Chronic pyogenic spondylitis in patients with spinal gout: a case series and literature review
- Authors: Vishnevskiy A.A.1, Naumov D.G.1,2, Shchelkunov M.M.1, Novitskaya T.A.1
-
Affiliations:
- St. Petersburg State Research Institute of Phthisiopulmonology
- St. Petersburg State University
- Issue: Vol 30, No 2 (2024)
- Pages: 168-180
- Section: Case Reports
- Submitted: 25.02.2024
- Accepted: 27.04.2024
- Published: 04.07.2024
- URL: https://journal.rniito.org/jour/article/view/17479
- DOI: https://doi.org/10.17816/2311-2905-17479
- ID: 17479
Cite item
Full Text
Abstract
Background. Spinal gout is a rare and poorly described group of noninfectious inflammatory spinal lesions characterized by the deposition of monosodium urate crystals in the epidural space, paravertebral soft tissues, and by facet joints damage. There is no systematized data on the course of infectious spondylitis and spinal gout in the literature.
The aim of the study — to present long-term outcomes of surgical treatment of chronic pyogenic spondylitis in patients with spinal gout and systematize the literature data on the issue.
Methods. The clinical part of the study included 6 consecutively operated patients in the period from 2018 to 2021. The diagnosis of spinal gout and chronic pyogenic spondylitis was verified according to the results of histologic and bacteriologic studies of surgical material. Catamnesis accounted for at least 12 months. We studied the peculiarities of clinical and laboratory, radiological and histologic manifestations of the disease. Literature data systematization was carried out in the databases PubMed, Google Scholar, eLIBRARY from 2013 to 2023. Inclusion criteria: level of evidence II B-IV, catamnesis more or equal to 6 months, information on diagnostic and treatment measures.
Results. The average age of the patients was 55±9 years. The duration of the diagnostic pause was 8±5 years. Multisegmented lesions of the lumbar (n = 6) spine prevailed. According to the classification of Pola E. et al. (2017) the following types of spondylitis were identified: B.3 (n = 1), C.1 (n = 1), C.3 (n = 2) and C.4 (n = 2). The clinical manifestation was dominated by chronic back pain with an intensity of 6,1±1,4 VAS scores. Neurologic disorders of the lower extremities and pelvic (ASIA scale) corresponded to types B (n = 1) and C (n = 4). The type of surgery: three-column reconstruction through combined approach in 2 cases and isolated anterior column reconstruction in 2 cases, 360° fusion in 1 case, and debridement of the epidural space and anterior column through posterior approach in 1 case. The follow-up results show the absence of recurrence of spondylitis in 4 cases, in 2 patients there were postoperative complications that required revision, after which no recurrence of spondylitis was noted. We selected 17 publications for literature review.
Conclusion. The combination of chronic pyogenic spondylitis and spinal gout is a rare and poorly described pathology in the literature. Long therapeutic pause, chronic character of vertebrogenic pain syndrome in combination with increased uric acid level and formation of tophi of vertebral localization are distinctive features of the disease. Neurologic disorders with the combination of spondylitis and gout result from stenosis of the spinal canal due to two factors — epidural abscesses and tophi. Achieving local control of the combined pathology is possible with a combination of surgical intervention and long-term administration of hypouricemic drugs.
Keywords
Full Text
ВВЕДЕНИЕ
Спондилоартриты — обширная группа заболеваний, объединяющая этиологически разнородные варианты неинфекционных воспалительных поражений позвоночника [1]. По данным американского ревматологического регистра, распространенность подагры в США достигает 37,6 случаев на 1000 взрослого населения [2]. Анализ отечественной статистики демонстрирует меньшие показатели распространенности, достигая 31 случай на 1000 взрослого населения [3, 4]. По этиологии принято выделять следующие виды спондилоартритов: анкилозирующий (болезнь Бехтерева), псориатический и подагрический [5, 6].
Подагра — системное рецидивирующее заболевание, характеризующееся нарушением метаболизма мочевой кислоты, отложением в различных тканях кристаллов моноурата натрия (МУН) и развивающимся в связи с этим хроническим воспалением у лиц с гиперурикемией, обусловленной внешнесредовыми и/или генетическими факторами. В результате накопления кристаллов МУН в синовиальной жидкости и мягких тканях образуются тофусы, локализующиеся преимущественно интра- или параартикулярно [7].
Наряду с тофусным поражением суставов конечностей, описаны подагрические спондилоартриты, которые могут имитировать инфекционное поражение позвоночника, экстра- и интрадуральные опухоли [8, 9, 10, 11, 12]. Течение заболевания с отложением кристаллов МУН в эпидуральном пространстве влечет за собой развитие неврологического дефицита [13, 14]. По локализации чаще встречаются подагрические поражения поясничного, реже — грудного и шейного отделов позвоночника [15, 16].
Для установления диагноза ПС, наряду с клиническими проявлениями и гиперурикемией (повышение мочевой кислоты выше 360 мкмоль/л), требуется проведение трепанобиопсии и/или исследования синовиальной жидкости в поляризованном свете, при котором выявляются типичные кристаллы МУН [17, 18].
Первичное упоминание о подагрическом спондилоартрите принадлежит G.D. Kersley с соавторами. Авторы описали клинический случай с поражением субокципитального отдела позвоночника, сопровождающийся развитием тетрапареза у пациента в возрасте 21 года [19].
Клиническая картина заболевания неспецифична, характеризуется вертеброгенным болевым синдромом в сочетании с болями по корешковому типу. Неспецифичный характер клинических проявлений обуславливает трудность дифференциальной диагностики заболевания и неудовлетворительные результаты изолированной антибактериальной терапии в случаях первичной трактовки заболевания как хронического инфекционного спондилита.
Динамика неврологических расстройств имеет прогредиентное течение, зависит от локализации поражения и степени вовлеченности в патологический процесс интраканальных невральных структур [20, 21, 22].
Несмотря на большое количество публикаций, посвященных подагрическим поражениям суставов, информация, касающаяся подагрических спондилоартритов ограничена. В литературе представлены описания единичных наблюдений и малых клинических серий, крупнейшая из которых включает 2 случая [3]. А упоминание о сочетании инфекционного спондилита и подагрического спондилоартрита отсутствуют, так же как и систематизированные данные по этому вопросу.
