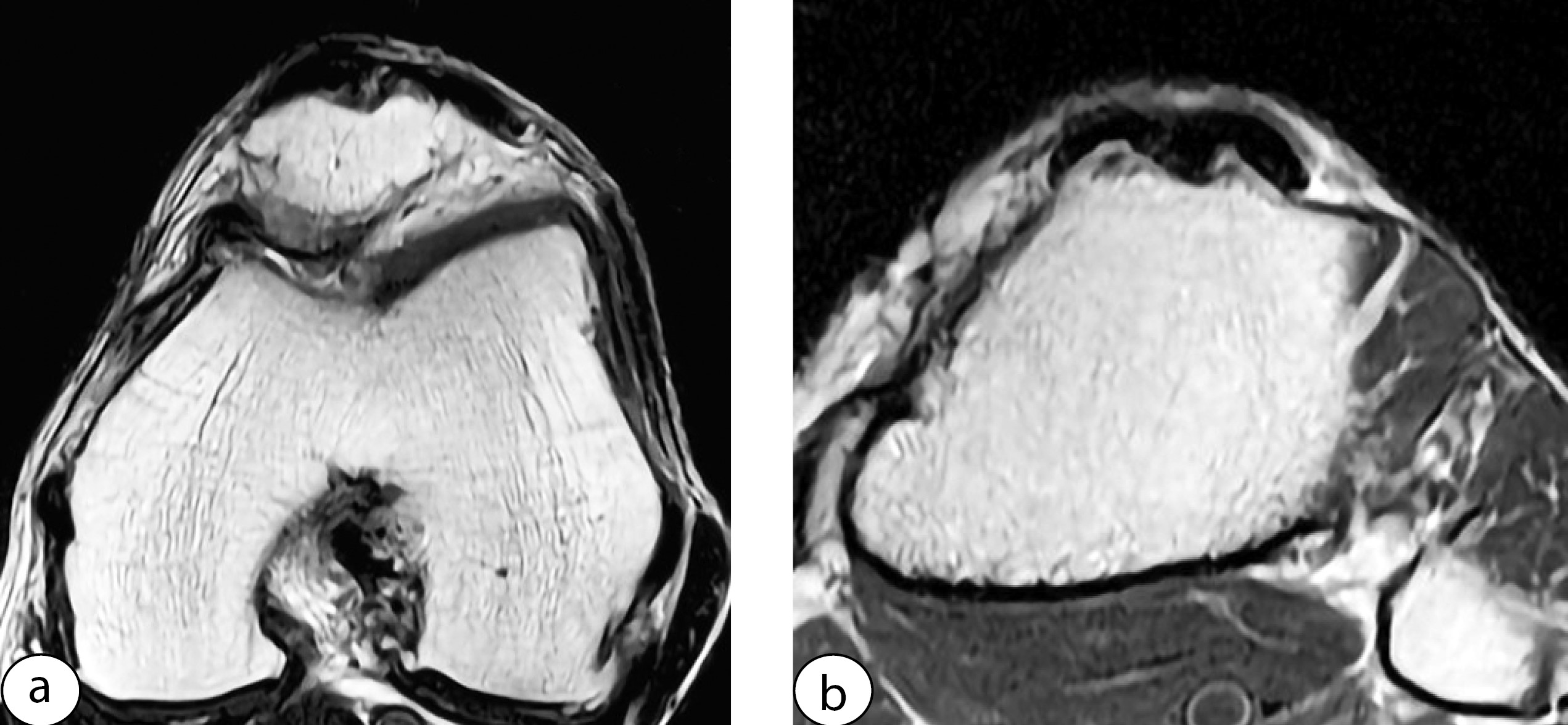
All patients in Group 1 exhibited unfilled bone defects of the patella and tibial tuberosity that persisted until the final follow-up (Figure 3). In the areas where the ligament bundles were sutured, a homogeneous ligament of sufficient width and thickness was observed. In regions where the ligament was not sutured, all patients displayed persistent defects filled with scar tissue resembling the adjacent adipose tissue in density and structure. No signs of defect replacement by tissue resembling ligament were observed even 20 years postoperatively (Figure 4).
