Results of the Articular Spacer Application in Treatment of Knee Periprosthetic Infection
- Authors: Mitrofanov V.N.1, Korolеv S.B.1, Presnov D.V.1, Komarov R.N.1, Akulov M.M.1
-
Affiliations:
- Privolzhsky Research Medical University
- Issue: Vol 28, No 4 (2022)
- Pages: 31-41
- Section: СLINICAL STUDIES
- Submitted: 02.03.2022
- Accepted: 15.09.2022
- Published: 26.12.2022
- URL: https://journal.rniito.org/jour/article/view/1750
- DOI: https://doi.org/10.17816/2311-2905-1750
- ID: 1750
Cite item
Abstract
Background. Currently, on the general background the number of primary totak knee arthroplasties (TKA) increasing, so does the revisions. Among all the causes of revisions, periprosthetic joint infection occupies one of the leading positions. The generally accepted tactics of two-stage revisions, along with the infection suppression, implements other tasks: reducing pain, preserving and/or restoring joint function. Articular antibacterial spacers allow you to complete all the tasks and preserve/restore the quality of patients` life on staged treatment. However, studies demonstrating the results of periprosthetic joint infection treatment and the use of various articular spacers still do not clear it`s optimal design.
The aim of the study was to improve the intermediate treatment results of periprosthetic knee joint infection using articular spacer implantation.
Methods. A single-center retrospective cohort study was performed. At the first stage of the study, the results of surgical treatment of 420 patients with periprosthetic knee joint infection treated at the clinic in 2011–2019 were analyzed. At the second stage, after applying the inclusion and exclusion criteria, 182 patients were included in the analysis. Two representative groups are identified among them. In the comparison group, hand-made cement liner with articulating surface was used, in the main group — conventional one.
Results. The implantation of the endoprosthesis components with the restoration of anatomical relationships in the joint and the ligamentous balance, the replacement of the cement liner with conventional one made of ultra-high molecular weight polyethylene led to reduction in the surgery duration, intraoperative blood loss and period of hospitalization, an increase in the range of motions in the joint, greater stability of the components and suppression of infection in 94.6% of patients.
Conclusion. The use of various spacers did not significantly affect the probability of infection suppression; however, the number of infection relapses was lower in the group where the liner made of ultra-high molecular weight polyethylene was used. Optimization of surgical treatment techniques and the use of articular spacer based on a three-component conventional endoprosthesis has significantly improved the treatment results of patients with periprosthetic infection of the knee joint.
Full Text
BACKGROUND
Total knee replacement is one of the main surgical methods of treatment of severe knee osteoarthritis, dysplastic and posttraumatic knee deformities [1, 2]. The number of arthroplasties performed in Russia and in the world has been constantly growing every year, moreover, the rate of revision arthroplastic surgeries has also increased significantly [3, 4]. According to foreign authors, by 2030 the quantity of primary and revision knee arthroplasties might reach 1.2-2.48 millions cases [5, 6].
The hardest and most difficult-to-treat complication is periprosthetic joint infection (PJI) that represents deep purulent process in the surgical site developing after prosthesis implantation. Its complication rate after primary surge-ries reaches 5% [7, 8, 9]. As for revision surgeries, PJI is diagnosed in 35.9% of cases according to foreign authors and in 50% of cases according to Russian authors [10, 11, 12, 13, 14].
Two-stage tactics of treatment with the use of cement spacer impregnated with antibio- tics at the first stage still remains the gold stan-dard [15, 16, 17, 18]. The main task of articulating spacers’ implantation is to manage infection process. Moreover, they enable to avoid big amount of wear products, restore joint anatomy, preserve range of motions, that all totaled will subsequently facilitate the last stage of revision arthroplasty and help to achieve the best functional result [19, 20].
There are several technical decisions of articulating spacer implantation, among them are constructions that are made manually and intraoperatively with cement-on-cement bearings or femoral and tibial officinal prosthesis components with cement insert containing thermoresistant antibiotics instead of polyethylene liner. This cement-on-metal bearing is considered more promising as it has less wear products. At the same time the wear of contact surface allows to release antibacterial substances from deeper layers of cement component, enhancing and prolonging antibacterial impact on surrounding tissues [21]. However, despite being fewer, the grits formed due to joint movement still create favorable conditions for persister cells that contribute to purulent process [22].