Цель исследования — представить отдаленные результаты хирургического лечения хронического инфекционного спондилита у пациентов с подагрой и систематизировать данные литературы по рассматриваемому вопросу.
МАТЕРИАЛ И МЕТОДЫ
Дизайн — малая клиническая серия и обзор литературы. В исследование включены 6 пациентов последовательно оперированных с хроническим инфекционным спондилитом на фоне подагры в период с 2018 по 2021 г. Катамнез прослежен в сроки не менее 1 года (M±m = 4 года 1 мес.±1 год 11 мес.; min — 1 год, max — 6 лет).
Характеристика пациентов, включенных в исследование, представлена в таблице 1. С учетом гендерного распределения проанализированы результаты хирургического лечения 5 мужчин и 1 женщины. Диагностическая трепанобиопсия из очага вертебральной деструкции выполнена на дооперационном этапе во всех случаях, однако этиологическая верификация диагноза достигнута только по результатам исследования операционного материала.
Таблица 1. Характеристика пациентов, включенных в исследование
Возраст/пол | Клинические проявления | Лабораторные показатели | Метод верификации | Бактериологическое исследование на вторичную флору | Вариант лечения | Катамнез |
56 лет М | ДП* — 15 лет, ВАШ (спина/ноги) — 6/4, ODI — 68, ASIA 92/104, Локализация L4-S1 | МК** — 456 мкмоль/л СРБ — 10,5 мг/л | Поляризующая микроскопия, операционный материал | Положительно, MRSE | Реконструкция 360º из дорсального доступа: медиальная фасетэктомия L4-5, L5-S1, ревизия и санация эпидурального пространства, трансфораминальная резекция L5-S1, спондилодез титановым кейджем с аутокостью, задняя транспедикулярная фиксация L4-S1 + гипоурикемическая, антибактериальная (6 нед.) терапия | 6 лет 4 мес., признаки рецидива отсутствуют |
59 лет М | ДП — 12 лет, ВАШ — 4/2, ODI — 48, ASIA 98/108, Локализация L3-5 | МК — 511 мкмоль/л СРБ — 26,2 мг/л | Поляризующая микроскопия, операционный материал | Отрицательно | Санация эпидурального пространства и передней колонны из дорсального доступа: медиальная фасетэктомия, санация L4-5, L5-S1, дренирование + гипоурикемическая терапия | 5 лет 4 мес., признаки рецидива отсутствуют |
41 год М | ДП — 10 лет, ВАШ — 5/6, ODI — 82, ASIA 68/102, Локализация L3-5 Синдром Lesch–Nyhan | МК — 560 мкмоль/л СРБ — 32,1 мг/л | Поляризующая микроскопия, операционный материал | Положительно, MRSA | Реконструкция 180º (передняя колонна) из левостороннего ретроперитонеального доступа: резекция L3-5, передний спондилодез титановой блок-решеткой с аутокостью + гипоурикемическая, антибактериальная (6 нед.) терапия | 4 года 10 мес., признаки рецидива отсутствуют |
48 лет М | ДП — 1 год, ВАШ — 8/6, ODI — 74, ASIA 92/102, Локализация L2-4 | МК — 542 мкмоль/л СРБ — 21,8 мг/л | Поляризующая микроскопия, операционный материал | Положительно, S. aureus | Реконструкция 360º из комбинированного доступа: резекция L2-4 из ретроперитонеального доступа, передний спондилодез титановой блок-решеткой с аутокостью, задняя транспедикулярная фиксация на уровне Th12-S2 + гипоурикемическая, антибактериальная (6 нед.) терапия | 1 год 2 мес. — периимплантная резорбция костной ткани на уровне L5-S2, демонтаж задней инструментальной фиксации на фоне сформированного переднего спондилодеза; 2 года 1 мес. — признаки рецидива отсутствуют |
65 лет М | ДП — 5 лет, ВАШ — 7/5, ODI — 62, ASIA 98/108, Локализация L2-4 | МК — 48٧ мкмоль/л СРБ — 11,2 мг/л | Поляризующая микроскопия, операционный материал | Положительно, MRSA | Реконструкция 360º из комбинированного доступа: резекция L3-4 из ретроперитонеального доступа, передний спондилодез титановой блок-решеткой с аутокостью, задняя фиксация ламинарной системой L2-5 + гипоурикемическая, антибактериальная (6 нед.) терапия | 10 дней после операции — поверхностная ИОХВ, санация, NPWT***, вторичное ушивание раны на 14-е сут. от начала NPWT, 2 года 3 мес. — признаки рецидива отсутствуют |
* — диагностическая пауза от момента появления первых симптомов подагрического спондилоартрита до диагностики инфекционного спондилита; ** — мочевая кислота; *** — negative pressure wound therapy (система отрицательного дренирования раны).
Тактика хирургического лечения базировалась на ведущем клиническом синдроме (вертеброгенная нестабильность, неврологический дефицит, системный воспалительный ответ или их сочетание) и лучевых характеристиках поражений (распространенность, вовлечение паравертебральных тканей, эпидурального пространства, задней колонны). Тип вертебральной деструкции соотносили с классификацией E. Pola с соавторами [23]. С учетом вариантов хирургического лечения выделяли 4 группы: 1 — реконструкция 360º из комбинированного доступа, 2 — реконструкция 360º из изолированного дорсального доступа, 3 — реконструкция 180º из переднего ретроперитонеального доступа, 4 — санирующее вмешательство из дорсального доступа.
Во всех случаях поражение локализовалось в поясничном отделе позвоночника с преимущественным полисегментарным (2 и более позвоночно-двигательных сегмента) разрушением (5 пациентов: 83,3%). Согласно классификации E. Pola с соавторами отмечены спондилиты следующих типов: В.3 (n = 1), C.1 (n = 1), C.3 (n = 2) и С.4 (n = 2).
В структуре анализируемых параметров изучали:
- длительность диагностический паузы — время от момента появления первых симптомов заболевания до верификации диагноза;
- биохимические показатели крови — уровень мочевой кислоты (МК) и С-реактивного белка (СРБ);
- результаты бактериологического и гистологического исследований биопсийного (получен в ходе предоперационной трепано биопсии под флюороскопическим контролем из очага вертебральной деструкции) и операционного материала;
- отдаленные результаты — характер и срок развития осложнений, динамику качества жизни с использованием опросника Oswestry Disability Index (ODI) [24].
