Двустороннее тотальное эндопротезирование коленных суставов с выраженной гиперэкстензией в резидуальном периоде полиомиелита с применением компьютерной навигации: клинический случай
- Авторы: Мурылев В.Ю.1,2, Алексеев С.С.2, Куковенко Г.А.1,2, Елизаров П.М.1,2, Голубкин Д.О.1, Музыченков А.В.1,2
-
Учреждения:
- ФГАОУ ВО «Первый Московский государственный медицинский университет им. И.М. Сеченова (Сеченовский Университет)» Минздрава России
- ГБУЗ «Городская клиническая больница им. С.П. Боткина» Департамента здравоохранения г. Москвы
- Выпуск: Том 30, № 4 (2024)
- Страницы: 114-123
- Раздел: Случаи из практики
- Дата подачи: 05.02.2024
- Дата принятия к публикации: 19.06.2024
- Дата публикации: 18.12.2024
- URL: https://journal.rniito.org/jour/article/view/17454
- DOI: https://doi.org/10.17816/2311-2905-17454
- ID: 17454
Цитировать
Полный текст
Аннотация
Актуальность. Тотальное эндопротезирование коленного сустава у пациентов в резидуальном периоде полиомиелита является сложной технической задачей в связи с анатомическими особенностями и обусловленными этим сложностями при выборе имплантата.
Целью публикации является демонстрация успешного эндопротезирования коленных суставов у пациента с выраженной гиперэкстензией и вальгусной деформацией в резидуальном периоде полиомиелита под контролем навигационной системы.
Описание случая. Представлен клинический случай лечения пациента 55 лет с нижним периферическим парапарезом конечностей в результате перенесенного полиомиелита, двусторонним гонартрозом сопровождающимся вальгусной деформацией и выраженной гиперэкстензией. Пациент передвигался с костылями на расстояние не более 300 м. В два этапа были выполнены операции эндопротезирования коленных суставов с применением навигационной системы и установкой ротационно-связанных имплантатов второго поколения. Через 4 года достигнут хороший клинический результат, пациент удовлетворен результатами операции.
Заключение. Нам удалось добиться хороших результатов эндопротезирования у пациента с двусторонней выраженной гиперэкстензией и вальгусной деформацией коленных суставов в резидуальном периоде полиомиелита благодаря использованию разработанного способа установки ротационно-связанного эндопротеза второго поколения под контролем навигационной системы.
Полный текст
ВВЕДЕНИЕ
Полиомиелит — острое инфекционное вирусное заболевание, проявляющееся различными клиническими формами. Несмотря на то, что заболевание возникает только у непривитых и в большинстве случаев инфекция протекает бессимптомно, наиболее характерной и тяжелой является его паралитическая форма, проявляющаяся вялыми парезами нижних конечностей. Именно пациенты в резидуальном периоде спинальной паралитической формы полиомиелита представляют наибольший интерес для ортопедической практики [1]. У них часто встречаются нестабильная вальгусная деформация, наружная ротация и выраженная рекурвация голени, подвывих или вывих надколенника, а также внесуставная деформация бедренных и большеберцовых костей. Эти анатомические особенности в совокупности с нейромышечным дефицитом квадрицепса и связочной нестабильностью формируют сложную техническую задачу. На ранних стадиях лечения последствий полиомиелита возможна коррекция за счет пластики связок и коррекционной остеотомии, однако по мере развития артроза с болевым синдромом методом выбора становится тотальное эндопротезирование коленного сустава [2]. Целесообразность применения данного метода у пациентов в резидуальном периоде полиомиелита до сих пор остается дискуссионной ввиду возможных плохих функциональных результатов и высоких рисков рецидива нестабильности и рекурвации.
Целью публикации является демонстрация успешного эндопротезирования коленных суставов у пациента с выраженной гиперэкстензией и вальгусной деформацией в резидуальном периоде полиомиелита под контролем навигационной системы.
