Тактика хирургического лечения пациентов с юношеским эпифизеолизом головки бедренной кости при хроническом смещении эпифиза легкой степени
- Авторы: Барсуков Д.Б.1, Бортулев П.И.1, Басков В.Е.1, Поздникин И.Ю.1, Мурашко Т.В.1, Баскаева Т.В.1
-
Учреждения:
- ФГБУ «Национальный медицинский исследовательский центр детской травматологии и ортопедии им. Г.И. Турнера» Минздрава России
- Выпуск: Том 28, № 4 (2022)
- Страницы: 90-101
- Раздел: КЛИНИЧЕСКИЕ ИССЛЕДОВАНИЯ
- Дата подачи: 25.04.2022
- Дата принятия к публикации: 01.11.2022
- Дата публикации: 26.12.2022
- URL: https://journal.rniito.org/jour/article/view/1774
- DOI: https://doi.org/10.17816/2311-2905-1774
- ID: 1774
Цитировать
Аннотация
Актуальность. Появление данных о феморо-ацетабулярном импинджменте (ФАИ) cam-типа у пациентов с последствиями юношеского эпифизеолиза головки бедренной кости, характеризующегося хроническим смещением эпифиза легкой степени, требует, наряду с фиксацией проксимального эпифиза бедренной кости, моделирования перехода «головка – шейка» с использованием артроскопической техники. Однако после фиксации эпифиза вследствие продолжающегося энхондрального и экхондрального роста может произойти полное ремоделирование эпиметафиза и, следовательно, исчезновение морфологического субстрата потенциального ФАИ. В связи с этим вопрос о показаниях к внутрисуставным вмешательствам у пациентов с юношеским эпифизеолизом головки бедренной кости и его последствиями на сегодняшний день остается открытым.
Цель исследования — определить частоту встречаемости феморо-ацетабулярного импинджмента в послеоперационном периоде у пациентов с юношеским эпифизеолизом головки бедренной кости, характеризующимся хроническим смещением эпифиза легкой степени, и оценить потребность в проведении последующего хирургического лечения.
Материал и методы. Проанализированы результаты обследования 32 больных с хроническим смещением эпифиза легкой степени в типичном направлении кзади книзу, которым выполнена фиксация эпифиза канюлированным винтом, на предмет выраженности ремоделирования эпиметафиза и наличия ФАИ в послеоперационном периоде. В работе использованы клинический, рентгенологический, магнитно-резонансный и статистический методы исследования.
Результаты. В возрасте 18–19 лет ФАИ обнаружен у 9 (28,1%) пациентов, у 8 из них не произошло даже частичное ремоделирование бедренного компонента сустава, еще 9 (28,1%) больных не страдали от болевого синдрома в повседневной жизни, но имели иные клинические, а также рентгенологические и МР-признаки деформации cam-типа. Полное или практически полное ремоделирование проксимального эпиметафиза бедренной кости произошло у 14 (43,8%) пациентов.
Заключение. По нашему мнению, лечебно-диагностическая артроскопия тазобедренного сустава с целью моделирования перехода «головка – шейка» в возрасте 18–19 лет показана более чем одной четверти (28,1%) обследованных ввиду наличия у них достоверных признаков ФАИ.
Полный текст
ВВЕДЕНИЕ
В большинстве клинических наблюдений юношеский эпифизеолиз головки бедренной кости (ЮЭГБК) проявляется хроническим смещением эпифиза в типичных направлениях — кзади книзу или только кзади, которое разделяется по степени выраженности на легкое, среднетяжелое и тяжелое. Под легкой степенью, как правило, подразумевается анатомическая ситуация, когда смещение кзади не превышает 30° [1, 2, 3]. По мнению большинства хирургов, сложившемуся за несколько десятилетий, при хроническом смещении эпифиза в типичных направлениях легкой степени не требуется восстановления пространственного положения эпифиза — достаточно лишь его фиксации in situ [4, 5, 6, 7]. Между тем, работами многих авторов убедительно доказано, что даже незначительная, на первый взгляд, деформация проксимального эпиметафиза бедренной кости может стать причиной феморо-ацетабулярного импинджмента (ФАИ) cam-типа и развития коксартроза [8, 9, 10, 11, 12, 13]. Поэтому в настоящее время возобновился поиск оптимальной тактики лечения рассматриваемого контингента больных, позволяющей, с одной стороны, не допустить появления выраженных дегенеративных изменений в пораженном суставе в молодом возрасте, а с другой — избежать необоснованного увеличения объема хирургического вмешательства при легком смещении эпифиза. Некоторые специалисты предлагают дополнять фиксацию эпифиза in situ артроскопическим моделированием шейки бедренной кости, в частности места ее перехода в головку, для исключения хронической травматизации labrum acetabuli [14, 15, 16]. Другие авторы по-прежнему не рекомендуют предпринимать внутрисуставные вмешательства, надеясь на процесс ремоделирования бедренного компонента сустава после фиксации эпифиза в ходе продолжающегося роста [17, 18, 19]. Текущая дискуссия может быть завершена только после появления ответов на вопросы: как часто в суставах с неустраненным хроническим смещением эпифиза легкой степени происходит полное послеоперационное ремоделирование эпиметафиза, в каком возрасте при неполном ремоделировании (или его отсутствии) начинается характерный для ФАИ болевой синдром и как быстро прогрессируют дегенеративные изменения в пораженном суставе?
Цель исследования — определить частоту встречаемости феморо-ацетабулярного импинджмента в послеоперационном периоде у пациентов с юношеским эпифизеолизом головки бедренной кости, характеризующимся хроническим смещением эпифиза легкой степени, и оценить потребность в проведении последующего хирургического лечения.
