Correlation of suprascapular notch morphology with suprascapular neuropathy and rotator cuff tear patterns: MRI data
- Authors: Dokolin S.Y.1, Ushkova O.G.2, Shershnev A.M.1, Kuzmina V.I.1
-
Affiliations:
- Vreden National Medical Research Center of Traumatology and Orthopedics
- Eucalyptus Clinical Medicine Center
- Issue: Vol 31, No 4 (2025)
- Pages: 120-129
- Section: СLINICAL STUDIES
- Submitted: 25.07.2025
- Accepted: 12.11.2025
- Published: 28.11.2025
- URL: https://journal.rniito.org/jour/article/view/17748
- DOI: https://doi.org/10.17816/2311-2905-17748
- ID: 17748
Cite item
Full Text
Abstract
Background. Suprascapular nerve neuropathy combined with massive rotator cuff tears presents significant challenges in both diagnosis and treatment. Modern diagnostic methods allow for sufficiently accurate detection of neurological impairments. This condition involves several pathophysiological mechanisms. Routine MRI enables the assessment of the morphology of the scapular notch and allows clinicians to suspect suprascapular nerve neuropathy.
The aim of the study — to identify the anatomical features of the scapular notch on MRI in patients with suprascapular nerve neuropathy combined with massive rotator cuff tears, and to assess their impact on the extent of rotator damage, the severity of pain, and functional impairment.
Methods. The study included 19 patients with traumatic injuries of the rotator cuff tendons and muscles combined with the clinical signs of suprascapular nerve neuropathy, including 15 men and 4 women. The mean patient age was 58.7 years. During the clinical examination, patients completed standardized questionnaires: VAS, the Leeds Assessment of Neuropathic Symptoms and Signs (LANSS), and ASES. All patients underwent pre- and postoperative shoulder MRI to assess the morphological features of the suprascapular notch, as well as electromyography (EMG) to diagnose conduction impairments within the suprascapular nerve innervation zone.
Results. Suprascapular nerve neuropathy in patients with rotator cuff injuries is more commonly observed in those with a deep and relatively narrow U-shaped scapular notch, particularly in the presence of posterosuperior tears of the supraspinatus and infraspinatus tendons (Collin type D), combined with pronounced tendon retraction (Patte grade 3). EMG revealed impaired impulse conduction within the suprascapular nerve innervation zone in all patients, demonstrated by altered M-responses from the supraspinatus and infraspinatus muscles. The analysis showed that both the morphology type of the notch and the extent of the tear were statistically significant predictors of functional status as assessed by the ASES score. Notably, the morphology of the notch showed a slightly greater contribution to predicting functional limitations.
Conclusion. The strong correlation identified between the morphology of the scapular notch and the severity of rotator cuff tears supports the hypothesis that a narrow notch creates neurological preconditions for the development of chronic pain and impaired innervation of the rotator cuff muscles. This should be taken into account when developing diagnostic and treatment algorithms for patients with this pathology.
Full Text
ВВЕДЕНИЕ
Ущемление надлопаточного нерва до недавнего времени считалось редкой патологией, встречающейся в основном у спортсменов [1]. Сдавление надлопаточного нерва часто возникает вследствие различных причин и приводит к нарушению функции конечности, мышечной атрофии и появлению нейропатической боли [2]. В настоящее время в связи с совершенствованием диагностических методов, а также с более углубленным пониманием биомеханики и патофизиологии плечевого сустава данная патология считается достаточно частой причиной развития боли в области плеча [3, 4, 5].
Компрессионные повреждения надлопаточного нерва могут сочетаться с травматическим разрывом вращательной манжеты плечевого сустава. Клинические исследования показали, что признаки нейропатии надлопаточного нерва имеют место у 30% пациентов с массивными повреждениями вращательной манжеты плеча и способствуют развитию у них болевого синдрома и мышечной атрофии [6, 7]. Существует предположение о том, что сократившиеся в результате полнослойного разрыва сухожильная и мышечная части задневерхнего отдела вращательной манжеты могут способствовать сдавлению надлопаточного нерва в вырезке лопатки и развитию стойкого неврологического болевого синдрома в плече, сохраняющегося и после артроскопической реконструкции [8].
Надостная ямка представляет собой вогнутую полость, нижней стенкой которой является ость лопатки, а латеральной границей — акромион [9]. Она шире в медиальном направлении и ýже в латеральном; 2/3 медиальной части заполнены брюшком надостной мышцы. Надлопаточная вырезка, расположенная на верхнем крае лопатки, отделяет ее от клювовидного отростка. Верхняя поперечная связка лопатки, расположенная над вырезкой, прикрепляется к основанию клювовидного отростка, формируя отверстие, через которое проходит надлопаточный нерв. S.S. Rengachary с соавторами выделили шесть типов строения надлопаточной вырезки, причем при VI типе отмечается полное окостенение верхней поперечной связки лопатки [10].
