Avascular Necrosis of the Femoral Head After COVID-19: A Case Series
- Authors: Panin M.A.1,2, Petrosyan A.S.1, Hadjicharalambous K.K.3, Boiko A.V.2
-
Affiliations:
- City Clinical Hospital No 17
- RUDN University
- City Clinical Hospital No 40
- Issue: Vol 28, No 1 (2022)
- Pages: 110-117
- Section: Case Reports
- Submitted: 19.10.2021
- Accepted: 17.01.2022
- Published: 15.01.2022
- URL: https://journal.rniito.org/jour/article/view/1687
- DOI: https://doi.org/10.17816/2311-2905-1687
- ID: 1687
Cite item
Abstract
The coronavirus disease-2019 (COVID-19) has adverse effects on various organs and systems. There are isolated reports concerning the development of osteonecrosis after COVID-19. These papers discuss the role of corticosteroids widely used in the treatment of COVID-19 in the development of osteonecrosis. This article presents clinical observations of four patients with bilateral osteonecrosis of the femoral heads after treatment with COVID-19. Prednisone doses in three patients were 4000 mg, 746 mg, and 533 mg. Corticosteroids were not used in one patient. Data showed that osteonecrosis in patients who underwent coronavirus developed in a shorter time compared with this pathology in patients without COVID-19. Two of four patients had a burdened family history (such as myocardial infarction, hypertension, and thrombosis). Hereditary vascular factors possibly played some roles in the genesis of the osteonecrosis of the femoral head in these patients. To understand the features of osteonecrosis development after COVID-19, further accumulation of evidence is necessary. Several synergistically influencing factors are important in the development of this disease after COVID-19.
Full Text
Background
The novel coronavirus infection caused the pandemic that started in December 2019, and on January 30, 2020, the World Health Organization (WHO) declared the outbreak of a new coronavirus infection an international public health emergency [1]. On February 11, 2020, the International Committee on Taxonomy of Viruses named the new coronavirus severe acute respiratory syndrome coronavirus 2 (SARS-CoV-2), and the WHO named the disease coronavirus disease 2019 (COVID-19). Owing to the rapid spread of infection worldwide and the high mortality, on March 11, 2020, WHO announced the start of the COVID-19 pandemic. SARS-CoV-2 has significantly surpassed SARS-CoV and MERS-CoV in terms of the number of infected and epidemic zones, as cases of the new coronavirus infection have now been recorded in 220 countries [2]. As of September 10, 2021, 223,022,538 COVID-19 cases were registered worldwide, including 4,602,882 lethal outcomes [3].
The studies have demonstrated that COVID-19 has adverse effects on various body systems and can lead to conditions such as pulmonary thromboembolism, cardiomyopathy, Guillain–Barré syndrome, pulmonary fibrosis, nervous system dysfunction, etc. [4, 5, 6]. The effects of COVID-19 can persist for weeks or even months [4, 7].
In 2020, to describe the protracted course of COVID-19 outcomes, the term “long COVID” (long-term COVID) was proposed, which duration exceeds 12 weeks [8]. Symptoms of long COVID-19 may include fatigue; air shortage sensation; depression and anxiety; pain in the chest, joints, and muscles; and lack of concentration, which is denoted as “brain fog” [4].
According to Russian clinical guidelines for the treatment of COVID-19 from 2021, its treatment can be etiotropic, pathogenetic, and symptomatic. Antiviral drugs are used as etiotropic therapy. Pathogenetic therapy is prescribed mainly for hospitalized patients and includes anticoagulants because this disease has an increased risk of thrombosis, as well as immunosuppressants for the treatment of “cytokine storm” (blockers of cytokines and their receptors) [9]. In the acute phase of COVID-19, corticosteroids are used as life-saving agents [10].
Long-term and/or high-dose use of corticosteroids in clinical practice is known to be a factor predisposing to the development of osteonecrosis (steroid-induced necrosis), including that of the femoral head [11]. Moreover, coagulopathy and vascular factors, which are pathogenetic elements of thrombotic complications in severe COVID-19, are known to be significant in the genesis of the so-called femoral head idiopathic osteonecrosis [12, 13]. Herein, we present four clinical cases of patients with bilateral osteonecrosis of the femoral head after diagnosis of coronavirus infection, and the genesis of osteonecrosis appears debatable.
