Ultrasonographic Assessment of the Proximal Femoral Ossification Center in Children Under 1 Year
- Authors: Babaeva K.B.1, Polukhov R.S.1
-
Affiliations:
- Azerbaijan Medical University
- Issue: Vol 28, No 1 (2022)
- Pages: 58-66
- Section: СLINICAL STUDIES
- Submitted: 19.04.2021
- Accepted: 11.01.2022
- Published: 15.01.2022
- URL: https://journal.rniito.org/jour/article/view/1626
- DOI: https://doi.org/10.17816/2311-2905-1626
- ID: 1626
Cite item
Full Text
Abstract
Background. Developmental disorders of the secondary ossification center (SOC) of the proximal femoral epiphysis can be a marker of some childhood diseases that require timely diagnosis and treatment.
The study aimed to assess the capabilities of ultrasonography in the diagnosis of ossification processes of the proximal femoral epiphysis.
Material and Methods. The study is based on the results of a survey of 524 children aged 2 weeks to 1 year with normal hip joints, including 259 boys and 265 girls. All patients underwent ultrasound examination of the hip joints according to the method of R. Graf in a standard coronary section. In older children, to eliminate errors in measuring the size of the SOC, an additional cross-section was used.
Results. The SOC was detected in isolated cases in boys aged up to 3 months and girls up to 2 months. At age 3 months, the SOC was visualized in 45% of girls and 5% of boys. By age 5 months, 81% of girls had a SOC compared with 46% of boys. By 7 months, SOC was determined in more than 90% of cases of both groups. Thus, girls showed an earlier formation of the SOC than boys. The SOC was located in the center of the femoral head in 82% of cases, lateral in 14%, and medial in 4%. In 95% of the examined children, SOC development occurred symmetrically in both joints. In addition, discrepancies were revealed with simultaneous ultrasonography and X-ray of the hip joints since the SOC becomes visible earlier during ultrasonography.
Conclusion. Sonography is a highly informative method for determining the ossification processes of the proximal femur. Knowledge of the normal sonographic appearance of the femoral head SOC by age and sex will help clinicians diagnose and treat hip disorders.
Full Text
Введение
Несмотря на то что традиционная рентгенография остается самым распространенным объективным методом диагностики заболеваний опорно-двигательной системы, в последние десятилетия все большее признание получают неионизирующие технологии, такие как МРТ и ультрасонография. Артросонография — ультразвуковое исследование опорно-двигательного аппарата — обладает рядом особенностей, выгодно выделяющих ее среди других методов исследования костно-суставной системы: неинвазивность, отсутствие лучевой нагрузки, возможность исследования в режиме реального времени при движениях и проведении динамических проб, простота, доступность, визуализация соединительнотканных и хрящевых элементов сустава, сканирование нескольких суставов одновременно, возможность проведения мониторинга состояния сустава с произвольными интервалами [1, 2, 3].
Особое место среди областей применения артросонографии занимает ультразвуковое исследование тазобедренных суставов (УЗИ ТБС) у новорожденных и детей грудного возраста с целью выявления врожденных нарушений формирования ТБС [4, 5, 6, 7]. Методика УЗИ ТБС у новорожденных впервые была предложена австрийским ортопедом Р. Графом в 1970-х гг. УЗИ ТБС по всем параметрам отвечает требованиям ВОЗ к скрининговым методам: простота, достоверность, надежность, воспроизводимость, безопасность, доступность и относительная дешевизна обследования. Сонография ТБС в качестве скрининга стала применяться с 1992 г. в Австрии, с 1997 г. — в Швейцарии, с 1996 г. — в Германии в качестве метода общего обследования всех новорожденных [8, 9]. В США, Великобритании, скандинавских странах ультрасонография проводится селективно новорожденным группы риска [10, 11, 12]. В настоящее время существует несколько методик УЗИ ТБС: Графа, Харке, Сузуки, Тержесена и т.д. [13, 14, 15]. Все методики посвящены оценке соотношений между элементами сустава для максимально раннего выявления нестабильности сустава. Однако в современных протоколах УЗИ ТБС недостаточно внимания уделено эхографическим особенностям процесса оссификации проксимального эпифиза бедра.
