Human Immunodeficiency Virus in the Focus of Bone Tissue Destruction in Patients With Aseptic Osteonecrosis of the Femoral Head: Two Case Reports
- Authors: Peretsmanas E.O.1, Tyulkova T.E.1, Zubikov V.S.1, Gerasimov I.A.1, Kaminsky G.D.1
-
Affiliations:
- National Medical Research Center of Phthisiopulmonology and Infectious Diseases
- Issue: Vol 29, No 3 (2023)
- Pages: 94-101
- Section: Case Reports
- Submitted: 13.03.2023
- Accepted: 24.04.2023
- Published: 15.09.2023
- URL: https://journal.rniito.org/jour/article/view/7989
- DOI: https://doi.org/10.17816/2311-2905-7989
- ID: 7989
Cite item
Abstract
Background. Osteonecrosis of the femoral head is significantly more common in HIV-positive patients than in the general population. The etiology and pathogenesis of this process are not fully understood. In some studies, suggestions have been made about the possible direct pathological action of the virus on bone tissue cells. No studies dedicated to the identification of the virus directly in the foci of osteonecrosis were found in available literature sources.
The aim of the study — to present the first clinical cases of patients with aseptic osteonecrosis of the femoral head in whom HIV RNA was found in the focus of bone necrosis.
Cases presentation. Patients aged 54 and 38 years, suffering from HIV infection, were admitted to the clinic due to aseptic osteonecrosis of the femoral head. For diagnostic purposes, the patients underwent trephine biopsy of the osteonecrosis sites in the femoral head and unaltered bone tissue of the greater trochanter. The biological material was studied using PCR, microbiological, and histological methods. As a result of the PCR study, HIV RNA was detected in the foci of osteonecrosis in the femoral head. In the blood plasma of both patients, viral load was undetectable. In the bone tissue of the greater trochanter in the 54-year-old patient, the viral load was not determined, while in the 38-year-old patient, the viral load in the greater trochanter was significantly lower than in the necrosis focus of the femoral head.
Conclusion. The obtained data may indicate the possibility of direct involvement of the virus in the pathogenesis of arthropathy and cast doubt on the aseptic nature of osteonecrosis in HIV-positive patients.
Keywords
Full Text
BACKGROUND
Aseptic necrosis, or osteonecrosis, is a condition characterized by ischemic death of subchondral bone due to disruption of arterial blood supply [1]. According to various sources, the incidence of aseptic necrosis among HIV-infected patients is 2.5 to more than 100 times higher than in the general population [2, 3]. The most common location of aseptic necrosis in patients infected with the human immunodeficiency virus (HIV) is the femoral heads [4, 5, 6]. Osteonecrosis of the femoral head in HIV-infected individuals was first registered in 1990 [7]. Recent publications report that aseptic necrosis of the femoral head is the most common cause of disease among HIV-infected individuals [3, 8].
Many assumptions have been made about the etiology and pathogenesis of aseptic necrosis in HIV patients. Factors contributing to the development of necrosis in chronic viral infection include necrotizing vasculitis and hyperlipidemia [3]. Some authors consider antiretroviral therapy (ART), especially protease inhibitors, to be the main link in the pathogenesis [9]. However, reports of aseptic necrosis in this category of patients were registered even before the era of ART (antiretroviral therapy), necessitating the search for other causal factors [2].
The cited studies dictate the need to continue studying the role of the human immunodeficiency virus in the etiology and pathogenesis of necrosis of the femoral head in HIV patients in clinical practice.
The aim of the study is to demonstrate clinical cases of patients with aseptic necrosis of the femoral head, occurring against the background of HIV infection, in whom HIV RNA was found in the focus of bone necrosis.
METHODS
The subject of the study is patients admitted to the bone and joint pathology department of the National Medical Research Center for Phthisiopulmonology and Infectious Diseases with the referral diagnosis of "aseptic necrosis of the femoral head, associated with HIV infection". Data from PCR, microbiological, and histological diagnostics of biological material from destruction foci in the femoral head were analyzed, as well as PCR diagnostics data of biological material from the greater trochanter obtained during trephine biopsy.
To determine HIV RNA from the obtained biomaterial, a commercial kit "Extraction 100" (Vector-Best, Russia) was used in accordance with the manufacturer's instructions. Quantitative determination of viral RNA was carried out by PCR-RV method using a commercial kit "Realbest RNA HIV quantitative" (Vector-Best, Russia). Microbiological examination for Mycobacterium tuberculosis (MTB), nonspecific flora and fungi was performed according to standard methods. A parallel histomorphological study of samples from the same bone destruction foci was carried out. Upon admission to the hospital, data from medical history were examined, a clinical examination was performed with a description of the local status, radiological and laboratory studies were conducted.
