Оригинальный направитель для малоинвазивной дистальной остеотомии первой плюсневой кости при лечении вальгусной деформации первого пальца стопы
- Авторы: Олейник А.В.1, Беленький И.Г.1,2, Сергеев Г.Д.1,2, Кочиш А.Ю.3, Разумова К.В.1, Биназаров А.Е.1, Майоров Б.А.1,2
-
Учреждения:
- ГБУ «Санкт-Петербургский научно-исследовательский институт скорой помощи имени И.И. Джанелидзе»
- ФГБОУ ВО «Санкт-Петербургский государственный университет»
- ФГБУ «Национальный медицинский исследовательский центр травматологии и ортопедии имени Р.Р. Вредена» Минздрава России
- Выпуск: Том 29, № 3 (2023)
- Страницы: 65-72
- Раздел: НОВЫЕ ТЕХНОЛОГИИ В ТРАВМАТОЛОГИИ И ОРТОПЕДИИ
- Дата подачи: 18.04.2023
- Дата принятия к публикации: 27.07.2023
- Дата публикации: 15.09.2023
- URL: https://journal.rniito.org/jour/article/view/8427
- DOI: https://doi.org/10.17816/2311-2905-8427
- ID: 8427
Цитировать
Аннотация
Актуальность. Малоинвазивные хирургические вмешательства широко применяются в травматологии и ортопедии. Совершенствуется как техника операций, так и применяемые инструменты, что способствует улучшению функциональных результатов лечения пациентов.
Цель исследования: представить новый инструмент — направитель для малоинвазивной хирургической коррекции приобретенной вальгусной деформации первого пальца стопы.
Описание инструмента. Разработан направитель, предназначенный для использования при выполнении малоинвазивных оперативных вмешательств для коррекции hallux valgus (HV). Он состоит из нескольких соединяющихся между собой компонентов: дистальная планка, интрамедуллярный направитель, проксимальная планка, шаблон для спицы. Эти детали фиксируются друг с другом. При этом дистальная планка, проксимальная планка и шаблон для спицы соединяются с возможностью регулировки взаимного их расположения. Конструкция предложенного устройства позволяет провести первую направляющую спицу для установки канюлированного винта в оптимальном положении. Представленный клинический случай, иллюстрирует успешное применение описанного устройства. Пациентке выполнена малоинвазивная дистальная корригирующая остеотомия по поводу вальгусного отклонения первого пальца средней степени тяжести. По данным дооперационных рентгенограмм первый межплюсневый угол и угол отклонения первого пальца были равны 13,5° и 25° соответственно, через 6 мес. после операции — 3° и 7°, соответственно. Результат корригирующей операции был признан отличным.
Заключение. Применение предложенного направителя сокращает время операции, уменьшает ее травматичность и минимизирует лучевую нагрузку на хирурга и пациента.
Полный текст
ВВЕДЕНИЕ
Проблема хирургического лечения вальгусной деформации первого пальца стопы интересует врачей уже почти два столетия [1]. Это объясняется не только высокой частотой встречаемости данного заболевания, но и сложностью его этиопатогенеза [2, 3, 4]. Попытки хирургов воздействовать на различные патогенетические факторы формирования hallux valgus (HV) привели к тому, что на сегодняшний день описано более 130 вариантов хирургических вмешательств [1, 5]. Наиболее современными способами лечения являются малоинвазивные корригирующие остеотомии, которые широко применяются при лечении деформаций легкой и средней степеней тяжести [6, 7].