Clinical case 1
A 42-year-old man (patient 1) without an aggravated somatic and family history had come through a severe COVID-19 with 80% lung damage. He was hospitalized for 27 days. He received anticoagulants (enoxaparin 1.6 mL per day for the entire treatment period), favipiravir (antiviral drug, 3600 mg for 1 day, then 1600 mg for 6 days), and tocilizumab (400 mg once). Before the hospitalization, he received 18 mg of dexamethasone for 6 days. During inpatient treatment, dexamethasone therapy was continued at a dosage of 20 mg daily, which was decreased to 4 mg upon discharge. During the illness period, the patient received a total of 600 mg of dexamethasone. After discharge from the hospital, the patient received 20 mg of rivaroxaban per day for 1 month for thrombosis prevention.
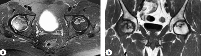
At 80 days after the disease onset, the patient noted severe pain in both hip joints (visual analog scale [VAS] 8 points) and lower back and therefore experienced significant difficulty in walking. Such symptoms were noted by the patient for the first time in his life. According to magnetic resonance imaging (MRI) performed 120 days after the COVID-19 onset, ARCO IIC bilateral osteonecrosis of the femoral heads was diagnosed on both sides (Fig. 1).
Fig. 1. MRI signs of bilateral femoral head osteonecrosis (ARCO IIC) in patient 1: a — axial view; b — frontal view
At 135 days after COVID-19 onset, bilateral decompression of the necrosis foci was performed with the administration of a bone marrow concentrate, and drug therapy with statins, taking into account the alleged steroid-induced necrosis, bisphosphonates, and anticoagulants was prescribed. At 3 months after the surgery, the patient noted an improvement in motor activity and a decrease in pain intensity (from 8 to 4 points according to VAS). No significant improvement was noted in MRI.
Clinical case 2
In a 32-year-old man (patient 2), without an aggravated somatic and family history, the disease manifested itself with a rise in temperature to 38°C for 7 days. The patient independently took antipyretic drugs (paracetamol). Owing to his deteriorating condition, he consulted a doctor and was admitted where COVID-19 was confirmed and 40% of lung damage was detected. During the hospitalization (8 days), he received anticoagulants (enoxaparin 1.2 mL throughout the hospitalization), triazaverin (antiviral drug, 750 mg per day for 5 days), tocilizumab (400 mg once) and dexamethasone with the total dose of 100 mg. After hospital discharge, he received 15 mg of rivaroxaban per day for 1 month.
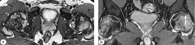
At 75 days after the disease onset, the patient complained of severe pain in the hip and knee joints, hips, and lower back (VAS 8 points) and therefore was forced to use crutches when walking. He consulted a neurologist and was diagnosed with an intervertebral hernia in the lumbar spine. Conservative treatment was recommended for 4 weeks with nonsteroidal anti-inflammatory drugs, muscle relaxants, intravenous infusions with dexamethasone 4 mg in combination with 0.5% novocaine 50 mL three times, vitamin therapy, and physiotherapy. During the therapy, the patient’s condition improved (a decrease in VAS to 4 points), and the patient refused to use crutches and changed them for a cane. During repeated examinations by a neurologist, a hip joint pathology was suspected, which was confirmed by MRI that revealed ARCO IIC bilateral necrosis of the femoral heads (Fig. 2).
Fig. 2. MRI signs of bilateral femoral head osteonecrosis (ARCO IIC) in patient 2: a — axial view; b — frontal view
Given the diagnosis of osteonecrosis of the femoral heads in the precollaptoid stage (ARCO IIC), the patient received drug therapy (anticoagulants and bisphosphonates), and surgery with decompression of necrosis foci was proposed, which the patient flatly refused. The patient did not visit for further follow-up examinations.