Описание клинического случая
Анамнез. Мужчина, родившийся в Перу в 1964 г., переболел спинальной паралитической формой полиомиелита в возрасте двух лет. В резидуальном периоде у пациента наблюдалась картина нижнего периферического парапареза нижних конечностей. В возрасте 14 лет пациенту проводились реконструктивные операции на связках голеностопных суставов. В 1986 г. выполнено артродезирование левого голеностопного сустава. С 1980-х гг. пациент отмечал появление болей и чувства нестабильности в коленных суставах при ходьбе. С 2000 г. стремительно прогрессировали рекурвантная деформация коленных суставов и вальгусная деформация, болевой синдром и чувство нестабильности в коленных суставах. В этот же период пациент стал испытывать выраженные трудности при ходьбе по лестнице, при пользовании общественным транспортом, применял обезболивающие средства 1–2 раза в неделю, использовал при ходьбе трость. С 2012 г. пациент был вынужден использовать при ходьбе дополнительную опору — два подмышечных костыля, полностью отказался от ходьбы по лестнице и перестал пользоваться общественным транспортом. На момент обращения в июле 2019 г. в возрасте 55 лет пациент ежедневно принимал обезболивающие препараты и мог пройти без отдыха не более 300 м.
При поступлении. В сентябре 2019 г. пациент был госпитализирован для проведения первым этапом оперативного вмешательства на правом коленном суставе. У пациента отмечалась двусторонняя фиксированная вальгусная деформация нижних конечностей около 5–7° на уровне коленных суставов с двусторонней гиперэкстензией, увеличивающейся при нагрузке до 40°, таким образом, объем движений в коленных суставах составлял -40...0...110°. При ходьбе он вынужденно блокировал коленные суставы в положении гиперэкстензии, что типично для пациентов с парезом нижних конечностей после перенесенного полиомиелита (рис. 1).
Рис. 1. Внешний вид пациента до операции
Figure 1. The patient’s appearance before surgery
Пассивное сгибание в коленных суставах ограничено не было и достигало 130°, активное сгибание — 110°. Сила четырехглавых мышц бедра с обеих сторон оценивалась в 2 балла из 5 по общепринятой клиническими неврологами системе Medical Research Council Scale (MRC) [3], что означает возможность полного объема движений только после устранения силы тяжести (конечность помещается на опору). В правом голеностопном суставе — полное отсутствие активных и пассивных движений, в левом — объем пассивных движений в пределах 5°, активные движения отсутствовали. Рентгенологически у пациента отмечался двусторонний гонартроз 3 ст., вальгусная деформация нижних конечностей на уровне коленных суставов (справа и слева около 10°), ограниченные дефекты латеральных мыщелков обеих большеберцовых костей, диспластические изменения мыщелков бедренных и большеберцовых костей, надколенника (рис. 2). Итоговый показатель по адаптированной шкале Knee Society Score (KSS) [4] составлял 25 баллов.
Рис. 2. Полноразмерные снимки нижних конечностей с нагрузкой до операции
Figure 2. Full-length X-rays of the lower extremeties under load before surgery
Первый этап операции. 04.09.2019 г. было выполнено оперативное лечение — эндопротезирование правого коленного сустава с использованием навигационной системы фирмы Stryker. Учитывая особенности пациентов с нейромышечным дефицитом после перенесенного полиомиелита, данные предоперационного обследования и опыт эндопротезирования таких пациентов, описанный в литературе, в качестве планируемого имплантата был выбран Zimmer Rotation Hinge Knee (Zimmer Biomet, США). При оценке исходного состояния коленного сустава в начале операции, согласно данным навигации, вальгусная деформация составляла 2°, гиперэкстензия — до 35°, максимальное сгибание — до 129°(рис. 3).
Рис. 3. Данные компьютерной навигации демонстрируют величину деформации, переразгибания и амплитуды движений перед выполнением первого этапа хирургического лечения
Figure 3. Computer navigation data demonstrate the magnitude of deformity, hyperextension and range of motion before the first stage of the surgical treatment
Принимая во внимание технические характеристики выбранного имплантата, в процессе операции поэтапно были осуществлены дистальный опил бедренной кости и проксимальный опил большеберцовой кости под контролем навигационной системы и с проверкой величины разгибательного и сгибательного промежутков стандартным инструментарием. Таким образом, резекция бедренной кости достигла 10 мм для внутреннего мыщелка и 5 мм для наружного, начиная с величины 6 и 1 мм соответственно. Наклон опила составил 7,5° гиперэкстензии в сагиттальной плоскости. Аналогичным образом была выполнена проксимальная резекция большеберцовой кости — 9 мм с наружного мыщелка и 7 мм с внутреннего, поэтапно увеличиваясь с величины 7 мм и 5 мм соответственно. В сагиттальной плоскости опил большеберцовой кости был выполнен в положении 6° переднего наклона (рис. 4).
