The Use of Electret In the Surgical Treatment of Children With Perthes Disease: Early Outcomes
- Authors: Bortulev P.I.1, Vissarionov S.V.1,2, Baskaeva T.V.1, Barsukov D.B.1, Pozdnikin I.Y.1, Murashko T.V.1, Baskov V.E.1, Poznovich M.S.1
-
Affiliations:
- H. Turner National Medical Research Center for Сhildren’s Orthopedics and Trauma Surgery
- Mechnikov North-Western State Medical University
- Issue: Vol 28, No 1 (2022)
- Pages: 46-57
- Section: СLINICAL STUDIES
- Submitted: 12.01.2022
- Accepted: 14.02.2022
- Published: 15.01.2022
- URL: https://journal.rniito.org/jour/article/view/1726
- DOI: https://doi.org/10.17816/2311-2905-1726
- ID: 1726
Cite item
Abstract
The study aimed to evaluate the immediate results of the use of electret in the surgical treatment of children with Perthes disease.
Material and Methods. The study was based on the results of a comprehensive examination of 10 patients (10 hip joints; average age, 7.2±0.7 years). To stabilize the joint and comply with the principle of “containment therapy,” all children underwent triple pelvic osteotomy, which was supplemented by a transphyseal implantation electret. Postoperatively, all patients were evaluated for the severity of pain syndrome and amplitude of movements and underwent ultrasonography, radiometry of the main indicators of the structure and stability of the hip joint, computed tomography, and magnetic resonance imaging of the hip joints.
Results. The visual analog scale questionnaire indicated the presence of a moderately pronounced pain syndrome on postoperative day 3, with its complete relief by day 7. Ultrasound studies showed the absence of synovitis, and goniometry revealed the achievement of physiological indicators of flexion and abduction to the end of the hospitalization period. According to the radiation methods, all patients had elimination of subluxation with the restoration of hip joint stability and a significant improvement in the shape of the femoral head with the appearance of its single bone contour. The volume of the bone part of the femoral head increased by 15%–35% from the original, and there was a significant improvement in the shape of the cartilaginous model with the complete absence of a necrosis focus in the femoral head, close to the physiological position of the labrum acetabulum.
Conclusion. The use of electret in the surgical treatment of children with Perthes disease in Catterall groups III–IV and hip subluxation due to the anti-inflammatory effect makes it possible to alleviate pain syndrome and manifestations of synovitis early after surgery and to begin rehabilitation treatment with the achievement of the physiological amplitude of movements in the hip joint in the immediate postoperative period. The osteoreparative effect of the electrostatic electret field alone or in combination with anti-inflammatory treatment increased the volume of the newly formed bone tissues of the femoral head with a decrease in the area of its defect or disappearance of compression of the central part of the epiphysis with the differentiation of the initial elements of the trabecular pattern, in comparison with the homogeneous high-intensity structure of the femoral head.
Full Text
Background
Currently, Perthes' disease remains one of the most severe and difficult in terms of the treatment of hip joint diseases in children. The incidence of this pathology ranges from 0.4 to 29.0 per 100,000 children with a peak of the disease from 4 to 8 years [1, 2, 3]. The pathogenesis of the disease is a violation of arterial perfusion of the proximal epiphysis of the femur with its subsequent infarction and the formation of a necrosis focus with a different volume of lesion of the femoral head [4, 5]. The natural course of Perthes' disease in children in groups III–IV according to the Catterall classification [6] leads to deformation of the femoral head with the formation of an extrusion subluxation of the latter. With such radiological picture of the disease, an adequate method of treatment is surgical — “primary surgical containment". One of the most common methods of surgical treatment that allows to stabilize the hip joint and significantly improve the shape of the proximal epiphysis of the femur is a triple osteotomy of the pelvis. At the same time, it should be emphasized that there are no studies to assess the course of the processes of revitalization of the necrosis focus in the femoral head.
To date, in order to reduce the recovery time of the shape and structure of the proximal epiphysis of the femur, such conservative treatment methods as physiotherapy (various types of electrophoresis, laser and magnetotherapy) are widely used, but their effectiveness remains unproven. It has also recently been established that electric fields serve as an effective tool for controlling and regulating cellular and tissue homeostasis, and electric potentials play an important role in the proliferation, migration and remodeling of bone cells [7]. However, all available electrical stimulators operate from external power sources, which significantly limits their use due to the inconvenience caused and the lack of the possibility of their long-term use. In recent years, there have been data on methods of stimulating positive biological processes in the human body by short-range static electric fields created by autonomously functioning electretes [8]. Electretes are electrical analogues of permanent magnets, the physics of which is based on rather complex phenomena underlying the so—called electret state of dielectrics [9]. Electretes belong to the class of active dielectrics and are materials capable of maintaining residual polarization for a long time (months or even years) after removal of external influence and generating a relatively strong (up to 106 V/m) quasi-static (slowly changing in time) electric field. Along with the presence of a field, electretes have a very weak electric current (density 10-14 A / mm2), which flows along the field voltage gradient. This current, which increases many times when the electret is heated, is called a thermally stimulated current (TSC). The totality of the manifestations of electret (electric field and TSC) is called the electret effect. Currently, there are publications in the literature reporting successful results of treatment of adult patients with osteoarthritis of the joints of the lower extremities using orthopedic electret [10, 11, 12, 13]. Studies concerning the effectiveness of electret use in the surgical treatment of orthopedic diseases of the hip joint in children in our country are of a single nature.
