Mucous Cysts of Fingers: Diagnostics and Treatment Mistakes
- Authors: Chulovskay I.G.1, Egiazaryan K.A.1, Kosmynin V.S.1, Zharov D.S.1, Titov A.A.1
-
Affiliations:
- Pirogov Russian National Research Medical University
- Issue: Vol 30, No 1 (2024)
- Pages: 14-24
- Section: СLINICAL STUDIES
- Submitted: 27.12.2023
- Accepted: 20.02.2024
- Published: 31.03.2024
- URL: https://journal.rniito.org/jour/article/view/17433
- DOI: https://doi.org/10.17816/2311-2905-17433
- ID: 17433
Cite item
Abstract
Background. Mucous cysts of hand represent tumor-like masses. This pathology is associated with a large number of diagnostic and treatment mistakes with inappropriate procedures and incomplete surgical interventions, which result in recurrences and complications.
Aim of the study — to analyze diagnostics and treatment mistakes in patients with mucous cysts of fingers in order to improve the quality of medical care for patients with this pathology.
Methods. The study enrolled 62 patients. Diagnostics included medical history analysis, clinical and X-ray examination, and ultrasonography. According to the patients’ history, they were divided into two groups: group 1 consisted of patients who had come to the clinic for the first time, group 2 — of patients who had referred to the clinic with recurrences of mucous cysts. All patients underwent surgical interventions with osteophyte excision of the phalanx and skin defect grafting after cyst excision. Treatment results were evaluated 2, 6, 12 months after the operation using X-ray data, VAS, QuickDash questionnaire, and measurements of the range of motion in the distal interphalangeal joint.
Results. Initial referrals of group 2 patients (with disease recurrence) were analyzed in terms of the profile of specialists and the type of care provided. It was found that patients with recurrence had undergone procedures (cyst puncture, cauterization, removal of thin skin over the cyst) or surgeries without osteophyte excision of the phalanx and skin defect grafting after cyst excision. The use of a diagnostic algorithm at the referral stage made it possible to confirm the diagnosis and detect an osteophyte of the affected phalanx in all patients. Patients were followed up for a year.
Conclusion. At the diagnostic stage, X-ray and ultrasonography are conclusive methods of examination. The only correct method of mucous cysts treatment is radical surgery including skin defect grafting with local tissues after cyst excision and osteophyte removal.
Full Text
BACKGROUND
According to the literature, mucous cysts (MC) of the fingers account for 2-12% of benign soft tissue tumors and tumor-like masses of the hand and affect predominantly women over 50 years old [1, 2].
In terms of pathologic anatomy, MCs are masses with a pathologic cavity consisting of a wall and contents [3, 4, 5]. Their typical localization is the dorsal finger surface in the area of the distal interphalangeal joint or the distal phalanx in the periungual (sometimes subungual) area. MCs located in the periungual area are characterized by compression of nail plate [6, 7]. Less frequently, these tumor-like formations are located in the area of the proximal interphalangeal joint [6].
MCs occur against the background of degenerative and dystrophic processes in the interphalangeal joints of the fingers associated with formation of osteophytes and subsequent mucoid transformation of periarticular connective tissue [8, 9]. This allows us to consider MCs as a result of the development of osteoarthritis or as its complication [1, 2, 6, 10].
The feature of MCs is their indispensable connection with the joint cavity (distal or proximal interphalangeal) of the fingers via the cyst pedicle located in the area of osteophyte formation [9]. According to the most common theory, MCs are considered as a type of synovial cysts of the hand (synonym: hygromas, ganglia) [3, 5, 11, 12, 13, 14]. This opinion is based on the fact that synovial cysts also occur as a result of degenerative and dystrophic changes in the periarticular connective tissue. Moreover, synovial cysts connected with the joint cavity, similarly to MC, contact it via the cyst pedicle.
The problems of MC diagnostics and treatment are scarcely reported in the literature. The diagnostic algorithm is limited to clinical and X-ray examination, and only certain authors supplement it with ultrasonography [6].
