Сегментарная резекция головки бедренной кости при грубой деформации эпифиза и дисконгруэнтности суставных поверхностей у детей с болезнью Пертеса
- Авторы: Бортулёв П.И.1, Баскаева Т.В.1, Познович М.С.1, Барсуков Д.Б.1, Поздникин И.Ю.1, Рустамов А.Н.1
-
Учреждения:
- ФГБУ «Национальный медицинский исследовательский центр детской травматологии и ортопедии им. Г.И. Турнера» Минздрава России
- Выпуск: Том 31, № 1 (2025)
- Страницы: 20-33
- Раздел: КЛИНИЧЕСКИЕ ИССЛЕДОВАНИЯ
- Дата подачи: 02.12.2024
- Дата принятия к публикации: 06.02.2025
- Дата публикации: 12.03.2025
- URL: https://journal.rniito.org/jour/article/view/17645
- DOI: https://doi.org/10.17816/2311-2905-17645
- ID: 17645
Цитировать
Аннотация
Актуальность. Отсутствие адекватного лечения детей с болезнью Пертеса приводит к формированию грубой деформации головки с дисконгруэнтностью суставных поверхностей с последующим развитием феморо-ацетабулярного импинджмента и раннего коксартроза. В настоящее время у данной категории пациентов наибольшей эффективностью обладает сегментарная резекция головки бедренной кости. Однако результаты ее выполнения в мировой и отечественной литературе освещены в единичных публикациях с дизайном «случай — контроль» и небольшим количеством пациентов.
Цель исследования — оценить эффективность и безопасность выполнения сегментарной резекции головки бедренной кости, а также динамику дальнейшего развития тазобедренного сустава на основании анализа результатов хирургического лечения детей с грубой деформацией головки бедренной кости при болезни Пертеса.
Материал и методы. Проведен анализ результатов клинического и лучевого методов исследования 20 пациентов (20 тазобедренных суставов) в возрасте от 8 до 12 лет с грубой деформацией головки бедренной кости и дисконгруэнтностью суставных поверхностей при болезни Пертеса до и после оперативного лечения. Всем пациентам выполнялась сегментарная резекция головки бедренной кости.
Результаты. Радикальная реконструкция проксимального отдела бедренной кости привела к значительному улучшению его формы, улучшению сферичности головки и восстановлению конгруэнтности. Вместе с тем на сроке наблюдения от 6 до 12 мес. у пациентов с имеющейся исходно хоть и не выраженной, но прогрессирующей деформацией латерального края вертлужной впадины, отмечалось уменьшение достигнутых интраоперационно значений угла Wiberg, увеличение процента экструзии головки бедренной кости из вертлужной впадины, а также нарушение непрерывности линии Shenton различной выраженности.
Заключение. Выполнение сегментарной резекции головки бедренной кости с соблюдением корректной хирургической техники является безопасной и эффективной реконструктивной методикой лечения детей с грубой седловидной деформацией головки бедра и дисконгруэнтностью суставных поверхностей. У пациентов со значениями углов Tönnis и Sharp, превышающими верхнюю границу среднефизиологической нормы, ввиду формирования вторичного подвывиха целесообразно симультанно выполнять сегментарную резекцию головки бедренной кости и тройную/периацетабулярную остеотомию таза после проведения критического анализа возможных рисков.
Полный текст
ВВЕДЕНИЕ
Болезнь Пертеса, исторически считавшаяся остеохондропатией, в настоящее время трактуется как идиопатический асептический некроз головки бедренной кости у детей [1]. Несмотря на то, что этиология болезни Пертеса достаточно подробно изучена, до сих пор она не полностью понята. Хотя основная гипотеза возникновения основана на многофакторном генезе, было предложено несколько теорий, включающих механические, генетические и системные факторы риска [2, 3, 4, 5]. Заболеваемость, по данным разных авторов, варьирует от 0,4 до 29,0 на 100 000 детей в год [6, 7, 8]. Болезнь Пертеса обычно проявляется в возрасте от 3 до 12 лет, наиболее часто — в возрасте 5–7 лет. Мальчики страдают до пяти раз чаще, чем девочки, в 76–90% случаев поражение носит односторонний характер [9, 10]. Нарушение кровоснабжения эпифиза бедренной кости является причиной развития заболевания, а генетические и другие факторы могут быть предраспологающими к нему [11]. В настоящее время золотым стандартом лечения детей с болезнью Пертеса является принцип сдерживания развития деформации головки бедренной кости (containment therapy), который может быть осуществлен либо консервативно (с помощью гипсовых повязок или ортопедических ортезов в зависимости от возраста ребенка), либо путем выполнения реконструктивно-пластических операций [12, 13, 14, 15, 16].
При отсутствии адекватного лечения у детей с большим очагом некроза естественное течение заболевания неизбежно приводит к формированию грубой деформации головки с дисконгруэнтностью суставных поверхностей, что, в свою очередь, проявляется формированием приводящей контрактуры, нарушением походки, болевым синдромом и ведет к развитию феморо-ацетабулярного импинджмента и раннего коксартроза [17, 18, 19, 20, 21].
Хирургическое лечение пациентов данной категории является сложной задачей, а выбор оптимальной методики коррекции на сегодняшний день вызывает затруднения и в подавляющем большинстве случаев зависит от выраженности деформации головки бедренной кости. Главными целями реконструктивной операции на тазобедренном суставе являются устранение патомеханического конфликта между головкой бедренной кости и суставной губой вертлужной впадины, улучшение формы проксимального эпифиза бедренной кости с воссозданием конгруэнтных соотношений в тазобедренном суставе.
Наиболее адекватной методикой хирургического лечения детей с грубым нарушением сферичности головки бедренной кости (седловидная деформация) и дисконгруэнтностью суставных поверхностей, при которых выполнение околосуставных остеотомий, способных обеспечить «primary surgical containment» противопоказано, является сегментарная резекция головки бедренной кости (femoral head reduction osteotomy), впервые описанная M. Leunig и R. Ganz [22]. В последующем максимально подробное описание хирургической техники данного сложного реконструктивного вмешательства было дано в работе K.А. Seibenrock с соавторами [23]. Несмотря на высокую эффективность данного вида реконструктивного вмешательства, результаты его выполнения в мировой и отечественной литературе освещены в единичных публикациях с дизайном «случай — контроль» и небольшим количеством пациентов. Кроме того, по данным ряда авторов, подавляющему количеству пациентов после выполнения сегментарной резекции головки бедренной кости в последующем требуется выполнение тройной остеотомии таза в связи с формированием вторичного подвывиха бедра [23, 24].
Цель исследования — оценить эффективность и безопасность выполнения сегментарной резекции головки бедренной кости, а также динамику дальнейшего развития тазобедренного сустава на основании анализа результатов хирургического лечения детей с грубой деформацией головки бедренной кости при болезни Пертеса.