Figure 3. Unfilled bone defects at the donor site of the patella (a) and tibial tuberosity (b) in a patient from Group 1 at 20-year follow-up
Figure 4. The unsutured segment of the patellar tendon filled with scar tissue resembling the adjacent adipose tissue in density and structure (a); the sutured segment appears homogeneous, broad enough, and slightly thickened (b) in a patient from Group 1 at 20-year follow-up
Postoperative changes in patellar ligament dimensions analyzed in patients of Group 2 are presented in Table 1. At 12 months, the average shortening of the patellar ligament was 3.1%. The width of the ligament in the upper and middle thirds was nearly restored to its original size, while in the lower third it increased by an average of 2.6%. Ligament thickness increased by an average of 55%.
Table 1
Changes in patellar ligament dimensions 12 months after harvesting in patients of Group 2 (n = 30)
Patellar ligament parameters | Preoperative parameter value (L0, mm) | Parameter value 12 months postoperatively (L12, mm) | Parameter difference (L12-L0, mm) | p |
Length | M = 44.5 (SD = 4.8) | M = 43.1 (SD = 4.7) | M = -1.4 (SD = 2.4; t(29) = -3.284) | 0.003 |
Width in the upper third | M = 30.7 (SD = 3.6) | M = 31.0 (SD = 3.3) | M = 0.3 (SD = 2.4; t(29) = 0.681) | 0.502 |
Width in the middle third | M = 28.9 (SD = 3.6) | M = 29.4 (SD = 3.5) | M = 0.5 (SD = 2.1; t(29) = 1.297) | 0.205 |
Width in the lower third | M = 26.8 (SD = 3.5) | M = 27.5 (SD = 3.7) | M = 0.7 (SD = 1.7; t(29) = 2.225) | 0.034 |
Thickness in the middle of the ligament | M = 4.4 (SD = 0.6) | M = 6.8 (SD = 1.7) | M = 2.4 (SD = 1.6; t(29) = 8.138) | 0.001 |
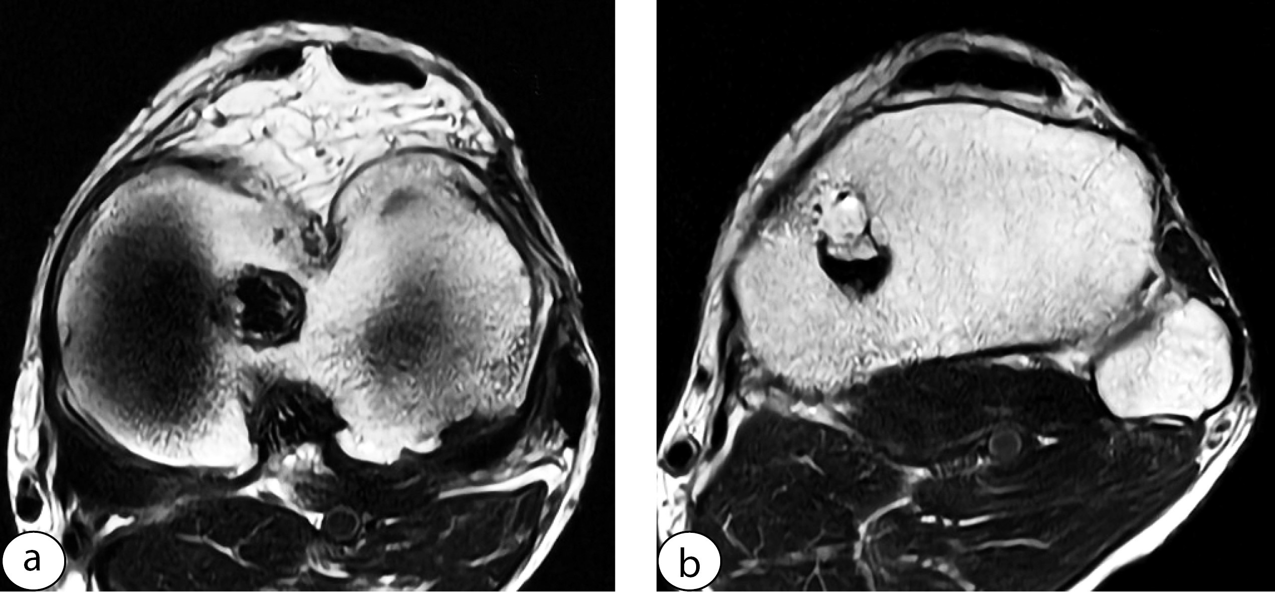
In all patients of the Group 2 who underwent graft harvesting with subsequent full-layer suturing of the defect, the ligament after surgery formed a unified structure. The suture line was either not visible or barely discernible. No tendon defects or deformities due to suture divergence were observed. The width of the ligament was almost completely restored, with only moderate thickening visible on all axial slices (Figure 5).
