Сравнительные результаты анатомической реконструкции ПКС аутотрансплантатом BТВ и аутотрансплантатом из подколенных сухожилий: средний срок наблюдения восемь лет
- Авторы: Сантамурти Т.1, Ксавье А.1, Челламуту Л.2, Калиаперумал А.3, Дубей Д.1
-
Учреждения:
- Indhira Gandhi Governtment General Hospital and Post Graduate Institute
- Mahatma Gandhi Medical College and Research Institute
- Indhira Gandhi Medical College and Research Institute
- Выпуск: Том 30, № 4 (2024)
- Страницы: 72-81
- Раздел: КЛИНИЧЕСКИЕ ИССЛЕДОВАНИЯ
- Дата подачи: 20.04.2024
- Дата принятия к публикации: 26.06.2024
- Дата публикации: 18.12.2024
- URL: https://journal.rniito.org/jour/article/view/17529
- DOI: https://doi.org/10.17816/2311-2905-17529
- ID: 17529
Цитировать
Полный текст
Аннотация
Актуальность. Разрыв передней крестообразной связки (ПКС) — распространенное повреждение коленного сустава. Реконструкция передней крестообразной связки (рПКС) с использованием аутотрансплантата или аллотрансплантата является стандартом в лечении полного разрыва ПКС. Анатомическое расположение туннеля обеспечивает более высокую ротационную и переднезаднюю стабильность сустава после операции. Однако под влиянием разных факторов даже качественно выполненная рПКС иногда не дает желаемых результатов. Одним из таких факторов может быть выбор трансплантата.
Цель исследования — сравнить результаты реконструкции передней крестообразной связки с использованием аутотрансплантата из связки надколенника «кость-сухожилие-кость» и аутотрансплантата из подколенных сухожилий в средний срок наблюдения 8 лет.
Материал и методы. В исследование вошли 150 пациентов, которым была выполнена первичная реконструкция ПКС с использованием аутотрансплантата «кость-сухожилие-кость» (bone-patellar tendon-bone — BPTB) или аутотрансплантата из подколенных сухожилий (hamstring tendon — HT). Для дифференциации анатомической реконструкции от неанатомической применялась обзорная рентгенография. В результате рентгенографии были отобраны 80 пациентов с анатомической реконструкцией (BPTB — 36, HT — 44). Сравнение клинико-рентгенологических результатов проводилось в средний срок наблюдения 8 лет.
Результаты. Группа BPTB показала более высокие результаты, чем группа HT, по показателям ротационной и переднезадней стабильности сустава при долгосрочном наблюдении (pivot-shift тест, p = 0,001; тест переднего «выдвижного ящика», p = 0,001; тест Лахмана, p = 0,001; рентгенологический тест Лахмана, p = 0,001). Не было выявлено разницы между группами по показателям объективной и субъективной форм IKDC (p = 0,363 и p = 0,154 соответственно), шкалы Lysholm (p = 0,894), боли в передней части колена (p = 0,678), тестирования прыжка на одной ноге (p = 0,248) и остеоартритических изменений (p = 0,550) в средний срок наблюдения 8 лет.
Заключение. Аутотрансплантат из связки надколенника «кость-сухожилие-кость» обеспечивает лучший клинический исход в отношении стабильности коленного сустава по сравнению с аутотрансплантатом из подколенных сухожилий. Разницы между трансплантатами в отношении других клинических результатов и остеоартритических изменений не наблюдалось.
Полный текст
INTRODUCTION
Anterior cruciate ligament (ACL) tear is a common ligament injury of the knee joint. Approximately one third of the injuries develop persisting knee instability and osteoarthritic (OA) change over the long term if not being treated surgically [1]. Anterior cruciate ligament reconstruction (ACLR) using autografts or allografts is the standard of treatment for complete ACL tear. In the last two decades, concepts in ACLR evolved in terms of tunnel positioning, graft selection, fixation methods, timing from injury to surgery, postoperative rehabilitation and so on. Anatomical tunnel positioning provides a better rotational as well as anteroposterior stability following ACLR [2, 3]. Nevertheless, a well-performed anatomical ACLR does fail due to various reasons. Graft selection may be one of the contributing factors. Though both autografts and allografts are used commonly, majority of the studies favours autografts over allografts [4, 5]. The most commonly studied autografts are bone-patellar tendon-bone (BPTB) and hamstring tendon (HT) autografts. Many studies favour both the grafts with their merits and demerits, leaving a space for further search for an ideal graft. Furthermore, the debate on long-term OA changes using these two grafts still remains unanswered [6, 7]. Most of the clinical studies comparing the grafts retrospectively have not considered anatomical tunnel positions on the femoral and tibial side. Therefore, there is a scope for studying the outcome of anatomically performed ACLR using these two grafts. This would possibly reduce or eliminate the confounding effect of nonanatomical tunnel positions on the final outcome.
