Risk of thromboembolism after intraosseous implantation of metallic devices with extracellular vesicles derived from multipotent stromal cells: preliminary results
- Authors: Maiborodin I.V.1, Ryaguzov M.E.1, Kuzkin S.A.2, Shevela A.A.1, Sheplev B.V.1, Marinkin I.O.1, Maiborodina V.I.1, Lushnikova E.L.2
-
Affiliations:
- Institute of Chemical Biology and Fundamental Medicine Siberian Branch of the Russian Academy of Sciences
- Federal Research Center for Fundamental and Translational Medicine
- Issue: Vol 30, No 2 (2024)
- Pages: 131-142
- Section: Theoretical and experimental studies
- Submitted: 03.04.2024
- Accepted: 07.06.2024
- Published: 04.07.2024
- URL: https://journal.rniito.org/jour/article/view/17519
- DOI: https://doi.org/10.17816/2311-2905-17519
- ID: 17519
Cite item
Full Text
Abstract
Background. New implantation methods are of great importance due to the development of endoprostheses in traumatology and orthopedics, restorative medicine and dentistry. Equally important is the early detection and description of the implant-associated complications.
The aim of the study is to find and describe thrombi and emboli in the heart and lungs formed after experimental implantation of metallic devices in the peripheral part of limb using extracellular vesicles of mesenchymal stromal cells.
Methods. Outbred rabbits of both genders at the age from 4 to 6 months and of weight from 3 to 4 kg underwent experimental implantation. The study enrolled 57 species in total. They were divided into two groups: 30 animals underwent implantation of metallic devices using extracellular vesicles of mesenchymal stromal cells (EV MSCs), 27 — without their use. The rabbits’ hearts and lungs were studied by light microscopy methods at different stages after integration of screw titanium implants into the proximal condyle of the tibia using EV MSCs.
Results. After implantation of metallic devices into the proximal condyle of the tibia, we detected fibrin, detritus and even the red bone marrow structures (various blast forms of hematopoietic cells: megakaryocytes, cells of the erythroid and myeloid lineages) in the right cavities of the heart. In the pulmonary arteries, we also found thrombi and emboli, which either led to the obliteration of the involved vessel or to gradual lysis, not disappearing completely within 10 days of follow-up.
Conclusions. After intraosseous implantation of the metallic devices, there is an embolism risk in the right atria and ventricle of the heart and the pulmonary arteries and veins due to the debris migration with the bloodstream from the surgery site. At the same time, one cannot exclude a thrombotic risk in the heart and pulmonary arteries as a reaction to the presence of detritus. It is advisable to take measures aimed at preventing both debris releasing into the bloodstream and pulmonary embolism during any implantations into the bone tissues, even of relatively small devices. Using EV MSCs to affect the implant engraftment processes has no significant effect on the severity and frequency of thromboembolic complications.
Full Text
ВВЕДЕНИЕ
Венозные тромбоэмболические осложнения являются одной из основных причин заболеваемости и смертности госпитализированных больных хирургических стационаров. В литературе содержатся описания множества случаев тромбоэмболии легочной артерии (ТЭЛА) при тромбозе вен нижних конечностей [1, 2, 3, 4], иногда приводящих к летальному исходу [4]. Менее часто сообщают о ТЭЛА как результате флеботромбоза верхних конечностей [5, 6, 7], еще реже — о ТЭЛА на фоне появления тромбов во внутренней яремной, глубокой аксиллярной или подключичной венах [8]. Хирургическое вмешательство в регионе тромбированной вены часто является фактором, способствующим отрыву тромба и развитию ТЭЛА [4, 7].
Описана ТЭЛА при эндопротезировании суставов, но источником эмболов чаще всего являются тромбированные вены [9, 10, 11]. В качестве единичных случаев приводятся наблюдения пациентов с эмболией легочной артерии структурами костного мозга как гемопоэтического, так и желтого [12, 13, 14, 15, 16, 17]. Костномозговые эмболы легочных артерий могут осложнять травматические переломы костей, повреждения ребер и грудины в процессе реанимации, а также злокачественные новообразования. Иногда этиологический фактор определить не удается, эмболизация выявляется только при аутопсии [12, 14].
Опубликованы сообщения о ряде сердечно-сосудистых и легочных осложнений, иногда возникающих после установки тотального эндопротеза бедра. Из возможных причин этих реакций главной является жировая эмболия. Повышение интрамедуллярного давления, вызванное механическим сжатием костного мозга в бедренном канале во время введения стержня, по-видимому, является решающим патогенетическим фактором появления эмболов в кровеносном русле. Кроме того, тканевой тромбопластин из костного мозга, вытесняемый в дренирующие вены проксимального отдела бедра при введении ножки протеза, приводит к активации каскада свертывания крови, поражению венозного эндотелия и тромбообразованию [15, 16].
Техника внутрикостной инфузии является спасительной альтернативой в экстренных случаях, когда внутривенный доступ невозможен. Во время аутопсийного исследования образцов легких двух детей, которым делали внутрикостные инфузии во время попыток реанимации, были обнаружены от 0,23 до 0,71 костномозговых и жировых эмболов на 1 мм2 среза [13].
В эксперименте на собаках с внутрикостными инфузиями растворов в дистальный отдел бедренной кости через 4 часа после введения J.P. Orlowski с соавторами исследовали случайные срезы легких с окрашиванием Oil Red O (Solvent Red 27, Sudan Red 5B) или гематоксилином и эозином для выявления жировых и костномозговых эмболов. Эмболы желтого и красного костного мозга были обнаружены во всех срезах легких с частотой от 0,06 до 4,48 объектов на мм2 ткани [13].
Случайное обнаружение эмболизации правых отделов сердца кроликов гемопоэтическими структурами и фибриновыми сгустками после внедрения в большеберцовую кость относительно небольших металлических имплантатов послужило основанием для этой работы.
Цель исследования — найти и описать тромбы и эмболы в сердце и легких после экспериментальной имплантации металлических изделий в проксимальный мыщелок большеберцовой кости с применением экстрацеллюлярных везикул мезенхимных стромальных клеток.