В публикациях, посвященных оперативному лечению вальгусного отклонения первого пальца стопы, авторы говорят о трех поколениях малоинвазивных вмешательств [6, 8]. К первому поколению относится операция по Reverdin – Isham, которая представляет собой клиновидную закрытоугольную остеотомию на уровне головки первой плюсневой кости, выполняемую из мини-доступов. Второе поколение — это малоинвазивная операция по Bosch. Данное вмешательство заключается в чрескожной поперечной дистальной остеотомии первой плюсневой кости с фиксацией костных фрагментов спицей Киршнера. Эти два поколения методов хирургического лечения HV критиковались в научной литературе в связи с недостаточной доказательной базой для их широкого клинического применения и высокой частотой осложнений [8]. Наибольшей популярностью сегодня пользуется третье поколение операций — малоинвазивная дистальная шевронная остеотомия первой плюсневой кости в сочетании с остеотомией по Akin (MICA — minimally invasive chevron Akin), при которой фиксация костных фрагментов производится с помощью канюлированных компрессирующих винтов [7, 9].
Результаты исследований, опубликованных в предыдущем десятилетии, говорят о том, что функциональные исходы малоинвазивных и открытых корригирующих операций по поводу HV схожи. [10, 11, 12]. Однако метаанализ наиболее современных публикаций по данной теме свидетельствует в пользу малоинвазивных вмешательств [6]. Преимущества малоинвазивных операций перед открытыми включают более бережное отношение к мягким тканям, меньшую длительность вмешательства, короткие сроки реабилитации и более выраженный косметический эффект [13]. Однако существуют и недостатки. Малоинвазивные корригирующие остеотомии требуют обязательной интраоперационной рентгенографии на этапах операции [14]. Закрытая методика фиксации отломков при помощи канюлированных винтов приводит к увеличению времени работы электронно-оптического преобразователя и, следовательно, повышает лучевую нагрузку на пациента и оператора. Длительность данного этапа операции также зависит от опыта хирурга. Неверное итоговое положение винтов может приводить к несостоятельности фиксации, болевому синдрому в послеоперационном периоде и неудовлетворенности пациента лечением в целом. С целью решения этих проблем мы разработали универсальный направитель для проведения направляющих спиц под канюлированные компрессирующие винты. Применение данного инструмента упрощает этап фиксации остеотомированных фрагментов первой плюсневой кости и минимизирует риск некорректной установки металлоконструкций.
Цель исследования: представить новый инструмент — направитель для малоинвазивной хирургической коррекции приобретенной вальгусной деформации первого пальца стопы.
ОПИСАНИЕ УСТРОЙСТВА ОРИГИНАЛЬНОГО НАПРАВИТЕЛЯ
В ГБУ «Санкт-Петербургский НИИ скорой помощи имени И.И. Джанелидзе» разработано устройство, которое представляет собой направитель, предназначенный для использования при выполнении малоинвазивных оперативных вмешательств для коррекции HV. Он состоит из нескольких соединяющихся между собой компонентов: дистальной планки, интрамедуллярного направителя, проксимальной планки, шаблона для спицы. Эти детали фиксируются друг с другом, при этом дистальная планка, проксимальная планка и шаблон для спицы соединяются с возможностью регулировки взаимного их расположения (рис. 1).
Рис. 1. Вид направителя (косая проекция): a — дистальная планка устройства; b — фиксатор; c — интрамедуллярный направитель; d — проксимальная планка устройства; e — шаблон для спицы; f — спица; g — регулировочные болты, фиксирующие проксимальные и дистальные планки; h — регулировочные шкалы
Fig. 1. Guide view (oblique view): a — distal bar; b — fixator; c — intramedullary guide; d — proximal bar; e — wire guide; f — wire; g — adjusting screws fixing proximal and distal bars; h — adjusting scales
Дистальная и проксимальные планки являются основными частями устройства, к которым прикрепляются интрамедуллярный направитель и шаблон для спицы соответственно. Все детали устройства собираются при помощи резьбовых фиксаторов.
