Salter vs Pemberton: Comparative Radiologic Analysis of Changes in the Acetabulum and Pelvis After Surgical Correction in Children with Hip Dysplasia
- Authors: Bortulev P.I.1, Baskaeva T.V.1, Vissarionov S.V.1,2, Barsukov D.B.1, Pozdnikin I.Y.1, Kozhevnikov V.V.3
-
Affiliations:
- H. Turner National Medical Research Center for Сhildren’s Orthopedics and Trauma Surgery
- Mechnikov North-Western State Medical University
- Barnaul Federal Center of Traumatology, Orthopedics and Arthroplasty
- Issue: Vol 28, No 2 (2022)
- Pages: 27-37
- Section: СLINICAL STUDIES
- Submitted: 25.02.2022
- Accepted: 01.04.2022
- Published: 28.06.2022
- URL: https://journal.rniito.org/jour/article/view/1748
- DOI: https://doi.org/10.17816/2311-2905-1748
- ID: 1748
Cite item
Abstract
Background. Hip dysplasia, characterized by pronounced anatomical changes, continues to be one of the leading positions in the structure of all congenital malformations of the musculoskeletal system. Late diagnosis or ineffective conservative treatment leads to the need for surgical correction of congenital deformities of the proximal femur and acetabulum. The choice of the method of operational reconstruction of the latter remains a subject of discussion over the past decades.
Aim of the study — a comparative X-ray analysis of surgical treatment outcomes of children with hip dysplasia type IHDI III-IV after Salter and Pemberton pelvic osteotomies.
Methods. The study included 80 patients (80 hip joints) aged 2 to 4 years (3.1 ± 0.45) with hip dysplasia of the III-IV degree according to the IHDI. Patients were divided into two groups: group I consisted of 40 patients who underwent modified Salter osteotomy, group II — 40 patients who underwent Pemberton pericapsular acetabuloplasty. Radiometry of the following parameters was performed: acetabular index (AI), Wiberg angle, neck-shaft angle, anteversion angle of the proximal femur, degree of bone coverage, the depth of the acetabulum (AD) and pelvic height (PH)
Results. The values of AI and Wiberg angle in patients in I group indicate that a greater correction was achieved (p<0.05) in contrast to patients who underwent Pemberton pericapsular acetabuloplasty. At the same time, the values of AD and PH in I group patients had pronounced differences (p<0.05) from those in II group patients, whose values were close to similar indicators in the contralateral hip joint.
Conslusions. In the treatment of children with hip dysplasia IHDI III-IV degree performing a modified Salter osteotomy leads to a significant decrease in the values of AI and an increase in the values of the Wiberg angle, which corresponds to hypercorrection of the position of the acetabulum, does not affect the AD and contributes to the elongation of the hemipelvis by an average of 13.8 mm. Pemberton acetabuloplasty allows to achieve values of AI and Wiberg angle close to the age-related indicators of the norm, leads to an increase AD, approaching the contralateral joint in its value and does not significantly affect the PH.
Full Text
BACKGROUND
Hip dysplasia, characterized by pronounced anatomical changes that occurred during the ante- and postnatal periods of development, remains one of the most significant congenital malformations of the musculoskeletal system [1, 2]. Late diagnosis or inadequate use of conservative treatment methods results in the need for surgical correction of congenital deformities of both the proximal femur and acetabulum. The choice of methods for the surgical reconstruction of the latter has been the subject of discussion over the past decades.
To date, all pelvic osteotomies used in global and Russian orthopedic practice, aimed at achieving adequate stability of the hip joint and congruence of the articular surfaces of the femoral head and acetabulum, can be conditionally divided into two groups, namely, those accompanied by complete damage to the ilium and those without it. The former group of surgical methods includes osteotomies of the pelvis such as iliac (R. Salter), double (D. Sutherland, Yu.I. Pozdnikin, and M.M. Kamosko), and triple (H. Carlioz, H. Steel, D. Tönnis, and modifications by other authors). Essentially, these technologies involve the change in the spatial position of the acetabular fragment [3, 4, 5, 6]. The latter group of pelvic osteotomies includes acetabuloplasty (W. Dega, P. Pemberton, San Diego, E.S. Tikhonenkov, V.P. Melnikov, and modifications of other authors), which are mainly aimed at the change in the acetabulum shape [7, 8, 9, 10, 11].
Despite the widespread application of triple pelvic osteotomy in clinical practice and the expansion of the age criteria for its implementation [12, 13], in pediatric patients aged <6 years with hip dysplasia of varying severities and functioning Y-shaped cartilage, currently, the most common treatment methods for dysplastic acetabulum is iliac pelvic osteotomy according to Salter, pericapsular acetabuloplasty according to Pemberton, and acetabuloplasty according to Dega. Moreover, Dega acetabuloplasty includes complete damage to the posterior pelvic column and, therefore, in our opinion, cannot be fully classified as true acetabuloplasty.
