Deproteinized Bone Tissue as a Matrix for Tissue-Engineered Construction: Experimental Study
- Authors: Anastasieva E.A.1, Cherdantseva L.A.1, Tolstikova T.G.2, Kirilova I.A.1
-
Affiliations:
- Novosibirsk Research Institute of Traumatology and Orthopedics n.a. Ya.L. Tsivyan
- N.N. Vorozhtsov Novosibirsk Institute of Organic Chemistry of Siberian Branch of Russian Academy of Sciences
- Issue: Vol 29, No 1 (2023)
- Pages: 46-59
- Section: Theoretical and experimental studies
- Submitted: 27.10.2022
- Accepted: 26.12.2022
- Published: 11.04.2023
- URL: https://journal.rniito.org/jour/article/view/2016
- DOI: https://doi.org/10.17816/2311-2905-2016
- ID: 2016
Cite item
Full Text
Abstract
Background. At present, for a number of reasons the complete bone defect replacement with autogenous bone is not always possible. Bone substitute materials are used as an alternative to autogenous bone tissue and can be of either biological or non-biological origin. One of the ways of development of reconstructive technologies is the use of tissue-engineered constructs that fully imitate autogenous bone tissue in the required volume.
Aim of study — to define in vivo the possibility of using deproteinized human cancellous bone tissue as a matrix for creating tissue-engineered constructs.
Methods. An in vivo study was carried out on NZW rabbits. To create a construct, we used the fragments of deproteinized cancellous bone tissue of the human femoral head and stromal vascular fraction of rabbit adipose tissue as a matrix. Bone defect modeling with its subsequent replacement was performed to evaluate the efficacy of reparative osteogenesis during bone defects’ reconstruction. Study groups were defined: group 1 (control) — surgical modeling of a bone defect of the femur without its reconstruction; group 2 — surgical modeling of a bone defect of the femur with its reconstruction using fragments of deproteinized cancellous bone matrix; group 3 — surgical modeling of a bone defect of the femur with its reconstruction using fragments of deproteinized cancellous bone matrix in combination with stromal vascular fraction of adipose tissue (according to ACP SVF technology).
Results. Comparative analysis of reparative processes in case of applying tissue-engineered constructs based on deproteinized human cancellous bone matrix in combination with adipose tissue-derived stromal vascular fraction on in vivo experimental model revealed that the use of these bone substitute materials contributes not only to an early activation of reparative regeneration of main structural elements of the bone tissue in the area of the bone defect replacement, but also to its well-timed differentiation. This determines the restoration of structural and functional viability of the bone tissue at the damage site without developing discernible reactive inflammation. Moreover, the effect of the selected tissue-engineered construct with the combined influence of several factors (ACP SVF) in its composition turned out to be more effective in stimulating bone tissue repair and differentiation.
Conclusion. Combination of SVF and deproteinized bone matrix for creating tissue-engineered constructs enables to engage several regeneration mechanisms and accelerate the process of bone defect replacement in comparison with isolated deproteinized bone matrix without bone defect reconstruction.
Full Text
ВВЕДЕНИЕ
В настоящее время актуальными для оказания высокотехнологичной и специализированной медицинской помощи пациентам в травматологии и ортопедии остаются вопросы замещения утраченного объема костной ткани при патологических состояниях разного этиопатогенеза. Причинами формирования костных дефектов могут являться как сегментарные резекции костей по поводу опухолевых и опухолеподобных процессов костей, так и реэндопротезирование суставов, травмы и последствия их лечения [1]. Под утраченным объемом костной ткани следует понимать не только фактическое отсутствие участка кости, но и изменение ее плотности — уплотнение, например вследствие импрессионного перелома, требующего реконструктивной коррекции, а также несоответствие структурно-функциональных характеристик костной ткани, например в области ложного сустава [1, 2].
Трудность замещения костных дефектов может возникать в случае как ограниченных, так и неограниченных дефектов, что имеет особое значение при сочетании патологического процесса с нарушением нормальной биомеханики. При этом немаловажную роль в успешности качественной реконструкции костных дефектов играют индивидуальные особенности организма пациента. Безусловно, и в настоящее время для замещения костных дефектов оптимальным является аутогенная костная ткань пациента [3]. Однако по ряду причин не всегда возможно полное замещение дефекта костной ткани с ее помощью [4, 5]. В качестве альтернативы используют костнозамещающие материалы как биологического, так и небиологического происхождения. На данном этапе можно выделить два основных пути развития реконструктивных технологий [1, 4, 6]. Первый из них — создание и установка индивидуальных 3D-конструкций. Метод отличается высокой эффективностью, однако затраты для производства 3D-имплантата высокие. Возможно, при удешевлении материальной базы метод будет более доступен, хотя при расчете на отдаленный период затраты можно сравнить со стандартными методами лечения [7]. Второй путь развития реконструктивных технологий костной ткани — использование тканеиженерных конструкций, полноценно имитирующих аутогенную костную ткань в необходимом объеме [8].
Цель исследования — определить in vivo возможности использования депротеинизированной губчатой костной ткани человека в качестве матрицы для создания тканеинженерных конструкций.
МАТЕРИАЛ И МЕТОДЫ
Выбор модели. Исследование выполнено на 24 кроликах линии NZW. Было сформировано три группы исследования: 1-я группа (контрольная) — хирургическое моделирование в участках диафиза контралатеральной бедренной кости костных дефектов без реконструкции, аналогичных группам исследования; 2-я группа — хирургическое моделирование костного дефекта диафиза бедренной кости с его реконструкцией фрагментами депротеинизированной губчатой костной матрицы человека; 3-я группа — хирургическое моделирование костного дефекта диафиза бедренной кости с его реконструкцией фрагментами депротеинизированной губчатой костной матрицы человека совместно со стромально-васкулярной фракцией жировой ткани (согласно технологии «Autologous conditioned plasma-SVF» (ACP-SVF) (патент US10512659B2).
Животных выводили из эксперимента под эфирным наркозом на 2-й, 4-й и 6-й нед. послеоперационного периода. В стандартных условиях осуществляли забор операционного материала для последующей гистологической оценки местного влияния костнозамещающих материалов на живые ткани и реализацию репаративного остеогенеза в области реконструкции костных дефектов. Эвтаназию животных осуществляли способом передозировки эфирного наркоза. Дизайн исследования соответствует действующим международным стандартам проведения лабораторных исследований ISO 10993-2-2009.
