Patient-Specific Bilateral Talus Replacement: A Case Report
- Authors: Skrebtsov V.V.1, Protsko V.G.1,2, Skrebtsov A.V.1, Tamoev S.K.1, Kuznetsov V.V.1
-
Affiliations:
- Yudin City Clinical Hospital
- Peoples’ Friendship University of Russia named after Patrice Lumumba
- Issue: Vol 31, No 1 (2025)
- Pages: 116-124
- Section: Case Reports
- Submitted: 01.07.2024
- Accepted: 19.12.2024
- Published: 12.03.2025
- URL: https://journal.rniito.org/jour/article/view/17577
- DOI: https://doi.org/10.17816/2311-2905-17577
- ID: 17577
Cite item
Full Text
Abstract
Background. Avascular necrosis of the talus predominantly affects individuals of working age. In case of bilateral pathology, determining the optimal treatment strategy remains a relevant and debatable issue.
The aim of the paper was to present the short-term outcomes of the surgical treatment of a patient with bilateral avascular necrosis of the talus using patient-specific ceramic implants.
Case description. A 32-year-old female patient presented with the complaints of bilateral ankle pain, which significantly worsened during walking. Preoperative evaluation showed the following scores: Visual Analog Scale (VAS) — 9 points, American Orthopedic Foot and Ankle Society Ankle-Hindfoot Scale (AOFAS AH) — 25 points, and Foot Function Index (FFI) — 139 points. The diagnosis was confirmed: avascular necrosis of the talus in both feet with bilateral grade 3 post-traumatic ankle osteoarthritis. Based on computed tomography, patient-specific talus prostheses were designed for both feet. The hemiprostheses were made of yttria-stabilized zirconia ceramic. Operations were performed with a 4-month interval: patient-specific talus replacement combined with Broström-Gould lateral ligament reconstruction on the right foot, and patient-specific talus replacement on the left foot. At follow-up 12 months after the surgery on the right foot and 8 months after the surgery on the left foot, the patient was able to walk with full weight-bearing on both lower limbs. Range of motion in both ankle joints was full, with minor pain at extreme points. Postoperative scores were as follows: VAS — 1 point, AOFAS AH — 82 points, and FFI — 28 points. The axial alignment of both ankle joints was normal, with no signs of instability. Control X-rays demonstrated the proper alignment of the ankle joints, an even joint gap, and no evidence of bone destruction.
Conclusion. The analysis of the short-term outcomes in the patient with bilateral avascular necrosis of the talus suggested that the patient-specific talus replacement was a promising treatment option. It preserved ankle joint function and lower limb weight-bearing capacity. Postoperative dynamic pedobarography revealed significant improvement in gait biomechanics.
Full Text
ВВЕДЕНИЕ
Особенности анатомии таранной кости и окружающих мягких тканей делают ее кровоснабжение уязвимым при травмах [1, 2]. Как следствие, травматические повреждения таранной кости являются наиболее распространенной причиной развития аваскулярного некроза, который часто приводит к инвалидизации пациента. Это одна из наиболее распространенных локализаций аваскулярного некроза в опорно-двигательном аппарате в целом [3].
Большинство пациентов с данной патологией трудоспособного возраста. Поэтому желаемый исход в лечении — не только избавление пациента от хронической боли, но и максимальное обеспечение функции стопы, что, в том числе, характеризуется сохранением движений в голеностопном суставе [3].
Тактика лечения аваскулярного некроза зависит от распространенности процесса и морфологических проявлений данного состояния. При отсутствии деформации и дефектов блока таранной кости на начальных этапах применяют консервативные методы лечения, в частности длительную разгрузку пораженной конечности, физиотерапию [4, 5]. В случае локального остеохондрального дефекта используют различные варианты остеохондральных пластик [6, 7]. При тотальном поражении блока таранной кости выполняют артродез голеностопного сустава, панартродез или астрагалэктомию с последующим большеберцово-пяточным артродезом. Указанные выше методики лечения имеют ряд недостатков: высокий риск несращения, длительный период адаптации, ограничение движений, перегрузка смежных отделов стопы и дефекты походки [4, 8].