To date, the choice of a pelvic osteotomy technique for hip dysplasia in pediatric patients depends on the preferences of the operating surgeon, and modern Russian literature provides almost no comprehensive analysis of the surgical treatment results.
This study aimed to perform a comparative X-ray analysis of structural changes of the acetabulum and pelvis in pediatric patients with congenital hip dislocation (IHDI grades III and IV) following Salter and Pemberton pelvic osteotomy.
METHODS
Study design
A two-center cohort comparative controlled retrospective–prospective study was performed.
The inclusion criteria were as follows:
– Aged 2-4 years;
– unilateral dislocation of the hip (grades III and IV according to the IHDI classification [14]);
– absence of surgical interventions on the hip joint in history;
– absence of signs of aseptic necrosis of the femoral head according to the Tönnis classification [15];
– absence of confirmed neurological diseases;
– absence of genetic diseases and systemic skeletal dysplasia;
– consent of the patient’s legal representatives to participate in the study;
The exclusion criteria were as follows:
– age of <2 years and >4 years;
– subluxation of the hip (grade II according to the IHDI classification).
– hip bilateral lesions;
– history of surgeries on the hip joint;
emerging or formed multiplanar deformity of the proximal femur;
– neurological, systemic, and genetic diseases;
– refusal to fill out informed consent to participate in the study.
The study included 80 patients (80 hip joints) aged 2-4 years (3.1 ± 0.5) with grade II-IV hip dysplasia according to the IHDI classification, who received treatment at the clinic of the H.I. Turner National Medical Research Center for Сhildren’s Orthopedics and Trauma Surgery and the Federal Center for Traumatology, Orthopedics, and Endoprosthetics (Barnaul) during the period from 2020 to 2021.
Patients were distributed into two groups depending on the technique used for pelvic osteotomy to correct the abnormal acetabulum. Group I consisted of 40 patients (40 hip joints) who underwent the modified Salter iliac pelvic osteotomy. This pelvic osteotomy differed from the classical one by the rotation vector of the acetabular fragment, i.e., not isolated anteriorly, but more laterally, which enabled to increase the coverage of the femoral head and minimize the risk of acetabular retroversion. Group II also consisted of 40 patients (40 hip joints) who underwent Pemberton pericapsular acetabuloplasty, following the author’s surgical technique. In both groups, tenotomy of the m. iliopsoas at the lower aperture of the acetabulum followed by capsulotomy and revision of the acetabulum was compulsory, and depending on the angular values of the proximal femur, intertrochanteric corrective osteotomy was also performed [16].
Patients of both groups underwent a clinical examination, typical for this orthopedic disease of the hip joint, and an X-ray examination, which consisted of performing radiography of the hip joints in the frontal view, Lauenstein position, and abduction and internal rotation of the lower extremities before and after surgical treatment. In this study, we focused on the assessment of the X-ray anatomical structure of the acetabulum after surgical correction. X-ray measurements were used to assess the acetabular index (AI), Wiberg angle, caput-collum-diaphyseal angle (CCDA), anteversion angle of the proximal femur (AA), bone coverage degree, acetabular depth (AD), and pelvic height (PH) (Fig. 1).
Fig. 1. Calculation of indicators in a patient with hip dysplasia IHDI type IV: a — acetabular depth: yellow line — the inner contour of the acetabulum; black — the line connecting the lateral edge of the acetabulum with the lower edge of the “tear drop figure”; blue (the depth of the acetabulum) — perpendicular from the medial part of the acetabulum to the black line; b — the pelvic height
Surgery technique
All patients underwent reconstructive surgery through the anterolateral approach. After performing intra-articular manipulations, osteotomy of the femur with excision of the bone autograft, and additional shortening of the femur in group I, a subperiosteal approach and osteotomy of the ilium body were performed. Thereafter, the acetabular fragment was rotated outward and anteriorly using a tenaculum. In the position of the achieved correction, an autograft from the femur was placed in the diastasis between the fragments of the ilium and fixed with 3-4 Kirschner wires (Fig. 2).
Fig. 2. X-rays of hip joints of patient born in 2018 with hip dysplasia IHDI type IV in an anterior-posterior projection: a — before surgery; b — after surgical treatment using Salter’s osteotomy
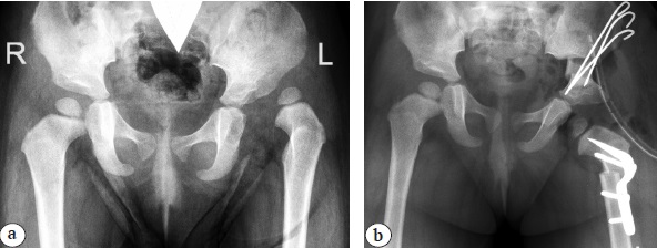
In group II, after identical manipulations both inside the joint and on the femur and a similar exposure of the ilium, an angular pericapsular section of the inner and outer cortical layers of the ilium was performed with chisels so that the vertical part of the section passed at a distance of at least 0.5 cm from the posterior column of the pelvis and strictly parallel to it. Subsequently, using spreaders, the acetabular hood was “folded” outward and anteriorly, whereas the posterior pelvic column remained intact (Fig. 3).
