Early results of primary total hip arthroplasty performed in young adults at a regional Saudi-Arabian orthopedics center: a prospective observational study
- Authors: Al-Shaer W.M.1, Al-Yami A.H.2,3,4, Al-Sayed M.1, Al-Zaidan A.5, Al-Sufyani E.1, Khalifa A.A.6, Al-Thaqafi R.M.1,7, Al-Hamyani A.H.8, Al-Subaie M.M.7
-
Affiliations:
- Alhada Armed Forces Hospital
- Ministry of the National Guard – Health Affairs
- Abdullah International Medical Research Center
- King Saud Bin Abdulaziz University for Health Sciences
- International Medical Center Hospital
- Qena faculty of medicine and University Hospital, South Valley University
- King Abdulaziz Specialist Hospital
- King Faisal Hospital
- Issue: Vol 30, No 4 (2024)
- Pages: 38-46
- Section: СLINICAL STUDIES
- Submitted: 23.06.2024
- Accepted: 30.07.2024
- Published: 18.12.2024
- URL: https://journal.rniito.org/jour/article/view/17570
- DOI: https://doi.org/10.17816/2311-2905-17570
- ID: 17570
Cite item
Full Text
Abstract
Background. Younger patients undergoing primary total hip arthroplasty (THA) have different indications and outcomes than elderly patients. Furthermore, studies reporting the results of THA in young patients are scarce in our area.
The aim of the study is to report the early experience and clinical results after total hip arthroplasty in patients ≤40 years old from a regional Saudi-Arabian hospital as a representative of the Arab (Middle Eastern) population.
Methods. We conducted a prospective observational study over one year by following all patients (≤40 years) who underwent primary THA at a regional Saudi-Arabin orthopedics center. Twenty-five patients (a mean age of 31.60±6.07 years, and 14 (56%) were males) were eligible for final inclusion. The functional assessment was performed according to the Harris Hip Score (HHS), leg length discrepancy (LLD) was evaluated, and complications at any point were reported.
Results. The commonest indication was advanced avascular necrosis (28%) followed by post-traumatic osteoarthritis (24%) and rheumatoid arthritis (24%). Cementless fixation was utilized in 20 (80%) THAs, and the bearing surface was either metal- or ceramic-on-polyethylene in 92% of THAs. After a mean follow up of 20.0±4.5 months, HHS improved from a pre-operative mean of 29.20±5.29 to 85.48±7.18 (p = 0.0001). Excellent and good results were reported in 84%. All working patients (52%) returned to their jobs after THAs. The leg length discrepancy improved significantly from a pre-operative mean of 2.12±1.01 cm to the last follow up mean of 0.72±0.4 cm, p = 0.0001. Two (8%) patients had superficial wound infections at the time of suture removal, which were treated successfully by daily dressing and antibiotics. None required revision.
Conclusions. Primary total hip arthroplasty is the option for managing end-stage hip disease, even in younger patients when hip preservation surgeries are invalid. Our results showed improved functional outcomes and a return to pre-disease daily activities in most patients, with considerably lower complication incidence.
Keywords
Full Text
INTRODUCTION
Total hip arthroplasty (THA) is considered as the treatment of choice for end-stage degenerative disease of the hip joint and has been termed “the surgery of the century” due to its high success rate, patient satisfaction, and improvement in life quality [1, 2]. The prevalence of THA procedures for hip deterioration in the USA increased by 50% from 1990 to 2002 and is expected to increase from 208.600 in 2005 to 572.000 in 2030 [3].
Although this procedure is commonly performed in relatively elderly populations (95% of primary THA in the UK are performed for patients older than 50 years) [4], more and more younger patients require THA due to various indications [5, 6], commonly — hip avascular necrosis (AVN) and the sequel of developmental dysplasia of the hip (DDH), as reported in The 20th annual report from the National Joint Registry (NJR) of England [7].