Зачастую диагноз «нейропатия надлопаточного нерва» выставляется с запозданием, в ходе более углубленного обследования пациентов, особенно после неудачных оперативных вмешательств на вращательной манжете плеча [11]. Диагностика нейропатии надлопаточного нерва должна включать клинический осмотр [12], данные ЭНМГ и МР-исследования [13, 14, 15].
Цель исследования — определить анатомические особенности строения вырезки лопатки по данным МРТ у пациентов с нейропатией надлопаточного нерва в сочетании с массивными разрывами вращательной манжеты плеча и их влияние на степень повреждения самих ротаторов, выраженность болевого синдрома и функциональные нарушения.
МАТЕРИАЛ И МЕТОДЫ
Дизайн исследования
Проведено одноцентровое проспективное исследование на базе ООО «Центр клинической медицины “Эвкалипт”» (г. Воронеж).
Критерии включения:
– наличие жалоб на боль в области лопатки;
– наличие полного объема пассивных движений;
– наличие полнослойного разрыва сухожилия надостной мышцы, а также частичных или полных разрывов сухожилий подостной и подлопаточной мышц;
– отсутствие предшествующего оперативного лечения на пораженном плече;
– отсутствие положительного эффекта от консервативного лечения;
– наличие потенциально восстановимых разрывов вращательной манжеты (степень жировой дегенерации по Goutallier — не более 3-й).
Критерии невключения:
– предшествующие оперативные вмешательства на этом плечевом суставе;
– наличие адгезивного капсулита;
– наличие ревматологических заболеваний.
Пациенты
В исследование вошли 19 пациентов: 15 мужчин и 4 женщины, средний возраст — 58,7 года. Срок, прошедший с момента получения травмы до операции, варьировал от 3 нед. до 10 мес., в среднем — 5,1 мес. Средний показатель активного сгибания — 105,79°, активного отведения — 63,94°, наружной ротации — 14,73°.
МЕТОДЫ ИССЛЕДОВАНИЯ
Во время клинического осмотра пациенты заполняли стандартизированные шкалы-опросники: визуально-аналоговую шкалу (ВАШ), Leeds Assesment of Neuropathic Symptoms and Signs (LANSS) [16] и American Shoulder and Elbow Surgeons Standardized Assessment Form (ASES) [17].
МРТ плечевого сустава проводилась до и после операции на томографе Philips MR 5300 1,5 Тл (Нидерланды). Толщина срезов составляла 3 мм. МРТ проводилась с использованием стандартных протоколов в аксиальной, косо-сагиттальной и косо-корональной проекциях, с помощью которых были получены: импульсные последовательности в T1- и Т2-взвешенных изображениях в режиме градиентного эха (FFE_T2W), изображения, взвешенные по протонной плотности (TSE PDW), а также с использованием подавления сигнала от жировой ткани (TSE PD SPAIR). При этом в косо-коронарной плоскости угол блока срезов в аксиальной плоскости проходил параллельно линии, соединяющей центр суставного отростка лопатки и центр головки плечевой кости, или вдоль сухожилия надостной мышцы. В сагиттальный плоскости срезы проходили параллельно подлопаточной и надостной мышцам. Ориентация была произведена по суставному отростку лопатки, а не по плечевой кости. Срезы захватывали всю область плечевого сустава от клювовидного отростка лопатки и на два среза сзади от головки плеча.
Морфологические особенности надлопаточной вырезки анализировались в косо-корональной плоскости на T2-взвешенных изображениях, полученных в режиме турбо-спинового эха (T2-TSE) с ориентацией срезов, строго перпендикулярной длинной оси тела лопатки. Такая ориентация позволяет избежать артефактов косого среза и обеспечивает достоверную оценку морфометрии надлопаточной вырезки. Визуализация непосредственно надлопаточного нерва (ввиду его малых размеров) в цели исследования не входила. Также оценивали конфигурацию разрыва вращательной манжеты плеча по количеству поврежденных сухожилий (одно, два или три), типу разрыва по Collin [18], степени жировой дегенерации по Goutallier [19], степени ретракции по Patte [20], а также тип строения надлопаточной вырезки по Rengachary [10].
Для подтверждения диагноза «нейропатия» всем пациентам была выполнена электронейромиография (ЭНМГ) на аппарате Нейрон-Спектр-5 (Россия) для выявления нарушений проведения импульса в зоне иннервации надлопаточного нерва. Исследование включало оценку скорости проведения импульса по двигательным волокнам к надостной и подостной мышцам, анализ параметров М-ответа (амплитуда, форма, длительность) и оценку активности при произвольном усилии (наличие признаков денервации — фибрилляций, положительных острых волн, потенциалов фасцикуляций). Диагноз «нейропатия» устанавливался при увеличении латентности, снижении амплитуды М-ответа и/или наличии признаков денервации в исследуемых мышцах.
