Tenosynovitis of the Flexor Digitorum and Flexor Carpi Caused by Mycobacterium Tuberculosis: Case Report and Review
- Authors: Abdiba N.V.1, Rodomanova L.A.1, Zolotukhina I.Y.1
-
Affiliations:
- Vreden National Medical Research Center of Traumatology and Orthopedics
- Issue: Vol 29, No 2 (2023)
- Pages: 99-109
- Section: Case Reports
- Submitted: 16.01.2023
- Accepted: 11.04.2023
- Published: 21.06.2023
- URL: https://journal.rniito.org/jour/article/view/2046
- DOI: https://doi.org/10.17816/2311-2905-2046
- ID: 2046
Cite item
Abstract
Background. Mycobacterial tenosynovitis of the hand and forearm is an extremely rare form of extrapulmonary tuberculosis, which can lead to permanent disability of patients.
Case presentation. We present a rare clinical case of generalized tenosynovitis of the tendons of all hand and finger flexors of the right upper extremity caused by Mycobacterium tuberculosis (MBT). Patient complained of a lump on the palmar surface of the right hand with periodic spontaneous discharge in the form of rice grains. MRI revealed a peritendinal synovial cystic mass on the volar surface of the hand and wrist joint with the presence of multiple chondromal bodies, tendinitis and tenosynovitis of the flexor of IV and V fingers. Removal of the neoplasm, pathological tissues, and total synovectomy were performed. Intraoperative material was tested using PCR. DNA of Mycobacterium tuberculosis complex was detected.
Conclusion. Presented case report demonstrates the importance of preoperative MRI examination in tenosynovitis of unknown etiology and the necessity of histological and bacteriological examination of intraoperative material. Transportation of obtained tissues for examination should be performed without the use of formalin in order to exclude false negative results. One should be vigilant against nonspecific infections, including Mycobacterium tuberculosis, when treating patients with immunocompromising diseases. The presence of limb neuropathy, instrumental signs of the second or the third stage of tuberculous tenosynovitis according to Kanavel classification are indications for surgical treatment.
Full Text
BACKGROUND
Despite the advances in public healthcare, tuberculosis remains one of the top ten causes of death worldwide [1]. In 2018, there were about 7 million new and recurrent cases of tuberculosis. Extrapulmonary forms of tuberculosis occur in 15% of 7.0 million reported cases [1].
Tuberculosis of bones and joints accounts for up to 10% of all forms of extrapulmonary tuberculosis and can lead to sustained disability of patients [1]. Mycobacterial tenosynovitis of the hand and forearm is an extremely rare form of extrapulmonary tuberculosis. This nosology occurs in 5% of cases of musculoskeletal tuberculosis [2].
Patients with tenosynovitis of the upper extremity of mycobacterial etiology suffer from increasing pain, swelling, limited range of active and passive motions in the joints of the affected extremity, further joined by symptoms of neuropathy, such as hyperesthesia, hypoesthesia, paresthesia. Instrumental methods of examination (ultrasound, MRI) reveal the presence of hypertrophied synovia, increased tendon volume compared with the healthy side. Rice body symptom can also be visualized. However, these data are typical for dozens of other diseases, such as seronegative arthritis, rheumatoid arthritis, systemic lupus erythematosus, oncological diseases, etc. [3]. Thus, the clinical manifestation of disease is not specific, which leads to errors in diagnosis and subsequently to wrong treatment tactics [4].
Original study on a relatively large group of patients was conducted by M. Yushan et al. Authors studied clinical features and functional outcomes of the upper extremity tuberculosis in 84 patients [3]. Other publications of different authors mainly describe single clinical cases of this disease. In the Russian literature, there are no studies on tenosynovitis of mycobacterial etiology.
Identification of mycobacterial tenosynovitis represents a diagnostic problem, taking into account its low incidence, latent onset, and lack of specific signs of disease.
Aim of the study — to demonstrate and analyze a rare clinical case of generalized tenosynovitis of the tendons of all hand and finger flexors of the right upper extremity caused by Mycobacterium tuberculosis (Mtb).
CASE PRESENTATION
Patient (45 years old, height 163, weight 69, BMI 25), first contacted the consulting and diagnostic department of the Vreden National Medical Research Center of Traumatology and Orthopedics on 15.06.2022 complaining of a lump on the palmar surface of the right hand with periodic spontaneous discharge in the form of “rice grains”. Limb swelling had been observed since 2014, and the patient attributed the swelling to an injury caused by repeated blows on a glass door with his right hand. He did not seek medical care and did not receive conservative or surgical treatment. Since April 2022 the above mentioned symptoms began to bother him, so that the patient applied to the City Clinical Oncology Center, from which he was referred with the diagnosis of a synovial cyst of the right hand for further examination and consultation to the Vreden National Medical Research Center of Traumatology and Orthopedics, where he was routinely admitted and treated from 20.09.2022 to 03.10.2022.
