Total Knee Arthroplasty in Hemodialysis Patients: Routine or Complex Surgery?
- Authors: Tsed A.N.1, Mushtin N.E.1, Dulaev A.K.1, Schmeljew A.V.1
-
Affiliations:
- Pavlov First Saint Petersburg State Medical University
- Issue: Vol 29, No 4 (2023)
- Pages: 101-112
- Section: Discussions
- Submitted: 28.09.2023
- Accepted: 27.11.2023
- Published: 28.12.2023
- URL: https://journal.rniito.org/jour/article/view/16495
- DOI: https://doi.org/10.17816/2311-2905-16495
- ID: 16495
Cite item
Abstract
Background. Chronic hemodialysis significantly increases the risks associated with knee replacement. Among the late complications of knee arthroplasty in hemodialysis patients, deep periprosthetic joint infection (PJI) and aseptic loosening are more frequent. The frequency of revision interventions in patients with end-stage kidney disease (ESKD) is substantially higher compared to patients with normal kidney function.
The aim of the study — based on the perioperative parameters and midterm outcomes to justify the primary knee replacement in chronic hemodialysis patients as complex case of arthroplasty.
Methods. A retrospective randomized single-center cohort study was conducted, including 62 patients with various forms of knee osteoarthritis. Patients were divided into two groups: Group 1 — 29 (46.8%) patients with end-stage renal disease (ESRD) undergoing dialysis, Group 2 — 33 (53.2%) patients without kidney pathology. The average follow-up period in both groups was 3.7 years (min — 1, max — 6). The following parameters were assessed: patient age, length of hospital stay, morphocortical index, body mass index (BMI), duration of hemodialysis, functional assessment of the knee joint using the KSS Function Score and Forgotten Joint Score-12 (FJS-12), radiological results on the KRESS, and the frequency of various complications.
Results. In Group 1, patients had significantly lower BMI compared to Group 2. Length of hospital stay in Group 1 were 1.7 times longer. According to the KSS Function Score, no significant differences were observed between the groups in the first 36 months after the operation. However, by the 4th year of follow-up, average KSS Function Score in Group 1 decreased to 77.3 points, which was due to infectious complications. The FJS-12 showed worse scores in Group 2, averaging 68.7 points. After more than three years post-operation, no statistically significant differences were observed between the groups, which was associated with an increase in the number of complications in Group 1. Results on the KRESS after 43 months did not differ between the groups and averaged 4.8 points. Group 1 had more orthopedic complications and cases of PJI, accounting for 7 out of 37.
Conclusion. Age and constitutional characteristics of patients undergoing hemodialysis significantly differ from the normal population. The frequency of complications in Group 1 was 23.5%. These patients require the implantation of more constrained implant components and modular systems. Therefore, primary knee replacement in hemodialysis patients can be classified as a complex case of arthroplasty.
Full Text
BACKGROUND
Knee replacement is the most effective surgical treatment for all etiological forms of grade II-III knee osteoarthritis. Modern international and domestic publications indicate an annual increase in the number of knee arthroplasty with good long-term component survival rates [1, 2, 3, 4, 5].
The presence of end-stage chronic kidney disease (CKD) in a patient significantly increases the risks of complications during surgery, such as bleeding, acute cardiovascular events (atrial fibrillation, myocardial infarction, pulmonary edema, pulmonary embolism, etc.), and intraoperative periprosthetic fractures [6, 7, 8]. Late complications of knee arthroplasty in hemodialysis patients include deep periprosthetic joint infection (PJI), with rates up to 18% [9, 10, 11], and aseptic loosening, with a rate of 16% [12, 13]. In domestic publications, this problem is not sufficiently addressed.
The prevalence of end-stage CKD is exponentially increasing in all countries [14]. Given the increasing need for knee replacement, including in hemodialysis patients, there may be an increase in revision surgeries in the near future. Consequently, there is a growing need for a more thorough analysis of primary knee replacement outcomes in patients undergoing chronic hemodialysis and the development of preoperative preparation schemes, including correction of calcium-phosphorus metabolism disorders, acid-base status, anemia, bone mineral density, thromboprophylaxis, and reduction of the risk of infectious complications.
The aim of this study is to justify the classification of knee replacement in patients undergoing chronic hemodialysis as difficult cases based on the assessment of perioperative parameters and midterm outcomes.
METHODS
Study design
We conducted a retrospective randomized single-center cohort study, which included 62 patients with various pathogenetic forms of gonarthrosis. These patients underwent knee replacement performed by a single surgical team at the Pavlov First State Medical University of St. Petersburg from 2016 to 2022.
Inclusion criteria:
– grade 2-3 knee osteoarthritis according to the N.S. Kosinskaya classification [15];
– bone defects of type 1-2A according to the AORI classification [16];
– no previous knee surgeries;
– no severe knee trauma with hemarthrosis;
– full weight-bearing allowed no earlier than 4 weeks post-surgery.