МАТЕРИАЛ И МЕТОДЫ
Дизайн исследования — моноцентровое открытое когортное проспективное.
Критерии включения: возраст от 8 до 12 лет, грубая седловидная деформация головки бедренной кости с дисконгруэнтностью суставных поверхностей, отсутствие операций на тазобедренном суставе, отсутствие неврологических и наследственных заболеваний, добровольное информированное согласие законных представителей пациентов на участие в научном исследовании.
Критерии исключения: возраст менее 8 и более 12 лет, сохранение сферичности головки бедренной кости, возможность достижения «primary surgical containment» путем выполнения внесуставных операций, наличие подтвержденных неврологических и наследственных заболеваний.
В исследование вошли 20 пациентов (20 тазобедренных суставов) в возрасте от 8 до 12 лет (10,2±1,1) с грубой деформацией головки бедренной кости и дисконгруэнтностью суставных поверхностей при болезни Пертеса.
Клиническое исследование проводилось по общеизвестным принципам осмотра пациентов с ортопедической патологией тазобедренных суставов. Комплексное обследование на предоперационном этапе включало выполнение рентгенографии тазобедренных суставов в переднезадней и аксиальной проекциях, а также в положении отведения нижних конечностей (с целью верификации отсутствия центрации головки бедренной кости в вертлужной впадине, т.е. наличия дисконгруэнтности суставных поверхностей), компьютерную томографию (КТ) и магнитно-резонансную томографию (МРТ) тазобедренных суставов, по данным которых проводилась оценка истинной величины деформации головки бедренной кости, а также состояния гиалинового хряща и положения labrum acetabuli.
Проводилась оценка следующих рентгенологических показателей состояния компонентов тазобедренного сустава: угол Sharp, угол Tönnis, шеечно-диафизарный угол (ШДУ), расстояние от верхушки большого вертела до верхнего полюса головки бедра (articulo-trochanteric distance — ATD), индекс сферичности вертлужной впадины (ISA), индекс сферичности головки бедренной кости (ISH), индекс конгруэнтности суставных поверхностей (ICAS), индекс экструзии головки бедренной кости (femoral head exrtrusion index — FHEI), угол Wiberg, состояние линии Shenton.
По данным КТ проводилось уточнение характера деформации проксимального эпифиза бедренной кости, а также наличия признаков послеоперационного асептического некроза.
Техника операции
Реконструктивное вмешательство выполнялось в условиях комбинированной анестезии с последующей мультимодальной аналгезией в течение 48 ч. При выполнении операции мы педантично соблюдали методологию безопасного хирургического вывиха бедра и сегментарной резекции головки бедренной кости [22, 23]. В положении пациента лежа на здоровом боку выполнялся разрез кожи и подкожно-жировой клетчатки, широкой фасции бедра. После визуализации наружных ротаторов бедра выполняли слайд-остеотомию большого вертела и его мобилизацию в пределах необходимой визуализации капсулы тазобедренного сустава с ее последующим Z-образным рассечением. После пересечения собственной связки головки бедренной кости выполнялся вывих с последующим отделением надкостнично-капсульно-мышечного лоскута, содержащего основной источник кровоснабжения головки бедренной кости — ветви a. circumflexa femoris medialis. Следующим этапом проводилась сегментарная резекция головки бедренной кости (рис. 1).
Рис. 1. Этапы выполнения сегментарной резекции головки бедренной кости: a — разметка и остеотомия запланированного при предоперационных расчетах центрального отдела головки и шейки; b — адаптация фрагментов и остеосинтез двумя 3,5 мм винтами после удаления центрального отдела головки и шейки
Figure 1. The stages of performing femoral head reduction osteotomy: a — marking and osteotomy of the preoperatively planned central part of the head and neck; b — fragment adaptation and osteosynthesis with two 3.5 mm screws after removal of the central part of the head and neck
После вправления головки бедренной кости в вертлужную впадину с помощью электронного оптического преобразователя выполняли рентгенографию тазобедренного сустава в переднезадней и аксиальной проекциях, визуальный контроль амплитуды движений и оценку положения суставной губы вертлужной впадины. Следующим этапом выполняли плотное ушивание капсулы сустава, низведение большого вертела с целью относительного удлинения шейки бедренной кости и достижения удовлетворительного натяжения средней ягодичной мышцы, остеосинтез двумя 4,5 мм винтами с шайбами для адекватной компрессии. Рана послойно зашивалась с оставлением дренажа к передней поверхности капсулы тазобедренного сустава.
Статистический анализ
Статистический анализ проводили при помощи программ Excel 2010 и SPSS Statistic v. 26. С помощью описательной статистики рассчитывали средние арифметические величины (M), стандартные отклонения (SD), медиану (Ме) с 25 и 75 процентилями [Q1-Q3]. Анализ проводился с использованием критериев U Манна – Уитни и Вилкоксона. Вычислялся коэффициент ранговой корреляции Спирмена (Rs), при этом силу связи расценивали по следующим показателям: 0,01≤ñ≤0,29 — слабая связь; 0,30≤ñ≤0,69 — умеренная связь; 0,70≤ñ≤1,00 — сильная связь. Значение коэффициента описывало наличие положительной или отрицательной связи. Для оценки степени и варианта влияния одного признака на другой выполняли регрессионный анализ в виде парной линейной и квадратичной регрессионной модели. Оценка доли выборки проводилась с помощью коэффициента множественной детерминации (R2).
РЕЗУЛЬТАТЫ
При поступлении на стационарное лечение основной жалобой пациентов было ограничение движений в тазобедренном суставе, которое характеризовалось наружно-ротационным положением пораженной нижней конечности с выраженным ограничением отведения и внутренней ротации в тазобедренном суставе. Результаты проведенной гониометрии представлены в таблице 1.
Таблица 1. Результаты гониометрии тазобедренных суставов у пациентов до проведения хирургической реконструкции, град.
Движение | Амплитуда на стороне поражения, М±SD, Ме [Q1-Q3] | Амплитуда на здоровой стороне, М±SD, Ме [Q1-Q3] |
Сгибание | 104,3±5,3 105 [100–105] | 117±4,6 120 [115–120] |
Отведение | 5±3,1 5 [5–5] | 38±3,4 40 [35–40] |
Внутренняя ротация | 0,9±2,0 0 [0–0] | 22,6±4,0 25 [20–25] |
Наружная ротация | 48,0±6,4 50 [45–50] | 33,0±4,8 35 [30–35] |
Проведенный статистический анализ данных, представленных в таблице 1, показал наличие значимых отличий (p<0,05) в амплитуде движений здорового и пораженного суставов.
Результаты проведенной рентгенометрии тазобедренного сустава отражены в таблице 2.
