Оценка травматичности хирургических доступов при выполнении тройной остеотомии таза у детей с диспластической нестабильностью тазобедренного сустава
- Авторы: Бортулёв П.И.1, Баскаева Т.В.1, Барсуков Д.Б.1, Поздникин И.Ю.1
-
Учреждения:
- ФГБУ «Национальный медицинский исследовательский центр детской травматологии и ортопедии им. Г.И. Турнера» Минздрава России
- Выпуск: Том 28, № 4 (2022)
- Страницы: 79-89
- Раздел: КЛИНИЧЕСКИЕ ИССЛЕДОВАНИЯ
- Дата подачи: 10.08.2022
- Дата принятия к публикации: 30.09.2022
- Дата публикации: 26.12.2022
- URL: https://journal.rniito.org/jour/article/view/1981
- DOI: https://doi.org/10.17816/2311-2905-1981
- ID: 1981
Цитировать
Аннотация
Актуальность. Инвазивность и травматичность хирургических доступов при проведении операций на тазобедренном суставе в первую очередь определяется величиной мышечной травмы. На сегодняшний день для осуществления остеотомий костей таза и реориентации вертлужной впадины ортопедами используется от одного до трех хирургических доступов. Анализ мировой и отечественной научной литературы показал отсутствие исследований, посвященных сравнению травматичности различных хирургических доступов для выполнения тройной остеотомии таза у детей.
Цель исследования — определить степень мышечной травматизации при выполнении тройной остеотомии таза различными доступами у пациентов с дисплазией тазобедренных суставов.
Материал и методы. В исследование вошли 70 пациентов (70 тазобедренных суставов) в возрасте от 12 до 18 лет (15,2±1,4) с дисплазией тазобедренных суставов I степени по классификации Crowe, получавших лечение в период с 2020 по 2021 г. Все дети были разделены на две группы: I группу составили 35 пациентов (35 тазобедренных суставов), которым тройную остеотомию таза выполняли из переднебокового доступа, II группу — 35 пациентов (35 тазобедренных суставов), которым тройная остеотомия таза была выполнена из двух доступов — медиального трансаддукторного и «бикини». Помимо стандартной рентгенометрии тазобедренных суставов, до операции и на 3-и, 7-е сутки после ее выполнения оценивали выраженность болевого синдрома по ВАШ и уровень маркеров мышечной травматизации: аспартатаминотрансферазы (АСТ), креатинфосфокиназы (КФК), лактатдегидрогеназы (ЛДГ) и С-реактивного белка (СРБ).
Результаты. Интенсивность болевого синдрома по ВАШ была более выраженной (p<0,05) у пациентов, которым операция выполнялась из переднебокового доступа, а значения показателей КФК и СРБ значительно (p<0,05) превышали аналогичные у пациентов, которым тройная остеотомия таза была выполнена из двух хирургических доступов. Полученные данные свидетельствуют о большей травматизации мышц области тазобедренного сустава в ходе выполнения передне-бокового доступа для осуществления тройной остеотомии таза.
Заключение. Сравнительный анализ травматичности хирургических доступов, основанный на оценке биохимических показателей маркеров мышечной травмы и интенсивности болевого синдрома в послеоперационном периоде показал, что передне-боковой доступ при выполнении тройной остеотомии таза у детей с дисплазией тазобедренных суставов I степени по Crowe приводит к большей травматизации мышечной ткани (p<0,05), чем применение двух хирургических доступов (медиального трансаддукторного и «бикини»), о чем свидетельствуют значительное повышение КФК и СРБ в крови, а также более выраженный болевой синдром в ближайшем после операционном периоде.
Полный текст
ВВЕДЕНИЕ
Частота возникновения дисплазии тазобедренных суставов не имеет тенденции к снижению с течением времени и, несмотря на современные возможности ее максимально раннего выявления, процент гиподиагностики сохраняется на достаточно высоком уровне [1, 2, 3, 4]. Недоразвитие свода вертлужной впадины создает условия для краниального смещения головки бедренной кости с формированием подвывиха бедра, а его первые клинические симптомы проявляются уже в подростковом периоде в связи с наличием участка локальной патологической нагрузки на гиалиновый хрящ [5, 6, 7].
Множество отечественных и зарубежных авторов научно доказали высокую эффективность тройной остеотомии таза в комплексном лечении диспластического подвывиха бедра и коксартроза у детей, подростков и молодых взрослых [8, 9, 10, 11, 12, 13]. Для осуществления остеотомий костей таза и реориентации вертлужной впадины ортопедами используется от одного до трех хирургических доступов [14, 15, 16, 17]. Кроме того, имеются работы, посвященные выполнению тройной остеотомии из малоинвазивных доступов [18, 19, 20, 21]. Однако необходимо отметить, что на сегодняшний день существуют противоречия в понятии «малоинвазивный доступ». Так, у ряда авторов сложилось мнение, что малоинвазивным или малотравматичным является доступ с разрезом кожных покровов до 10 см даже при условии значимого повреждения околосуставных мышц [22, 23, 24, 25]. В противоположность этому мнению другие авторы считают, что под термином «малоинвазивный/малотравматичный доступ» подразумевается хирургический доступ, при котором не проводится рассечение мышц и сухожилий, а протяженность разреза кожи не имеет особого значения [26, 27]. Кроме того, ряд авторов, которые выполняют тройную остеотомию таза более чем из одного, незначительного по длине разреза кожи, также считают эту методику малоинвазивной [28]. Вместе с тем инвазивность и травматичность доступа в первую очередь определяется величиной мышечной травмы, одним из способов определения которой является оценка биохимических маркеров мышечной травматизации: аспартатаминотрансферазы (АСТ), креатинфосфокиназы (КФК), лактатдегидрогеназы (ЛДГ) и С-реактивного белка (СРБ) [29].