Подготовка костной матрицы для восполнения дефекта. Для создания матрицы использовали фрагменты депротеинизированной губчатой костной ткани головки бедренной кости (человека), резецированной по медицинским показаниям и после комплексного обследования на гемотрансмиссивные инфекции (ВИЧ, гепатит В и С, сифилис). Каждый имплантируемый образец был заранее смоделирован по форме и размерам, соответствующим моделируемым костным дефектам, подвергнут многоэтапной последовательной обработке — механической и физико-химической децеллюляризации и депротеинизации с последующей радиационной стерилизацией (RU 2232585 C2, RU 2223104 C2, RU 2640932 C2).
Размеры фрагментов костной матрицы соответствовали размерам каждого смоделированного костного дефекта и составляли 2×5 мм*. Цилиндрическая форма костной матрицы обеспечивает его стабильное неподвижное расположение в участке имплантации. Проводили исследование местного влияния раздражающего, сенсибилизирующего и цитотоксического действия выбранных костных матриц на живые ткани в области имплантационного ложа*.
Методика получения жировой ткани и стромально-васкулярной фракции жировой ткани. До начала анестезии у животных забирали 2 мл венозной крови из v. marginalis с последующим двукратным центрифугированием в течение 10 мин. при частоте 2800 об./мин. [9]. Кожные покровы в области экспериментального хирургического вмешательства освобождали от шерсти и маркировали по стандартной методике [10]. Общую анестезию осуществляли 1% раствором тиопентала натрия с предшествующей местной инфильтрационной анестезией тканей 2 мл 2% раствора лидокаина с 6 мл 0,9% раствора NaCl для каждого этапа операции.
С целью минимизации объема оперативного вмешательства использовали единичный небольшой хирургический доступ по дорсальной поверхности шеи животного, паравертебрально между лопатками и параллельно линии остистых отростков позвонков и осуществляли забор жировой ткани кремово-белого цвета в объеме 2 мл. Именно для этой локализации у взрослых особей кроликов характерно наибольшее количество светло-коричневых жировых клеток (Beige AT), схожих по свойствам с хорошо васкуляризированной бурой жировой тканью [11]. Согласно принципам современной физиологии, у человека при выполнении операций с использованием стромально-васкулярной фракции жировой ткани забор жировой ткани осуществляется из аналогичных анатомических областей тела и параумбиликальной зоны [12]. Полученную жировую ткань укладывали в стерильную чашку Петри с добавлением 4 мл раствора Кляйна (оригинального состава) с последующим измельчением (рис. 1).
Рис. 1. Жировая ткань межлопаточной области кролика линии NZW в процессе обработки по стандартной методике
Обрабатывали посредством быстрого перегона в системе из двух стерильных инъекционных шприцев до получения однородной массы с последующим распределением по 4 пробиркам типа эппендорф объемом 2 мл и двукратно центрифугировали в течение 10 мин. при частоте оборотов 2800 об./мин. с этапным очищением (дополнительным центрифугированием) и соответственно сокращением объема субстрата. Следующий этап выделения и обработки стромально-васкулярной фракции жировой ткани был проведен по стандартной методике с добавлением центрифугированной крови — выделенной из нее обогащенной тромбоцитами плазмой.
По данным литературы, количество клеток SVF, которые могут быть выделены из подкожной жировой ткани, составляет приблизительно 0,5–2,0×106 на грамм жировой ткани, при этом процентное содержание стволовых клеток колеблется от 1 до 10% [13, 14].
Методика подкожной имплантации костных матриц. После получения жировой ткани хирургическим способом для определения влияния костной матрицы на живые ткани животным подкожно, с двух сторон паравертебрально и параллельно линии остистых отростков позвонков устанавливали фрагменты губчатой депротеинизированной костной ткани головки бедренной кости человека размером 5×5 мм с последующим ушиванием кожи стерильным шовным материалом простым непрерывным обвивным швом.
Методика моделирования костных дефектов и их реконструкции костнозамещающими материалами на основе костных матриц. Для оценки эффективности репаративного остеогенеза при реконструкции костных дефектов разными вариантами костнозамещающих материалов на основе костных матриц осуществляли имплантацию фрагментов депротеинизизованной губчатой костной ткани в моделированные костные дефекты согласно выбранным группам исследования. С этой целью в стерильных условиях под общей комбинированной анестезией выполняли хирургический доступ по латеральной стороне дистальной части бедра. Мягкие ткани разводили тупо по ходу мышечных волокон, надкостницу отслаивали при помощи распатора.
В диафизарной части бедренной кости обеих задних лап каждого животного формировали по три костных дефекта специализированным стерильным хирургическим инструментарием. Два из трех костных дефектов, расположенных в диафизе правой бедренной кости, заполняли образцами костного материала в соответствии с группой исследования — 2-я и 3-я группы (рис. 2). Симметричные костные дефекты контралатеральной бедренной кости не заполняли костным материалом, использовали в качестве контроля. Для подтверждения отсутствия вариативности морфологических проявлений репаративной регенерации костной ткани в условиях каждой отдельной особи были сформированы дополнительные дефекты — по одному в диафизарной части бедренной кости на каждой конечности. После этого осуществляли гемостаз и послойное ушивание операционной раны. Осуществляли обработку послеоперационного шва раствором антисептика и порошком антибактериального комбинированного препарата с активными веществами бацитрацин, неомицин.
Рис. 2. Хирургическое моделирование дефектов костной ткани в диафизе бедренной кости кролика
Гистологическое исследование операционного материала. Материалом исследования служили фрагменты костной ткани из области хирургического моделирования реконструкции костных дефектов. Образцы фиксировали в 10% нейтральном забуференном растворе формалина в течение 72 ч. с последующей декальцинацией в растворе Рихмана – Гельфанда – Хилла в течение 10 сут. при температуре 20°С. После стандартной гистологической проводки в серии спиртов возрастающей концентрации и ксилоле образцы костной ткани заливали в парафиновые блоки с последующим изготовлением серийных срезов толщиной 4–5 мкм и их окрашиванием гематоксилином и эозином. С целью диференцированной количественной оценки зрелой и формирующейся соединительной ткани в образцах исследования гистологические срезы окрашивали по Ван Гизону и подвергали импрегнации серебром. После окраски препараты заключали в монтирующую среду под покровное стекло и высушивали в течение 7 дней при комнатной температуре.
