Distraction of longitudinally split fragments using the Ilizarov method: a series of clinical cases of treating partial bone defects
- Authors: Vandenbulcke F.1,2, Malagoli E.3, Kirienko A.3
-
Affiliations:
- Humanitas Clinical and Research Center – IRCCS
- Humanitas University, Department of Biomedical Sciences
- Humanitas Clinical and Research Center — IRCCS
- Issue: Vol 30, No 3 (2024)
- Pages: 95-104
- Section: Case Reports
- Submitted: 11.03.2024
- Accepted: 21.06.2024
- Published: 30.09.2024
- URL: https://journal.rniito.org/jour/article/view/17492
- DOI: https://doi.org/10.17816/2311-2905-17492
- ID: 17492
Cite item
Full Text
Abstract
Background. The Ilizarov method is a recognized technique for treating severe skeletal injuries, allowing for a comprehensive restoration of both bone and soft tissue components. Despite the fact that bone lengthening and transport are widely known techniques, distraction of a longitudinally split fragment is still used extremely rarely.
The aim of the study is to describe a series of clinical cases involving patients operated on using this technique.
Methods. We present a series of observations of five patients who underwent distraction of a longitudinally split fragment using the Ilizarov method between January 2006 and December 2022. Clinical information was obtained from case histories, all surgical interventions were documented. Postoperative examination was performed using radiography.
Results. A case series demonstrates the successful application of this technique for reconstruction of partial bone defects resulting from trauma or osteomyelitis. The study included five patients (4 men and 1 woman) who underwent surgery 4.8-34.0 months after trauma for a partial defect of the proximal tibia ranging from 4 to 8 cm in length. Distraction was performed in different directions along the sagittal and longitudinal axes. The time of external fixation ranged from 3.5 to 4.8 months, the external fixation index ranged from 0.49 to 1.22. The ASAMI (Association for the Study and Application of the Methods of Ilizarov) functional score at the follow-up examination was excellent in all five patients. The ASAMI bone tissue assessment showed excellent results in all patients, except for one patient with residual equinus (good result). No other complications were reported.
Conclusions. The Ilizarov method provides a minimally invasive and comprehensive approach to the elimination of partial bone defects, affecting simultaneously the skeletal and soft tissue components. Due to the longitudinal splitting during fragment transport and distraction osteogenesis, this method promotes bone and tissue regeneration and helps to avoid a volumetric bone defect and more complex segmental bone transport. Moreover, the role of transverse transport of the tibial cortex increases in the treatment of peripheral arterial diseases.
Keywords
Full Text
INTRODUCTION
Bone defects encompass a spectrum of conditions, ranging from bone loss due to trauma or infection, to non-union fractures and congenital deformities. Conventional treatment strategies, including bone grafting, internal fixation, and prosthetic replacement, often encounter limitations such as donor site morbidity, implant failure, and compromised biomechanical function [1]. In contrast, the Ilizarov method offers a minimally invasive, yet comprehensive approach to address both skeletal and soft tissue components of partial bone defects. Bone defects present unique challenges in orthopedic surgery, necessitating innovative approaches to promote successful bone healing and restore functional integrity. Among the diverse array of treatment modalities, the Ilizarov method has emerged as a versatile and effective technique for managing these complex skeletal injuries [2].
Although segmental bone defects treatment is a more common occurrence, sometimes limb lengthening and reconstruction surgeons deal with partial bone defects. They may be associated to post-traumatic conditions, such as partial defect at docking site, at the level of regenerate bone, after resection for localized osteomyelitis (Cierny-Mader type II and iii osteomyelitis [3]).
Distraction of longitudinally split fragments was first described by professor Gavriil Ilizarov [4]. Angiogram and scanning electron micrograph demonstrated new blood vessels form with their orientation in the direction of the tension vector during the process of fragment distraction. This new blood vessel formation occurred in either transverse direction or longitudinal direction or, indeed, in any direction, depending upon the tension vector. In clinical application, he has used this technique to thicken bones for the purpose of eliminating a defect in one of the paired bones or correcting osseous defects, and to improve the shape of limbs. Moreover, the growth of newly formed capillaries under the influence of tension-stress proceeded so actively that growth overtook the rate and rhythm of distraction. Therefore, distraction of a split bone fragment was potentially a treatment method of circulatory limb disorders such as severe atherosclerosis obliterans or Buerger’s disease [4].
