Разобщение фиксирующего механизма полиэтиленового вкладыша в модульном большеберцовом компоненте эндопротеза коленного сустава: клинический случай
- Авторы: Чугаев Д.В.1, Куляба Т.A.1, Петухов А.И.1, Мартыненко А.И.1
-
Учреждения:
- ФГБУ «Национальный медицинский исследовательский центр травматологии и ортопедии им. Р.Р. Вредена» Минздрава России
- Выпуск: Том 30, № 1 (2024)
- Страницы: 120-128
- Раздел: Случаи из практики
- Дата подачи: 10.11.2023
- Дата принятия к публикации: 26.02.2024
- Дата публикации: 31.03.2024
- URL: https://journal.rniito.org/jour/article/view/17411
- DOI: https://doi.org/10.17816/2311-2905-17411
- ID: 17411
Цитировать
Аннотация
Актуальность. Модульные большеберцовые компоненты эндопротезов коленного сустава используются в большинстве современных систем для замещения коленного сустава. Несмотря на ряд ограничений, имеется множество аспектов, делающих такие виды имплантатов незаменимым инструментом для ортопедического хирурга.
Цель — на клиническом примере показать потенциальные риски, связанные с использованием модульного полиэтиленового вкладыша с металлическим фиксирующим механизмом.
Описание клинического случая. Представлен случай первичного тотального эндопротезирования коленного сустава у пациентки 70 лет. Операция была выполнена опытной хирургической бригадой с хорошим ранним рентгенологическим и функциональным результатом лечения. После выписки, примерно через 10 дней после операции, у пациентки появилась боль в коленном суставе. На контрольных рентгенограммах была выявлена миграция металлической «шпильки», фиксирующей полиэтиленовый вкладыш. В экстренном порядке пациентке была выполнена ревизионная операция с заменой вкладыша.
Заключение. Миграция замыкающего элемента вкладыша и вывих вкладыша в фиксированных системах являются достаточно редкими осложнениями эндопротезирования коленного сустава. Причинами, приводящими к данным осложнениям, являются неадекватный мягкотканный баланс коленного сустава в ходе эндопротезирования и ряд технических ошибок. Сам факт использования модульных компонентов сустава является предрасполагающим фактором разобщения этих модулей.
Полный текст
Введение
Модульность большеберцового компонента эндопротеза, кроме возможности использования металлических клиньев, блоков и интрамедуллярных ножек в ходе ревизионного или первичного осложненного эндопротезирования коленного сустава, подразумевает также и модульность применения полиэтиленовых вкладышей различных конфигураций [1]. Возможность использования асимметричных тибиальных компонентов и вкладышей для эндопротезов правого и левого коленных суставов разной толщины и геометрии (классический вкладыш для сохранения задней крестообразной связки, ультраконгруэнтный вкладыш, вкладыш для замещения задней крестообразной связки) внутри одной системы для эндопротезирования дает ортопедическому хирургу большую свободу действий и множество высокоэффективных интраоперационных опций [2]. В то же время очевидным является тот факт, что чем больше модулей в конструкции, тем выше риск их взаимного износа, разобщения и иных типов механических повреждений. В частности, так называемый backside wear, или износ обратной стороны полиэтиленового вкладыша о верхнюю поверхность большеберцового компонента во время циклов сгибания-разгибания в коленном суставе, является важным фактором развития остеолиза и в конечном итоге ревизии искусственного коленного сустава [3, 4, 5, 6].
Основными инструментами, обеспечивающими модульность большеберцовых компонентов современных эндопротезов коленного сустава, являются различные механизмы фиксации полиэтиленовых вкладышей. Необходимо отметить, что их разобщение и вывих являются крайне редкими осложнениями и, по данным E. Thienpont, составляют 0,008% [7], что тем не менее не делает их менее катастрофичными и требующими выполнения операции экстренного ревизионного эндопротезирования с заменой модульных элементов.
Цель исследования — показать на клиническом примере потенциальные риски, связанные с использованием модульного полиэтиленового вкладыша с металлическим фиксирующим элементом.