Exclusion criteria:
– grade 1 knee osteoarthritis according to the N.S. Kosinskaya classification;
– severe varus/valgus deformities of the knee;
– history of lateral or medial collateral ligament ruptures/injuries leading to knee instability;
– active infectious processes in the knee area in the preoperative period.
All patients were divided into two study groups: Group 1 consisted of 29 (46.8%) patients (34 knee replacement) with end-stage chronic kidney disease (ESKD) 5D stage (chronic hemodialysis), and Group 2 included 33 (53.2%) patients (37 surgeries) with various forms of knee osteoarthritis without kidney pathology. The average follow-up period in both groups was 3.7 years (min – 1, max – 6). The main characteristics of the patients are presented in Table 1.
Table 1. Characteristics of patients
Parameter | Group I (n = 29) 34 operations | Group 2 (n = 33) 37 operations | p |
Gender, n (%) Male Female | 6 (20.6) 23 (79.4) | 9 (27.7) 24 (72.3) | – |
Mean age, years , M±SD; Me (Q1–Q3) | 57.1±8.7; 58 (53.25–63.00) | 66.7±9.5; 64 (60.00–76.00) | 0.00002 |
BMI, M±SD | 23.8±3.1 | 30.9±4.3 | 0.00001 |
Affected side, n (%) right left | 19 (55.9) 15 (44.1) | 18 (48.6) 19 (51.4) | – |
Deformation of knee, n (%) varus valgus | 30 (88.3) 4 (11.7) | 34 (91.9) 3 (8.1) | – |
Mean duration of hospital stay, days; Me (min/max) | 15.3; 14 (8/33) | 8.8; 9 (5/15) | 0.00001 |
Morphocortical index of tibial bone (Bernard-Lavallee-Zhentet)*, units.; Me (min/max) | 35.3; 33 (21/57) | 40.8; 40 (28/51) | 0.002 |
*Reference: Marx V.O. Orthopedic diagnostics. Minsk: Science and Technology. 1978. P. 504-505.
Patients in both groups were comparable in terms of the severity of knee osteoarthritis, the extent of preoperative examination, and postoperative management. Patients in both study groups were randomly selected based on the use of implants from a single manufacturer (Zimmer NexGen, Warsaw, USA), but with different degrees of constraint, ranging from cruciate retaining (CR) to varus-valgus constrained (VVC). Fully constrained systems (RHK – rotational hinge knee) were excluded from the study during the group selection process (Table 2).
Table 2. Main characteristics of implants
Implant characteristic | Group 1 (n = 34) | Group 2 (n = 37) |
Prosthesis fixation method: CR PS (posterior stabilized) VVC | 2 (5.9%) 28 (82.4%) 4 (11.7%) | 31 (83.8%) 5 (13.5%) 1 (2.7%) |
Tibial component modularity: All Poly Metal-back Precoat + stem | 7 (20.6%) 24 (70.6%) 3 (8.8%) | 29 (78.4%) 7 (18.9%) 1 (2.7%) |
Femoral component modularity: Standard femoral component Revision component + stem | 33 (97.1%) 1 (2.9%) | 37 (100%) 0 |
Bone defect replacement: Cement Autograft Allograft Metal augment | 4 (11.7%) 2 (5.9%) 0 4 (11.7%) | 2 (5.4%) 3 (8.1%) 0 1 (2.7%) |
In both study groups, bone cement with gentamicin (Synicem 1G, 40 g) was used for component fixation.
The average duration of hemodialysis before surgery in patients in Group 1 was 7.7 years (min – 1, max – 15 years). Hemodialysis procedures were performed no later than 24 h. before arthroplasty to minimize complications related to the cardiovascular system and fluid-electrolyte balance during surgery. The quality of hemodialysis was assessed by calculating the kt/V clearance coefficient, which was 1.34 for all patients, indicating the adequacy of the dialysates used in the preoperative period.
Both groups of patients received tranexamic acid infusion and thromboprophylaxis according to the new guidelines for the prevention, diagnosis, and treatment of thromboembolic complications in traumatology and orthopedics approved in 2022 [17]. Standard antibiotic prophylaxis for hemodialysis patients, as approved by local regulations, involved the use of protected penicillins in reduced doses and less frequent administration for 5 days after the hemodialysis procedure. Full weight-bearing was allowed only 4-6 weeks after surgery.
The severity of osteoporosis in patients in both study groups was determined by X-ray using the Bernard-Laval-Zhentet morphocortical index. Normal values for this index are within 48±9 units, and a value below 40 units indicated osteoporosis of the proximal tibia.
Results assessment
In the preoperative period, the condition and function of the knee joint were assessed using the KSS Function Score [18]. During the clinical examination, tests for varus-valgus stress, Lachman's test, "anterior and posterior drawer tests" were performed, and the degree of osteoporosis was assessed based on standard X-rays and, if necessary, CT data. During surgery, the average duration of the operation, the volume of perioperative blood loss, hemodynamic stability parameters, and the type of constraint of the components based on collateral ligament balance and the integrity of the posterior cruciate ligament (PCL) were evaluated. Functional parameters according to the KSS Function Score were assessed at 6 and 12 months, and then annually. FJS-12 scores after knee replacements were assessed at 12 months and subsequently annually [19]. Radiological criteria for aseptic loosening of components according to the KRESS (Total Knee Arthroplasty Roentgenographic Evaluation and Scoring System) were scored on average at 43 months (min – 13, max – 72) [20]. The frequency of various complications was also assessed throughout the observation period.