The aim of the study was to evaluate the immediate results of the use of orthopedic electret in the surgical treatment of children with Perthes' disease.
Methods
Design of the study
A multicenter open cohort prospective study was performed.
The criteria for inclusion of patients in the study were: the age of children from 6 to 8 years, the presence of hip subluxation, subtotal or total lesion to the epiphysis (Catterall group III–IV), the stage of fragmentation of the femoral head, the absence of surgical interventions history on the hip joint, the absence of neurological disorders of the lower extremities, systemic and genetic diseases, voluntary informed consent of patients and their parents to participate in this study.
Exclusion criteria: age less than 6 and older than 8 years; femoral epiphysis lesion corresponding to Catterall groups I–II; absence of hip joint instability; stage of osteonecrosis, impression fracture or recovery; presence of confirmed neurological, systemic and genetic diseases.
Patients
The study included 10 patients (10 hip joints) aged 6 to 8 (7.2±0.7) years with Perthes disease in the stage of fragmentation with lesions of the femoral epiphysis corresponding to Catterall groups III–IV, and the presence of extrusion hip subluxation. There were 8 male (80%) and 2 female (20%) patients. After diagnosis, all children underwent conservative treatment at their place of residence without observing the principle of “containment therapy” — the centralization of the femoral head in the acetabulum with a bone coverage coefficient equal to 100%. In this regard, all patients developed instability of the hip joint on the side of the lesion in the form of hip subluxation, which required surgical treatment. The purpose of the surgery was to restore the stability of the joint with the creation of conditions for the formation of the sphericity of the femoral head and the congruence of the articular surfaces of the hip joint as a whole.
Surgical technique
A triple pelvic osteotomy was chosen as a surgical treatment technique, which was supplemented by implantation of an orthopedic electret "Electret stimulator of osteoreparation — IMPLESO" (Medel LLC, Russia) into the neck and head of the femur in such a way that its proximal part was transfisually brought as close as possible to the focus of necrosis in the femoral head (Fig. 1).
Fig. 1. Postoperative X-ray images of the patient, born in 2015: a — AP projection; b — axial projection. The proximal part of the orthopedic electret is brought through the neck of the femur physis to the focus of head necrosis as close as possible
Methods of examination
The clinical study consisted in the classical method of examination of patients with orthopedic pathology of the hip joints. The preoperative comprehensive examination included ultrasound and radiography of the hip joints in anteroposterior and axial projections, as well as in the position of abduction and internal rotation of the lower extremities in order to assess the centralization of the femoral head in the acetabulum and exclude the symptom of “hinge adduction”, MSCT and MRI of the hip joints. Radiography was performed on a Philips Digital Diagnostic device MSCT — on a Philips CT Brilliance 64 multisection tomograph, MRI — on a Philips Ingenia Elition 3.0T X device .
In the postoperative period, the examination included an assessment of the severity of the pain syndrome on the VAS scale on the 3rd, 7th and 14th days after the surgery, the amplitude of movements on the 7th and 14th days, ultrasound of the hip joints on the 3rd, 7th and 14th days., radiography of hip joints in anteroposterior and axial projections, MSCT and MRI 6 months after surgery. According to the results of ultrasound, the presence and severity of hip synovitis were assessed. On the basis of radiographs, radiometry of the main indicators of the anatomical structure and stability of the hip joint was performed (Sharp and Wiberg angles, cervical-diaphyseal angle, angle of antetorsion of the proximal femur, degree of bone coverage (UPC). According to the MSCT data, the shape, size and structure of the femoral head were evaluated using volumetric and multiplanar reconstructions using tissue segmentation techniques (color mapping of the affected head) with measurement of its volume, and densitometric indicators of femoral head density were evaluated using the histogram technique of the selected volume of the area under study. According to MRI data, the shape of cartilaginous models of the femoral head and acetabulum was evaluated.
Statistical analysis
Statistical analysis was carried out using Excel 2010 and SPSS Statistics v. 26. Using descriptive statistics, arithmetic averages (M), standard deviations (SD), median (Me) with the 25th and 75th percentiles (Q1–Q3) were calculated. The intragroup analysis was carried out using the Wilcoxon criterion.
Results
Upon admission to inpatient treatment in the department of hip pathology, the main complaint of patients was the restriction of movements in the hip joint, which was characterized by typical disorders of the amplitude of abduction and internal rotation in the hip joint (Table 1).
Table 1. The range of motions in the hip joints in patients before surgery, degrees
Motion | Range of motions (М±SD) / Ме (Q1–Q3) |
Flexion | 109,0±5,7 / 110 (105–115) |
Abduction | 13,6±3,2 / 15 (10–15) |
Internal rotation | 12,7±4,1 / 15 (10–15) |
External rotation | 44,0±7,4 / 45 (40–50) |
As can be seen from Table 1, functionally significant changes in the parameters of the amplitude of flexion and external rotation were not verified. The Thomas test was negative in all patients.
