Salvage of a comminuted proximal tibial polymicrobial infected non-union with antibiotic loaded bio-composite and intramedullary nailing: a case report
- Authors: Stanley C.1, Woods R.1, Hassan M.1, McInerney N.1, Sheridan G.1
-
Affiliations:
- University Hospital Galway
- Issue: Vol 30, No 3 (2024)
- Pages: 112-119
- Section: Case Reports
- Submitted: 29.05.2024
- Accepted: 20.08.2024
- Published: 30.09.2024
- URL: https://journal.rniito.org/jour/article/view/17560
- DOI: https://doi.org/10.17816/2311-2905-17560
- ID: 17560
Cite item
Full Text
Abstract
Background. Management of open proximal metaphyseal fractures poses a significant challenge and is fraught with complications. These injuries are severe, often accompanied by extensive soft tissue and vascular damage, leading to high risks of infection and long-term disability.
Case presentation. A 72-year-old male was severely injured in a road traffic accident. Plain X-rays and CT angiogram identified a comminuted proximal tibial fracture with transection of the popliteal artery and vein. Initial emergency treatment included fasciotomies, external fixation, and vascular primary repair. On the 12th day of admission, the patient underwent open reduction and internal fixation (ORIF) with dual plate fixation using a two incision technique. A plastic surgeon performed skin grafting, harvested from the patient’s thigh, to allow closure of his fasciotomy wounds immediately following ORIF. Four weeks post-operatively, the patient developed a wound breakdown over the lateral fasciotomy site, exposing the metal plates with a small defect developing on the medial fasciotomy wound in tandem. The patient’s course was further complicated by persistent polymicrobial infections. Over 6 months of antibiotic regimes, operative intervention was ultimately required. All of the infected metal implants were removed, the non-union sites were aggressively debrided. The tibial canal was reamed to prepare for a tibial nailing. An antibiotic loaded bio-composite was then inserted through the non-union sites into the canal followed by an intramedullary nail. A blocking screw was used to address the procurvatum deformity in the sagittal plane. The patient currently shows signs of recovery, mobilizing over short distances, weight-bearing with assistive aids and with healing wounds and early signs of callus formation on recent CT scans and plain X-rays.
Conclusions. The management of complex tibial fractures with vascular involvement demands an aggressive multidisciplinary approach and continuous adaptability in treatment plans to address the evolving challenges of such severe injuries. This case exemplifies the utility of injectable antibiotic-loaded bio-composites in a limb-salvage setting and their ability to provide high doses of local antibiotics to an infection site which, in conjunction with appropriate stable fixation and systemic antibiotics, can aid in eradicating and treating fracture-related infections.
Full Text
INTRODUCTION
Management of tibial fractures, particularly open proximal metaphyseal fractures pose a significant challenge and are fraught with complications [1, 2, 3]. These injuries are severe, often accompanied by extensive soft tissue and vascular damage, leading to high risks of infection and long-term disability [4, 5, 6, 7, 8]. This report illustrates the critical need for immediate and effective management strategies and discusses the subsequent challenges of infection control and chronic wound management.
CASE PRESENTATION
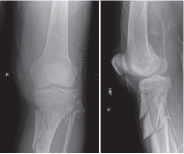
A 72-year-old male was severely injured in a road traffic accident, whereby his leg was trapped between a moving car and stationary vehicle. Plain X-rays and CT angiogram identified a comminuted proximal tibial fracture with transection of the popliteal artery and vein (Figure 1). He presented with severe hypotension, delayed capillary refill, and an absence of pedal pulses. Initial emergency treatment included fasciotomies, external fixation, and vascular primary repair conducted on the day of admission. Initially an external fixator was applied to give stability (Figure 2, 3). The patient was then turned prone and the popliteal artery was repaired primarily following a posterior approach. The patient’s post-operative period in the Intensive Care Unit (ICU) was complicated by an acute kidney injury due to rhabdomyolysis, his creatinine kinase at the time was 34.617 U/L (reference range 39-308). His rhabdomyolysis was managed by the ICU team with fluid resuscitation and diuretics, he did not require dialysis.