Гистологическое исследование материала из очага вертебральной деструкции выполняли с применением метода световой и поляризующей микроскопии. В качестве лучевой диагностики на дооперационном этапе всем пациентам проведены спиральная компьютерная томография (СКТ) и магнитно-резонансная томография (МРТ). Контрольные точки послеоперационного контроля: 3, 6, 12 мес. (СКТ). Характер и срок развития послеоперационных осложнений оценивали по классификации V. Prinz с соавторами [25].
Для систематизации данных по вопросам лечения серонегативных подагрических спондилоартритов выполнен поиск и анализ литературы в базах данных PubMed, Google Scholar, eLIBRARY. Глубина поиска — с 2013 по 2023 г. включительно. Ключевые слова: подагра, подагрический спондилоартрит, тофусное поражение позвоночника, spinal gout, tophaceous spinal gout. Критерии включения публикаций в анализ: 1) уровень доказательности исследований IIB–IV; 2) катамнез, прослеженный в сроки не менее 6 мес.; 3) четкое указание на характер использованных диагностических и лечебных манипуляций.
На первичном этапе отобрано 25 статей, 17 из которых в полной мере соответствовали критериям включения в исследование. Итоговому анализу подвергли 18 клинических наблюдений. Распределение случаев по локализации: C (1 / 5,5%), С/Th (1 / 5,5%), Th (6 / 33,3%), L (9 / 50%), C+L (1 / 5,5%).
Систематизация данных литературы выполнена по следующим разделам: клиническая картина; методы диагностики / дифференциальной диагностики; лечение, в т.ч. хирургическое; отдаленные результаты. Результаты представлены после клинической части настоящего исследования.
Статистический анализ
Статистический анализ выполнен в программе Statistical Package for the Social Sciences (SPSS), версия 22.0 (SPSS Inc., Chicago, IL) с применением описательных методов (среднее значение, стандартное отклонение, минимальное и максимальное значения). Оценка значимости различий в показателе качества жизни пациентов до и после операции выполнена с применением T-критерия Уилкоксона (ненормальное распределение малочисленной выборки).
РЕЗУЛЬТАТЫ
Средний возраст пациентов, включенных в клиническую часть исследования, составил 55±9 лет (min — 41; max — 65). Длительность диагностической паузы хронического неспецифического спондилита составила 8±5 лет (min — 1; max — 15). В клинической картине превалировали вертеброгенный болевой синдром с интенсивностью 6,1±1,4 баллов (min — 4; max — 8) и корешковый с интенсивностью 4,6±1,5 балла (min — 2; max — 6). Биохимическое исследование уровня мочевой кислоты свидетельствовало о значимом превышении показателя, в среднем составившего 523,5±47,9 мкмоль/л (min — 456; max — 585 мкмоль/л). Средний уровень СРБ — 21,15±8,6 мг/л (min — 10,5; max — 106,3 мг/л).
Динамика показателей качества жизни до / после операции: 66,3±11,5 и 37±16,4 баллов (p = 0,27). С учетом локализации превалировали поли- (5 наблюдений) и моносегментарные (1 наблюдение) поражения поясничного отдела позвоночника.
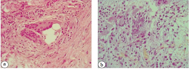
Верификация подагрической этиологии спондилоартрита во всех наблюдениях достигнута путем гистологического исследования операционного материала с применением поляризующей микроскопии и визуализацией кристаллов МУН. Морфологическая картина гистологических препаратов в исследуемой серии представлена на рисунке 1. Окраска гематоксилином и эозином, просмотр стекол при поляризующем свете. Диагностическое значение имеет обнаружение игольчатых кристаллов (МУН), расположенных вне- или внутриклеточно и обладающих двойным лучепреломлением.
Рис. 1. Морфологическая картина гистологических препаратов, световая микроскопия: а — гигантоклеточная воспалительная реакция в участках отложения солей мочевой кислоты. b — мелкие игольчатые кристаллы в синовиальной оболочке. Окраска гематоксилином и эозином. Ув.: а — ×200; b — ×400
Fig. 1. Morphologic structure of histological material, optical microscopy: a — gigantocellular inflammatory reaction in the areas of uric acid salt deposition; b — small needle-like crystals in the synovial membrane. Stained with hematoxylin and eosin. Mag.: — ×200; b — ×400
Гистологическое заключение описывает костно-хрящевую ткань с дистрофическими изменениями, фрагменты фиброзной ткани с очаговыми отложениями слабо эозинофильных гомогенных масс с очаговой слабо выраженной лимфо-плазмоцитарной инфильтрацией, что соответствует подагре.
Выделение вторичной флоры путем бактериологического исследования операционного материала достигнуто в 5 (83,3%) наблюдениях, 3 из которых обладали мультирезистентностью к антибактериальным препаратам. Во всех случаях получены бактерии семейства Staphylococcus нескольких видов: S. aureus — 2, MRSA (метициллинрезистентный золотистый стафилококк) — 2, MRSE (метициллинрезистентный эпидермальный стафилококк) — 1.
Объем хирургического лечения соответствовал трехколонной реконструкции из комбинированного доступа в 2 случаях (поражения типа С.4), изолированной реконструкции передней колонны в 2 случаях (поражения типа В.3 и С.3), трехколонной реконструкции из дорсального доступа в 1 случае (поражение типа С.3) и санации эпидурального пространства и передней колонны из дорсального доступа в 1 случае (поражение типа С.1).
В послеоперационном периоде все пациенты получали антибактериальную терапию в соответствии с результатами бактериологического исследования операционного материала. В 5 (83,7%) случаях выявлены штаммы Staphylococcus spp., три из которых обладали полирезистентностью. В комплексную терапию включены гипоурикемические препараты (колхицин 0,5 мг 2 раза в сут., аллопуринол, аденурик) под контролем уровня МК (менее 320 мкмоль/л) и СРБ.
Результаты хирургического лечения при подагрическом спондилоартрите типа С.3 по E. Pola с соавторами представлены на рисунке 2.
