Instrumental Diagnosis and Preoperative Planning of Hip Arthroscopy in Femoroacetabular Impingement Syndrome: Lecture
- Authors: Bogopolskiy O.E.1
-
Affiliations:
- Vreden National Medical Research Center of Traumatology and Orthopedics
- Issue: Vol 27, No 4 (2021)
- Pages: 155-168
- Section: Lectures
- Submitted: 18.06.2021
- Accepted: 16.11.2021
- Published: 29.12.2021
- URL: https://journal.rniito.org/jour/article/view/1636
- DOI: https://doi.org/10.21823/2311-2905-1636
- ID: 1636
Cite item
Full Text
Abstract
Femoroacetabular impingement syndrome (FAI) is essentially a mechanical conflict that occurs when the acetabulum edge of the pelvic bone interacts with femur head and neck with clinical symptoms. In a basis of this conflict, as a rule, is a single or bilateral anatomical bone defect that causes an irregular shape of the hip joint with congenital or acquired etiology. Radiography, performed in a direct projection and in 45° Dunn position with external rotation of 40°, is traditionally considered as basic tool for the radiological diagnosis of hip joint pathology. It allows to assess the anatomical and morphological structure of joint surfaces and their relationship. Detection of severe hip deformations may require computed tomography (CT). Magnetic resonance imaging (MRI) or magnetic resonance arthrography (MRA) is used to assess the condition of soft tissue structures of hip joint, its damage is often found in patients with FAI. The modern method of treating patients with FAI is hip arthroscopy, the undeniable advantage of which is low traumatic nature of the operation, low level of intraoperative complications and short postoperative rehabilitation period. For its successful implementation, it is necessary to take into account the complexity of performing hip arthroscopy, its duration, the necessity for good technical equipment and a high skill level of the operating surgeon. However, this operation has a number of limitations, which must be taken into account when selecting patients.
Full Text
Введение
Сложность выполнения артроскопии тазобедренного сустава (ТБС), в том числе при феморо-ацетабулярном импинджменте (ФАИ), ее длительность и потребность в высокой технической оснащенности в значительной степени окупается ее малой травматичностью, низким уровнем интраоперационных осложнений и быстрой реабилитацией пациента в послеоперационном периоде.
В середине ХХ в. на основании исследований трупных суставов считалось, что выполнение артроскопических операций на ТБС не перспективно из-за невозможности полноценного осмотра полости вертлужной впадины и головки бедренной кости [1]. Дальнейшее развитие знаний об анатомии, биомеханике и патологии ТБС, а также развитие техники и стремление минимизировать операционную травму привели к значительному распространению артроскопии ТБС и расширению показаний к ее применению [2, 3, 4, 5]. Однако при выполнении артроскопии ТБС имеются ограничения при коррекции внутрисуставной патологии [6]. Расширение возможностей данной операции может быть достигнуто за счет применения медиальных доступов, однако это сопряжено с высоким риском повреждения сосудов и нервов [7]. Выросло количество операций, проводимых не только молодым пациентам, но и лицам старше 60 лет [4, 5]. Особенно возросла частота и роль артроскопии в лечении повреждений суставной губы и коррекции ФАИ [2, 8].
Существенный рост числа операций закономерно вызвал увеличение числа пациентов, которые по разным причинам оказались не довольны достигнутым результатом лечения, что потребовало повторных оперативных вмешательств. Частота повторных операций после артроскопии ТБС, по данным различных авторов, варьирует в широком диапазоне от 1,3% до 50,0% и более [9, 10, 11, 12, 13]. Наиболее частой причиной ревизионных операций является сохраняющийся импинджмент между головкой/шейкой бедренной кости и вертлужной впадиной [14].
Этиология и патогенез
В настоящее время ФАИ рассматривается как патологический процесс, обусловленный хронической механической травматизацией суставной губы, хряща и края вертлужной впадины головкой или шейкой бедренной кости в результате неправильного их морфологического строения, проявляющийся болевым синдромом и зачастую ограничением движений [15, 16]. Необходимо подчеркнуть актуальность именно клинического проявления заболевания, так как наличие деформации головки бедренной кости или вертлужной впадины без клинического проявления не может быть отнесено к заболеванию, а может считаться лишь предрасполагающими факторами [15].
Асферичность суставных поверхностей может иметь место как со стороны внутрисуставного отдела бедренной кости в виде шеечно-головочных деформаций, так и со стороны вертлужной впадины. Однако чаще наблюдается смешанный тип деформаций [17, 18].
Деформация внутрисуставного отдела бедренной кости, приводящая к импинджменту и названная cam-деформацией (от англ. cam — кулак), является чаще всего следствием перенесенных в детском возрасте заболеваний, таких как эпифизиолиз головки бедренной кости, болезнь Легга – Кельве – Пертеса, или может быть следствием полученных травм, развившихся посттравматических деформаций или изменений в результате постоянных избыточных нагрузок [19, 20].
Нарушения строения вертлужной впадины носят в подавляющем большинстве врожденный характер, проявляющийся в виде недопокрытия или, наоборот, избыточного покрытия головки бедренной кости, а также выступающей передней стенки вертлужной впадины [21]. При обследовании пациента с ФАИ, кроме рутинного сбора анамнеза и осмотра пациента с проведением мануальных тестов, выполняется лучевая диагностика для выявления и оценки имеющихся патологических изменений в тазобедренном суставе.
Лучевая диагностика
Рентгенография
Традиционно диагностика патологии области ТБС начинается с рентгенографии, которая позволяет оценить морфологическое строение образующих сустав поверхностей и их взаимоотношение. Для выявления патологии различных отделов ТБС были разработаны и подробно описаны многочисленные укладки и правила их выполнения как в отечественной [22, 23, 24], так и в зарубежной литературе [25, 26, 27, 28, 29].
Рентгенологическое обследование пациента с ФАИ начинается с выполнения обзорного снимка таза в прямой проекции в положении стоя с внутренней ротацией обеих стоп на 15°. При выполнении данного исследования важно не допускать ротации таза [24, 25, 26, 27]. При правильно выполненной рентгенографии таза средняя линия крестца и лонного сочленения находятся на одной линии, а «фигуры слезы» и запирательные отверстия симметричны. Выполнение рентгенограммы в положении стоя позволяет рассчитать точное значение высоты суставной щели, оценить соответствие центра ротации головки бедренной кости и вертлужной впадины, положение переднего и заднего краев вертлужной впадины в зависимости от индивидуальных пояснично-тазовых взаимоотношений [30].
Высота суставной щели является косвенным показателем износа суставного хряща и должна быть не менее 2 мм. При меньшей высоте суставной щели резко ухудшается прогноз исхода оперативного лечения [12], особенно если визуализируется неравномерное сужение суставной щели, чаще всего в латеральном отделе [31].
Рентгенологическая диагностика патологии вертлужной впадины. Наиболее важными критериями оценки анатомии вертлужной впадины являются центрально-краевой угол, предложенный Wiberg в 1939 г. и модифицированный S. Ogata в 1990 г., передний центрально-краевой угол (угол Lequesne) и угол наклона крыши вертлужной впадины (угол Tönnis).
