Посттравматическая оссификация связки надколенника у детей: серия клинических случаев
- Авторы: Картавенко К.А.1, Зорин В.И.1,2, Лукьянов С.А.1
-
Учреждения:
- ФГБУ «Национальный медицинский исследовательский центр детской травматологии и ортопедии им. Г.И. Турнера» Минздрава России
- ФГБОУ ВО «Северо-Западный государственный медицинский университет им. И.И. Мечникова» Минздрава России
- Выпуск: Том 30, № 4 (2024)
- Страницы: 129-139
- Раздел: Случаи из практики
- Дата подачи: 24.03.2024
- Дата принятия к публикации: 13.06.2024
- Дата публикации: 18.12.2024
- URL: https://journal.rniito.org/jour/article/view/17511
- DOI: https://doi.org/10.17816/2311-2905-17511
- ID: 17511
Цитировать
Полный текст
Аннотация
Актуальность. Переломы костей, образующих коленный сустав у детей, являются достаточно редкими (до 6% от всех переломов костей). К их числу относят авульсивные переломы апекса надколенника и отрывные переломы бугристости большеберцовой кости, после которых может формироваться оссификация связки надколенника. Также, по данным литературы, оссифицирование связки надколенника может наблюдаться при ее первичных или хронических (полных либо частичных) разрывах. Подобное осложнение достаточно редко встречается в травматологии детского возраста, требует дифференциальной диагностики и различной хирургической тактики.
Цель — представить клинико-лучевую картину посттравматической оссификации связки надколенника у пациентов детского возраста и результаты хирургического лечения.
Материал и методы. Проведено изучение анамнестических, клинических, лучевых и гистологических данных 4 пациентов мужского пола.
Результаты. Средний возраст 14 (11–16) лет. Во всех случаях в анамнезе отмечалась травма. Первично, после получения травмы, пациенты проходили лечение по поводу ушиба коленного сустава. У одного из четырех пациентов, получившего травму при падении на область обоих коленных суставов, при поступлении под наблюдение авторов отмечалась двусторонняя патология, у трех пациентов оссификация связки надколенника представлена односторонней патологией. В клинической картине превалировали сгибательная контрактура и болевой синдром. Все пациенты оперированы в объеме от иссечения оссификатов до иссечения оссификатов с пластикой дефектов связки и рефиксацией бугристости большеберцовой кости с остеосинтезом. Контрактура коленного сустава у всех пациентов устранена до полного восстановления объема движений. Гистологически выявлялись фрагменты зрелой костной ткани, представленные местами истонченными костными балками с очаговой остеокластической реакцией и участками эндохондральной оссификации.
Заключение. Клиническая картина у пациентов детского возраста с оссификацией связки надколенника представлена симптомокомплексом функциональных и топографических нарушений нижней конечности: наличием оссификата связки надколенника, patella alta, болью в переднем отделе коленного сустава, сгибательной контрактурой и гипотрофией прямой мышцы бедра. Лучевые и данные МРТ определяют образование костной плотности с неровным четким контуром в проекции связки надколенника в сочетании с высоким его стоянием и увеличение индекса Caton – Deschamp (CDI) более 1,3. Основным методом лечения развившегося осложнения является хирургический, который приводит к восстановлению полной амплитуды движений в коленном суставе.
Ключевые слова
Полный текст
ВВЕДЕНИЕ
Переломы костей, образующих коленный сустав, у детей являются достаточно редкими — до 6% от всех переломов костей, а на переломы верхушки надколенника в данной когорте пациентов приходится около 42% [1]. При отсутствии должных диагностики и лечения данной травмы, разрыва (полного или частичного) связки надколенника, а также после авульсивных переломов бугристости большеберцовой кости может формироваться оссификация связки надколенника [2, 3]. Оссификация связки надколенника после частичных и полных ее разрывов, а также авульсивных переломов переднего отдела коленного сустава проявляется наличием оссификата в толще связки, высоким стоянием patella, слабостью передней группы мышц бедра, сгибательной контрактурой [4].
Формирование участков оссификации в области коленного сустава встречается нечасто: наиболее распространенными локализациями в порядке убывания являются тазобедренный, коленный, плечевой и локтевой суставы. Известно, что оссификация возникает в области коленного сустава после эндопротезирования, интрамедуллярного остеосинтеза, реконструкции передней крестообразной связки (ПКС) и травмы коленного сустава, не сопровождающейся переломами [5, 6].
Учитывая редкость оссификации в области связки надколенника после перенесенной травмы у детей и подростков, представленная клиническая серия может быть интересна специалистам, оказывающим помощь детям с травмами и заболеваниями скелета.
Цель — представить клинико-лучевую картину посттравматической оссификации связки надколенника, хирургическую тактику и результаты лечения на примере клинической серии пациентов детского возраста.