Ядро окостенения (ЯО) проксимального эпифиза бедренной кости является вторичным центром окостенения, участвующим в процессе энхондрального окостенения эпифизов. Последние исследования показали, что вторичные центры окостенения являются не только показателями зрелости скелета и маркерами сосудистого питания эпифизов, но и защищают эпиметафизарную зону роста от механических факторов и оказывают регуляторное влияние на стволовые клетки эпиметафизарной пластинки роста [16]. Нарушение развития ЯО головки бедренной кости является одним из первых симптомов самого грозного осложнения лечения врожденной дисплазии ТБС — постиммобилизационного асептического некроза головки бедренной кости [17, 18]. Возникающее вследствие постиммобилизационного асептического некроза головки бедренной кости нарушение роста и развития проксимального отдела бедренной кости, деформация головки бедренной кости, нарушение соотношения между вертлужной впадиной и головкой бедренной кости создают условия для раннего развития и быстрого прогрессирования коксартроза [19, 20].
У детей раннего возраста, перенесших закрытую репозицию и находящихся на лечении по поводу вывиха или дисплазии ТБС, самым ранним, а зачастую и единственным признаком развития постиммобилизационного асептического некроза головки бедренной кости является задержка формирования ЯО на стороне поражения [21, 20]. Традиционная рентгенография позволяет установить диагноз асептического некроза головки бедренной кости на более поздних стадиях заболевания [22, 23].
Сведения о рентгенологических сроках появления ядра проксимального эпифиза в литературе крайне разноречивы и определяются чаще в диапазоне от 3 до 9 мес. [24, 25]. Пограничным возрастом, определяющим патологическую задержку окостенения, называют различные сроки: 3–4 мес. у V. Putti, 4 мес. — у H. Hilgenreiner, 6 мес. — у D. Tönnis, 7,5 мес. — у Р. Графа [цит. по 6].
По данным Р. Графа с соавторами, ультрасонография позволяет выявить ЯО на 4–8 нед. раньше, чем рентгенография [6, 26]. Эту разницу авторы объясняют тем, что УЗ-сканер способен уловить ядро на стадии клеточных скоплений, когда нет выраженного отложения солей кальция либо они незначительны. В этот период ядро становится эхопозитивным и отражается на сонограммах в виде точечных одиночных, а впоследствии множественных гиперэхогенных включений, склонных к слиянию. В дальнейшем по мере усиления процессов оссификации, примерно через 4–8 нед., ядро становится видимым и на рентгенограммах. Учитывая, что своевременная диагностика и лечение постиммобилизационного асептического некроза головки бедренной кости являются определяющими факторами в благоприятном исходе патологии, представляется актуальным изучение возможностей УЗ-метода в исследовании ЯО бедренной кости. Понимание соноанатомии и физиологических особенностей оссификации проксимального отдела бедренной кости и связанных с ней патофизиологических состояний может повысить точность диагностики, позволит радиологам предвидеть будущие нарушения и обеспечить оптимальную визуализацию с конечной целью своевременного и надлежащего вмешательства.
Цель исследования — оценить возможности ультрасонографии в оценке зон оссификации проксимального отдела бедренной кости и выработать нормативные показатели сроков появления и стадий развития ЯО проксимального эпифиза бедренной кости у здоровых детей до года, изучить половые и возрастные особенности развития ЯО, а также технику его измерения.
Материал и методы
Дизайн исследования
Проведено проспективное наблюдательное неконтролируемое исследование, включающее анализ сонограмм ТБС у 524 детей с центрированными суставами типа 1А и 1Б по Графу, из которых 259 мальчиков и 265 девочек в возрасте от 2 нед. до 1 года. УЗИ проводилось на УЗ-сканере GE Voluson E8 (General Electric, США) в В-режиме линейными датчиками с частотой 5,0–7,5 МГц. Обследование проводилось по методике Графа во фронтальной плоскости с положением пациента на боку в специальной укладке. Сканирование сустава проводилось в срединном срезе, который соответствовал стандартной ситуации по Графу. В редких случаях, при расположении ядра не строго по центру головки, использовались дополнительные параллельные срезы для четкой визуализации ЯО. При больших размерах ядра использовался дополнительный поперечный срез головки бедренной кости из переднего доступа в нейтральном положении ребенка.
Статистический анализ
Полученные количественные и качественные данные анализировались с использованием MS EXCEL-2019 и статистического пакета IBM Statistics SPSS v.26. Для количественных показателей рассчитывался стандартный набор описательных статистик: средние M±m, медиана и квартили. Для категориальных характеристик определялись частоты появления признаков в изученных группах в абсолютных значениях и проценты. Количественные показатели сравнивались с помощью критерия Манна – Уитни, качественные — с помощью χ2 Пирсона. Динамика показателей оценивалась как с использованием критерия Уилкоксона, так и при построении кривых Каплана – Мейера с применением лог-ранк теста.