Main diagnosis according to ICD-10: D 21.1 Benign neoplasm of connective and other soft tissue of upper limb, including shoulder. Soft tissue neoplasm of the right hand and right forearm.
From his life history it is known that the patient had a long period of intravenous drug abuse (heroin) at a young age. Since 1998, he has been diagnosed with HIV infection and chronic hepatitis C infection, that is why he is registered at the Center on Prevention and Control of AIDS and Infectious Diseases. Currently, the patient has stage 4B HIV infection (remission with ART). Since 2014, he has been receiving continuous specific antiretroviral therapy and has been undergoing regular examinations (once every 6 months). At the time of examination, he was receiving the following therapy: elpida 20 mg, 1 tablet once a day; lamivudine-advansd 150 mg, 2 tablets 2 times a day; virfoten 300 mg, 1 tablet once a day. At admission the patient had the following comorbidities in addition to the above mentioned: mild thrombocytopenia, moderate neutropenia, non-acute chronic bronchitis, RF 0. Analysis of lung X-rays revealed no pathological changes typical for tuberculosis, including calcinates of the Ghon's focus type.
On examination, the right hand, fingers, and lower third of the forearm were significantly enlarged compared with the healthy left upper extremity (+3.0 cm). Volar surface was lumpy, skin was thin and mulberry (Fig. 1). In addition, there was a pronounced subcutaneous oval neoplasm on the palmar surface of the hand, 3.0 x 2.0 cm in size, over which the skin was tense, shiny, hyperemic. In the center there was a 0.5 cm diameter wound under a scab. No discharge from the wound was observed (Fig. 1).
Fig. 1. Volar surface of the hand and forearm: a — «draining sinus» in the projection of the IV ray; b — dorsal surface of both upper extremities, increased right hand and forearm circumference
On palpation, the segments are densely elastic on the palmar surface, the skin is slightly displaceable, the palpation is insignificantly painful. Blood supply to fingers is compensated, innervation is not impaired. Range of motions in finger joints: in I finger IPJ (interphalangeal joint) flexion is 30º, extension corresponds to the norm; in II finger MPJ (metacarpophalangeal joint) flexion is 60º, PIPJ (proximal interphalangeal joint) flexion is 40º, DIPJ (distal interphalangeal joint) flexion corresponds to the norm; In II-V fingers, MPJ flexion is 60º, PIPJ, DIPJ flexions are in full volume; opposing of I finger is preserved. Range of motions in the wrist joint is in full volume, extension of the hand is slightly painful in extreme position.
MRI was performed on June 26, 2022 (Magnetom Skyra 3T, examination protocol: T2 COR, T1 COR, T1 COR FS, PD COR FD, PD TRA FS, PD SAG FS). Detected: MR image of peritendinous, synovial, cystic formation along the palmar surface of the hand, wrist joint with the presence of multiple cartilage flaps. The above mentioned changes were most typical for the manifestation of synovial chondromatosis. Edematous changes in the surrounding soft tissues, tendinitis, tenosynovitis of the flexors of IV, V fingers of the hand were also observed. In addition, peritendinous synovial cyst of the hand was found, located subcutaneously, in the area of IV finger, communicating with the synovial sheath (Fig. 2).
Fig. 2. MRI scans of right upper extremity: a — masses on the volar surface of the hand and wrist joint with multiple chondromal bodies, «rice grains» inclusions; b — peritendinal synovial cyst, located subcutaneously in the IV ray area, communicating with the flexor channels
The patient underwent standard preoperative examination, was consulted by a therapist, underwent echocardiography, laboratory blood tests.
In a dressing room, the scab was removed from the surface of the wound on the palmar surface of the right hand, the wound edges were expanded, observing aseptic measures. When pressing on the wound, a dense liquid transparent content of yellowish tinge with solid masses similar to rice - small (up to 0.4 cm long and 0.2 cm in diameter), oval and spindle-shaped with a smooth surface, white in color, transparent, in an amount of 8 pieces was discharged from the wound. Wound discharge (2.0 ml in volume) was sent for inoculation to detect deep mycosis, identify the bacterial pathogen, and determine antibiotic sensitivity. Bacteriological examination of biopsy samples on 25.09.2022 revealed the following pathological flora: Enterococcus faecalis, Staphylococcus epidermidis.
