Custom Made Implant in Revision Knee Arthroplasty with AORI 3 Bone Defect: а Case Report
- Authors: Zykin A.A.1, Gerasimov S.A.1, Morozova E.A.1
-
Affiliations:
- Privolzhsky Research Medical University
- Issue: Vol 27, No 3 (2021)
- Pages: 101-110
- Section: Case Reports
- Submitted: 21.01.2021
- Accepted: 25.03.2021
- Published: 28.10.2021
- URL: https://journal.rniito.org/jour/article/view/1582
- DOI: https://doi.org/10.21823/2311-2905-2021-27-3-101-110
- ID: 1582
Cite item
Full Text
Abstract
Background. Replacement of extensive bone defects during revision knee arthroplasty (RKA) is a certain problem. The development of additive technologies allows us to produce an individual titanium augment to restore the lost bone tissue. The aim of the study is to show the possibility of replacing extensive tibia defects with an custom made augment during revision knee artroplasty. Case presentation. The patient is 66 years old. At the age of 58, due to secondary knee osteoarthritis in 2 years interval, the patient underwent total knee arthroplasty: left — in 2012, right — in 2014. Subsequently, several revision interventions were required for early periprosthetic infection of the right knee joint. From 2015 to 2018, due to the infection remission, the function of the right knee joint was satisfactory. In 2018, the patient admitted to our clinic with the periprosthetic infection relapse. Due to the previous treatment, the patient had type 3 bone defect according to the AORI classification. A two-stage revision knee arthroplasty was performed. To compensate the extensive tibial defect, the individual tibial implant was manufactured using additive technologies, and a semiconstrained endoprosthesis was implanted. There was no relapse of infection during the observation. There is deficit of active extension, there are no radiological signs of the implant instability. Conclusion. In our case, we were able to achieve satisfactory results in patient with a complex anamnesis and extensive bone defects. The use of individual implant helped to avoid arthrodesis, preserve the weight-bearing of the lower limb and articulation in the knee joint. The use of implants made using 3D technologies is a promising solution for compensating defects of types 2B and 3 according to the AORI classification.
Full Text
Введение
Количество выполненных первичных операций эндопротезирования коленного сустава ежегодно увеличивается, соответственно растет и число ревизионных артропластик [1]. К 2030 г. прогнозируется их рост на 600% [2]. Срок службы ревизионных эндопротезов, по данным литературы, составляет 71–86% от 10-летней выживаемости первичных имплантатов [3].
Основными причинами ревизионных вмешательств являются инфекция, асептическое расшатывание или неправильная установка компонентов эндопротеза, перипротезные переломы, контрактура сустава [4, 5]. При выполнении ревизионного эндопротезирования перед хирургом стоит ряд важных задач: компенсация костных дефектов, стабильная фиксация и правильное пространственное позиционирование ревизионных компонентов, воссоздание нормального уровня суставной линии. Их решение требует восстановления анатомии и биомеханики имплантированного коленного сустава [6]. Наличие обширных дефектов бедренной и большеберцовой костей существенно осложняет выполнение этих задач. Причинами костных дефектов являются остеолиз вокруг компонентов эндопротеза при износе полиэтиленового вкладыша, остеонекроз, миграция нестабильных компонентов, удаление компонентов эндопротеза вместе с костью, хроническая перипротезная инфекция [7, 8, 9]. Первостепенной задачей ревизионного вмешательства является восполнение объема утраченной костной ткани, без достижения которой невозможно добиться стабильной фиксации компонентов эндопротеза [10, 11]. Согласно теории R. Morgan-Jones, каждый из компонентов эндопротеза должен быть фиксирован как минимум в двух анатомических зонах бедренной и большеберцовой костей [12]. Стабильность фиксации определяет срок службы ревизионного эндопротеза [13]. Рубцово-измененные ткани после предшествующих операций, нарушение функции мышц и сухожилий, остеопороз закономерно осложняют выполнение реэндопротезирования [14].
Наиболее распространенной классификацией костных дефектов бедренной и большеберцовой костей является классификация, разработанная в Anderson Orthopedic Research Institute (AORI) [15]. Самыми трудновосполнимыми являются дефекты типа 3, которые характеризуются резорбцией кортикальной и губчатой кости метаэпифизов. Дефекты затрагивают область надмыщелков и выше на бедренной кости или бугристость и ниже на большеберцовой кости [16, 17]. Несостоятельными являются коллатеральные связки. На сегодняшний день отсутствует единое мнение о выборе методов замещения дефектов при ревизионном эндопротезировании КС. Вариантами восполнения являются массивные аллотрансплантаты и мегапротезы. В последнее время используются индивидуально изготовленные титановые имплантаты, а также техника двойных конусов [7, 8, 16, 18]. Однако не исключены в некоторых случаях и операции отчаяния, такие как артродезирование и ампутация конечности, что приводит к необратимому ухудшению качества жизни пациента.