Figure 1. X-rays in the AP and lateral views of the right knee displaying proximal tibial fracture upon admission
Figure 2. Three-dimensional reconstruction of images from CT angiogram demonstrating interrupted flow of the right popliteal artery
Figure 3. Right lower limb post-fasciotomies and application of external fixator on the day of initial surgery
On the 12th day of admission the patient underwent open reduction and internal fixation (ORIF) with dual plate fixation using a two incision technique (Figure 4). After discussion at the multidisciplinary team meating, ORIF was favoured over external fixation as it was deemed that external fixation would not provide adequate ability to reduce the fracture fragments. In addition, the patient already had large fasciotomy wounds and so the advantage of a percutaneous frame had been lost. A plastic surgeon performed skin grafting, harvested from the patient’s thigh, to allow closure of his fasciotomy wounds immediately following ORIF.
Figure 4. Departmental X-rays 14 days after fixation with dual medial and anterolateral plate. Interfragmentary one-third tubular plates with unicortical screws had been used to aid reduction
Four weeks post-operatively the patient developed a wound breakdown over the lateral fasciotomy site, exposing the metal plates with a small defect developing on the medial fasciotomy wound in tandem (Figure 5). Due to the reliance on the plate fixation to stabilise the fracture and protect the vascular anastomosis, a decision was made to leave the plates in situ but aggressive debridement and washout was performed as has been described in existing literature in an attempt to salvage the leg [9, 10, 11]. As a result, the wound was managed initially with VAC Veraflo therapy.
Figure 5. Intra-operative images of lateral fasciotomy wound breakdown (left) and defect in medial fasciotomy graft (right) with visible metal in both wounds
Diagnostic assessments throughout the treatment were guided by imaging studies and microbial cultures, which were essential for monitoring the progression and effectiveness of the treatment interventions. The patient’s course was further complicated by persistent infections with various organisms cultured from deep tissue sites, including Enterococcus Faecalis, Staphylococcus Haemolyticus and Candida Parapsilosis. In light of the severity of his injuries, poor soft tissue coverage and polymicrobial infection of metal work, amputation was considered by a number of orthopedic surgeons, vascular surgeons and infectious disease colleagues. A decision was made in conjunction with the patient to attempt a final salvage procedure.
Over 6 months of antibiotic regimes, which at various timepoints included 6 antibiotics (cefuroxime, pip-tazobactam, linezolid, meropenem and cetazidine) and an antifungal (fluconazole) as guided by our infectious disease specialists, operative intervention was ultimately required. In considering further operative interventions it was felt a circular external fixator would be ideal given the fracture configuration and history of infection. The patient was not deemed a suitable candidate for frame fixation as it was felt with their poor mobility baseline and early dementia they would struggle to cope. The possibility of needing a frame for anything within 3-6 months was not acceptable to the patient given the numerous of onerous interventions they had already been through.
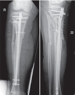
Three months following the injury it was determined that the diaphyseal component had no significant union or callus. The patient underwent removal of all of the infected metal. Extensive purulence was noted in the medullary cavity throughout the metaphysis. The non-union sites were aggressively debrided to bleeding healthy bone (Figure 6). The tibial canal was then reamed to prepare for a tibial nail using an infrapatellar approach so as to avoid inoculating the knee joint with infected debris. An injectable antibiotic loaded bio-composite (Cerament V and G — containing vancomycin and gentamicin) were then inserted through the non-union sites into the canal followed by an intramedullary nail (Figure 7). A blocking screw was used to address the procurvatum deformity in the sagittal plane. A medial gastrocnemius flap and skin grafting was then performed by plastic surgeons. Samples from this surgery grew methiillin resistant Staphylococcus Aureus (MRSA), Pseudomonas Aeruginosa, Candida Parapsilosis, Enterococcus Faecium and Staphylococcus Haemolyticus. Of these samples the dominant growths were Pseudomonas (sensitive to Gentamincin), Candida (sensitive to fluconazole) and MRSA (sensitive to linezolid). Post-operative antimicrobial treatment included ceftazidime, linezolid, ciprofloxacin and fluconazole.