No contraindications for surgical treatment were found. Surgical intervention was performed on September 28, 2022 and consisted of removal of a soft tissue neoplasm of the right forearm and hand, excision of II finger superficial flexor, dissection of the transverse carpal ligament, fasciotomy of the anterior and lateral muscle compartment.
The surgery was performed in supine position with the right upper extremity abducted and placed on a side table. After standard treatment of the operative field with antiseptic solutions under a tourniquet, a shaped incision was made along the volar surface of the right forearm and a Y-shaped incision along the palmar surface of the right hand. The antebrachial fascia and the ligament of the carpal tunnel were dissected. Revision surgery revealed the following changes: the superficial flexor muscles of the fingers and hand were hypertrophied, pale pink and gray with yellow flecks, the median nerve was flattened, its sheaths were pale, local narrowing was revealed, being a sign of chronic nerve compression mentioned in modern literature as a phenomenon of focal median nerve hourglass-like constriction.
Synovial sheaths of the finger flexors are hypertrophied, thickened, gray, and there are saccular thickenings filled with transparent yellowish fluid (Fig. 3). Suspended structures in the form of yellow and white grains with a smooth surface are visualized in the fluid in large numbers, varying in size from 5.0 mm to 2.0 cm in length (Fig. 3). On palpation, white formations are stiff and elastic, yellow formations are soft, and all are homogeneous on section. Sheaths of flexor tendons are changed throughout. Vascular and nerve bundles are intact, not fused with the formation and underlying tissues. The superficial flexor tendon of the second finger is altered, and there is a rupture with a defect of up to 3 cm. Taking into account the extent of the process and complexity of the segment anatomy, the formation was removed fragmentarily within healthy tissues, the altered tendon of the superficial flexor of the second finger was resected, and total synovectomy was performed. After tourniquet removal, thorough hemostasis was performed, the wound was sutured with interrupted sutures and drained with passive drains (polyethylene half-tubes).
Fig. 3. The limb after fasciotomy of the anterior and lateral muscle compartments (a); removed abnormal tissues — hypertrophic synovial sheath, grain-like structures of various sizes in large numbers (b)
Removed soft tissues were placed in physiological solution (NaCl 0.9%) and sent for histological examination to the AP department of the Vreden National Medical Research Center of Traumatology and Orthopedics, for Mtb detection — to the St. Petersburg Research Institute of Phthisiopulmonology. On 03.10.2022 the result from the St. Petersburg Research Institute of Phthisiopulmonology was received: DNA of Mycobacterium tuberculosis complex was detected.
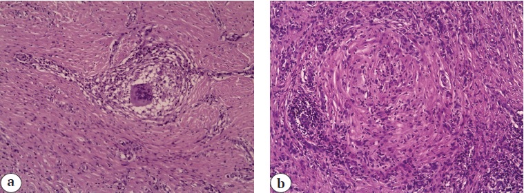
On 07.10.2022 the results of histological examination were obtained. Macrodescription: soft tissue fragments of 100 cm3 of whitish color, densely elastic consistency. Eight histological specimens stained with hematoxylin and eosin revealed the following changes: multiple foci of hyalinosis with caseous necrosis surrounded by a bank of lymphocytes with rare multinucleated giant cells. In places, cell-free foci of hyalinosis, located in loose areolar connective tissue, richly infiltrated by lymphocytes, plasma xanthocytic cells, histiocytes, macrophages. Fibrosis of necrosis foci and their localized infiltration can be seen periodically (in some places). Fibrous tissue of different density, rich in cells of the described composition was detected in the rest of the area. Conclusion: inflammatory process of a specific nature (tuberculosis?), combined with chronic soft tissue inflammation (Fig. 4).
Fig. 4. Histological specimens of soft tissue fragments: a — cell-free foci of hyalinosis are located in loose areolar tissue richly infiltrated by lymphocytes; b — multiple foci of hyalinosis with caseous necrosis surrounded by a bank of lymphocytes with rare multinucleated giant cells. Hematoxylin and eosin staining. Mag. ×280
After surgery, the patient received the following therapy: ampicillin + sulbactam 1500 mg (3.0 g) intravenously 3 times a day for 5 days; ketonal 2.0 intramuscularly 2 times a day for 2 days; tramadol 2.0 intramuscularly once. For 5 days, daily dressings were administered, and laboratory tests were performed according to internally approved protocols.