Figure 5. MRI scan of the patellar tendon in a patient from Group 2 before (a, b) and after graft harvesting (c, d)
Two patients with sutures placed at intervals of more than 2 cm and not across all layers exhibited areas of deformed and incompletely healed ligament (Figure 6).
Figure 6. Appearance of the deformed patellar tendon after graft harvesting with non-full-thickness suturing: tendon edges are approximated but not sutured (a), only the superficial layer and peritenon are sutured (b)
CT evaluation on the day following surgery revealed that bone defects after ligament harvesting were nearly completely filled with cancellous bone, and all graft material was localized within the defect zones (Figure 7). At 6 months, all observations showed that bone grafts had fused with the defect walls and were nearly indistinguishable in density from the surrounding bone, with their surface becoming smoother. No signs of heterotopic ossification were observed (Figure 8).
Figure 7. CT scans showing filled bone defects of the patella (a) and tibial tuberosity (b) on the first postoperative day
Figure 8. Three-dimensional CT reconstruction of the knee joint showing cancellous bone-filled donor defects of the patella and tibial tuberosity 6 months after surgery
Thus, the identified characteristics of postoperative changes in the patellar ligament under early mobilization conditions indicate that restoring the structural integrity and dimensions of the ligament requires reliable full-layer contact between ligament bundles, filling the bone defects of the patella and tibial tuberosity with cancellous autograft, and careful coverage of the healing zone with peritenon. Under these conditions, the bone union and closure of patellar and tibial tuberosity defects were observed within 6 months, and at 12 months the patellar ligament became a continuous homogeneous structure. Its shape and dimensions approached preoperative values, with width nearly restored, length slightly decreased, and thickness moderately increased.
Effective healing of the donor site was achieved through the following technical measures: longitudinal skin incision outside bony prominences; full-layer suturing of ligament bundles after graft harvesting; mobilization and subsequent suturing of peritenon layers; reconstruction of patellar and tibial tuberosity defects with bone cancellous autograft; and wound closure with resorbable suture material.
DISCUSSION
The extensive experience of using a graft from the middle third of the patellar ligament suggests that it is the most suitable option for patients with high demands for functional recovery, primarily athletes [24, 41]. However, patients often reported postoperative pain, palpable deformities, and crepitus in the donor site area, which were associated with graft harvesting.
Initially (in the pre-arthroscopic period), ACL reconstruction was performed via arthrotomy. A tight suture of the capsule and patellar ligament bundles was necessary to restore the synovial environment of the joint cavity and reduce the risk of postoperative infection. Protective measures for the graft during the first 1-2 months after surgery (limited weight-bearing, immobilization or wearing a brace restricting movement from 10 to 90°, prohibited active knee extension involving quadriceps contraction, cautious and gradual rehabilitation) contributed to the formation of fixed scars and joint stiffness. Reports of significant scarring and shortening of the patellar ligament, arthrofibrosis, persistent contractures, and adverse graft harvesting outcomes led to a transition to more “aggressive” rehabilitation approaches, including leaving the ligament defect open and suturing only the peritenon [31, 36, 37, 38].
One of the first to use MRI for donor site evaluation was S.D. Coupens et al. [44]. They evaluated 6 mm axial slices and found that 18 months after full-layer defect suturing, the ligament width was restored, thickness increased by 42.5%, and its structure approached normal. The authors did not assess patellar ligament length, using the contralateral joint as a control. Our data from a prospective study were similar, though we were able to use thinner (3 mm) slices to measure each patient’s patellar ligament dimensions (length, width, and thickness at various levels) before surgery and compare them 12 months after harvesting.
In 1994, D. Kohn and A. Sander-Beuermann detected defects between unsutured ligament bundles via ultrasound two years after surgery. Additionally, 36% of patients exhibited painful bone spurs at the patella apex resulting from patella reconstruction with bone chips [32]. Our data include MRI images from patients at longer postoperative intervals. In all cases where patellar ligament bundles were not sutured after harvesting, the ligament consisted of two bundles with a clearly visible defect filled with unorganized scar tissue. In Group 2, we reconstructed patellar and tibial tuberosity defects with cancellous autograft after suturing the patellar ligament bundles. CT scans performed the day after surgery and at 6 months revealed no signs of bone fragment migration, patellar spurs, or ligament ossification. Bone fragments fused with the defect’s bone bed where placed. Dense contact of sutured bundles and peritenon suture over bone graft areas appeared to aid in retaining bone fragments within the bone bed.