Various methods of MC treatment are proposed in the literature: cyst puncture, sclerotherapy, corticosteroid injections, cryotherapy. However, according to the majority of authors, the most effective method of MC treatment is a surgery. Moreover, radical surgery involves not only cyst excision, but also compulsory removal of the osteophyte on which its pedicle is located, with subsequent defect closure after cyst excision using skin grafting with local tissues [1, 6, 15].
In practice, diagnostics and treatment of patients with MC, as well as patients with tumors and tumor-like formations of the hand in general, are associated with a large number of mistakes, inappropriate procedures, and incomplete surgical interventions, which result in recurrences and complications [14, 16].
Aim of the study is to analyze diagnostics and treatment mistakes in patients with mucous cysts of the fingers in order to improve the quality of medical care for patients with this pathology.
METHODS
The study is based on the results of examination and treatment of 62 patients with MC from 2010 to 2022 treated in the traumatology department of City Clinical Hospital No. 4 and in the orthopedic department of the university clinic "Russian Gerontological Research and Clinical Center". All patients were allocated into two groups according to the medical history: group 1 included 30 (48.4%) patients who primarily applied to the clinic; group 2 included 32 (51.6%) patients with MC recurrences who had received treatment prior to referral to the clinic. The age of the patients in both groups ranged from 38 to 85 years, among them were 50 women (80.6%).
The diagnostic algorithm included medical history analysis, clinical examination and additional diagnostic methods: X-ray and ultrasonography. The final diagnosis was made on the basis of intraoperative diagnostics and postoperative histologic examination. Taking the history, the data on previous visits to medical facilities, the methods of examination and treatment used in this case were determined. X-ray made it possible to examine the involved bone and joint structures, ultrasonography allowed to study MC contours, shape and size, as well as its position relative to the skin, bones and joints.
Pain syndrome was assessed by the VAS, functional outcome of treatment was assessed by the QuickDASH questionnaire, range of motion in the distal interphalangeal joints (IPJ) or interphalangeal joint (thumb). The unit of the study was a patient.
Statistical analysis
Data are presented as median and interquartile range: Me [Q1; Q3]. Qualitative parameters are presented as absolute values (n) and/or frequencies (%). The Mann-Whitney U test was used to establish statistically significant differences between two independent groups for all quantitative variables. The Wilcoxon test was applied to identify statistically significant differences between the dependent groups for all quantitative variables. The 95% confidence interval (CI) for relative frequencies was calculated using the Сlopper-Pearson method.
Data were analyzed using Statistica 10.0 (StatSoft inc., USA) software. The level of statistical significance was considered to be p<0.05.
RESULTS
Patients’ complaints included pain at rest and during movements, limited range of motion in the affected finger joints, and the presence of a "bubble" on the dorsal surface of the finger. Duration of the disease ranged from 2 months to 5 years (mean 9 months).
The majority of the patients (32 (51.6%)) presented with recurrences of MC; they had previously received treatment before coming to the clinic. These patients made up group 2. To find out the causes of recurrences in group 2, we analyzed the primary treatment of the patients according to the specialty of the physician and the type of treatment performed. The period from the initial treatment to the clinic ranged between 1 and 8 months. Based on the medical history data and analysis of medical documents (discharge letter and consultation reports), it was found that 12 (34.38%) patients first had referred to general surgeons and 10 (28.13%) to dermatologists. Only 3 (9.38%) patients had consulted the relevant specialists (hand surgeons) (Table 1). All patients of group 2 had been misdiagnosed and treated with mistakes. The misdiagnoses and inaccurate treatment methods resulting in recurrences of the disease depended on the specialty of the physician.