МАТЕРИАЛ И МЕТОДЫ
Под наблюдением находились четыре пациента мужского пола, средний возраст которых составил 14 (11–16) лет. Проведен анализ анамнестических, клинических, лучевых, лабораторных данных, особенностей и результатов хирургического лечения. Основные характеристики группы отражены в таблице 1.
Таблица 1
Клинико-анамнестические характеристики пациентов
Пациент | Возраст на момент травмы, лет | Возраст при поступлении под наблюдение авторов, лет | Длительность клинических проявлений заболевания до поступления под наблюдение авторов, мес. | Первичный диагноз после получения травмы | Сторона поражения | Лечение травмы | Боль макс., баллы по ВАШ/Pedi-IKDC | Ведущая жалоба | Амплитуда движений: разгибание-сгибание/вид и величина контрактуры, град. |
1 | 11 | 12 | 15 | Ушиб | Левая | Иммобилизация, ЛФК | 4/72 | Боль | 5–135/сгибательная 5 |
2 | 14 | 16 | 19 | Ушиб | Правая + левая | Иммобилизация, НПВС, ЛФК | 2/75 | Нарушение стартовой функции | 8–135/сгибательная 8 |
3 | 12 | 15 | 33 | Ушиб | Правая | Иммобилизация, ЛФК | 3/78 | Боль | 6–135/сгибательная 6 |
4 | 12 | 16 | 55 | Ушиб | Правая | ФТЛ | 3/76 | Боль | 5–135/сгибательная 5 |
Анамнез. Все пациенты отмечали факт травмы в анамнезе — падение на область передней поверхности коленных суставов. По поводу травмы пациенты обращались к травматологу, лечились амбулаторно c диагнозом «ушиб коленного сустава». В лечении троих пациентов применялась иммобилизация лонгетными повязками. Продолжительность иммобилизации, согласно анамнестическим данным, составляла от 2 до 4 нед. Далее пациентам был рекомендован курс лечебной физкультуры. Один из пациентов, со слов родителей, получал только физиотерапевтическое лечение (УВЧ, магнитотерапию). Средний срок с момента травмы до поступления пациентов под наблюдение авторов по поводу патологической оссификации составил 31 (15–55) мес.
Клиническая картина. Всех пациентов беспокоил болевой синдром до 3–4 баллов по ВАШ, локализующийся в проекции коленного сустава либо выше, купирующийся самостоятельно и в покое. Трое из четырех больных предъявляли жалобы на невозможность бегать и выполнять резкие стартовые нагрузки из любого положения при использовании в качестве толчковой травмированную конечность. Пациенты с односторонней травмой жаловались на разницу в окружности бедер, обусловленную гипотрофией прямой мышцы бедра. У пациентов отмечалось ограничение разгибания в коленном суставе. Ни одного из подростков не беспокоило наличие оссификата/уплотнения связки надколенника, ощущение инородного тела в полости коленного сустава.
В исследовании была использована адаптированная и валидированная русскоязычная версия функциональной шкалы Pedi-IKDC [7]. Средний показатель функции коленного сустава при поступлении по этой шкале составил 75 (72–78) баллов. Вывихов надколенника в анамнезе не отмечал ни один пациент.
При клиническом осмотре: ось конечностей сохранена, надколенник стабилен. Обращало на себя внимание высокое положение надколенника на больной конечности. У пациента с двусторонней патологией patella alta отмечалась с двух сторон. Пальпаторно в проекции связки надколенника в толще ткани на уровне суставной щели определялось болезненное патологическое образование костной плотности. Объем движений в коленном суставе отражен в таблице 1.