Dynamics in the early postoperative period: analgesics were required for two postoperative days; part of the drains were removed in 24 hours, completely — on the second day after surgery; the wounds healed by primary intention. There were no neurogenic complaints, range of motions in the fingers of the right hand and wrist joint corresponded to the initial ones before surgery, with no negative dynamics.
At the outpatient stage, the patient followed the following recommendations: immobilization of the right upper extremity with a splint for two weeks after surgery; compression underwear of class 1 compression for 6 months after surgery for the right upper extremity from the distal phalanges to the upper third of the shoulder; amoxicillin + clavulanic acid 1000 mg 1 tablet 2 times a day for 2 months after discharge from the hospital; ciprofloxacin 500 mg 1 tablet 2 times a day for 2 months after discharge from the hospital.
When examined 2.5 months later, the patient had no complaints. The function of the left hand almost corresponded to the healthy side (Fig. 5). When measured with a tape measure, the circumference of the right upper extremity decreased by 2 cm compared with the preoperative values. The patient continued rehabilitation treatment under the supervision of a physiotherapist, underwent examination at the Research Institute of Phthisiopulmonology, where the diagnosis was confirmed.
Fig. 5. Results 2.5 months after surgical treatment: a — maximal range of flexion in the finger joints of both hands, sagittal view; b — maximal range of extension in the finger joints of both hands; с — maximal range of flexion in the finger joints of both hands, frontal view
DISCUSSION
Mycobacterium tuberculosis is a facultative intracellular parasite and has the appearance of a thin, straight or slightly curved bacillus, measuring 1-10 x 0.2-0.6 µm. Despite its simple prokaryotic structure, the microorganism has plasmids that ensure its autonomous replication, genome variability, and as a consequence commitment to mutation. Specific properties of the bacterium have evolutionarily resulted in a variety of molecular mechanisms that allow it to evade detection by host immune system and eventually multiply, causing persistent, difficult-to-treat disease [5, 6].
Risk factors for disease development include: older age, low social standing of a patient, nutritional deficiency, a history of tuberculosis or contact, immunosuppression, alcohol abuse, permanent residence in endemic areas, and injections of steroids [7]. Our case report illustrates several risk factors for diseases of tuberculosis etiology, namely, a history of intravenous drug injection, presence of immunocompromising diseases such as stage 4B HIV infection and chronic hepatitis C. However, the patient denied any contact with tuberculosis patients and use of steroids.
Mycobacterium tuberculosis is mainly aerosol-transmitted pathogen and has a discernible tropism to lung tissue. Penetration into the musculoskeletal system is possible in several ways. During primary infection, bacteremia (bacillemia) can occur, which is normally inhibited by cell-mediated immunity. In patients with hereditary and acquired immunodeficiency states, cell-mediated immunity is dysfunctional, and bacillemia leads to hematogenous spread of the microorganisms. Lymphogenous dissemination of the bacteria into the musculoskeletal system is also possible [8].
The absence of a primary focus in the body does not exclude the possibility of extrapulmonary tuberculosis. Contact way of transmission of the pathogen is realized through injury, when the microorganism gets on the damaged skin with soil or water contaminated with the bacterium. Similarly, vector-borne transmission is also possible. Cases of extrapulmonary musculoskeletal tuberculosis following the injection of intravenous forms of drugs have been reported in the literature [9]. There are also cases of iatrogenic infection, the number of which is increasing due to the spread of medical tourism [10, 11]. I. Cheung et al. report a clinical case of extrapulmonary tuberculosis after total knee arthroplasty [12]. K.L. Winthrop et al. identified an outbreak of mycobacterial infection among clients of a nail salon [13].
In our clinical case, at the stage of preoperative preparation, X-rays analysis did not reveal calcinates of the Ghon's focus type in the lungs (primary tuberculosis complex), which excludes the presence of a primary lesion in the lungs and hematogenous and/or lymphogenous dissemination of the bacteria. Thus, the contact mechanism of infection is more likely.
After Mtb penetration into the patient's body, tendon sheaths are affected with the formation of a cold abscess, which extends to the surrounding anatomical structures (joint capsule, muscles, tendons and synovial membranes) through the interstitial spaces. Then the hypertrophy of synovial membranes, formation of granulomas and zones of focal necrosis of periarticular soft tissues occur [3].