Статистический анализ
Статистический анализ был направлен на выявление и количественную оценку взаимосвязей между анатомическим строением надлопаточной вырезки, структурными повреждениями вращательной манжеты плеча с болевым синдромом и функциональными нарушениями с помощью стандартизированных шкал ВАШ, LANSS и ASES.
Проверка распределения количественных переменных на нормальность проводилась с помощью критерия Шапиро – Уилка. Учитывая малый объем выборки (n = 19) и отсутствие нормального распределения в исследуемой группе, для описания количественных переменных использовались медиана (Me) и межквартильный размах [Q1; Q3]. Качественные переменные описывались абсолютными значениями и процентами.
Для анализа взаимосвязей между порядковыми и количественными переменными применялся непараметрический коэффициент ранговой корреляции Спирмена (ρ). Для оценки силы корреляционной связи применяли шкалу Чеддока, согласно которой корреляция может быть слабой (0,1−0,3), умеренной (0,3−0,5), заметной (0,5−0,7), высокой (0,7−0,9) и весьма высокой/сильной (0,9−1,0). Для проверки статистической значимости ассоциаций между категориальными переменными в таблицах сопряженности с учетом малого объема выборки (ожидаемые частоты в ячейках менее 5) применялся точный критерий Фишера – Фримана – Холтона. Для сравнения количественных показателей между тремя и более независимыми группами (между типами по Rengachary) использовался непараметрический критерий Краскела – Уоллиса с последующим апостериорным анализом с помощью теста Данна с поправкой Бонферрони на множественные сравнения.
Учитывая малый объем выборки (n = 19), для оценки связи каждого отдельного предиктора с функциональным исходом по шкале ASES был выполнен однофакторный регрессионный анализ.
Статистический анализ проводился с использованием программного обеспечения R (v.4.3.1) и пакетов rstatix, dunn.test, coin. Уровень статистической значимости для всех тестов был установлен на уровне p < 0,05.
РЕЗУЛЬТАТЫ
Анализ данных МРТ у пациентов с нейропатией надлопаточного нерва в сочетании с разрывами вращательной манжеты плеча показал, что у 2 пациентов было повреждено одно сухожилие, у 8 пациентов — два сухожилия (надостной и подостной мышц), у 9 пациентов — три сухожилия (надостной, подостной и подлопаточной мышц). Варианты строения вырезки лопатки, типы и характер повреждения сухожилий вращательной манжеты плеча по данным МРТ представлены в таблице 1.
Таблица 1
Результаты МРТ-исследования пациентов
Классификация | Тип/степень (количество пациентов) | |||||
Тип строения вырезки лопатки по Rengachary | I (5) | II (3) | III (9) | IV (2) | V (0) | VI (0) |
Степень ретракции по Patte | 1 (3) | 2 (6) | 3 (10) | – | – | – |
Степень жировой дегенерации по Goutallier | 1 (4) | 2 (8) | 3 (7) | 4 (0) | – | – |
Тип разрыва вращательной манжеты по Collin | A (3) | B (0) | C (5) | D (7) | E (4) | – |
Таким образом, нейропатия надлопаточного нерва в сочетании с разрывами вращательной манжеты плеча чаще встречается при типе III строения вырезки лопатки по Rengachary, 3-й степени ретракции по Patte, 2-й степени жировой дегенерации по Goutallier, при типе разрыва D по Collin, то есть при задневерхних разрывах вращательной манжеты плеча. В нашем исследовании нам не встретились частично или полностью окостеневшие поперечные связки лопатки.
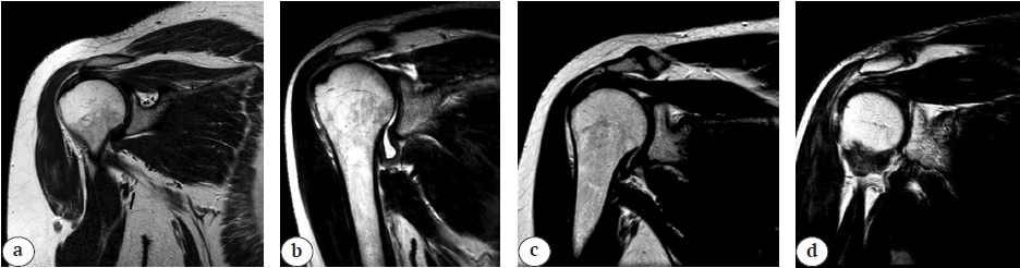
В ходе исследования была установлена корреляция морфологии надлопаточной вырезки с патологией надлопаточного нерва и структурой повреждений вращательной манжеты. На рисунке 1 представлены примеры различных типов надлопаточной вырезки по Rengachary.