Fig. 3. X-rays of hip joints in an anterior-posterior projection of patient born in 2018 with hip dysplasia IHDI type III: a — before surgery; b — after surgical treatment using the Pemberton pelvic osteotomy
Statistical analysis
Statistical analyses were performed using the IBM SPSS Statistics for Windows, Version 26 (IBM Corp. Armonk, NY, USA). Arithmetic mean values (M), standard deviation (SD), and median (Me) with quartiles (25%; 75%) were calculated. The analysis between the groups was performed according to the non-parametric Mann–Whitney U-test. The intragroup analysis was performed according to the Wilcoxon test. The result was considered significant at p < 0.05.
RESULTS
Upon hospital admission, the legal representatives of the patients in both study groups complained of lameness. The relative shortening of the lower limb was 1.3±0.5 cm. In the course of goniometry, changes in the amplitude of hip joint movements, typical for the dysplastic nature of the disease, were observed, which consisted of moderate limitation of abduction (34±6°) and excessive internal (60±10°) and external rotation (50±10°) (Table 1).
Table 1. Indicators of X-ray structure and stability of the hip joint before surgery, M ± SD, Ме (25%, 75%)
Parameter | Group I | Group II | Contralateral joint |
AI, deg. | 41.6±3.2 41.5 (40.0; 42.8) | 42.3±3.1 42.0 (40.0; 44.0) | 20.6±2.0 20.5 (19.0; 22.8) |
Wiberg angle, deg. | Negative values | Negative values | 28.7±2.0 29.0 (27.0; 30.5) |
AD, mm | 6.0±0.6 6.0 (5.6; 6.3) | 5.5±0.5 5.5 (5.2; 5.8) | 9.6±1.0 9.5 (9.0; 10.4) |
PH, mm | 56.5±4.8 56.0 (52.8; 59.0) | 55.1±6.8 56.9 (50.0; 60.3) | 55.9±5.8 56.1 (51.3; 60.2) |
CCDA, deg. | 142.5±4.3 142.5 (140.3; 144.8) | 141.9±4.0 142.0 (140.0; 144.0) | 142.2±4.1 142.0 (140.0; 144.0) |
AA, deg. | 46.0±5.6 45.5 (40.3; 50.8) | 46.7±5.8 47.1 (41.5; 52.0) | 40.3±3.6 40.0 (37.9; 42.3) |
BCD, % | 0 | 0 | 90.0±6.0 90.0 (85.0; 95.0) |
As shown in Table 1, both groups exhibited pronounced underdevelopment of the acetabular hood with a decrease in its depth, decrease in the PH on the disease side, and increase in the CCDA and AA of the proximal femur. Negative values of the Wiberg angle and bone coverage coefficient are due to hip dislocation (grades III-IV according to IHDI). The values of the above indicators of the X-ray anatomical structure of the hip joint and its stability, confirmed by statistical data, allowed further comparative analysis of the surgical treatment results, which were evaluated 6 months after the reconstructive intervention.
During the examination, all patients followed a strict orthopedic regimen, which excluded the possibility of axial load on the lower limbs. As a result, gait was not assessed. Goniometric data are presented in Table 2.
Table 2. Range of motion of the hip joints in both groups after surgery, M ± SD, Ме (25%, 75%)
Motion | Group I | Group II |
Flexion, deg. | 112.8±6.2 112.5 (110.0; 120.0) | 115.0±3.7 115.0 (115.0; 120.0) |
Abduction, deg. | 36.0±3.9 35.0 (35.0; 45.0) | 36.5±2.9 35.0 (35.0; 40.0) |
Internal rotation, deg. | 18.5±4.3 20.0 (15.0; 20.0) | 18.5±4.3 20.0 (15.0; 20.0) |
External rotation, deg. | 40.8±5.4 40.0 (35.0; 45.0) | 41.0±5.2 42.5 (35.0; 45.0) |
As shown in Table 2, 6 months after the surgical intervention, the amplitude of movements in the operated hip joint in three planes in both groups almost reached physiological values. Indicators of internal and external rotation were significantly changed in comparison with preoperative values (p < 0.05) because of the correction of the angle of anteversion of the proximal femur.
The results of the radiological methods of examination of both groups 6 months after surgery are presented in Table 3.