Ultrasound of the hip joints revealed that 9 (90%) patients had an expansion of the capsular-cervical space before surgery compared with the contralateral healthy joint, the average value of which was 2.5 ± 0.4 mm. The data obtained indicated the presence of moderately pronounced synovitis of the hip joint. The results of the X-ray examination are presented in Table 2.
Table 2. Comparison of X-ray anatomical parameters of the hip joint in children with Perthes' disease before surgery with standard indicators
Parameter | Perthes' disease patients (M±SD) / Ме (Q1–Q3) | Normative parameters in healthy children (Kamosko M.M.) [14]) |
Sharp angle, deg. | 51,1±2,7 /49,1 (48,0–52,8) | 35–45 |
Wiberg angle, deg. | 9,9±4,1 / 11 (5,5–13,0) | 25–40 |
NSA, deg. | 141,5±5,3 / 141,5 (138,3–145,0) | 125–145 |
AA, deg. | 15,3±2 / 15 (13,3–16,0) | 10–30 |
DBC, % | 58,3±7,0 / 57,5 (51,3–64,5) | 85–100 |
It was found that in patients with Perthes' disease there was a moderately pronounced excess of the upper limit of the normal values of the angle of inclination of the acetabulum in the frontal plane, which may be due to extrusion subluxation of the hip. This is evidenced by the pathological values of the angle of Wiberg and DBC with the presence of a site of local hyperpression of articular surfaces in the upper-lateral part and the formation of secondary deformation of the acetabulum. The values of NSA and АА were within the physiological norm.
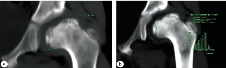
The results of MSCT of the hip joints showed that in all patients, during the initial studies, there was a total lesion of the femoral head with partial preservation of the marginal surfaces of the epiphysis. The subchondral necrosis zone was measured when assessing the height of the lateral, central and medial parts of the head. A total decrease in the height of the central part was observed in 30% of patients, subtotal — in 70%. Densitometric characteristics of the density of the fragmented femoral head according to the histogram showed increased mineralization by an average of 81.8 ±15.9 units. Houndsfield (HU) compared with a healthy femoral head (Fig. 2).
Fig. 2. Computed tomography of the hip in a patient with Perthes disease (Catterall IV) and hip subluxation: a — method of measuring the zone of subchondral necrosis; b — assessment of femoral head density using the histogram technique of the allocated volume of the studied zone
According to the MRI, all patients had deformity of the cartilaginous model of the proximal epiphysis of the femur and labrum acetabulum (Fig. 3). The latter, in our opinion, arose due to the forming coxa magna and hip subluxation.
Fig. 3. Magnetic resonance imaging of a patient, born in 2015, with the diagnosis of Perthes disease in the stage of fragmentation with total lesion of the femoral head (Catterall IV) and hip subluxation (explanations in the text)
The severity of the pain syndrome in the postoperative period according to the results of the patient survey is shown in Figure 4.
Fig. 4. Severity of pain syndrome in patients according to the visual analog scale on postoperative days 3, 7, and 14
The maximum intensity of the pain syndrome on the 3rd day after performing a triple pelvic osteotomy in combination with implantation of an orthopedic electret was 3 points, which corresponds to moderate pain. In the future, by the 7th day, only one out of 10 patients had pain syndrome corresponding to 2 points according to VAS. On the 14th day, pain was completely stopped in all children. The absence of a pronounced pain syndrome made it possible to start early rehabilitation treatment according to the methods developed in the clinic [15], which, in turn, allowed to achieve an almost physiological amplitude of flexion and withdrawal by the time of discharge of patients (Table 3).
Table 3. The range of motions in the hip joints on the 7th and 14th days of the postoperative period, degrees
Motion | 7th day (М±SD) Ме (Q1–Q3) | 14th day (М±SD) Ме (Q1–Q3) |
Flexion | 88,5±4,7 90 (85,0–91,3) | 105,0±4,7 105 (100–110) |
Abduction | 23,0±3,5 22,5 (20–25) | 28,0±2,6 30 (25–30) |
Ultrasound of the hip joints performed on the 3rd day after surgery revealed an expansion of the capsular-cervical space, the size of which was 1.4 mm compared with a healthy joint in only 1 (10%) patient. The results of the analysis of the X-ray anatomical structure of the pelvic and femoral components of the joint, as well as its stability, carried out after 6 months are presented in Table 4.