МАТЕРИАЛ И МЕТОДЫ
Экспериментальная имплантация была проведена беспородным кроликам обоего пола в возрасте 4–6 мес. массой 3–4 кг. Общее количество животных, включенных в исследование, составило 57 особей. Они были разделены на группы: 30 животным металлические изделия имплантировали с применением экстрацеллюлярных везикул мезенхимных стромальных клеток (ЭВ МСК), 27 — без их применения. Все манипуляции не были связаны с причинением боли животным. Кроликов содержали на стандартной лабораторной диете при естественном освещении в виварии.
Методы исследования подробно изложены в диссертационных работах А.А. Шевелы1 и С.А. Кузькина2, посвященных применению клеточных технологий для воздействия на внутрикостную имплантацию, приживление внедренных изделий, а также осложнениям и побочным эффектам подобных процедур.
Хирургическое вмешательство по моделированию повреждения проксимального мыщелка большеберцовой кости и введение ЭВ МСК
Хирургическое вмешательство проводили с соблюдением всех правил асептики и антисептики условиях чистой операционной под общим наркозом на основе тотальной внутривенной анестезии пропофолом [18, 19, 20]. В обоих проксимальных мыщелках большеберцовой кости (ПМБК) стоматологическим бором диаметром 2 мм с охлаждением стерильным физиологическим раствором создавали стандартизированное отверстие на глубину 4 мм [18].
Дефекты ПМБК на правой и левой конечностях заполняли инсулиновым шприцем теплым физиологическим раствором на фосфатном буфере (контроль — 27 кроликов) или вводили 39 мкг ЭВ МСК на животное (или 19,5 мкг на одну конечность) в этом буфере (опыт — 30 животных). Через 10–20 сек. со стабильной первичной фиксацией до 30 Н × см внедряли винтовые титановые имплантаты (изделия 3,5×8,0 мм с шероховатой поверхностью; 3S, Израиль), устанавливали винт-заглушку и послойно без натяжения ушивали операционную рану [18]. Животных выводили из эксперимента спустя 3, 7 и 10 сут. после операции, в каждой подгруппе было было 9–12 животных (табл. 1).
Таблица 1. Группы и количество животных в различные сроки после имплантации
Группа животных | Время после имплантации | Всего | ||
3-и сут. | 7-е сут. | 10-е сут. | ||
Имплантация без ЭВ МСК (контроль) | 9 | 9 | 9 | 27 |
Имплантация с ЭВ МСК (опыт) | 12 | 9 | 9 | 30 |
Всего | 21 | 18 | 18 | 57 |
Получение, культивирование и характеристики МСК, выделение ЭВ МСК
МСК получали из костного мозга крысы-самца инбредной линии Wag массой 180 г. в возрасте 6 мес., характеризовали и культивировали в соответствии с ранее разработанными рекомендациями [18, 19, 20]. Клетки были характеризованы на основании данных литературы [21, 22, 23].
Кондиционную среду для выделения ЭВ МСК собирали на стадии стационарного роста стабильной культуры 3-го пассажа преддиференцированных в костном направлении МСК (0,1 мкM раствор дезоксиметазона, 50 мкM раствор аскорбиновой кислоты и 10 мM раствор β-глицерофосфата, все реактивы производства Sigma, США) [18, 19, 20, 24] при достижении конфлюэнтности клеточного монослоя 80–90% согласно указаниям литературы [25, 26].
Для удаления клеток, их остатков, апоптозных телец и крупных везикул кондиционную среду после культивирования МСК последовательно центрифугировали [27, 28]. Выделенные ЭВ МСК ресуспендировали в 200 мкл забуференного физиологического раствора, пропускали через фильтр с порами 0,22 мкм. Количество ЭВ МСК определяли по содержанию белка в осадке, использовали коммерческий набор Qubit protein assay kit (Thermo Fisher Scientific, США) и флюориметр Qubit® 3.0.
Методы морфологического анализа
Из сердец выведенных из эксперимента кроликов вырезали фрагмент толщиной около 5 мм так, чтобы в образце оказались правые и левые предсердия и желудочки с максимальной площадью полостей. Затем по перегородке разделяли правые и левые отделы, которые обрабатывали отдельно. Соответственно рекомендациям литературы, кроме сердец, для поиска эмболов костного мозга с гемопоэтическими клетками были внимательно изучены легкие [12, 13, 14, 15, 16, 17]. Для исследования использовали правое легкое, из середины которого выделяли 3–5 фрагментов кубической формы с длиной граней около 5 мм. Образцы фиксировали в 4% растворе параформальдегида на фосфатном буфере (рН 7,4) не менее 1 сут., обезвоживали в реактиве «Изопреп» (БиоВитрум, Россия), просветляли в ксилоле и заключали в гистопласт. Гистологические срезы толщиной 5–7 мкм окрашивали гематоксилином и эозином, исследовали при увеличении до 1200 раз в световом микроскопе Axioimager M1 (Carl Zeiss, Германия). С целью определения размеров лейкоцитарных инфильтратов и тромбов применяли комплекс программ для морфометрии Axiovision (Carl Zeiss, Германия).
РЕЗУЛЬТАТЫ
Спустя 3 дня после имплантации в ПМБК у одного животного из группы контроля в правых отделах сердца присутствовали фибриновые тромбы с большим числом гемопоэтических клеток (рис. 1 а, b), наиболее вероятно, костномозгового происхождения. На это указывает разнородность незрелых клеточных форм — от клеток эритроидного и миелоидного ростков до мегакариоцитов (рис. 1 b).
