Surgical Treatment of Mason Type II and III Radial Head Fractures: Mid-Term Results
- 作者: Aliev A.G.1, Egorov K.S.2, Kalakaev T.Z.1, Fedyunina S.Y.1, Petlenko I.S.1, Avdeev A.I.1, Sineoky A.D.1
-
隶属关系:
- Vreden National Medical Research Center of Traumatology and Orthopedics
- St. George Municipal Hospital
- 期: 卷 31, 编号 2 (2025)
- 页面: 88-97
- 栏目: Clinical studies
- ##submission.dateSubmitted##: 25.02.2025
- ##submission.dateAccepted##: 21.03.2025
- ##submission.datePublished##: 11.06.2025
- URL: https://journal.rniito.org/jour/article/view/17685
- DOI: https://doi.org/10.17816/2311-2905-17685
- ID: 17685
如何引用文章
全文:
详细
Background. There is still no consensus in the international community on which surgical treatment method is preferable for Mason type II and III radial head fractures — osteosynthesis, resection or arthroplasty — since each of these methods is associated with a rather high complication rate, re-operations and unsatisfactory functional outcomes.
The aim of the study — to evaluate the medium-term outcomes of surgical treatment of type II and III radial head fractures according to the Mason classification, depending on the treatment modality.
Methods. The study included 110 patients who underwent surgery for displaced radial head fractures from 2008 to 2023. Upon admission, all patients had elbow X-rays in two projections and a CT scan. The patients were divided into 3 groups based on the type of surgical treatment: osteosynthesis with cannulated screws; osteosynthesis with a plate and cannulated screws; and resection. We evaluated radiological treatment outcomes, data from the Mayo Elbow Performance Score (MEPS), elbow range of motion, and medical history data, including the presence and timing of postoperative complications and any re-interventions performed due to these complications.
Results. Clinical results were observed in 99 (90%) patients: 44 (44%) men and 55 (56%) women. The results of surgical treatment in patients with Mason II radial head fractures were significantly better than in those with Mason III fractures, as evidenced by average MEPS scores (93.0±11.3 and 82.7±16.5, respectively), complication rates (4% vs 17%) and re-operation rates (4% vs 12%). Comparative assessment of the surgical treatment methods according to the MEPS showed significantly better results for osteosynthesis with cannulated screws compared to the use of a mini-plate (93.9±8.8 and 81.9±18.8, respectively, p = 0.005), as well as to radial head resection (93.9±8.8 and 86.4±13.1, respectively, p = 0.036). Fourteen complications were identified in 11 (11%) patients. Fracture nonunion after osteosynthesis was observed in 4 cases, secondary displacement of fragments — in 3 cases. Deep infection was diagnosed in 2 patients after 1 and 4 months after osteosynthesis. Heterotopic ossification of the elbow developed in 2 cases.
Conclusion. The findings of the study showed significantly better clinical outcomes and a lower complication rate in the medium term when radial head fractures were treated with osteosynthesis using compression screws compared to the use of a plate or resection.
全文:
Введение
Переломы головки лучевой кости (ГЛК) являются распространенной травмой, занимая 4% в общей структуре и треть среди переломов костей локтевого сустава (ЛС) у взрослых [1]. По различным оценкам, частота переломов ГЛК составляет 2,5–2,8 на 10 000 жителей в год [2, 3].
Данные переломы могут оказывать заметное влияние на функцию верхней конечности ввиду ключевой роли ГЛК в обеспечении вальгусной, аксиальной и заднелатеральной стабильности ЛС. Важная стабилизирующая роль ГЛК наиболее выражена в условиях связочной несостоятельности, которая часто возникает в сочетании с ее переломами [4]. Переломы ГЛК также могут быть связаны с другими повреждениями, имеющими важное клиническое значение: сопутствующие переломы венечного отростка, локтевого отростка, вывихи предплечья и др. По данным литературы, более 50% переломов II и III типов по классификации Mason сопровождаются сопутствующими повреждениями ЛС [5, 6].
Лечение переломов ГЛК охватывает весь спектр возможных методов, включая консервативное лечение, внутреннюю фиксацию, эндопротезирование, резекцию. Каждый метод имеет свои преимущества и недостатки [7]. При оскольчатых переломах ГЛК выполнение резекции в сравнении с внутренней фиксацией и эндопротезированием является технически менее сложной, менее дорогостоящей и более предсказуемой в плане функциональных результатов операцией. Однако у пациентов с высоким уровнем физической активности резекция ГЛК может существенно снизить качество жизни ввиду возможного развития нестабильности ЛС. Кроме того, при сопутствующих переломах венечного отростка, повреждении коллатеральных связок, вывихе костей предплечья критически важно восстановление вторичного стабилизатора, в связи с чем предпочтение отдается остеосинтезу или эндопротезированию [8, 9].