Table 4. Comparison of X-ray anatomical parameters of the hip joint in children with Perthes' disease 6 months after surgery with standard indicators
Parameter | Perthes' disease patients (M±SD) / Ме (Q1–Q3) | Normative parameters in healthy children (Kamosko M.M.) [14]) |
Sharp angle, deg. | 34,0±3,3 34,0 (30,8–35,5) | 35–45 |
Wiberg angle, deg. | 35,4±4,0 36,0 (32,0–38,5) | 25–40 |
NSA, deg. | 141,5±5,3 141,5 (138,3–145,0) | 125–145 |
AA, deg. | 15,3±2,0 15 (13,3–16,0) | 10–30 |
DBC, % | 98,5±2,4 100 (95–100) | 85–100 |
It can be seen from Table 4 that all patients had elimination of subluxation with restoration of hip joint stability, as evidenced by the changes in the Sharp, Wiberg, and DBC angles (p<0.05). The moderately pronounced excess of the lower limit of the normal values of the Sharp angle is explained by the need for a greater intraoperative lateral inclination of the acetabulum than in children with hip dysplasia due to the presence of a destroyed lateral column of the femoral head and coxa magna forming, as well as its initially smaller deformation. The results of the MSCT showed that the structure of the femoral head bone tissue in dynamics allowed differentiating the initial elements of the trabecular pattern in comparison with the homogeneous high-intensity structure of the head initially, and the densitometric characteristics of the femoral head density, according to the histogram, began to approach the values on the contralateral proximal epiphysis. In all patients, during the control study, the restoration of the shape of the head was noted in the form of both an increase in the size of the lateral parts (mainly lateral) and a decrease in the area of the head defect or lack of compression of the central part of the epiphysis — a significant improvement in the shape of the femoral head with the appearance of its single bone contour. With volumetry, the volume of the bone part of the head increased by 15-35% (2-3 cm3) from the initial values (Fig. 5).
Fig. 5. Computed tomography of the hip: volumetric and multiplanar reconstructions and tissue segmentation (color mapping of the affected head) with the measurement of its volume: a — assessment of the densitometric parameters of the femoral head density using the histogram technique of the selected volume of the area under study; b — measurement of the volume of the affected head by multiplanar reconstruction with color mapping; c — measurement of the bone mass volume of the affected head before surgery; d — 6 months after surgery
The MRI performed showed a significant improvement in the shape of the cartilage model and the absence of a necrosis focus in the femoral head, as well as an approximate physiological position of the labrum acetabulum (Fig. 6).
Fig. 6. Magnetic resonance imaging of cartilaginous models of the femoral head and acetabulum 6 months after surgery (explanations in the text)
Discussion
The modern treatment of patients with Perthes' disease is based on the principle of “containment therapy”, which consists in immersing the femoral head into the acetabulum with a degree of bone coverage equal to one, which allows improving the shape of the femoral head and thereby delaying the development of hip arthritis [16]. Surgical treatment in the vast majority of cases is required for children over 6 years of age with total or subtotal lesion to the epiphysis according to the Catterall classification, since the destruction of the lateral column of the femoral head with increased intra-articular pressure provokes joint instability [17, 18]. To date, in the world orthopedic practice, in the surgical treatment of children with Perthes disease with subtotal or total damage to the epiphysis, to achieve the principle of “containment therapy”, methods of corrective (varization) femur osteotomy and triple pelvic osteotomy are used. There is no clear answer in the scientific literature about the advantages of one treatment tactic over another. At the same time, a number of authors have proved that the typical shortening of the lower limb after performing a corrective (varization) osteotomy of the femur is on average 2 cm, and the combination of weakness of the gluteal muscles and different heights of the lower extremities in the long-term postoperative period forms a violation of the stereotype of walking in the form of lameness [19, 20, 21, 22, 23]. Triple pelvic osteotomy, according to many authors, is considered the most justified surgical technique, since it avoids intervention on the proximal femur and thereby excludes the formation of clinically significant shortening of the lower limb and iatrogenic hypertrophy of the large trochanter [24, 25, 26]. Taking into account the data of the world literature, in this study, triple pelvic osteotomy was chosen as a method of surgical treatment of children with Perthes' disease. It is known that under the influence of a pulsed electromagnetic field, osteoblasts are stimulated and osteogenesis activity increases due to an increase in the expression of TGF-beta1 and BMP-2/4 proteins, as well as an increase in intracellular calcium transition processes [27, 28, 29].
According to a number of authors, a strong positive anti-inflammatory effect has been proven under the influence of a pulsed electromagnetic field, which causes an increase in the activity of adenylate cyclase and a decrease in the production of superoxide anions as a result of increased regulation of A2A receptors located on the surface of neutrophils. This helps to improve blood flow, and also limits the expansion of the necrotic zone resulting from ischemia [30, 31].
At the same time, there is practically no data in the available literature on the use of electric fields, especially immersion fields, in the treatment of this category of pediatric patients, their effect on the course of the postoperative period and on a comprehensive assessment of the timing of the revitalization of the necrosis focus in the proximal epiphysis of the femur. The publications mainly concern the evaluation of the functional results of the treatment of adult patients with aseptic necrosis of the femoral head. A number of authors independently proved the effectiveness of isolated application of surface electromagnetic stimulation in the early stages of aseptic necrosis of the femoral head (Ficat I and II) in adult patients [32, 33, 34]. J.L. Cebrián et al. and L. Massari et al. in their studies showed that the overwhelming number of patients receiving electromagnetic therapy had a significant decrease in pain syndrome, and in some it was completely stopped [32, 33].