Для определения истинного значения латерального покрытия головки бедренной кости рассчитывается латеральный центрально-краевой угол Wiberg (LCEA) в модификации S. Ogata [32]. Для построения этого угла на обзорной рентгенограмме таза проводят прямую линию, проходящую через основания «фигур слезы». Вторую линию проводят через центр головки бедренной кости, перпендикулярно первой линии. Третья линия проходит от центра головки по латеральному краю склерозированной части суставной поверхности. Угол Wiberg, образованный второй и третьей линиями — острый угол, который в норме составляет от 25° до 35° (рис. 1). Избыточный угол более 35° свидетельствует о pincer-деформации вертлужной впадины и может быть причиной импинджмента. Вариантом строения вертлужной впадины с избыточным покрытием являются глубокая вертлужная впадина и протрузия. Данный тип строения вертлужной впадины не является противопоказанием, но не благоприятен для выполнения артроскопии, с точки зрения технических сложностей и исхода [33]. Промежуточное значение от 20° до 25° считается пограничной дисплазией, а величина менее 20° — уже показатель дисплазии.
Рис. 1. Определение латерального центрально-краевого угла (LCEA) (показан левый тазобедренный сустав):
a — определение угла Wiberg в модификации Ogata;
b — варианты строения вертлужной впадины в зависимости от угла LCEA
Fig. 1. Determination of the lateral center-edge angle (LCEA) (left hip joint):
a — determination of Wiberg angle in Ogata modification;
b — variants of acetabulum structure depending on the LCEA
Многочисленные исследования показали хорошие результаты артроскопии у пациентов с ФАИ на фоне пограничной дисплазии вертлужной впадины при условии шва суставной губы и восстановления целостности капсулы сустава [34]. Но стоит помнить, что каждый миллиметр резекции края вертлужной впадины при восстановлении суставной губы уменьшает величину угла LCEA примерно на 1° [35]. При выявлении у пациента истинной дисплазии стоит отдавать предпочтение выполнению периацетабулярной остеотомии, возможно, с одновременной артроскопической коррекцией внутрисуставных повреждений и деформаций [36].
Выполнение рентгенограммы в прямой проекции в положении пациента стоя позволяет выявить нарушения фронтального баланса таза и при различии в длине нижних конечностей может выявить перегрузку латерального отдела сустава даже при нормальной величине угла Wiberg.
Важным показателем правильности анатомического строения вертлужной впадины является угол Tönnis. Для определения этого угла на обзорной рентгенограмме таза, выполненной в положении стоя, проводят прямую линию, проходящую через основания «фигур слезы». Вторую линию проводят через медиальный край склерозированной части крыши вертлужной впадины параллельно первой линии. Третья линия проходит от медиального края склерозированной части крыши вертлужной впадины до латерального края. Острый угол между второй и третьей линиями и есть угол наклона крыши вертлужной впадины (рис. 2 а). В норме он должен составлять от 0° до 10°. Угол Tönnis меньше 0° свидетельствует о деформации типа Pincer вертлужной впадины или же о глубокой вертлужной впадине или протрузии. Угол Tönnis больше 10° является одним из признаков дисплазии ТБС (рис. 2 b). В этом случае стоит обратить внимание на совпадении центров ротации головки бедренной кости и вертлужной впадины. Не стоит прибегать к артроскопии ТБС при выявлении несоответствия друг другу центров ротации, т.к. в данной ситуации это свидетельствует о подвывихе и нестабильности сустава и/или о значительном локальном износе хряща.
Рис. 2. Определение угла Tönnis (а); варианты строения вертлужной впадины в зависимости от угла Tönnis (b)
Fig. 2. Determination of Tönnis angle (a); variants of the acetabulum structure depending on Tönnis angle (b)
Важным диагностическим моментом является оценка соотношения переднего и заднего краев вертлужной впадины. В норме на рентгенограмме таза передний и задний края вертлужной впадины не пересекаются, а задний край проходит через центр ротации головки бедренной кости. Одним из вариантов строения является пересечение передней и задней стенками с правильной ориентацией задней стенки, названный признаком перекреста (cross-over sign). В этой ситуации имеет место выступающий передне-верхний край вертлужной впадины, снижающий объем сгибания и внутренней ротации в суставе. Однако чаще при наличии пересечения передней и задней стенок встречается ретроверсия вертлужной впадины. При этом визуализируется знак перекреста, а задняя стенка вертлужной впадины расположена медиальнее центра ротации головки бедренной кости [37, 38]. Нередко при ретроверсии вертлужной впадины можно увидеть выступающую седалищную ость (рис. 3) [39, 40].
Рис. 3. Двухсторонняя ретроверсия вертлужной впадины:
а — индекс ретроверсии = А/(А+В) × 100;
b — схематичное изображение ретроверсии вертлужной впадины.
C — седалищная ость; D – передний край вертлужной впадины; E — центр ротации, пунктиром обозначена задняя стенка вертлужной впадины, проходящая медиальнее центра ротации головки
Fig. 3. Bilateral acetabulum retroversion:
a — retroversion index = A/(A+B) × 100;
b — schematic view of acetabulum retroversion.
C — sciatic spine; D — anterior edge of the acetabulum; E — center of rotation, dotted line indicates posterior wall of the acetabulum, passing medial to the rotation center
В литературе не удалось найти точное значение индекса ретроверсии (отношение расстояния от верхнего края вертлужной впадины до пересечения переднего и заднего краев впадины к общей длине вертлужной впадины и умноженное на 100), при котором выполнение артроскопии противопоказано. Однако отдельные исследования, в которых изучались результаты феморопластики в условиях ретроверсии вертлужной впадины, показали плохие результаты в 33,8% наблюдений [41]. В другом исследовании был получен хороший результат у пациентов с величиной средней ретроверсии 35,1% [42]. Вероятно, вопрос об ограничении показаний к артроскопии при ретроверсии вертлужной впадины должен рассматриваться не только исходя из величины индекса ретроверсии, но и на основании других анатомических факторов, в т.ч. угла сферичности головки бедренной кости.
При анализе анатомии ТБС необходимо оценить строение переднего отдела вертлужной впадины. Для этого выполняется рентгенография сустава в проекции «ложного» профиля. На рентгенограмме определяют передний центрально-краевой угол (угол Lequesne) по методике, идентичной определению латерального центрально-краевого угла. По мере накопления клинических наблюдений было сформировано разделение: передний центрально-краевой угол в норме составляет 25°, угол в диапазоне 20–25° является пограничной дисплазией, а угол менее 20° расценивается как дисплазия. J.R. Crockarell Jr. с соавторами полагают считать нормой для переднего центрально-краевого угла 17° и более [43].
Дополнительно на рентгенограмме ложного профиля необходимо оценить строение передней нижней ости подвздошной кости (anterior inferior iliac spine — AIIS), которая может создавать условия для подостного импинджмента при 2-м или 3-ем типе строения [44].
Рентгенологическая диагностика нарушения сферичности головки бедренной кости. В 2002 г. H.P. Nötzli с соавторами предложили метод определения деформации головки бедренной кости с использованием коронарного среза МРТ [45]. Однако этот метод применим и для рентгенограмм [46]. Сферичность головки рассчитывается путем измерения угла между линией, проведенной через центр шейки и головки бедренной кости, и второй линией, проведенной от центра головки бедренной кости к точке окончания сферичности головки, где начинается выступающая часть с большим радиусом (R), чем радиус (r) головки. Угол сферичности назван углом альфа (a), и в литературе приводятся различные его значения в норме (рис. 4).