Clinical cases 3 and 4
In cases 3 and 4, the patients, a 32-year-old woman (patient 3) and a 30-year-old woman (patient 4), are siblings. They had COVID-19 during the same period, after which both were diagnosed with bilateral osteonecrosis of the femoral heads. In our opinion, an important circumstance is an aggravated family history common to the sisters. Their father had a myocardial infarction at age 49 and currently has heart failure and grade III hypertension. The elder sister had acute phlebothrombosis of the lower extremities at age 41. Their mother has hypertension since age 37.
Both patients almost simultaneously had moderate COVID-19. Patient 3 was hospitalized for 6 days with 25% lung lesion. Inpatient treatment included the antiviral drug favipiravir (2400 mg for 1 day, then 1200 mg for 5 days), anticoagulants (enoxaparin 0.6 mL for 6 days), and dexamethasone in a total dose of 80 mg. After hospital discharge, the patient received 15 mg of rivaroxaban per day for 1 month.
Patient 4 with a similar lesion of the lungs received outpatient treatment, which did not include corticosteroids (favipiravir 2400 mg for 1 day, then 1200 mg for 6 days, as well as rivaroxaban 10 mg for 30 days since disease onset).
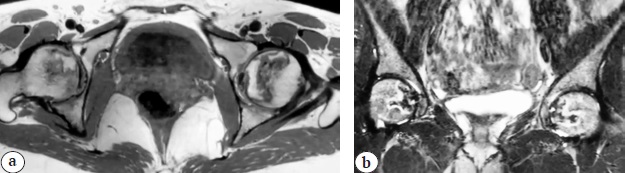
In patient 3, 120 days after the disease onset, hip joint pain appeared, and bilateral osteonecrosis of the femoral heads was diagnosed, that is, ARCO IIIC on the left and ARCO IIB on the right (Fig. 3).
Fig. 3. MRI signs of bilateral femoral head osteonecrosis in patient 3: left hip, ARCO IIIC stage; right hip, ARCO IIB stage; a — axial view; b — frontal view (an arrow shows the “crescent sign” that indicates the subchondral bone fracture)
At 4 weeks after bilateral osteonecrosis was diagnosed, due to the subchondral fracture of the head of the left femur (ARCO IIIC), patient 3 underwent total arthroplasty of the left hip joint.
Patient 4, 180 days after COVID-19 onset, began experiencing lower back pain. MRI of the lumbosacral spine and hip joints was performed, which revealed bilateral osteonecrosis of the femoral heads, with ARCO IIB on the right and ARCO IIA on the left (Fig. 4).
Fig. 4. MRI signs of bilateral femoral head osteonecrosis in patient 4: right hip, ARCO IIB stage; left hip, ARCO IIA stage; a — axial view; b — frontal view
Patient 4 is under case follow-up and is receiving conservative treatment with anticoagulants and bisphosphonates; decompression of necrosis foci was planned. Data of all these cases are presented in Table 1.
Table 1. Summary of clinical cases of patients with osteonecrosis of the femoral heads after COVID-19
Parameter | Case | |||
1 | 2 | 3 | 4 | |
Age, years | 42 | 32 | 32 | 30 |
Aggravated family history (myocardial infarction, ischemic heart disease, thrombosis, hypertensive disease) | – | – | + | + |
Course of COVID-19 | Severe | Moderate | Moderate | Moderate |
Total dose of dexamethasone/prednisolone, mg | 600/4000 | 112/746 | 80/533 | – |
Period of necrosis development from COVID-19 onset, days | 80 | 75 | 120 | 180 |
Necrosis severity (ARCO) on the right/left | ARCO IIC/ARCO IIC | ARCO IIC/ARCO IIC | ARCO IIB/ARCO IIIC | ARCO IIВ/ARCO IIA |
Discussion
Under modern conditions, studies that investigate the effect of COVID-19 on the course of human chronic diseases and development of de novo diseases are extremely relevant.
