Spinal Hydatid Disease of Cervico-Thoracic in Pregnant Women: A Case Report and Review
- Authors: Naumov D.G.1,2, Vishnevskiy A.A.1, Tkach S.G.3, Avetisyan A.O.1
-
Affiliations:
- St. Petersburg State Research Institute of Phthisiopulmonology
- Saint-Petersburg State University
- St. Petersburg State University
- Issue: Vol 27, No 4 (2021)
- Pages: 102-110
- Section: Case Reports
- Submitted: 17.09.2021
- Accepted: 29.10.2021
- Published: 29.12.2021
- URL: https://journal.rniito.org/jour/article/view/1668
- DOI: https://doi.org/10.21823/2311-2905-1668
- ID: 1668
Cite item
Abstract
Background: Spinal hydatid disease is an extremely rare pathology that could leads to the serious orthopedics and neurological complications. Conservative antimicrobial therapy is not effective for spinal echinococcus. This case is unique for the next reasons: disease manifestation during pregnancy, a long period from a spine decompression to a reconstruction procedure and a technique of the surgery.
Case: A 27 year-old lady at 34 gestation weeks, previously operated on the urgent indications of paraplegia with neurogenic bladder dysfunction after 1 year and 10 months follow-up suffered vertebral column reconstruction due to recurrence of the cervico-thoracic hydatid disease, complicated by angular kyphosis. The echinococcus cyst had a closed contact with a right brachiocephalica vein, compressed the spinal canal and leads to three-column spine instability.
Conclusions: Three-column spine reconstruction with anterior corpectomy, cystectomy and fusion provide resolution of the back pain syndrome, improve neurological status and achieve local control of the infectious process in patients with echinococcosis of the spine. In the postoperative period, staged therapy with antiparasitic drugs should be prescribe.
Full Text
Background
Human echinococcosis is a chronic zoonotic parasitic disease that is caused by tapeworms of the genus Echinococcus and occurs with predominant liver or lung involvement [1, 2]. The general disease structure registered bone lesions in 0.2%–1.0% of cases, while invasion into the spine among them reaches 45% [3, 4, 5]. The most common variants of vertebral lesions include cystic (E. granulosus) and alveolar (E. multilocularis) [6, 7]. Among the spinal sections, the thoracic (45%–50%) is most often affected, while the lumbosacral (25%–32%) and lumbar (up to 15%) are less often involved [8].
The mechanism of parasitic spread in the human body is reduced to oncosphere migration along the direct venous anastomoses of the portal vein and segmental veins of the vertebral bodies [9]. As a hydatid cyst develops, of which the asymptomatic period can reach up to several years, the vertebral bone tissue lytic destruction occurs and the cyst spreads into the spinal canal and surrounding paravertebral tissues [10]. The dura mater remains intact, and compression-ischemic changes in the spinal cord play a decisive role in neurological deficit development [11].
The approach of spinal echinococcosis treatment is based on the major clinical syndrome, The disease rarely occurs with the development of an isolated lesion of the vertebral body, vertebral instability, and neurological deficit. Methods of isolated puncture, aspiration, and local administration of antiparasitic drugs (puncture, aspiration, and injection and puncture, aspiration, injection, re-aspiration [PAIR]), which were proven effective in the treatment of liver echinococcosis, were ineffective in vertebral lesions [12].
A literature review indicates a limited number of publications on spinal echinococcal lesions, especially on the disease manifestation during pregnancy; therefore, we present our experience.
The study aimed to present the results of a staged surgical treatment of echinococcal lesions of the cervicothoracic spine in a pregnant woman, which is complicated by angular postlaminectomy kyphosis formation.
Case presentation
A 27-year-old patient was hospitalized at the clinic of the St. Petersburg Research Institute of Phthisiopulmonology in October 2020 with a diagnosis of echinococcosis of Th1-2 vertebrae, with the condition after decompressive laminectomy in January 2019. Complications include angular postlaminectomy kyphosis of the cervicotho+racic spine, lower paraparesis type D according to Frankel.