МАТЕРИАЛ И МЕТОДЫ
Проведен ретроспективный анализ результатов пред- и послеоперационного обследования 32 пациентов (22 мальчиков и 10 девочек), страдающих ЮЭГБК с хроническим смещением эпифиза в типичном направлении кзади книзу легкой степени с одной стороны и без смещения эпифиза — с другой, на предмет выраженности послеоперационного ремоделирования проксимального эпиметафиза бедренной кости, а также наличия ФАИ в послеоперационном периоде.
Критерии включения пациентов в исследование:
– возраст от 13 до 15 лет;
– отсутствие синостозирования (частичного и полного) на уровне зоны роста проксимального эпифиза бедренной кости с двух сторон;
– хроническое смещение эпифиза в типичном направлении кзади книзу при наличии сочетания смещения кзади более 15° (от 16 до 30°) и книзу более 5° (от 6 до 15°);
– наличие костного выступа на передней поверхности шейки бедренной кости на рентгенограмме тазобедренных суставов в проекции Лауэнштейна;
– наличие положительного симптома «сегмента» на рентгенограмме тазобедренных суставов в переднезадней проекции — касательная к верхней поверхности шейки бедренной кости, продленная вверх, не отсекает от эпифиза его латеральный сегмент, как это происходит в норме;
– отсутствие ранних осложнений заболевания — хондролиза тазобедренного сустава и асептического некроза головки бедренной кости;
– начальная стадия заболевания (предсоскальзывание) в контралатеральном суставе;
– отсутствие предшествующего хирургического лечения;
– отсутствие технических ошибок при выполнении вмешательств.
Критерии исключения:
– возраст менее 13 и более 15 лет;
– наличие частичного или полного синостозирования на уровне зоны роста проксимального эпифиза бедренной кости с одной или с двух сторон;
– хроническое смещение эпифиза в типичном направлении кзади книзу при отсутствии сочетания смещения кзади более 15° (от 16 до 30°) и книзу более 5° (от 6 до 15°);
– хроническое смещение эпифиза в типичном направлении только кзади и в атипичных направлениях;
– острое смещение эпифиза (первично острое и острое на фоне хронического).
Таким образом, у всех 32 пациентов имела место легкая степень смещения эпифиза, но при этом наименьший потенциал ремоделирования ввиду их возраста (не менее 13 лет) и максимальной выраженности анатомических нарушений в рамках легкой степени смещения.
Техника операции
Все дети получили хирургическое лечение, заключающееся в фиксации проксимальных эпифизов обеих бедренных костей с использованием электронно-оптического преобразователя (ЭОП) рентгеновского изображения. Для фиксации применялись самонарезающие канюлированные винты диаметром 7,0 мм с наружной резьбовой нарезкой на конце, занимающей около одной четверти общей длины. Винт вводился в эпифиз с передненаружной поверхности бедренной кости через шейку и центр ростковой пластинки, при этом головка винта не опиралась на кортикальный слой, а отстояла от бедренной кости на 5–10 мм (рис. 1).
Рис. 1. Рентгенограммы правого тазобедренного сустава в переднезадней проекции (а) и в проекции Лауэнштейна (b) пациента 13 лет 11 мес. непосредственно после операции. Объяснение в тексте
Всего проведено 64 подобные операции — каждый ребенок оперирован на обоих тазобедренных суставах в одну хирургическую сессию. Во всех наблюдениях металлоконструкции удалялись после завершения синостозирования эпифиза и метафиза — в возрасте от 17 до 18 лет.
Предоперационное обследование
В предоперационном периоде всем детям проводились клиническое и рентгенологическое исследования, последнее включало рентгенографию и мультиспиральную компьютерную томографию (МСКТ) тазобедренных суставов. В ходе клинического обследования, проводившегося только в горизонтальном положении пациента, основное внимание уделялось оценке амплитуды движений бедер, в частности наличию и выраженности симптома Дремена. В связи с высокой вероятностью отрыва эпифиза импинджмент-тест (FADIR) не проводился.
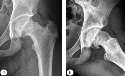
По рентгенограммам в переднезадней проекции и в проекции Лауэнштейна с двух сторон определялись значения проекционного шеечно-диафизарного угла (ШДУ), проекционного эпифизо-диафизарного угла (ЭДУ), эпифизарного угла (ЭУ), исключались признаки частичного и полного синостозирования на уровне эпифизарной зоны роста. На стороне деформации определяли значения углов смещения эпифиза кзади и книзу, подтверждали наличие положительного симптома «сегмента», костного выступа на передней поверхности шейки бедренной кости, отсутствие смещения эпифиза с контралатеральной стороны (рис. 2).
Рис. 2. Рентгенограммы правого тазобедренного сустава в переднезадней проекции (а) и в проекции Лауэнштейна (b) пациентки 14 лет 9 мес. перед операцией: отсутствие признаков синостозирования на уровне эпифизарной зоны роста, положительный симптом «сегмента», костный выступ на передней поверхности шейки бедренной кости
Угол смещения эпифиза кзади рассчитывался по разнице ЭУ в суставе без смещения (индивидуальная норма) и в суставе со смещением, угол смещения книзу — по разнице ШДУ и ЭДУ в суставе со смещением.
МСКТ выполнялась с целью обнаружения признаков частичного синостозирования эпифиза и метафиза, являющихся основанием для отказа от оперативного вмешательства и исключения пациента из исследования.