Описание клинического наблюдения
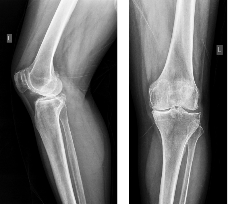
Пациентка 70 лет обратилась в клинику НМИЦ ТО им. Р.Р. Вредена по поводу терминального левостороннего гонартроза с варусной деформацией и комбинированной контрактурой коленного сустава (рис. 1).
Рис. 1. Рентгенограммы коленного сустава пациентки, выполненные при поступлении в клинику
Fig. 1. Knee X-rays performed on admission to the clinic
На правом коленном суставе выполняли тотальное эндопротезирование годом ранее в том же клиническом отделении Центра без периоперационных осложнений и с хорошим функциональным результатом.
После предоперационной подготовки, выполненной согласно протоколам Центра, из стандартного срединного доступа была выполнена операция тотального эндопротезирования левого коленного сустава с имплантацией эндопротеза с сохранением задней крестообразной связки (рис. 2).
Рис. 2. Послеоперационные рентгенограммы коленного сустава пациентки, выполненные на следующий день после эндопротезирования
Fig. 2. Postoperative knee X-rays performed the day after arthroplasty
Операцию выполняли с использованием пневмотурникета (время экспозиции турникета составило 65 мин.) с минимальной интраоперационной кровопотерей, время хирургического вмешательства составило 65 мин. Имплантация фиксирующего элемента (шпильки) была осуществлена без технических трудностей. Шпилька с тугим сопротивлением была введена в паз, заблокировав полиэтиленовый вкладыш. Операцию выполнял опытный хирург, имеющий опыт имплантации более 5000 эндопротезов и хорошо знакомый с системой Zimmer Biomet Vanguard, который осуществлял имплантацию эндопротеза в контралатеральный коленный сустав пациентки год назад.
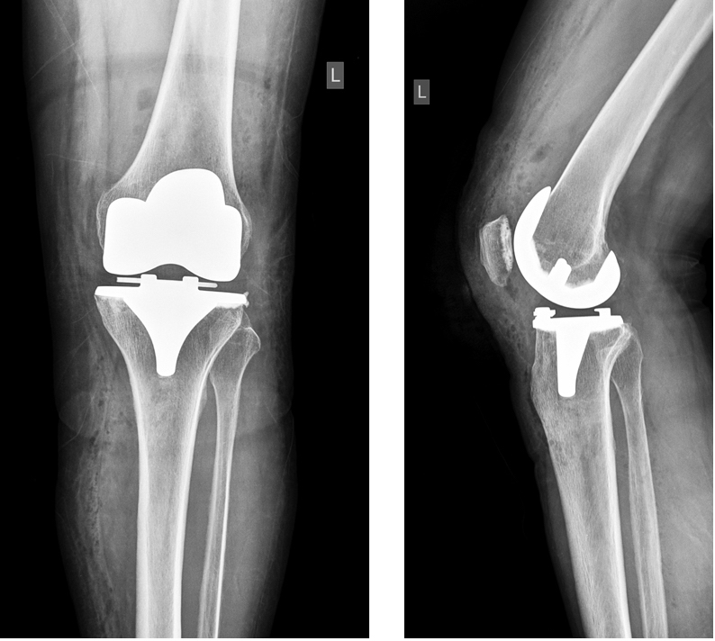
Течение раннего послеоперационного периода было неосложненным, пациентка в удовлетворительном состоянии выписана на 4-е сут. послеоперационного периода с амплитудой движений в коленном суставе 0°/0°/95° (разгибание/0°/сгибание). На амбулаторном этапе пациентка в домашних условиях продолжила реабилитацию, включавшую ходьбу с дополнительной опорой на костыли и комплекс упражнений лечебной физкультуры. С ее слов, вне связи с травмой незначительный болевой синдром, беспокоивший после операции, в течение нескольких дней стал крайне выраженным, был локализован в переднемедиальном отделе коленного сустава, стала ограниченной амплитуда движений. Больная обратилась к лечащему врачу. Было рекомендовано выполнение рентгенограмм коленного сустава в двух проекциях: диагностирована миграция фиксирующего вкладыш элемента (рис. 3).
