Intraosseous Injection of Autologous Bone Marrow Aspirate Concentrate and Platelet-Rich Plasma for Treatment of Knee Osteoarthritis
- Authors: Malanin D.A.1, Sikilinda V.D.2, Gorbatenko A.I.2, Demeshchenko M.V.1, Suchilin I.A.1, Kondrashenko V.V.1, Kostyanaya N..3
-
Affiliations:
- Volgograd State Medical University
- Rostov State Medical University
- Southern Federal University
- Issue: Vol 27, No 4 (2021)
- Pages: 69-81
- Section: СLINICAL STUDIES
- Submitted: 21.09.2021
- Accepted: 10.11.2021
- Published: 29.12.2021
- URL: https://journal.rniito.org/jour/article/view/1669
- DOI: https://doi.org/10.21823/2311-2905-1669
- ID: 1669
Cite item
Abstract
The aim of the study was to determine the effectiveness of autologous bone marrow aspirate concentrate (BMAC) and platelet-rich plasma (PRP) intraosseous injection in the treatment of patients with knee OA stages II-III.
Methods: The multicenter randomized study involved 40 patients (27 women, 13 men, average age 67.0±7.8 years, BMI 32.7±4.8, duration of disease 17.3±3.7 months) with knee OA of stages II-III according to the Kellgren-Lawrence (K-L) classification. Patients of the main (BMAC group) group (n=19) underwent a single intraosseous injection of BMAC, in the comparison group (n = 21) – a PRP injection (PRP group). The results were evaluated after 1, 3, 6, 12 months with the verbal rating scale (VRS), VAS, Leken and WOMAC scales.
Results: Comparison of the results in the groups on the VRS showed that at an earlier time (3 and 6 months), the preferences of patients were in favor of the treatment of BMAC (65% and 55% positive reviews) before PRP (55% and 45% positive reviews), whereas after 12 months the differences were insignificant. Analysis of VAS indicators in patients of both groups indicated a more pronounced decrease in the severity of pain syndrome after BMAC intraosseous injection. The analysis of the Leken scale indicators showed in favor of BMAC throughout the entire observation period, the differences were most pronounced in the first 3 months of observation. The ratio of the values of the WOMAC index in both patients groups indicated statistically significant differences that persisted in all periods of follow-up, the increase in indicators occurred to a lesser extent after the introduction of BMAC compared with PRP.
Conclusions: A single intraosseous BMAC injection has an advantage over a similar PRP injection in terms of pain, knee function and physical activity of patients at all follow-up periods. Both methods of treatment are equally safe.
Full Text
Background
The theory of the development of pathological changes in the subchondral bone under the influence of chronic traumatization of the epiphyseal parts of the load-bearing joint remains relevant in modern medicine. The process is exacerbated by impaired intraosseous metabolism and is accompanied by the occurrence of multiple microfractures, followed by local cancellous bone and bone marrow ischemia and limited permeability for biologically active substances and metabolites of the boundary zone between the articular cartilage and the subchondral bone [1, 2, 3, 4]. Its pathological remodeling is accompanied by characteristic magnetic resonance imaging (MRI) symptoms, the so-called bone marrow zone edema, which is areas of active bone metabolism with increased cytokine and angiogenic factor expression, peculiar predictors of rapid disease progression [4, 5, 6]. The natural development of these changes in the subchondral bone leads to focal bone marrow replacement with fibrous tissue and cyst formation, as well as loss of articular cartilage above the bone marrow zone edema [7, 8, 9].
The noted biological effects in experimental studies on the use of autologous platelet-rich plasma (PRP) and bone marrow aspirate concentrate (BMAC) have proved very attractive for clinical purposes. Neoangiogenesis stimulation, metabolism, subchondral bone, and articular cartilage regeneration, and anti-inflammatory and anti-apoptotic effects are related to the pathogenetic mechanisms of osteoarthritis (OA) development [8, 10, 11].
The knowledge accumulated to date about PRP efficiency for OA treatment is still far from exhaustive. However, we can already determine more definitely certain positions, such as knee OA treatment [8, 12, 13, 14]. Contrarily, the therapeutic potential of bone marrow aspirates obtained from different anatomical regions and concentrated by centrifugation remains generally unclear, not to mention the study in a comparative aspect.
This study aimed to compare the efficacy of intraosseously administered autologous BMAC and PRP for patients with stage II-III knee OA.
Methods
Study design
A multicenter randomized study conducted from 2016 to 2021 included 40 patients with knee OA, of whom 27 were females and 13 were males, with a mean age of 67.0 ± 7.8 years, body mass index of 32.7 ± 4.8, and disease duration of 17.3 ± 3.7 months. Unilateral (n = 24) and bilateral (n = 16) knee joint lesions with predominant localization in the internal part regions (varus-gonarthrosis) were established based on complaints, anamnesis, and data from radiation examination methods (X-ray and MRI).
The inclusion criteria for the study were the following:
– primary knee joint OA stages II-III according to the Kellgren–Lawrence classification (K-L);
– the presence of overload bone marrow edema in the internal condyle region of the femur and/or tibia,
– pain syndrome of at least 6 points on the visual analog scale (VAS) scale;
– insufficient efficiency of previous conservative treatment.
Exclusion criteria were the following:
– patients younger than 45 years of age;
– patients with blood diseases, viral hepatitis B and C, human immunodeficiency virus infection, concomitant chronic internal organ diseases in the decompensating stage, and oncological diseases;
– an inflammatory process in the knee joint;
– oral corticosteroids or immunosuppressive drugs 6 weeks before the examination;
– arthroscopy earlier than 6 months before the examination;
– use of PRP or hyaluronic acid preparation earlier than 90 days before primary screening.
The inclusion criteria were met by patients of both clinical groups, who were comparable in terms of representation, main clinical and morphological parameters, including disease duration and manifestations, and differed only in the method of OA treatment (Table 1).