Table 1
Distribution of patients according to the treatment methods at the primary referral to various medical specialists
Specialty | Treatment method | Number of primary referrals | |
n | % | ||
General surgeon | Removal of thinned skin over the MC | 1 | 3.13 |
Puncture | 6 | 18.75 | |
Cauterization | 1 | 3.13 | |
Surgeries without osteophyte excision | 4 | 12.5 | |
Total | 12 | 37.5 | |
Dermatologist | Removal of thinned skin over the cyst with subsequent drug therapy | 5 | 15.63 |
Removal of thinned skin over the MC | 2 | 6.25 | |
Cauterization | 3 | 9.38 | |
Total | 10 | 31.25 | |
Orthopedic trauma surgeon | Puncture | 6 | 18.75 |
Total | 6 | 18.75 | |
Hand surgeon | Puncture | 3 | 9.38 |
Total | 3 | 9.38 | |
Plastic surgeon | Surgeries without osteophyte excision | 1 | 3.13 |
Total | 1 | 3.13 | |
Total | 32 | 100 | |
As shown in Table 1, dermatologists treated patients with MC for dermatitis or fungal infection by prescribing appropriate systemic and topical medications and removing thin skin over the cyst. The diagnosis when referred to surgeons, including hand surgeons and orthopedic trauma surgeons, was hygroma, ganglion, or cutaneous cyst. Medical care in 15 (46.88%) patients consisted of cyst puncture, in 3 (9.38%) patients dermatologists and surgeons performed excision of thinned skin over the cyst preserving the soft tissue defect, in another 4 (12.5%) — cauterization of the skin lesion area with potassium permanganate solution. Surgical procedures were performed in 5 (15.63%) patients. However the operations comprised only excision of the cyst with an attempt to close the formed skin defect by suturing with subsequent tension of the wound edges. These surgeries resulted in persisting granulating wounds with subsequent recurrence of MC in 4 patients.
X-ray in two views was performed in 7 (21.86%) patients of group 2 at the first visit. Ultrasound was not administered to any patient.
Sixty patients (96.7%) in both groups had MCs located on the dorsal finger surface in the area of the distal interphalangeal joint or distal phalanx. In 41 (66.1%) of these patients MC was in the periungual or subungual area with nail plate deformation.
In patients of both groups MC was most often localized on the II and III fingers: group 1: II finger — 15 (50,0%) patients, III finger — 10 (33.33%); group 2: II and III fingers — 12 (37,5%) patients each. Thumb and IV finger were much less frequently affected. In group 1: thumb — 3 (9.38%) patients, IV finger — 2 (6.66%); group 2: thumb — 6 (18.75%) patients, IV finger — 2 (6.25%).
In group 1, MCs were single oval- or round-shaped masses ranging in size from 0.3 to 10.0 mm in diameter, of soft-elastic consistency, covered with thinned skin, looking like a liquid-filled transparent bubble (Fig. 1).
Fig.1. Mucous cyst of the II finger in the area of the distal interphalangeal joint
In group 2, as a result of incorrect treatment prior to the admission to the clinic, 26 (81.25%) patients had dystrophic changes in the area of the cyst, in 14 (43.75%) cases there was a significant nail deformation (Fig. 2). A weeping wound with clear mucosal fluid discharge was found in 7 (21.875%) patients.
Fig. 2. Mucous cyst of the thumb in the area of the distal interphalangeal joint. Recurrence after the surgery performed prior to the referral to the clinic: a — mucous cyst of the thumb in the area of the interphalangeal joint before treatment; b — 2 weeks after the surgery performed in the clinic c — skin defect after mucous cyst excision (a and b photos are self-taken); 6 months after the surgery in the clinic X
X-ray in two views (in three, if necessary) was performed in both groups of patients. Four (6.4%) patients underwent multiple view radiography to detect an osteophyte. As a result, all patients showed signs of osteoarthritis of the affected joint, and single (36 (58%)) or multiple (22 (35.4%)) osteophytes were detected (Figs. 3, 4). In addition, 48 (77.4%) patients had multiple osteoarthritis of the finger joints (interphalangeal and metacarpophalangeal), 32 (51.6%) had rhizarthrosis, and 46 (74.1%) had signs of wrist osteoarthritis.