Рис. 1. Структуры красного костного мозга (а, b — без применения ЭВ МСК) и тромбы (c, d — с использованием ЭВ МСК) в правых полостях сердец кроликов спустя 3 сут. после внедрения в ПМБК металлического винтового имплантата: а — в правом предсердии и в правом желудочке расположены объемные сгустки крови; b — фрагмент «а», в правом желудочке присутствуют мегакариоциты (отмечены стрелками) и большое количество нейтрофилов разной степени зрелости; с — в месте начала коронарной артерии образован тромб; d — старый тромб с диффузной лейкоцитарной (нейтрофильной) инфильтрацией и «хвостом» по току крови. Окраска гематоксилином и эозином
Fig. 1. Structures of red bone marrow (a, b — without the use of EV MSCs) and blood clots (c, d — with the using EV MSCs) in the right cavities of the rabbit’s hearts 3 days after implantation of a metallic devices into the PTC: a — the right atrium and ventricle contain a large volume of blood clots; b — fragment “a”, a significant number of cells with segmented nuclei located in the cavity of the right heart ventricle, megakaryocytes are present (arrows); c — thrombus at the beginning of the coronary artery; d — old thrombus diffusely infiltrated with leukocytes, including neutrophils, with a “tail” along the blood flow. Hematoxylin and eosin staining
Через 3 сут. после имплантации с применением ЭВ МСК в сердце костномозговые эмболы отсутствовали во всех случаях. У 2 кроликов в сердечных полостях были обнаружены тромбы (рис. 1 с, d), в некоторых наблюдениях сходные с тромбами при эндокардите (рис. 1 d). Найденные тромбы были «красными»: состояли из фибрина и эритроцитов, иногда с диффузной инфильтрацией лейкоцитами, изредка был зарегистрирован по току крови своеобразный «хвост» этих тромбов (рис. 1 d).
На более поздних сроках наблюдения эмболы костного мозга и сгустки фибрина в полостях сердца обнаружены не были независимо от применения ЭВ МСК для влияния на процессы имплантации металлического изделия в ПМБК.
На 3-и сут. в сосудах легких 5 из 9 кроликов после имплантации без применения ЭВ МСК были найдены фибриновые тромбы, обильно инфильтрированные лейкоцитами, преимущественно сегментоядерными клетками (рис. 2 a, b). Визуально заметные структуры костного мозга и скопления гемопоэтических клеточных элементов выявлены не были.
Рис. 2. Тромбы и костномозговые эмболы в сосудах легких кроликов в различные сроки после имплантации в ПМБК металлического изделия: a, b — спустя 3 сут. в тромбированной артерии фибрин, инфильтрированный сегментоядерными клетками с эозинофильной цитоплазмой, перемежается с плотно упакованными эритроцитами; c — на 7-е сут. просвет крупной артерии с гипертрофированными оболочками выполнен гетерогенной бесструктурной субстанцией, инфильтрированной сегментоядерными клетками; d — через 7 сут. в просвете сосуда с растянутыми оболочками расположены ячеистые структуры жировой ткани с гемопоэтическими клетками между ними; e — спустя 10 сут. в артерии с гипертрофированными оболочками содержатся ячеистые структуры жировой ткани с плотной волокнистой соединительной тканью, инфильтрированной лейкоцитами и эритроцитами, между ними; f — лейкоцитарный инфильтрат диаметром более 200 мкм в паренхиме на 10-e сут. Окраска гематоксилином и эозином
Fig. 2. Thrombi and emboli in the lung vessels of rabbits at various times after implantation of a metallic devices into the PTC: a, b — after 3 days in a thrombosed artery, fibrin, infiltrated by cells with segmented nuclei and eosinophilic cytoplasm, alternates with densely packed erythrocytes; c — on day 7, a heterogeneous structureless substance, infiltrated with segmented cells, is contained in the large artery with hypertrophied wall; d — after 7 days, structures of adipose tissue with hematopoietic cells between them are located in a vessel with a stretched wall; e — after 10 days, the artery with hypertrophied walls contains cellular structures with dense fibrous connective tissue, infiltrated with leukocytes and erythrocytes, between them; f — leukocyte infiltrate with a diameter of more than 200 microns in the parenchyma on 10 days. Hematoxylin and eosin staining
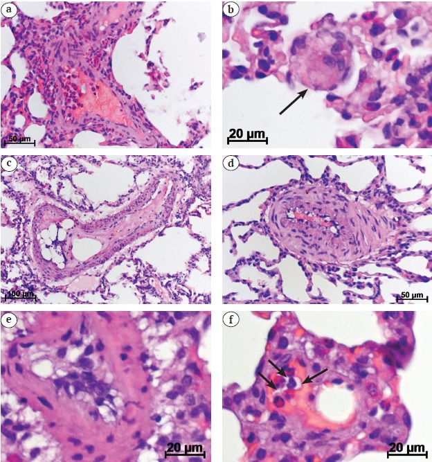
Через 3 сут. после операции на ПМБК с последующим применением ЭВ МСК в сосудах легких 8 из 12 животных также присутствовали свежие тромбы из плотно расположенных эритроцитов и сегментоядерных клеточных элементов с интенсивно окрашенной эозином цитоплазмой (рис. 3 а). Также в стенках альвеол были найдены расширенные в значительной степени капилляры, содержащие гетерогенную эозинофильную субстанцию с макрофагами (рис. 3 b).