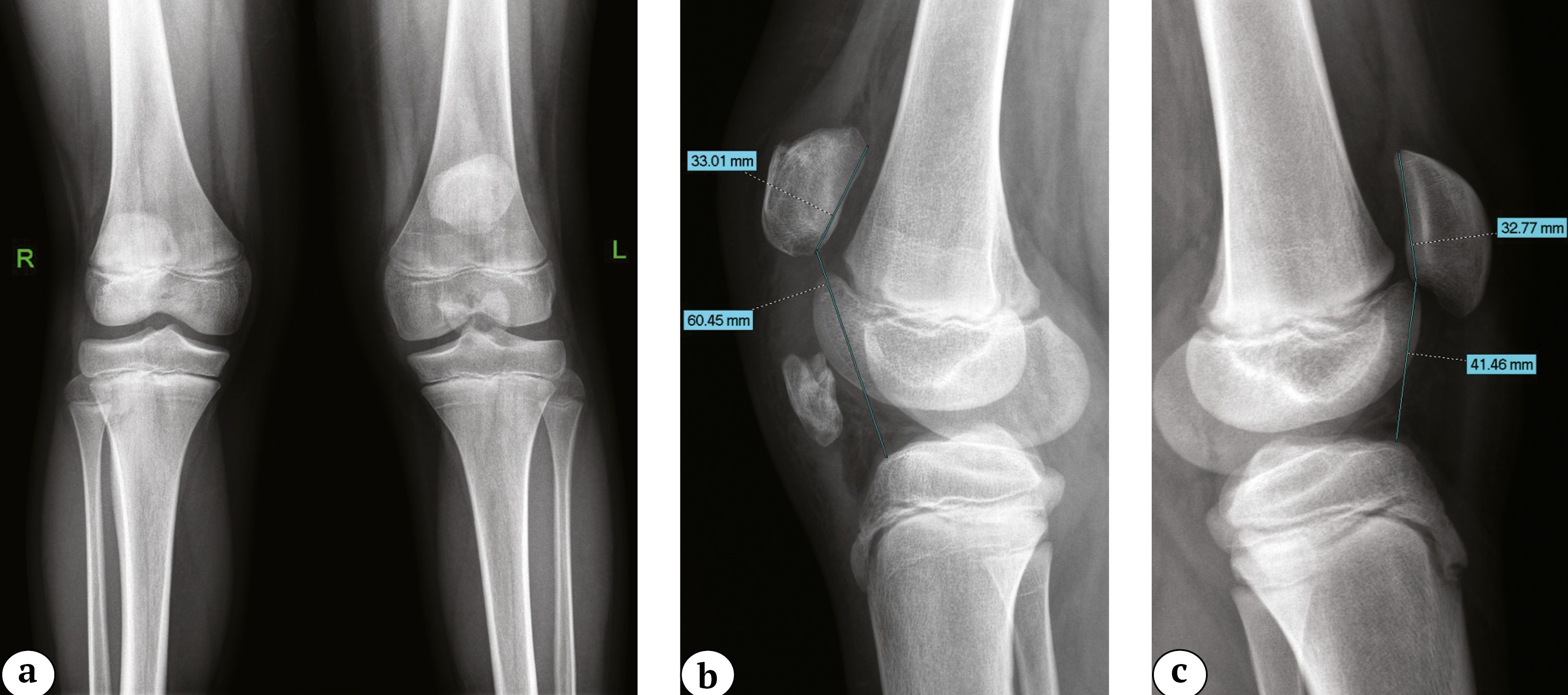
Лучевая картина. На рентгенограммах коленного сустава, выполненных в двух проекциях, у всех пациентов в проекции связки определялись костной плотности образования с неровным четким контуром в сочетании с высоким стоянием надколенника в прямой и боковой проекциях с увеличением индекса Caton – Deschamp (CDI) более 1,3 (рис. 1). Характеристика визуализируемых образований представлена в таблице 2.
Рис. 1. Рентгенограммы коленных суставов с односторонней оссификацией связки надколенника: а — прямая проекция, patella alta, оссификаты в проекции связки надколенника; b — боковая проекция, травмированная конечность, patella alta (индекс Caton – Deschamp — 1,8), оссификат в проекции толщи связки надколенника; c — боковая проекция, здоровая конечность
Figure 1. X-rays of the knee joints with unilateral patellar tendon ossification: a — AP view, patella alta, ossifications in the projection of the patellar tendon; b — lateral view, an injured limb, patella alta (Caton-Deschamps index — 1.8), ossification in the projection of the patellar tendon thickness; c — lateral view, a healthy limb
Таблица 2
Морфологическая характеристика оссификатов связки надколенника
Пациент | Сторона поражения | Морфология оссификата | Расположение оссификата по отношению к связке надколенника | Размеры оссификата, мм (В×Ш×Г) |
1 | Левая | Полифрагментарный | Центральное | 23,8×34,7×10,3 |
2 | Правая + левая | Монофрагментарный | Дистальное | 30,1×51,2×20,4 (правая) 30,1×39,1×19,3 (левая) |
3 | Правая | Монофрагментарный | Центральное | 21,2×27,1×11,3 |
4 | Правая | Полифрагментарный | Проксимальное | 44,4×29,4×18,5 |
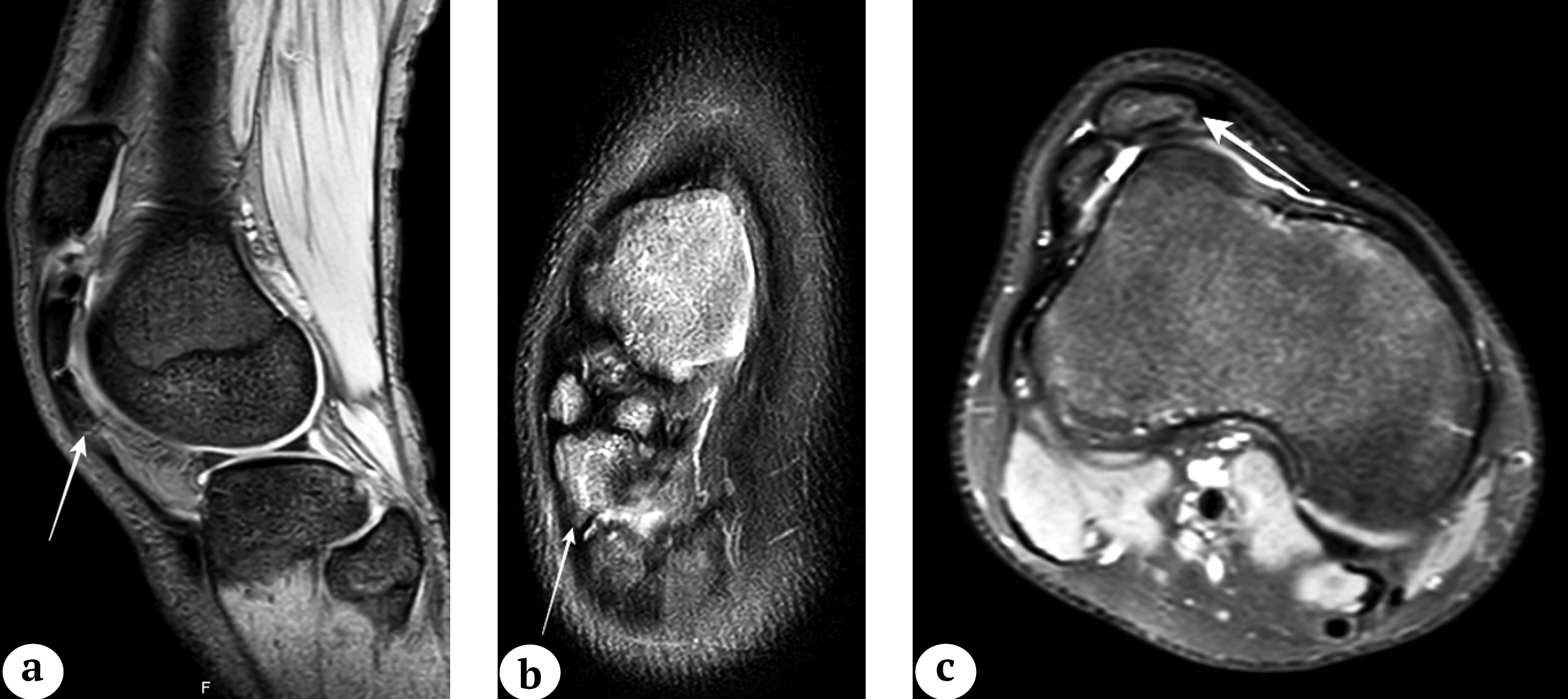
По данным МРТ в проекции связки на участке между бугристостью большеберцовой кости и надколенником определялись патологические образования костной плотности, при этом иногда сама связка между физиологической точкой фиксации и оссификатом не дифференцировалась (рис. 2). У трех пациентов по данным МРТ определялись признаки синовита коленного сустава.
