Morphological Assessment of Osseointegration of Titanium Implants with Ag- and Zn-Containing Calcium Phosphate Coatings
- Authors: Maiborodin I.V.1, Maiborodina V.I.1, Sheplev B.V.1, Sharkeev Y.P.2, Sedelnikova M.B.2, Pavlov V.V.3, Bazlov V.A.3, Anastasieva E.A.3, Efimenko M.V.3, Kirilova I.А.3, Korytkin A.A.3
-
Affiliations:
- Institute of Chemical Biology and Fundamental Medicine
- Institute of Strength Physics and Materials Science
- Novosibirsk Research Institute of Traumatology and Orthopedics n.a. Ya.L. Tsivyan
- Issue: Vol 31, No 1 (2025)
- Pages: 85-97
- Section: Theoretical and experimental studies
- Submitted: 27.08.2024
- Accepted: 21.11.2024
- Published: 12.03.2025
- URL: https://journal.rniito.org/jour/article/view/17604
- DOI: https://doi.org/10.17816/2311-2905-17604
- ID: 17604
Cite item
Full Text
Abstract
Background. The condition of the implant surface plays an important role in extending the service life of implants and metal structures in the human body.
The aim of the study — to assess the effect of titanium implants with Ag- or Zn-containing calcium phosphate coatings on the surrounding bone tissue in experimental study.
Methods. Using light microscopy, we studied the condition of bone tissue in the proximal tibia (PT) of rabbits 4 weeks after the implantation of 3D-printed titanium cone-shaped implants with Ag- or Zn-containing calcium phosphate coating.
Results. In all cases, 3D-printed titanium implants with a rough surface integrated in the PT adhered very tightly to the bone tissue, the edges of which had minor cicatricial changes. Removal of the implants was difficult, and many tissue fragments remained on their surface. Small foreign fragments were present in the bone tissue samples examined. The sizes of foreign fragments were smaller after the use of silver ions, compared to the use of zinc ions, in both compact and cancellous bone by 84.4% (9.50±4.17 vs 17.78±7.95 μm) and 87.2% (11.21±10.68 vs 20.67±8.08 μm), respectively. In cancellous bone, the average diameter of the fragment groups and the average distance between the coating fragments or their groups were not statistically significantly different. In compact bone, they were 59.1% (155±35.98 vs 246.67±39.62 μm) and 21.2% (253.04±44.87 vs 308±50.85 μm) larger, respectively, after application of the Zn-containing coating.
Conclusions. Surface-modified titanium implants have demonstrated a tendency to osseointegration, even when the coating is damaged with the formation of foreign fragments migrating into the surrounding tissues. It is possible that modifying the technique and modes of coating application, as well as varying their thickness, will enable the full realization of the positive properties of the modified surface, including the beneficial antimicrobial characteristics of silver and zinc.
Full Text
ВВЕДЕНИЕ
Для увеличения сроков функционирования имплантатов и металлоконструкций в организме человека немаловажную роль играет состояние поверхности имплантируемых конструкций. Данные мировых исследований о влиянии шероховатости поверхности имплантатов на их остеоинтеграцию и стабильность противоречивы. Одни авторы отмечают значительный положительный эффект искусственно созданных неровностей поверхности, другие не находят значительных различий между шероховатыми и полированными/гладкими поверхностями имплантатов [1, 2, 3, 4].
При повышении уровня шероховатости поверхности титановых имплантатов гидрофильность увеличивается, а поверхностное натяжение уменьшается, что облегчает адсорбцию белка [1]. Присутствие высокопористой структуры стимулирует врастание внутрь имплантатов костной ткани, увеличивает площадь непосредственного контакта с костной тканью и способствует успешной фиксации [3, 4, 5]. N. Tan с соавторами отмечали, что увеличение шероховатости поверхности металлических имплантатов в эксперименте на минипигах улучшало остеоинтеграцию через 3 мес. Однако к 6 мес. произошло выравнивание всех показателей [6]. Сходное выравнивание результатов к 6 мес. после имплантации полированных и шероховатых титановых винтовых изделий в проксимальный отдел большеберцовой кости (ПОБК), по сравнению с данными в 3 мес., было продемонстрировано на кроликах [7].
Материалы и вещества, применяемые для модификации поверхности имплантатов, помимо улучшения их остеоинтеграции с костной тканью, также способны участвовать в профилактике периимплантной инфекции [8, 9, 10, 11]. Антибактериальная активность отмечена у имплантатов с покрытием из меди [12] или золота [13]. Интерес представляют исследования с установкой временных мини-пинов с различным покрытием для улучшения локальной остеоинтеграции, а также для локальной доставки лекарственных средств, в том числе для пролонгированной антибиотикотерапии [14].
Отсутствует однозначный подход к выбору материала для изготовления имплантатов, способа обработки и модификации их поверхности. В связи с этим необходимы дальнейшие клинические и экспериментальные исследования по всем направлениям ортопедической имплантологии.
Цель исследования — изучить влияние титановых имплантатов с кальций-фосфатным покрытием, содержащим ионы цинка или серебра, на окружающие костные ткани в эксперименте.
МАТЕРИАЛ И МЕТОДЫ
Работа основана на результатах морфологического изучения тканей ПОБК, прилегающих к внутрикостным имплантатам конусовидной формы с шероховатой поверхностью, через 4 нед. после имплантации кроликам породы шиншилла обоего пола весом 2,9–3,5 кг. Подобная модель для экспериментальной имплантации подробно описана в различных работах [2, 7, 15].
Животных содержали на стандартной лабораторной диете при естественном освещении в виварии ФГБУН «ИХБФМ» СО РАН. Имплантацию проводили с соблюдением всех правил асептики и антисептики в условиях чистой операционной при сочетании общей и местной анестезии.