Histological and clinical changes in the tissues are dynamic and correspond to the three stages described by A.B. Kanavel in 1923 [14]. The first stage is characterized by the production of serous exudate with thickening of synovial sheaths, at the second stage granulation tissue is formed, consisting of "rice bodies", then at the third stage of the disease massive caseous necrosis occurs along with adhesion of tendons and their synovial sheaths with formation of draining sinuses (fistulous tracts) and "cold" abscess [15, 16, 17]. All of the above stages occur without causing pronounced clinical symptoms, as Mtb do not produce endo- and exotoxins. Only as Mtb multiplies and the tissues become hypersensitive to tuberculoproteins do the first signs of infection appear (positive reaction to tuberculin). This makes it difficult to diagnose tuberculous tenosynovitis at the early stages of the disease [18].
In our clinical observation, disease course was unobvious and slow. The patient first came to the medical institution already at the third stage of the disease according to Kanavel classification. By this time, a draining sinus had formed on the palmar surface of the hand, and an increase in the hand circumference and tendon adhesion restricted full range of fingers' motion.
There are several classic manifestations of tuberculous tenosynovitis: hygroma (ganglion) on the palmar surface of the hand and lower third of the forearm, carpal tunnel syndrome, and isolated tenosynovitis of one finger (the term "Sausage finger" often appears in the literature) [19, 20, 21, 22].
Initially, patients with tuberculous tenosynovitis complained on a painless increase in the volume of the fingers or hand compared to the contralateral limb. Classical symptoms of inflammation (erythema, hyperthermia, tenderness) of the affected segment are not observed, and there are no general symptoms of the infectious process (increased body temperature, hypodynamia, etc.). As tenosynovitis progresses and the space for the neurovascular bundles decreases, the first signs of neuropathy appear [7, 23].
Patients most often refer to a doctor with the clinical picture of compression neuropathy of the median nerve [7]. S. Hassanpour et al. reported 12 cases of tuberculous tenosynovitis of the flexor tendons out of 1180 patients operated for carpal tunnel syndrome. Large "rice bodies" in the hypertrophic synovial membranes were observed intraoperatively in 10 cases, in 2 patients the affected synovial membranes were filled with yellow exudate, no direct involvement of the median nerve was noted in any of the cases. Full recovery was achieved in all patients after surgical treatment in combination with anti-tuberculosis therapy [24].
The nature of "rice bodies" is still a subject of discussion. Some authors consider this phenomenon as a result of chronic tissue inflammation. There is also a theory according to which "rice bodies" are formed as a result of fragmentation and disjunction of the synovial membrane due to repeated local microinfarcts along its length [3, 25, 26, 27].
It takes about two years from the contamination to the development of above-mentioned morphological changes in the tissues. On average, after three years, damage to the tendons occurs, leading to their degenerative rupture with clinical manifestations in the form of impaired joint function in the fingers of the hand. One of the symptoms of the third stage of the disease is the formation of a "draining sinus", which is a slit-shaped opening in the skin of the limb (often on the palm surface of the hand), communicating with the tendon sheath, through which the contents of synovial membranes ("rice bodies", synovial fluid) are spontaneously evacuated. In the absence of treatment, the process spreads to the bones of the extremity with the development of secondary osteomyelitis [23].
Clinical and biochemical blood tests for diagnosis of this disease are often non-specific: the parameters may be normal, in some cases there is leukopenia, a moderate increase of erythrocyte sedimentation rate (ESR) [20, 28].
X-ray, CT, MRI examinations, and ultrasound of the limb are most commonly used to clarify the diagnosis. The first two instrumental methods are most effective in case of bone tuberculosis, but X-rays can reveal indirect signs of tenosynovitis in the form of increased soft tissue volume. The most informative in the diagnosis of this pathology is MRI examination, which confirms hypertrophy of synovial membranes, granulomatous changes of tendons in the intermediate signal of T1 weighted tomograms with contrast enhancement of gadolinium drugs and hyperintense signal of T2 weighted tomograms. Abscess and destruction of the underlying bone can also be detected, as well as the symptom of "rice bodies" [20, 28].
The presented clinical case, apart from being extremely rare, is also interesting because described clinical manifestations are not typical for any of the above mentioned classical forms of the disease (hygroma, carpal tunnel syndrome, sausage finger). Upper extremity disease involved all finger and hand flexor channels from the distal phalanges to the upper third of the forearm, but did not manifest itself as a striking picture of median or ulnar neuropathy, even despite the already existing area of focal hourglass-like constriction of the median nerve, which was found intraoperatively. Rice body symptom was the only indirect sign of tuberculous tenosynovitis, which was detected by MRI at the preoperative examination stage. Despite the involvement and complete damage along the length of the superficial flexor tendon of the second finger, the patient did not complain of its dysfunction, apparently due to the preservation of the deep flexor tendon.