In 2021, we were contacted by four patients with osteonecrosis of the femoral heads after COVID-19. In this regard, we searched for similar clinical cases in PubMed databases using keywords and phrases COVID, coronavirus, AVN, avascular necrosis, osteonecrosis. Two publications were found. The first report focused on the effect of coronavirus and its treatment on the course of previously developed steroid-induced osteonecrosis [14]. The authors did not obtain convincing data on the negative influence of coronavirus on the progression of osteonecrosis. The second publication is a case report and describes three clinical cases of patients with osteonecrosis of the femoral heads that developed after COVID-19 [15]. In this paper, the authors suggest steroid-induced necrosis in all three patients, despite the relatively low doses of hormones that they received during the treatment of COVID-19.
The pathogenesis of steroid-induced osteonecrosis is not fully understood, the mechanism of its development is believed to include fat embolism, fat hypertrophy, hypercoagulation, endothelial dysfunction, etc. [16, 17, 18].
Currently, no clear data are available on the intake duration of corticosteroids and their dosage, which increase significantly the risk of osteonecrosis. According to Jones and Koopman, 2000 mg is the minimum total dose of prednisolone for the development of osteonecrosis [19]. Other researchers believe that a lower dose of prednisolone, 700 mg, is sufficient for the development of osteonecrosis [20]. McKee et al. demonstrated that hormone dose sensitivity in different patients is very variable, as steroid-induced necrosis of the femoral head manifested clinically after taking prednisolone in doses from 290 to 3300 mg [21]. According to a meta-analysis by Mont et al., a prednisolone dose of more than 10,000 mg increases the risk of osteonecrosis by a factor of two in patients after organ transplantation [18].
In the present study, three of the four patients received dexamethasone in the treatment of COVID-19 at a cumulative dose of 600 mg, 112 mg, and 80 mg, corresponding to 4000 mg, 746 mg, and 533 mg of prednisolone. Considering the above literature data, steroid-induced osteonecrosis can be assumed in three of four patients with varying degrees of probability. The first clinical signs of osteonecrosis in our patients appeared 80, 75, 120, and 180 days after the start of medical treatment for COVID-19, including corticosteroids, except for patient 4.
As the prednisolone dose increases the risk of osteonecrosis, the duration of corticosteroid use is debated. Anderton and Helm present a clinical case of humeral head osteonecrosis that developed 2 years after the dexamethasone therapy [20]. According to McKee et al., the average period from a course of corticosteroids to the clinical manifestation of osteonecrosis is 16.6 months. However, the authors note a significant variability in this period (from 6 to 33 months) [21]. A review of the literature on the pathogenesis of osteonecrosis revealed that osteonecrosis manifests within 6–12 months after taking hormones [22, 23]. The authors of the only publication on post-COVID osteonecrosis indicate an average period of its occurrence of 58 days (45–67 days) [15]. Our data, as well as those of Agarwala et al., indicate that the time of osteonecrosis development after the onset of COVID-19 is significantly shorter than the period of osteonecrosis development after a course of hormonal therapy in the pre-COVID era, as reported in the literature. This suggests that not only the use of corticosteroids but also other factors associated with COVID-19 and its treatment may influence the accelerated development of osteonecrosis.
Patients 3 and 4, who are sisters, should be discussed separately. Patient 3 received a small cumulative dose of hormones (Table 1), whereas patient 4 did not receive corticosteroids. We assumed a different (nonsteroidal) genesis of the development of osteonecrosis of the femoral heads; therefore, their family history was carefully studied, which turned out to be extremely aggravated. The closest relatives of the patients aged <50 years had myocardial infarction, severe hypertension, and thrombosis; thus, family predisposition to vascular accidents was suspected in this family. This appears very probable since in the last decade it has been established that genetically determined thrombophilia, coagulopathy, endothelial dysfunction, etc., play a certain role in the genesis of osteonecrosis [24, 25, 26, 27]. A contemporary systematic approach enabled to establish the presence of some gene polymorphisms common to vascular disorders of various localizations [28, 29]. Specifically, in our studies, the relationship of osteonecrosis with the polymorphism of the genes of factors V and XIII of the blood coagulation system, methylenetetrahydrofolate reductase gene, and platelet integrin genes in the pathogenesis of non-traumatic osteonecrosis of the femoral head was previously proven [25, 26, 27]. For patients 3 and 4, it is reasonable to assume that COVID-19 provoked and/or accelerated the implementation of a genetic predisposition to vascular disorders.