Рис. 4. Данные компьютерной навигации после окончательной резекции дистального отдела бедренной кости и проксимального отдела большеберцовой кости
Figure 4. Computer navigation data after final resection of the distal femur and proximal tibia
Размеры компонентов и стержней эндопротеза компонентов были определены при помощи стандартного инструментария фирмы-производителя имплантата и данных компьютерной навигации интраоперационно. Положение компонентов в аксиальной плоскости было определено по данным компьютерной навигации согласно выбранным анатомическим ориентирам. В результате по данным навигационный карты имплантат был установлен с уровнем максимальной гиперэкстензии 16,5° и максимальным сгибанием до 109° при средней вальгусной деформации 4° (рис. 5).
Рис. 5. Окончательные данные компьютерной навигации после установки имплантата при эндопротезировании правого коленного сустава
Figure 5. Final computer navigation data after implant installation during right knee arthroplasty
С учетом того, что опилы бедренной и большеберцовой костей во фронтальной плоскости были выполнены по данным компьютерной навигации, итоговая вальгусная деформация нижней конечности была определена внесуставной деформацией костей, образующих коленный сустав. Итоговое время операции составило 2 ч. 42 мин., интраоперационная кровопотеря — 600 мл.
Послеоперационный период. Пациент был активизирован с дополнительной опорой на ходунки с дозированной нагрузкой на оперированную ногу до 25% на 2-е сут. после операции (рис. 6). Осуществлялись регулярные перевязки с оценкой течения раневого процесса, контроль данных лабораторных анализов и коррекция анемии, белкового и электролитного статуса по результатам обследования, стандартная антибактериальная профилактика. Проводилась разработка активных и пассивных движений в прооперированном суставе с применением лечебной физкультуры, аппаратной разработки, применялись физиотерапевтические методы лечения. Послеоперационная рана зажила первичным натяжением. Пациент был выписан на амбулаторный этап лечения в стандартные сроки с рекомендациями по двигательной активности. Через 10 нед. с момента операции пациенту были выполнены контрольные рентгенограммы, оценка объективного и субъективного статуса пациента по результатам первой операции. По данным проведенного обследования рентгенологическая картина соответствовала срокам после операции, объем пассивных движений составлял 15...0...110°, объем активных движений был определен нейромышечным дефицитом. Субъективно пациент положительно оценивал результат операции, отмечал возросшую опороспособность оперированной конечности при сохраняющихся жалобах со стороны правой нижней конечности. В связи с этим было принято решение о проведении второго этапа операции в ближайшие сроки.
Рис. 6. Внешний вид пациента на 3-и сутки после первого этапа операции
Figure 6. The patient’s appearance on the 3rd day after the first stage of the surgery
Второй этап операции. В декабре 2019 г. был выполнен второй этап операции на левом коленном суставе. Операция проводилась под контролем навигационной системы фирмы Stryker с установкой имплантата Zimmer Rotation Hinge Knee по аналогии с первым этапом операции. Исходное состояние коленного сустава в начале операции, согласно данным навигации, было представлено вальгусной деформацией от 5 до 9° (с учетом выполненного релиза), гиперэкстензией до 38° при максимальном сгибании до 148° (рис. 7).
Рис. 7. Данные компьютерной навигации демонстрируют величину деформации, переразгибания и амплитуды движений перед выполнением второго этапа хирургического лечения
Figure 7. Computer navigation data demonstrate the magnitude of deformity, hyperextension and range of motion before the second stage of the surgical treatment
Принимая во внимание опыт первой операции и результаты оценки деформации по данным компьютерной навигации, была выполнена резекция во фронтальной и сагиттальной плоскостях. Резекция составила 10 мм для медиального и 5 мм для латерального мыщелков бедренной кости при наклоне в 7,5° в положении гиперэкстензии. Был выполнен симметричный проксимальный опил большеберцовой кости по 7 мм с каждого мыщелка с формированием переднего наклона 7,5° в сагиттальной плоскости (рис. 8). Размеры компонентов и стержней также были определены при помощи стандартного инструментария фирмы-производителя имплантата и данных компьютерной навигации по ходу операции. Положение компонентов в аксиальной плоскости также было выбрано по данным компьютерной навигации. В результате имплантат был установлен с уровнем максимальной гиперэкстензии 11° и максимальным сгибанием 123° при средней вальгусной деформации 6,5° (рис. 9). Итоговое время операции составило 1 ч. 54 мин., интраоперационная кровопотеря — 400 мл.