Tenosynovitis of tuberculous etiology can only be confirmed by microbiological and histological examination. The material is obtained by fine-needle aspiration biopsy, targeted biopsy of the affected area, and intraoperative excision of altered tissue. Acid-fast bacilli test, inoculation, as well as molecular genetic testing (PCR), histological examination, and determination of adenosine deaminase levels in synovial fluid are performed using the obtained sample [5]. Difficulties in diagnosis are the following: histological examination reveals non-caseous granuloma, which can be wrongly interpreted as sarcoidosis. Transportation of biopsy material for inoculation in formalin almost excludes the possibility of detecting bacilli in the sample [5, 23].
In addition, the diagnosis of tuberculous tenosynovitis is complicated by the presence of numerous differential diagnoses, including: other atypical mycobacterial infections, syphilis, systemic lupus erythematosus, pyogenic infections, brucellosis, osteoarthritis and rheumatoid arthritis, etc. [2].
The most dangerous is the misinterpretation of tuberculous tenosynovitis as a rheumatologic disease whose therapy protocols include steroid drugs. Administration of corticosteroids accelerates the process of soft tissue damage due to Mycobacterium tuberculosis infection [17, 29].
Our clinical case demonstrates the diagnostic value of PCR, with the help of which the causative agent was identified and the final diagnosis was made. At the same time, the results of histological examination confirmed the pattern of chronic tissue inflammation, which can be interpreted as a manifestation of several dozens of other diseases.
Treatment of patients with tenosynovitis of tuberculosis etiology includes thorough radical synovectomy of all altered synovial membranes. If tendons are involved, they must be excised. Immediately after the surgical treatment the following combination of drugs should be taken, corresponding to the standard antituberculosis therapy: isoniazid, rifampicin, ethambutol and pyrazinamide for 2 months, then isoniazid and rifampicin for 4 months [19]. A number of studies recommend a longer course of drug therapy, which sometimes lasts up to 18 months from the time of surgery [6, 30].
P.P. Kotwal et al. reported on the successful isolated conservative treatment without surgical intervention of 75% of patients and their return to full activity in an average of 5 months after the start of the therapy [31]. Treatment of tuberculosis of rare localization remains a controversial issue. Predominantly, the authors recommend surgical treatment if conservative treatment is ineffective, as well as at the second or the third stage of the disease according to Kanavel classification. [15, 19]. Some studies demonstrate that the combination of surgical treatment with antituberculosis therapy guarantees persistent remission and satisfactory clinical outcome [5, 19, 23].
CONCLUSION
Tenosynovitis caused by Mtb is a rare disease that requires careful perioperative management for timely diagnosis and selection of proper treatment tactics for the patient.
This clinical case demonstrates the need to be cautious regarding extrapulmonary tuberculosis. Identification of risk factors in the patient's medical history (presence of immunocompromising diseases, long-term immunosuppression, unfavorable social standing, drug and alcohol abuse) should alert orthopedic surgeons when detecting tenosynovitis of unknown etiology.
At the stage of clinical data collection, if teno-synovitis of unknown etiology is detected, an MRI examination should be prescribed. Detection of rice body symptom is an indication for biopsy in order to identify the causative agent before surgical treatment. If tuberculosis etiology of the disease is suspected, the patient should be consulted and examined by a phthisiatrician. In addition to lung X-rays, CT examination of the chest should be performed to analyze the condition of the lymph nodes, to detect or exclude primary tuberculosis complex in the lungs and lymph nodes. The presence of the limb neuropathy in patient, instrumental signs of the second or the third stage of tuberculous tenosynovitis according to Kanavel classification are indications for surgical treatment.
DISCLAIMERS
Author contribution
All authors made equal contributions to the study and the publication.
All authors have read and approved the final version of the manuscript of the article. All authors agree to bear responsibility for all aspects of the study to ensure proper consideration and resolution of all possible issues related to the correctness and reliability of any part of the work.
Funding source. This study was not supported by any external sources of funding.
Disclosure competing interests. The authors declare that they have no competing interests.
Ethics approval. Not applicable.
Consent for publication. Written consent was obtained from the patient for publication of relevant medical information and all of accompanying images within the manuscript.
About the authors
Nino V. Abdiba
Vreden National Medical Research Center of Traumatology and Orthopedics
Author for correspondence.