Рис. 3. Тромбоэмболия фибрином и структурами костного мозга сосудов легких кроликов в разные сроки после внедрения в ПМБК имплантата с предварительным введением ЭВ МСК: а — на 3-е сут. сосуд плотно заполнен гетерогенной бесструктурной эозинофильной субстанцией, инфильтрированной сегментоядерными клетками, цитоплазма которых имеет интенсивную эозинофильную окраску; b — спустя 3 сут. в расширенном до шарообразной формы капилляре (стрелка) альвеолярной перегородки содержится бесструктурное вещество с макрофагами; c — через 7 сут. в артерии расположены ячейки жировой ткани с гемопоэтическими клетками, а также слабо эозинофильное бесструктурное вещество с расположенными по краю лейкоцитами; d — на 7-е сут. появляются сосуды со значительно гипертрофированными оболочками и сильно суженным просветом с красным ячеистым тромбом в нем; e — спустя 10 сут. в артерии содержатся крупные клеточные элементы с ячеистыми волокнистыми структурами между ними; f — через 10 сут. в капилляре расположен красный тромб с большими просветами, инфильтрированный сегментоядерными клеточными элементами с оптически прозрачной субстанцией рядом с ними (обозначен стрелками). Окраска гематоксилином и эозином
Fig. 3. Thromboembolism with fibrin and bone marrow structures of the lung vessels of rabbits on different dates after the introduction of an implant into the PTC with the preliminary EV MSCs administration: a — on the 3rd day, the vessel is densely filled by a heterogeneous structureless eosinophilic substance, infiltrated by cells with segmented nuclei, the cytoplasm of which has an intense eosinophilic color; b — after 3 days, the capillary, expanded to a spherical shape (arrow), of the alveolar septum, contains a structureless substance with macrophages; c — after 7 days, the artery contains adipose tissue with hematopoietic cells and a weakly eosinophilic structureless substance with leukocytes located along the edge; d — by day 7, there is appear vessels with significantly hypertrophied wall and a strongly stenosed clear with a red thrombus inside; e — after 10 days, the artery contains large cells with cellular fibrous structures between them; f — After 10 days, a red thrombus, infiltrated with segmented cells with an optically transparent substance next to them (arrows), is located in the capillary. Hematoxylin and eosin staining
К 7-м сут. у всех 9 животных из группы контроля в легких присутствовали или тромбированные, или эмболизированные костномозговыми структурами сосуды, или те и другие вместе (рис. 2 c, d). В случае обнаружения тромбоза сосуд был плотно закупорен практически гомогенным фибриновым сгустком, в котором только на очень небольших участках можно было различить эритроциты, такие сгустки были инфильтрированы лейкоцитами с сегментированным ядром. В некоторых случаях оболочки артерий были в значительной степени гипертрофированы (рис. 2 c). Если просвет сосудов был полностью выполнен костномозговым эмболом, тогда были хорошо визуализированы ячейки жировой ткани и расположенные между ними гемопоэтические клетки, в основном эритроидного ряда (рис. 2 d).
На 7-е сут. после операции и использования ЭВ МСК у всех 9 кроликов в легких присутствовали тромбированные или эмболизированные артерии, а иногда были найдены сосуды одновременно с тромбом и структурами костного мозга с хорошо различимыми ячейками жировой ткани и гемопоэтическими клетками между ними. Также в легочной паренхиме часть сосудов артериального типа имели сильно гипертрофированные оболочки и очень узкий просвет с признаками тромбоза (рис. 3 c, d).
Спустя 10 дней после имплантации без использования ЭВ МСК у 4 кроликов из 9 в легочных артериях со значительно гипертрофированными оболочками были расположены ячеистые оптически прозрачные структуры с плотной волокнистой соединительной тканью и эритроцитами между ними (рис. 2 e). Кроме этого, в 7 случаях были обнаружены крупные лейкоцитарные инфильтраты площадью до 4×104 мкм2 (рис. 2 f).
К окончанию эксперимента с введением ЭВ МСК к 10-м сут. сосудистая патология была выявлена у 5 животных из 9. В небольших сосудах отсутствовал просвет, в нем располагались или клеточные элементы, похожие на макрофаги и фибробласты с формирующимися волокнистыми структурами соединительной ткани между ними (рис. 3 e), или эритроцитарный тромб с ячеистой структурой и сегментоядерными клетками с ярко окрашенной эозинофильной цитоплазмой, причем иногда рядом с такими лейкоцитами были найдены менее плотные участки тромба, видимо, лизируемые экзоцитируемыми ферментами фагоцитов (рис. 3 f).
ОБСУЖДЕНИЕ
В ранее выполненном нами исследовании методами люминесцентной микроскопии был проведен поиск в отдаленных органах ЭВ МСК, меченых флюоресцентным красителем, после их введения в искусственно созданный дефект ПМБК в эксперименте. Инъецированные ЭВ МСК были обнаружены, по частоте встречаемости, в легких, миокарде, печени и селезенке. Во все указанные органы ЭВ МСК попадают с током крови. В легких присутствовало максимальное количество меченых ЭВ МСК, причем часто они были ассоциированы с детритом и находились в просвете альвеол. После фильтрации в капиллярах альвеолярных перегородок детрита с ЭВ МСК и в некоторой мере свободных ЭВ МСК, которые могут элиминироваться в просвет альвеол, оставшиеся везикулы распространяются посредством кровотока по всему организму, в том числе оказываются в миокарде [19].
Также нами была описана реструктуризация миокарда в ответ на повреждение ПМБК с последующим применением ЭВ МСК. Показано, что в результате моделирования дефекта ПМБК у кроликов развивается отек миокарда, в нем на фоне уменьшения процента лимфоцитов возрастают относительное и абсолютное содержание нейтрофилов, эритроцитов и макрофагов. Обнаруженные преобразования миокарда, скорее всего, обусловлены попаданием в него детрита с током крови из ПМБК. Выявленные эффекты ЭВ МСК, наиболее вероятно, связаны с подавлением активности воспалительного процесса в области ПМБК, что, в свою очередь, обуславливает более продолжительное поступление детрита посредством кровотока в миокард [20].
Существует вероятность, что при объемном повреждении костной ткани с костномозговыми структурами во время подготовки дефекта ПМБК и имплантации металлических винтовых изделий происходит попадание в кровь тканей и клеток и красного, и желтого костного мозга. Этому способствует повышение давления при закручивании винтового имплантата в мыщелок из губчатой кости с большим содержанием костного мозга с механическим выдавливанием его в поврежденные сосуды [15, 16]. Костномозговые структуры сначала попадают в правое предсердие и правый желудочек, где в результате взаимодействия с тканевым тромбопластином поврежденных тканей костного мозга активируется фибриноген и переходит в фибрин. Далее костномозговые эмболы или остаются в полостях сердца до полной деструкции или организации, или мигрируют по току крови в артерии легких с возможностью их эмболии.