Table 3. Indicators of X-ray structure and stability of the hip joint in both groups 6 months after surgery, M ± SD, Ме (25%; 75%)
Parameter | Group I | Group II | Contralateral joint |
AI, deg. | 12.6±1.6 12.0 (11.8; 14.0) | 15.4±1.9 16.0 (14.0; 17.0) | 20.6±2.0 20.5 (19.0; 22.8) |
Wiberg angle, deg. | 38.1±3.5 39.0 (37.0; 40.0) | 31.0±2.6 31.0 (28.5; 33.0) | 28.7±2.0 29.0 (27.0; 30.5) |
AD, mm | 6.4±1.3 6.1 (5.7; 6.7) | 9.8±0.8 9.9 (9.4; 10.4) | 9.6±1.0 9.5 (9.0; 10.4) |
PH, mm | 69.7±5.3 70.0 (66.3; 72.6) | 57.9±6.7 59.0 (52.6; 64.0) | 55.9±5.8 56.1 (51.3; 60.2) |
CCDA, deg. | 128.1±4.8 128.0 (124.5; 132.3) | 128.5±4.4 129.0 (124.5; 132.0) | 142.2±4.1 142 (140; 144) |
AA, deg. | 14.9±3.3 15.0 (12.8; 18.0) | 15.9±2.5 16.0 (14.5; 17.5) | 40.3±3.6 40.0 (37.9; 42.3) |
BCD, % | 101.6±5.2 100.0 (98.6; 105.0) | 98.6±3.2 100.0 (95.0; 100.0) | 90.0±6.0 90.0 (85.0; 95.0) |
As presented in Table 3, in both groups, the parameters characterizing the X-ray anatomical structure of both the acetabulum and proximal femur underwent significant changes compared with the values before surgery (p < 0.05). This indicates the restoration of hip joint stability. Moreover, the AI and Wiberg angle in patients who underwent the modified Salter pelvic osteotomy indicate a greater correction (p < 0.05) than those in patients who underwent Pemberton pericapsular acetabuloplasty.
The assessment of the AD and PH should receive special attention. Thus, in group I, no significant change was found (p > 0.05) in the AD indicator, both in comparison with the baseline and postoperative indicators, which is not related to the PH, which increased significantly (p < 0.05). Moreover, the AD and PH of group I had pronounced differences (p < 0.05) from those of group II, the values of which were close to those in the contralateral intact hip joint. Thus, Salter pelvic osteotomy in the above modification has a high corrective potential, but with the risk of hypercorrection of the acetabulum position compared with pericapsular acetabuloplasty, does not affect the shape of the pelvic component of the hip joint, and leads to an increase in the height of the hemipelvis. Pemberton pelvic osteotomy is an effective technique for achieving adequate correction of the dysplastic acetabulum, changes its shape by increasing the depth, and does not significantly affect the PH.
Complications such as aseptic necrosis of the femoral head, reluxation, or emergence of another type of instability in the operated joint, and malposition of the position of the surgical hardware were not noted in both groups.
DISCUSSION
Late diagnostics, non-compliance with the basic therapeutic principles, and inadequate use of conservative methods of hip dysplasia in pediatric patients lead inevitably to the need for radical reconstructive plastic surgery aimed at achieving stable concentric reduction and retention of the femoral head in the acetabulum by changing the anatomical structure of the pelvic and femoral components of the joint. All this is necessary for further normal development of the hip joint and reduction of the risk of early coxarthrosis [17, 18, 19].
Nowadays, in the global orthopedic practice in young patients, the most common methods of surgical correction of the dysplastic acetabulum are pelvic osteotomies according to Salter in various modifications ad those according to Pemberton and Dega. Scientific publications reveal the high efficiency of these surgical treatment methods in the medium and long-term follow-up periods [21, 22, 23, 24]. Moreover, studies have focused on a comparative analysis of changes in the X-ray anatomical state of the hip joint after Salter and Pemberton pelvic osteotomies, despite their widespread use [25, 26, 27, 28]. For example, Dello Russo and Candia Tapia conducted a comparative analysis of the treatment of pediatric patients with grade II-IV hip dysplasia according to the Tönnis classification, which showed that AI correction was greater after Pemberton’s pericapsular acetabuloplasty than after classical Salter osteotomy (24° and 13°, respectively). This led to a more significant increase in the Wiberg angle in the Pemberton acetabuloplasty group than in the Salter osteotomy group (35° and 27°, respectively) [25]. N. Ezirmik and K. Yildiz [28] presented similar data. In their study, the mean AI corrections for Pemberton and Salter pelvic osteotomies were 25.78° and 18.33°, respectively, and the Wiberg angles were 43.11° and 37.15°. Gharanizadeh et al. analyzed AI changes in patients who underwent Salter surgery in the Kalamchi modification and Pemberton acetabuloplasty and did not reveal significant differences in both groups. They concluded the identical efficiency of these two surgical methods for the correction of a dysplastic acetabulum [29]. In our study, we obtained a different result, that is, the average value of AI correction in patients who underwent the modified Salter pelvic osteotomy was 29.0° versus 26.9° in patients who underwent Pemberton pericapsular acetabuloplasty, and the postoperative values of the Wiberg angle were 39° and 31°, respectively. This fact can be due to the peculiarities of our modification of the Salter pelvic osteotomy, that is, the predominance of the lateral tilt of the acetabular fragment over the anterior rotation typical of the author’s technique [30].