В послеоперационном периоде клинико-рентгенологическое исследование, за исключением МСКТ, проводилось непосредственно после вмешательства, через 3, 6 и 12 мес. после операции, а в дальнейшем не реже одного раза в 18 мес. до 19-летнего возраста. В отличие от предоперационного периода, клиническое исследование включало оценку импинджмент-теста (FADIR), а рентгенологическое — оценку стабильности фиксации эпифиза. В возрасте 18–19 лет, кроме клинико-рентгенологического исследования, всем пациентам выполнялась магнитно-резонансная томография (МРТ) тазобедренных суставов для исключения в суставе с легкой степенью смещения эпифиза МР-признаков ФАИ cam-типа.
Оценка стабильности фиксации эпифиза осуществлялась путем сравнения значений проекционного ЭДУ и ЭУ на рентгенограммах в вышеупомянутых проекциях, выполненных на операционном столе непосредственно после хирургического вмешательства, и при появлении первых признаков синостозирования на уровне эпифизарной зоны роста в возрасте от 13,5 до 15,5 лет — в зависимости от возраста ребенка на момент операции.
Как известно, начальным МР-признаком ФАИ cam-типа является деформация перехода «головка – шейка», определяющаяся в виде избытка костно-хрящевой массы в передневерхней части перехода, из-за которой исчезает нормальная вогнутость последнего и нарушается сферичность головки бедренной кости. Данная деформация визуализировалась в косой аксиальной плоскости, включающей ось шейки бедренной кости, и на радиальных срезах, произведенных на соответствующем уровне перпендикулярно оси шейки. Для количественной оценки деформации перехода «головка – шейка» определяли величину передневерхнего угла α. Помимо этого, определяли наличие или отсутствие одно- или многокамерных кист (или так называемых фиброцист), локализующихся вдоль передневерхнего края шейки бедренной кости прямо на краю суставной поверхности, в месте столкновения. В ходе МР-исследования также исключались/подтверждались некоторые признаки ФАИ cam-типа в вертлужном компоненте пораженного сустава, а именно отделение передневерхнего отдела губы вертлужной впадины от покровного хряща суставной впадины на уровне хондро-лабрального перехода, истончение гиалинового хряща в передневерхнем квадранте вертлужной впадины или образование его дефекта (трещины), дегенерация и разрыв губы вертлужной впадины.
Статистический анализ
Накопление и систематизацию исходной информации осуществляли в электронных таблицах Microsoft Office Excel 2016. Статистический анализ проводили в программе STATISTICA v. 13.3. Количественные показатели оценивали на соответствие нормальному распределению, для этого применяли критерий Шапиро – Уилка. Для описания количественных показателей, имеющих нормальное распределение, рассчитывали средние арифметические величины (M) и стандартные отклонения (SD) — результаты представлены в виде М±SD. Совокупности количественных показателей, распределение которых отличалось от нормального, описывались при помощи значений медианы (Me) и нижнего и верхнего квартилей (Q1–Q3). Номинальные данные описывали с указанием абсолютных значений и процентных долей. Для проверки различий между двумя сравниваемыми парными выборками применялся W-критерий Уилкоксона. Для сравнения независимых совокупностей использовали U-критерий Манна – Уитни. Полученные значения сравнивались с критическими при уровне значимости p = 0,05. Если рассчитанное значение было меньше или равно критическому, делался вывод о наличии статистической значимости различий сравниваемых выборок. Сравнение двух групп по количественному показателю, имеющему нормальное распределение, при неравных дисперсиях выполнялось с помощью t-критерия Уэлча.
РЕЗУЛЬТАТЫ
Клиническое исследование в предоперационном периоде показало, что на стороне смещения у всех детей отмечались периодические боли, связанные с ходьбой, локализующиеся в области коленного сустава — 18 (56,3%) наблюдений, бедра — 8 (25,0%) или тазобедренного сустава — 6 (18,7%) наблюдений. Во всех случаях выявлено отсутствие или ограничение амплитуды внутренней ротации бедра — 23 (71,9%) и 9 (28,1%) наблюдений соответственно. У 19 (59,4%) из 23 пациентов с отсутствием внутренней ротации обнаружен положительный симптом Дремена. На контралатеральной стороне у всех детей болевой синдром отсутствовал, амплитуда движений бедра находилась в пределах нормы, а симптом Дремена был отрицательным.
Данные таблицы 1 показывают, что среднее смещение эпифиза кзади составило 21 (18–24)°, а книзу — 10 (8–12)°. Средняя величина проекционного ШДУ в суставах со смещением эпифиза была больше, чем в суставах без смещения на 6°, что обусловлено нарушением укладки соответствующей конечности (неустранимое наружноротационное положение) у детей с положительным симптомом Дремена. Признаки частичного синостозирования эпифиза и метафиза на МСКТ не были выявлены ни в одном из 32 наблюдений (64 суставов).
Таблица 1
Предоперационные значения проекционных ШДУ, ЭДУ, ЭУ и углов смещения эпифиза кзади и книзу, Ме (Q1–Q3)
Тазобедренный сустав | Средние значения углов, град. | ||||
Проекционный ШДУ (n = 64) | Проекционный ЭДУ (n = 64) | ЭУ (n = 64) | Угол смещения кзади (n = 32) | Угол смещения книзу (n = 32) | |
Без смещения эпифиза (n = 32) | 136 (132–138) | 136 (132–138) | 82 (80–84) | – | – |
Со смещением эпифиза (n = 32) | 142 (138–144) | 134 (131–137) | 63 (60–64) | 21 (18–24) | 10 (8–12) |
Таким образом, до хирургического лечения у всех детей на стороне смещения эпифиза отмечались болевой синдром, ограничение амплитуды движений бедра, типичное смещение эпифиза кзади и книзу легкой степени, костный выступ на передней поверхности шейки бедренной кости и положительный симптом «сегмента».