The anamnesis revealed that the patient complained of vertebrogenic pain syndrome in the thoracic spine since 2016, which was conservatively independently treated by taking NSAIDs, with a positive therapeutic effect. In December 2018, on week 28 of pregnancy, she noted a recurrence of vertebrogenic pain syndrome in the thoracic region with an intensity of up to 8 points according to the Visual Analog Scale (VAS) and weakness in the lower extremities. Over the next 2 weeks, the phenomena of lower paraparesis progressed, after which the patient was hospitalized in the maternity hospital at the primary healthcare facility. After 3 days from the hospitalization, lower paraplegia with dysfunction of the pelvic organs (DPO) occurred.
The spinal magnetic resonance imaging (MRI) revealed a Th2 body lesion with the prevertebral, paravertebral, and epidural spread of the soft tissue cystic component, as well as spinal cord compression at the Th1-3 level. The next day, the patient was transferred to the Regional Perinatal Center, where a cesarean section was performed on week 34 of pregnancy. The child was born alive, with a birth weight of 2620 g and a length of 49 cm.
A medical case conference was held and a clinical diagnosis of a tumor lesion of Th2 that spread into the epidural space at the C7-Th3 level and lower paraplegia with DPO was established. The decompressive intervention was indicated to the patient. On day 3 after the onset of lower paraplegia with DPO, Th1-3 laminectomy was performed and cystic formations from the epidural space were removed. The postoperative period was uneventful, positive dynamics were noted in the neurological status with partial function restoration of the lower extremities to type D paraparesis according to Frankel, as well as complete restoration of pelvic organ functions. The histological examination of the surgical material revealed echinococcus.
Upon admission to the St. Petersburg Research Institute of Phthisiopulmonology, the patient complained of vertebrogenic pain syndrome in the cervicothoracic region up to 7 points according to VAS with right upper limb irradiation and lower limb weakness. Lower paraparesis type D according to Frankel was noted in the neurological status. The decreased quality of life, as assessed by the Oswestry Disability Index (ODI) questionnaire, corresponded to 64%.
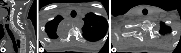
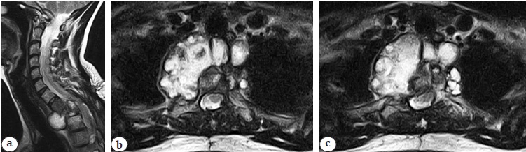
Radiological examination (multispiral computed tomography [MSCT] and MRI) revealed total Th1 body destruction, pre- and paravertebral, epidural cystic formations, and postlaminectomy cervicothoracic kyphosis of the spine of 56° according to Cobb. The nature of destructive changes and cystic formations was regarded as spinal echinococcosis recurrence (Fig. 1, 2).
Fig. 1. CT images at the time of hospital admission: a — sagittal view: Th1-2 destruction, angular cervico-thoracic kyphosis 56° Cobb; b, c — axial view: paravertebral cyst, mainly located in the right paravertebral side, postlaminectomy defect С7-Th4
Fig. 2. MRI images at the time of hospital admission: a — sagittal view: paravertebral and epidural cystic components, compression myelopathy Th1-3 level; b, c — axial view: polycystic component with heterogeneous structure
The general somatic condition of the patient was of moderate severity. She received albendazole at 400 mg per day as a systemic antimicrobial therapy before hospitalization. The immunoglobulin G titer according to the results of enzyme immunoassay was 1:800.
The chronic vertebrogenic pain syndrome, neurological deficit, and angular kyphotic deformity of the spine determined the surgical intervention indications.
Stage 1 was the posterior instrumentation, where the screws were installed in the lateral masses of the C5, C6 vertebrae, C7 bodies, and Th3-5 transpedicular. Right-sided costotransversectomy of the ribs 1–3 was performed with the support of a nail installed on the left side (Fig. 3).