Рис. 2. МРТ коленного сустава у детей с оссификацией связки надколенника (сагиттальная, фронтальная и аксиальная проекции): а — T2 режим (пациент 1), картина оссификата в проекции связки надколенника (обозначен стрелкой); b — T2 режим (пациент 4), многофрагментарный оссификат связки надколенника (обозначен стрелкой); c — T2 режим (пациент 2), срез на уровне наиболее широкой части оссификата (обозначен стрелкой), распространяющегося на всю ширину связки надколенника
Figure 2. MRI of the knee joint in children with patellar tendon ossification (sagittal, frontal and axial views): a — T2-weighted imaging (patient 1), ossification in the projection of the patellar tendon (indicated by an arrow); b — T2WI (patient 4), multifragmental patellar tendon ossification (indicated by an arrow); c — T2WI (patient 2), the cut at the level of the widest part of the ossification (indicated by an arrow), extending over the entire patellar tendon width
Компьютерная томография отражает детально топографию, количество и геометрические характеристики оссификатов, позволяет спланировать последующее хирургическое лечение (рис. 3, 4).
Рис. 3. Компьютерные томограммы коленных суставов с 3D-реконструкцией пациента 3: а — двусторонняя патология; b — в правом суставе визуализируется фрагмент оссификата с внутрисуставным расположением
Figure 3. CT of the knee joints of patient 3 with 3D reconstruction: a — bilateral pathology; b — an ossification fragment with an intraarticular location is visualized in the right joint
Рис. 4. Компьютерная томограмма коленных суставов с 3D-реконструкцией пациента 4: правосторонняя фрагментарная оссификация связки надколенника
Figure 4. CT of the knee joints of patient 4 with 3D reconstruction: right-sided fragmentary patellar tendon ossification
Хирургическое лечение проведено во всех случаях. У пациента с двусторонней патологией хирургическое лечение выполнялось этапно и начиналось с лечения конечности с более выраженными клиническими проявлениями патологии. Этапность (последовательная хирургия каждой конечности) определялась распространенностью оссификата и высокой вероятностью необходимости пластики собственной связи с последующей иммобилизацией. Целями операции являлось удаление оссифицированной ткани из толщи связки надколенника и полости коленного сустава, восстановление нормальных анатомических взаимоотношений в пателло-феморальном сочленении, пластика связки надколенника, восстановление полной амплитуды движений в коленном суставе.