The aim of the study is to compare the outcome of anatomical anterior cruciate ligament reconstruction using bone-patellar tendon-bone autograft and hamstring tendon autograft at a mean follow-up of 8 years.
METHODS
Study design
This was a retrospective single-center study conducted at a tertiary care hospital in South India. Data of patients who had underwent primary arthroscopic ACLR during the period of January 2013 to January 2016 were selected from the hospital registry. Patients aged between 18 and 50 of both sexes who had underwent single-bundle ACLR for only isolated ACL tear using either BPTB or HT autografts were included in this study. Patients with associated meniscal injuries, the Kellgren–Lawrence (KL) grading >2 [8], multiligamentous knee injuries, ipsilateral limb fractures, generalized ligament laxity and postoperative infections were excluded from the study.
Surgical procedure and postoperative rehabilitation
The recruited patients who fulfilled the primary inclusion criteria had underwent arthroscopic single-bundle ACLR using either BPTB or quadrupled HT autografts harvested from ipsilateral limb. A single fellowship-trained arthroscopic surgeon performed the surgery in all the patients. Transportal (TP) technique was used for femoral tunnel creation. Titanium interference screws (Stryker, USA) were used for both femoral and tibial side graft fixation. All the patients recruited for the study underwent standard postoperative rehabilitation as per hospital protocol.
Evaluation of clinical and radiological outcomes
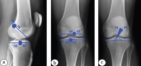
The selected cohort was subjected to radiological examination to differentiate anatomical and nonanatomical ACLR. Plain radiography of both knees in standing anteropasterior view with 0° knee flexion, pasteroanterior view with 30° knee flexion and lateral view with 30° knee flexion were taken. All X-ray images were interpreted in DICOM format in PACS (version 8.2). The anatomical nature of reconstruction was assessed as per the radiological landmarks described by L.A. Pinczewski et al. [9] (Figure 1).
Figure 1. Plain X-rays of the knee joint showing anatomical tunnel parameters and GIA: a — sagittal tunnel positions; b — coronal tunnel positions; c — graft inclination angle
Accordingly, the tunnel parameters analysed in the selected cohort were coronal femoral tunnel position, sagittal femoral tunnel position, coronal tibial tunnel position, sagittal tibial tunnel position and graft inclination angle (GIA). Patients found to have anatomical tunnel position and GIA were then subjected to final analysis (Figure 2). Those who were found to have nonanatomical tunnel position and GIA were excluded from the study.
Figure 2. A patient’s postoperative X-rays showing anatomical tunnel parameters and GIA: a — sagittal tunnel positions; b — coronal tunnel positions; c — graft inclination angle
Patients with anatomical ACLR were divided into two groups based on the autograft used (BPTB group and HT group). Patients in each group were evaluated for clinical (subjective and objective) and radiological outcomes at their latest follow-up. The outcome parameters used in the study were as follows:
- Subjective clinical outcome parameters
- International Knee Documentation Committee (IKDC) subjective knee evaluation form
- The Lysholm score
- Anterior knee pain
- Objective clinical outcome parameters
- International Knee Documentation Committee (IKDC) objective knee evaluation form
- Single leg-hop testing (SLHT)
- Pivot-shift test (PST)
- Anterior drawer test (ADT)
- Manual Lachman’s test (MLT)
- Radiological outcome parameters
- Radiological laxometry test (RLT)
- Osteoarthritic change
The objective clinical parameters were graded as per IKDC objective knee evaluation form. Radiological laxometry test was performed at 25° of knee flexion using 134 N (13.5 kg) weight to quantitate the anteroposterior stability (modified J.L. Lerat method) [10]. The contralateral uninjured knee served as reference for comparing the knee stability tests. The results of stability tests were graded as per IKDC objective knee scoring system. Osteoarthritic change was assessed by comparing the preoperative weight-bearing plain X-rays of injured knee with the latest postoperative plain X-rays using the KL grading. Radiological evaluation was done by two radiologists with reliable inter- and intra-observer correlation.
From the hospital registry 150 patients were enrolled for the study. They were subjected to radiological examination for tunnel positions and GIA. Among them, 88 patients (BPTB group — 40, HT group — 48) had anatomical ACLR. Remaining 62 subjects who had nonanatomical tunnel positions and GIA in both groups were excluded from the study. Due to various reasons 8 patients out of 88 study subjects dropped out from the study, leaving a total of 80 (BPTB group — 36, HT group — 44).They were finally evaluated for clinico-radiological outcome measures. The flow chart of patient selection for the study shown in Figure 3.