Moreover, hypercorrection may have negative consequences in the long-term due to the risk of femoroacetabular impingement [31, 32, 33]. Thus, pericapsular acetabuloplasty enables bringing the AI and Wiberg angle values closer to the age norm [34]. In our study, AD changes were detected only in patients with Pemberton pelvic osteotomy, which corresponds to literature data [25, 35]. Several authors analyzed changes in the length of the lower extremities after Salter and Pemberton pelvic osteotomies [28, 36]. Ezirmik and Yildiz analyzed the results of surgical treatment of 57 patients with bilateral hip dysplasia, who underwent classical Salter pelvic osteotomy on one joint, and Pemberton acetabuloplasty on the other joint, and revealed that on the side of Salter surgery, the lower limb was longer on average by 0.5 cm [28]. Moreover, radiometry of the PH and CCDA was not performed, which limits the value of this study. A group of surgeons from Taiwan performed a comparative analysis of the hemipelvis height in two groups of pediatric patients treated with the above surgical techniques and concluded that the PH increased in all patients on the intervention side, but with Salter pelvic osteotomy, it was two times greater than that with acetabuloplasty [36]. In our study, we did not reveal a significant change in this indicator in patients who underwent Pemberton pelvic osteotomy, whereas in group I, the PH increased by an average of 13.8 mm. In our opinion, this is caused by the acetabular fragment bringing down during the lateral tilt during the modified Salter pelvic osteotomy. This can lead to excessive compression of the articular surfaces, which, in turn, can lead to hip joint stiffness, and hemipelvis deformity can lead to biomechanical and structural disorders in both lower limb joints and lumbar spine. Moreover, Pemberton pericapsular acetabuloplasty does not cause changes in the anatomy of the pelvic ring and birth canal and does not require repeated surgical intervention to remove internal fixation devices, unlike Salter pelvic osteotomy, as confirmed by literature data [27, 28]. In addition, Pemberton pericapsular acetabuloplasty is a technically more complex surgery, and inappropriate technique can cause iatrogenic fracture of the posterior pelvic column, which will affect the primary fixation of the autograft with its possible migration and loss of surgical correction, as well as damage to the Y-shaped cartilage and its preterm closure [37, 38]. All this may require repeated reconstructive surgeries on the hip joint and negatively affect both the hip joint condition and the child’s lifestyle.
Study limitations
This study is limited by the follow-up period and by only performing X-ray assessment of the parameters of the pelvic and femoral components of the joint. Thus, further studies should examine the long-term treatment results of patients with a comprehensive clinical and radiological study of the state of the hip joint and spinal–pelvic ratios.
CONCLUSIONS
In the treatment of pediatric patients with grade III-IV hip dysplasia according to the IHDI classification, Salter modified pelvic osteotomy leads to a significant decrease in AI values and an increase in the Wiberg angle, which correspond to hypercorrection of the acetabulum position, do not affect the AD, and contribute to hemipelvis lengthening by an average of 13.8 mm. Pemberton pericapsular osteotomy of the pelvis helps achieve AI and Wiberg angle values close to age norms, leads to an increase in the AD, approaching the contralateral joint in value, and does not significantly affect the PH.
The absence of an “ideal” pelvic osteotomy for the treatment of hip dysplasia of varying severities requires further comprehensive analysis of the results of surgical interventions in these patients; consequently, it will be possible to develop an algorithm for a differentiated approach to choosing a method for surgical correction of a dysplastic acetabulum.
DISCLAIMERS
Author contribution
Bortulev P.I. — research conception and design, collection and processing of material, literature review, treatment the patients, manuscript writing.
Baskaeva T.V. — the collection and processing of material, treatment the patients, manuscript editing.
Vissarionov S.V. — text editing.
Barsukov D.B. — treatment the patients, manuscript editing.
Pozdnikin I.Y. — treatment the patients, manuscript editing.
Kozhevnikov V.V. — treatment the patients, manuscript editing.
All authors have read and approved the final version of the manuscript of the article. All authors agree to bear responsibility for all aspects of the study to ensure proper consideration and resolution of all possible issues related to the correctness and reliability of any part of the work.
Funding source. The study was carried out within the framework of the State Task of the Ministry of Health of the Russian Federation (Research No. 121031700122-6).
Competing interests. The authors declare that they have no competing interests.
Ethics approval. The study was approved by the local ethics committee of H. Turner National Medical Research Center for Сhildren’s Orthopedics and Trauma Surgery, protocol No 21-1, 18.01.2021.