Clinical case 1
A 54-year-old patient presented with complaints of pain in the left hip joint that worsened sharply during movements. The pain had been present since March 2021 after a fracture of the left femoral neck, which was treated with internal fixation. The patient had limited weight-bearing on the joint (used crutches) for 8 months. After radiologically confirmed fracture union, the patient resumed full weight-bearing, but in February 2022, he noticed an increase in pain. In August 2022, MRI revealed a diagnosis of post-traumatic aseptic necrosis of the left femoral head. HIV infection was diagnosed in 2016, transmitted through intravenous drug use. The patient had been on a consistent antiretroviral therapy (ART) regimen, including etravirine, lamivudine, and phosphazide, since the diagnosis of HIV. Throughout the years of follow-up, undetectable viral load was registered. In the same year, the patient was diagnosed with pulmonary tuberculosis and received chemotherapy for two years. In April 2018, the patient underwent thoracoplastic osteoplasty. He was discharged from medical supervision in 2019. The patient was admitted to the National Medical Research Center for Phthisiopulmonology and Infectious Diseases in September 2022 due to increasing pain in the left hip joint.
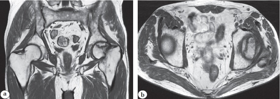
On admission, the local status revealed a pain syndrome (6 points according the VAS) aggravated by active and passive movements. The patient used a crutch for walking and exhibited significant limping. There was a relative shortening of the left lower limb by 2 cm. No redness or swelling was observed in the left hip joint area, and local temperature was not elevated. Thigh muscle atrophy was present, measuring 3 cm compared to the contralateral side. The patient reported temporary relief from non-steroidal anti-inflammatory drugs. X-rays, CT, and MRI showed signs of stage 3B (late) aseptic necrosis of the left femoral head according to the ARCO classification (Fig. 1, 2).
Fig. 1. Clinical case 1. X-ray of the pelvis in frontal projection: osteonecrosis of the left femoral head — stage 3B (late) according to the ARCO classification
Fig. 2. Clinical case 1. MRI in frontal (a) and axial (b) projections: osteonecrosis of the left femoral head — stage 3B (late) according to the ARCO classification
Biochemical and complete blood count results were within the reference values. CD4 count upon admission was 1747 cells/µL, and the viral load in the blood was undetectable. ART was continued.
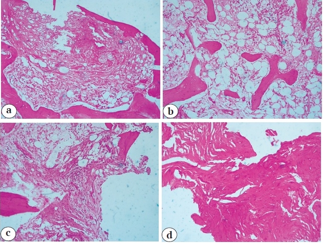
Under fluoroscopic control, the patient underwent diagnostic trepanobiopsy of the presumed necrotic focus in the left femoral head and a control biopsy from the greater trochanter area. Pathological examination of the biopsy material from the femoral head described a zone of bone tissue necrosis, lysis of bone trabeculae, signs of diffuse lymphocytic infiltration, and moderate edema. Focally, bone trabeculae with signs of resorption and diffuse lymphohistiocytic infiltration were observed. No signs of granulomatous inflammation were detected (Fig. 3).
Fig. 3. Clinical case 1. Pathomorphological examination of the biopsy specimen: a — necrotic zone; b — lysis of bone trabeculae; c — focal infiltration; d — fibrosis zone. Hematoxylin and eosin staining. Mag. 100
PCR analysis of the material from the femoral head identified HIV RNA at 7900 copies per mL, while no viral load was detected in the control material from the greater trochanter. Microbiological examination (cultures on nutrient media) did not reveal any pathogenic flora.
Therefore, in a patient with HIV infection suffering from post-traumatic aseptic necrosis of the left femoral head while receiving antiretroviral therapy and having undetectable viral load in the blood, HIV RNA was detected in the bone necrotic focus in the femoral head.
Clinical case 2
A 38-year-old patient presents with complaints of constant pain in both hip joints, more severe on the right side. The patient has considered himself unwell since 2019. He was treated conservatively by a neurologist in his area of residence with a diagnosis of "spinal osteochondrosis," but to no avail. For arthralgia, he sought medical attention again only at the beginning of 2022. Radiographic examination led to a diagnosis of "aseptic necrosis of the femoral head." He was referred to the National Medical Research Center for Phthisiopulmonology and Infectious Diseases hospital for planned hip arthroplasty.