Рис. 4. Определение угла α
Fig. 4. Determination of the α angle
H.P. Nötzli с соавторами определили среднее нормальное значение угла a в 42°, C.W. Pfirrmann с соавторами и J. Zhou с соавторами — в 55° [47, 48]. K.K. Gosvig с соавторами рекомендовали определять не только нормальный угол a, но и пограничные значения, при которых в сочетании с другими факторами возможно проявление клинической картины импинджмента [49]. Нормальный угол a был определен для мужчин равным или меньше 68°, для женщин — 50°. Пограничные значения были определены от 69° до 82° для мужчин и от 51° до 56° для женщин. Некоторые исследования выявляют значительное совпадение между диапазоном значений угла a как у пациентов с симптомами ФАИ, так и в контрольной группе без клинических проявлений [50] или показывают относительно слабую дифференцировку симптоматической и бессимптомной групп в зависимости от угла a, определяя средние значения в группе сравнения равными 47,0±2,0°, а в группе с клиническими проявлениями — 67,4±8,0° [51].
Учитывая, что чаще всего cam-деформация головки/шейки бедренной кости локализуется в промежутке 11:45–2:45 условного циферблата для правого ТБС и 9:15–12:15 условного циферблата для левого ТБС, необходимо оценить сферичность передне-верхнего отдела головки/шейки бедренной кости [52, 53], даже если на снимке таза в прямой проекции нет данных о нарушении сферичности головки (рис. 5 а). С этой целью выполняются рентгенограммы по Dunn 45° с наружной ротацией бедра на 40° (рис. 5 b) и измеряется угол сферичности головки бедренной кости.
Рис. 5. Деформация передне-верхнего отдела головки/шейки бедренной кости:
a — рентгенограмма левого ТБС без признаков cam-деформации;
b — рентгенограмма левого ТБС в положении по Dunn 45° с ротацией 40°
Fig. 5. Deformation of the anterior superior part of femoral head/neck:
a — left hip X-ray without signs of cam-deformity;
b — left hip X-ray in 45° Dunn position with rotation 40°
Выполнение cтандартной укладки по Dunn 45° подразумевает сгибание в бедре под углом 45°, отведение на 20° и нейтральное положение стопы [54, 55, 56]. Однако в литературе зачастую выполнение укладки по Dunn 45° в классическом варианте заменяется на выполнение этой укладки с ротацией 40°. При сгибании в ТБС на 45° и наружной ротации бедра на 40° выявление деформации улучшается [57]. Иногда возникает ситуация, когда при измерении угла a мы получаем значение меньше 50–55°, однако визуально можно определить снижение сферичности головки бедренной кости (рис. 6 а). В этой ситуации будет полезно измерение офсетного коэффициента (отношение расстояния между параллельными линиями оси шейки, которые проводятся по краю шейки и краю головки бедренной кости к диаметру головки), величина которого в норме должна быть более 0,17 (рис. 6 b) [56]. Значение менее 0,17 говорит о наличии cam-деформации.
Рис. 6. Измерение офсета головки/шейки бедренной кости:
a — измерение угла a, составляющего 51°;
b — определение офсетного коэффициента, составляющего 0,09
Fig. 6. Measurement of femoral head/neck offset:
a — a angle measurement of 51°;
b — determination of offset ratio, which is 0.09
Измерения угла a и офсета головки/шейки можно выполнить для любого видимого на рентгенограмме отдела бедренной кости. Выявление деформации заднего и/или задне-нижнего отделов бедренной кости является показанием к открытому вывиху бедра и открытой коррекции деформации [58].
Магнитно-резонансная и компьютерная томография
Важное значение в современной системе диагностики патологии ТБС имеет МРТ, которая позволяет выявить патологические состояния как внутрисуставных мягкотканных структур, так и костные деформации, а также дает возможность дифференцировать их от околосуставной патологии, имеющей сходные клинические проявления [59]. МРТ позволяет оценить деформации во всех отделах сустава, а также провести их измерения, сопоставимые по точности с интраоперационными [60].
Внутрисуставная мягкотканная патология при ФАИ чаще всего представлена комплексным повреждением, захватывающим суставную губу и хрящ вертлужной впадины, а также головку бедренной кости [61, 62].
Наиболее оправдано использование МРТ с напряженностью магнитного поля 3 Тесла (3Т), поскольку она более чувствительная и точная, чем обычная 1,5Т МРТ для выявления поражений суставной губы и хряща [63, 64, 65]. Зачастую рентгенологи ограничиваются коронарными и аксиальными срезами, однако наибольшую диагностическую ценность в определении патологии суставной губы в передне-верхнем отделе имеют сагиттальные или радиальные срезы (проходящие через ось шейки бедренной кости), выполненные в PD FS режиме [66, 67]. Колоссальную чувствительность и диагностическую точность имеет прямая магнитно-резонансная артрография (МРА) при выявлении патологии суставной губы [68, 69]. Прямая MРА также показала высокую чувствительность при выявлении поражений хряща вертлужной впадины (71–90%) по сравнению с обычной МРТ (58–83%), но это различие не было столь значимо для выявления дефектов хряща головки бедренной кости (50–83%) соответственно [63]. Даже очень оптимистические исследования, которые определяют чувствительность и специфичность МРТ к повреждению суставной губы в 100%, свидетельствуют о значительно более плохом выявлении патологии суставного хряща [70, 71]. Однако применение прямой MРА ограничивают ее более высокая стоимость, техническая сложность и возможность осложнений по сравнению с МРТ [72].
Повреждение суставной губы и хряща вертлужной впадины возникает преимущественно в передне-верхнем отделе (94%), а 40% повреждений губы распространяются на другие квадранты [73]. Первоначально повреждение хряща при cam-деформации появляется на стороне вертлужной впадины с последующим вовлечением хряща головки бедренной кости в более поздних случаях. При pincer-деформации вследствие противоудара головкой бедренной кости происходит повреждение хряща не только передне-верхнего отдела, но и заднего отдела вертлужной впадины [47, 74]. Повреждение хряща при МРТ выявляется или как дефект хряща, или как линейное жидкостное расслаивание вдоль вертлужной впадины, покрытой тканью с более низкой интенсивностью МР-сигнала [75]. Артроскопическим эквивалентом может быть лоскутное повреждение или так называемый «знак волны» с повреждением суставной губы или без него, но с потерей фиксации хряща к субхондральной кости [76].
Помимо прочего, МРТ является высокоточным инструментом, позволяющим выявить отек и кисты субхондральной кости вертлужной впадины [77]. Эти находки, незаметные при артроскопии, указывают на остеоартрит ТБС и должны учитываться в ходе обследования пациента как возможный предиктор неудачи оперативного лечения.
Как уже было сказано ранее, повреждение суставной губы чаще всего локализуется в передне-верхнем квадранте, что связано с наибольшей функциональной нагрузкой на этот отдел и повторяющейся травматизацией вследствие ФАИ. Нормальная суставная губа вертлужной впадины выглядит как треугольник слабого МР-сигнала с гладкими краями, плавно переходящий в хрящ вертлужной впадины или отделенный от него сублабральной бороздой. Распространенной ошибкой при оценке МРТ является определение сублабральных углублений как повреждений. Это нормальные варианты, которые, как правило, не распространяются на всю толщину суставной губы, доходят проекционно до уровня субхондральной кости и чаще наблюдаются в передне-нижней или задне-нижней части вертлужной впадины [78]. Расположение сублабральной борозды в передне-верхнем отделе стоит внимательно дифференцировать с повреждениями, которые встречаются в этой области чаще [79] (рис. 7).