Nowadays, it is certainly anticipatorily to conclude that osteonecrosis developed after COVID-19. The disease development is probably synergistically affected by many factors, including steroids and ischemia. In the future, the accumulation of information about such patients will help form a reasonable opinion on this issue.
Disclaimers
Authors’ contributions
Panin M.A. — study coordination, analysis and statistical processing of data, text editing.
Petrosyan A.S. — research conception and design, data interpretation and analysis, text editing.
Hadjicharalambous K.Kh. — literature review.
Boiko A.V. — collection and processing of material, research conduction, writing the draft.
All authors have read and approved the final version of the manuscript of the article. All authors agree to bear responsibility for all aspects of the study to ensure proper consideration and resolution of all possible issues related to the correctness and reliability of any part of the work.
Funding source. This study was not supported by any external sources of funding.
Competing interests. The authors declare that they have no competing interests.
Ethics approval. Not applicable.
Consent for publication. Written consent was obtained from the patients for publication of relevant medical information and all of accompanying images within the manuscript.
About the authors
Mikhail A. Panin
City Clinical Hospital No 17; RUDN University
Email: panin-mihail@yandex.ru
ORCID iD: 0000-0003-4686-7892
SPIN-code: 5834-3500
Cand. Sci. (Med.)
Russian Federation, Moscow; 6, Miklukho-Maclay str., Moscow, 117198Armenak S. Petrosyan
City Clinical Hospital No 17
Email: armenak.p@gmail.com
ORCID iD: 0000-0001-8837-0265
Cand. Sci. (Med.)
Russian Federation, MoscowKirill Kh. Hadjicharalambous
City Clinical Hospital No 40
Email: Kyrillos6@yahoo.com
ORCID iD: 0000-0001-7906-2594
Cand. Sci. (Med.)
Russian Federation, MoscowAndrei V. Boiko
RUDN University
Author for correspondence.
Email: boiko120393@gmail.com
ORCID iD: 0000-0002-7829-2045
SPIN-code: 4543-7879
аспирант кафедры травматологии и ортопедии
Russian Federation, 6, Miklukho-Maclay str., Moscow, 117198References
- Han Q., Lin Q., Jin S., You L. Coronavirus 2019-nCoV: A brief perspective from the front line. J Infect. 2020;80(4):373-377. doi: 10.1016/j.jinf.2020.02.010.
- Zhu N., Zhang D., Wang W., Li X., Yang B., Song J. et al. A Novel Coronavirus from Patients with Pneumonia in China, 2019. N Engl J Med. 2020;382(8):727-733. doi: 10.1056/NEJMoa2001017.
- WHO coronavirus disease (COVID-19) Dashboard. Available from: https://covid19.who.int/.
- Mahase E. Covid-19: What do we know about «long covid»? BMJ. 2020;370:m2815. doi: 10.1136/bmj.m2815.
- Leung T.Y.M., Chan A.Y.L., Chan E.W., Chan V.K.Y., Chui C.S.L., Cowling B.J. et al. Short- and potential long-term adverse health outcomes of COVID-19: a rapid review. Emerg Microbes Infect. 2020;9(1):2190-2199. doi: 10.1080/22221751.2020.1825914.
- Zhou B., Kojima S., Kawamoto A., Fukushima M. COVID-19 pathogenesis, prognostic factors, and treatment strategy: Urgent recommendations. J Med Virol. 2021;93(5):2694-2704. doi: 10.1002/jmv.26754.
- Mandal S., Barnett J., Brill S.E., Brown J.S., Denneny E.K., Hare S.S. et al. ‘Long-COVID’: a cross-sectional study of persisting symptoms, biomarker and imaging abnormalities following hospitalisation for COVID-19. Thorax. 2021;76(4):396-398. doi: 10.1136/thoraxjnl-2020-215818.
- Baig A.M. Chronic COVID syndrome: Need for an appropriate medical terminology for long-COVID and COVID long-haulers. J Med Virol. 2021;93(5):2555-2556. doi: 10.1002/jmv.26624.