Figure 3. Flowchart showing patient selection for the study
Statistical analysis
A statistician performed all the data analyses using IBM SPSS Statistics v. 23.0 (IBM Corp, Armonk, NY, USA). Demographic variables were summarized with standard descriptive statistics, such as frequency, mean (standard deviation) or median (interquartile range). The subjective clinical outcome between the two groups was compared using the Pearson’s chi-square test and the Mann–Whitney U test. Statistical difference between the two groups in terms of objective clinical and radiological outcome was performed with the Student’s t-test. The level of significance was 5% (two-tailed) for all analyses. The clinical and radiological outcome parameters were dichotomized for the purpose of statistical analysis (Table 1).
Table 1
Dichotomization of clinical and radiological outcome parameters
Variable | Dichotomization |
Pivot-shift test | Grade A |
Grade B, C and D | |
IKDC (objective) | Grade A and B |
Grade C and D | |
Single leg-hop testing | Grade A and B |
Grade C and D | |
Anterior drawer test | Grade A |
Grade B, C and D | |
Manual Lachman’s test | Grade A |
Grade B, C and D | |
Radiological laxometry test | Grade A |
Grade B, C and D | |
Kellgren–Lawrence grading Grade | Normal and Grade 1 |
Grade 2, 3 and 4 |
RESULTS
A total of 80 patients, comprising 36 (45%) in BPTB and 44 (55%) in HT group, were analysed for the clinico-radiological outcome. The results were analysed at a mean follow-up of 8±2 years after ACLR. The mean (SD) age of the study subjects was observed to be 31.25±6.83. Around 34 (42.5%), 32 (40%) and 14 (17.5%) of them belonged to the age group 20-29 years, 30-39 years and 40-49 years, respectively. Male and female subjects accounted for 71 (88.8%) and 9 (11.3%), respectively. Road traffic accidents — 34 (42.5%), injury from a fall — 24 (30%) and sports injury — 22 (27.5%) were reported to be the different modes of injury among the study subjects. The median time from injury to surgery was found to be 90 (30-180) days. The mean (SD) follow-up time for patients was 98.59±13.78 months (8±2 years). The demographic profile between the two groups was comparable with no statistical difference (Table 2).
Table 2
Demographic profile of patients from the BPTB and HT groups
Demographic profile | BPTB | HT | p-value |
Age, years | 31.28 | 31.23 | 0.248 |
Sex male female | 32 4 | 39 5 | 0.724 |
Time since injury, days | 144.64 | 128.23 | 0.241 |
Mechanism of injury road traffic accident injury from a fall sports injury | 15 10 11 | 19 14 11 | 0.881 |
Follow-up time, months | 94.44 | 101.98 | 0.31732 |
Side of injury right left | 20 16 | 26 18 | 0.971 |
Preoperative parameters
The subjective, objective and radiological preoperative parameters were comparable between the two groups as shown in Table 3. The distribution of clinical and radiological outcome in the BPTB and HT groups are shown graphically in Figure 4 and Figure 5.
Table 3
Comparison of preoperative parameters between the BPTB and HT groups
Clinical and radiological parameters | HT | BPTB | p-value | ||
Pivot-shift test | |||||
Grade A | 1 | 1 | 0.886 | ||
Grade B, C and D | 43 | 35 | |||
IKDC objective form | |||||
Grade A and B | 0 | 1 | 0.266 | ||
Grade C and D | 44 | 35 | |||
Single leg-hop testing | |||||
Grade A and B | 2 | 0 | 0.279 | ||
Grade C and D | 42 | 36 | |||
Anterior drawer test | |||||
Grade A | 1 | 1 | 0.886 | ||
Grade B, C and D | 43 | 35 | |||
Manual Lachman’s test | |||||
Grade A | 2 | 0 | 0.195 | ||
Grade B, C and D | 42 | 36 | |||
Radiological laxometry test | |||||
Grade A | 2 | 0 | 0.195 | ||
Grade B, C and D | 42 | 36 | |||
Kellgren–Lawrence grading | |||||
Normal and Grade 1 | 40 | 34 | 0.550 | ||
Grade 2, 3, 4 | 4 | 2 | |||
Clinical and radiological parameters | HT | BPTB | p-value | ||
IKDC subjective form | |||||
Mean | 50.680 | 48.086 | 0.121 | ||
Minimum | 6.9 | 33.3 | |||
Maximum | 71.3 | 67.8 | |||
Standard deviation | 10.7046 | 8.659 | |||
Lysholm score | |||||
Mean | 37.32 | 39.50 | 0.841 | ||
Minimum | 2 | 24 | |||
Maximum | 66 | 58 | |||
Standard deviation | 12.0 | 10.953 | |||
Figure 4. Distribution of objective clinical and radiological outcomes in the BPTB group
Figure 5. Distribution of objective clinical and radiological outcomes in the HT group
Postoperative clinical outcome
There was no difference between the two groups in terms of subjective clinical outcomes such as postoperative IKDC subjective form (p-value 0.154), the Lysholm score (p-value 0.894) and anterior knee pain (p-value 0.678) (Table 4). There was no statistical difference between the two groups in terms of IKDC objective form (p-value 0.363) and single leg-hop testing (p-value 0.248), although two patients in the HT group exhibited Grade C according to IKDC objective form and SLHT, while none in the BPTB group had Grade C with regard to these two parameters. In contrast, the objective clinical outcome in terms of postoperative PST, ADT and MLT were found to be superior in the BPTB group over the HT group (BPTB/HT) as follows:
PST — Grade A — 31/5, Grade B — 5/37, Grade C — 0/2;
ADT — Grade A — 34/3, Grade B — 2/37, Grade C — 0/4;
MLT — Grade A — 3 1/5, Grade B — 5/37, Grade C — 0/2.