Рис. 8. Навигационные данные окончательной резекции дистального отдела бедренной кости и проксимального отдела большеберцовой кости при проведении второго этапа операции
Figure 8. Computer navigation data on final resection of the distal femur and proximal tibia at the second TKA stage
Рис. 9. Окончательные данные компьютерной навигации после установки имплантата при эндопротезировании левого коленного сустава
Figure 9. Final computer navigation data after implant installation during left knee arthroplasty
Послеоперационный период после второго этапа был проведен аналогично предыдущему. Течение раневого процесса и активизация проходили соответственно срокам и объему проведенного оперативного вмешательства. Пациент был выписан на амбулаторный этап лечения, рана зажила первичным натяжением, швы сняты в стандартные сроки (рис. 10). В сроки 3, 6, 12 мес. и далее раз в год после операции пациенту выполняли контрольные рентгенограммы, оценивали его объективный и субъективный статуса.
Рис. 10. Телерентгенограммы пациента после второго этапа операции
Figure 10. The patient’s long film X-rays after the second stage of the surgery
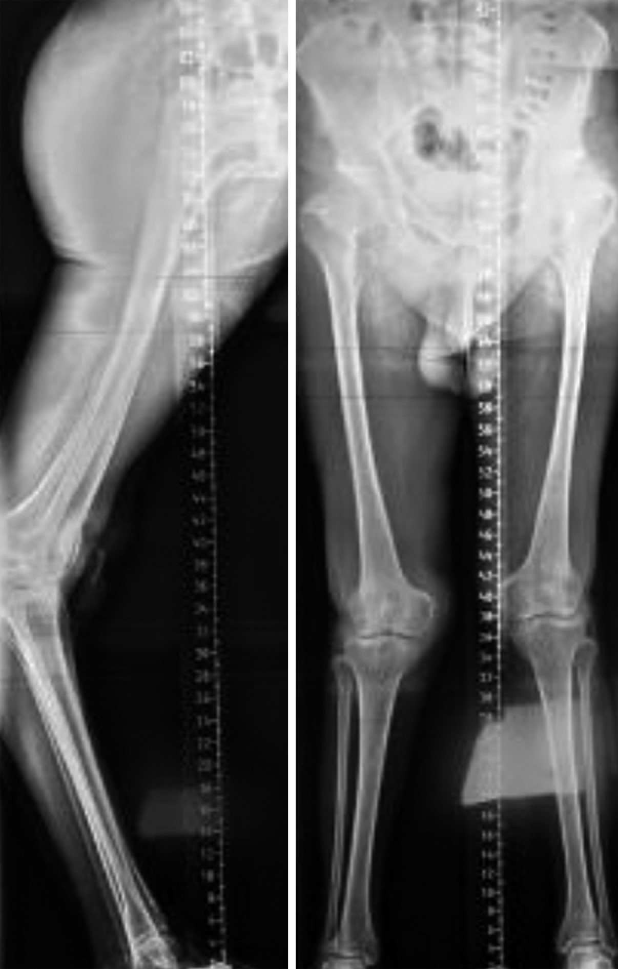
На момент написания данного материала сроки наблюдения составляли 4 года (рис. 11). Пациент ходит с полной нагрузкой. Амплитуда пассивных движений в обоих коленных суставах составляет около 130°. Рецидивов нестабильности и гиперэкстензии не наблюдается. В качестве дополнительной опоры пациент использует трость при длительных прогулках. Походка соответствует стереотипу для пациентов с гиперэкстензией вследствие перенесенного полиомиелита, однако он может передвигаться без дополнительной опоры в помещении.
Рис. 11. Ренгтенограммы через 4 года с момента второго этапа операции
Figure 11. X-rays taken over a period of 4 years after the second stage of the surgery
Субъективно пациент оценивает результаты проведенных операций как отличные. При оценке по опроснику KSS сумма баллов составляет 88, что также соответствует отличным результатам.