Statistical analysis
Statistical data analysis was performed using IBM SPSS v. 20 software.
The normality of the distribution of quantitative parameters, such as age, duration of hospitalization, morphocortical index, body mass index (BMI), duration of hemodialysis, functional knee joint characteristics according to KSS Function Score, FJS-12, and radiological parameters in KRESS, was tested based on the Shapiro–Wilk criterion (modified by J.P. Royston). In case of non-normal distribution of related samples, the Wilcoxon test was used; for unrelated samples, the Mann–Whitney test was used. In cases of normal distribution, Student's t-test for related and unrelated samples was used. To assess the significance of the influence of complications on the presence or absence of chronic hemodialysis, the χ2 criterion with a likelihood correction and the strength of association according to Pearson's contingency coefficient were used.
RESULTS
The average length of hospital stay differed between the groups. Patients in Group 1, who received hemodialysis three times a week, had a hospital stay that was 1.7 times longer, indirectly indicating higher economic costs for the treatment of one patient.
Functional results based on the KSS Function Score did not statistically differ between the groups in the preoperative period and averaged 48 points (Fig. 1). At 6, 12, 24, and 36 months after surgery, no statistically significant difference in KSS Function Score was observed between the groups. However, by the fourth year after primary knee arthroplasty in the group of patients receiving hemodialysis, the average KSS Function Score decreased to 77.3 points, which is likely due to infectious complications in five patients. In Group 2, only one infectious complication occurred 48 months after arthroplasty.
Fig. 1. Knee function assessed using the KSS Function Score in the study groups over the follow-up period
The assessment based on the FJS-12 at 12–36 months after knee replacement in Group 1 patients averaged 77.04 points (SD = 3.9) (Fig. 2). In Group 2 (without terminal kidney pathology), the FJS-12 was lower, averaging 68.72 points (SD = 4.8). A statistically significant difference (p < 0.0001) in FJS-12 results between the study groups was observed in the first three years after knee arthroplasty. However, no difference was observed between the groups after three years, likely due to an increase in complications in Group 1. The better FJS-12 in Group 1 in the early postoperative period are likely associated with the presence of severe forms of polyneuropathy that develop in the late stages of ESKD, resulting in a sharp decrease in pain sensitivity thresholds. Therefore, any improvement in physical and functional status, as well as the condition of the nociceptive system, leads to better FJS-12 in hemodialysis patients.
Fig. 2. Mean FJS-12 values
Radiological results according to the KRESS at 43 months did not show a statistically significant difference between the study groups (min – 12, max – 72). Table 3 shows the results based on the number of points obtained by counting the lucency lines in different zones at the "bone-implant" boundary on standard X-rays in anteroposterior and lateral views. There was no component migration observed in patients from both groups after primary knee arthroplasty. However, the high number of observations with borderline values (median = 3; 1–7) in Group 1 indicates an increasing risk of revision interventions in patients with terminal ESKD after TKR. It is also important to note that according to the KRESS, in 89% of cases, lucency lines were detected on the tibial component.
Table 3. Radiological assessment results using the KRESS at an average follow-up period of 43 months
Radiolucent line | Group 1 (n = 34) | Group 2 (n = 37) | р |
Less than 4 points – insignificant | 23 (67.7%) | 34 (91.9%) | 0.06 |
5–9 points – requires dynamic observation | 11 (32.3%) | 3 (8.1%) | 0.05 |
More than 10 points – component migration | – | – | – |
An example of a clinical case of aseptic loosening of the tibial component leading to infectious complications in a patient from Group 1 after primary knee arthroplasty is shown in Figure 3.