Performing THA in relatively young patients could be the sole option for pain relief and mobility preservation in cases of advanced hip diseases or when medical management or joint preservation strategies fail [4, 8, 9]. However, this procedure in younger patients can be challenging due to poor bone quality secondary to systemic disease or medications, and osseous deformities that could complicate component placements [10]. Despite improvements in surgical techniques, active young patients may have a higher risk of revision surgery than elderly patients do because they are willing to engage in activities similar to those of their healthy peers after THA and the expected longer life expectancy [9, 11, 12] .
The aim of the study is to report the early experience and clinical results after total hip arthroplasty in patients ≤40 years old from a regional Saudi-Arabian hospital as a representative of the Arab (Middle Eastern) population.
METHODS
Study design
After obtaining ethical committee approval, we conducted a prospective observational study by following all patients who underwent primary THA over one year (between March 2018 and March 2019) at the orthopedics center in King Abdulaziz Specialist Hospital (Taif, Saudi Arabia).
Inclusion and exclusion criteria
We included patients aged or under 40 years old regardless of the indication for THA, while patients above 40 years old, revision THA, and patients with incomplete data or follow-ups were excluded. Of 120 primary THAs performed during the study period, 29 patients met the inclusion criteria, and 25 were eligible for final inclusion.
Peri-operative protocol
All patients underwent preoperative radiographic evaluation, including an anteroposterior (AP) view of the pelvis (showing both hips) and AP and lateral views of the affected hip to confirm the diagnosis and perform preoperative planning, including assessing the leg length discrepancy (LLD) by measuring the perpendicular distance from the inter-teardrop or the inter-ischial line to a fixed point at the middle of the lesser trochanter bilaterally.
All patients were operated upon by two senior surgeons under spinal anesthesia through either a posterolateral or modified direct lateral approach at the surgeons’ discretion. The fixation types (cementless, cemented, or hybrid) were chosen based on the preoperative planning and the intraoperative surgeons’ decision.
Postoperative and follow-up protocol
After the routine postoperative management of the patients in the recovery room supervised by the surgeon, the AP view of the pelvis, which included the entire stem length, was obtained. In the ward, patient-controlled analgesia was continued for the first 36-48 hours, and hemoglobin levels were checked on the first postoperative day. A blood transfusion was given if necessary. A broad-spectrum antibiotic (amoxicillin with clavulanic acid) 1 g every 8 hours for 24 hours postoperatively was given. Low molecular weight heparin (LMWH) was started 12 hours postoperatively every 24 hours (continued for three weeks).
Follow-up visits were scheduled at two weeks for sutures removal and initial wound evaluation; initial radiographic evaluation was performed at six weeks. Then, the follow-ups were at 3, 6, and 12 months, then — annually. The Harris Hip Score (HHS) was used for clinical evaluation of the patients preoperatively and at follow-up visits. The score is considered “excellent” if it ranges between 90 and 100, “good” — between 80 and 90, “fair” — between 70 and 80, and “poor” — if below 70.
Patients with sedentary occupations could return to work after six to eight weeks. They could return to occupations requiring limited lifting and bending at three months. The limited athletic activity was permitted, including swimming, cycling, and golfing. However, jogging, racquet sports, and other activities requiring repetitive impact loading or extreme hip positions were unwise. Patients were warned that such activities increase the risk of arthroplasty failure.
Outcomes evaluation
Basic demographic and clinical data, including age, gender, and occupation, were collected. Procedure details were recorded, taking into consideration indication, laterality, type of prosthesis fixation, and bearing surfaces. Clinical evaluation per HHS was reported at the last follow-up visit and compared with preoperative scores. Radiographic evaluation (postoperatively and during follow-ups) was also performed to measure the LLD and compare it with the preoperative values, evaluate acetabular component inclination, and assess component migration (Figures 1, 2, and 3). Any complications during the course of management were reported.