Thus, at the first stage of revision arthroplasty we face an acute problem of choosing the most suitable type of spacer to minimize complications, decrease pain syndrome and improve postoperative functional results.
Aim of study – to evaluate the impact of bearing type of articulating spacer construction on first stage results of treatment of patients with periprosthetic infection of the knee.
METHODS
Study design
Single-center retrospective cohort open study was performed. Results of surgical treatment of 420 patients with PJI who underwent hospital therapy in 2011-2019 were studied at the first stage of our research. At the second stage 182 patients were enrolled in the study after inclusion and exclusion criteria had been applied. These patients formed two representative groups. Handmade cement liner with articulating surface was used in the control group and officinal liner in the main group.
Patients who met inclusion and exclusion criteria were divided into two groups depending on the used articulating spacer components.
Group 1 (control group) included 89 patients (19 men and 70 women). Intraoperatively fabricated articulating spacer made of antibacterial cement liner and officinal prosthesis components with cement-on-metal bearing was used in group 1 patients at the first stage of revision arthroplasty.
Group 2 (main group) included 93 patients (22 men and 71 women). Officinal prosthesis components with metal-on-polyethylene bearing were used in this group of patients.
The following criteria were developed in order to perform comparative analysis of study groups where different techniques were used.
Study inclusion criteria:
— age from 18 to 79 years;
— confirmed PJI after primary total arthroplasty;
— use of knee articulating spacer at the first stage of the treatment.
Study exclusion criteria:
— types IIb-III bone defects of tibia and femur according to AORI classification;
— soft tissue defects of the knee area requiring reconstruction surgery;
— decompensated comorbidities (diabetes mellitus, cardiovascular diseases, severe anemia, gastroduodenal ulcer, etc.);
— signs of systemic inflammation (sepsis);
— positive HIV, syphilis, hepatitis A, B, C tests.
Patients’ examination
All patients underwent identical clinical and instrumental examination: interview (complaints, anamnesis, VAS), physical examination (including muscles, scars, fistulas, peripheral innervation, range of motions), laboratory tests (clinical blood analysis and biochemical blood test), instrumental diagnostics (ECG, ultrasonography of lower extremities’ vessels, knee X-ray in two views).
At prehospital stage the bacteriological examination of synovial fluid or fistulous drainage was performed in the polyclinic of traumatology institute or less often in other health care facility. Second verification of infectious agent and antibiotic sensitivity test were carried out after patient’s admission to the hospital at preoperative preparation stage. Scraping of the wound tract and knee joint aspirate were the materials for analysis in case of fistula. If there was no fistula, bacteriological examination of arthrocentesis material was performed.
Surgery technique and postoperative patient management
For 6 years since 2011 we have been using the following technique for implantation of articulating spacer in our clinic. The prosthesis been removed and focus of purulence been debrided, new officinal components of prosthesis were installed on bone cement with thermoresistant antibiotic in accordance with bacteriological tests. Their positioning and alignment in reference to extremity axis were performed under visual control. One more dose of cement was fixed to the tibial plate due to adhesion, creating prosthesis liner. Then the femoral test component was covered with white petrolatum to avoid adhesion of cement to its surface. After the start of polymerization phase the extremity was extended with correct axial alignment (Fig. 1).
Fig. 1. The cement liner making: a — articular surface of the cement liner modeling before the polymerization stage; b — hand-made liner is implanted
At the final stage officinal femoral prosthesis component was implanted. Produced articulating spacer construction provided sufficient stability, joint motions and required antibacterial effect on surrounding tissues (Fig. 2).
Fig. 2. The articular spacer is implanted
Number of disadvantages of used construction were revealed analyzing the results of stage treatment of patients. Albeit in small quantities, wear products were generated when using metal-on-cement bearing, that was the basis of inflammation recurrence. Additionally, cement liner modelling and components installation under visual control not always allowed to acquire anatomically correct axial alignment and proper ligament balance of the joint. This technique implied at least two bone cement exposures, which increased the duration of surgery and blood loss. Moreover, constructions required obligatory interchange due to incorrect axial alignment and ligament imbalance, that reduced the durability.