Обзорную световую микроскопию с получением обзорных микрофотографий осуществляли на лабораторном микроскопе OLYMPUS CX 43 с фотокамерой OLYMPUS UC 90 (Olympus Medical Systems Corp., Япония). Морфометрическое исследование гистологических образцов участков гетеротопической и ортотопической имплантации материалов исследования проводили с помощью программного обеспечения (ImageJ, v. 1.53o, 2022, Wayne Rasband and contributors National Institutes of Health, США) при увеличении 200. В гистологических срезах оценивали численную плотность сосудов (Nai), из них процент полнокровных сосудов в зоне имплантации (%), объемную плотность зрелых коллагеновых волокон (Vv%), объемную плотность аргирофильных соединительнотканных волокон (Vv%), объемную плотность костной ткани зрелой и новообразованной (Vv%).
Статистический анализ
Статистическую обработку полученных морфометрических данных осуществляли в программе RStudio (v. 2022.02.1 RStudio, Inc., США) на языке R (v. 4.1.3, Австрия).
Дескриптивные статистики непрерывных показателей рассчитывались в виде медиан [первый квартиль; третий квартиль], среднее ± стандартное отклонение и минимальное — максимальное значение; у категориальных показателей определялось количество пациентов (частота) для каждой категории.
Сравнение непрерывных показателей между группами проводилось непараметрическим непарным U-критерием Манна – Уитни. Производился расчет смещения распределений с построением 95% доверительного интервала (ДИ) для смещения. Категориальные показатели сравнивали точным двусторонним критерием Фишера. Коррекция ошибки множественного тестирования при сравнении категорий проводилась методом Бенджамини – Хохберга.
Проверка статистических гипотез проводилась при критическом уровне значимости р = 0,001, т.е. различие считалось статистически значимым при p<0,001.
РЕЗУЛЬТАТЫ
При макроскопической оценке покровных тканей области гетеротопической имплантации костных матриц, начиная со 2-й нед. исследования, морфологических признаков развития местной воспалительной реакции у животных выявлено не было. У всех животных в участках имплантации отмечали формирование состоятельного послеоперационного рубца толщиной до 0,2 см плотной консистенции на всем протяжении. Кожные покровы в области послеоперационного рубца были целостные, бледно-розового цвета, без патологических изменений. Подкожная клетчатка области послеоперационного рубца представлена равномерной прослойкой жировой ткани светло-кремового цвета толщиной до 0,5 см однородной консистенции без патологических изменений.
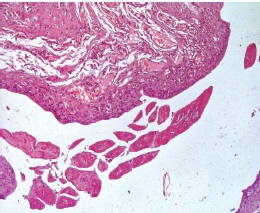
На 2-й нед. исследования при световой микроскопии гистологических образцов кожи области гетеротопической фиксации имплантата у животных между дермой и мышцей спины отмечали формирование толстостенной соединительнотканной капсулы со слабой инфильтрацией стенок макрофагами и мононуклеарными лейкоцитами. Между волокнами соединительной ткани выявили большое количество мелких тонкостенных кровеносных сосудов без признаков гемоциркуляторных нарушений. В просвете соединительнотканной капсулы сохранялись фрагменты имплантированных депротеинизированных губчатых костных матриц, представленные зрелой костной тканью. В тканях, перифокально области имплантации костных матриц, у животных формирования клеточно-воспалительного инфильтрата выявлено не было (рис. 3).
Рис. 3. Фрагмент кожи кролика линии NZW, 2-я нед. исследования: в просвете соединительнотканной капсулы сохранены фрагменты зрелой костной ткани имплантированных костных матриц; слабая инфильтрация стенок соединительнотканной капсулы макрофагами и мононуклеарными лейкоцитами; большое количество мелких полнокровных тонкостенных кровеносных сосудов между волокнами соединительной ткани. Окраска гематоксилином и эозином. Ув. ×100
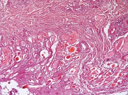
На 4-й нед. исследования у животных дерма не изменена. В месте фиксации имплантированных костных матриц, между дермой и мышечными волокнами, у животных выявили очаги компактно расположенных грубоволокнистых соединительнотканных волокон, которые, вероятно, являются фрагментами фиброзной капсулы. В мышечной оболочке дермы и подкожной клетчатке отмечали большое количество тонкостенных сосудов. Между мышечной оболочкой дермы и подкожной клетчаткой наблюдались участки компактно расположенных соединительных волокон со слабой очаговой инфильтрацией мононуклеарными лейкоцитами. Во всех слоях дермы у животных определяли очаговую клеточную слабую преимущественно лимфоцитарно-макрофагальную инфильтрацию (рис. 4).
Рис. 4. Фрагмент кожи кролика линии NZW, 4-я нед. исследования: соединительная ткань с очагами слабой инфильтрации мононуклеарными лейкоцитами, с большим количеством мелких полнокровных сосудов. Окраска гематоксилином и эозином. Ув. ×100
Данные микроскопической картины при гистологическом исследовании образцов кожи с подлежащими мягкими тканями на 6-й нед. экспериментального исследования носили характер, аналогичный выявленным изменениям у животных на предшествующем сроке исследования. При визуальном осмотре покровных тканей участков экспериментального моделирования костных дефектов и их ортотопической реконструкции костно-замещающими материалами у всех животных признаков местно развивающейся воспалительной реакции выявлено не было. Послеоперационные рубцы у всех животных были состоятельны, толщиной до 0,2–0,3 см, плотной консистенции на всем протяжении. Целостность кожных покровов в области послеоперационного рубца была без нарушений и патологических изменений, бледно-розового цвета. Подкожная клетчатка в области послеоперационного рубца в виде равномерно распределенной жировой ткани светло-кремового цвета толщиной до 0,5 см без патологических изменений.
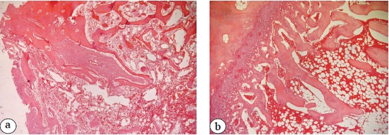
Начиная со 2-й нед. у всех животных в области моделированных костных дефектов и при их заполнении костно-замещающими материалами наблюдали незначительное утолщение кости. К 4-й нед. периода репарации наблюдали формирование костной мозоли, образованной значительной степени пористости костной тканью с последующим ее уплотнением к 6-й нед. исследования. При обзорной световой микроскопии гистологических образцов в 1-й группе исследования на 2-й нед. визуализировали дефекты костной ткани неправильной округлой формы, заполненные плотноволокнистой соединительной тканью, формирование «цепочек» остеобластов, очаговое формирование ретикулофиброзной ткани. Это сопровождалось умеренным полнокровием сосудов с формированием незначительно выраженного периваскулярного отека, слабой клеточно-воспалительной инфильтрацией, преимущественно лимфоцитарно-макрофагального характера (рис. 5 а).