In 1995, E. Adriani et al. studied open and closed patellar ligament donor sites via ultrasound and radiography at 3-12 months [34]. Vertical patellar position slightly decreased with no differences between groups. In the open-defect group, ultrasound showed a “binocular” pattern of two ligament bundles with a hyper-echoic bridge, while in the closed-defect group, echogenicity normalized within a year. Our radiological patellar position ratio data showed no group differences postop, indicating that patellar ligament bundle suturing did not shorten the ligament. Our data confirmed that cross-suturing did not affect patellar height, and minimal changes in ligament length were observed at 12 months.
Large incisions over the patellar ligament often damage subcutaneous femoral nerve branches, causing persistent neuropathy in the lower leg, manifesting as discomfort when walking on knees [13, 15, 33]. To reduce donor site problems, less invasive graft harvesting techniques were proposed: small horizontal or vertical incisions, ligament body isolation without cutting the fascial sheath and peritenon [6, 13, 15, 33]. Preserving peritenon integrity was thought to maintain bundle contact and improve donor site vascularization. In 1999, J. Kartus et al. compared open and minimally invasive harvesting [42]. They found that two years post-surgery, patellar ligament bundle gaps were smaller with subcutaneous techniques. In our study, the minimally invasive technique was also used for Group 1, but no spontaneous defect healing was observed on MRI; the unsutured ligament remained fragmented long-term.
Long-term pathological changes in donor site tissues identified via MRI, ultrasound, and biopsy [39, 42, 43] have led to warnings against repeated graft harvesting from this site and prompted broader use of alternative graft sources. Later publications primarily compared clinical outcomes of different grafts, noting relatively more frequent anterior knee compartment problems after ACL reconstruction with patellar ligament grafts [1, 3]. No definitive technique for optimal graft harvesting and ligament and bone defect closure has been established [5, 12, 14]. Some recent reports suggest that modern ACL reconstruction techniques using patellar ligament grafts may cause fewer complications, attributed to improved evaluation systems and refined surgical techniques [7].
This study focuses on the patellar ligament and the in-vivo assessment of postoperative changes in the donor site after different graft harvesting techniques. The common factor in the retrospective-prospective study was identical rehabilitation protocols, including brief (up to 3 days) full-extension immobilization, manual patella mobilization, early knee joint mobility restoration, and walking initiation.
MRI data analysis in the retrospective group revealed no spontaneous complete healing of ligament and bone defects. Forces exerted during rehabilitation did not maintain contact between ligament bundles. All patients developed persistent ligament and bone defects filled with unorganized scar tissue. We observed restoration of ligament integrity, shape, and width only at the ligament and peritenon suture sites.
In the prospective group, donor defects were closed with full-layer ligament sutures, with peritenon closure over the suture line. Measurements of patellar ligament dimensions before and after surgery, as well as postoperative MRI at 12 months, showed that despite early mobilization, sutures maintained tight bundle contact without deforming the ligament. During healing, the patellar ligament restored its preoperative width after harvesting a 10-12 mm graft strip and became a unified structure. Its length was slightly reduced without pathological patellar height lowering. Thickness moderately increased at 12 months postoperatively.
Full-layer suturing of the patellar ligament edges at attachment sites isolates the bone bed from ligament defects, preventing possible bone fragment migration from the grafting site during early physical activity. Dynamic CT scans demonstrated that by 6 months postoperatively, both cancellous bone columns (in the patella) and bone chips (in the tuberosity) fused with defect walls, without resorption or migration. No signs of heterotopic ossification were observed one year postop.
Study limitations
The limitations of this study include, first and foremost, the lack of analysis of the correlation between changes in the patellar tendon and the severity of clinical problems at the donor site. Unfortunately, accurate comparison of the patient groups observed in our study was not possible due to significant differences in ACL reconstruction techniques. Therefore, we focused on an objective assessment of changes in the patellar tendon and identifying conditions for more complete defect healing.
Secondly, the observation period for the prospective patient group was minimally sufficient for drawing reliable conclusions, as the process of reparative regeneration generally concludes within this timeframe.