Рентгенографическое исследование в послеоперационном периоде показало, что фиксация эпифиза оказалась стабильной во всех наблюдениях — ни в одном из 64 суставов не было отмечено статистически значимого уменьшения величины проекционного ЭДУ (p>0,05) и/или ЭУ (p>0,05), свидетельствующего о появлении смещения или его прогрессировании.
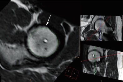
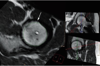
При анализе МРТ, выполненной на 19-м году жизни, установлено, что вышеописанная деформация перехода «головка – шейка» различной выраженности присутствовала в 25 (78,1%) из 32 суставов со смещением эпифиза, величина передневерхнего угла α при этом варьировала в диапазоне от 46° до 71°, в среднем 60,6±7,7° (рис. 3, 4).
Рис. 3. МРТ левого тазобедренного сустава пациентки 18 лет 2 мес. через 4 года 7 мес. после операции, косая аксиальная проекция, Т2-взвешенное изображение. Деформация перехода «головка – шейка» (обозначена стрелкой) — отсутствие нормальной вогнутости перехода и увеличенный передневерхний угол α — 87,4 °
Рис. 4. МРТ левого тазобедренного сустава пациента 18 лет 7 мес. через 5 лет 2 мес. после операции, радиальный срез на уровне перехода «головка – шейка», перпендикулярный оси шейки бедренной кости, Т2-взвешенное изображение). Деформация перехода «головка – шейка» (обозначена стрелкой) — избыток костной массы в передневерхней части перехода, нарушающий сферичность головки бедренной кости
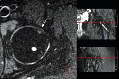
Фиброцисты в наших наблюдениях отчетливо визуализировались в 8 (25,0%) из 32 суставов со смещением эпифиза, величина передневерхнего угла α в каждом из этих 8 суставов превышала 55° (рис. 5).
Рис. 5. МРТ левого тазобедренного сустава пациентки 18 лет 4 мес. через 4 года 5 мес. после операции, аксиальная проекция, режим с жироподавлением. Фиброциста (обозначена стрелкой), локализующаяся у передневерхнего края шейки бедренной кости на краю суставной поверхности, в месте столкновения
Из всех вышеупомянутых признаков ФАИ cam-типа в тазовом компоненте сустава мы наблюдали только истончение гиалинового хряща в передневерхнем квадранте впадины — в 3 (9,4%) из 32 суставов со смещением эпифиза. Величина передневерхнего угла α в каждом из этих 3 суставов превышала 65°.
В ходе последнего исследования на 19-м году жизни, когда определялись признаки полного синостозирования на уровне эпифизарной зоны роста, все пациенты были разделены на 4 группы по степени выраженности ремоделирования и форме проксимального эпиметафиза бедренной кости на стороне смещения:
– I группа — 7 (21,9%) детей с полным ремоделированием и отсутствием деформации (величина передневерхнего угла α на МРТ — 40–45°);
– II группа — 7 (21,9%) детей с неполным ремоделированием и незначительной остаточной деформацией (величина передневерхнего угла α на МРТ — 46–55°);
– III группа — 10 (31,2%) детей с неполным ремоделированием и значительной остаточной деформацией (величина передневерхнего угла α на МРТ — 56–65°);
– IV группа — 8 (25,0%) детей с отсутствием ремоделирования и деформацией прежней выраженности (величина передневерхнего угла α на МРТ — 66–71°).
Каждая группа характеризовалась сочетанием ряда признаков.
I группа — болевой синдром в повседневной жизни (когда не допускаются регулярные чрезмерные нагрузки — бег, поднятие тяжестей, прыжки) отсутствует; амплитуда движений бедра нормальная; FADIR-тест отрицательный, симптом «сегмента» отрицательный; костный выступ на передней поверхности шейки бедренной кости отсутствует; признаки деформации cam-типа на МРТ отсутствуют (средняя величина передневерхнего угла α — 42,9±1,7°).
II группа — болевой синдром в повседневной жизни отсутствует; амплитуда движений бедра нормальная (4 из 7 детей) или имеется едва заметное (в пределах 10°) ограничение внутренней ротации (3 из 7 детей); FADIR-тест отрицательный; симптом «сегмента» отрицательный; костный выступ на передней поверхности шейки бедренной кости отсутствует; имеются недостоверные признаки деформации cam-типа на МРТ в виде незначительных изменений перехода «головка – шейка» (средняя величина передневерхнего угла α — 50,1±3,3°).
III группа — болевой синдром в повседневной жизни отсутствует (9 из 10 детей); имеется ограничение амплитуды движений бедра; FADIR-тест положительный; симптом «сегмента» положительный; костный выступ на передней поверхности шейки бедренной кости присутствует (выраженность выступа у 5 из 10 детей прежняя, а у других 5 — уменьшилась); имеются достоверные признаки деформации cam-типа на МРТ в виде значительных изменений перехода «головка – шейка» (средняя величина передневерхнего угла α — 61,9±3,0°) и наличие фиброцист (3 из 10 детей).
IV группа — болевой синдром в повседневной жизни присутствует; имеется ограничение амплитуды движений бедра; FADIR-тест положительный; симптом «сегмента» положительный; костный выступ на передней поверхности шейки бедренной кости присутствует (выраженность выступа прежняя); имеются достоверные признаки деформации cam-типа на МРТ в виде значительных изменений перехода «головка – шейка» (средняя величина передневерхнего угла α — 68,3±1,5°); наличие фиброцист (5 из 8 детей) и истончение гиалинового хряща в передневерхнем квадранте вертлужной впадины (3 из 8 детей). Был проведен анализ зависимости между величиной передневерхнего угла α, результатом FADIR-теста и наличием болевого синдрома в повседневной жизни (табл. 2).
