Features of the Extraction of the Anterior Tibial Vessels in the Formation of Vascularized Bone Grafts
- Authors: Zelyanin D.A.1,2, Dubrov V.E.1, Zelyanin A.S.1,3,4, Filippov V.V.1, Yashin D.V.1,2, Petrosyan K.A.3
-
Affiliations:
- Lomonosov Moscow State University
- City Clinical Hospital No 29
- Sechenov University
- Petrovsky National Research Centre of Surgery
- Issue: Vol 28, No 1 (2022)
- Pages: 89-99
- Section: Theoretical and experimental studies
- Submitted: 19.12.2021
- Accepted: 17.02.2022
- Published: 15.01.2022
- URL: https://journal.rniito.org/jour/article/view/1719
- DOI: https://doi.org/10.17816/2311-2905-1719
- ID: 1719
Cite item
Full Text
Abstract
Background. The currently existing techniques for dissection the anterior tibial vascular bundle in the proximal third of the lower leg do not provide sufficient length of the vascular pedicle to rotate the tibial bone graft to the level of the middle third of the thigh.
The aim of the study — to substantiate the possibility of pedicled transfer to the level of the thigh middle third of two blood-supplied bone autografts on a common permanent pedicle, including the anterior tibial vascular bundle.
Material and Methods. The study was conducted on 62 lower limbs of non-fixed (native) corpses. We studied the topographic and anatomical relationship between the anterior tibial vascular bundle and the deep peroneal nerve at the level of the proximal third of the leg.
Results. The distance between the tip of the greater trochanter of the femur and the distal edge of the anterior tibial bone graft using a combination of grafts at the same level in men was Me — 176.7 [173.7; 193.9] mm, in women — Me = 151.6 [146.9; 159.9] mm. An analysis of limb lengths ratios in men and women indicates standard level that can be achieved with graft rotation in each person.
Conclusion. Dissection of the anterior tibial vascular bundle at the level of the proximal third of the lower leg allows rotation of the complex of the anterior tibial bone autograft and the autograft of the second metatarsal bone into the area of the middle third of the femur on a single vascular bundle. Prevention of injury to the deep peroneal nerve branches during dissection of the vascular pedicle requires the use of microsurgical techniques and preoperative preparation.
Full Text
Введение
Лечение пациентов с нарушением заживления переломов и остеотомий, в частности с ложными суставами бедренной кости, продолжает оставаться актуальной проблемой травматологии и реконструктивной хирургии [1]. Методики применения васкуляризованных костных лоскутов, появившиеся в конце XX века, признаны высокоэффективными при лечении ложных, в том числе атрофических суставов длинных костей скелета [2, 3, 4]. Разработка таких методов поддержки остеорепарации напрямую связана с исследованием микрососудистой анатомии потенциальных донорских зон, определением вариантов и техники формирования комплексов тканей [4]. Разработка методов формирования костного и надкостнично-кортикального аутотрансплантатов из дистального метадиафиза большеберцовой кости на сосудистых ветвях переднего большеберцового сосудистого пучка (ПББСП) расширила выбор васкуляризированных комплексов тканей, в том числе пригодных для ротации на сосудистой ножке [3, 4]. Однако существующие в настоящее время методики выделения ПББСП в проксимальной трети голени не обеспечивают достаточной длины сосудистой ножки для ротации костного трансплантата большеберцовой кости до уровня хотя бы средней трети бедра с сохранением целостности моторных ветвей глубокого малоберцового нерва (ГМБН) к передней большеберцовой мышце.
Цель исследования — обосновать возможность выполнения операций несвободной пересадки на уровень средней трети бедра двух кровоснабжаемых костных аутотрансплантатов на общей постоянной питающей ножке, включающей ПББСП.
Материал и методы
Для изучения особенностей анатомии и топографии ПББСП, а также возможности одновременного формирования васкуляризованных костных аутотрансплантатов из передней поверхности дистального метадиафиза большеберцовой кости и второй плюсневой кости было проведено комплексное исследование. Оно включало изучение как антропометрических пропорций тела и конечностей, так и топографо-анатомических взаимоотношений в проксимальной трети голени с инъекцией артериального русла и в нативном виде, реализацию разработанной методики выделения и ротации комплекса аутотрансплантатов, статистический анализ полученных результатов.