При попытке опоры на ногу без блокирования в положении гиперэкстензии пациент вынужденно падает ввиду нейромышечного дефицита. Однократно на сроке 6 мес. после второго этапа операции это привело к гемартрозу, краевому перелому надколенника. Пациент обратился за неотложной помощью — была выполнена лечебно-диагностическая пункция и рекомендована консервативная терапия, в том числе иммобилизация коленного сустава ортезом в течение 3 нед. На фоне проведенного лечения пациент вернулся к прежнему уровню двигательной активности.
ОБСУЖДЕНИЕ
Эндопротезирование коленного сустава у пациентов, перенесших полиомиелит, является методом выбора при лечении гонартроза с нестабильностью и болевым синдромом и также крайне сложной технической задачей [2, 5, 6, 7, 8, 9]. Помимо нестандартной внтурисуставной деформации коленного сустава и внесуставной деформации костей нижней конечности, для данных пациентов характерны диспластические изменения суставных поверхностей коленного сустава, нестабильность и рекурвация. Согласно данным систематического обзора A. Prasad с соавторами, опубликованного в 2018 г., частота ревизий после эндопротезирования коленного сустава у пациентов в резидуальной стадии полиомиелита составила 7% в течение 6 лет после операции [2].
Рекурвантная деформация коленного сустава встречается только у 0,5–1,0% пациентов с гонартрозом. Чаще всего рекурвация голени или гиперэкстензия коленного сустава встречаются пациентов с вальгусными деформациями и слабостью связок, ревматоидным артритом, предшествующей остеотомией большеберцовой кости и при нервно-мышечных заболеваниях, таких как полиомиелит. При тотальном эндопротезировании коленного сустава рекурвация может сопровождаться вальгусной или варусной деформацией, передним наклоном большеберцового плато и медиолатеральной нестабильностью, что может значительно затруднять достижение баланса в оперированном суставе и приводить к рецидиву рекурвантной деформации [10].
На разных этапах развития эндопротезирования хирурги предлагали различные способы решения этой задачи. В 1990 г. K.A. Krackow и А.P. Weiss продемонстрировали способ коррекции рекурвации при эндопротезировании пациентов с полиомиелитом за счет заднего трансфера бедренных точек фиксации коллатеральных связок, при этом устанавливали как заднестабилизированные, так и связанные имплантаты. Однако данный метод требует длительной иммобилизации в послеоперационном периоде и сопряжен с высоким риском ятрогенных интраоперационных осложнений [11].
В последующем, по мере изучения данной проблемы наиболее важным вопросом стал выбор дизайна и степени связанности имплантата. У пациентов с рекурвацией вследствие полиомиелита голени формируется определенный стереотип походки, при котором они вынуждены «блокировать» колено в гиперэкстензии ввиду выраженного снижения силы квадрицепса, что значительно ограничивает применение ротационно-связанных конструкций. Также их применение может быть затруднено в связи с необходимостью использования стержней у пациентов с внесуставной деформацией каналов. При этом применение варус-вальгус-связанных, заднестабилизированных имплантатов и эндопротезов с сохранением задней крестообразной связки может приводить к рецидиву рекурвации в послеоперационном периоде и прогрессирующему ухудшению функции [5, 6, 7, 8, 9].
B.M. Patterson и J.N. Insall описали 9 клинических случаев применения заднестабилизированных и варус-вальгус-связанных имплантатов в сочетании с минимальной дистальной резекцией бедренной кости для уменьшения величины разгибательного промежутка. В данном исследовании у трех из четырех пациентов с рекурвацией голени в послеоперационном периоде произошел рецидив, и в одном случае потребовалась ревизия с установкой ротационного-связанного имплантата, что в последующем привело к хорошему функциональному результату со сроком наблюдения в 8 лет [5].
M.C. Moran представил клинический случай использования двух дистальных металлических блоков-аугментов по 6 мм бедренного компонента в сочетании с минимальной дистальной резекцией бедренной кости у пациентки с рекурвацией голени 40°. Несмотря на то, что данный метод гораздо безопаснее трансфера связок и гиперэкстензия была успешно скорректирована и не рецидивировала к моменту публикации (срок наблюдения 2 года), результат операции оставлял желать лучшего. Причиной этому послужило ухудшение функционального статуса за счет невозможности блокировать коленный сустав в положении гиперэкстензии, уменьшения максимального сгибания в коленном суставе с 110 до 60° и относительного удлинения оперированной конечности на 1,5 см с необходимостью компенсации [6].