Prospects
To observe potential changes in the patellar tendon over longer periods in this patient sample.
CONCLUSIONS
Minimally invasive harvesting of grafts from the middle third of the patellar tendon, with preservation of the fascial sheath and suturing of the tendon bundles only at their ends, leads to the formation of persistent tendon and bone defects. Full-layer suturing of the tendon bundles and peritenon, along with the reconstruction of defects using cancellous bone autograft, creates more favorable conditions for donor site healing. Osteoplastic closure of patellar and tibial tuberosity defects occurs by 6 months postop. By 12 months postop, the patellar tendon becomes a unified structure, regaining shape and size close to its preoperative state.
DISCLAIMERS
Author contribution
Trachuk P.A. — study design, acquisition, data analysis and interpretation, drafting and editing the manuscript.
Trachuk A.P. — study design, editing the manuscript.
Bogopolskiy O.E. — editing the manuscript.
All authors have read and approved the final version of the manuscript of the article. All authors agree to bear responsibility for all aspects of the study to ensure proper consideration and resolution of all possible issues related to the correctness and reliability of any part of the work.
Funding source. This study was not supported by any external sources of funding.
Disclosure competing interests. The authors declare that they have no competing interests.
Ethics approval. Not applicable.
Consent for publication. Written consent was obtained from the patients for publication of relevant medical information and all of accompanying images within the manuscript.
About the authors
Pavel A. Trachuk
Vreden National Medical Research Center of Traumatology and Orthopedics
Author for correspondence.
Email: trachukpav@gmail.com
ORCID iD: 0000-0002-4442-5831
Scopus Author ID: 58503543200
Russian Federation, St. Petersburg
Aleksandr P. Trachuk
Vreden National Medical Research Center of Traumatology and Orthopedics
Email: trachukalex@mail.ru
ORCID iD: 0009-0005-5457-0003
Scopus Author ID: 6505851107
Cand. Sci. (Med.)
Russian Federation, St. PetersburgOleg E. Bogopolskiy
Vreden National Medical Research Center of Traumatology and Orthopedics
Email: 9202211@gmail.com
ORCID iD: 0000-0002-4883-0543
Scopus Author ID: 58502787000
Russian Federation, St. Petersburg
References
- Arnold M.P., Calcei J.G., Vogel N., Magnussen R.A., Clatworthy M., Spalding T. et al. ACL Study Group survey reveals the evolution of anterior cruciate ligament reconstruction graft choice over the past three decades. Knee Surg Sports Traumatol Arthrosc. 2021;29(11):3871-3876. doi: 10.1007/s00167-021-06443-9.
- Fukuda H., Ogura T., Asai S., Omodani T., Takahashi T., Yamaura I. et al. Bone-patellar tendon-bone autograft maturation is superior to double-bundle hamstring tendon autograft maturation following anatomical anterior cruciate ligament reconstruction. Knee Surg Sports Traumatol Arthrosc. 2022;30(5):1661-1671. doi: 10.1007/s00167-021-06653-1.
- Gabler C.M., Jacobs C.A., Howard J.S., Mattacola C.G., Johnson D.L. Comparison of Graft Failure Rate Between Autografts Placed via an Anatomic Anterior Cruciate Ligament Reconstruction Technique: A Systematic Review, Meta-analysis, and Meta-regression. Am J Sports Med. 2016;44(4):1069-1079. doi: 10.1177/0363546515584043.
- Gifstad T., Foss O.A., Engebretsen L., Lind M., Forssblad M., Albrektsen G. et al. Lower risk of revision with patellar tendon autografts compared with hamstring autografts: a registry study based on 45,998 primary ACL reconstructions in Scandinavia. Am J Sports Med. 2014;42(10):2319-2328. doi: 10.1177/0363546514548164.
- Frank R.M., Mascarenhas R., Haro M., Verma N.N., Cole B.J., Bush-Joseph C.A. et al. Closure of patellar tendon defect in anterior cruciate ligament reconstruction with bone-patellar tendon-bone autograft: systematic review of randomized controlled trials. Arthroscopy. 2015;31(2):329-338. doi: 10.1016/j.arthro.2014.09.004.
- Gaudot F., Leymarie J.B., Drain O., Boisrenoult P., Charrois O., Beaufils P. Double-incision mini-invasive technique for BTB harvesting: its superiority in reducing anterior knee pain following ACL reconstruction. Orthop Traumatol Surg Res. 2009;95(1):28-35. doi: 10.1016/j.otsr.2008.09.006.