Consent for publication. Written consent was obtained from the patients for publication of relevant medical information and all of accompanying images within the manuscript.
About the authors
Pavel I. Bortulev
H. Turner National Medical Research Center for Сhildren’s Orthopedics and Trauma Surgery
Author for correspondence.
Email: pavel.bortulev@yandex.ru
ORCID iD: 0000-0003-4931-2817
Cand. Sci. (Med.)
Russian Federation, 64-68, Parkovaya str., St. Petersburg, Pushkin, 196603Tamila V. Baskaeva
H. Turner National Medical Research Center for Сhildren’s Orthopedics and Trauma Surgery
Email: tamila-baskaeva@mail.ru
ORCID iD: 0000-0001-9865-2434
Russian Federation, 64-68, Parkovaya str., St. Petersburg, Pushkin, 196603
Sergei V. Vissarionov
H. Turner National Medical Research Center for Сhildren’s Orthopedics and Trauma Surgery; Mechnikov North-Western State Medical University
Email: vissarionovs@gmail.com
ORCID iD: 0000-0003-4235-5048
Dr. Sci. (Med.), Professor
Russian Federation, 64-68, Parkovaya str., St. Petersburg, Pushkin, 196603; St. PetersburgDmitry B. Barsukov
H. Turner National Medical Research Center for Сhildren’s Orthopedics and Trauma Surgery
Email: dbbarsukov@gmail.com
ORCID iD: 0000-0002-9084-5634
Cand. Sci. (Med.)
Russian Federation, 64-68, Parkovaya str., St. Petersburg, Pushkin, 196603Ivan Yu. Pozdnikin
H. Turner National Medical Research Center for Сhildren’s Orthopedics and Trauma Surgery
Email: pozdnikin@gmail.com
ORCID iD: 0000-0002-7026-1586
Cand. Sci. (Med.)
Russian Federation, 64-68, Parkovaya str., St. Petersburg, Pushkin, 196603Vadim V. Kozhevnikov
Barnaul Federal Center of Traumatology, Orthopedics and Arthroplasty
Email: Vadim-barnaul@bk.ru
ORCID iD: 0000-0003-2556-3347
Cand. Sci. (Med.)
Russian Federation, BarnaulReferences
- Kotlarsky P., Haber R., Bialik V., Eidelman M. Developmental dysplasia of the hip: What has changed in the last 20 years? World J Orthop. 2015;6(11):886-901. doi: 10.5312/wjo.v6.i11.886.
- Čustović S., Šadić S., Vujadinović A., Hrustić A., Jašarević M., Čustović A. et al. The predictive value of the clinical sign of limited hip abduction for developmental dysplasia of the hip (DDH). Med Glas (Zenica). 2018;15(2):174-178. doi: 10.17392/954-18.
- Carlioz H. [Pelvic osteotomies in children and adolescents]. Acta Orthop Belg. 2000;66(4):321-328. (In French).
- Sutherland D.H., Moore M. Clinical and radiographic outcome of patients treated with double innominate osteotomy for congenital hip dysplasia. J Pediatr Orthop. 1991;11(2):143-148. doi: 10.1097/01241398-199103000-00001.
- Бортулёв П.И., Виссарионов С.В., Басков В.Е., Барсуков Д.Б., Поздникин И.Ю., Баскаева Т.В. Как часто формируется ретроверсия вертлужной впадины после реориентирующих остеотомий таза у детей старше 7 лет с дисплазией тазобедренных суставов? Травматология и ортопедия России. 2021;27(1):121-130. doi: 10.21823/2311-2905-2021-27-1-121-130. Bortulev P.I., Vissarionov S.V., Baskov V.E., Barsukov D.B., Pozdnikin I.Y., Baskaeva T.V. [Frequency of Acetabulum Retroversion Formation after Reorienting Pelvic Osteotomies in Children Over 7 Years Old with Developmental Dysplasia of the Hip]. Travmatologiya i ortopediya Rossii [Traumatology and Orthopedics of Russia]. 2021;27(1):121-130. doi: 10.21823/2311-2905-2021-27-1-121-130. (In Russian).
- Камоско М.М., Григорьев И.В. Остеотомии таза в лечении диспластической патологии тазобедренного сустава. Вестник травматологии и ортопедии им. Н.Н. Приорова. 2010;1:90-93. Kamosko M.M., Grigor’ev I.V. [Pelvic osteotomies at treatment of dysplastic hip pathology]. Vestnik travmatologii i ortopedii im. N.N. Priorova [N.N. Priorov Journal of Traumatology and Orthopedics]. 2010;1: 90-93. (In Russian).
- Pekmezci M., Yazici M. Salter osteotomisi [Salter osteotomy: an overview]. Acta Orthop Traumatol Turc. 2007;41 Suppl 1:37-46. (In Turkish).