Одним из наиболее перспективных направлений лечения аваскулярного некроза таранной кости является индивидуальное эндопротезирование таранной кости [9, 10]. Этот метод стал применяться в 1997 г., и в настоящее время имеются публикации, в которых описаны положительные результаты лечения на долгосрочных сроках наблюдения [11, 12].
Цель — представить краткосрочный результат оперативного лечения пациентки с двусторонним аваскулярным некрозом таранных костей методом эндопротезирования индивидуальными керамическими имплантатами.
ОПИСАНИЕ КЛИНИЧЕСКОГО СЛУЧАЯ
Пациентка 32 лет обратилась с жалобами на двустороннюю боль в области голеностопных суставов, резко усиливающуюся во время ходьбы. Отмечала появление болевого синдрома около 1 года назад, травмы в анамнезе отрицала. Консервативное лечение не принесло положительного результата, болевой синдром прогрессировал. Из сопутствующих заболеваний у пациентки диагностирован неспецифический язвенный колит, по поводу которого получала гормональную терапию. На момент обращения неспецифический язвенный колит находился в стадии ремиссии.
При осмотре выявлен умеренный отек мягких тканей в области голеностопных суставов обеих нижних конечностей.
При пальпации определяется выраженная болезненность в проекции суставной щели голеностопных, подтаранных и таранно-ладьевидных суставов с двух сторон. Движения в сагиттальной плоскости в голеностопных суставах ограничены и резко болезненны в крайних точках. Сосудистых и неврологических расстройств не выявлено. Показатели до операции по шкале ВАШ — 9 баллов, AOFAS AH — 25 баллов, FFI — 139 баллов.
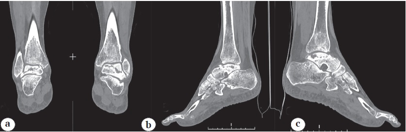
По данным компьютерной томографии выявлены очаги аваскулярного некроза, деструкция и фрагментация таранных костей обеих стоп (рис. 1).
Рис. 1. МСКТ-сканы голеностопных суставов — отмечаются очаги деструкции и коллапс таранных костей обеих стоп: a — коронарный скан голеностопных суставов; b — сагиттальный скан правой стопы; c — сагиттальный скан левой стопы
Figure 1. MSCT scans of the ankle joints demonstrating the destruction foci and collapse of both talus bones: a — a coronal scan of both ankles; b — a sagittal scan of the right foot; c — a sagittal scan of the left foot
По этим данным педобарографии можно сделать вывод о выраженных изменениях биомеханики шага (рис. 2). Ввиду более интенсивного болевого синдрома справа отмечается значительное снижение величин максимального давления, силы в сравнении с контралатеральной конечностью, что свидетельствует об анталгическом характере походки.
Рис. 2. Результаты динамической педобарографии на момент предоперационного планирования: определяется выраженная разница силы левой и правой стоп, увеличение времени контакта, силы и максимального давления в заднем отделе левой стопы
Figure 2. Dynamic pedobarography results at the time of preoperative planning: a pronounced difference in strength between the left and right feet is determined; an increase in contact time, force, and maximum pressure in the left hindfoot is observed
Пациентке установлен диагноз: аваскулярный некроз таранных костей обеих стоп, двусторонний крузартроз 3-й ст.
Было принято решение об эндопротезировании таранных костей обеих стоп индивидуальными керамическими имплантатами. На основании компьютерной томографии выполнили моделирование эндопротезов обеих таранных костей (рис. 3).
Рис. 3. Предоперационное 3D-моделирование таранных костей обеих стоп: a, b — 3D-модели обеих стоп с деструкцией и коллапсом таранных костей; c, d — 3D-модели обеих стоп с эндопротезами таранных костей
Figure 3. Preoperative 3D modeling of both talus bones: a, b — 3D models of both feet with destruction and collapse of the talus bones; c, d — 3D models of both feet with talus prostheses
По материалам КТ произвели построение stl-сетки поверхности костей. После редактирования stl-файлов и создания программ для обработки заготовок изготовили шаблоны имплантатов. В дальнейшем провели механическую обработку заготовок, их спекание и финишную полировку.