Изготовление имплантатов
3D-имплантаты с шероховатой поверхностью были изготовлены на 3D-принтере EOS-240 (EOS GmbH, Германия) методом селективного лазерного спекания (рис. 1). Нанесение кальций-фосфатных покрытий на образцы проводили методом микродугового оксидирования на установке MicroArc-3.0 (ФГБУН «ИФПМ» СО РАН, г. Томск) с импульсным источником питания в анодном потенциостатическом режиме. Для формирования Ag-содержащих кальций-фосфатных покрытий использовали щелочной электролит (рН = 10–11), который содержал: Na2HPO4 (30–40 г/л), NaOH (3–5 г/л), â-трикальцийфосфат (â-Ca3(PO4)2) в виде порошка с размерами частиц 1,5–5,0 мкм (60–90 г/л), AgNO3 (0,3–1,0 г/л). Для нанесения Zn-содержащих кальций-фосфатных покрытий применяли кислый электролит (рН = 1,2–1,5), который включал 30% раствор Н3РО4, нанокристаллический Zn-содержащий гидроксиапатит Ca9,5Zn0,5(PO4)6(OH)2 (40–60 г/л), карбонат кальция СаСО3 (50–75 г/л) [16]. Толщина и шероховатость по параметру Ra Ag-содержащих покрытий варьировалась в диапазоне 40–45 мкм и 3,2–3,8 мкм соответственно, а для Zn-содержащих покрытий — в диапазоне 56–60 мкм и 3,5–4,6 мкм соответственно. Габаритные размеры имплантатов составили 7,20 мм на 2,98–3,74 мм. Имплантаты после стерилизации этиленоксидом (ГОСТ ISO 11135-2017) в соответствии с «Требованием к разработке, валидации и текущему управлению процессом стерилизации медицинских изделий» исследованы на стерильность. Бактериологический контроль дал отрицательный результат.
Рис. 1. Внешний вид и габаритные размеры титанового конусовидного 3D-имплантата
Figure 1. Appearance and overall dimensions of a 3D-printed titanium cone-shaped implant
Внутрикостная имплантация
Хирургическое вмешательство проводили в условиях комбинированной инъекционной анестезии комплексом ксилазил – золетил (0,3 мг/кг – 10 мг/кг соответственно) до наступления необходимого уровня седации и анальгезии. Животное под седацией укладывали в положение на брюшке, задние конечности были слегка согнуты в коленных суставах. В области предполагаемой операции по верхней трети голени волосяной покров был удален триммером.
Операционное поле отграничивали стерильной простыней и обрабатывали раствором антисептика. Скальпелем выполняли дугообразный доступ по передненаружной поверхности голени по краю и ходу m. tibialis anterior, m. extensor digitorum longus; прилежащие к ней другие разгибатели отводили крючками Фарабефа и ранорасширителями. С целью купирования возможного возбуждения болевых рецепторов дополнительно использовали местную анестезию 0,2% раствором лидокаина. Местная анестезия выполнялась послойно. Мышцы рассекали скальпелем и отводили тупфером. На низких оборотах с охлаждением стерильным физиологическим раствором при помощи стоматологического бора в ПОБК высверливали стандартизованное отверстие диаметром 3,5 мм на глубину 7 мм. Под давлением рану промывали физиологическим раствором, осушали тампоном. Далее сосудистым зажимом по оси засверливания устанавливали имплантат. Выполняли туалет раны, послойно без натяжения ушивали ткани, швы обрабатывали 5% спиртовым раствором йода. В послеоперационном периоде была проведена антибиотикопрофилактика цефалоспоринами первого поколения (Цефазолин 5–10 мг/кг).
Выполнено 3 серии эксперимента: 1-я серия (4 кролика, 8 имплантаций) — 3D-имплантаты из титана (без модификации поверхности); 2-я серия (3 кролика, 6 имплантаций) — 3D-имплантаты с кальций-фосфатным покрытием, содержащим серебро; 3-я серия (3 кролика, 6 имплантаций) — 3D-имплантаты с кальций-фосфатным покрытием, содержащим цинк. Хирургическое вмешательство было выполнено сначала на правой задней конечности, затем — на левой. Срок наблюдения за животными составил 4 нед.
Имплантируемые изделия для одного и того же животного были идентичны. Контрольным рентгенологическим исследованием через 3 нед. после операции на установке Toshiba X-ray tube stand (DS-TA-5A) была подтверждена правильная установка имплантатов в ПОБК (рис. 2).
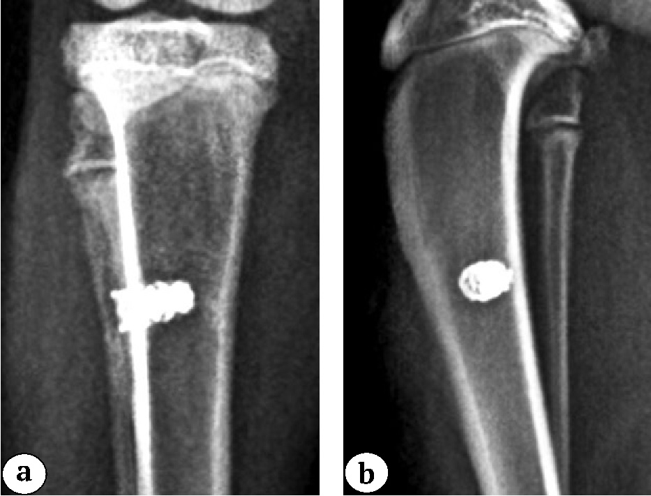
Рис. 2 (a, b). Рентгенограммы проксимального отдела бедренной кости кроликов через 4 нед. после имплантации 3D-имплантатов: а, b — титан без модификации поверхности
Figure 2 (a, b). X-rays of the proximal tibia of rabbits 4 weeks after integration of 3D-printed implants: a, b — titanium without surface modification
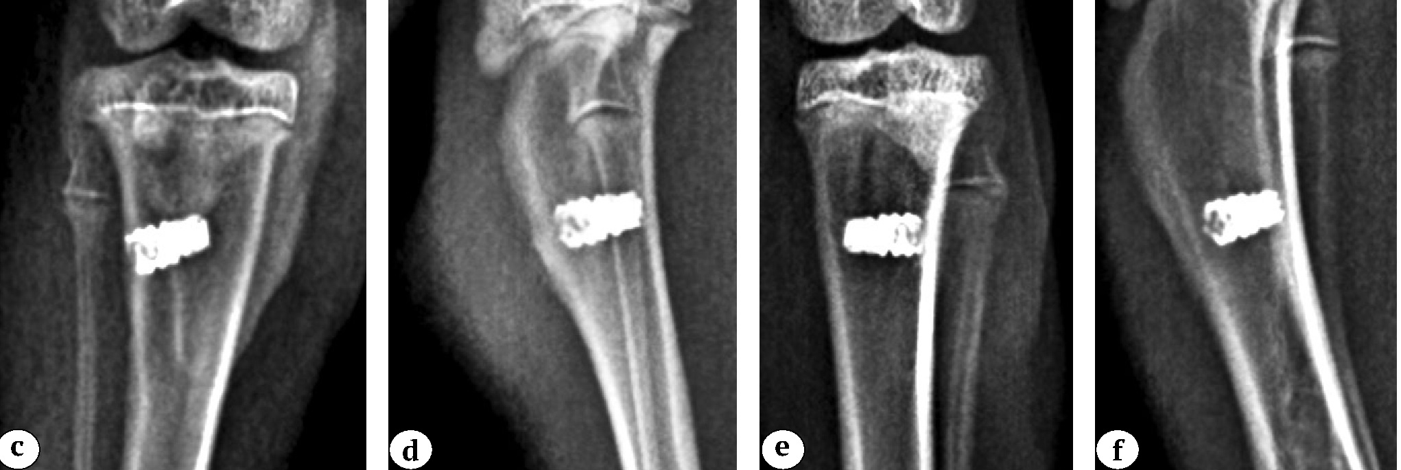
Рис. 2 (c, d, e, f). Рентгенограммы проксимального отдела бедренной кости кроликов через 4 нед. после имплантации 3D-имплантатов: c, d — титан с модификацией поверхности Ag-содержащим кальций-фосфатным покрытием; e, f — титан с модификацией поверхности Zn-содержащим кальций-фосфатным покрытием; a, c, e — левая конечность; b, d, f — правая конечность
Figure 2 (c, d, e, f). X-rays of the proximal tibia of rabbits 4 weeks after integration of 3D-printed implants: c, d — titanium with surface modification via Ag-containing calcium phosphate coating; e, f — titanium with surface modification via Zn-containing calcium phosphate coating; a, c, e — left limb; b, d, f — right limb
Морфологические методы исследования