Цель работы — показать возможность замещения дефектов большеберцовой кости индивидуально изготовленным аугментом при ревизионном эндопротезировании коленного сустава.
Клиническое наблюдение
Пациентка 66 лет. В возрасте 39 лет ей был поставлен диагноз «ревматоидный артрит» (серонегативный II ст., активность II, НФ III). На постоянной основе принимает цитостатический препарат из группы антиметаболитов. Проходила курсы консервативного лечения без положительного эффекта. В возрасте 58 лет по поводу вторичного гонартроза 3 ст. последовательно, с интервалом в 2 года, пациентке выполнено тотальное эндопротезирование коленных суставов (левого — в 2012 г., правого — в 2014 г.). Функция левого коленного сустава восстановилась.
В раннем послеоперационном периоде после эндопротезирования правого коленного сустава у пациентки сохранялся болевой синдром, наблюдались отечность, гиперемия, вечерний субфебрилитет. Проводилось консервативное лечение — прием антибиотиков широкого спектра. Через 6 мес. после эндопротезирования на фоне сохранения болевого синдрома была выполнена пункция коленного сустава, получен положительный результат бактериологического исследования. Пациентка госпитализирована, произведены санация коленного сустава, промывание и ультразвуковая кавитация раны без удаления компонентов эндопротеза. В послеоперационном периоде отмечалось отсутствие положительной динамики: сохранение болевого синдрома, гиперемия, отечность коленного сустава. Спустя месяц пациентка оперирована повторно: эндопротез удален, установлен насыщенный антибиотиками артикулирующий спейсер. Через несколько месяцев развился рецидив инфекции, выявлена нестабильность компонентов спейсера, пациентка госпитализирована в отделение гнойной остеологии. В сентябре 2014 г. выполнена повторная операция — хирургическая обработка гнойного очага, повторная установка артикулирующего спейсера правого коленного сустава.
Положительная динамика клинических и лабораторных показателей свидетельствовала о купировании инфекции. В 2015 г. был проведен второй этап ревизионного эндопротезирования правого коленного сустава с использованием связанного имплантата. В течение трех лет функция сустава была удовлетворительной, рецидива инфекции не отмечено.
Через 3 года, в 2018 г., вновь стала повышаться температура, отмечалась гиперемия сустава, открылся свищ. С этими жалобами пациентка впервые обратилась в нашу клинику (рис. 1). Пункция сустава с микробиологическим исследованием пунктата выявила наличие золотистого стафилококка, подтвержден рецидив перипротезной инфекции (ППИ) правого коленного сустава. Выполнены санация и установка артикулирующего спейсера. Обширный дефект большеберцовой кости, образовавшийся после удаления связанного эндопротеза, замещен спейсером, изготовленным с использованием 3D технологий.
Рис. 1. Рентгенограммы коленного сустава в прямой и боковой проекциях с установленным связанным имплантатом при поступлении в клинику
Спустя полгода пациентка госпитализирована в ортопедическое отделение для проведения второго этапа ревизионного эндопротезирования коленного сустава (рис. 2). При поступлении передвигалась на костылях без опоры на нижнюю конечность, длинные расстояния преодолевала с помощью инвалидной коляски. Укорочение конечности составляло 3 см, отмечались варусная деформация, несостоятельность медиальной коллатеральной связки, высокое положение надколенника (patella аlta), гипотрофия мышц правого бедра. Движения в правом коленном суставе болезненные, их амплитуда составляла 0/0/20°. Данные лабораторного обследования свидетельствовали о купировании инфекционного воспаления. Функциональное состояние по шкалам WOMAC и KSS было оценено как неудовлетворительное, уровень боли по визуально-аналоговой шкале (VAS) составил 8 баллов.
Рис. 2. Предоперационные рентгенограммы коленного сустава в прямой и боковой проекциях — установлен индивидуально изготовленный спейсер
Обширные дефекты большеберцовой кости типа 3 по классификации AORI потребовали установки индивидуально изготовленного имплантата проксимального метаэпифиза большеберцовой кости.