При выполнении остеосинтеза фиксация отломков ГЛК возможна с использованием компрессионных канюлированных винтов, пластины с угловой стабильностью и их комбинации. Некоторые авторы подвергают критике фиксацию ГЛК пластиной, поскольку ее расположение под латеральным связочным комплексом и кольцевидной связкой провоцирует формирование в послеоперационном периоде рубцов, которые впоследствии приводят к возникновению ротационной контрактуры ЛС. Как следствие, возникает необходимость выполнения повторных вмешательств в объеме артролиза, удаления металлоконструкций [10, 11]. Однако при оскольчатых переломах головки и шейки лучевой кости даже опытным хирургам, использующим канюлированные винты, далеко не всегда удается достичь анатомичной репозиции и стабильной фиксации отломков. Изучение литературы за последние 20 лет показало, что в международном сообществе до сих пор не пришли к консенсусу о том, какой метод хирургического лечения предпочтителен при переломах типа Mason III: остеосинтез, резекция или эндопротезирование, поскольку каждый из этих методов ассоциирован с немалой частотой осложнений, повторных операций и неудовлетворительных функциональных результатов [3, 12, 13].
Цель исследования — оценить среднесрочные результаты хирургического лечения переломов головки лучевой кости II и III типов по классификации Mason в зависимости от способа хирургического лечения.
Материал и методы
Дизайн исследования
Тип исследования — ретроспективное двухцентровое.
В исследование вошли 110 пациентов, прооперированных с 2008 по 2023 г. в двух медицинских учреждениях по поводу перелома ГЛК со смещением отломков. Все пациенты обращались в экстренном и плановом порядке в течение 14 сут. после травмы (в среднем на 7-е сут.)
В исследование не были включены пациенты, поступившие с переломами ГЛК типа Mason I, поскольку в большинстве случаев они лечились консервативно, а также пациенты с переломами ГЛК с сопутствующим вывихом предплечья (Mason IV), поскольку данная травма ассоциирована с заведомо худшими результатами лечения и требует индивидуального рассмотрения.
Критерии включения пациентов в исследование: типы перелома Mason II и III; повреждение коллатеральных связок ЛС; сопутствующий перелом локтевого отростка; сопутствующий перелом венечного отростка.
Критерии невключения: давность перелома более 14 сут.; возраст менее 18 лет; пациенты, лечившиеся консервативно; открытые переломы; противопоказание к операции ввиду сопутствующей патологии.
Характеристика пациентов
Из 110 пациентов было 48 мужчин (44%) и 62 женщины (56%). Средний возраст пациентов составил 45,6 лет (19–88). Всем пациентам при поступлении были выполнены рентгенограммы ЛС в двух проекциях и компьютерная томография (КТ). По данным рентгенографии и КТ у 98 пациентов (89%) диагностирован изолированный перелом ГЛК, у 11 пациентов (10%) также выявлен перелом локтевого отростка, у одного пациента (1%) перелом венечного отростка (без вывиха предплечья), сопутствующий перелом головки мыщелка плечевой кости диагностирован у 1 (1%) пациента. Все пациенты были классифицированы в зависимости от типа перелома ГЛК по классификации Mason [5].
Хирургическая техника
Выбор тактики хирургического лечения основывался на тяжести перелома, сопутствующих повреждений ЛС, а также личных предпочтениях хирурга. Все операции выполнены под проводниковой анестезией. При изолированных переломах ГЛК выполнялся латеральный доступ: разрез кожи по линии, проходящей от латерального надмыщелка до шейки лучевой кости. В большинстве случаев разрез составлял не более 5 см. Для доступа к головке и шейке лучевой кости применяли доступ Кохера в интервале между локтевой мышцей и локтевым разгибателем запястья, при этом лучевая коллатеральная связка вместе с кольцевидной связкой рассекались продольно оси шейки лучевой кости. При сопутствующем переломе локтевого отростка дополнительно выполнялся задний доступ с последующей его фиксацией по Веберу или предызогнутой пластиной с угловой стабильностью в зависимости от типа перелома. При сопутствующем переломе венечного отростка в ряде случаев выполнялся дополнительный медиальный доступ, который позволял выполнить фиксацию переднемедиального края венечного отростка мини-пластиной.