Email: ninoabdiba@gmail.com
ORCID iD: 0000-0001-9152-5299
SPIN-code: 1109-8492
ResearcherId: AGG-5177-2022
https://rniito.ru/r/otdelenie_travmatologo_ortopedicheskoe_16/abdiba_nino_vajaevna.html
orthopaedic surgeon, research worker Scientific Department of hand surgery with microsurgical technique
Russian Federation, 8, Akademika Baykova st., Saint Petersburg, 195427Lyubov A. Rodomanova
Vreden National Medical Research Center of Traumatology and Orthopedics
Email: rodomanovaliubov@yandex.ru
ORCID iD: 0000-0003-2402-7307
Professor, MD, Head of the Scientific Department of hand surgery with microsurgical technique
Russian Federation, 8, Akademika Baykova st., Saint Petersburg, 195427Inna Yu. Zolotukhina
Vreden National Medical Research Center of Traumatology and Orthopedics
Email: Zolotuhinai@mail.ru
ORCID iD: 0000-0001-6278-7783
orthopaedic surgeon, research worker Scientific Department of hand surgery with microsurgical technique
Russian Federation, 8, Akademika Baykova st., Saint Petersburg, 195427References
- Global tuberculosis report 2019. Geneva: World Health Organization; 2019. p. 7-9. Available from: https://www.who.int/publications/i/item/9789241565714.
- Baidoo P.K., Baddoo D., Ocloo A., Agbley D., Lartey S., Baddoo N.A. Tuberculous tenosynovitis of the flexor tendons of the wrist: A case report. BMC Res Notes. 2018;11(1):238. doi: 10.1186/s13104-018-3343-4.
- Yushan M., Yalikun A., Hamiti Y., Lu C., Yusufu A. Clinical features and treatment outcome of wrist tuberculosis in adult- a retrospective study of 84 consecutive cases with minimum of 2 years follow up. BMC Musculoskelet Disord. 2022;23(1):618. doi: 10.1186/s12891-022-05563-8.
- Regnard P.J., Barry P., Isselin J. Mycobacterial tenosynovitis of the flexor tendons of the hand. A report of five cases. J Hand Surg Br. 1996;21(3):351-354. doi: 10.1016/s0266-7681(05)80201-3.
- Gopalaswamy R., Dusthackeer V.N.A, Kannayan S., Subbian S. Extrapulmonary Tuberculosis – An Update on the Diagnosis, Treatment and Drug Resistance. J Respir. 2021;1(2):141-164. doi: 10.3390/jor1020015.
- Chan E., Bagg M. Atypical Hand Infections. Orthop Clin North Am. 2017;48(2):229-240. doi: 10.1016/J.OCL.2016.12.013.
- Ncogo Nsegue S.C.E., Benchakroun M., el Mokhtari K., Mamfoumbi N., el Agouri H., Bouabid S. Carpal tunnel syndrome secondary to extrapulmonary tuberculosis: a case report. PAMJ Clinical Medicine. 2022;9(2). doi: 10.11604/pamj-cm.2022.9.2.33477.
- Hogan J.I., Hurtado R.M., Nelson S.B. Mycobacterial Musculoskeletal Infections. Infect Dis Clin North Am. 2017;31(2):369-382. doi: 10.1016/j.idc.2017.01.007.
- Longardner K., Allen A., Ramgopal M. Spinal osteomyelitis due to Mycobacterium fortuitum in a former intravenous drug user. BMJ Case Rep. 2013;2013:bcr2013010326. doi: 10.1136/bcr-2013-010326.
- Ruggeri K., Ivanović N., Razum J., Kácha O., Menezes I.G., Zafari Z. et al. An evidence-based policy for improving choice in global health access through medical travel. Health Policy. 2018;122(12):1372-1376. doi: 10.1016/j.healthpol.2018.09.017.
- Ruggeri K., Hinrichs-Krapels S. Editorial: Global Health and Medical Travel. Front Public Health. 2016;4:235. doi: 10.3389/fpubh.2016.00235.
- Cheung I.K., Wilson A. Arthroplasty tourism. Med J Aust. 2007;187(11-12):666-667. doi: 10.5694/j.1326-5377.2007.tb01467.x.
- Winthrop K.L., Abrams M., Yakrus M., Schwartz I., Ely J., Gillies D. et al. An outbreak of mycobacterial furunculosis associated with footbaths at a nail salon. N Engl J Med. 2002;346(18):1366-1371. doi: 10.1056/NEJMoa012643.
- Kanavel A.B. Tuberculous tenosynovitis of the hand: A report of 14 cases. Sur Gynecol Obstet. 1923;37:635-647.
- Fatou C.N., Amadou B.A., Badara G.A., Badara D., Mohamedi D., Bertini D.C. Tuberculous Tenosynovitis of the Wrist and the Hand: The 3 Anatomo-Clinical Forms Described by Kanavel (About 4 Cases). J Orthop Case Rep. 2017;7(6):68-72. doi: 10.13107/JOCR.2250-0685.954.