Нами был проведен анализ зарубежной и отечественной научной литературы, посвященной сравнению травматичности различных хирургических доступов для выполнения тройной остеотомии таза, который показал отсутствие такого рода исследований, что подчеркивает актуальность его проведения.
Цель исследования — оценить степень мышечной травматизации при выполнении тройной остеотомии таза с использованием различных доступов у пациентов с дисплазией тазобедренных суставов.
МАТЕРИАЛ И МЕТОДЫ
Дизайн исследования
Выполнено моноцентровое когортное проспективное сравнительное контролируемое иссле- дование.
Исследование основано на результатах клинико-лабораторного обследования в пред- и послеоперационном периодах 70 пациентов (70 тазобедренных суставов) с дисплазией тазобедренных суставов I степени по Crowe в возрасте от 12 до 18 лет (15,2±1,4), которым в период с 2020 по 2021 г. была выполнена тройная остеотомия таза. Все пациенты в зависимости от используемого хирургического доступа были разделены на две равнозначные группы. Группу I составили 35 пациентов (35 тазобедренных суставов), которым тройная остеотомия таза выполнялась общепринятым в Центре переднебоковым доступом. Пациентов женского пола было 30, мужского — 5. В группу II вошли 35 пациентов (35 тазобедренных суставов), у которых использовались два хирургических доступа: медиальный трансаддукторный и доступ «бикини». Пациентов женского пола было 28, мужского — 7.
Критерии включения в исследование:
– наличие нестабильности тазобедренного сустава в виде подвывиха бедра (I степень по классификации Crowe);
– отсутствие необходимости выполнения корригирующих вмешательств на проксимальном отделе бедренной кости;
– отсутствие неврологических, системных и генетических заболеваний;
– согласие пациента или его законного представителя на участие в исследовании.
Критерии исключения из исследования:
– наличие нестабильности тазобедренного сустава в виде маргинального, надацетабулярного и подвздошного вывиха бедра (степени II–IV по Crowe);
– необходимость выполнения внутрисуставных манипуляций и корригирующей остеотомии бедренной кости;
– наличие неврологических, системных и генетических заболеваний;
– отказ от заполнения информированного согласия для принятия участия в исследовании;
– возникновение инфекций хирургической раны в послеоперационном периоде.
Техника операции
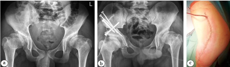
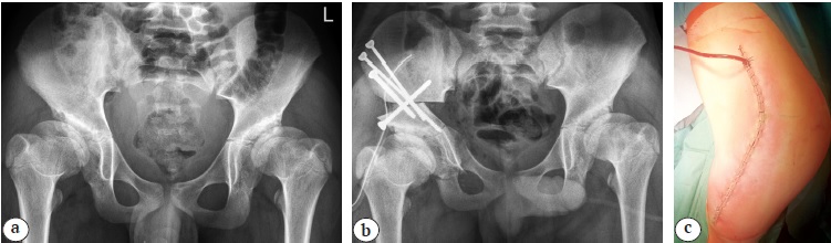
Переднебоковой доступ. Положение пациента на операционном столе — лежа на контралатеральном пораженному суставу боку. Выполняется углообразный разрез кожи и подкожно-жировой клетчатки от передне-верхней ости подвздошной кости до уровня границы верхней третей диафиза бедра длиной 15–20 см. Рассечение tensor fascia lata повторяет разрез кожи с дополнительным поперечным сечением кзади на уровне большого вертела с целью проведения манипуляций на седалищной кости. После препаровки промежутка между m. gluteus medius и m. tensor facia lata и выделения крыла подвздошной кости осуществляется рассечение хрящевого апофиза гребня подвздошной кости с последующим поднадкостничным выделением тела подвздошной кости, в которую проводится проволочная пила. Следующим этапом выполняются поднадкостничное выделение и остеотомия лонной кости медиальнее Y-образного хряща или гребневидного бугорка максимально близко к вертлужной впадине. После выделения на протяжении n. ischiadicus выполняются поднадкостничное выделение и периацетабулярная остеотомия седалищной кости краниальнее места прикрепления lig. sacrotuberosus. После этого проводится остеотомия тела подвздошной кости с последующей реориентацией либерализованной вертлужной впадины (рис. 1).
Рис. 1. Выполнение тройной остеотомии таза из переднебокового хирургического доступа: a — рентгенограмма пациента 12 лет с дисплазией тазобедренных суставов I степени по Crowe до операции; b — рентгенограмма после восстановления корректных соотношений между тазовым и бедренным компонентами тазобедренного сустава методом реориентирующей тройной остеотомии таза справа; c — фото хирургического доступа после ушивания
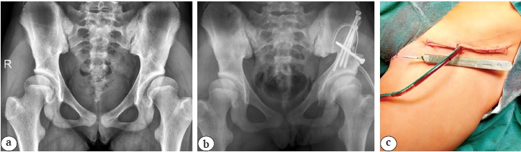
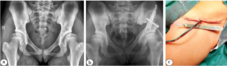
Медиальный трансаддукторный доступ и доступ «бикини». Положение пациента на операционном столе — лежа на спине. На нижней конечности в положении сгибания и разведения на стороне вмешательства выполняется поперечный разрез кожи и подкожно-жировой клетчатки в проекции сухожилия m. adductor longus длиной до 4 см. Тупо в межмышечном промежутке формируется канал до седалищной кости. После поднадкостничного выделения долотом выполняется ее периацетабулярная остеотомия. Следующим этапом производится разрез кожи и подкожно-жировой клетчатки на 1 см ниже крыла подвздошной кости вдоль паховой складки длиной до 15 см. После рассечения фасции визуализируется, выделяется на протяжении и смещается n. сutaneous femoris lateralis. В промежутке между m. tensor facia lata и m. sartorius выделяется крыло подвздошной кости с последующим рассечением его хрящевого апофиза, поднадкостичным выделением тела подвздошной кости и проведением проволочной пилы в седалищную вырезку. Дальнейшие манипуляции не имели отличий от аналогичных, выполняемых из переднебокового доступа (рис. 2).