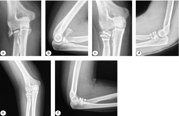
При краевых переломах типа Mason II предпочтительным вариантом остеосинтеза являлась фиксация отломков компрессионными винтами диаметром 2,0 и 2,4 мм. На рисунке 1 проиллюстрирован пример выполнения фиксации канюлированными винтами перелома ГЛК типа Mason II.
Рис. 1. Рентгенограммы локтевого сустава пациента с переломом головки лучевой кости типа Mason II после остеосинтеза компрессионными винтами : a, b — до операции; c, d — после операции; e, f — через 3 мес. после операции
Figure 1. Elbow X-rays of the patient with Mason type II radial head fracture after osteosynthesis with compression screws: a, b — before surgery; c, d — after surgery; e, f — 3 months after surgery
При переломах, затрагивающих всю ГЛК (Mason III), тактика хирургического лечения основывалась в большей степени на навыках и предпочтениях хирурга: фиксация отломков только компрессионными винтами, фиксация мини-пластиной с угловой стабильностью, комбинацией пластины и компрессионных винтов или резекцией ГЛК.
После этапа металоостеосинтеза (МОС) всем пациентам выполняли шов кольцевидной связки и лучевой коллатеральной связки. При значительном повреждении последней хирургами выполнялась ее реконструкция с использованием анкерных фиксаторов.
Оценка результатов
Оценка результатов лечения проводилась в виде телефонного опроса, рассылки сообщений в мессенджерах с просьбой перейти по ссылке и заполнить анкету, составленную в сервисе Yandex Forms, а также при непосредственном осмотре пациентов, пришедших на контрольный осмотр. Оценивались контрольные рентгенограммы локтевого сустава, данные опросника Mayo Elbow Performance Score (MEPS) [14], амплитуда движений в ЛС, анамнестические данные, включая наличие и сроки послеоперационных осложнений и повторных вмешательств, выполненных по поводу данных осложнений. Далее были выделены три группы, характеризующие методы хирургического лечения переломов ГЛК: МОС канюлированными винтами, МОС пластиной и канюлированными винтами и резекция. Сравнительная оценка в группах проводилась с учетом показателей функциональной шкалы MEPS, количества осложнений и повторных вмешательств.
Статистический анализ
Материалы исследования были подвергнуты статистической обработке с использованием методов параметрического и непараметрического анализа. Накопление, корректировка, систематизация исходной информации и визуализация полученных результатов осуществлялись в электронных таблицах Microsoft Office Excel 2019. Статистический анализ проводился с использованием программы PAST Software v. 3.26.
В случае описания количественных показателей, имеющих нормальное распределение, полученные данные объединялись в вариационные ряды, в которых проводился расчет средних арифметических величин (M) и стандартных отклонений (SD). Для сравнения независимых совокупностей в случаях отсутствия признаков нормального распределения данных использовался U-критерий Манна – Уитни. Сравнение номинальных данных проводилось при помощи критерия χ2 Пирсона, позволяющего оценить значимость различий между фактическим количеством исходов или качественных характеристик выборки, попадающих в каждую категорию, и теоретическим количеством, которое можно ожидать в изучаемых группах при справедливости нулевой гипотезы.
Результаты
Клинические результаты удалось отследить у 99 (90%) пациентов: 44 (44%) мужчин, 55 (56%) женщин. Средний срок наблюдения составил 2,4±1,6 года. Возраст пациентов на момент операции, пол, сроки наблюдения и частота сопутствующих повреждений локтевого сустава существенно не отличались в группах (табл. 1). Результаты хирургического лечения у пациентов с переломами ГЛК типа Mason II оказались значительно лучше в сравнении с переломами Mason III. Об этом свидетельствовали средние показатели опросника MEPS (93,0±11,3 и 82,7±16,5 соответственно), частота осложнений и повторных операций. Необходимо отметить, что частота сопутствующих повреждений ЛС не коррелировала с тяжестью перелома ГЛК.