Результаты
У новорожденных и детей до года проксимальный эпифиз бедренной кости, часть метафиза и большой вертел на эхограммах выглядят как одно слитное гипоэхогенное образование, так как состоят из неокостеневшего хряща. Эпифиз покрыт аваскулярным суставным гиалиновым хрящом, центральная зона состоит из эпифизарного гиалинового хряща, в котором присутствуют червеобразные эхосигналы, соответствующие кровеносным сосудам (рис. 1).
Рис. 1. Сонограмма тазобедренного сустава ребенка в возрасте 6 нед.: 1 — костно-хрящевая граница; 2 — большой вертел; 3 — головка бедренной кости; 4 — костная крыша вертлужной впадины; 5 — червеобразные эхосигналы, соответствующие сосудистым синусоидам / Fig. 1. Ultrasound image of the hip joint of a 6-week-old baby: 1 — chondro-osseous junction; 2 — greater trochanter; 3 — femoral head; 4 — bony acetabular roof; 5 — vermiform echo signals corresponding to vascular sinusoids
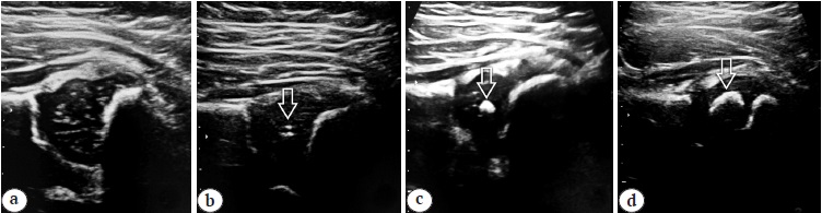
Один центр окостенения находится в ядре проксимального эпифиза головки бедренной кости, второй образуется в большом вертеле в более позднем возрасте — к 4 годам [24]. Стадии формирования ЯО проксимального эпифиза бедренной кости нами были обозначены следующим образом:
– 1-я стадия — ядро отсутствует (рис. 2 а);
– 2-я стадия — ядро-точка визуализируется в виде одного или нескольких точечных включений, склонных к слиянию, также эту стадию обозначают как намечающееся ЯО (рис. 2 b);
– 3-я стадия — ядро-пятно визуализируется в виде четкого округлого гиперэхогенного участка без акустической тени, диаметр до 4 мм (рис. 2 c);
– 4-я стадия — ядро-полумесяц, крупное ядро с дистальной акустической тенью (рис. 2 d).
Рис. 2. Сонографические стадии формирования ядра окостенения головки бедренной кости (отмечено стрелками): а — ядро не визуализируется; b — точечное ядро; c — ядро-пятно; d — ядро-полумесяц с акустической тенью / Fig. 2. Ultrasonographic stages of the formation of the secondary ossification center (SOC) of the femoral head (marked by arrows): a — the SOC is not visualized; b — point stage; c — spot stage; d — crescent stage with acoustic shadow
На 4-й стадии латеральные отделы окостеневшего ядра отражают ультразвуковые лучи, медиальные участки остаются в акустической тени, в результате чего крупное ЯО на сонограмме выглядит как полумесяц. Так как на данной стадии ядро имеет форму сплющенного в кранио-каудальном направлении эллипса, при УЗИ более корректным было бы говорить не о диаметре, а о высоте ЯО. Высота ядра на этой стадии больше 5 мм. С целью более точного вычисления размеров ядра и выявления асимметрии между правой и левой сторонами на этой стадии нами рекомендуется дополнительная оценка поперечных срезов головки бедренной кости со сравнением максимального поперечного размера ядер правой и левой сторон из переднего доступа в нейтральной позиции, так как при стандартном подходе из бокового доступа максимальный поперечный размер ядра измерить не представляется возможным [27].
По мере увеличения ядра область акустической тени также растет и затрудняет визуализацию Y-образного хряща и костной крыши вертлужной впадины — главного ориентира в УЗИ ТБС на предмет выявления дисплазии. Это является ограничивающим фактором в применении сонографии ТБС у детей старше года [28].
Обследуемые дети были разделены на 12 групп в зависимости от возраста — от 1 до 12 мес. Количество мальчиков и девочек в каждой возрастной группе было примерно одинаковым. В каждой группе вычислялся процент детей с видимым на сонограмме ЯО. До 3 мес. у мальчиков ядро выявлялось в единичных случаях, в то время как у 45% девочек в возрасте 3 мес. визуализировалось четкое ядро. К 5 мес. у 81% девочек выявлялось ядро, в то время как у мальчиков в этом возрасте оно появилось только в 46% случаев. К 7 мес. в обеих группах как у мальчиков, так и у девочек в более чем 90% случаев определялось ЯО. К 9 мес. и старше как у мальчиков, так и у девочек ядро выявлялось в 100% случаев (рис. 3).