R.K. Aaron et al. conducted a comparative analysis of the effectiveness of electromagnetic stimulation in 56 patients and surgical decompression of the necrosis focus in 50 patients. According to the results of the questionnaire on the modified D'Aubigne functional scale, 68% of patients receiving this type of physiotherapy showed clinical and functional improvement, while the same result in patients receiving surgical treatment was in 44%. The X—ray examination showed the progression of the pathological process in both groups, but it was less pronounced in patients receiving electromagnetic therapy - 39% versus 64% [35].
Based on the data of a comprehensive examination in the immediate postoperative period obtained during the execution of our study, it can be concluded that the constant electrostatic field created by the implanted orthopedic electret has anti-inflammatory and analgesic effects. It should be noted that previously patients had to perform a physiotherapy procedure for 8 hours a day for several months, which causes significant social difficulties. The use of orthopedic electret allows you to abandon these procedures and improve the quality of life of patients and their parents.
In the only Russian thematic publication, N.I. Nelin et al. analyzed the functional and radiological results of treatment of 49 children with Perthes' disease, while electret implants were used in 15 patients - a Blount-type plate or screw [36]. The authors note good anatomical and functional outcomes in 93.3% of patients, while in children who received similar surgical treatment without the use of orthopedic electretes, similar results were found in 86.6%. The authors attribute the obtained results to the positive effect of the electrostatic field, which manifested itself in the activation of proliferation and differentiation of multipotent mesenchymal stromal cells of the bone marrow, intensification of the processes of synthesis of proteins of osteogenic and chondrogenic orientation, as well as a decrease in the intensity of pain syndrome due to blocking the processes of depolarization of the membrane of cells of specific bone receptors. However, the authors do not indicate either the timing of pain relief or the timing of restoration of the structure of the femoral head.
Study limitations
Our study has the following limitations: a small group of patients due to the rare occurrence of such severity of hip joint lesion in the totality of the described pathological changes, the absence of a comparison group and thematic publications.
Conclusions
The use of orthopedic electret in the surgical treatment of children with Perthes' disease in Catterall III–IV groups and hip subluxation due to the anti-inflammatory effect makes it possible to stop pain syndrome and manifestations of synovitis in the early stages after surgery, to begin rehabilitation treatment with the achievement of physiological range of motions in the hip joint in the immediate postoperative period. Apparently, the osteoreparative effect of the electrostatic electret field in its own version or in combination with an anti-inflammatory effect provides an increase in the volume of newly formed bone tissue of the head with a decrease in the area of its defect or the absence of compression of the central part of the epiphysis with differentiation of the initial elements of the trabecular pattern in comparison with the homogeneous high-intensity structure of the femoral head.
It is planned to conduct a further study of the effect of orthopedic electret on the timing of the revitalization of the necrosis focus and restoration of the structure of the femoral head as part of a comparative analysis.
Disclaimers
Authors’ contributions
Bortulev P.I. — research concept and design, data statistical processing, literature review, manuscript writing and editing, surgical treatment of patients.
Vissarionov S.V. — manuscript editing.
Baskaeva T.V. — data collection and processing, surgical treatment of patients.
Barsukov D.B. — surgical treatment of patients, manuscript editing.
Ivan Yu. Pozdnikin — manuscript editing, surgical treatment of patients.
Murashko T.V. — assessment and analysis of radiology examination results.
Baskov V.E. — data collection and processing.
Poznovich M.S. — data collection and processing.
All authors have read and approved the final version of the manuscript of the article. All authors agree to bear responsibility for all aspects of the study to ensure proper consideration and resolution of all possible issues related to the correctness and reliability of any part of the work.
Funding source. This study was not supported by any external sources of funding.
Competing interests. The authors declare that they have no competing interests.
Ethics approval. The study was approved by the local ethics committee of H. Turner National Medical Research Center for Сhildren’s Orthopedics and Trauma Surgery, protocol No 21-2, 02.02.2021 г.
Consent for publication. Written consent was obtained from legal representatives of children for publication of relevant medical information and all of accompanying images within the manuscript.
About the authors
Pavel I. Bortulev
H. Turner National Medical Research Center for Сhildren’s Orthopedics and Trauma Surgery
Author for correspondence.
Email: pavel.bortulev@yandex.ru
ORCID iD: 0000-0003-4931-2817
Cand. Sci. (Med.)
Russian Federation, 64-68, Parkovaya str., St. Petersburg, 196603Sergei V. Vissarionov
H. Turner National Medical Research Center for Сhildren’s Orthopedics and Trauma Surgery; Mechnikov North-Western State Medical University
Email: vissarionovs@gmail.com
ORCID iD: 0000-0003-4235-5048
Corresponding member of RAS, Dr. Sci. (Med.)
Russian Federation, 64-68, Parkovaya str., St. Petersburg, 196603; St. PetersburgTamila V. Baskaeva
H. Turner National Medical Research Center for Сhildren’s Orthopedics and Trauma Surgery
Email: tamila-baskaeva@mail.ru
ORCID iD: 0000-0001-9865-2434
врач–травматолог–ортопед отделения патологии тазобедренного сустава
Russian Federation, 64-68, Parkovaya str., St. Petersburg, 196603Dmitry B. Barsukov
H. Turner National Medical Research Center for Сhildren’s Orthopedics and Trauma Surgery
Email: dbbarsukov@gmail.com
ORCID iD: 0000-0002-9084-5634
Cand. Sci. (Med.)