Рис. 7. Сублабральная борозда:
а — МРТ-картина сублабральной борозды;
b — вид сублабральной борозды во время артроскопии
Fig. 7. Sublabral sulcus:
а — MRI picture of sublabral sulcus;
b — sublabral sulcus arthroscopy view
Чаще всего встречаются продольные повреждения хондро-лабрального перехода с отслойкой или без отслойки суставного хряща от подлежащей субхондральной кости или горизонтальное расслоение суставной губы, нередко ведущее к образованию интралабральных или паралабральных кист, в том числе и в зоне прилегания сухожилия подвздошно-поясничной мышцы с распространением кисты по ходу сухожилия [80, 81].
Несколько иначе происходят изменения суставной губы при pincer-деформациях феморо-ацетабулярного импинджмента, соответственно, картина МРТ выглядит иначе. При хронической травматизации края вертлужной впадины головкой/шейкой бедренной кости происходят костная метаплазия края вертлужной впадины и интралабральное окостенение. Разрастаясь, костный край наползает на суставную губу сверху, частично замещая, истончая и ущемляя ее [82]. Кроме массивного разрастания костной ткани, возможно выявление, по данным МРТ, небольших очагов внутрилабрального окостенения или кальцификации, которые проявляются в виде небольших очагов интенсивности МР-сигнала, сходных с МР-сигналом от костного мозга [83].
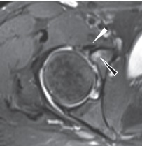
Вариантом комбинированной вне- и внутрисуставной патологии переднего отдела ТБС, сопутствующей ФАИ и выявленной по МРТ, является импинджмент-синдром m. psoas, сочетанный с внутрисуставным повреждением суставной губы и возможным наличием илиопектинальной бурсы или отека переднего края вертлужной впадины [84] (рис. 8, 9). Также стоит обратить внимание на строение сухожилия m. psoas, имеющее в 17% случаев две и более части, сохранение которых при тенотомии может повлечь рецидив импинджмента [85].
Рис. 8. Разрыв губы вертлужной впадины (белая стрелка) с формированием кисты (черная стрелка)
Fig. 8. Acetabulum labrum rupture (white arrow) with cyst formation (black arrow)
Рис. 9. Отек переднего края вертлужной впадины (черная стрелка) в проекции сухожилия m. psoas (белая стрелка)
Fig. 9. Edema of acetabulum anterior edge (black arrow) in the projection of tendon m. psoas (white arrow)
При подостном импинджменте, имитирующем передний ФАИ, или тендините прямой головки прямой мышцы бедра МРТ позволяет выявить отек в области передней нижней ости подвздошной кости и оценить тип строения AIIS [6].
Также при выполнении МРТ тазобедренного сустава в сочетании с аксиальными срезами МРТ коленного сустава можно рассчитать версию (пространственную ориентацию) шейки бедренной кости и вертлужной впадины, принимая во внимание относительную антеверсию или ретроверсию мыщелков бедра [86, 87, 88]. Нормальная антеверсия шейки бедренной кости составляет приблизительно 12–13° [89]. Ретроверсия шейки бедренной кости, как и уменьшение ее антеверсии, может усиливать значимость деформаций, поскольку контакт между вертлужной впадиной и головкой/шейкой бедренной кости происходит при минимальном сгибании в суставе и внутреннем вращении бедра, однако при правильном планировании и корректной моделирующей резекции деформаций нет разницы в результатах у пациентов с антеверсией и пациентов с ретроверсией шейки бедренной кости [90, 91].
Применение КТ при обследовании пациентов с ФАИ позволяет визуально представить нюансы анатомического строения костных структур ТБС. Однако возможности современной МРТ позволяют получить 3D-реконструкции ТБС, сопоставимые по качеству изображения с 3D-реконструкциями, полученными на компьютерных томограммах [86].
Предоперационное планирование
Максимально полное клинико-диагностическое обследование пациента с ФАИ является основой для предоперационного планирования. При выявлении истинной дисплазии, неравномерном сужении суставной щели, деформации задних отделов головки и задней стенки вертлужной впадины с признаками травматизации, отека или кистовидной перестройки субхондральной кости вертлужной впадины, отека головки бедренной кости стоит воздержаться от проведения артроскопии ТБС как приоритетного метода лечения.
Целью предоперационного планирования является всесторонняя оценка имеющихся патологических изменений ТБС для их коррекции с минимизацией риска возможных осложнений и сокращения продолжительности операции.
На выбор способа доступа может повлиять особенность строения вертлужной впадины. Наличие глубокой вертлужной впадины может усложнить использование доступа с первичной визуализацией центрального отдела сустава ввиду отсутствия достаточного пространства между головкой бедренной кости и краем вертлужной впадины, высоким риском повреждения суставной губы и хряща головки бедренной кости. В этой ситуации удобнее будет использовать доступ с первичной визуализацией периферического компартмента или экстраартикулярный доступ. Когда имеется пограничная дисплазия, стоит отдать предпочтение методу с точечным доступом или планировать шов и/или пликацию капсулы [34].
Основными этапами артроскопии ТБС при ФАИ являются моделирующая резекция костных деформаций вертлужной впадины и головки/шейки бедренной кости, рефиксация суставной губы при ее повреждении, коррекция повреждений хряща головки/шейки бедренной кости и вертлужной впадины.
Вне зависимости от использования интраоперационного рентгенологического контроля, с целью адекватной коррекции костных деформаций необходимо предварительно рассчитать объем требуемой резекции головки и шейки бедренной кости. С этой целью наиболее простым вариантом является использование рентгеновских снимков в электронном виде с коррекцией масштаба при необходимости (рис. 10).
Рис. 10. Методика расчета объема планируемой резекции головки и шейки бедренной кости
Fig. 10. Estimation of planned femoral head and neck resection volume
Учитывая, что максимальная деформация головки и шейки бедренной кости располагается в передне-верхнем отделе, предоперационное планирование начинается с рентгенограмм, выполненных в укладке по Dunn 45° с наружной ротацией бедра на 40°. Для расчета необходимо вписать головку бедренной кости в круг и рассчитать угол a имеющейся деформации. Вторым этапом отмечается расчетный угол a, равный примерно 42°. Определяется самая выступающая точка костной деформации, которая, как правило, хорошо определяется интраоперационно и послужит точкой отсчета во время операции. Проводится линия, соединяющая точку максимальной деформации с точкой пересечения исходного угла a и окружности. Длина полученной линии, отмеренной от края костной деформации, дает точку начала резекции на головке бедренной кости. Для расчета глубины коррекции проводится перпендикуляр к первой линии через точку пересечения окружности с линией, определяющей желаемый послеоперационный угол a. Длина этого отрезка является глубиной костной резекции. Поскольку зона коррекции головки и шейки бедренной кости по наружному отделу часто находится под суставной губой, расчет величины резекции является важным этапом планирования оперативного вмешательства. Соответствующие измерения выполняются и на рентгенограмме таза в прямой проекции для уточнения необходимого объема резекции наружного отдела головки и шейки бедренной кости.
Интраоперационная реализация плана моделирующей резекции головки и шейки бедренной кости проводится в несколько этапов, начиная с выявления максимальной деформации. От нее отмеряют точку начала резекции и задают глубину резекции. Ориентируясь на выполненный согласно расчетам участок резекции, постепенно выполняют удаление окружающих костных деформаций (рис. 11). Опираясь на данные МРТ, в предоперационном периоде можно примерно рассчитать потребность в фиксаторах для восстановления суставной губы, исходя из расчета, что расстояние между фиксаторами должно быть от 1,0 до 1,5 см. Также стоит учесть, что повреждение суставной губы в области переднего отдела вертлужной впадины требует использования минимальных по толщине и длине имплантатов [92]. При повреждении хряща вертлужной впадины может потребоваться хондропластика вплоть до замещения хряща хондральной матрицей, для чего необходимы дополнительная техническая оснащенность и материальная база.