Таблица 1
Результаты хирургического лечения в зависимости от типа перелома по Mason
Показатель | Mason II (n = 58) | Mason III (n = 41) | p |
Пол | |||
мужской | 24 | 20 | 0,4660 |
женский | 34 | 21 | |
Возраст, лет; M (min-max) | 52,3 (19–78) | 44,5 (24–67) | 0,7920 |
Средний срок наблюдения, лет | 2,4±1,2 | 2,3±1,1 | 0,6130 |
Сопутствующая травма ЛС | |||
перелом локтевого отростка | 5 | 4 | 0,8470 |
перелом венечного отростка | – | 1 | 0,2320 |
перелом дистального отдела плечевой кости | 1 | – | 0,3990 |
Опросник MEPS, баллы | 93,0±11,3 | 82,7±16,5 | 0,0002 |
Осложнения | 3 (5%) | 8 (20%) | 0,0260 |
Повторные операции | 3 (5%) | 6 (15%) | 0,1070 |
Сравнительная оценка способов хирургического лечения по шкале MEPS показала значительно более высокие результаты при остеосинтезе канюлированными винтами в сравнении с использованием мини-пластины — 93,9±8,8 и 81,9±18,8 соответственно (p = 0,005), а также с выполнением резекции ГЛК — 93,9±8,8 и 86,4±13,1 соответственно (p = 0,036) (табл. 2).
Таблица 2
Клинические результаты в зависимости от способа оперативного лечения
Показатель | МОС пластиной (n = 31) | МОС винтами (n = 51) | Резекция (n = 17) | p1 | p2 | p3 |
Пол | ||||||
мужской | 16 (52%) | 27 (53%) | 7 (41%) | – | – | – |
женский | 15 (48%) | 24 (47%) | 10 (59%) | – | – | – |
Возраст, лет | 42,3 (19–68) | 42,0 (21–78) | 48 (25–68) | 0,706 | 0,347 | 0,204 |
Средний срок наблюдения, лет | 2,5±1,2 | 2,3±1,2 | 2,5±1,1 | 0,562 | 0,838 | 0,388 |
Длительность операции, мин. | 129±33 | 69±19 | 94±63 | 0,0001 | 0,305 | 0,520 |
Тип перелома | ||||||
Mason II | 12 (39%) | 39 (77%) | 6 (35%) | – | – | – |
Mason III | 19 (61%) | 12 (23%) | 11 (65%) | – | – | – |
Шкала MEPS | 81,9±18,8 | 93,9±8,8 | 86,4±13,1 | 0,005 | 0,634 | 0,036 |
Результаты | ||||||
отличные | 15 (48%) | 38 (75%) | 7 (41%) | – | – | – |
хорошие | 7 (23%) | 9 (18%) | 5 (30%) | – | – | – |
удовлетворительные | 6 (19%) | 3 (6%) | 4 (24%) | – | – | – |
плохие | 3 (10%) | 1 (2%) | 1 (6%) | – | – | – |
Здесь и далее:
p1 — сравнение в группах МОС пластиной и МОС винтами.
p2 — сравнение в группах МОС пластиной и резекция.
p3 — сравнение в группах МОС винтами и резекция.
Средняя длительность операции при остеосинтезе пластиной практически в два раза превышала время остеосинтеза компрессионными винтами (69±19 против 129±33 мин., p = 0,0001). С другой стороны, в группе пациентов, прооперированных с использованием пластины, была больше доля переломов типа Mason III в сравнении с пациентами, которым выполнялся остеосинтез канюлированными винтами и сопоставимая доля данных переломов при выполнении резекции ГЛК.
Для более корректной оценки показатели по функциональной шкале MEPS в группах сравнивались отдельно при переломах типов Mason II и III (табл. 3). В группе остеосинтеза компрессионными винтами средние показатели по шкале MEPS оказались выше.
Таблица 3
Сравнительная оценка показателей по функциональной шкале MEPS в группах в зависимости от типа перелома
Тип перелома | МОС пластиной (n = 31) | МОС винтами (n = 51) | Резекция (n = 17) | p1 | p2 | p3 |
Mason II | 90,0±9,4 | 95,3±7,5 | 87,5 ± 15,0 | 0,086 | 0,874 | 0,334 |
Mason III | 77,0±21,5 | 89,6±11,3 | 84,4 ± 12,9 | 0,204 | 0,588 | 0,315 |
Осложнения
У 11 (11%) пациентов было выявлено 14 осложнений, а у 24 пациентов сохранялись значимые ограничения амплитуды движения (табл. 4). Несращение перелома после остеосинтеза наблюдалось в 4 случаях. Все пациенты прооперированы повторно: 3 пациентам выполнено эндопротезирование ГЛК, одному пациенту — резекция. Вторичное смещение отломков произошло у 3 пациентов: в 2 случаях через 6 и 8 мес. после остеосинтеза потребовалось выполнение повторной операции — удаление пластины, винтов, частичная моделирующая резекция ГЛК, один пациент отказался от повторной операции. У 2 пациентов диагностирована периимплантная инфекция по прошествии 1 и 4 мес. после остеосинтеза. В обоих случаях выполнены ревизия, санация, резекция отломков ГЛК. Инфекционный процесс был купирован у обоих пациентов. У 2 пациентов развилась гетеротопическая оссификация ЛС, в одном случае потребовавшая выполнения повторной операции через 6 мес. после первичной в объеме резекции оссификатов, удаления винтов (рис. 2).