К 4-й нед. исследования отмечали компактизацию субхондрально расположенных трабекул костной ткани и сохранение более рыхлого их расположения в толще «костной мозоли»; образование первичных остеонов с первичными крупными гаверсовыми каналами; скопления незрелой костной ткани с большим количеством остеобластов на поверхности трабекул. Среди петель сформированной ретикулярной соединительной ткани и между волокнами грубоволокнистой соединительной ткани сохранялось большое количество кровеносных сосудов без признаков нарушения гемоциркуляции. Степень выраженности клеточной реакции соответствовала предыдущему сроку наблюдения. К 6-й нед. исследования происходило значительное уплотнение костной ткани в зоне моделированного дефекта за счет заполнения губчатой костью, тесно связанной с окружающей хрящевой тканью. В области внутренней поверхности дефектов происходило дальнейшее образование правильно ориентированных компактных костных балок со скоплением остеобластов на поверхности трабекул, формирование лакун элементами костного мозга (рис. 5 b). Сохранялись очаги слабо выраженной клеточно-воспалительной инфильтрации лимфоцитарно-макрфагального характера.
Рис. 5. Фрагмент костной ткани бедренной кости кролика линии NZW, область костного дефекта: a — 2-я нед. исследования; b — 6-я нед. исследования. Окраска гематоксилином и эозином. Ув. ×100
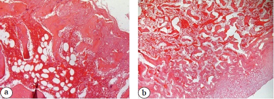
При световой микроскопии образцов костной ткани 2-й группы на 2-й нед. отмечали полное заполнение костного дефекта фрагментами костнозамещающего материала и плотное прилегание фрагментов к собственной зрелой костной ткани в области внутренней поверхности зоны дефекта. Во все периоды исследования хорошо выраженная кортикальная пластинка и губчатая кость имели развитую архитектонику трабекул с пластинчатым строением и хорошо выраженными гаверсовыми каналами, формированием остеонов со слабо выраженной структурой. На 2-й нед. исследования выявили значительное количество истонченных костных трабекул, хаотично расположенных с расширением межтрабекулярного пространства, заполненного большим количеством ретикулярных и грубоволокнистых соединительнотканных волокон. Губчатое вещество костных балок представлено пластинчатой костной тканью с поверхностным формированием цепочек остеобластов (рис. 6 a).
Помимо этого, определялась очаговая клеточная инфильтрация лимфоцитарно-макрофагального характера. На 4-й нед. исследования формирование трабекул костной ткани сохранялось. Межбалочные пространства были заполнены ретикулярной соединительной тканью с участками грубоволокнистой неоформленной соединительной ткани с сохранением большого количества кровеносных сосудов без признаков гемоциркуляторных нарушений.
Аналогичные изменения были выявлены и на 6-й нед. исследования. При этом трабекулы губчатой кости были представлены зрелой костной тканью с очаговыми отложениями остеоида и формированием цепочек из остеобластов на поверхности. Сохранялись участки дезорганизации использованного костного матрикса в участках локализации многоядерных гигантских клеток и сохранения клеточного макрофагального инфильтрата. В большей степени это было выражено в области кортикальной пластинки. В сохраняющихся участках формирования ретикулярной соединительной ткани отмечали очаговое полнокровие сосудов (рис. 6 b).
Рис. 6. Фрагмент костной ткани бедренной кости кролика, область замещения костного дефекта депротеинизированной губчатой костной тканью: a — 2-я нед. исследования; b — 6-я нед. исследования. Окраска гематоксилином и эозином. Ув. ×100
При визуализации гистологических образцов костной ткани 3-й группы выявили прогрессирующие признаки репаративного остеогенеза с 2-й по 6-ю нед. исследования, которые были выражены в большей степени в сравнении с аналогичными гистологическими проявлениями в соответствующие сроки исследования в образцах 1-й и 2-й групп.
К 6-й нед. исследования выявили формирование костной ткани, представленной кортикальной пластинкой с первичными широкими гаверсовыми каналами, в области прилегания к стенке дефекта костной ткани (рис. 7).
Рис. 7. Фрагмент костной ткани бедренной кости кролика, область замещения костного дефекта тканеинженерной конструкцией на основе депротеинизированной губчатой костной ткани и стромально-васкулярной фракции жировой ткани, 6-я нед. исследования. Окраска гематоксилином и эозином. Ув. ×100
В вышерасположенных участках определяли отдельные очаги костного регенерата с фрагментами костнозамещающего материала, окруженного новообразованными костными балками с формированием на поверхности «цепочек» остеобластов и отложением остеоида. Новообразованная костная ткань полотно прилегала к участкам костнозамещающего материала, местами образуя единую структуру с очагами резорбции костной ткани в участках локализации гигантских многоядерных клеток. Межбалочное пространство было заполнено стромальным компонентом костного мозга, преимущественно ретикулярными соединительнотканными волокнами, неоформленными волокнами грубоволокнистой соединительной ткани с достаточным количеством сосудов без признаков гемоциркуляторных нарушений. Помимо этого, сохранялись участки лимфоцитарно-макрофагальной инфильтрации.
При морфометрическом исследовании образцов костной ткани области моделирования костного дефекта и его реконструкции разными костнозамещающими материалами во всех группах было выявлено прогрессивное увеличение показателя численной плотности сосудов к 6-й нед. исследования, в том числе полнокровных. При этом в 3-й группе величина показателя численной плотности сосудов была больше на 2-й, 4-й и 6-й нед. исследования в 1,8; 2,3 и 1,5 раза соответственно, чем в образцах 1-й (контрольной) группы, и несколько больше, чем во 2-й группе (табл. 1).