Предоперационное планирование и изготовление имплантата
Пациентке была выполнена мультиспиральная компьютерная томография (МСКТ) на аппарате Toshiba Aquilion 32 (Япония), на основании которой была создана трехмерная компьютерная модель коленного сустава. На 3D-модели выполнялся компьютерный расчет требуемой геометрии имплантата непосредственно в области дефекта, который он должен восполнить (рис. 3). Была смоделирована необходимая структура c учетом технических и размерных особенностей ревизионного эндопротеза коленного сустава, который планировали использовать при выполнении второго этапа операции. Затем производилась печать имплантата с использованием 3D-принтера методом прямого лазерного спекания (Direct Metal Laser Sintering — DMLS) мелкодисперсного титанового порошка. Далее осуществлялись термическая обработка, поэтапная ультразвуковая очистка в дистиллированной воде, нейтральной, щелочной и кислой средах и повторное промывание в ультразвуковой ванне с дистиллированной водой в течение 30–60 мин. Способ позволил создать имплантат с достаточной прочностью, точно соответствующий строению костного дефекта. Затем изделие проходило стандартную процедуру дезинфекции и стерилизации путем автоклавирования.
Рис. 3. Предоперационное планирование пространственного расположения индивидуального компонента большеберцовой кости
Хирургическая техника
Оперативное вмешательство выполнялось под спинальной анестезией в положении пациентки лежа на спине. Из переднего доступа по старому послеоперационному рубцу была выполнена артротомия правого коленного сустава, выделилось около 20 мл желтоватой синовиальной жидкости, которая была взята для микробиологического исследования. Также произведен забор фрагментов тканей из пяти различных участков для исследования в бактериологической лаборатории. Затем были удалены компоненты цементного спейсера. В связи с тем, что мягкие ткани коленного сустава имели выраженные рубцовые изменения, с трудом был выполнен доступ к суставным концам бедренной и большеберцовой костей. Из доступных отделов удалена синовиальная оболочка, осуществлены краевая моделирующая резекция и денервация надколенника. Проксимальный отдел большеберцовой кости практически отсутствовал до диафиза на протяжении 6–7 см от верхушки головки малоберцовой кости, что делало его неопороспособным для установки стандартного варианта ревизионного эндопротеза (рис. 4).
Рис. 4. Массивный костный дефект типа 3 по классификации AORI
Дефект кости замещен индивидуальным имплантатом, изготовленным по 3D-технологии. С использованием стандартного набора инструментов смоделированы костные ложа для компонентов полусвязанного эндопротеза: размер бедренного компонента — Е, большеберцового — 4. Для сохранения ротации бедренного компонента использованы задние аугменты 5 мм.
Для диафизарной фиксации бедренного компонента смоделирован костномозговой канал бедренной кости под прямую интрамедуллярную ножку диаметром 16 мм, длиной 100 мм. Дефект проксимального отдела большеберцовой кости замещен индивидуальным имплантатом, изготовленным посредством прототипирования, большеберцовая ножка — прямая, диаметром 14 мм, длиной 100 мм. Место прикрепления связки надколенника на большеберцовой кости отсутствовало, что потребовало фиксации рубцово-измененной связки надколенника с использованием двух синтетических лент шириной 2 мм к аугменту. Осуществлена пробная сборка компонентов эндопротеза с вкладышем 10 мм — сустав стабилен. Имплантированы оригинальные компоненты. Для профилактики развития инфекционного осложнения использованы две дозы костного цемента с добавлением терморезистентных антибиотиков. Сустав стабилен, амплитуда движений 0/0/70°. Наложен послойный шов раны (рис. 5).
Рис. 5. Установлены окончательные компоненты полусвязанного эндопротеза с индивидуальным имплантатом, замещающим дефект большеберцовой кости
В послеоперационном периоде пациентка получала антибактериальную терапию с учетом результатов последних бактериологических исследований в течение 7 дней и стандартную антикоагулянтную терапию. В течение 21 дня (до снятия швов) прооперированная нижняя конечность была иммобилизирована в прямом брейсе — такой срок был обусловлен особенностями реконструкции разгибательного аппарата коленного сустава. Со 2-го дня после операции была разрешена ходьба с помощью костылей с частичной опорой на оперированную конечность. Из стационара пациентка выписана на 7-й день. Назначены анальгетики в течение 12 дней после операции. Швы сняты через 21 день. При выписке назначена щадящая лечебная гимнастика в течение 6 нед. после операции. Спустя 6 нед. с момента операции разрешена ходьба с тростью, а также более интенсивные упражнения для увеличения амплитуды движений в оперированном суставе.
На контрольном осмотре через 3 мес. болевой синдром оценивался в 3 балла по VAS. Ночью и в покое боли не беспокоили. Пациентка могла пройти до 1 км, продолжала использовать в качестве опоры трость. Объем движений составил 0/0/80º, отмечалось ограничение активного разгибания около 10º. При рентгенологическом обследовании состояние эндопротеза оценивалось как удовлетворительное.