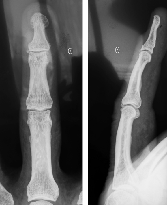
Fig. 3. Mucous cyst of the III finger, recurrence after the surgery performed prior to the referral to our clinic
Fig. 4. X-ray of the III finger in the AP (osteophyte of the nail phalanx is visible) and lateral views; recurrence after the surgery performed prior to the referral to our clinic
The ultrasound technique followed the rules developed by us for the examination of mass lesions: scans were performed in two compulsory views (transverse and longitudinal, relative to the axis of the finger phalanx) and arbitrary (relative to the axis of the mass) [3]. At ultrasonography, the MCs looked like an additional single-chamber mass of round or oval shape with clear even contours. The MC wall had the appearance of an echogenic line. In 14 (22.5%) patients with recurrences the MCs were two-chambered. The MC structure was visualized as homogeneous anechogenic (i.e. fluid), in 42 (67,7%) cases MC had echogenic inclusions after treatment attempts by crushing or puncture. Examination of the nail phalanx in all patients allowed to determine an uneven and indistinct line of periosteum with prominence in the form of osteophyte and deformation of the articular gap of the distal interphalangeal joint, proximal interphalangeal joint, interphalangeal joint of the thumb (signs of osteoarthritis). In all cases, the MC pedicle derived from the cavity of the corresponding interphalangeal joint in the area of osteophyte location (Fig. 5).
Fig. 5. Mucous cyst of the III finger, recurrence after the surgery. Ultrasonography: the circled area shows a cavity of a mucous cyst with a pedicle from the distal interphalangeal joint
All patients of both groups underwent surgical treatment: excision of the affected skin over the MC, cyst excision, including its pedicle, removal of the osteophyte of the corresponding phalanx, and skin defect grafting with local tissues (rotated skin flap). The operation was performed under regional anesthesia of the distal forearm. A tourniquet was applied in the upper third of the forearm. The surgery comprised two stages.
The first stage was cyst and osteophyte excision (Fig. 6). An elliptical skin incision was made around the MC within normal tissues. Then the incision was extended proximally along the dorsolateral surface of the middle and main phalanges. The length of the incision was determined depending on the size of the defect left after skin excision around the cyst. In case of a large defect, the longitudinal incision in the proximal third of the main phalanx was extended transversely along its dorsal surface. The cyst was excised along with the thinned skin above it. Marginal nail plate resection was performed if the cyst penetrated under it (the resection area was limited to a small area above the cyst). In most cases, MCs invaded under the edge of the extensor tendon, so the edge of the tendon was lifted slightly to isolate them. MCs were separated up to the area of penetration into the joint cavity and excised with the edge zone of the joint capsule. If there were signs of extensor tendon damage due to compression by the cyst (uneven edge, marginal defect), a marginal sparing excision of its damaged fibers was performed. It should be emphasized that cyst isolation was performed with utmost caution to prevent damage to its wall (MCs are closely adherent to the surrounding tissues, and their wall is very thin). At the end of the first stage, the osteophyte (or several osteophytes) was isolated and excised.
Fig. 6. The first stage of surgery — mucous cyst and osteophyte excision: a — elliptical skin incision around the cyst within healthy tissues extended proximally along the dorsolateral surface of the middle and main phalanges; b — mucous cyst excision along with the thin skin over it
The second stage included skin grafting with local tissues (Fig. 7). For this purpose, the separated skin flap was rotated, moved distally to close the defect, and sutured. It was ensured that the size of the flap was sufficient to close the defect without tension. The operation was finished by washing the wound with antiseptic solutions and achieving hemostasis. An aseptic dressing with finger fixation on a soft roll was applied. Excised tissues were sent for histologic examination.
Fig. 7. The second stage of surgery: a — the dissected skin flap is rotated and transferred distally; b — the defect is closed with the skin flap; the wound is sutured
Histologic examination confirmed the diagnosis in 100% of cases.
Rehabilitation of patients with MC in the early postoperative period included elevated position of the hand, local cooling, change of dressings once every 2-3 days. Sutures were removed 14 days after the operation. Splinting (with a soft roll) was performed for 2-3 days; dosed physical therapy was started on the first days after the surgery. On the second day after the operation light movements were allowed in the interphalangeal joints of the affected finger — flexion up to 45°, gradually the angle of flexion was increased. Full range of motion was sought to be achieved in 5-7 days. The sutures been removed, salt baths, physical therapy, physiotherapeutic procedures (magnetotherapy, laser therapy, phonophoresis with anti-inflammatory drugs, excluding methods using intense heat effect) were prescribed.
Treatment results of patients of both groups were evaluated. X-ray control was performed on the first day after the surgery. The absence of the osteophyte on where the MC had been located before the operation was confirmed in all patients. Then they were examined in 2 months, 6 months and 1 year (Fig. 8). The function of the operated finger was determined by the angle of flexion and extension of the phalanges of the fingers.