Table 4
Comparison of postoperative subjective clinical outcome parameters between the BPTB and HT groups
Subjective clinical outcome parameters | HT | BPTB | p-value |
IKDC subjective form | |||
Mean | 90.361 | 92.019 | 0.154 |
Minimum | 50 | 77 | |
Maximum | 98.9 | 97.7 | |
Standard deviation | 6.7138 | 5.1267 | |
Lysholm score | |||
Mean | 93.86 | 94.31 | 0.894 |
Minimum | 50 | 85 | |
Maximum | 100 | 100 | |
Standard deviation | 5.147 | 4.439 | |
Anterior knee pain | |||
Present | 1 | 2 | 0.678 |
Absent | 43 | 34 | |
The difference was statistically significant in all these three parameters (p = 0.001) as shown in Table 5.
Table 5
Comparison of postoperative objective clinical outcome parameters between the BPTB and HT groups
Objective clinical outcome parameters | HT | BPTB | p-value |
Pivot-shift test | |||
Grade A | 5 | 31 | 0.001 |
Grade B, C and D | 39 | 5 | |
IKDC objective form | |||
Grade A and B | 43 | 36 | 0.363 |
Grade C and D | 1 | 0 | |
Single leg-hop testing | |||
Grade A and B | 41 | 36 | 0.248 |
Grade C and D | 3 | 0 | |
Anterior drawer test | |||
Grade A | 3 | 34 | 0.001 |
Grade B, C and D | 41 | 2 | |
Manual Lachman’s test | |||
Grade A | 5 | 31 | 0.001 |
Grade B, C and D | 39 | 5 | |
Postoperative radiological outcome
The postoperative radiological laxometry test assessment has shown better outcome in the BPTB group compared to the HT group (BPTB/HT) as follows: (Grade A — 31/5, Grade B — 5/37 and Grade C — 0/2) and the difference was statistically significant (p = 0.001). There was no difference in OA change between the two groups (p = 0.550) (Table 6). Interestingly, none of the patients has shown progression of osteoarthritis at long-term evaluation and the current postoperative KL grading remains the same as that of their preoperative KL grading in all the patients.
Тable 6
Comparison of postoperative radiological outcome parameters between the BPTB and HT groups
Radiological outcome parameters | HT | BPTB | p-value |
Radiological laxometry test | |||
Grade A | 5 | 31 | 0.001 |
Grade B, C and D | 39 | 5 | |
Kellgren–Lawrence grading | |||
Normal and Grade 1 | 40 | 34 | 0.550 |
Grade 2, 3, 4 | 4 | 2 | |
DISCUSSION
The primary finding in our study was that patients in the BPTB group have shown superior clinical outcome over the HT group in terms of improved rotational as well as anteroposterior stability. These results were statistically significant, and more importantly the difference was found at a mean follow-up of 8±2 years after ACLR. There was no difference between the two groups in terms of demography, fixation method, femoral and tibial tunnel drilling technique, IKDC forms (objective and subjective), SLHT, the Lysholm score and OA change. The distinct feature of the current study was that we evaluated the outcome only in anatomically reconstructed ACL, in order to avoid confounding effect of nonanatomical tunnel parameters on the final outcome. Majority of the clinical studies in the past compared the outcome of BPTB and HT autografts either at short- or mid-term (<5 years) follow-up [11, 12, 13]. Only few studies have a long-term follow-up of >5 years [14, 15, 16]. In all these studies, when comparing the grafts, either the tunnel parameters were not considered or nonanatomical tunnels have not been excluded using radiography. The current study was distinct from the above ones in that we aimed to compare the outcome of these two grafts only in anatomically reconstructed ACL using plain radiography at a mean follow-up of 8 years.