Table 1. Characteristics of patients included in the study
Parameter | BMAC group | PRP group |
Gender Male Female | 6 13 | 7 14 |
Age, years | 67.0±8.1 | 67.0±6.8 |
BMI | 32.7±3.9 | 32.7±4.4 |
Unilateral/bilateral OA | 12/7 | 12/9 |
Disease duration, months | 17.0±2.5 | 17.0±4.2 |
Stage by Kellgren–Lawrence II III | 8 11 | 10 11 |
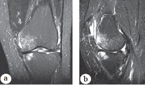
Patients of the main group (BMAC group) (n = 19) underwent a single intraosseous injection of BMAC in the area of bone marrow edema, whereas PRP (PRP group) was used in a similar procedure in the comparison group (n = 21). The zone of overload bone marrow edema and its localization were preliminarily determined according to MRI data and transposed to fluoroscopic images obtained during manipulations. Overload bone marrow edema was distinguished from aseptic necrosis by a change in the signal from the bone, which was characterized by low intensity on T1-weighted images and high intensity on T2-weighted images and short modes. Contrarily, the pathognomonic sign of aseptic necrosis was a line of low signal intensity along the periphery of the infarction focus with a bright inner line along the infarction surface on T1- and T2-weighted images. Foci of aseptic necrosis were predominantly located in the subchondral zone of the posterior-inner condyle parts of the femur and (or) tibia (Fig. 1, 2).
Fig. 1. MRI picture of the aseptic necrosis zone of the femoral condyle intero-posterior compartment in T1 mode: a — coronary section; b — sagittal section
Fig. 2. Zone of overload edema of the femoral and tibial condyles in T1 mode: a — coronary section; b — sagittal section
Intervention technique
The preparation and administration of PRP were performed in a dressing room. PRP was obtained using a special YCELLBIO PRP container (Korea). From the cubital vein of the patient, 13 ml of blood was taken and was mixed in a container with 2 ml of dextrose citrate solution. The container was placed in a RotoFix 32 centrifuge (Hettich, Germany) with an appropriate counterweight.
The initial centrifugation at 3200 rpm was performed for 4 min. Then, using a swivel cap on the container, the level of the hematocrit layer below its neck was set (Fig. 3 a). From the repeated centrifugation at a rate of 3400 rpm for 4 min, 3 ml of PRP were obtained. The platelet layer was removed from the container using a syringe (Fig. 3 b).
Fig. 3. PRP preparation: a — level of the hematocrit layer after the first centrifugation; b — platelet layer sampling
The platelet concentration in the resulting PRP was calculated using an Erba Elite 3 hematological analyzer (Czech Republic), and PRP was coded according to the international consensus classification of PRP adopted in 2020 [15].
BMAC sampling and receipt were performed in an operating or dressing room in compliance with all aseptic and antiseptic measures. Therefore, the patient was placed in a lying position on his back along the inner surface of the proximal metaepiphysis of the tibia, and local anesthesia of the skin and underlying soft tissues was administered with 5.0 ml of a 2% lidocaine solution until the needle contacted the bone surface. Then, an aspiration trocar (11 G) was inserted with rotational movements through the cortical plate of the tibia until a dip sensation (by 30–35 mm). After removing the stylet, 30 ml of bone marrow was taken with a syringe. The trocar was rotated around its axis during sampling and its depth was changed to increase the concentration of cells in the aspirate. The bone marrow thus obtained was mixed with 5 ml of heparin solution and placed in two containers.
The fraction with a high content of mesenchymal cells was separated from other constituent elements of the bone marrow by centrifugation at a velocity of 2400 rpm for 20 min. After removing the containers from the centrifuge, the upper 1.5 ml layer of the bone marrow concentrate was taken into the syringe using a sterile needle in the isthmus of each of the containers, as described in the method for obtaining PRP (Fig. 3 b).
The count of mononuclear cells in BMAC was determined by flow cytometry using antibodies to the cluster of differentiation (CD)34, CD14, CD73, CD105, and CD90 [4, 10, 11].
The BMAC or PRP was administered in the operating room under fluoroscopic control in the area of overload bone marrow edema of the condyle of the tibia or femur using an injection needle (18 G). The latter was inserted into the cancellous bone to the required depth after local anesthesia of the skin and soft tissues with 5.0 ml of 2% lidocaine solution in twisting movements or “wristwatch winding.” Before the administration of BMAC or PRP, 1.0 ml of the indicated anesthetic solution was slowly injected into the bone (Fig. 4).
Fig. 4. Injection of BMAC under fluoroscopic control into overload edema of the bone marrow of the internal femoral condyle
A total of 40 intraosseous injections of BMAC and PRP were injected, wherein 23 into the internal condyle of the femur and 17 into the internal condyle of the tibia.
After PRP or BMAC manipulations, cold applications for 2–3 days were recommended to all patients, as well as walking with a cane for 5–7 days and analgesics for severe pain for 1–2 days.
Evaluation of results
The results were evaluated 1, 3, 6, and 12 months after injection using VAS, Leken, and Western Ontario and McMaster Universities Osteoarthritis Index (WOMAC) scales. Patients’ satisfaction with treatment outcomes was assessed using a modernized verbal rating scale (VRS), where the result was distributed from 0 to 3 points, thus 0 points indicated poor result (no improvement), 1 meant satisfactory (improved joint movements, decreased pain, and persistent functional limitations that reduce the quality of life and physical activity), 2 indicated good result (no restrictions in everyday life, but intense exercise and sports cause pain or discomfort), and 3 for the excellent result (full recovery and physical activity and sports are possible without significant restrictions) [16]. Objective data on the changes over time of the pathological process in the knee joints of patients under the treatment influence were assessed based on MRI data at 3, 6, and 12 months after injection.