Since 2017 we have abandoned this technique in favor of “temporary-permanent” prosthesis. We use officinal three-component prosthesis, that is retained with bone cement together with 4 grams of thermoresistant antibiotic. We place the prosthesis with correct axial alignment and with restored ligament balance of the joint. Along with that we reduce the volume of antibacterial depot.
The first stage of surgical treatment of majority of patients was performed within a year after the primary arthroplasty (Tab. 1). There was no statistically significant difference between the groups in terms of time of treatment (χ2 = 0.938; р = 0.626).
Table 1
Time from infection onset to patient’s admission to hospital
Term | Group 1 (n=89) | Group 2 (n=93) | Total | |||
n | % | n | % | n | % | |
˂ 1 months | 7 | 7,9 | 5 | 5,4 | 12 | 6,6 |
1–12 months | 59 | 66,3 | 59 | 63,5 | 126 | 69,2 |
> 1 year | 23 | 25,8 | 29 | 31,1 | 44 | 24,2 |
Total | 89 | 100,0 | 93 | 100,0 | 182 | 100,0 |
The prevalence of late patients’ admission to the hospital was mainly caused by delayed PJI diagnostics and unreasonable attempts of conservative treatment.
Surgeries in both groups were carried out under spinal anesthesia with controlled hypotension. Incision was made over the old scar with fistulectomy (if fistula was present). Purulence focus debridement was performed and included resection of compromised synovium with adjacent capsule, scars, granulations and necrotic tissues. At least three tissue fragments bordering on femoral, tibial and patellar prosthesis components were sampled for bacteriological examination. Then the implants were removed and sparing resection of compromised bone tissue of femur and tibia was performed avoiding formation of large bone defects. One of the main steps of surgical debridement is to remove all fragments of old bone cement (in case of cement fixation). Next, tissues were conditioned with ultrasound cavitation device (AUZH-100-“FOTEK”) and pulse lavage system with 0.1% solution of Lavasept. Volume of fluid used for irrigation of wound surfaces equaled 4 liters. Exposure of solutions in the wound including the time of ultrasound conditioning was ~10 minutes. New femoral and tibial prosthesis components were implanted in all patients and fixed with bone cement with gentamycin, adding thermoresistant antibiotics according to antibiogram results.
In the group 1 intraoperatively fabricated cement liner was installed between the officinal femoral and tibial implants (Fig. 3).
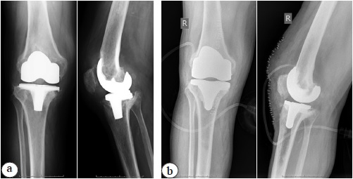
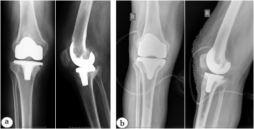
Fig. 3. X-rays of a 52-year-old patient (2014): a — before surgery; b — after the articular spacer implantation
Remodeling of articular surfaces was performed in the group 2 with the use of intramedullary guides and cutting blocks. Stability tests were used to evaluate collateral ligaments tension and flexion/extension of the knee with trial implants in order to determine optimal thickness of officinal liner (Fig. 4).
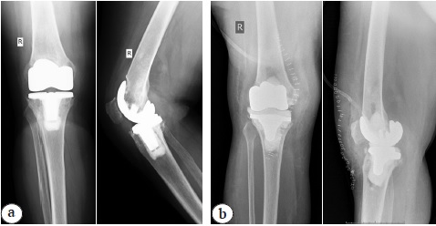
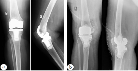
Fig. 4. X-rays of a 55-year-old patient (2017): a — before surgery; b — after the articular spacer implantation
Selected officinal polyethylene liner was installed in the chamfers of tibial plate after the end of cement polymerization. Redon drainage system was used in all patients, the wound was sutured layer-by-layer.
Joint immobilization was performed with rigid fixation brace on the operating table. Intravenous antibacterial therapy was administered according to the results of preoperative antibiogram. If there was difference in the results of pre- and intraoperative bacteriological tests, the latter was deciding. Low-molecular-weight heparins in preventive dose (enoxaparine 0.4 subcutaneously 1 time a day for no less than 10 days) were administered to prevent thromboembolic complications. In postoperative period all patients rested in bed till the drain tube was removed on the 2nd or the 3rd day depending on amount of wound discharge. The next day after drainage removal the patients were verticalized. They were allowed to walk with weight-bearing on operated limb up to 20% of body weight. Conditioning exercises were administered and individual rehabilitation program was recommended in cooperation with exercise physiologist in order to restore range of motions and strengthen muscles of operated limb.