Другая группа авторов продемонстрировала серию из 17 операций эндопротезирования коленного сустава у 15 пациентов с последствиями полиомиелита. В 8 случаях были установлены варус-вальгус-связанные имплантаты по таким показаниям, как тяжелые вальгусные деформации, вальгусные деформации с плохим функциональным статусом, несостоятельность медиальной коллатеральной связки, нестабильность коленного сустава. При отсутствии этих показаний устанавливали заднестабилизированные имплантаты — также 8 случаев. Еще в одном случае был установлен ротационно-связанный имплантат, так как в процессе операции не удалось добиться стабильности за счет имплантации менее связанных конструкций. На среднем сроке наблюдения в 41,5 мес. в 95% случаев у прооперированных пациентов были зарегистрированы отличные и очень хорошие клинико-функциональные и рентгенологические результаты. По шкале KSS отмечалось улучшение с 33 (10–45) до 85 (73–92) баллов. Стоит отметить, что в данной выборке выраженная рекурвантная деформация была только у одного пациента [7].
Применение связанных имплантатов первого поколения продемонстрировало разочаровывающие функциональные результаты и высокую частоту раннего асептического расшатывания [12]. Помимо этого, дизайн этих имплантатов не допускает переразгибания, в связи с чем их применение у пациентов с нейромышечным дефицитом квадрицепса было недопустимым. Однако с появлением ротационно-связанных имплантатов второго поколения ситуация кардинально изменилась.
В 2009 г. итальянские исследователи опубликовали статью, в которой подробно описали проблемы «блокирования» сустава при ходьбе у пациентов с последствиями полиомиелита и рецидива рекурвантной деформации после эндопротезирования. Принимая во внимание опыт предыдущих публикаций, они предложили методику установки ротационно-связанных имплантатов второго поколения с сохранением гиперэкстензии в коленном суставе около 3°. Данный метод позволил надежно предотвратить рецидив рекурвации в сочетании с сохранением способности «блокировать» сустав при ходьбе. У пяти из семи пациентов, которым была проведена такая операция, отмечались отличные результаты на сроке наблюдения от 2 до 8,5 лет [8].
J. Rahman с соавторами в 2014 г. продемонстрировали впечатляющие результаты применения модифицированной ротационно-связанной системы второго поколения. Суть модификации заключается в пятиградусной гиперэкстензии, заложенной в конструкцию эндопротеза. Методика была применена в 14 операциях у 13 пациентов. На средних сроках наблюдения в 72 мес. у пациентов не отмечалось рентгенологических признаков расшатывания. Ревизия была выполнена в одном случае по поводу перипротезного перелома. Несмотря на то, что средние показатели субъективной оценки пациентами своего статуса по опроснику OKS выросли с 10,6 до 30,7 баллов, авторы отметили, что объективно оценить функциональный статус пациентов невозможно ввиду того, что 6 из 13 пациентов продолжили использовать инвалидное кресло для передвижения, хотя 12 из 13 пациентов были «удовлетворены» и «очень удовлетворены» результатами операции [9].
Изобретение и внедрение в практику компьютерной навигации позволило добиться более предсказуемых результатов тотального эндопротезирования коленного сустава. Навигационные системы позволяют лучше сбалансировать промежутки, оценить величину и выполнить более точные опилы как по высоте, так и во фронтальной плоскости, определить положение компонентов в аксиальной плоскости, и, следовательно, лучше подобрать размеры имплантируемых компонентов. Так, A. Mullaji с соавторами проанализировали результаты 45 операций тотального эндопротезирования с компьютерной навигацией коленного сустава у 41 пациента с рекурвацией в дооперационном периоде. Средняя рекурвантная деформация была скорректирована с 11° (от 6° до 15°) до средней сгибательной деформации 3,1° (от 0° до 7°). На среднем сроке наблюдения в 26,4 мес. авторами сообщается о значительном улучшении средних показателей по шкале KSS и отсутствии рецидива рекурвации [10].
Обобщив описанные в литературе подходы к эндопротезированию пациентов, перенесших полиомиелит, а также пациентов с рекурвантной деформацией и принимая во внимание большой опыт применения компьютерной навигации, нами был сформирован план оперативного лечения, описанный в данном клиническом случае. Компьютерная навигация позволила поэтапно осуществлять резекцию костей, формируя, таким образом, должные промежутки. Она также позволила сформировать передней наклон большеберцового плато и опил в гиперэкстензии бедренной кости, установить стержни с учетом внесуставной деформации и в итоге установить ротационно-связанный имплантат второго поколения в таком положении гиперэкстензии, которое позволяет пациенту комфортно передвигаться и не приводит к рецидиву рекурвации.