Statistical analysis
Statistical processing of the study results was performed using the methods of mathematical statistics. The obtained data were processed in Excel 2016, Office XP (Microsoft Corp., USA) software using the capabilities of the computer application Statistica 10.0 (Statsoft, USA).
The analysis of parameters with a normal distribution of values was performed using the Student’s t-test, assessing the degree of discrepancy between the arithmetic means M1 and M2, relative to the variance σ2. The obtained value was compared with the tabular value of the Student’s t-test at a significance level of p = 0.05. Provided that the obtained value of the Student’s t-test was greater than the critical table value, the difference between the compared values was recognized as statistically significant.
The analysis of non-parametric quantitative attributes was performed using the Friedman criterion, which is based on the ranking of repeated measurements for each sample object. The obtained empirical value of the χ2 criterion was compared according to the table for the selected level of statistical significance (p = 0.05) with the critical value for a given number of compared samples. When the corresponding value exceeded the critical value (for the chosen level of significance and the corresponding number of degrees of freedom), the null hypothesis was rejected.
Results
The median platelet concentration in PRP was 962±40×109/L and was within the recommended range for this orthobiological product [8, 13, 14]. The leukocyte count reached 9.7±1.4×109/l, which considered the PRP used in our study as plasma with a low count of these cells. The plasma also contained traces of erythrocytes (<1×106 µl), was not subjected to external activation and, did not comprise the added CaCl2. According to the international consensus classification (2020), the resulting PRP was coded as N3N4-N0N2-N0N0 [8]. The determination of the cellular bone marrow aspirate composition after the sampling showed that the mononuclear cells reached 17.4±9.6×106/ml. After centrifugation, their concentration increased to 98.5±7.2×106/ml, which was close to the obtained values in several other studies [17, 18, 19].
All patients achieved the final and intermediate points of the study with treatment result assessments at 1, 3, 6, and 12 months after the intraosseous injection. Result evaluation in the groups of BMAC and PRP in the control periods is presented in Tables 2 and 3.
Table 2. Treatment outcomes in the BMAC group
Scale | Follow-up period | Statistical significance | ||||
Before treatment | 1 mon. | 3 mon. | 6 mon. | 12 mon. | ||
VRS excellent good satisfactory poor | 4 11 4 0 | 1 11 6 1 | 0 10 7 2 | 0 6 8 5 | ||
VAS | 5.9±0.7 | 2.3±0.6 | 2.5±0.4 | 2.7±0.4 | 3.9±0.3 | χ2r = 36.04; p<0.01 |
Leken index | 10.3±0.4 | 4.1±0.2 | 5.0±0.6 | 5.4±0.3 | 5.8±0.7 | χ2r = 37.18; p<0.01 |
WOMAC | 59.3±0.8 | 21.5±0.4 | 25.8±0.3 | 33.4±0.7 | 40.6±0.3 | χ2r = 76; p<0.01 |
Table 3. Treatment outcomes in the PRP group
Scale | Follow-up period | Statistical significance | ||||
Before treatment | 1 mon. | 3 mon. | 6 mon. | 12 mon. | ||
VRS excellent good satisfactory poor | 1 13 6 1 | 1 11 8 1 | 0 8 11 3 | 0 5 10 6 | ||
VAS | 5.9±0.7 | 2.3±0.6 | 2.5±0.4 | 2.7±0.4 | 3.9±0.3 | χ2r = 33.81; p<0.01 |
Leken index | 10.3±0.4 | 4.1±0.2 | 5.0±0.6 | 5.4±0.3 | 5.8±0.7 | χ2r = 39.7; p<0.01 |
WOMAC | 59.3±0.8 | 21.5±0.4 | 25.8±0.3 | 33.4±0.7 | 40.6±0.3 | χ2r = 80.95; p<0.01 |
Data comparison in the VRS groups revealed that in the early stages (3 and 6 months), patients’ preferences turned out to be in favor of BMAC treatment (65% and 55% of positive reviews) versus PRP (55% and 45% of positive reviews), whereas differences were insignificant after 12 months.
The VAS score analysis in patients of both groups at all control follow-up periods revealed that, despite the pronounced analgesic effect of the studied treatment methods, the severity of pain syndrome decreased to a greater extent after intraosseous BMAC administration than after PRP. However, after 12 months, differences were not statistically significant.
Identification of the dynamics of the average values of the Leken scale with the initial level showed a statistically significantly decreased OA severity index after the use of both treatment methods. The comparison between the studied groups of patients testified in favor of BMAC throughout the entire follow-up period, and differences were most pronounced in the first 3 months of follow-up.
The ratio of the WOMAC index values in both groups of patients with the initial level of this indicator revealed statistically significant differences that persisted in all control periods of follow-up. Despite the overall negative dynamics of the WOMAC index in both groups of patients, especially in later follow-up periods, the indicators increased to a lesser extent after the BMAC administration than after PRP.
The objective aspect of the reduced pain syndrome severity after the administration of BMAC or PRP was the disappearance or significantly reduced size and decreased signal intensity in the area of previously identified bone marrow edema according to MRI (Fig. 5) [4].
Fig. 5. Decrease in signal intensity and the size of the bone marrow edema zone in the area of the femoral and tibial condyles after injection of BMAC: a — before injection; b — after 3 months
After intraosseous BMAC or PRP administration in 5 (26.3%) patients of the main group and 4 (19.04%) patients of the comparison group, adverse events were noted in the form of increased knee joint pain and swelling, the possibility of which was purposely discussed on the eve of treatment. These phenomena gradually disappeared after 6–7 days. Seven (36.8%) patients in the BMAC group and 5 (23.8%) in the PRP group required analgesic drugs for several days.