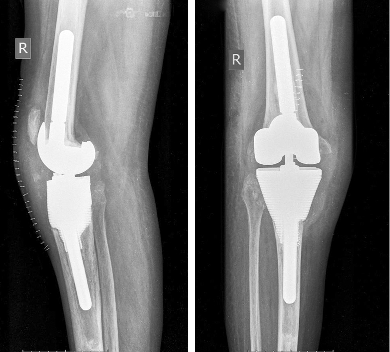
Спустя 12 мес. после операции болевой синдром отмечался только при значительных нагрузках. Пациентка передвигалась с помощью трости на расстояние более 3 км. Объем движений в коленном суставе немного увеличился и составил 0/0/95º. Сохранялся дефицит активного разгибания до 10º. На рентгенограммах признаки расшатывания эндопротеза или индивидуального имплантата не обнаружены, все компоненты стабильны (рис. 6). Спустя год после операции прослеживалась положительная функциональная динамика: результат по шкале KSS составил 69 баллов (удовлетворительный), по шкале WOMAC — 30 баллов (удовлетворительный), выраженность болевого синдрома по VAS — 1 балл.
Рис. 6. Послеоперационные рентгенограммы коленного сустава в прямой и боковой проекциях с индивидуальным титановым аугментом
Обсуждение
На сегодняшний день компенсация обширных костных дефектов остается актуальной проблемой. Продолжаются поиски оптимальных вариантов лечения, которые отвечали бы всем задачам ревизионной хирургии. Применяемые в клинической практике методики обладают как преимуществами, так и недостатками.
Одним из способов компенсации обширных дефектов является использование массивных аллотрансплантатов. С их помощью можно возместить практически любой объем утраченной костной ткани [7, 9]. Чаще всего для костной пластики при типе 3 дефектов по классификации AORI используют кортикально-губчатые структурные трансплантаты [9]. Аллотрансплантатами возможно практически полностью заместить имеющийся дефект кости с использованием относительно недорогого материала, что позволит нормализовать суставную линию и создать максимальную опору для имплантируемого эндопротеза [9]. Однако данная методика обладает рядом существенных недостатков, таких как возможность передачи трансмиссивных и инфекционных заболеваний, отсутствие остеоинтеграции на границе «нативная кость – аллотрансплантат», резорбция трансплантата, что приводит к нарушению стабильности эндопротеза [1, 19, 20, 21]. По данным разных исследований, десятилетняя выживаемость аллотрансплантатов составляет от 50 до 76% [22, 23].
Кроме того, имеются ограничения организационного характера — заготовка и хранение аллотрансплантатов связаны со значительными расходами, и не каждое учреждение располагает возможностью содержания собственного костного банка. К тому же в российском законодательстве не до конца проработаны нормативы, которые регулировали бы процесс обмена этим биологическим материалом между учреждениями [24].
При значительной потере костной массы реэндопротезирование может быть выполнено с помощью мегапротезов у пациентов, не страдающих злокачественными новообразованиями костей. Данная металлоконструкция позволяет заместить значительный дефект, восстановить длину конечности и движения в суставе, за счет этого реабилитационный процесс протекает быстрее, осевые нагрузки на прооперированную конечность возможны уже в раннем послеоперационном периоде [9, 25]. Ввиду специфики показаний к установке (наличие онкозаболевания, а также высокой стоимости эндопротеза) опыт их использования у ортопедических пациентов со значительными костными дефектами весьма ограничен [24]. Кроме того, в российских специализированных центрах травматологии и ортопедии отсутствуют квоты на данный вид ревизионной хирургии, и онкологические имплантаты доступны только онкологическим больным. По данным литературы, мегапротезы имеют более высокий риск несостоятельности, чем стандартные эндопротезы коленного сустава в результате инфекционных осложнений, механических повреждений, расшатывания [26, 27]. Частота несостоятельности мегапротезов варьируется от 25 до 92% [27].
За прошедшие 5–7 лет накоплен определенный опыт использования двойных конусов и индивидуально изготовленных с помощью 3D-печати имплантатов. Обе техники позволяют компенсировать имеющийся костный дефект, восстановить уровень суставной линии. Осевая нагрузка на оперированную конечность возможна уже в раннем послеоперационном периоде [1]. Однако на сегодняшний день отсутствуют отдаленные результаты использования подобных металлоконструкций [18, 28]. К недостаткам двойных конусов можно отнести малую площадь контакта с нативной костью и высокую стоимость [29]. Кроме этого, для достижения первичной стабильности требуется выполнение дополнительных опилов и так уже скомпрометированной кости для формирования ложа имплантата [1]. Также использование конусов ограничено по формам и типоразмерам, что требует во время операции их тщательного подбора [1]. В случаях применения метода двойных конусов существует риск мальпозиции бедренного компонента ввиду сложности восстановления правильной ротации, а иногда и отсутствия возможности применения офсетных ножек [29]. При повторных операциях удаление данных компонентов достаточно затруднительно и может сопровождаться потерей костной массы [1].