- Авдеев С.Н., Адамян Л.В., Алексеева Е.И., Багненко С.Ф., Баранов А.А., Баранова Н.Н. и др. Временные методические рекомендации. Профилактика, диагностика и лечение новой коронавирусной инфекции (COVID-19). Версия 10. 2021. Режим доступа: https://xn--80aesfpebagmfblc0a.xn--p1ai/ai/doc/872/attach/Bmr_COVID-19_compressed.pdf. Avdeev S.N., Adamyan L.V., Alekseeva E.I., Bagnenko S.F., Baranov A.A., Baranova N.N. et al. [Temporary guidelines. Prevention, diagnosis and treatment of novel coronavirus infection (COVID-19)]. Version 10. 2021. (In Russian). Available from: https://xn--80aesfpebagmfblc0a.xn--p1ai/ai/doc/872/attach/Bmr_COVID-19_compressed.pdf.
- Ye Z., Wang Y., Colunga-Lozano L.E., Prasad M., Tangamornsuksan W., Rochwerg B. et al. Efficacy and safety of corticosteroids in COVID-19 based on evidence for COVID-19, other coronavirus infections, influenza, community-acquired pneumonia and acute respiratory distress syndrome: a systematic review and meta-analysis. CMAJ. 2020;192(27):E756-E767. doi: 10.1503/cmaj.200645.
- Powell C., Chang C., Naguwa S.M., Cheema G., Gershwin M.E. Steroid induced osteonecrosis: An analysis of steroid dosing risk. Autoimmun Rev. 2010;9(11):721-743. doi: 10.1016/j.autrev.2010.06.007.
- Панин М.А., Загородний Н.В., Карчебный Н.Н., Садков И.А., Петросян А.С., Закирова А.Р. Современный взгляд на патогенез нетравматического остеонекроза. Вестник травматологии и ортопедии им. Н.Н. Приорова. 2017;(2):69-75. Panin M.A., Zagorodniy N.V., Karchebnyi N.N., Sadkov I.A., Petrosyan A.S., Zakirova A.R. [Modern view on pathogenesis of non traumatic osteonecrosis]. Vestnik travmatologii i ortopedii im. N.N. Priorova [N.N. Priorov Journal of Traumatology and Orthopedics]. 2017;(2): 69-75. (In Russian).
- Ji H.L., Zhao R., Matalon S., Matthay M.A. Elevated Plasmin(ogen) as a Common Risk Factor for COVID-19 Susceptibility. Physiol Rev. 2020;100(3):1065-1075. doi: 10.1152/physrev.00013.2020.
- Zhang P., Ju J., Han N., Jiang B. Reply to «Can femoral head necrosis induced by steroid therapy in patients infected with coronaviruses be reversed?». Bone Res. 2021;9(1):2. doi: 10.1038/s41413-020-00133-x.
- Agarwala S.R., Vijayvargiya M., Pandey P. Avascular necrosis as a part of ‘long COVID-19’. BMJ Case Rep. 2021;14(7):e242101. doi: 10.1136/bcr-2021-242101.
- Chan K.L., Mok C.C. Glucocorticoid-induced avascular bone necrosis: diagnosis and management. Open Orthop J. 2012;6:449-457. doi: 10.2174/1874325001206010449.
- Wang A., Ren M., Wang J. The pathogenesis of steroid-induced osteonecrosis of the femoral head: A systematic review of the literature. Gene. 2018;671:103-109. doi: 10.1016/j.gene.2018.05.091.
- Mont M.A., Pivec R., Banerjee S., Issa K., Elmallah R.K., Jones L.C. High-Dose Corticosteroid Use and Risk of Hip Osteonecrosis: Meta-Analysis and Systematic Literature Review. J Arthroplasty. 2015;30(9): 1506-1512.e5. doi: 10.1016/j.arth.2015.03.036.
- Jones J.P., Koopman W.J. Osteonecrosis. In: Arthritis and allied conditions: a textbook of rheumatology. 14th ed. Philadelphia, Pa: Lippincott Williams and Wilkins; 2001. p. 2143-2164.
- Anderton J.M., Helm R. Multiple joint osteonecrosis following short-term steroid therapy. Case report. J Bone Joint Surg Am. 1982;64(1):139-141.