В интрамедуллярном направителе необходимо особо отметить часть, вводимую в костномозговой канал первой плюсневой кости, со сквозной прорезью для спицы шириной 2 мм. В шаблоне для спицы расположено направляющее отверстие. Ось отверстия пересекает ось внутрикостной части интрамедуллярного направителя и лежит в одной плоскости с его прорезью. Регулировка положения шаблона для спицы осуществляется по двум взаимно перпендикулярным осям за счет подвижности шаблона для спицы и дистальной планки. Точность регулировки достигается за счет шкал, нанесенных на проксимальную планку. Цена деления шкалы, расположенной на коротком плече проксимальной планки, составляет 1 мм, на длинном плече — 5 мм. Угол наклона оси отверстия для спицы шаблона для спицы составляет 102° при 18–20° отклонения дистальной опиленной части первой пястной кости от оси проксимальной части кости. Угловые значения, а также значения цены деления регулировочных шкал были рассчитаны эмпирическим путем, используя метод компьютерного моделирования. Благодаря такой конструкции направителя проведенная с его помощью спица выходит из латерального кортикального слоя первой плюсневой кости на 10 мм проксимальнее опила. Такое расстояние является оптимальным для осуществления дальнейшей фиксации. Одним из назначений разработанного устройства является возможность сохранять эту точку неизменной при различных антропометрических данных пациентов.
Направитель устанавливают в костномозговой канал первой плюсневой кости таким образом, что спица, проведенная через шаблон для спицы, проходит через медиальный и латеральный кортикальные слои первой плюсневой кости. По установленной с помощью устройства спице проводят канюлированный винт для фиксации фрагментов первой плюсневой кости.
ХИРУРГИЧЕСКАЯ ТЕХНИКА
Пациент располагается на операционном столе в положении на спине. Производится обработка растворами антисептиков и отграничение стерильным бельем операционного поля от кончиков пальцев оперируемой стопы до верхней трети голени. По внутренней поверхности переднего отдела стопы в проекции дистальной 1/4 диафиза первой плюсневой кости хирург скальпелем выполняется разрез кожи размером 3–4 мм сразу до кости. Уровень остеотомии находится на расстоянии примерно 2,0–2,5 см от рентгенологической проекции суставной щели первого плюснефалангового сустава. Выполняется поперечная остеотомия диафиза первой плюсневой кости буром 2,2–2,9 мм . Головку первой плюсневой кости смещают латерально. Через разрез, выполненный ранее для остеотомии, в костномозговой канал проксимального фрагмента первой плюсневой кости заводят интрамедуллярный направитель разработанного устройства. При этом основание направителя упирается в головку первой плюсневой кости, смещая ее в латеральную сторону и удерживая в этом положении. Степень смещения головки кнаружи определяется конструкцией направителя и дополнительно не регулируется. В зависимости от индивидуальных особенностей строения стопы хирург регулирует положение шаблона направителя для спицы.
После настройки инструмента медицинской дрелью чрескожно и чрескостно через отверстие в шаблоне проводят направляющую спицу. Спица проходит через проксимальный фрагмент первой плюсневой кости и далее входит в ее головку. Положение спицы оценивается с помощью интраоперационных рентгенограмм. Дрель снимают со спицы. Направляющее устройство вынимают из операционной раны.
Для уменьшения травматизации мягких тканей в стороны от точек входа спиц в кожу делают надрезы по 2 мм. Канюлированным сверлом 2,7 мм по направляющей спице формируют канал для канюлированного винта. С помощью канюлированной отвертки проводят канюлированный винт 3,5 мм для фиксации фрагментов первой плюсневой кости. Спицу удаляют. Вторую спицу проводят методом «свободной руки» параллельно уже установленному винту. Затем после формирования канюлированным сверлом канала по спице устанавливают второй канюлированный винт.
Оперирующий хирург контролирует стабильность фиксации фрагментов первой плюсневой кости клинически и рентгенологически. Далее с помощью бура производится резекция излишков костной ткани медиальной части проксимального и при необходимости дистального фрагментов первой плюсневой кости. Операционные раны промываются растворами антисептиков и ушиваются после контроля гемостаза.
КЛИНИЧЕСКИЙ ПРИМЕР
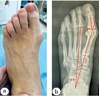
Пациентка 48 лет с приобретенной деформацией переднего отдела левой стопы. На момент осмотра перед операцией предъявляла жалобы на боли в области деформации. Жалобы сохранялись на протяжении года перед обращением. Выполнены рентгенограммы стопы с нагрузкой (рис. 2). Для оценки степени коррекции деформации измерялись первый межплюсневый угол и угол отклонения первого пальца — они были равны 13,5° и 25° соответственно.
