Effectiveness of 3D visualization technologies in planning and performing reconstructive plastic surgeries in patients with elbow contractures caused by ossification
- Authors: Petlenko I.S.1, Fedyunina S.Y.1, Aliyev A.G.1, Bilyk S.S.1, Zakhmatov N.S.1, Shubnyakov I.I.1
-
Affiliations:
- Vreden National Medical Research Center of Traumatology and Orthopedics
- Issue: Vol 30, No 2 (2024)
- Pages: 120-130
- Section: СLINICAL STUDIES
- Submitted: 23.04.2024
- Accepted: 07.06.2024
- Published: 04.07.2024
- URL: https://journal.rniito.org/jour/article/view/17531
- DOI: https://doi.org/10.17816/2311-2905-17531
- ID: 17531
Cite item
Full Text
Abstract
Background. Open reconstructive plastic surgeries are the most radical method of treating patients with elbow contractures caused by ossification. However, these surgeries pose a serious problem due to the large number of unsatisfactory results.
The aim of the study is a comparative assessment of the effectiveness between standard techniques and 3D visualization technologies in the surgical treatment of patients with elbow contractures caused by ossification.
Methods. Using random number generation, all patients (n = 71) were randomized into two groups. The first group included 34 patients with elbow contractures caused by ossification that underwent surgical intervention using 3D technologies to assess the ossification process. The second group enrolled 37 patients with a similar nosology that underwent standard examination and surgical treatment. The results were evaluated intraoperatively and 180 days after the surgery. The data were obtained from primary medical records and further survey.
Results. The application of new planning technology and tactics for onstructive plastic surgeries made it possible to reduce the surgery time by 1.2 times (p<0.05), reduce blood loss by 1.3 times (p<0.05) and increase the relative number of patients with sufficient movement volume by 10.6% (p<0.05). The assessment of various performance parameters (range of motion, pain syndrome, quality of life etc.) showed that after 6 months in the main group, the relative number of patients with problems related to the operated joint was significantly lower than in the control group: 20.5% vs 84.7% (p<0.05).
Conclusions. The data obtained indicate that the use of the new technique for planning and performing reconstructive plastic surgery in patients with elbow contractures caused by ossification contributes to a less invasive intervention and achievement of better intraoperative and medium-term treatment results.
Full Text
ВВЕДЕНИЕ
Лечение пациентов с контрактурами локтевого сустава, обусловленными оссификацией, остается значимой проблемой травматологии и ортопедии вследствие высокой частоты неудовлетворительных результатов, связанных с рецидивом контрактуры [1, 2, 3]. Наиболее распространенным методом хирургического лечения этих пациентов являются открытые реконструктивно-пластические вмешательства [4, 5]. При этом многие специалисты сходятся во мнении, что рентгенография и даже мультиспиральная компьютерная томография (МСКТ) пораженного сустава, рекомендованные при предоперационном обследовании, не дают полной картины распространенности и выраженности оссификатов [1, 2, 6, 7]. Вследствие этого хирург вынужден принимать решения непосредственно во время выполнения операции, что значительно увеличивает длительность вмешательства, сопутствующую кровопотерю, а также повышает риск развития осложнений [3, 5, 8].
Одним из возможных путей повышения эффективности оперативного лечения пациентов с контрактурами локтевого сустава, обусловленными оссификацией, может стать использование современных методов визуализации [9, 10, 11], в частности построение компьютерной 3D-модели, созданной на основе зеркального совмещения томограмм пораженного и интактного суставов пациента (патент РФ № 2810188). В данном исследовании мы постарались ответить на следующие вопросы:
- позволяет ли лучшее понимание расположения оссификатов и их объема способствовать более щадящему режиму выполнения хирургического вмешательства т. е. сокращению длительности операции и уменьшению объема кровопотери;
- позволяет ли такой метод повысить качество удаления оссификатов, критерием оценки которого является достигаемое интраоперационно увеличение амплитуды движений;
- обеспечивает ли данная методика улучшение послеоперационных функциональных результатов.
Цель исследования — сравнить эффективность реконструктивно-пластических операций по стандартной методике и с использованием 3D-технологий при лечении пациентов с контрактурами локтевого сустава, обусловленными оссификацией.