HIV infection was detected in 2005. The patient has been receiving antiretroviral therapy (ART) since 2011, with a regimen of lamivudine, abacavir, and lopinavir/ritonavir. According to the patient, the infection occurred through sexual transmission. HIV RNA was not detected in the blood during the observation period. In 2016, the patient was hospitalized and treated for "Pneumocystis pneumonia and esophageal candidiasis." During the hospitalization, disseminated pulmonary tuberculosis was discovered. The patient was treated in hospital for eight months, but did not continue outpatient treatment, although he was observed at the tuberculosis dispensary in his place of residence. He was examined at the tuberculosis dispensary in July 2022. Sputum culture results from 06.07.22 did not reveal mycobacterium tuberculosis growth, and the tuberculin skin test was negative. A CT scan of the chest from 13.07.22 showed no pathological changes. Conclusion: clinical recovery from disseminated pulmonary tuberculosis. Other comorbidities: chronic pancreatitis, gastroduodenitis, pyelonephritis. Unhealthy habits: has smoked since the age of 12, currently up to one and a half packs of cigarettes per day.
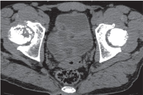
Upon admission, there were no visual signs of swelling or redness of the skin in the area of the hip joints. On palpation, there was local and axial tenderness in the projection of the right femoral head. The range of motion in the right hip joint was limited — external abduction 10°. Pain on the VAS was 5-6 points. The left hip joint was painless, with a full range of motion. There was a shortening of the right lower extremity by 2.0 cm. X-rays and CT scans showed signs of bilateral aseptic necrosis of the femoral heads, more pronounced on the right — stage 3B-4 according to ARCO (Fig. 4, 5). In blood tests, the ESR was accelerated to 58 mm/hr., other results were within reference values.
Fig. 4. Clinical case 2. CT scan of the pelvis, axial reconstruction — bilateral osteonecrosis of the femoral heads: right — stage 3B (late) according to ARCO, left — stage 3A (early) according to ARCO
Fig. 5. Clinical case 2. X-ray in frontal projection — bilateral aseptic osteonecrosis of the femoral heads: right — stage 3B (late) according to ARCO
Immune status CD4 from 23.05.2022: 23% - 627 cells/µL, HIV RNA was not detected in the blood.
Infectious disease specialist's conclusion: HIV infection, stage 4B, remission phase with ART.
Under fluoroscopic control, the patient underwent diagnostic trepanobiopsy of the presumed necrotic lesions in the left femoral head and a control trepanobiopsy from the greater trochanter area. Pathological examination of the biopsy material from the femoral head revealed bone trabeculae with signs of resorption and diffuse lymphohistiocytic infiltration, along with focal fibrosis. There were no signs of granulomatous inflammation. PCR testing of the femoral head biopsy material detected HIV RNA at a concentration of 22,000 copies/mL, while the control material from the greater trochanter had a lower concentration of 9,400 copies/mL. According to PCR and cultural analysis (cultures on nutrient media), no pathogenic flora was detected.
In the presented clinical case, HIV RNA was detected in the bone biopsies from the necrotic lesions in both femoral heads of HIV-positive patients undergoing antiretroviral therapy, despite undetectable viral load in the blood. The concentration of HIV RNA in the femoral head lesions was significantly higher in one patient compared to the other. Considering the fact that viral load was undetectable in the blood of both patients at the time of hospitalization, the presence of HIV RNA in the necrotic lesions may indirectly indicate the involvement of HIV in the development of local destructive processes in the hip joints.
DISCUSSION
Currently, there is increasing attention to orthopedic problems in HIV-infected patients. However, there is a lack of clear understanding regarding the etiology and pathogenesis of necrotic processes involving the joint-forming bone structures, including the commonly observed femoral head necrosis in these patients.
The majority of patients are admitted to hospitals with a diagnosis of "aseptic (avascular) necrosis" established solely based on radiographic findings. Without in-depth etiological diagnostics, these patients undergo standard procedures for joint replacement. However, some authors have noted a higher incidence of suppurative complications and revision surgeries in HIV-infected patients with this pathology compared to the general population [1, 3, 5, 10, 11]. The lipid metabolism disorders and decreased bone mineral density referenced by authors do not always fully correlate with the occurrence of complications [1, 3, 5].
Since R.H. Withrington and colleagues reported the isolation of HIV from synovial fluid in a patient with HIV-associated oligoarthritis in 1987 [12], there have been grounds to suspect a direct inflammatory effect of the immunodeficiency virus on the bone-joint system. S.L. Lamers et al. reported in 2016 that HIV DNA is often present in pathological tissues obtained during autopsies of patients with undetectable viral loads who received combined antiretroviral therapy [13], indirectly confirming the possibility of viral deposition in bone tissue.