Опыт использования индивидуальных имплантатов пока незначительный как в России, так и за рубежом [11, 18, 28]. Несмотря на то, что их применение требует более длительной предоперационной подготовки, стоимость конструкций ниже по сравнению с двойными конусами или мегапротезами [28]. Индивидуальный имплантат в полной мере соответствует костному дефекту, что, несомненно, облегчает работу хирурга по его установке и позволяет сохранить костную массу [11, 18]. Нельзя не отметить, что уровень соответствия имплантата геометрии имеющегося дефекта зависит от качества проведенного предоперационного планирования и опыта моделирования медицинских изделий подобного рода у инженера-проектировщика [18].
В представленном случае пациентке было выполнено шесть операций на правом коленном суставе, в том числе три — по поводу инфекционного процесса, потребовавшего хирургической обработки гнойного очага и установки спейсера. Выполненные операции закономерно привели к значительной потере костной массы. В случаях многократного рецидива инфекции и при значительном костном дефекте достаточно широко распространена практика выполнения артродеза [30, 31]. Результатом данной операции является отсутствие какой-либо артикуляции в коленном суставе, что негативно сказывается на качестве жизни пациента, однако при этом сохраняется опороспособность нижней конечности. Приняв во внимание преимущества и недостатки всех возможных методик при типе 3 костного дефекта по классификации AORI, было принято решение об установке индивидуального титанового имплантата, с помощью которого удалось сохранить не только опороспособность нижней конечности, но и артикуляцию в коленном суставе, даже при сохранении дефицита активного разгибания.
Об успешных результатах использования индивидуальных имплантатов у пациентки, перенесшей в анамнезе пять оперативных вмешательств на коленном суставе, сообщает G. Burastero с соавторами [32]. По данным рентгенологического исследования в предоперационном периоде, у больной был выявлен метафизарный остеолиз большеберцовой и бедренной костей, соответствующий типу 3 по классификации AORI. Для восстановления функции коленного сустава были индивидуально изготовлены бедренный и большеберцовый компоненты и установлен шарнирный эндопротез. Авторы не сообщают об интраоперационных или послеоперационных осложнениях, возникших в течение двухлетнего периода наблюдения. Спустя 2 года с момента операции амплитуда движений в коленном суставе составила от 0 до 90º, оценка по опроснику KSS — 86 баллов, уровень боли по VAS — 0 баллов. По результатам рентгенографии признаков миграции компонентов не было обнаружено. На наш взгляд, зарубежным коллегам удалось достичь более высоких функциональных результатов по сравнению с нашим клиническим наблюдением, поскольку в анамнезе был только один эпизод перипротезной инфекции, меньшее число последовательных хирургических вмешательств, что во многом определяет как уровень послеоперационной боли, так и перспективы возможной реабилитации и достигаемых функциональных результатов.
Авторский коллектив во главе с А.А. Черным представил свой опыт установки 26 индивидуально изготовленных аугментов при ревизионном эндопротезировании коленного сустава при костных дефектах типов 2B и 3 по классификации AORI [24]. Какие-либо технические сложности при имплантации индивидуальных титановых аугментов отсутствовали. Авторами отмечено, что не возникло никаких осложнений в раннем послеоперационном периоде. По результатам рентгенографии признаки нестабильности компонентов отсутствовали. Через 18 мес. средние результаты по опроснику KSS составили 97,5 баллов, шкалам WOMAC — 16,5 и FJS-12 — 45,9. Полученные авторами результаты сходны с исходами, представленными в работе G. Burastero с соавторами [32]. Более того, в работе российских коллег приводятся успешные результаты операций у пациентов с различными типами костных дефектов коленного сустава, что говорит об эффективности применения имплантатов, изготовленных с помощью аддитивных технологий.
На основании приведенных примеров, а также собственного опыта использования индивидуально изготовленных металлоконструкций хотелось бы отметить отсутствие технических сложностей при их имплантации, а также сопряженных с ними компонентов официнального эндопротеза. На наш взгляд, это является весомым преимуществом по сравнению с техническими особенностями применения методики двойных конусов.
Заключение
Таким образом, ревизионное эндопротезирование коленного сустава при наличии обширных костных дефектов может представлять сложную задачу. Одним из вариантов восполнения костных дефектов является установка индивидуально изготовленного имплантата. В представленном нами случае мы смогли добиться удовлетворительных результатов у пациентки со сложным анамнезом и обширными костными дефектами. Применение индивидуального имплантата помогло избежать артродезирования, сохранить опороспособность нижней конечности и артикуляцию в коленном суставе. На наш взгляд, использование имплантатов, изготовленных с помощью 3D-технологий, является перспективным решением для компенсации дефектов типов 2В и 3 по классификации AORI.