Рис. 3. Частота выявления ядра окостенения проксимального эпифиза бедренной кости в возрастно-гендерном аспекте, % / Fig. 3. Frequency of the detection of the secondary ossification center of the proximal femoral epiphysis in the age-gender aspect, %
Также отмечались различия в размерах ЯО у мальчиков и девочек: средний размер ЯО у девочек превышал таковой у мальчиков (табл. 1).
Таблица 1. Средние размеры ядра окостенения в поло-возрастном аспекте
Возраст, мес. | Пол | pt | pu | |||||||||||
Мальчики | Девочки | |||||||||||||
n | M | ±m | Me | Q1 | Q3 | n | M | ±m | Me | Q1 | Q3 | |||
1 | 21 | 0,00 | 0,00 | 0,00 | 0,00 | 0,00 | 22 | 0,00 | 0,00 | 0,00 | 0,00 | 0,00 | >0,05 | 1,000 |
2 | 25 | 0,10 | 0,10 | 0,00 | 0,00 | 0,00 | 28 | 0,13 | 0,09 | 0,00 | 0,00 | 0,00 | >0,05 | 0,656 |
3 | 38 | 0,13 | 0,10 | 0,00 | 0,00 | 0,00 | 37 | 1,12 | 0,25 | 0,00 | 0,00 | 2,00 | <0,001 | <0,001 |
4 | 29 | 1,10 | 0,31 | 0,00 | 0,00 | 3,00 | 30 | 2,15 | 0,33 | 2,25 | 0,00 | 4,00 | 0,026 | 0,029 |
5 | 28 | 1,88 | 0,40 | 0,00 | 0,00 | 4,00 | 27 | 3,30 | 0,38 | 4,00 | 2,00 | 5,00 | 0,014 | 0,018 |
6 | 19 | 3,29 | 0,40 | 3,50 | 3,00 | 4,50 | 22 | 4,16 | 0,32 | 4,50 | 3,50 | 5,00 | >0,05 | 0,076 |
7 | 18 | 4,14 | 0,34 | 4,50 | 3,00 | 5,00 | 21 | 4,76 | 0,40 | 5,00 | 4,00 | 6,00 | >0,05 | 0,266 |
8 | 18 | 4,25 | 0,34 | 4,75 | 3,50 | 5,00 | 17 | 6,12 | 0,37 | 6,00 | 5,00 | 7,00 | 0,001 | 0,001 |
9 | 18 | 5,03 | 0,36 | 5,00 | 5,00 | 6,00 | 18 | 6,33 | 0,38 | 6,25 | 5,00 | 7,50 | 0,018 | 0,022 |
10 | 17 | 5,44 | 0,41 | 6,00 | 5,00 | 6,50 | 16 | 6,19 | 0,28 | 6,25 | 5,00 | 7,00 | >0,05 | 0,195 |
11 | 15 | 6,70 | 0,38 | 7,00 | 6,00 | 8,00 | 14 | 7,61 | 0,26 | 7,50 | 7,00 | 8,00 | >0,05 | 0,111 |
12 | 13 | 7,00 | 0,46 | 6,50 | 6,00 | 8,00 | 13 | 7,88 | 0,36 | 8,00 | 7,00 | 9,00 | >0,05 | 0,147 |
n — число детей; М — среднее арифметическое; ±m — стандартная ошибка; Ме — медиана, Q1 — первый квартиль; Q3 — третий квартиль; статистическая значимость различий: рt — по t-Стьюденту – Бонферрони, pU — Манна – Уитни.
У 12 пациентов была изучена динамика роста ЯО путем проведения ежемесячной сонометрии: средний ежемесячный прирост составил 0,715 мм у мальчиков и 0,782 мм — у девочек. В первом полугодии отмечались более высокие темпы роста ЯО (1,0–1,3 мм), чем во втором (0,6–0,8 мм). Используя метод множительной оценки и средние темпы прироста ЯО в группе пациентов с видимым при УЗИ ЯО (316 пациентов), ретроспективно был определен примерный возраст самого раннего обнаружения ЯО, который составил 5 нед. для девочек и 7 нед. для мальчиков (табл. 2).