Троим пациентам с односторонним поражением сустава достаточно было выполнить удаление оссификата, открытое вправление надколенника путем его низведения. Дефект связки после иссечения оссификата восстанавливался местными тканями (рис. 5).
Рис. 5. Операция при одностороней оссификации связки надколенника (пациент 4): а — внешний вид оссификата связки надколенника (оссификат обозначен стрелкой), patella alta; b — вид раны после удаления оссификата; c — состояние после низведения надколенника и пластики дефекта связки
Figure 5. Surgery for single-sided patellar tendon ossification (patient 4): a — appearance of the patellar tendon ossification (indicated by an arrow), patella alta; b — wound appearance after removal of the ossification; c — condition after bringing down the patella and its tendon defect reconstruction
В одном случае у пациента с двусторонней патологией низведение надколенника было затруднено на фоне мышечной ретракции и рубцово-дистрофических изменений паралигаментозных и парапателлярных тканей. В данном случае низведение надколенника в физиологическую позицию потребовало удлинения сухожилия прямой мышцы бедра (рис. 6). Обязательным элементом операции являлась установка активного дренажа.
Рис. 6. Хирургическое лечение пациента 3 с двусторонней оссификацией связки надколенника (правый коленный сустав): а — экстраартикулярная часть оссификата (обозначен стрелкой) после мобилизации связки надколенника путем остеотомии оссификата у основания в проекции бугристости большеберцовой кости; b — интраартикулярная часть оссификата (обозначен стрелкой), серозный выпот из полости сустава; c — артротомия правого коленного сустава с иссечением фиброзированных участков капсулы с фрагментами оссификатов, внешний вид полости сустава с признаками хронического воспаления; d — вправление надколенника, фиксация основания интралигаментарной части оссификата в ложе бугристости большеберцовой кости после обработки контактирующих костных поверхностей долотами, остеосинтез двумя винтами
Figure 6. Surgery for patient 3 with bilateral patellar tendon ossification (right knee joint): a — extraarticular part of the ossification (indicated by an arrow) after patellar tendon mobilization by osteotomy of the ossification at its base in the projection of the tibial tuberosity; b — intraarticular part of the ossification (indicated by an arrow), serous effusion from the joint cavity; c — right knee arthrotomy with excision of the capsule fibrotic areas with ossification fragments, joint cavity appearance with signs of chronic inflammation; d — the patella reduction, fixation of the base of intraligamentous ossification part in the bed of the tibial tuberosity after processing the bone-contacting surfaces with chisels, two-screw osteosynthesis
В послеоперационном периоде при реконструкции собственной связки и рефиксации бугристости большеберцовой кости с остеосинтезом выполнялась ортезная иммобилизация в течение 2 мес. После снятия ортеза рекомендовался курс лечебной гимнастики с дробным дозированным увеличением амплитуды движений в коленном суставе, массаж нижних конечностей, физиотерапевтическая стимуляция передней группы мышц бедра, курс медикаментозной противовоспалительной терапии в течение 2 нед. (ибупрофен в дозировке, соответствующей возрасту, совместно с ингибитором протонной помпы эзомепразолом).
Послеоперационный период у всех пациентов протекал без осложнений, швы сняты на 12–14-е сут. Раны зажили первичным натяжением. Низведение надколенника достигнуто во всех случаях (рис. 7), что подвержено нормализацией значений индекса Caton – Deschamp (рис. 8). У всех пациентов после операции полностью устранена сгибательная контрактура коленного сустава.
Рис. 7. Рентгенограммы коленного сустава в боковой проекции до и после хирургического лечения: а — до операции (индекс Caton – Deschamp — 1,8); b — после операции (индекс Caton – Deschamp — 1,1)
Figure 7. Lateral X-rays of the knee joint before and after surgical treatment: a — before surgery (Caton-Deschamps index — 1.8); b — after surgery (Caton-Deschamps index — 1.1)
Рис. 8. Показатели индекса Caton – Deschamp до и после операции в клинической серии
Figure 8. Caton-Deschamps index numbers before and after surgery in the case series
Через 3 мес. после операции пациенты 1, 2, 4 полностью возобновили активный образ жизни, вернулись к привычным нагрузкам. Пациент 3 отметил улучшение функции нижней конечности с оперированной стороны, запланировано хирургическое лечение второго коленного сустава. Средний показатель по шкале Pedi-IKDC составил 82 балла.
На сроке наблюдения в 6 мес. рецидивов оссификации не отмечено ни в одном случае, средний балл по шкале Pedi-IKDC составил 89.