Информированное согласие
Пациентка дала добровольное письменное информированное согласие на публикацию клинического наблюдения.
Заявленный вклад авторов
Зыкин А.А. — разработка концепции и дизайна статьи, проведение оперативного вмешательства, написание текста статьи.
Герасимов С.А. — проведение оперативного вмешательства, редактирование текста статьи.
Морозова Е.А. — обзор публикаций по теме статьи, сбор и обработка материала, анализ и интерпретация полученных данных.
Все авторы прочли и одобрили финальную версию рукописи статьи. Все авторы согласны нести ответственность за все аспекты работы, чтобы обеспечить надлежащее рассмотрение и решение всех возможных вопросов, связанных с корректностью и надежностью любой части работы.
Конфликт интересов
Авторы заявляют об отсутствии конфликта интересов.
About the authors
Andrey A. Zykin
Privolzhsky Research Medical University
Email: dr.zykin@mail.ru
ORCID iD: 0000-0002-6321-3631
Cand. Sci. (Med.)
Russian Federation, Nizhny NovgorodSergey A. Gerasimov
Privolzhsky Research Medical University
Email: gerasimoff@list.ru
ORCID iD: 0000-0002-3179-9770
Cand. Sci. (Med.)
Russian Federation, Nizhny NovgorodEkaterina A. Morozova
Privolzhsky Research Medical University
Author for correspondence.
Email: ekaterina.m.96@mail.ru
ORCID iD: 0000-0001-7548-9398
администратор Университетской клиники
Russian Federation, Nizhny NovgorodReferences
- Zanirato A., Formica M., Cavagnaro L., Divano S., Burastero G., Felli L. Metaphyseal cones and sleeves in revision total knee arthroplasty: two sides of the same coin? Complications, clinical and radiological results – a systematic review of the literature. Musculoskelet Surg. 2020;104(1):25-35. doi: 10.1007/s12306-019-00598-y.
- Kurtz S., Ong K., Lau E., Mowat F., Halpern M. Projections of primary and revision hip and knee arthroplasty in the United States from 2005 to 2030) and projections of primary and revision hip and knee arthroplasty in the United States from 2005 to 2030. J Bone Joint Surg Am. 2007;89(4):780-785. doi: 10.2106/JBJS.F.00222.
- Bae D.K., Song S.J., Heo D.B., Lee S.H., Song W.J. Long-term survival rate of implants and modes of failure after revision total knee arthroplasty by a single surgeon. J Arthroplasty. 2013;28(7):1130-1134. doi: 10.1016/j.arth.2012.08.021.
- Kohlhof H., Petershofer A., Randau T., Gravius S., Trieb K., Wirtz D.C. Use of an new modular revision arthroplasty system for the knee reconstruction. Oper Orthop Traumatol. 2020;32(4):309-328. doi: 10.1007/s00064-020-00669-5.
- Burastero G, Pianigiani S, Zanvettor C, Cavagnaro L, Chiarlone F, Innocenti B. Use of porous custom-made cones for meta-diaphyseal bone defects reconstruction in knee revision surgery: a clinical and biomechanical analysis. Arch Orthop Trauma Surg. 2020;140(12):2041-2055. doi: 10.1007/s00402-020-03670-6.
- Shen C., Lichstein P.M., Austin M.S., Sharkey P.F., Parvizi J. Revision knee arthroplasty for bone loss: choosing the right degree of constraint. J Arthroplasty. 2014;29(1):127-131. doi: 10.1016/j.arth.2013.04.042.
- Бовкис К.Ю., Куляба Т.А., Корнилов Н.Н. Компенсация дефектов метаэпифизов бедренной и большеберцовой костей при ревизионном эндопротезировании коленного сустава — способы и результаты их применения (обзор литературы). Травматология и ортопедия России. 2016;22(2):101-113. doi: 10.21823/2311-2905-2016-0-2-101-113. Bovkis G.Yu., Kulyaba T.A., Kornilov N.N. [Management of femur and tibia metaphyseal bone defects during revision total knee arthroplasty – methods and outcomes (review)]. Travmatologiya i ortopediya Rossii [Traumatology and Orthopedics of Russia]. 2016;22(2):101-113. (In Russian). doi: 10.21823/2311-2905-2016-0-2-101-113.