New evidence supporting the hypothesis of direct inflammatory effects of HIV on the bone-joint system includes the detection of p24 antigen, HIV DNA, and tuboreticular inclusions in the synovial fluid of affected joints [13], which may indicate a viral etiology of inflammation. Notably, p24 antigen was found in joints at levels ten times higher than in serum [10]. B. Raynaud-Messina et al. provided the first experimental evidence in 2018 that osteoclasts serve as a reservoir for HIV. Their studies on laboratory animals demonstrated the direct destructive effects of HIV-1 on the structure and function of osteoclasts [14].
In our observations, HIV RNA was detected in the bone tissue of both patients with HIV infection and bone destruction lesions. During the same period, viral load in the blood and control biopsy from the greater trochanter either could not be detected or was significantly lower. This selective deposition of the virus in the site of destruction suggests a direct viral impact on the inflammatory mechanism, which is consistent with the views of some authors [11, 15].
The assumption of direct contact between the immunodeficiency virus and bone tissue, in our opinion, could provide a new perspective on the problem and help establish diagnostic and treatment algorithms. With proven viral "deposition" in the necrotic zone, it is evident that we should consider it as viral arthritis and adopt appropriate treatment strategies, potentially including two-stage joint replacement techniques. The facts we have presented regarding the detection of HIV RNA directly in the area of bone necrosis, due to the small sample size, do not allow for definitive conclusions about the frequency of intra-articular viral localization. However, they advocate for further investigation of the spectrum of infectious agents using preoperative invasive methods in HIV-infected patients.
CONCLUSION
The observations conducted in this study demonstrated the presence of HIV RNA in the bone destruction lesions of patients with HIV infection and aseptic necrosis of the femoral head, despite the absence or significant decrease of the virus in anatomically adjacent bone structures (greater trochanter) and undetectable viral load in the blood. This suggests the influence of the immunodeficiency virus on the development of local inflammatory processes in the joint, which, in turn, may affect the outcomes of joint replacement surgery. The findings of this study emphasize the need for further research on the role of HIV in the etiology and pathogenesis of various musculoskeletal disorders in HIV-infected patients in clinical practice.
It should be noted that the presence of HIV in the affected bone area poses certain risks for the surgical team during surgical interventions, despite the undetectable viral load in the blood.
DISCLAIMERS
Author contribution
Peretsmanas E.O. — study concept and design, data analysis and interpretation, writing and drafting the article.
Tyulkova T.E. — data analysis and interpretation, drafting the article.
Zubikov V.S. — data collection and processing, drafting the article
Gerasimov I.A. — data collection and processing, literature search and analysis.
Kaminsky G.D. — study concept and design, data analysis and interpretation.
All authors have read and approved the final version of the manuscript of the article. All authors agree to bear responsibility for all aspects of the study to ensure proper consideration and resolution of all possible issues related to the correctness and reliability of any part of the work.
Funding source. This study was not supported by any external sources of funding.
Disclosure competing interests. The authors declare that they have no competing interests.
Ethics approval. The study was approved by the local ethics committee of Medical Research Center of Phthisiopulmonology and Infectious Diseases, protocol No 17, 25.08.2022.
Consent for publication. Written consent was obtained from the patient for publication of relevant medical information and all of accompanying images within the manuscript.
About the authors
Evgeny O. Peretsmanas
National Medical Research Center of Phthisiopulmonology and Infectious Diseases
Author for correspondence.
Email: peretsmanas58@mail.ru
ORCID iD: 0000-0001-7140-3200
Dr. Sci. (Med.)
Russian Federation, 4/2, st. Dostoevsky, 127473, MoscowTatiana E. Tyulkova
National Medical Research Center of Phthisiopulmonology and Infectious Diseases
Email: tulkova@urniif.ru
ORCID iD: 0000-0002-2292-1228
Dr. Sci. (Med.)
Russian Federation, 4/2, st. Dostoevsky, 127473, MoscowVladimir S. Zubikov
National Medical Research Center of Phthisiopulmonology and Infectious Diseases
Email: zubikovladimir@gmail.com
ORCID iD: 0000-0002-2211-8400
Dr. Sci. (Med.), Professor
Russian Federation, 4/2, st. Dostoevsky, 127473, MoscowIlya A. Gerasimov
National Medical Research Center of Phthisiopulmonology and Infectious Diseases
Email: gerial36@yandex.ru
ORCID iD: 0000-0003-4388-155X
Russian Federation, 4/2, st. Dostoevsky, 127473, Moscow
Grigory D. Kaminsky
National Medical Research Center of Phthisiopulmonology and Infectious Diseases
Email: kaminskigd@nmrc.ru
ORCID iD: 0000-0002-3016-6920
Dr. Sci. (Med.)