Discussion
Newly obtained data in the study of OA pathogenesis, modern design, and research result analysis from the standpoint of evidence-based medicine expanded the clinical guidelines. An expert opinion on the use of orthobiological methods was announced at the EULAR congress in 2020, and intra-articular PRP injections were classified as effective second-line treatments for knee OA [1, 8, 12, 13, 20, 21].
The biological effects of PRP are currently associated with the cellular metabolism stimulation and the possibility of modeling the homeostasis of the synovial joint environment by influencing chronic inflammatory and degenerative processes [8, 22, 23]. Growth factors, such as platelet-derived growth factor, transforming growth factor (TGF), platelet-derived endothelial growth factor, vascular endothelial growth factor, insulin-like growth factor 1, fibroblast growth factors, and others contained in platelet alpha granules are considered as the main instruments that regulate the biological processes in tissues [8, 12, 13, 14, 24].
The PRP anti-inflammatory property manifestation is achieved through various biological mechanisms, but mainly due to the regulatory influence of growth factors on all three phases of the inflammatory process through the transmembrane cell receptor interaction and intracellular signal initiation [1, 3, 8, 14, 21].
The concentration of platelets in the PRP should exceed the normal count of these cells in the peripheral blood by 4-5 times (up to 1000 × 103 µl/l) to implement the anti-inflammatory effect and reparative potential, although nowadays it cannot be stated definitely [17, 18, 25, 26]. Several randomized controlled trials have demonstrated the absence of a correlation between the platelet concentration in the PRP and the achieved results [8, 23, 27].
The leukocytes contained in the PRP have a significant influence on the modeling of the inflammatory process in the joint. With their high count, catabolic processes start to predominate over anabolic ones due to a sharply increased amount of pro-inflammatory mediators, which is manifested at the clinical level as an adverse event, namely increased pain and synovitis [3, 8, 23]. Contrarily, one can hardly conceive PRP that does not contain leukocytes at all. The antimicrobial activity of leukocytes against most bacteria and their powerful anti-inflammatory potential ensure the safety of intra-articular or intraosseous PRP administration [8, 27]. Finally, the problem of obtaining PRP with a given leukocyte count has not yet found an acceptable technical solution due to the well-known difficulties in separating leukocytes from platelets that are located in the same layer without significant platelet loss [13, 14, 27].
In the obtained plasma in our study, the platelet and leukocyte concentration were 962±40×109/l and 9.7±1.4×109/l, respectively, which did not exceed the above-discussed disputed threshold values. The absence of exogenous activation of PRP without a “volley” release of growth factors under the influence of endogenous collagen also reduced the risk of increased inflammation and pain, which was especially important when plasma was injected into the area of bone marrow edema in case of already existing inflammation.
Experimental and clinical studies revealed that the effect of PRP growth factors after intraosseous administration is felt not only by the subchondral bone but also by the covering hyaline cartilage, which usually has the greatest damage just above the areas of bone marrow edema [3, 8, 14, 23].
Y. Kobayashi et al. revealed that PRP enhances migration and stimulates chondrogenic differentiation of progenitor cells in the subchondral bone [1]. Their high level in the synovial fluid, which indicates a more severe OA, decreases after intraosseous PRP administration to values close to normal [17, 26]. Additionally, PRP reduces the overexpression of TGF-β, which inhibits signal transduction in positive mesenchymal stromal cells (MSCs) of the subchondral bone, thereby attenuating degenerative processes in the articular cartilage [27].
Autologous BMAC in patients of the main group belongs to the next generation of orthobiological products after PRP and is considered quite promising for the pathogenetic OA treatment [28, 29, 30, 31]. The contained MSCs in BMAC have wider possibilities of cellular and molecular level action compared to PRP, although their count is 0.01% of the cell population and increases to only 0.1% after centrifugation [10]. Contrary to the associated dualism with the platelet concentration in the PRP action, an increased MSCs count in the BMAC increases the therapeutic effect. Its implementation requires an increased concentration of MSCs by >0.01%, which was achieved in the course of obtaining BMAC in our study [2, 10, 11].
MSCs can stimulate the differentiation and proliferation of surrounding cells in osteogenic, chondrogenic, or adipogenic directions due to their regulatory functions [7, 11, 17, 30]. The paracrine effect of MSCs is implemented through the secretion of a large number of growth factors, cytokines, and chemokines that have an activating effect on the stem cells, as well as an antiapoptotic, angiogenic, immunomodulatory, and antiseptic effect [32]. MSCs also enhance the synthetic activity of cells and matrix remodeling [17, 19, 31]. Additionally, BMAC also includes other bone marrow cells, including platelets, of which the count increases several times after centrifugation, as in PRP, which provides some synergy of action and imparts BMAC with additional biological properties of plasma [9, 17, 30].
The contemporary literary sources on the efficiency of intraosseous PRP or BMAC injections in knee OA are mostly limited to clinical case descriptions. B. Di Matteo et al. included in their systematic review only 5 related publications to the intraosseous PRP and BMAC administration that met several simple criteria, including a sample of at least 5 patients and a follow-up period of at least 6 months [22]. The attitude to the results obtained in most works on this issue remains cautious due to the difference in therapeutic protocols and treatment outcome evaluation, and even some prejudiced attitudes [27]. However, several comparative studies at this stage are certainly especially noteworthy.
Simultaneous intraosseous PRP administration with intra-articular plasma injection in knee OA was first proposed by M. Sanchez et al. in 2016. Somewhat later, the authors published results of a comparative study of two groups of 60 patients with stage III-IV OA (K-L), who received PRP with a high level of leukocytes as a single intra-articular injection or in combination with intraosseous plasma injection. The treatment result evaluation after 6 and 12 months indicated the remaining statistically significant advantages of the combined method using PRP in the absence of differences in the early follow-up [3].