Рентгенологическая картина, объективный статус, уровень двигательной активности, результат субъективной оценки по опроснику KSS и общая удовлетворенность пациента результатами операций на сроке наблюдения в 4 года можно считать успешным клиническим опытом.
ЗАКЛЮЧЕНИЕ
В представленном случае из практики нам удалось добиться хороших результатов эндопротезирования у пациента с двусторонней выраженной гиперэкстензией и вальгусной деформацией коленных суставов в резидуальном периоде полиомиелита. Проанализировав имеющиеся в мировой литературе данные, посвященные этой проблеме, был сформирован оригинальный способ установки ротационно-связанного эндопротеза коленного сустава второго поколения под контролем навигационной системы. Описанный в представленном клиническом случае способ может быть эффективным решением в лечении пациентов с гонартрозом в резидуальном периоде полиомиелита.
ДОПОЛНИТЕЛЬНАЯ ИНФОРМАЦИЯ
Заявленный вклад авторов
Все авторы сделали эквивалентный вклад в подготовку публикации.
Все авторы прочли и одобрили финальную версию рукописи статьи. Все авторы согласны нести ответственность за все аспекты работы, чтобы обеспечить надлежащее рассмотрение и решение всех возможных вопросов, связанных с корректностью и надежностью любой части работы.
Источник финансирования. Авторы заявляют об отсутствии внешнего финансирования при проведении исследования.
Возможный конфликт интересов. Авторы декларируют отсутствие явных и потенциальных конфликтов интересов, связанных с публикацией настоящей статьи.
Этическая экспертиза. Не применима.
Информированное согласие на публикацию. Авторы получили письменное согласие пациента на публикацию медицинских данных и изображений.
DISCLAIMERS
Author contribution
All authors made equal contributions to the study and the publication.
All authors have read and approved the final version of the manuscript of the article. All authors agree to bear responsibility for all aspects of the study to ensure proper consideration and resolution of all possible issues related to the correctness and reliability of any part of the work.
Funding source. This study was not supported by any external sources of funding.
Disclosure competing interests. The authors declare that they have no competing interests.
Ethics approval. Not applicable.
Consent for publication. Written consent was obtained from the patient for publication of relevant medical information and all of accompanying images within the manuscript.
Об авторах
Валерий Юрьевич Мурылев
ФГАОУ ВО «Первый Московский государственный медицинский университет им. И.М. Сеченова (Сеченовский Университет)» Минздрава России; ГБУЗ «Городская клиническая больница им. С.П. Боткина» Департамента здравоохранения г. Москвы
Автор, ответственный за переписку.
Email: nmuril@yandex.ru
ORCID iD: 0000-0001-5753-8926
д-р мед. наук, профессор
Россия, г. Москва; г. МоскваСемён Сергеевич Алексеев
ГБУЗ «Городская клиническая больница им. С.П. Боткина» Департамента здравоохранения г. Москвы
Email: semen.alekseev.92@mail.ru
ORCID iD: 0000-0001-7599-7472
канд. мед. наук
Россия, г. МоскваГригорий Андреевич Куковенко
ФГАОУ ВО «Первый Московский государственный медицинский университет им. И.М. Сеченова (Сеченовский Университет)» Минздрава России; ГБУЗ «Городская клиническая больница им. С.П. Боткина» Департамента здравоохранения г. Москвы
Email: gkukovenko@gmail.com
ORCID iD: 0000-0001-6700-0222
канд. мед. наук
Россия, г. Москва; г. МоскваПавел Михайлович Елизаров
ФГАОУ ВО «Первый Московский государственный медицинский университет им. И.М. Сеченова (Сеченовский Университет)» Минздрава России; ГБУЗ «Городская клиническая больница им. С.П. Боткина» Департамента здравоохранения г. Москвы
Email: elizarov_07@mail.ru
ORCID iD: 0000-0002-0217-2434
канд. мед. наук
Россия, г. Москва; г. МоскваДмитрий Олегович Голубкин
ФГАОУ ВО «Первый Московский государственный медицинский университет им. И.М. Сеченова (Сеченовский Университет)» Минздрава России
Email: dima.golubkin02@yandex.ru
ORCID iD: 0000-0003-3293-0918
SPIN-код: 9844-1389
Россия, г. Москва
Алексей Владимирович Музыченков
ФГАОУ ВО «Первый Московский государственный медицинский университет им. И.М. Сеченова (Сеченовский Университет)» Минздрава России; ГБУЗ «Городская клиническая больница им. С.П. Боткина» Департамента здравоохранения г. Москвы
Email: amuzychenkov@inbox.ru
ORCID iD: 0000-0002-3933-672X
канд. мед. наук
Россия, г. Москва; г. МоскваСписок литературы
- Дроздов С.Г., Иванова О.Е. Полиомиелит. Вопросы вирусологии. 2013;(1):76-90. Drozdov S.G., Ivanova O.E. Poliomyelitis. Problems of Virology. 2013;(1):76-90. (In Russian).