Figure 1. A 36-year-old male patient with bilateral avascular necrosis, right cementless THA (metal-on-polyethylene bearing surface): a — preoperative X-rays; b — X-rays at 6 months post-operatively; c — X-rays at 18 months post-operatively
Figure 2. A 27-year-old male patient with failed fixation of left femoral neck fracture leading to non-union, cementless THA (ceramics-on-polyethylene bearing surface):
a — preoperative X-rays;
b — immediate post-operative X-rays;
c — X-rays at 12 months post-operatively;
d — X-rays at 24 months post-operatively
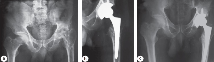
Figure 3. A 30-year-old male patient with advanced left hip avascular necrosis with failed previous core decompression and collapsed femoral head, cementless THA (metal-on-polyethylene bearing surface): a — preoperative X-rays; b — X-rays at 6 months post-operatively; c — X-rays at 20 months post-operatively
Statistical analysis
Statistical analysis was performed using SPSS v. 20 (SPSS Inc., Chicago, Il). The results are presented as the mean (M) ± SD or numbers and percentages. Non-parametric tests were used to compare the preoperative and last follow-up values. P<0.05 was considered statistically significant.
RESULTS
Patients’ demographics and peri-operative data
A total of 25 patients (25 THAs) had a mean age of 31.6±6.07 (ranging from 22 to 40), where 14 (56%) were males, 11 (44%) were females, 13 (52%) were either manual workers or had sedentary jobs while 12 (48%) were not able to work because of their hip disease. The left side was operated upon in 13 (52%) hips. The commonest indication for THA was advanced avascular necrosis (AVN), constituting 28%, followed by post-traumatic osteoarthritis (PTOA) in 24%, and rheumatoid arthritis (RA) in 24%. Details and complexities are shown in Table 1.
Table 1
Complexity and underlying diagnoses for total hip arthroplasty
Diagnosis | Hips | Complexity and possible challenges |
Sequel of DDH | 4 (16%) | Distorted anatomy, excessive shortening, restoration of the center of rotation |
Advanced AVN | 7 (28%) | Restoration of hip joint offset |
Sequel of septic arthritis | 1 (4%) | Severe bone destruction, poor soft tissue condition |
Post-traumatic or failed fixation | 6 (24%) | Removal of failed hardware, management of non-union fracture |
Rheumatoid arthritis | 6 (24%) | Bone softening, increased vascularity |
Ankylosing spondylitis | 1 (4%) | Fused hips, limited spine movement |
Total | 25 (100%) |
The modified direct lateral approach was utilized in 23 (92%) THAs. Cementless fixation was used in 20 (80%) THAs, while cemented and hybrid fixation were utilized in three (12%) and two (8%) THAs, respectively. The bearing surface was metal-on-polyethylene (MOP) in 18 (72%) THAs, ceramic-on-polyethylene (COP) in five (20%), and ceramic-on-ceramic (COC) in two (8%). Post-operative blood transfusion was required in 11 (44%) patients.
Outcomes
After a mean follow up of 20.0±4.5 months (ranging from 18 to 24), the HHS improved from a preoperative mean of 29.20±5.29 (ranging from 20 to 36) to a mean of 85.48±7.18 (ranging from 65 to 97) at the last follow up, p = 0.0001. Excellent and good results were reported in 21 (84%) hips, while four (16%) had fair or poor results. All working patients (52%) reported returning to their jobs after THAs, while 10 out of 12 non-workers reported re-engagement in their pre-disease usual daily activities.
The mean acetabular cup inclination was 40.3±6.1 (ranging from 35.8 to 56.4). The LLD improved significantly from a preoperative mean of 2.12±1.01 cm (ranging from 0.64 to 4.66) to the last follow up mean of 0.72±0.4 cm (ranging from 0 to 1.4), p = 0.0001. No component migration was detected.
No intraoperative complications were reported. Two (8%) patients had superficial wound infection at the time of suture removal, which was treated successfully by daily dressing and antibiotics; no loosening or infection was reported till the last follow up in any of the patients. None of the THAs required revision.
DISCUSSION
Data regarding outcomes of total hip arthroplasty performed in the young population is considerably limited, as described by the joint replacement registries [7, 13]; furthermore, the results from our area are scarce.
In the current study, we achieved satisfactory functional outcomes, restoration of equal leg lengths, and a return to pre-disease activity levels, with few complications and no early revisions in a small group of selected young Arab patients who underwent primary THA for various indications.