Таблица 4
Структура осложнений в группах пациентов
Показатель | МОС пластиной (n = 31) | МОС винтами (n = 51) | Резекция (n = 17) | p1 | p2 | p3 |
Несращение | 3 (10%) | 1 (2%) | – | 0,116 | 0,186 | 0,561 |
Вторичное смещение | 2 (7%) | 1 (2%) | – | 0,294 | 0,285 | 0,561 |
Глубокая инфекция | 1 (3%) | 1 (2%) | – | 0,719 | 0,455 | 0,561 |
Гетеротопическая оссификация | 1 (3%) | – | 1 (6%) | 0,197 | 0,660 | 0,081 |
Нестабильность ЛС | – | – | 3 (18%) | 1,000 | 0,016 | 0,003 |
Всего осложнений | 7 (23%) | 3 (6%) | 4 (24%) | 0,026 | 0,941 | 0,039 |
Сгибательно-разгибательная контрактура более 30º | 4 (13%) | 4 (8%) | 4 (24%) | 0,454 | 0,345 | 0,083 |
Ротационная контрактура более 30º | 8 (26%) | 4 (8%) | – | 0,026 | 0,022 | 0,234 |
Рис. 2. Гетеротопическая оссификация локтевого сустава у пациента с оскольчатым переломом головки лучевой кости типа Mason III после остеосинтеза пластиной и компрессионными винтами:
а — рентгенограмма в прямой проекции до остеосинтеза; b — после остеосинтеза; c, d — через 6 мес. после остеосинтеза: обширная оссификация локтевого сустава; e, f — трехмерная реконструкция локтевого сустава, выполненная на основе КТ; g, h — рентгенограммы после резекции оссификатов. В ходе выполнения повторной операции были резецированы оссификаты, являющиеся причиной ограничения движений в локтевом суставе. Оссификаты, располагающиеся под коллатеральными связками, не резецировались по причине высокого риска их повреждения
Figure 2. Elbow heterotopic ossification in a patient with Mason type III comminuted radial head fracture after osteosynthesis with a plate and compression screws:
a — X-ray in a direct projection before osteosynthesis; b — after osteosynthesis; c, d — 6 months after osteosynthesis, extensive elbow ossification is observed; e, f — three-dimensional reconstruction of the elbow joint performed on the basis of CT; g, h — X-rays after resection of ossifications. During the re-operation, the ossifications responsible for the limited range of motion in the elbow were resected. Ossifications under the collateral ligaments were not resected due to the high risk of their damage
Cгибательно-разгибательная контрактура более 30º выявлена у 12 пациентов, ротационная контрактура более 30º — также у 12 пациентов. Среди пациентов, перенесших резекцию ГЛК, нестабильность ЛС отмечали 3 пациента. Хронические боли в лучезапястном суставе наблюдались у 2 пациентов. Появление вальгусной деформации ЛС отмечали 2 пациента.
Обсуждение
Переломы ГЛК являются одними из наиболее частых в структуре травм локтевого сустава. Предыдущие исследования подтвердили, что резекция ГЛК, протезирование и остеосинтез являются методами выбора, позволяющими восстановить функцию ЛС [3, 4, 15]. Клиническая эффективность и частота послеоперационных осложнений этих трех методов сопоставимы, что затрудняет выбор наиболее подходящего метода лечения для врача и пациента. Поэтому в представленном исследовании изучалась эффективность различных хирургических методик лечения переломов ГЛК типов Mason II и III.