M.C. Ciccotti et al. in their systemic review on mid-to long-term follow-up studies on anatomical ACLR via independent tunnel drilling (transportal technique), comparing BPTB and HT autografts, found no difference between the grafts in terms of clinical outcome scores and graft failure rates. However, they noted that the BPTB autograft causes greater anterior knee pain and OA change. On the other side, HT autografts showed increased laxity and less knee flexion strength. They have not analysed tunnel parameters radiologically for confirming anatomical ACLR. The authors probably considered independent tunnel drilling as a way of anatomical ACLR [17]. In our study, though, all the patients underwent ACLR by transportal technique. We carried out radiological evaluation of tunnel positions and graft inclination angle to ensure only anatomical ACLR is used for comparing the outcomes between these two grafts. We found no difference between these two grafts in terms of subjective outcome, but the BPTB autograft has shown a better rotational and anteroposterior stability over the HT autograft. Although many studies mentioned anterior knee pain was more so associated with the BPTB autograft [17, 18, 19], the current study results have shown that only two patients in the BPTB and one in the HT group had anterior knee pain and the difference was insignificant. M. Suri et al. have recently studied anterior knee pain in patients who underwent ACLR using BPTB autograft and found that functional anterior knee pain was less, compared to literature, using this graft [20].
R. Cristiani et al. conducted a comparative study between BPTB and HT autografts on 5462 patients for knee laxity and patient-reported outcome measures following primary ACLR. Their study showed greater anterior laxity and more surgical failures using HT autografts over BPTB autografts at the 1-year follow-up. Their study has no differentiation between anatomical and nonanatomical tunnel positions [11]. Our study results also showed similar results, but more importantly at a mean follow-up of 8 years in anatomical ACLR.
L.A. Pinczewski et al. reported a significantly higher incidence of radiographic arthritic changes in the BPTB group compared with the HT group in their long-term prospective study [9]. In a mid-term study, S.L. Keays et al. found a significantly higher incidence of tibiofemoral osteoarthritis in the BPTB group (62% BPTB vs 33% HT) [21]. I. Holm et al. at 10 years of follow-up compared BPTB and HT autografts. They found that the prevalence of osteoarthritis was significantly higher in the operated leg than in the contralateral leg, but there were no significant differences between the two groups. They concluded that the choice of graft type after an anterior cruciate ligament injury has minimal influence on the prevalence of osteoarthritis 10 years after surgery [6]. In the current study, we could not find any difference between the grafts in terms of OA changes at a mean follow-up of 8 years. In our study, patients who had no OA change at the time of surgery were found to have no OA change in the operated knee in both groups. Interestingly, patients who had preexisting Grade 1 and Grade 2 OA changes at the time of surgery also did not show any deterioration of OA change at their latest follow-up in both groups. Similar results were also shown in other studies [22, 23]. This indicates that apart from graft selection other factors like tunnel parameters, concomitant meniscal or chondral injuries may be a major contributory factor for OA changes as described in previous studies [24]. Since our study population had no concomitant meniscal or focal chondral injuries, the above findings may be attributed to this. Another possible reason could be that we used transportal technique in all our patients. Studies have shown that anatomical ACLR using TP technique results in less OA changes at long-term follow-up [23, 24]. It was also shown in previous studies that patients who underwent ACLR using transtibial (TT) technique demonstrated OA change at long-term follow-up in contrast to the TP technique. B. Barenius et al. in their study found that more than half of transtibial ACLR patients demonstrated radiographic evidence of Grade 2 or higher joint degenerative changes at 14 years [25]. Similarly, L.A. Pinczewski et al. performed a study on 200 patients who underwent ACL reconstruction for clinical and radiological assessment at the 7-year follow-up. The authors reported that a more vertical graft in the coronal plane was significantly correlated to inferior rotational stability and an increased level of OA [9]. Since we excluded nonanatomical ACLR in our study, we obviously eliminated vertical grafts. This could be another possible reason for absence of OA changes in our study population.
The novelty of our study was that we compared the results of two grafts only in patients with anatomical ACLR. Many studies showed that anatomical ACLR results in superior long-term clinical outcome and low graft failures [2, 3]. Hence, we believed that by excluding nonanatomical ACLR in the study population one could eliminate the confounding effect of tunnel positions on the final outcome, making the comparability meaningful. In order to achieve the anatomical ACLR, one should place the femoral and tibial tunnels in centre of the native foot prints. Though it was argued that transportal drilling would aid in achieving anatomical ACLR on the femoral side, one cannot assume that all patients with this technique will have anatomical ACLR, as studies have shown that nonanatomical femoral tunnel placement equally exists in both TP and TT technique [26]. On the tibial side, anatomical tibial tunnel position in ACLR would be difficult to determine by preoperative images, intraoperative arthroscopy landmarks or intraoperative fluoroscopy [27, 28]. Hence, we believe that the best way to assess the anatomical ACLR is evaluation using postoperative plain X-rays or CT scans. Though CT scanning has more precision among the two, higher radiation exposure and cost precludes its use in our region. Thus, we used only plain radiography in the current study to evaluate tunnel positions as described by L.A. Pincewzki et al. [9] to include only those subjects who had tunnel parameters in the anatomical range for comparing the outcome of two grafts. P. Sadoghi et al. carried out a comparative study on clinical outcome between BPTB and HT autografts using postoperative 3D CT images for assessing tunnel positions and found that anatomical tunnel positioning showed better clinical outcome [2]. Although they used CT images for assessing tunnel positions, their study did not exclude nonanatomical ACLR. The authors compared single-bundle (SB)-BPTB and double-bundle (DB)-HT autografts while we compared SB-BPTB and SB-HT autografts in our study. Furthermore, their study period was only 1 year whereas our study has 8-year mean follow-up.