Рис. 2. Стопа до операции: a — внешний вид; b — рентгенограмма с нагрузкой в прямой проекции
Fig. 2. Foot before surgery: a — general view; b — Stress X-ray in AP view
Установлен диагноз: комбинированное плоскостопие; приобретенная деформация переднего отдела левой стопы; вальгусная деформация первого пальца левой стопы средней степени тяжести.
Консервативные способы лечения (подбор обуви и индивидуальные ортопедические стельки) оказались неэффективны. Принято решение об оперативном лечении. Пациентке выполнена оперативная малоинвазивная коррекция вальгусной деформации первого пальца левой стопы с применением разработанного направителя по описанной выше методике (рис. 3).
Рис. 3. Интрамедуллярный направитель введен в костномозговой канал первой плюсневой кости
Fig. 3. Intramedullary guide inserted into the medullary canal of the first metatarsal bone
На рентгенограммах, выполненных в первые сутки после операции, первый межплюсневый угол был равен 3°, угол вальгусного отклонения первого пальца — 4°. Послеоперационный период протекал без особенностей.
Контрольные осмотры с рентгенографией через 4 и 8 нед. не выявили развития каких-либо осложнений. Признаки формирования костной мозоли были отмечены на рентгенограммах, выполненных на сроке 8 нед.
По данным рентгенограмм с нагрузкой, выполненных через 6 мес. после операции, костная мозоль полностью сформирована. Первый межплюсневый угол равен 3°, угол вальгусного отклонения первого пальца — 7° (рис. 4). Пациентка вела привычный образ жизни.
Рис. 4. Результат через 6 мес. после операции: а — внешний вид стопы; b — рентгенограмма стопы с нагрузкой в прямой проекции: костная мозоль полностью сформирована
Fig. 4. Six months after surgery:a — general view of the foot; b — stress X-ray in AP view: completed bone callus formation
ОБСУЖДЕНИЕ
Малоинвазивная хирургия является одним из наиболее передовых направлений травматологии и ортопедии. Многие авторы занимались вопросами снижения травматичности операций при приобретенных деформация переднего отдела стопы [7, 8, 9]. Малоинвазивные корригирующие остеотомии являются технически более сложными по сравнению с открытыми, однако имеют ряд преимуществ. Благодаря этому уже более 30 лет ортопеды во всем мире в своей клинической практике применяют различные варианты этих малотравматичных оперативных вмешательств [1].
Малоинвазивные корригирующие вмешательства третьего поколения предполагают фиксацию фрагментов первой плюсневой кости с помощью винтов [7, 9]. Основываясь на собственном опыте хирургического лечения пациентов с HV, мы считаем, что такая фиксация позволяет начать активную реабилитацию с первого дня после операции. Однако для оценки влияния применяемого нами протокола реабилитации на функциональные результаты и на удовлетворенность пациентов лечением мы в дальнейшем планируем провести сравнительные исследования.
L. Ji с соавторами в метаанализе, выполненном в 2022 г., пришли к выводу, что малоинвазивные вмешательства при лечении HV оказались более эффективными, чем открытые. Об этом свидетельствуют лучшие клинические и рентгенологические (степень коррекции первого межплюсневого угла и угла вальгусного отклонения первого пальца) результаты малоинвазивных операций. Также авторы отмечают, что длительность малоинвазивных вмешательств статистически значимо меньше открытых операций, при этом более выражен косметический эффект, меньше время реабилитации после операции и выше удовлетворенность пациентов лечением. Стоит добавить, что в данный метаанализ были включены публикации 2021 г. [6]. Эти выводы подтверждают факт успешного непрерывного развития малоинвазивных методик лечения HV.