Таблица 2. Значения индексов, характеризующих рентгеноанатомическое строение тазового и бедренного компонентов тазобедренного сустава, а также его стабильность у детей с грубой деформацией головки бедренной кости при болезни Пертеса в сравнении с нормативными показателями по данным литературы
Показатель | Пораженная сторона, M±SD, Ме [Q1-Q3] | Здоровая сторона, M±SD, Ме [Q1-Q3] | Нормативные показатели у детей без патологии тазобедренного сустава [25, 26, 27] |
Угол Sharp, град. | 50,8±3,2 | 43,6±2,1 | 35–50 |
Угол Tönnis, град. | 11,9±2,7 | 7,5±1,0 7 [7–8] | 0–10 |
ШДУ, град. | 128±3 | 135,5±5,3 | 125–145 |
ATD, мм | 14±0,9 | 9,4±9 | – |
ISA | 1,0±0,1 | 0,9±0,1 | 0,8–1,2 |
ISH | 1,3±0,1 | 0,8±0,1 | 0,6–1,0 |
ICAS | 0,8±0,1 | 1,3±0,1 | 1,1–1,4 |
Угол Wiberg, град. | 13,4±2 13 [12–15] | 28,2±2,1 | 25–40 |
FHEI, % | 39,9±7,8 | 14,6±2,7 | Не более 25% |
Линия Shenton | Разрыв не более 5 мм — 13 пациентов (65%) Не нарушена — 7 пациентов (35%) | Не нарушена | Не нарушена |
У ряда пациентов отмечалось умеренно выраженное превышение нормативных значений углов Sharp и Tönnis, что, на наш взгляд, обусловлено длительным локальным патологическим давлением головки бедренной кости на верхнелатеральный отдел вертлужной впадины (рис. 2).
Рис. 2. Распределение значений углов Sharp и Tönnis у пациентов до операции. Здесь и далее: отмечены медианы (горизонтальная черта внутри закрашенной области), средние значения (символ «х» внутри закрашенной области), интерквартильный размах (закрашенная область), максимальные и минимальные значения (горизонтальные черточки на конце «усов»)
Figure 2. Distribution of Sharp and Tönnis angles values in patients before surgery. Hereinafter — the medians (a horizontal line inside the shaded area), average values (the“x” symbol inside the shaded area), interquartile range (the shaded area), maximum and minimum values (horizontal lines at the end of the whiskers) are marked
Показатели ШДУ на стороне поражения, хоть и имели меньшие значения по сравнению со здоровой стороной, не продемонстрировали статистически значимых различий (p>0,05), в то время как значения ATD на пораженной стороне были значительно (p<0,05) меньше показателей контралатерального проксимального отдела бедренной кости. Это подтверждает тяжелое течение болезни у данной категории пациентов, при котором происходит укорочение и утолщение шейки бедренной кости с формированием высокого положения большого вертела. На наш взгляд, эти процессы связаны с угнетением функционирования эпифизарной зоны роста и нормальной функции зоны роста большого вертела. Значения индекса сферичности головки бедренной кости на стороне поражения значительно превышали аналогичные показатели на интактной (p<0,05), в то время как значения индекса сферичности вертлужной впадины не имели значимых отличий (p>0,05). Вместе с тем формирование грубой деформации головки бедренной кости приводит к нарушению конгруэнтности суставных поверхностей, о чем свидетельствуют значения ICAS, значительно отличающиеся (p<0,05) от показателей на здоровом суставе. Выраженное уменьшение значений угла Wiberg в совокупности с увеличением экструзии головки бедренной кости из вертлужной впадины, выраженное в процентном эквиваленте, по сравнению со значениями аналогичных показателей в здоровом суставе (p<0,05) можно расценивать как сформированный подвывих бедра.
Более чем у половины пациентов на стороне поражения было диагностировано нарушение целостности линии Shenton, которое большинство авторов трактует как наличие нарушения соотношений в тазобедренном суставе в виде подвывиха или вывиха, что особенно наглядно при дисплазии тазобедренных суставов II–IV степеней [28, 29, 30]. Одновременно с этим необходимо отметить, что рентгенография тазобедренных суставов в переднезадней проекции всем пациентам была выполнена в положении наружной ротации пораженной конечности в связи с отсутствием, по сути, амплитуды внутренней ротации. В данной клинической ситуации нарушение линии Shenton неизбежно и, по нашему мнению, у данной категории пациентов не может являться надежным диагностическим критерием, свидетельствующим о наличии нарушения соотношений в пораженном тазобедренном суставе.
Проведенный корреляционный анализ показал наличие прямых сильных связей между значениями углов Tönnis и Sharp с показателем индекса экструзии головки бедренной кости, которые составили ñ = 0,87 и ñ = 0,82 соответственно.
Проведенный регрессионный анализ показал, что коэффициент детерминации (R2) по взаимосвязи показателей, характеризующих анатомическое строение вертлужной впадины, и индекса экструзии головки бедренной кости превышал значение 0,7 и не имел значимых отличий между линейной и квадратичной моделями, что приближало изучаемые признаки к линейной регрессии, а аппроксимация считается хорошей, поскольку более 70% выборки может иметь обоснование формулой регрессии (рис. 3).
Рис. 3. Результаты регрессионного анализа, отражающие взаимоотношения между показателями, характеризующими анатомическое строение вертлужной впадины, и индекса экструзии головки бедренной кости: а — между углом Tönnis и FHEI; b — между углом Sharp и FHEI
Figure 3. Regression analysis results reflecting the relationship between the indicators that characterize the anatomical structure of the acetabulum and the femoral head extrusion index: a — between Tönnis angle and FHEI; b — between Sharp angle and FHEI
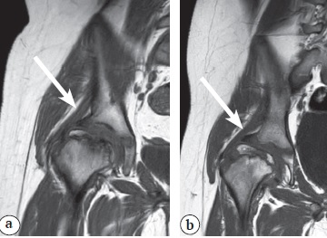
По результатам проведенного МРТ-исследования, помимо подтверждения деформации хрящевой модели головки бедренной кости, нами было обнаружено, что у пациентов со значениями углов Sharp и Tönnis, находящихся в пределах среднефизиологической вариации, отмечалось горизонтальное положение labrum acetabuli, а у пациентов со значениями углов Sharp и Tönnis, превышающими верхнюю границу среднефизиологической вариации, отмечалось обратное вертикальное положение labrum acetabuli (рис. 4).
Рис. 4. МР-картина положения labrum acetabuli (отмечена стрелкой) у пациентов: a — значения углов Sharp и Tönnis находятся в пределах среднефизиологической вариации (горизонтальное положение); b — значения углов Sharp и Tönnis превышают верхнюю границу среднефизиологической вариации (обратное вертикальное положение)
Figure 4. MR image of the acetabular rim position (marked with an arrow) in patients: a — values of Sharp and Tönnis angles are within the average physiological variation (a horizontal position); b — values of Sharp and Tönnis angles exceed the upper limit of the average physiological variation (a reverse vertical position)
После проведенной хирургической реконструкции тазобедренного сустава все пациенты получали комплексное восстановительное лечение по разработанному в клинике алгоритму [31].