Fig. 8. Treatment result 2 months after surgery
The dynamics of pain syndrome intensity and functional restrictions are shown in Table 2.
Table 2
Surgical treatment results of patients in both groups, Me [Q1; Q3]
Treatment result | ||||
VAS | ||||
Group | Preoperatively p = 0.968 | In 2 months p = 0.000 | In 6 months p = 0.541 | In 12 months p = 0.665 |
1 | 6 [5; 6] | 3 [1; 2]; p = 0.000 | 1 [1; 2]; p = 0.000 | 0 [0; 1]; p = 0.000 |
2 | 5.5 [5; 6] | 3 [3; 4]; p = 0.000 | 1 [1; 2]; p = 0.000 | 0 [0; 1]; p = 0.000 |
QuickDASH | ||||
Group | Preoperatively p = 0.000 | In 2 months p = 0.000 | In 6 months p = 0.000 | In 12 months p = 0.000 |
1 | 49 [48; 51] | 28 [26; 32] p = 0.000 | 18 [17; 19] p = 0.000 | 15 [14; 16] p = 0.000 |
2 | 55 [54; 57] | 37.5[36; 39] p = 0.000 | 25 [23.5; 26] p = 0.000 | 18 [17; 18] p = 0.000 |
Range of motion in the affected joint, deg. | ||||
Group | Preoperatively p = 0.001 | In 2 months p = 0.000 | In 6 months p = 0.000 | In 12 months p = 0.032 |
1 | 36.5 [33; 40] | 67 [65; 69] p = 0.000 | 70 [68; 71] p = 0.000 | 70 [69; 72] p = 0.000 |
2 | 32 [28; 36.5] | 60 [57.5; 62] p = 0.000 | 65 [63; 67] p = 0.000 | 69 [68; 70.5] p = 0.000 |
The Wilcoxon test was used within the groups to evaluate statistically significant differences in the VAS, the QuickDASH, the range of motion preoperatively and postoperatively. In all periods of evaluation p was below 0.05, therefore, in two groups the surgical treatment contributed to improvement of considered parameters, i.e., the pain syndrome had been reduced and hand function had improved. The Mann-Whitney U test was used to evaluate statistically significant differences in the VAS, the QuickDASH, the preoperative and postoperative range of motion between groups 1 and 2. The difference in the VAS between groups 1 and 2 was statistically significant at 2 months postoperatively p=0.000, and the pain syndrome was more significant in group 2. At 6 and 12 months p was greater than 0.05, indicating that there were no statistically significant differences between groups 1 and 2 at these periods postoperatively. In all periods, group 1 and group 2 scores were statistically significantly different (p<0.05) in the QuickDASH and range of motion; group 2 had a longer recovery of function.
In all patients of both groups complete skin flap engraftment as well as full restoration of the range of motion compared to the contralateral limb was achieved. Pain syndrome was resolved, and no recurrences were detected.
DISCUSSION
Clinical material analysis demonstrated that patients with MCs are initially referred to physicians of various specialties: surgeons, dermatologists, trauma and orthopedic surgeons, plastic surgeons, and hand surgeons specializing in this pathology.
Clinical examination showed high specificity of MC clinical picture, including the following signs:
— presence of a mass covered by thinned skin (which makes it look like a fluid-filled transparent bubble);
— typical location on the dorsal finger surface in the area of the distal interphalangeal joint, in the periungual or subungual area, less often — in the area of the proximal interphalangeal joint;
— thin skin over the cyst is easily damaged resulting in a weeping wound with clear mucosal discharge;
— MC located close to the nail plate can compress the nail, deforming it and its bed.
The main condition for a good MC treatment result (as well as for all soft tissue tumors and tumor-like formations of the hand) is timely and adequate diagnosis [6, 12, 15]. However, the analysis of care provided to group 2 patients at initial presentation showed a large number of diagnostic and treatment mistakes, including inappropriate procedures or palliative surgical interventions, which indicates the low awareness of medical professionals of this pathology.
