Total Talar Replacement with Ceramic Implant in Combination with Tibial Component of Ankle Endoprosthesis: A Case Report
- Authors: Kuznetsov V.V.1, Gudi S.M.1, Skuratova L.K.1, Pakhomov I.A.1
-
Affiliations:
- Tsivyan Novosibirsk Research Institute of Traumatology and Orthopaedics
- Issue: Vol 27, No 4 (2021)
- Pages: 111-119
- Section: Case Reports
- Submitted: 02.07.2021
- Accepted: 13.09.2021
- Published: 29.12.2021
- URL: https://journal.rniito.org/jour/article/view/1638
- DOI: https://doi.org/10.21823/2311-2905-1638
- ID: 1638
Cite item
Abstract
Background: Surgical treatment of patients with talus posttraumatic aseptic necrosis and its consequences usually includes tibiotalocalcaneal arthrodesis with various foot joints according to additional indications. This type of surgical treatment has number of significant disadvantages: traumatic surgical technique, permanent loss of movement in functionally significant joints, high risk of non-union, high frequency of residual deformities, the need for long periods of limb immobilization. The question arises: how to overcome the existing disadvantages and improve the results of talus posttraumatic aseptic necrosis treatment? A potential solution to this problem is the total talus endoprosthetics.
Clinical case: A 64-year-old patient came to the clinic complaining of pain and deformity of the right foot and ankle area. After the examination, talus posttraumatic aseptic necrosis was diagnosed. The patient underwent ankle joint arthroplasty using total talus ceramic endoprosthesis in combination with the tibial component of the ankle joint endoprosthesis, a course of rehabilitation treatment was performed.
Results: The VAS and AOFAS scales indicators showed a significant improvement both in the pain decrease (from 75 mm before surgery to 10 mm after), and in the functional state according to AOFAS by 2.2 times (from 36 to 80 points 20 months after surgery). By the last follow-up the patient could take more than 8000 steps a day.
Conclusions^ Considering the good clinical result achieved, the ankle joint arthroplasty using total talus ceramic endoprosthesis in combination with the tibial component of the ankle joint endoprosthesis can be considered a promising method of treatment of this severe pathology.
Full Text
Background
Posttraumatic avascular necrosis (AVN) of the talus is a severe disabling disease that leads to the formation of talus cysts, varus or valgus deformity of the foot, disfiguring osteoarthritis of the ankle, subtalar and Chopart joints, rapid disability of patients.
The diagnosis of posttraumatic AVN of the talus in the early stages is difficult, patients seek help in the later stages of the disease when conservative treatment is ineffective. To date, surgical treatment is generally accepted.
In historical retrospect, astragalectomy was considered the main method of treatment of posttraumatic AVN of the talus, recommended in cases of the most severe lesions of the talus, such as fragmentation, collapse, resorption, inability to preserve the joints surrounding the talus bone [1]. Of course, the functional outcomes of this surgery do not correspond to the current level of expectations of patients and the requirements of orthopedic surgeons for the outcomes of surgical treatment.
Nowadays, surgical treatment of patients with posttraumatic AVN of the talus and its consequences is usually represented by tibio-talo-calcaneal (TTC) arthrodesis, which is supplemented by various reconstructive interventions for additional indications. This type of surgical treatment, despite its advantages, has a number of significant disadvantages, such as high traumatization, irreversible loss of movement in functionally significant joints, high risk of non-union, high frequency of residual deformities, the need for long periods of limb immobilization [2].
The realities of today are the progress of medical and diagnostic technologies, increased technical literacy of both doctors and patients. These factors are the reasons why they have high requirements for the preservation and restoration of lost limb functions in the shortest possible time.
The question arises: how to overcome the existing shortcomings of traditional methods and improve the results of treatment of patients with posttraumatic AVN of the talus? A potential solution to this problem is total talus endoprosthetics. According to the literature, implantation of an individual total endoprosthesis of the talus has good long-term results [3, 4, 5, 6, 7]. The most important success factors are the achievement of congruence of articular surfaces, joint stability and preservation of the talus and its surrounding joints biomechanics.
Therefore, our goal was to create an individual ceramic talus implant and use it in combination with a tibial component to place the implant in an anatomical position and create a movable link with the tibia. In the literature, mentions of combined total talus endoprosthetics are quite rare and are mainly experimental in nature [8].
In the presented clinical example, we describe our own experience of the first in domestic clinical practice application of an individual ceramic endoprosthesis of the talus ] in combination with the tibial component of the ankle joint endoprosthesis with the formation of unfixed joints of the posterior part of the foot based on a pair of friction "ceramic-bone" in the talo-navicular, subtalar joints and "ceramic-polyethylene" in the tibio-talar joint.