Помимо совершенствования хирургической техники, хирурги и исследователи сосредоточили свое внимание на разработке инструментов, упрощающих малоинвазивные корригирующие вмешательства и способствующих сокращению их длительности. В основном для фиксации фрагментов первой плюсневой кости после остеотомии применяются спицы, винты или канюлированные винты [7]. С учетом малоинвазивной техники хирургического вмешательства их установка без вспомогательных направляющих инструментов технически сложна.
Среди предложенных изобретений встречаются устройства, позволяющие минимизировать возможность ошибки оперирующего хирурга при выполнении малоинвазивных корригирующих остеотомий при HV [15, 16, 17]. Применение разработанного нами направителя также позволяет снизить вероятность некорректного позиционирования фиксирующих винтов за счет упрощения установки направляющих спиц. Как следствие, это приводит к сокращению длительности операции. Помимо этого, применение направителя снижает травматичность вмешательства за счет уменьшения количества попыток корректного проведения направляющих спиц. Это приводит к снижению лучевой нагрузки на пациента и оперирующего хирурга, так как сокращается время работы электронно-оптического преобразователя.
ЗАКЛЮЧЕНИЕ
Применение разработанного нами устройства при малоинвазивных хирургических вмешательствах по поводу вальгусной деформации первого пальца стопы обеспечивает точную ориентацию направляющей спицы для канюлированного винта и позволяет добиться надежной фиксации фрагментов первой плюсневой кости в положении коррекции.
ДОПОЛНИТЕЛЬНАЯ ИНФОРМАЦИЯ
Заявленный вклад авторов
Все авторы сделали эквивалентный вклад в подготовку публикации.
Все авторы прочли и одобрили финальную версию рукописи статьи. Все авторы согласны нести ответственность за все аспекты работы, чтобы обеспечить надлежащее рассмотрение и решение всех возможных вопросов, связанных с корректностью и надежностью любой части работы.
Источник финансирования. Авторы заявляют об отсутствии внешнего финансирования при проведении исследования.
Возможный конфликт интересов. Авторы декларируют отсутствие явных и потенциальных конфликтов интересов, связанных с публикацией настоящей статьи.
Этическая экспертиза. Клиническое применение предложенного устройства одобрено локальным этическим комитетом ГБУ «Санкт-Петербургский НИИ скорой помощи имени И.И. Джанелидзе», протокол № 12-3 от 13.12.2022.
Информированное согласие на публикацию. Авторы получили письменное согласие пациента на публикацию медицинских данных и изображений.
DISCLAIMERS
Author contribution
All authors made equal contributions to the study and the publication.
All authors have read and approved the final version of the manuscript of the article. All authors agree to bear responsibility for all aspects of the study to ensure proper consideration and resolution of all possible issues related to the correctness and reliability of any part of the work.
Funding source. This study was not supported by any external sources of funding.
Disclosure competing interests. The authors declare that they have no competing interests.
Ethics approval. Clinical application of the proposed guide tool has been approved by the local Ethics Review Committee of Saint Petersburg I.I. Dzhanelidze Research Institute of Emergency Medicine, protocol No 12-3, 13.12.2022.
Consent for publication. Written consent was obtained from the patient for publication of relevant medical information and all of accompanying images within the manuscript.
Об авторах
Алексей Владиславович Олейник
ГБУ «Санкт-Петербургский научно-исследовательский институт скорой помощи имени И.И. Джанелидзе»
Email: oleynik77@gmail.com
ORCID iD: 0000-0003-2748-0588
доктор мед. наук
Россия, 192242, Санкт-Петербург, Будапештская ул., д. 3Игорь Григорьевич Беленький
ГБУ «Санкт-Петербургский научно-исследовательский институт скорой помощи имени И.И. Джанелидзе»; ФГБОУ ВО «Санкт-Петербургский государственный университет»
Автор, ответственный за переписку.