Рис. 2. Результаты хирургического лечения при подагрическом спондилоартрите типа С.3 по E. Pola с соавторами: а — боковая проекция СКТ, визуализируется деструкция замыкательных пластин тел L4, L5, S1; b — Т2 импульсной последовательности боковая проекция МРТ, визуализируются признаки спондилодисцита L4-S1, тофусные массы в проекции остистых отростков L4-5 позвонков; c — рентгенограмма поясничного отдела позвоночника в боковой проекции после операции, стабильное положение опорных элементов транспедикулярной металлоконструкции и межтелового титанового кейджа; d — боковая проекция СКТ, 3 года 6 мес. после выполнения реконструктивной операции, определяется стабильное положение опорных элементов металлоконструкции, сформированный костный блок, отсутствие признаков рецидива неспецифического спондилита
Fig. 2. Results of surgical treatment of pyogenic spondylitis type C.3 according to E. Pola et al. (2017) in spinal gout: a — sagittal scan of CT, visualized destruction of the L4, L5, S1 end plates; b — sagittal scan of T2 weighted image MRI, signs of spondylodiscitis are visualized L4-S1, tophus masses in the projection of spinous processes of L4-5 vertebrae; c — sagittal X-Ray scan after surgery, correct position of the instrumentation; d — sagittal scan of CT, 3 years 6 months after reconstructive surgery, correct position of the instrumentation, anterior and posterior fusion formation, no signs of recurrence of nonspecific spondylitis
В отдаленном периоде выявлены один случай развития ранней (10-е сут.) поверхностной инфекции области хирургического вмешательства лечение которой проведено с применением системы отрицательного дренирования раны, и один случай поздней (1 год 2 мес.) периимплантной резорбции костной ткани на уровне L5-S2, потребовавшей удаления задней фиксации. Отсутствие рецидива заболевания и осложнений отмечено у 4 пациентов после первичной операции на позвоночнике.
ОБСУЖДЕНИЕ
Анализ 17 источников литературы по рассматриваемой проблеме позволил выделить следующие особенности течения подагрических спондилоартритов, описанные ниже:
- в клинической картине заболевания преобладал вертеброгенный (18 наблюдений), реже корешковый (4 наблюдения) болевой синдром;
- неврологический дефицит соответствовал нижней параплегии в 2 наблюдениях (поражении Th8-10 и L3-5), тетрапарезу — в 2 наблюдениях (поражения С.2, С.4-6) и преимущественно нижнему парапарезу — в 8 случаях;
- снижение силы мышц нижних конечностей в большинстве наблюдений достигало 4 из 5 баллов (7 случаев),
- стойкое повышение уровня мочевой кислоты (в среднем 601,7±66,6 мкмоль/л), СРБ (59,5±23,6 мг/л) и лейкоцитов (до 15,7±6,4×109/л).
- важным аспектом дифференциальной диагностики хронического неспецифического спондилита на фоне подагры являлась низкая информативность дооперационной трепанобиопсии из очага вертебральной деструкции, которая ни в одном случае (как по данным нашей клинической серии, так и по данным литературы) не позволила установить этиологический диагноз. Характеристика работ представлена в таблице 2.
Таблица 2. Характеристика работ, включенных в систематический обзор
Автор | Случаи | Уровень | Клиника, тактика лечения | Исход |
Yoon J.W. et al., 2013 [13] | 1 | Th5-7 | 64 года, ДП — 8 лет, нижний парапарез (4 из 5 баллов), вертеброгенная боль, лейкоцитоз, мочевая кислота — 612 мкмоль/л. СКТ, МРТ — интраканальное экстрадуральное образование Th6-7, очаговая деструкция дугоотростчатого сустава Th6-7 слева. Ламинэктомия Th5-7, фасетэктомия слева Th6-7, ревизия эпидурального пространства, резекция образования, транспедикулярная фиксация Th5-7. Гистологическая верификация — кристаллы МУН | Купирование болевого синдрома, положительная неврологическая динамика |
Елисеев М.С. с соавт., 2013 [3] | 2 | L3-5; L4-5 | 1) 28 лет, ДП — 3 года, корешковый болевой синдром в правой ноге, вертеброгенная боль, мочевая кислота — 547 мкмоль/л. МРТ — интраканальное экстрадуральное образование L3-5. Аллопуринол 300 мг/сут., безбромарон 50 мг/сут. Гистологическая верификация (синовиальная жидкость, пястно-фаланговый сустав) — кристаллы МУН. 2) 30 лет, ДП — 7 лет, корешковый болевой синдром в правой ноге, вертеброгенная боль, мочевая кислота 626 мкмоль/л. КТ, МРТ — литическая деструкция задней колонны L3-5, преимущественно в правых отделах. Гистологическая верификация (биопсия задней колонны) — кристаллы МУН. Аллопуринол 200 мг/сут. | В обоих наблюдениях — купирование вертеброгенного и корешкового болевых синдромов |
Zheng Z.F. et al., 2015 [26] | 1 | Th1-5 | 56 лет, ДП — 12 лет, нижний парапарез (4 из 5 баллов), вертеброгенная боль, СРБ — 12,9 мг/л. СКТ, МРТ — интраканальное экстрадуральное образование Th3-4. Ламинэктомия Th1-5, ревизия эпидурального пространства, резекция образования. Аллопуринол. Гистологическая верификация — кристаллы МУН | Купирование болевого синдрома, положительная неврологическая динамика. |
Kim T. et al., 2017 [10] | 1 | L5 | 35 лет, ДП — 8 мес., корешковый и вертеброгенный болевой синдром. СКТ — деструкция корня дуги L5 слева, МРТ — интраканальное экстрадуральное образование фораминального отверстия L5-S1 слева. Гемиламинэктомия L5 слева, радикулолиз, удаление объемного образования. Гистологическая верификация — кристаллы МУН | Купирование вертеброгенного и корешкового болевых синдромов |
Ding Y. et al., 2017 [27] | 1 | Th9-11 | 36 лет, ДП — 2 года, нижний парапарез (3 из 5 баллов), вертеброгенная боль, мочевая кислота — 667 мкмоль/л. МРТ — интраканальное экстрадуральное образование Th9-10. Ламинэктомия Th9-10, ревизия эпидурального пространства, резекция образования. Гистологическая верификация — кристаллы МУН | Купирование болевого синдрома, в неврологическом статусе — без динамики |
Lu H. et al., 2017 [17] | 1 | L2-4 | 68 лет, ДП — 10 лет, нижний монопарез справа (4 из 5 баллов), вертеброгенная боль, мочевая кислота — 544,9 мкмоль/л, СРБ — 1,59 мг/л. МРТ — интраканальное экстрадуральное образование в проекции фораменального отверстия L4-5 справа. Трансфораменальная резекция межпозвонковых дисков L2-5, ревизия, санация эпидурального пространства, межтеловой спондилодез, транспедикулярная фиксация L2-5. Гистологическая верификация — кристаллы МУН | Купирование вертеброгенного болевого синдрома, положительная неврологическая динамика |