Performing THA in relatively young patients is challenging owing to many variables. First is the patient’s age, their need to get back to their daily activities as early as possible, and the high possibility of future revision surgery due to the expected increase in their life span. Second, the THA indications. Since most of these patients are with secondary hip pathologies such as PTOA and sequel of DDH or infection, which, as presented in the current series, could be associated with distorted anatomy, high hip center, bone deficiency, and increased risk of infection. Third, the necessity of a meticulous surgical technique to restore the hip biomechanics and the leg length, as well as the judicious selection of prosthesis fixation (which is sometimes challenging due to bone softening, such as in patients with RA), and proper selection of bearing surfaces to avoid early wear and aseptic loosening [5, 9, 14, 15, 16]. All the previous factors and others contribute to the complexity of managing such patients.
Indications for THA in young patients have changed over time and seem to differ among studies [17, 18]. The most common indication for THA in our series was AVN, followed by RA or PTOA; this slightly differed from previous studies’ indications. A study by R. Galloway et al. [4], including 110 patients, reported that the most common indication for patients younger than 40 years old in their series was a sequel of DDH, which was similar to S. Rahm et al., who reported that 144 primary THAs were performed in 127 patients younger than 40 years, and the most common indication for surgery was DDH as well [12]. Furthermore, in even younger patients (below 21 years old), RA was the main indication for surgery (34.3%) followed by AVN and sequel of DDH, as reported in a recent systematic review by E. Huerfano et al. after evaluating the results of 1166 primary THAs, which confirms the surgical indications diversity [9].
In the current study, we commonly used cementless implants (80%) similar to the results reported by E. Huerfano et al., where implant fixation varied among studies. However, the majority were cementless (70.6%), while cemented and hybrid fixation represented 22.6% and 6.7%, respectively [9]. On the contrary, S. Rahm et al. reported that 66% of their patients received a cemented stem, while the acetabular cup was cementless in only 60% [12].
Various bearing surface options are available for THA in young patients, and their proper selection is crucial in implant survival [17, 19]. I. Swarup et al. investigated 548 THAs in patients having a mean age of 27 years old (upper age limit was 35), followed up for a mean of 14 years. The bearing surfaces were MOP (61.2%), MOM (3.1%), COP (23.1%), and COC (12.6%). The revision rate of 23%, they reported a lower risk of revision for COC implants (HR 0.1) or COP implants (HR 0.47) compared to MOP implants [20]. In the current study, 92% of the patients had either MOP or COP-bearing surfaces. E. Huerfano et al. reported that COC was the most frequently utilized (44%), followed by MOP (37.3%) in patients included in their systematic review [9].
Most of our patients (84%) achieved excellent or good functional outcomes per HHS, with a mean score of 85.48. Improved functional outcomes in younger patients who had THA for end-stage hip disease were reported as well by A. Chapot et al. where they even included younger patients (less than 20 years), and at a mean follow up of six years, the mean HHS was 81 (67% had excellent or good outcomes) [21]. Furthermore, the negative effect of LLD on the functional outcomes after THA is well documented in the literature [22, 23]. We were able to reduce the preoperative LLD from 2.12±1.01 cm to the last follow up mean of 0.72±0.4 cm (p = 0.0001), which, we believe, contributed to the better functional outcomes.
R. Galloway et al. followed their patients for a median of 31 months; 18 out of 25 patients aged less than 30 years old (72%) returned to their pre-disease level of work [4]. In the current study, 92% of the patients returned either to their pre-disease activity or work level.
We did not report any revisions in the current series, which could be attributed to the relatively short follow-up period. However, given the fact that these are young and relatively active patients, they were consulted regarding the high possibility of future revision relying on the results reported by L.E. Bayliss et al., where they found that the lifetime revision risk after primary THA is about 5% for patients aged 70, while the incidence will increase to 35% for patients aged 50 years [15]. In the systematic review by E. Huerfano et al., the overall revision rate was 14.4%; of those, 63.6% were for aseptic loosening; the 10-year survival rate was around 84.9% [9]. Furthermore, S. Rahm et al. indicated that the revision risk is linked to the primary diagnosis. In their study, they reported a higher risk of revision in patients diagnosed primarily as having DDH (OR 16.8) compared to other diagnoses [12].