Clinical case description
Anamnesis
A 64-year-old woman with complaints of pain and deformity of the posterior part of the right foot, lameness applied to the orthopedics clinic of the NIITO named after Ya.L. Tsivyan. In 2008, for a Maisonneuve fracture, the patient received conservative treatment with poor results. In this regard, in 2009, she underwent an attempt of arthrodesis of the posterior part of the foot in an external fixation device, which was unsuccessful. After 5 years, there was a sharp deterioration in the condition, increased swelling, pain, rapid progression of foot deformity (Fig. 1).
Fig. 1. Lower extremities before surgery
Preoperative examination
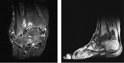
Radiological examination methods (radiography, MRI, MSCT of the ankle joint) showed undoubted signs of posttraumatic AVN of the talus and its complications in the form of collapse of the talus, multiple cysts of the tibia, talus, calcaneus, etc. (Fig. 2, 3, 4).
Fig. 2. X-rays of the ankle joints: a — AP X-ray: posttraumatic degenerative distal tibial diastasis, suspicion of gross valgus deformity of the ankle area, 3 stage of posttraumatic deforming osteoarthritis of the ankle joint; b — X-ray in lateral projection: collapse of the talus body, arch of the foot, 3 stage of deforming osteoarthritis of the ankle, talonavicular joint, ankylosis of the subtalar joint
Fig. 3. MSCT of the ankle joints. Right-sided 3 stage osteoarthritis of the ankle joint. The right ankle joint is deformed. Articular surfaces are clear, uneven, subchondral osteoarthritis of articular surfaces with cyst-like rearrangement. The articular gap is threadlike narrowed. Outcome of posttraumatic aseptic necrosis of the right talus
Fig. 4. MRI of the ankle joint. Pronounced swelling of the spongy substance of the talus body, multiple bone cysts of the posterior part of the foot, pronounced paraarticular inflammatory reaction of tissues
With an in-depth assessment of the condition of the ankle joint, gross disfiguring osteoarthritis of the tibial pylon was noted, completely excluding the support of the talus implant on it. It was decided to use the tibial component of the ankle joint endoprosthesis to restore the support of the tibial pylon.
Based on clinical findings and data from instrumental examination methods, the diagnosis was established: posttraumatic AVN of the talus; collapse of the talus block; deforming osteoarthritis of the tibio-talar, talo-navicular joints of 3 stage; ankylosis of the subtalar joint; fixed valgus deformity of the right foot with anterior abduction; posttraumatic degenerative distal tibiofibular diastasis.
Preoperative planning
Based on the diagnosis, indications for surgical treatment are formulated — endoprosthetics of the talus and the tibial pylon, fixation of distal tibiofibular syndesmosis.
The implementation of the preoperative plan required the manufacture of an individual endoprosthesis of the talus. For this purpose, CT of the affected and healthy talus bones was performed, the results of which were transferred to the scientific and production base, where they were used to manufacture a ceramic endoprosthesis based on the digital construction of a 3D mirror model of a healthy talus.
The finished implant in the production department was subjected to mechanical strength tests, which showed satisfactory characteristics of its strength. Thus, with the help of digital technologies, a 3D model was created, which served as a virtual template for the manufacture of an individual ceramic endoprosthesis of the talus.
In the pre- and postoperative periods, the level of pain syndrome and functional state was assessed according to the VAS and AOFAS scales (scale of the American Orthopedic Society of the Foot and Ankle Joint) [9, 10, 11].
Surgical technique
After premedication in a clean operating room under spinal anesthesia, in the position of the patient on his back with a roller under the affected leg, anterior approach to the ankle joint was performed, followed by capsulotomy of the ankle joint. The clinical probe demonstrated the instability of distal tibiofibular syndesmosis, which was an indication for the removal of interpolating tissues, reduction of the fibula into a tibiofibular notch and fixation with a syndesmotic bolt. Reconstruction of the stretched anterior tibiofibular and anterior talofibular ligaments with local tissues was performed. Intraoperatively, bone ankylosis was noted in the subtalar joint. The affected talus was completely removed by fragmentation. The remains of the articular gap of the subtalar joint filled with fragments of articular cartilage, bone and connective tissue served as a guideline for the removal of the talus. Pathologically altered tissues together with hypertrophied synovial membrane were sent for histological examination, which showed irreversible degenerative changes in articular surfaces (Fig. 5). The attempt to implant the total talus endoprosthetics failed due to the gross deformation of the tibial pylon.