Ribeiro da Cunha P. et al., 2018 [20] | 1 | L3-4 | 77 лет, ДП — 6 мес., нижний парапарез (4 из 5 баллов), вертеброгенная боль. МРТ — интраканальное экстрадуральное образование L3-4. Ламинэктомия L3-4, ревизия эпидурального пространства, резекция образования. Гистологическая верификация — кристаллы МУН | Купирование вертеброгенного болевого синдрома, положительная неврологическая динамика |
Cheng C.W. et al., 2018 [6] | 1 | C4-Th3 | 23 года, ДП — 6 лет, нижний парапарез тип В ASIA, вертеброгенная боль, полиартрит, лейкоцитоз — 12,7×109/л, СРБ — 122,5 мг/л. МРТ — эпидурит C4-Th11. Многоуровневая ламинотомия, санация эпидурального пространства, парентеральная антибактериальная терапия (ванкомицин) 6 нед., преднизолон. Верификация — поляризующая микроскопия операционного материала, бактериологическая верификация S. warneri | Купирование болевого синдрома, положительная неврологическая динамика (усиление мышечной силы в нижних конечностях, вертикализация с использованием опоры) |
Dwarki K. et al., 2018 [28] | 1 | L3-5 | 26 лет, ДП — 4 месяца, нижняя параплегия тип А ASIA с нарушением функции тазовых органов, вертеброгенная боль. МРТ — эпидурит L3-5, абсолютный стеноз позвоночного канала L4-5, очаговая миелопатия Th8-9. Трепанобиопсия L4 и биопсия паравертебральных тканей под КТ-навигацией. Бактериологическое исследование отрицательно. Гистологическая верификация — кристаллы МУН. Эмпирическая антибактериальная терапия (ванкомицин, цефепим) 6 нед., колхицин 0,6 мг/сут., аллопуринол 100 мг/сут., преднизолон | Купирование болевого синдрома, в неврологическом статусе — без положительной динамики. Разрешение эпидурита на фоне эмпирической антибактериальной терапии |
Kao Y. et al., 2020 [15] | 1 | Th11-12 | 38 лет, ДП — 10 лет, вертеброгенная боль, парез межреберных мышц слева (вовлечение дерматомов Th10-12), мочевая кислота — 701 мкмоль/л, СРБ — 11 мг/л. СКТ, МРТ — стеноз позвоночного канала, дегенерация диска Th11-12. Ламинэктомия, фасетэктомия Th11-12, транспедикулярная фиксация. Гистологическая верификация — кристаллы МУН | Купирование болевого синдрома, сохранение пареза межреберных мышц слева. |
Mishra R. et al., 2020 [11] | 1 | Th10-11 | 33 года, нижний парапарез (3 из 5 баллов справа, 4 из 5 баллов слева), вертеброгенная боль, лейкоцитоз — 22,2×109/л, мочевая кислота —11,4 мкмоль/л. МРТ — интраканальное экстрадуральное образование Th10-11 с правосторонним расположением. Ламинэктомия Th9-11, ревизия эпидурального пространства, резекция образования. Гистологическая верификация — кристаллы МУН | Купирование болевого синдрома, нижний парапарез 4 из 5 баллов |
Romero A.B. et al., 2021 [31] | 1 | C2 | 82 года, ДП — 40 лет, тетрапарез тип С ASIA, вертеброгенная боль, провоцируемая движениями. СКТ — деструкция зуба С2, эпидуральный компонент, стеноз позвоночного канала. Противопоказания к хирургическому вмешательству со стороны сердечно-сосудистой системы. Иммобилизация, колхицин 0,6 мг/сут., аллопуринол 300 мг/сут. | Купирование болевого синдрома, тетрапарез тип С ASIA, летальный исход через 2 мес. после верификации диагноза в связи с сопутствующей патологией |
Thompson J.W. et al., 2021 [33] | 1 | С4-6, L4-5 | 71 год, ДП — 10 лет, синдром перемежающейся хромоты, вертеброгенный болевой синдром, тетрапарез с преимущественным снижением силы верхних конечностей (4 из 5 баллов), множественные периартикулярные тофусы, лейкоцитоз — 9,8×109/л, СРБ — 114 мг/л, мочевая кислота (>600 мкмоль/л). СКТ — интраканальное экстрадуральное образование С4-6. Биопсия акромиально-ключичного сочленения под ультразвуковой навигацией. Гистологическая верификация — кристаллы МУН. Колхицин 0,5 мг 2 раза в сут., аллопуринол 100 мг/сут., преднизолон | Купирование болевого синдрома, в неврологическом статусе — восстановление силы мышц конечностей. Нормализация уровня мочевой кислоты |
Koro L. et al., 2021 [35] | 1 | Th8-10 | 35 лет, нижняя параплегия тип А ASIA с нарушением функций тазовых органов, вертеброгенная боль, СРБ — 11 мг/л. МРТ — интраканальное экстрадуральное образование на уровне Th8-10. Ламинэктомия Th9-10, ревизия и санация эпидурального пространства. Гистологическая верификация — кристаллы МУН. Эмпирическая антибактериальная терапия (ванкомицин, цефепим) 6 нед. | Купирование болевого синдрома, положительная неврологическая динамика, восстановление двигательной функции нижних конечностей и тазовых органов спустя 3 мес. |
Chang P. et al., 2023 [35] | 1 | L4-5 | 47 лет, корешковый болевой синдром в правой ноге, вертеброгенная боль. МРТ — интраканальное экстрадуральное образование на уровне L4-5. Ламинэктомия L4-5, ревизия и санация эпидурального пространства, транспедикулярная фиксация L4-5. Гистологическая верификация — кристаллы МУН. Колхицин | Купирование болевого и неврологического синдромов |
Xian E.T.W. et al., 2023 [14] | 1 | L2-4 | 60 лет, нижний парапарез (4 из 5 баллов), вертеброгенная боль, лейкоцитоз — 23,02×109/л, мочевая кислота — 526 мкмоль/л, СРБ — 144 мг/л. МРТ — эпидурит L2-S1, интраканальное экстрадуральное образование на уровне L2-4. Ламинэктомия L2-S1, ревизия и санация эпидурального пространства. Колхицин 0,5 мг/сут., фебуксостат 80 мг/сут. Гистологическая верификация — кристаллы МУН | Купирование болевого и неврологического синдромов |
Jazaib Ali M.Y. et al., 2023 [21] | 1 | L4-5 | 67 лет, ДП — 20 лет, нижний парапарез (4 из 5 баллов), вертеброгенная боль. МРТ — стеноз позвоночного канала L4-5, гиперинтенсивный мягкотканный компонент в проекции остистых отростков на уровне L3-5 (параспинальное расположение). Ламинэктомия L3-5, ревизия и санация эпидурального пространства, резекция тофусов параспинальной локализации | Купирование болевого и неврологического синдромов |
* — диагностическая пауза от момента появления первых симптомов подагрического спондилоартрита до диагностики инфекционного спондилита; ** — нарушение функций тазовых органов.