МАТЕРИАЛ И МЕТОДЫ
Дизайн исследования
Субъектом исследования был 71 пациент.
Критерии включения: наличие клинически значимой контрактуры одного локтевого сустава, обусловленной оссификацией, и выполнение открытого реконструктивно-пластического вмешательства по этому поводу. Клинически значимой контрактурой считается амплитуда активных движений в суставе менее 100°.
Критерии невключения:
- мягкотканные контрактуры без рентгенологических признаков оссификации;
- острые воспалительные процессы области хирургического вмешательства;
- ложные суставы костей, образующих локтевой сустав;
- гетеротопическая оссификация локтевого сустава;
- параартикулярные рубцово-спаечные про- цессы;
- первичные онкологические или метастатические поражения костей, образующих локтевой сустав;
- эндопротезирование локтевого сустава;
- костные дефекты, вызывающие нестабильность локтевого сустава;
- признаки нейропатии локтевого нерва.
Тип исследования — открытое проспективное рандомизированное. Все пациенты с помощью программы генерации случайных чисел были рандомизированы в две группы. Первую группу составили 34 пациента с контрактурами локтевого сустава, обусловленными оссификацией, у которых оперативное вмешательство было выполнено с использованием нового метода визуализации (диагностики) на основе построения 3D-модели. Вторую группу составили 37 пациентов с аналогичной патологией, оперированных по стандартной методике.
Всем пациентам были выполнены реконструктивно-пластические операции на локтевом суставе, которые включали артротомию, артролиз, удаление оссификатов, релиз локтевого нерва в случае увеличения амплитуды движений в локтевом суставе интраоперационно более чем на 40°. Всем пациентам, вошедшим в данное исследование, проводилась стандартная профилактика рецидива оссификации, которая заключалась в терапии нестероидными противовоспалительными препаратами (кеторолака трометамин или кетопрофен) на стационарном этапе лечения и в щадящем режиме реабилитации. Специфические меры профилактики оссификации, такие как рентгенотерапия, не применялись.
В период предоперационного обследования в обеих группах интактность контралатерального сустава подтверждалась анамнестическими данными и данными объективного осмотра. В первой группе пациентов дополнительно выполняли рентгенологическое обследование обоих локтевых суставов для реализации предложенной методики.
По полу, возрасту и средней продолжительности основного заболевания пациенты групп сравнения не имели значимых различий и были репрезентативны (табл. 1).
Таблица 1. Характеристика пациентов групп сравнения
Показатель | Первая группа (n = 34) | Вторая группа (n = 37) | |
Гендерное распределение: мужчины женщины | % / абсолютное значение | 76/24 26/8 | 73/27 28/9 |
Возраст пациентов, лет | M±SD | 41,3±4,2 | 42,5±3,9 |
min-max | 26–58 | 23–54 | |
Me (Q1; Q3) | 39 (28; 54) | 40 (27; 52) | |
Длительность заболевания, мес. | M±SD | 11,7±1,2 | 12,2±0,9 |
min-max | 9–14 | 10–14 | |
Me (Q1; Q3) | 11 (10; 12) | 11 (10; 13) | |
p ≥0,05.
Описание методики
В основу совершенствования предоперационной диагностики и тактики выполнения оперативного вмешательства положена методика, основанная на трехмерной реконструкции пораженного сустава в сравнении с интактным на основе МСКТ обоих локтевых суставов (патент РФ № 2810188). Она позволяет оценивать расположение и размеры оссификатов на каждой из костей, что может служить основанием для выбора оптимального (для каждого конкретного варианта расположения оссификатов и их размеров) хирургического доступа или сочетания доступов, а также детально составить план удаления оссификатов. Данные МСКТ локтевых суставов пациента при помощи специальной программы совмещаются в зеркальном отражении. Это позволяет очень точно выявить даже незначительные изменения интегральных кривых суставных поверхностей вследствие оссификации.
Применение новой методики предоперационного обследования, основанной на использовании 3D-реконструкции, предполагает следующие основные этапы.