Рис. 11. Моделирующая резекция головки и шейки бедренной кости:
а — определение длины и глубины резекции; b — выполнение частичной резекции; c — вид после резекции
Fig. 11. Modeling femoral head and neck resection:
a — determination of length and depth of resection; b — partial resection; c — view after resection
Заключение
Артроскопия тазобедренного сустава является перспективной высокотехнологичной операцией, требующей высокого мастерства хирурга и хорошего материально-технического оснащения клиники современным оборудованием. Это один из самых прогрессивных и быстро развивающихся в технологическом плане методов коррекции патологии тазобедренного сустава, который позволяет существенно снизить хирургическую агрессию в отношении сустава и самого пациента. ФАИ является частой патологией, ограничивающей физическую активность и снижающей качество жизни молодых пациентов. При обследовании пациентов не теряет своей актуальности выполнение рентгенографии таза с дополнительными укладками, которые позволяют оценить строение суставообразующих костных структур и нарушения взаимоотношений между ними. Учитывая частую патологию суставной губы и хряща вертлужной впадины при ФАИ, крайне желательным является выполнение МРТ на современных томографах с напряженностью магнитного поля 3Т. Совокупность этих данных дает возможность выполнить отбор пациентов, у которых артроскопическая коррекция позволит добиться максимального результата, и провести предоперационное планирование для полноценной коррекции внутрисуставных повреждений и снижения риска возможных осложнений.
Благодарности
Автор выражает благодарность д.м.н. Татьяне Николаевне Воронцовой за оказание методической помощи и Анне Сергеевне Богопольской за перевод текстов статей с английского на русский язык.
Конфликт интересов
Автор заявляет об отсутствии конфликта интересов.
About the authors
Oleg E. Bogopolskiy
Vreden National Medical Research Center of Traumatology and Orthopedics
Author for correspondence.
Email: 9202211@gmail.com
ORCID iD: 0000-0002-4883-0543
SPIN-code: 9938-4303
врач травматолог-ортопед
Russian Federation, St. PetersburgReferences
- Burman M.S. Arthroscopy or the direct visualization of joints: an experimental cadaver study. 1931. Clin Orthop Relat Res. 2001;(390):5-9. doi: 10.1097/00003086-200109000-00003.
- Bozic K.J., Chan V., Valone F.H. 3rd, Feeley B.T., Vail T.P. Trends in hip arthroscopy utilization in the United States. J Arthroplasty. 2013;28(8 Suppl):140-143. doi: 10.1016/j.arth.2013.02.039.
- Colvin A.C., Harrast J., Harner C. Trends in hip arthroscopy. J Bone Joint Surg Am. 2012;94(4):e23. doi: 10.2106/JBJS.J.01886.
- Montgomery S.R., Ngo S.S., Hobson T., Nguyen S., Alluri R., Wang J.C. et al. Trends and demographics in hip arthroscopy in the United States. Arthroscopy. 2013;29(4):661-665. doi: 10.1016/j.arthro.2012.11.005.
- Sing D.C., Feeley B.T., Tay B., Vail T.P., Zhang A.L. Age-Related Trends in Hip Arthroscopy: A Large Cross-Sectional Analysis. Arthroscopy. 2015;31(12):2307- 2313.e2. doi: 10.1016/j.arthro.2015.06.008.
- Zaltz I., Kelly B.T., Larson C.M., Leunig M., Bedi A. Surgical treatment of femoroacetabular impingement: what are the limits of hip arthroscopy? Arthroscopy. 2014;30(1):99-110. doi: 10.1016/j.arthro.2013.10.005.
- Polesello G.C., Queiroz M.C., de Figueiredo M.J.P.S.S., Braga S.R., Ricioli W.J.r, Akkari M. Medial hip arthroscopy portals: a novel approach for hip pathologies. Is it feasible? Hip Int. 2017;27(3):e3-e5. doi: 10.5301/hipint.5000495.
- Lee Y.K., Ha Y.C., Yoon B.H., Koo K.H. National trends of hip arthroscopy in Korea. J Korean Med Sci. 2014;29(2):277-280. doi: 10.3346/jkms.2014.29.2.277.
- Bogunovic L., Gottlieb M., Pashos G., Baca G., Clohisy J.C. Why do hip arthroscopy procedures fail? Clin Orthop Relat Res. 2013;471(8):2523-2529. doi: 10.1007/s11999-013-3015-6.
- Haviv B., O’Donnell J. The incidence of total hip arthroplasty after hip arthroscopy in osteoarthritic patients. Sports Med Arthrosc Rehabil Ther Technol. 2010;2:18. doi: 10.1186/1758-2555-2-18.
- Gupta A., Redmond J.M., Stake C.E., Dunne K.F., Domb B.G. Does Primary Hip Arthroscopy Result in Improved Clinical Outcomes?: 2-Year Clinical Follow-up on a Mixed Group of 738 Consecutive Primary Hip Arthroscopies Performed at a High-Volume Referral Center. Am J Sports Med. 2016;44(1):74-82. doi: 10.1177/0363546514562563.
- Philippon M.J., Briggs K.K., Carlisle J.C., Patterson D.C. Joint space predicts THA after hip arthroscopy in patients 50 years and older. Clin Orthop Relat Res. 2013;471(8):2492-2496. doi: 10.1007/s11999-012-2779-4.
- Philippon M.J., Schroder E., Souza B.G., Briggs K.K. Hip arthroscopy for femoroacetabular impingement in patients aged 50 years or older. Arthroscopy. 2012;28(1):59-65. doi: 10.1016/j.arthro.2011.07.004.
- Bogunovic L., Gottlieb M., Pashos G., Baca G., Clohisy J.C. Why do hip arthroscopy procedures fail? Clin Orthop Relat Res. 2013;471(8):2523-2529. doi: 10.1007/s11999-013-3015-6.
- Griffin D.R., Dickenson E.J., O’Donnell J., Agricola R., Awan T., Beck M. et al. The Warwick Agreement on femoroacetabular impingement syndrome (FAI syndrome): an international consensus statement. Br J Sports Med. 2016;50(19):1169-1176. doi: 10.1136/bjsports-2016-096743.
- Reiman M.P., Agricola R., Kemp J.L., Heerey J.J., Weir A., van Klij P. et al. Consensus recommendations on the classification, definition and diagnostic criteria of hip-related pain in young and middle-aged active adults from the International Hip-related Pain Research Network, Zurich 2018. Br J Sports Med. 2020;54(11):631-641. doi: 10.1136/bjsports-2019-101453.
- Hong S.J., Shon W.Y., Lee C.Y., Myung J.S., Kang C.H., Kim B.H. Imaging findings of femoroacetabular impingement syndrome: focusing on mixed-type impingement. Clin Imaging. 2010;34(2):116-120. doi: 10.1016/j.clinimag.2009.04.025.
- Tannast M., Siebenrock K.A., Anderson S.E. Femoroacetabular impingement: radiographic diagnosis--what the radiologist should know. AJR Am J Roentgenol. 2007;188(6):1540-1552. doi: 10.2214/AJR.06.0921.
- Jaberi F.M., Parvizi J. Hip pain in young adults: femoroacetabular impingement. J Arthroplasty. 2007; 22(7 Suppl 3):37-42. doi: 10.1016/j.arth.2007.05.039.