Таблица 1. Результаты гистологического исследования репаративного остеогенеза при ортотипической реконструкции костных дефектов разными видами костнозамещающего материала, M±m
Параметр | Группа исследования | ||||||||
1-я группа (контрольная) Костный дефект без замещения | 2-я группа Костный дефект с замещением губчатой депротеинизированной костной матрицей | 3-я группа Костный дефект с замещением губчатой депротеинизированной костной матрицей + SVF | |||||||
Неделя исследования | |||||||||
2-я | 4-я | 6-я | 2-я | 4-я | 6-я | 2-я | 4-я | 6-я | |
Численная плотность сосудов в образцах костной ткани, Nai | 5,61±1,50 | 8,25±1,50 | 16,66±5,70 | 10,43±3,50* | 18,73±2,20* | 23,70±6,80* | 10,40±3,41* | 20,36±4,50*,** | 26,31±7,90*,** |
Доля полнокровных сосудов, % | 54,44±0,20 | 78,82±0,20 | 96,58±0,10 | 38,30±0,20* | 75,49±0,20* | 92,20±0,10* | 81,19±0,20*,** | 64,45±0,20* | 97,37±0,30 |
Объемная плотность коллагеновых волокон в образцах костной ткани, Vv% | 5,15±0,60 | 7,08±1,10 | 12,68±2,50 | 6,35±3,80* | 8,83±2,53* | 9,26±1,60* | 6,88±1,50* | 9,30±1,10* | 10,68±1,60*,** |
Объемная плотность аргирофильных волокон в образцах костной ткани, Vv% | 7,33±0,70 | 11,83±1,10 | 14,19±2,40 | 7,25±1,80 | 9,95±1,60* | 10,03±2,20* | 9,66±1,30*,** | 10,23±1,90* | 10,65±2,10* |
Объемная плотность зрелой костной ткани, Vv% | 2,88±0,70 | 6,43±0,80 | 8,98±1,60 | 5,98±2,80* | 8,81±1,50* | 12,83±1,50* | 8,63±2,20*,** | 11,51±2,50*,** | 14,58±2,20*,** |
Объемная плотность новообразованной костной ткани, Vv% | 3,81±0,70 | 6,43±0,80 | 9,26±2,10 | 6,11±3,20* | 9,81±1,60* | 13,53±2,70* | 9,51±2,20*,** | 12,95±2,71*,** | 16,43±2,10*,** |
* — статистически значимые отличия величин рассматриваемых параметров от аналогичных показателей в контрольной группе при р<0,001.
** — статистически значимые отличия величин рассматриваемых параметров от аналогичных показателей во 2-й группе при р<0,001.
При оценке показателя объемной плотности коллагеновых соединительнотканных волокон в образцах исследования 3-й группы выявили его динамическое увеличение на 36% со 2-й по 6-ю нед. При этом величина данного показателя уже на 2-й нед. исследования была больше на 25%, чем в образцах 1-й группы, однако на 6-й нед. отмечали ее незначительное уменьшение. При этом во все сроки исследования величина данного параметра была незначительно больше, чем в образцах 2-й группы. Это сопровождалось незначительным прогрессирующим увеличением показателя объемной плотности аргирофильных волокон в образцах 3-й группы и его некоторым преобладанием над величиной данного параметра во 2-й группе на 2-й и 4-й нед. исследования. К 6-й нед. разница в величинах данного показателя невелировалась. Прогрессирующее увеличение показателя объемной плотности аргирофильных волокон в образцах 1-й и 2-й групп выявили с 2-й по 6-ю нед. (в 2 раза). При этом объемная плотность аргирофильных волокон в 1-й группе исследования на 6-й нед. была больше на 28Vv% в сравнении с величиной аналогичного показателя во 2-й и 3-й группах.
Величина объемной плотности новообразованной костной ткани прогрессивно увеличивалась с 2-й по 6-ю нед.: в 1-й группе — в 1,6 раза, во 2-й группе — в 2,2 раза и в 3-й группе — в 1,7 раза. При этом во все периоды наблюдения объемная плотность новообразованной костной ткани в 3-й группе была статистически значимо больше, чем в 1-й группе, примерно в 2 раза. Объемная плотность зрелой костной ткани в образцах исследования увеличивалась с 2-й по 6-ю нед. во всех группах. При этом величины данного показателя в 2-й и 3-й группах были больше, чем в 1-й группе, во все сроки наблюдения.
ОБСУЖДЕНИЕ
Выбор кролика в качестве модели животного для настоящего исследования обоснован аналогичным типом репаративного остеогенеза по гаверсовому типу у данного вида млекопитающих и человека [15]. Это позволяет экстраполировать результаты данного исследования на человека.
Выбор в качестве костной матрицы депротеинизированной губчатой костной ткани резецированной головки бедренной кости человека обоснован данными научной литературы и результатами собственных ранее проведенных исследований, которые выявили свойства данного материала, позволяющие использовать его в качестве самостоятельного костнозамещающего материала и рассматривать в качестве костной матрицы для создания эффективных тканеинженерных конструкций [16, 17] (рис. 8).
Рис. 8. Механизмы воздействия костнопластического материала на процессы регенерации кости
В случае использования конструкции на базе депротеинизированной костной матрицы с содержанием аутологичного материала, способного воздействовать на регенерацию костной ткани, происходит включение всех четырех процессов регенерации костной ткани: остеобластического, остеоиндуктивного, остеокондуктивного и стимулированного остеогенеза.
Несмотря на то, что в нашем исследовании использованные костные матрицы в отношении выбранной модели животных (кролик) являются ксеногенными, начиная со 2-й нед. выявили отсутствие макро- и микроскопических морфологических признаков формирования местной воспалительной реакции мягких тканей и отторжения костных матриц в участках их гетеротопической имплантации в 2-й и 3-й группах. Это обусловлено соответствующими свойствами использованных костных матриц — физико-химическими и биологическими, удовлетворяющими характеристикам окружающих тканей в участках имплантации, что, в свою очередь, определяется способом и степенью очистки губчатой костной ткани от антигенных структур [18, 19, 20].
Полученные результаты свидетельствуют об отсутствии токсического действия выбранного материала в отношении живых клеток и тканей in vivo и иммунной реакции макроорганизма. Это позволило использовать его в качестве костных матриц для разработки тканеинженерных конструкций и дальнейшего изучения их эффективности.