Рисунок 1. Примеры типов надлопаточной вырезки по классификации Rengachary: a — тип I; b — тип II; c — тип III; d — тип IV; область надлопаточной вырезки оценивали в косо-коронарной проекции в режиме Т2 TSE
По данным ЭНМГ у всех пациентов были выявлены признаки нарушения проведения импульса в зоне иннервации надлопаточного нерва в виде изменения М-ответа от надостной и подостной мышц — увеличение латентности и снижение амплитуды М-ответа.
Статистический анализ выявил наличие сильной положительной связи между типом строения вырезки по Rengachary и типом разрыва по Collin: коэффициент корреляции Спирмена составил ρ = +0,72; p < 0,001. Эта сильная корреляционная связь демонстрирует, что наличие неврологической патологии взаимосвязано с неблагоприятным типом строения вырезки лопатки (тип III), при этом статистически значимо ассоциировано с более тяжелым типом повреждения вращательной манжеты.
Анализ таблицы сопряженности показал четкую закономерность распределения: у пациентов с типом I по Rengachary преобладали изолированные разрывы типа A; у пациентов с типом III по Rengachary доминировали массивные разрывы типов C и D по Collin (табл. 2).
Таблица 2
Корреляция между типом строения надлопаточной вырезки по Rengachary и типом разрыва вращательной манжеты по Collin
Тип по Rengachary | Тип по Collin | ||||
A | B | C | D | Всего | |
I | 4 (80%) | 1 (20%) | 0 (0%) | 0 (0%) | 5 (100%) |
II | 4 (40%) | 3 (30%) | 2 (20%) | 1 (10%) | 10 (100%) |
III | 0 (0%) | 1 (25%) | 2 (50%) | 1 (25%) | 4 (100%) |
Всего | 8 (42%) | 5 (26%) | 4 (21%) | 2 (11%) | 19 (100%) |
По результатам применения точного критерия Фишера – Фримана – Холтона выявленные различия в распределении оказались статистически значимыми (p = 0,021).
Статистический анализ также выявил сильную положительную корреляцию между типом строения вырезки по Rengachary и интенсивностью боли по ВАШ, а также сильную отрицательную связь с функциональной шкалой ASES, что свидетельствует о более выраженной боли и худшей функции у пациентов с неблагоприятной морфологией вырезки (тип III) (табл. 3).
Таблица 3
Корреляция типа надлопаточной вырезки по Rengachary с функциональными показателями и степенью болевого синдрома
Шкала | Коэффициент Спирмена (ρ) | Уровень значимости (p) | Интерпретация (по Чеддоку) |
ВАШ | +0,65 | < 0,001 | Заметная |
LANSS | +0,48 | 0,002 | Умеренная |
ASES | -0,71 | < 0,001 | Высокая отрицательная |
Сравнение показателей функциональных шкал между группами с разным типом строения надлопаточной вырезки выявило статистически значимые различия (табл. 4).
Таблица 4
Корреляция показателей функциональных шкал с типом строения надлопаточной вырезки, Me [Q1; Q3]
Тип по Rengachary | ВАШ | LANSS | ASES |
Тип I (n = 5) | |||
Тип II (n = 10) | |||
Тип III (n = 4) | |||
p-критерий (Краскела – Уоллиса) | < 0,001 | < 0,001 | < 0,001 |
Апостериорный анализ с поправкой Данна показал, что статистически значимые различия по шкалам ВАШ и ASES наблюдаются между типами I и II, а также между типами I и III. По шкале LANSS значимые различия выявлены между типами I и III.
Корреляция между типом разрыва по Collin и показателями боли представлена в таблице 5.
Таблица 5
Корреляция типа разрыва по Collin с болевым синдромом
Шкала | Коэффициент Спирмена (ρ) | Уровень значимости (p) | Интерпретация (по Чеддоку) |
ВАШ | +0,58 | < 0,001 | Заметная |
LANSS | +0,52 | < 0,001 | Заметная |
ASES | -0,63 | < 0,001 | Заметная отрицательная |
Для определения связи отдельных предикторов с функциональным результатом (общий балл по ASES) был проведен однофакторный регрессионный анализ (табл. 6).
Таблица 6
Связь предикторов с функциональным исходом (шкала ASES) по данным однофакторного регрессионного анализа
Предиктор | Коэффициент β (стандартизованный) | p-критерий | Интерпретация |
Тип по Rengachary | -0,71 | < 0,001 | Статистически значимый |
Тип по Collin | -0,63 | < 0,001 | Статистически значимый |
Возраст | -0,29 | 0,23 | Незначимый |
Анализ подтвердил, что как тип морфологии вырезки по Rengachary, так и массивность разрыва по классификации Collin являются статистически значимыми предикторами функционального состояния по шкале ASES. При этом морфология вырезки продемонстрировала несколько больший вес в прогнозировании функциональных ограничений.
Эти результаты подтверждают, что более массивные разрывы вращательной манжеты статистически значимо ассоциированы с большей интенсивностью боли, более выраженным нейропатическим компонентом и значительными функциональными ограничениями.