Материал
Исследование проведено на 62 нижних конечностях нефиксированных (нативных) трупов пациентов, умерших в возрасте от 58 до 82 лет (Ме = 66,5 [58, 7;74, 5] года), причины смерти которых не были связаны с онкологическими и сосудистыми заболеваниями. Исследования проводили в первые-вторые (Ме = 1,3 [1, 1;2, 4]) сутки после смерти.
Критерии исключения из исследования: наличие посттравматических или послеоперационных рубцов на нижних конечностях; анамнестические или найденные в процессе исследования данные о переломах какого-либо сегмента нижней конечности.
Техника эксперимента
В первой группе препаратов голени и стопы (4 нижних конечности) сосудистую сеть изучали при помощи раствора желатина, в который добавляли метиленовый синий, используемый для контрастирования и фиксации как передней большеберцовой артерии (ПБА), так и сосудистой сети надкостницы и внутрикостных сосудов по методике В.Б. Борисевича [5].
Для введения раствора в сосудистую сеть нижней конечности производили доступ к подколенной артерии по Н.И. Пирогову. В ее просвет устанавливали катетер размером 14G, который фиксировали нитью к сосудистой стенке, проксимально накладывали лигатуру для исключения регургитации раствора. С целью улучшения распространения желатина по кровеносным сосудам осуществляли нагрев конечности до 35–40°С при помощи проточной воды, температуру контролировали лазерным термометром. После достижения необходимой температуры тканей конечности внутриартериально, через установленный катетер, в течение 1 мин. вводили 40–60 мл раствора желатина с метиленовым синим. Затем при помощи проточной воды охлаждали конечность до 10–15°С, добиваясь застывания раствора желатина, введенного в сосудистое русло (рис. 1).
Рис. 1. Передняя большеберцовая артерия и ее ветви, фиксированные с использованием желатина с метиленовым синим / Fig. 1. Anterior tibial artery and its branches fixed by gelatin with methylene blue
Во второй группе анатомические препараты изучали в нативном состоянии без применения контрастирования сосудистого русла (58 нижних конечностей).
Выделение сосудов, нервов и их ветвей производили с использованием четырехкратной бинокулярной лупы, применяя как общехирургические, так и микрохирургические инструменты.
Длину бедра измеряли при разогнутом коленном суставе от верхушки большого вертела до вершины угла между связкой надколенника (УСН) и передне-верхним краем большеберцовой кости (УСН-ПКББК), длину голени — от вершины УСН-ПКББК до иглы, установленной в полость голеностопного сустава по переднему краю большеберцовой кости, на середине расстояния между лодыжками. Длину стопы измеряли от иглы, установленной с подошвенной поверхности к вершине пяточного бугра, до иглы во втором плюсне-фаланговом суставе. Маркировочные иглы устанавливали перпендикулярно поверхности кожи.
После осуществления всех измерений производили хирургический доступ к ПББСП. Послойно рассекали кожу, подкожную жировую клетчатку, фасцию голени. Затем, начиная от проксимальной трети голени, тупо в промежутке между передней большеберцовой мышцей и длинным разгибателем пальцев выделяли ПББСП и его ветви. Ветви, идущие к мышечным тканям, лигировали. Ветви, идущие к надкостнице дистального отдела большеберцовой кости, только выделяли.
Проксимальной границей выделения ПББСП и соответственно возможной точкой ротации считали уровень дистальнее отхождения первых мышечных ветвей к передней большеберцовой мышце и длинному разгибателю первого пальца стопы. С учетом известных особенностей кровоснабжения передней большеберцовой мышцы и длинного разгибателя первого пальца стопы, на протяжении третьего 10% интервала длины голени находятся постоянные мышечные ветви от ПББСП, что соответствует 2–4 см дистальнее выхода сосудистого пучка в передний футляр голени [6]. Для упрощения измерений точка ротации комплексов тканей отнесена на 4 см дистальнее выхода ПББСП через межкостную мембрану в переднее фасциальное ложе голени.
Ветви, идущие к мышечным тканям дистальнее выбранной верхней границы выделения ПББСП, лигировали. Ветви, идущие к надкостнице дистального отдела большеберцовой кости, только выделяли. ГМБН с его ветвями выделяли на протяжении всего переднего фасциального ложа с оценкой топографии и количества ветвей, отходящих к передней группе мышц голени. Измеряли расстояние от вершины УСН-ПКББК до точки выхода ГМБН в это ложе. При наличии добавочного малоберцового нерва его выделяли на всем протяжении вместе с ветвями.