Figure 6. Intra-operative images demonstrating infected non-union sites at 3 months
Figure 7. Plain X-rays after removal of dual plate fixation. Cerament V was inserted into canal and then intramedullary tibial nail was inserted
After a period of three months, the patient’s antibiotics have been discontinued, however he remains on Fluconazole for at least another 6 months. Despite these challenges, the patient currently shows signs of recovery, mobilizing over short distances, weight-bearing with assistive aids and with healing wounds and early signs of callus formation on recent CT scans and plain X-rays (Figure 8, 9, 10). His inflammatory markers have improved significantly with a latest C-reactive protein of 14.7 from 250 mg previously (reference range 0-5) and normal white cell and neutrophils count.
Figure 8. Plain X-rays 3 months after removal of dual plate fixation with insertion of cerement V and intramedullary nail showing satisfactory alignment and early callus formation
Figure 9. Wound healing with vacuum therapy and split-thickness skin graft subsequently over granulation tissue
Figure 10. Sagittal, coronal and axial CT images displaying callus formation at fracture site at 3 months post-operatively
DISCUSSION
The complexity of this case required a coordinated approach across multiple specialties, including orthopedics, plastic surgery, vascular surgery, and infectious diseases. The initial rapid management of the vascular injuries was crucial in preventing acute limb loss, while subsequent aggressive and adaptable infection management strategies were pivotal in limb salvage [7, 12, 13, 14, 15]. In the emergency setting, prompt treatment to provide relative stability to allow vascular repair of the patien’s vessels was the priority. Following this, decisions regarding definitive fixation and how best to achieve this had to be considered. Ultimately the main options available were circular frame fixator (which the patient was not agreeable to), intramedullary nailing (which was likely to be difficult in the setting of multiple proximal diaphyseal fragments) and open osteosynthesis. As this patient had fasciotomy wounds still open at this point, a decision for open osteosynthesis through these wounds was made since a plastic surgery was available to achieve definitive closure.
In terms of the revision fixation, consideration was again given to circular frame fixation, however the patient was not a good candidate and was not agreeable, and to whether removal of metalwork was required. Ultimately, as the wounds were breaking down over the metalwork, a decision not to retain them was felt to be the best option in terms of eradicating infection and allowing fracture union.
The injectable bio-composite used in this case was Cerament V and G. This is a useful adjunct in the treatment of fracture-related infection [16], bone voids [17] and osteomyelitis [18]. Cerament is a bio-composite of 40% hydroxyapatite and 60% calcium sulfate. The producers state this composition allows the mixture to absorb at a similar rate to new bone formation and the osteoconductive properties allow bone to integrate into the solution as it absorbs [19]. While this has potential advantages, it also has practical disadvantages. In particular injecting the solution then inserting the nail may allow the solution through the screw holes in the nail and make removal difficult.
This case contributes to the existing literature by underlining the necessity of aggressive and multidisciplinary management in severe orthopedic injuries, especially in elderly patients who present additional care challenges due to frailty and comorbidities.
The patient expressed gratitude for the limb-saving measures and was happy with the decision not to undergo external fixation.
CONCLUSIONS
The management of complex tibial fractures with vascular involvement demands an aggressive multidisciplinary approach and continuous adaptability in treatment plans to address the evolving challenges of such severe injuries. This case exemplifies the utility of Cerament, or other injectable antibiotic loaded bio-composites, in a limb-salvage setting such as this and its ability to provide high doses of local antibiotics to an infection site which, in conjunction with appropriate stable fixation and systemic antibiotics where appropriate, can aid in eradicating and treating fracture-related infections.