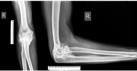
Первый этап. Для уточнения этиологии контрактуры пораженного сустава и исключения костных нарушений интактного локтевого сустава у пациента выполняют рентгенографию обоих локтевых суставов в двух проекциях (рис. 1).
Рис. 1. Рентгенограммы пораженного локтевого сустава в прямой и боковой проекциях: отчетливо видны признаки деформирующего артроза — сужение суставной щели, массивные оссификаты
Fig. 1. X-rays of the affected elbow joint in the anteroposterior and lateral views: signs of deforming osteoarthritis — narrowing of the joint gap, massive ossificates
Второй этап. Выполняют МСКТ обоих локтевых суставов пациента, и на их основе создают трехмерную реконструкцию (рис. 2).
Рис. 2. Трехмерная реконструкция пораженного оссификатами локтевого сустава, выполненная на основе МСКТ (передний, задний, латеральный отделы сустава) также не позволяет полностью визуализировать оссификаты
Fig. 2. 3D reconstruction of the elbow joint with ossificates performed using MSCT data (anterior, posterior, lateral joint sections) also does not allow to fully visualize ossificates
Третий этап. Проводят программное разделение костей локтевого сустава, что дает детальную визуализацию расположения и размеров оссификатов. Костные разрастания автоматически, в зависимости от их размеров, окрашиваются разными цветами согласно калибровочной шкале (рис. 3).
Рис. 3. Программное разделение костей локтевого сустава и детальная визуализация расположения и размеров оссификатов (передний отдел дистального конца плечевой кости и дистальный отдел локтевой кости). Градация размеров оссификатов по шкале: 1— выше порогового значения; 2–4 — гипертрофированные участки костной ткани в порядке уменьшения размеров оссификатов; 5 — дефекты костной ткани; 6 — нормальная костная ткань, не отличающаяся от модели контралатерального (здорового) сустава
Fig. 3. Software “sequencing” of the elbow joint bones and detailed visualization of the location and size of ossificates (anterior section of the distal end of the humerus and distal section of the ulna). Grading of ossificate sizes: 1 — above the threshold value; 2–4 — hypertrophied areas of bone tissue in the order of decreasing ossification size; 5 — bone tissue defects; 6 — normal bone tissue not differing from the model of the contralateral elbow
Четвертый этап. Финальный этап 3D-реконструкции включает определение четких размеров оссификатов и их локализацию, что может быть использовано при выборе доступа или доступов и изменения тактики выполнения оперативного вмешательства (рис. 4).
Рис. 4. Финальный этап 3D-реконструкции пораженного локтевого сустава. Отчетливо видны изменения вследствие оссификации дистального конца плечевой кости в сравнении с интактным суставом пациента (все костные структуры, отличающиеся от здорового сустава, окрашены согласно шкале цветами, отличными от зеленого)
Fig. 4. Final stage of 3D reconstruction of the affected elbow joint. Changes due to ossification of the distal end of the humerus are clearly visible compared to the intact joint of the patient (all bone structures that differ from the healthy joint are colored other than green according to the scale)
Источником получения данных для исследования служила первичная медицинская документация: истории болезни, рентгенограммы до и после вмешательства, протоколы операций и анестезиологическая карта. Оценивались время операции, величина кровопотери, достигнутая амплитуда пассивных движений, наличие и характер осложнений. Данные о результатах наблюдения были получены при анкетном опросе пациентов в online-формате или при консультативном осмотре. В ходе опроса пациенты заполняли адаптированный вариант анкеты Oxford Elbow Score (OES), Mayo Elbow Perfomance Score (MEPS) и визуальную аналоговую шкалу (ВАШ) для оценки общего состояния. Данные рентгенологического обследования оценивались либо при контрольном осмотре, либо online, поскольку разработанные формы позволяли загружать файлы с изображениями.
Статистический анализ
Данные, подлежащие сравнению, проверялись на нормальность распределения. При нормальном распределении параметра (время операции, величина кровопотери, амплитуда сгибательно-разгибательных движений) сравнение проводили по критерию Стьюдента. Остальные показатели имели распределение отличное от нормального. Количественные показатели сравнивались в группах и анализировались при помощи теста Манна – Уитни. Качественные параметры, в том числе имеющие дихотомический характер (есть/нет), оценивались по критерию χ2 Пирсона с поправкой Йетса.