Fig. 5. The necrosis of the talus block: destruction of the basophilic line, introduction of the necrosis process into cartilage tissue. Stained with hematoxylin and eosin. Mag. ×200
Then, according to the preoperative plan, the tibial component of the ankle endoprosthesis was implanted. The dimensions of the tibial component and the liner were calculated in advance and corresponded to intraoperative measurements. After implanting the tibial component and the polyethylene liner, a ceramic individual endoprosthesis of the talus \ was implanted without technical difficulties. After the implant was implanted, correction of deformation, tension of the ligaments, restoration of almost full range of movements in the ankle joint were noted (Fig. 6). The main stage of surgery was completed, the wound was sutured in layers. Drainage of the wound with active drainage for one day, aseptic dressing was applied, temporary immobilization with a deep back plaster splint.
Fig. 6. Intraoperative X-rays of the ankle joint in the AP and lateral planes: the presence of a talus implant, a tibial component of the ankle joint endoprosthesis, syndesmotic screw is visualized; restoration of the ankle joint and foot contours
Postoperative period
In the postoperative period, bandages were performed. The drainage was removed the next day. Immobilization was carried out with a removable rigid orthosis. The patient was trained to walk with crutches without support on the operated lower limb for a period of 4 weeks, medication was carried out. Immobilization and anticoagulant therapy were discontinued as planned. After 4 weeks, the patient began loading on the operated limb using crutches and gradually abandoning them for a month. After the end of immobilization, a measured load on the leg is allowed, massage, physiotherapy, kinesiotherapy, physical therapy are carried out.
Results
VAS indicators showed a significant improvement in the form of a 7.5-fold reduction in pain: from 75 mm before surgery to 10 mm, as well as an improvement in the functional state of AOFAS by 2.2 times: from 36 to 80 points 20 months after surgery. By the last control visit, the patient could take more than 8000 steps a day.
The edema maintained of the operated lower limb for 3 months after surgery, significantly decreasing overnight. The control radiography showed no signs of instability, maintaining a good anatomical position of the talus implant and the tibial component of the ankle endoprosthesis. The total volume of passive and active movements in the ankle joint at the time of the last control examination is 28°, of which the back flexion is 12° plantar flexion is 16°, which can be characterized as an acceptable result compared to the normal range of motion in the joint (Fig. 7, 8).
Fig. 7. Control X-rays of the ankle joint 20 months after surgery: a — AP plane, good position of hardware is noted, preservation of the ankle contours; b, c — functional X-rays in the lateral plane of the plantar and dorsal flexion: good position of the endoprosthesis components is noted, total ROM is 28°
Fig. 8. Correction of deformation, an increase in the arch of the foot
Discussion
As the clinical material accumulated, we became convinced of the need to switch from TTC arthrodesis to more modern gentle methods of treatment. The analysis of modern literature has shown the preference for endoprosthetics of the talus [12]. The method has been known since the middle of the XX century, but the results of endoprosthetics of the talus at that time were controversial due to the lack of specialized tools, technical shortcomings of implants, inconsistency of indications for surgical treatment, etc. However, over time, the endoprostheses of the talus have been improved, and today this direction is characterized by active development [13, 14]. Of course, TTC arthrodesis is a radical surgery, the effectiveness of which has been confirmed by many years of surgical practice all over the world, especially in young and active patients. Nevertheless, there is no need to once again list the numerous and insurmountable disadvantages of TTC arthrodesis.
The degree and prevalence of damage to the body of the talus and the ankle joint often do not allow performing endoprosthetics of the ankle joint. Fragmentation, the presence of huge cysts, body collapse and other lesions are the causes of this phenomenon [15]. The viability of such a large array of bone tissue as the body of the talus is doubtful. It should be noted that the extremely low potential for fusion in bonded bones even in conditions of stable fixation and when using massive bone autografts, which is an independent problem in orthopedics and traumatology [16]. All of the above poses a question to the professional community: how to reduce the traumatic nature of the surgery and improve its results? The answer is given by the analysis of publications — total talus endoprosthetics is becoming increasingly popular.