Рис. 3. Рентгенограммы коленного сустава с признаками миграции фиксирующего элемента вкладыша
Fig. 3. Knee X-rays with signs of migration of the insert locking element
В день обращения пациентке выполнили предоперационную подготовку и провели экстренное хирургическое ревизионное вмешательство с заменой всего модуля (полиэтиленового вкладыша и его металлического фиксатора) на новый (рис. 4). Ревизия коленного сустава не выявила иных повреждений, признаков некорректной фиксации вкладыша, мягкотканного импинджмента, фронтальной или сагиттальной нестабильности протезированного коленного сустава, симптома «открытой книги» или иных проблем, способных быть очевидной причиной развившегося осложнения.
Рис. 4. Рентгенограммы коленного сустава после ревизионной операции
Fig. 4. Knee X-rays after revision surgery
При осмотре эксплантированного вкладыша и его фиксатора не выявлено их повреждений или производственных дефектов. Удаленный модуль был передан представителям фирмы Zimmer Biomet, и его изучение экспертами-технологами не выявило признаков производственного брака или механических повреждений фиксирующей системы. Течение послеоперационного периода было неосложненным, пациентка прошла курс реабилитационного лечения и закончила лечение с удовлетворительным функциональным результатом.
Обсуждение
К описанному нами осложнению относится утверждение, что к серьезному, а зачастую и трагическому событию приводят, на первый взгляд, неочевидные и не слишком связанные друг с другом действия. Так, например, анализируя ход операции, мы понимаем, что имплантация вкладыша проводится в конце операции, когда внимание оператора и ассистентов рассеивается из-за того, что основные, наиболее сложные этапы операции выполнены. Фиксация вкладыша зачастую выполняется в спешке, так как начинается полимеризация цемента, и необходимо удалить его излишки и убедиться в корректной имплантации компонентов. На этом этапе может происходить ущемление мягких тканей в фиксирующем элементе модуля «тибиальный компонент — вкладыш». Полиэтиленовый компонент в системе типа «ласточкин хвост» может не встать в тонкие металлические полозья и быть фиксированным не по всей поверхности. Фиксирующий винт в системах центральной фиксации может быть введен не соосно его каналу, кроме того, эти проблемы способны комбинироваться.
Современные подходы к системам фиксации вкладышей в большеберцовых компонентах эндопротеза. В настоящее время все варианты фиксации пластиковых вкладышей в металлическом большеберцовом компоненте можно разделить на четыре основные группы с вариациями: с линейным фиксирующим механизмом, с периферической фиксацией, с центральным фиксирующим устройством; с гибридной фиксацией.
Линейный (линеарный) тип фиксации наиболее часто представлен фиксирующим механизмом «ласточкин хвост», имеющим металлические полозья в конструкции большеберцового компонента эндопротеза, по которым методом тугой посадки импактируют полиэтиленовый вкладыш (рис. 5).
Рис. 5. Линейный тип фиксации пластикового вкладыша в большеберцовом компоненте эндопротеза коленного сустава («ласточкин хвост»)
Fig. 5. Linear type of fixation of the polyethylene insert in the tibial component of the knee endoprosthesis (“dovetail”)
Периферическая фиксация подразумевает импакцию полиэтиленового вкладыша методом тугой посадки по все окружности большеберцового вкладыша по принципу плотно пригнанной крышки или пробки (рис. 6).
Рис. 6. Периферический тип фиксации пластикового вкладыша в большеберцовом компоненте эндопротеза коленного сустава
Fig. 6. Peripheral type of fixation of the polyethylene insert in the tibial component of the knee endoprosthesis
При центральном типе фиксации вкладыша пресс-фит фиксация вкладыша в большеберцовом компоненте дополняется использованием центрального винта, стабилизирующего модульные компоненты (рис. 7).
Рис. 7. Центральный тип фиксации пластикового вкладыша в большеберцовом компоненте эндопротеза коленного сустава
Fig. 7. Central type of fixation of the polyethylene insert in the tibial component of the knee endoprosthesis
Гибридная фиксация может иметь элементы нескольких вышеуказанных систем для обеспечения высокого уровня стабильности модульной системы «тибиальный компонент — пластиковый вкладыш», как, например, в случае рассматриваемого нами в клиническом примере имплантата Vanguard фирмы Zimmer Biomet (рис. 8).