При обнаружении тромбов в правых отделах сердца после имплантации с применением ЭВ МСК не исключено, что произошло превращение в фибрин активированного в месте имплантации фибриногена. Также есть возможность, что фибриноген активирован уже непосредственно в правых отделах сердца после контакта с костномозговыми поврежденными структурами, а также тканевым тромбопластином из разрушенных во время подготовки к операции и самой имплантации тканей [15, 16]. Наличие тромба в любой из полостей сердца не только мешает нормальной функции миокарда в данное время, но и такая помеха будет нарастать в будущем, когда фибриновый сгусток подвергнется констрикции и организации с уменьшением объема соответствующей сердечной полости, травмой клапана и т.п. Нельзя исключить, что какое-то время спустя такой крупный тромб оторвется от эндотелия с неизбежной эмболией одной или нескольких артерий легких. Большое количество лейкоцитов в тромбах после имплантации в ПМБК с использованием ЭВ МСК является свидетельством того, что данные тромбы были образованы не в процессе выведения кроликов из эксперимента и не зависят от посмертных явлений, а были сформированы в течение какого-то промежутка времени до эвтаназии. Однако то, что фибрин еще не подвергся констрикции, указывает на не очень давний срок тромбоформирования в сердечных полостях, это подтверждается и отсутствием лизиса и вымывания эритроцитов, находящихся в тромбе.
Но все-таки, по нашему мнению, наиболее вероятно, что патогенез тромбообразования в сердце обусловлен непосредственно имплантацией в ПМБК, а не с использованием ЭВ МСК. При миграции тканевого тромбопластина вместе с тканевым дебрисом из места имплантации [15, 16] по кровотоку в сердце в его полостях происходит активация фибриногена, и формируется тромб. Но также следует принимать во внимание, что эктосомальная фракция ЭВ МСК может связываться с аннексином V и затем, взаимодействуя с протромбином и X фактором свертывания крови, формирует протромбиназный комплекс и инициирует свертывание крови [29, 30]. В любом случае следует принимать во внимание возможность массивной ТЭЛА при отрыве от эндокарда больших тромбов и осуществлять профилактику этого осложнения.
Таким образом, при обширных операциях на костях с повреждением костного мозга существует вероятность или попадания костномозговых структур в кровоток и миграции в правые отделы сердца, или образования тромбов уже в полостях сердца как реакции на присутствие поврежденных тканей. В любом случае есть высокий риск тромбоэмболии ветвей легочного ствола.
Отсутствие на более поздних, чем 3-и сут., сроках в полостях сердца тромбов и костномозговых эмболов может являться свидетельством или их лизиса, или отрыва от эндотелия с миграцией в сосуды легких. Не исключены фрагментация тромбов и эмболов и попадание их в ветви легочной артерии уже в фрагментированном виде. Организацию этих образований в сердце, по всей видимости, можно исключить, так как не было обнаружено следов их присутствия на эндокарде в виде склерозированных наслоений позже 3 сут. наблюдения.
При описании изменений в легких считаем необходимым отметить, что тромбоэмболические изменения найдены не у всех животных. Однако в данном эксперименте невозможно провести статистическое исследование встречаемости данных осложнений. Не было ожидания таких находок, в связи с этим изучению подверглись не все легкие, а только случайно выбранные 3–5 небольших фрагментов правого органа, с которых для последующего исследования были сделаны также случайные гистологические срезы. Соответственно, не все случаи тромбоэмболии были выявлены.
В тех случаях, когда в сосудах легких были найдены фибриновые образования, с большой вероятностью можно предположить их попадание в орган в виде эмбола. Во время продвижения по артериям легочного ствола из сердца произошло вымывание эритроцитов, и из красного тромба получился белый тромб или уже эмбол. Такие эмболы имеют различные размеры, поэтому обнаружены в сосудах разного диаметра: от крупных артерий до капилляров, проходящих в стенках альвеол.
Значительное количество плотно упакованных эритроцитов с фибриновой сетью между ними или перемежающихся с фибрином без эритроцитов, скорее всего, связано с тромбообразованием in situ. Небольшие фрагменты костного мозга и тканевой детрит с тромбопластином из места повреждения костной ткани попадают в капилляры легких, и уже в качестве ответа на присутствие нежизнеспособных тканей, тканевого тромбопластина и активированного фибриногена в капиллярах формируется тромб с эритроцитами, который постепенно лизируется и реканализируется [15, 16].
Следует отметить и возможность тромбоза сначала эмболизированного сосуда. Когда костномозговой эмбол закупоривает сосуд и выключает его из кровотока, дистальная часть сосуда запустевает, а проксимальная расширяется за счет притока крови, которая там застаивается и также под действием тканевого тромбопластина из поврежденных структур костного мозга свертывается, образуется тромб выше эмбола, возможно, доходящий до разветвления артерии. То есть тромбоз присоединяется как реакция на эмболию и обтурацию артерии.
Наличие инфильтрирующих нейтрофилов указывает на лизис таких тромбов и эмболов. Интенсивная эозинофилия цитоплазмы нейтрофилов обусловлена фагоцитозом с последующим лизисом эритроцитов, продуктов гемолиза и фибрина. Когда в сосуде легкого оказывается крупный костномозговой эмбол, он может выглядеть как ячеистое образование, похожее на жировую ткань (желтый костный мозг), в прослойках которого расположены гемопоэтические клеточные элементы. Выключенные из кровотока тромбированные или эмболизированные сосуды облитерируются и со временем склерозируются. Не исключено, что обнаруженные на 10-е сут. после повреждения ПМБК лейкоцитарные инфильтраты формируются на месте облитерированных сосудов.