Для определения относительного количества пациентов с нарушениями функции локтевого сустава в группах сравнения использовали методы описательной статистики. При сравнительной межгрупповой оценке статистической значимости различий параметров уровень достижения нулевой гипотезы принимали равным 95% (р≤0,05). Для расчетов использовали пакет статистических программ Statistica for Windows (версия 12.0).
РЕЗУЛЬТАТЫ
Применение предложенной методики предоперационного обследования и выполнения хирургического вмешательства, основанной на построении и анализе 3D-модели у пациентов с контрактурами локтевого сустава, обусловленными оссификацией, позволило в 1,6 раза сократить время оперативного вмешательства (р = 0,043) и в 1,3 раза уменьшить интраоперационную кровопотерю (р = 0,047).
Среднее время выполнения оперативного вмешательства в первой группе составило 63,5 мин. (63,6±11,5). В группе пациентов, оперированных по стандартной методике, длительность вмешательства составила 98,9 мин. (98,9±18,3). У пациентов первой группы средняя величина интраоперационной кровопотери составила 78,5 мл (78,5±14,4), во второй группе данный показатель был в 1,3 раза выше (р = 0,047) и составлял в среднем 105,2 мл (105,2±12,3).
Интраоперационно полная амплитуда пассивных движений в первой группе была достигнута у 33 (97,1%) пациентов, а во второй группе — у 32 пациентов (86,5%), р = 0,241.
Таким образом, предложенная новая методика предоперационного обследования и выполнения открытой моделирующей резекции способствует более щадящему режиму выполнения вмешательства и достижению лучших интраоперационных результатов у большего числа пациентов первой группы по сравнению со второй.
Дальнейшее катамнестическое наблюдение показало, что у части пациентов, оперированных по стандартной методике, имелась тенденция к постепенному снижению амплитуды разгибания в локтевом суставе (рис. 5 a).
Рис. 5. Относительное количество пациентов в группах сравнения, имеющих недостаточную амплитуду разгибательных (a) и сгибательных (b) движений в среднесрочном периоде наблюдения
Fig. 5. The number of patients in the groups with insufficient amplitude of extensor (a) and flexor (b) movements in the mid-term follow-up
В первой группе лишь у одного (2,9%) пациента сохранялась неполная амплитуда движений. Относительное количество пациентов с уменьшением дуги разгибания оперированного сустава во второй группе составило 16,2% (после операции 13,5%). В первой группе относительное количество пациентов, имеющих аналогичные нарушения, сохранялось неизменным — 2,9% (р = 0,048 по сравнению со второй группой). Аналогичная тенденция была выявлена и при оценке послеоперационной динамики амплитуды сгибательных движений (рис. 5 b). Через 6 мес. после оперативного вмешательства во второй группе количество пациентов, имеющих нарушения сгибания в оперированном суставе, увеличилось с 13,5% до 18,9% (7 человек). В первой группе при выполнении оперативного вмешательства по новой технологии количество пациентов, имеющих дефицит сгибания в оперированном суставе в среднесрочном периоде наблюдения, не изменилось и соответствовало раннему послеоперационному периоду — 2,9%, демонстрируя статистически значимые различия со второй группой (р = 0,043).
Достигнутые интраоперационно результаты двигательной активности в группах сравнения не имели статистически значимых отличий. Однако оценка среднесрочных результатов показала, что в группе пациентов, оперированных по новой методике, снижение двигательной активности происходило значительно медленнее, чем в первой группе. В связи с этим достигнутые функциональные результаты в группах сравнения через 6 мес. имели статистически значимые различия. Отдельно можно отметить, что в предоперационный период функциональный статус пациентов не имел статистически значимых различий (табл. 2).