Fig. 3. Right side costotransverseectomy of 1–3rd ribs: a — postlaminectomy scar C7-Th4; b — left-side posterior instrumentation completed; c — vertertebral-end third rib resection
The anterior-lateral surface of the C7-Th2 vertebrae was extrapleurally skeletonized with cyst capsule access. The surrounding tissues are delimited with napkins that are moistened with 2% formalin solution. A foramen was made in the cyst wall, through which the hydatid fluid and protoscoleces were evacuated using an aspirator (Fig. 4).
Fig. 4. Hydatid cyst aspiration
After aspirating the cyst contents, the chitin capsule was excised with partial parietal pleural resection, intimately fused to the capsule lower pole. Remnants of the Th2 vertebral body were resected using osteotomes, Kerrison rongeurs, and lateral trays, with the removal of residual cysts from the anterior epidural space at the Th1-2 level. At the final stage, the support screws of the posterior hardware were articulated with two rods, and an active aspiration drain was installed in the right hemithorax. The postoperative period was uneventful, the wound was healed by primary intention, and the pleural drainage was removed on day 3.
During the initial surgery, we deliberately refused to perform an anterior spinal fusion from the posterior approach due to the need to dissect the spinal roots to install a titanium mesh cage, which could develop a motor deficit in the postoperative period.
Ten days after the initial surgery, stage 2 of surgical treatment was performed in the volume of the anterior reconstruction of the Th1-3 segment using a titanium mesh cage with autograft (iliac crest), and the residual left-sided paravertebral echinococcal cyst was removed. The surgery was performed through a left-sided Smith–Robinson approach. At the skeletonization stage of the anterior sections of the C7-Th2 vertebral bodies, cicatricial adhesive changes in the retropharyngeal space was noted, as well as a rounded paravertebral formation with a dense capsule at the left Th1-2 level. After delimiting the surrounding tissues with drapes moistened with 2% formalin solution, cyst puncture and aspiration were performed, followed by capsule excision. Then, corpectomy of the Th1-2, anterior spinal canal decompression, and anterior spinal fusion, using a high-speed bone drill and Kerrison rongeurs with a titanium block-lattice with Th1-3 autologous bone, were performed. The wound was sutured, with retained active aspiration drainage.
The patient was verticalized on day 3 postoperative 2; the drainage was removed on day 2. The total period of inpatient treatment was 24 days. In the neurological status upon discharge, complete regression of motor disorders was noted with functional restoration of the lower extremities to type E according to the Frankel scale. The results of the control CT are presented in Figure 5.
Fig. 5. CT images at the time of hospital discharge: a — sagittal view: anterior fusion by titanium mesh-cage with autologous bone graft and posterior screw fixation, correct implant position with angular kyphosis correction; b — frontal view: upper right lung lobe aerated, post-cystic resection cavity; c — 3D scan: right side 1–2nd rib costotransverseectomy, anterior Th1-3 fusion by titanium mesh-cage
Long-term results were followed up for 12 months. In the postoperative period, the patient underwent staged courses of conservative antiparasitic therapy (albendazole) at the primary healthcare facility. The control CT indicates the absence of echinococcal process recurrence and Th1-3 block formation with the preservation of the achieved sagittal profile correction of the cervicothoracic spine (Fig. 6). The result on the ODI questionnaire was 13%. The histological examination of the surgical material verified echinococcosis.
Fig. 6. CT images 12 month post-op: no signs of hydatid disease recurrence, anterior fusion formation Th1-3 with sagittal cervico-thoracic balance correction: a — sagittal view; b — axial view; c — frontal view
Discussion
Spinal echinococcal lesion diagnostics are complicated. The disease history must consider the places where echinococcus is spread, the contacts with dogs, and the long disease course. In the presented clinical case, all these factors were indicated, namely, the patient lived in an endemic area [13], keeps the house, notes constant contacts with dogs, 3 years duration of the therapeutic pause, in the anamnesis. Concurrently, the manifestation of clinical disease symptoms during the patient’s pregnancy is noteworthy, which may be associated with the immune system restructuring, decreased protective properties of the body, which contributed to the progression of the echinococcal cyst size, and lytic destruction of the Th2 vertebral body [14].