Обнаруженные гипертрофия оболочек и сужение просвета некоторых артерий, проходящих в паренхиме легких, наиболее вероятно, связаны с непроходимостью сосудистого русла. После тромбоза или эмболии артерии оболочки ее проксимального отдела гипертрофируются в связи с гипертензией непроходимого сосуда. При невозможности проталкивания, реканализации тромба или лизиса эмбола кровь в таком выключенном сосуде постепенно лизируется, его просвет запустевает, суживается и облитерируется. Необходимо отметить, что даже при отсутствии массивной ТЭЛА, но при поражении множества мелких артерий в легких, а не одного легочного ствола, возможно повышение давления во всем малом круге кровообращения, что будет сопровождаться гипертрофией оболочек всех артерий указанных органов.
Необходимо обратить внимание на присутствие относительно свежих тромбов с эритроцитами в мелких сосудах на 10-е сут. после имплантации. Скорее всего, в результате лизиса крупных тромбов и эмболов происходит их измельчение, и мелкие фрагменты, продвигаясь по сосудам к капиллярам, оседают дистальнее, в сосудах более мелкого диаметра, эмболизируя их. В таких сосудах как реакция на эмбол начинаются такие же, как описано выше, процессы тромбоза с последующей миграцией фагоцитов и лизисом уже свежего тромба и, возможно, оставшегося эмбола. Но все это начинается позже, по мере деструкции крупного тромба (эмбола), и поэтому свежие тромботические изменения мелких сосудов найдены только на 10-й день после имплантации.
Рассмотрим различия поражений сосудов легких в зависимости от применения ЭВ МСК при повреждении ПМБК. Как уже отмечено выше, в связи со случайным выбором фрагментов легкого и изготовлением из них случайных срезов для последующего исследования, невозможно провести статистический анализ и получить статистически значимые данные о встречаемости того или иного признака. Однако в качестве предварительного результата можно отметить, что при имплантации без использования ЭВ МСК в легких более часто встречались эмболы костного мозга, тогда как после операции с инъекцией ЭВ МСК перед имплантацией преобладали тромбозы и эмболии сгустками фибрина и крови.
Не исключено, что в результате иммуномодуляторного действия ЭВ МСК [31, 32, 33] и задержки лизиса нежизнеспособных тканей в месте повреждения ПМБК детрит не лизируется и не удаляется между швами, наложенными на рану. Такой детрит всасывается в сосудистое русло в большем объеме, чем после хирургического вмешательства без ЭВ МСК, и также в большем объеме поступает в сердце [20] и далее в легкие. Этот детрит эмболизирует сосуды легких, и его присутствие активирует фибриноген и запускает тромбообразование.
На основании полученных данных нельзя исключить, что описанная ранее облитерация сосудов миокарда после имплантации в ПМБК может являться результатом их тромбоэмболии из места операции [20]. В таких случаях или прошедший через капилляры легких эмбол (лизис и фрагментация более крупного тромба или эмбола в легких) попадает в коронарные артерии и затем в их мелкие ветви, или тканевой тромбопластин из поврежденных во время хирургического вмешательства тканей, пройдя через легкие, оказывается в сосудах миокарда, где служит причиной их тромбоза. Следует учитывать наличие легочных артерио-венозных шунтов, которые открываются при гипертензии малого круга кровообращения, чтобы компенсировать повышение давления в результате непроходимости сосудов. Если это предположение верно, весьма вероятно проникновение таких мелких эмболов не только в коронарные артерии, но и в артериальное русло других органов, таких как головной мозг или кишечник, с гипоксией, инсультом и некрозом кровоснабжаемых пораженной артерией тканей.
ЗАКЛЮЧЕНИЕ
После имплантации металлического изделия в проксимальный мыщелок большеберцовой кости в эксперименте возможно присутствие сгустков крови и эмболов из красного костного мозга или тканевого детрита в правых полостях сердца и сосудах легких вследствие миграции с током крови из места операции. Не исключено тромбообразование в правых предсердии и желудочке сердца, а также в артериях легких как реакция на детрит. Целесообразно принятие мер, направленных как на недопущение попадания дебриса в кровоток, так и на профилактику тромбоэмболии легочной артерии при любых имплантациях в костные ткани, даже относительно небольших изделий. Применение экстрацеллюлярных везикул мезенхимных стромальных клеток для воздействия на процессы приживления имплантатов или не влияет на выраженность и частоту тромбоэмболических осложнений, или все-таки способствуют незначительному увеличению частоты тромбозов.
ДОПОЛНИТЕЛЬНАЯ ИНФОРМАЦИЯ
Источник финансирования. Работа выполнена по государственному заданию в рамках бюджетной темы ИХБФМ СО РАН «Фундаментальные основы здоровьесбережения» № 121031300045-2 и при финансовой поддержке ПФНИ ГАН на 2022–2024 гг. «Изучение морфологических и молекулярных особенностей органопатий при изолированном и сочетанном воздействии ведущих метаболических факторов риска хронических неинфекционных заболеваний» (код темы FGMU-2022-0030, № гос. регистрации 122032300164-6).
Возможный конфликт интересов. Авторы декларируют отсутствие явных и потенциальных конфликтов интересов, связанных с публикацией настоящей статьи.
Этическая экспертиза. Исследование выполнено с соблюдением ГОСТ 33215-2014 и требований Дирек-тивы 2010/63/EU Европейского парламента и Совета ЕС о защите животных, используемых в научных целях.
Информированное согласие на публикацию. Не требуется.
DISCLAIMERS
Funding source. State budget financing.
Disclosure competing interests. The authors declare that they have no competing interests.
Ethics approval. The study was conducted in compliance with the principles of humane treatment of laboratory animals in accordance with the requirements of the European Convention for the Protection of Vertebrate Animals used for Experiments and other Scientific Purposes and Directive 2010/63/EU of the European Parliament and the Council of the European Union of September 22, 2010 on the protection of animals used for scientific purposes.
Consent for publication. Not required.
1 Шевела А.А. Патоморфологические реакции на внедрение металлических имплантатов в костную ткань в условиях применения клеточных технологий (экзосом мультипотентных мезенхимальных стромальных клеток) в эксперименте: дис. ... д-ра. мед. наук. Новосибирск, 2022. 221 с.