ОБСУЖДЕНИЕ
Дополнительная диагностика нейропатии надлопаточного нерва в сочетании с разрывом вращательной манжеты плеча остается непростой задачей в связи с многофакторностью данного заболевания. За последние 5 лет опубликованы результаты нескольких исследований, в которых описаны варианты МРТ-диагностики и особенности анатомии надлопаточной вырезки. Результаты проведенного нами исследования о взаимосвязи типа и тяжести повреждения сухожилий вращательной манжеты с типом строения вырезки лопатки во многом схожи с результатами, полученными другими авторами [21, 22, 23, 24]. Например, S. Saran с соавторами также утверждают, что область надлопаточной вырезки — важная зона, и патологии, затрагивающие ее содержимое, могут влиять на функцию плечевого сустава [21]. Знание особенностей анатомического строения данной области может значительно помочь при постановке диагноза.
Результаты нашего исследования во многом совпадают с данными A. Al-Redouan с соавторами, которые описали пять морфологических типов строения надлопаточной вырезки по отношению глубины к ширине и корреляцию с нейропатией надлопаточного нерва. Наибольшему риску нейропатии надлопаточного нерва также подвержены пациенты с узкой и глубокой вырезкой. Авторы считают, что ультразвуковой метод позволяет более точно оценить объем области вырезки лопатки данной зоны, чего МРТ не позволяет сделать, при этом метод УЗИ считается более зависимым от исследователя, чем МРТ [22].
На необходимость учитывать морфологическое строение лопатки указывали J. Park с соавторами, предложив определять по данным МРТ площадь поперечного сечения надлопаточной вырезки, которая, по их данным, может быть хорошим диагностическим параметром для оценки нейропатии надлопаточного нерва [23]. В свою очередь, для определения наличия нейропатии надлопаточного нерва по данным МРТ J. Cho с соавторами предложили использовать площадь поперечного сечения подостной мышцы, утверждая, что данный метод является достаточно точным и значимым [25]. K.C. Noh с соавторами также подтвердили, что узкая или окостеневшая надлопаточная вырезка является предрасполагающим фактором возникновения нейропатии надлопаточного нерва: у пациентов с типом VI по Rengachary поперечный диаметр вырезки был наименьшим, соответственно, риск нейропатии надлопаточного нерва был выше, чем при других типах [24].
Несмотря на диагностическую ценность МРТ в комплексной оценке патологии плечевого сустава, этот метод имеет ряд существенных ограничений при детальном изучении костной анатомии надлопаточной вырезки. По сравнению с КТ-исследованием (возможность 3D-реконструкции) МРТ-диагностика дает ограниченное пространственное разрешение для костных структур, может недостаточно точно отображать тонкие костные перегородки, частичное окостенение связки или сложную геометрию вырезки лопатки. Также неточная установка плоскости сканирования приводит к получению косых срезов, которые искажают истинную форму, глубину и ширину вырезки, делая измерения недостоверными и затрудняя корректную классификацию по анатомическим типам [26, 27].
На наш взгляд, требуется комплексная оценка результатов обследования пациентов с данной патологией, включающая подробный клинический осмотр, МРТ и ЭНМГ, а также проведение КТ и УЗИ для уточнения данных МРТ.
Ограничения исследования
Исследование основано на малой выборке пациентов (n = 19). Также встречалось малое количество случаев надлопаточной вырезки типа IV и совсем не встречались типы V и VI, редко встречалось сочетание с разрывом вращательной манжеты типов D и E, что ограничивает возможность получения полноценных выводов.
ЗАКЛЮЧЕНИЕ
Нейропатия надлопаточного нерва в сочетании с восстановимыми разрывами вращательной манжеты плеча чаще встречается у пациентов, имеющих глубокую и относительно узкую U-образную вырезку лопатки при задневерхних разрывах сухожилий надостной и подостной мышц (тип D по Collin) в сочетании с выраженной ретракцией данных сухожилий (3-я степень по Patte). Статистический анализ подтверждает существование комплексных взаимосвязей между анатомическим строением, структурными повреждениями и клиническими проявлениями, что должно учитываться при разработке индивидуализированных алгоритмов диагностики и лечения пациентов с патологией вращательной манжеты плеча. Морфология надлопаточной вырезки является одной из важных предпосылок патологии — сильная корреляция между типом строения и тяжестью разрыва вращательной манжеты плеча подтверждает патофизиологическую гипотезу о том, что узкая вырезка лопатки создает неврологические предпосылки для формирования хронической боли и нарушения иннервации мышц вращательной манжеты плеча. Выявленная корреляция боли и нейропатического компонента свидетельствует о сложном характере болевого синдрома при данной патологии. Результаты исследования убедительно демонстрируют, что оценка типа надлопаточной вырезки должна являться обязательным компонентом диагностического алгоритма у пациентов с патологией вращательной манжеты плеча.