Higher rates of the knee joint function restoration and a decreased pain syndrome intensity were also noted by K. Su et al. in 65 patients with the knee joint OA of stages II-III (K-L) after combined intra-articular and intraosseous administration of PRP compared with only intra-articular injections of plasma or hyaluronic acid for 18 months of follow-up [23]. Similar results were also obtained in 40% of patients in a pilot study by N. Fiz et al. after the combined administration of PRP to the hip joint in stages II and III of the disease [14].
The obtained results certainly could not be fully extrapolated to the treatment of subchondral bone injuries in knee OA using BMAC; however, some clinical effects could be quite expected. Thus, P. Hernigou et al. revealed that the results of administering 20 ml of BMAC containing 6500/ml of MSCs into the femur and tibia to 30 young patients with end-stage knee OA associated with osteonecrosis after 8–16 years turned out to be comparable or slightly better by HSS scale than after total arthroplasty of the contralateral joint. After the intraosseous BMAC injection, the articular cartilage thickness increased by 4.2%–23.5%, and the size of osteonecrosis foci decreased by 40% within 2 to 5 years after manipulations [30].
A few years later, in a more representative randomized study of a similar design, which included 140 patients aged 65 to 90 years with the knee joint OA, predominantly stages III-IV (K-L), P. Hernigou et al. reported 18% completion of arthroplasty after an average of 10 years after BMAC administration, which in terms of each year of the follow-up was 1.19% and approached the risk of revision interventions on the opposite joint with an endoprosthesis. The average count of MSCs in 20 cm3 of BMAC from the iliac wing injected in equal amounts into the subchondral bone of the internal condyles of the femur and tibia reached 7800/ml. According to the authors, the pronounced analgesic effect of BMAC avoided arthroplasty for a long period and reduce the risks of surgery-associated complications [7, 8, 11].
The comparison of two administration routes of 40 ml of BMAC containing an average of 5727/ml of MSCs (intra-articular and intraosseous) was undertaken by P. Hernigou et al. in another prospective randomized study. The subchondral injection of BMAC into the femur and tibia in one knee joint and intra-articular administration in the other joint in 60 patients with bilateral OA stages I–IV (K-L) revealed the clinical benefits of using the first of the techniques 2 years after the manipulations. The annual frequency of arthroplasty was 1.3% and 4.6% in groups 1 and 2, respectively. An objective assessment of the dynamics of damage foci to the subchondral bone using MRI also testified in favor of the intraosseous route of BMAC administration [7, 11].
V. Vad et al. were the first who used combined intraosseous subchondral and intra-articular injection of bone marrow aspirate and conducted a prospective treatment outcome evaluation in a series of 10 patients with stage III-IV (K-L) knee joint OA. The technique is called PeCaBoo (percutaneous chondral bone interface optimization). The bone marrow aspirate was obtained from the proximal epiphysis of the tibia, of which 2 ml was injected into the subchondral parts of the condyles of the femur and tibia under fluoroscopic control and another 2 ml into the knee joint cavity. The authors revealed a decreased intensity of pain syndrome by 3 times according to the NRS-Pain scale at 3, 6, and 12 months and more (on average 14 months) after the manipulation, as well as an improved functionality according to the WOMAC scale by 23 points, with a 60% decreased number of patients who are forced to take non-steroidal anti-inflammatory drugs. Control MRI showed a decreased bone marrow edema and an increased articular cartilage thickness by 14% [9].
The therapeutic potential of combined subchondral and intra-articular administration of BMAC was also analyzed and confirmed by E. Kon et al. in a pilot multicenter prospective cohort study. Single combined BMAC at 9 ml (3 ml for each injection) was administered to 30 patients with a mean age of 56.4 years with symptomatic OA of the knee joint of stages II-III (K-L) and MRI-confirmed changes in the subchondral bone of one or both condyles, mainly in the internal part of the joint. The treatment results were evaluated after 1, 3, 6, and 12 months. A significantly decreased pain syndrome according to the VAS scale and an improved knee joint functionality according to the International Knee Documentation Committee and Knee Injury and Osteoarthritis Outcome Score scales were registered not only in the early stages after the BMAC administration but were accompanied by a decreased zone of bone marrow edema according to MRI data. Positive changes over time persisted up to the extreme point of the follow-up (12 months). Concurrently, no significant changes were found in patients’ perception of improvement in their general health according to the EQ-VAS scale of the quality of life [2].
Study limitations
The limitations of the performed study included the small number of patients, the absence of a placebo group, and the use of point scales mainly based on subjective indicators for treatment result assessment.
Conclusions
A single intraosseous subchondral BMAC administration has an advantage over the similar PRP administration in terms of most indicators such as pain, knee joint function, and physical activity of patients both in early and late follow-up periods. Both treatment methods are equally safe but are not devoid of adverse effects in the form of increased pain and joint swelling within a few days after the manipulation.
Ethical expertise
The clinical trial observed the requirements of the Declaration of Helsinki of 1975, revised in 2008. Approval was obtained from the local ethical committee of the Volgograd State Medical University of the Ministry of Health of Russia in 2016 to conduct a clinical trial “The use of bone marrow aspirate concentrate in patients with injuries and long-term damage of the musculoskeletal system.
Informed consent
Patients gave voluntary written informed consent to participate in the study and publish its results.
Authors’ contribution:
Malanin D.A. — made a significant contribution to the development of the study design, editing for important intellectual content, and approval of the article final version for publication.
Sikilinda V.D. — edited the text for essential intellectual content, approved the final version of the article for publication.
Gorbatenko A.I. — collected, analyzed, and interpreted the data, wrote the text of the article, edited the text for the essential intellectual content.
Demeshchenko M.V. — collected, analyzed, and interpreted the data, wrote the text of the article, edited the text for the essential intellectual content.
Suchilin I.A. — collected, analyzed, and interpreted the data.