Russian Federation, 64-68, Parkovaya str., St. Petersburg, 196603Ivan Yu. Pozdnikin
H. Turner National Medical Research Center for Сhildren’s Orthopedics and Trauma Surgery
Email: pozdnikin@gmail.com
ORCID iD: 0000-0002-7026-1586
Cand. Sci. (Med.)
Russian Federation, 64-68, Parkovaya str., St. Petersburg, 196603Tatyana V. Murashko
H. Turner National Medical Research Center for Сhildren’s Orthopedics and Trauma Surgery
Email: popova332@mail.ru
ORCID iD: 0000-0002-0596-3741
врач-рентгенолог
Russian Federation, 64-68, Parkovaya str., St. Petersburg, 196603Vladimir E. Baskov
H. Turner National Medical Research Center for Сhildren’s Orthopedics and Trauma Surgery
Email: dr.baskov@mail.ru
ORCID iD: 0000-0003-0647-412X
Cand. Sci. (Med.)
Russian Federation, 64-68, Parkovaya str., St. Petersburg, 196603Makhmud S. Poznovich
H. Turner National Medical Research Center for Сhildren’s Orthopedics and Trauma Surgery
Email: poznovich@bk.ru
ORCID iD: 0000-0003-2534-9252
научный сотрудник генетической лаборатории центра редких и наследственных заболеваний у детей
Russian Federation, 64-68, Parkovaya str., St. Petersburg, 196603References
- Loder R.T., Skopelja E.N. The epidemiology and demographics of Legg-Calvé-Perthes’ disease. ISRN Orthop. 2011;2011:504393. doi: 10.5402/2011/504393.
- Perry D.C., Hall A.J. The epidemiology and etiology of Perthes disease. Orthop Clin North Am. 2011;42(3): 279-283, v. doi: 10.1016/j.ocl.2011.03.002.
- Leroux J., Abu Amara S., Lechevallier J. Legg-Calvé-Perthes disease. Orthop Traumatol Surg Res. 2018;104(1S):S107-S112. doi: 10.1016/j.otsr.2017.04.012.
- Guerado E., Caso E. The physiopathology of avascular necrosis of the femoral head: an update. Injury. 2016;47 Suppl 6:S16-S26. doi: 10.1016/S0020-1383(16)30835-X.
- Douglas G., Rang M. The role of trauma in the pathogenesis of the osteochondroses. Clin Orthop Relat Res. 1981;(158):28-32.
- Catterall A. The natural history of Perthes’ disease. J Bone Joint Surg Br. 1971;53(1):37-53.
- Huang X., Das R., Patel A., Nguyen T.D. Physical Stimulations for Bone and Cartilage Regeneration. Regen Eng Transl Med. 2018;4(4):216-237. doi: 10.1007/s40883-018-0064-0.
- Александрова О.И., Александрова С.А., Хомутов В.П., Моргунов М.С., Блинова М.И. Жизнеспособность клеток различных типов, культивируемых на поверхности медицинского электрета. Журнал технической физики. 2018;88(9):1348-1354. doi: 10.21883/JTF.2018.09.46419.58-18. Aleksandrova O.I., Aleksandrova S.A., Homutov V.P., Morgunov M.S., Blinova M.I. Viability of Different Types of Cells Cultivated on the Surface of Medical Electret. Zhurnal tehnicheskoj fiziki [Journal of Technical Physics]. 2018;88(9):1348-1354. (In Russian).]
- Гринберг Я.З. О механизме преобразования вибраций в организме. Инженерный вестник Дона. 2014;4-2(32). Режим доступа: http://ivdon.ru/uploads/article/pdf/12_grinberg.pdf_132a9182db.pdf. Grinberg J.Z. [Transformation mechanism of vibrations in the body]. Inzhenernyi vestnik Dona [Engineering Journal of Don]. 2014;4-2(32). Available from: http://ivdon.ru/uploads/article/pdf/12_grinberg.pdf_132a9182db.pdf. (In Russian).
- Линник С.А., Хомутов В.П. Исследование эффективности электростатического поля в лечении остeoаpтpoза. РМЖ. Медицинское обозрение. 2017;1(1):2-5. Linnik S.A., Khomutov V.P. [Study of the effectiveness of the electrostatic field in the treatment of osteoarthritis]. RMZh. Meditsinskoe obozrenie [Russian Medical Journal. Medical Review]. 2017;1(1):2-5. (In Russian).
- Александрова С.А., Александрова О.И., Хомутов В.П., Моргунов М.С., Блинова М.И. Влияние электрического поля электрета на основе анодного оксида тантала на дифференцировочные свойства стромальных клеток костного мозга больного остеоартрозом. Цитология. 2018;60(12):987-995. doi: 10.1134/S0041377118120052. Aleksandrova S.A., Aleksandrova O.I., Khomutov V.P., Morgunov M.S., Blinova M.I. [The influence of an electret-generated electric field based on a tantalum oxide anode on differentiation properties of bone marrow stromal cells from patients with osteoarthritis]. Tsitologiya. 2018;60(12):987-995. (In Russian). doi: 10.1134/S0041377118120052.