Животных выводили из эксперимента через 4 нед. после операции дислокацией шейных позвонков. После максимально бережного удаления мягких тканей с поверхности голени их целиком фиксировали в 4% растворе параформальдегида на бифосфатном буфере (рН = 7,4) в течение 7 дней. После удаления фиксированных мягких тканей из ПОБК удаляли имплантаты и выпиливали фрагмент ткани с костным дефектом от удаленного изделия, который подвергали декальцинации раствором Biodec R (Bio Optica Milano, Италия). Следующим этапом фрагменты ПОБК обезвоживали в реактиве «Изопреп» (БиоВитрум, Россия), просветляли в ксилоле и заключали в гистопласт. Срезы толщиной 5–7 мкм, проходящие через дефект кости после удаленного имплантата, окрашивали гематоксилином и эозином, изучали с помощью светового микроскопа Axio Imager M1 (Zeiss, Германия) при увеличении до 1200 раз. Дополнительно поверхность извлеченных из фиксированных ПОБК имплантатов исследовали в режиме отраженного света с помощью указанного микроскопа.
Статистический анализ
Для получения численных данных проводили измерения изображений, сделанных посредством цифровой видеокамеры светового микроскопа Axio Imager M1 с применением комплекса программ для морфометрии AxioVision (Zeiss, Германия). На каждом препарате осуществляли 3–5 измерений разных участков. Проверка распределений инородных фрагментов в костных тканях на согласие с законом нормального распределения критерием Шапиро – Уилка и гомоскедастичности (однородности) отклонений между сериями F-критерием Фишера выявила, что только средний диаметр групп фрагментов в компактной костной ткани соответствует гипотезам. С учетом результатов проверки и малого размера выборок сравнение распределений инородных фрагментов проводилось непараметрическим двусторонним U-критерием Манна – Уитни. Вычислением псевдомедианы парных разностей (μ) значений между сериями с построением 95% доверительного интервала (95% ДИ) оценивалась средняя абсолютная разница; средняя относительная разница (относительно усредненного отклонения) оценивалась расчетом стандартизированной разницы средних с построением 95% ДИ. Дескриптивные характеристики представлены в виде медианы [первого квартиля – третьего квартиля] (Ме [Q1-Q3]), среднего ± стандартного отклонения (M±SD), максимальным и минимальным значениями (min-max). Проверка статистических гипотез проводилась при критическом уровне значимости р = 0,05, т.е. различие считалось статистически значимым при р<0,05. Статистические расчеты проводили в IDE RStudio (Posit Software, PBC, США) на языке R.
РЕЗУЛЬТАТЫ
В ходе выполнения данной работы все животные наблюдались ежедневно. После проведенного оперативного вмешательства отмечалось снижение двигательной активности у всех животных в первые сутки, со 2-х сут. после установки имплантата двигательная активность восстанавливалась. В последующем изменений в двигательной активности животных за все время наблюдений не отмечено. В первые двое суток с момента вмешательства отмечалось умеренное снижение потребляемого корма, далее потребление корма было на дооперационном уровне. Заживление раны происходило первичным натяжением, при осмотре ткани в области оперативного лечения были без особенностей. К моменту выведения из эксперимента визуально кожа и мягкие ткани в области хирургического вмешательства были без признаков воспаления.
Макроскопическая картина. Имплантаты 1-й серии эксперимента плотно фиксированы в окружающей костной ткани. Удаление титановых имплантатов по окончании эксперимента было сопряжено с техническими трудностями, так как имплантаты плотно срослись с различными типами костной ткани. Макроскопически имплантаты полностью окружены костной тканью (рис. 3 а). Первоначальная фигурная поверхность имплантата не определялась, однако общие контуры были сохранены. Во фрагменте костной ткани после удаления имплантата определялся костный дефект округлой формы с неровными краями, соответствующими фрагментам кости на имплантате.
Рис. 3. Поверхность имплантатов, удаленных из проксимального отдела бедренной кости кроликов через 4 нед. после установки, в отраженном свете: а — титан без модификации поверхности; b — титан с модификацией поверхности Ag-содержащим кальций-фосфатным покрытием; c — титан с модификацией поверхности Zn-содержащим кальций-фосфатным покрытием
Figure 3. The surface of implants removed from the rabbits’ proximal tibia 4 weeks after installation, examination in reflected light: a — titanium without surface modification; b — titanium with surface modification via Ag-containing calcium phosphate coating; c — titanium with surface modification via Zn-containing calcium phosphate coating
Имплантаты 2-й серии эксперимента легко извлекались из костных тканей, дебрис на шероховатой поверхности практически отсутствовал (рис. 3 b). Макроскопически имплантаты имели блестящую поверхность, на которой отсутствовали фрагменты окружающих тканей. Структура имплантатов была сохранена и хорошо визуализировалась.
Удаление имплантатов 3-й серии было осуществлено без технических трудностей и без формирования дефекта костной ткани, превосходящего по размерам имплантат. По всей поверхности имплантатов 3-й серии эксперимента наблюдались фрагменты костной ткани, прослеживались только крупные искусственно созданные неровности (рис. 3 c).