- Shareef A.J., Sreehari C.K., Subbaraya Bhat, Nithin S. Extensors tenosynovitis of wrist with rupture of extensor digitorum: rare presentation of tuberculosis. Int Surg J. 2015:398-401. doi: 10.18203/2349-2902.isj20150508.
- Kendirci A.Ş, Akay H., Toroman M.S., Demirel M., Kızılkurt T., Ergin Ö.N. A rare presentation of musculoskeletal tuberculosis: tenosynovitis of the flexor tendons of the wrist and digits. İstanbul Tıp Fakültesi Dergisi. 2020;83(4). doi: 10.26650/iuitfd.2020.0048.
- Wang T., Zhao G., Rui Y.J., Mi J.Y. Successfully treating hand primary tuberculous synovitis by synovectomy combined antituberculous therapy: A case report. Medicine (Baltimore). 2018;97(8):e9938. doi: 10.1097/MD.0000000000009938.
- Suwannaphisit S., Ranong N.N. Tuberculous tenosynovitis of the Flexor Tendons of the hand and wrist: A case report and mini-review. Ann Med Surg (Lond). 2020;57:249-252. doi: 10.1016/j.amsu.2020.07.061.
- Reddy G.P., Upadhyaya D.N., Jaiswal R., Goel M.M. ‘Sausage finger’ with ‘Rice bodies’. Indian J Plast Surg. 2018;51(1):93-97. doi: 10.4103/ijps.IJPS_202_16.
- Fahad S., Baloch N., Din N.U. Tuberculosis of the flexor carpi radialis muscle – a case report. J Pak Med Assoc. 2020;70(9):1645-1647. doi: 10.5455/JPMA.40799.
- Cohen-Tanugi S., Wright M.L., Kadiyala R.K. Flexor Tenosynovitis of the Hand Caused by Mycobacterium tuberculosis. J Am Acad Orthop Surg Glob Res Rev. 2018;2(4):e083. doi: 10.5435/JAAOSGlobal-D-17-00083.
- Wolfe S.W., Pederson W.C., Kozin S.H., Cohen M.S. Green’s Operative Hand Surgery. 8th ed. Elsevier; 2022. Ch. 3. p. 108-119.
- Hassanpour S.E., Gousheh J. Mycobacterium tuberculosis-induced carpal tunnel syndrome: management and follow-up evaluation. J Hand Surg Am. 2006;31(4):575-579. doi: 10.1016/j.jhsa.2005.01.018.
- Cegarra-Escolano M., Jaloux C., Camuzard O. Rice-body formation without rheumatic disease or tuberculosis in a «sausage» ring finger. Hand Surg Rehabil. 2018:S2468-1229(18)30067-7. doi: 10.1016/j.hansur.2018.03.005.
- Woon C.Y., Phoon E.S., Lee J.Y., Puhaindran M.E., Peng Y.P., Teoh L.C. Rice bodies, millet seeds, and melon seeds in tuberculous tenosynovitis of the hand and wrist. Ann Plast Surg. 2011;66(6):610-617. doi: 10.1097/SAP.0b013e3181e35ca5.
- Bayram S., Erşen A., Altan M., Durmaz H. Tuberculosis tenosynovitis with multiple rice bodies of the flexor tendons in the wrist: A case report. Int J Surg Case Rep. 2016;27:129-132. doi: 10.1016/j.ijscr.2016.08.021.
- Tomori Y., Mochizuki T., Ohno H., Nanno M., Majima T. Purulent Flexor Tendon Rupture of the Hand due to Mycobacterium abscessus Infection: A Case Report and Review of the Literature. J Nippon Med Sch. 2022;89(3):347-354. doi: 10.1272/JNMS.JNMS.2022_89-110.
- Can F.K., Tuncer K., Çankaya B.Y. Tuberculosis tenosynovitis: A rare case report. Rev Soc Bras Med Trop. 2021;54:e0524-2020. doi: 10.1590/0037-8682-0524-2020.
- Hogan J.I., Hurtado R.M., Nelson S.B. Mycobacterial Musculoskeletal Infections. Infect Dis Clin North Am. 2017;31(2):369-382. doi: 10.1016/j.idc.2017.01.007.
- Kotwal P.P., Khan S.A. Tuberculosis of the hand: clinical presentation and functional outcome in 32 patients. J Bone Joint Surg Br. 2009;91(8):1054-1057. doi: 10.1302/0301-620X.91B8.22074.
Supplementary files