Оценку результатов проведенной хирургической реконструкции тазобедренного сустава проводили в срок от 6 до 12 мес.
При клиническом исследовании у всех пациентов отмечалось укорочение нижней конечности на оперированной стороне, средняя величина которого составила 1,5±0,3 см. Данные проведенной гониометрии, представленные в таблице 3, свидетельствуют об улучшении функции пораженного тазобедренного сустава: значительно увеличилась амплитуда отведения и внутренней ротации по сравнению с дооперационными показателями (p<0,05).
Таблица 3. Результаты гониометрии тазобедренных суставов у пациентов после проведенного реконструктивного вмешательства, град.
Движение | Амплитуда на стороне поражения, М±SD, Ме [Q1-Q3] | Амплитуда на здоровой стороне, М±SD, Ме [Q1-Q3] |
Сгибание | 109,0±4,0 110 [105–115] | 117,0±4,6 120 [115–120] |
Отведение | 26,0±4,4 | 38,0±3,4 40 [35–40] |
Внутренняя ротация | 14,8±4,0 15 [10–15] | 22,6±4,0 25 [20–25] |
Наружная ротация | 38,0±4,0 40 [35–40] | 33,0±4,8 35 [30–35] |
Сравнительный анализ результатов проведенного лучевого исследования представлен в таблице 4. У ряда пациентов значения показателей углов Sharp и Tönnis имели отрицательную динамику, выражающуюся в более сильном превышении верхней границы нормативных значений, чем до операции (рис. 5).
Таблица 4. Динамика изменения индексов, характеризующих рентгеноанатомическое строение тазового и бедренного компонентов тазобедренного сустава, а также его стабильности у детей после проведенной хирургической реконструкции тазобедренного сустава
Показатель | Срок | |
Непосредственно после операции, M±SD, Ме [Q1-Q3] | 6–12 мес. после операции, M±SD, Ме [Q1-Q3] | |
Угол Sharp, град. | 50,8±3,2 | 52,0±5,2 |
Угол Tönnis, град. | 11,9±2,7 | 14,1±5 |
ШДУ, град. | 130,8±2,5 131 [129–132] | 131,0±2,4 131 [130–132] |
ATD, мм | 14±0,9 | 15,6±2,4 |
ISA | 1,0±0,1 | 1,00±0,15 |
ISH | 0,74±0,10 | 0,76±0,1 |
ICAS | 1,24±0,10 | 1,3±0,1 |
Угол Wiberg, град. | 29,2±1,8 29,5 [28–31] | 24,4±5,3 |
FHEI, % | 21,8±4,2 | 32±6 |
Линия Shenton | Не нарушена | Не нарушена — 5 пациентов (25%) Разрыв не более 5 мм — 4 пациента (20%) Разрыв более 5 мм — 11 пациентов (55%) |
Рис. 5. Распределение значений углов Sharp и Tönnis у пациентов в динамике
Figure 5. Distribution of Sharp and Tönnis angles values in patients over time
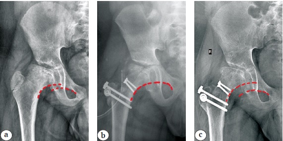
Радикальная хирургическая реконструкция привела к незначительному увеличению значений ШДУ по сравнению с дооперационными (p>0,05), чего нельзя сказать об остальных показателях. Так, произошло выраженное увеличение значений показателя ATD (p<0,05) за счет низведения большого вертела. Несмотря на выявленное прогрессирование деформации латерального края вертлужной впадины у части пациентов, показатель индекса ее сферичности оставался в пределах нормальных значений на протяжении всего срока наблюдения. Индекс сферичности головки бедренной кости претерпел значительные изменения после проведения хирургического лечения у всех пациентов, а его показатели стали находиться в пределах вариации физиологической нормы. Это привело к восстановлению не только конгруэнтности суставных поверхностей головки бедренной кости и вертлужной впадины, но и стабильности тазобедренного сустава в целом, о чем свидетельствуют показатели ICAS, FHEI, угла Wiberg и состояние линии Shenton непосредственно сразу после проведенной хирургической реконструкции. Вместе с тем на сроке наблюдения от 6 до 12 мес. у ряда пациентов, в основном с прогрессирующей деформацией латерального края вертлужной впадины, отмечалось уменьшение достигнутых интраоперационно значений угла Wiberg, увеличение процента экструзии головки бедренной кости из вертлужной впадины, а также нарушение непрерывности линии Shenton различной выраженности, что, на наш взгляд, является формирующимся вторичным подвывихом бедра и потребует необходимости проведения хирургической стабилизации тазобедренного сустава путем выполнения тройной остеотомии таза (рис. 6).
Рис. 6. Рентенограммы правого тазобедренного сустава (красной пунктирной линией отмечено состояние линии Shenton): a — до операции отмечается дисконгруэнтность суставных поверхностей головки бедренной кости и вертлужной впадины, умеренно выраженная деформация латерального края вертлужной впадины, разрыв линии Shenton, не превышающий величины 5 мм; b — непосредственно после проведения сегментарной резекции головки бедренной кости восстановлены конгруэнтность и стабильность тазобедренного сустава; c — через 8 мес. после операции отмечается формирование подвывиха бедра (прогрессирование деформации латерального края вертлужной впадины, разрыв линии Shenton более 5 мм)
Figure 6. Right hip X-rays (the red dashed line marks the condition of Shenton line): a — before surgery, incongruent articular surfaces of the femoral head and acetabulum, a moderate deformity of the lateral acetabular rim, and Shenton line disruption of a maximum of 5 mm are observed; b — immediately after femoral head reduction osteotomy, articular surfaces congruence and hip joint stability are restored; c — 8 months after surgery, the formation of hip subluxation (progressive lateral acetabular rim deformity, Shenton line disruption more than 5 mm) is observed
Необходимо отметить, что данная рентгеноанатомическая ситуация в подавляющем большинстве случаев отмечалась у пациентов с исходно имевшимся обратным вертикальным положением labrum acetabuli.
По результатам проведенной КТ в срок от 6 до 12 мес. после выполненного радикального реконструктивного вмешательства на проксимальном отделе бедренной кости ни в одном случае нами не были верифицированы признаки развития послеоперационного асептического некроза головки бедренной кости, что свидетельствует о безопасности проведения подобного рода хирургического вмешательства при тщательном соблюдении техники его выполнения.