Таблица 2. Показатели функциональной оценки локтевого сустава у пациентов групп сравнения в реперных точках исследования
Шкала | Группа 1 | Группа 2 | ||
До операции | Через 6 мес. после операции | До операции | Через 6 мес. после операции | |
OES | 16,4 ±1,7 | 43,7±2,9 | 18,6±1,3 | 31,8±2,7 |
MEPS | 45,6±3,9 | 91,4±5,2 | 46,6±4,4 | 73,2±5,8 |
ВАШ | 9,2±0,7 | 2,3±0,3 | 9,6±0,8 | 5,6±0,5 |
р≤0,05
При сравнительной оценке ближайших результатов оперативного лечения (через 6 мес.) было установлено, что средняя величина интегрального показателя функциональной активности оперированного сустава (OES) в группе пациентов, оперированных с применением новой методики, была в 1,4 раза выше (χ2 = 13,06; р = 0,0004), чем во второй группе обследованных, лечение которых проводилось по стандартной методике. Сравнительная оценка результатов двигательной активности оперированного сустава и ее влияние на качество жизни и самообслуживание пациентов, выполненная на основе данных опросника MEPS, показала статистически значимое повышение суммарного показателя в группе пациентов (χ2 = 12,14; р = 0,0005), оперированных с использованием 3D-моделирования. Статистически значимо лучшие результаты оценки общего состояния по шкале ВАШ были у пациентов, хирургическое лечение которых выполнялось с применением новой методики (χ2 = 27,12; р = 0,00001). Ухудшение качества жизни (самообслуживания) в связи с наличием различных проблем в оперированном суставе через 6 мес. после оперативного лечения контрактуры локтевого сустава, обусловленной оссификацией, в группах сравнения отметили 11 пациентов. При этом во второй группе относительное количество лиц, отметивших наличие подобных нарушений, было значимо выше, чем в первой группе: 21,6% (8 человек) и 8,7% (3 человека) (р = 0,041). В структуре нарушений качества жизни у пациентов второй группы отмечались умеренные (10,8%) и небольшие (8,1%) затруднения с единичными (2,7%) упоминаниями о значительных проблемах в самообслуживании. В то же время пациенты первой группы отмечали наличие небольших (5,8%) и единичных (2,9%) умеренных нарушений качества жизни (рис. 6).
Рис. 6. Относительное количество пациентов в группах сравнения, имеющих различные проблемы с самообслуживанием в связи с нарушением функции оперированного сустава в среднесрочном периоде наблюдения
Fig. 6. The number of patients in the groups with various self-care problems due to impaired function of the operated elbow in the mid-term follow-up
Сравнительная оценка объективных функциональных параметров состояния оперированного локтевого сустава у пациентов с контрактурами, обусловленными оссификацией, получивших хирургическое лечение по различным методикам предоперационного обследования и выполнения вмешательства, в среднесрочном (6 мес.) периоде наблюдения показана на рисунке 7.
Рис. 7. Среднесрочные результаты оценки эффективности лечения в двух группах сравнения, связанные с общими нарушениями функции после оперативного вмешательства. По оси Х — исследуемые параметры, по оси У — количество пациентов с наличием нарушений
Fig. 7. Mid-term results of surgical treatment efficacy in the study groups associated with general dysfunction after surgical interventions. On the X axis — studied parameters, Y axis –number of patients with disorders
Помимо описанных выше изменений, связанных с нарушениями двигательной активности оперированного сустава, в группах исследования были выявлены статистически значимые различия по наличию у пациентов болевого синдрома (вторая/первая — 17,4% (6) / 2,9% (1), р = 0,043) и других (хруст) сопутствующих нарушений (вторая/первая группа — 13,5% (5) /5,8% (2), р = 0,049).
ОБСУЖДЕНИЕ
Лечение контрактур локтевого сустава, обусловленных оссификацией, обычно осуществляется посредством открытых реконструктивно-пластических вмешательств и нередко представляет сложную проблему даже для опытного хирурга [1, 2].