DISCLAIMERS
Author contribution
All authors made equal contributions to the study and the publication.
All authors have read and approved the final version of the manuscript of the article. All authors agree to bear responsibility for all aspects of the study to ensure proper consideration and resolution of all possible issues related to the correctness and reliability of any part of the work.
Funding source. This study was not supported by any external sources of funding.
Disclosure competing interests. The authors declare that they have no competing interests.
Ethics approval. Not applicable.
Consent for publication. Written consent was obtained from the patient for publication of relevant medical information and all of accompanying images within the manuscript.
ДОПОЛНИТЕЛЬНАЯ ИНФОРМАЦИЯ
Заявленный вклад авторов
Все авторы сделали эквивалентный вклад в подготовку публикации.
Все авторы прочли и одобрили финальную версию рукописи статьи. Все авторы согласны нести ответственность за все аспекты работы, чтобы обеспечить надлежащее рассмотрение и решение всех возможных вопросов, связанных с корректностью и надежностью любой части работы.
Источник финансирования. Авторы заявляют об отсутствии внешнего финансирования при проведении исследования.
Возможный конфликт интересов. Авторы декларируют отсутствие явных и потенциальных конфликтов интересов, связанных с публикацией настоящей статьи.
Этическая экспертиза. Не применима.
Информированное согласие на публикацию. Авторы получили письменное согласие пациента на публикацию медицинских данных и изображений.
About the authors
Ciaran Stanley
University Hospital Galway
Author for correspondence.
Email: ciaranstanley@rcsi.com
ORCID iD: 0000-0002-3808-6116
Ирландия, Galway
Robert Woods
University Hospital Galway
Email: robjnwoods@gmail.com
ORCID iD: 0009-0007-7783-3130
Ирландия, Galway
Mohammed Hassan
University Hospital Galway
Email: mohhashim1988@gmail.com
ORCID iD: 0000-0002-9882-7422
Ирландия, Galway
Niall McInerney
University Hospital Galway
Email: nmac@ymail.com
ORCID iD: 0000-0003-4051-3882
Ирландия, Galway
Gerard Sheridan
University Hospital Galway
Email: sheridga@tcd.ie
ORCID iD: 0000-0003-0970-3274
Ирландия, Galway
References
- Dvorak J.E., Lasinski A.M., Romeo N.M., Hirschfeld A., Claridge J.A. Fracture related infection and sepsis in orthopedic trauma: A review. Surgery. 2024;176(2): 535-540. doi: 10.1016/j.surg.2024.04.031.
- Geetala R., Zhang J., Maghsoudi D., Madigasekara A., Krkovic M. The Use of the Taylor Spatial Frame in Treating Tibial Osteomyelitis Following Traumatic Tibial Fracture. Strategies Trauma Limb Reconstr. 2024;19(1):32-35. doi: 10.5005/jp-journals-10080-1613.
- Mehta D.D., Leucht P. Prevention and treatment of osteomyelitis after open tibia fractures. OTA Int. 2024; 7(4 Suppl):e309. doi: 10.1097/OI9.0000000000000309.
- Moore T.M., Patzakis M.J., Harvey J.P. Tibial plateau fractures: definition, demographics, treatment rationale, and long-term results of closed traction management or operative reduction. J Orthop Trauma. 1987;1(2):97-119.
- Barei D.P., Nork S.E., Mills W.J., Henley M.B., Benirschke S.K. Complications associated with internal fixation of high-energy bicondylar tibial plateau fractures utilizing a two-incision technique. J Orthop Trauma. 2004;18(10):649-657. doi: 10.1097/00005131-200411000-00001.
- Mercer D.M., Nguyen H.M., Curtis W., Heifner J.J., Chafey D.H. Consideration for Limb Salvage in Place of Amputation in Complex Tibial Fracture With Neurovascular Injury: A Case Report. Iowa Orthop J. 2023;43(2):20-24.