ОБСУЖДЕНИЕ
Исход течения болезни Пертеса напрямую зависит от объема и локализации очага некроза в головке бедренной кости [32]. В случаях исходов заболевания, соответствующих IV и V классам по классификации S.D. Stulberg, формируется грубая деформация головки бедренной кости с дисконгруэтностью суставных поверхностей и подвывихом, что, согласно данным мировой литературы, без адекватного хирургического лечения приводит к развитию фемороацетабулярного импинджмента и раннего коксартроза [33, 34, 35, 36, 37, 38, 39]. На сегодняшний день в лечении детей с исходом болезни Пертеса, соответствующим III классу по классификации S.D. Stulberg, успешно применяется как артроскопическая коррекция нарушения сферичности головки бедренной кости, так и методика безопасного хирургического вывиха бедра [40, 41, 42, 43, 44, 45].
Подходы к хирургической коррекции грубых деформаций проксимального эпифиза бедренной кости и нарушения соотношений в тазобедренном суставе (IV, V класс по классификации S.D. Stulberg) у данной категории пациентов до первого описания техники и возможностей выполнения сегментарной резекции головки бедренной кости оставались крайне дискутабельными. Не вызывает сомнений, что данная техника значительно расширила возможности хирургов-ортопедов в оказании медицинской помощи столь тяжелой категории пациентов. Так, рядом исследователей, включая автора операции, убедительно доказана ее безопасность, высокие возможности коррекции грубой деформации головки бедренной кости с восстановлением конгруэнтности суставных поверхностей компонентов сустава [23, 24, 46, 47, 48, 49]. Вместе с тем сложность хирургической методики, требующая высокого уровня знаний топографической анатомии сосудов, кровоснабжающих головку бедренной кости, и длительная кривая обучения в некотором смысле ограничивают ее повсеместное применение. В доступных научных базах данных в настоящее время нами обнаружено не более 12 публикаций, большинство из которых представлены дизайном «случай — контроль» и небольшой когортой пациентов. Результаты лечения всех пациентов, вошедших в проведенное нами исследование, с точки зрения достигнутой интраоперационной коррекции формы головки бедренной кости, восстановления конгруэнтности суставных поверхностей и стабильности тазобедренного сустава в целом, а также отсутствие признаков послеоперационного асептического некроза полностью соответствуют данным мировой литературы. Однако формирование вторичного подвывиха бедра у ряда пациентов после проведения хирургического лечения, на наш взгляд, требует уточнения причин его возникновения. Ряд авторов в своих работах описывают дополнение сегментарной резекции головки бедренной кости тройной или периацетабулярной остеотомией таза, необходимость которой объясняется сохраняющимся или вновь возникшим подвывихом бедра, верифицированным либо во время выполнения интраоперационного рентгенологического контроля, либо в ближайшем послеоперационном периоде. Основным показанием к выполнению околосуставного вмешательства является разрыв линии Shenton [23, 50, 51].
На сегодняшний день существуют всего две работы, посвященные симультанному выполнению сегментарной резекции головки бедренной кости в сочетании с периацетабулярной остеотомией таза у детей с грубой деформацией головки бедренной кости и дисконгруэнтностью суставных поверхностей [52, 53]. Несмотря на достаточно длительный период наблюдения (от 23 до 56 мес. после операции), в обе работы включено крайне малое количество пациентов: в исследование J.C. Clohisy с соавторами — 6 пациентов, K. Gharanizadeh с соавторами — 4. Также необходимо отметить, что, невзирая на проведенную до операции рентгенометрию основных показателей строения тазобедренного сустава и его стабильности, необходимость выполнения периацетабулярной остеотомии таза определялась непосредственно во время операции по выполненным с применением электронного оптического преобразователя снимков пораженного сустава в различных проекциях.
На наш взгляд, исходя из полученных в ходе проведения настоящего исследования результатов, а также анализа данных мировой литературы, основными предикторами формирования вторичного подвывиха после выполнения сегментарной резекции головки бедренной кости являются деформация латерального края вертлужной впадины (превышение верхней границы среднефизиологических значений углов Tönnis и Sharp), а также обратное вертикальное положение labrum acetabuli.
Ограничение исследования
Настоящее исследование ограничено малым сроком наблюдения, относительно небольшим количеством пациентов и отсутствием в настоящее время среднесрочных результатов выполнения последующего стабилизирующего вмешательства на тазобедренном суставе. Планируется продолжение исследования с целью создания алгоритма выбора методики хирургического лечения данной категории пациентов.
ЗАКЛЮЧЕНИЕ
Выполнение сегментарной резекции головки бедренной кости с соблюдением корректной хирургической техники является, безопасной с точки зрения риска возникновения послеоперационного асептического некроза, и эффективной реконструктивной методикой лечения детей с грубой седловидной деформацией головки бедренной кости и дисконгруэнтностью суставных поверхностей, позволяющей приблизить рентгеноанатомическое строение пораженного проксимального отдела бедренной кости к аналогичным показателям здорового, а также восстановить конгруэнтность и стабильность тазобедренного сустава.
У пациентов с обратным вертикальным положением суставной губы вертлужной впадины и значениями углов Tönnis и Sharp, превышающими верхнюю границу среднефизиологической нормы, после выполнения сегментарной резекции головки бедренной кости в подавляющем большинстве случаев формируется вторичный подвывих, который потребует проведения хирургической стабилизации путем выполнения тройной/периацетабулярной остеотомии таза в последующем. Учитывая этот факт, на наш взгляд, у пациентов с данной рентгеноанатомической картиной стоит рассмотреть целесообразность выполнения реконструктивной операции и на бедренном, и на тазовом компоненте сустава в одну хирургическую сессию после проведения критического анализа возможных рисков.
По нашему мнению, данные методики хирургического лечения детей должны выполняться по строгим показаниям в специализированных профильных отделениях учреждений федерального значения, где специалисты прошли длительную кривую обучения.
ДОПОЛНИТЕЛЬНАЯ ИНФОРМАЦИЯ
Заявленный вклад авторов
Бортулёв П.И. — концепция и дизайн исследования, сбор, анализ и интерпретация данных; написание текста рукописи.
Баскаева Т.В. — сбор, анализ и интерпретация данных, редактирование текста рукописи.
Познович М.С. — сбор, анализ и интерпретация данных.
Барсуков Д.Б. — редактирование текста рукописи.
Поздникин И.Ю. — редактирование текста рукописи.
Рустамов А.Н. — сбор, анализ и интерпретация данных.
Все авторы прочли и одобрили финальную версию рукописи статьи. Все авторы согласны нести ответственность за все аспекты работы, чтобы обеспечить надлежащее рассмотрение и решение всех возможных вопросов, связанных с корректностью и надежностью любой части работы.
Источник финансирования. Авторы заявляют об отсутствии внешнего финансирования при проведении исследования.
Возможный конфликт интересов. Авторы декларируют отсутствие явных и потенциальных конфликтов интересов, связанных с публикацией настоящей статьи.
Этическая экспертиза. Исследование одобрено этическим комитетом ФГБУ «НМИЦ детской травматологии и ортопедии им. Г.И. Турнера» Минздрава РФ (протокол № 24-7 от 22.10.2024 г.).