- McKee M.D., Waddell J.P., Kudo P.A., Schemitsch E.H., Richards R.R. Osteonecrosis of the femoral head in men following short-course corticosteroid therapy: a report of 15 cases. CMAJ. 2001;164(2):205-206.
- Mirzai R., Chang C., Greenspan A., Gershwin M.E. The pathogenesis of osteonecrosis and the relationships to corticosteroids. J Asthma. 1999;36(1):77-95. doi: 10.3109/02770909909065152.
- Assouline-Dayan Y., Chang C., Greenspan A., Shoenfeld Y., Gershwin M.E. Pathogenesis and natural history of osteonecrosis. Semin Arthritis Rheum. 2002;32(2):94-124.
- Gagala J., Buraczynska M., Mazurkiewicz T., Ksiazek A. Prevalence of genetic risk factors related with thrombophilia and hypofibrinolysis in patients with osteonecrosis of the femoral head in Poland. MC Musculoskelet Disord. 2013;14:264. doi: 10.1186/1471-2474-14-264.
- Панин М.А., Загородний Н.В., Самоходская Л.М., Бойко А.В. Значение полиморфизмов генов тромбоцитарных интегринов (ITGA2, ITGP3) в патогенезе нетравматического асептического некроза головки бедренной кости. Медицинский вестник Северного Кавказа. 2020;15(1):84-86. doi: 10.14300/mnnc.2020.15019. Panin M.A., Zagorodniy N.V., Samohodskaya L.M., Boiko A.V. [The role of the genetic polymorphism of thrombocyte integrins (ITGA2, ITGP3) in the pathogenesis of non-traumatic aseptic necrosis of the femoral head]. Meditsinskii vestnik Severnogo Kavkaza [Medical news of the North Caucasus]. 2020;15(1):84-86. (In Russian). doi: 10.14300/mnnc.2020.15019.
- Панин М.А., Загородний Н.В., Самоходская Л.М., Бойко А.В. Значение полиморфизмов гена метилентетрагидрофолатредуктазы (MTHFR) в патогенезе нетравматического асептического некроза головки бедренной кости. Вестник травматологии и ортопедии им. Н.Н. Приорова. 2020;27(2):19-23. doi: 10.17816/vto202027219-23. Panin M.A., Zagorodnii N.V., Samokhodskaya L.M., Boiko A.V. [The value of the mthfr polymorphisms in pathogenesis of nontraumatic necrosis of femoral head]. Vestnik travmatologii i ortopedii im. N.N. Priorova [N.N. Priorov Journal of Traumatology and Orthopedics]. 2020;27(2):19-23. (In Russian). doi: 10.17816/vto202027219-23.
- Панин М.А., Загородний Н.В., Бойко А.В., Самоходская Л.М., Абакиров М.Д., Волков Е.Е. Значение полиморфизмов генов факторов VII и XIII системы свертываемости крови в патогенезе нетравматического асептического некроза головки бедренной кости. Гений ортопедии. 2021;27(1):43-47. doi: 10.18019/1028-4427-2021-27-1-43-47. Panin M.A., Zagorodnii N.V., Boiko A.V., Samokhodskaya L.M., Abakirov M.Dz., Volkov E.E. The significance of polymorphisms of gene coagulation factors VII and XIII in the pathogenesis of non-traumatic avascular necrosis of the femoral head. Genij Ortopedii. 2021;27(1):43-47. (In Russian). doi: 10.18019/1028-4427-2021-27-1-43-47.
- Mao X., Han L. The Relationship of Methylenetetrahydrofolate Reductase Gene C677T Polymorphism and Ischemic Stroke in Chinese Han Population. Ann Clin Lab Sci. 2018;48(2):242-247.
- Arina C.A., Amir D., Siregar Y., Sembiring R.J. The Role of Polymorphism Gen Methylene Tetra Hydrofolate Reductase (MTHFR) C677T in Ischaemic Stroke Patients with and Without Hypertension. Open Access Maced J Med Sci. 2019;7(1):29-32. doi: 10.3889/oamjms.2019.026.
Supplementary files