Рис. 8. Гибридный тип фиксации пластикового вкладыша в большеберцовом компоненте эндопротеза коленного сустава
Fig. 8. Hybrid type of fixation of the polyethylene insert in the tibial component of the knee endoprosthesis
Необходимость создания разных типов фиксации пластиковых вкладышей имеет гетерогенную природу. Для одних типов протезов это является наследованием материнских систем протезирования, созданных во второй половине XX в., для других — возможностью сконструировать отличное от конкурентов устройство в том или ином виде, способное показать лучшие характеристики фиксации вкладыша и меньший износ обратной стороны пластиковой поверхности. На практике мы наблюдаем, что совершенных концепций механической фиксации не существует, и для каждой имеются нюансы, способные привести к разобщению модульной системы [7, 8, 9].
Факторы риска разобщения системы модульной фиксации большеберцового компонента и полиэтиленового вкладыша. Общим фактором, способным привести к разобщению вкладыша и большеберцового компонента или их фиксирующих элементов, является сохраняющийся после выполненной артропластики связочный дисбаланс [7]. Даже современные типы имплантатов не способны в полной мере имитировать нативную кинематику коленного сустава и нескорректированные патологические двигательные паттерны в искусственном суставе, способны приводить к механической усталости тех или иных фиксирующих элементов [8, 10, 11].
Так, для систем центральной фиксации, в частности для ряда ревизионных систем, в которых полиэтиленовый вкладыш фиксируется центральным винтом, критичной является реализация так называемого механизма довинчивания винта (screw home) коленного сустава, который за счет повторяющихся ротационных движений приводит к раскручиванию фиксирующего полиэтилен элемента [12, 13, 14].
Для систем центральной и периферической фиксации более критичными являются так называемый феномен lift-off («открытая книга») и феномен pull-out (выраженная сагиттальная нестабильность из-за избыточного по высоте сгибательного промежутка) [15, 16]. В первом случае мы имеем дело с несбалансированным сгибательным промежутком, более тугим в задних отделах (например, если не был произведен релиз задней крестообразной связки), что приводит к приподниманию переднего отдела вкладыша. Во втором случае отсутствие сагиттальной стабильности по причине слишком свободного сгибательного промежутка приводит к реализации положительного теста переднего выдвижного ящика.
Для систем гибридной фиксации, которая была использована в рассматриваемом нами случае, наиболее критичным патологическим двигательным паттерном является медиолатеральная нестабильность за счет постоянной микроподвижности вкладыша, приводящая к смещению фиксирующего элемента — так называемой «шпильки» [7, 17].
Отдельно стоит выделить разобщение вкладыша с большеберцовым компонентом в системах типа CCK/VVC, у которых дополнительным инициирующим разобщение вкладыша фактором является повышенная фронтальная и ротационная нагрузка на пластиковый стабилизатор [8, 13].
Контент-анализ современной литературы, освещающей рассматриваемую хирургическую проблему, показывает отсутствие явных закономерностей, которые могут быть выявлены у пациентов с данным осложнением артропластики. Так, авторы указывают на то, что, как правило, это женщины, и статистически чаще эндопротезирование выполняется именно в этой гендерной группе. Данное осложнение, по наблюдениям исследователей, случается после артропластики на контралатеральной конечности с благополучным исходом; осложнение фиксируют после операций, которые выполняют опытные хирурги, что, возможно, указывает лишь на то, что их выборка более обширна [7, 17].
Это осложнение может происходить при использовании всех известных систем фиксации вкладышей с той лишь особенностью, что при использовании фиксирующей вкладыш «шпильки» ее миграция сразу становится очевидной и вынуждает пациента обратиться к врачу, в то время как нарушение фиксации полиэтиленового вкладыша некоторое время может оставаться недиагностированным, даже при условии выполнения рентгенографии.