Многообразие клинических форм поражения позвоночника при подагре подразумевает различные изменения, выявляемые при спондилографии, МРТ и CКТ [8, 9, 26, 27, 28]. Лучевая картина подагрического спондилоартрита неспецифична, схожа с проявлениями неспецифического спондилодисцита и эпидурита, однако в большинстве случаев отмечали многоуровневые интраканальные экстрадуральные образования с формированием стеноза позвоночного канала и мягкоготканные компоненты (тофусы) в проекции остистых отростков [13]. Особенности МР-диагностики сводятся к визуализации признаков уплотнения и неоднородности параартикулярных мягких тканей и эрозии фасеточных суставов с сопутствующим выпотом. МРТ позволяет обнаружить поражение межпозвонковых суставов, степень компрессии спинного мозга и его элементов, а также контролировать эффективность терапии подагры благодаря возможности оценивать размеры и количество тофусов в динамике [18].
Компьютерная томография (в сравнении с УЗИ и МРТ) позволяет более точно дифференцировать тофусные массы и оценить степень разрушения позвонков. Одну из первых работ по изучению лучевой картины тофусного поражения позвоночника провели R.M. Konatalapalli с соавторами [29]. В последующих работах было показано, что чувствительность CКТ при подагре составляет 87–90%, а его специфичность — 83–84% [30, 31]. В представленной нами клинической серии при CКТ и МРТ выявлены типичные признаки подагрического аксиального поражения позвоночника: эрозии субхондральных пластин позвонков и суставов, признаки депозитов уратов в виде тофусов, локализующиеся как внутрикостно, так и в области дугоотростчатых суставов и параартикулярных тканей.
Современные подходы к хирургическому лечению подагрических спондилоартритов заключаются в выполнении декомпрессивной ламинэктомии с одновременной ревизией позвоночного канала и удалением параартикулярных и эпидуральных тофусов [32, 33, 34, 35]. При наличии вертеброгенной нестабильности операция дополнялась транспедикулярной стабилизацией [13, 15, 17].
Избранная нами тактика ведения пациентов с инфекционными спондилитами на фоне подагры, включающая комбинацию хирургического лечения и консервативной гипоурикемической и этиотропной антибактериальной терапии согласуется с современными принципами лечения данной группы пациентов [4, 14, 27, 31]. При этом мы отдавали предпочтение 360° (в случаях наличия трехколонной деструкции) и 180° (в условиях изолированного поражения передней колонны) реконструкциям, что согласуется с опытом, накопленным в клинике и данными литературы.
В свою очередь тактика применения антибактерильной терапии, по данным литературы, базируется на эмпирическом подходе ввиду крайне низкой частоты верификации возбудителя, препаратами выбора являются трициклические гликопептиды (ванкомицин) и цефалоспорины 3–4-го поколения [6, 28, 34]. Необходимо отметить, что в отличие от данных литературы в исследуемой нами клинической серии бактериологическое исследование операционного послеоперационного материала позволило выявить различные штаммы золотистого и эпидермального стафилококка (в том числе 3 случая нозокомиальной инфекции: MRSA, MRSE) и назначить этиотропную антибактериальную терапию с учетом лекарственной чувствительности возбудителей.
ЗАКЛЮЧЕНИЕ
Сочетание хронического неспецифического спондилита и подагры является редкой и мало описанной в литературе патологией. Длительная терапевтическая пауза, хронический характер вертеброгенного болевого синдрома в сочетании с повышением уровня мочевой кислоты и образованием тофусов вертебральной локализации — отличительные особенности заболевания, выявленные в ходе анализа собственного клинического материала. Неврологические нарушения при сочетании спондилита и подагры возникают вследствие стеноза позвоночного канала по причине двух факторов — эпидуральных абсцессов и тофусов. Достижение локального контроля сочетанной патологии возможно при комбинации хирургического вмешательства и длительного приема гипоурикемических препаратов.
ДОПОЛНИТЕЛЬНАЯ ИНФОРМАЦИЯ
Источник финансирования. Авторы заявляют об отсутствии внешнего финансирования при проведении исследования.
Возможный конфликт интересов. Авторы декларируют отсутствие явных и потенциальных конфликтов интересов, связанных с публикацией настоящей статьи.
Этическая экспертиза. Не применима.
Информированное согласие на публикацию. Авторы получили письменное согласие пациентов на участие в исследовании и публикацию результатов.
DISCLAIMERS
Funding source. This study was not supported by any external sources of funding.
Disclosure competing interests. The authors declare that they have no competing interests.