The speed of routing the patient to the perinatal center for delivery according to urgent indications should be noted (day 1 from admission to the maternity hospital at the primary healthcare facility) and further transportation to the neurosurgical department for decompressive laminectomy (72 hours from development lower paraplegia with DPO) in assessing the primary surgical treatment approach. However, the absence of posterior instrumental fixation during primary decompressive three-level laminectomy led to the posterior spinal column instability and further cervicothoracic region kyphosis. The fact of a long (1 year 10 months) therapeutic pause from the decompressive intervention to the reconstructive surgery remains important, despite the patient’s retaining neurological deficit.
To systematize the existing data on the surgical treatment of spinal echinococcosis, a search was made for publications in PubMed, Google Scholar, and eLIBRARY using keywords and phrases “spinal echinococcus,” “spinal hydatid cyst disease,” and “spinal echinococcosis.” Search depth was from 2000 to 2021. The publications were included in the analysis according to the criteria as 1) patients operated on for spinal echinococcosis and 2) catamnesis followed up within 12 months and longer. Twelve publications were subjected to the final analysis, summarizing 104 cases of spinal echinococcosis surgical treatment. Five publications presented descriptions of individual clinical cases, and the rest were clinical series including from 4 to 36 cases.
The parameters of the surgical treatment approach, the incidence of complications, and recurrence of the underlying disease were analyzed in the selected works.
Among the published cases, the thoracic (53%), less frequently lumbar (20%), lumbosacral (9%), sacral (8.6%), and thoracolumbar (5%) regions were involved more often in the pathological process, as well as cervical and cervicothoracic regions in single cases.
The surgical intervention volume in most cases (43%) consisted of laminectomy followed by cystectomy, while in this group of patients, the highest incidence of relapses and spine instability in the long-term period was noted [9, 15, 16, 17, 18]. The combination of echinococcectomy with laminectomy approach with posterior instrumental fixation reduces the risk of spinal instability but is associated with a high percentage of surgical site infections (SSI) [3, 19].
The best results in terms of local recurrence control are demonstrated by 360° reconstruction, which includes both cystectomy and corpectomy of the vertebral bodies that are involved in the pathological process [5, 17, 22]. Data from selected publications are presented in Table 1.
Table 1. Results of spinal echinococcosis treatment according to publications
Authors, year | Number of patients | Localization | Surgical variant | Long-term period |
Schnepper G.D. et al., 2004 [15] | 1 | Th1 | Laminectomy + cystectomy (primary surgery) Transthoracic resection of Th5-6 | Recurrence for 4 years post-op (after primary surgery) |
Prabhakar M.M. et al., 2005 [16] | 4 | Th2, L1, L/S1 | Laminectomy + cystectomy: 4 | Recurrence: 50% Instability: 50% |
Herrera A. et al., 2005 [6] | 20 | C1, Th7, L7, S5 | Laminectomy + cystectomy: 4 Laminectomy + cystectomy + PIF: 10 Cystectomy: 6 | Recurrence: 60% Neurological deficit after surgery: 65% Mortality (due to the underlying disease): 50% |
Sengul G. et al., 2008 [17] | 5 | Th3, L1, S1 | Laminectomy + cystectomy: 1 Reconstruction by 360° in Th10-L2 | Recurrence: 60% Paraplegia: 40% |
Hamdan T.A., 2012 [18] | 9 | C1, Th5, L1, L/S1, S1 | Laminectomy + cystectomy: 6 Laminectomy + cystectomy + PIF: 3 | Recurrence: 89% SSI: 56% |