Successively, V.I. Shevtsov et al. described longitudinal distraction of fragments as a technique to treat bone defects of the lower limb [5].
The aim of this study is to report our experience about using the technique of bone fragment transport with the Ilizarov method to treat partial bone defects.
METHODS
Patients
We followed the Helsinki Declaration throughout this study. Five patients underwent transport of a bone fragment with the Ilizarov method in our institution between January 2006 and December 2022. We reviewed their medical records and collected the clinical information.
Surgical procedure
For reconstruction of a partial defect, a cortical fragment was longitudinally split off in order to be gradually transported along sagittal or longitudinal axis. The splitting of the fragment was accomplished with an osteotomy. A two or three-ring circular external fixator was applied as needed. The separated cortical fragment was fixed with two or three 1.8 mm K-wires. In case of longitudinal transport, the fragment was fixed with two olive wires, connected to a separated half-ring and tensioned. The half-ring was connected to the frame with two or three rods for gradual transport. In case of sagittal transport, the fragment was fixed with three wires specially bent into a pigtail. The external ends of these wires were attached to slotted rods and connected to the frame. In this manner, the split cortical fragment could be gradually moved. Distraction at a rate of 1 mm/day started on the fifth day after the surgery.
Rehabilitation
The patients were encouraged to walk with crutches weight-bearing as tolerated. Range of motion (ROM) exercises were encouraged immediately after the surgery. The insertion sites of the dedicated pins were disinfected with a 0.05% chlorhexidine gluconate solution once a week.
Postoperative Assessment
Follow-up X-rays were taken every two weeks during transport of the bone fragment. After that, the X-rays were taken every month until rigid consolidation of the osteotomized site was observed.
RESULTS
See Table 1. We also include a narrative report of these five well-documented cases.
Table 1. Demographic and clinical data of the patients who underwent transport of a bone fragment with the Ilizarov method
Parameter | Case 1 | Case 2 | Case 3 | Case 4 | Case 5 |
Age — Sex | 34 y.o. — M | 43 y.o. — M | 26 y.o. — F | 43 y.o. — M | 54 y.o. — M |
Affected segment | Prox. tibia | Prox. tibia | Prox. tibia | Prox. tibia | Prox. tibia |
Etiology | Partial defect at docking site | C-M 3 post-traumatic osteomyelitis | Partial defect at docking site | C-M 3 post-traumatic osteomyelitis | C-M 3 post-traumatic osteomyelitis |
Duration from the injury to surgery, months | 34 | 4.8 | 13 | 6.0 | 7.6 |
Defect size, cm | 4.5 | 6.5 | 4.3 | 4.0 | 8.0 |
Direction of the transport | Proximal to distal | Distal to proximal | Distal to proximal | Proximal to distal | Posterior to anterior |
Ex-fix time, months | 5.4 | 3.5 | 3.5 | 4.8 | 3.9 |
Ex-fix index | 1.22 | 0.53 | 0.81 | 1.2 | 0.49 |
Follow-up period, years | 19 | ? | 1.2 | 4 | 2.5 |
ASAMI — Bone | Excellent | Excellent | Excellent | Excellent | Excellent |
ASAMI — Function | Good | Excellent | Excellent | Excellent | Excellent |
Postoperative complications | Equinus foot | None | None | None | None |
Case 1
A 27-year-old male patient sustained a leg injury in a motorcycle accident. He suffered an open fracture of the proximal tibial shaft complicated by a traumatic laceration of the posterior tibial artery (Gustilo-Andersen IIIC). An external fixator was placed for damage control. A cross-leg flap was performed for soft-tissue coverage. The external fixator was removed. We first visited this patient 6 months after the injury. He had fracture nonunion with no signs of infection.
We decided not to open the nonunion site; we applied the Ilizarov apparatus for closed progressive realignment and compression. After 6 months, the fracture was still not healing, pin tracts were infected. So we opted for a surgical revision and resection of a 7 cm long segment of necrotic bone. A distal osteotomy was performed for segmental defect reconstruction with bone transport. At the end of bone transport, X-rays showed a poor contact at the docking site with an anteromedial partial defect of 4.5 cm (Figure 1). We decided to use the technique of fragment transport to deal with this mismatch and increase stability of the docking site. We performed a partial osteotomy of the anterior aspect of the tibia for setting up an anterior fragment to be transported from proximal to distal. The fragment was fixed with two 1.8 mm olive K-wires and connected to a 5/8 ring for progressive bone transport. The frame was removed 5 months later when docking site union was achieved. We observed a gradual bone remodeling during following months (Figure 2). At the last follow-up, four years after frame removal, the patient had a residual equinus deformity of the foot. No recurrence of infections or other complications were observed.