Кожный разрез продлевали до первого межпальцевого промежутка, послойно рассекали верхний и нижний удерживатели сухожилий разгибателей стопы, смещали сухожилия длинного и короткого разгибателей большого пальца стопы медиально. Затем определяли возможность ротации костных трансплантатов с сохраненным осевым источником кровообращения.
Если анатомические особенности строения сосудистой сети позволяли использовать костный лоскут в качестве ротируемого, то для определения возможности достижения уровня ложного сустава бедренной кости вычисляли длину сосудистого пучка от точки выхода ПББСП через межкостную мембрану в переднее фасциальное ложе голени до основания второй плюсневой кости. По поверхности кожи измеряли расстояние от ранее установленной на вершине УСН-ПКББК маркировочной иглы до проекции выхода ПББСП через межкостную мембрану в переднее фасциальное ложе голени, после чего производили выделение костного трансплантата из большеберцовой кости.
Следующим этапом формировали трансплантат 2-й плюсневой кости. По аналогии с физической моделью обоснования максимально возможного костного объема аутотрансплантата, выделяемого из ключицы [7], определяли границы костного трансплантата, шириной не более одной трети диаметра второй плюсневой кости, длиной — от проксимального до дистального метафиза. Артерию тыла стопы выделяли до проксимального метафиза второй плюсневой кости, по тыльно-медиальной поверхности второй плюсневой кости, на сосудистых ветвях артерии тыла стопы. Выделяли фрагмент первой межкостной мышцы, сохраняя ее связи с надкостницей второй плюсневой кости, рассекали надкостницу по границе выделенного мышечного фрагмента, избегая ее отслойки от подлежащей кости.
Формирование трансплантата из второй плюсневой кости производили в медиально-подошвенном направлении при помощи осциллирующей пилы, после чего выделяли костный трансплантат из дистального метадиафиза большеберцовой кости с фрагментом надкостницы на периостальных ветвях ПББСП. Дистальной границей костного трансплантата из большеберцовой кости считали линию прикрепления капсулы голеностопного сустава.
После формирования комплекса последовательно расположенных костных трансплантатов с сохраненными осевыми сосудами оценивали длину сосудистой ножки дистальнее отхождения первых мышечных ветвей к передней большеберцовой мышце и длинному разгибателю первого пальца стопы — до дистального края костного фрагмента большеберцовой кости и дистального края костного фрагмента второй плюсневой кости.
Для оценки особенностей топографо-анатомических взаимоотношений сосудистой ножки и мягких тканей бедра осуществляли послойный доступ к средней и дистальной третям бедренной кости по передне-наружной поверхности бедра между прямой и латеральной головками четырехглавой мышцы. Затем между ранами на бедре и голени формировали подкожный тоннель, через который проводили костные трансплантаты на сосудистой ножке таким образом, чтобы петля, формируемая сосудистой ножкой, оставалась в тоннеле. При этом сосудистую ножку с комплексом костных трансплантатов располагали под выделенными мышечными ветвями ГМБН в проксимальном отделе голени. Затем отмечали проекцию на бедренную кость дистального конца каждого из забранных костных трансплантатов.
После ротации комплекса трансплантатов измеряли глубину от межкостной мембраны до поверхностной фасции голени для оценки толщины мышечного слоя, на этом же уровне измеряли поперечные размеры голени. Также измеряли глубину от бедренной кости до широкой фасции бедра по наружной поверхности на уровне ротированного костного трансплантата из дистального метадиафиза большеберцовой кости.
Для имплантации костных трансплантатов в бедренную кость использовали два варианта вмешательства. Первый вариант включал расположение костных трансплантатов в разных секторах поперечного сечения бедренной кости на одном ее уровне (рис. 2 а). При таком расположении длина ПБА до отхождения сосудистых ветвей к переднему большеберцовому костному трансплантату является лимитирующей величиной ротации обоих костных трансплантатов. Во втором варианте костные трансплантаты располагали по ходу сосудистого пучка последовательно относительно продольной оси: передний большеберцовый — дистально, второй плюсневой кости — проксимально (рис. 2 b).
Рис. 2. Схема расположения костных трансплантатов в разных секторах поперечного сечения бедренной кости: а — на одном ее уровне; b — на разных уровнях / Fig. 2. Scheme of the bone grafts location in different sectors of the femur cross section: a — at the same levels; b — at the different levels
При обоих вариантах расположения трансплантатов измеряли расстояния от верхушки большого вертела бедренной кости до края костного трансплантата, располагающегося после ротации наиболее краниально.