Информированное согласие на публикацию. Авторы получили письменное согласие законных представителей пациентов на участие в исследовании и публикацию результатов.
DISCLAIMERS
Author contribution
Bortulev P.I. — study concept and design, data acquisition, analysis and interpretation; drafting the manuscript.
Baskaeva T.V. — data acquisition, analysis and interpretation; editing the manuscript.
Poznovich M.S. — data acquisition, analysis and interpretation.
Barsukov D.B. — editing the manuscript.
Pozdnikin I.Y. — editing the manuscript.
Rustamov A.N. — data acquisition, analysis and interpretation.
All authors have read and approved the final version of the manuscript of the article. All authors agree to bear responsibility for all aspects of the study to ensure proper consideration and resolution of all possible issues related to the correctness and reliability of any part of the work.
Funding source. This study was not supported by any external sources of funding.
Disclosure competing interests. The authors declare that they have no competing interests.
Ethics approval. The study was approved by the local ethics committee of H. Turner National Medical Research Center for Сhildren’s Orthopedics and Trauma Surgery (protocol Nо 24-7, 22.10.2024).
Consent for publication. Written consent was obtained from the legal representatives of children to participate in the study and publish the results.
Об авторах
Павел Игоревич Бортулёв
ФГБУ «Национальный медицинский исследовательский центр детской травматологии и ортопедии им. Г.И. Турнера» Минздрава России
Автор, ответственный за переписку.
Email: pavel.bortulev@yandex.ru
ORCID iD: 0000-0003-4931-2817
канд. мед. наук
Россия, Санкт-ПетербургТамила Владимировна Баскаева
ФГБУ «Национальный медицинский исследовательский центр детской травматологии и ортопедии им. Г.И. Турнера» Минздрава России
Email: tamila-baskaeva@mail.ru
ORCID iD: 0000-0001-9865-2434
Россия, Санкт-Петербург
Махмуд Станиславович Познович
ФГБУ «Национальный медицинский исследовательский центр детской травматологии и ортопедии им. Г.И. Турнера» Минздрава России
Email: poznovich@bk.ru
ORCID iD: 0000-0003-2534-9252
Россия, Санкт-Петербург
Дмитрий Борисович Барсуков
ФГБУ «Национальный медицинский исследовательский центр детской травматологии и ортопедии им. Г.И. Турнера» Минздрава России
Email: dbbarsukov@gmail.com
ORCID iD: 0000-0002-9084-5634
канд. мед. наук
Россия, Санкт-ПетербургИван Юрьевич Поздникин
ФГБУ «Национальный медицинский исследовательский центр детской травматологии и ортопедии им. Г.И. Турнера» Минздрава России
Email: pozdnikin@gmail.com
ORCID iD: 0000-0002-7026-1586
канд. мед. наук
Россия, Санкт-ПетербургАрслан Нажмудинович Рустамов
ФГБУ «Национальный медицинский исследовательский центр детской травматологии и ортопедии им. Г.И. Турнера» Минздрава России
Email: arslan.rustamov1999@mail.ru
ORCID iD: 0009-0001-6710-0327
Россия, Санкт-Петербург
Список литературы
- Pavone V., Chisari E., Vescio A., Lizzio C., Sessa G., Testa G. Aetiology of Legg-Calvé-Perthes disease: A systematic review. World J Orthop. 2019;10(3): 145-165. doi: 10.5312/wjo.v10.i3.145.
- Панин М.А., Загородний Н.В., Самоходская Л.М., Бойко А.В. Значение полиморфизмов гена метилентетрагидрофолатредуктазы (MTHFR) в патогенезе нетравматического асептического некроза головки бедренной кости. Вестник травматологии и ортопедии им. Н.Н. Приорова. 2020;27(2):19-23. doi: 10.17816/vto202027219-23. Panin M.A., Zagorodniy N.V., Samohodskaya L.M., Boiko A.V. The value of the MTHFR polymorphisms in pathogenesis of nontraumatic necrosis of femoral head. N.N. Priorov Journal of Traumatology and Orthopedics. 2020;27(2):19-23. (In Russian). doi: 10.17816/vto202027219-23.
- Dimeglio A., Canavese F. Imaging in Legg-Calvé-Perthes disease. Orthop Clin North Am. 2011;42(3):297-302. doi: 10.1016/j.ocl.2011.04.003.
- Gao H., Huang Z., Jia Z., Ye H., Fu F., Song M. et al. Influence of passive smoking on the onset of Legg-Calvè-Perthes disease: a systematic review and meta-analysis. J Pediatr Orthop B. 2020;29(6):556-566. doi: 10.1097/BPB.0000000000000725.
- Chen G., Chen T., Zhang P., Zhang Z., Huang R., Chen T. et al. Can large doses of glucocorticoids lead to Perthes? A case report and review of the literature. BMC Pediatr. 2021;21(1):339. doi: 10.1186/s12887-021-02755-4.
- Rodríguez-Olivas A.O., Hernández-Zamora E., Reyes-Maldonado E. Legg-Calvé-Perthes disease overview. Orphanet J Rare Dis. 2022;17(1):125. doi: 10.1186/s13023-022-02275-z.
- Perry D.C., Arch B., Appelbe D., Francis P., Craven J., Monsell F.P. et al. The British Orthopaedic Surgery Surveillance study: Perthes’ disease: the epidemiology and two-year outcomes from a prospective cohort in Great Britain. Bone Joint J. 2022;104-B(4):510-518. doi: 10.1302/0301-620X.104B4.BJJ-2021-1708.R1.
- Wadström M.G., Hailer N.P., Hailer Y.D. Demographics and risk for containment surgery in patients with unilateral Legg-Calvé-Perthes disease: a national population-based cohort study of 309 patients from the Swedish Pediatric Orthopedic Quality Register. Acta Orthop. 2024;95:333-339. doi: 10.2340/17453674.2024.40907.
- Perry D.C., Skellorn P.J., Bruce C.E. The lognormal age of onset distribution in Perthes’ disease: an analysis from a large well-defined cohort. Bone Joint J. 2016; 98-B(5):710-714. doi: 10.1302/0301-620X.98B5.36453.
- Maleki A., Qoreishy S.M., Bahrami M.N. Surgical Treatments for Legg-Calvé-Perthes Disease: Comprehensive Review. Interact J Med Res. 2021;10(2):e27075. doi: 10.2196/27075.
- Hong P., Zhao X., Liu R., Rai S., Song Y., Xu R. Perthes Disease in a Child With Osteogenesis Imperfecta From a Rare Genetic Variant: A Case Report. Front Genet. 2022;13:920950. doi: 10.3389/fgene.2022.920950.
- Wenger D.R., Pandya N.K. Advanced containment methods for the treatment of Perthes disease: Salter plus varus osteotomy and triple pelvic osteotomy. J Pediatr Orthop. 2011;31(2 Suppl):S198-205. doi: 10.1097/BPO.0b013e31822602b0.