Figure 1. X-ray showing poor contact at the docking site with an anteromedial partial defect
Figure 2. X-ray showing the fragment fixed with two 1.8 mm olive K-wires and connected to a 5/8 ring. Different stages of progressive distraction of the fragment are explained by some sketches. Note regenerate remodeling at 8 months follow-up
Case 2
A 43-year-old male patient suffered a fracture of the proximal tibia. He underwent open reduction and internal fixation with a plate and screws in another hospital. He developed a fracture related infection requiring the hardware removal.
We first visited this patient five months after the injury presenting dehiscence of the plate removal wound. The diagnosis was a Cierny-Mader type III osteomyelitis. Anterior resection of necrotic bone was performed and resulted in a partial bone defect of the proximal metaepiphysis. We percutaneously performed a partial osteotomy of the anteromedial cortex. The continuity of the posterior cortex was maintained (Figure 3). The Ilizarov apparatus was applied to ensure stability, the fixation was extended to distal femur because the defect was too proximal to achieve a good stability of the proximal ring. The fragment was fixed with two 1.8 mm olive K-wires and connected to a half-ring for progressive bone transport from distal to proximal (Figure 4).
Figure 3. Picture and X-ray showing the fragment split by percutaneous approaches with osteotomy. Note wound dehiscence with soft tissue defect
Figure 4. X-rays and a sketch showing the fragment fixed with two 1.8 mm olive K-wires and connected to a half-ring for progressive distraction from distal to proximal
The fragment transport successfully reconstructs the anterior bone defect of the proximal tibia. What is more, in this case, fragment bone transport really was an instrumented advancement of a local vascularized osteomyocutaneous flap and bridged the soft tissue defect as well [6] (Figure 5).
Figure 5. Picture taken after 4 cm long partial anterior resection. A partial osteotomy of the anterior aspect of the tibia was performed to set up the fragment to be distracted from proximal to distal
Case 3
This case is quite similar to case 1. A 26-year-old female patient had a partial anterior defect at docking site after segmental bone transport for infected nonunion. The partial defect length was 4.3 cm. The fragment was transported from distal to proximal. Duration of external fixation was 3.5 months. The patient’s last follow-up was at 14 months after frame removal with no reported recurrence of infections or other complications.
Case 4
A 43-year-old male patient suffered a fracture of the proximal tibia. He underwent open reduction and internal fixation with a plate and screws in another hospital. He developed a fracture related infection requiring the hardware removal.
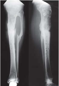
We first visited this patient after plate removal still presenting a draining sinus tract. The diagnosis was a Cierny-Mader type III osteomyelitis. We operated this patient in six months after the injury. A partial anterior resection of a 4 cm long segment was necessary. We performed a partial osteotomy of the anterior aspect of the tibia for setting up an anterior fragment to be transported from proximal to distal (Figure 6). The continuity of the posterior cortex was maintained. We finally applied the Ilizarov apparatus to ensure stability; the fragment was fixed with two 1.8 mm olive K-wires and connected to a half-ring for progressive bone transport (Figure 7, 8). The frame was removed less than in 5 months after the surgery when union was achieved. The patient’s last follow-up was at 4 years after frame removal with no reported recurrence of infections or other complications (Figure 9).
Figure 6. Picture showing performed partial osteotomy of the anterior aspect of the tibia for setting up an anterior fragment to be transported from proximal to distal
Figure 7. Picture showing the half-ring corresponding to the split fragment connected to the frame for progressive distraction
Figure 8. X-ray showing the split fragment connected to a half-ring for progressive distraction
Figure 9. X-ray at the last follow-up shows the fragment filling the previous defect and remodeling of proximal bone regenerate
Case 5
A 48-year-old male patient suffered a tibial plateau fracture as a result of a road traffic injury. He underwent open reduction and internal fixation with a medal and lateral plate. He developed a fracture related infection with wound dehiscence, plate exposure. The hardware was removed; hybrid external fixator and negative pressure wound therapy were applied. An area of 3×6 cm of the tibia remained exposed and looked necrotic. It was finally covered with a gastrocnemius flap.