Рис. 2. Выполнение тройной остеотомии таза из двух хирургических доступов: a — рентгенограмма пациента 16 лет с дисплазией тазобедренных суставов I степени по Crowe до операции; b — рентгенограмма после восстановления корректных соотношений между тазовым и бедренным компонентами тазобедренного сустава методом реориентирующей тройной остеотомии таза слева; c — вид хирургического доступа после ушивания
Методы исследования
Помимо общепринятого клинического обследования с заполнением анкеты ВАШ и лучевых методов исследования, которые включали в себя рентгенографию в переднезадней и аксиальной проекциях и компьютерную томографию тазобедренных суставов, всем пациентам проводился анализ биохимических маркеров мышечной травматизации до операции и на 3-и и 7-е сут. послеоперационного периода: ЛДГ, КФК, АСТ, СРБ. Помимо этого проводился анализ длительности операции и объема интраоперационной кровопотери.
Статистический анализ
Статистический анализ осуществлялся с помощью программного комплекса IBM SPSS v. 26. Анализ показателей в процессе лечения внутри групп пациентов проводился при помощи непараметрического критерия Вилкоксона, сравнение показателей в группах при различных используемых хирургических доступах — с помощью непараметрического U-критерия Манна – Уитни с уровнем вероятности ошибки первого рода менее 5% (p<0,05).
РЕЗУЛЬТАТЫ
Пациенты обеих групп при поступлении в клинику предъявляли типичные для дипластической нестабильности тазобедренного сустава жалобы на боли интенсивностью 4,5±0,8 баллов по ВАШ. Нарушение походки в виде хромоты отмечалось у 100% пациентов, а средняя величина укорочения нижней конечностей составила 1,4±0,3 см. Избыточные ротационные движения, положительный тест на импинджмент (FADIR) выявлен у 29 (83%) пациентов в первой группе и у 30 (85%) пациентов во второй.
Полученные после проведения рентгенометрии основные показатели состояния тазового и бедренного компонентов сустава, а также их соотношения, представлены в таблице 1.
Таблица 1
Значения основных рентгенометрических параметров, характеризующих анатомическое строение и пространственную ориентацию вертлужной впадины и проксимального отдела бедренной кости, до операции, M±SD (min-max); Me (25–75%)
Показатель | Группа I | Группа II |
Угол Sharp, град. | 53±3 (50–58); 52 (51–57) | 53,6±3,5 (50–57); 54 (50–57) |
Угол Tonnis, град. | 22,4±2,6 (18–27); 22 (20–25) | 23,1±2,5 (20–28); 23 (21–25) |
Угол Wiberg, град. | 5,0±2,6 (1–9); 5 (3–7) | 4,6±2,7 (2–11); 4 (2–6) |
Степень костного покрытия, % | 52,4±4,1 (45–59); 52 (50–56) | 50,6±3,8 (46–53); 51 (46–53) |
Краниальное смещение, мм | 8±4 (2–16); 7 (5,0–10,5) | 8,0±3,7 (3±15); 7,5 (5,0–11,8) |
ШДУ, град. | 138,5±5,8 (125–150); 140 (135,0–141,8) | 139,4±6,4 (125–150); 140 (135–142) |
УА, град. | 35,5±3,7 (24–40); 36,7 (32,7–38,0) | 36±4 (24–42); 36,8 (33,0–38,6) |
ШДУ — шеечно-диафизарный угол; УА — угол антеторсии.
Рентгенанатомическое строение тазобедренного сустава у пациентов обеих групп характеризовалось типичными для диспластического характера патологии изменениями и не имело статистически значимого (p>0,05) межгруппового различия [13, 30].
Проведенное биохимическое исследование вышеобозначенных маркеров мышечной травматизации, результаты которого представлены в таблице 2, показало, что их значения до операции находились в пределах референсного интервала и не имели статистически значимых отличий (p>0,05) между группами пациентов.
Таблица 2
Значения биохимических маркеров мышечной травматизации до операции, M±SD (min-max); Me (25–75%)
Показатель | Группа I | Группа II |
ЛДГ, Ед/л | 244±15 (189–272); 242 (236–258) | 247,0±12,8 (226–276); 247 (238–257) |
КФК, Ед/л | 98,4±30,4 (62–169); 87 (78–114) | 97,0±28,3 (68–172); 89 (74–104) |
Креатинин, мкмоль/л | 61,0±7,8 (61–169); 61 (54–67) | 60,1±9 (45–78); 59 (53–67) |
АСТ, Ед/л | 20,9±5,8 (11–32); 21 (15–25) | 19,8±5,6 (10–32); 19 (15–24) |
СРБ, мг/л | 0,8±0,3 (0,3–1,2); 0,9 (0,5–1,0) | 0,7±0,3 (0,2–1,3); 0,8 (0,5–1,0) |
Все хирургические вмешательства проводились опытными хирургами.