ДОПОЛНИТЕЛЬНАЯ ИНФОРМАЦИЯ
Заявленный вклад авторов
Доколин С.Ю. — научное руководство, концепция и дизайн исследования.
Ушкова О.Г. — участие в лечении пациентов, сбор, анализ и интерпретация данных, поиск и анализ литературы, написание текста рукописи.
Шершнев А.М. — участие в лечении пациентов, сбор, анализ и интерпретация данных, поиск и анализ литературы, написание текста рукописи.
Кузьмина В.И. — участие в лечении пациентов, сбор, анализ и интерпретация данных.
Все авторы прочли и одобрили финальную версию рукописи статьи. Все авторы согласны нести ответственность за все аспекты работы, чтобы обеспечить надлежащее рассмотрение и решение всех возможных вопросов, связанных с корректностью и надежностью любой части работы.
Источник финансирования. Авторы заявляют об отсутствии внешнего финансирования при проведении исследования.
Возможный конфликт интересов. Авторы декларируют отсутствие явных и потенциальных конфликтов интересов, связанных с публикацией настоящей статьи.
Этическая экспертиза. Не применима.
Информированное согласие на публикацию. Авторы получили письменное согласие пациентов на участие в исследовании и публикацию результатов.
Генеративный искусственный интеллект. При создании статьи технологии генеративного искусственного интеллекта не использовали.
DISCLAIMERS
Author contribution
Dokolin S.Yu. — scientific guidance, study concept and design.
Ushkova O.G. — treatment of patients, data acquisition, analysis and interpretation, literature search and review, drafting the manuscript.
Shershnev A.M. — treatment of patients, data acquisition, analysis and interpretation, literature search and review, drafting the manuscript.
Kuzmina V.I. — treatment of patients, data acquisition, analysis and interpretation.
All authors have read and approved the final version of the manuscript of the article. All authors agree to bear responsibility for all aspects of the study to ensure proper consideration and resolution of all possible issues related to the correctness and reliability of any part of the work.
Funding source. This study was not supported by any external sources of funding.
Disclosure competing interests. The authors declare that they have no competing interests.
Ethics approval. Not applicable.
Consent for publication. The authors obtained written consent from patients to participate in the study and publish the results.
Use of artificial intelligence. No generative artificial intelligence technologies were used in the preparation of this manuscript.
About the authors
Sergei Yu. Dokolin
Vreden National Medical Research Center of Traumatology and Orthopedics
Email: sdokolin@gmail.com
ORCID iD: 0000-0003-1890-4342
SPIN-code: 1993-2304
Dr. Sci. (Med.)
Россия, St. PetersburgOksana G. Ushkova
Eucalyptus Clinical Medicine Center
Author for correspondence.
Email: ushkovaoksana@yandex.ru
ORCID iD: 0009-0003-0641-4351
SPIN-code: 4078-3170
Россия, Voronezh
Andrey M. Shershnev
Vreden National Medical Research Center of Traumatology and Orthopedics
Email: andreyshersh@gmail.com
ORCID iD: 0000-0001-6623-2144
SPIN-code: 7684-4262
Cand. Sci. (Med.)
Россия, St. PetersburgVladislava I. Kuzmina
Vreden National Medical Research Center of Traumatology and Orthopedics
Email: tasha_777@bk.ru
ORCID iD: 0000-0001-7866-5545
SPIN-code: 9849-0036
Cand. Sci. (Med.)
Россия, St. PetersburgReferences
- Sandler A.B., Wells M.E., Tran C., Arakawa R., Klahs K.J., Scanaliato J.P. et al. High rates of return to sport after suprascapular nerve decompression: an updated systematic review. JSES Rev Rep Tech. 2024;4(4): 654-661. doi: 10.1016/j.xrrt.2024.05.007.
- Гиниятов А.Р., Егиазарян К.А., Тамазян В.О., Ратьев А.П., Повалий А.А. Эффективность релиза надлопаточного нерва при артроскопическом выполнении шва в случаях посттравматического разрыва сухожилия надостной мышцы. Политравма. 2024;(2):16-25. doi: 10.24412/1819-1495-2024-2-16-25. Giniyatov A.R., Egiazaryan K.A., Tamazyan V.O., Ratiev A.P., Povaliy A.A. Efficiency of release of supraspinatus nerve during arthroscopic repair in posttraumatic rupture of the supraspinal muscle tendon. Polytrauma. 2024;(2):16-25. (In Russian). doi: 10.24412/1819-1495-2024-2-16-25.