2 Кузькин С.А. Патоморфология миокарда при травме костной ткани и экспериментальном применении экзосом мультипотентных стромальных клеток: дис. ... канд. мед. наук. Новосибирск, 2022. 122 с.
About the authors
Igor V. Maiborodin
Institute of Chemical Biology and Fundamental Medicine Siberian Branch of the Russian Academy of Sciences
Author for correspondence.
Email: imai@mail.ru
ORCID iD: 0000-0002-8182-5084
Dr. Sci (Med.), Professor
Russian Federation, NovosibirskMaksim E. Ryaguzov
Institute of Chemical Biology and Fundamental Medicine Siberian Branch of the Russian Academy of Sciences
Email: rymax@mail.ru
ORCID iD: 0000-0002-5279-3650
Cand. Sci (Med.)
Russian Federation, NovosibirskSergey A. Kuzkin
Federal Research Center for Fundamental and Translational Medicine
Email: acutus@mail.ru
ORCID iD: 0000-0002-9046-0099
Cand. Sci (Med.)
Russian Federation, NovosibirskAleksandr A. Shevela
Institute of Chemical Biology and Fundamental Medicine Siberian Branch of the Russian Academy of Sciences
Email: mdshevela@gmail.com
ORCID iD: 0000-0001-9235-9384
Dr. Sci (Med.)
Russian Federation, NovosibirskBoris V. Sheplev
Institute of Chemical Biology and Fundamental Medicine Siberian Branch of the Russian Academy of Sciences
Email: shepa@icloud.com
ORCID iD: 0009-0008-4140-3531
Dr. Sci (Med.)
Russian Federation, NovosibirskIgor O. Marinkin
Institute of Chemical Biology and Fundamental Medicine Siberian Branch of the Russian Academy of Sciences
Email: rector@ngmu.ru
ORCID iD: 0000-0002-9409-4823
Dr. Sci (Med.), Professor
Russian Federation, NovosibirskVitalina I. Maiborodina
Institute of Chemical Biology and Fundamental Medicine Siberian Branch of the Russian Academy of Sciences
Email: mai_@mail.ru
ORCID iD: 0000-0002-5169-6373
Dr. Sci (Med.)
Russian Federation, NovosibirskElena L. Lushnikova
Federal Research Center for Fundamental and Translational Medicine
Email: pathol@inbox.ru
ORCID iD: 0000-0002-3269-2465
Dr. Sci (Biol.), Professor
Russian Federation, NovosibirskReferences
- Li T., Wang Q., Wang W., Yang J., Dong S. One filter may be enough for duplicate inferior vena cava filter implantation in patients with deep venous thrombosis: Two cases report. Medicine (Baltimore). 2022;101(52): e32480. doi: 10.1097/MD.0000000000032480.
- Shah K.J., Roy T.L. Catheter-Directed Interventions for the Treatment of Lower Extremity Deep Vein Thrombosis. Life (Basel). 2022;12(12):1984. doi: 10.3390/life12121984.
- Marques M.A., Fiorelli S.K.A., Barros B.C.S., Ribeiro A.J.A., Ristow A.V., Fiorelli R.K.A. Protocol for prophylaxis of venous thromboembolism in varicose vein surgery of the lower limbs. Rev Col Bras Cir. 2022;49:e20223326. doi: 10.1590/0100-6991e-20223326-en.
- Bharti N., Mahajan S. Massive pulmonary embolism leading to cardiac arrest after tourniquet deflation following lower limb surgery. Anaesth Intensive Care. 2009;37(5):867-868.
- Drouin L., Pistorius MA., Lafforgue A., N’Gohou C., Richard A., Connault J. et al. Upper-extremity venous thrombosis: A retrospective study about 160 cases. Rev Med Interne. 2019;40(1):9-15. (In French). doi: 10.1016/j.revmed.2018.07.012.
- Khan O., Marmaro A., Cohen D.A. A review of upper extremity deep vein thrombosis. Postgrad Med. 2021;133(sup1):3-10. doi: 10.1080/00325481.2021.1892390.
- Duan Y., Wang G.L., Guo X., Yang LL., Tian F.G. Acute pulmonary embolism originating from upper limb venous thrombosis following breast cancer surgery: Two case reports. World J Clin Cases. 2022;10(21):7445-7450. doi: 10.12998/wjcc.v10.i21.7445.
- Major K.M., Bulic S., Rowe V.L., Patel K., Weaver F.A. Internal jugular, subclavian, and axillary deep venous thrombosis and the risk of pulmonary embolism. Vascular. 2008;16(2):73-79. doi: 10.2310/6670.2008.00019.
- Kim S., Ahn H., Shin S.A., Park J.H., Won C.W. Trends of thromboprophylaxis and complications after major lower limb orthopaedic surgeries in Korea: National Health Insurance Claim Data. Thromb Res. 2017;155:48-52. doi: 10.1016/j.thromres.2017.04.023.
- Heijboer R.R.O., Lubberts B., Guss D., Johnson A.H., DiGiovanni C.W. Incidence and Risk Factors Associated with Venous Thromboembolism After Orthopaedic Below-knee Surgery. J Am Acad Orthop Surg. 2019;27(10):e482-e490. doi: 10.5435/JAAOS-D-17-00787.
- Gurunathan U., Barras M., McDougall C., Nandurkar H., Eley V. Obesity and the Risk of Venous Thromboembolism after Major Lower Limb Orthopaedic Surgery: A Literature Review. Thromb Haemost. 2022; 122(12):1969-1979. doi: 10.1055/s-0042-1757200.
- Grandi G., Antonini E., Bianchi C. Pulmonary bone-marrow embolism. Analysis of 53 cases. Minerva Med. 1978;69(8):491-494. (In Italian).
- Orlowski J.P., Julius C.J., Petras R.E., Porembka D.T., Gallagher J.M. The safety of intraosseous infusions: risks of fat and bone marrow emboli to the lungs. Ann Emerg Med. 1989;18(10):1062-1067. doi: 10.1016/s0196-0644(89)80932-1.