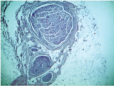
Перед окончанием исследования, после осуществления ротации комплекса трансплантатов, моторные ветви ГМБН к мышцам передней группы голени маркировали, после чего забирали их фрагменты для гистологического исследования с целью определения диаметра этих ветвей на их поперечном срезе (рис. 3).
Рис. 3. Микрофотография глубокого малоберцового нерва и его ветвей. Окраска гематоксилином и эозином. Ув. ×40 / Fig. 3. Micrograph of the deep peroneal nerve and its branches. Staining with hematoxylin and eosin. Mag. ×40
Полученные макропрепараты фотографировали (фотоаппарат CANONIXUS 185). При фотофиксации микропрепаратов использовали микроскоп Leica DM 1000, цифровой фотоаппарат Leica EC3. Обработку фотографий производили с использованием графического редактора Adobe Photoshop CC 2015.5, а микрофотографий — с использованием специализированного программного пакета Leica Application Suite 4.1.
Статистический анализ
Проверку нормальности распределения оценивали с помощью критерия Шапиро — Уилка. Распределение всех количественных данных, представленное в работе, отличалось от нормального. Результаты представлены как медиана (Me), нижний 25% (LQ) и верхний 75% квартили (НQ). Для оценки значимости межгрупповых различий применялся непараметрический U-критерий Манна – Уитни для несвязанных совокупностей, значение p<0,05 считали значимым.
Результаты
При исследовании 62 нижних конечностей у 31 трупа ПБА найдена в 58 препаратах. Значимых различий в толщине мышечного слоя голени и бедра в группах мужчин и женщин не выявлено. Расстояния между точкой выхода ПБА, ГМБН и вершиной УСН-ПКББК статистически значимо отличались в обеих группах. Однако при оценке средних соотношений длины сегментов (бедра к голени и голени к стопе) в каждой из групп значимые отличия в результатах соотношений не были обнаружены. При анализе соотношения расстояния от вершины УСН-ПКББК до точки выхода ПБА к длине голени и соотношения расстояния от вершины УСН-ПКББК до точки выхода глубокого малоберцового нерва к длине голени значимой разницы в группах не было найдено. Стоит отметить, что толщину подкожно-жировой клетчатки не учитывали, так как при ротации сосудистая ножка располагается непосредственно на поверхности костных или капсульно-связочных структур в области коленного сустава под подкожно-жировой клетчаткой.
Таким образом, установлено, что длина сосудистой ножки трансплантата пропорциональна росту пациента и, следовательно, уровень ротации трансплантата на бедро не определяется антропометрическими особенностями человека. Линейные размеры костных трансплантатов в обеих группах не имели статистически значимых различий (табл. 1).
Таблица 1. Результаты антропометрических измерений и топографо-анатомические взаимоотношения структур голени в группе исследования
Параметр | Средняя величина | р | |
Мужчины (n = 17) Ме [LQ;HQ] | Женщины (n = 14) Ме [LQ;HQ] | ||
Толщина мышечного слоя верхней трети голени, мм | >0,05 | ||
Толщина мышечного слоя границы средней и нижней трети бедра, мм | >0,05 | ||
Длина бедра, мм | <0,05 | ||
Длина голени, мм | <0,05 | ||
Длина стопы, мм | <0,05 | ||
Среднее соотношение длины бедра к длине голени | >0,05 | ||
Среднее соотношение длины голени к длине стопы | >0,05 | ||
Расстояние между точкой выхода ПБА и вершиной УСН-ПКББК, мм | <0,05 | ||
Расстояние между точкой выхода ГМБН и вершиной УСН-ПКББК, мм | <0,05 | ||
Соотношение расстояния от вершины УСН-ПКББК до точки выхода ПБА к длине голени | >0,05 | ||
Соотношение расстояния от вершины УСН-ПКББК до точки выхода ГМБН к длине голени | >0,05 | ||
Ширина трансплантата большеберцовой кости, мм | >0,05 | ||
Длина трансплантата большеберцовой кости, мм | >0,05 | ||
Ширина трансплантата второй плюсневой кости, мм | >0,05 | ||
Длина трансплантата второй плюсневой кости, мм | >0,05 | ||
Топографо-анатомические соотношения, возникающие после ротации костных трансплантатов, приведены в таблице 2.