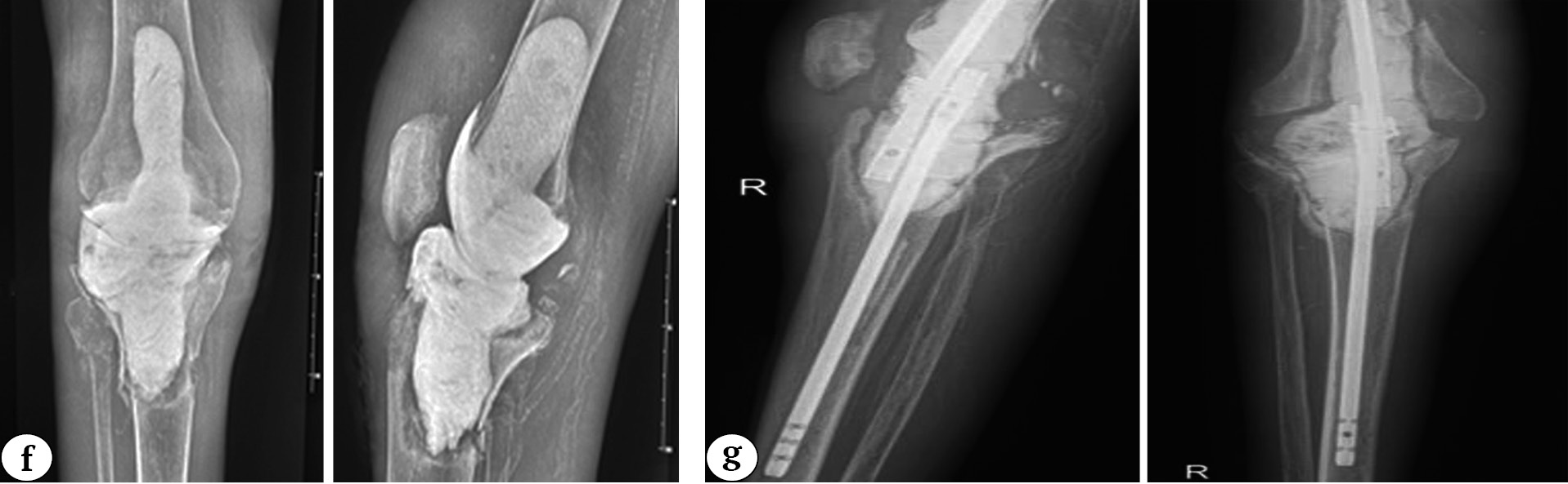
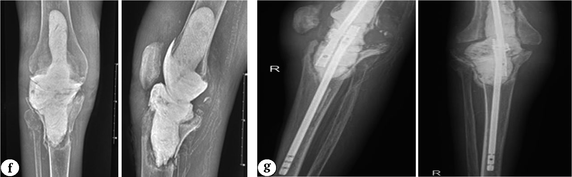
Fig. 3 (a, b, c, d, e). A 32-year-old man with secondary osteoarthritis of the right knee. Concomitant diseases: end-stage chronic kidney disease (5D stage), chronic hemodialysis for 7 years, type 1 diabetes: a — X-rays in two projections and CT scans before surgery: a bone defect is detected in the posterolateral part of the lateral femoral condyle b — knee after arthrotomy; c — X-rays after knee replacement (a revision femoral component and a standard 100 mm stem; the bone defect was replaced with two metal blocks of 5 mm and 10 mm, posterior-stabilized insert; standard tibial component); d — X-rays one year after knee replacement: no signs of osteolysis or component instability are observed; e — X-rays of the right knee three years after arthroplasty: radiolucent lines are noted in zones 3, 4, and 2 of the tibial component according to the KRESS (indicated by arrows)
Fig. 3 (f, g). A 32-year-old man with secondary osteoarthritis of the right knee. Concomitant diseases: end-stage chronic kidney disease (5D stage), chronic hemodialysis for 7 years, type 1 diabetes: f — X-rays 3 years and 7 months after knee replacement (an articulating spacer was implanted); g — X-rays 4 years and 2 months after primary knee arthroplasty (an articulating spacer was replaced with a block spacer due to recurrent infection)
Orthopedic complications after primary knee arthroplasty were predictably more frequent in Group 1 (Table 4).
Table 4. Structure of complications in the study groups
Complication | Group 1 (n = 34) | Group 2 (n = 37) | р |
Aseptic loosening | 0 | 0 | – |
Periprosthetic fracture | 1 (2.9%) | 0 | >0.05 |
Periprosthetic joint infection | 6 (17.6%) | 1 (2.7%) | >0.05 |
Residual joint contracture | 1 (2.9%) | 1 (2.7%) | >0.05 |
Total | 8 (23.5%) | 2 (5.4%) | 0.05 |
It is important to note that the total number of complications did not differ between the groups, but the lack of statistical significance suggests the need for further research in this direction. With an increase in the sample size and longer follow-up, the frequency of orthopedic complications may statistically differ between patients who underwent knee replacement with terminal stage ESKD and patients without kidney pathology. However, the frequency of PJI was significantly higher among hemodialysis patients. Additionally, in one patient from Group 1, during the implantation of the tibial component, there was perforation of the lateral wall of the tibia due to severe osteoporosis. After an additional assessment of the severity of the periprosthetic fracture, the decision was made to immobilize the knee joint in an orthosis and restrict weight-bearing for up to 6 weeks.
DISCUSSION
Analyzing the average age of patients in the hemodialysis profile who underwent knee arthroplasty, we found that this value (57.1±8.7; Me — 58) was significantly lower compared to the average age of patients without end-stage kidney disease (66.7±9.5; Me — 64 years). This corresponds to the findings of N. Venishetty and colleagues [21]. According to the latest reports from the Swedish Joint Registry, the average age of knee arthroplasty patients is 69.1±9.0 years, in the Joint Registry of England and Wales, it's 70.0±7.0 years, and in the US Joint Replacement Registry, it's 67.2±9.4 years [22, 23, 24].