Среднее время операции и величина кровопотери в I группе составили 93±10 мин. и 200,4±36,2 мл; во II группе — 92±8 мин. и 166,7±38,0 мл соответственно. Средняя продолжительность хирургического вмешательства не имела различий (p>0,05). В то же время объем интраоперационной кровопотери у пациентов, которым тройная остеотомия таза выполнялась из двух доступов, был статистически значимо ниже (p<0,05), чем в группе пациентов, которым аналогичное вмешательство выполнялось из переднебокового хирургического доступа. Ни в одном случае нами не были получены осложнения, носящие нейроциркуляторный характер.
В результате проведенного хирургического лечения у всех пациентов обеих групп исследования достигнута стабильность тазобедренного сустава (табл. 3).
Таблица 3
Значения основных рентгенометрических параметров, характеризующих анатомическое строение и пространственную ориентацию вертлужной впадины и проксимального отдела бедренной кости после операции, M±SD (min-max); Me (25–75%)
Показатель | Группа I | Группа II |
Угол Sharp, град. | 35,3±4,9 (28–45); 35 (31–38) | 36,2±4,8 (30–45); 36 (32–40) |
Угол Tonnis, град. | 6,1±1,9 (3–9); 6 (5–8) | 5,4±2,1 (2–9); 5 (4–7) |
Угол Wiberg, град. | 31,4±7,0 (18–40); 31 (27–39) | 32,7±3,9 (28–40); 33 (30–35) |
Степень костного покрытия, % | 93,3±5,9 (80–100); 95 (90–100) | 94,7±5,2 (85–100); 95 (90–100) |
Краниальное смещение, мм | – | – |
ШДУ, град. | 138,5±5,8 (125–150); 140 (135,0–141,8) | 139,4±6,4 (125–150);140 (135–142) |
УА, град. | 35,5±3,7 (24–40); 36,7 (32,7–38,0) | 36±4 (24–42); 36,8 (33,0–38,6) |
ШДУ — шеечно-диафизарный угол; УА — угол антеторсии.
В результате хирургического лечения у всех пациентов в обеих группах достигнута стабильность тазобедренного сустава со значениями основных рентгенометрических индексов, отражающих анатомическое строение и пространственную ориентацию вертлужной впадины, а также ее соотношение с бедренной костью, находящимися в переделах нормативных рефересных интервалов. Это, на наш взгляд, крайне важно в плане как возможного дальнейшего развития фемороацетабулярного импинджмента типа “pincer”, так и сложности позиционирования и имплантации чашки эндопротеза при необходимости выполнения тотальной артропластики тазобедренного сустава во взрослом возрасте в результате гиперкоррекции положения ацетабулярного фрагмента [13, 31].
Проведенный анализ выраженности болевого синдрома по ВАШ в послеоперационном периоде, а также динамики его изменения показал наличие статистически значимых различий (p<0,05) между группами пациентов (рис. 3).
Рис. 3. Динамика изменения болевого синдрома по ВАШ в послеоперационном периоде у пациентов обеих групп
Так, пациенты I группы на 3-и сут. после операции отмечали сильные боли, в то время у пациентов II группы болевые ощущения носили умеренный характер. На 7-е сут. после операции болевые ощущения постепенно купировались, однако сохранялись статистически значимые отличия в выраженности болевого синдрома между пациентами I и II групп (p<0,05).
Изменения в показателях маркеров мышечной травматизации представлены в таблице 4.
Таблица 4
Динамика изменений в биохимических показателях маркеров мышечной травматизации в послеоперационном периоде, M±SD (min-max); Me (25–75%)
Показатель | Группа I | Группа II |
3-и сутки | ||
ЛДГ, Ед/л | 266,0±14,7(240–291); 267 (254–278) | 262±12 (241–282); 264 (253–273) |
КФК, Ед/л | 753,0±123,2 (540–1012)*; 751 (657–845) | 358,0±82,6 (180–493)*; 368 (321–413) |
Креатинин, мкмоль/л | 59,0±9,9 (42–81); 57 (53–64) | 58,6±10,9 (39–85); 57 (51–67) |
АСТ, Ед/л | 34,7±6,8 (20–46); 35 (29–41) | 34±5 (23–42); 34 (31–39) |
СРБ, Мг/л | 177,0±17,6 (146–222)*; 178 (164–187) | 67±24 (20–112)*; 69 (46–84) |
7-е сутки | ||
ЛДГ, Ед/л | 248,0±22,8 (151–285); 251 (243–261) | 253±14 (226–282); 254 (245–264) |
КФК, Ед/л | 193,3±50,6 (75–278)*; 198 (163–234) | 164,4±31,6 (75–234)*; 1649 (143–186) |
Креатинин, мкмоль/л | 58,7±11,7 (41–81); 56 (49–69) | 60,8±10,0 (39–81); 62 (53–69) |
АСТ, Ед/л | 23,0±7,2 (11–42); 22 (17–26) | 21,6±5,4 (11–30); 22 (18–26) |
СРБ, мг/л | 29,0±13,6 (8–51)*; 29 (16–39) | 16,5±8,0 (1,3–32,1)*; 14,6 (10,2–23,4) |
Жирным шрифтом выделены статистически значимые значения; *p<0,05.