Таблица 2. Сравнение времени обнаружения ядра в гендерном аспекте у детей с выявленными ядрами окостенения
Количественные данные | |||||||||||
Пол | Всего | Учтенные, n | Цензурированные | ||||||||
n | % | ||||||||||
Мальчики | 259 | 137 | 122 | 47,1 | |||||||
Девочки | 265 | 179 | 86 | 32,5 | |||||||
Всего | 524 | 316 | 208 | 39,7 | |||||||
Средние и среднеструктурные показатели | |||||||||||
Пол | Средние | Среднеструктурные | |||||||||
M | ±m | 95% ДИ | Me | ±mе | 95% ДИ | ||||||
Нгр | Вгр | Нгр | Вгр | ||||||||
Мальчики | 1,66 | 0,12 | 1,42 | 1,90 | 1,30 | 0,21 | 0,88 | 1,72 | |||
Девочки | 1,28 | 0,10 | 1,10 | 1,47 | 1,00 | 0,14 | 0,73 | 1,27 | |||
Всего | 1,46 | 0,08 | 1,31 | 1,61 | 1,20 | 0,09 | 1,02 | 1,38 | |||
Результат анализа | |||||||||||
χ2 | df | р | |||||||||
Лог-ранк тест (Каплан – Мейер) | 7,442 | 1 | 0,006 | ||||||||
n — кол-во; М — среднее арифметическое; ±m — стандартная ошибка средней арифметической; Ме — медиана; ±mе — стандартная ошибка медианы; 95% ДИ — 95% доверительный интервал; Нгр — нижняя граница; Вгр — верхняя граница ; χ2 — коэффициент Пирсона, df — степень свободы; р — статистическая значимость различий.
Кроме того, у 41 ребенка (возраст от 5 до 8 мес.) УЗИ проводилось после рентгенографии ТБС, которая выявила отсутствие ЯО при нормально сформированной крыше вертлужной впадины без признаков дисплазии. Временной интервал между рентгенологическим и ультразвуковым обследованиями составлял не более 1 недели. УЗИ у этой группы пациентов в 27 случаях выявило симметричные ЯО на 2-й сонографической стадии у 17 детей (точечное ядро) и на 3-й стадии — у 10 детей (ядро-пятно диаметром до 2,5 мм).
Обсуждение
Таким образом, мы наблюдали более раннее формирование ЯО проксимального отдела бедренной кости у девочек по сравнению с мальчиками. Средние размеры ядра у девочек превышали таковые у мальчиков. Ядро в 80% случаев размещалось в центре головки, в 14% отмечалось его латеральное расположение, в 4% ядро было смещено медиально, в одном случае наблюдались множественные ЯО. У подавляющего большинства обследуемых (95%) процесс формирования ЯО происходил симметрично в обоих суставах. Предложенная нами техника измерения ядра в дополнительном поперечном срезе у детей старшей возрастной группы (старше 7–8 мес.) с более крупным ядром с дистальной акустической тенью позволяет избежать ошибок диагностики. Так, в исследовании H. Atalar с соавторами обсуждается клинический случай, когда у 8-месячной девочки с типом 1А по Графу и симметричными при УЗИ с обеих сторон ядрами рентгенография выявила выраженную одностороннюю гипоплазию ЯО [27]. Причиной ошибки в данном конкретном случае является то, что примерно после 8 мес. круглая форма ядра становится овально-вытянутой с максимальным длинником в поперечной плоскости, на что в своих исследованиях указывают также J.C. Nguyen с соавторами и O. Zouari с соавторами [29, 30]. Использование одного стандартного фронтального среза по Графу, который отражает кранио-каудальный размер эллиптоидного ядра, то есть его высоту, является недостаточным. Медио-латеральный размер возможно измерить при поперечном расположении УЗИ-датчика, совпадающим с большой осью эллиптоидного ядра. H.T. Harсke c соавторами также обращают внимание на разные проекционные подходы к измерениям при УЗИ и рентгенографии [26].
Также в работах H.T. Harсke с соавторами и O. Zouari с соавторами указывается на выраженную асимметрию ЯО при одностороннем вывихе [26, 30]. После успешной репозиции авторы наблюдали активный рост отстающего ЯО, который в течение 12–24 мес. достигал размеров противоположной стороны. Такой бурный рост ЯО авторы считали хорошим индикатором витальности головки бедренной кости.