При моделировании учитывали взаимоотношения суставной поверхности большеберцовой кости и эндопротеза и осевые взаимоотношения заднего отдела стопы.
Эндопротезы выполнены из циркониевой оксидной керамики, стабилизированной иттрием, которая в настоящее время является одним из самых биосовместимых и биоинертных материалов.
После изготовления эндопротезов пациентке выполнили оперативное вмешательство на правой стопе. Через передний доступ произвели артротомию голеностопного и таранно-ладьевидного суставов. Выделили и удалили некротически измененную таранную кость, установили эндопротез. После установки эндопротеза была выявлена остаточная фронтальная нестабильность голеностопного сустава. Дополнительно выполнили пластику латерального связочного комплекса по Broström – Gould с использованием удерживателя разгибателей пальцев [13]. Иммобилизацию голеностопного сустава осуществляли задней гипсовой шиной в течение 4 нед. Проводили стандартную профилактику тромбоэмболических осложнений. После прекращения иммобилизации пациент выполнял разработку движений в голеностопном суставе. Опороспособность правой нижней конечности была восстановлена через 1 мес. после операции. Эндопротезирование таранной кости на левой стопе выполнили через 4 мес. после первого оперативного вмешательства. Интраоперационно у пациентки не было выявлено признаков нестабильности голеностопного сустава, поэтому пластику латерального связочного комплекса не проводили. Иммобилизация левого голеностопного сустава гипсовой шиной осуществлялась в течение 4 нед. Опороспособность была восстановлена в тот же срок, что и на контралатеральной стопе.
На контрольном осмотре через 12 мес. после операции на правой стопе и через 8 мес. после операции на левой стопе пациентка ходила с полной опорой на обе нижние конечности.
Пациентка полностью вернулась к привычному образу жизни, возобновила трудовую деятельность. При осмотре отмечается незначительный отек мягких тканей обеих стоп. Послеоперационные рубцы состоятельные без признаков воспаления. Амплитуда движений в правом и левом голеностопных суставах полная. Осевые соотношения правого и левого голеностопного сустава правильные, признаков нестабильности нет. Результаты тестирования по шкалам: ВАШ — 1 балл, AOFAS AH — 82 балла, FFI — 28 баллов.
На контрольных рентгенограммах осевые соотношения в голеностопных суставах правильные, суставные щели равномерные, костных деструкций не определяется (рис. 4). Величина угла наклона пяточной кости левой стопы — 23°, правой стопы — 22°. Величина угла Maery левой стопы — 13°, правой стопы — 18°.
Рис. 4. Рентгенограммы обеих стоп и голеностопных суставов в послеоперационном периоде — суставные щели равномерные, костных деструкций не определяется: a — правая и левая стопы в переднезадней проекции через 8 мес. после последней операции; b — правая стопа в боковой проекции через 12 мес. после операции; c — левая стопа в боковой проекции через 8 мес. после операции
Figure 4. X-rays of both feet and ankles in the postoperative period; the joint gaps are equal, bone destructions are not observed: a — right and left feet in AP view in 8 months after the last operation; b — right foot in lateral view in 12 months after operation; c — left foot in lateral view in 8 months after operation
Результаты динамической педобарографии в послеоперационном периоде отображают позитивные изменения биомеханики шага (табл. 1, рис. 5).