- Aleksandrova S.A., Aleksandrova O.I., Blinova M.I., Khomutov V.P., Morgunov M.S. The influence of an electret-generated electric field based on a tantalum oxide anode on differentiation properties of bone marrow stromal cells from patients with osteoarthritis.Cell and Tissue Biology. 2019;13(2):144-151. doi: 10.1134/s1990519x19020020.
- Вансович Д.Ю., Линник С.А., Хомутов В.П., Сердобинцев М.С. Мини-инвазивное хирургическое лечение больных деформирующим остеоартрозом коленного сустава с использованием электретов. Современные проблемы науки и образования. 2020:(3). doi: 10.17513/spno.29869. Режим доступа: https://science-education.ru/article/view?id=29869. Vansovich D.Y., Linnik S.A., Homutov V.P., Serdobintsev M.S. [Minimally invasive surgical treatment of patients with deforming knee joint osteoarthrosis using electrets]. Sovremennye problemy nauki i obrazovaniya [Modern Problems of Science and Education]. 2020:(3). (In Russian). doi: 10.17513/spno.29869. Available from: https://science-education.ru/article/view?id=29869.
- Камоско М.М., Баиндурашвили А.Г. Диспластический коксартроз у детей и подростков (клиника, патогенез, хирургическое лечение). Санкт-Петербург: СпецЛит; 2010. с. 54-72. Kamosko M.M., Baindurashvili A.G. Displasticheskii koksartroz u detei i podrostkov (klinika, patogenez, khirurgicheskoe lechenie) [Dysplastic coxarthrosis in children and adolescents (clinic, pathogenesis, surgical treatment)]. St. Petersburg: SpetsLit; 2010. p. 54-72. (In Russian).
- Бортулёва О.В., Басков В.Е., Бортулёв П.И. Барсуков Д.Б., Поздникин И.Ю. Реабилитация подростков после хирургического лечения диспластического коксартроза. Ортопедия, травматология и восстановительная хирургия детского возраста. 2018;6(1):45-50. doi: 10.17816/PTORS6145-50. Bortuleva O.V., Baskov V.E., Bortulev P.I. Barsukov D.B., Pozdnikin I.Yu. [Rehabilitation of adolescents after surgical treatment of dysplastic coxarthrosis]. Ortopediya, travmatologiya i vosstanovitel’naya khirurgiya detskogo vozrasta [Pediatric Traumatology, Orthopaedics and Reconstructive Surgery]. 2018;(6)1:45-50. (In Russian). doi: 110.17816/PTORS6145-50.
- Тепленький М.П., Парфёнов Э.М. Хирургическое лечение детей с тяжелыми формами болезни Пертеса. Гений ортопедии. 2013;(1):32-35. Teplen’kii M.P., Parfenov E.M. [Surgical treatment of children with severe forms of Perthes disease]. Genij Ortopedii. 2013;(1):32-35. (In Russian).
- Gigante C., Frizziero P., Turra S. Prognostic value of Catterall and Herring classification in Legg-Calvé-Perthes disease: follow-up to skeletal maturity of 32 patients. J Pediatr Orthop. 2002;22(3):345-349.
- Kim H.K., Wiesman K.D., Kulkarni V., Burgess J., Chen E., Brabham C. et al. Perfusion MRI in Early Stage of Legg-Calvé-Perthes Disease to Predict Lateral Pillar Involvement: A Preliminary Study. J Bone Joint Surg Am. 2014;96(14):1152-1160. doi: 10.2106/JBJS.M.01221.
- Friedlander J.K., Weiner D.S. Radiographic results of proximal femoral varus osteotomy in Legg-Calvé-Perthes disease. J Pediatr Orthop. 2000;20(5):566-571. doi: 10.1097/00004694-200009000-00004.
- Барсуков Д.Б., Краснов А.И., Басков В.Е., Поздникин И.Ю., Волошин С.Ю., Баскаева Т.В. и др. Корригирующая остеотомия бедра в комплексном лечении детей с болезнью Легга-Кальве-Пертеса. Гений ортопедии. 2017;23(1):63-70. doi: 10.18019/1028-4427-2017-23-1-63-70. Barsukov D.B., Krasnov A.I., Baskov V.E., Pozdnikin I.Yu., Voloshin S.Yu., Baskaeva T.V. et al. [Corrective femoral osteotomy in the complex treatment of childrenwith Legg-Calve-Perthes disease]. Genij Ortopedii. 2017;23(1):63-70. (In Russian). doi: 10.18019/1028-4427-2017-23-1-63-70.
- Futami T., Suzuki S. Different methods of treatment related to the bilateral occurrence of Perthes’ disease. J Bone Joint Surg Br. 1997;79(6):979-982. doi: 10.1302/0301-620x.79b6.7743.