Limitations
We performed a retrospective study, having a retrospective data collection. Consequently, a possible selection bias of study population was unavoidable. Though we attempted to exclude nonanatomical tunnels using plain radiography, the accuracy of this method needs to be validated, since subtle rotations of the knee joint in plain radiography are possible. Besides, the graft diameter was not comparable as the HT group had more graft diameter variability (from 7 to 10 mm) opposed to the BPTB group, which had constant 9 or 10 mm graft diameter in all patients. We did not compare other outcome parameters such as time taken for return to sports or return to preinjury level between the two groups, which has an implication on early graft incorporation. The other limitation was that we have not assessed the rotational or anteroposterior stability by instrumented arthrometers like KT-1000 Arthrometer, although we used stress radiography in all the study population and compared to contralateral knee for anteroposterior stability (radiological laxometry test).
CONCLUSIONS
Bone-patellar tendon-bone autografts have shown superior clinical outcome over hamstring tendon autografts in terms of rotational and anteroposterior knee stability at a mean follow-up of 8 years after anatomical ACLR. There was no difference between these two grafts in terms of other clinical parameters and osteoarthritic change. Future long-term prospective randomized studies on this subject are recommended to validate our results.
DISCLAIMERS
Acknowledgements
We sincerely acknowledge our fellow radiologists (Dr. Samjee Smile and Dr. Edward) who were involved in this study.
Author contribution
All authors made equal contributions to the study and the publication.
All authors have read and approved the final version of the manuscript of the article. All authors agree to bear responsibility for all aspects of the study to ensure proper consideration and resolution of all possible issues related to the correctness and reliability of any part of the work.
Funding source. This study was not supported by any external sources of funding.
Disclosure competing interests. The authors declare that they have no competing interests.
Ethics approval. Institutional review board approval and ethical committee clearance was obtained for the study (IEC No. EC/NEW/INST/2021/2200).
Consent for publication. The authors obtained written consent from patients to participate in the study and publish the results.
ДОПОЛНИТЕЛЬНАЯ ИНФОРМАЦИЯ
Благодарность
Мы искренне благодарим наших коллег-рентгенологов (д-ра Самджи Смайла и д-ра Эдварда), которые принимали участие в этом исследовании.
Заявленный вклад авторов
Все авторы сделали эквивалентный вклад в подготовку публикации.
Все авторы прочли и одобрили финальную версию рукописи статьи. Все авторы согласны нести ответственность за все аспекты работы, чтобы обеспечить надлежащее рассмотрение и решение всех возможных вопросов, связанных с корректностью и надежностью любой части работы.
Источник финансирования. Авторы заявляют об отсутствии внешнего финансирования при проведении исследования.
Возможный конфликт интересов. Авторы декларируют отсутствие явных и потенциальных конфликтов интересов, связанных с публикацией настоящей статьи.
Этическая экспертиза. Для проведения исследования было получено одобрение локального наблюдательного совета и разрешение этического комитета (IEC № EC/NEW/INST/2021/2200).
Информированное согласие на публикацию. Авторы получили письменное согласие пациентов на участие в исследовании и публикацию результатов.
Об авторах
Татчинамурти Сантамурти
Indhira Gandhi Governtment General Hospital and Post Graduate Institute
Автор, ответственный за переписку.
Email: santhamoorthyt@yahoo.com
ORCID iD: 0009-0002-3501-2776
MBBS, MS (Ortho)
Индия, ПондичерриАниш Анто Ксавье
Indhira Gandhi Governtment General Hospital and Post Graduate Institute
Email: dr.anishxavier@gmail.com
ORCID iD: 0009-0004-1374-6466
MBBS, MBA, D. Ph, MRCEM
Индия, ПондичерриЛалитамбигай Челламуту
Mahatma Gandhi Medical College and Research Institute
Email: Lalli.muthu@gmail.com
ORCID iD: 0000-0002-2799-4549
MBBS, MD (PSM)
Индия, Пиллаияркуппам, ПондичерриАрун Калиаперумал
Indhira Gandhi Medical College and Research Institute
Email: karun83@gmail.com
MBBS, DNB (Ortho)
Индия, Кадиркамам, ПондичерриДхарамвир Кумар Дубей
Indhira Gandhi Governtment General Hospital and Post Graduate Institute
Email: dk64dubey@yahoo.com
ORCID iD: 0009-0008-8316-4903
MBBS, MS (Ortho)
Индия, ПондичерриСписок литературы
- McDaniel W.J. Jr., Dameron T.B. Jr. The untreated anterior cruciate ligament rupture. Clin Orthop Relat Res. 1983;(172):158-163.