- Mansuco F., Beltrame A., Colombo E., Miani E., Bassini F. Management of metaphyseal bone loss in revision knee arthroplasty. Acta Biomed. 2017;88(2S):98-111. doi: 10.23750/abm.v88i2-S.6520.
- Shafaghi R., Rodriguez O., Schemitsch E.H., Zalzal P., Waldman S.D., Papini M., Towler M.R. A review of materials for managing bone loss in revision total knee arthroplasty. Mater Sci Eng C Mater Biol Appl. 2019;104:109941. doi: 10.1016/j.msec.2019.109941.
- Divano S., Cavagnaro L., Zanirato A., Basso M., Felli L., Formica M. Porous metal cones: gold standard for massive bone loss in complex revision knee arthroplasty? A systematic review of current literature. Arch Orthop Trauma Surg. 2018;138(6):851-863. doi: 10.1007/s00402-018-2936-7.
- Базлов В.А., Гуражев М.Б., Мамуладзе Т.З., Панченко А.А., Пронских А.А., Соловьев В.Ю. и др. Использование индивидуальных имплантатов в ревизионном эндопротезировании коленного сустава. Современные проблемы науки и образования. 2019;4. doi: 10.17513/spno.29130. Режим доступа: https://science-education.ru/ru/article/view?id=29130. Bazlov V.A., Gurazhev M.B., Mamuladze T.Z., Panchenko A.A., Pronskih A.A., Solov’ev V.YU. et al. [The use of individual implants in revision total knee arthroplasty]. Sovremennye problemy nauki i obrazovaniya [Modern problems of science and education]. 2019;4. doi: 10.17513/spno.29130. Available from: https://science-education.ru/ru/article/view?id=29130.
- Morgan-Jones R., Oussedik S.I., Graichen H., Haddad F.S. Zonal fixation in revision total knee arthroplasty. Bone Join J. 2015;97-B(2):147-149. doi: 10.1302/0301-620X.97B2.34144.
- Kohlhof H., Randau T., Kehrer M., Wirtz D.C. Reconstruction of tibial metaphyseal defects with artificial components in revision arthroplasty (GenuX MK System). Orthop Traumatol. 2020;32(4):284-297. doi: 10.1007/s00064-020-00666-8.
- Calori G.M., Mazza E.L., Vaienti L., Mazzola S., Colombo A., Gala L. et all. Reconstruction of patellar tendon following implantation of proximal tibia megaprosthesis for the treatment of post-traumatic septic bone defects. Injury. 2016;47 Suppl 6:S77-S82. doi: 10.1016/S0020-1383(16)30843-9.
- Engh G.A, Parks N.L. The management of bone defects in revision total knee arthroplasty. Instr Course Lect. 1997;46:227-36.
- Lei P.F., Hu R.Y., Hu Y.H. Bone defects in revision total knee arthroplasty and management. Orthop Surg. 2019;11(1):15-24. doi: 10.1111/os.12425.
- Panegrossi G., Ceretti M., Papalia M., Casella F., Favetti F., Falez F. Bone loss management in total knee revision surgery. Int Orthop. 2014;38(2):419-427. doi: 10.1007/s00264-013-2262-1.
- Куляба Т.А., Корнилов Н.Н., Каземирский А.В., Бовкис Г.Ю., Стафеев Д.В., Черный А.А. и др. Методика двойных трабекулярных танталовых конусов как альтернатива аддитивным технологиям при ревизионном эндопротезировании коленного сустава (серия клинических наблюдений). Травматология и ортопедия России. 2020;26(2):148-159. doi: 10.21823/2311-2905-2020-26-2-148-159. Kulyaba T.A., Kornilov N.N., Kazemirskiy A.V., Bovkis G.Yu., Stafeev D.V., Cherny A.A. et al. [Double Trabecular Tantalum Cones as an Alternative to Additive Technologies for Revision Knee Arthroplasty (A Case Series)]. Travmatologiya i ortopediya Rossii [Traumatology and Orthopedics of Russia]. 2020;26(2):148-159. (In Russian). doi: 10.21823/2311-2905-2020-26-2-148-159.
- Buck B., Murtha Y.M. The management of bone defects in periarticular knee injuries: a review article. J Knee Surg. 2017;30(3):194-199. doi: 10.1055/s-0037-1598076.
- Denehy K.M., Abhari S., Krebs V.E., Higuera-Rueda C.A., Samuel L.T., Sultan A.A., Metaphyseal fixation using highly porous cones in revision total knee arthroplasty: minimum two year follow up study. J Arthroplasty. 2019;34(10):2439-2443. doi: 10.1016/j.arth.2019.03.045.