Этнические особенности формирования ЯО исследовали A. Paranjape c соавторами [25]. Сравнительное сонографическое исследование ЯО проводилось в индийской и израильской популяциях. Ядро впервые становилось видимым в 2 нед. у израильских детей и в 8 нед. — у индийских младенцев. Тем не менее к 20 нед. ядро выявлялось у 81% индийских и 22–74% израильских детей, к 24 нед. в обеих группах ядро визуализировалось в более чем 90% случаев. В наших результатах без учета гендерных отличий впервые ядро становится видимым в возрасте 1,5–2,0 мес., в 5 мес. (21–22 нед.) ЯО выявлялось у 64% детей, к 6 мес. — у 89% и к 7 мес. — у более чем 94% детей. После 9 мес. у 100% детей определялось четкое ядро окостенения.
При одновременной ультрасонографии и рентгенографии ТБС были выявлены несоответствия, обусловленные тем, что при УЗИ ядро становится видимым раньше, что совпадает с результатами исследований Р. Графа с соавторами [6] и H.T. Harсke с соавторами [26]. Этот факт, несомненно, повышает ценность УЗ-исследования, т.к. дает возможность предположить нарушение оссификации проксимального отдела бедренной кости на 6-8 нед. раньше (по Графу) по сравнению с традиционной рентгенографией.
Заключение
Уникальные особенности сонографического метода, такие как неограниченный по временным интервалам и частоте мониторинг, относительно раннее выявление ядер окостенения, отсутствие лучевой нагрузки на организм ребенка, делают перспективным дальнейшее изучение и оптимизацию УЗ-метода в исследовании процессов оссификации проксимального эпифиза бедренной кости у детей раннего возраста. Ультразвуковое исследование процессов оссификации проксимального эпифиза заслуживает более широкого внедрения в практику ортопедов, детских хирургов и педиатров. Это позволит специалистам рано предвидеть будущие нарушения роста и развития проксимального отдела бедренной кости и обеспечить при необходимости раннее вмешательство.
Дополнительная информация
Заявленный вклад авторов
Бабаева Х.Б. — концепция и дизайн исследования, сбор и обработка материала, статистическая обработка, написание текста, редактирование.
Полухов Р.Ш. — концепция и дизайн исследования, сбор и обработка материала, статистическая обработка.
Все авторы прочли и одобрили финальную версию рукописи статьи. Все авторы согласны нести ответственность за все аспекты работы, чтобы обеспечить надлежащее рассмотрение и решение всех возможных вопросов, связанных с корректностью и надежностью любой части работы.
Источник финансирования. Авторы заявляют об отсутствии внешнего финансирования при проведении исследования.
Конфликт интересов. Авторы декларируют отсутствие явных и потенциальных конфликтов интересов, связанных с публикацией настоящей статьи.
Этическая экспертиза. Не применима.
Информированное согласие. Авторы получили письменное согласие законных представителей пациентов на публикацию медицинских данных и фотографий.
Disclaimers
Authors’ contributions
Babaeva Kh.B. — the idea and design of the study, the collection and processing of material, the statistical analysis, writing the draft, editing.
Polukhov R.Sh. — the idea and design of the study, the collection and processing of material, the statistical analysis.
All authors have read and approved the final version of the manuscript of the article. All authors agree to bear responsibility for all aspects of the study to ensure proper consideration and resolution of all possible issues related to the correctness and reliability of any part of the work.
Funding source. This study was not supported by any external sources of funding.
Competing interests. The authors declare that they have no competing interests.
Ethics approval. Not applicable.
Consent for publication. Written consent was obtained from legal representatives of children for publication of relevant medical information and all of accompanying images within the manuscript.
About the authors
Khalida B. Babaeva
Azerbaijan Medical University
Author for correspondence.
Email: xalidababayeva.xb@gmail.com
ORCID iD: 0000-0001-9974-1631
MD
Азербайджан, 155, Samad Vurgun str., Baku city, AZ1022Ramiz Sh. Polukhov
Azerbaijan Medical University
Email: ramizpoluxov@mail.ru
ORCID iD: 0000-0003-2256-7086
MD, Dr. Sci. (Med.), Professor
Азербайджан, BakuReferences
- Strakowski J.A., Visco C.J. Diagnostic and therapeutic musculoskeletal ultrasound applications of the shoulder. Muscle Nerve. 2019;60(1):1-6. doi: 10.1002/mus.26505.
- Okano T., Mamoto K., Di Carlo M., Salaffi F. Clinical utility and potential of ultrasound in osteoarthritis. Radiol Med. 2019;124(11):1101-1111. doi: 10.1007/s11547-019-01013-z.