По мнению специалистов, высокая физиологическая значимость локтевого сустава приводит к тому, что его тугоподвижность, в том числе обусловленная рецидивами оссификации, вследствие не только заболеваний и повреждений, но и достаточно инвазивных оперативных вмешательств, часто приводит к функциональной несостоятельности конечности в целом [12, 13]. По данным литературы, уменьшение амплитуды движений в локтевом суставе на 50% снижает общую функциональную активность верхней конечности более чем на 80% [14]. Локтевой сустав устойчиво занимает первое место по числу послеоперационных осложнений [5, 15, 16], которые почти у трети пациентов (29,9%) из-за развития контрактур приводят к неудовлетворительным результатам, а иногда — и к стойкой инвалидизации, несмотря на адекватное лечение и полноценную реабилитацию [2, 17]. Ряд авторов отмечает, что послеоперационные рецидивы контрактуры локтевого сустава не только являются препятствием к активной трудовой деятельности, но и зачастую делают невозможным обеспечение даже простых бытовых потребностей человека [5, 12]. До 60% пациентов, оперированных по поводу травм или заболеваний локтевого сустава, в последующем будут нуждаться в повторных функционально-восстановительных оперативных вмешательствах [18].
Несмотря на то, что тщательное предоперационное обследование, по мнению ряда авторов, считается необходимым этапом при лечении контрактур локтевого сустава вследствие оссификации, в литературе отсутствует информация об оптимальном протоколе предоперационного обследования и предварительной тактике оперативных вмешательств [2, 4, 12, 15]. Для оценки степени деформации суставных поверхностей костей, образующих локтевой сустав, не всегда достаточно традиционных рентгенограмм и МСКТ [6, 19]. В то же время методы 3D-визуализации, когда пораженная кость накладывается на компьютерное зеркальное изображение противоположной неповрежденной кости и каждый оссификат может отображаться разными цветами, позволяют нам легко понять степень деформации и ее локализацию. Такая подробная информация позволяет моделировать основные этапы операции, включая выбор доступа (или сочетания доступов), четкое понимание техники и необходимого объема удаления измененной костной ткани. Результаты применения новой методики обследования могут быть использованы для предоперационного обсуждения хирургической бригадой, а также сохранены в виде цифровых данных для послеоперационного контроля эффективности проведенных лечебных мероприятий. Во время операции хирурги могут просматривать смоделированные изображения на портативном компьютере для корректировки собственных действий. Вышеупомянутые преимущества значительно помогают хирургам и способствуют повышению эффективности хирургического вмешательства, а в дальнейшем могут быть использованы в качестве матрицы для программирования хирургической робототехники.
У данного метода есть несколько недостатков. Во-первых, для точного анализа поврежденной суставной поверхности необходима компьютерная томография обоих локтевых суставов. Во-вторых, для построения моделей поверхности костей и моделирования степени необходимой коррекции требуется несколько часов. Наконец, данный метод требует определенных технических навыков использования программного обеспечения и оборудования. Несмотря на некоторые недостатки, мы считаем, что этот метод предоставляет значительные преимущества при хирургическом лечении пациентов с контрактурами локтевого сустава, обусловленными оссификацией.
Преимуществом выполненной работы является то, что все пациенты были прооперированы одной хирургической бригадой, поскольку многие отечественные и зарубежные авторы отмечают, что наибольшей валидностью отличаются сравнения различных хирургических методик лечения, выполненные в рамках одного лечебного учреждения [3, 5].
ЗАКЛЮЧЕНИЕ
Предлагаемая методика предоперационного обследования и хирургического лечения пациентов с контрактурами локтевого сустава, обусловленных оссификацией, позволяет более обоснованно и тщательно проводить планирование тактики (выбор рационального доступа/доступов, минимально достаточный объем и последовательность резекции оссификатов, точное моделирование интегральных кривых суставных поверхностей и т.д.) вмешательства и выполнять его с наименьшей хирургической агрессией, что способствует улучшению интраоперационных результатов, а также обеспечивает сохранение лучших функциональных параметров оперированного сустава у большинства пациентов в среднесрочном периоде наблюдения.
ДОПОЛНИТЕЛЬНАЯ ИНФОРМАЦИЯ
Источник финансирования. Авторы заявляют об отсутствии внешнего финансирования при проведении исследования.
Возможный конфликт интересов. Авторы декларируют отсутствие явных и потенциальных конфликтов интересов, связанных с публикацией настоящей статьи.