- Hacken B.A., Keyt L.K., Leland D.P., LaPrade M.D., Camp C.L., Levy B.A. et al. A Novel Scoring Instrument to Assess Donor Site Morbidity After Anterior Cruciate Ligament Reconstruction With a Patellar Tendon Autograft at 2-Year Follow-up Using Contemporary Graft-Harvesting Techniques. Orthop J Sports Med. 2020;8(6):2325967120925482. doi: 10.1177/2325967120925482.
- Маланин Д.А., Сучилин И.А., Демещенко М.В., Черезов Л.Л. Формирование бедренного тоннеля при артроскопической пластике передней крестообразной связки с использованием референтных анатомических структур межмыщелковой ямки. Травматология и ортопедия России. 2013; 19(3):22-28. doi: 10.21823/2311-2905-2013--3-22-28. Malanin D.A., Suchilin I.A., Demeschenko M.V., Tscherezov L.L. Femoral tunnel formation using reference anatomical structures of the femoral intercondylar space during anterior cruciate ligament reconstruction. Traumatology and Orthopedics of Russia. 2013; 19(3):22-28. doi: 10.21823/2311-2905-2013--3-22-28.
- Маланин Д.А., Демещенко М.В., Краюшкин А.И., Сучилин И.А., Черезов Л.Л. Область большеберцового прикрепления передней крестообразной связки с позиций хирургической анатомии. Вестник Волгоградского государственного медицинского университета. 2015;12(1):43-46. Malanin D.A., Demeschenko M.V., Krayushkin A.I., Suchilin I.A., Cherezov L.L. Area of the tibial attachment of the anterior cruciate ligament from the perspective of surgical anatomy. Journal of Volgograd State Medical University. 2015;12(1):43-46.
- Iwahashi T., Shino K., Nakata K., Otsubo H., Suzuki T., Amano H. et al. Direct anterior cruciate ligament insertion to the femur assessed by histology and 3-dimensional volume-rendered computed tomography. Arthroscopy. 2010;26(9 Suppl):13-20. doi: 10.1016/j.arthro.2010.01.023.
- Pearle A.D., McAllister D., Howell S.M. Rationale for Strategic Graft Placement in Anterior Cruciate Ligament Reconstruction: I.D.E.A.L. Femoral Tunnel Position. Am J Orthop (Belle Mead NJ). 2015;44(6):253-258.
- Lameire D.L., Abdel Khalik H., Zakharia A., Kay J., Almasri M., de Sa D. Bone Grafting the Patellar Defect After Bone-Patellar Tendon-Bone Anterior Cruciate Ligament Reconstruction Decreases Anterior Knee Morbidity: A Systematic Review. Arthroscopy. 2021;37(7):2361-2376. doi: 10.1016/j.arthro.2021.03.031.
- Mishra A.K., Fanton G.S., Dillingham M.F., Carver T.J. Patellar tendon graft harvesting using horizontal incisions for anterior cruciate ligament reconstruction. Arthroscopy. 1995;11(6):749-752. doi: 10.1016/0749-8063(95)90123-x.
- Peebles L.A., Akamefula R.A., Aman Z.S., Verma A., Scillia A.J., Mulcahey M.K. et al. Following Anterior Cruciate Ligament Reconstruction With Bone-Patellar Tendon-Bone Autograft, the Incidence of Anterior Knee Pain Ranges From 5.4% to 48.4% and the Incidence of Kneeling Pain Ranges From 4.0% to 75.6%: A Systematic Review of Level I Studies. Arthrosc Sports Med Rehabil. 2024;6(2):1-9. doi: 10.1016/j.asmr.2024.100902.
- Tsuda E., Okamura Y., Ishibashi Y., Otsuka H., Toh S. Techniques for reducing anterior knee symptoms after anterior cruciate ligament reconstruction using a bone-patellar tendon-bone autograft. Am J Sports Med. 2001;29(4):450-456. doi: 10.1177/03635465010290041201.
- Borque K.A., Laughlin M.S., Pinheiro V.H., Jones M., Williams A. Rebranding the ‘anatomic’ ACL reconstruction: Current concepts. J ISAKOS. 2023;8(1):23-28. doi: 10.1016/j.jisako.2022.11.001.