We first visited this patient in 6 month after the injury. He had a stable hybrid external fixator and was able to walk with two crutches. However, the patient presented a draining sinus tract on the anterior aspect of the proximal third of the tibia near the area which was previously exposed and then covered with the flap.
Although the fracture was healed, X-ray and CT showed periosteal new bone formation and anterior cortical remodeling. A FDG PET-CT confirmed a superficial osteomyelitis limited to the anterior cortex as for Cierny-Mader type III osteomyelitis.
We operated this patient in seven months after the injury. First of all, we removed the hybrid external fixator. After surgical approach to the proximal third of the tibial shaft, we observed an anteromedial segment of necrotic bone; we performed a partial anteromedial resection of 8 cm (Figure 10). We performed a partial osteotomy for setting up a posteromedial segment, maintaining the continuity of the lateral aspect of the tibia. The posteromedial fragment was fixed with three 1.8 mm K-wires specially bent into a pigtail. We finally applied the Ilizarov apparatus to ensure stability (Figure 11). The fragment was progressively transported from posterior to anterior to fill the defect (Figure 12). The frame was removed less than in 4 months after the surgery when union was achieved. The patient’s last follow-up was at two years and a half after frame removal with no reported recurrence of infections or other complications.
Figure 10. Partial resection of an 8 cm long anteromedial segment of necrotic bone
Figure 11. The posteromedial fragment was fixed with three 1.8 mm K-wires specially bent into a pigtail. The Ilizarov apparatus was applied to the leg to ensure stability
Figure 12. The posteromedial fragment was gradually distracted from posterior to anterior to fill the partial defect. Note complete union and remodeling at the last follow-up
DISCUSSION
Bone defects represent a significant challenge in orthopedic surgery, requiring innovative approaches to promote successful bone healing and restore functional integrity. Traditional treatment modalities, such as bone grafting and prosthetic replacement, are associated with limitations, including donor site morbidity and implant failure. In contrast, the Ilizarov method offers a minimally invasive yet comprehensive approach to address both the skeletal and soft tissue components of partial bone defects. This paper explores the efficacy and advantages of utilizing the Ilizarov method for bone fragment transport in managing partial bone defects, as demonstrated by the presented case series.
The Ilizarov method, initially developed by professor G. Ilizarov, has revolutionized orthopedic surgery by introducing the concept of distraction osteogenesis [4]. This technique involves the gradual distraction of bone segments, stimulating new bone formation and tissue regeneration. The method utilizes external fixation devices to stabilize fractured bones and facilitate controlled bone transport, allowing for precise alignment and reconstruction of complex bone defects.
One of the key advantages of the Ilizarov method is its ability to address both skeletal and soft tissue components of the defects simultaneously. This is particularly beneficial in cases where traditional treatment modalities may not adequately address the extent of tissue damage. By promoting angiogenesis and tissue regeneration, the Ilizarov method facilitates the formation of healthy bone and soft tissue, leading to improved functional outcomes and reduced complication rates.
The case series presented in this study highlights the versatility and effectiveness of the Ilizarov method in managing partial bone defects of various etiology. Case 1 and Case 3 demonstrate successful reconstruction of partial defect at docking site resulting from a segmental bone transport for post-traumatic bone defect. Case 2, Case 4 and Case 5 show the application of this technique to reconstruct partial defects after resection of Cierny-Mader type III osteomyelitis. By utilizing bone fragment transport with the Ilizarov method, these patients achieved favourable outcomes with minimal complications, highlighting the efficacy of this technique in challenging clinical scenarios. Additionally, this technique proved to be adaptable to different anatomic conditions. Indeed, fragment transport was feasible along both longitudinal and sagittal axes. In Case 1 and Case 4 the fragment was transported from proximal to distal, while in Case 2 and Case 3 the fragment was transported from distal to proximal. Finally, in Case 5 the fragment was transported from posterior to anterior.
In these five cases, the duration of external fixation ranged from 3.5 to 5.4 months, such a short time for an infected bone defect. Indeed, the external fixation index (EFI) ranged from 0.49 to 1.22, clearly lower compared to EFI reported by other authors with traditional reconstructive technique, such as acute shortening and re-lengthening or segmental bone transport [2, 7, 8, 9].