Kafaji A. et al., 2013 [9] | 36 | C1, Th23, L8, L/S4 | Laminectomy + cystectomy: 17 Cystectomy from anterior approach: 18 Cystectomy from combined approach: 1 | Recurrence: 89% |
Gennari A. et al., 2016 [19] | 1 | Th-1 | Hemilaminectomy + cystectomy | No recurrence for 2 years post-op |
Gezercan Y. et al., 2017 [5] | 8 | C/Th1, Th3, Th/L1, L1, L/S1, S1 | Laminectomy + cystectomy: 3 Reconstruction by 360° — 2 Cystectomy + ACSF*: 2 Laminectomy + cystectomy + PIF**: 1 | Recurrence: 63%*** |
Monge-Maillo B. et al., 2019 [3] | 17 | Th8, Th/L4, L1, L/S3, S1 | Laminectomy + cystectomy: 9 Laminectomy + cystectomy + PIF: 8 | SSI: 58% Instability: 6% |
Saul D. et al., 2020 [20] | 1 | Th1 | Reconstruction by 360° in Th6-10 (VCR**** Th8) | No recurrence for 1 year post-op |
Tian Y. et al., 2020 [21] | 1 | Th/L1 | Laminectomy + cystectomy + PIF: 1 | No recurrence for 1 year post-op |
Manenti G. et al., 2020 [22] | 1 | L1 | Reconstruction by 360° in L3-S1 (VCR L5) | Recurrence at year 14 post-op |
* anterior corpectomy and spinal fusion; ** posterior instrumental fixation; *** % of recurrence is indicated by month 12 after the primary surgery; **** vertebral column resection.
The authors note that corpectomy in some cases is technically unfeasible due to the intimate location of the cyst and the main vessels. In our case, the lower pole of the echinococcal cyst extended to the chest aperture and was in close connection with both the parietal pleura and v. brachiocephalica dextra. This problem was solved by a thoracic surgeon with experience in working on the main vessels, who was involved in the surgical team.
The predominant manifestation of the microbial process recurrence within 12 months after primary surgery should be noted [5, 6, 9] with a maximum long-term recurrence of 14 years [22] when analyzing the timing.
Conclusions
The spinal echinococcal lesion is an extremely rare disease, and its development during pregnancy has not been described in the literature. The anatomical location of the cyst should be assessed and, if necessary, related specialists should be involved in the surgery (thoracic and vascular surgeons) when planning a surgical intervention. Three-column reconstruction with the total removal of the destroyed bodies and the cystic component, both in our case and according to the literature, prevents the development of relapse and improves the quality of life of patients in the long-term period. Patients with spinal echinococcosis require long-term postoperative follow-up and supervision by a multidisciplinary team (infectious disease specialist and pulmonologist).
Informed consent
Written informed consent was obtained from the patient for publication of this case report and accompanying images.
Authors’ contribution:
Naumov D.G. — the concept of the study, the text, final editing, surgical interventions.
Vishnevsky A.A. — writting the text of the manuscript, literature, revien.
Tkach S.G. — collected and analyzed the patient’s clinical data, followed up the long-term results, and reviewed the literature.
Avetisyan A.O. — collected and analyzed the patient’s clinical data, reviewed the literature, and took part in the initial surgical intervention.
All authors read and approved the final version of the manuscript. All authors agree to be responsible for all aspects of the work to ensure proper consideration and resolution of all possible issues related to the correctness and significance of any part of the work.
Conflict of interest:
The authors declare no conflict of interest.
About the authors
Denis G. Naumov
St. Petersburg State Research Institute of Phthisiopulmonology; Saint-Petersburg State University
Author for correspondence.
Email: dgnaumov1@gmail.com
ORCID iD: 0000-0002-9892-6260
Cand. Sci. (Med.)