Анализ данных, представленных в таблице 4, показал, что у пациентов, которым тройная остеотомия таза была выполнена из переднебокового хирургического доступа, отмечается значительное (p<0,05) повышение значений КФК и СРБ по сравнению с пациентами, которым тройная остеотомия таза была выполнена из двух доступов. Этот факт позволяет сделать заключение, что в ходе проведения всех хирургических манипуляций на костях таза из переднебокового доступа происходит значительно большая травматизация мышц, что может оказать негативное влияние на статико-динамическую функцию в отдаленном послеоперационном периоде. По остальным показателям биохимических маркеров травматизации мы не выявили статистически значимых отличий (p>0,05).
ОБСУЖДЕНИЕ
D. Tönnis в 1981 г. впервые описал свою модификацию тройной остеотомии таза, получившую большую популярность по всему миру для лечения детей с дисплазией тазобедренных суставов и болезнью Пертеса, для выполнения которой использовалось три отдельных доступа и существовала необходимость изменения положения пациента на столе в ходе проведения операции [32]. С тех пор эта хирургическая методика получила многочисленные модификации, которые в первую очередь касаются количества доступов к костям таза [14, 15, 16, 17]. На сегодняшний день все чаще появляются публикации об использовании малоинвазивных хирургических методов для выполнения тройной остеотомии таза [18, 19, 20, 21].
Так, B. Balakumar с соавторами описывают выполнение тройной остеотомии таза из доступа типа «бикини» с длиной разреза 5–7 см, а W.B. Lehman с соавторами и вовсе выполняют данную операцию из двух «практически чрескожных» косметических доступов [18, 19]. Одновременно с этим необходимо отметить, что об эффективности тройной остеотомии таза, выполненной из малоинвазивных доступов, судят лишь по степени достигнутой коррекции и протяженности разреза кожи. Анализ наносимой мышечной травмы не проводился ни в одной изученной нами публикации. Вместе с тем подобного рода исследования не являются редкостью при сравнении стандартных и малоинвазивных доступов при проведении первичного и ревизионного эндопротезирования тазобедренного сустава у взрослых пациентов [29, 33, 34, 35, 36, 37]. Однако результаты этих исследований носят достаточно противоречивый характер, поскольку некоторые авторы заявляют о нанесении меньшей травмы мышцам при выполнении малоинвазивных доступов по сравнению со стандартными. Другие авторы, проводя схожий биохимический анализ, не находят достоверных различий в показателях маркеров мышечной травматизации. H.Y. Zhao c соавторами, проведя сравнение переднего и заднелатерального хирургических доступов к тазобедренному суставу, пришли к выводу, что выполнение переднего доступа связано с нанесением меньшей мышечной травмы, о чем свидетельствовали различия как в данных биохимического анализа крови, так и в менее интенсивном послеоперационном болевом синдроме и, как следствие, меньшей потребности в приеме обезболивающих препаратов [35]. Коллектив авторов из Румынии, проведя изучение травматичности переднего и латерального доступов, не нашли существенных различий в биохимическом анализе, однако доказали меньшую травматичность переднего доступа по выраженности болевого синдрома после операции и необходимости применения наркотических анальгетиков [36]. Ортопеды из НМИЦ травматологии и ортопедии им. Р.Р. Вредена, проведя масштабное исследование травматичности различных малоинвазивных и стандартных доступов при первичном и ревизионном эндопротезировании тазобедренного сустава, пришли к выводу, что несмотря на отсутствие статистически значимых различий в биохимических маркерах мышечной травмы малоинвазивный переднелатеральный доступ является приоритетным для лиц молодого возраста в связи с наименьшим по интенсивности болевым синдромом в послеоперационном периоде. Кроме того, авторы делают заключение о том, что величина интраоперационной мышечной травмы зависит, прежде всего, не от возможного отсечения с последующей рефиксацией сухожилий мышц области тазобедренного сустава, а от давления инструментов на эти мышцы для обеспечения адекватной визуализации операционной раны [29].
Несмотря на тот факт, что у многих хирургов-ортопедов в нашей стране сложилось мнение, что травматичность тройной остеотомии таза зависит в первую очередь от количества хирургических доступов, полученные в нашем исследовании результаты свидетельствуют об обратном. Так, у пациентов, у которых был применен переднебоковой доступ, выполненный из одного разреза кожи, значения показателя КФК, имеющего высокую специфичность к любым изменениям со стороны мышечной ткани человека, на 3-и и 7-е сут. после операции были в 2 раза выше аналогичных значений КФК в группе пациентов, которым тройная остеотомия таза была выполнена из двух хирургических доступов. Значения CРБ в I группе пациентов превышали аналогичные у группы II в 2,6 раза на 3-и сут. после операции и в 1,8 раз — на 7-е сут. Кроме того, интенсивность болевого синдрома у пациентов, прооперированных с использованием переднебокового доступа, была значительно выраженнее по сравнению с пациентами, у которых использовались два доступа. Полученные в ходе проведенного исследования результаты сопоставимы с данными H.Y. Zhao с соавторами и D.V. Nistor с соавторами [35, 36], поскольку, на наш взгляд, прямой доступ и доступ «бикини», несмотря на разное направление разрезов кожи, во многом идентичны по работе в межмышечных промежутках. Кроме того, мы считаем, что, помимо давления инструментами на мышцы, о влиянии которого на величину мышечной травматизации делает заключение А.Д. Синеокий с соавторами [29], травматичность доступа зависит также и от протяженности и локализации препаровки бессосудистых межмышечных промежутков. Так, при переднебоковом доступе препарируется на достаточно большом протяжении (от большого вертела до передневерхней ости подвздошной кости) промежуток между объемной и важной для статико-динамической функции средней ягодичной мышцей и мышцей, напрягающей широкую фасцию бедра, а при доступе «бикини» выполняется расслоение промежутка между портняжной мышцей и мышцей, напрягающей широкую фасцию бедра на относительно небольшом протяжении — до 10 см, отводящая бедро группа мышц при этом доступе остается интактной.