- Sadoghi P., Kröpfl A., Jansson V., Müller P.E., Pietschmann M.F., Fischmeister M.F. Impact of tibial and femoral tunnel position on clinical results after anterior cruciate ligament reconstruction. Arthroscopy. 2011;27(3):355-364. doi: 10.1016/j.arthro.2010.08.015.
- Lim H.C., Yoon Y.C., Wang J.H., Bae J.H. Anatomical versus non-anatomical single bundle anterior cruciate ligament reconstruction: a cadaveric study of comparison of knee stability. Clin Orthop Surg. 2012;4(4):249-255. doi: 10.4055/cios.2012.4.4.249.
- MARS Group. Effect of graft choice on the outcome of revision anterior cruciate ligament reconstruction in the Multicenter ACL Revision Study (MARS) Cohort. Am J Sports Med. 2014;42(10):2301-2310. doi: 10.1177/0363546514549005.
- Grassi A., Nitri M., Moulton S.G., Marcheggiani Muccioli G.M., Bondi A., Romagnoli M. et al. Does the type of graft affect the outcome of revision anterior cruciate ligament reconstruction? a meta-analysis of 32 studies. Bone Joint J. 2017;99-B(6):714-723. doi: 10.1302/0301-620X.99B6.BJJ-2016-0929.R2.
- Holm I., Oiestad B.E., Risberg M.A., Aune A.K. No difference in knee function or prevalence of osteoarthritis after reconstruction of the anterior cruciate ligament with 4-strand hamstring autograft versus patellar tendon-bone autograft: a randomized study with 10-year follow-up. Am J Sports Med. 2010;38(3):448-454. doi: 10.1177/0363546509350301.
- Sajovic M., Stropnik D., Skaza K. Long-term Comparison of Semitendinosus and Gracilis Tendon Versus Patellar Tendon Autografts for Anterior Cruciate Ligament Reconstruction: A 17-Year Follow-up of a Randomized Controlled Trial. Am J Sports Med. 2018;46(8):1800-1808. doi: 10.1177/0363546518768768.
- Kellgren J.H., Lawrence J.S. Radiological assessment of osteo-arthrosis. Ann Rheum Dis. 1957;16(4):494-502. doi: 10.1136/ard.16.4.494.
- Pinczewski L.A., Salmon L.J., Jackson W.F., von Bormann R.B., Haslam P.G., Tashiro S. Radiological landmarks for placement of the tunnels in single-bundle reconstruction of the anterior cruciate ligament. J Bone Joint Surg Br. 2008;90(2):172-179. doi: 10.1302/0301-620X.90B2.20104.
- Lerat J.L., Moyen B., Jenny J.Y., Perrier J.P. A comparison of preoperative evaluation of anterior knee laxity by dynamic X-rays and by the arthrometer KT 1000. Knee Surg Sports Traumatol Arthrosc. 1993;1(1):54-59. doi: 10.1007/BF01552160.
- Cristiani R., Sarakatsianos V., Engström B., Samuelsson K., Forssblad M., Stålman A. Increased knee laxity with hamstring tendon autograft compared to patellar tendon autograft: a cohort study of 5462 patients with primary anterior cruciate ligament reconstruction. Knee Surg Sports Traumatol Arthrosc. 2019;27(2): 381-388. doi: 10.1007/s00167-018-5029-9.
- Sadeghpour A., Ebrahimpour A., Attar B., Azizian Z. Comparison of patellar versus hamstring tendon autografts in arthroscopic anterior cruciate ligament reconstruction: A 6-month follow-up of a randomized clinical trial. J Res Med Sci. 2017;22:105. doi: 10.4103/jrms.JRMS_939_16.
- Arida C., Tsikrikas C.G., Mastrokalos D.S., Panagopoulos A., Vlamis J., Triantafyllopoulos I.K. Comparison of bone-patella tendon-bone and four-strand hamstring tendon grafts for anterior cruciate ligament reconstruction: a prospective study. Cureus. 2021;13(11):e19197. doi: 10.7759/cureus.19197.
- Webster K.E., Feller J.A., Hartnett N., Leigh W.B., Richmond A.K. Comparison of Patellar Tendon and Hamstring Tendon Anterior Cruciate Ligament Reconstruction: A 15-Year Follow-up of a Randomized Controlled Trial. Am J Sports Med. 2016;44(1):83-90. doi: 10.1177/0363546515611886.
- Thompson S.M., Salmon L.J., Waller A., Linklater J., Roe J.P., Pinczewski L.A. Twenty-Year Outcome of a Longitudinal Prospective Evaluation of Isolated Endoscopic Anterior Cruciate Ligament Reconstruction With Patellar Tendon or Hamstring Autograft. Am J Sports Med. 2016;44(12):3083-3094. doi: 10.1177/0363546516658041.