- Liu Y.W., Li Y.H., Yu T., Yang T., Li Y., Tan L. Popliteal artery transection associated with a minimally displaced tibial plateau fracture: a case report and review of the literature. BMC Musculoskelet Disord. 2020;21(1):59. doi: 10.1186/s12891-020-3089-8.
- Bi A.S., Fisher N.D., Parola R., Ganta A., Egol K.A., Konda S.R. Arterial Injury Portends Worse Soft Tissue Outcomes and Delayed Coverage in Open Tibial Fractures. J Orthop Trauma. 2022;36(10):535-543. doi: 10.1097/BOT.0000000000002372.
- Lin S., Mauffrey C., Hammerberg E.M., Stahel P.F., Hak D.J. Surgical site infection after open reduction and internal fixation of tibial plateau fractures. Eur J Orthop Surg Traumatol. 2014;24(5):797-803. doi: 10.1007/s00590-013-1252-8.
- Berkes M., Obremskey W.T., Scannell B., Ellington J.K., Hymes R.A., Bosse M. Southeast Fracture Consortium. Maintenance of hardware after early postoperative infection following fracture internal fixation. J Bone Joint Surg Am. 2010;92(4):823-828. doi: 10.2106/JBJS.I.00470.
- Schmidt A.H., Swiontkowski M.F. Pathophysiology of infections after internal fixation of fractures. J Am Acad Orthop Surg. 2000;8(5):285-291. doi: 10.5435/00124635-200009000-00002.
- Gálvez-Sirvent E., Ibarzábal-Gil A., Rodríguez-Merchán E.C. Complications of the surgical treatment of fractures of the tibial plateau: prevalence, causes, and management. EFORT Open Rev. 2022;7(8): 554-568. doi: 10.1530/EOR-22-0004.
- Stefanou N., Mylonas T., Angelis F.A., Arnaoutoglou C., Varitimidis S.E., Dailiana Z.H. Upper extremity vascular injuries: Etiology, management and outcome. World J Crit Care Med. 2024;13(2):91558. doi: 10.5492/wjccm.v13.i2.91558.
- Farrelly E., Tarapore R., Lindsey S., Wieland M.D. Management of the Mangled Extremity. Surg Clin North Am. 2024;104(2):385-404. doi: 10.1016/j.suc.2023.10.006.
- Whiting P.S., Obremskey W., Johal H., Shearer D., Volgas D., Balogh Z.J. Open fractures: evidence-based best practices. OTA Int. 2024;7(3 Suppl):e313. doi: 10.1097/OI9.0000000000000313.
- Anugraha A., Hughes L.D., Pillai A. Erratum: A novel technique for fabricating antibiotic-coated intramedullary nails using an antibiotic-loaded calcium sulphate hydroxyapatite bio-composite, Cerament-V. J Surg Case Rep. 2020;2020(3):rjaa075. doi: 10.1093/jscr/rjaa075.
- Hofmann A., Gorbulev S., Guehring T., Schulz A.P., Schupfner R., Raschke M. et al. Autologous Iliac Bone Graft Compared with Biphasic Hydroxyapatite and Calcium Sulfate Cement for the Treatment of Bone Defects in Tibial Plateau Fractures: A Prospective, Randomized, Open-Label, Multicenter Study. J Bone Joint Surg Am. 2020;102(3):179-193. doi: 10.2106/JBJS.19.00680.
- Kavarthapu V., Giddie J., Kommalapati V., Casey J., Bates M., Vas P. Evaluation of Adjuvant Antibiotic Loaded Injectable Bio-Composite Material in Diabetic Foot Osteomyelitis and Charcot Foot Reconstruction. J Clin Med. 2023;12(9):3239. doi: 10.3390/jcm12093239.
- Cerament Bone Void Filler. Available from: https://www.bonesupport.com/en-eu/products/cerament-bone-void-filler/.
Supplementary files