ЗАКЛЮЧЕНИЕ
Проведенный сравнительный анализ травматичности хирургических доступов при выполнении тройной остеотомии таза у детей с дисплазией тазобедренных суставов I степени по Crowe, основанный на оценке биохимических показателей маркеров мышечной травмы и интенсивности болевого синдрома в послеоперационном периоде, показал, что применение переднебокового доступа статистически значимо (p<0,05) оказывает большее травмирование мышечной ткани, чем применение двух хирургических доступов (медиальный трансаддукторный и «бикини»), о чем свидетельствуют значительное повышение уровня КФК и СРБ в крови, а также более выраженный болевой синдром в ближайшем послеоперационном периоде. На наш взгляд, для выполнения тройной остеотомии у пациентов с дисплазией тазобедренных суставов I степени по Crowe предпочтительнее проведение операции из медиального трансаддукторного доступа и доступа «бикини».
ДОПОЛНИТЕЛЬНАЯ ИНФОРМАЦИЯ
Заявленный вклад авторов
Бортулёв П.И. — дизайн исследования, аналитический обзор литературы, сбор и статистический анализ данных, написание текста рукописи.
Баскаева Т.В. — сбор данных.
Барсуков Д.Б. — сбор данных.
Поздникин И.Ю. — сбор данных.
Все авторы прочли и одобрили финальную версию рукописи статьи. Все авторы согласны нести ответственность за все аспекты работы, чтобы обеспечить надлежащее рассмотрение и решение всех возможных вопросов, связанных с корректностью и надежностью любой части работы.
Источник финансирования. Работа проведена в рамках выполнения Государственного задания Министерства здравоохранения Российской Федерации (НИР № 121031700122-6).
Конфликт интересов. Авторы декларируют отсутствие явных и потенциальных конфликтов интересов, связанных с публикацией настоящей статьи.
Этическая экспертиза. Исследование одобрено локальным этическим комитетом ФГБУ «Национальный медицинский исследовательский центр детской трав-матологии и ортопедии им. Г.И. Турнера» Минздрава России, протокол № 21-3 от 04 августа 2021 г.
Информированное согласие на публикацию. Авторы получили письменное согласие законных представителей пациентов на публикацию медицинских данных и фотографий.
DISCLAIMERS
Author contribution
Bortulev P.I. — study design, literature review, data collection and analysis, manuscript writing.
Baskaeva T.V. — collection of material.
Barsukov D.B. — collection of material.
Pozdnikin I.Yu. — collection of material.
All authors have read and approved the final version of the manuscript of the article. All authors agree to bear responsibility for all aspects of the study to ensure proper consideration and resolution of all possible issues related to the correctness and reliability of any part of the work.
Funding source. State budgetary funding.
Competing interests. The authors declare that they have no competing interests.
Ethics approval. The study was approved by the local ethics committee of H. Turner National Medical Research Center for Сhildren’s Orthopedics and Trauma Surgery, protocol No 21-3, 04.08.2021.
Consent for publication. Written consent was obtained from legal representatives of children for publication of relevant medical information and all of accompanying images within the manuscript.
Об авторах
Павел Игоревич Бортулёв
ФГБУ «Национальный медицинский исследовательский центр детской травматологии и ортопедии им. Г.И. Турнера» Минздрава России
Автор, ответственный за переписку.
Email: pavel.bortulev@yandex.ru
ORCID iD: 0000-0003-4931-2817
канд. мед. наук
Россия, г. Санкт-ПетербургТамила Владимировна Баскаева
ФГБУ «Национальный медицинский исследовательский центр детской травматологии и ортопедии им. Г.И. Турнера» Минздрава России
Email: tamila-baskaeva@mail.ru
ORCID iD: 0000-0001-9865-2434
Россия, г. Санкт-Петербург
Дмитрий Борисович Барсуков
ФГБУ «Национальный медицинский исследовательский центр детской травматологии и ортопедии им. Г.И. Турнера» Минздрава России
Email: dbbarsukov@gmail.com
ORCID iD: 0000-0002-9084-5634
канд. мед. наук
Россия, г. Санкт-ПетербургИван Юрьевич Поздникин
ФГБУ «Национальный медицинский исследовательский центр детской травматологии и ортопедии им. Г.И. Турнера» Минздрава России
Email: pozdnikin@gmail.com
ORCID iD: 0000-0002-7026-1586
канд. мед. наук
Россия, г. Санкт-ПетербургСписок литературы
- Čustović S., Šadić S., Vujadinović A., Hrustić A., Jašarević M., Čustović A. et al. The predictive value of the clinical sign of limited hip abduction for developmental dysplasia of the hip (DDH). Med Glas (Zenica). 2018;15(2):174-178. doi: 10.17392/954-18.
- Kotlarsky P., Haber R., Bialik V., Eidelman M. Developmental dysplasia of the hip: What has changed in the last 20 years? World J Orthop. 2015;6(11):886-901. doi: 10.5312/wjo.v6.i11.886.
- Sertakova A.V., Morozova O.L., Rubashkin S.A., Timaev M.Kh., Norkin I.A [Challenges of molecular-based diagnosis developmental dysplasia of the hip in childhood]. Vestnik Rossiiskoi akademii meditsinskikh nauk [Annals of the Russian Academy of Medical Sciences]. 2017;72(3):195-202 (In Russian). doi: 10.15690/vramn806.