- Sajovic M., Stropnik D., Skaza K. Long-term Comparison of Semitendinosus and Gracilis Tendon Versus Patellar Tendon Autografts for Anterior Cruciate Ligament Reconstruction: A 17-Year Follow-up of a Randomized Controlled Trial. Am J Sports Med. 2018;46(8):1800-1808. doi: 10.1177/0363546518768768.
- Ciccotti M.C., Secrist E., Tjoumakaris F., Ciccotti M.G., Freedman K.B. Anatomic Anterior Cruciate Ligament Reconstruction via Independent Tunnel Drilling: A Systematic Review of Randomized Controlled Trials Comparing Patellar Tendon and Hamstring Autografts. Arthroscopy. 2017;33(5):1062-1071.e5. doi: 10.1016/j.arthro.2017.01.033.
- Zhao L., Lu M., Deng M., Xing J., He L., Wang C. Outcome of bone-patellar tendon-bone vs hamstring tendon autograft for anterior cruciate ligament reconstruction: A meta-analysis of randomized controlled trials with a 5-year minimum follow-up. Medicine (Baltimore). 2022;101(34):e29873. doi: 10.1097/MD.0000000000023476.
- Freedman K.B., D’Amato M.J., Nedeff D.D., Kaz A., Bach B.R. Jr. Arthroscopic anterior cruciate ligament reconstruction: a metaanalysis comparing patellar tendon and hamstring tendon autografts. Am J Sports Med. 2003;31(1):2-11. doi: 10.1177/03635465030310011501.
- Suri M., Verma A., Khalid M.A., Nammour M., Godshaw B. Functional Anterior Knee Pain and Return to Sport Following Bone-Patellar Tendon-Bone Anterior Cruciate Ligament Reconstruction. Ochsner J. 2023;23(1):27-33. doi: 10.31486/toj.22.0085.
- Keays S.L., Newcombe P.A., Bullock-Saxton J.E., Bullock M.I., Keays A.C. Factors involved in the development of osteoarthritis after anterior cruciate ligament surgery. Am J Sports Med. 2010;38(3):455-463. doi: 10.1177/0363546509350914.
- Belk J.W., Kraeutler M.J., Houck D.A., McCarty E.C. Knee Osteoarthritis After Single-Bundle Versus Double-Bundle Anterior Cruciate Ligament Reconstruction: A Systematic Review of Randomized Controlled Trials. Arthroscopy. 2019;35(3):996-1003. doi: 10.1016/j.arthro.2018.10.127.
- Wipfler B., Donner S., Zechmann C.M., Springer J., Siebold R., Paessler H.H. Anterior cruciate ligament reconstruction using patellar tendon versus hamstring tendon: a prospective comparative study with 9-year follow-up. Arthroscopy. 2011;27(5):653-665. doi: 10.1016/j.arthro.2011.01.015.
- Gerhard P., Bolt R., Dück K., Mayer R., Friederich N.F., Hirschmann M.T. Long-term results of arthroscopically assisted anatomical single-bundle anterior cruciate ligament reconstruction using patellar tendon autograft: are there any predictors for the development of osteoarthritis? Knee Surg Sports Traumatol Arthrosc. 2013;21(4):957-964. doi: 10.1007/s00167-012-2001-y.
- Barenius B., Ponzer S., Shalabi A., Bujak R., Norlén L., Eriksson K. Increased risk of osteoarthritis after anterior cruciate ligament reconstruction: a 14-year follow-up study of a randomized controlled trial. Am J Sports Med. 2014;42(5):1049-1057. doi: 10.1177/0363546514526139.
- Jaecker V., Zapf T., Naendrup J.H., Pfeiffer T., Kanakamedala A.C., Wafaisade A. et al. High nonanatomic tunnel position rates in ACL reconstruction failure using both transtibial and anteromedial tunnel drilling techniques. Arch Orthop Trauma Surg. 2017;137(9):1293-1299. doi: 10.1007/s00402-017-2738-3.
- Sullivan J.P., Cook S., Gao Y., Wolf B.R. Radiographic Anatomy of the Native Anterior Cruciate Ligament: a Systematic Review. HSS J. 2015;11(2):154-165. doi: 10.1007/s11420-014-9417-5.
- Kasten P., Szczodry M., Irrgang J., Kropf E., Costello J., Fu F.H. What is the role of intra-operative fluoroscopic measurements to determine tibial tunnel placement in anatomical anterior cruciate ligament reconstruction? Knee Surg Sports Traumatol Arthrosc. 2010;18(9): 1169-1175. doi: 10.1007/s00167-010-1082-8.
Дополнительные файлы