- Doran C., Pettit M., Singh Y., Sunil Kumar K.H., Khanduja V. Does the Type of Sport Influence Morphology of the Hip? A Systematic Review. Am J Sports Med. 2021:3635465211023500. doi: 10.1177/03635465211023500.
- Zhou J., Melugin H.P., Hale R.F., Leland D.P., Bernard C.D., Levy B.A. et al. The Prevalence of Radiographic Findings of Structural Hip Deformities for Femoroacetabular Impingement in Patients With Hip Pain. Am J Sports Med. 2020;48(3):647-653. doi: 10.1177/0363546519896355.
- Блищ О.Ю. Боль в тазобедренном суставе: современные представления о возможностях и роли различных методов лучевой диагностики в определении причин болевого синдрома. Лучевая диагностика и терапия. 2014;(2):37-45. doi: 10.22328/2079-5343-2014-2-37-45.
- Blisch O.Yu. [Hip pain: MRI potential for diagnostics Hip pain causes. Diagnostic radiology and radiotherapy]. Luchevaya diagnostika i terapiya [Diagnostic Radiology and Radiotherapy]. 2014;(2):37-45. (In Russian). doi: 10.22328/2079-5343-2014-2-37-45.
- Тихилов Р.М., Шубняков И.И. Руководство по хирургии тазобедренного сустава. СПб.; 2014. Т.1. 368 с.
- Tikhilov R.M., Shubnyakov I.I. Guide to Hip Surgery. St. Petersburg; 2014. Vol. 1. 368 p.
- Тихилов Р.М., Шубняков И.И., Плиев Д.Г., Богопольский О.Е., Гуацаев М.С. Возможности рентгенографии в ранней диагностике патологии тазобедренного сустава. Травматология и ортопедия России. 2017;23(1):117-131. doi: 10.21823/2311-2905-2017-23-1-117-131.
- Tikhilov R.M., Shubnyakov I.I., Pliev D.G., Bogopolsky O.Y., Guatsaev M.S. [Roentgenography potentialities for early diagnosis of Hip pathologies]. Travmatologiya i ortopediya Rossii [Traumatology and Orthopedics of Russia]. 2017;23(1):117-131. (In Russian). doi: 10.21823/2311-2905-2017-23-1-117-131.
- Lim S.J., Park, Y.S. Plain Radiography of the Hip: A Review of Radiographic Techniques and Image Features. Hip Pelvis. 2015;27(3):125-134. doi: 10.5371/hp.2015.27.3.125.
- Polesello G.C., Nakao T.S., de Queiroz M.C., Daniachi D., Ricioli W.Jr, Guimarães R.P. et al. Proposal for standardization of radiographic studies on the hip and pelvis. Giancarlo Rev Bras Ortop. 2015;46(6):634-642. doi: 10.1016/s2255-4971(15)30318-9.
- Siebenrock K.A., Kalbermatten D.F., Ganz R. Effect of pelvic tilt on acetabular retroversion: a study of pelves from cadavers. Clin Orthop Relat Res. 2003;(407):241-248. doi: 10.1097/00003086-200302000-00033.
- Tannast M., Zheng G., Anderegg C., Burckhardt K., Langlotz F., Ganz R. et al. Tilt and rotation correction of acetabular version on pelvic radiographs. Clin Orthop Relat Res. 2005;438:182-190. doi: 10.1097/01.blo.0000167669.26068.c5.
- The adult hip: hip preservation surgery. Ed. by J.C. Clohisy et al. Philadelphia: Wolters kluwer Health; 2015. Ch. 12. р. 131-143.
- Zilber S., Lazennec J.Y., Gorin M., Saillant G. Variations of caudal, central, and cranial acetabular anteversion according to the tilt of the pelvis. Surg Radiol Anat. 2004;26(6):462-465. doi: 10.1007/s00276-004-0254-y.
- Rosinsky P.J., Chen J.W., Lall A.C., Wojnowski N.M., Shapira J., Maldonado D.R. et al. Can Radiographic Joint Space Accurately Predict Chondral Damage During Hip Arthroscopy? A Cross-Sectional Analysis. Arthroscopy. 2020;36(6):1565-1572.e1. doi: 10.1016/j.arthro.2020.01.034.
- Ogata S., Moriya H., Tsuchiya k., Akita T., Kamegaya M., Someya M. Acetabular cover in congenital dislocation of the hip. J Bone Joint Surg Br. 1990;72(2):190-196. doi: 10.1302/0301-620X.72B2.2312554.
- Chandrasekaran S., Darwish N., Chaharbakhshi E.O., Suarez-Ahedo C., Lodhia P., Domb B.G. Minimum 2-Year Outcomes of Hip Arthroscopic Surgery in Patients With Acetabular Overcoverage and Profunda Acetabulae Compared With Matched Controls With Normal Acetabular Coverage. Am J Sports Med. 2017;45(11): 2483-2492. doi: 10.1177/0363546517708769.
- Evans P.T., Redmond J.M., Hammarstedt J.E., Liu Y., Chaharbakhshi E.O., Domb B.G. Arthroscopic Treatment of Hip Pain in Adolescent Patients With Borderline Dysplasia of the Hip: Minimum 2-Year Follow-Up. Arthroscopy. 2017;33(8):1530-1536. doi: 10.1016/j.arthro.2017.03.008.
- Kling S., Karns M.R., Gebhart J., Kosmas C., Robbin M., Nho S.J. et al. The effect of acetabular rim recession on anterior acetabular coverage: a cadaveric study using the false-profile radiograph. Am J Sports Med. 2015;43(4):957-964. doi: 10.1177/0363546515571918.
- Maldonado D.R., LaReau J.M., Perets I., Ortiz-Declet V., Laseter J.R., Lall A.C. et al. Outcomes of Hip Arthroscopy With Concomitant Periacetabular Osteotomy, Minimum 5-Year Follow-Up. Arthroscopy. 2019;35(3):826-834. doi: 10.1016/j.arthro.2018.10.143.
- Jamali A.A., Mladenov K., Meyer D.C., Martinez A., Beck M., Ganz R. et al. Anteroposterior pelvic radiographs to assess acetabular retroversion: high validity of the «cross-over-sign». J Orthop Res. 2007;25(6):758-765. doi: 10.1002/jor.20380.
- Reynolds D., Lucas J., Klaue K. Retroversion of the acetabulum. A cause of hip pain. J Bone Joint Surg Br. 1999;81(2):281-288. doi: 10.1302/0301-620x.81b2.8291.
- Kalberer F., Sierra R.J., Madan S.S., Ganz R., Leunig M. Ischial spine projection into the pelvis: a new sign for acetabular retroversion. Clin Orthop Relat Res. 2008;466(3):677-683. doi: 10.1007/s11999-007-0058-6.
- Werner C.M., Copeland C.E., Ruckstuhl T., Stromberg J., Turen C.H., Kalberer F. et al. Radiographic markers of acetabular retroversion: correlation of the cross-over sign, ischial spine sign and posterior wall sign. Acta Orthop Belg. 2010;76(2):166-173.
- Vahedi H., Aalirezaie A., Schlitt P.K., Parvizi J. Acetabular Retroversion Is a Risk Factor for Less Optimal Outcome After Femoroacetabular Impingement Surgery. J Arthroplasty. 2019;34(7):1342-1346. doi: 10.1016/j.arth.2019.02.050.
- Litrenta J., Mu B., Chen A.W., Ortiz-Declet V., Perets I., Domb B.G. Radiographic and Clinical Outcomes of Adolescents With Acetabular Retroversion Treated Arthroscopically. J Pediatr Orthop. 2019;39(10):510-515. doi: 10.1097/BPO.0000000000001063.