Результаты гистологического исследования удаленных оссификатов выявили фрагменты зрелой костной ткани, представленные местами истонченными костными балками с очаговой остеокластической реакцией и участками эндохондральной оссификации. Их межтрабекулярное пространство заполнено адипоцитами с фрагментами клеточно-волокнистой соединительной ткани. Наряду с этим к поверхности костных балок прилежат широкие участки формирующегося гиалинового хряща с многочисленными хондроцитами, расположенными поодиночке. Кроме того, в объеме исследуемого материала наблюдались фрагменты синовиальной оболочки с выраженной фиброзированной соединительнотканной стромой (рис. 9).
Рис. 9. Оссификат связки надколенника с включениями соединительной ткани и костной ткани различной степени морфологической зрелости: а — микрофотография, ув. ×10, ЗСТ — зона соединительной ткани, ЗФГХ — зона формирующегося гиалинового хряща, ЗЗКТ — зона зрелой костной ткани, ЗЖСТ — зона жировой и соединительной ткани; b — микрофотография, ув. ×20, КБ — костные балки зрелой костной ткани, ООР — очаговая остеокластическая реакция, ЭО — энхондральная оссификация, АД — адипоциты, КВСТ — клеточно-волокнистая соединительная ткань, ФГХ — формирующийся гиалиновый хрящ; окраска гемотоксилином и эозином
Figure 9. Patellar tendon ossification with inclusion of connective tissue and bone tissue at varying levels of morphological maturity: a — photomicrography at a magnification of ×10, ЗСТ — connective tissue zone, ЗФГХ — forming hyaline cartilage zone, ЗЗКТ — mature bone tissue zone, ЗЖСТ — adipose and connective tissue zone; b — photomicrography at a magnification of ×20, КБ — bone beams of mature bone tissue, ООР — focal osteoclastic reaction, ЭО — enchondral ossification, АД — adipocytes, КВСТ — cellular fibrous connective tissue, ФГХ — forming hyaline cartilage. Hematoxylin-eosin staining
ОБСУЖДЕНИЕ
Оссификация связки надколенника, как правило, является следствием нелеченных авульсивных переломов верхушки надколенника, разрыва самой связки и травматического отрыва бугристости большеберцовой кости. Редкие публикации, описывающие клинические наблюдения, и полученные нами данные определяют некоторый симптомокомплекс, характерный для данного осложнения: наличие оссификата в толще связки надколеника, patella alta, боль в переднем отделе коленного сустава, умеренная сгибательная контрактура коленного сустава и гипотрофия прямой мышцы бедра [1, 2, 4, 8]. Также в литературе представлены случаи оссификации связки надколенника, связанные, по мнению авторов, с авульсивным переломом бугристости большеберцовой кости травматического генеза [9, 10], болезнью Осгуд – Шляттера [8, 11] и с непосредственным разрывом связки надколенника у пациентов подросткового возраста [12].
В представленной нами серии случаев морфологию изначальной травмы не удалось отследить, вместе с тем это были клинически манифестные эпизоды, заставившие пациентов обратиться к травматологу.
Определенный интерес представляет измерение рентгенологических показателей, характеризующих высоту стояния надколенника, в частности симптома patella alta [13], встречающегося при данной патологии. Выбор самых распространенных индексов оценки высокого стояния надколенника у детей ограничен незавершенной оссификацией бугристости большеберцовой кости и необходимой установкой референтной точки индекса измерения на нижней точке неоссифицированной бугристости [14, 15]. Индекс измерения patella alta Koshino – Sugimoto, разработанный для детей младшей возрастной группы, считается ненадежным у пациентов подросткового возраста ввиду линейных изменений ростковых зон бедренной и большеберцовой костей у пациентов, достигающих зрелости скелета [16]. Поэтому в своей работе мы используем индекс Caton – Deschamp, который исключает влияние положения дистальной точки апофиза бугристости большеберцовой кости на измерение и применим к пациентам старшего школьного возраста [17].
Публикации, посвященные описанной проблеме, немногочисленны. В отечественной литературе по искомой тематике печатных работ не представлено. Публикации зарубежных авторов охватывают период с 1973 по 2020 г. и в основном состоят из описания единичных случаев оссификации связки надколенника после перенесенного отрывного повреждения костных структур переднего отдела коленного сустава [4, 8, 12].
Оптимальная профилактика посттравматической оссификации связки надколенника у детей должна включать раннее выявление и соответствующее хирургическое вмешательство, если на это указывают тяжесть симптомов и функциональные нарушения [8].