Таблица 2
Величина передневерхнего угла α, результат FADIR-теста и наличие болевого синдрома в повседневной жизни у обследованных пациентов
Показатель | n | Передневерхний угол α, град. M±SD (min, max) | p | Болевой синдром «+» / «-» | p | |
FADIR-тест | «-» | 14 | 46,5±4,6 (40, 55) | <0,001 | 0/14 | <0,001 |
«+» | 18 | 64,7±4,0 (56, 71) | 9/9 | |||
Болевой синдром | «-» | 23 | 52,4±8,5 (40, 65) | <0,001 | – | – |
«+» | 9 | 67,9±1,8 (65, 71) | – | |||
Из таблицы следует, что болевой синдром присутствовал только у пациентов с положительным результатом FADIR-теста (p<0,001). Пациенты, сообщившие о наличии болевого синдрома, имели повышенное значение угла α (p<0,001). У всех пациентов с величиной угла α ≥ 56° был положительный результат FADIR-теста (p<0,001), а подавляющее большинство страдали от болевого синдрома (p<0,001).
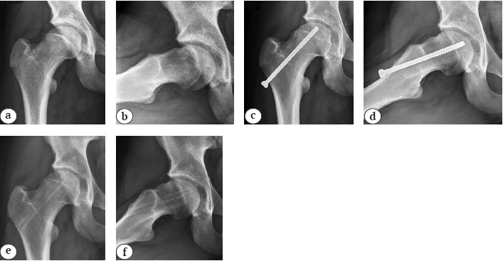
Форма проксимального эпиметафиза бедренной кости на контралатеральной стороне оказалась нормальной во всех 32 наблюдениях. В качестве примера отсутствия ремоделирования проксимального эпиметафиза бедренной кости в послеоперационном периоде могут служить рентгенограммы пациента из IV группы (рис. 6). На предоперационных рентгенограммах визуализируются смещение эпифиза кзади на 17° и книзу на 8°, положительный симптом «сегмента» и костный выступ на передней поверхности шейки бедренной кости. На рентгенограммах, выполненных на 19-м году жизни, определяется типичная деформация cam-типа, сохраняются положительный симптом «сегмента» и костный выступ на передней поверхности шейки бедренной кости исходной выраженности.
Рис. 6. Рентгенограммы правого тазобедренного сустава в переднезадней проекции и в проекции Лауэнштейна пациента 14 лет 9 мес.: a, b — непосредственно перед операцией; c, d — через 2,5 года после операции перед удалением металлоконструкций; e, f — через 3,5 года после операции при заключительном обследовании на 19-м году жизни
Таким образом, ФАИ обнаружен у 9 (28,1%) из 32 обследованных пациентов. Следует отметить, что у 8 из этих 9 детей не произошло даже частичного ремоделирования бедренного компонента сустава — они относились к IV группе. Всем этим 9 больным рекомендовано проведение комплексного обследования для решения вопроса о необходимости артроскопического вмешательства на тазобедренном суставе с целью устранения морфологического субстрата ФАИ. За остальными 9 пациентами III группы, не страдавшими от болевого синдрома в повседневной жизни, но имевшими другие клинические, рентгенологические и МР-признаки деформации cam-типа, продолжено динамическое наблюдение. Полное или практически полное ремоделирование проксимального эпиметафиза бедренной кости произошло в 14 (43,8%) из 32 суставов со смещением эпифиза у пациентов I и II групп.
ОБСУЖДЕНИЕ
Механизмы ремоделирования проксимального эпиметафиза бедренной кости при юношеском эпифизеолизе головки бедренной кости за счет продолжающегося экхондрального и энхондрального роста раскрыты еще в середине прошлого века [20, 21]. Мы рассматривали их в наших предыдущих статьях [22, 23]. Между тем, данные литературы о частоте встречаемости и степени выраженности ремоделирования немногочисленны и противоречивы [24, 25]. Появившиеся в последние годы сведения о ФАИ cam-типа, наблюдающемся в суставах с легкой остаточной деформацией эпиметафиза после перенесенного ЮЭГБК, заставили некоторых хирургов задуматься о ликвидации морфологического субстрата ФАИ — артроскопическом моделировании перехода «головка — шейка» для воссоздания его нормальной вогнутости. При этом одни авторы предлагают выполнять такое моделирование сразу после фиксации эпифиза [26, 27], а другие — вторым этапом после завершения процесса синостозирования на уровне эпифизарной ростковой пластинки [28, 29]. Однако в большинстве публикаций на обсуждаемую тему проблеме ФАИ по-прежнему не придается должного значения [30, 31, 32, 33]. Проанализировав данные настоящего исследования, мы пришли к выводу о целесообразности проведения лечебно-диагностической артроскопии пораженного сустава избирательно в качестве последующего этапа хирургического лечения. По нашим данным, такая необходимость в возрасте 18–19 лет существует более чем у одной четверти пациентов.