Таблица 1. Показатели динамической педобарографии обеих стоп до и после лечения
Показатель | Левая стопа | Правая стопа | ||||
до | после | разница | до | после | разница | |
Максимальное давление, кПа | 275 | 301 | 9,5% (28 кПа) | 163 | 282 | 73% (119 кПа) |
задний отдел стопы | 275 | 262 | 4,7% (13 кПа) | 163 | 190 | 16,6% (27 кПа) |
передний отдел стопы | 128 | 301 | 135,2% (173 кПа) | 261 | 282 | 8% (21 кПа) |
Максимальная сила, кг | 43,6 | 57,6 | 32,1% (14 кг) | 26,7 | 44,7 | 67,4% (18 кг) |
Время цикла шага, сек. | 1,8 | 0,96 | 46,7% (0,84 сек.) | 1,87 | 0,70 | 62,6% (1,17 сек.) |
Фаза опоры, сек. | 1,14 | 0,78 | 31,6% (0,36 сек.) | 1,16 | 0,53 | 54,3 % (0,63 сек.) |
% цикла шага | 87% | 81% | 6% | 61% | 77% | 16% |
Фаза переноса, сек. | 0,66 | 0,18 | 72,7% (0,48 сек.) | 0,72 | 0,17 | 76,4% (0,55 сек.) |
% цикла шага | 13% | 19% | 6% | 39% | 24% | 15% |
Контакт заднего отдела стопы, сек. | 0,94 | 0,52 | 44,7% (0,42 сек.) | 0,64 | 0,36 | 43,8% (0,28 сек.) |
% фазы опоры | 81% | 66% | 15% | 56% | 66% | 10% |
Фаза реакции на нагрузку, сек. | 0 | 0,04 | 0% | 0,10 | 0,12 | 20% (0,02 сек.) |
% фазы опоры | 0% | 5,13% | 5,13% | 8,6% | 22,6% | 14% |
Фаза середины опоры, сек. | 0,62 | 0,34 | 45,2% (0,28 сек.) | 0,48 | 0,34 | 29,2% (0,14 сек.) |
% фазы опоры | 54,4% | 43,6% | 10,8% | 41,4% | 64,2% | 22,8% |
Пропульсивное время, сек. | 0,22 | 0,26 | 18,2% (0,04 сек.) | 0,51 | 0,18 | 64,7% (0,33 сек.) |
% периода опоры | 19% | 33% | 14% | 44% | 33% | 11% |
Длина шага, см | 38,6 | 48,8 | 26,4% (10,2 см) | 39,2 | 52,0 | 32,5% (12,8 см) |
Рис. 5. Результаты динамической педобарографии на момент контрольного осмотра: отмечается увеличение силы, максимального давления и времени контакта в переднем отделе обеих стоп в сравнении с предоперационным периодом
Figure 5. Dynamic pedobarography results at the time of the follow-up examination: comparing to the preoperative period, an increase in force, maximum pressure and contact time in the forefoot of both feet is noted
Увеличились максимальное давление, время контакта в переднем отделе обеих стоп и время пропульсии в сравнении с предоперационным периодом.
ОБСУЖДЕНИЕ
Наиболее распространенным методом лечения тотального аваскулярного некроза таранной кости является большеберцово-таранно-пяточный или большеберцово-пяточный артродез [14]. Одним из главных недостатков большеберцово-пяточного артродеза является укорочение нижней конечности после выполненной астрагалэктомии [15]. Для предотвращения данной проблемы используют костные алло- или аутотрансплантаты [16]. Несмотря на хорошие остеоиндуктивные свойства аутотрансплантатов, спецификой их применения является ограниченный объем имплантата и риск болезни донорского места [17]. Аллотрансплантаты позволяют избежать осложнений на донорском участке, но имеют меньший потенциал для костной интеграции. Некоторые авторы применяют танталовые или титановые спейсеры в качестве альтернативы [18].
В ретроспективном исследовании C. Frey с соавторами сообщили о 41% несостоятельности костного анкилоза голеностопного сустава [19]. M.H. Perlman и D.B. Thordarson описали 28% случаев несращения артродеза голеностопного сустава у 67 пациентов, получивших лечение посттравматического остеоартрита голеностопного сустава [20].
Артродез голеностопного сустава и суставов заднего отдела стопы приводит к глубоким нарушениям биомеханики всей нижней конечности. Определяются изменения максимального подошвенного давления, силы стопы, времени контакта и изменения в фазах шага. При этом существенно изменяется распределение нагрузки на неблокированные суставы стопы. Результаты исследования A. Suckel с соавторами продемонстрировали, что после артродеза голеностопного сустава происходит увеличение прилагаемой силы и пикового давления в медиальных отделах стопы, что биомеханически объясняет дегенерацию хряща в смежных суставах стопы в отдаленном периоде [21]. Также отмечается возможное увеличение максимального давления в переднем отделе стопы, которое может являться причиной стрессовых переломов плюсневых костей [22].