According to the Vreden National Medical Research Center of Traumatology and Orthopedics joint replacement registry, this value was 63.4 years in 2019, increasing over the past few years [25]. The gender distribution of men and women with degenerative changes in the knee joint receiving renal replacement therapy corresponds to the general population (men – 20.6%, women – 79.4%; ratio 1:5).
Special attention should be given to the data obtained when analyzing the degree of constraint of knee arthroplasty components in patients with a hemodialysis profile compared to patients in Group 2 (see Table 2). According to the Joint Registry of England and Wales for 2022, the frequency of cemented knee replacements with retained cruciate ligaments was 62.7%, posterior-stabilized (PS) was 15.3%, and varus-valgus constrained (VVC) was 1.7% [23]. Similar data is presented in the US Joint Replacement Registry: CR knee replacements – 57.4%, PS – 42.5%, VVC – 0.2%, with a trend of increasing the use of less constrained knee implants in primary knee arthroplasty [24]. Despite the lack of reports in contemporary literature on long-term results of knee replacement using CR and PS systems [26], some studies, such as the work of G. Thuysbaert and colleagues, have reported statistically significant differences in FJS-12 when using CR and PS implants [27]. This largely explains the increasing frequency of less constrained systems in Western European countries. However, in our study, the proportion of CR knee replacements in hemodialysis patients was only 5.9%, PS — 82.4%, and VVC — 11.7%.
The final choice of constraint level of the knee implant was made intraoperatively in both study groups based on the condition of periarticular soft tissues, collateral ligament elasticity, the status of cruciate ligaments, the degree of osteoporosis, and the presence and size of bone defects. In hemodialysis patients, we observed weakness and hyperelasticity of soft tissues, the posterior capsule, ligaments, and muscles surrounding the knee joint in most cases. These were associated with both concomitant renal myodystrophy and deposits of β-2 microglobulin amyloid fibrils around the knee joint, confirmed by histological studies. Additionally, there was the formation of bone cysts in the intercondylar notch of the femur and/or tibia, also filled with β-2 microglobulin amyloid complexes (see Fig. 4).
Fig. 4. View of knee joint in patients receiving hemodialysis after arthrotomy: a — inclusions of ß-2 microglobulin amyloid fibrils along the capsule, ligaments, and muscle fibers; b — bone defect of the lateral femoral condyle with adipose tissue and proteinaceous amyloid complexes replacing the bone tissue in the background of chronic inflammation
Similar results were obtained when analyzing the modularity of the tibial component. Among patients in Group 1 receiving hemodialysis, metallic-backed tibial components were implanted in 79% of cases, and only 20.6% had polyethylene monoblocks, which differs from the usage patterns of tibial components in patients without kidney pathology. The work of K.A. Gustke and colleagues reports more frequent use of polyethylene tibial monoblocks in elderly patients [28]. V. Apostolopoulos and colleagues report better 10-year survival rates of All Poly Tibial implants (97.1%) compared to Metal-back Tibial (93.2%) [29].
In patients in Group 1 who had been on chronic hemodialysis for an extended period, various methods of bone defect replacement were required in 29.4% of cases. Such a high frequency of compensating for bone mass deficiency is due to the formation of bone cysts in the intercondylar notch of the femur and/or tibia, also filled with β-2 microglobulin amyloid complexes. According to G.F. Scheumann and colleagues, the most typical locations for the formation of bone cysts in patients on long-term hemodialysis are the femoral head and neck, spine, distal metaphysis of the radius, and the intercondylar notch of the femur [30].
One of the most common complications of knee replacement is PJI. According to A.I. Stavrakis and colleagues, the frequency of PJI development within 90 days after knee arthroplasty in patients with a hemodialysis profile is 2.66% [12]. In later stages of follow-up, infectious complications in patients on hemodialysis reach 18% or more [9]. In our study, the frequency of infectious complications among patients with end-stage kidney disease after 3.4 years was 17.6%, which is comparable to the literature data. Importantly, we did not observe early infectious complications in the first year after knee replacement, which may be due to both routine use of antibiotic-loaded cement for implant fixation and an individualized approach to extended antibiotic prophylaxis in this patient category.
CONCLUSIONS
Primary knee arthroplasty in patients undergoing chronic hemodialysis treatment can be classified as primary difficult interventions. This is due to the age and constitutional characteristics of patients in the hemodialysis profile, which significantly differ from patients without kidney pathology. The average length of hospitalization for patients with end-stage kidney disease is 1.7 times longer, and the complication rate was 23.5% during an average follow-up period of 3.7 years. During the first three years, better results were observed in terms of KSS Function Score and FJS-12, which may be attributed to concomitant renal polyneuropathy, reducing the pain threshold, and less demanding expectations regarding the outcomes of knee arthroplasty. Patients undergoing hemodialysis more frequently received more constrained knee implants (PS and VVC) compared to the general population, as well as modular tibial and femoral components. This is associated with the presence of significant systemic osteoporosis and the formation of β-2 microglobulin amyloid complexes along the joint capsule, ligaments, muscle fibers, and the formation of bone cysts in the intercondylar notch of the femur and tibia.