Микроскопически в 1-й серии эксперимента: в зоне дефекта губчатой и компактной костной ткани на месте удаленного имплантата на отдельных участках наблюдаются полнокровные сосуды. Между поверхностью имплантата и компактной костью наблюдается формирование новообразованной костной ткани, отделенной от зрелой костной ткани линией склеивания (рис. 4 a, b).
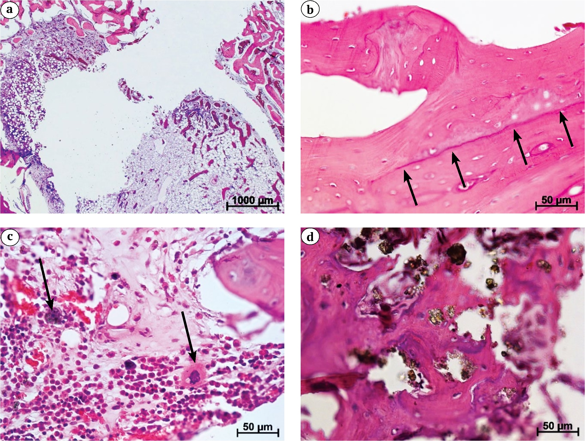
Рис. 4 (a, b, c, d). Проксимальный отдел бедренной кости кроликов через 4 нед. после установки имплантатов: а — дефект губчатой и компактной костной ткани на месте удаленного имплантата, на отдельных участках видна гиперемия; b — восстановление компактной костной ткани между головкой имплантата и краем кости, рубец в основном тонкий (стрелки); c — выраженная воспалительная реакция в склерозированной губчатой костной ткани, где расположены многочисленные металлические фрагменты, гиперемия; частицы металла, окруженные соединительной тканью, расположены среди многочисленных лейкоцитов и внесосудистых эритроцитов, слияние макрофагов с образованием многоядерных форм (стрелки); d — значительная деформация склерозированной компактной костной ткани между головкой имплантата и краем отверстия; компактная кость содержит множество металлических фрагментов разной формы и размеров
Figure 4 (a, b, c, d). Proximal tibia of the rabbits 4 weeks after implants installation: a — defect of cancellous and compact bone tissue at the site of the removed implant; hyperemia is visible in some areas; b — restoration of compact bone tissue between the head of the implant and the bone edge; the scar is mostly thin (arrows); c — pronounced inflammatory reaction in sclerosed cancellous bone tissue containing numerous metal fragments; hyperemia is present; metal particles surrounded by connective tissue are located among numerous leukocytes and extravascular erythrocytes, with macrophage fusion forming multinucleated cells (arrows); d — significant deformity of sclerosed compact bone tissue between the implant head and the edge of the hole; compact bone contains numerous metal fragments of various shapes and sizes
Рис. 4 (e, f). Проксимальный отдел бедренной кости кроликов через 4 нед. после установки имплантатов: e — многочисленные металлические частицы в красном костном мозге с воспалительной реакцией между губчатой костной тканью и имплантатом; f — врастание металлических фрагментов (стрелки) в регенерирующую костную ткань с признаками склероза и рубцовыми изменениями на краю отверстия, где была расположена головка имплантата. Окраска гематоксилином и эозином
Figure 4 (e, f). Proximal tibia of the rabbits 4 weeks after implants installation: e — numerous metal particles in the red bone marrow with an inflammatory reaction between the cancellous bone tissue and the implant; f — ingrowth of metal fragments (arrows) into regenerating bone tissue, with signs of sclerosis and cicatricial changes at the edge of the hole where the implant head was located. Hematoxylin and eosin staining
Микроскопически во 2-й серии эксперимента: наблюдается выраженная воспалительная реакция с большим количеством лейкоцитов и внесосудистых эритроцитов, макрофагов (стрелки). Большое количество лакун с инородными фрагментами в склерозированной губчатой костной ткани. Местами инородные фрагменты «замурованы» в костную ткань, местами расположены изолированно, без какой-либо реакции со стороны окружающих тканей (рис. 4 c, d).
Микроскопически в 3-й серии эксперимента: многочисленные частицы в красном костном мозге с воспалительной реакцией между губчатой костной тканью и имплантатом. Отмечено врастание инородных фрагментов (стрелки) в костную ткань за счет оппозиционного роста последней, с признаками склероза по линии соприкосновения с поверхностью имплантата (рис. 4 е, f).
Необходимо обратить внимание, что ни в одном срезе ни у одного животного 1-й серии эксперимента не были отмечены инородные фрагменты ни в губчатой, ни в компактной кости. Во 2-й и 3-й сериях эксперимента присутствуют инородные фрагменты различных размеров в костной ткани как компактного, так и губчатого строения (табл. 1).
Таблица 1. Размер и особенности распределения инородных фрагментов в костных тканях ПОБК кроликов через 4 нед. после фиксации титановых имплантатов с различным характером поверхности
Параметр | Серия эксперимента | Оценка различия | U-критерий Манна – Уитни (p) | |||
2-я серия (покрытие с серебром) | 3-я серия (покрытие с цинком) | |||||
n | Мe [Q1-Q3] M±SD (min-max) | n | Мe [Q1-Q3] M±SD (min-max) | μ (95% ДИ) СРС (95% ДИ) | ||
Средний диаметр фрагмента в губчатой костной ткани, мкм | 19 | 11,21±10,68 (2–30) | 18 | 20,67±8,08 (7–35) | 11,6 (5; 17) -0,99 (-1,68; -0,31) | 0,004* |
Средний диаметр фрагмента в компактной костной ткани, мкм | 28 | 10 [5–15] 9,50±4,17 (5–15) | 27 | 20 [10–25] 17,78±7,95 (10–30) | 5 (5; 14) -1,31 (-1,9; -0,73) | <0,001* |
Средний диаметр групп фрагментов в губчатой костной ткани, мкм | 11 | 70 [50–135] 88,18±49,76 (40–170) | 11 | 50 [40–70] 60,0±25,3 (40–110) | -10 (-80; 10) 0,71 (-0,15; 1,58) | 0,150 |
Средний диаметр групп фрагментов в компактной костной ткани, мкм | 10 | 155,00±35,98 (100–210) | 12 | 246,67±39,62 (180–310) | 90 (60; 130) -2,41 (-3,53; -1,29) | <0,001* |
Параметр | Серия эксперимента | Оценка различия | U-критерий Манна – Уитни (p) | |||
2-я серия (покрытие с серебром) | 3-я серия (покрытие с цинком) | |||||
n | Мe [Q1-Q3] M±SD (min-max) | n | Мe [Q1-Q3] M±SD (min-max) | μ (95% ДИ) СРС (95% ДИ) | ||
Среднее расстояние между фрагментами (их группами) в губчатой костной ткани, мкм | 26 | 200 [180–240] 215,77±47,17 (150–310) | 28 | 220,71±50,77 (170–350) | 0 (-30; 30) -0,1 (-0,63; 0,43) | 0,848 |
Среднее расстояние между фрагментами (их группами) в компактной костной ткани, мкм | 23 | 240 [220–290] 253,04±44,87 (200–340) | 20 | 325 [265–350] 308,00±50,85 (240–380) | 50 (30; 90) -1,15 (-1,8; -0,5) | 0,001* |
* — статистически значимо различающиеся показатели, n — количество измерений, СРС — стандартизованная разница средних.