Таблица 2. Результаты экспериментального исследования после ротации комплекса васкуляризированных костных аутотрансплантатов на бедро
Параметр | Средняя величина | р | |
Мужчины (n = 17) | Женщины (n = 14) | ||
Расстояние между верхушкой большого вертела и дистальным краем трансплантата из второй плюсневой кости на ПБА, в мм от большого вертела | 81,2 | 64,7 | >0,05 |
Расстояние между верхушкой большого вертела и дистальным краем трансплантата из большеберцовой кости на ПБА, в мм от большого вертела | 176,7 | 151,6 | >0,05 |
В исследовании были оценены топографо-анатомические особенности расположения ГМБН. Расстояние от вершины УСН-ПКББК до точки выхода ГМБН к проекции ПБА в группах мужчин и женщин составило Ме = 105,9 [103, 1; 108, 0] и Ме = 93,9 [91, 4; 97, 8] мм, соотношение расстояния от вершины УСН-ПКББК до точки выхода ГМБН к длине голени — Ме = 28,57 [26, 4; 30, 7] и Ме = 27,40 [25, 9; 29, 3], соответственно.
Необходимо обратить особое внимание при выделении мышечных ветвей ГМБН на зону, расположенную в пределах от 90,0 до 144,0 мм дистальнее УСН-ПКББК, находящуюся под мышцами передней группы голени. Именно в этой области находятся моторные ветви ГМБН, идущие к передней большеберцовой мышце (ПБМ). По нашим наблюдениям, ход ПБА пересекают лишь ветви, иннервирующие ПБМ (рис. 4). В 6 (9,8%) наблюдениях двигательные нервные ветви проходили под одной из комитантных вен на обеих нижних конечностях, что затрудняло выделение и повышало риски их травматизации (рис. 5).
Рис. 4. Передний большеберцовый сосудисто-нервный пучок. Мышечные ветви глубокого малоберцового нерва, идущие к передней большеберцовой мышце, пересекают ход передней большеберцовой артерии / Fig. 4. Anterior tibial neurovascular bundle. Muscular branches of the deep peroneal nerve, going to the anterior tibial muscle, cross the course of the anterior tibial artery
Рис. 5. Анатомический вариант прохождения одной из вен, сопровождающей переднюю большеберцовую артерию, между мышечными ветвями глубокого малоберцового нерва / Fig. 5. Anatomical version of anterior tibial artery vena comitans passage between the muscular branches of the deep peroneal nerve
В области шейки малоберцовой кости, дистальнее точки ветвления общего малоберцового нерва на глубокий и поверхностный, при препарировании от ГМНБ во всех наблюдениях выделяли крупную мышечную ветвь, которая, разделялась на 2–4 более мелкие ветви (Ме = 3,2 [2, 9; 3, 8] ветви), иннервирующие переднюю большеберцовую мышцу. Дистальнее первой крупной мышечной ветви также отмечались мышечные ветви, идущие к передней большеберцовой мышце, числом от 1 до 4 (Ме = 2,7 [1, 7; 3, 8] ветви) (см. рис. 4).
В 6,3% наблюдений (4 конечности) были обнаружены две ветви, иннервирующие длинный разгибатель большого пальца стопы на 94,3 и 119,9 мм ниже головки малоберцовой кости. Диаметры нервных ветвей, измеренные при гистологическом исследовании с помощью микроскопа, представлены в таблице 3. Результаты измерения диаметров нервных структур показали, что выделение нервов таких диаметров невозможно без увеличения. Попытки проведения этого этапа без использования бинокулярной лупы приводили к повреждению как минимум двух моторных ветвей ГМБН.
Таблица 3. Диаметр нервных ветвей глубокого малоберцового нерва
Параметр | Диаметр нерва, мм |
Глубокий малоберцовый нерв до отхождения мышечных ветвей | |
Первая крупная нервная ветвь, иннервирующая переднюю большеберцовую мышцу | |
Дистальные нервные ветви, иннервирующие переднюю большеберцовую мышцу | |
Глубокий малоберцовый нерв на уровне средней трети голени после отхождения мышечных ветвей |
В ходе исследования были выявлены следующие варианты строения ПББСП, при которых формирование переднего большеберцового и трансплантата 2-й плюсневой кости и их ротация были невозможны: отсутствие ПБА (рис. 6 а), отсутствие артерии тыла стопы (рис. 6 b) и задней большеберцовой артерии.