Intravenous antibiotic therapy lasted until patient’s discharge, following which the medications were prescribed in tablets at the outpatient treatment stage. Maximum authorized drug course was administered in case of using antibiotics with increased toxicity. It was recommended to gradually increase partial weight-bearing to full by the 4th week after the surgery. Patients temporarily took off their knee brace to allow joint motions. Been discharged from the hospital, 4 weeks later they were invited for follow-up examination with joint function assessment and monthly bacteriological analysis of knee joint aspirate. Also, it was decided whether the further immobilization was needed.
If there was no bacterial growth in 3 months, patients were referred to the second stage of revision arthroplasty. If pathogenic microflora was detected in the joint aspirate, suppressive antibiotic therapy was administered. After the end of the course the second aspirate examination was performed. In case of bacterial growth, the first stage of revision arthroplasty was carried out.
Assessment of results
Active knee motions were evaluated in patients right before spacer implantation and 3 months after the surgery. Null method of examination was applied. Stability of spacer components was evaluated analyzing x-rays. Resorption at the cement-on-bone (metal-on-bone) borderline and axial alignment of components in anteroposterior and lateral views were assessed in comparison with postoperative x-rays. Visual analogue 10-point scale (VAS) was used to measure pain intensity. The survey took place on the 1st and the 7th days and on the day of discharge.
Statistical analysis
Statistical analysis of data summarized in Microsoft Excel table was performed with IBM SPSS Statistics 26 (software for Windows 10). Lilliefors modification of Kolmogorov-Smirnov normality test was used for quantitative values. Student’s t-test for independent samples was applied in case of normal distribution. Mann-Whitney U test was used to compare quantitative values in experimental groups if distribution was non-normal. Nominal data comparison was carried out using Pearson χ2 test. Yates' correction was applied in case of analysis of two dichotomous variables. Level of p<0.05 was considered as a criterion of statistical significance.
RESULTS
No statistically significant differences were identified between patient groups on the basis of gender status and age (р = 0.099). Average patient age of the first and the second group was 61.0±10.4 and 63.4±8.4 years respectively.
Active knee motions were evaluated with the use of fleximeter before implantation and 3 months after the first stage of surgical treatment. Range of motions in patients of the first group before surgery was on average 54.0±5.4°, in 3 months — 95.5±5.8°; in the second group it was 57.8±5.0° and 71.0±5.2° respectively (Fig. 5).
Fig. 5. The range of knee motions before and after the first stage of surgical treatment
After the first stage of the treatment all patients were examined concerning stability of spacer components (Tab. 2).
Table 2
Stability of components before II stage of the treatment
Stability | Group 1 | Group 2 | ||||||
Tibial component | Femur component | Tibial component | Femur component | |||||
n | % | n | % | n | % | n | % | |
Stable | 47 | 52.8 | 60 | 67.4 | 66 | 71.0 | 76 | 81.7 |
Unstable | 42 | 47.2 | 29 | 32.6 | 27 | 29.0 | 17 | 12.3 |
Total | 89 | 100 | 89 | 100 | 93 | 100 | 93 | 100 |
Data analysis showed that the second group had significantly more stable tibial (χ2 = 5.623; р = 0.018) and femoral (χ2 = 4.199; р = 0.040) components before starting the second stage of the treatment.
Joint aspirate analysis showed that the main infectious agent in both groups was staphylococcus-dominated gram-positive flora. The percent of methicillin-resistant Staphylococcus aureus (MRSA) was 20.9%, the percent of coagulase-negative methicillin-resistant Staphylococcus epidermidis (MRSE) was 55.7% (Tab. 3).