DISCLAIMERS
Author contribution
Tsed A.N. — study design, data collection and processing, literature search and analysis, writing and drafting the article.
Mushtin N.E. — data statistical analysis, literature search and analysis, drafting the article.
Dulaev A.K. — study concept, data analysis and interpretation.
Schmeljew A.V. — data collection and processing, literature search and analysis, writing the article.
All authors have read and approved the final version of the manuscript of the article. All authors agree to bear responsibility for all aspects of the study to ensure proper consideration and resolution of all possible issues related to the correctness and reliability of any part of the work.
Funding source. This study was not supported by any external sources of funding.
Disclosure competing interests. The authors declare that they have no competing interests.
Ethics approval. Not applicable.
Consent for publication. The authors obtained written consent from patients to participate in the study and for publication of relevant medical information and all of accompanying images within the manuscript.
About the authors
Aleksander N. Tsed
Pavlov First Saint Petersburg State Medical University
Email: tsed@mail.ru
ORCID iD: 0000-0001-8392-5380
Dr. Sci. (Med.)
Russian Federation, St. PetersburgNikita E. Mushtin
Pavlov First Saint Petersburg State Medical University
Email: mushtin.nikita@yandex.ru
ORCID iD: 0000-0002-7264-7861
Scopus Author ID: 57216856539
Cand. Sci. (Med.)
Russian Federation, St. PetersburgAleksander K. Dulaev
Pavlov First Saint Petersburg State Medical University
Email: ak.dulaev@gmail.com
ORCID iD: 0000-0003-4079-5541
Dr. Sci. (Med.), Professor
Russian Federation, St. PetersburgAnton V. Schmeljew
Pavlov First Saint Petersburg State Medical University
Author for correspondence.
Email: schmeljew@mail.ru
ORCID iD: 0000-0002-1181-6545
Russian Federation, St. Petersburg
References
- Преображенский П.М., Филь А.С., Корнилов Н.Н., Пантелеев А.Н., Гуацаев М.С., Каземирский А.В. и др. Эндопротезирование коленного сустава в клинической практике: анализ 36 350 наблюдений из регистра НМИЦ ТО имени Р.Р. Вредена. Травматология и ортопедия России. 2023;29(3):73-85. doi: 10.17816/2311-2905-9349. Preobrazhensky P.M., Fil A.S., Kornilov N.N., Panteleev A.N., Guatsaev M.S., Kazemirsky A.V. et al. Current State of Knee Arthroplasty in Russia: Analysis of 36,350 Сases from the Register of the Vreden National Medical Research Center of Traumatology and Orthopedics. Traumatology and Orthopedics of Russia. 2023;29(3): 73-85. (In Russian). doi: 10.17816/2311-2905-9349.
- Середа А.П., Кочиш А.А., Черный А.А., Антипов А.П., Алиев А.Г., Вебер Е.В. и др. Эпидемиология эндопротезирования тазобедренного и коленного суставов и перипротезной инфекции в Российской Федерации. Травматология и ортопедия России. 2021;27(3):84-93. doi: 10.21823/2311-2905-2021-27-3-84-93. Sereda A.P., Kochish A.A., Cherny A.A., Antipov A.P., Aliev A.G., Veber E.V., et al. Epidemiology of Hip And Knee Arthroplasty and Periprosthetic Joint Infection in Russian Federation. Traumatology and Orthopedics of Russia. 2021;27(3):84-93. (In Russian). doi: 10.21823/2311-2905-2021-27-3-84-93.
- Singh J.A. Epidemiology of knee and hip arthroplasty: a systematic review. Open Orthop J. 2011;5:80-85. doi: 10.2174/1874325001105010080.
- Evans J.T., Walker R.W., Evans J.P., Blom A.W., Sayers A., Whitehouse M.R. How long does a knee replacement last? A systematic review and meta-analysis of case series and national registry reports with more than 15 years of follow-up. Lancet. 2019;393(10172): 655-663. doi: 10.1016/S0140-6736(18)32531-5.
- Pollock M., Somerville L., Firth A., Lanting B. Outpatient Total Hip Arthroplasty, Total Knee Arthroplasty, and Unicompartmental Knee Arthroplasty: A Systematic Review of the Literature. JBJS Rev. 2016;4(12):e4. doi: 10.2106/JBJS.RVW.16.00002.
- Муштин Н.Е., Цед А.Н., Дулаев А.К., Леонтьева Н.В., Румянцев А.Ш. Возможности использования фракционированных и нефракционированных гепаринов после первичного эндопротезирования тазобедренного и коленного суставов у пациентов, получающих программный гемодиализ. Нефрология. 2020;24(6): 55-64. doi: 10.36485/1561-6274-2020-24-6-55-64. Mushtin N.E., Tsed A.N., Dulaev A.K., Leontyeva N.V., Rumyantsev A.Sh. Comparison of using fractionated and unfractionated heparins after primary hip and knee arthroplasty in patients receiving programmed hemodialysis. Nephrology (Saint-Petersburg). 2020;24(6):55-64. (In Russian). doi: 10.36485/1561-6274-2020-24-6-55-64.