В качестве биологически активного компонента для создания тканеинженерной конструкции на основе депротеинизированной губчатой костной матрицы была выбрана стромально-васкулярная фракция жировой ткани, выделенная и обработанная по стандартной методике, что позволяет исключить проведение дополнительной экспериментальной количественной оценки клеточного состава полученной фракции [13, 14, 21]. Это обосновано клеточным составом фракции и свойствами самих клеток — стволовые клетки жировой ткани, эндотелиальные и гладкомышечные клетки кровеносных сосудов и их предшественники, фибробласты, макрофаги, Т-лимфоциты, перициты и другие клетки, обусловливающие выраженный регенераторный потенциал, выраженное противовоспалительное действие и иммунорегуляторную активность. Также факторы стромально-васкулярной фракции стимулируют образование сосудистой сети, что способствует регенерации костной ткани [22, 23, 24, 25].
Разработка новых методов активации репаративного остеогенеза с помощью разных костнозамещающих материалов требует объективных данных о безопасности и эффективности используемых материалов [26]. Получить объективные и достоверные данные о состоянии репаративного остеогенеза можно с помощью микроскопического исследования гистологических образцов костной ткани. Гистологическое исследование позволяет оценить клеточные и тканевые реакции, формирующиеся в ответ на разного рода патологические воздействия, и определить степень выраженности репаративной регенерации костной ткани — ключевое звено в исследованиях по поиску эффективных и безопасных костнозамещающих материалов и разработке на их основе тканеинженерных конструкций для травматологии и ортопедии.
Современные методы обработки фрагментов костной ткани позволяют получить гистологические препараты костных регенератов хорошего качества. Важную роль при оценке состояния костной ткани играет гистологическая окраска. Использование рутинного окрашивания гематоксилином и эозином позволяет оценить качество гистологических срезов, провести обзорную оценку гистологических критериев изучаемого процесса. Для уточнения полученной информации о характере выявленных процессов в костном регенерате в работе использовали дополнительные гистохимические методы окраски — по Ван Гизону, импрегнация серебром.
Для осуществления морфметрического исследования важным является также качество окрашивания образцов, так как это напрямую влияет на получение достоверных, статистически обоснованных результатов исследований. Разработка новых костнозамещающих продуктов на основе, в частности, депротеинизированной губчатой костной матрицы, невозможна без проведения морфометрической оценки гистологических критериев биологической безопасности используемого материала и его способности эффективно активировать репаративный остеогенез. В настоящее время отсутствует четкая система морфометрии, адаптированная для костной ткани. Необходимым является исследование как фрагментов самого костного регенерата, так и структурных компонентов костнозамещающего материала, помещенного в костный дефект, так как он обусловливает реализацию, в большей или меньшей степени выраженности, каскада специфических реакций на введение данного агента, исходя из его свойств [27].
В нашем исследовании была проведена морфологическая и морфометрическая оценка костных регенератов после имплантации костнозамещающих материалов на основе костной матрицы из депротеинизированной губчатой костной ткани резецированной головки бедренной кости человека и аналогичной костной матрицы с добавлением стромально-васкулярной фракции жировой ткани. С целью комплексной оценки биологических (остеокондуктивных, остеоиндуктивных, остеогенных) свойств костнозамещающих материалов осуществляли подсчет относительного объема «зрелой» и новообразованной костной ткани. Динамика изменения показателя объемной плотности «зрелой» костной ткани была аналогичной показателю объемной плотности «незрелой» костной ткани в гистологических образцах при имплантации костнозамещающих материалов. Минимальным показатель объемной плотности новообразованной и «зрелой» костной ткани был в гистологических образцах без замещения костных дефектов. Помимо этого, выявили склонность к формированию грубоволокнистой соединительной ткани на поверхности костного регенерата и внутри него в случаях заполнения костного дефекта депротеинизированной костной матрицей и при ее сочетанном использовании с SVF. Выраженное формирование грубоволокнистой соединительной ткани, локализованной преимущественно над поверхностью регенерата, выявили при отсутствии замещения костного дефекта. Это сопровождалось тем, что объемная плотность аргирофильных соединительнотканных волокон преобладала над показателем объемной плотности коллагеновых волокон во все периоды исследования. Также преобладание аргирофильных волокон при самопроизвольном заживлении костного дефекта над показателями в образцах костной ткани при замещении костных дефектов выбранными костнозамещающими материалами могут быть косвенным признаком нарушения дифференцировки соединительной ткани в области самопроизвольного заживления костного дефекта и причиной формирования осложнений, таких как ложный сустав.
Вероятно, формирование выявленных структурных изменений обусловлено, в том числе, влиянием про- и противовоспалительной активности клеток в составе лимфоцитарно-макрофагального клеточного инфильтрата в ответ на инородное тело при реконструкции костных дефектов, что может служить активатором процесса ремоделирования костной ткани. Динамику репаративного остеогенеза и ремоделирование костной ткани в данной экспериментальной работе оценивали в гистологических образцах костной ткани трех временных точек исследования. Принимая во внимание непродолжительный период исследования, выявленные структурные изменения свидетельствуют о преобладании процессов репарации костной ткани в области ее дефектов над процессами резорбции и ремоделирования, что в большей степени выражено при использовании костнозамещающих материалов.
Cравнительный анализ репаративных процессов при использовании костной матрицы из депротеинизированой губчатой костной ткани человека и при ее сочетании с SVF на экспериментальной модели in vivo выявил, что использование указанных костнозамещающих материалов способствует не только ранней активации репаративной регенерации основных структурных элементов костной ткани в месте замещения костного дефекта, но и их своевременной дифференцировке. Это обусловливает восстановление структурно-функциональной состоятельной костной ткани в месте повреждения, не вызывая развития выраженного реактивного воспаления. Использование тканеинженерной конструкции в составе c SVF на депротеинизированной костной матрице позволяет задействовать все механизмы регенерации и ускорить процесс замещения костного дефекта по сравнению с изолированным использованием костной матрицы или без заполнения дефекта. Действие выбранной тканеинженерной конструкции с сочетанным влиянием нескольких факторов в ее составе оказалось более эффективным в отношении активации регенерации костной ткани. Следовательно, это подтверждает возможность использования костной матрицы на основе депротеинизированной губчатой костной ткани для создания тканеинженерных конструкций.
Ограничения исследования
Ограничением настоящего исследования послужило использование стромально-васкулярной фракции аутологичной жировой ткани в качестве компонента при создании тканеинженерной конструкции, несмотря на многообразие субстратов, потенциально воздействующих на процессы остеогенеза.