- Pozdnikin I.Y., Baskov V.E., Voloshin S.Y., Barsukov D.B., Krasnov A.I., Poznovich M.S. [Errors of diagnosis and the initiation of conservative treatment in children with congenital hip dislocation]. Ortopediya, travmatologiya i vosstanovitel’naya khirurgiya detskogo vozrasta [Pediatric Traumatology, Orthopaedics and Reconstructive Surgery]. 2017;5(2):42-51. (In Russian). doi: 10.17816/PTORS5242-51.
- Kamosko M.M., Grigor’ev I.V. [Pelvic osteotomies at treatment of dysplastic hip pathology]. Vestnik travmatologii i ortopedii im. N.N. Priorova [Bulletin of Traumatology and Orthopedics them. N.N. Priorov]. 2010;(1):90-93. (In Russian).
- Zhang X., Meng Q., Ma R., Chen G., Cheng L., Shen J. Early acetabular cartilage degeneration in a rabbit model of developmental dysplasia of the hip. Int J Clin Exp Med. 2015;8(8):14505-14512.
- Fujii M., Nakashima Y., Jingushi S., Yamamoto T., Noguchi Y., Suenaga E. et al. Intraarticular findings in symptomatic developmental dysplasia of the hip. J Pediatr Orthop. 2009;29(1):9-13. doi: 10.1097/BPO.0b013e318190a0be.
- Sokolovskii O.A. [Results of triple pelvic osteotomy for hip dysplasia in adolescents]. Vestnik VGMU [Vestnik of Vitebsk State Medical University]. 2012;11(4):74-49. (In Russian).
- Kozhevnikov V.V., Voronchikhin E.V., Grigoricheva L.G., Lobanov M.N., Burkova I.N. [Indications for and efficiency of treatment of children with residual hip joint dysplasia by triple pelvic osteotomy]. Detskaya khirurgiya [Children surgery]. 2017;21(4):197-201. doi: 10.18821/1560-9510-2017-21-4-197-201.
- Konya M.N., Tuhanioğlu Ü., Aslan A., Yıldırım T., Bursalı A., Şahin V. et al. [A comparison of short-term clinical and radiological results of Tönnis and Steel pelvic osteotomies in patients with acetabular dysplasia]. Eklem Hastalik Cerrahisi. 2013;24(2):96-101. (In Turkish). doi: 10.5606/ehc.2013.22.
- Farsetti P., Caterini R., De Maio F., Potenza V., Efremov K., Ippolito E. Tönnis triple pelvic osteotomy for the management of late residual acetabular dysplasia: mid-term to long-term follow-up study of 54 patients. J Pediatr Orthop B. 2019;28(3):202-206. doi: 10.1097/BPB.0000000000000575.
- Li Y., Xu H., Slongo T., Zhou Q., Liu Y., Chen W. et al. Bernese-type triple pelvic osteotomy through a single incision in children over five years: a retrospective study of twenty eight cases. Int Orthop. 2018;42(12):2961-2968. doi: 10.1007/s00264-018-3946-3.
- Bortulev P.I., Vissarionov S.V., Baskov V.E., Barsukov D.B., Pozdnikin I.Yu., Poznovih M.S. [Patient specific templates for triple pelvic osteotomy in children with dysplastic hip subluxation (preliminary results)]. Travmatologiya i ortopediya Rossii [Traumatology and Orthopedics of Russia]. 2019;25(3):47-56. (In Russian). doi: 10.21823/2311-2905-2019-25-3-47-56.
- Pailhé R., Cavaignac E., Murgier J., Cahuzac J.P., de Gauzy J.S., Accadbled F. Triple osteotomy of the pelvis for Legg-Calve-Perthes disease: a mean fifteen year follow-up. Int Orthop. 2016;40(1):115-122. doi: 10.1007/s00264-015-2687-9.
- Kumar D., Bache C.E., O’Hara J.N. Interlocking triple pelvic osteotomy in severe Legg-Calvé-Perthes disease. J Pediatr Orthop. 2002;22(4):464-470.
- Rahimi H., Kachooei A.R., Hallaj-Moghaddam M., Gharedaghi M., Mirkazemi M, Shahpari O. et al. A modified triple pelvic osteotomy for the treatment of hip hypoplasia. Arch Bone Joint Surg. 2013;1(1):31-34.
- Wu J., Yang Y., Wang X., Zhou X., Zhang C. Modified triple pelvic osteotomy for adult symptomatic acetabular dysplasia: clinical and radiographic results at midterm follow-up. J Orthop Surg Res. 2018;13(1):236. doi: 10.1186/s13018-018-0922-y.
- Lehman W.B., Mohaideen A., Madan S., Atar D., Feldman D.S., Scher D. Surgical technique for an ‘almost’ percutaneous triple pelvic osteotomy for femoral head coverage in children 6-14 years of age. J Pediatr Orthop B. 2004;13(1):57-62. doi: 10.1097/00009957-200401000-00011.
- Balakumar B., Racy M., Madan S. Minimally invasive (MIS) Tönnis osteotomy- A technical annotation and review of short term results. J Orthop. 2018;15(1):253-258. doi: 10.1016/j.jor.2018.01.043.
- Sankar W.N., Zaltz I. Single-incision Extraperiosteal Triple Innominate Osteotomy: Outcomes of an Updated Technique. J Pediatr Orthop. 2020;40(10):e1005-e1009. doi: 10.1097/BPO.0000000000001647.