Russian Federation, 4/2, st. Dostoevsky, 127473, MoscowReferences
- Manzotti A., Larghi M., Placenza E., Susini F., Grassi M. Postoperative outcomes in total hip arthroplasty following femoral head avascular necrosis in HIV-positive patients. Acta Biomed. 2021;92(5):e2021296. doi: 10.23750/abm.v92i5.9917.
- Reddy R., Daftary M.N., Delapenha R., Dutta A., Oliver J., Frederick W. Avascular necrosis and protease inhibitors. J Natl Med Assoc. 2005;97(11):1543-1546.
- Pisanu F., Fiore V., Corradi M., Esposito E., Maida I., Caggiari G. et al. Joint replacement for avascular necrosis in people living with HIV. Acta Biomed. 2022;92(S3):e2021560. doi: 10.23750/abm.v92iS3.12551.
- Morse C.G., Mican J.M., Jones E.C., Joe G.O., Rick M.E., Formentini E. et al. The incidence and natural history of osteonecrosis in HIV-infected adults. Clin Infect Dis. 2007;44(5):739-748. doi: 10.1086/511683.
- Zhao C.S., Li X., Zhang Q., Sun S., Zhao R.G., Cai J. Early Outcomes of Primary Total Hip Arthroplasty for Osteonecrosis of the Femoral Head in Patients with Human Immunodeficiency Virus in China. Chin Med J (Engl). 2015;128(15):2059-2064. doi: 10.4103/0366-6999.161364.
- Issa K., Naziri Q., Rasquinha V., Maheshwari A.V., Delanois R.E., Mont M.A. Outcomes of cementless primary THA for osteonecrosis in HIV-infected patients. J Bone Joint Surg Am. 2013;95(20):1845-1850. doi: 10.2106/JBJS.L.01583.
- Goorney B.P., Lacey H., Thurairajasingam S., Brown J.D. Avascular necrosis of the hip in a man with HIV infection. Genitourin Med. 1990;66(6):451-452. doi: 10.1136/sti.66.6.451.
- Green K.R., Hernandez-Jimenez J.M., Isache C.L., Jacob R. Avascular necrosis: a growing concern for the HIV population. BMJ Case Rep. 2018;2018:bcr2017221678. doi: 10.1136/bcr-2017-221678.
- Permpalung N., Ungprasert P., Summachiwakij S., Leeaphorn N., Knight E.L. Protease inhibitors and avascular necrosis: a systematic review and meta-analysis. Int J Antimicrob Agents. 2014;44(2):93-95. doi: 10.1016/j.ijantimicag.2014.02.011.
- Adizie T., Moots R.J., Hodkinson B., French N., Adebajo A.O. Inflammatory arthritis in HIV positive patients: A practical guide. BMC Infect Dis. 2016;16:100. doi: 10.1186/s12879-016-1389-2.
- Ganji R., Dhali S., Rizvi A., Rapole S., Banerjee S. Understanding HIV-Mycobacteria synergism through comparative proteomics of intra-phagosomal mycobacteria during mono- and HIV co-infection. Sci Rep. 2016;6:22060. doi: 10.1038/srep22060.
- Withrington R.H., Cornes P., Harris J.R., Seifert M.H., Berrie E., Taylor-Robinson D. et al. Isolation of human immunodeficiency virus from synovial fluid of a patient with reactive arthritis. Br Med J (Clin Res Ed). 1987;294(6570):484. doi: 10.1136/bmj.294.6570.484.
- Lamers S.L., Rose R., Maidji E., Agsalda-Garcia M., Nolan D.J., Fogel G.B. et al. HIV DNA Is Frequently Present within Pathologic Tissues Evaluated at Autopsy from Combined Antiretroviral Therapy-Treated Patients with Undetectable Viral Loads. J Virol. 2016;90(20):8968-8983. doi: 10.1128/JVI.00674-16.
- Raynaud-Messina B., Bracq L., Dupont M., Souriant S., Usmani S.M., Proag A. et al. Bone degradation machinery of osteoclasts: An HIV-1 target that contributes to bone loss. Proc Natl Acad Sci USA. 2018;115(11):E2556-E2565. doi: 10.1073/pnas.1713370115.
- Liebenberg C., Luies L., Williams A.A. Metabolomics as a Tool to Investigate HIV/TB Co-Infection. Front Mol Biosci. 2021;8:692823. doi: 10.3389/fmolb.2021.692823.
Supplementary files