Kondrashenko V.V.— collected, analyzed, and interpreted the data.
Kostyanaya N.O. — collected, analyzed, and interpreted the data.
All authors read and approved the final version of the manuscript. All authors agree to be responsible for all aspects of the work to ensure proper consideration and resolution of all possible issues related to the correctness and reliability of any part of the work.
About the authors
Dmitriy A. Malanin
Volgograd State Medical University
Email: malanin67@mail.ru
ORCID iD: 0000-0001-7507-0570
Dr. Sci. (Med.), Professor
Россия, VolgogradVladimir D. Sikilinda
Rostov State Medical University
Email: sikilinda_vd@rostgmu.ru
ORCID iD: 0000-0002-3062-2543
Dr. Sci. (Med.), Professor
Россия, Rostov-on-DonAndrei I. Gorbatenko
Rostov State Medical University
Email: gorbatenkophmd@gmail.com
ORCID iD: 0000-0001-7779-4863
Cand. Sci. (Med.)
Россия, Rostov-on-DonMaxim V. Demeshchenko
Volgograd State Medical University
Author for correspondence.
Email: maximus275@yandex.ru
ORCID iD: 0000-0003-1797-2431
Cand. Sci. (Med.)
Россия, VolgogradIl’ya A. Suchilin
Volgograd State Medical University
Email: omnio@mail.ru
ORCID iD: 0000-0001-7375-5365
Cand. Sci. (Med.)
Россия, VolgogradVladimir V. Kondrashenko
Volgograd State Medical University
Email: vovamail2009@yandex.ru
ORCID iD: 0000-0001-7512-492X
аспирант кафедры травматологии, ортопедии и ВПХ
Россия, VolgogradNataliya O. Kostyanaya
Southern Federal University
Email: mornatalia@yandex.ru
ORCID iD: 0000-0001-5922-7099
биолог, Академия биологии и биотехнологии им. Д.И. Ивановского
Россия, Rostov-on-DonReferences
- Алексеева Л.И. Остеоартрит: эпидемиология, классификация, факторы риска и прогрессирования, клиника, диагностика, лечение. Современная ревматология. 2019;13(2):9-21. doi: 10.14412/1996-7012-2019-2-9-21.
- Alekseeva L.I. [Osteoarthritis: epidemiology, classification, risk factors, and progression, clinical presentation, diagnosis, and treatment]. Sovremennaya revmatologiya [Modern Rheumatology Journal]. 2019;13(2):9-21. (In Russian). doi: 10.14412/1996-7012-2019-2-9-21.
- Зайцева М.Ю., Нетылько Г.И., Каземерский А.В. Вопросы дифференциальной диагностики остеонекроза мыщелков бедренной и большеберцовой костей аваскулярного и посттравматического генеза. Травматология и ортопедия России. 2005;4(37):53-56.
- Zaitseva M.Ju., Netylko G.I., Kazemirsky A.V. [Problems of differential diagnostics of avascular and posttraumatic necroses of femoral and tibial condyles]. Travmatologiya i ortopediya Rossii [Traumatology and Orthopedics of Russia]. 2005;4(37):53-56. (In Russian).
- Лычагин А.В., Гаркави А.В., Ислейих О.И., Катунян П.И., Боборов Д.С., Явлиева Р.Х. и др. Эффективность внутрикостного введения аутологичной обогащенной тромбоцитами плазмы в зону отека костного мозга при остеоартрозе коленного сустава. Вестник РГМУ. 2019;(4):50-56. doi: 10.24075/brsmu.2019.053.
- Lychagin A.V., Garkavi A.V.,Islaieh O.I., Katunyan P.I., Bobrov D.S., Yavlieva R.H. et al. [Effectiveness of intraosseous infiltration of autologous platelet-rich plasma in the area of the bone marrow edema in osteoarthritis of the knee joint]. Vestnik RGMU [Bulletin of RSMU]. 2019;(4):50-56. (In Russian). doi: 10.24075/brsmu.2019.053.
- Маланин Д.А., Демещенко М.В., Черезов Л.Л., Грунин С.В. Эффективность применения плазмы обогащенной тромбоцитами при лечении пациентов с остеоартритом коленного сустава. Практическая медицина. 2020;18(4):29-35.
- Malanin D.A., Demeshchenko M.V., Cherezov L.L., Grunin S.V. [Efficacy of platelet-rich plasma for treating patients with knee osteoarthritis]. Prakticheskaya meditsina [Practical Medicine]. 2020;18(4):29-35. (In Russian).
- Маланин Д.А., Норкин А.И., Трегубов А.С., Демещенко М.В., Черезов Л.Л. Применение PRP-терапии при тендинопатиях вращательной манжеты и длинной головки двуглавой мышцы плеча. Травматология и ортопедия России. 2019;25(3):57-66. doi: 10.21823/2311-2905-2019-25-3-57-66.
- Malanin D.A., Norkin A.I., Tregubov A.S., Demeshchenko M.V., Cherezov L.L. [PRP-Therapy for Tendinopathies of Rotator Cuff and Long Head of Biceps]. Travmatologiya i ortopediya Rossii [Traumatology and Orthopedics of Russia]. 2019;25(3):57-66. (In Russian). doi: 10.21823/2311-2905-2019-25-3-57-66.
- Некачалов В.В. Патология костей и суставов. СПб: Сотис; 2000. 285 с.
- Nekachalov V.V. [Pathology of bones and joints]. SPb: Sotis; 2000. 285 p.
- Andia I., Sánchez M., Maffulli N. Joint pathology and platelet-rich plasma therapies. Expert Opin Biol Ther. 2012;12(1):7-22. doi: 10.1517/14712598.2012.632765.