- Carotti M., Galeazzi V., Catucci F., Zappia M., Arrigoni F., Barile A. et al. Clinical utility of eco-color-power Doppler ultrasonography and contrast enhanced magnetic resonance imaging for interpretation and quantification of joint synovitis: a review. Acta Biomed. 2018;89 (1-S):48-77. doi: 10.23750/abm.v89i1-S.7010.
- Hien N.M. The Importance of Hip Ultrasound. Dtsch Arztebl Int. 2020;117(35-36):600-601. doi: 10.3238/arztebl.2020.0600b
- Вовченко А.Я. Суставы. Путеводитель по ультразвуковому исследованию в травматологии и ортопедии. Киев: Украинский допплеровский клуб; 2011. 73-84 c. Vovchenko A.Ja. Sustavy. Putevoditel’ po ul’trazvukovomu issledovaniyu v travmatologii i ortopedii [Joints. Guide to ultrasound examination in traumatology and orthopedics]. Kiev: UDC, 2011. p. 73-84. (In Russian).
- Граф Р., Чаунер К., Франк П., Лерхер К. Сонография тазобедренных суставов новорожденных. Диагностические и терапевтические аспекты: руководство. Пер. с нем. Томск: Из-во ТГУ; 2005. с. 46-49. Graf R., Chauner K., Frank P., Lerher K. Sonografiya tazobedrennykh sustavov novorozhdennykh. Diagnosticheskie i terapevticheskie aspekty: rukovodstvo [Sonography of the Hip Joints of Newborns. Diagnosticheskie i terapevticheskie aspekty: rukovodstvo]. Tomsk: TGU; 2005. p. 46-49 (In Russian).
- Kotlarsky P., Haber R., Bialik V., Eidelman M. Developmental dysplasia of the hip: What has changed in the last 20 years? World J Orthop. 2015; 6(11):886-901. doi: 10.5312/wjo.v6.i11.886.
- Thaler M., Biedermann R., Lair J., Krismer M., Landauer F. Cost-effectiveness of universal ultrasound screening compared with clinical examination alone in the diagnosis and treatment of neonatal hip dysplasia in Austria. J Bone Joint Surg Br. 2011;93(8):1126-1130. doi: 10.1302/0301-620X.93B8.25935.
- von Kries R., Ihme N., Oberle D., Lorani A., Stark R., Altenhofen L. et al. Effect of ultrasound screening on the rate of first operative procedures for developmental hip dysplasia in Germany. Lancet. 2003;362(9399):1883-1887. doi: 10.1016/S0140-6736(03)14957-4.
- Clinical practice guideline: early detection of developmental dysplasia of the hip. Committee on Quality Improvement, Subcommittee on Developmental Dysplasia of the Hip. American Academy of Pediatrics. Pediatrics. 2000;105(4 Pt 1):896-905. doi: 10.1542/peds.105.4.896.
- Баиндурашвили А.Г., Чухраева И.Ю. Ультразвуковое исследование тазобедренных суставов в структуре ортопедического скрининга новорожденных (обзор литературы). Травматология и ортопедия России. 2010;(3):171-178. Baindurashvili A.G., Chukhraeva I.Yu. [Ultrasonography of hip joints in srtucture of newborn orthopedic screening (review)]. Travmatologiya i ortopediya Rossii [Traumatology and Orthopedics of Russia]. 2010;(3):171-178. (In Russian).
- Husum H.C., Maimburg R.D., Kold S., Thomsen J.L., Rahbek O. Self-reported knowledge of national guidelines for clinical screening for hip dysplasia: a web-based survey of midwives and GPs in Denmark. BJGP Open. 2021;5(4):BJGPO.2021.0068. doi: 10.3399/BJGPO.2021.0068
- Graf R., Mohajer M., Plattner F. Hip sonography update. Quality-management, catastrophes — tips and tricks. Med Ultrason. 2013;15(4):299-303. doi: 10.11152/mu.2013.2066.154.rg2.
- Suzuki S. Ultrasound and the Pavlik Harness in CDH. J Bone Surg Br. 1993;75(3):483-487. doi: 10.1302/0301-620X.75B3.8496228.
- Terjesen T., Bredland T., Berg V. Ultrasound for hip assessment in the newborn. J Bone Joint Surg Br. 1989;71(5):767-773. doi: 10.1302/0301-620X.71B5.2684989.
- Xie M., Chagin A.S. The epiphyseal secondary ossification center: Evolution, development and function. Bone. 2021;142:115701. doi: 10.1016/j.bone.2020.115701.
- Connolly P., Weinstein S.L. The course and treatment of avascular necrosis of the femoral head in developmental dysplasia of the hip. Acta Orthop Traumatol Turc. 2007; 41(Suppl 1):54-59. (In Turkish).