Interesting fact: in the early 50-60s of the XX century this technology was developed in Japan to facilitate the tea ceremony in patients with severe cruzarthrosis. At the same time, its effectiveness turned out to be so high that nowadays the surgery is carried out both in the entire Asia-Pacific region and in economically developed countries of the world [17]. The questions were not resolved: what material should the implant be made of, what qualities should it have, what position in relation to the joints surrounding the talus. The evolution of the endoprosthesis of the talus has gone a difficult way. Titanium-vanadium and cobalt-chromium alloys, ceramics, etc. were offered as materials. Various designs of the talus bone were proposed, namely endoprostheses of the block with the preservation of the head, total endoprostheses, including the navicular bone [18]. To date, the optimal design is considered to be a total endoprosthesis of the talus, while the discussion about materials continues [19].
Disputes about the method of interaction of the endoprosthesis of the talus with the talo-navicular and subtalar articular surfaces do not subside. Various technologies of screw fixation, monolithic and adaptable stems for fixing these joints, different methods of processing contact surfaces (polished, unpolished) were proposed. Nowadays, the creation of a congruent surface with the listed joints and their precision polishing create compensation for the interaction at the "endoprosthesis of the talus– cartilage" border [20]. This is confirmed by our observation.
Conclusions
Despite a single observation, the result of endoprosthetics of the talus can be considered encouraging. With further improvement, this method can replace TTC arthrodesis. When planning endoprosthetics of the talus, it is necessary to assess the degree of lesion to the tibial pylon in order to establish indications for its endoprosthetics. The use of endoprosthesis of the tibial pylon allows implanting the endoprosthesis of the talus in an anatomical position, creating conditions for the favorable functioning of the talus implant, which will improve the results of treatment of patients with posttraumatic AVN of the talus.
Informed consent
Written informed consent was obtained from the patient for publication of this case report and accompanying images.
Authors’ contribution:
Kuznetsov V.V. — development of the concept and design of an individual implant, surgical treatment of the patient, interpretation and analysis of the data obtained, editing.
Goody S.M. — collection and processing of material.
Skuratova L.K. — collection and processing of material.
Pakhomov I.A. — development of the concept and design of an individual implant, surgical treatment of the patient, interpretation and analysis of the data obtained, editing.
All authors have read and approved the final version of the manuscript of the article. All authors agree to be responsible for all aspects of the study in order to ensure proper consideration and resolution of all possible issues related to the correctness and reliability of any part of the study.
Conflict of interest:
The authors declare that there is no conflict of interest.
About the authors
Vasilii V. Kuznetsov
Tsivyan Novosibirsk Research Institute of Traumatology and Orthopaedics
Author for correspondence.
Email: vkuznecovniito@gmail.com
ORCID iD: 0000-0001-6287-8132
Cand. Sci. (Med.)
Russian Federation, NovosibirskSergei M. Gudi
Tsivyan Novosibirsk Research Institute of Traumatology and Orthopaedics
Email: smgudinsk@gmail.com
ORCID iD: 0000-0003-1851-5566
Cand. Sci. (Med.)
Russian Federation, NovosibirskLiliya K. Skuratova
Tsivyan Novosibirsk Research Institute of Traumatology and Orthopaedics
Email: lilipetrov@bk.ru
ORCID iD: 0000-0003-3736-3270
врач травматолог-ортопед
Russian Federation, NovosibirskIgor A. Pakhomov
Tsivyan Novosibirsk Research Institute of Traumatology and Orthopaedics
Email: pahomovigor@inbox.ru
ORCID iD: 0000-0003-1501-0677
Dr. Sci. (Med.)
Russian Federation, NovosibirskReferences
- Lampert C. [Ankle joint prosthesis for bone defects]. Orthopade. 2011;40(11):978-983. (In German). doi: 10.1007/s00132-011-1826-2.
- Cohen M.M., Kazak M. Tibiocalcaneal Arthrodesis With a Porous Tantalum Spacer and Locked Intramedullary Nail for Post-Traumatic Global Avascular Necrosis of the Talus. J Foot Ankle Surg. 2015;54(6):1172-1177. doi: 10.1053/j.jfas.2015.01.009.
- Magnan B., Facci E., Bartolozzi P. Traumatic loss of the talus treated with a talar body prosthesis and total ankle arthroplasty. A case report. J Bone Joint Surg Am. 2004;86(8):1778-1782. doi: 10.2106/00004623-200408000-00024.
- Gadkari K.P., Anderson J.G., Bohay D.R., Maskill J.D., Padley M.A., Behrend L.A. An Eleven-Year Follow-up of a Custom Talar Prosthesis After Open Talar Extrusion in an Adolescent Patient: A Case Report. JBJS Case Connect. 2013;3(4):e118. doi: 10.2106/JBJS.CC.L.00331.