Результаты нашего исследования показали, что выполнение остеосинтеза ГЛК с использованием компрессионных винтов приводит к лучшим клиническим результатам в среднесрочной перспективе в сравнении с применением пластины и резекцией. Частота осложнений, требующих выполнения повторных вмешательств, в группах значимо не отличалась, однако при остеосинтезе пластиной наблюдалось значительно большее число пациентов с ротационной контрактурой ЛС, что подтверждают результаты других сравнительных исследований. В недавно опубликованной работе K. Yano с соавторами оценивали результаты остеосинтеза пластиной (11 пациентов) и компрессионными винтами (12 пациентов) при переломах типа Mason III на среднем сроке наблюдения 18 мес. после операции. У всех пациентов, по данным исследования, отмечалась консолидация отломков. Однако в группе остеосинтеза пластиной средняя амплитуда супинации ЛС была значительно меньше в сравнении с остеосинтезом компрессионными винтами. Повторные вмешательства потребовались 5 (46%) пациентам, после остеосинтеза винтами — только одному (8%) [16].
В нашей работе не анализировались результаты эндопротезирования ГЛК, поскольку в экстренном порядке данная операция выполнялась в единичных случаях ввиду ее высокой стоимости и невозможности выполнения в рамках системы ОМС. Таким образом, при многооскольчатых переломах ГЛК, при которых перспектива выполнения адекватной репозиции и стабильной фиксации отломков была сомнительной, методом выбора являлась резекция. При этом пациенты, перенесшие резекцию ГЛК, информировались о возможности выполнения эндопротезирования в плановом порядке за счет средств федеральных квот Минздрава России. Однако результаты анкетирования в нашем исследовании показывают приемлемые функциональные показатели в данной группе пациентов, что может объяснить нежелание переносить повторную операцию в отсроченном порядке. И в этом отношении наши данные сопоставимы с рядом других исследований. F.N. Mebouinz с соавторами оценивали функциональные результаты резекции ГЛК у 11 пациентов при переломах типов Mason III–IV на среднем сроке наблюдения 47,6 мес. Средний балл по шкале MEPS составил 83,2. Восстановление полной функции отмечали большинство пациентов (81%). Плохой результат был только у одного пациента, перенесшего резекцию ГЛК по поводу злосчастной триады [17]. C. Faldini с соавторами представили отдаленные результаты (средний срок наблюдения составил 18 лет) резекции ГЛК, выполненной в экстренном порядке у 36 пациентов. Средний показатель по шкале Broberg and Morrey составил 91,2±6,3 баллов [18].
Исследования, авторы которых сравнивают эффективность остеосинтеза, резекции и эндопротезирования ГЛК, показывают довольно противоречивые результаты. Проспективное исследование H. Chen с соавторами посвящено сравнительному анализу результатов остеосинтеза, эндопротезирования и резекции ГЛК у 102 пациентов с переломами ГЛК типа Mason III в течение года после операции. Осложнения после эндопротезирования возникали в 6% случаев, в то время как после остеосинтеза — в 24%, а в группе резекции частота осложнений составила 47%. Оценка по функциональным шкалам также показала лучшие результаты при выполнении эндопротезирования [19].
В исследовании C.E. Burke с соавторами сравнивались отдаленные результаты (средний срок наблюдения составил 7,5 лет) остеосинтеза и эндопротезирования ГЛК. Показатели анкетирования по опроснику QuickDASH были сопоставимы в обеих группах. В группе остеосинтеза 19 (37%) пациентов принимали медикаменты для купирования болевого синдрома, в группе эндопротезирования периодически принимали обезболивающие 12 (48%) пациентов. Повторные вмешательства после остеосинтеза потребовались 13 (25%) пациентам, после эндопротезирования — 6 (24%) [20].
Возможно, противоречивые результаты, представленные в отечественных и зарубежных статьях и, как следствие, отсутствие консенсуса относительно тактики лечения оскольчатых переломов ГЛК можно объяснить несовершенством повсеместно применяемой классификации Mason, которая не предлагает алгоритма лечения.
К.С. Егоров с соавторами предложили рабочую классификацию переломов ГЛК, состоящую из 7 типов, при этом каждому типу соответствует предпочтительный вариант консервативного или хирургического лечения. В исследовании авторы проанализировали результаты лечения переломов ГЛК у 104 пациентов. В первой группе авторы выбирали вариант лечения согласно предложенной рабочей классификации, во второй группе — исходя из личных предпочтений. Сравнение оценки по функциональным шкалам и частоты осложнений в группах показало значительно лучшие результаты в первой группе в среднесрочном и отдаленном периодах [21].
Заключение
Результаты нашего исследования продемонстрировали значительно лучшие клинические результаты и меньшую частоту осложнений в среднесрочном периоде при остеосинтезе переломов ГЛК компрессионными винтами в сравнении с использованием пластин и резекцией.
Дополнительная информация
Все авторы сделали эквивалентный вклад в подготовку публикации.