Despite the specific clinical picture of MC, the diagnostic algorithm in case of this pathology should include additional diagnostic methods. Results of clinical tests for MC, as well as for all benign tumors and tumor-like formations of the hand, are nonspecific [17, 18, 19]. Traditional preoperative morphologic studies, such as smears and puncture biopsy, are contraindicated due to inadmissibility of damage to the cyst wall (because it inevitably leads to the formation of a non-healing wound) and low reliability [3]. But since, according to the literature [1, 2, 3] and our own observations, MCs occur in joints affected by osteoarthritis with the development of osteophytes and subsequent mucoid transformation of the periarticular connective tissue, the diagnostic algorithm must include X-ray, which reveals the most important elements for the differential diagnosis of MCs:
— connection with the corresponding interphalangeal joint;
— presence of degenerative-dystrophic changes in it (signs of osteoarthritis);
— compulsory presence of osteophyte.
Underestimation of X-ray as an obligatory method of examination to detect osteophytes, in our opinion, is due to the fact that performing X-rays in two or even three views is not always sufficient to detect osteophytes. In some cases, in patients with clinical signs of MC, it is necessary to examine the joint in all views, i.e., to perform multiple view radiography.
The soft tissue nature of MCs determines the need to study this neoplasm using ultrasonography. MC is visualized as a mass of a round or oval shape of an anechogenic structure (echogenic inclusions are possible). Its pedicle goes into the joint cavity and ends in the zone of deformation of the periosteum line of the distal or (if the MC is located in the area of the proximal interphalangeal joint) middle phalanx of the finger, which is explained by the presence of an osteophyte [3, 5, 18].
Thus, clinical examination makes it possible to identify signs of MC, which allows to administer X-ray and ultrasonography to the patient. Combination of specific clinical, radiologic, and ultrasonographic signs enables to diagnose MC in all patients [20, 21].
In the available literature (and in our observations), there is no indication of the possibility of MC involution, unlike synovial cysts (hygromas and ganglia) [22]. Increasing in size, MCs lead to increased pain syndrome, the wall of MCs of large size is easily exposed to damage with the formation of a persisting wound with possible infection. In addition, the larger the MC size, the larger the size of the skin flap required to close the skin defect after its excision [23, 24].
Manipulations, such as cyst puncture, removal of thinned skin over the cyst, exposure to chemical agents for the purpose of cauterization, are inadmissible due to recurrences and compli-cations: trophic changes, dermatitis, purulent complications, mycotic lesions. Non-radical surgeries without excision of the osteophyte (the origin of MC formation) leads to recurrence. MC excision without skin grafting with preservation of the skin defect also leads to its recurrence and trophic changes of the surgical site [3].
Based on the treatment results of patients in both groups, the only correct method of MC treatment is the operative one. This statement corresponds to the opinion of a number of authors [3, 14, 15].
Radical surgery should comprise:
— complete MC excision including its contents;
— excision of the osteophyte of the phalanx of the finger on the cyst is formed where;
— formation of an L-shaped or U-shaped (depending on the size of the defect) skin flap on the dorsal finger surface (distally, middle and proximal phalanges);
— closure of the skin defect using the formed flap.
When performing radical surgical interventions for MC recurrences, including osteophyte excision and skin grafting, the recovery period is longer.
Postoperative histologic examination in case of MC, as well as in case of any tumor, in our opinion, is mandatory.
CONCLUSIONS
Thus, the causes of recurrences of mucous cysts are diagnostic and treatment mistakes. Patients with mucous cysts should be treated by hand surgeons (orthopedic trauma surgeons) with deep knowledge of this pathology. The diagnostic algorithm should include ultrasonography and X-ray. The only correct method of treatment is surgery. When performing surgical intervention, it is necessary not only to excise the cyst, but also to perform skin defect grafting with local tissues after cyst excision and removal of the osteophyte from the cyst originates where. Rehabilitation of patients with mucous cysts should include dosed physical exercises. Disease prognosis is favourable as long as the treatment tactics is chosen correctly, the surgery is performed timely, and the patient is managed properly during the rehabilitation period.
DISCLAIMERS
Funding source. This study was not supported by any external sources of funding.
Disclosure competing interests. The authors declare that they have no competing interests.