- Pemberton P.A. Pericapsular osteotomy of the ilium for treatment of congenital subluxation and dislocation of the hip. J Bone Joint Surg Am. 1965;47:65-86.
- Dega W. [Transiliac osteotomy in the treatment of congenital hip dysplasia]. Chir Narzadow Ruchu Ortop Pol. 1974;39(5):601-613. (In Polish).
- McNerney N.P., Mubarak S.J., Wenger D.R. One-stage correction of the dysplastic hip in cerebral palsy with the San Diego acetabuloplasty: results and complications in 104 hips. J Pediatr Orthop. 2000;20(1):93-103.
- Бережной А.П., Моргун В.А., Снетков А.И., Самков А.С., Гасанов М.М. Ацетабулопластика в реконструктивной хирургии остаточного подвывиха бедра у подростков. В кн.: Заболевания и повреждения крупных суставов у детей: сб. науч. работ ЛНИИТО им. Г.И. Турнера. Ленинград; 1989. c. 76-80. Berezhnoy A.P., Morgun V.A., Snetkov A.I., Samkov A.S., Gasanov M.M. Acetabuloplasty in reconstructive surgery for residual hip subluxation in adolescents. In: Diseases and injuries of large joints in children. Leningrad; 1989. p. 76-80.
- Najdi H., Mouarbes D., Karnib S., Dimassi A. Periacetabular triple osteotomy by single anterior approach for children under 6-years-old with severe acetabular deficiency: prevention of retroversion and anterior impingement. J Pediatr Orthop B. 2021;30(6):519-526. doi: 10.1097/BPB.0000000000000804.
- Li Y., Xu H., Slongo T., Zhou Q., Liu Y., Chen W. et al. Bernese-type triple pelvic osteotomy through a single incision in children over five years: a retrospective study of twenty eight cases. Int Orthop. 2018;42(12):2961-2968. doi: 10.1007/s00264-018-3946-3.
- Ramo B.A., De La Rocha A., Sucato D.J., Jo C.H. A New Radiographic Classification System for Developmental Hip Dysplasia is Reliable and Predictive of Successful Closed Reduction and Late Pelvic Osteotomy. J Pediatr Orthop. 2018;38(1):16-21. doi: 10.1097/BPO.0000000000000733.
- Tönnis D. Ischemic necrosis as a complication of treatment of C.D.H. Acta Orthop Belg. 1990;56(1 Pt A): 195-206.
- Louahem M’sabah D., Assi C., Cottalorda J. Proximal femoral osteotomies in children. Orthop Traumatol Surg Res. 2013;99(1 Suppl):S171-186. doi: 10.1016/j.otsr.2012.11.003.
- Поздникин И.Ю., Басков В.Е., Волошин С.Ю., Барсуков Д.Б., Краснов А.И., Познович М.С. и др. Ошибки диагностики и начала консервативного лечения детей с врожденным вывихом бедра. Ортопедия, травматология и восстановительная хирургия детского возраста. 2017;5(2):42-51. doi: 10.17816/PTORS5242-51. Pozdnikin I.Yu., Baskov V.E., Voloshin S.Yu., Barsukov D.B., Krasnov A.I., Poznovich M.S. et al. [Errors of diagnosis and the initiation of conservative treatment in children with congenital hip dislocation]. Ortopediya, travmatologiya i vosstanovitel’naya khirurgiya detskogo vozrasta [Pediatric Traumatology, Orthopaedics and Reconstructive Surgery]. 2017;5(3):42-51. (In Russian). doi: 10.17816/PTORS5242-51.
- Aydin A., Kalali F., Yildiz V., Ezirmik N., Aydin P., Dostbil A. The results of Pemberton’s pericapsular osteotomy in patients with developmental hip dysplasia. Acta Orthop Traumatol Turc. 2012;46(1):35-41. doi: 10.3944/aott.2012.2613.
- Malvitz T.A., Weinstein S.L. Closed reduction for congenital dysplasia of the hip. Functional and radiographic results after an average of thirty years. J Bone Joint Surg Am. 1994;76(12):1777-1792. doi: 10.2106/00004623-199412000-00004.
- Wada A., Sakalouski A., Nakamura T., Kubota H., Matsuo A., Taketa M. et al. Angulated Salter osteotomy in the treatment of developmental dysplasia of the hip. J Pediatr Orthop B. 2022;31(3):254-259. doi: 10.1097/BPB.0000000000000883.
- Li L., Yang X., Song B., Jiang J., Yang L., Tang X. Biomechanical investigation of pelvic stability in developmental dysplasia of the hip: unilateral salter osteotomy versus one-stage bilateral salter osteotomy. J Orthop Surg Res. 2020;15(1):169. doi: 10.1186/s13018-020-01683-w.
- Czubak J., Kowalik K., Kawalec A., Kwiatkowska M. Dega pelvic osteotomy: indications, results and complications. J Child Orthop. 2018;12(4):342-348. doi: 10.1302/1863-2548.12.180091.