Limitations
We admit that the current study has several limitations. First, the small number of included patients which could be attributed to the high selectivity of specific age groups. Moreover, these were operated upon in a single center. Second, there is a relatively short follow-up period, where the long-term complications and revision incidence are not revealed. The last limitation is the non-comparative study nature.
Conclusions
To sum up, primary total hip arthtoplasty is the option of choice for managing end-stage hip disease, even in younger patients when hip preservation surgeries are not valid. Our results showed improved functional outcomes and a return to pre-disease daily activities in most patients, with considerably lower complication incidence. However, more robust studies with a larger number of patients and a longer follow-up period are needed to confirm the results obtained in our study. Furthermore, a need to conduct a multi-center study to report the outcomes of THA performed in young patients from our area and to compare the results with studies published by other nationalities is highly suggested.
DISCLAIMERS
Author contribution
Walid M. Al-Shaer — study concept.
Ali H. Al-Yami — study concept, literature search and review, drafting the manuscript.
Mokhtar Ahmed Al-Sayed — data analysis and interpretation.
Ali Mohammed Al-Zaidan — literature search and review, drafting the manuscript.
Emad Ruddah Al-Sufyani — editing the manuscript.
Ahmed A. Khalifa — data acquisition, data analysis and interpretation, literature search and review, drafting the manuscript.
Raad M. M. Al-Thaqafi — data acquisition, data analysis and interpretation, literature search and review, drafting the manuscript.
Abdulmohsen H. Al-Hamyani — literature search and review, drafting the manuscript.
Mohammed M. Al-Subaie — editing the manuscript.
All authors have read and approved the final version of the manuscript of the article. All authors agree to bear responsibility for all aspects of the study to ensure proper consideration and resolution of all possible issues related to the correctness and reliability of any part of the work.
Funding source. This study was not supported by any external sources of funding.
Disclosure competing interests. The authors declare that they have no competing interests.
Ethics approval. Research and Studies Department, King Abdulaziz Specialist Hospital, Taif, Saudi Arabia (KACST, KSA, HAP-02T-067, approval number: 791).
Consent for publication. The authors obtained written consent from patients to participate in the study and publish the results.
ДОПОЛНИТЕЛЬНАЯ ИНФОРМАЦИЯ
Заявленный вклад авторов
Валид М. Аль-Шаер — концепция исследования.
Али Х. Аль-Ями — концепция исследования, поиск и анализ публикаций, написание текста рукописи.
Мухтар Ахмед Аль-Саид — анализ и интерпретация данных.
Али Мухаммед Аль-Заидан — поиск и анализ публикаций, написание текста рукописи.
Имад Раддах Аль-Суфани — редактирование текста рукописи.
Ахмед А. Халифа — сбор данных, анализ и интерпретация данных, поиск и анализ публикаций, написание текста рукописи.
Раад М. М. Аль-Такафи — сбор данных, анализ и интерпретация данных, поиск и анализ публикаций, написание текста рукописи.
Абдулмохсен Х. Аль-Хамиани — поиск и анализ публикаций, написание текста рукописи.
Мухаммед М. Аль-Зубаи — редактирование текста рукописи.
Все авторы прочли и одобрили финальную версию рукописи статьи. Все авторы согласны нести ответственность за все аспекты работы, чтобы обеспечить надлежащее рассмотрение и решение всех возможных вопросов, связанных с корректностью и надежностью любой части работы.
Источник финансирования. Авторы заявляют об отсутствии внешнего финансирования при проведении исследования.
Возможный конфликт интересов. Авторы декларируют отсутствие явных и потенциальных конфликтов интересов, связанных с публикацией настоящей статьи.
Этическая экспертиза. Научно-исследовательский отдел больницы им. короля Абдул-Азиза, Эт-Таиф, Саудовская Аравия (KACST, KSA, HAP-02T-067, регистрационный номер: 791).
Информированное согласие на публикацию. Авторы получили письменное согласие пациентов на участие в исследовании и публикацию результатов.