- Меншикова Т.И., Мальцева Л.В. Особенности ультразвуковой диагностики начальных проявлений болезни Легг-Кальве-Пертеса у детей. Международный журнал прикладных и фундаментальных исследований. 2015;(2, часть 1):54-58. Режим доступа: https://applied-research.ru/ru/article/view?id=6375. Mensсhikova T.I., Maltseva L.V. [Charakteristics of ltrasaund diagnostics of the initial manifistations of Legg-Calve-Perthes, disease in children]. 2015; (2, Suppl 1):54-58. Available from: https://applied-research.ru/ru/article/view?id=6375. (In Russian).
- Grzegorzewski A., Synder M., Kozłowski P., Szymczak W., Bowen R.J. Leg length discrepancy in Legg-Calve-Perthes disease. J Pediatr Orthop. 2005;25(2):206-209. doi: 10.1097/01.bpo.0000148497.05181.51.
- Camurcu I.Y., Yildirim T., Buyuk A.F., Gursu S.S., Bursali A., Sahin V. Tönnis triple pelvic osteotomy for Legg-Calve-Perthes disease. Int Orthop. 2015;39(3):485-490. doi: 10.1007/s00264-014-2585-6.
- Rosello O., Solla F., Oborocianu I., Chau E., ElHayek T., Clement J.-L. et al. Advanced containment methods for Legg-Calvé-Perthes disease: triple pelvic osteotomy versus Chiari osteotomy. Hip Int. 2018;28(3):297-301. doi: 10.5301/hipint.5000569.
- Pailhé R., Cavaignac E., Murgier J., Cahuzac J.P., de Gauzy J.S., Accadbled F. Triple osteotomy of the pelvis for Legg-Calve-Perthes disease: a mean fifteen year follow-up. Int Orthop. 2016;40(1):115-122. doi: 10.1007/s00264-015-2687-9.
- Tong J., Sun L., Zhu B,. Fan Y., Ma X., Yu L. et al. Pulsed electromagnetic fields promote the proliferation and differentiation of osteoblasts by reinforcing intracellular calcium transients. Bioelectromagnetics. 2017;38(7): 541-549. doi: 10.1002/bem.22076.
- Zhou J., He H., Yang L., Chen S., Guo H., Xia L. et al. Effects of pulsed electromagnetic fields on bone mass and Wnt/beta-catenin signaling pathway in ovariectomized rats. Arch Med Res. 2012;43(4):274-282. doi: 10.1016/j.arcmed.2012.06.002.
- Ehnert S., Fentz A.K., Schreiner A., Birk J., Wilbrand B., Ziegler P. et al. Extremely low frequency pulsed electromagnetic fields cause antioxidative defense mechanisms in human osteoblasts via induction of •O2- and H2O2. Sci Rep. 2017;7(1):14544. doi: 10.1038/s41598-017-14983-9.
- Varani K., De Mattei M., Vincenzi F., Gessi S., Merighi S., Pellati A. et al. Characterization of adenosine receptors in bovine chondrocytes and fibroblast-like synoviocytes exposed to low frequency low energy pulsed electromagnetic fields. Osteoarthritis Cartilage. 2008;16(3):292-304. doi: 10.1016/j.joca.2007.07.004.
- Ongaro A., Pellati A., Masieri F.F., Caruso A., Setti S., Cadossi R. et al. Chondroprotective effects of pulsed electromagnetic fields on human cartilage explants. Bioelectromagnetics. 2011;32(7):543-551. doi: 10.1002/bem.20663.
- Massari L., Fini M., Cadossi R., Setti S., Traina G.C. Biophysical stimulation with pulsed electromagnetic fields in osteonecrosis of the femoral head. J Bone Joint Surg Am. 2006;88 Suppl 3:56-60. doi: 10.2106/JBJS.F.00536.
- Cebrián J., Milano G., Francés A., Lopiz Y., Marco F., López-Durán L. Role of electromagnetic stimulation in the treatment of osteonecrosis of the femoral head in early stages. J Biomed Sci Eng. 2014;7(5):252-257. doi: 10.4236/jbise.2014.75028.
- Bassett C.A., Schink-Ascani M., Lewis S.M. Effects of pulsed electromagnetic fields on Steinberg ratings of femoral head osteonecrosis. Clin Orthop Relat Res. 1989;(246):172-185.
- Aaron R.K., Lennox D., Bunce G.E., Ebert T. The conservative treatment of osteonecrosis of the femoral head. A comparison of core decompression and pulsing electromagnetic fields. Clin Orthop Relat Res. 1989;(249):209-218.
- Нелин Н.И., Хомутов В.П., Э.Г. Квиникадзе, М.П. Пирпилашвили. Опыт применения электретов при остеохондропатии головки бедренной кости у детей. Opinion Leader. 2019;1(19):84-89. Nelin N.I., Homutov V.P., Je.G. Kvinikadze, M.P. Pirpilashvili. [Experience in the use of electrets in osteochondropathy of the femoral head in children.]. Opinion Leader. 2019;1(19):84-89. (In Russian).
Supplementary files