Применение артродезирования у нашей пациентки привело бы к грубой дисфункции заднего отдела стоп и голеностопных суставов, одномоментной ригидности обеих стоп. Мы предполагаем, что двустороннее поражение существенно затруднило бы реабилитацию и восстановление.
Эндопротезирование таранной кости — альтернатива артродезам, его применяют для функционального восстановления голеностопного сустава и стопы. Публикации, посвященные индивидуальному эндопротезированию таранной кости при ее аваскулярном некрозе, многочисленны и свидетельствуют о высокой эффективности метода, хорошей выживаемости эндопротеза таранной кости [23, 24]. T. Jennison c соавторами провели анализ 9 публикаций, посвященных эндопротезированию таранной кости, в которых были описаны результаты лечения 115 пациентов. Среднее время наблюдения составило от 12,8 до 152 мес. Результаты анализа подтвердили эффективность данного метода при лечении пациентов с тотальным аваскулярным некрозом таранной кости [10].
Для изготовления эндопротеза наиболее часто применяют металлические сплавы: кобальт-хром, нержавеющая сталь, титан с керамической поверхностью [25]. Однако пара трения металл-хрящ, по данным исследователей, является не самой долговечной и сопряжена с возникновением ряда осложнений за счет накопления продуктов износа металла и хряща в полости сустава [26]. Пара трения керамика-хрящ имеет лучшие трибологические свойства и является наиболее щадящей к хрящу. В настоящее время применяется аллюмоксидная или циркониевая оксидная керамика. По мнению A. Salehi с соавторами и J. Vanlommel с соавторами, среди различных видов керамики циркониевая стабилизированная керамика обладает в настоящее время наилучшими характеристиками [27, 28].
Руководствуясь этой информацией, учитывая возраст пациентки и вероятность проведения ревизионных оперативных вмешательств, мы применили именно керамические протезы, а не полированные титановые, в расчете на максимально долгий срок службы. Выбор таких материалов потенциально может уменьшить количество ревизионных операций.
Как правило, основой для моделирования эндопротеза таранной кости служат данные МСКТ, полученные при сканировании контралатеральной стопы. Далее полученная модель проецируется на поврежденную стопу. Эндопротезирование таранных костей при двустороннем аваскулярном некрозе сопряжено со значительными трудностями при моделировании индивидуального имплантата.
Для создания индивидуального протеза без контралатерального образца мы использовали данные МСКТ, которые ранее выполнялись пациенткой для этапной оценки состояния. Несмотря на трудоемкость моделирования и изготовления эндопротеза, данная методика позволяет достичь наилучшей адаптации эндопротеза под имеющиеся особенности анатомии пациента. Рентгенологическая картина, на которой мы видим визуальную конгруэнтность, и улучшение клинического состояния пациентки позволяет сказать, что избранный нами метод был эффективен.
Одними из главных задач эндопротезирования таранной кости являются сохранение движений в голеностопном суставе и суставах заднего отдела стопы и нормализация биомеханики шага.
T. Chen с соавторами при помощи метода конечных элементов построили математическую модель стопы после имплантации эндопротеза таранной кости и эндопротеза голеностопного сустава. Математические расчеты показали, что эндопротезирование таранной кости позволяет воспроизвести движения в суставах стопы, которые больше похожи на кинематику здоровой походки [29].
Представленные результаты динамической педобарографии пациентки свидетельствуют об улучшении биомеханики шага после индивидуального эндопротезирования таранных костей обеих стоп. При этом мы наблюдали различные показатели динамической педобарографии обеих стоп. Анализ рентгенограмм в послеоперационном периоде позволил отметить, что угол наклона таранной кости обеих стоп отличается. На правой стопе таранная кость расположена более вертикально, и мы наблюдали сравнительно большее распределение нагрузки на средний отдел стопы, что типично для плоско-вальгусной деформации. На левой стопе таранная кость имела более правильное анатомическое положение: нагрузка распределялась больше на передний и задний отделы стопы, что в большей степени соответствует нормальному распределению нагрузки. В то же время разница в распределении нагрузки не отразилась на клинической картине и не ощущалась пациентом.