Одним из решений данной хирургической проблемы, возможной во всех используемых в настоящее время модульных системах для артропластики, видится более широкое использование полностью полиэтиленовых цементируемых тибиальных компонентов (обозначаемых в зарубежной литературе как all-poly) или немодульных (моноблочных) имплантатов, у которых пластиковая рабочая поверхность фиксируется к металлу на этапе производства [4]. Это является хорошей хирургической опцией, поскольку данный тип используемых ортопедических конструкций имеет ряд явно недооцененных преимуществ [4, 18, 19]. У данного типа компонентов эндопротеза по очевидным причинам отсутствует износ задней части полиэтиленового вкладыша (back side wear) в сравнении с модульными системами. Отсутствие модульной подвижности уменьшает количество продуктов износа вкладыша в окружающие ткани. Следовательно, индуцированные микрочастицами полиэтилена остеолиз и асептическое расшатывание развиваются медленнее, что является важным фактором лучшей выживаемости установленного имплантата [20, 21, 22].
Более низкая стоимость all-poly и моноблочных имплантов в сравнении с модульными тибиальными компонентами является перспективной при налаживании системы эндопротезирования коленного сустава в экономически менее развитых регионах. Данная альтернативная опция при выборе большеберцового компонента позволяет рационально распределять финансирование в случае ограниченного ресурса того или иного типа конструкций. Кроме того, это позволяет экономить денежные средства в пользу увеличения количества выполняемых операций артропластики коленного сустава без ущерба качеству и гипотетической выживаемости установленных имплантов [4, 23].
Очевидным недостатком all-poly и моноблочных имплантатов является невозможность использовать модульные удлиняющие ножки/аугменты в тех случаях, когда это необходимо (ревизионное эндопротезирование, массивные костные дефекты и пр.) [18].
Использование all-poly большеберцовых компонентов, особенно с небольшой толщиной пластика, может быть ассоциировано с неравномерной нагрузкой на губчатую часть метафиза большеберцовой кости. В модульных типах имплантатов эта проблема отсутствует за счет распределения пиковых ударных нагрузок по всей поверхности металлического большеберцового компонента, в то время как полностью полиэтиленовые большеберцовые компоненты не осуществляют шунтирование усилий, которые передаются при контакте бедренного компонента с рабочей пластиковой поверхностью. Это теоретически может повреждать интерфейс «большеберцовый компонент — цемент — кость» и приводить к асептическому расшатыванию в перспективе [4, 19]. В то же время существует масса высококачественных исследований, в том числе метаанализов, убедительно показывающих сравнимые сроки выживаемости модульных и немодульных полиэтиленовых компонентов эндопротезов коленного сустава [4, 18, 23, 24, 25].
Функциональный результат эндопротезирования коленного сустава при имплантации all-poly и модульных конструкций и вовсе не имеет значимых различий из-за идентичности рабочего модуля «бедренный компонент — полиэтилен», что дает практикующим ортопедам еще один повод для более широкого использования полностью полиэтиленовых компонентов в ежедневной хирургической практике [24, 25].
У ряда ортопедических хирургов существует мнение о возрастных границах использования all-poly — данный тип большеберцовых компонентов необходимо использовать у пациентов старше 70 лет, а также у лиц со сниженной двигательной активностью и низкими функциональными запросами [24]. Но в настоящее время из-за отличных результатов выживаемости и идентичных функциональных результатов мы видим тенденцию к применению полностью полиэтиленовых компонентов и у лиц более молодого возраста [18, 24, 26].
Несмотря на указанные выше преимущества all-poly и моноблочных большеберцовых компонентов эндопротезов, большинство врачей в своей практике до сих пор предпочитает имплантировать модульные типы эндопротезов. По-видимому, окончательным доводом является то, что при ревизии модульных систем зачастую можно произвести лишь изолированную замену вкладыша — небольшую и малозатратную по времени операцию. Но, как показывают анализ современной литературы, данных национальных регистров и ежедневная практика, процент таких ревизий крайне мал, так как лидирующие позиции по причинам ревизионных вмешательств занимает асептическое расшатывание компонентов эндопротеза [27, 28]. Чаще всего при ревизионном эндопротезировании требуется удаление и вкладыша, и большеберцового металлического компонента [19, 29]. Поэтому главным ограничением использования в эндопротезировании all-poly и немодульных большеберцовых компонентов, очевидно, остаются предрассудки наших коллег.