- Чирков Н.Н., Яковлев В.Н., Алексеева А.В., Андронников Е.А., Емельянов В.Ю. Хирургическое лечение невосстановимых массивных повреждений вращательной манжеты плечевого сустава. Гений Ортопедии. 2022;28(1):12-17. doi: 10.18019/1028-4427-2022-28-1-12-17. Chirkov N.N., Yakovlev V.N, Alekseeva A.V., Andronnikov E.A., Emelyanov V.Yu. Surgical treatment of irreparable massive injuries of the rotator cuff of the shoulder joint. Genij Ortopedii. 2022;28(1):12-17. (In Russian). doi: 10.18019/1028-4427-2022-28-1-12-17.
- Leider J.D., Derise O.C., Bourdreaux K.A., Dierks G.J., Lee C., Varrassi G. et al. Treatment of suprascapular nerve entrapment syndrome. Orthop Rev (Pavia). 2021;13(2):25554. doi: 10.52965/001c.25554.
- Денисова А.Ю., Галов А.А., Данилов А.В., Наркевич А.Н., Серова Е.В. Сравнительный анализ клинических результатов применения шва вращательной манжеты плеча в зависимости от способа фиксации сухожилия. Гений ортопедии. 2022;28(1): 18-23. doi: 10.18019/1028-4427-2022-28-1-18-23. Denisova A., Galov A., Danilov A., Narkevich A., Serova E. Comparative analysis of clinical outcomes of rotator cuff sutures and their dependence on the methods of cuff fixation. Genij Ortopedii. 2022;28(1):18-23. (In Russian). doi: 10.18019/1028-4427-2022-28-1-18-23.
- Albritton M.J., Graham R.D., Richards R.S. 2nd, Basamania C.J. An anatomic study of the effects on the suprascapular nerve due to retraction of the supraspinatus muscle after a rotator cuff tear. J Shoulder Elbow Surg. 2003;12(5):497-500. doi: 10.1016/s1058-2746(03)00182-4.
- Кубашев А.А., Лазко Ф.Л., Беляк Е.А., Призов А.П., Ломтатидзе Е.Ш. Опыт артроскопического лечения массивного повреждения вращательной манжеты плеча у пожилых пациентов. Вестник травматологии и ортопедии им. Н.Н. Приорова. 2014;21(4):67-69. doi: 10.17816/vto20140467-69. Kubashev A.A., Lazko F.L., Belyak E.A., Prizov A.P., Lomtatidze E.S. Experience in Arthroscopic Treatment of Massive Rotator Cuff Injuries in Elderly Patients. N.N. Priorov Journal of Traumatology and Orthopedics. 2014;21(4):67-69. (In Russian). doi: 10.17816/vto20140467-69.
- MaUon W.J., Wilson R.J., Basamania C.J. The association of suprascapular neuropathy with massive rotator cuff tears: a preliminary report. J Shoulder Elbow Surg. 2006;15:395-398. doi: 10.1016/j.jse.2005.10.019.
- Saran S., Shirodkar K., Gavvala S.N., Evans S., Iyengar K.P., Jevalle D.G. et al. Supraspinous Fossa: Anatomy and Pathology. Indian J Radiol Imaging. 2024;35(1):139-147. doi: 10.1055/s-0044-1787667.
- Rengachary S.S., Burr D., Lucas S., Hassanein K.M., Mohn M.P., Matzke H. Suprascapular entrapment neuropathy: a clinical, anatomical, and comparative study. Part 2: anatomical study. Neurosurgery. 1979;5(4): 447-451. doi: 10.1227/00006123-197910000-00007.
- Доколин С.Ю., Кузьмина В.И., Марченко И.В., Белых О.А., Найда Д.А. Артроскопический шов больших и массивных разрывов вращательной манжеты плечевого сустава: клинические результаты и данные МРТ. Травматология и ортопедия России. 2017;23(3): 53-68. doi: 10.21823/2311-2905-2017-23-3-53-68. Dokolin S.Yu., Kuz’mina V.I., Marchenko I.V., Belykh O.A., Naida D.A. Arthroscopic Repair of Large and Massive Rotator Cuff Tears: Clinical Outcomes and Postoperative MRI Findings. Traumatology and Orthopedics of Russia. 2017;23(3):53-68. (In Russian). doi: 10.21823/2311-2905-2017-23-3-53-68.
- Nolte P.C., Woolson T.E., Elrick B.P., Tross A.K., Horan M.P., Godin J.A. et al. Clinical Outcomes of Arthroscopic Suprascapular Nerve Decompression for Suprascapular Neuropathy. Arthroscopy. 2021;37(2): 499-507. doi: 10.1016/j.arthro.2020.10.020.
- Arce G., Calvo A., Golano P. Suprascapular Nerve Release: Technique Based on Anatomic Landmarks. Arthrosc Tech. 2021;10(2):e469-e473. doi: 10.1016/j.eats.2020.10.023.
- Lafosse L., Tomasi A., Corbett S., Baier G., Willems K., Gobezie R. Arthroscopic release of suprascapular nerve entrapment at the suprascapular notch: technique and preliminary results. Arthroscopy. 2007;23(1):34-42. doi: 10.1016/j.arthro.2006.10.003.