Ethics approval. Not applicable.
Consent for publication. Written consent was obtained from the patients for publication of relevant medical information and all of accompanying images within the manuscript.
About the authors
Irina G. Chulovskay
Pirogov Russian National Research Medical University
Author for correspondence.
Email: igch0906@mail.ru
ORCID iD: 0000-0002-0126-6965
Dr. Sci. (Med.)
Russian Federation, MoscowKaren A. Egiazaryan
Pirogov Russian National Research Medical University
Email: egkar@mail.ru
ORCID iD: 0000-0002-6680-9334
SPIN-code: 5488-5307
Dr. Sci. (Med.), Professor
Russian Federation, MoscowVladimir S. Kosmynin
Pirogov Russian National Research Medical University
Email: dr.kosmynin@gmail.com
ORCID iD: 0000-0002-1006-4628
Russian Federation, Moscow
Dmitriy S. Zharov
Pirogov Russian National Research Medical University
Email: dr.zharov@internet.ru
ORCID iD: 0000-0002-3876-6832
Russian Federation, Moscow
Aleksey A. Titov
Pirogov Russian National Research Medical University
Email: malan97@mail.ru
ORCID iD: 0009-0000-4387-1154
Russian Federation, Moscow
References
- Jabbour S., Kechichian E., Haber R., Tomb R., Nasr M. Management of digital mucous cysts: a systematic review and treatment algorithm. Int J Dermatol. 2017;56(7): 701-708. doi: 10.1111/ijd.13583.
- Kim E.J., Huh J.W., Park H.J. Digital Mucous Cyst: A Clinical-Surgical Study. Ann Dermatol. 2017;29(1): 69-73. doi: 10.5021/ad.2017.29.1.69.
- Salasche S.J. Myxoid cysts of the proximal nail fold: a surgical approach. J Dermatol Surg Oncol. 1984;10(1): 35-39. doi: 10.1111/j.1524-4725.1984.tb01170.x.
- Чуловская И.Г., Егиазарян К.А., Скворцова М.А., Лобачев Е.В. Ультразвуковая диагностика синовиальных кист кисти и лучезапястного сустава. Травматология и ортопедия России. 2018;24(2):108-116. doi: 10.21823/2311-2905-2018-24-2-108-116. Chulovskaya I.G., Egiazaryan K.A., Skvortsova M.A., Lobachev E.L. Ultrasound diagnostics of synovial cysts of the hand and wrist. Traumatology and Orthopedics of Russia. 2018;24(2): 108-116. doi: 10.21823/2311-2905-2018-24-2-108-116. (In Russian).
- Wolfe S.W., Pederson W.C., Kozin S.H. Green’s Operative Hand Surgery. Elsevier Health Sciences; 2010. 2392 р.
- Rizzo M., Beckenbaugh R.D. Treatment of mucous cysts of the fingers: review of 134 cases with minimum 2-year follow-up evaluation. J Hand Surg Am. 2003;28(3):519-524. doi: 10.1053/jhsu.2003.50088.
- Al-Hourani K., Gamble D., Armstrong P., O’Neill G., Kirkpatrick J. The Predictive Value of Ultrasound Scanning in Certain Hand and Wrist Conditions. J Hand Surg Asian Pac Vol. 2018;23(1):76-81. doi: 10.1142/S2424835518500108.
- Plancher K.D. MasterCases: Hand and Wrist Surgery. Thieme; 2004. 581 p.
- Sobanko J.F., Dagum A.B., Davis I.C., Kriegel D.A. Soft tissue tumors of the hand. 1. Benign. Dermatol Surg. 2007;33(6):651-667. doi: 10.1111/j.1524-4725.2007.33140.x.
- Blume P.A., Moore J.C., Novicki D.C. Digital mucoid cyst excision by using the bilobed flap technique and arthroplastic resection. J Foot Ankle Surg. 2005;44(1): 44-48. doi: 10.1053/j.jfas.2004.11.009.
- Kuwano Y., Ishizaki K., Watanabe R., Nanko H. Efficacy of diagnostic ultrasonography of lipomas, epidermal cysts, and ganglions. Arch Dermatol. 2009;145(7): 761-764. doi: 10.1001/archdermatol.2009.61.