Заключение
Миграция замыкающего элемента вкладыша и вывих вкладыша в фиксированных системах являются достаточно редкими осложнениями эндопротезирования коленного сустава. Тем не менее они являются катастрофическими в аспекте необходимости экстренной госпитализации и как можно более срочного ревизионного вмешательства. К причинам, приводящим к данным осложнениям, относят сохраняющуюся после выполненного эндопротезирования медиолатеральную, фронтальную или иную связочную нестабильность и несбалансированные по изометричности сгибательный и разгибательный промежутки. Причиной недостаточной первичной фиксации вкладыша в его металлическом ложе может быть мягкотканный импинджмент с фрагментом капсулы сустава или синовиальной оболочки, ущемившейся в ходе имплантации компонентов эндопротеза. Сам факт использования модульных компонентов в ходе эндопротезирования коленного сустава является предрасполагающим фактором разобщения этих модулей. Анализ современной литературы не дает простого ответа на вопрос: «Как избежать данного осложнения?», кроме наиболее очевидного — более широкого использования в повседневной практике немодульных систем (полностью полиэтиленовых компонентов и моноблоков).
Дополнительная информация
Благодарность. Авторы выражают благодарность художнику И.В. Онюшкиной за создание иллюстраций.
Источник финансирования. Авторы заявляют об отсутствии внешнего финансирования при проведении исследования.
Возможный конфликт интересов. Авторы декларируют отсутствие явных и потенциальных конфликтов интересов, связанных с публикацией настоящей статьи.
Этическая экспертиза. Не применима.
Информированное согласие на публикацию. Авторы получили письменное согласие пациентки на публика-цию медицинских данных и изображений.
Об авторах
Дмитрий Валерьевич Чугаев
ФГБУ «Национальный медицинский исследовательский центр травматологии и ортопедии им. Р.Р. Вредена» Минздрава России
Автор, ответственный за переписку.
Email: dr.chugaev@gmail.com
ORCID iD: 0000-0001-5127-5088
канд. мед. наук
Россия, Санкт-ПетербургТарас Aндреевич Куляба
ФГБУ «Национальный медицинский исследовательский центр травматологии и ортопедии им. Р.Р. Вредена» Минздрава России
Email: taraskuliaba@mail.ru
ORCID iD: 0000-0003-3175-4756
д-р мед. наук
Россия, Санкт-ПетербургАлексей Иванович Петухов
ФГБУ «Национальный медицинский исследовательский центр травматологии и ортопедии им. Р.Р. Вредена» Минздрава России
Email: drpetukhov@yandex.ru
ORCID iD: 0000-0002-2403-6521
канд. мед. наук
Россия, Санкт-ПетербургАнастасия Игоревна Мартыненко
ФГБУ «Национальный медицинский исследовательский центр травматологии и ортопедии им. Р.Р. Вредена» Минздрава России
Email: martynenko.anst@yandex.ru
ORCID iD: 0009-0005-0525-6456
Россия, Санкт-Петербург
Список литературы
- Castellarin G., Bori E., Menon A., Innocenti B. The effect of different insert design congruencies on the kinematics of a mobile bearing TKA: A cadaveric study. J Orthop. 2022;34:89-93. doi: 10.1016/j.jor.2022.07.018.
- Stulberg S.D., Goyal N. Which Tibial Tray Design Achieves Maximum Coverage and Ideal Rotation: Anatomic, Symmetric, or Asymmetric? An MRI-based study. J Arthroplasty. 2015;30(10):1839-1841. doi: 10.1016/j.arth.2015.04.033.
- Longo U.G., Ciuffreda M., D’Andrea V., Mannering N., Locher J., Denaro V. All-polyethylene versus metal-backed tibial component in total knee arthroplasty. Knee Surg Sports Traumatol Arthrosc. 2017;25(11):3620-3636. doi: 10.1007/s00167-016-4168-0.
- AbuMoussa S., White C.C. 4th, Eichinger J.K., Friedman R.J. All-Polyethylene versus Metal-Backed Tibial Components in Total Knee Arthroplasty. J Knee Surg. 2019;32(8):714-718. doi: 10.1055/s-0039-1683979.