Table 3
Structure of identified infectious agents
Infectious agent | Group 1 | Group 2 | Total | |||
n | % | n | % | n | % | |
S. Aureus | 27 (5*) | 27.3 | 30 (7*) | 30.6 | 57 | 28.9 |
S. Epidermalis | 21 (11*) | 21.2 | 22 (13*) | 22.5 | 43 | 21.8 |
Gram(+) | 19 | 19.2 | 17 | 17.3 | 36 | 18.3 |
Gram(-) | 6 | 6.1 | 4 | 4.1 | 10 | 5.1 |
Polymicrobial flora | 10 | 10.1 | 8 | 8.2 | 18 | 9.1 |
Microbial growth not found | 16 | 16.1 | 17 | 17.3 | 33 | 16.8 |
* methicillin-resistant strains.
Analysis of gram-negative agents’ structure showed the prevalence of nonfermentative gram-negative bacilli over enterobacteria. Ps. Aeruginosa was identified more often among the nonfermentative bacteria. K. pneumoniae prevailed among enterobacteria in patients with PJI. Great number of strains of nonfermentative gram-negative bacilli had resistance to various antibiotics. There were no statistically significant differences concerning types of infectious agents in patients of both groups (χ2 = 0.940; р = 0.967).
Average duration of surgery, as well as average volume of intraoperative blood loss in the second group were significantly lower (р = 0.001). Period of hospital stay of patients who underwent two-stage revision arthroplasty with the use of spacer with officinal liner was shorter by 5.4 days than in patients of the second group (Tab. 4).
Table 4
Surgical time, blood loss and of hospital stay in treatment stage I
Parameters | Group 1 (n = 89) | Group 2 (n = 93) |
Surgical time, min | 191±22 | 127±12 |
Intraoperative blood loss, mm | 493.4±68.0 | 341.8±72.4 |
Length of hospital stay, days | 26.10±9.58 | 20.70±6.69 |
On the first day after the surgery the pain level in both patient groups differed insignificantly. Pain syndrome decrease in the second group was noticed in 7 days, being significantly lower than in the first group before patients’ discharge (p = 0.001) (Tab. 5).
Table 5
Pain syndrome severity scores (VAS)
Day after surgery | Group 1 | Group 1 |
First | 8.4±1.5 | 8.1±1.8 |
Seventh | 5.3±2.1 | 3.9±2.0 |
Day of discharge | 4.6±1.9 | 2.3±1.3 |
Infection process recurrence was noticed in 10 (11.2%) patients in the first group and 5 (5.4%) patients in the second one. In both cases it was managed after redoing the first stage. No other complications connected with the first stage of the treatment were noticed in both groups.
DISCUSSION
According to the Second International Consensus Meeting on Musculoskeletal Infection, the choice of treatment method depends on infectious process onset and clinical severity. [23]. Suppressive antibiotic therapy, open debridement with the substitution of all removable prosthesis components, one- or two-stage revision arthroplasty are possible [24, 25]. Two-stage revision arthroplasty remains frontline and highly-efficient method of chronic PJI treatment due to the use of cement antibacterial spacers that produce enough antibiotic concentration in surrounding tissues [26].
Two types of spacers (articulating and static) are applied in case of two-stage PJI treatment of the knee. Systematic literature review published by foreign authors included treatment results of 1526 patients and showed no significant difference in managing infection process (88% in case of static spacers and 92 in case of articulating ones). However, there was a great difference in average range of motions after the second stage of the treatment (91° for static spacers and 101° for articulating) [27].
There are multiple structural designs of articulating spacers. The most popular of them are cement-on-cement, cement-on-polyethylene and metal-on-polyethylene bearings. Thus, nowadays there are some splits over the best bearing of articulating spacer [21].
Results of our comparative study revealed that application of officinal polyethylene liner instead of cement one containing antibacterial agent had not increased infection rate. In our opinion, using metal-on-polyethylene bearing seem to be the most optimal that is confirmed by surgical treatment results of 182 patients with periprosthetic knee joint infection. Moreover, officinal prosthesis component made of ultra-high-molecular-weight polyethylene instead of cement liner as well as joint anatomy and ligament balance restoration proved their efficacy. 94.6% of patients of prospective group were noticed infection process reversal, increase of range of motions, reduction of surgery and hospitalization duration as well as intraoperative blood loss. According to several authors, recurrence rate is within 9-33% [28, 29].