- Наумов А.В., Воробьева Н.М., Ховасова Н.О., Мороз В.И., Мешков А.Д., Маневич Т.М. и др. Распространенность остеоартрита и его ассоциации с гериатрическими синдромами у лиц старше 65 лет: данные российского эпидемиологического исследования ЭВКАЛИПТ. Терапевтический архив. 2021;93(12):1482-1490. doi: 10.26442/00403660.2021.12.201268. Naumov A.V., Vorobyeva N.M., Khovasova N.O., Moroz V.I., Meshkov A.D., Manevich T.M. et al. The prevalence of osteoarthritis and its association with geriatric syndromes in people over 65: data from the Russian epidemiological study EVKALIPT. Ter Arkh. 2021;93(12):1482-1490. doi: 10.26442/00403660.2021.12.201268. (In Russian).
- Kim J.Y., Lee J. Considerations in performing open surgical excision of dorsal wrist ganglion cysts. Int Orthop. 2016;40(9):1935-1940. doi: 10.1007/s00264-016-3213-4.
- Kuliński S., Gutkowska O., Mizia S., Gosk J. Ganglions of the hand and wrist: Retrospective statistical analysis of 520 cases. Adv Clin Exp Med. 2017;26(1):95-100. doi: 10.17219/acem/65070.
- Epstein E. A simple technique for managing digital mucous cysts. Arch Dermatol. 1979;115:1315-1316.
- Mahdavian Delavary B., Cremers J.E., Ritt M.J. Hand and wrist malpractice claims in The Netherlands: 1993-2008. J Hand Surg Eur Vol. 2010;35(5):381-384. doi: 10.1177/1753193409355735.
- Егиазарян К.А., Магдиев Д.А. Анализ оказания специализированной медицинской помощи больным с повреждениями и заболеваниями кисти в городе Москва и пути ее оптимизации. Вестник травматологии и ортопедии им Н.Н. Приорова. 2012;19(2):8-12. doi: 10.17816/vto2012028-12. Egiazaryan K.A., Magdiev D.A. The analysis of rendering of specialized medical care by the patient with damages and hand diseases to the city of Moscow and ways of its optimization. N.N. Priorov Journal of Traumatology and Orthopedics. 2012;19(2):8-12. doi: 10.17816/vto2012028-12. (In Russian).
- Longhurst W.D., Khachemoune A. An unknown mass: the differential diagnosis of digit tumors. Int J Dermatol. 2015;54(11):1214-1225. doi: 10.1111/ijd.12980.
- Starr H.M. Jr, Sedgley M.D., Means K.R., Murphy M.S. Ultrasonography for Hand and Wrist Conditions. J Am Acad Orthop Surg 2016;24(8):544-554. doi: 10.5435/JAAOS-D-15-00170.
- Chen I.J., Wang M.T., Chang K.V., Liang H.W. Ultrasonographic images of the hand in a case with early eosinophilic fasciitis. J Med Ultrason (2001). 2018;45(4),641-645. doi: 10.1007/s10396-018-0872-3.
- Vanmierlo B., Vandekerckhove B., DE Houwer H., Decramer A., VAN Royen K., Goubau J. Digital mucous cysts of the finger without osteoarthritis: optimizing outcome of long needle trajectory aspiration and injection. Acta Orthop Belg. 2023;89(2):249-252. doi: 10.52628/89.2.11582.
- Chen C.E., Wang T.H. A Modified Type III Keystone Flap for Digital Mucous Cyst of the Eponychium. Plast Reconstr Surg Glob Open. 2022;10(12):e4715. doi: 10.1097/GOX.0000000000004715.
- Kasdan M.L., Stallings S.P., Leis V.M., Wolens D. Outcome of surgically treated mucous cysts of the hand. J Hand Surg Am. 1994;19(3):504-507. doi: 10.1016/0363-5023(94)90071-X.
- Kanaya K., Wada T., Iba K., Yamashita T. Total dorsal capsulectomy for the treatment of mucous cysts. J Hand Surg Am. 2014;39(6):1063-1067. doi: 10.1016/j.jhsa.2014.03.004.
Supplementary files