Во 2-й серии инородные фрагменты оказались меньше по размеру, чем в 3-й, как в компактной (на 84,4%), так и в губчатой костной ткани (на 87,2%). Средний диаметр групп фрагментов и среднее расстояние между фрагментами покрытия или их группами в губчатой костной ткани статистически значимо не различались, а в компактной были на 59,1% и 21,2% больше в 3-й серии соответственно.
ОБСУЖДЕНИЕ
Титановые имплантаты с шероховатой поверхностью были хорошо интегрированы в костную ткань ПОБК. Об этом свидетельствуют как технические трудности при удалении имплантатов из кости, так и фрагменты тканей на поверхности изделия и сформировавшийся дефект костной ткани с неровными контурами на месте удаленного имплантата. Известно, что при удалении винтовых имплантатов с гладкой поверхностью в таких же условиях в костной ткани формируется костный дефект с ровными краями, соответствующими размеру имплантата [7]. Таким образом, шероховатая фигурная поверхность титановых 3D-имплантатов способствует их остеоинтеграции с тканями костного ложа. Эти данные подтверждаются другими исследованиями, посвященными изучению имплантатов с кальций-фосфатным покрытием и без него, при этом А.А. Корыткин c соавторами отмечают, что наличие кальций-фосфатного покрытия не всегда способствует лучшему остеогенезу [5]. Некоторые авторы также делают вывод о перспективности различных кальций-фосфатных покрытий [5, 17].
Аналогично с данными литературы [2, 5, 17], в настоящем исследовании отсутствие активной воспалительной реакции, гигантских клеток инородных тел, обширной грубой соединительнотканной капсулы в окружающих тканях в 1-й серии эксперимента через 4 нед. наблюдения свидетельствует о биоинертности титановых материалов без покрытия.
Через 4 нед. после установки в ПОБК титановых имплантатов с кальций-фосфатным покрытием, содержащим серебро или цинк, в окружающих тканях отмечено появление инородных фрагментов, которых не было после использования 3D-имплантатов из титана без модификации поверхности. Средние размеры этих инородных фрагментов в 3-й серии эксперимента были примерно в два раза крупнее по сравнению со 2-й серией эксперимента. Это может быть связано как с различиями в прикреплении ионов к поверхности изделий во время модификации поверхности (ионы каждого металла формируют группы определенного размера), так и с особенностями реакций организма на тот или иной металл. Возможно, что отщепляемые с поверхности имплантата частицы цинка изначально крупнее по размеру. Также не исключено, что фрагменты серебра быстрее разделяются в тканях на более мелкие из-за особенностей взаимодействия с живыми клетками, особенно осуществляющими неспецифическую защиту (макрофагами) и имеющими различные металлопротеиназы.
То, что средний диаметр групп фрагментов и среднее расстояние между фрагментами покрытия или их группами в губчатой костной ткани статистически значимо не различались, по-видимому, обусловлено установкой имплантата именно в компактную костную ткань ПОБК. То есть частицы металла, отщепленные с поверхности изделий, мигрируют в компактную костную ткань по мере ее регенерации вокруг имплантатов, тогда как в губчатую кость инородные фрагменты попадают, только пройдя компактную ткань. К моменту морфологического исследования металлические фрагменты достаточно хорошо инфильтрируют компактную ткань, но только начинают миграцию по губчатой ткани и еще не успевают широко разойтись, расстояние между ними небольшое и статистически значимо не отличается в случае применения для модификации поверхностей ионов цинка или серебра.
Меньшее расстояние между фрагментами серебра, как и меньший диаметр самих групп частиц этого металла, наиболее вероятно, обусловлено различными реакциями организма на разные металлы. Частицы цинка более-менее свободно мигрируют по костной ткани, тогда как фрагменты серебра более активно группируются, возможно, для инактивации обволакиванием фибрином, или для последующего фагоцитоза, или инкапсуляции, или даже элиминации.
Похожие результаты были получены в экспериментальном исследовании М.Д. Сманалиева и И.М. Юлдашева, но средний размер фрагментов составлял 697 нм. Причем авторы указывают, что это не может являться окончательным результатом, поскольку данные объекты могут представлять собой агрегаты слипшихся частиц меньшего размера [10]. О присутствии серебра в тканях нижней челюсти после имплантации мини-пластин из сплава технически чистого титана с серебром в область мандибулярного перелома взрослым собакам через 12 нед. сообщают J.H. Lee с соавторами [9]. В работе М.В. Стогова с соавторами сообщается о положительном влиянии кальций-фосфатного покрытия, содержащего цинк, на остеоинтеграцию, по сравнению с изделием без покрытия [17].
Тем не менее присутствие инородных фрагментов в костных тканях ПОБК после установки титановых 3D-имплантатов с любым покрытием является нежелательным явлением, поскольку свидетельствует о нарушении целостности покрытия и нивелировании тех свойств, которые модификация поверхности должна придать имплантату. Кроме того, наличие инородных тел в некоторых случаях инициирует асептический воспалительный процесс. Микроподвижность инородных фрагментов и механическое повреждение тканей приводят к полнокровию и повреждению сосудов, тканей с последующей их лейкоцитарной инфильтрацией. Все это препятствует остеоинтеграции имплантатов с костной тканью и, как следствие, приводит к их нестабильности, что подтверждается формированием толстой прослойки соединительной ткани между имплантатом и компактной или губчатой костной тканью. Это утверждение также подтверждается данными литературы [2, 18]. Показатели механической стабильности, прочность адгезии к имплантату, являющемуся носителем покрытия, сравнимы по данным как российской, так и зарубежной литературы [2, 3, 5, 18], учитывая аналогичные этапы производства имплантатов. Наличие инородных частиц и их микроподвижность могут инициировать микротравматизацию и асептическое воспаление. В результате длительного воспаления инородные частицы инкапсулируются соединительной или костной тканью, что исключает их контакт с окружающими тканями. Наличие продолжительного воспалительного процесса приводит к появлению гранулематозного компонента с образованием многоядерных макрофагов с последующим склерозированием и деформацией костной ткани ложа. Такая измененная компактная костная ткань, по-видимому, не сможет обеспечить достаточно прочную фиксацию имплантата в костном ложе.