Рис. 6. Анатомические варианты строения переднего большеберцового сосудистого пучка: а — отсутствие передней бедренной артерии; b — отсутствие артерии тыла стопы / Fig. 6. Anatomical variants of the anterior tibial vascular bundle: a — the absence of the anterior tibial artery; b — the absence of the dorsalis pedis artery
Обсуждение
До недавнего времени лимитирующим параметром при выборе уровня разворота сосудистого пучка при применении ротированного костного трансплантата большеберцовой кости являлась граница верхней и средней третей голени ниже уровня пересечения ПББСП и моторных ветвей ГМБН [3]. Поэтому ротация переднего большеберцового трансплантата в такой ситуации была возможна лишь в пределах дистальной трети бедра.
Настоящее исследование изменило представление о возможности формирования сосудистой ножки костного аутотрансплантата только на уровне проксимальной трети голени. Выделение сосудистой ножки на уровне проксимальной трети голени позволило ротировать передний большеберцовый аутотрансплантат до уровня границы проксимальной и средней третей бедра, а аутотрансплантат второй плюсневой кости — до проксимальной трети бедра.
По данным Н.О. Миланова с соавторами, плотность расположения сосудистых ветвей, перфорирующих кортикальную пластинку большеберцовой кости, позволяет в среднем в популяции принимать за проксимальную границу костного переднего большеберцового трансплантата горизонтальную линию, проведенную на 12 см проксимальнее линии прикрепления капсулы голеностопного сустава к большеберцовой кости [4]. Однако наш клинический опыт использования костного васкуляризированного трансплантата большнберцовой кости показал, что выделение трансплантата более 8 см длиной не было необходимо ни в одном из клинических наблюдений.
Одним из ключевых факторов применимости свободных реваскуляризируемых аутотрансплантатов в клинической практике является длина сосудистой ножки, позволяющая выполнить наложение анастомозов с реципиентными сосудами на требуемом уровне. Выявленные особенности анатомии ПББСП и его ветвей, ГМБН и его моторных ветвей могут позволить прогнозировать формирование длинной сосудистой ножки. Особенности прохождения моторных ветвей к передней большеберцовой мышце (анатомический вариант их прохождения под одной из комитантных вен ПББСП) не являются ограничением для формирования сосудистой ножки на уровне проксимальной трети голени. В подобной ситуации формирование длинной сосудистой ножки комплекса костных трансплантатов представляется возможным при пересечении одной из двух вен, сопровождающих ПББСП, расположенной наиболее поверхностно, для освобождения и сохранения моторных ветвей ГМБН к передней большеберцовой мышце, при этом одну из вен принципиально важно сохранять интактной.
По данным некоторых исследований, существуют одна постоянная и одна непостоянная (10% наблюдений) ветви ГМБН, иннервирующие длинный разгибатель большого пальца, которые отходят ниже головки малоберцовой кости в среднем на 9,1 и 12,1 см соответственно [8, 9]. В проведенном исследовании были получены сопоставимые результаты: в 6,3% наблюдений (4 конечности) были обнаружены обе ветви, иннервирующие длинный разгибатель большого пальца стопы на 9,4 и 11,9 см ниже головки малоберцовой кости.
Важно отметить, что, по данным D. Yu с соавторами, одна-две ветви, иннервирующие переднюю большеберцовую мышцу, обеспечивают моторную иннервацию ее передней части, одна-две ветви — иннервацию задней части, причем между внутримышечными ветвями не существует взаимосвязи. Это свидетельствует о необходимости интраоперационного прецизионного выделения и сохранения всех нервных ветвей, идущих к передней большеберцовой мышце, которые пересекают ход передней большеберцовой артерии. D. Yu с соавторами показали, что передняя большеберцовая мышца иннервируется 2–4 мышечными ветвями, в среднем (2,8±0,6) [10]. По данным же нашего исследования, в области шейки малоберцовой кости, дистальнее точки ветвления общего малоберцового нерва на глубокий и поверхностный, во всех случаях была обнаружена крупная мышечная ветвь, разделявшаяся на 2–4 более мелкие ветви, иннервирующие переднюю большеберцовую мышцу. При этом дистальнее первой крупной мышечной ветви также были выявлены 1–4 мышечные ветви, идущие к передней большеберцовой мышце.