Проявления ФАИ cam-типа на МРТ у взрослых пациентов, в частности рассмотренная деформация перехода «головка – шейка» в виде избытка костно-хрящевой массы в передневерхней части перехода, довольно подробно описаны в современной литературе [8, 9, 10, 34]. Выяснено, что фиброцисты, визуализирующиеся вдоль передневерхнего края шейки бедренной кости, могут иметь размеры от 2 до 15 мм, и наибольшее их количество отмечается в суставах с большими значениями угла α [34]. На сегодняшний день доказано, что в вертлужном компоненте пораженного сустава под влиянием хронической травматизации со временем может начаться отделение передневерхнего отдела губы вертлужной впадины от покровного хряща суставной впадины на уровне хондро-лабрального перехода. Кроме того, может происходить истончение гиалинового хряща в передневерхнем квадранте вертлужной впадины или образование его дефекта (трещины), что в конечном итоге может привести к отслоению покровного хряща от подлежащей кости с образованием лоскута. Значительно позже при ФАИ cam-типа могут наблюдаться дегенерация и разрыв губы вертлужной впадины — они более характерны для pincer-типа импинджмента [6, 8, 16]. Перечисленные МР-признаки ФАИ cam-типа в тазовом компоненте сустава гораздо чаще встречаются у взрослых пациентов. У детей они обычно не успевают проявиться в полной мере по причине непродолжительного существования деформации бедренного компонента, что полностью подтверждается нашим исследованием. Возможно, именно поэтому в детском возрасте клинические проявления ФАИ обычно бывают более скудными. Недостаточное внимание к проблеме деформации cam-типа у детей, перенесших ЮЭГБК с хроническим смещением эпифиза легкой степени, обусловлено, по-видимому, отсутствием у большинства из них характерного болевого синдрома. В доступной литературе мы не нашли данных о частоте встречаемости ФАИ у рассматриваемого контингента больных. По нашим данным, в возрасте 18–19 лет достоверные МР-признаки деформации cam-типа имеются у 56,2% пациентов, а у 28,1% больных на фоне этой деформации в повседневной жизни отмечается характерный для ФАИ болевой синдром.
Следует напомнить, что из пациентов с легкой степенью смещения эпифиза для настоящего исследования нами были отобраны дети с наименьшим потенциалом ремоделирования эпиметафиза ввиду их возраста (не менее 13 лет) и максимальной выраженности анатомических нарушений.
ЗАКЛЮЧЕНИЕ
Полное или частичное ремоделирование проксимального эпиметафиза бедренной кости при юношеском эпифизеолизе головки бедренной кости с хроническим смещением эпифиза легкой степени после фиксации последнего самонарезающим канюлированным винтом отмечено в 75,0% клинических случаев (I, II и III группы), в 25,0% наблюдений (IV группа) ремоделирование отсутствовало.
Достоверные признаки деформации cam-типа на МРТ тазобедренных суставов, выполненной на 19-м году жизни, обнаружены в 56,2% клинических случаев (III и IV группы). Между тем, только в 28,1% наблюдений (IV группа и один пациент III группы) эта деформация в повседневной жизни проявлялась характерным для ФАИ болевым синдромом.
В нашем исследовании лечебно-диагностическая артроскопия тазобедренного сустава с целью моделирования перехода «головка – шейка» для воссоздания его нормальной вогнутости в возрасте 18–19 лет показана 28,1% пациентов (IV группа и один пациент III группы) с достоверными клиническими, рентгенологическими и МР-признаками ФАИ, а в 21,9% наблюдений (I группа) она не требуется по причине полного ремоделирования проксимального эпиметафиза бедренной кости.
ДОПОЛНИТЕЛЬНАЯ ИНФОРМАЦИЯ
Заявленный вклад авторов
Барсуков Д.Б. — дизайн исследования, написание текста, сбор и анализ данных, обзор литературы.
Бортулёв П.И. — редактирование текста статьи, сбор и анализ данных.
Басков В.Е. — сбор и анализ данных.
Поздникин И.Ю. — сбор и анализ данных.
Мурашко Т.В. — сбор и анализ данных.
Баскаева Т.В. — сбор и анализ данных.
Все авторы прочли и одобрили финальную версию рукописи статьи. Все авторы согласны нести ответственность за все аспекты работы, чтобы обеспечить надлежащее рассмотрение и решение всех возможных вопросов, связанных с корректностью и надежностью любой части работы.
Источник финансирования. Работа проведена в рамках выполнения Государственного задания Министерства здравоохранения Российской Федерации (НИР № 121031700122-6).
Конфликт интересов. Авторы декларируют отсутствие явных и потенциальных конфликтов интересов, связанных с публикацией настоящей статьи.
Этическая экспертиза. Проведенное исследование одобрено этическим комитетом ФГБУ «НМИЦ ДТО им. Г.И. Турнера» Минздрава России, протокол № 22-2 от 02.02.2021 г.
Информированное согласие на публикацию. Законные представители пациентов дали согласие на участие в исследовании и публикацию его результатов.
DISCLAIMERS
Author contribution
Barsukov D.B. — study design, collection and processing of data, literature review, writing the draft.
Bortulev P.I. — text editing, collection and processing of material.
Baskov V.E. — collection and processing of data.
Pozdnikin I.Yu. — collection and processing of data.
Murashko T.V. — collection and processing of data.
Baskaeva T.V. — collection and processing of data.
All authors have read and approved the final version of the manuscript of the article. All authors agree to bear responsibility for all aspects of the study to ensure proper consideration and resolution of all possible issues related to the correctness and reliability of any part of the work.
Funding source. State budgetary.
Competing interests. The authors declare that they have no competing interests.
Ethics approval. The study was approved by the local ethics committee of H. Turner National Medical Research Center for Сhildren’s Orthopedics and Trauma Surgery, protocol No 22-2, 02.02.2021.
Consent for publication. Written consent was obtained from legal representatives of children for publication of relevant medical information and all accompanying images within the manuscript.
Об авторах
Дмитрий Борисович Барсуков
ФГБУ «Национальный медицинский исследовательский центр детской травматологии и ортопедии им. Г.И. Турнера» Минздрава России
Автор, ответственный за переписку.