Этическая экспертиза. Исследование одобрено локальным этическим комитетом при ФГБУ «Национальный медицинский исследовательский центр травматологии и ортопедии им. Р.Р. Вредена» Минздрава России (выписка из протокола № 5 от 05.11.2021).
Информированное согласие на публикацию. Авторы получили письменное согласие пациентов на участие в исследовании и публикацию результатов.
DISCLAIMERS
Funding source. This study was not supported by any external sources of funding.
Disclosure competing interests. The authors declare that they have no competing interests.
Ethics approval. The study was approved by the local ethics committee of Vreden National Medical Research Center of Traumatology and Orthopedics (protocol N 5, 05.11.2021).
Consent for publication. The authors obtained written consent from patients to participate in the study and publish the results.
About the authors
Irina S. Petlenko
Vreden National Medical Research Center of Traumatology and Orthopedics
Author for correspondence.
Email: Petlenko1995@yandex.ru
ORCID iD: 0000-0002-3600-3583
Russian Federation, St. Petersburg
Svetlana Y. Fedyunina
Vreden National Medical Research Center of Traumatology and Orthopedics
Email: fedyuninasyu@yandex.ru
ORCID iD: 0009-0003-8718-493X
Cand. Sci. (Med.)
Russian Federation, St. PetersburgAlimurad G. Aliyev
Vreden National Medical Research Center of Traumatology and Orthopedics
Email: alievag@yandex.ru
ORCID iD: 0000-0002-6885-5473
Cand. Sci. (Med.)
Russian Federation, St. PetersburgStanislav S. Bilyk
Vreden National Medical Research Center of Traumatology and Orthopedics
Email: bss0413@gmail.com
ORCID iD: 0000-0002-7123-5582
Cand. Sci. (Med.)
Russian Federation, St. PetersburgNikita S. Zakhmatov
Vreden National Medical Research Center of Traumatology and Orthopedics
Email: zakhmatovn.s@gmail.com
ORCID iD: 0009-0006-7340-5545
Russian Federation, St. Petersburg
Igor I. Shubnyakov
Vreden National Medical Research Center of Traumatology and Orthopedics
Email: shubnyakov@mail.ru
ORCID iD: 0000-0003-0218-3106
Dr. Sci. (Med.)
Russian Federation, St. PetersburgReferences
- Слободской А.Б., Прохоренко В.М., Бадак И.С., Воронин И.В., Дунаев А.Г. Ближайшие и среднесрочные результаты артропластики суставов верхней конечности. Вестник медицинского института «РЕАВИЗ»: Реабилитация, Врач и Здоровье. 2012;3-4(7-8):67-74. Slobodskoy A.B., Prokhorenko V.M., Badak I.S., Voronin I.V., Dunayev A.G. The nearest and intermediate term results arthroplastic of joints of the top finiteness. Bulletin of the Medical Institute REAVISE: Rehabilitation, Physician and Health. 2012;3-4(7-8):67-74. (In Russian).
- Lindenhovius A.L., Doornberg J.N., Ring D., Jupiter J.B. Health status after open elbow contracture release. J Bone Joint Surg Am. 2010;92:2187-2195. doi: 10.2106/JBJS.H.01594.
- Mellema J.J., Lindenhovius A.L., Jupiter J.B. The posttraumatic stiff elbow: an update. Curr Rev Musculoskelet Med. 2016;9(2):190-198. doi: 10.1007/s12178-016-9336-9.
- Haglin J.M., Kugelman D.N., Christiano A., Konda S.R., Paksima N., Egol K.A. Open surgical elbow contracture release after trauma: results and recommendations. J Shoulder Elbow Surg. 2018;27(3):418-426. doi: 10.1016/j.jse.2017.10.023.
- Qian Y., Yu S., Shi Y., Huang H., Fan C. Risk Factors for the Occurrence and Progression of Posttraumatic Elbow Stiffness: A Case-Control Study of 688 Cases. Front Med (Lausanne). 2020;7:604056. doi: 10.3389/fmed.2020.604056.