About the authors
Walid M. Al-Shaer
Alhada Armed Forces Hospital
Email: w_m_elshaer@yahoo.com
ORCID iD: 0009-0002-6883-4741
MD
Саудовская Аравия, TaifAli H. Al-Yami
Ministry of the National Guard – Health Affairs; Abdullah International Medical Research Center; King Saud Bin Abdulaziz University for Health Sciences
Email: Alyamia@yahoo.com
ORCID iD: 0000-0002-2446-4913
PhD
Саудовская Аравия, Jeddah; Jeddah; JeddahMokhtar Ahmed Al-Sayed
Alhada Armed Forces Hospital
Email: dr_mokhtar86@hotmail.com
ORCID iD: 0000-0002-1431-3126
MD
Саудовская Аравия, TaifAli Mohammed Al-Zaidan
International Medical Center Hospital
Email: Ali.m.alzaidan@gmail.com
ORCID iD: 0009-0005-7812-4649
MD
Саудовская Аравия, JeddahEmad Ruddah Al-Sufyani
Alhada Armed Forces Hospital
Email: Emadruddah@gmail.com
ORCID iD: 0009-0003-8859-5589
MD
Саудовская Аравия, TaifAhmed A. Khalifa
Qena faculty of medicine and University Hospital, South Valley University
Email: ahmed_adel0391@med.svu.edu.eg
ORCID iD: 0000-0002-0710-6487
MD, FRCS, MSc
Египет, QenaRaad M. M. Al-Thaqafi
Alhada Armed Forces Hospital; King Abdulaziz Specialist Hospital
Author for correspondence.
Email: raadmatar977@gmail.com
ORCID iD: 0000-0001-9162-7754
MD
Саудовская Аравия, Taif; TaifAbdulmohsen H. Al-Hamyani
King Faisal Hospital
Email: Highest66@gmail.com
ORCID iD: 0009-0002-9998-9578
MD
Саудовская Аравия, TaifMohammed M. Al-Subaie
King Abdulaziz Specialist Hospital
Email: Dr_malsubaie@hotmail.com
ORCID iD: 0009-0007-5886-3465
MD
Саудовская Аравия, TaifReferences
- Lau R.L., Gandhi R., Mahomed S., Mahomed N. Patient satisfaction after total knee and hip arthroplasty. Clin Geriatr Med. 2012;28(3):349-365. doi: 10.1016/j.cger.2012.05.001.
- Jones C.A., Pohar S. Health-related quality of life after total joint arthroplasty: a scoping review. Clin Geriatr Med. 2012;28(3):395-429. doi: 10.1016/j.cger.2012.06.001.
- Kurtz S., Ong K., Lau E., Mowat F., Halpern M. Projections of primary and revision hip and knee arthroplasty in the United States from 2005 to 2030. J Bone Joint Surg Am. 2007;89(4):780-785. doi: 10.2106/JBJS.F.00222.
- Galloway R., Monnington K., Moss R., Donaldson J., Skinner J., McCulloch R. Satisfaction rates, function, and return to activity following young adult total hip arthroplasty. Bone Joint Open. 2024;5(4):304-311. doi: 10.1302/2633-1462.54.BJO-2024-0005.R1.
- Shon W.Y., Park B.Y., Rajsankar R.N., Park P.S., Im J.T., Yun H.H. Total Hip Arthroplasty: Past, Present, and Future. What Has Been Achieved? Hip Pelvis. 2019;31(4): 179-189. doi: 10.5371/hp.2019.31.4.179.
- Bessette B.J., Fassier F., Tanzer M., Brooks C.E. Total hip arthroplasty in patients younger than 21 years: a minimum, 10-year follow-up. Can J Surg. 2003;46(4):257-262.
- Achakri H., Ben-Shlomo Y., Blom A., Boulton C., Bridgens J., Brittain R. et al. The National Joint Registry 20th Annual Report 2023. London: National Joint Registry; 2022 Dec. Available from: https://www.ncbi.nlm.nih.gov/books/NBK601075/.
- Flatø B., Lien G., Smerdel A., Vinje O., Dale K., Johnston V. et al. Prognostic factors in juvenile rheumatoid arthritis: a case-control study revealing early predictors and outcome after 14.9 years. J Rheumatol. 2003;30(2):386-393.