Для лечения последствий перечисленных травматических изменений большинство авторов предлагают индивидуально разработанный план хирургического вмешательства, основанный на функционально-анатомических изменениях коленного сустава и нижней конечности. Так, ряд авторов после удаления интралигаментарных оссификатов сшивали края связки надколенника, предварительно укрепив область дефекта аутотрансплантатом из полусухожильной мышцы того же бедра, предварительно проведенным через нижний полюс надколенника и бугристость большеберцовой кости в виде цифры 8 [11, 18]. Другие авторы также использовали трансплантат из полусухожильной мышцы, но уже для V-Y-образной пластики сухожилия прямой мышцы бедра для низведения надколенника после удаления оссификата [4]. В представленной нами серии случаев при наличии дефекта связки надколенника после иссечения оссификата реконструкция выполнялась местными тканями с применением V-Y-пластики. Это необходимо учитывать уже на этапе доступа и скелетирования оссификата, сохраняя необходимый объем тканей для последующей пластики.
Результаты гистологических исследованиий удаленных оссификатов полностью сопоставимы с результатами, описанными в литературе. Так, S. Supreeth с соавторами выявили плотную ткань с оссифицирующимися участками, содержащую адипоциты, разделенные рыхлой волокнистой соединительной тканью [11]. C. Meyers с соавторами выявили характерное созревание костной ткани и пространственную зональность в толще оссификата, что также соответствует полученным нами данным [19].
ЗАКЛЮЧЕНИЕ
Клиническая картина у пациентов детского возраста с оссификацией связки надколенника представлена симптомокомплексом функциональных и топографических нарушений нижней конечности: наличием оссификата связки надколенника, patella alta, болью в переднем отделе коленного сустава, сгибательной контрактурой и гипотрофией прямой мышцы бедра. Лучевые и данные МРТ определяют образование костной плотности с неровным четким контуром в проекции связки надколенника в сочетании с высоким его стоянием и увеличение индекса Caton – Deschamp (CDI) более 1,3. Основным методом лечения развившегося осложнения является хирургический, который приводит к восстановлению полной амплитуды движений в коленном суставе.
ДОПОЛНИТЕЛЬНАЯ ИНФОРМАЦИЯ
Заявленный вклад авторов
Картавенко К.А. — концепция и дизайн исследования, сбор и обработка данных, написание и редактирование текста рукописи.
Зорин В.И. — концепция и дизайн исследования, сбор и обработка данных, редактирование текста рукописи.
Лукьянов С.А. — поиск и анализ публикаций, написание и редактирование текста рукописи.
Все авторы прочли и одобрили финальную версию рукописи статьи. Все авторы согласны нести ответственность за все аспекты работы, чтобы обеспечить надлежащее рассмотрение и решение всех возможных вопросов, связанных с корректностью и надежностью любой части работы.
Источник финансирования. Авторы заявляют об отсутствии внешнего финансирования при проведении исследования.
Возможный конфликт интересов. Авторы декларируют отсутствие явных и потенциальных конфликтов интересов, связанных с публикацией настоящей статьи.
Этическая экспертиза. Не применима.
Информированное согласие на публикацию. Авторы получили письменное согласие законных представителей пациентов на публикацию медицинских данных и изображений.
DISCLAIMERS
Author contribution
Kirill A. Kartavenko — study concept and design, data acquisition and interpretation, drafting and editing the manuscript.
Vyacheslav I. Zorin — study concept and design, data acquisition and interpretation, editing the manuscript.
Sergey A. Lukyanov — literature search and review, drafting and editing the manuscript.
All authors have read and approved the final version of the manuscript of the article. All authors agree to bear responsibility for all aspects of the study to ensure proper consideration and resolution of all possible issues related to the correctness and reliability of any part of the work.
Funding source. This study was not supported by any external sources of funding.
Disclosure competing interests. The authors declare that they have no competing interests.
Ethics approval. Not applicable.
Consent for publication. Written consent was obtained from the legal representatives of children for publication of relevant medical information and all of accompanying images within the manuscript.
Об авторах
Кирилл Александрович Картавенко
ФГБУ «Национальный медицинский исследовательский центр детской травматологии и ортопедии им. Г.И. Турнера» Минздрава России
Автор, ответственный за переписку.
Email: med-kart@yandex.ru
ORCID iD: 0000-0002-6112-3309
SPIN-код: 5341-4492
канд. мед. наук
Россия, г. Санкт-ПетербургВячеслав Иванович Зорин
ФГБУ «Национальный медицинский исследовательский центр детской травматологии и ортопедии им. Г.И. Турнера» Минздрава России; ФГБОУ ВО «Северо-Западный государственный медицинский университет им. И.И. Мечникова» Минздрава России
Email: zoringlu@yandex.ru
ORCID iD: 0000-0002-9712-5509
канд. мед. наук
Россия, г. Санкт-Петербург; г. Санкт-ПетербургСергей Андреевич Лукьянов
ФГБУ «Национальный медицинский исследовательский центр детской травматологии и ортопедии им. Г.И. Турнера» Минздрава России
Email: Sergey.lukyanov95@yandex.ru
ORCID iD: 0000-0002-8278-7032
канд. мед. наук
Россия, г. Санкт-ПетербургСписок литературы
- Gao G., Mahadev A., Lee E. Sleeve Fracture of the Patella in Children. J Orthop Surg. 2008;16(1):43-46. doi: 10.1177/230949900801600111.