Все авторы прочли и одобрили финальную версию рукописи статьи. Все авторы согласны нести ответственность за все аспекты работы, чтобы обеспечить надлежащее рассмотрение и решение всех возможных вопросов, связанных с корректностью и надежностью любой части работы.
Источник финансирования. Авторы заявляют об отсутствии внешнего финансирования при проведении исследования.
Возможный конфликт интересов. Авторы декларируют отсутствие явных и потенциальных конфликтов интересов, связанных с публикацией настоящей статьи.
Этическая экспертиза. Не применима.
Информированное согласие на публикацию. Авторы получили письменное согласие пациентов на участие в исследовании и публикацию результатов.
Disclaimers
Author contribution
All authors made equal contributions to the study and the publication.
All authors have read and approved the final version of the manuscript of the article. All authors agree to bear responsibility for all aspects of the study to ensure proper consideration and resolution of all possible issues related to the correctness and reliability of any part of the work.
Funding source. This study was not supported by any external sources of funding.
Disclosure competing interests. The authors declare that they have no competing interests.
Ethics approval. Not applicable.
Consent for publication. The authors obtained written consent from patients to participate in the study and publish the results.
作者简介
Alimurad Aliev
Vreden National Medical Research Center of Traumatology and Orthopedics
编辑信件的主要联系方式.
Email: mur23mur@yandex.ru
ORCID iD: 0000-0002-6885-5473
Cand. Sci. (Med.)
俄罗斯联邦, St. PetersburgKonstantin Egorov
St. George Municipal Hospital
Email: ks.egorov@mail.ru
ORCID iD: 0000-0001-8835-4804
Cand. Sci. (Med.)
俄罗斯联邦, St. PetersburgTimur Kalakaev
Vreden National Medical Research Center of Traumatology and Orthopedics
Email: timurkalakaev@mail.ru
ORCID iD: 0009-0008-8743-3621
俄罗斯联邦, St. Petersburg
Svetlana Fedyunina
Vreden National Medical Research Center of Traumatology and Orthopedics
Email: feduninasvetlana@mail.ru
ORCID iD: 0009-0003-8718-493X
Cand. Sci. (Med.)
俄罗斯联邦, St. PetersburgIrina Petlenko
Vreden National Medical Research Center of Traumatology and Orthopedics
Email: Petlenko1995@yandex.ru
ORCID iD: 0000-0002-3600-3583
Cand. Sci. (Med.)
俄罗斯联邦, St. PetersburgAleksandr Avdeev
Vreden National Medical Research Center of Traumatology and Orthopedics
Email: spaceship1961@gmail.com
ORCID iD: 0000-0002-1557-1899
Cand. Sci. (Med.)
俄罗斯联邦, St. PetersburgAndrey Sineoky
Vreden National Medical Research Center of Traumatology and Orthopedics
Email: sineoky_91@mail.ru
ORCID iD: 0000-0002-1819-8890
Cand. Sci. (Med.)
俄罗斯联邦, St. Petersburg参考
- Burkhart K.J., Wegmann K., Müller L.P., Gohlke F.E. Fractures of the Radial Head. Hand Clin. 2015;31(4): 533-546. doi: 10.1016/j.hcl.2015.06.003.
- Kaas L., van Riet R.P., Vroemen J.P., Eygendaal D. The incidence of associated fractures of the upper limb in fractures of the radial head. Strategies Trauma Limb Reconstr. 2008;3(2):71-74. doi: 10.1007/s11751-008-0038-8.
- Kaas L., van Riet R.P., Vroemen J.P., Eygendaal D. The epidemiology of radial head fractures. J Shoulder Elbow Surg. 2010;19(4):520-523. doi: 10.1016/j.jse.2009.10.015.
- Morrey B.F., Tanaka S., An K.N. Valgus stability of the elbow. A definition of primary and secondary constraints. Clin Orthop Relat Res. 1991;(265):187-195.
- Mason M.L. Some observations on fractures of the head of the radius with a review of one hundred cases. Br J Surg. 1954;(42):123-132. doi: 10.1002/bjs.18004217203.
- Van Riet R.P., Morrey B.F. Documentation of associated injuries occurring with radial head fracture. Clin Orthop Relat Res. 2008;466(1):130-134. doi: 10.1007/s11999-007-0064-8.
- Van Riet R.P., van den Bekerom M., Van Tongel A., Spross C., Barco R., Watts A.C. Radial head fractures. Shoulder Elbow. 2020;12(3):212-223. doi: 10.1177/1758573219876921.