При анализе литературы мы не отметили публикаций, которые бы описывали объективные биомеханические изменения стопы у пациентов после двустороннего эндопротезирования таранных костей. На наш взгляд, данные динамической педобарографии, представленные в данной публикации, могут вызвать интерес научного сообщества.
ЗАКЛЮЧЕНИЕ
Данное клиническое наблюдение показало успех двустороннего эндопротезирования таранных костей на ранних послеоперационных сроках. Требуется более масштабное исследование для оценки отдаленных результатов применения метода, а также сравнения этих результатов с результатами других подходов к лечению тотального аваскулярного некроза таранной кости.
ДОПОЛНИТЕЛЬНАЯ ИНФОРМАЦИЯ
Заявленный вклад авторов
Все авторы сделали эквивалентный вклад в подготовку публикации.
Все авторы прочли и одобрили финальную версию рукописи статьи. Все авторы согласны нести ответственность за все аспекты работы, чтобы обеспечить надлежащее рассмотрение и решение всех возможных вопросов, связанных с корректностью и надежностью любой части работы.
Источник финансирования. Авторы заявляют об отсутствии внешнего финансирования при проведении исследования.
Возможный конфликт интересов. Авторы декларируют отсутствие явных и потенциальных конфликтов интересов, связанных с публикацией настоящей статьи.
Этическая экспертиза. Не применима.
Информированное согласие на публикацию. Авторы получили письменное согласие пациента на публикацию медицинских данных и изображений.
DISCLAIMERS
Author contribution
All authors made equal contributions to the study and the publication.
All authors have read and approved the final version of the manuscript of the article. All authors agree to bear responsibility for all aspects of the study to ensure proper consideration and resolution of all possible issues related to the correctness and reliability of any part of the work.
Funding source. This study was not supported by any external sources of funding.
Disclosure competing interests. The authors declare that they have no competing interests.
Ethics approval. Not applicable.
Consent for publication. Written consent was obtained from the patient for publication of relevant medical information and all of accompanying images within the manuscript.
About the authors
Vladimir V. Skrebtsov
Yudin City Clinical Hospital
Email: Skrebtsov@mail.ru
ORCID iD: 0000-0003-0833-6628
Russian Federation, Moscow
Victor G. Protsko
Yudin City Clinical Hospital; Peoples’ Friendship University of Russia named after Patrice Lumumba
Email: 89035586679@mail.ru
ORCID iD: 0000-0002-5077-2186
Dr. Sci. (Med.)
Russian Federation, Moscow; MoscowAlexander V. Skrebtsov
Yudin City Clinical Hospital
Author for correspondence.
Email: Skrebtsovalex@mail.ru
ORCID iD: 0000-0002-1418-3368
Russian Federation, Moscow
Sargon K. Tamoev
Yudin City Clinical Hospital
Email: Sargonik@mail.ru
ORCID iD: 0000-0001-8748-0059
Cand. Sci. (Med.)
Russian Federation, MoscowVasilii V. Kuznetsov
Yudin City Clinical Hospital
Email: vkuznecovniito@gmail.com
ORCID iD: 0000-0001-6287-8132
Cand. Sci. (Med.)
Russian Federation, MoscowReferences
- Parekh S.G., Kadakia R.J. Avascular Necrosis of the Talus. J Am Acad Orthop Surg. 2021;29(6):e267-e278. doi: 10.5435/JAAOS-D-20-00418.
- Alley M.C., Vallier H.A., Tornetta P. 3rd; Orthopaedic Trauma Research Consortium. Identifying Risk Factors for Osteonecrosis After Talar Fracture. J Orthop Trauma. 2024;38(1):25-30. doi: 10.1097/BOT.0000000000002706.
- Cottom J.M., Badell J.S., Wolf J.R. Management of Talar Avascular Necrosis with Total Talus. Clin Podiatr Med Surg. 2023;40(4):735-747. doi: 10.1016/j.cpm.2023.05.014.
- Gross C.E., Haughom B., Chahal J., Holmes G.B. Treatments for Avascular Necrosis of the Talus: A Systematic Review. Foot Ankle Spec. 2014;7(5):387-397. doi: 10.1177/1938640014521831.