- Петрова Е.Н., Полушин Ю.С., Шлык И.В., Цед А.Н. Особенности периоперационного ведения пациентов с терминальной стадией хронической болезни почек при эндопротезировании тазобедренного и коленного суставов. Альманах клинической медицины. 2019;47(3):251-265. doi: 10.18786/2072-0505-2019-47-033. Petrova E.N., Polushin Yu.S., Shlyk I.V., Tsed A.N. Particulars of the perioperative management of patients with end stage renal disease during hip and knee replacement arthroplasty. Almanac of Clinical Medicine. 2019;47(3):251-265. (In Russian). doi: 10.18786/2072-0505-2019-47-033.
- Цед А.Н., Дулаев А.К., Муштин Н.Е., Ильющенко К.Г., Шмелев А.В. Среднесрочные результаты первичного эндопротезирования тазобедренного сустава у пациентов с терминальной стадией хронической болезни почек. Травматология и ортопедия России. 2019;25(2):44-54. doi: 10.21823/2311-2905-2019-25-2-44-54. Tsed A.N., Dulaev A.K., Mushtin N.E., Iliushchenko K.G., Shmelev A.V. Mid-Term Outcomes of Primary Hip Replacement in Patients with End-Stage Chronic Renal Disease. Traumatology and Orthopedics of Russia. 2019;25(2):44-54. (In Russian). doi: 10.21823/2311-2905-2019-25-2-44-54
- Inoue D., Yazdi H., Goswami K., Tan T.L., Parvizi J. Comparison of Postoperative Complications and Survivorship of Total Hip and Knee Arthroplasty in Dialysis and Renal Transplantation Patients. J Arthroplasty. 2020;35(4):971-975. doi: 10.1016/j.arth.2019.10.038.
- Gkiatas I., Xiang W., Karasavvidis T., Windsor E.N., Sharma A.K., Sculco P.K. Total knee arthroplasty in dialysis patients: Is it safe? A systematic review of the literature. J Orthop. 2021;25:199-206. doi: 10.1016/j.jor.2021.05.025.
- Мурылев В.Ю., Цыгин Н.А., Шутов Е.В., Жучков А.Г., Рукин Я.А., Сорокина Г.Л. и др. Эндопротезирование крупных суставов у больных, получающих лечение программным диализом. Результаты лечения в одном центре и обзор литературы. Нефрология и диализ. 2019;21(2):221-233. doi: 10.28996/2618-9801-2019-2-221-233. Murylev V.Yu., Tsygin N.A., Shutov E.V., Zhuchkov A.G., Rukin Ya.A., Sorokina G.L. et al. Joint arthroplasty in patients treated with chronic dialysis. Results of a single center study and review. Nephrology and Dialysis. 2019;21(2):221-233. (In Russian). doi: 10.28996/2618-9801-2019-2-221-233.
- Stavrakis A.I., Li A.K., Uquillas C., Photopoulos C. Comparison of Total Knee Arthroplasty Outcomes Between Renal Transplant and End Stage Renal Disease Patients. J Am Acad Orthop Surg Glob Res Rev. 2022; 6(3):e21.00288. doi: 10.5435/JAAOSGlobal-D-21-00288.
- Мурылев В.Ю., Цыгин Н.А., Шутов Е.В., Жучков А.Г., Рукин Я.А. Тотальное эндопротезирование тазобедренных и коленных суставов у пациентов с хронической болезнью почек (обзор литературы). Травматология и ортопедия России. 2018;24(2):138-145. doi: 10.21823/2311-2905-2018-24-2-138-145. Murylev V.Y., Tsygin N.A., Shutov E.V., Zhuchkov A.G., Rukin Y.A. Total hip and knee arthroplasty in patients with chronic kidney disease (review). Traumatology and Orthopedics of Russia. 2018;24(2):138-145. (In Russian). doi: 10.21823/2311-2905-2018-24-2-138-145.
- Цед А.Н., Смирнов А.В., Дулаев А.К., Румянцев А.Ш., Ананьев А.Н. Патологические повреждения костей и суставов у больных на программном гемодиализе в Санкт-Петербурге. Нефрология.2019;23(6):73-82. doi: 10.36485/1561-6274-2019-236-73-82. Tsed A.N., Smirnov A.V., Dulaev A.К., Rumyantsev A.S., Ananyev A.N. Pathological damage of bones and joints in patients on hemodialysis in Saint Petersburg. Nephrology (Saint-Petersburg). 2019;23(6):73-82. (In Russian). doi: 10.36485/1561-6274-2019-236-73-82.
- Косинская Н.С. Дегенеративно-дистрофические поражения костно-суставного аппарата. Медгиз: Ленинград; 1961. с. 98. Kosinskaya N.S. Degenerative-dystrophic lesions of the osteoarticular apparatus. Medgiz: Leningrad; 1961. р. 98.