- Lorenz C.J., Carbon C., Meffert R., Eden L. Plate or Arthroplasty for complex Mason Type-III Radial Head Fractures? Mid-to-long term results from a blinded outcome assessor study. Injury. 2025;56(2):111981. doi: 10.1016/j.injury.2024.111981.
- Kaeppler K., Geissbuhler A.R., Rutledge J.C., Dornan G.J., Wallace C.A., Viola R.W. Minimum 10-year follow-up after open reduction and internal fixation of radial head fractures Mason type II and III. Shoulder Elbow. 2025;34(2):531-542. doi: 10.1016/j.jse.2024.07.022.
- Smith A.M., Morrey B.F., Steinmann S.P. Low profile fixation of radial head and neck fractures: surgical technique and clinical experience. J Orthop Trauma. 2007;21(10):718-724. doi: 10.1097/BOT.0b013e31812e5168.
- Ikeda M., Yamashina Y., Kamimoto M., Oka Y. Open reduction and internal fixation of comminuted fractures of the radial head using low-profile mini-plates. J Bone Joint Surg Br. 2003;85(7):1040-1044. doi: 10.1302/0301-620x.85b7.13823.
- Al-Tawil K., Arya A. Radial head fractures. J Clin Orthop Trauma. 2021;20:101497. doi: 10.1016/j.jcot.2021.101497.
- Campbell B.R., Rengifo S., Wickes C.B., Amer K.M., Ilyas A.M. Radial Head Arthroplasty for Fracture: Implant Survivorship and Outcomes at Mean Follow-Up of 8 Years. J Hand Surg Am. 2025;50(1):97.e1-97.e6. doi: 10.1016/j.jhsa.2023.04.020.
- Baessler A., Eason R.R., Joyce M.R., Dibaba D.T., Wan J.Y., Azar F.M. et al. Reliability Testing of the Mayo Elbow Performance Score in Post-operative Patients. J Surg Orthop Adv. 2022;31(4):229-232.
- Калантырская В.А., Ключевский В.В. Оперативное лечение переломов головки лучевой кости. Мир науки, культуры, образования. 2014;49(6):585-589. Kalantyrskaya V.A., Kluchevsky V.V. Surgical treatment of radius head fractures. The World of Science, Culture and Education. 2014;49(6):585-589. (In Russian).
- Yano K., Fukuda M., Uemura T., Kaneshiro Y., Yamanaka K., Teraura H. et al. Clinical Results of Surgical Treatment for Comminuted Radial Head and Neck Fracture: Headless Compression Screws Versus Plate Fixation. Indian J Orthop. 2022;57(2):253-261. doi: 10.1007/s43465-022-00792-4.
- Mebouinz F.N., Kasse A., Habib Sy M. Results of radial head resection after Mason type 3 or 4 fracture of the elbow. Clin Shoulder Elb. 2020;23(3):131-135. doi: 10.5397/cise.2020.00185.
- Faldini C., Nanni M., Leonetti D., Capra P., Bonomo M., Persiani V. et al. Early radial head excision for displaced and comminuted radial head fractures: considerations and concerns at long-term follow-up. J Orthop Trauma. 2012;26(4):236-240. doi: 10.1097/BOT.0b013e318220af4f.
- Chen H.W., Tian J.L., Zhang Y.Z. Therapeutic Effect of Resection, Prosthetic Replacement and Open Reduction and Internal Fixation for the Treatment of Mason Type III Radial Head Fracture. J Invest Surg. 2021;34(1):30-38. doi: 10.1080/08941939.2019.1602689.
- Burke C.E., McKegg P.C., Wong A.L., DeLeon G.A., Gupta J., Healey K. et al. Association of Radial Head Fracture Treatment With Long-Term Function. Hand (N Y). 2024;19(1):30-37. doi: 10.1177/15589447221109631.
- Егоров К.С., Неверов В.А., Зуев В.Ю., Земскова М.А., Черняев С.Н. Выбор тактики хирургического лечения больных с переломами головки лучевой кости. Вестник хирургии имени И.И. Грекова. 2023;182(3): 24-32. doi: 10.24884/0042-4625-2023-182-3-24-32. Egorov K.S., Neverov V.A., Zuev V.Yu., Zemskova M.A., Chernyaev S.N. The choice of tactics of surgical treatment of patients with fractures of the head of the radius. Grekov’s Bulletin of Surgery. 2023;182(3):24-32. (In Russian). doi: 10.24884/0042-4625-2023-182-3-24-32.
补充文件