- Huerfano E., Bautista M., Huerfano M., Nossa J.M. Total hip arthroplasty in adolescents: a systematic review and meta-analysis. Int Orthop. 2024;48(9): 2483-2492. doi: 10.1007/s00264-024-06175-8.
- Torchia M.E., Klassen R.A., Bianco A.J. Total hip arthroplasty with cement in patients less than twenty years old. Long-term results. J Bone Joint Surg Am. 1996;78(7):995-1003. doi: 10.2106/00004623-199607000-00003.
- Nizard R., Pourreyron D., Raould A., Hannouche D., Sedel L. Alumina-on-alumina hip arthroplasty in patients younger than 30 years old. Clin Orthop Relat Res. 2008;466(2):317-323. doi: 10.1007/s11999-007-0068-4.
- Rahm S., Hoch A., Tondelli T., Fuchs J., Zingg P.O. Revision rate of THA in patients younger than 40 years depends on primary diagnosis - a retrospective analysis with a minimum follow-up of 10 years. Eur J Orthop Surg Traumatol. 2021;31(7):1335-1344. doi: 10.1007/s00590-021-02881-w.
- Sedrakyan A., Romero L., Graves S., Davidson D., de Steiger R., Lewis P. et al. Survivorship of hip and knee implants in pediatric and young adult populations: analysis of registry and published data. J Bone Joint Surg Am. 2014;96(Suppl 1):73-78. doi: 10.2106/JBJS.N.00541.
- Novais E.N. Treatment Options for End-Stage Hip Disease in Adolescents: To Replace, Fuse, or Reconstruct? J Pediatr Orthop. 2021;41(Suppl 1):47-52. doi: 10.1097/BPO.0000000000001780.
- Bayliss L.E., Culliford D., Monk A.P., Glyn-Jones S., Prieto-Alhambra D., Judge A. et al. The effect of patient age at intervention on risk of implant revision after total replacement of the hip or knee: a population-based cohort study. Lancet. 2017;389(10077):1424-1430. doi: 10.1016/S0140-6736(17)30059-4.
- Shetty V., Shitole B., Shetty G., Thakur H., Bhandari M. Optimal bearing surfaces for total hip replacement in the young patient: a meta-analysis. Int Orthop. 2011;35(9):1281-1287. doi: 10.1007/s00264-010-1104-7.
- Wilson A.E., O’Malley M.J. Total Hip Arthroplasty in Adolescents and Young Adults. Operative Tech Orthop. 2020;30(1):100785. doi: 10.1016/j.oto.2020.100785.
- Adelani M.A., Keeney J.A., Palisch A., Fowler S.A., Clohisy J.C. Has total hip arthroplasty in patients 30 years or younger improved? A systematic review. Clin Orthop Relat Res. 2013;471(8):2595-2601. doi: 10.1007/s11999-013-2975-x.
- Khalifa A.A., Bakr H.M. Updates in biomaterials of bearing surfaces in total hip arthroplasty. Arthroplasty. 2021;3(1):32. doi: 10.1186/s42836-021-00092-6.
- Swarup I., Lee Y.Y., Chiu Y.F., Sutherland R., Shields M., Figgie M.P. Implant Survival and Patient-Reported Outcomes After Total Hip Arthroplasty in Young Patients. J Arthroplasty. 2018;33(9):2893-2898. doi: 10.1016/j.arth.2018.04.016.
- Chapot A., Zambelli P.Y., Merckaert S.R. Functional and Patient-related Outcomes of Total Hip Arthroplasty in Patients Younger Than 20 Years. Arthroplast Today. 2023;20:101100. doi: 10.1016/j.artd.2023.101100.
- Desai A.S., Dramis A., Board T.N. Leg length discrepancy after total hip arthroplasty: a review of literature. Curr Rev Musculoskelet Med. 2013;6(4):336-341. doi: 10.1007/s12178-013-9180-0.
- Faldini C. Leg length discrepancy after primary total hip replacement. Musculoskelet Surg. 2023;107(1):1-5. doi: 10.1007/s12306-023-00780-3.
Supplementary files