- Яриков А.В., Горбатов Р.О., Денисов А.А., Смирнов И.И., Фраерман А.П., Соснин А.Г. и др. Применение аддитивных технологий 3D-печати в нейрохирургии, вертебрологии, травматологии и ортопедии. Клиническая практика. 2021;12(1):90-104. doi: 10.17816/clinpract64944. Yarikov A.V., Gorbatov R.O., Denisov A.A., Smirnov I.I., Fraerman A.P., Sosnin A.G. et al. Application of additive 3D printing technologies in neurosurgery, vertebrology, traumatology and orthopedics. Clinical Practice. 2021;12(1):90-104. (In Russian). doi: 10.17816/clinpract64944.
- Богданов А.В. Особенности рентгенодиагностики и классификации повреждений головки мыщелка плечевой кости. Травматология и ортопедия России. 2006;2(40):46-48. Bogdanov A.V. Features of X-ray diagnostics and classification of injuries to the head of the condyle of the humerus. Traumatology and Orthopedics of Russia. 2006;2(40):46-48. (In Russian).
- Sun C., Zhou X., Yao C., Poonit K., Fan C., Yan H. The timing of open surgical release of post-traumatic elbow stiffness: A systematic review. Medicine (Baltimore). 2017;96(49):e9121. doi: 10.1097/MD.0000000000009121.
- Малаев И.А., Пивовар М.Л. Аддитивные технологии: применение в медицине и фармации. Вестник фармации. 2019;(2):98-107. Malaev I.A., Pivovar M.L. Additive technologies: application in medicine and pharmacy. Bulletin of Pharmacy. 2019;(2):98-107. (In Russian).
- Алехнович А.В., Фокин Ю.Н., Есипов А.А. Состояние и перспективы развития аддитивных технологий в военных лечебно-профилактических учреждениях. Госпитальная медицина: наука и практика. 2019;1(2):62-64. Alekhnovich A.V., Fokin Yu.N., Esipov A.A. The state and prospects of development of additive technologies in military medical and preventive institutions. Hospital Medicine: Science and Practice. 2019;1(2):62-64. (In Russian).
- Приходько А.А., Виноградов К.А., Вахрушев С.Г. Меры по развитию медицинских аддитивных технологии в Российской Федерации. Медицинские технологии. Оценка и выбор. 2019;(2):10-15. Prikhodko A.A., Vinogradov K.A., Vakhrushev S.G. Measures for the development of medical additive technologies in the Russian Federation. Medical technologies. Assessment and selection. 2019;(2):10-15. (In Russian).
- Evans P.J., Nandi S., Maschke S., Hoyen H.A., Lawton J.N. Prevention and treatment of elbow stiffness. J Hand Surg Am. 2009;34:769-778.
- Gill A., Mellema J.J., Menendez M.E., Ring D. Articular osteotomy of the distal humerus and excision of extensive heterotopic ossification. Injury. 2016;47(3):776-779. doi: 10.1016/j.injury.2015.12.030.
- Cikes A., Jolles B.M., Farron A. Open elbow arthrolysis for posttraumatic elbow stiffness. J Orthop Trauma. 2006;20:405-409.
- Sun Z., Liu W., Li J., Fan C. Open elbow arthrolysis for post-traumatic elbow stiffness: an update. Bone Jt Open. 2020;1(8):576-584. doi: 10.1302/2633-1462.19.BJO-2020-0098.R1.
- Morrey B.F. Surgical treatment of extraarticular elbow contracture. Clin Orthop Relat Res. 2000;370:57-64.
- Ranganathan K., Loder S., Agarwal S., Wong V.C., Forsberg J., Davis T.A. et al. Heterotopic ossification: basic-science principles and clinical correlates. J Bone Joint Surg Am. 2015;97(13):1101-1111.
- Larson A.N., Morrey B.F. Interposition arthroplasty with an Achilles tendon allograft as a salvage procedure for the elbow. J Bone Joint Surg Am. 2008;90(12): 2714-2723.
- Zheng W., Chen C., Zhang C., Tao Z., Cai L. The Feasibility of 3D Printing Technology on the Treatment of Pilon Fracture and Its Effect on Doctor-Patient Communication. Biomed Res Int. 2018;2018:8054698. doi: 10.1155/2018/8054698.
Supplementary files