Кроме того, разные типы соединительной ткани, окружающие инородные фрагменты в тканях, указывают на то, что эти фрагменты попали в ткани не одномоментно во время имплантации, а в разное время. При этом нельзя исключить появление инородных фрагментов и в процессе удаления имплантатов из кости уже после завершения эксперимента. Об этом свидетельствуют свободно расположенные инородные фрагменты без лейкоцитарной, микроциркуляторной и соединительнотканной реакции вокруг них.
В современной литературе обсуждается вопрос модификации поверхности титановых имплантатов с помощью ионов серебра для придания последним антибактериальных свойств для профилактики периоперационных осложнений [8, 9, 10, 11, 19, 20, 21]. Частицы серебра нетоксичны, не окисляются на воздухе, стабильны в воде, обладают высокой прочностью и гидрофильностью и не вызывают аллергических реакций [10]. Серебро способно сдерживать рост бактерий и при этом оказывать супрессирующее и даже деструктивное действие на окружающие клетки, в том числе остеобласты [20, 21]. Кроме того, ионы серебра инициируют апоптоз у пролиферирующих клеток, способны вызвать цитотоксическое и даже способны иметь генотоксическое действие [22, 23]. Вероятнее всего, большое значение имеет расчет дозы и состояние компонента в покрытии, а также сочетание с другими химическими элементами. Следует отметить, что эффективность остеоинтеграции известных кальций-фосфатных покрытий варьирует от исследования к исследованию, при этом полученная морфологическая картина в группах с кальций-фосфатным покрытием с напылением серебром и цинком схожа с данными, полученными другими исследователями [2, 17, 18].
Необходимо продолжить исследования с возможным изменением техники нанесения покрытий или их толщины для предупреждения повреждений и нарушения целостности модифицирующих покрытий. Наличие соединительнотканной капсулы вокруг некоторых фрагментов различной толщины и степени зрелости косвенно свидетельствует о наличии микроподвижности таких фрагментов с микротравматизацией окружающих тканей. Наличие инородных фрагментов, фактически «замурованных» в костную ткань, говорит о биоинертности покрытий и способности к остеоинтеграции.
ЗАКЛЮЧЕНИЕ
Во всех случаях имплантированные в проксимальный отдел бедренной кости титановые изделия с фигурной шероховатой поверхностью очень плотно прилегают к костной ткани, края которой имеют незначительные рубцовые изменения. Титановые имплантаты инертны для живого организма и хорошо совместимы с его тканями, о чем свидетельствует отсутствие активной воспалительной реакции, гигантских клеток инородных тел, обширной грубой соединительнотканной капсулы непосредственно в месте контакта во всех наблюдениях. Вместе с этим извлечение таких имплантатов затруднено, на их поверхности остается множество тканевых фрагментов. Титановые изделия с фигурной шероховатой поверхностью можно применять только для длительного внедрения в ткани организма, когда впоследствии не требуется удаление имплантированного материала. Титановые имплантаты с модифицированной поверхностью продемонстрировали склонность к остеоинтеграции, даже при повреждении покрытия с формированием инородных фрагментов, мигрирующих в окружающие ткани. Дальнейшие исследования в данной области позволят реализовать положительные свойства модифицированной поверхности в полном объеме, в том числе положительные антимикробные свойства серебра и цинка, подтвержденные в экспериментах in vitro.
ДОПОЛНИТЕЛЬНАЯ ИНФОРМАЦИЯ
Заявленный вклад авторов
Все авторы сделали эквивалентный вклад в подготовку публикации.
Все авторы прочли и одобрили финальную версию рукописи статьи. Все авторы согласны нести ответственность за все аспекты работы, чтобы обеспечить надлежащее рассмотрение и решение всех возможных вопросов, связанных с корректностью и надежностью любой части работы.
Источник финансирования. Исследование выполнено в рамках государственного задания ФГБУН «ИХБФМ» СО РАН «Фундаментальные основы сохранения здоровья нации» № FWGN-2025-0019 и государственного задания ФГБУ «ННИИТО им. Я.Л. Цивьяна» Минздрава России «Изучение эффективности применения индивидуальных имплантатов, напечатаных на 3D-принтере, с биоактивным покрытием (CaP, Zn, Ag) при замещении дефектов костной ткани различной локализации» № 1023022700006-3-3.2.10.
Возможный конфликт интересов. Авторы декларируют отсутствие явных и потенциальных конфликтов интересов, связанных с публикацией настоящей статьи.
Этическая экспертиза. Исследование выполнено с соблюдением ГОСТ 33215-2014, ГОСТ 33216-2014, требований Директивы 2010/63/EU Европейского парламента и Совета ЕС о защите животных, используемых в научных целях. Исследование одобрено локальным комитетом по этике при ФГБУ «ННИИТО им. Я.Л. Цивьяна» Минздрава России (выписка № 010/22 из протокола заседания № 004/22 от 21 апреля 2022 г.).
Информированное согласие на публикацию. Не требуется.
DISCLAIMERS
Author contribution
All authors made equal contributions to the study and the publication.
All authors have read and approved the final version of the manuscript of the article. All authors agree to bear responsibility for all aspects of the study to ensure proper consideration and resolution of all possible issues related to the correctness and reliability of any part of the work.
Funding source. State budgetary funding.
Disclosure competing interests. The authors declare that they have no competing interests.
Ethics approval. The study was conducted in compliance with the principles of humane treatment of laboratory animals in accordance with the requirements of the European Convention for the Protection of Vertebrate Animals used for Experiments and other Scientific Purposes and Directive 2010/63/EU of the European Parliament and the Council of the European Union of September 22, 2010 on the protection of animals used for scientific purposes. The study was approved by the local ethics committee of Novosibirsk Research Institute of Traumatology and Orthopedics n.a. Ya.L. Tsivyan (extract No 010/22 from protocol No 004/22, 21.04.2022).
Consent for publication. Not required.