- Kubisa M.J., Kubisa M.G., Pałka K., Sobczyk J., Bubieńczyk F., Łęgosz P. Avascular Necrosis of the Talus: Diagnosis, Treatment, and Modern Reconstructive Options. Medicina (Lithuania). 2024;60(10):1692. doi: 10.3390/medicina60101692.
- Пашкова Е.А., Сорокин Е.П., Коновальчук Н.С., Фомичев В.А., Шулепов Д.А., Демьянов К.А. Ретроспективный анализ результатов оперативного лечения пациентов с остеохондральными повреждениями блока таранной кости. Гений ортопедии. 2022;28(5):643-651. doi: 10.18019/1028-4427-2022-28-5-643-651. Pashkova E.A., Sorokin E.P., Konovalchuk N.S., Fomichev V.A., Shulepov D.A., Demyanova K.A. Retrospective analysis of the results of surgical management of osteochondral lesions of the talar dome. Genij Ortopedii. 2022;28(5):643-651. (In Russian). doi: 10.18019/1028-4427-2022-28-5-643-651.
- Корышков Н.А., Хапилин А.П., Ходжиев А.С., Воронкевич И.А., Огарёв Е.В., Симонов А.Б. и др. Мозаичная аутологичная остеохондропластика в лечении локального асептического некроза блока таранной кости. Травматология и ортопедия России. 2014; 20(4):90-98. doi: 10.21823/2311-2905-2014-0-4-90-98. Koryshkov N.A., Khapilin A.P., Khodzhiyev A.S., Voronkevich I.A., Ogarev E.V., Simonov A.B. et al. Treatment of local talus osteochondral defects using mosaic autogenous osteochondral plasty. Traumatology and Orthopedics of Russia. 2014;20(4):90-98. (In Russian). doi: 10.21823/2311-2905-2014-0-4-90-98.
- Klos K., Drechsel T., Gras F., Beimel C., Tiemann A., Hofmann G.O. et al. The use of a retrograde fixed-angle intramedullary nail for tibiocalcaneal arthrodesis after severe loss of the talus. Strategies Trauma Limb Reconstr. 2009;4(2):95-102. doi: 10.1007/s11751-009-0067-y.
- Mu M.D., Yang Q.D., Chen W., Tao X., Zhang C.K., Zhang X. et al. Three dimension printing talar prostheses for total replacement in talar necrosis and collapse. Int Orthop. 2021;45(9):2313-2321. doi: 10.1007/s00264-021-04992-9.
- Jennison T., Dalgleish J., Sharpe I., Davies M., Goldberg A. Total Talus Replacements. Foot Ankle Orthop. 2023;8(1):24730114221151068. doi: 10.1177/24730114221151068.
- Harnroongroj T., Harnroongroj T. The Talar Body Prosthesis: Results at Ten to Thirty-six Years of Follow-up. J Bone Joint Surg Am. 2014;96:1211-1218. doi: 10.2106/JBJS.M.00377.
- Ouchi K., Oi N., Yabuki S., Konno S.I. Total Talar Replacement for Idiopathic Osteonecrosis of the Talus: Investigation of Clinical Outcomes, Pain, ADL, QOL. Foot Ankle Orthop. 2023;8(1):24730114231154211. doi: 10.1177/24730114231154211.
- Gould N., Seligson D., Gassman J. Early and Late Repair of Lateral Ligament of the Ankle. Foot Ankle. 1980;1(2): 84-89. doi: 10.1177/107110078000100206.
- Lachman J., Parekh S. Total Talus Replacement for Traumatic Bone Loss or Idiopathic Avascular Necrosis of the Talus. Tech Foot Ankle Surg. 2018;18(2):87-98. doi: 10.1097/BTF.0000000000000203.
- Ettinger S., Stukenborg-Colsman C., Plaass C., Yao D., Claassen L., Berger S. et al. Tibiocalcaneal arthrodesis as a limb salvage procedure for complex hindfoot deformities. Arch Orthop Trauma Surg. 2016;136(4): 457-462. doi: 10.1007/s00402-016-2420-1.