Email: belenkiy.trauma@mail.ru
ORCID iD: 0000-0001-9951-5183
доцент, доктор медицинских наук, руководитель отдела, профессор кафедры общей хирургии
Россия, Санкт-Петербург; Санкт-ПетербургГеннадий Дмитриевич Сергеев
ГБУ «Санкт-Петербургский научно-исследовательский институт скорой помощи имени И.И. Джанелидзе»; ФГБОУ ВО «Санкт-Петербургский государственный университет»
Email: gdsergeev@gmail.com
ORCID iD: 0000-0002-8898-503X
старший научный сотрудник, ассистент кафедры общей хирургии
Россия, Санкт-Петербург; Санкт-ПетербургАлександр Юрьевич Кочиш
ФГБУ «Национальный медицинский исследовательский центр травматологии и ортопедии имени Р.Р. Вредена» Минздрава России
Email: auk1959@mail.ru
ORCID iD: 0000-0002-2466-7120
заместитель директора, профессор кафедры оперативной хирургии и топографической анатомии
Россия, Санкт-ПетербургКсения Владимировна Разумова
ГБУ «Санкт-Петербургский научно-исследовательский институт скорой помощи имени И.И. Джанелидзе»
Email: ksukeks@yandex.ru
ORCID iD: 0009-0004-4436-4356
врач травматолог-ортопед
Россия, Санкт-ПетербургАртур Ерккенович Биназаров
ГБУ «Санкт-Петербургский научно-исследовательский институт скорой помощи имени И.И. Джанелидзе»
Email: oleynik77@gmail.com
ORCID iD: 0009-0006-3690-672X
врач травматолог-ортопед
Россия, Санкт-ПетербургБорис Александрович Майоров
ГБУ «Санкт-Петербургский научно-исследовательский институт скорой помощи имени И.И. Джанелидзе»; ФГБОУ ВО «Санкт-Петербургский государственный университет»
Email: bmayorov@mail.ru
ORCID iD: 0000-0003-1559-1571
младший научный сотрудник, доцент кафедры общей хирургии, заведующий травматолого-ортопедическим отделением №2
Россия, Санкт-Петербург; Санкт-ПетербургСписок литературы
- Jeyaseelan L., Malagelada F. Minimally Invasive Hallux Valgus Surgery — A Systematic Review and Assessment of State of the Art. Foot Ankle Clin. 2020;25(3):345-359. doi: 10.1016/j.fcl.2020.05.001.
- Smyth N.A., Aiyer A.A. Introduction: Why Are There so Many Different Surgeries for Hallux Valgus? Foot Ankle Clin. 2018;23(2):171-182. doi: 10.1016/j.fcl.2018.01.001.
- Беленький И.Г., Сергеев Г.Д., Олейник А.В., Майоров Б.А. Современные взгляды на хирургическое лечение hallux valgus. Современные проблемы науки и образования. 2021;(6):180. doi: 10.17513/spno.31199. Режим доступа: https://science-education.ru/ru/article/view?id=31199.
- Belenkiy I.G., Sergeev G.D., Oleynik A.V., Mayorov B.A. Modern Views on Surgical Treatment of Hallux Valgus. Modern Problems of Science and Education. 2021;(6):180. doi: 10.17513/spno.31199. Available from: https://science-education.ru/ru/article/view?id=31199.
- Мурсалов А.К., Дзюба А.М., Шайкевич А.В., Эседов Г.И. Пронация первой плюсневой кости при hallux valgus: обзор литературы. Кафедра травматологии и ортопедии. 2022;1(47):76-80. doi: 10.17238/2226-2016-2022-1-76-80.
- Mursalov A.K., Dzyuba A.M., Shaikevich A.V., Esedov G.I. First metatarsal pronation in hallux valgus deformity: literature review. Department of Traumatology and Orthopedics. 2022;1(47):76-80. doi: 10.17238/2226-2016-2022-1-76-80.
- Усольцев И.В., Леонова С.Н. Проблемы диагностики и хирургического лечения вальгусного отклонения первого пальца стопы (обзор литературы). Acta Biomedica Scientifica. 2017;6(118):69-75. doi: 10.12737/article_5a0a869e6b7f52.08755802.