About the authors
Igor V. Maiborodin
Institute of Chemical Biology and Fundamental Medicine
Email: imai@mail.ru
ORCID iD: 0000-0002-8182-5084
Dr. Sci. (Med.), Professor
Russian Federation, NovosibirskVitalina I. Maiborodina
Institute of Chemical Biology and Fundamental Medicine
Email: imai@mail.ru
ORCID iD: 0000-0002-5169-6373
Dr. Sci. (Med.)
Russian Federation, NovosibirskBoris V. Sheplev
Institute of Chemical Biology and Fundamental Medicine
Email: imai@mail.ru
ORCID iD: 0009-0008-4140-3531
Dr. Sci. (Med.)
Russian Federation, NovosibirskYuri P. Sharkeev
Institute of Strength Physics and Materials Science
Email: sharkeev@ispms.ru
ORCID iD: 0000-0001-5037-245X
Dr. Sci. (Phys.-Math.), Professor
Russian Federation, TomskMariya B. Sedelnikova
Institute of Strength Physics and Materials Science
Email: smasha5@yandex.ru
ORCID iD: 0000-0002-5741-6053
Dr. Sci. (Tech.), Associate Professor
Russian Federation, TomskVitaliy V. Pavlov
Novosibirsk Research Institute of Traumatology and Orthopedics n.a. Ya.L. Tsivyan
Email: pavlovdoc@mail.ru
ORCID iD: 0000-0002-8997-7330
Dr. Sci. (Med.), Associate Professor
Russian Federation, NovosibirskVyacheslav A. Bazlov
Novosibirsk Research Institute of Traumatology and Orthopedics n.a. Ya.L. Tsivyan
Email: sbazlov@yandex.ru
ORCID iD: 0000-0001-8982-5516
Cand. Sci. (Med.)
Russian Federation, NovosibirskEvgeniya A. Anastasieva
Novosibirsk Research Institute of Traumatology and Orthopedics n.a. Ya.L. Tsivyan
Email: evgeniya.anastasieva@gmail.com
ORCID iD: 0000-0002-9329-8373
Russian Federation, Novosibirsk
Maxim V. Efimenko
Novosibirsk Research Institute of Traumatology and Orthopedics n.a. Ya.L. Tsivyan
Email: pavlovdoc@mail.ru
ORCID iD: 0000-0003-1516-7877
Russian Federation, Novosibirsk
Irina А. Kirilova
Novosibirsk Research Institute of Traumatology and Orthopedics n.a. Ya.L. Tsivyan
Author for correspondence.
Email: irinakirilova71@mail.ru
ORCID iD: 0000-0003-1911-9741
Dr. Sci. (Med.), Associate Professor
Russian Federation, NovosibirskAndrey A. Korytkin
Novosibirsk Research Institute of Traumatology and Orthopedics n.a. Ya.L. Tsivyan
Email: andrey.korytkin@gmail.com
ORCID iD: 0000-0001-9231-5891
Cand. Sci. (Med.), Associate Professor
Russian Federation, NovosibirskReferences
- Velasco-Ortega E., Alfonso-Rodríguez C.A., Monsalve-Guil L., España-López A., Jiménez-Guerra A., Garzón I. et al. Relevant aspects in the surface properties in titanium dental implants for the cellular viability. Mater Sci Eng C Mater Biol Appl. 2016;64:1-10. doi: 10.1016/j.msec.2016.03.049.
- López-Valverde N., López-Valverde A., Aragoneses J.M., Macedo de Sousa B., Rodrigues M.J., Ramírez J.M. Systematic Review and Meta-Analysis of the Effectiveness of Calcium-Phosphate Coating on the Osseointegration of Titanium Implants. Materials (Basel). 2021;14(11):3015. doi: 10.3390/ma14113015.
- Costa Filho P.M.D., Marcantonio C.C., Oliveira D.P., Lopes M.E.S., Puetate J.C.S., Faria L.V. et al. Titanium micro-nano textured surface with strontium incorporation improves osseointegration: an in vivo and in vitro study. J Appl Oral Sci. 2024;32:e20240144. doi: 10.1590/1678-7757-2024-0144.
- Su Y., Komasa S., Li P., Nishizaki M., Chen L., Terada C., Yoshimine S. et al. Synergistic effect of nanotopography and bioactive ions on peri-implant bone response. Int J Nanomedicine. 2017;12:925-934. doi: 10.2147/IJN.S126248.
- Корыткин А.А., Орлинская Н.Ю., Новикова Я.С., Герасимов С.А., Давыденко Д.В., Кулакова К.В. и др. Биосовместимость и костная интеграция титановых имплантатов различной пористости с кальций-фосфатным покрытием и без покрытия. Современные технологии в медицине. 2021;13(2): 52-58. doi: 10.17691/stm2021.13.2.06. Korytkin A.A., Orlinskaya N.Yu., Novikova Ya.S., Gerasimov S.A., Davydenko D.V., Kulakova K.V. et al. Biocompatibility and osseointegration of calcium phosphate-coated and non-coated titanium implants with various porosities. Modern Technologies in Medicine. 2021;13(2):52-58. (In Russian). doi: 10.17691/stm2021.13.2.06.
- Tan N., Liu X., Cai Y., Zhang S., Jian B., Zhou Y. et al. The influence of direct laser metal sintering implants on the early stages of osseointegration in diabetic mini-pigs. Int J Nanomedicine. 2017;12:5433-5442. doi: 10.2147/IJN.S138615.
- Майбородин И.В., Шевела А.А., Тодер М.С., Шевела А.И. Современные тенденции выбора и обработки материалов для дентальной имплантации. Стоматология. 2018;(4):68-76. doi: 10.17116/stomat20189704168. Maiborodin I.V., Shevela A.A., Toder M.S., Shevela A.I. Current trends of the choice and processing of materials for dental implantation. Stomatology. 2018;97(4):68-76. (In Russian). doi: 10.17116/stomat20189704168.
- Tsikopoulos K., Sidiropoulos K., Kitridis D., Hassan A., Drago L., Mavrogenis A. et al. Is coating of titanium implants effective at preventing Staphylococcus aureus infections? A meta-analysis of animal model studies. Int Orthop. 2021;45:821-835. doi: 10.1007/s00264-020-04660-4.
- Lee J.H., Kwon J.S., Moon S.K., Uhm S.H., Choi B.H., Joo U.H. et al. Titanium-silver alloy miniplates for mandibular fixation: In vitro and in vivo study. J Oral Maxillofac Surg. 2016;74(8):1622.e1-1622.e12. doi: 10.1016/j.joms.2016.04.010.