- Hunt D.M., Somashekar N. A review of sleeve fractures of the patella in children. The Knee. 2005;12(1):3-7. doi: 10.1016/j.knee.2004.08.002.
- Maguire J.K., Canale S.T. Fractures of the patella in children and adolescents. J Pediatr Orthop. 1993;13(5):567-571.
- Damrow D.S., Van Valin S.E. Patellar Sleeve Fracture with Ossification of the Patellar Tendon. Orthopedics. 2017;40(2):357-359. doi: 10.3928/01477447-20161026-02.
- Mujtaba B., Taher A., Fiala M.J., Nassar S., Madewell J.E., Hanafy A.K. et al. Heterotopic ossification: radiological and pathological review. Radiol Oncol. 2019;53(3): 275-284. doi: 10.2478/raon-2019-0039.
- Cakici H., Hapa O., Ozturan K., Guven M., Yucel I. Patellar tendon ossification after partial patellectomy: a case report. J Med Case Reports. 2010;4:47. doi: 10.1186/1752-1947-4-47.
- Иванов Я.А., Ельцин А.Г., Мининков Д.С. Валидация и культурная адаптация шкалы Pedi-IKDC. Ортопедия, травматология и восстановительная хирургия детского возраста. 2021;9(2):143-151. doi: 10.17816/PTORS61685. Ivanov Ya.A., Eltsin A.G., Mininkov D.S. Validation and cultural adaptation of the Russian version of the Pedi-IKDC questionnaire. Pediatric Traumatology, Orthopaedics and Reconstructive Surgery. 2021;9(2): 143-151. (In Russian). doi: 10.17816/PTORS61685.
- Bruijn J.D., Sanders R.J., Jansen B.R.H. Ossification in the patellar tendon and patella alta following sports injuries in children: Complications of sleeve fractures after conservative treatment. Arch Orthop Trauma Surg. 1993;112(3):157-158. doi: 10.1007/BF00449996.
- Panagopoulos A., Antzoulas P., Giakoumakis S., Konstantopoulou A., Tagaris G. Neglected rupture of the patellar tendon after fixation of tibial tubercle avulsion in an adolescent male managed with ipsilateral semitendinosus autograft reconstruction. Cureus. 2021;13:e15368. doi: 10.7759/cureus.15368
- Mareddu E., Corbaz J., Desmarchelier R., Traverso A. Bifocal Patellar Tendon Avulsion Fracture in a Child. J Surg. 2021;9(4):188-192. doi: 10.11648/j.js.20210904.18.
- Supreeth S., Al-Barwani A., Al Habsi I., Al Ghanami S., Al Abri Z., Al-Adawi K. A Rare Case of Heterotopic Ossification of the Patella Tendon in an Adolescent Presenting with Tendon Rupture. Joints. 2020;7(3): 131-134. doi: 10.1055/s-0040-1712114.
- Laczay A., Csapó K. Ossification in the patellar ligament and Osgood-Schlatter’s disease (author’s transl). Fortschr Geb Rontgenstr Nuklearmed. 1973;119(3):347-351. (In German).
- Kakazu R., Luczak S.B., Grimm N.L., Fitzsimmons K.P., Andrish J.T., Farrow L.D. et al. Patellar Tendon Imbrication for Patella Alta. Arthrosc Tech. 2021;11(1):e7-e12. doi: 10.1016/j.eats.2021.08.029.
- Insall J., Salvati E. Patella position in the normal knee joint. Radiology. 1971;101(1):101-104. doi: 10.1148/101.1.101.
- Blackburne J.S., Peel T.E. A new method of measuring patellar height. J Bone Joint Surg Br. 1977;59(2):241-242. doi: 10.1302/0301-620X.59B2.873986.
- Koshino T., Sugimoto K. New measurement of patellar height in the knees of children using the epiphyseal line midpoint. J Pediatr Orthop. 1989;9(2):216-218.
- Caton J., Deschamps G., Chambat P., Lerat J.L., Dejour H. Rev Chir Orthop Reparatrice Appar Mot. 1982;68(5):317-325. (In French).
- Biedert R.M., Tscholl P.M. Patella Alta: A Comprehensive Review of Current Knowledge. Am J Orthop Belle Mead NJ. 2017;46(6):290-300.
- Meyers C., Lisiecki J., Miller S., Levin A., Fayad L., Ding C. et al. Heterotopic Ossification: A Comprehensive Review. JBMR Plus. 2019;3(4):e10172. doi: 10.1002/jbm4.10172.
Дополнительные файлы