ЗАКЛЮЧЕНИЕ
По результатам макро- и микроскопической оценки тканей области гетеротопической и ортотопической имплантации депротеинизированных костных матриц отсутствовали признаки воспаления и деструктивных изменений в тканях, что является признаком биологической безопасности в отношении живых тканей.
Использование сочетания SVF с депротеинизированной костной матрицей для создания тканеинженерной конструкции позволяет задействовать несколько механизмов регенерации и ускорить процесс замещения костного дефекта по сравнению с изолированным использованием депротеинизированной костной матрицы и без реконструкции костного дефекта.
* ГОСТ ISO 10993-6-2011, действующий до 01.03.2022, и ГОСТ 10993-6-2021 Приложение С, актуальное на момент проведения экспериментальной работы взамен утратившего силу ГОСТ Р ИСО 10993-6-2009 Приложение D.
* ГОСТ ISO 10993-6-2011 (действующий до 01.03.2022) и 10993-6-2021 Приложение A, актуальное на момент проведения экспериментальной работы взамен утратившего силу ГОСТ Р ИСО 10993-6-2009 Приложение B.
ДОПОЛНИТЕЛЬНАЯ ИНФОРМАЦИЯ
Заявленный вклад авторов
Анастасиева Е.А. — концепция и дизайн исследования, сбор, анализ и интерпретация данных, написание текста статьи, редактирование статьи.
Черданцева Л.А. — анализ и интерпретация данных, редактирование статьи.
Толстикова Т.Г. — концепция и дизайн исследования, анализ и интерпретация данных.
Кирилова И.А. — концепция и дизайн исследования редактирование статьи.
Все авторы прочли и одобрили финальную версию рукописи статьи. Все авторы согласны нести ответственность за все аспекты работы, чтобы обеспечить надлежащее рассмотрение и решение всех возможных вопросов, связанных с корректностью и надежностью любой части работы.
Источник финансирования. Государственное бюджетное финансирование.
Конфликт интересов. Авторы декларируют отсутствие явных и потенциальных конфликтов интересов, связанных с публикацией настоящей статьи.
Этическая экспертиза. Все исследования были проведены в соответствии с Европейской конвенцией о защите позвоночных животных, используемых для экспериментов или в иных научных целях (18.03.1986) и Правилами проведения работ с использованием экспериментальных животных (приказ Министерства Здравоохранения Российской Федерации от 19.03.2003 г. № 226).
Информированное согласие на публикацию. Не требуется.
DISCLAIMERS
Author contribution
Anastasieva E.A. — research conception and design, analysis and statistical processing of data, writing the draft, text editing.
Cherdantseva L.A. — analysis and statistical processing of data, text editing.
Tolstikova T.G. — research conception and design, analysis and statistical processing of data.
Kirilova I.A. — research conception and design, text editing.
All authors have read and approved the final version of the manuscript of the article. All authors agree to bear responsibility for all aspects of the study to ensure proper consideration and resolution of all possible issues related to the correctness and reliability of any part of the work.
Funding source. State budgetary funding.
Competing interests. The authors declare that they have no competing interests.
Ethics approval. All studies were carried out in accordance with the European Convention for the Protection of Vertebrate Animals Used for Experiments or for Other Scientific Purposes (March 18, 1986) and the Rules for Conducting Researches Using Experimental Animals (Order of Health Ministry of Russian Federation, March 19, 2003 No. 226).
Consent for publication. Not required.
About the authors
Evgeniya A. Anastasieva
Novosibirsk Research Institute of Traumatology and Orthopedics n.a. Ya.L. Tsivyan
Author for correspondence.
Email: evgeniya.anastasieva@gmail.com
ORCID iD: 0000-0002-9329-8373
Россия, Novosibirsk
Liliya A. Cherdantseva
Novosibirsk Research Institute of Traumatology and Orthopedics n.a. Ya.L. Tsivyan
Email: cherdanceff@yandex.ru
ORCID iD: 0000-0002-4729-3694
Cand. Sci. (Med.)
Россия, NovosibirskTatyana G. Tolstikova
N.N. Vorozhtsov Novosibirsk Institute of Organic Chemistry of Siberian Branch of Russian Academy of Sciences
Email: tg_tolstikova@mail.ru
ORCID iD: 0000-0002-3750-2958
Dr. Sci. (Biol.)
Россия, NovosibirskIrina A. Kirilova
Novosibirsk Research Institute of Traumatology and Orthopedics n.a. Ya.L. Tsivyan
Email: irinakirilova71@mail.ru
ORCID iD: 0000-0003-1911-9741
Dr. Sci. (Med.)
Россия, NovosibirskReferences
- Gurazhev M.B., Baitov V.S., Gavrilov A.A., Pavlov V.V., Korytkin A.A. [Methods of the Tibia Bone Defect in Primary Knee Arthroplasty: Systematic Review]. Travmatologiya i ortopediya Rossii [Traumatology and Orthopedics of Russia]. 2021;27(3):173-188. (In Russian). doi: 10.21823/2311-2905-2021-27-3-173-188.
- Stewart S.K. Fracture non-union: a review of clinical challenges and future research needs. Malaysian Orthop J. 2019;13(2):1-10. doi: 10.5704%2FMOJ.1907.001.
- Kirilova I.A., Podorozhnaya V.T. Comparative characteristics of materials for bone grafting: composition and properties. In: Physicochemical and mechanical properties of the extracellular matrix as signals for controlling proliferation, differentiation, motility and taxis of cells. Moscow: FIZMATLIT; 2021. p. 27-54. (In Russian).
- Shastov A.L., Kononovich N.A., Gorbach E.N. [Management of posttraumatic long bone defects in the national and foreign orthopedic practice (literature review)]. Genij Ortopedii [Orthopaedic Genius]. 2018;24(2):252-257. (In Russian). doi: 10.18019/1028-4427-2018-24-2-252-257.
- Wang W., Yeung K.W.K. Bone grafts and biomaterials substitutes for bone defect repair: A review. Bioact Mater. 2017;2(4):224-247. doi: 10.1016/j.bioactmat.2017.05.007.
- Korytkin A.A., Zakharova D.V., Novikova Ya.S., Gorbatov R.O., Kovaldov K.A., El Moudni Y.M. [Custom Triflange Acetabular Components in Revision Hip Replacement (experience Review)]. Travmatologiya i ortopediya Rossii [Traumatology and Orthopedics of Russia]. 2017;23(4):101-111. (In Russian). doi: 10.21823/2311-2905-2017-23-4-101-111.