Introduced technical decision and algorithms of perioperative patient management appeared to be reasonable and became basic for improving short- and long-term results of treating patients with periprosthetic knee joint infection. Implantation of temporary-permanent prosthesis potentially allows patients to accomplish treatment without revision arthroplasty in case of meeting conditions for one-stage surgery, that are:
– antibiotic-sensitive microbial agent;
– local inflammation process (no leakage, phlegmon or soft tissue defect);
– normal bone density and intact ligament apparatus;
– no vast bone defects.
Our study enabled to review the tactics of surgical treatment of patients with chronic infection. In 2020 we managed to preserve prostheses in 17.6% of all patients that had undergone surgeries in clinics. In 2017 J.M. Cancienne et al. published meta-analysis of treatment results of 18533 patients. In 12.5% of cases the spacers remained permanent [30].
Indications’ update and expansion is considered perspective as it allows to reduce surgical complication rate, decrease duration of inpatient stay, increase quality of life and life time, speed up the return to daily activities and reduce financial expenses on treatment opposed to two-stage revision arthroplasty.
CONCLUSION
Including comparative data analysis of surgical treatment of two groups of patients with periprosthetic knee joint infection, our study enabled to make conclusion of significant impact of articulating spacer bearing on results of the first stage of two-stage revision arthroplasty. Using officinal knee joint prosthesis components allowed to reach higher functional results before the second stage of the treatment, as well as to decrease pain syndrome and risk of infection recurrence. Implantation of articulating spacer according to the principle of clean replacement enabled to significantly decrease the number of unstable components and, as a consequence, the number of infectious complications.
DISCLAIMERS
Author contribution
Mytrofanov V.N. — study concept and design, data statistical processing, manuscript writing and editing.
Korolеv S.B. — analysis and statistical processing of data, text editing.
Presnov D.V. — data collection and analysis, manuscript writing, text editing.
Komarov R.N. — analysis and statistical processing of data, text editing
Akulov M.M. — analysis and statistical processing of data, text editing
All authors have read and approved the final version of the manuscript of the article. All authors agree to bear responsibility for all aspects of the study to ensure proper consideration and resolution of all possible issues related to the correctness and reliability of any part of the work.
Funding source. This study was not supported by any external sources of funding.
Competing interests. The authors declare that they have no competing interests.
Ethics approval. Not applicable.
Consent for publication. Written consent was obtained from the patients for publication of relevant medical information and all of accompanying images within the manuscript.
About the authors
Vyacheslav N. Mitrofanov
Privolzhsky Research Medical University
Email: slavasm08@rambler.ru
ORCID iD: 0000-0003-2046-3865
Cand. Sci. (Med.)
Россия, Nizhny NovgorodSvyatoslav B. Korolеv
Privolzhsky Research Medical University
Email: svyatos.korolev070@yandex.ru
ORCID iD: 0000-0003-0286-8404
Dr. Sci. (Med.), Professor
Россия, Nizhny NovgorodDmitrii V. Presnov
Privolzhsky Research Medical University
Author for correspondence.
Email: p.d-07@list.ru
ORCID iD: 0000-0002-3905-7958
Россия, Nizhny Novgorod
Roman N. Komarov
Privolzhsky Research Medical University
Email: bagsnn@mail.ru
ORCID iD: 0000-0002-2705-8224
Cand. Sci. (Med.)
Россия, Nizhny NovgorodMikhail M. Akulov
Privolzhsky Research Medical University
Email: brisben@yandex.ru
ORCID iD: 0000-0002-4383-9370
Россия, Nizhny Novgorod
References
- Kirpichyov I.V., Berezhkov I.V. [The efficacy of knee joint function restoration after primary joint arthroplasty in medical rehabilitation department]. Vestnik Ivanovskoi meditsinskoi akademii [Bulletin of the Ivanovo Medical Academy]. 2017;(2):30-33. (In Russian).
- Garkaviy N.G., Vereschagin N.A., Zhiltsov A.A., Vereschagina E.N. [Endoprosthetics in post trauma alterations of acetabulum]. Vestnik Ivanovskoi meditsinskoi akademii [Bulletin of the Ivanovo Medical Academy]. 2017;(4):15-19. (In Russian).
- Patel A., Pavlou G., Mújica-Mota R.E., Toms A.D. The epidemiology of revision total knee and hip arthroplasty in England and Wales: a comparative analysis with projections for the United States. A study using the National Joint Registry dataset. Bone Joint J. 2015;97-B(8):1076-1081. doi: 10.1302/0301-620X.97B8.35170.