Ethics approval. Not applicable.
Consent for publication. The authors obtained written consent from patients to participate in the study and publish the results.
About the authors
Arkadiy A. Vishnevskiy
St. Petersburg State Research Institute of Phthisiopulmonology
Email: vichnevsky@mail.ru
ORCID iD: 0000-0002-9186-6461
Dr. Sci. (Med.)
Russian Federation, St. PetersburgDenis G. Naumov
St. Petersburg State Research Institute of Phthisiopulmonology; St. Petersburg State University
Author for correspondence.
Email: dgnaumov1@gmail.com
ORCID iD: 0000-0002-9892-6260
Cand. Sci. (Med.)
Russian Federation, St. Petersburg; St. PetersburgMikhail M. Shchelkunov
St. Petersburg State Research Institute of Phthisiopulmonology
Email: mm.shelkunov1881@yandex.ru
ORCID iD: 0000-0002-6305-6023
Russian Federation, St. Petersburg
Tatiana A. Novitskaya
St. Petersburg State Research Institute of Phthisiopulmonology
Email: ta.novitskaya@spbniif.ru
ORCID iD: 0000-0001-5137-5126
Cand. Sci. (Med.)
Russian Federation, St. PetersburgReferences
- Эрдес Ш.Ф., Ребров А.П., Дубинина Т.В., Бадокин В.В., Бочкова А.Г., Бугрова О.В. и др. Спондилоартриты: современная терминология и определения. Терапевтический архив. 2019;91(5): 84-88. doi: 10.26442/00403660.2019.05.000208. Erdes Sh.F., Rebrov A.P., Dubinina T.V., Badokin V.V., Bochkova A.G., Bugrova O.V. et al. Spondyloarthritis: modern terminology and definitions. Therapeutic Archive. 2019;91(5):84-88. doi: 10.26442/00403660.2019.05.000208. (In Russian).
- Roddy E., Choi H.K. Epidemiology of gout. Rheum Dis Clin North Am. 2014;40(2):155-175. doi: 10.1016/j.rdc.2014.01.001.
- Елисеев М.С., Мукагова М.В., Смирнов А.Н., Раденска-Лоповок С.Г., Божьева Л.А., Барскова В.Г. Атипичная подагра: тофусное поражение позвоночника. Научно-практическая ревматология. 2013;51(5):586-589. doi: 10.14412/1995-4484-2013-1553. Eliseev M.S., Mukagova M.V., Smirnov A.V., Radenska-Lopovok S.G., Bozhyeva L.A., Barskova V.G. Atypical gout: spinal tophaceous injury. Rheumatology Science and Practice. 2013;51(5):586-589. (In Russian).
- Громова М.А., Цурко В.В. Новые рекомендации Американской коллегии ревматологов по ведению больных подагрой (2020). Комментарии к некоторым позициям. РМЖ. Медицинское обозрение. 2021; 5(2):89-95. doi: 10.32364/2587- 6821-2021-5-2-89-95. Gromova M.A., Tsurko V.V. New recommendations of the American College of Rheumatology for the patient management with gout (2020). Review on some points. Russian Medical Inquiry. 2021;5(2):89-95. (In Russian).
- Вишневский А., Кучинский К. Неспецифический остеомиелит позвоночника (НОП) у пациента с первичной подагрой на фоне синдрома Леша–Найхана (СЛН): описание клинического случая и обзор литературы. Гений ортопедии. 2020;26(1):103-107. doi: 10.18019/1028-4427-2020-26-1-103-107. Vishnevskii A., Kuchinskii K. Nonspecific osteomyelitis of the spine (NOS) in a patient with primary gout due to Lesch–Nyhan syndrome (LNS): case description and literature review. Genij Ortopedii. 2020;26(1): 103-107. oi: 10.18019/1028-4427-2020-26-1-103-107. (In Russian).
- Cheng C.W., Nguyen Q.T., Zhou H. Tophaceous gout of the cervical and thoracic spine with concomitant epidural infection. AME Case Rep. 2018;10(2):35. doi: 10.21037/acr.2018.07.01.
- Jegapragasan M., Calniquer A., Hwang W.D., Nguyen Q.T., Child Z. A case of tophaceous gout in the lumbar spine: a review of the literature and treatment recommendations. Evid Based Spine Care J. 2014;5(1): 52-56. doi: 10.1055/s-0034-1366979.
- Elgafy H., Liu X., Herron J. Spinal gout: A review with case illustration. World J Orthop. 2016;18;7(11):766-775. doi: 10.5312/wjo.v7.i11.766.
- Наумов Д.Г., Ткач С.Г., Мушкин А.Ю., Макогонова М.Е. Хронические инфекционные поражения шейного отдела позвоночника у взрослых: анализ моноцентровой когорты и данных литературы. Хирургия позвоночника. 2021;18(3):68-76. doi: 10.14531/ss2021.3.68-76. Naumov D.G., Tkach S.G., Mushkin A.Yu., Makogonova M.E. Chronic infectious lesions of the cervical spine in adults: monocentric cohort analysis and literature review. Russian Journal of Spine Surgery. 2021;18(3):68-76. doi: 10.14531/ss2021.3.68-76. (In Russian).
- Kim T., Kim B.J., Kim S.H., Lee S.H. Tophaceous gout in the lumbar spinal canal mimicking epidural spinal tumor. Korean J Spine. 2017;14(2):50-52. doi: 10.14245/kjs.2017.14.2.50.
- Mishra R., Panigrahi V.P., Adsul N., Jain S., Chahal R.S., Kalra K.L. et al. Tophaceous gout in thoracic spine mimicking meningioma: A case report and literature review. Surg Neurol Int. 2020;29(11):364. doi: 10.25259/SNI_515_2020.
- Наумов Д.Г., Вишневский А.А., Ткач С.Г., Аветисян А.О. Эхинококковое поражение шейно-грудного отдела позвоночника у беременной: клинический случай и обзор литературы. Травматология и ортопедия России. 2021;27(4):102-110. doi: 10.21823/2311-2905-1668. Naumov D.G., Vishnevskiy A.A., Tkach S.G., Avetisyan A.O. Spinal Hydatid Disease of Cervico-Thoracic in Pregnant Women: A Case Report and Review. Traumatology and Orthopedics of Russia. 2021;27(4):102-110. doi: 10.21823/2311-2905-1668. (In Russian).