- Сманалиев М.Д., Юлдашев И.М. Возможности покрытия поверхности дентальных титановых имплантатов нано частицами из нано раствора серебра. Бюллетень науки и практики. 2021;7(9):308-314. doi: 10.33619/2414-2948/70/26. Smanaliev M., Yuldashev I. Possibilities of Dental Titanium Implants Surface Coating With Nano Particles from Nano Silver Solution. Bulletin of Science and Practice. 2021;7(9):308-314. (In Russian). doi: 10.33619/2414-2948/70/26.
- Николаев Н.С., Любимова Л.В., Пчелова Н.Н., Преображенская Е.В., Алексеева А.В. Использование имплантатов с покрытием на основе двумерно-упорядоченного линейно-цепочечного углерода, легированного серебром, для лечения перипротезной инфекции. Травматология и ортопедия России. 2019;25(4):98-108. doi: 10.21823/2311-2905-2019-25-4-98-108. Nikolaev N.S., Lyubimova L.V., Pchelova N.N., Preobrazhenskaya E.V., Alekseeva A.V. Treatment of Periprosthetic Infection with Silver-Doped Implants Based on Two-Dimensional Ordered Linear Chain Carbon. Traumatology and Orthopedics of Russia. 2019;25(4):98-108. (In Russian). doi: 10.21823/2311-2905-2019-25-4-98-108.
- Liu R., Memarzadeh K., Chang B., Zhang Y., Ma Z., Allaker R.P. et al. Antibacterial effect of copper-bearing titanium alloy (Ti-Cu) against Streptococcus mutans and Porphyromonas gingivalis. Sci Rep. 2016;6:29985. doi: 10.1038/srep29985.
- Heo D.N., Ko W.K., Lee H.R., Lee S.J., Lee D., Um S.H. et al. Titanium dental implants surface-immobilized with gold nanoparticles as osteoinductive agents for rapid osseointegration. J Colloid Interface Sci. 2016:469: 129-137. doi: 10.1016/j.jcis.2016.02.022.
- Li M., Wu G., Wang M., Hunziker E.B., Liu Y. Crystalline biomimetic calcium phosphate coating on mini-pin implants to accelerate osseointegration and extend drug release duration for an orthodontic application. Nanomaterials. 2022;12(14):2439. doi: 10.3390/nano12142439.
- Lin X., Chen J., Liao Y., Pathak J.L., Li H., Liu Y. Biomimetic calcium phosphate coating as a drug delivery vehicle for bone tissue engineering: A mini-review. Coatings. 2020;10(11):1118. doi: 10.3390/coatings10111118.
- Шаркеев Ю.П., Седельникова М.Б., Толкачева Т.В., Щеглова Н.А., Панченко А.А., Красовский И.Б. и др. Микродуговые Zn- и Ag-содержащие покрытия для имплантатов со сложной поровой архитектурой, полученных методом 3D-печати из титанового сплава. Травматология и ортопедия России. 2020;26(2): 109-119. doi: 10.21823/2311-2905-2020-26-2-109-119. Sharkeev Yu.P., Sedelnikova M.B., Tolkacheva T.V., Shcheglova N.A., Panchenko A.A., Krasovsky I.B. et al. Micro-Arc Zn- and Ag-Containing Coatings for Implants with Complex Porous Architecture Obtained by 3D Printing Method from Titanium Alloy. Traumatology and Orthopedics of Russia. 2020;26(2):109-119. (In Russian). doi: 10.21823/2311-2905-2020-26-2-109-119.
- Стогов М.В., Еманов А.А., Кузнецов В.П., Комарова Е.Г., Горбач Е.Н., Киреева Е.А. и др. Влияние цинксодержащего кальций-фосфатного покрытия на остеоинтеграцию чрескожных имплантатов для протезирования конечностей. Гений ортопедии. 2024;30(5):677-686. doi: 10.18019/1028-4427-2024-30-5-677-686. Stogov M.V., Emanov A.A., Kuznetsov V.P., Komarova E.G., Gorbach E.N., Kireeva E.A. et al. The effect of zinc-containing calcium phosphate coating on the osseointegration of transcutaneous implants for limb prosthetics. Genij Ortopedii. 2024;30(5):677-686. (In Russian). doi: 10.18019/1028-4427-2024-30-5-677-686.
- Germaini M.M., Belhabib S., Guessasma S., Deterre R., Corre P., Weiss P. Additive manufacturing of biomaterials for bone tissue engineering – A critical review of the state of the art and new concepts. Progress in Materials Science. 2022;130:100963. doi: 10.1016/j.pmatsci.2022.100963.
- Renuka R., Devi K.R., Sivakami M., Thilagavathi T., Uthrakumar R., Kaviyarasu K. Biosynthesis of silver nanoparticles using phyllanthus emblica fruit extract for antimicrobial application. Biocatalysis and Agricultural Biotechnology. 2020;24:101567. doi: 10.1016/j.bcab.2020.101567.
- Bruna T., Maldonado-Bravo F., Jara P., Caro N. Silver Nanoparticles and Their Antibacterial Applications. Int J Mol Sci. 2021;22(13):7202. doi: 10.3390/ijms22137202.
- Тапальский Д.В., Осипов В.А., Сухая Г.Н., Ярмоленко М.А., Рогачев А.А., Рогачев А.В. Биосовместимые композиционные антибактериальные покрытия для защиты имплантатов от микробных биопленок. Проблемы здоровья и экологии. 2013; (2):129-134. doi: 10.51523/2708-6011.2013-10-2-24. Tapalskiy D.V., Osipov V.A., Sukhaya G.N., Yarmolenko M.A., Rogachiov A.A., Rogachiov A.V. Biocompatible composite antibacterial coatings for protection of implants against microbial biofilms. Health and Ecology Issues. 2013;(2):129-134. (In Russian). doi: 10.51523/2708-6011.2013-10-2-24.
- Roszak J., Smok-Pieniążek A., Spryszyńska S., Kowalczyk K., Domeradzka-Gajda K., Świercz R. et al. Cytotoxic effects in transformed and non-transformed human breast cell lines after exposure to silver nanoparticles in combination with selected aluminium compounds, parabens or phthalates. J Hazard Mater. 2020;392:122442. doi: 10.1016/j.jhazmat.2020.122442.
- Ferdous Z., Nemmar A. Health Impact of Silver Nanoparticles: A Review of the Biodistribution and Toxicity Following Various Routes of Exposure. Int J Mol Sci. 2020;21(7):2375. doi: 10.3390/ijms21072375.
Supplementary files