- Crockarell J.R. Jr., Trousdale R.T., Guyton J.L. The anterior centre-edge angle. A cadaver study. J Bone Joint Surg Br. 2000;82(4):532-534. doi: 10.1302/0301-620x.82b4.10063.
- Hetsroni I., Poultsides L., Bedi A., Larson C.M., Kelly B.T. Anterior inferior iliac spine morphology correlates with hip range of motion: a classification system and dynamic model. Clin Orthop Relat Res. 2013;471(8):2497-2503. doi: 10.1007/s11999-013-2847-4.
- Nötzli H.P., Wyss T.F., Stoecklin C.H., Schmid M.R., Treiber K., Hodler J. The contour of the femoral head-neck junction as a predictor for the risk of anterior impingement. J Bone Joint Surg Br. 2002;84(4):556-560. doi: 10.1302/0301-620x.84b4.12014.
- Barton C., Salineros M.J., Rakhra K.S., Beaulé P.E. Validity of the alpha angle measurement on plain radiographs in the evaluation of cam-type femoroacetabular impingement. Clin Orthop Relat Res. 2011;469(2):464-469. doi: 10.1007/s11999-010-1624-x.
- Pfirrmann C.W., Mengiardi B., Dora C., Kalberer F., Zanetti M., Hodler J. Cam and pincer femoroacetabular impingement: characteristic MR arthrographic findings in 50 patients. Radiology. 2006;240(3):778-785. doi: 10.1148/radiol.2403050767.
- Zhou J., Melugin H.P., Hale R.F., Leland D.P., Bernard C.D., Levy B.A. et al. The Prevalence of Radiographic Findings of Structural Hip Deformities for Femoroacetabular Impingement in Patients With Hip Pain. Am J Sports Med. 2020;48(3):647-653. doi: 10.1177/0363546519896355.
- Gosvig K.K., Jacobsen S., Palm H., Sonne-Holm S., Magnusson E. A new radiological index for assessing asphericity of the femoral head in cam impingement. J Bone Joint Surg Br. 2007;89(10):1309-1316. doi: 10.1302/0301-620X.89B10.19405.
- Sutter R., Dietrich T.J., Zingg P.O., Pfirrmann C.W. How useful is the alpha angle for discriminating between symptomatic patients with cam-type femoroacetabular impingement and asymptomatic volunteers? Radiology. 2012;264(2):514-521. doi: 10.1148/radiol.12112479.
- Mascarenhas V.V., Rego P., Dantas P., Morais F., McWilliams J., Collado D. et al. Imaging prevalence of femoroacetabular impingement in symptomatic patients, athletes, and asymptomatic individuals: A systematic review. Eur J Radiol. 2016;85(1):73-95. doi: 10.1016/j.ejrad.2015.10.016.
- Ross J.R., Bedi A., Stone R.M., Sibilsky Enselman E., Leunig M., Kelly B.T. et al. Intraoperative Fluoroscopic Imaging to Treat Cam Deformities: Correlation With 3-Dimensional Computed Tomography. Am J Sports Med. 2014;42(6):1370-1376. doi: 10.1177/0363546514529515.
- Larson C.M., Wulf C.A. Intraoperative fluoroscopy for evaluation of bony resection during arthroscopic management of femoroacetabular impingement in the supine position. Arthroscopy. 2009;25(10):1183-1192. doi: 10.1016/j.arthro.2009.07.020.
- Meyer D.C., Beck M., Ellis T., Ganz R., Leunig M. Comparison of six radiographic projections to assess femoral head/neck asphericity. Clin Orthop Relat Res. 2006;445:181-185. doi: 10.1097/01.blo.0000201168.72388.24.
- Domayer S.E., Ziebarth K., Chan J., Bixby S., Mamisch T.C., Kim Y.J. Femoroacetabular cam-type impingement: diagnostic sensitivity and specificity of radiographic views compared to radial MRI. Eur J Radiol. 2011;80(3):805-810. doi: 10.1016/j.ejrad.2010.10.016.
- Clohisy J.C., Carlisle J.C., Beaulé P.E., Kim Y.J., Trousdale R.T., Sierra R.J. et al. A systematic approach to the plain radiographic evaluation of the young adult hip. J Bone Joint Surg Am. 2008; 90(Suppl 4):47-66. doi: 10.2106/JBJS.H.00756.
- Harris M.D., Kapron A.L., Peters C.L., Anderson A.E. Correlations between the alpha angle and femoral head asphericity: Implications and recommendations for the diagnosis of cam femoroacetabular impingement. Eur J Radiol. 2014;83(5):788-796. doi: 10.1016/j.ejrad.2014.02.005.
- Ross J.R., Schoenecker P.L., Clohisy J.C. Surgical dislocation of the hip: evolving indications. HSS J. 2013;9(1):60-69. doi: 10.1007/s11420-012-9323-7.
- Sutter R., Zanetti M., Pfirrmann C.W. New developments in hip imaging. Radiology. 2012;264(3):651-667. doi: 10.1148/radiol.12110357.
- Kaplan D.J., Samim M., Burke C.J., Meislin R.J., Youm T. Validity of magnetic resonance imaging measurement of hip labral width compared with intraoperative assessment. Arthroscopy. 2020;36(3):751-758. doi: 10.1016/j.arthro.2019.09.027.
- Sankar W.N., Matheney T.H., Zaltz I. Femoroacetabular impingement: current concepts and controversies. Orthop Clin North Am. 2013;44(4):575-589. doi: 10.1016/j.ocl.2013.07.003.
- Volpon J.B. Femoroacetabular impingement. Rev Bras Ortop. 2016;51(6):621-629. doi: 10.1016/j.rboe.2016.10.006.
- Sutter R., Zubler V., Hoffmann A., Mamisch-Saupe N., Dora C., Kalberer F. et al. Hip MRI: how useful is intraarticular contrast material for evaluating surgically proven lesions of the labrum and articular cartilage? AJR Am J Roentgenol. 2014;202(1):160-169. doi: 10.2214/AJR.12.10266.
- Smith T.O., Simpson M., Ejindu V., Hing C.B. The diagnostic test accuracy of magnetic resonance imaging, magnetic resonance arthrography and computer tomography in the detection of chondral lesions of the hip. Eur J Orthop Surg Traumatol. 2013;23(3):335-344. doi: 10.1007/s00590-012-0972-5.
- Smith T.O., Hilton G., Toms A.P., Donell S.T., Hing C.B. The diagnostic accuracy of acetabular labral tears using magnetic resonance imaging and magnetic resonance arthrography: a meta-analysis. Eur Radiol. 2011;21(4):863-874. doi: 10.1007/s00330-010-1956-7.
- Yoon L.S., Palmer W.E., Kassarjian A. Evaluation of radial-sequence imaging in detecting acetabular labral tears at hip MR arthrography. Skeletal Radiol. 2007;36(11):1029-1033. doi: 10.1007/s00256-007-0363-x.
- Riley G.M., McWalter E.J., Stevens K.J., Safran M.R., Lattanzi R., Gold G.E. MRI of the hip for the evaluation of femoroacetabular impingement; past, present, and future. J Magn Reson Imaging. 2015;41(3):558-572. doi: 10.1002/jmri.24725.
- Smith T.O., Hilton G., Toms A.P., Donell S.T., Hing C.B. The diagnostic accuracy of acetabular labral tears using magnetic resonance imaging and magnetic resonance arthrography: a meta-analysis. Eur Radiol. 2011;21(4):863-874. doi: 10.1007/s00330-010-1956-7.