- Engh G.A., Ammeen D.J. Classification and preoperative radiographic evaluation: knee. Orthop Clin North Am. 1998;29(2):205-217. doi: 10.1016/s0030-5898(05)70319-9.
- Божкова С.А., Тихилов Р.М., Андрияшкин В.В., Ахтямов И.Ф., Белов М.В., Дианов С.В. и др. Профилактика, диагностика и лечение тромбоэмболических осложнений в травматологии и ортопедии: методические рекомендации. Травматология и ортопедия России. 2022;28(3):136-166. doi: 10.17816/2311-2905-1993. Bozhkova S.A., Tikhilov R.M., Andriyashkin V.V., Akhtyamov I.F., Belov M.V., Dianov S.V. et al. Prevention, Diagnosis and Treatment of Thromboembolic Complications in Traumatology and Orthopedics: Methodological Guidelines. Traumatology and Orthopedics of Russia. 2022;28(3):136-166. (In Russian). doi: 10.17816/2311-2905-1993.
- Lingard E.A., Katz J.N., Wright R.J., Wright E.A,. Sledge C.B.; Kinemax Outcomes Group. Validity and responsiveness of the Knee Society Clinical Rating System in comparison with the SF-36 and WOMAC. J Bone Joint Surg Am. 2001; 83(12):1856-1864. doi: 10.2106/00004623-200112000-00014.
- Behrend H., Giesinger K., Giesinger J.M., Kuster M.S. The “forgotten joint” as the ultimate goal in joint arthroplasty: validation of a new patient-reported outcome measure. J Arthroplasty. 2012;27(3):430-436.e1. doi: 10.1016/j.arth.2011.06.035.
- Ewald F.C. The Knee Society total knee arthroplasty roentgenographic evaluation and scoring system. Clin Orthop Relat Res. 1989;(248):9-12.
- Venishetty N., Wukich D.K., Beale J., Riley Martinez J., Toutoungy M., Mounasamy V. et al. Total knee arthroplasty in dialysis patients: a national in-patient sample-based study of perioperative complications. Knee Surg Relat Res. 2023;35(1):22. doi: 10.1186/s43019-023-00196-0.
- Swedish Arthroplasty Register The Swedish arthroplasty register annual report 2021. Available from: https://registercentrum.blob.core.windows.net/slr/r/SAR-Annual-Report-2021-SJlAFmlRl5.pdf
- The National Joint Registry 19-th Annual Report 2022 [Internet]. London: National Joint Registry; 2022 Oct. Available from: https://www.ncbi.nlm.nih.gov/books/NBK587525/.
- The Ninth Annual Report of the American Joint Replacement Registry on Hip and Knee Arthroplasty, 2022. Available from: https://connect.registryapps.net/hubfs/PDFs%20and%20PPTs/2022%20AJRR%20Annual%20Report.pdf.
- Филь А., Тараканов В., Куляба Т., Корнилов Н. Тренды в первичной артропластике коленного сустава в Национальном медицинском исследовательском центре травматологии и ортопедии им. Р.Р. Вредена и их сравнительный анализ с данными международных национальных регистров: схож ли наш путь? Гений ортопедии. 2020;26(4):476-483. doi: 10.18019/1028-4427-2020-26-4-476-483. Fil A., Tarakanov V., Kulyaba T., Kornilov N. Primary knee joint arthroplasty trends at the Vreden National Medical Research Centre for Traumatology and Orthopedics compared with other national joint replacement registries. Is our way similar? Genij Ortopedii. 2020;26(4):476-483. (In Russian). doi: 10.18019/1028-4427-2020-26-4-476-483.
- Li N., Tan Y., Deng Y., Chen L. Posterior cruciate-retaining versus posterior stabilized total knee arthroplasty: a meta-analysis of randomized controlled trials. Knee Surg Sports Traumatol Arthrosc. 2014;22(3):556-564. doi: 10.1007/s00167-012-2275-0.
- Thuysbaert G., Luyckx T., Ryckaert A., Gunst P., Noyez J., Winnock De Grave P. Reduced joint awareness after total knee arthroplasty with a cruciate retaining design. Acta Orthop Belg. 2020;86(3):482-488.
- Gustke K.A., Gelbke M.K. All-polyethylene tibial component use for elderly, low-demand total knee arthroplasty patients. J Arthroplasty. 2017;32(8):2421-2426. doi: 10.1016/j.arth.2017.02.077.
- Apostolopoulos V., Nachtnebl L., Mahdal M., Pazourek L., Boháč P., Janíček P. et al. Clinical outcomes and survival comparison between NexGen all-poly and its metal-backed equivalent in total knee arthroplasty. Int Orthop. 2023;47(9):2207-2213. doi: 10.1007/s00264-023-05772-3.
- Scheumann G.F., Holch M., Nerlich M.L., Brandis A., Ostertag H., Tscherne H. Pathological fractures and lytic bone lesion of the femoral neck associated with beta 2-microglobulin amyloid deposition in long-term dialysis patients. Arch Orthop Trauma Surg. 1991;110(2):93-97. doi: 10.1007/BF00393881.
Supplementary files