- Sachinis N.P., Papagiannopoulos S., Sarris I., Papadopoulos P. Outcomes of Arthroscopic Nerve Release in Patients Treated for Large or Massive Rotator Cuff Tears and Associated Suprascapular Neuropathy: A Prospective, Randomized, Double-Blinded Clinical Trial. Am J Sports Med. 2021;49(9):2301-2308. doi: 10.1177/03635465211021834.
- Юсупова Д.Г., Супонева Н.А., Зимин А.А., Зайцев А.Б., Bennett M., Белова Н.В. и др. Валидация Лидской шкалы оценки нейропатической боли (LANSS) в России. Нервно-мышечные болезни. 2018; 8(3):43-50. doi: 10.17650/2222-8721-2018-8-3-43-50. Yusupova D.G., Suponeva N.A., Zimin A.A., Zaytsev A.B., Bennett M., Belova N.V. et al. Validation of the Leeds Assessment of Neuropathic Symptoms and Signs Pain Scale (LANSS) in Russia. Neuromuscular Diseases. 2018; 8(3):43-50. doi: 10.17650/2222-8721-2018-8-3-43-50.
- Ильин Д.О., Макарьева О.В., Макарьев М.Н., Логвинов А.Н., Магнитская Н.Е., Рязанцев М.С. и др. Кросс-культурная адаптация и валидация стандартизированной шкалы American Shoulder and Elbow Surgeons (ASES). Травматология и ортопедия России. 2020;26(1):116-126. doi: 10.21823/2311-2905-2020-26-1-116-126. Ilʼin D.O., Makarieva O.V., Makariev M.N., Logvinov A.N., Magnitskaya N.E., Ryazantsev M.S. et al. American Shoulder and Elbow Surgeons Standardized Assessment Form: Russian Cross-Cultural Adaptation and Validation. Traumatology and Orthopedics of Russia. 2020;26(1):116-126. (In Russian). doi: 10.21823/2311-2905-2020-26-1-116-126.
- Lädermann A., Denard P.J., Collin P. Massive rotator cuff tears: definition and treatment. Int Orthop. 2015;39(12):2403-2414. doi: 10.1007/s00264-015-2796-5.
- Goutallier D., Postel J.M., Gleyze P., Leguilloux P., Van Driessche S. Influence of cuff muscle fatty degeneration on anatomic and functional outcomes after simple suture of full-thickness tears. J Shoulder Elbow Surg. 2003;12(6):550-554. doi: 10.1016/s1058-2746(03)00211-8.
- Patte D. Classification of rotator cuff lesions. Clin Orthop Relat Res. 1990;254:81-86.
- Saran S., Shirodkar K., Gavvala S.N., Evans S., Iyengar K.P., Jevalle D.G. et al. Supraspinous Fossa: Anatomy and Pathology. Indian J Radiol Imaging. 2024;35(1):139-147. doi: 10.1055/s-0044-1787667.
- Al-Redouan A., Hudak R., Nanka O., Kachlik D. The morphological stenosis pattern of the suprascapular notch is revealed yielding higher incidence in the discrete type and elucidating the inevitability of osteoplasty in horizontally oriented stenosis. Knee Surg Sports Traumatol Arthrosc. 2021;29(7):2272-2280. doi: 10.1007/s00167-020-06168-1.
- Park J., Su M.Y., Kim Y.U. Accuracy of suprascapular notch cross-sectional area by MRI in the diagnosis of suprascapular nerve entrapment syndrome: a retrospective pilot study. Korean J Anesthesiol. 2022;75(6):496-501. doi: 10.4097/kja.22153.
- Noh K.C., Lee S., Park C.W., Bai H., Kim J.Y. Three-Dimensional Morphological Analysis of the Suprascapular Notch in Patients with Arthroscopic Rotator Cuff Repair. Clin Orthop Surg. 2024;16(4): 586-593. doi: 10.4055/cios24013.
- Cho J., Yi J., Kim H., Moon S., Choi W., Kang K.N. et al. Diagnosis of suprascapular nerve entrapment syndrome based on the infraspinatus muscle cross-sectional area on shoulder MRI. Medicine (Baltimore). 2024;103(29):e39066. doi: 10.1097/MD.0000000000039066.
- Albino P., Carbone S., Candela V., Arceri V., Vestri A.R., Gumina S. Morphometry of the suprascapular notch: correlation with scapular dimensions and clinical relevance. BMC Musculoskelet Disord. 2013;14:172. doi: 10.1186/1471-2474-14-172.
- Chan C.M., Chung C.T., Lan H.H. Scapular fracture complicating suprascapular neuropathy: the role of computed tomography with 3D reconstruction. J Chin Med Assoc. 2009;72(6):340-342. doi: 10.1016/S1726-4901(09)70383-1.
Supplementary files