- Łapaj Ł, Mróz A., Kokoszka P., Markuszewski J., Wendland J., Helak-Łapaj C., et al. Peripheral snap-fit locking mechanisms and smooth surface finish of tibial trays reduce backside wear in fixed-bearing total knee arthroplasty. Acta Orthop. 2017;88(1): 62-69. doi: 10.1080/17453674.2016.1248202.
- Conditt M.A., Ismaily S.K., Alexander J.W., Noble P.C. Backside wear of modular ultra-high molecular weight polyethylenetibial inserts. J Bone Joint Surg Am. 2004;86(5):1031-1037. doi: 10.2106/00004623-200405000-00022.
- Thienpont E. Failure of tibial polyethylene insert locking mechanism in posterior stabilized arthroplasty. Knee Surg Sports Traumatol Arthrosc. 2013;21(12):2685-2688. doi: 10.1007/s00167-012-2018-2.
- Chen C.E., Juhn R.J., Ko J.Y. Dissociation of polyethylene insert from the tibial baseplate following revision total knee arthroplasty. J Arthroplasty. 2011;26(2):339.e11-339.e13. doi: 10.1016/j.arth.2010.04.016.
- Sisko Z.W., Teeter M.G., Lanting B.A., Howard J.L., McCalden R.W., Naudie D.D., et al. Current Total Knee Designs: Does Baseplate Roughness or Locking Mechanism Design Affect Polyethylene Backside Wear? Clin Orthop Relat Res. 2017;475(12):2970-2980. doi: 10.1007/s11999-017-5494-3.
- Hepinstall M.S., Rodriguez J.A. Polyethylene subluxation: a radiographic sign of locking mechanism failure after modular total knee arthroplasty. J Arthroplasty. 2011;26(1):98-102. doi: 10.1016/j.arth.2009.10.020.
- Sanders A.P., Raeymaekers B. The effect of polyethylene creep on tibial insert locking screw loosening and back-out in prosthetic knee joints. J Mech Behav Biomed Mater. 2014;38:1-5. doi: 10.1016/j.jmbbm.2014.06.002.
- Чугаев Д.В., Кравцов Е.Д., Корнилов Н.Н., Куляба Т.А. Анатомо-биомеханические особенности латерального отдела коленного сустава и связанные с с ними технические аспекты одномыщелкового эндопротезирования: лекция. Травматология и ортопедия России. 2023;29(2):144-158. doi: 10.17816/2311-2905-2042. Chugaev D.V., Kravtsov E.D., Kornilov N.N., Kulyaba T.A. Anatomical and Biomechanical Features of the Lateral Compartment of the Knee and Associated Technical Aspects of Unicompartmental Knee Arthroplasty: Lecture. Traumatology and Orthopedics of Russia. 2023;29(2):144-158. doi: 10.17816/2311-2905-2042. (In Russian).
- Rapuri V.R., Clarke H.D., Spangehl M.J., Beauchamp C.P. Five cases of failure of the tibial polyethylene insert locking mechanism in one design of constrained knee arthroplasty. J Arthroplasty. 2011;26(6):976.e21-976.e24. doi: 10.1016/j.arth.2010.07.013.
- Cho W.S., Youm Y.S. Migration of polyethylene fixation screw after total knee arthroplasty. J Arthroplasty. 2009;24(5):825.e5-825.e9. doi: 10.1016/j.arth.2008.07.011.
- Scott R.D., Chmell M.J. Balancing the posterior cruciate ligament during cruciate-retaining fixed and mobile-bearing total knee arthroplasty: description of the pull-out lift-off and slide-back tests. J Arthroplasty. 2008;23(4):605-608. doi: 10.1016/j.arth.2007.11.018.
- Migon E.Z., de Freitas G.L, Rodrigues M.W., de Oliveira G.K., de Almeida L.G., Schwartsmann C.R. Spontaneous dislocation of the polyethylene component following knee revision arthroplasty: case report. Rev Bras Ortop. 2014;50(1):114-116. doi: 10.1016/j.rboe.2014.12.002.