- Kemona A., Nowak H.F., Dziecioł J., Sulik M., Sulkowski S. Pulmonary bone marrow embolism in nonselected autopsy material. Patol Pol. 1989;40(2): 197-204. (In Polish).
- Koessler M.J., Pitto R.P. Fat and bone marrow embolism in total hip arthroplasty. Acta Orthop Belg. 2001;67(2):97-109.
- Issack P.S., Lauerman M.H., Helfet D.L., Sculco T.P., Lane J.M. Fat embolism and respiratory distress associated with cemented femoral arthroplasty. Am J Orthop (Belle Mead NJ). 2009;38(2):72-76.
- Sharma P., Gautam A., Kumar P., Malhotra P., Nada R., Ahluwalia J. Bone marrow emboli following bone marrow procedure: A possible complication. Indian J Pathol Microbiol. 2022;65(4):946-947. doi: 10.4103/ijpm.ijpm_442_21.
- Maiborodin I., Shevela A., Matveeva V., Morozov V., Toder M., Krasil’nikov S. et al. First Experimental Study of the Influence of Extracellular Vesicles Derived from Multipotent Stromal Cells on Osseointegration of Dental Implants. Int J Mol Sci. 2021;22(16):8774. doi: 10.3390/ijms22168774.
- Maiborodin I., Shevela A., Toder M., Marchukov S., Tursunova N., Klinnikova M. et al. Multipotent Stromal Cell Extracellular Vesicle Distribution in Distant Organs after Introduction into a Bone Tissue Defect of a Limb. Life (Basel). 2021;11(4):306. doi: 10.3390/life11040306.
- Maiborodin I., Klinnikova M., Kuzkin S., Maiborodina V., Krasil’nikov S., Pichigina A. et al. Morphology of the Myocardium after Experimental Bone Tissue Trauma and the Use of Extracellular Vesicles Derived from Mesenchymal Multipotent Stromal Cells. J Pers Med. 2021;11(11):1206. doi: 10.3390/jpm11111206.
- Coipeau P., Rosset P., Langonne A., Gaillard J., Delorme B., Rico A. et al. Impaired differentiation potential of human trabecular bone mesenchymal stromal cells from elderly patients. Cytotherapy. 2009;11(5):584-594. doi: 10.1080/14653240903079385.
- Martins A.A., Paiva A., Morgado J.M., Gomes A., Pais M.L. Quantification and immunophenotypic characterization of bone marrow and umbilical cord blood mesenchymal stem cells by multicolor flow cytometry. Transplant Proc. 2009;41(3):943-946. doi: 10.1016/j.transproceed.2009.01.059.
- Berner A., Siebenlist S., Reichert J.C., Hendrich C., Nöth U. Reconstruction of osteochondral defects with a stem cell-based cartilage-polymer construct in a small animal model. Z Orthop Unfall. 2010;148(1):31-38. (In German). doi: 10.1055/s-0029-1240753.
- Zhao J., Xu J.J. Experimental study on application of polypropylene hernia of fat stem cells in rats. Eur Rev Med Pharmacol Sci. 2018;22(18):6156-6161. doi: 10.26355/eurrev_201809_15957.
- Blazquez R., Sanchez-Margallo F.M., de la Rosa O., Dalemans W., Alvarez V., Tarazona R. et al. Immunomodulatory potential of human adipose mesenchymal stem cells derived exosomes on in vitro stimulated T cells. Front Immunol. 2014;5:556. doi: 10.3389/fimmu.2014.00556.
- Oshchepkova A., Neumestova A., Matveeva V., Artemyeva L., Morozova K., Kiseleva E. et al. Cytochalasin-B-inducible nanovesicle mimics of natural extracellular vesicles that are capable of nucleic acid transfer. Micromachines (Basel). 2019;10(11):750. doi: 10.3390/mi10110750.
- Lin Y., Zhang F., Lian X.F., Peng W.Q., Yin C.Y. Mesenchymal stem cell-derived exosomes improve diabetes mellitus-induced myocardial injury and fibrosis via inhibition of TGF-β1/Smad2 signaling pathway. Cell Mol Biol (Noisy-le-grand). 2019;65(7):123-126.
- Liang P., Ye F., Hou C.C., Pi L., Chen F. Mesenchymal stem cell therapy for patients with ischemic heart failure – past, present, and future. Curr Stem Cell Res Ther. 2021;16(5):608-621. doi: 10.2174/1574888X15666200309144906.
- Sadallah S., Eken C., Schifferli J.A. Ectosomes as modulators of inflammation and immunity. Clin Exp Immunol. 2011;163(1):26-32. doi: 10.1111/j.1365-2249.2010.04271.x.
- Silachev D.N., Goryunov K.V., Shpilyuk M.A., Beznoschenko O.S., Morozova N.Y., Kraevaya E.E. et al. Effect of MSCs and MSC-derived extracellular vesicles on human blood coagulation. Cells. 2019;8(3):258. doi: 10.3390/cells8030258.
- Tang X.D., Shi L., Monsel A., Li X.Y., Zhu H.L., Zhu Y.G. et al. Mesenchymal stem cell microvesicles attenuate acute lung injury in mice partly mediated by Ang-1 mRNA. Stem Cells. 2017;35(7):1849-1859. doi: 10.1002/stem.2619.
- Haga H., Yan I.K., Borrelli D.A., Matsuda A., Parasramka M., Shukla N. et al. Extracellular vesicles from bone marrow-derived mesenchymal stem cells protect against murine hepatic ischemia/reperfusion injury. Liver Transpl. 2017;23(6):791-803. doi: 10.1002/lt.24770.
- Toh W.S., Lai R.C., Hui J.H.P., Lim S.K. MSC exosome as a cell-free MSC therapy for cartilage regeneration: Implications for osteoarthritis treatment. Semin. Cell Dev Biol. 2017;67:56-64. doi: 10.1016/j.semcdb.2016.11.008.
Supplementary files