- Chahla J., Alland J.A., Verma N.N. Bone Marrow Aspirate Concentrate for Orthopaedic Use. Orthop Nurs. 2018;37(6):379-381. doi: 10.1097/NOR.0000000000000502.
- Choi B.H., Zhu S.J., Kim B.Y., Huh J.Y., Lee S.H., Jung J.H. Effect of platelet-rich plasma (PRP) concentration on the viability and proliferation of alveolar bone cells: an in vitro study. Int J Oral Maxillofac Surg. 2005;34(4):420-424. doi: 10.1016/j.ijom.2004.10.018.
- Eymard F., Ornetti P., Maillet J., Noel É., Adam P., Legré-Boyer V. et al. Intra-articular injections of platelet-rich plasma in symptomatic knee osteoarthritis: a consensus statement from French-speaking experts. Knee Surg Sports Traumatol Arthrosc. 2021;29(10):3195-3210. doi: 10.1007/s00167-020-06102-5.
- Fiz N., Delgado D., Garate A., Sánchez P., Oraa J., Bilbao A.M. et al. Intraosseous infiltrations of Platelet-Rich Plasma for severe hip osteoarthritis: A pilot study. J Clin Orthop Trauma. 2020;11(Suppl 4):S585-S590. doi: 10.1016/j.jcot.2019.12.012.
- Foster T.E., Puskas B.L., Mandelbaum B.R., Gerhardt M.B., Rodeo S.A. Platelet-rich plasma: from basic science to clinical applications. Am J Sports Med. 2009;37(11):2259-2272. doi: 10.1177/0363546509349921.
- Gianakos A.L., Sun L., Patel J.N., Adams D.M., Liporace F.A. Clinical application of concentrated bone marrow aspirate in orthopaedics: A systematic review. World J Orthop. 2017;8(6):491-506. doi: 10.5312/wjo.v8.i6.491.
- Giovanini A.F., Gonzaga C.C., Zielak J.C., Deliberador T.M., Kuczera J., Göringher I. et al. Platelet-rich plasma (PRP) impairs the craniofacial bone repair associated with its elevated TGF-β levels and modulates the co-expression between collagen III and α-smooth muscle actin. J Orthop Res. 2011;29(3):457-463. doi: 10.1002/jor.21263.
- Hernigou P., Auregan J.C., Dubory A., Flouzat- Lachaniette C.H., Chevallier N., Rouard H. Subchondral stem cell therapy versus contralateral total knee arthroplasty for osteoarthritis following secondary osteonecrosis of the knee. Int Orthop. 2018;42(11):2563-2571. doi: 10.1007/s00264-018-3916-9.
- Hernigou P., Bouthors C., Bastard C., Flouzat Lachaniette C.H., Rouard H., Dubory A. Subchondral bone or intra-articular injection of bone marrow concentrate mesenchymal stem cells in bilateral knee osteoarthritis: what better postpone knee arthroplasty at fifteen years? A randomized study. Int Orthop. 2021;45(2):391-399. doi: 10.1007/s00264-020-04687-7.
- Hernigou P., Delambre J., Quiennec S., Poignard A. Human bone marrow mesenchymal stem cell injection in subchondral lesions of knee osteoarthritis: a prospective randomized study versus contralateral arthroplasty at a mean fifteen year follow-up. Int Orthop. 2021;45(2):365-373. doi: 10.1007/s00264-020-04571-4.
- Holton J., Imam M., Ward J., Snow M. The Basic Science of Bone Marrow Aspirate Concentrate in Chondral Injuries. Orthop Rev (Pavia). 2016;8(3):6659. doi: 10.4081/or.2016.6659.
- Imam M.A., Mahmoud S.S.S., Holton J., Abouelmaati D., Elsherbini Y., Snow M. A systematic review of the concept and clinical applications of Bone Marrow Aspirate Concentrate in Orthopaedics. SICOT J. 2017;3:17. doi: 10.1051/sicotj/2017007.
- Jiang J., Chen J. Diagnostic issue on spontaneous osteonecrosis of medial tibial plateau. Chin Med J. 2019;132(6):755-756. doi: 10.1097/CM9.0000000000000119.
- Kobayashi Y., Saita Y., Nishio H., Ikeda H., Takazawa Y., Nagao M. et al. Leukocyte concentration and composition in platelet-rich plasma (PRP) influences the growth factor and protease concentrations. J Orthop Sci. 2016;21(5):683-689. doi: 10.1016/j.jos.2016.07.009.
- Kon E., Boffa A., Andriolo L., Di Martino A., Di Matteo B., Magarelli N. et al. Subchondral and intra-articular injections of bone marrow concentrate are a safe and effective treatment for knee osteoarthritis: a prospective, multi-center pilot study. Knee Surg Sports Traumatol Arthrosc. 2021. doi: 10.1007/s00167-021-06530-x.
- Kon E., Di Matteo B., Delgado D., Cole B., Dorotei A., Dragoo J. Platelet-rich plasma for the treatment of knee osteoarthritis: an expert opinion and proposal for a novel classification and coding system. Expert Opin Biol Ther. 2020;20(12):1447-1460. doi: 10.1080/14712598.2020.1798925.
- Krüger J.P., Hondke S., Endres M., Pruss A., Siclari A., Kaps C. Human platelet-rich plasma stimulates migration and chondrogenic differentiation of human subchondral progenitor cells. J Orthop Res. 2012;30(6):845-852. doi: 10.1002/jor.22005.
- Manferdini C., Maumus M., Gabusi E., Piacentini A., Filardo G., Peyrafitte J.A. et al. Adipose-derived mesenchymal stem cells exert antiinflammatory effects on chondrocytes and synoviocytes from osteoarthritis patients through prostaglandin E2. Arthritis Rheum. 2013;65(5):1271-1281. doi: 10.1002/art.37908.