- Crespo-Rodríguez A.M., De Lucas-Villarrubia J.C., Pastrana-Ledesma M., Hualde-Juvera A., Méndez-Alonso S., Padron M. The diagnostic performance of non-contrast 3-Tesla magnetic resonance imaging (3-T MRI) versus 1.5-Tesla magnetic resonance arthrography (1.5-T MRA) in femoro-acetabular impingement. Eur J Radiol. 2017;88:109-116. doi: 10.1016/j.ejrad.2016.12.031.
- Foreman S.C., Zhang A.L., Neumann J., von Schacky C.E., Souza R.B., Majumdar S. et al. Postoperative MRI Findings and Associated Pain Changes After Arthroscopic Surgery for Femoroacetabular Impingement. AJR Am J Roentgenol. 2020;214(1):177-184. doi: 10.2214/AJR.19.21421.
- Rajeev A., Tuinebreijer W., Mohamed A., Newby M. The validity and accuracy of MRI arthrogram in the assessment of painful articular disorders of the hip. Eur J Orthop Surg Traumatol. 2018;28(1):71-77. doi: 10.1007/s00590-017-2022-9.
- Saupe N., Zanetti M., Pfirrmann C.W., Wels T., Schwenke C., Hodler J. Pain and other side effects after MR arthrography: prospective evaluation in 1085 patients. Radiology. 2009;250(3):830-838. doi: 10.1148/radiol.2503080276.
- Blankenbaker D.G., De Smet A.A., Keene J.S., Fine J.P. Classification and localization of acetabular labral tears. Skeletal Radiol. 2007;36(5):391-397. doi: 10.1007/s00256-006-0240-z.
- Suarez-Ahedo C., Gui C., Rabe S.M., Chandrasekaran S., Lodhia P., Domb B.G. Acetabular Chondral Lesions in Hip Arthroscopy: Relationships Between Grade, Topography, and Demographics. Am J Sports Med. 2017;45(11): 2501-2506. doi: 10.1177/0363546517708192.
- Pfirrmann C.W., Duc S.R., Zanetti M., Dora C., Hodler J. MR arthrography of acetabular cartilage delamination in femoroacetabular cam impingement. Radiology. 2008;249(1):236-241. doi: 10.1148/radiol.2491080093.
- Konan S., Rayan F., Meermans G., Witt J., Haddad F.S. Validation of the classification system for acetabular chondral lesions identified at arthroscopy in patients with femoroacetabular impingement. J Bone Joint Surg Br. 2011;93(3):332-336. doi: 10.1302/0301-620X.93B3.25322.
- Griffin J.W., Weber A.E., Kuhns B., Lewis P., Nho S.J. Imaging in Hip Arthroscopy for Femoroacetabular Impingement: A Comprehensive Approach. Clin Sports Med. 2016;35(3):331-344. doi: 10.1016/j.csm.2016.02.002.
- Studler U., Kalberer F., Leunig M., Zanetti M., Hodler J., Dora C. et al. MR arthrography of the hip: differentiation between an anterior sublabral recess as a normal variant and a labral tear. Radiology. 2008;249(3):947-954. doi: 10.1148/radiol.2492080137.
- DuBois D.F., Omar I.M. MR imaging of the hip: normal anatomic variants and imaging pitfalls. Magn Reson Imaging Clin N Am. 2010;18(4):663-674. doi: 10.1016/j.mric.2010.09.003.
- Bredella M.A., Ulbrich E.J., Stoller D.W., Anderson S.E. Femoroacetabular impingement. Magn Reson Imaging Clin N Am. 2013;21(1):45-64. doi: 10.1016/j.mric.2012.08.012.
- Kassarjian A., Yoon L.S., Belzile E., Connolly S.A., Millis M.B., Palmer W.E. Triad of MR arthrographic findings in patients with cam-type femoroacetabular impingement. Radiology. 2005;236(2):588-592. doi: 10.1148/radiol.2362041987.
- Ganz R., Leunig M., Leunig-Ganz K., Harris W.H. The etiology of osteoarthritis of the hip: an integrated mechanical concept. Clin Orthop Relat Res. 2008;466(2):264-272. doi: 10.1007/s11999-007-0060-z.
- Werlen S., Leunig M., Ganz R. Magnetic Resonance Arthrography of the Hip in Femoroacetabular Impingement: Technique and Findings. Operativ Tech Orthopaedics. 2005;15(3):191-203. doi: 10.1053/j.oto.2005.07.007.
- Blankenbaker D.G., Tuite M.J., Keene J.S., A. Munoz del Rio. Labral injuries due to iliopsoas impingement: can they be diagnosed on MR arthrography? AJR Am J Roentgenol. 2012;199(4):894-900. doi: 10.2214/AJR.11.8211.
- Ilizaliturri V.M. Jr., Suarez-Ahedo Cю, Acuña M. Internal Snapping Hip Syndrome: Incidence of Multiple-Tendon Existence and Outcome After Endoscopic Transcapsular Release. Arthroscopy. 2015;31(10):1991-1995. doi: 10.1016/j.arthro.2015.04.083.
- Samim M., Eftekhary N., Vigdorchik J.M., Elbuluk A., Davidovitch R., Youm T. et al. 3D-MRI versus 3D-CT in the evaluation of osseous anatomy in femoroacetabular impingement using Dixon 3D FLASH sequence. Skeletal Radiol. 2019;48(3):429-436. doi: 10.1007/s00256-018-3049-7.
- Li A.E., Jawetz S.T., Greditzer H.G. 4th, Burge A.J., Nawabi D.H., Potter H.G. MRI for the preoperative evaluation of femoroacetabular impingement. Insights Imaging. 2016;7(2):187-198. doi: 10.1007/s13244-015-0459-0.
- Sutter R., Dietrich T.J., Zingg P.O., Pfirrmann C.W. Assessment of Femoral Antetorsion With MRI: Comparison of Oblique Measurements to Standard Transverse Measurements. AJR Am J Roentgenol. 2015;205(1):130-135. doi: 10.2214/AJR.14.13617.
- Sutter R., Dietrich T.J., Zingg P.O., Pfirrmann C.W. Femoral antetorsion: comparing asymptomatic volunteers and patients with femoroacetabular impingement. Radiology. 2012;263(2):475-483. doi: 10.1148/radiol.12111903.
- Lall A.C., Battaglia M.R., Maldonado D.R., Perets I., Laseter J.R., Go C.C. et al. Does Femoral Retroversion Adversely Affect Outcomes After Hip Arthroscopy for Femoroacetabular Impingement Syndrome? A Midterm Analysis. Arthroscopy. 2019;35(11):3035-3046. doi: 10.1016/j.arthro.2019.03.046.
- Menge T.J., Briggs K.K., Dornan G.J., McNamara S.C., Philippon M.J. Survivorship and Outcomes 10 Years Following Hip Arthroscopy for Femoroacetabular Impingement: Labral Debridement Compared with Labral Repair. J Bone Joint Surg Am. 2017;99(12):997-1004. doi: 10.2106/JBJS.16.01060.
- Yoo J.I., Ha Y.C., Hwang S.C., Oh J.Y., Chang E.C., Lee Y.K. et al. Factors Associated with the Risk of Articular Surface Perforation during Anchor Placement for Arthroscopic Acetabular Labral Repair. Clin Orthop Surg. 2017;9(4):405-412. doi: 10.4055/cios.2017.9.4.405.
Supplementary files