- Лычагин А.В., Пан Ч. Особенности различных методов замещения костных дефектов при ревизионном эндопротезировании коленного сустава. Современная наука: актуальные проблемы теории и практики. 2019;2:85-88. Lychagin A.V., Pan Ch. [Features of various methods for replacing bone defects in revision arthroplasty of the knee joint]. Sovremennaya nauka: aktual’nye problemy teorii i praktiki [Modern Science: actual problems of theory and practice]. 2019;(2):85-88. (In Russian).
- Hilgen V., Citak M., Vettorazzi E., Haasper C., Day K., Amling M., et al. 10-year results following impaction bone grafting of major bone defects in 29 rotational and hinged knee revision arthroplasties. Acta Orthop. 2013;84:387-391. doi: 10.3109/17453674.2013.814012.
- Backstein D., Safir O., Gross A. Management of bone loss: structural grafts in revision total knee arthroplasty. Clin Orthop Relat Res. 2006;446:104-112. doi: 10.1097/01.blo.0000214426.52206.2c.
- Черный А.А., Коваленко А.Н., Билык С.С., Денисов А.О., Каземирский А.В., Куляба Т.А. и др. Ранние результаты применения индивидуально изготовленных модульных конусов для замещения метафизарно-диафизарных костных дефектов при ревизионной артропластике коленного сустава. Травматология и ортопедия России. 2019;25(2):9-18. doi: 10.21823/2311-2905-2019-25-2-9-18. Cherny A.A., Kovalenko A.N., Bilyk S.S., Denisov A.O., Kazemirskiy A.V., Kulyaba T.A., Kornilov N.N. [Early Outcomes of Patient-Specific Modular Cones for Substitution of Methaphysial and Diaphysial Bone Defects in Revision Knee Arthroplasty]. Travmatologiya i ortopediya Rossii [Traumatology and Orthopedics of Russia]. 2019;25(2):9-18. (In Russian). doi: 10.21823/2311-2905-2019-25-2-9-18.
- Marczak D., Kowalczewski J., Czubak J., Okoń T., Synder M., Sibiński M. Short and mid term results of revision total knee arthroplasty with Global Modular Replacement System. Indian J Orthop. 2017;51(3):324-329. doi: 10.4103/0019-5413.205684.
- Pala E., Trovarelli G., Calabrò, Angelini A., Abati C.N., Ruggieri P. Survival of modern knee tumor megaprostheses: failures, functional results, and a comparative statistical analysis. Clin Orthop Relat Res. 2015;473(3):891-899. doi: 10.1007/s11999-014-3699-2.
- Capanna R., Scoccianti G., Frenos F., Vilardi A., Beltrami G., Campanacci D.A. What was the survival of megaprostheses in lower limb reconstructions after tumor resections? Clin Orthop Relat Res. 2015;473(3):820-830. doi: 10.1007/s11999-014-3736-1.
- Namin A.T., Jalali M.S., Vahdat V., Bedair H.S., O’Connor M.I., Kamarthi S., Isaacs J.A. Adoption of New Medical Technologies: The Case of Customized Individually Made Knee Implants. Value Health. 2019;22(4):423-430. doi: 10.1016/j.jval.2019.01.008.
- Rajgopal A., Panda I., Yadav S., Wakde O. Stacked Tantalum Cones as a Method for Treating Severe Distal Femoral Bone Deficiency in Total Knee Arthroplasty. J Knee Surg. 2019;32(9):833-840. doi: 10.1055/s-0038-1669789.
- Conway J.D. Knee Arthrodesis for Recurrent Periprosthetic Knee Infection. JBJS Essent Surg Tech. 2020;10(3):e19.00027. doi: 10.2106/JBJS.ST.19.00027.
- Баитов В.С., Мамуладзе Т.З., Базлов В.А. Возможности использования объемного моделирования и 3D печати с целью создания индивидуальных артродезирующих конструкций в ревизионном эндопротезировании коленного сустава. Международный журнал прикладных и фундаментальных исследований. 2016;12(7):1189-1193. Baitov V.S., Mamuladze T.Z., Bazlov V.A. [The possibility of using three-dimensional modeling and 3D printing to create individual arthrodesis designs in revision arthroplasty of the knee joint]. Mezhdunarodnyj zhurnal prikladnykh i fundamental’nykh issledovanij [International journal of applied and fundamental research]. 2016;12(7):1189-1193. (In Russian).
- Burastero G., Cavagnaro L., Chiarlone F., Innocenti B., Felli L. A case report: custom made porous titanium implants in revision: a new option for complex issues. Open Orthop J. 2018;(12):525-535. doi: 10.2174/1874325001812010525. Available from: https://openorthopaedicsjournal.com/VOLUME/12/PAGE/525/FULLTEXT/
Supplementary files