- Prasad A., Donovan R., Ramachandran M., Dawson-Bowling S., Millington S., Bhumbra R. et al. Outcome of total knee arthroplasty in patients with poliomyelitis: A systematic review. EFORT Open Rev. 2018 (6):358-362. doi: 10.1302/2058-5241.3.170028.
- Compston A. Aids to the investigation of peripheral nerve injuries. Medical Research Council: Nerve Injuries Research Committee. His Majesty’s Stationery Office: 1942; pp. 48 (iii) and 74 figures and 7 diagrams; with aids to the examination of the peripheral nervous system. By Michael O’Brien for the Guarantors of Brain. Saunders Elsevier: 2010; pp. [8] 64 and 94 Figures. Brain. 2010;133(10):2838-2844. doi: 10.1093/brain/awq270.
- Иржанский А.А., Куляба Т.А., Корнилов Н.Н. Валидация и культурная адаптация шкал оценки исходов заболеваний, повреждений и результатов лечения коленного сустава WOMAC, KSS и FJS-12. Травматология и ортопедия России. 2018;24(2):70-79. doi: 10.21823/2311-2905-2018-24-2-70-79. Irzhanski A.A., Kulyaba T.A., Kornilov N.N. Validation and cross-cultural adaptation of Rating Systems WOMAC, KSS and FJS-12 in patients with knee disorders and Injuries. Traumatology and Orthopedics of Russia. 2018;24(2):70-79. (In Russian). doi: 10.21823/2311-2905-2018-24-2-70-79.
- Patterson B.M., Insall J.N. Surgical management of gonarthrosis in patients with poliomyelitis. J Arthroplasty. 1992; (7) Suppl:419-426. doi: 10.1016/s0883-5403(07)80034-9.
- Moran M.C. Functional loss after total knee arthroplasty for poliomyelitis. Clin Orthop Relat Res. 1996;(323): 243-246. doi: 10.1097/00003086-199602000-00033.
- Jordan L., Kligman M., Sculco T.P. Total knee arthroplasty in patients with poliomyelitis. J Arthroplasty. 2007;22(4):543-548. doi: 10.1016/j.arth.2006.03.013.
- Tigani D., Fosco M., Amendola L., Boriani L. Total knee arthroplasty in patients with poliomyelitis. Knee. 2009;16(6):501-506. doi: 10.1016/j.knee.2009.04.004.
- Rahman J., Hanna S.A., Kayani B., Miles J., Pollock R.C., Skinner J.A. et al. Custom rotating hinge total knee arthroplasty in patients with poliomyelitis affected limbs. Int Orthop. 2015;39(5):833-838. doi: 10.1007/s00264-014-2572-y.
- Mullaji A., Lingaraju A.P., Shetty G.M. Computer-assisted total knee replacement in patients with arthritis and a recurvatum deformity. J Bone Joint Surg Br. 2012; 94(5):642-647. doi: 10.1302/0301-620X.94B5.27211.
- Krackow K.A., Weiss A.P. Recurvatum deformity complicating performance of total knee arthroplasty. A brief note. J Bone Joint Surg Am. 1990;72(2):268-271.
- Barrack R.L. Evolution of the rotating hinge for complex total knee arthroplasty. Clin Orthop Relat Res. 2001;(392):292-299. doi: 10.1097/00003086-200111000-00038.
Дополнительные файлы