- Тепленький М.П., Чиркова Н.Г. Асептический некроз головки бедра при врожденной дисплазии тазобедренного сустава. Российский вестник детской хирургии, анестезиологии и реаниматологии. 2012; 2(3):84-87. Teplenky M.P., Chirkova N.G. [Avascular necrosis of the femoral head in developmental hip dysplasia]. Rossiiskii vestnik detskoi khirurgii, anesteziologii i reanimatologii [Russian Journal of Pediatric Surgery, Anesthesia and Intensive Care]. 2012; 2(3):84-87. (In Russian).
- Marks A., Cortina-Borja M., Maor D., Hashemi-Nejad A., Roposch A. Patient-reported outcomes in young adults with osteonecrosis secondary to developmental dysplasia of the hip - a longitudinal and cross-sectional evaluation. BMC Musculoskelet Disord. 2021;22(1):42. doi: 10.1186/s12891-020-03865-3.
- Weinstein S.L., Dolan L.A. Proximal femoral growth disturbance in developmental dysplasiaof the hip: whatdo we know? J Child Orthop. 2018;12(4):331-341. doi: 10.1302/1863-2548.12.180070.
- Tudisco C., Botti F., Bisicchia S., Ippolito E. Ischemic necrosis of the femoral head: an experimental rabbit model. J Orthop Res. 2015;33(4):535-541. doi: 10.1002/jor.22788.
- Azzali E., Milanese G., Martella I., Ruggirello M., Seletti V., Ganazzoli C. et al. Imaging of osteonecrosis of the femoral head. Acta Biomed. 2016;87(3):6-12.
- Хисаметдинова Г.Р. Современные данные об анатомии и кровоснабжении тазобедренного сустава, клинике и диагностике его воспалительно-некротического поражения. Вестник Российского научного центра рентгенорадиологии Минздрава России. 2008;(8):18. Режим доступа: http://vestnik.rncrr.ru/vestnik/v8/papers/hisamet_v8. Khisametdinova G.R. [The modern knowledge about anatomy and blood supply of hip joint in clinics and diagnostics of its inflammatory-necrotic lesions]. Vestnik Rossiiskogo nauchnogo tsentra rentgenoradiologii Minzdrava Rossii. 2008;(8):18. Available from: http://vestnik. rncrr.ru/vestnik/v8/papers/hisamet_v8. (In Russian).
- Садофьева В.И. Рентгено-функциональная диагностика заболеваний опорно-двигательного аппарата у детей. Ленинград: Медицина; 1986. с. 56-57. Sadofyeva V.I. Rentgeno-funktsional’naya diagnostika zabolevanii oporno-dvigatel’nogo apparata u detei [X-ray functional diagnostics of diseases of the musculoskeletal system in children]. Leningrad: Meditsina;1986. р. 56-57. (In Russian).
- Paranjape M., Cziger A., Katz K. Ossification of femoral head: normal sonographic standards. J Pediatr Orthop. 2002;22(2):217-218.
- Harcke H.T., Lee M.S., Sinning L., Clarke N.M., Borns P.F., MacEwen G.D. Ossification center of the infant hip: sonographic and radiographic correlation. AJR Am J Roentgenol. 1986;147(2):317-321. doi: 10.2214/ajr.147.2.317.
- Atalar H., Gunay C., Aytekin M.N. Abnormal Development of the Femoral Head Epiphysis in an Infant with no Developmental Dysplasia of the Hip Apparent on Ultrasonography. J Orthop Case Rep. 2014;4(3):46-48. doi: 10.13107/jocr.2250-0685.195.
- Kitay A., Widmann R.F., Doyle S.M., Do H.T., Green D.W. Ultrasound Is an Alternative to X-ray for Diagnosing Developmental Dysplasia of the Hips in 6-Month-Old Children. HSS J. 2019;15(2):153-158. doi: 10.1007/s11420-018-09657-9.
- Nguyen J.C., Markhardt B.K., Merrow A.C., Dwek J.R. Imaging of Pediatric Growth Plate Disturbances. Radiographics. 2017;37(6):1791-1812. doi: 10.1148/rg.2017170029.
- Zouari O., Hadidane R., Gargouri A., Daghfous M-S. [Proximal femoral epiphysis growth after closed reduction for congenital hip dislocation]. Rev Chir Orthop Reparatrice Appar Mot. 2004;90(2):132-136. (In French). doi: 10.1016/s0035-1040(04)70034-3.
Supplementary files