- Delanois R.E., Mistry J.B., Gwam C.U., Mohamed N.S., Choksi U.S., Mont M.A. Current Epidemiology of Revision Total Knee Arthroplasty in the United States. J Arthroplasty. 2017;32(9):2663-2668. doi: 10.1016/j.arth.2017.03.066.
- Kurtz S., Ong K., Lau E., Mowat F., Halpern M. Projections of primary and revision hip and knee arthroplasty in the United States from 2005 to 2030. J Bone Joint Surg Am. 2007;89(4):780-785. doi: 10.2106/JBJS.F.00222.
- Bozhkova S.A., Kasimova A.R., Tikhilov R.M., Polyakova E.M., Rukina A.N., Shabanova V.V. et al. [Adverse Trends in the Etiology of Orthopedic Infection: Results of 6-Year Monitoring of the Structure and Resistance of Leading Pathogens]. Travmatologiya i ortopediya Rossii [Traumatology and Orthopedics of Russia]. 2018;24(4):20-31. (In Russian). doi: 10.21823/2311-2905-2018-24-4-20-31.
- Baitov V.S., Ganchukov E.B. [Infectious complications in total knee replacement]. Sovremennye problemy nauki i obrazovaniya [Modern Problems of Science and Education]. 2017;(5). Available from: https://science-education.ru/en/article/view?id=27110. (In Russian).
- Culliford D., Maskell J., Judge A., Cooper C., Prieto-Alhambra D., Arden N.K. Future projections of total hip and knee arthroplasty in the UK: results from the UK Clinical Practice Research Datalink. Osteoarthritis Cartilage. 2015;23(4):594-600. doi: 10.1016/j.joca.2014.12.022.
- Kornilov N.N., Kulyaba T.A., Fil A.S., Muravyeva Yu.V. [Data of knee arthroplasty register of Vreden Russian Research Institute of Traumatology and Orthopedics for period 2011–2013]. Travmatologiya i ortopediya Rossii [Traumatology and Orthopedics of Russia]. 2015;(1):136-151. (In Russian). doi: 10.21823/2311-2905-2015-0-1-136-151.
- Norwegian National Advisory Unit on Arthroplasty and Hip Fractures. The Norwegian Arthroplasty Register. Report, June 2020. Available from: https://www.researchgate.net/publication/344101825_Annual_report_2020_Norwegian_National_Advisory_Unit_on_Arthroplasty_and_Hip_Fractures_Norwegian_Arthroplasty_Register_Norwegian_Cruciate_Ligament_Register_Norwegian_Hip_Fracture_Register_Norwegian_Pae.
- Australian orthopaedic association national joint replacement registry, 2020. Hip, knee and shoulder arthroplasty: 2020 Annual report. Available from: https://aoanjrr.sahmri.com/annual-reports-2020.
- The New Zealand Joint Registry — Twenty-one-year Report January 1999 to December 2019. 2020. Available from: https://nzoa.org.nz/nzoa-joint-registry.
- Hip and knee replacements in Canada, CJRR revision risk curves 2019-2020. Canadian Arthroplasty Register: Report, 2021. Available from: https://www.cihi.ca/en/canadian-joint-replacement-registry-cjrr.
- Parvizi J., Adeli B., Zmistowski B., Restrepo C., Greenwald A.S. Management of periprosthetic joint infection: the current knowledge: AAOS exhibit selection. J Bone Joint Surg Am. 2012;94(14):e104. doi: 10.2106/JBJS.K.01417.
- Artyukh V.A., Bozhkova S.A., Boyarov A.A., Muravyova J.V., Kochish A.A. [Efficiency of the One-Stage Revision Hip Arthroplasty in Chronic Periprosthetic Joint Infection with Sinus Tract]. Travmatologiya i ortopediya Rossii [Traumatology and Orthopedics of Russia]. 2021;27(2):9-22. (In Russian). doi: 10.21823/2311-2905-2021-27-2-9-22.