- Jindal S., Bansal V., Ahmed M. Disengagement of tibial insert locking pin in total knee arthroplasty - A rare failure case report. J Clin Orthop Trauma. 2022;33:101996. doi: 10.1016/j.jcot.2022.101996.
- Nachtnebl L., Tomáš T., Apostolopoulos V., Pazourek L., Mahdal M. Long-Term Results of Total Knee Replacement Using P.F.C. Sigma System with an All-Polyethylene Tibial Component. Acta Chir Orthop Traumatol Cech. 2021;88(6):412-417. doi: 10.55095/achot2021/061. (In Czech).
- Brihault J., Navacchia A., Pianigiani S., Labey L., De Corte R., Pascale V., et al. All-polyethylene tibial components generate higher stress and micromotions than metal-backed tibial components in total knee arthroplasty. Knee Surg Sports Traumatol Arthrosc. 2016;24(8):2550-2559. doi: 10.1007/s00167-015-3630-8.
- Wasielewski R.C., Parks N., Williams I., Surprenant H., Collier J.P., Engh G. Tibial insert undersurface as a contributing source of polyethylene wear debris. Clin Orthop Relat Res. 1997;(345):53-59.
- Wasielewski R.C. The causes of insert backside wear in total knee arthroplasty. Clin Orthop Relat Res. 2002;(404): 232-246. doi: 10.1097/00003086-200211000-00037.
- Norgren B., Dalén T., Nilsson K.G. All-poly tibial component better than metal-backed: a randomized RSA study. Knee. 2004;11(3):189-196. doi: 10.1016/S0968-0160(03)00071-1.
- Kumar V., Hasan O., Umer M., Baloch N. Cemented all-poly tibia in resource constrained country, affordable and cost-effective care. Is it applicable at this era? Review article. Ann Med Surg (Lond). 2019;47:36-40. doi: 10.1016/j.amsu.2019.09.010.
- Apostolopoulos V., Nachtnebl L., Mahdal M., Pazourek L., Boháč P., Janíček P., et al. Clinical outcomes and survival comparison between NexGen all-poly and its metal-backed equivalent in total knee arthroplasty. Int Orthop. 2023;47(9):2207-2213. doi: 10.1007/s00264-023-05772-3.
- Gudnason A., Hailer N.P., W-Dahl A., Sundberg M., Robertsson O. All-Polyethylene Versus Metal-Backed Tibial Components-An Analysis of 27,733 Cruciate-Retaining Total Knee Replacements from the Swedish Knee Arthroplasty Register. J Bone Joint Surg Am. 2014;96(12):994-999. doi: 10.2106/JBJS.M.00373.
- Apostolopoulos V., Tomáš T., Boháč P., Marcián P., Mahdal M., Valoušek T., et al. Biomechanical analysis of all-polyethylene total knee arthroplasty on periprosthetic tibia using the finite element method. Comput Methods Programs Biomed. 2022;220:106834. doi: 10.1016/j.cmpb.2022.106834.
- Lewis P.L., Robertsson O., Graves S.E., Paxton E.W., Prentice H.A., W-Dahl A. Variation and trends in reasons for knee replacement revision: a multi-registry study of revision burden. Acta Orthop. 2021;92(2):182-188. doi: 10.1080/17453674.2020.1853340.
- Тихилов Р.М., Корнилов Н.Н., Куляба Т.А., Филь А.С., Дроздова П.В. Принципы создания и функционирования регистров артропластики коленного сустава. Вестник военно-медицинской академии. 2014;1(45):220-226. Tikhilov R.M., Kornilov N.N., Kulyaba T.A., Fil A.S., Drozdova P.V. Principles of creation and functioning of knee arthroplasty register. Bulletin of the Russian Military Medical Academy. 2014;1(45):220-226. (In Russian).
- Jensen C.L., Petersen M.M., Jensen K.E., Therbo M., Schrøder H.M. Outcome of isolated tibial polyethylene insert exchange after uncemented total knee arthroplasty: 27 patients followed for 8-71 months. Acta Orthop. 2006;77(6):917-920. doi: 10.1080/17453670610013222.
Дополнительные файлы