- Di Matteo B., Polignano A., Onorato F., La Porta A., Iacono F., Bonanzinga T. et al. Knee Intraosseous Injections: A Systematic Review of Clinical Evidence of Different Treatment Alternatives. Cartilage. 2020:1947603520959403. doi: 10.1177/1947603520959403.
- de Vries-van Melle M.L., Narcisi R., Kops N., Koevoet W.J., Bos P.K., Murphy J.M. et al. Chondrogenesis of mesenchymal stem cells in an osteochondral environment is mediated by the subchondral bone. Tissue Eng Part A. 2014;20(1-2):23-33. doi: 10.1089/ten.TEA.2013.0080.
- Muiños-López E., Delgado D., Sánchez P., Paiva B., Anitua E., Fiz N. et al. Modulation of Synovial Fluid-Derived Mesenchymal Stem Cells by Intra-Articular and Intraosseous Platelet Rich Plasma Administration. Stem Cells Int. 2016;2016:1247950. doi: 10.1155/2016/1247950.
- Murray I.R., Robinson P.G., West C.C., Goudie E.B., Yong L.Y., White T.O. et al. Reporting Standards in Clinical Studies Evaluating Bone Marrow Aspirate Concentrate: A Systematic Review. Arthroscopy. 2018;34(4):1366-1375. doi: 10.1016/j.arthro.2017.11.036.
- Patel S., Dhillon M.S., Aggarwal S., Marwaha N., Jain A. Treatment with platelet-rich plasma is more effective than placebo for knee osteoarthritis: a prospective, double-blind, randomized trial. Am J Sports Med. 2013;41(2):356-364. doi: 10.1177/0363546512471299.
- Peterfy C.G., Guermazi A., Zaim S., Tirman P.F., Miaux Y., White D. et al. Whole-Organ Magnetic Resonance Imaging Score (WORMS) of the knee in osteoarthritis. Osteoarthritis Cartilage. 2004;12(3):177-190. doi: 10.1016/j.joca.2003.11.003.
- Post S.R., Post G.R., Nikolic D., Owens R., Insuasti-Beltran G. Development of an unbiased, semi-automated approach for classifying plasma cell immunophenotype following multicolor flow cytometry of bone marrow aspirates. Cytometry B Clin Cytom. 2018;94(5):602-610. doi: 10.1002/cyto.b.21635.
- Rodriguez-Fontan F., Piuzzi N.S., Kraeutler M.J., Pascual-Garrido C. Early Clinical Outcomes of Intra-Articular Injections of Bone Marrow Aspirate Concentrate for the Treatment of Early Osteoarthritis of the Hip and Knee: A Cohort Study. PM R. 2018;10(12):1353-1359. doi: 10.1016/j.pmrj.2018.05.016.
- Sánchez M., Anitua E., Delgado D., Sanchez P., Prado R., Goiriena J.J. et al. A new strategy to tackle severe knee osteoarthritis: Combination of intra-articular and intraosseous injections of Platelet Rich Plasma. Expert Opin Biol Ther. 2016;16(5):627-643. doi: 10.1517/14712598.2016.1157162.
- Sekiya I., Ojima M., Suzuki S., Yamaga M., Horie M., Koga H. et al. Human mesenchymal stem cells in synovial fluid increase in the knee with degenerated cartilage and osteoarthritis. J Orthop Res. 2012;30(6):943-949. doi: 10.1002/jor.22029.
- Schottel P.C., Warner S.J. Role of Bone Marrow Aspirate in Orthopedic Trauma. Orthop Clin North Am. 2017;48(3):311-321. doi: 10.1016/j.ocl.2017.03.005.
- Shapiro S.A., Kazmerchak S.E., Heckman M.G., Zubair A.C., O’Connor M.I. A Prospective, Single-Blind, Placebo-Controlled Trial of Bone Marrow Aspirate Concentrate for Knee Osteoarthritis. Am J Sports Med. 2017;45(1):82-90. doi: 10.1177/0363546516662455.
- Sharkey P., Cohen S., Leinberry C., Parvizi J. Subchondral bone marrow lesions associated with knee osteoarthritis. Am J Orthop. 2012;41(9):413-417.
- Su K., Bai Y., Wang J., Zhang H., Liu H., Ma S. Comparison of hyaluronic acid and PRP intra-articular injection with combined intra-articular and intraosseous PRP injections to treat patients with knee osteoarthritis. Clin Rheumatol. 2018;(37):1341-1350. doi: 10.1007/s10067-018-3985-6.
- Sundaram K., Vargas-Hernández J.S., Sanchez T.R., Moreu N.M., Mont M.A., Higuera C.A. et al. Are Subchondral Intraosseous Injections Effective and Safe for the Treatment of Knee Osteoarthritis? A Systematic Review. J Knee Surg. 2019;32(11):1046-1057. doi: 10.1055/s-0039-1677792.
- Sundman E.A., Cole B.J., Karas V., Della Valle C., Tetreault M.W., Mohammed H.O. et al. The anti-inflammatory and matrix restorative mechanisms of platelet-rich plasma in osteoarthritis. Am J Sports Med. 2014;42(1):35-41. doi: 10.1177/0363546513507766.
- Vad V., Barve R., Linnell E., Harrison J. Knee Osteoarthritis Treated with Percutaneous Chondral-Bone Interface Optimization: A Pilot Trial. Surgical Sci. 2016;7:1-12. doi: 10.4236/ss.2016.71001. Available from: https://www.scirp.org/pdf/SS_2016010814274096.pdf.
- Zhen G., Wen C., Jia X., Li Y., Crane J.L., Mears S.C. et al. Inhibition of TGF-β signaling in mesenchymal stem cells of subchondral bone attenuates osteoarthritis. Nat Med. 2013;19(6):704-712. doi: 10.1038/nm.3143.
Supplementary files