In Cierny-Mader type II and III osteomyelitis the osteonecrosis is not circumferential but affects only one sector and partial resection should be indicated, as in Case 2, Case 4 and Case 5. Then, this technique is indicated for reconstruction: the longer the defect, the greater the advantage compared to a segmental transport is, because fragment distraction is along the short side of the defect, which is constant and corresponds to the diameter of the bone.
No complications related to bone fragment transport were reported. The only complication observed was a residual equinus foot deformity in Case 1, which is related to the complex post-traumatic condition, absolutely not to the bone fragment transport procedure.
Furthermore, the Ilizarov method offers several advantages over traditional treatment modalities. Its minimally invasive nature reduces the risk of complications, such as infection and nonunion, while also allowing for early mobilization and rehabilitation. In particular, we would like to highlight that in Case 2 such complex osteotomy was performed with percutaneous approaches to obtain a partial fragment (Figure 3) maintaining blood supply. Additionally, the ability to transport bone fragments from distant sites provides a versatile solution for addressing complex bone defects, even in cases of compromised vascularity or previous surgical interventions. What is more, in Case 2, characterised by the presence of wound dehiscence, the technique was effective in bridging soft tissue defect as well. Bone fragment transport, as well as segmental bone transport, was effective as an instrumented advancement of a local vascularized osteomyocutaneous flap [6] (Figure 5).
Rehabilitation protocols following bone fragment transport with the Ilizarov method play a crucial role in optimizing outcomes. Since partial bone continuity was maintained, the patients were encouraged to engage in weight-bearing activities and ROM exercises to promote bone healing and functional recovery.
Although positive results were reported in the treatment of chronic limb ischemic diseases, this application of fragment distraction remained infrequent for decades. Recently, the role of tibial cortex transverse transport has been emerging, several groups in China confirmed outstanding clinical results in the treatment of Buerger’s disease, diabetic foot, and arteriosclerosis obliterans [10, 11, 12, 13, 14].
Despite the promising results demonstrated in this case series, this is an advanced application of the Ilizarov method and requires experience. Challenges may arise during the course of treatment, such as pin tract infections and delayed bone healing, that require close attention and management. Additionally, patient compliance with correction plan and rehabilitation protocols is essential for achieving successful outcomes.
CONCLUSIONS
The Ilizarov method represents a valuable tool in the management of partial bone defects, offering a minimally invasive and comprehensive approach to bone reconstruction. Through bone fragment transport and distraction osteogenesis, this technique facilitates the formation of a healthy bone and soft tissue, leading to improved functional outcomes and reduced complication rates. Further research and larger-scale studies are warranted to validate these findings and refine treatment protocols for optimal patient care in orthopedic surgery.
DISCLAIMERS
Author contribution
All authors made equal contributions to the study and the publication.
All authors have read and approved the final version of the manuscript of the article. All authors agree to bear responsibility for all aspects of the study to ensure proper consideration and resolution of all possible issues related to the correctness and reliability of any part of the work.
Funding source. This study was not supported by any external sources of funding.
Disclosure competing interests. The authors declare that they have no competing interests.
Ethics approval. Not applicable.
Consent for publication. Written consent was obtained from the patients for publication of relevant medical information and all of accompanying images within the manuscript.
ДОПОЛНИТЕЛЬНАЯ ИНФОРМАЦИЯ
Заявленный вклад авторов
Все авторы сделали эквивалентный вклад в подготовку публикации.
Все авторы прочли и одобрили финальную версию рукописи статьи. Все авторы согласны нести ответственность за все аспекты работы, чтобы обеспечить надлежащее рассмотрение и решение всех возможных вопросов, связанных с корректностью и надежностью любой части работы.
Источник финансирования. Авторы заявляют об отсутствии внешнего финансирования при проведении исследования.
Возможный конфликт интересов. Авторы декларируют отсутствие явных и потенциальных конфликтов интересов, связанных с публикацией настоящей статьи.
Этическая экспертиза. Не применима.
Информированное согласие на публикацию. Авторы получили письменное согласие пациентов на публикацию медицинских данных и изображений.
About the authors
Filippo Vandenbulcke
Humanitas Clinical and Research Center – IRCCS; Humanitas University, Department of Biomedical Sciences
Author for correspondence.