В условиях прецизионного выделения ГМБН и его ветвей за основу определения точки ротации изучаемых трансплантатов на сосудистой ножке при выполнении измерений взят отступ в дистальном направлении на величину 4 см от выхода ПББСП в переднее фасциальное ложе с учетом известных особенностей кровоснабжения передней большеберцовой мышцы и длинного разгибателя первого пальца стопы [6].
При проведении исследования на протяжении выбранного интервала визуализировали сосудистые ветви к передней большеберцовой мышце и длинному разгибателю первого пальца стопы. Можно предполагать, что перемещение точки ротации в проксимальном направлении возможно в условиях визуализации проксимальных мышечных ветвей.
По данным литературы, формирование переднего большеберцового и трансплантата 2-й плюсневой кости и их ротация невозможны при редких анатомических вариантах строения: отсутствии ПБА [11, 12, 13], отсутствии артерии тыла стопы, начале артерии тыла стопы от малоберцовой артерии [14] или задней большеберцовой артерии [15, 16]. Так, по данным В. Adachietal, в 7,1% наблюдений ПБА отсутствует [13]. В нашем исследовании в 3 наблюдениях у разных трупов мужчин на одной из конечностей встретился анатомический вариант отсутствия ПБА: 8,8% в группе мужчин и 4,8% — среди всех наблюдений.
По данным некоторых исследователей, артерия тыла стопы, являющаяся продолжением ПБА, отсутствует в 12% наблюдений, а в 5% начинается от малоберцовой артерии [17, 18]. В литературе встречаются описания редких анатомических вариантов. Например, L. Dubreuil-Chambardel еще в 1925 г. показал, что артерия тыла стопы может брать свое начало от ветви задней большеберцовой артерии, огибающей медиальную лодыжку [16]. В проведенном исследовании описанный анатомический вариант встретился в одном наблюдении.
Продолжением артерии тыла стопы в 85% случаев является первая тыльная плюсневая артерия; в 1,6–5,0% наблюдений конечной ветвью артерии тыла стопы является дугообразная артерия; в 1,6–10,0% все 4 тыльные плюсневые артерии берут свое начало из подошвенных плюсневых артерий, а в 1,6% наблюдений первая тыльная плюсневая артерия просто отсутствует [19, 20, 21]. В проведенном нами исследовании лишь в двух наблюдениях артерия тыла стопы начиналась от малоберцовой, отсутствие артерии тыла стопы выявлено в одном препарате. При таких анатомических вариантах выделение васкуляризированного костного трансплантата второй плюсневой кости невозможно.
Возможность выделения комплекса аутотрансплантатов строится на сочетании благоприятных анатомических вариантов артериальной сети, включающих в себя наличие ПБА, артерии тыла стопы, являющейся ветвью ПБА. Помимо всего прочего, конечной ветвью артерии тыла стопы должна являться первая плюсневая артерия или дугообразная артерия. Только при таких вариантах строения артериальной сети возможно использование вышеописанных трансплантатов.
В исследовании Н.О. Миланова с соавторами при подготовке к оперативному лечению пациентам проводили функциональный тест компенсации кровоснабжения стопы при выключении ПБА под контролем дуплексного ультразвукового датчика. В 7% наблюдений компенсации кровообращения не наблюдали, что свидетельствовало о наличии у пациентов анатомических вариантов, не позволяющих использовать васкуляризированный костный большеберцовый трансплантат [4].
Таким образом, согласно данным литературы [20, 21, 22], и результатам проведенного исследования была выявлена широкая вариабельность сосудистого русла. Необходимо подчеркнуть важность комплексного подхода на предоперационном этапе подготовки — проведение как клинических тестов, так и инструментальных методов исследования, таких как ультразвуковое исследование и/или КТ-ангиография сосудов нижних конечностей [1, 3, 7].
Анатомические особенности сосудов и нервов голени, в частности их малый диаметр, диктуют не только необходимость высококачественного оборудования и инструментария, отсутствие которого приводит к повреждению важных структур, но и создания специально подготовленной хирургической бригады, члены которой обладают мастерством в своей основной специальности (травматологии и ортопедии, реконструктивно-пластической хирургии, микрохирургии), а также имеют базовую подготовку в смежных специальностях.