- Carpenter B., Thomas J., Brigido S.A., Cooper M.T. Tibio-Talar-Calcaneal Fusion in the Diabetic and Nondiabetic Patient: An Update on Surgical Techniques. Foot Ankle Spec. 2019;12(2):172-174. doi: 10.1177/1938640019846669.
- Frigg A., Dougall H., Boyd S., Nigg B. Can porous tantalum be used to achieve ankle and subtalar arthrodesis?: A pilot study. Clin Orthop Relat Res. 2010;468(1):209-216. doi: 10.1007/s11999-009-0948-x.
- Cohen M.M., Kazak M. Tibiocalcaneal Arthrodesis With a Porous Tantalum Spacer and Locked Intramedullary Nail for Post-Traumatic Global Avascular Necrosis of the Talus. J Foot Ankle Surg. 2015;54(6):1172-1177. doi: 10.1053/j.jfas.2015.01.009.
- Frey C., Halikus N.M., Vu-Rose T., Ebramzadeh E. A Review of Ankle Arthrodesis: Predisposing Factors to Nonunion. Foot Ankle Int. 1994;15(11):581-584. doi: 10.1177/107110079401501102.
- Perlman M.H., Thordarson D.B. Ankle Fusion in a High Risk Population: An Assessment of Nonunion Risk Factors. Foot Ankle Int. 1999;20(8):491-496. doi: 10.1177/107110079902000805.
- Suckel A., Mueller O., Herberts T., Wulker N. Changes in Chopart joint load following tibiotalar arthrodesis: In vitro analysis of 8 cadaver specimen in a dynamic model. BMC Musculoskelet Disord. 2007;8:80. doi: 10.1186/1471-2474-8-80.
- Wang Y., Li Z., Wong D.W.C., Zhang M. Effects of Ankle Arthrodesis on Biomechanical Performance of the Entire Foot. PLoS One. 2015;10(7):e0134340. doi: 10.1371/journal.pone.0134340.
- Tonogai I., Hamada D., Yamasaki Y., Wada K., Takasago T., Tsutsui T. et al. Custom-Made Alumina Ceramic Total Talar Prosthesis for Idiopathic Aseptic Necrosis of the Talus: Report of Two Cases. Case Rep Orthop. 2017;2017:8290804. doi: 10.1155/2017/8290804.
- Taniguchi A., Tanaka Y. An Alumina Ceramic Total Talar Prosthesis for Avascular Necrosis of the Talus. Foot Ankle Clin. 2019;24(1):163-171. doi: 10.1016/j.fcl.2018.10.004.
- Johnson L.G., Anastasio A.T., Fletcher A.N., Hendren S., Adams S.B. Outcomes following total talus replacement: A systematic review. Foot Ankle Surg. 2022;28(8):1194-1201. doi: 10.1016/j.fas.2022.08.010.
- Stojanović B., Bauer C., Stotter C., Klestil T., Nehrer S., Franek F. et al. Tribocorrosion of a CoCrMo alloy sliding against articular cartilage and the impact of metal ion release on chondrocytes. Acta Biomater. 2019;94: 597-609. doi: 10.1016/j.actbio.2019.06.015.
- Salehi A., Tsai S., Pawar V., Sprague J., Hunter G., Varma S.K. et al. Wettability Analysis of Orthopaedic Materials Using Optical Contact Angle Methods. Key Eng Mater. 2006;309-311:1199-1202. Available from: https://doi.org/10.4028/www.scientific.net/kem.309-311.1199.
- Vanlommel J., De Corte R., Luyckx J.P., Anderson M., Labey L., Bellemans J. Articulation of Native Cartilage Against Different Femoral Component Materials. Oxidized Zirconium Damages Cartilage Less Than Cobalt-Chrome. J Arthroplasty. 2017;32(1):256-262. doi: 10.1016/j.arth.2016.06.024.
- Chen T.L.W., Wang Y., Peng Y., Zhang G., Hong T.T.H., Zhang M. Dynamic finite element analyses to compare the influences of customised total talar replacement and total ankle arthroplasty on foot biomechanics during gait. J Orthop Translat. 2023;38:32-43. doi: 10.1016/j.jot.2022.07.013.
Supplementary files