- Harnroongroj T., Harnroongroj T. The Talar Body Prosthesis: Results at Ten to Thirty-six Years of Follow-up. J Bone Joint Surg Am. 2014;96(14):1211-1218. doi: 10.2106/JBJS.M.00377.
- Harnroongroj T., Vanadurongwan V. The talar body prosthesis. J Bone Joint Surg Am. 1997;79(9):1313-1322. doi: 10.2106/00004623-199709000-00005.
- Taniguchi A., Takakura Y., Tanaka Y., Kurokawa H., Tomiwa K., Matsuda T. et al. An Alumina Ceramic Total Talar Prosthesis for Osteonecrosis of the Talus. J Bone Joint Surg Am. 2015;97(16):1348-1353. doi: 10.2106/JBJS.N.01272.
- Regauer M., Lange M., Soldan K., Peyerl S., Baumbach S., Böcker W. et al. Development of an internally braced prosthesis for total talus replacement. World J Orthop. 2017;8(3):221-228. doi: 10.5312/wjo.v8.i3.221.
- Bijur P.E., Silver W., Gallagher E.J. Reliability of the visual analog scale for measurement of acute pain. Acad Emerg Med. 2001;8(12):1153-1157. doi: 10.1111/j.1553-2712.2001.tb01132.x.
- Kitaoka H.B., Alexander I.J., Adelaar R.S., Nunley J.A., Myerson M.S., Sanders M. Clinical rating systems for the ankle-hindfoot, midfoot, hallux, and lesser toes. Foot Ankle Int. 1994;15(7):349-353. doi: 10.1177/107110079401500701.
- Ibrahim T., Beiri A., Azzabi M., Best A.J., Taylor G.J., Menon D.K. Reliability and validity of the subjective component of the American Orthopaedic Foot and Ankle Society clinical rating scales. J Foot Ankle Surg. 2007;46(2):65-74. doi: 10.1053/j.jfas.2006.12.002.
- Rodrigues-Pinto R., Muras J., Martín Oliva X., Amado P. Total ankle replacement in patients under the age of 50. Should the indications be revised? Foot Ankle Surg. 2013;19(4):229-233. doi: 10.1016/j.fas.2013.05.004.
- Taniguchi A., Takakura Y., Sugimoto K., Hayashi K., Ouchi K., Kumai T.et al. The use of a ceramic talar body prosthesis in patients with aseptic necrosis of the talus. J Bone Joint Surg Br. 2012;94(11):1529-1533. doi: 10.1302/0301-620X.94B11.29543.
- Morash J., Walton D.M., Glazebrook M. Ankle Arthrodesis Versus Total Ankle Arthroplasty. Foot Ankle Clin. 2017;22(2):251-266. doi: 10.1016/j.fcl.2017.01.013.
- Giannini S., Cadossi M., Mazzotti A., Ramponi L., Belvedere C., Leardini A. Custom-Made Total Talonavicular Replacement in a Professional Rock Climber. J Foot Ankle Surg. 2016;55(6):1271-1275. doi: 10.1053/j.jfas.2015.04.012.
- Gross C.E., Sershon R.A., Frank J.M., Easley M.E., Holmes G.B. Jr. Treatment of Osteonecrosis of the Talus. JBJS Rev. 2016;4(7):e2. doi: 10.2106/JBJS.RVW.15.00087.
- Shnol H., LaPorta G.A. 3D Printed Total Talar Replacement: A Promising Treatment Option for Advanced Arthritis, Avascular Osteonecrosis, and Osteomyelitis of the Ankle. Clin Podiatr Med Surg. 2018;35(4):403-422. doi: 10.1016/j.cpm.2018.06.002.
- Tsukamoto S., Tanaka Y., Maegawa N., Shinohara Y., Taniguchi A., Kumai T. et al. Total talar replacement following collapse of the talar body as a complication of total ankle arthroplasty: a case report. J Bone Joint Surg Am. 2010;92(11):2115-2120. doi: 10.2106/JBJS.I.01005.
- Stevens B.W., Dolan C.M., Anderson J.G., Bukrey C.D. Custom talar prosthesis after open talar extrusion in a pediatric patient. Foot Ankle Int. 2007;28(8):933-938. doi: 10.3113/FAI.2007.0933.
- Takakura Y., Tanaka Y., Kumai T., Sugimoto K., Ohgushi H. Ankle arthroplasty using three generations of metal and ceramic prostheses. Clin Orthop Relat Res. 2004;(424):130-136. doi: 10.1097/01.blo.0000131246.79993.ec.
Supplementary files