- Tikhilov R.M., Dzhavadov A.A.. Denisov A.O., Сhililov A.M., Cherkasov M.A., Bilyk S.S. et al. [Cost-effectiveness analysis of custom-made and serial acetabular components in revision hip arthroplasty]. Genij Ortopedii [Orthopaedic Genius]. 2022;28(2):234-240. (In Russian). doi: 10.18019/1028-4427-2022-28-2-234-240.
- Yu X., Tang X., Gohil S.V., Laurencin C.T. Biomaterials for bone regenerative engineering. Adv Healthc Mater. 2015;4(9):1268-1285. doi: 10.1002/adhm.201400760.
- Hrapkiewicz K., Colby L. A., Denison P. Clinical laboratory animal medicine: an introduction. John Wiley & Sons; 2013. 431 p.
- Liu E., Fan J. Fundamentals of Laboratory Animal Science. CRC Press; 2017. 352 p.
- Heuther S. Obesity and disorders of nutrition. In: Brashers V.L. et al. (ed.). Pathophysiology: the biologic basis for disease in adults and children. 8th edition. Elsevier; 2018. p 2268-2313.
- Baljit S. Part I. General anatomy. In: Baljit S. ed. Dyce, Sack, and Wensing’s textbook of veterinary anatomy. London: Elsevier; 2017 (Ed. 5). p. 1-28.
- Oedayrajsingh-Varma M.J., Van Ham S.M., Knippenberg M., Helder M.N., Klein-Nulend J., Schouten T.E. et al. Adipose tissue-derived mesenchymal stem cell yield and growth characteristics are affected by the tissue-harvesting procedure. Cytotherapy. 2006;8(2):166-177. doi: 10.1080/14653240600621125.
- Baer P.C., Geiger H. Adipose-derived mesenchymal stromal/stem cells: tissue localization, characterization, and heterogeneity. Stem Cells Int. 2012;2012:812693. doi: 10.1155/2012/812693.
- Permuy M., López-Peña M., Muñoz F., González-Cantalapiedra A. Rabbit as model for osteoporosis research. J Bone Miner Metab. 2019;37(4):573-583. doi: 10.1007/s00774-019-01007-x.
- Podorozhnaya V.T., Sadovoi M.A., Kirilova I.A., Sharkeev Yu.P., Legostaeva E.V. [Allogeneic bone materials: structure, properties, application]. Izvestiya vysshikh uchebnykh zavedenii. Fizika [Russian Physics Journal]. 2013;56(12-3):14-20. (In Russian).
- Cherdantseva L.A., Anastasieva E.A., Aleynik D.Ya., Egorikhina M.N., Kirilova I.A. [In Vitro Evaluation of the Allogeneic Bone Matrix Effect on the Adipose Mesenchymal Stromal Cells Characteristics in Combined Tissue Engineering]. Travmatologiya i ortopediya Rossii [Traumatology and Orthopedics of Russia]. 2021;27(1):53-65. (In Russian). doi: 10.21823/2311-2905-2021-27-1-53-65.
- Vorobyоv K.A., Bozhkova S.A., Tikhilov R.M., Cherny A.Zh. [Current Methods of Processing and Sterilization of Bone Allografts (Review of Literature)]. Travmatologiya i ortopediya Rossii [Traumatology and Orthopedics of Russia]. 2017;23(3):134-147. (In Russian). doi: 10.21823/2311-2905-2017-23-3-134-147.
- Vorobyov K.A., Bozhkova S.A., Anisimova L.I., Netylko G.I. [Effect of the osteoplastic material processing methods on the remodeling in the experimental bone defect model in vivo]. Prakticheskaya meditsina [Practical medicine]. 2019;17(1):67-72. (In Russian).
- Kirilova I.A. [Anatomical and functional properties of bone as the basis for the creation of osteoplastic materials for traumatology and orthopedics]. Moscow: FIZMATLIT; 2019. 256 p. (In Russian).
- Sharun K., Pawde A.M., Kumar R., Kalaiselvan E., Kinjavdekar P., Dhama K. et al. Standardization and characterization of adipose-derived stromal vascular fraction from New Zealand white rabbits for bone tissue engineering. Vet World. 2021;14(2):508-514. doi: 10.14202/vetworld.2021.508-514.
- Guo J., Nguyen A., Banyard D.A., Fadavi D., Toranto J.D., Wirth G.A. et al. Stromal vascular fraction: A regenerative reality? Part 2: Mechanisms of regenerative action. J Plast Reconstr Aesthet Surg. 2016;69(2):180-188. doi: 10.1016/j.bjps.2015.10.014.
- Bora P., Majumdar A.S. Adipose tissue-derived stromal vascular fraction in regenerative medicine: a brief review on biology and translation. Stem Cell Res Ther. 2017;8(1):145. doi: 10.1186/s13287-017-0598-y.
- Gentile P., Sterodimas A., Pizzicannella J., Dionisi L., De Fazio D., Calabrese C. et al. Systematic Review: Allogenic Use of Stromal Vascular Fraction (SVF) and Decellularized Extracellular Matrices (ECM) as Advanced Therapy Medicinal Products (ATMP) in Tissue Regeneration. Int J Mol Sci. 2020;21(14):4982. doi: 10.3390/ijms21144982.
- Pavlov V.N., Kazikhinurov A.A., Kazikhinurov R.A., Pushkarev A.M., Agaverdiev M.A., Maximova S.Yu. et al. [Modern possibilities of clinical application of the adipose tissue-derived stromal vascular fraction. Literature review]. Meditsinskii vestnik Bashkortostana [Bashkortostan Medical Journal]. 2020;15(6(90)):142-153. (In Russian).
- Khominets V.V., Vorobev K.A., Sokolova M.O., Ivanova A.K., Komarov A.V. [Allogenic osteoplastic materials for reconstructive surgery of combat injuries]. Izvestiya Rossiiskoi Voenno-meditsinskoi akademii [Russian Military Medical Academy Reports]. 2022;41(3):309-314. doi: 10.17816/rmmar109090.
- Elgali I., Turri A., Xia W., Norlindh B., Johansson A., Dahlin C. et al. Guided bone regeneration using resorbable membrane and different bone substitutes: Early histological and molecular events. Acta Biomater. 2016;29:409-423. doi: 10.1016/j.actbio.2015.10.005.
Supplementary files