- Lyu X., Yang Z., Wang Y., Zhang T., Lu M., Bian Z. Novel Minimally-Invasive Triple Pelvic Osteotomy: JiShuiTan Minimally-Invasive Approach. J Pediatr Orthop. 2022; 42(2):e154-e162. doi: 10.1097/BPO.0000000000002019.
- Wenz J.F., Gurkan I., Jibodh S.R. Mini-incision total hip arthroplasty: a comparative assessment of perioperative outcomes. Orthopedics. 2002;25(10):1031-1043. doi: 10.3928/0147-7447-20021001-14.
- DiGioia A.M. 3rd., Plakseychuk A.Y., Levison T.J., Jaramaz B. Mini-incision technique for total hip arthroplasty with navigation. J Arthroplasty. 2003;18(2):123-128. doi: 10.1054/arth.2003.50025.
- Sherry E., Egan M., Warnke P.H., Henderson A., Eslick G.D. Minimal invasive surgery for hip replacement: a new technique using the NILNAV hip system. ANZ J Surg. 2003;73(3):157-161. doi: 10.1046/j.1445-2197.2002.02597.x.
- Woolson S.T., Mow C.S., Syquia J.F., Lannin J.V., Schurman D.J. Comparison of primary total hip replacements performed with a standard incision or a mini-incision. J Bone Joint Surg Am. 2004;86(7):1353-1358. doi: 10.2106/00004623-200407000-00001.
- Pflüger G., Junk-Jantsch S., Schöll V. Minimally invasive total hip replacement via the anterolateral approach in the supine position. Int Orthop. 2007;31 Suppl 1(Suppl 1): S7-S11. doi: 10.1007/s00264-007-0434-6.
- Tudor A., Ruzic L., Vuckovic M., Prpic T., Rakovac I., Madjarevic T. et al. Functional recovery after muscle sparing total hip arthroplasty in comparison to classic lateral approach - A three years follow-up study. J Orthop Sci. 2016;21(2):184-190. doi: 10.1016/j.jos.2015.12.010.
- Ghanem I. Surgical technique for an ‘almost’ percutaneous triple pelvic osteotomy for femoral head coverage in children 6-14 years of age. J Pediatr Orthop B. 2005;14(1):61; author reply 61. doi: 10.1097/01202412-200501000-00011.
- Sineokiy A.D., Pliev D.G., Guatsaev M.S., Efimov N.N., Stafeev D.V., Mikhaylov K.S. et al. [Comparative analysis of muscle trauma markers depending on approaches in revision hip arthroplasty]. Sovremennye problemy nauki i obrazovaniya [Modern problems of science and education]. 2020. (4). Available from: https://science-education.ru/ru/article/view?id=30092. (In Russian).
- Baskov V.E., Kamosko M.M., Barsukov D.B., Pozdnikin I.Yu., Kozhevnikov V.V., Grigor’ev I.V. et al. [Transposition of the acetabulum after iliac ischial osteotomy in the treatment of hip dysplasia in infants]. Ortopediya, travmatologiya i vosstanovitel’naya khirurgiya detskogo vozrasta [Pediatric Traumatology, Orthopaedics and Reconstructive Surgery]. 2016;(2)4:5-11. (In Russian). doi: 10.17816/PTORS425-11.
- Yacovelli S., Abdelaal M., Fillingham Y., Sutton R., Madding R., Parvizi J. Prior Pelvic Osteotomy Affects the Outcome of Subsequent Total Hip Arthroplasty. J Arthroplasty. 2021;36(2):600-604. doi: 10.1016/j.arth.2020.07.080.
- Tönnis D., Behrens K., Tscharani F. A modified technique of the triple pelvic osteotomy: early results. J Pediatr Orthop. 1981;1(3):241-249. doi: 10.1097/01241398-198111000-00001.
- Müller M., Tohtz S., Springer I., Dewey M., Perka C. Randomized controlled trial of abductor muscle damage in relation to the surgical approach for primary total hip replacement: minimally invasive anterolateral versus modified direct lateral approach. Arch Orthop Trauma Surg. 2011;131(2):179-189. doi: 10.1007/s00402-010-1117-0.
- Rykov K., Reininga I.H.F., Sietsma M.S., Knobben B.A.S., Ten Have B.L.E.F. Posterolateral vs Direct Anterior Approach in Total Hip Arthroplasty (POLADA Trial): A Randomized Controlled Trial to Assess Differences in Serum Markers. J Arthroplasty. 2017;32(12):3652-3658.e1. doi: 10.1016/j.arth.2017.07.008.
- Zhao H.Y., Kang P.D., Xia Y.Y., Shi X.J., Nie Y., Pei F.X. Comparison of Early Functional Recovery After Total Hip Arthroplasty Using a Direct Anterior or Posterolateral Approach: A Randomized Controlled Trial. J Arthroplasty. 2017;32(11):3421-3428. doi: 10.1016/j.arth.2017.05.056.
- Nistor D.V., Caterev S., Bolboacă S.D., Cosma D., Lucaciu D.O.G., Todor A. Transitioning to the direct anterior approach in total hip arthroplasty. Is it a true muscle sparing approach when performed by a low volume hip replacement surgeon? Int Orthop. 2017;41(11): 2245-2252. doi: 10.1007/s00264-017-3480-8.
- Landgraeber S., Quitmann H., Güth S., Haversath M., Kowalczyk W., Kecskeméthy A. et al. A prospective randomized peri- and post-operative comparison of the minimally invasive anterolateral approach versus the lateral approach. Orthop Rev (Pavia). 2013;5(3):e19. doi: 10.4081/or.2013.e19.
Дополнительные файлы