- Yoon J.W., Park K.B., Park H., Kang D.H., Lee C.H., Hwang S.H. et al. Tophaceous gout of the spine causing neural compression. Korean J Spine. 2013;10(3):185-188. doi: 10.14245/kjs.2013.10.3.185.
- Xian E.T.W., Xian S.K.S., Ming Y.P. A unique presentation of acute tophaceous gout in the lumbar spine causing cauda equina syndrome. Radiol Case Rep. 2023;14;18(9):3341-3345. doi: 10.1016/j.radcr.2023.06.070.
- Kao Y., Wang Z., Leng J., Qu Z., Zhuang X., Ma H. et al. Thoracic gout tophus with abdominal wall protrusion: A case report. Medicine (Baltimore). 2020;99(10):e19348. doi: 10.1097/MD.0000000000019348.
- Kuo C.-F., Grainge M.J., Mallen C., Zhang W., Doherty M. Rising burden of gout in the UK but continuing suboptimal management: A nationwide population study. Ann Rheum Dis. 2015;74(4);661-667. doi: 10.1136/annrheumdis-2013-204463.
- Lu H., Sheng J., Dai J., Hu X. Tophaceous gout causing lumbar stenosis: A case report. Medicine (Baltimore). 2017;96(32):e7670. doi: 10.1097/MD.0000000000007670.
- Toprover M., Krasnokutsky S., Pillinger M.H. Gout in the spine: imaging, diagnosis, and outcomes. Curr Rheumatol Rep. 2015;17(12):70. doi: 10.1007/s11926-015-0547-7.
- Kersley G.D., Mandel L., Jeffrey M.R. Gout, an unusual case with softening and subluxation of the first cervical vertebra and splenomegaly: result of ACTH administration and eventual post-mortem findings. Ann Rheumat Dis. 1950;9(4):282-304. doi: 10.1136/ard.9.4.282.
- Ribeiro da Cunha P., Peliz A.J., Barbosa M. Tophaceous gout of the lumbar spine mimicking a spinal meningioma. Eur Spine J. 2018;27(4):815-819. doi: 10.1007/s00586-016-4831-7.
- Jazaib Ali M.Y., Hussain M. Case of lumbar spinal stenosis and chronic tophaceous gout. Surg Neurol Int. 2023;14:294. doi: 10.25259/SNI_504_2023.
- de Mello F.M., Helito P.V., Bordalo-Rodrigues M., Fuller R., Halpern A.S. Axial gout is frequently associated with the presence of current tophi, although not with spinal symptoms. Spine (Phila Pa 1976). 2014;39(25): E1531-1536. doi: 10.1097/BRS.0000000000000633.
- Pola E., Autore G., Formica V.M., Pambianco V., Colangelo D., Cauda R. et al. New classification for the treatment of pyogenic spondylodiscitis: validation study on a population of 250 patients with a follow-up of 2 years. Eur Spine J. 2017;26(Suppl 4):479-488. doi: 10.1007/s00586-017-5043-5.
- Fairbank J.C., Pynsent P.B. The Oswestry Disability Index. Spine (Phila Pa 1976). 2000;25(22):2940-2952. doi: 10.1097/00007632-200011150-00017.
- Prinz V., Vajkoczy P. Surgical revision strategies for postoperative spinal implant infections (PSII). J Spine Surg. 2020;6(4):777-784. doi: 10.21037/jss-20-514.
- Zheng Z.F., Shi H.L., Xing Y. et al. Thoracic cord compression due to ligamentum flavum gouty tophus: a case report and literature review. Spinal Cord. 2015;53(12):881-886. doi: 10.1038/sc.2015.93.
- Ding Y., Wang W., Jiang W., Zhang L., Wang T., Li Z. Tophaceous gout causing thoracic spinal cord compression: Case report and review of the literature. Neurochirurgie. 2018;64(3):171-176. doi: 10.1016/j.neuchi.2017.11.002.
- Dwarki K., Dothard A., Abadie B., Miles M.C. Rogue one: a story of tophaceous gout in the spine. BMJ Case Rep. 2018;bcr2017221163. doi: 10.1136/bcr-2017-221163.
- Konatalapalli R.M., Demarco P.J., Jelinek J.S., Murphey M., Gibson M., Jennings B. et al. Gout in the axial skeleton. J Rheumatol. 2009;36(3):609-613. doi: 10.3899/jrheum.080374.
- Ogdie A., Taylor W.J., Weatherall M., Fransen J., Jansen T.L., Neogi T. et al. Imaging modalities for the classification of gout: Systematic literature review and metaanalysis. Ann Rheum Dis. 2015;74(10):1868-1874. doi: 10.1136/annrheumdis-2014-205431
- Bongartz T., Glazebrook K.N., Kavros S.J., Murthy N.S., Merry S.P., Franz W.B. 3rd et al. Dual-energy CT for the diagnosis of gout: An accuracy and diagnostic yield study. Ann Rheum Dis. 2015;74(6):1072-1077. doi: 10.1136/annrheumdis-2013-205095.
- Romero A.B., Johnson E.P., Kirkpatrick J.S. Tophaceous gout of the atlantoaxial joint: a case report. J Med Case Reports. 2021;15(1):74. doi: 10.1186/s13256-020-02638-9.
- Thompson J.W., Srinivasan S., Makkuni D. Chronic tophaceous gout mimicking widespread metastasis. BMJ Case Rep. 2021;14(5):e236166. doi: 10.1136/bcr-2020-236166.
- Koro L., Khanna R., Richards D., Karahalios D.G. Gout in the thoracic spine causing acute paraplegia: illustrative case. J Neurosurg Case Lessons. 2021;2(9):CASE21308. doi: 10.3171/CASE21308.
- Chang P., Rogowski B.C., Aziz K.A., Bharthi R., Valls L., Esplin N. et al. Foraminal stenosis and radiculopathy secondary to tophaceous gout: illustrative case. J Neurosurg Case Lessons. 2023;6(26):CASE23298. doi: 10.3171/CASE23298.
Supplementary files