Russian Federation, St. Petersburg; St. PetersburgArkadiy A. Vishnevskiy
St. Petersburg State Research Institute of Phthisiopulmonology
Email: vichnevsky@mail.ru
ORCID iD: 0000-0002-9186-6461
Dr. Sci. (Med.)
Russian Federation, St. PetersburgSergey G. Tkach
St. Petersburg State University
Email: tkach2324sergei@yandex.ru
ORCID iD: 0000-0001-7135-7312
врач-ординатор
Russian Federation, St. PetersburgArmen O. Avetisyan
St. Petersburg State Research Institute of Phthisiopulmonology
Email: avetisyan.armen7@gmail.com
ORCID iD: 0000-0003-4590-2908
Cand. Sci. (Med.)
Russian Federation, St. PetersburgReferences
- Lupia T., Corcione S., Guerrera F., Costardi L., Ruffini E., Pinna S.M. et al. Pulmonary Echinococcosis or Lung Hydatidosis: A Narrative Review. Surg Infect (Larchmt). 2021;22(5):485-495. doi: 10.1089/sur.2020.197.
- Amni F., Hajizadeh M., Elmi T., Hatam Nahavandi K., Shafaei S., Javadi Mamaghani A. et al. Different manifestation of Echinococcus granulosus immunogenic antigens in the liver and lungs of intermediate host. Comp Immunol Microbiol Infect Dis. 2021;74:101573. doi: 10.1016/j.cimid.2020.101573.
- Monge-Maillo B., Samperio M.O., Pérez-Molina J.A., Norman F., Mejía C.R., Tojeiro S.Ch. et al. Osseous cystic echinococcosis: A case series study at a referral unit in Spain. PLoS Negl Trop Dis. 2019;13(2):e0007006. doi: 10.1371/journal.pntd.0007006.
- Agnihotri M., Goel N., Shenoy A., Rai S., Goel A. Hydatid disease of the spine: A rare case. J Craniovertebr Junction Spine. 2017;8(2):159-160. doi: 10.4103/jcvjs.JCVJS_16_17.
- Gezercan Y., Ökten A.I., Çavuş G., Açık V., Bilgin E. Spinal Hydatid Cyst Disease. World Neurosurg. 2017;108:407-417. doi: 10.1016/j.wneu.2017.09.015.
- Herrera A., Martínez A.A., Rodríguez J. Spinal hydatidosis. Spine (Phila Pa 1976). 2005;30(21):2439-2444. doi: 10.1097/01.brs.0000184688.68552.90.
- Faucher J.F., Descotes-Genon C., Hoen B., Godard J., Félix S., Aubry S. et al. Hints for control of infection in unique extrahepatic vertebral alveolar echinococcosis. Infection. 2017;45(3):365-368. doi: 10.1007/s15010-016-0974-z.
- Caglar Y.S., Ozgural O., Zaimoglu M., Kilinc C., Eroglu U., Dogan I. et al. Spinal Hydatid Cyst Disease: Challenging Surgery - an Institutional Experience. J Korean Neurosurg Soc. 2019;62(2):209-216. doi: 10.3340/jkns.2017.0245.
- Kafaji A., Al-Zain T., Lemcke J., Al-Zain F. Spinal manifestation of hydatid disease: a case series of 36 patients. World Neurosurg. 2013;80(5):620-626. doi: 10.1016/j.wneu.2013.06.013.
- Nourrisson C., Mathieu S., Beytout J., Cambon M., Poirier P. [Osteolytic bone lesion: vertebral alveolar echinococcosis in a patient with splenectomy]. Rev Med Interne. 2014;35(6):399-402. (In French). doi: 10.1016/j.revmed.2013.06.004.
- Abbassioun K., Amirjamshidi A. Diagnosis and management of hydatid cyst of the central nervous system: Part 2: Hydatid cysts of the skull, orbit, and spine. Neurosurg Q. 2001;11:10-16. Available from: https://journals.lww.com/neurosurgery-quarterly/Fulltext/2001/03000/Diagnosis_and_Management_of_Hydatid_Cyst_of_the.2.aspx.