Email: dbbarsukov@gmail.com
ORCID iD: 0000-0002-9084-5634
SPIN-код: 2454-6548
канд. мед. наук
Россия, г. Санкт-ПетербургПавел Игоревич Бортулев
ФГБУ «Национальный медицинский исследовательский центр детской травматологии и ортопедии им. Г.И. Турнера» Минздрава России
Email: pavel.bortulev@yandex.ru
ORCID iD: 0000-0003-4931-2817
SPIN-код: 9903-6861
канд. мед. наук
Россия, г. Санкт-ПетербургВладимир Евгеньевич Басков
ФГБУ «Национальный медицинский исследовательский центр детской травматологии и ортопедии им. Г.И. Турнера» Минздрава России
Email: dr.baskov@mail.ru
ORCID iD: 0000-0003-0647-412X
SPIN-код: 1071-4570
канд. мед. наук
Россия, г. Санкт-ПетербургИван Юрьевич Поздникин
ФГБУ «Национальный медицинский исследовательский центр детской травматологии и ортопедии им. Г.И. Турнера» Минздрава России
Email: pozdnikin@gmail.com
ORCID iD: 0000-0002-7026-1586
SPIN-код: 3744-8613
канд. мед. наук
Россия, г. Санкт-ПетербургТатьяна Валерьевна Мурашко
ФГБУ «Национальный медицинский исследовательский центр детской травматологии и ортопедии им. Г.И. Турнера» Минздрава России
Email: popova332@mail.ru
ORCID iD: 0000-0002-0596-3741
SPIN-код: 9295-6453
Россия, г. Санкт-Петербург
Тамила Владимировна Баскаева
ФГБУ «Национальный медицинский исследовательский центр детской травматологии и ортопедии им. Г.И. Турнера» Минздрава России
Email: tamila-baskaeva@mail.ru
ORCID iD: 0000-0001-9865-2434
SPIN-код: 5487-4230
Россия, г. Санкт-Петербург
Список литературы
- Krasnov A.I. [Slipped capital femoral epiphysis]. In: Traumatology: National Guide. M.: GEOTAR-Media; 2011. P. 989-994. (In Russian).
- Wensaas A., Svenningsen S., Terjesen T. Long-term outcome of slipped capital femoral epiphysis: a 38-year follow-up of 66 patients. J Child Orthop. 2011;5(2):75-82. doi: 10.1007/s11832-010-0308-0.
- Shkatula Ju.V. [Etiology, pathogenesis, diagnosis and treatment of slipped capital femoral epiphysis (the analytical review of the literature)]. Vestnik Sum GU. 2007;2:122-135. (In Russian).
- Krechmar A.N., Krasnov A.I. [Surgical treatment of cervical-epiphyseal deformities of the femur in children and adolescents]. Ortopediya, travmatologiya i protezirovanie [Orthopedics, Traumatology and Prosthetics]. 1986;(3):18-20. (In Russian).
- Green D.W., Reynolds R.A., Khan S.N., Tolo V. The delay in diagnosis of slipped capital femoral epiphysis: a review of 102 patients. HSS J. 2005;1(1):103-106. doi: 10.1007/s11420-005-0118-y.
- Falciglia F., Aulisa A.G., Giordano M., Boldrini R., Guzzanti V. Slipped capital femoral epiphysis: an ultrastructural study before and after osteosynthesis. Acta Orthop. 2010;81(3):331-336. doi: 10.3109/17453674.2010.483987.
- Abraham E., Gonzalez M.H., Pratap S., Amirouche F., Atluri P., Simon P. Clinical implications of anatomical wear characteristics in slipped capital femoral epiphysis and primary osteoarthritis. J Pediatr Orthop. 2007;27(7): 788-795. doi: 10.1097/BPO.0b013e3181558c94.
- Ganz R., Leunig M., Leunig-Ganz K., Harris W.H. The etiology of osteoarthritis of the hip: an integrated mechanical concept. Clin Orthop Relat Res. 2008;466(2):264-272. doi: 10.1007/s11999-007-0060-z.
- Siebenrock K.A., Ferner F., Noble P.C., Santore R.F., Werlen S., Mamisch T.C. The cam-type deformity of the proximal femur arises in childhood in response to vigorous sporting activity. Clin Orthop Relat Res. 2011;469(11):3229-3240. doi: 10.1007/s11999-011-1945-4.
- Ziebarth K., Leunig M., Slongo T., Kim Y.J., Ganz R. Slipped capital femoral epiphysis: relevant pathophysiological findings with open surgery. Clin Orthop Relat Res. 2013;471(7):2156-2162. doi: 10.1007/s11999-013-2818-9.
- Wylie J.D., McClincy M.P., Uppal N., Miller P.E., Kim Y.J., Millis M.B. et al. Surgical treatment of symptomatic post-slipped capital femoral epiphysis deformity: a comparative study between hip arthroscopy and surgical hip dislocation with or without intertrochanteric osteotomy. J Child Orthop. 2020;14(2):98-105. doi: 10.1302/1863-2548.14.190194.
- Bogopolskiy O.E. [Instrumental Diagnosis and Preoperative Planning of Hip Arthroscopy in Femoroacetabular Impingement Syndrome: Lecture]. Travmatologiya i ortopediya Rossii [Traumatology and Orthopedics of Russia]. 2021;27(4):155-168. (In Russian). doi: 10.21823/2311-2905-1636.
- Tikhilov R.M., Shubnyakov I.I., Pliev D.G., Bogopolsky O.E., Guatsaev M.S. [Roentgenography potentialities for early diagnosis of Hip pathologies]. Travmatologiya i ortopediya Rossii [Traumatology and Orthopedics of Russia]. 2017;23(1):117-131. (In Russian). doi: 10.21823/2311-2905-2017-23-1-117-131.
- Al-Nammari S.S., Tibrewal S., Britton E.M., Farrar N.G. Management outcome and the role of manipulation in slipped capital femoral epiphysis. J Orthop Surg (Hong Kong). 2008;16(1):131. doi: 10.1177/230949900801600134.