Email: filippo@vandenbulcke.org
ORCID iD: 0000-0002-4603-659X
MD
Italy, Rozzano (MI); Pieve Emanuele (MI)Emiliano Malagoli
Humanitas Clinical and Research Center — IRCCS
Email: emiliano.malagoli@gmail.com
ORCID iD: 0000-0003-0239-080X
MD
Italy, Rozzano (MI)Alexander Kirienko
Humanitas Clinical and Research Center — IRCCS
Email: alexander@kirienko.com
ORCID iD: 0000-0003-0107-3423
MD
Italy, Rozzano (MI)References
- Mauffrey C., Barlow B.T., Smith W. Management of segmental bone defects. J Am Acad Orthop Surg. 2015;23(3):143-153. doi: 10.5435/JAAOS-D-14-00018.
- Yin P., Ji Q., Li T., Li J., Li Z., Liu J. et al. A Systematic Review and Meta-Analysis of Ilizarov Methods in the Treatment of Infected Nonunion of Tibia and Femur. PLoS One. 2015;10(11):e0141973. doi: 10.1371/journal.pone.0141973.
- Cierny G. 3rd., Mader J.T., Penninck J.J. A clinical staging system for adult osteomyelitis. Clin Orthop Relat Res. 2003;(414):7-24. doi: 10.1097/01.blo.0000088564.81746.62.
- Ilizarov G.A. Experimental Studies: Transverse Distraction. Transosseous Osteosynthesis. Springer-Verlag; 1992, p. 162-171.
- Shevtsov V.I., Makushin V.D., Kuftyrev L.M. Defects of the lower limb bones. Treatment based on Ilizarov techniques. Churchill Livingstone; 2000.
- El-Rosasy M., Mahmoud A., El-Gebaly O., Rodriguez-Collazo E., Thione A. Definition of Bone Transport from an Orthoplastic Perspective. Int J Orthop Surg. 2019;2: 62-71. doi: 10.29337/ijops.33.
- Salcedo Cánovas C., Martínez Ros J., Ondoño Navarro A., Molina González J., Hernández Torres A., Moral Escudero E. et al. Infected bone defects in the lower limb. Management by means of a two-stage distraction osteogenesis protocol. Eur J Orthop Surg Traumatol. 2021;31:1375-1386. doi: 10.1007/s00590-020-02862-5.
- Feng D., Zhang Y., Jia H., Xu G., Wu W., Yang F. et al. Complications analysis of Ilizarov bone transport technique in the treatment of tibial bone defects–a retrospective study of 199 cases. BMC Musculoskelet Disord. 2023;24:864. doi: 10.1186/s12891-023-06955-0.
- Kinik H., Kalem M. Ilizarov segmental bone transport of infected tibial nonunions requiring extensive debridement with an average distraction length of 9,5 centimetres. Is it safe? Injury. 2021;52:2425-2433. doi: 10.1016/j.injury.2019.12.025.
- Liu G., Li S., Kuang X., Zhou J., Zhong Z., Ding Y. et al. The emerging role of tibial cortex transverse transport in the treatment of chronic limb ischemic diseases. J Orthop Translation. 2020;25:17-24. doi: 10.1016/j.jot.2020.10.001.
- Liu Z., Xu C., Yu Y., Tu D., Peng Y., Zhang B. Twenty Years Development of Tibial Cortex Transverse Transport Surgery in PR China. Orthop Surg. 2022;14:1034. doi: 10.1111/os.13214.
- Qin W., Nie X., Su H., Ding Y., He L., Liu K. et al. Efficacy and safety of unilateral tibial cortex transverse transport on bilateral diabetic foot ulcers: A propensity score matching study. J Orthop Translation. 2023;42:137-146. doi: 10.1016/j.jot.2023.08.002.
- Qin W., Liu K., Su H., Hou J., Yang S., Pan K. et al. Tibial cortex transverse transport promotes ischemic diabetic foot ulcer healing via enhanced angiogenesis and inflammation modulation in a novel rat model. Eur J Med Res. 2024;29:155. doi: 10.1186/s40001-024-01752-4.
- Liu J., Yao X., Xu Z., Wu Y., Pei F., Zhang L. et al. Modified tibial cortex transverse transport for diabetic foot ulcers with Wagner grade ≥ II: a study of 98 patients. Front Endocrinol (Lausanne). 2024;15:1334414. doi: 10.3389/fendo.2024.1334414.
Supplementary files
