- Velasco-Tirado V., Alonso-Sardón M., Lopez-Bernus A., Romero-Alegría Á., Burguillo F.J., Muro A. et al. Medical treatment of cystic echinococcosis: systematic review and meta-analysis. BMC Infect Dis. 2018;18(1):306. doi: 10.1186/s12879-018-3201-y.
- Корнеев А.Г., Тришин М.В., Соловых В.В., Кривуля Ю.С., Боженова И.В. Эхинококкоз в Оренбургской области: эпидемиологические, иммунологические и таксономические аспекты. Актуальная инфектология. 2014;4(5):46-49.
- Korneev A.G., Trishin M.V., Solovykh V.V., Krivulya Yu.S., Bozhenova I.V. [Echinococcosis in the Orenburg region: epidemiological, immunological and taxonomic aspects]. Aktual’naya infektologiya [Actual Infectology]. 2014;4(5):46-49. (In Russian).
- Мусаев Г.Х., Шарипов Р.Х., Фатьянова А.С., Левкин В.В., Ищенко А.И., Зуев В.М. Эхинококкоз и беременность: подходы к тактике лечения. Хирургия. Журнал им. Н.И. Пирогова. 2019;5:38-41. doi: 10.17116/hirurgia201905138.
- Musaev G.Kh., Sharipov R.Kh., Fatyanova A.S., Levkin V.V., Ishchenko A.I., Zuev V.M. [Echinococcosis and pregnancy: approaches to treatment tactics]. Khirurgiya. Zhurnal im. N.I. Pirogova [Pirogov Russian Journal of Surgery]. 2019.5:38-41. (In Russian). doi: 10.17116/hirurgia201905138.
- Schnepper G.D., Johnson W.D. Recurrent spinal hydatidosis in North America. Case report and review of the literature. Neurosurg Focus. 2004;17(6):E8. doi: 10.3171/foc.2004.17.6.8.
- Prabhakar M.M., Acharya A.J., Modi D.R., Jadav B. Spinal hydatid disease: a case series. J Spinal Cord Med. 2005;28:426-431. doi: 10.1080/10790268.2005.11753843.
- Sengul G., Kadioglu H.H., Kayaoglu C.R., Aktas S., Akar A., Aydin I.H. Treatment of spinal hydatid disease: a single center experience. J Clin Neurosci. 2008;15(5):507-510. doi: 10.1016/j.jocn.2007.03.015.
- Hamdan T.A. Hydatid disease of the spine: a report on nine patients. Int Orthop. 2012;36(2):427-432. doi: 10.1007/s00264-011-1480-7.
- Gennari A., Almairac F., Litrico S., Albert C., Marty P., Paquis P. Spinal cord compression due to a primary vertebral hydatid disease: A rare case report in metropolitan France and a literature review. Neurochirurgie. 2016;62(4):226-228. doi: 10.1016/j.neuchi.2016.03.001.
- Saul D., Seitz M.T., Weiser L., Oberthür S., Roch J., Bremmer F. et al. Of Cestodes and Men: Surgical Treatment of a Spinal Hydatid Cyst. J Neurol Surg A Cent Eur Neurosurg. 2020;81(1):86-90. doi: 10.1055/s-0039-1693707.
- Tian Y., Jiang M., Shi X., Hao Y., Jiang L. Case Report: Huge Dumbbell-Shaped Primary Hydatid Cyst Across the Intervertebral Foramen. Front Neurol. 2020;11:592316. doi: 10.3389/fneur.2020.592316.
- Manenti G., Censi M., Pizzicannella G., Pucci N., Pitocchi F., Calcagni A. et al. Vertebral hydatid cyst infection. A case report. Radiol Case Rep. 2020;15(5):523-527. doi: 10.1016/j.radcr.2020.01.029.
Supplementary files