- Accadbled F., Murgier J., Delannes B., Cahuzac J.P., de Gauzy J.S. In situ pinning in slipped capital femoral epiphysis: long-term follow-up studies. J Child Orthop. 2017;11(2):107-109. doi: 10.1302/1863-2548-11-160282.
- Zaltz I., Kelly B.T., Larson C.M., Leunig M., Bedi A. Surgical treatment of femoroacetabular impingement: what are the limits of hip arthroscopy? Arthroscopy. 2014;30(1):99-110. doi: 10.1016/j.arthro.2013.10.005.
- Sonnega R.J., van der Sluijs J.A., Wainwright A.M., Roposch A., Hefti F. Management of slipped capital femoral epiphysis: results of a survey of the members of the European Paediatric Orthopaedic Society. J Child Orthop. 2011;5(6):433-438. doi: 10.1007/s11832-011-0375-x.
- Örtegren J., Björklund-Sand L., Engbom M., Siversson C., Tiderius C.J. Unthreaded Fixation of Slipped Capital Femoral Epiphysis Leads to Continued Growth of the Femoral Neck. J Pediatr Orthop. 2016;36(5):494-498. doi: 10.1097/BPO.0000000000000684.
- Arora S., Dutt V., Palocaren T., Madhuri V. Slipped upper femoral epiphysis: Outcome after in situ fixation and capital realignment technique. Indian J Orthop. 2013;47(3):264-271. doi: 10.4103/0019-5413.111492.
- Billing L., Severin E. Slipping epiphysis of the hip; a roentgenological and clinical study based on a new roentgen technique. Acta Radiol Suppl. 1959;174:1-76.
- O’Brien E.T., Fahey J.J. Remodeling of the femoral neck after in situ pinning for slipped capital femoral epiphysis. J Bone Joint Surg Am. 1977;59(1):62-68.
- Barsukov D.B., Bortulev P.I., Baskov V.E., Pozdnikin I.Yu., Murashko T.V., Baskaeva T.V. [Selected aspects of proximal femoral epiphysis fixation in children with early stages of slipped capital femoral epiphysis]. Ortopediya, travmatologiya i vosstanovitel’naya khirurgiya detskogo vozrasta [Pediatric Traumatology, Orthopaedics and Reconstructive Surgery]. 2021;9(3):277-286. (In Russian). doi: 10.17816/PTORS75677.
- Barsukov D.B., Krasnov A.I., Kamosko M.M. [Surgical treatment of early stages of the slipped capital femoral epiphysis in children]. Vestnik travmatologii i ortopedii im. N.N. Priorova [N.N. Priorov Journal of Travmatology and orthopedics]. 2016;(1):40-47. (In Russian). doi: 10.17816/PTORS6378-86.
- Bellemans J., Fabry G., Molenaers G., Lammens J., Moens P. Slipped capital femoral epiphysis: a long-term follow-up, with special emphasis on the capacities for remodeling. J Pediatr Orthop B. 1996;5(3):151-157.
- Jones J.R., Paterson D.C., Hillier T.M., Foster B.K. Remodelling after pinning for slipped capital femoral epiphysis. J Bone Joint Surg Br. 1990;72(4):568-573. doi: 10.1302/0301-620X.72B4.2380205.
- Sailhan F., Courvoisier A., Brunet O., Chotel F., Berard J. Continued growth of the hip after fixation of slipped capital femoral epiphysis using a single cannulated screw with a proximal threading. J Child Orthop. 2011;5(2): 83-88. doi: 10.1007/s11832-010-0324-0.
- Burke J.G., Sher J.L. Intra-operative arthrography facilitates accurate screw fixation of a slipped capital femoral epiphysis. J Bone Joint Surg Br. 2004;86(8):1197-1198. doi: 10.1302/0301-620x.86b8.14889.
- Örtegren J., Björklund-Sand L., Engbom M., Tiderius C.J. Continued Growth of the Femoral Neck Leads to Improved Remodeling After In Situ Fixation of Slipped Capital Femoral Epiphysis. J Pediatr Orthop. 2018;38(3):170-175. doi: 10.1097/BPO.0000000000000797.
- Hägglund G. Pinning the slipped and contralateral hips in the treatment of slipped capital femoral epiphysis. J Child Orthop. 2017;11(2):110-113. doi: 10.1302/1863-2548-11-170022.
- Swarup I., Shah R., Gohel S., Baldwin K., Sankar W.N. Predicting subsequent contralateral slipped capital femoral epiphysis: an evidence-based approach. J Child Orthop. 2020;14(2):91-97. doi: 10.1302/1863-2548.14.200012.
- Hägglund G., Bylander B., Hansson L.I., Selvik G. Bone growth after fixing slipped femoral epiphyses: brief report. J Bone Joint Surg Br. 1988;70(5):845-846. doi: 10.1302/0301-620X.70B5.3192598.
- Uglow M.G., Clarke N.M. The management of slipped capital femoral epiphysis. J Bone Joint Surg Br. 2004;86(5):631-635. doi: 10.1302/0301-620x.86b5.15058.
- Lim Y.J., Lam K.S., Lee E.H. Review of the management outcome of slipped capital femoral epiphysis and the role of prophylactic contra-lateral pinning re-examined. Ann Acad Med Singap. 2008;37(3):184-187.
- Leunig M., Beck M., Kalhor M., Kim Y.J., Werlen S., Ganz R. Fibrocystic changes at anterosuperior femoral neck: prevalence in hips with femoroacetabular impingement. Radiology. 2005;236(1):237-246. doi: 10.1148/radiol.2361040140.
Дополнительные файлы