- Joseph B., Price C.T. Principles of containment treatment aimed at preventing femoral head deformation in Perthes disease. Orthop Clin North Am. 2011; 42(3):317-327. doi: 10.1016/j.ocl.2011.04.001.
- Nelitz M., Lippacher S., Krauspe R., Reichel H. Perthes disease: current principles of diagnosis and treatment. Dtsch Arztebl Int. 2009;106(31-32):517-523. doi: 10.3238/arztebl.2009.0517.
- Camurcu I.Y., Yildirim T., Buyuk A.F., Gursu S.S., Bursali A., Sahin V. Tönnis triple pelvic osteotomy for Legg-Calve-Perthes disease. Int Orthop. 2015;39(3): 485-490. doi: 10.1007/s00264-014-2585-6.
- Rosello O., Solla F., Oborocianu I., Chau E., ElHayek T., Clement J.L. et al. Advanced containment methods for Legg-Calvé-Perthes disease: triple pelvic osteotomy versus Chiari osteotomy. Hip Int. 2018;28(3):297-301. doi: 10.5301/hipint.5000569.
- Барсуков Д.Б., Краснов А.И., Басков В.Е., Поздникин И.Ю., Волошин С.Ю., Баскаева Т.В. и др. Корригирующая остеотомия бедра в комплексном лечении детей с болезнью Легга-Кальве-Пертеса. Гений ортопедии. 2017;23(1):63-70. doi: 10.18019/1028-4427-2017-23-1-63-70. Barsukov D.B., Krasnov A.I., Baskov V.E., Pozdnikin I.Yu., Voloshin S.Yu., Baskaeva T.V. et al. Corrective femoral osteotomy in the complex treatment of children with Legg-Calve-Perthes disease. Genij Ortopedii. 2017;23(1):63-70. (In Russian). doi: 10.18019/1028-4427-2017-23-1-63-70.
- Singh K.A., Guddattu V., Shah H. Radiologic Outcomes of Bilateral and Unilateral Perthes Disease: A Comparative Cohort Study. J Pediatr Orthop. 2022;42(2):e168-e173. doi: 10.1097/BPO.0000000000002010.
- Abril J.C., Montero M., Fraga M., Egea-Gámez R.M. Ellipsoidal Process of the Femoral Head in Legg-Calvé-Perthes Disease: Effect of Prophylactic Hemiepiphysiodesis. Indian J Orthop. 2022;56(8): 1431-1438. doi: 10.1007/s43465-022-00662-z.
- Louahem M’sabah D., Assi C., Cottalorda J. Proximal femoral osteotomies in children. Orthop Traumatol Surg Res. 2013;99(1 Suppl):S171-186. doi: 10.1016/j.otsr.2012.11.003.
- Clohisy J.C., Nepple J.J., Ross J.R., Pashos G., Schoenecker P.L. Does surgical hip dislocation and periacetabular osteotomy improve pain in patients with Perthes-like deformities and acetabular dysplasia? Clin Orthop Relat Res. 2015;473(4):1370-1377. doi: 10.1007/s11999-014-4115-7.
- Leunig M., Ganz R. Relative neck lengthening and intracapital osteotomy for severe Perthes and Perthes-like deformities. Bull NYU Hosp Jt Dis. 2011;69 Suppl 1: S62-67.
- Siebenrock K.A., Anwander H., Zurmühle C.A., Tannast M., Slongo T., Steppacher S.D. Head reduction osteotomy with additional containment surgery improves sphericity and containment and reduces pain in Legg-Calvé-Perthes disease. Clin Orthop Relat Res. 2015;473(4):1274-1283. doi: 10.1007/s11999-014-4048-1.
- Fontainhas P., Govardhan R.H. Femoral Head Reduction Osteotomy for Deformed Perthes Head Using Ganz Safe Surgical Dislocation of Hip — A Case Report with 3-Year Follow-up. J Orthop Case Rep. 2020;10(6):32-35. doi: 10.13107/jocr.2020.v10.i06.1864.
- Камоско М.М., Баиндурашвили А.Г. Диспластический коксартроз у детей и подростков (клиника, патогенез, хирургическое лечение). СПб.: СпецЛит; 2010. С. 54-72. Kamosko M.M., Baindurashvili A.G. Dysplastic hip osteoarthritis in children and adolescents (clinical picture, pathogenesis, surgical treatment). Saint-Petersburg: SpetsLit; 2010. P. 54-72. (In Russian).
- Тепленький М.П., Бунов В.С., Фозилов Д.Т. Сустав- сберегающие операции у пациентов с ацетабулярной дисплазией, осложненной нарушением сферичности головки бедра. Вестник травматологии и ортопедии им. Н.Н. Приорова. 2023;30(4):409-418. doi: 10.17816/vto568718. Teplenky M.P., Bunov V.S., Fozilov J.T. Joint-sparing surgery in patients with acetabular dysplasia complicated by sphericity of the femoral head. N.N. Priorov Journal of Traumatology and Orthopedics. 2023;30(4):409-418. (In Russian). doi: 10.17816/vto568718.
- Nehme A., Trousdale R., Tannous Z., Maalouf G., Puget J., Telmont N. Developmental dysplasia of the hip: is acetabular retroversion a crucial factor? Orthop Traumatol Surg Res. 2009;95(7):511-519. doi: 10.1016/j.otsr.2009.06.006.
- Jones D.H. Shenton’s line. J Bone Joint Surg Br. 2010; 92(9):1312-1315. doi: 10.1302/0301-620X.92B9.25094.
- Yonga Ö., Memişoğlu K., Onay T. Early and mid-term results of Tönnis lateral acetabuloplasty for the treatment of developmental dysplasia of the hip. Jt Dis Relat Surg. 2022;33(1):208-215. doi: 10.52312/jdrs.2022.397.
- Vahedi H., Alvand A., Kazemi S.M., Azboy I., Parvizi J. The ‘low-volume acetabulum’: dysplasia in disguise. J Hip Preserv Surg. 2018;5(4):399-403. doi: 10.1093/jhps/hny036.
- Бортулева О.В., Басков В.Е., Бортулев П.И. Барсуков Д.Б., Поздникин И.Ю. Реабилитация подростков после хирургического лечения диспластического коксартроза. Ортопедия, травматология и восстановительная хирургия детского возраста. 2018;6(1):45-50. doi: 10.17816/PTORS6145-50. Bortuleva O.V., Baskov V.E., Bortulev P.I., Barsukov D.B., Pozdnikin I.Yu. Rehabilitation of adolescents after surgical treatment of dysplastic coxarthrosis. Pediatric Traumatology, Orthopaedics and Reconstructive Surgery. 2018;6(1):45-50. (In Russian). doi: 10.17816/PTORS6145-50.