Заключение
Выделение переднего большеберцового сосудистого пучка на уровне проксимальной трети голени позволяет ротировать на едином сосудистом пучке комплекс переднего большеберцового костного аутотрансплантата и аутотрансплантата второй плюсневой кости в зону средней трети бедренной кости. Предотвращение в ходе выделения сосудистой ножки, повреждения ветвей глубокого малоберцового нерва, иннервирующих переднюю большеберцовую мышцу, требует использования микрохирургической техники.
Дополнительная информация
Заявленный вклад авторов
Зелянин Д.А. — концепция и дизайн исследования, интерпретация полученных данных, сбор и статистическая обработка данных, написание текста рукописи.
Дубров В.Э. — концепция и дизайн исследования, редактирование текста статьи.
Зелянин А.С. — концепция и дизайн исследования, редактирование текста статьи.
Филиппов В.В. — концепция и дизайн исследования, редактирование текста статьи.
Яшин Д.В. — редактирование текста статьи.
Петросян К.А. — редактирование текста статьи.
Все авторы прочли и одобрили финальную версию рукописи статьи. Все авторы согласны нести ответственность за все аспекты работы, чтобы обеспечить надлежащее рассмотрение и решение всех возможных вопросов, связанных с корректностью и надежностью любой части работы.
Источник финансирования. Авторы заявляют об отсутствии внешнего финансирования при проведении исследования.
Конфликт интересов. Авторы декларируют отсутствие явных и потенциальных конфликтов интересов, связанных с публикацией настоящей статьи.
Этическая экспертиза. Все этапы научно-исследовательской работы одобрены этическим комитетом МНОЦ МГУ им. М.В. Ломоносова, протокол № 54/11 от 08.11.2018.
Информированное согласие. Не требуется.
Disclaimers
Authors’ contributions
Zelyanin D.A. — research concept and design, data statistical processing, manuscript writing and editing, data collection and analysis, manuscript writing.
Dubrov V.E. — research concept and design, manuscript editing.
Zelyanin A.S. — research concept and design, manuscript editing.
Filippov V.V. — research concept and design, manuscript editing.
Yashin D.V. — manuscript editing.
Petrosyan K.A. — manuscript editing
All authors have read and approved the final version of the manuscript of the article. All authors agree to bear responsibility for all aspects of the study to ensure proper consideration and resolution of all possible issues related to the correctness and reliability of any part of the work.
Funding source. This study was not supported by any external sources of funding.
Competing interests. The authors declare that they have no competing interests.
Ethics approval. The study was approved by the local ethics committee of Lomonosov Moscow State University, protocol No 54/11, 08.11.2018.
Consent for publication. Not required.
About the authors
Dmitrii A. Zelyanin
Lomonosov Moscow State University; City Clinical Hospital No 29
Author for correspondence.
Email: zelyanindmitry@mail.ru
ORCID iD: 0000-0001-9220-8914
аспирант кафедры, врач травматолог-ортопед
Russian Federation, 1, Leninskie Gory, Moscow, 119991; MoscowVadim E. Dubrov
Lomonosov Moscow State University
Email: vduort@gmail.com
ORCID iD: 0000-0001-5407-0432
Dr. Sci. (Med.), Professor
Russian Federation, 1, Leninskie Gory, Moscow, 119991Aleksandr S. Zelyanin
Lomonosov Moscow State University; Sechenov University; Petrovsky National Research Centre of Surgery
Email: microsurgery@inbox.ru
ORCID iD: 0000-0003-0969-9594
Dr. Sci. (Med.)
Russian Federation, 1, Leninskie Gory, Moscow, 119991; Moscow; MoscowVladislav V. Filippov
Lomonosov Moscow State University
Email: vfil@gmail.com
ORCID iD: 0000-0002-4195-3153
Dr. Sci. (Med.)
Russian Federation, 1, Leninskie Gory, Moscow, 119991Dmitrii V. Yashin
Lomonosov Moscow State University; City Clinical Hospital No 29
Email: dmitriy_yashin1991@mail.ru
ORCID iD: 0000-0001-8284-1433
аспирант кафедры, врач травматолог-ортопед
Russian Federation, 1, Leninskie Gory, Moscow, 119991; MoscowKaren A. Petrosyan
Sechenov University
Email: dr-petrosyan@yandex.ru
ORCID iD: 0000-0003-3480-1570
ассистент кафедры
Russian Federation, MoscowSupplementary files