- Usoltsev I.V., Leonova S.N. Problems of Diagnostics and Surgical Treatment of Hallux Valgus (literature review). Acta Biomedica Scientifica. 2017;6(118):69-75. doi: 10.12737/article_5a0a869e6b7f52.08755802.
- Ji L., Wang K., Ding S., Sun C., Sun S., Zhang M. Minimally Invasive vs. Open Surgery for Hallux Valgus: A Meta-Analysis. Front. Surg. 2022;9:843410. doi: 10.3389/fsurg.2022.843410.
- Singh M.S., Khurana A., Kapoor D., Katekar S., Kumar A., Vishwakarma G. Minimally invasive vs open distal metatarsal osteotomy for hallux valgus — A systematic review and meta-analysis. J Clin Orthop Trauma. 2020;11(3):348-356. doi: 10.1016/j.jcot.2020.04.016.
- Bia A., Guerra-Pinto F., Pereira B.S., Corte-Real N., Oliva X.M. Percutaneous Osteotomies in Hallux Valgus: A Systematic Review. J Foot Ankle Surg. 2018;57(1):123-130. doi: 10.1053/j.jfas.2017.06.027.
- Holme T.J., Sivaloganathan S.S., Patel B., Kunasingam K. Third-Generation Minimally Invasive Chevron Akin Osteotomy for Hallux Valgus. Foot Ankle Int. 2020;41(1):50-56. doi: 10.1177/1071100719874360.
- Lu J., Zhao H., Liang X., Ma Q. Comparison of Minimally Invasive and Traditionally Open Surgeries in Correction of Hallux Valgus: A Meta-Analysis. J Foot Ankle Surg. 2020;59(4):801-806. doi: 10.1053/j.jfas.2019.03.021.
- Radwan Y.A., Mansour A.M. Percutaneous Distal Metatarsal Osteotomy Versus Distal Chevron Osteotomy for Correction of Mild-To-Moderate Hallux Valgus Deformity. Arch Orthop Trauma Surg. 2012;132(11):1539-1546. doi: 10.1007/s00402-012-1585-5.
- Kaufmann G., Dammerer D., Heyenbrock F., Braito M., Moertlbauer L., Liebensteiner M. Minimally Invasive Versus Open Chevron Osteotomy for Hallux Valgus Correction: A Randomized Controlled Trial. Int Orthop. 2019;43(2):343-350. doi: 10.1007/s00264-018-4006-8.
- Malagelada F., Sahirad C., Dalmau-Pastor M., Vega J., Bhumbra R., Manzanares-Céspedes M.C. et al. Minimally Invasive Surgery for Hallux Valgus: A Systematic Review of Current Surgical Techniques. Int Orthop. 2019;43(3):625-637. doi: 10.1007/s00264-018-4138-x.
- Galois L. History of Surgical Treatments for Hallux Valgus. Eur J Orthop Surg Traumatol. 2018;28(8):1633-1639. doi: 10.1007/s00590-018-2235-6.
- Korman Z., White J., inventors; Wright Medical Technology, Inc., assignee. Targeting Guide and Associated Method. International Patent WO 2021/201916 A1. Publication Date 07.10.2021. Available from: https://patents.justia.com/patent/20230055767.
- Marinozzi A., Martinelli N., Ronconi P., Cancilleri F., Papalia R., Denaro V. A New Device for Performing Triplanar Distal Osteotomy for Hallux Valgus. J Am Podiatr Med Assoc. 2009;99(6):536-540. doi: 10.7547/0990536.
- Савинцев А.М., Бойко А.А. Заявитель и патентообладатель: ООО «ЛВМ АТ Медицина». Устройство для персонифицированного лечения вальгусной деформации первого пальца стопы и способ его использования. Патент 2741198 C1 РФ. Опубл. 22.01.2021.
- Savintsev A.M., Boiko A.A., inventors; LVM AT MEDITSINA, assignee. Device for personalized treatment of valgus deformity of the first toe and method of its use. Patent 2741198 C1 RU. Publication Date 22.01.2021.
Дополнительные файлы