- Fox M.A., Engler I.D., Zsidai B.T., Hughes J.D., Musahl V. Anatomic anterior cruciate ligament reconstruction: Freddie Fu’s paradigm. J ISAKOS. 2023;8(1):15-22. doi: 10.1016/j.jisako.2022.08.003.
- Musahl V., Nazzal E.M., Lucidi G.A., Serrano R., Hughes J.D., Margheritini F. et al. Current trends in the anterior cruciate ligament part 1: biology and biomechanics. Knee Surg Sports Traumatol Arthrosc. 2022;30(1):20-33. doi: 10.1007/s00167-021-06826-y.
- Musahl V., Engler I.D., Nazzal E.M., Dalton J.F., Lucidi G.A., Hughes J.D. et al. Current trends in the anterior cruciate ligament part II: evaluation, surgical technique, prevention, and rehabilitation. Knee Surg Sports Traumatol Arthrosc. 2022;30(1):34-51. doi: 10.1007/s00167-021-06825-z.
- Mochizuki T., Fujishiro H., Nimura A., Mahakkanukrauh P., Yasuda K., Muneta T. et al. Anatomic and histologic analysis of the mid-substance and fan-like extension fibres of the anterior cruciate ligament during knee motion, with special reference to the femoral attachment. Knee Surg Sports Traumatol Arthrosc. 2014;22(2):336-344. doi: 10.1007/s00167-013-2404-4.
- Siebold R., Schuhmacher P., Fernandez F., Śmigielski R., Fink C., Brehmer A. et al. Flat midsubstance of the anterior cruciate ligament with tibial “C”-shaped insertion site. Knee Surg Sports Traumatol Arthrosc. 2015;23(11):3136-3142. doi: 10.1007/s00167-014-3058-6.
- Śmigielski R., Zdanowicz U., Drwięga M., Ciszek B., Ciszkowska-Łysoń B., Siebold R. Ribbon like appearance of the midsubstance fibres of the anterior cruciate ligament close to its femoral insertion site: a cadaveric study including 111 knees. Knee Surg Sports Traumatol Arthrosc. 2015;23(11):3143-3150. doi: 10.1007/s00167-014-3146-7.
- Shino K., Nakata K., Nakamura N., Toritsuka Y., Horibe S., Nakagawa S. et al. Rectangular tunnel double-bundle anterior cruciate ligament reconstruction with bone-patellar tendon-bone graft to mimic natural fiber arrangement. Arthroscopy. 2008;24(10): 1178-1183. doi: 10.1016/j.arthro.2008.06.010.
- Hospodar S.J., Miller M.D. Controversies in ACL reconstruction: bone-patellar tendon-bone anterior cruciate ligament reconstruction remains the gold standard. Sports Med Arthrosc Rev. 2009; 17(4):242-246. doi: 10.1097/JSA.0b013e3181c14841.
- Kaeding C.C., Pedroza A.D., Reinke E.K., Huston, L.J., MOON Consortium, Spindler K.P. Risk Factors and Predictors of Subsequent ACL Injury in Either Knee After ACL Reconstruction: Prospective Analysis of 2488 Primary ACL Reconstructions From the MOON Cohort. Am J Sports Med. 2015;43(7):1583-1590. doi: 10.1177/0363546515578836.
- Murgier J., Hansom D., Clatworthy M. Current evidence around patellar tendon graft in ACLR for high-risk patients: current concepts. J ISAKOS. 2020;5(1):32-35. doi: 10.1136/jisakos-2019-000399.
- Murgier J., Powell A., Young S., Clatworthy M. Effectiveness of thicker hamstring or patella tendon grafts to reduce graft failure rate in anterior cruciate ligament reconstruction in young patients. Knee Surg Sports Traumatol Arthrosc. 2021;29(3):725-731. doi: 10.1007/s00167-020-05973-y.
- Tuca M., Valderrama I., Eriksson K., Tapasvi S. Current trends in anterior cruciate ligament surgery. A worldwide benchmark study. J ISAKOS. 2023;8(1):2-10. doi: 10.1016/j.jisako.2022.08.009.
- MOON Knee Group, Spindler K.P., Huston L.J., Zajichek A., Reinke E.K., Amendola A. et al. Anterior Cruciate Ligament Reconstruction in High School and College-Aged Athletes: Does Autograft Choice Influence Anterior Cruciate Ligament Revision Rates? Am J Sports Med. 2020;48(2):298-309. doi: 10.1177/0363546519892991.