- Badrinath R., Bomar J.D., Wenger D.R., Mubarak S.J., Upasani V.V. Comparing the Pemberton osteotomy and modified San Diego acetabuloplasty in developmental dysplasia of the hip. J Child Orthop. 2019;13(2):172-179. doi: 10.1302/1863-2548.13.190004.
- Balioğlu M.B., Öner A., Aykut Ü.S., Kaygusuz M.A. Mid term results of Pemberton pericapsular osteotomy. Indian J Orthop. 2015;49(4):418-424. doi: 10.4103/0019-5413.159627.
- Dello Russo B., Candia Tapia J.G. Comparison Results between Patients with Developmental Hip Dysplasia Treated with Either Salter or Pemberton Osteotomy. Ortho Res Online J. 2017;1(4). Available from: https://crimsonpublishers.com/oproj/pdf/OPROJ.000519.pdf.
- Merckaert S.R., Zambelli P.Y., Edd S.N., Daniele S., Brigitte J. Mid- and long-term outcome of Salter’s, Pemberton’s and Dega’s osteotomy for treatment of developmental dysplasia of the hip: a systematic review and meta-analysis. Hip Int. 2021;31(4):444-455. doi: 10.1177/1120700020942866.
- Bhatti A., Abbasi I., Naeem Z., Jaffri K., Bhatti M.Y. A Comparative Study of Salter Versus Pemberton Osteotomy in Open Reduction of Developmental Dysplastic Hips and Clinical Evaluation on Bhatti’s Functional Score System. Cureus. 2021;13(1):e12626. doi: 10.7759/cureus.12626.
- Ezirmik N., Yildiz K. A Biomechanical Comparison between Salter Innominate Osteotomy and Pemberton Pericapsular Osteotomy. Eurasian J Med. 2012;44(1):40-42. doi: 10.5152/eajm.2012.08.
- Gharanizadeh K., Bagherifard A., Abolghasemian M., Ahmadizadeh H., Abdollahi S., Bayat S. Comparison of Pemberton Osteotomy and Kalamchi Modification of Salter Osteotomy in the Treatment of Developmental Dysplasia of the Hip. J Res Orthop Sci. 2020;7(4):169-174. doi: 10.32598/JROSJ.7.4.727.1.
- Salter R.B. The classic. Innominate osteotomy in the treatment of congenital dislocation and subluxation of the hip by Robert B. Salter, J. Bone Joint Surg. (Brit) 43B:3:518, 1961. Clin Orthop Relat Res. 1978;(137):2-14.
- Castañeda P., Vidal-Ruiz C., Méndez A., Salazar D.P., Torres A. How Often Does Femoroacetabular Impingement Occur After an Innominate Osteotomy for Acetabular Dysplasia? Clin Orthop Relat Res. 2016;474(5):1209-1215. doi: 10.1007/s11999-016-4721-7.
- Robb C.A., Datta A., Nayeemuddin M., Bache C.E. Assessment of acetabular retroversion following long term review of Salter’s osteotomy. Hip Int. 2009;19(1): 8-12. doi: 10.1177/112070000901900102.
- Dora C., Mascard E., Mladenov K., Seringe R. Retroversion of the acetabular dome after Salter and triple pelvic osteotomy for congenital dislocation of the hip. J Pediatr Orthop B. 2002;11(1):34-40. doi: 10.1097/00009957-200201000-00006.
- Ozonoff M.B. Pediatric Orthopedic Radiology. Philadelphia: W.B. Saunders Company; 1992. 803 p. Available from: https://www.ohsu.edu/school-of-medicine/diagnostic-radiology/pediatric-radiology-normal-measurements.
- Ertürk C., Altay M.A., Işikan U.E. A radiological comparison of Salter and Pemberton osteotomies to improve acetabular deformations in developmental dysplasia of the hip. J Pediatr Orthop B. 2013;22(6):527-532. doi: 10.1097/BPB.0b013e32836337cd.
- Wang C.W., Wang T.M., Wu K.W., Huang S.C., Kuo K.N. The comparative, long-term effect of the Salter osteotomy and Pemberton acetabuloplasty on pelvic height, scoliosis and functional outcome. Bone Joint J. 2016;98-B(8):1145-1150. doi: 10.1302/0301-620X.98B8.37215.
- Leet A.I., Mackenzie W.G., Szoke G., Harcke H.T. Injury to the growth plate after Pemberton osteotomy. J Bone Joint Surg Am. 1999;81(2):169-176. doi: 10.2106/00004623-199902000-00004.
- Huang S.C., Wang T.M., Wu K.W., Fang C.F., Kuo K.N. Pemberton Osteotomy for Acetabular Dysplasia. JBJS Essent Surg Tech. 2011;1(1):e2. doi: 10.2106/JBJS.ST.K.00003.
Supplementary files