- Herring J.A. Legg-Calvé-Perthes disease at 100: a review of evidence-based treatment. J Pediatr Orthop. 2011;31(2 Suppl):S137-S140. doi: 10.1097/BPO.0b013e318223b52d.
- Stulberg S.D., Cooperman D.R., Wallensten R. The natural history of Legg-Calvé-Perthes disease. J Bone Joint Surg Am. 1981;63(7):1095-1108.
- Bhuyan B.K. Early outcomes of one-stage combined osteotomy in Legg-Calvé-Perthes disease. Indian J Orthop. 2016;50(2):183-194. doi: 10.4103/0019-5413.177581.
- Wiig O., Terjesen T., Svenningsen S. Prognostic factors and outcome of treatment in Perthes’ disease: a prospective study of 368 patients with five-year follow-up. J Bone Joint Surg Br. 2008;90(10):1364-1371. doi: 10.1302/0301-620X.90B10.20649.
- Shah H. Perthes disease: evaluation and management. Orthop Clin North Am. 2014;45(1):87-97. doi: 10.1016/j.ocl.2013.08.005.
- Rodríguez-Olivas A.O., Hernández-Zamora E., Reyes-Maldonado E. Legg-Calvé-Perthes disease overview. Orphanet J Rare Dis. 2022;17(1):125. doi: 10.1186/s13023-022-02275-z.
- Богопольский О.Е., Трачук П.А., Специальный Д.В., Середа А.П., Тихилов Р.М. Результаты артроскопического лечения фемороацетабулярного импинджмента. Травматология и ортопедия России. 2022;28(4):54-65. doi: 10.17816/2311-2905-1980. Bogopolskiy O.E., Trachuk P.A., Spetsialnyi D.V., Sereda A.P., Tikhilov R.M. Results of Arthroscopic Treatment for Femoroacetabular Impingement. Traumatology and Orthopedics of Russia. 2022;28(4): 54-65. (In Russian). doi: 10.17816/2311-2905-1980.
- Бортулёв П.И., Виссарионов С.В., Баиндурашвили А.Г., Неверов В.А., Басков В.Е., Барсуков Д.Б. и др. Анализ причин выполнения тотального эндопротезирования тазобедренного сустава у детей: часть 1. Травматология и ортопедия России. 2024;30(2):54-71. doi: 10.17816/2311-2905-17527. Bortulev P.I., Vissarionov S.V., Baindurashvili A.G., Neverov V.A., Baskov V.E., Barsukov D.B. et al. Causes of Total Hip Replacement in Children: Part 1. Traumatology and Orthopedics of Russia. 2024;30(2):54-71. (In Russian). doi: 10.17816/2311-2905-17527.
- Kanatli U., Ayanoglu T., Ozer M., Ataoglu M.B., Cetinkaya M. Hip arthroscopy for Legg-Calvè-Perthes disease in paediatric population. Acta Orthop Traumatol Turc. 2019;53(3):203-208. doi: 10.1016/j.aott.2019.03.005.
- Lee W.Y., Hwang D.S., Ha Y.C., Kim P.S., Zheng L. Outcomes in patients with late sequelae (healed stage) of Legg-Calvé-Perthes disease undergoing arthroscopic treatment: retrospective case series. Hip Int. 2018;28(3):302-308. doi: 10.5301/hipint.5000563.
- Goyal T., Barik S., Gupta T. Hip Arthroscopy for Sequelae of Legg-Calve-Perthes Disease: A Systematic Review. Hip Pelvis. 2021;33(1):3-10. doi: 10.5371/hp.2021.33.1.3.
- Chaudhary M.M., Chaudhary I.M., Vikas K.N., KoKo A., Zaw T., Siddhartha A. Surgical hip dislocation for treatment of cam femoroacetabular impingement. Indian J Orthop. 2015;49(5):496-501. doi: 10.4103/0019-5413.164040.
- Khalifa A.A., Hassan T.G., Haridy M.A. The evolution of surgical hip dislocation utilization and indications over the past two decades: A scoping review. Int Orthop. 2023;47(12):3053-3062. doi: 10.1007/s00264-023-05814-w.
- Leibold C.S., Vuillemin N., Büchler L., Siebenrock K.A., Steppacher S.D. Surgical hip dislocation with relative femoral neck lengthening and retinacular soft-tissue flap for sequela of Legg-Calve-Perthes disease. Oper Orthop Traumatol. 2022;34(5):352-360. doi: 10.1007/s00064-022-00780-9.
- Leunig M., Ganz R. Relative neck lengthening and intracapital osteotomy for severe Perthes and Perthes-like deformities. Bull NYU Hosp Jt Dis. 2011;69 Suppl 1:S62-67.
- Govardhan P., Govardhan R.H. Femoral Head Reduction Osteotomy for Deformed Perthes Head Using Ganz Safe Surgical Dislocation of Hip - A Case Report with 3-Year Follow-up. J Orthop Case Rep. 2020;10(6):32-35. doi: 10.13107/jocr.2020.v10.i06.1864.
- Kalenderer Ö., Erkuş S., Turgut A., İnan İ.H. Preoperative planning of femoral head reduction osteotomy using 3D printing model: A report of two cases. Acta Orthop Traumatol Turc. 2019;53(3):226-229. doi: 10.1016/j.aott.2019.01.002.
- Paley D. The treatment of femoral head deformity and coxa magna by the Ganz femoral head reduction osteotomy. Orthop Clin North Am. 2011;42(3):389-399. doi: 10.1016/j.ocl.2011.04.006.
- Slongo T., Ziebarth K. Femoral head reduction osteotomy to improve femoroacetabular containment in Legg-Calve-Perthes disease. Oper Orthop Traumatol. 2022;34(5):333-351. (In German). doi: 10.1007/s00064-022-00779-2.
- Eltayeby H.H., El-Adwar K.L., Ahmed A.A., Mosa M.M., Standard S.C. Femoral head reduction osteotomy for the treatment of late sequela of Legg-Calvé-Perthes disease and Perthes-like femoral head deformities. J Pediatr Orthop B. 2024;33(4):348-357. doi: 10.1097/BPB.0000000000001109.
- Clohisy J.C., Pascual-Garrido C., Duncan S., Pashos G., Schoenecker P.L. Concurrent femoral head reduction and periacetabular osteotomies for the treatment of severe femoral head deformities. Bone Joint J. 2018;100-B(12):1551-1558. doi: 10.1302/0301-620X.100B12.BJJ-2018-0030.R3.
- Gharanizadeh K., Ravanbod H., Aminian A., Mirghaderi S.P. Simultaneous femoral head reduction osteotomy (FHRO) combined with periacetabular osteotomy (PAO) for the treatment of severe femoral head asphericity in Perthes disease. J Orthop Surg Res. 2022;17(1):461. doi: 10.1186/s13018-022-03351-7.
Дополнительные файлы