- Ermakov A.M., Kliushin N.M., Ababkov Ju.V., Triapichnikov A.S., Koiushkov A.N. [Efficiency of two-stage revision arthroplasty in management of periprosthetic knee and hip joint infection]. Genij Orthopedii [Orthopaedic Genius]. 2018;24(3):321-326. (In Russian). doi: 10.18019/1028-4427-2018-24-3-321-326.
- Shpinyak S.P., Barabash A.P., Lyasnikova A.V. [The use of spacers in the treatment of infectious complications in total knee replacement]. Sovremennye problemy nauki i obrazovaniya [Modern Problems of Science and Education]. 2015;(5). Available from: https://science-education.ru/en/article/view?id=21443. (In Russian).
- Lichstein P., Su S., Hedlund H., Suh G., Maloney W.J., Goodman S.B., Huddleston J.I. 3rd. Treatment of Periprosthetic Knee Infection With a Two-stage Protocol Using Static Spacers. Clin Orthop Relat Res. 2016;474(1):120-125. doi: 10.1007/s11999-015-4443-2.
- Preobrazhensky P.M., Bozhkova S.A., Kazemirsky A.V., Goncharov M.Yu. [Results of Two-Stage Reimplantation in Patients with Periprosthetic Joint Infection after Total Knee Arthroplasty]. Travmatologiya i ortopediya Rossii [Traumatology and Orthopedics of Russia]. 2017;23(1):98-107. (In Russian). doi: 10.21823/2311-2905-2017-23-1-98-107.
- Lu J., Han J., Zhang C., Yang Y., Yao Z. Infection after total knee arthroplasty and its gold standard surgical treatment: Spacers used in two-stage revision arthroplasty. Intractable Rare Dis Res. 2017;6(4):256-261. doi: 10.5582/irdr.2017.01049.
- Goodman S.B., Gallo J., Gibon E., Takagi M. Diagnosis and management of implant debris-associated inflammation. Expert Rev Med Devices. 2020;17(1):41-56. doi: 10.1080/17434440.2020.1702024.
- Proceedings of the Second International Consensus Meeting on Musculoskeletal Infection. Brooklandville, Maryland; 2018.
- Komarov R.N., Novikov A.V., Mitrofanov V.N., Akulov M.M., Korytkin A.A. [The spacers application in the treatment of peri-implant infection after hip arthroplasty]. Sovremennye problemy nauki i obrazovaniya [Modern Problems of Science and Education]. 2014;(5). (In Russian). Available from: https://science-education.ru/ru/article/view?id=14954.
- Schwarz E.M., Parvizi J., Gehrke T., Aiyer A., Battenberg A., Brown S.A. et al. 2018 International Consensus Meeting on Musculoskeletal Infection: Research Priorities from the General Assembly Questions. J Orthop Res. 2019;37(5):997-1006. doi: 10.1002/jor.24293.
- Fink B., Vogt S., Reinsch M., Büchner H. Sufficient release of antibiotic by a spacer 6 weeks after implantation in two-stage revision of infected hip prostheses. Clin Orthop Relat Res. 2011;469(11):3141-3147. doi: 10.1007/s11999-011-1937-4.
- Voleti P.B., Baldwin K.D., Lee G.C. Use of static or articulating spacers for infection following total knee arthroplasty: a systematic literature review. J Bone Joint Surg Am. 2013;95(17):1594-1599. doi: 10.2106/JBJS.L.01461.
- Yaghmour K.M., Chisari E., Khan W.S. Single-Stage Revision Surgery in Infected Total Knee Arthroplasty: A PRISMA Systematic Review. J Clin Med. 2019;8(2):174. doi: 10.3390/jcm8020174.
- Pangaud C., Ollivier M., Argenson J.N. Outcome of single-stage versus two-stage exchange for revision knee arthroplasty for chronic periprosthetic infection. EFORT Open Rev. 2019;4(8):495-502. doi: 10.1302/2058-5241.4.190003.
- Cancienne J.M., Granadillo V.A., Patel K.J., Werner B.C., Browne J.A. Risk Factors for Repeat Debridement, Spacer Retention, Amputation, Arthrodesis, and Mortality After Removal of an Infected Total Knee Arthroplasty With Spacer Placement. J Arthroplasty. 2018;33(2):515-520. doi: 10.1016/j.arth.2017.08.037.
Supplementary files