- Rahr-Wagner L., Thillemann T.M., Pedersen A.B., Lind M. Comparison of hamstring tendon and patellar tendon grafts in anterior cruciate ligament reconstruction in a nationwide population-based cohort study: results from the danish registry of knee ligament reconstruction. Am J Sports Med. 2014;42(2):278-284. doi: 10.1177/0363546513509220.
- Aglietti P., Buzzi R., D’Andria S., Zaccherotti G. Long-term study of anterior cruciate ligament reconstruction for chronic instability using the central one-third patellar tendon and a lateral extraarticular tenodesis. Am J Sports Med. 1992;20(1):38-45. doi: 10.1177/036354659202000111.
- Kohn D., Sander-Beuermann A. Donor-site morbidity after harvest of a bone-tendon-bone patellar tendon autograft. Knee Surg Sports Traumatol Arthrosc. 1994;2(4):219-223. doi: 10.1007/BF01845591.
- Kartus J., Movin T., Karlsson J. Donor-site morbidity and anterior knee problems after anterior cruciate ligament reconstruction using autografts. Arthroscopy. 2001;17(9):971-980. doi: 10.1053/jars.2001.28979.
- Adriani E., Mariani P.P., Maresca G., Santori N. Healing of the patellar tendon after harvesting of its mid-third for anterior cruciate ligament reconstruction and evolution of the unclosed donor site defect. Knee Surg Sports Traumatol Arthrosc. 1995;3(3):138-143. doi: 10.1007/BF01565472.
- Brandsson S., Faxén E., Eriksson B.I., Kälebo P., Swärd L., Lundin O. et al. Closing patellar tendon defects after anterior cruciate ligament reconstruction: absence of any benefit. Knee Surg Sports Traumatol Arthrosc. 1998;6(2):82-87. doi: 10.1007/s001670050077.
- Cerullo G., Puddu G., Gianní E., Damiani A., Pigozzi F. Anterior cruciate ligament patellar tendon reconstruction: it is probably better to leave the tendon defect open! Knee Surg Sports Traumatol Arthrosc. 1995;3(1):14-17. doi: 10.1007/BF01553519.
- Muellner T., Kaltenbrunner W., Nikolic A., Mittlboeck M., Schabus R., Vécsei V. Shortening of the patellar tendon after anterior cruciate ligament reconstruction. Arthroscopy. 1998;14(6):592-596. doi: 10.1016/s0749-8063(98)70055-6.
- Eilerman M., Thomas J., Marsalka D. The effect of harvesting the central one-third of the patellar tendon on patellofemoral contact pressure. Am J Sports Med. 1992;20(6):738-741. doi: 10.1177/036354659202000616.
- Lidén M., Movin T., Ejerhed L., Papadogiannakis N., Blomén E., Hultenby K., Kartus J. A histological and ultrastructural evaluation of the patellar tendon 10 years after reharvesting its central third. Am J Sports Med. 2008;36(4):781-788. doi: 10.1177/0363546507311092.
- Insall J., Salvati E. Patella position in the normal knee joint. Radiology. 1971;101(1):101-104. doi: 10.1148/101.1.10.
- Balendra G., Jones M., Borque K.A., Willinger L., Pinheiro V.H., Williams A. Factors affecting return to play and graft re-rupture after primary ACL reconstruction in professional footballers. Knee Surg Sports Traumatol Arthrosc. 2022;30(7):2200-2208. doi: 10.1007/s00167-021-06765-8.
- Kartus J., Lindahl S., Stener S., Eriksson B.I., Karlsson J. Magnetic resonance imaging of the patellar tendon after harvesting its central third: a comparison between traditional and subcutaneous harvesting techniques. Arthroscopy. 1999;15(6):587-593. doi: 10.1053/ar.1999.v15.015058.
- Svensson M., Kartus J., Ejerhed L., Lindahl S., Karlsson J. Does the patellar tendon normalize after harvesting its central third?: a prospective long-term MRI study. Am J Sports Med. 2004;32(1):34-38. doi: 10.1177/0363546503258935.
- Coupens S.D., Yates C.K., Sheldon C., Ward C. Magnetic resonance imaging evaluation of the patellar tendon after use of its central one-third for anterior cruciate ligament reconstruction. Am J Sports Med. 1992;20(3):332-335. doi: 10.1177/036354659202000317.
Supplementary files












